Селезенка свиньи при чуме

КЛАССИЧЕСКАЯ ЧУМА СВИНЕЙ (Pestis suum), вирусная болезнь, характеризующаяся лихорадкой, поражением кровеносных сосудов и кроветворных органов, крупозно-дифтеритич. воспалением слизистой оболочки толстых кишок. Регистрируется во всех странах. К. ч. с. наносит громадный экономии, ущерб х-вам: летальность 80—100%.
Этиология. Возбудитель болезни — вирус рода Pestivirus сем. Togaviridae, РНК его вириона заключена в белковый капсид, покрытый липидным слоем (рис.).
В организме больных свиней вирус находится в крови, во всех органах и тканях. Вирус обладает высокой заразительностью, относительно устойчив к физич. и химии, факторам. Лабораторные животные невосприимчивы к вирусу К. ч. с.
Эпизоотология. Вирус поражает только домашних и диких свиней независимо от породы и возраста. Источник возбудителя инфекции — больные свиньи, выделяющие вирус во внеш. среду с мочой, фекалиями, а также с секретами. Факторы передачи возбудителя — загрязнённые [загрязненные] выделениями больных корма, вода, подстилка, навоз и др. Естеств. заражение свиней чаще происходит через пищеварительный тракт, органы дыхания, реже через повреждённую [поврежденную] кожу. К. ч. с. возникает в любое время года; протекает в виде эпизоотии. Иммунитет. Переболевшие свиньи приобретают стойкий пожизненный иммунитет. В СССР для активной иммунизации свиней применяют сухую лапинизированную вирусвакцину (АСВ) из штамма “К”, сухие культуральные вирусвакцины (ВГНКИ и ЛК-ВНИИВВиМ) из штамма “К”. Эти препараты создают иммунитет на 4—7-е сут после прививки, продолжительностью более 1 года. Вирусвакцины широко применяются не только для профилактики К. ч. с. в угрожаемых х-вах, но и в неблагополучных х-вах. Разработан способ пероральной иммунизации новорождённых [новорожденных] поросят, позволяющий сохранить их от болезни в эпизоотич. очаге.
Течение и симптомы. Инкубационный период в среднем 3—7 сут, реже 3 нед. Течение острое, подострое и хроническое. При остром течении темп-ра тела повышается до 41,5—42 °С. Через 3—5 сут у свиней пропадает аппетит, появляется жажда. Животные почти всё [все] время лежат, неохотно двигаются, походка у них шаткая. Супоросные свиноматки абортируют. На 5—9-е сут в коже ушей и живота возникают точечные и более крупные кровоизлияния, не исчезающие при надавливании. Характерна картина крови: лейкопения (на 4—5-е сут болезни кол-во лейкоцитов снижается до 2—3 тыс. в 1 мм 3 крови). На 7—10-е сут животные обычно погибают. При подостром течении К. ч. с. длится 2—3 нед. У животных периодически повышается темп-pa, запоры сменяются поносами. Свиньи худеют, ослабевают, передвигаются с трудом. При хронич. течении лихорадочные явления постепенно ослабевают, аппетит переменчивый; периодич. понос, свиньи сильно худеют. Болезнь может длиться до 2 мес. Патологоанатомические изменения. Обнаруживают воспаление слизистых оболочек, мелкие кровоизлияния на серозных и слизистых оболочках и в почках. Лимфатич. узлы (подчелюстные, заглоточные, околоушные, портальные) набухшие, тёмно-красного [темно-красного] цвета,на разрезе имеют цвет красного мрамора или равномерно окрашены в тёмно-красный [темно-красный] цвет. Селезёнка [Селезенка] не увеличена, по её [ее] краям — плотные черно-красные бугорки клиновидных инфарктов, обращённых [обращенных] основанием к краю селезёнки [селезенки] , величиной от конопляного зерна до мелкого ореха. Почки анемичны, в корковом слое, под капсулой, в почечной лоханке множеств. кровоизлияния. Слизистая оболочка желудка катарально или геморрагически воспалена, пронизана кровоизлияниями различной величины и формы. Слизистая оболочка толстых кишок гиперемирована, пронизана точечными кровоизлияниями; солитарные фолликулы ободочной и слепой кишок увеличены, нек-рые из них в виде твёрдых [твердых] узелков размером до горошины, другие — в виде круглых язвочек. Точечные и пятнистые кровоизлияния обнаруживают под эпикардом и эндокардом, под пульмональной и костальной плеврой, в слизистой оболочке мочевого пузыря, гортани и особенно надгортанника. В хронич. случаях в кишечнике находят “бутоны” или образовавшиеся на их месте круглые, покрытые творожистой массой язвы с валикообразно приподнятыми краями величиной до пятикопеечной монеты, или тонкие белые рубцы (см. вклейку к стр. 272 ).
Диагноз ставят на основании эпизоотол., клинич. и патологоанатомич. данных и лабораторных исследований патол. материалов, используя метод флуоресцирующих антител и биол. пробу на неиммунных к К. ч. с. подсвинках. К. ч. с. дифференцируют от пастереллёза [пастереллеза] , сальмонеллёза [сальмонеллеза] , болезни Ауески, инфлюэнцы, рожи, сиб. язвы, афр. чумы свиней, а также фузариотоксикоза и отравления тоссиполом.
Лечение. Больных свиней не лечат, их немедленно убивают на мясо.
Профилактика и меры борьбы. К общим профилактич. мерам относят: огораживание ферм, устройство сан. пропускников, дезинфекц. барьеров, регулярную профилактич. дезинфекцию, дератизацию, дезинсекцию животноводч. помещений. С особой осторожностью следует подходить к импортной свинине и продукции, поступающей из мест с неизвестной эпизоотич. обстановкой. Следует тщательно обезвреживать пищевые отходы, используемые в корм свиньям. Нельзя допускать на ферму посторонних лиц. При возникновении К. ч. с . на х-во накладывают карантин, по условиям к-poro запрещаются ввоз и вывоз свиней, их убой без разрешения вет. специалиста, торговля свиньями и необезвреженными продуктами. Всех клинически больных и подозрительных по заболеванию животных немедленно выделяют для убоя на специально оборудованных площадках с твёрдым [твердым] покрытием. Шкуры с туш не снимают. Туши убитых больных свиней, имеющие дистрофич. изменения в мышцах и органах, подвергают технич. утилизации. Клинически здоровых свиней неблагополучной фермы и свиней, находящихся в угрожаемой зоне, иммунизируют вирусвакциной. Для ускорения процесса иммунизации и купирования инфекции необходимо использовать аэрозольный метод введения вирус-вакцины. В период карантина помещения дезинфицируют 2—3%-ными горячими р-рами едкого натра или калия, 20%-ной взвесью свежегашёной [свежегашеной] извести. Навоз обезвреживают биотермически. Малоценный инвентарь сжигают. Карантин снимают через 40 сут после последнего случая гибели животного от К. ч. с. при проведении заключительной очистки, дезинфекции, сан. ремонта свинарника, обезвреживания навоза, уничтожения грызунов, перепашки прифермской территории.
Лит.: Попов В. И., Классическая чума свиней, в кн.: Ветеринарная энциклопедия, т. 3. М., 1972, с. 409-16.
Чума свиней
У свиней после заражения их вирусом чумы наиболее ранние шенения наблюдаются в стенках кровеносных капилляров и гладких артерий. Под действием вируса эндотелий капилляров набухает; клетки его размножаются, значительная часть клеток генерируется и отслаивается, заполняя просвет капилляров вплоть до полной их закупорки.
Повреждения стенок сосудов сопровождаются множественными кровоизлияниями в органах, слизистых оболочках и под серозными покровами, а иногда образованием некротических участков и инфарктов. Повреждения стенок сосудов обычно бывают в лимфатических узлах, селезенке, почках, головном мозгу и других органах.
В лимфатических узлах геморрагии вначале отмечаются в корковом слое (в зоне, бедной клеточными элементами) вблизи синусов узла. Несколько позднее эритроциты появляются и в синусах, при этом часть их выходит из сосудов лимфатического узла, а часть приносится лимфой, поступающей из органов.
В результате абсорбции и диапедеза синусы лимфатического узла заполняются эритроцитами и окрашиваются в красный цвет. Фолликулы узла продолжительное время остаются свободными от эритроцитов и поэтому имеют светло-серую окраску. Вследствие этого поверхность разреза пораженного лимфатического узла пестрая, типа красного мрамора или краковской колбасы.
В селезенке вследствие повреждения и тромбоза сосудов появляются кровоизлияния, гнездные некрозы и образование инфарктов. Инфаркты могут быть геморрагическими, — в этом случае омертвевшая ткань нашпигована эритроцитами, или смешанными, когда анемичную некротизированную ткань окружает геморрагический пояс.
В почках наблюдаются кровоизлияния как в корковом, так и в мозговом слое. При гистологическом исследовании обнаруживается, кроме того, серозно-геморрагическое воспаление с лимфоидной инфильтрацией.
Кровоизлияния или геморрагическое воспаление имеют место также в почечных лоханках, мочеточниках и мочевом пузыре.
В слизистой оболочке желудка и кишок встречаются множественные точечные и пятнистые кровоизлияния. Кроме того, в слизистой оболочке развивается геморрагическое, фибринозно-геморрагическое или дифтеритическое воспаление. При осложнении чумы паратифозной инфекцией в толстом отделе кишечника образуются бутоны — дифтеритическое воспаление солитарных фолликул кишечника (рис. 39).
В легких при чуме свиней имеются кровоизлияния и воспаление. Характер воспаления зависит во многом от сукундарной микрофлоры. При осложнении чумы пастереллезом воспалительный процесс имеет фибринозный характер.
В головном мозгу, кроме диапедеза эритроцитов, происходит размножение адвентициальных клеток с образованием вокруг сосудов клеточных муфт (периваскулиты). Кроме того, появляются дегенеративные изменения ганглиозных клеток, гнездные скопления из клеток глии и нейронофагия.


ТАБЛИЦА XVI. А —желудок свиньи при чуме; Б —кишечник свиньи при чуме; В — легкие лошади при микозе.
Лимфатические узлы увеличены в объеме, с поверхности красного цвета. На разрезе капсула лимфатического узла и прилегающая к ним полоска коркового слоя (корковые синусы) темно-красного цвета. От капсулы в глубину паренхимы отходят тяжи различной ширины также красного цвета (мозговые синусы, заполненные эритроцитами). Между красными прожилками имеется ткань лимфатического узла (фолликулы) светло-серого цвета.
Отдельные лимфатические узлы почти полностью красного цвета, за исключением едва заметных светлосерых гнезд (зон размножения).
Макропрепарат. Селезенка свиньи при чуме (рис. 119)
Селезенка не увеличена, по ее краям видны множественные геморрагические инфаркты. Они округлой

Рис. 119. Селезенка свиньи при чуме.
ли треугольной формы, темно-красного цвета, несколько возвы-гаются над поверхностью селезенки и четко выделяются на светло-)иолетовом фоне селезеночной капсулы.
Макропрепарат Почкасвиньи причуме (рис. 120)
Почка в объеме не увеличена. Под фиброзной капсулой имеются (ножественные точечные кровоизлияния, они четко выступают а светло-буром фоне почки.

Рис. 120. Почки свиньи при чуме.
Такие же кровоизлияния видны и на разрезе почки, их больше корковом слое и несколько меньше в мозговом. Точечные и ятнистые кровоизлияния имеются в почечной лоханке и мочеточниках.
Макропрепарат. Желудок свиньи при чуме (табл.XVI, А)
В слизистой оболочке видны кровоизлияния и участки геморрагического воспаления, они интенсивно красного цвета, четко выделяются на бледно-розовом фоне остальной части слизистой оболочки желудка. Центральная часть некоторых воспаленных участков темно-серого цвета, она омертвела и пропитана фибрином.
Макропрепарат. Кишечник свиньи при чуме (табл. XVI, Б)
Слизистая оболочка кишки интенсивно красного цвета, набухшая, покрыта серо-белыми пленками фибрина. На разрезе стенка кишки значительно утолщена, пропитана геморрагическим эксудатом.
Под плеврой имеются множественные точечные и пятнистые кровоизлияния.
Пораженные части легких неспавшиеся, уплотнены, несколько возвышаются над остальной поверхностью легкого. На разрезе легкие пестрой окраски, одни дольки красного, другие серого цвета. Междольковая соединительная ткань в состоянии геморрагического воспаления, она в виде темно-красных прожилок разделяет пораженную часть легкого на отдельные дольки.
Макропрепарат. Ободочная кишка свиньи при чуме (рис. 121)

Рис. 121. Ободочная кишка свиньи при чуме.
Патологоанатомические изменения при чуме свиней достаточно характерны и позволяют с. учетом эпизоотологическои обстановки поставить диагноз на это заболевание. Наиболее характерными считают изменения в лимфатических узлах, инфаркты селезенки и множественные кровоизлияния под серозными покровами, в слизистых оболочках и паренхиматозных органах.

КЧС — инфекционная высококонтагиозная болезнь, вызываемая вирусом, поражающая свиней всех возрастов и характеризующаяся при остром течении тяжелым септическим процессом с явлениями геморрагического диатеза, при подостром и хроническом — поражениями легких и толстого отдела кишечника.
В естественных условиях к вирусу чумы свиней восприимчивы домашние и дикие свиньи.
Возбудитель болезни – РНК-содержащий вирус; находясь в организме больных в крови, тканях и внутренних органах, обладает высокой заразительностью. Вирус устойчив к высушиванию и низким температурам (в охлажденном мясе, субпродуктах сохраняется 2-4 месяца, в замороженном — несколько лет; в копченой ветчине -1-1,5 месяца, в солонине- до 315 дней). Нагревание до 70-80 оС убивает вирус в течении одного часа. Прямой солнечный свет убивает возбудителя КЧС на поверхности почвы через 1-2 недели; в трупах и навозе вирус сохраняется — 3-5дней; в высушенном состоянии в зараженных дворах и свинарниках — до года. Убивают вирус дезинфицирующие средства: 2-3% раствор едкой щелочи, 15-20%-ное известковое молоко из свежегашеной извести или хлорной извести, 5%-ный серно-карболовый раствор, 0,3-0,5% раствор дезкотена, 5%-раствор бионала, 3% раствор фоспара, 1% йодез и другие современные дезсредства.
Экономический ущерб. КЧС вызывает большой экономический ущерб из-за почти 100%-ной заболеваемости свиней и падежа, доходящего в отдельных случаях до 70%. Все поголовье неблагополучной фермы, подсобных хозяйств, а также свиней, принадлежащих населению, подвергается убою при наличии в регионе мясокомбинатов,где есть условия для переработки убитых свиней. При отсутствии мясокомбинатов поголовье подвергается уничтожению. Большие затраты также связаны с проведением карантинных мероприятий (организация и дежурство санитарных постов, проведение дезинфекции, вакцинации животных и т.д.).
Источником болезни являются больные или переболевшие чумой свиньи-вирусоносители. Вирус от больных и переболевших чумой свиней выделяется во внешнюю среду со всеми секретами и экскретами. Туши вынужденно убитых свиней, субпродукты, трупы, необезвреженные боенские и кухонные отходы могут быть источником заражения свиней вирусом чумы. Передача вируса также возможна через предметы ухода, корма, водоисточники, транспортные средства, одежду, обувь обслуживающего персонала, загрязненную выделениями больных и вирусоносителей. В распространении чумы могут принимать участие собаки, птица, грызуны, мухи и даже дождевые черви. Заражение КЧС происходит через пищеварительный тракт, а также через органы дыхания и поврежденную кожу. Течение вспышки КЧС зависит от вирулентности вируса и иммунитета у свиней.
Течение и симптомы болезни. Инкубационный (скрытый) период длится 1-9 дней, реже затягивается до 2-3недель. Течение болезни острое, подострое и хроническое. У поросят подсосного возраста часто бывает молниеносное течение болезни.
При остром течении КЧС (в начале эпизоотии ) болезнь начинается с повышения температуры тела (до 40,5-41,9оС), лихорадка носит постоянный характер. На 2-3-й день у заболевших животных уменьшается аппетит, появляется озноб, рвота, запор, сменяемый затем поносом (иногда кровавым). В начале заболевания поносы бывают редко. Слизистая оболочка глаз покрасневшая, веки опухают и происходит их склеивание слизисто-гнойным экссудатом. Больные животные неохотно поднимаются, хвост раскручен, голова опущена, спина сгорбленная, отмечается слабость задних конечностей, походка становиться шаткой, у свиней наблюдается сильная жажда. Свиньи чаще лежат, зарывшись в подстилку. В хлеву ищут место похолодней. Мочеиспускание затруднено, моча иногда становиться темно-коричневого цвета. У некоторых поросят в области живота, внутренней поверхности бедер, шеи и основания ушных раковин образуются пузырьки и пустулы, заполненные желтоватым экссудатом. Позднее (на 5-9-й день болезни) на коже начинают появляться мелкие точечные кровоизлияния. В процессе развития болезни кровоизлияния могут сливаться, образуя темно-багровые пятна, которые при надавливании не исчезают. Кровоизлияния бывают также на слизистой оболочке носа . У больных животных отмечается сердечная недостаточность, дыхание становится учащенным и затрудненным, появляется посинение живота, хвоста, ушей и пятачка. У отдельных животных бывает носовое кровотечение, судороги, парез или паралич зада. Перед смертью температура у поросят падает до 35-36 оС. Смерть наступает на 7-10 день болезни. Летальность при этой форме КЧС до 80-100%. Супоросные свиноматки абортируют.
У поросят возможно сверхострое течение КЧС, протекающее в виде лихорадки, угнетения, приступов рвоты. Поросята погибают через 1-2 дня с явлениями эпилепсии или в коматозном состоянии.
К концу вспышки КЧС, в результате повышения устойчивости свиней и снижения вирулентности вируса, чума принимает подострое, затяжное и хроническое течение.
При подостром течении КЧС болезнь длится 2-3 недели, типичные для КЧС признаки выражены слабее. У больных животных отмечаются периодические взлеты температуры тела, в результате крупозно — некротического энтероколита — запоры, сменяющиеся поносом, извращается аппетит.
Из-за поражения легких возникает кашель, одышка, истечения из носа, пневмония. С целью облегчения дыхания и уменьшения болезненности плевры поросята стараются лежать на груди или принимают позу сидячей собаки. Животные ослабевают, худеют и в большинстве своем погибают.
При хроническом течении КЧС болезнь затягивается до 2 месяцев. У поросят наблюдаются периодические поносы, кашель, переменчивый аппетит. Кожа имеет сморщенный вид, покрывается экзематозными струпьями. Болезнь обычно приводит к падежу. Оставшиеся в живых худые животные в течение одного года могут быть вирусоносителями КЧС.
Патологоанатомические изменения зависят от формы течения болезни, характера и локализации осложнений при КЧС и возраста павшего животного.
Кожа ушей, шеи, брюшной стенки и внутренняя поверхность бедер имеет темно-багровый цвет. Вся поверхность кожи усеяна единичными и множественными кровоизлияниями различной формы и величины. Лимфатические узлы увеличены, от темного до черно-красного цвета, на разрезе виден характерный мраморный рисунок. Легкие пятнистые, сочные; на разрезе одиночные кровоизлияния, иногда геморрагические инфаркты. Сердце: в области коронарных сосудов и ушек сердца отмечаются кровоизлияния. Под эпикардом и эндокардом, пульмональной и костальной плеврой, в слизистой гортани и надгортанника – точечные и пятнистые кровоизлияния. Селезенка темно-красного цвета, увеличена в объеме, с одиночными или множественными инфарктами по краям, имеющими форму темно-красных узлов. На разрезе инфаркты имеют форму клина. Наличие инфарктов в селезенке является одним из характерных признаков КЧС. Почки анемичны, корковый слой пронизан множеством мелких кровоизлияний, которые хорошо заметны на бледном фоне. Слизистая оболочка почек, лоханок, мочеточников и мочевого пузыря покрыта пятнистыми и точечными кровоизлияниями. Слизистая желудочно – кишечного тракта — катарально воспалена, пятнисто гиперемирована, с наличием петехий и экхимозов. Явления геморрагического диатеза наиболее резко выражены к 7-9дню КЧС.
Диагноз на КЧС ставится комплексно, на основании эпизоотологических, клинических, патологоанатомических данных и результатов лабораторного исследования, которые включают в себя выявление вируса с помощью метода иммунофлуоресценции (ИФ) и постановки биопробы на неимунных подсвинках.
Дифференциальный диагноз. Исключают африканскую чуму, сальмонеллез, рожу, болезнь Ауески, трансмиссивный гастроэнтерит, дизентерию и другие септические болезни, схожие по клинике с чумой, а также отравления.
Лечение при КЧС не проводиться. Больные КЧС свиньи, согласно существующих правил, подлежат немедленному убою с возможным использованием мяса в обезвреженном виде.
Иммунитет. После переболевания у выживших животных развивается нестерильный иммунитет. Для активной иммунизации применяют: сухие вирусвакцины из лапинизированных и культуральных аттенуированных штаммов вируса чумы свиней, лапинизированную вирусвакцину из штамма К, которую применяют с профилактической целью при систематической иммунизации, а также в угрожаемых и неблагополучных по КЧС хозяйствах. Применяют вакцины согласно наставления по ее применению.
Сайт СТУДОПЕДИЯ проводит ОПРОС! Прими участие :) - нам важно ваше мнение.
Чума свиней, осложненная пастереллезом
Чума свиней, осложненная сальмонеллезом
1. Слоистые пуговчатые струпья на слизистой оболочке толстого кишечника (очаговый дифтеритический колит, чумные бутоны).
2. Фолликулярно-язвенный колит и тифлит.
3. Диффузный дифтеритический (некротический) колит и тифлит.
4. Хроническая катаральная бронхопневмония.
5. Серозно-фибринозный плеврит и перикардит.
6. Оспоподобная корочковая сыпь на коже.
7. Истощение и общая анемия.
1. Крупозная, крупозно-геморрагическая пневмония.
2. Серозно-фибринозный плеврит и перикардит.
3. Все процессы, характерные для септической формы.
Диагноз: учитывают клинические симптомы, эпизоотологическую обстановку, картину вскрытия, результаты бактериологического исследования. Проводят гистоисследование головного мозга, применяют иммунофлюоресцентный метод, биопробу, вирусологическое исследование.
Дифференцировать нужно от африканской чумы, болезни Ауески, листериоза, отечной болезни.
Музейные препараты: кровоизлияние в слизистую оболочку мочевого пузыря; смешанные инфаркты в селезенке при чуме свиней; чумные бутоны в слизистой оболочке толстого кишечника; крупозно-дифтеритический энтерит при чуме; кровоизлияние в слизистую оболочку гортани свиньи; дистрофия и кровоизлияние в почке при чуме; геморрагический лимфаденит при чуме свиней; оспоподобная сыпь в коже при чуме свиней; серозно-фибринозный плеврит и кровоизлияния при чуме свиней, осложненной пастереллезом.
Чума свиней африканская – высококонтагиозная вирусная болезнь свиней, характеризующаяся резко выраженной септицемией, некрозами лимфоидной и кроветворной тканей.
Этиология. Возбудитель ДНК – содержащий вирус Cem. Iridoviridus.
Патогенез. Заражение аэрогенным и алиментарным путем, через поврежденную кожу и конъюнктиву. Вирус быстро распространяется по кровеносным и лимфатическим сосудам, вызывает некроз стенок сосудов, лимфоидной и миелоидной тканей, что приводит к резкому угнетению иммунных механизмов защиты. Летальность 100%.
Клинические симптомы: высокая температура 40,5-42,5 0 С, отказ от корма, общее состояние угнетено, через 1-2 дня температура снижается, дыхание поверхностное, развивается сонливость, нарушается движение, появляется повышенная возбудимость, припухание век, серозный конъюнктивит, гиперемия кожи.
Патанатомия: трупы животных не истощены, веки отечны, у внутренних углов глаз заметны корочки серо-коричневого цвета, конъюнктива темно-красная, пропитана серозно-геморрагическим экссудатом; видимые слизистые оболочки цианотичны. Кожа очагово или диффузно окрашена в темно-красный или багровый цвет. В грудной, брюшной и перикардиальной областях – мутная жидкость, часто со сгустками фибрина.
Лимфатические узлы, особенно желудочные, печеночные, брыжеечные, почечные увеличены в 2-4 раза, мягкие, снаружи и на разрезе темно-красного цвета, иногда поверхность разреза имеет мраморный рисунок. Гисто: отмечается геморрагическая инфильтрация лимфоузлов, диффузный некроз лимфоидной ткани, мелкоочаговые плазмоцитарные инфильтраты.
Рис. Макро: селезенка увеличена в 2-3 раза, дряблая, под капсулой точечные кровоизлияния, на разрезе пульпа темно-красного цвета, соскоб пульпы обильный (септическая селезенка). Изредка в селезенке встречаются геморрагические инфаркты. Гисто: диффузная геморрагическая инфильтрация пульпы селезенки, некрозы лимфоидных фолликулов.
В печени, почках и миокарде венозная гиперемия и зернистая дистрофия.
Основные патологоанатомические изменения:
1. Геморрагический диатез (резко выражен).
2. Геморрагический лимфаденит.
3. Геморрагический спленит (септическая селезенка).
4. Зернистая дистрофия и венозная гиперемия печени, почек, сердца.
5. Серозно-геморрагический гастроэнтерит, уроцистит.
6. Серозно-геморрагический конъюнктивит.
7. Серозно-фибринозный плеврит и перитонит.
8. Острая венозная гиперемия и отек легких.
Диагноз ставят с учетом клинико-эпизоотологических и патологоанатомических данных, результатов вирусологического, серологического исследований и постановки биопробы.
Дифференцировать необходимо от европейской чумы свиней, рожи, пастереллеза.

Рис. 4.7.1 Зернистая дистрофия и кровоизлияния в почке при чуме свиней
Почка увеличена в размере, серого цвета, мягкой консистенции. Капсула снимается легко, Граница между корковым и мозговым веществом сглажена. С поверхности и в паренхиме видны множественные точечные кровоизлияния красного цвета.

Рис. 4.7.2 Геморрагический лимфаденит при чуме свиней
Прикорневой лимфоузел в легком увеличен в 2-3 раза, круглой формы, упругой консистенции, темно-красного цвета. На разрезе виден мраморный рисунок, в следствии сочетания темно-красного и белого цветов. На периферии виден темно-красный ободок, от которого внутрь органа отходят тяжи, которые имеют четкие контуры с белыми полями лимфоидной ткани.

Рис. 4.7.3 Селезенка поросенка. Множественные геморрагические инфаркты при чуме
В селезенке по краям органа имеется несколько очагов инфаркта коричневато-красного цвета, круглой формы, плотной консистенции, возвышающихся над поверхностью. На разрезе они серые в центре и темно-красные по периферии, фолликулярное и трабекулярное строение в очаге инфаркта сглажено.

Рис. 4.7.4 Чума свиней
Множественные точечные кровоизлияния в надгортанник.

Рис. 4.7.5 Желудок свиньи при чуме
Множественные очаги некроза с наложениями фибрина (струпьевидный некроз).

Рис. 4.7.6 Чума свиней
Струпьевидные некротические бляшки на слизистой оболочке.

На слизистой оболочке кишки в месте пейровых бляшек и солитарных фолликулов видны круглые, шероховатые, плотной консистенции струпья, серо-желтого и буроватого цвета до 3 см в диаметре. Они возвышаются над поверхностью, имеют концентрическую слоистость, похожи на пуговицу, плотно удерживаются на поверхности, При отделении их образуются язвы.

Рис. 4.7.8 Оспоподобная сыпь на коже при чуме свиней
В коже видны множественные очажки геморрагического некроза, покрытые корочками, прочно удерживающимися на поверхности.

Рис. 4.7.9. Фибринозно-некротическая пневмония при чуме поросенка

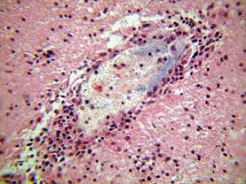
Рис. 4.7.10 Чума свиней. Негнойный лимфоцитарный энцефалит
Видны небольшие периваскулярные лимфоидно-клеточные инфильтраты и периваскулярный отек головного мозга.
Контрольные вопросы:
1. Патоморфология классической чумы свиней.
2. Патоморфологические изменения в лимфоузлах и селезенке: макро- и микроскопические.
3. Патоморфология чумы, осложненной пастереллезом и сальмонеллезом.
4. Дифференциация классической чумы свиней от африканской чумы, пастереллеза, сальмонеллеза, болезни Ауески, листериоза, отечной болезни.
5. Патоморфология африканской чумы свиней, дифференциация ее от классической чумы, рожи, пастереллеза.
Нам важно ваше мнение! Был ли полезен опубликованный материал? Да | Нет
Сайт СТУДОПЕДИЯ проводит ОПРОС! Прими участие :) - нам важно ваше мнение.
Чума свиней, осложненная пастереллезом
Чума свиней, осложненная сальмонеллезом
1. Слоистые пуговчатые струпья на слизистой оболочке толстого кишечника (очаговый дифтеритический колит, чумные бутоны).
2. Фолликулярно-язвенный колит и тифлит.
3. Диффузный дифтеритический (некротический) колит и тифлит.
4. Хроническая катаральная бронхопневмония.
5. Серозно-фибринозный плеврит и перикардит.
6. Оспоподобная корочковая сыпь на коже.
7. Истощение и общая анемия.
1. Крупозная, крупозно-геморрагическая пневмония.
2. Серозно-фибринозный плеврит и перикардит.
3. Все процессы, характерные для септической формы.
Диагноз: учитывают клинические симптомы, эпизоотологическую обстановку, картину вскрытия, результаты бактериологического исследования. Проводят гистоисследование головного мозга, применяют иммунофлюоресцентный метод, биопробу, вирусологическое исследование.
Дифференцировать нужно от африканской чумы, болезни Ауески, листериоза, отечной болезни.
Музейные препараты: кровоизлияние в слизистую оболочку мочевого пузыря; смешанные инфаркты в селезенке при чуме свиней; чумные бутоны в слизистой оболочке толстого кишечника; крупозно-дифтеритический энтерит при чуме; кровоизлияние в слизистую оболочку гортани свиньи; дистрофия и кровоизлияние в почке при чуме; геморрагический лимфаденит при чуме свиней; оспоподобная сыпь в коже при чуме свиней; серозно-фибринозный плеврит и кровоизлияния при чуме свиней, осложненной пастереллезом.
Чума свиней африканская – высококонтагиозная вирусная болезнь свиней, характеризующаяся резко выраженной септицемией, некрозами лимфоидной и кроветворной тканей.
Этиология. Возбудитель ДНК – содержащий вирус Cem. Iridoviridus.
Патогенез. Заражение аэрогенным и алиментарным путем, через поврежденную кожу и конъюнктиву. Вирус быстро распространяется по кровеносным и лимфатическим сосудам, вызывает некроз стенок сосудов, лимфоидной и миелоидной тканей, что приводит к резкому угнетению иммунных механизмов защиты. Летальность 100%.
Клинические симптомы: высокая температура 40,5-42,5 0 С, отказ от корма, общее состояние угнетено, через 1-2 дня температура снижается, дыхание поверхностное, развивается сонливость, нарушается движение, появляется повышенная возбудимость, припухание век, серозный конъюнктивит, гиперемия кожи.
Патанатомия: трупы животных не истощены, веки отечны, у внутренних углов глаз заметны корочки серо-коричневого цвета, конъюнктива темно-красная, пропитана серозно-геморрагическим экссудатом; видимые слизистые оболочки цианотичны. Кожа очагово или диффузно окрашена в темно-красный или багровый цвет. В грудной, брюшной и перикардиальной областях – мутная жидкость, часто со сгустками фибрина.
Лимфатические узлы, особенно желудочные, печеночные, брыжеечные, почечные увеличены в 2-4 раза, мягкие, снаружи и на разрезе темно-красного цвета, иногда поверхность разреза имеет мраморный рисунок. Гисто: отмечается геморрагическая инфильтрация лимфоузлов, диффузный некроз лимфоидной ткани, мелкоочаговые плазмоцитарные инфильтраты.
Рис. Макро: селезенка увеличена в 2-3 раза, дряблая, под капсулой точечные кровоизлияния, на разрезе пульпа темно-красного цвета, соскоб пульпы обильный (септическая селезенка). Изредка в селезенке встречаются геморрагические инфаркты. Гисто: диффузная геморрагическая инфильтрация пульпы селезенки, некрозы лимфоидных фолликулов.
В печени, почках и миокарде венозная гиперемия и зернистая дистрофия.
Основные патологоанатомические изменения:
1. Геморрагический диатез (резко выражен).
2. Геморрагический лимфаденит.
3. Геморрагический спленит (септическая селезенка).
4. Зернистая дистрофия и венозная гиперемия печени, почек, сердца.
5. Серозно-геморрагический гастроэнтерит, уроцистит.
6. Серозно-геморрагический конъюнктивит.
7. Серозно-фибринозный плеврит и перитонит.
8. Острая венозная гиперемия и отек легких.
Диагноз ставят с учетом клинико-эпизоотологических и патологоанатомических данных, результатов вирусологического, серологического исследований и постановки биопробы.
Дифференцировать необходимо от европейской чумы свиней, рожи, пастереллеза.

Рис. 4.7.1 Зернистая дистрофия и кровоизлияния в почке при чуме свиней
Почка увеличена в размере, серого цвета, мягкой консистенции. Капсула снимается легко, Граница между корковым и мозговым веществом сглажена. С поверхности и в паренхиме видны множественные точечные кровоизлияния красного цвета.

Рис. 4.7.2 Геморрагический лимфаденит при чуме свиней
Прикорневой лимфоузел в легком увеличен в 2-3 раза, круглой формы, упругой консистенции, темно-красного цвета. На разрезе виден мраморный рисунок, в следствии сочетания темно-красного и белого цветов. На периферии виден темно-красный ободок, от которого внутрь органа отходят тяжи, которые имеют четкие контуры с белыми полями лимфоидной ткани.

Рис. 4.7.3 Селезенка поросенка. Множественные геморрагические инфаркты при чуме
В селезенке по краям органа имеется несколько очагов инфаркта коричневато-красного цвета, круглой формы, плотной консистенции, возвышающихся над поверхностью. На разрезе они серые в центре и темно-красные по периферии, фолликулярное и трабекулярное строение в очаге инфаркта сглажено.

Рис. 4.7.4 Чума свиней
Множественные точечные кровоизлияния в надгортанник.

Рис. 4.7.5 Желудок свиньи при чуме
Множественные очаги некроза с наложениями фибрина (струпьевидный некроз).

Рис. 4.7.6 Чума свиней
Струпьевидные некротические бляшки на слизистой оболочке.

На слизистой оболочке кишки в месте пейровых бляшек и солитарных фолликулов видны круглые, шероховатые, плотной консистенции струпья, серо-желтого и буроватого цвета до 3 см в диаметре. Они возвышаются над поверхностью, имеют концентрическую слоистость, похожи на пуговицу, плотно удерживаются на поверхности, При отделении их образуются язвы.

Рис. 4.7.8 Оспоподобная сыпь на коже при чуме свиней
В коже видны множественные очажки геморрагического некроза, покрытые корочками, прочно удерживающимися на поверхности.

Рис. 4.7.9. Фибринозно-некротическая пневмония при чуме поросенка

Рис. 4.7.10 Чума свиней. Негнойный лимфоцитарный энцефалит
Видны небольшие периваскулярные лимфоидно-клеточные инфильтраты и периваскулярный отек головного мозга.
Контрольные вопросы:
1. Патоморфология классической чумы свиней.
2. Патоморфологические изменения в лимфоузлах и селезенке: макро- и микроскопические.
3. Патоморфология чумы, осложненной пастереллезом и сальмонеллезом.
4. Дифференциация классической чумы свиней от африканской чумы, пастереллеза, сальмонеллеза, болезни Ауески, листериоза, отечной болезни.
5. Патоморфология африканской чумы свиней, дифференциация ее от классической чумы, рожи, пастереллеза.
Нам важно ваше мнение! Был ли полезен опубликованный материал? Да | Нет
Читайте также:


