Анатомия полости носа
Добавил пользователь Владимир З. Обновлено: 27.01.2026
Полость носа , cauum nasi, является началом респираторного тракта. Она расположена между основанием черепа - сверху, ротовой полостью - снизу и глазницами - справа и слева. Спереди полость носа сообщается с внешней средой через носовые отверстия - ноздри, сзади - с носовой частью глотки через задние отверстия носовой полости, choanae. Носовая полость образована костными стенками (см. раздел Череп в целом, настоящего издания), покрытыми слизистой оболочкой. С полостью носа соединены околоносовые пазухи. Слизистая оболочка полости носа распространяется в околоносовые пазухи.
Перегородкой носа, septum nasi, полость носа разделяется на две половины - правую и левую. В каждой половине различают преддверие, vestibulum nasi, ограниченное хрящами наружного носа, покрытыми многослойным плоским эпителием, и собственно носовую полость, cauum nasi proprium, выстланную слизистой оболочкой. Граница между преддверием и полостью носа проходит по дугообразному гребешку - порогу носа, limen nasi.
В полости носа имеется 4 стенки: верхняя, нижняя, латеральная и медиальная (см. раздел Череп в целом, настоящего издания). Медиальная стенка - общая для обеих половин полости носа, представлена перегородкой носа. Различают три части перегородки носа: 1) верхне-заднюю - костную, pars ossea; 2) переднюю - хрящевую, pars cartilaginea; 3) передне-нижнюю, перепончатую, pars membranacea. В нижней части, pars cartilaginea, у переднего края сошника имеется отверстие сошниково-носового органа, organum vomeronasal. У человека сошниково-носовой орган очень небольшой, рудиментирован. У животных он имеет отношение к обонянию. Ниже указанного отверстия соответственно положению сошниково-носового хряща по перегородке носа проходит носо-небный валик, torus nasopalatinus.
Нижняя стенка полости носа является одновременно верхней стенкой ротовой полости. На нижней стенке кзади от отверстия сошниково-носового органа определяется отверстие резцового протока, ductus incisivus, открывающегося на резцовом сосочке неба.
Стоматологам важно помнить об отношении корней верхних резцов к нижней стенке носовой полости. У некоторых людей, особенно с широким и коротким лицом, верхушки первых верхних резцов и верхнего клыка очень близко прилежат к дну полости носа, будучи отделены от нее только тонким слоем компактного вещества челюсти. Наоборот, у лиц с узким, длинным лицом верхушки корней верхних резцов и клыков удалены от носовой полости на значительное расстояние (10-12 мм).
Верхняя стенка, или свод полости носа, образована продырявленной пластинкой решетчатой кости, через которую проходят обонятельные нервы. Поэтому верхнюю часть полости носа называют обонятельной областью, regio olfactoria, в противоположность остальной части полости, именуемой дыхательной областью, regio respiratoria.
Латеральная стенка имеет самое сложное строение (рис. 121). На ней расположены три носовые раковины: верхняя, средняя и нижняя, conchae nasales superior, media et inferior, основу которых составляют соответствующие костные носовые раковины. Слизистая оболочка раковин и заложенные в ней венозные сплетения утолщают раковины и уменьшают полость носа.

Рис. 121. Латеральная стенка носа. а - латеральная стенка носа с раковинами; б - латеральная стенка носа после удаления раковин. а: 1 - лобная пазуха; 2 - носовая кость; 3 - средняя носовая раковина; 4 - слезный отросток нижней носовой раковины; 5 - передний родничок; 6 - решетчатый отросток нижней носовой раковины; 7 - нижняя носовая раковина; 8 - резцовый канал; 9 - небная кость; 10 - крыловидный отросток; 11 - задний родничок; 12 - клиновидная пазуха; 13 - верхняя носовая раковина; 14 - клиновидно-решетчатое углубление; 15 - самая верхняя носовая раковина (непостоянная); б: 1 - полулунная расщелина; 2 - крючкообразный отросток решетчатой кости; 3 - слезный отросток нижней носовой раковины; 4 - передний родничок; 5 - задний родничок; 6 - клиновидная пазуха; 7 - решетчатая воронка; 8 - решетчатый пузырек
Пространство между медиальной стенкой (перегородкой носа) и носовыми раковинами, а также между верхней и нижней стенками образует общий ход носа, meatus nasi communis. Кроме того, различают отдельные ходы носа. Между нижней носовой раковиной и нижней стенкой полости носа имеется нижний ход носа, meatus nasi inferior, между средней и нижней носовыми раковинами - средний ход носа, meatus nasi medius, между верхней и средней носовыми раковинами - верхний ход носа, meatus nasi superior. Между верхней раковиной и передней стенкой тела клиновидной кости лежит клиновидно-решетчатое углубление, recessus sphenoethmoidalis, величина которого бывает выражена различно. В него открывается отверстием клиновидная пазуха (рис. 122). Позади нижней и средней раковин образуется небольшое пространство - носо-глоточный ход, meatus nasopharyngeus, сообщающийся через хоаны с носоглоткой.

Рис. 122. Фронтальный срез через носовую полость. 1 - ячейки решетчатого лабиринта; 2 - средняя носовая раковина; 3 - носовая перегородка; 4 - нижняя носовая раковина; 5 - верхнечелюстная пазуха; 6 - отверстие верхнечелюстной пазухи
Ширина ходов носа зависит от величины раковин, положения перегородки носа и состояния слизистой оболочки. При маленьких раковинах, искривлении перегородки и набухании слизистой оболочки носовые ходы суживаются, что может затруднять носовое дыхание. Самым длинным является нижний ход, самым коротким и узким - верхний, наиболее широким - средний. На обращенной в ход носа поверхности средней раковины имеется выступ - вал носа, agger nasi, кпереди от которого выделяют преддверие среднего хода, atrium meatus medii. От вала носа кверху к верхней стенке полости поднимается обонятельная борозда, sulcus olfactorius.
В нижнем ходе носа под сводом, нижней раковины находится отверстие слезно-носового канала. В средний ход носа открываются отдельными отверстиями верхнечелюстная и лобная пазухи, передние и средние ячейки решетчатой пазухи.
Детали расположения перечисленных отверстий представляют практическое значение. На латеральной стенке в области среднего хода располагается полулунная расщелина, hiatus semilunaris, ограниченная bulla ethmoidalis и processus uncinatus (см. раздел Решетчатая кость, настоящего издания), шириной 2-3 мм, которая идет спереди и сверху кзади и книзу. Задняя часть полулунной щели воронкообразно расширяется и образует решетчатую воронку, infundibulum ethmoidale, на дне которой находится отверстие верхнечелюстной пазухи. Передне-верхний отдел полулунной расщелины ведет в лобную пазуху. На передней и задней стенках расщелины имеется несколько небольших отверстий передних ячеек решетчатой пазухи, а также дополнительное отверстие верхнечелюстной пазухи. Средний ход носа ввиду изложенного представляет в клиническом отношении важную часть полости носа.
В верхнем ходе носа расположены отверстия задних и частично средних ячеек решетчатой пазухи, а в клиновидно-решетчатом углублении - отверстие клиновидной пазухи. Задние отверстия носовой полости, choanae, находятся в нижней ее части. Высота их составляет 2-3 см, а ширина - 1 -1,5 см.
Полость носа в целом может быть относительно высокой и короткой (у брахицефалов) или низкой и длинной (у долихоцефалов). У новорожденных высота полости носа небольшая. Хоаны круглой или овальной формы, размером около 0,5 см. Чаще всего у новорожденных имеются 4 раковины: нижняя, средняя, верхняя и самая верхняя. Последняя обычно подвергается редукции и у взрослых встречается редко (до 20%). Задние концы раковин оканчиваются на одном уровне. Раковины относительно толстые и расположены близко к дну и своду полости. Поэтому у новорожденных нижний ход носа обычно отсутствует и образуется лишь к 6-7 месяцам. Редко (в 30%) обнаруживается и верхний ход носа. Все три носовых хода растут наиболее интенсивно после 6 месяцев и достигают обычной формы к 13 годам. Возможны аномалии развития, касающиеся величины, формы и количества раковин.
Слизистая оболочка полости носа . Слизистая оболочка спаяна с подлежащей надкостницей и надхрящницей и покрыта многорядным призматическим мерцательным эпителием. Она содержит слизистые бокаловидные клетки и сложные альвеолярные слизисто-серозные железы. Мощно развитые венозные сплетения и артериальные сети расположены непосредственно под эпителием, что создает возможность согревания вдыхаемого воздуха. Особенно сильно развиты пещеристые сплетения раковин, plexus cavernosi concharum, повреждение которых дает очень сильные кровотечения. В раковинах слизистая оболочка особенно толстая (до 4 мм). В обонятельной области верхняя носовая раковина и частично свод полости покрыты особым обонятельным эпителием. В слизистой оболочке этой области заключены обонятельные железы, glandulae olfactoriae, выделяющие слизь, и серозные железы.
Слизистая оболочка преддверия носа является продолжением эпителиального покрова кожи и выстлана многослойным плоским эпителием. В соединительнотканном слое оболочки преддверия заложены сальные железы и корни волос.
Рентгеноанатомия полости носа . При рентгеноскопии применяют две сагиттальные проекции: носо-лобную и носо-подбородочную. На снимке хорошо видны перегородка носа, ее положение, раковины, околоносовые пазухи, а также изменения анатомических соотношений, связанные с патологическим процессом или аномалиями.
Риноскопия . У живого человека можно осмотреть образования полости носа с помощью специального зеркала - сделать риноскопию. Хорошо видны слизистая оболочка полости, имеющая у здоровых людей розовый цвет, перегородка, носовые раковины, ходы, некоторые отверстия околоносовых пазух.
Сосуды полости носа . Снабжение полости носа кровью происходит из крыло-небной артерии (из a. maxillaris), дающей a. nasalis posterior, a. nasalis lateralis и a. nasalis septi. Передний отдел полости васкуляризуется ветвями аа. ethmoidales anterior et posterior (из a. ophthalmica).
Отток крови совершается в трех направлениях: 1) в вены полости черепа - v. ophthalmica и sinus cavernosus, в передний отдел sinus sagittalis superior; 2) в лицевую вену; 3) в v. sphenopalatine, впадающую в plexus pterygoideus.
Лимфатические сосуды формируются из поверхностной и глубоких сетей и идут к заглоточным и глубоким шейным лимфатическим узлам. Лимфатические еосуды верхних отделов полости связаны с субдуральным и субарахноидальным пространствами.
Иннервация. Чувствительная иннервация полости носа осуществляется глазничным и верхнечелюстным нервами (из V пары). Автономная иннервация желез и сосудов полости носа обеспечивается: 1) симпатическими волокнами, идущими по ходу сосудов полости; 2) парасимпатическими волокнами, подходящими в составе нервов крыло-небного узла.
Анатомия и физиология носа

Наружный нос имеет форму трехгранной пирамиды. Костная часть представлена носовыми костями. Соединяясь по средней линии, они образуют спинку носа. Кнаружи от носовых костей расположены лобные отростки верхней челюсти, которые являются боковыми поверхностями наружного носа. Носовые кости, лобные отростки верхней челюсти, верхняя челюсть образуют грушевидное отверстие, к краям которого примыкают хрящевые образования. Под край носовых костей в форме крыши подходят верхние латеральные (треугольные) хрящи. В боковом направлении они переходят в фиброзную ткань, достигающую краев грушевидного отверстия. К треугольным хрящам прилежат нижние латеральные (крыльные) хрящи, которые располагаются в кончике носа и носовых крыльях. Каждый из хрящей образует две ножки: более крупная - латеральная располагается в крыле носа, более узкая - медиальная идет в кожной перегородке. Между треугольными и крыльными хрящами располагается четырехугольный хрящ перегородки носа. Наружный нос покрыт кожей. Кожа покрывает не только наружную, но и внутреннюю часть поверхности крыльев, перегородки носа и его дно.

Полость носа осуществляет связь организма с воздушной средой. Она представляет собой различного диаметра воздушный канал, окруженный костями лицевого и мозгового отделов черепа, спереди сообщающийся через носовые отверстия с внешней средой, сзади с носоглоткой. Боковая стенка полости носа представлена: носовой костью, верхней челюстью, слезной костью, решетчатой костью, небной костью, нижней носовой раковиной, крыловидным отростком основной кости. Особенностью этой стенки является наличие на ней носовых раковин: нижней, средней, верхней, которые отграничивают соответствующие носовые ходы. В нижнем носовом ходе открывается носослезный канал. Под средний носовой ход открывается соустье верхнечелюстной пазухи, передние и средние клетки решетчатой кости. В верхний носовой ход открываются задние клетки решетчатой кости и клиновидная пазуха. Дно полости носа образовано горизонтальными отростками верхней челюсти и небной кости, которые одновременно служат основой твердого неба.

Перегородка носа делит полость носа на две части. Она состоит из костной и хрящевой частей. Костная часть образована перпендикулярной пластинкой решетчатой кости и сошником. Перпендикулярная пластинка сверху спереди примыкает к лобной кости и к внутренней поверхности носовых костей, а сзади и снизу соединяется с верхним краем сошника. Между передним краем перпендикулярной пластинки и передней трети сошника входит четырехугольный хрящ. Верхний край хряща образует передний отдел спинки носа. К переднему краю четырехугольного хряща примыкает медиальная ножка большого крыльного хряща. Кожно-хрящевой, передний, отдел перегородки носа в отличие от костного является подвижным.
Полость носа выполняет следующие функции: обонятельную, дыхательную, защитную, речевую.
Обонятельная область представлена обонятельными, базальными и поддерживающими клетками. Она занимает пространство выше середины средней носовой раковины. В обонятельной области имеются трубчато-альвеолярные железы, вырабатывающие серозный секрет, который смачивает обонятельные волоски и способствует восприятию обонятельного раздражения.
Дыхательная область выстлана слизистой оболочкой, продолжающейся в околоносовые пазухи. Слизистая оболочка снабжена кавернозной тканью и слизистыми железами, расположенными преимущественно в нижней носовой раковине. Выстлана слизистая оболочка мерцательным эпителием, среди клеток которого расположены секреторные клетки. При дыхании носом главная масса воздуха направляется дугообразно вверх, оттуда спускается вниз к хоанам. При выдыхании воздух устремляется в обратном направлении по тому же пути, несколько заходя в обонятельную область Носовое дыхание, является нормальным физиологическим актом, и нарушение его вызывает различные патологические состояния всего организма. Понижается газообмен в легких, следовательно, уменьшается щелочной резерв крови. Нарушается кислородный обмен, вызывающий уменьшение количества гемоглобина и эритроцитов. Выключение носового дыхания и затруднение его отражается на работе сердца и артериальном давлении.
К защитным носовым рефлексам следует отнести: чихание, возникающее в результате раздражения окончаний тройничного нерва, грубыми взвешенными частицами, содержащимися в воздухе; слезотечение возникающее при вдыхании вредных примесей воздуха. Слеза стекает не только с конъюнктивального мешка наружу, но и через носослезный канал в полость носа, смывая тем самым вредное вещество.
Носовую полость и придаточные пазухи можно сравнить с физическими резонаторами. Звук, произведенный голосовыми связками–сложный звук. Этот звук достигает носовой полости и усиливается. Нос считается органом, участвующим в образовании тембра и окраски звука. Участие носа в речевой функции приобретает ведущее значение в произношении носовых согласных. Во время фонации мягкое небо свисает, но со стороны хоан становится открытым, в результате чего звуки речи получают носовой механизм.
IV. Полость носа.
Полость носа является начальным отделом дыхательных путей. Выделяют хрящевую часть полости носа и костную часть.
Костная часть полости носа представляет собой четырехстороннее образование без передней и частично задней стенки.
1. Снаружи полость носа ограничена грушевидной апертурой, которая образована: нижними краями носовых костей - сверху; носовой вырезкой верхней челюсти - сбоку; небными отростками верхней челюсти с передней носовой остью - снизу.
2. Сзади полость носа сообщается с глоткой при помощи хоан, которые образованы: сверху - тело клиновидной кости, снизу - горизонтальные пластинки небных костей, медиально - носовая перегородка (перпендикулярная пластинка решетчатой кости + сошник + носовой гребень верхней челюсти), латерально - медиальная пластинка крыловидного отростка клиновидной кости.
3. Стенки полости носа:
Верхняя: нижняя поверхность носовых костей + решетчатая пластинка решетчатой кости + тело клиновидной кости + носовая часть лобной кости.
Нижняя: небные отростки верхней челюсти + горизонтальные пластинки небных костей.
Медиальная: перпендикулярная пластинка решетчатой кости + сошник + носовой гребень (на небном отростке верхней челюсти и горизонтальной пластинке небной кости).
Латеральная: носовые кости + носовая поверхность лобного отростка верхней челюсти + слезная кость + ячейки, верхняя и средняя носовые раковины решетчатой кости + носовая поверхность тела верхней челюсти с верхнечелюстной (гайморовой) пазухой + нижняя носовая раковина + перпендикулярная пластинка и клиновидный отросток небной кости + медиальная пластинка крыловидного отростка клиновидной кости и тело клиновидной кости с пазухой.
Задняя стенка полости носа выявляется лишь в верхней трети и представлена телом клиновидной кости; 2/3 занимают хоаны.
В полости носа выделяют три носовые раковины: верхняя и средняя решетчатой кости и самостоятельная кость - нижняя носовая раковина. Между раковинами располагаются носовые ходы.
Верхний носовой ход: между верхней и средней носовыми раковинами.
Средний носовой ход: между средней и нижней носовыми раковинами.
Нижний носовой ход: между нижней носовой раковиной и дном полости носа.
Общий носовой ход: между носовыми раковинами и медиальной стенкой полости носа.
Верхний носовой ход:
- через решетчатую пластинку решетчатой кости с передней черепной ямкой (идут обонятельные нервы - I пара черепных нервов, а также носовые вены);
- через апертуру клиновидной пазухи с клиновидной пазухой клиновидной кости;
- через апертуры решетчатых пазух с задними ячейками решетчатой кости;
- через крыловидно-небное отверстие с крыловидно-небной ямкой (идут задние перегородочные и латеральные носовые артерии от 3-го отдела верхнечелюстной артерии, постганглионарные волокна от крыловидно-небного узла для иннервации желез слизистой полости носа).
Средний носовой ход:
- с передними и средними ячейками решетчатой кости;
- через полулунную расщелину с верхнечелюстной (гайморовой) пазухой;
- через воронкообразное углубление с лобной пазухой.
Нижний носовой ход:
- через носослезный канал с глазницей;
- через резцовый канал с полостью рта (проходят носо-небные нервы от верхнечелюстного нерва).
Анатомия полости носа
Кафедра оториноларингологии Курского государственного медицинского университета, Курск, Россия, 305005
кафедра лучевой диагностики и терапии Курского государственного медицинского университета Минздрава России, Курск, Россия, 305000
ГБОУ ВПО «Курский государственный медицинский университет» Минздрава России, ул. Сумская, 45А, Курск, Российская Федерация, 305007
ГБОУ ВПО «Курский государственный медицинский университет» Минздрава России, ул. Сумская, 45А, Курск, Российская Федерация, 305007
ГБОУ ВПО «Курский государственный медицинский университет» Минздрава России, ул. Сумская, 45А, Курск, Российская Федерация, 305007
Анатомические и морфологические особенности носа и околоносовых пазух кролика
Журнал: Российская ринология. 2015;23(3): 36‑41
Кафедра оториноларингологии Курского государственного медицинского университета, Курск, Россия, 305005
Цель исследования — изучить анатомические и морфологические особенности носа и околоносовых пазух кролика. Материал и методы. Авторами дается подробное описание анатомии полости носа и верхнечелюстной пазухи кролика, гистологическое строение различных участков слизистой оболочки. Результаты. Обоснована целесообразность использования полости носа кролика для проведения экспериментальных исследований.
Кафедра оториноларингологии Курского государственного медицинского университета, Курск, Россия, 305005
кафедра лучевой диагностики и терапии Курского государственного медицинского университета Минздрава России, Курск, Россия, 305000
ГБОУ ВПО «Курский государственный медицинский университет» Минздрава России, ул. Сумская, 45А, Курск, Российская Федерация, 305007
ГБОУ ВПО «Курский государственный медицинский университет» Минздрава России, ул. Сумская, 45А, Курск, Российская Федерация, 305007
ГБОУ ВПО «Курский государственный медицинский университет» Минздрава России, ул. Сумская, 45А, Курск, Российская Федерация, 305007
Для экспериментальной ринологии очень важным является выбор лабораторного животного. Разбросанность сведений по морфологии носа и околоносовых пазух вынуждает исследователя долго изучать литературу различных отраслей биологии (зоологии, эмбриологии, ветеринарии и т. д.). Проанализировав работы, в которых описываются анатомия и морфология носа и околоносовых пазух у различных лабораторных животных [1—5], мы пришли к выводу, что наиболее подходящим животным для выполнения экспериментальных исследований является кролик. Публикации в отечественной и зарубежной литературе также свидетельствуют о том, что авторы выполняют экспериментальные ринологические исследования на кроликах [6—16].
Цель исследования — на основе анализа имеющихся публикаций, а также полученных нами результатов исследований обстоятельно изложить анатомию и морфологию носа и околоносовых пазух кролика, чтобы облегчить работу оториноларингологам, которые будут планировать выполнение каких-либо экспериментальных ринологических исследований.
Материал и методы
Лабораторные грызуны относятся к млекопитающим-макросоматикам, нос которых характеризуется тем, что, во-первых, носовая полость отделена от ротовой; во-вторых, от первичной хоаны остается только рудимент в виде узкого стенсонова канала в небе; в-третьих, носовая полость получает выход в носоглотку через вторичные хоаны, минуя рот; в-четвертых, система раковин и параназальных полостей хорошо развита [2].
В нашем эксперименте были использованы кролики породы фландр (n=5). Все эксперименты проводились с использованием обезболивания — общего наркоза (фторотан). Эвтаназия проводилась путем воздушной эмболизации.
Результаты и обсуждение
Анатомия носа кролика. Наружный нос у кролика покрыт шерстью и нависает над раздвоенной верхней губой, с которой он связан уздечкой. От губы нос отделяют 2 косо поставленные ноздри, которые ведут в носовую полость. В области ноздрей кожа постепенно переходит в слизистую оболочку. Обнаженного от шерсти зеркальца не имеется. Ноздри поддерживаются в расширенном состоянии специальным хрящевым остовом, заложенным в крыльях носа. Остов представлен носовым хрящом, присоединенным к передней части носовой перегородки. Ход через ноздри в носовую полость у кролика сильно сужен. Носовая полость сравнительно невелика и вытянута в длину. Она разделена на 2 симметричные половины тонкой хрящевой перегородкой, задняя часть которой окостеневает также в виде 2 симметричных половин [3].
Перегородка носа в переднем отделе низкая и толстая, по направлению назад становится тоньше, выше и делит носовую полость на правую и левую половины [2]. Основу перегородки носа образует гиалиновый хрящ, являющийся продолжением перпендикулярной пластинки решетчатой кости.
Каждая половина носовой полости заполнена 3 сильно развитыми носовыми раковинами, состоящими из тончайших костных или хрящевых пластинок, покрытых слизистой оболочкой. Носовые раковины, образующие полные завитки, создают для проходящего через носовую полость воздуха систему лабиринтообразных ходов, проходя через них, холодный воздух перед попаданием в глотку и гортань согревается, а загрязненный — оставляет свою пыль. Кроме того, воздух в носовой полости увлажняется. Это дыхательная часть носовой полости. Самая большая и короткая из носовых раковин — нижняя, возникает снизу от верхнечелюстной кости и занимает почти всю переднюю половину носовой полости. Самая длинная и узкая — верхняя, возникает выше носовой кости и тянется вверх вдоль всей носовой полости. Средняя раковина короткая и широкая, возникает в задней части носовой полости от решетчатой кости и вдается в нее до нижней раковины. Между раковинами и смежными стенками носовой полости образуются ходы, из которых выделяются по своей ширине нижний — дыхательный, ведущий в хоаны, и верхний — обонятельный, ведущий в обонятельную часть. У кролика бóльшая часть носовой полости занята раковинами, нижний носоглоточный ход и ведущие в глотку хоаны развиты слабо. Таким образом, дыхательная часть носовой полости у кролика развита слабо, что объясняется его образом жизни.
Носовые раковины подразделяют каждую половину носовой полости на 4 носовых хода: дорсальный, средний, вентральный и общий.
Дорсальный носовой ход (meatus nasi dorsalis) — обонятельный, расположен между сводом носовой полости и длинной узкой дорсальной носовой раковиной, кзади ведет в лабиринт решетчатой кости.
Средний носовой ход (meatus nasi medius) — смешанный, обонятельно-дыхательный, находится между дорсальной и вентральной раковинами. Он ведет в хоаны, щели обонятельного лабиринта и сообщается с околоносовыми пазухами. Вентральная носовая раковина широкая, разделена продольной перегородкой на дорсальную и вентральную части. Дорсальная часть сообщается со средним носовым ходом, а вентральная — с вентральным ходом.
Вентральный носовой ход (meatus nasi ventrilis) — дыхательный, располагается между вентральной раковиной и дном носовой полости и ведет в хоаны.
Общий носовой ход (meatus nasi communis) — смешанный, занимает пространство между носовой перегородкой и медиальной поверхностью носовых раковин и обонятельного лабиринта. Он сообщается с 3 описанными ходами, переходит кзади в носоглоточный ход, который через хоану открывается в носоглотку.
Анатомия околоносовых пазух. Из черепных костей у кролика сохраняются только верхнечелюстные; лобные и клинонебные — редуцированы.
Верхнечелюстная пазуха (sinus maxillaries) самая обширная. Она объединяет воздушную полость верхнечелюстной пазухи и часть воздушных полостей, имеющихся в решетчатой кости. Спереди верхнечелюстная пазуха достигает уровня 3-го коренного зуба, а сзади — костного слезного пузыря. Медиально на уровне 5—6-го коренного зуба пазуха сообщается широким носочелюстным ходом со средним носовым ходом, вентрально — с небной пазухой, а дорсокаудально — с полостью слезной кости.
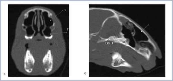
Верхнечелюстная пазуха у кролика делится на 3 широко сообщающиеся между собой полости, располагающиеся одна над другой [2]. С полостью носа верхнечелюстная пазуха сообщается через соустье, расположенное впереди решетчатой кости (рис. 1) [17].

Рис. 1. Полость носа и верхнечелюстные пазухи взрослого кролика.
На рис. 2 представлены верхнечелюстные пазухи кролика в возрасте 3 нед в различных проекциях; на рис. 3 в возрасте 6 мес. Таким образом, у кроликов уже в возрасте 3 нед определяются сформированные верхнечелюстные пазухи.

Рис. 2. Компьютерная томография околоносовых пазух кролика в возрасте 3 нед.

Рис. 3. Компьютерная томография околоносовых пазух кролика в возрасте 6 мес.
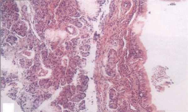
Гистология слизистой оболочки полости носа. Слизистая оболочка полости носа и околоносовых пазух кролика покрыта многорядным призматическим мерцательным эпителием, высота которого колеблется от 10 до 50 мкр. В составе мерцательного эпителия можно выделить 2 основных вида клеток: базальные и мерцательные.
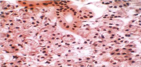
Мерцательный эпителий располагается на базальной мембране в виде пласта, незаметно переходящего в рыхлую неоформленную соединительную ткань собственного слоя слизистой оболочки (рис. 4), в толще этой ткани располагаются многочисленные железы, представленные слизистыми альвеолярными и альвеолярно-трубчатыми концевыми отделами с типичной микроскопической структурой. Альвеолярно-трубчатые концевые отделы и составляющие их клетки несколько крупнее альвеолярных и образованы эпителиоцитами с более светлой цитоплазмой. В альвеолярных железах секреторные клетки умеренно оксифильные с мелкозернистой цитоплазмой. Микроскопическая картина секреторных элементов умеренно вариабельная в зависимости от фазы секреторного цикла. Большинство железистых клеток в норме находится в фазе синтеза и накопления секреторного материала. В фазе синтеза цитоплазма клеток умеренно просветленная, преимущественно перинуклеарно заполнена оксифильными гранулами (рис. 5).

Рис. 4. Структура слизистой оболочки верхнечелюстной пазухи.

Рис. 5. Гистологическая структура желез слизистой оболочки полости носа кроликов.
Именно слизистая оболочка является объектом изучения при проведении экспериментальных исследований. Одной из последних работ, где изучались все морфологические элементы слизистой оболочки носа и околоносовых пазух, является кандидатская диссертация А.А. Калинкина [18], который изучил в экспериментальных исследованиях на кроликах влияние препарата «Cинуфорте» на секрецию желез слизистой оболочки носа и верхнечелюстной пазухи.
Таким образом, морфологическое строение слизистой оболочки в разных участках полости носа однотипно, отличается только толщиной эпителиального пласта и собственной пластинки, в которой содержится различное количество желез. Наиболее тонка слизистая оболочка верхнечелюстной пазухи и дыхательного отдела полости носа.
Обонятельный анализатор. Наименее освещенной является анатомия обонятельного анализатора кролика, хотя обоняние у кроликов развито лучше, чем зрение. Это подтверждается тем, что при подсадке к крольчихе чужих крольчат совершенно не имеет значения их цвет, так как только по запаху мать может отличить и уничтожить их. Кролик, когда движется вперед, обнюхивает все, что попадается ему на пути и постоянно держит нос кверху, улавливая постоянное изменение состояния окружающей его атмосферы. Он способен ощущать самые слабые следы окружающего его запаха.
Молекулы пахучих веществ, являющихся сигналами определенных предметов или событий во внешней среде, вместе с воздухом достигают обонятельных клеток при вдыхании их через нос (во время еды — через хоаны).
Орган обоняния расположен в верхнезаднем отделе полости, состоит из 10—12 волосков, которые реагируют на ароматические молекулы [1].
Анатомия обонятельной доли коры головного мозга. Нервная система кроликов отличается рядом существенных особенностей, многие из которых объединяются примитивными чертами. По строению и развитию нервная система кролика, в частности центральная нервная система, по сравнению с другими плацентарными находится на низкой ступени развития. Особенно бросается в глаза слабое развитие коры полушарий большого мозга и отсутствие на ней борозд и извилин.
Центральная нервная система состоит из головного мозга, расположенного в черепной полости, и спинного мозга в виде толстого шнура, проходящего по позвоночному каналу.
Таким образом, наиболее существенными особенностями головного мозга кролика являются следующие:
1) полушария большого мозга малы и продольная щель между ними мелка;
2) плащ большого мозга слабо развит, извилины и борозды почти не выражены;
3) большой мозг сильно сужен и заострен треугольником кпереди;
4) спереди большой мозг резко вытянут вперед в виде очень больших и обособленных обонятельных луковиц;
5) гипофиз сравнительно слабо развит;
6) мозжечок не имеет компактной формы и уплощен спереди назад, в нем резко выделяются отставленные в стороны небольшие полушария, содержащие по бокам так называемые клочки;
7) варолиев мост слабо обозначен [3].
От нижней поверхности передней части полушарий отходит, направляясь вперед, пара удлиненно округлых выростов — это обонятельные доли. Они связаны, как это можно заметить на свежем мозге, тяжем из белых нервных волокон с височными долями своей стороны. В свою очередь от передней и нижней поверхностей обонятельных долей отходят обонятельные нервы. Рассмотреть их очень трудно, так как они отходят в большом количестве в виде тончайших нитей. По выходе из мозга обонятельные нервы проходят через многочисленные отверстия перегородки, отделяющей черепную коробку от носовой полости. Обонятельные нервы считаются I парой головных нервов. Раздвинув сверху большие полушария, можно увидеть, что они соединяются друг с другом на средней трети своей длины поперечным тяжем белого цвета, так называемым мозолистым телом.
Заключение
Проведенный нами анализ отечественных и зарубежных публикаций подтвердил, что наиболее удобным животным для проведения экспериментальных ринологических исследований является кролик. Представленные нами данные по анатомии полости носа и околоносовых пазух, гистологическому строению слизистой оболочки, безусловно, будут полезны для оториноларингологов, планирующих выполнять экспериментальные исследования по проблемам ринологии.
Экскурс в анатомию и физиологию носа и околоносовых пазух
Человеку свойственно два типа дыхания: носовое и ротовое. При этом более физиологичным для организма является носовое дыхание. Существует такое понятие как носовое сопротивление. Это физиологическое сопротивление внутриносовых структур воздушной струе при прохождении ее через полость носа.
В нормальных условиях носовое сопротивление дает возможность создать отрицательное давление в грудной полости, что способствует более широкому открытию нижних дыхательных путей и способствует улучшению кровотока в сердечной мышце.
16 июля 2016
Нормальное носовое сопротивление человек не замечает. За сутки человек «фильтрует» через нос до 10.000 литров атмосферного воздуха, совершая в среднем 24.000 дыхательных движений. В полости носа воздух очищается и подготавливается для усвоения из его состава кислорода. Турбулентное движение воздуха в полости носа создает лучшие условия его контакта с поверхностью слизистой оболочки. До 90% взвешенных в воздухе веществ оседает в полости носа на слизи и уходит в желудок, где обезвреживается соляной кислотой желудочного сока. В полости носа воздух согревается. При вдыхании воздуха температурой минус 15 градусов в носоглотке воздух имеет температуру плюс 25 градусов. Воздух насыщается водяным паром из слизи, что очень важно для полноценного усвоения кислорода в легких. При нарастании носового сопротивления человек ощущает недостаток кислорода и он переходит на ротовое дыхание. Низкое носовое сопротивление не создает нормального отрицательного давление в грудной клетке, не способствует возникновению рефлексов со стороны слизистой оболочки полости носа, что оценивается человеком также как недостаточность дыхания.
Носовое сопротивление зависит от состояния ряда внутриносовых структур. Самым узким местом, определяющим степень носового сопротивления, является область входа в нос у переднего конца нижней носовой раковины. Эта область называется носовым клапаном. Его форма, размер, величина угла влияют также и на аэродинамику в полости носа. Полость носа имеет сложное анатомическое строение. На ее боковых стенках имеются по три образования, называемые раковинами носа. Наличие раковин существенно увеличивает площадь полости носа, что способствует лучшему согреванию и увлажнению воздуха. В слизистой оболочке носовых раковин имеются специальные полости, наполненные кровью. Они называются пещеристыми телами. Задержка крови в пещеристых венозных сплетениях ведет к набуханию нижних носовых раковин и увеличению сопротивления воздушному потоку вплоть до полного закрытия носовых ходов. Кровенаполнение пещеристых тел зависит от многих факторов, в том числе от температуры окружающего воздуха, запыленности воздуха, наличия воспаления. Регуляция кровенаполнения осуществляется вегетативной нервной системой.
Воздушный поток, проходящий через обе половины носа асимметричен. У большинства здоровых людей отмечается циклическое изменение сопротивления воздушному потоку, проходящему через левую и правую половины носа, однако суммарное сопротивление остается постоянным. Периодическое изменение степени носового сопротивления называется носовым циклом. Чередующиеся изменения воздушного потока в обеих половинах носа могут быть объяснены необходимостью отдыха для восстановления слизистой оболочки носа от микротравм и функциональных перегрузок при контакте с окружающей средой.
Носовой цикл для каждого человека индивидуален. Кровенаполнение раковин меняется каждые 3-6 часов, но здоровый человек этого не замечает. При вазомоторном рините человек замечает перемену кровенаполнения раковин. В положении лежа на боку нижняя половина носа закрывается. Это связано с нарушением тонуса вегетативной нервной системы.
Физиологический носовой цикл возможен только в том случае, если анатомические структуры, образующие просвет обеих половин носа, симметричны, а перегородка носа не имеет выраженной деформации и расположена по средней линии. В случае аномалий развития внутриносовых структур, ведущих к асимметрии просвета обеих половин носа, на стороне сужения постоянно создается высокая степень сопротивления воздушному потоку, а скорость воздушной струи нарастает. В этом случае основная масса воздуха идет через более широкую половину носа. Циклические изменения сопротивления нарушаются. В связи с постоянной функциональной перегрузкой через несколько лет в более широкой половине носа развивается хронический ринит, приводящий к увеличению нижней носовой раковины и постоянно высокому сопротивлению воздушному потоку уже в двух половинах полости носа, что проявляется стойким затруднением носового дыхания.

Таким образом, перегородка, разделяя полость носа на две половины, создает парность органа. Регулируясь носовым циклом, эти органы (половины носа) функционируют с полной нагрузкой попеременно, периодически отдыхая. Полноценный отдых возможен только при правильном положении перегородки.
Субъективные ощущения, возникающие при прохождении воздушной струи через полость носа, очень важны для комфорта человека. Они возникают в результате раздражения чувствительных окончаний тройничного нерва в слизистой оболочке носа во время дыхания. Анестезия или повреждение нервных рецепторов вызывает ощущение закрытия носа, поэтому больные с атрофическим ринитом часто жалуются на заложенность носа, хотя сопротивление воздушной струе у них очень низкое. Подобное ощущение возникает при синдроме «пустого носа», когда многочисленными операциями в полости носа удалены носовые раковины и создан черезмерно большой просвет полости носа.
Состояние внутриносовых структур влияет на вентиляцию как в полости носа, так и в околоносовых пазухах. При нормальной аэродинамике воздушный поток в полости носа в районе носового клапана делает круговое движение. Затем поднимается вверх по общему носовому ходу на уровне средней носовой раковины и опускается вниз в носоглотку. Возникшее вначале вдоха отрицательное давление в полости носа вызывает отток воздуха из полостей околоносовых пазух в полость носа и эта порция воздуха, очищенная, согретая и увлажненная, идет в наиболее глубокие отделы легких. При выдохе, порция воздуха, которая вошла в полость носа и частично согрелась, увлажнилась и очистилась, поступает в околоносовые пазухи.
Воздухообмен полости носа и околоносовых пазух имеет большое значение и должен происходить постоянно. Прекращение вентиляции, блок околоносовых пазух вызывает воспаление слизистой оболочки пазух.
При искривлении носовой перегородки, шипах и гребнях изменяется направление воздушной струи. От бугра перегородки воздушная струя направляется в средний носовой ход, что вызывает постепенное увеличение переднего конца раковины и блок пазух. Отражаясь от гребня на уровне задних отделов среднего носового хода, воздушная струя вызывает атрофию слизистой оболочки и формирование дополнительного соустья. Дополнительное соустье создает условия рециркуляции слизи и возникновения воспаления в пазухе. Нередко в этом случае формируется в пазухе кисты и хоанальный полип.
Слизистая оболочка полости носа покрыта мерцательным эпителием. Клетки мерцательного эпителия имеют ворсинки, которые постоянно находятся в движении и перемещают слизь по поверхности слизистой оболочки в сторону носоглотки. Постоянное движение ресничек защищает слизистую оболочку от вирусов и бактерий. Остановка работы мерцательного эпителия всегда приводит к воспалению. Поверхность слизистой оболочки всегда влажная. Она покрыта слизью, которая вырабатывается различными железами. Слизь содержит много биологически активных веществ, которые защищают слизистую оболочку. При нормальной работе мерцательного эпителия бактерии и вирусы, оседающие на его поверхности из воздуха, уничтожаются биологически активными веществами и со слизью проглатываются в желудок. Нормальная работа клеток мерцательного эпителия не дает возможности вирусам и бактериям вступить в контакт с клетками организма. Мерцательный эпителий и слизь является первой линией защиты слизистой оболочки. Мерцательные движения находятся в зависимости от факторов внешней среды. Они могут ускорять или полностью тормозить мерцательные движения, но не изменять направление движения.
Большое значение слизистой оболочки и для формирования иммунитета. На воздействие содержащихся в воздухе вирусов и бактерии, различные клетки слизистой оболочки носа и всего организма формируют местный и общий иммунитет.
Таким образом, нос имеет сложное анатомическое строение, ему присущи важные для организма функции и нет ненужных элементов в строении носа.
Читайте также:
