Артрографическая, МРТ анатомия коленного сустава
Добавил пользователь Евгений Кузнецов Обновлено: 13.12.2025
МРТ – высокоточное неинвазивное исследование, основанное на явлении магнитного резонанса.
Его суть состоит в том, что ядра химических элементов в любых тканях организма можно представить как быстро вращающиеся вокруг своей оси магниты. Если эти ядра поместить во внешнее магнитное поле, то их оси вращения смещаются, поглощая при этом часть энергии радиоволны (эффект резонанса). После прекращения действия внешнего поля ядра атомов принимают исходное положение (релаксируют). Накопленная при этом энергия высвобождается в виде электромагнитных колебаний, которые можно зафиксировать специальной аппаратурой.
В медицинских томографах регистрируют резонанс протонов водорода, входящих в состав молекулы воды. В силу того, что этот метод очень чувствителен даже к незначительным изменениям концентрации водорода, он дает возможность не только визуализировать ткани, но и отличать их нормальное строение от патологии.
Как делают МРТ коленного сустава
Обследуя коленный сустав, важно учитывать то, что он имеет очень сложное строение, включающее:
- эпифизы бедренной и большеберцовой костей;
- мышцы, крепящиеся в области сочленения;
- сухожилия и связки, обеспечивающие движения в суставе;
- мениски и хрящевые поверхности;
- синовиальную жидкость.

Строение коленного сустава, вид спереди
Для установления причины нарушения работы сустава необходимо тщательно изучить состояние всех этих тканей. Даже самое незначительное повреждение любой из них может существенно повлиять на функцию всей нижней конечности.
МРТ точно визуализирует все степени изменения хряща от отека до истончения, разволокнения и растрескивания. Оценивается состояние подхрящевой костной ткани, изменения в менисках, воспаление синовиальной оболочки и так далее.
Возможен расчет общего объема пораженного хряща и измененных участков кости, оценивается состояние крестообразных связок.
МРТ коленного сустава – показания
Одна из основных причин ограничения трудоспособности активной части людей – заболевания суставов. Популяризация сложных видов спорта приводит к увеличению количества травм и ортопедических проблем, которые возникают уже в молодом возрасте. Поэтому так важно, чтобы их диагностика была безопасной, точной и как можно более ранней.
Этим требованиям полностью отвечает метод магнитно-резонансной томографии.
Обычно МРТ делают после консультации с врачом-ортопедом, который проводит специальные тесты и ставит предварительный диагноз. Чаще всего томограмму рекомендуют в следующих случаях:
- травматические повреждения;
- подготовка к оперативному вмешательству;
- признаки воспаления сустава;
- подозрение на дистрофические изменения;
- врожденные аномалии развития;
- необходимость исключить опухоли, метастазы;
- сомнительные данные, полученные при проведении УЗИ, КТ или рентгенографии.
Наиболее распространенной формой суставной патологии является остеоартоз. Это заболевание, при котором в патологический процесс вовлекается весь сустав, включая подхрящевой участок кости, капсулу, связки, синовиальную оболочку, околосуставные мышцы.
Гонартроз
Это остеоартроз коленного сустава. Болезнь обычно развивается так незаметно, что пациент затрудняется указать давность заболевания. Отмечаются периодический хруст при сгибании, эпизодические тупые боли после выраженной и длительной нагрузки на сустав, которые быстро проходят после её прекращения. Постепенно их интенсивность усиливается, плохо переносится уже любая нагрузка, боли могут появляться ночью.
Клинические проявления гонартроза начинаются обычно в старшем возрасте, после 40-50 лет, у женщин чаще во время менопаузы. Он может быть:
- Первичный – дегенерация изначально интактных суставных поверхностей. Обычно связан с чрезмерной перегрузкой колена.
- Вторичный – патология развивается после травмы, воспаления, сосудистых или метаболических нарушений.
В ряде случаях имеется сочетание сразу нескольких этиологических факторов. Поэтому основная причина – несоответствие между нагрузкой и возможностью сустава ее выдержать.
Изменения хряща при остеоартрозе аналогичны тем, которые происходят вследствие старения. В их основе находится изменение процессов обмена веществ в суставном хряще и уменьшение содержания главного его компонента – протеогликанов. Снижение их количества приводит к усыханию и дегенерации хрящевой ткани.
Но при возрастных процессах дегенерация развивается очень постепенно и не приводит к выраженным нарушениям структуры близлежащих тканей. В случае остеоартроза патология прогрессирует гораздо быстрее, имеет начало в более раннем возрасте, сочетается с изменением суставных поверхностей костей и синовиокапсульного аппарата. Это позволяет отличать гонартроз от старческих изменений и выделять его в самостоятельное заболевание.
На МРТ хорошо прослеживаются все стадии этого процесса. На томограмме определяется выпот синовиальной жидкости и подхрящевая костная киста при остеоартрозе коленного сустава.
Сначала появляется неровность поверхности хряща, так как он теряет свою упругость и эластичность. Далее он становится менее компактным, разделяется на отдельные волокна, обнажая участок подлежащей кости. От хряща могут отделяться фрагменты, которые попадают внутрь сустава, это явление называют «суставные мыши». В случае их попадания и сдавления между суставными поверхностями у человека возникает внезапная острая боль. При каком-то определенном смещении в колене «суставная мышь» изменяет своё положение и боль заканчивается так же внезапно, как началась.

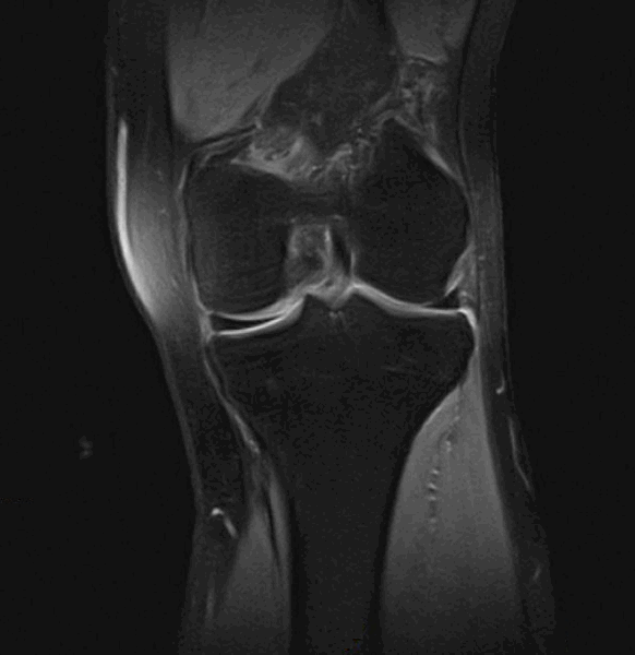
Фронтальный срез МРТ коленного сустава
Все эти изменения наиболее выражены в средней части суставной поверхности, так как она сильнее нагружена. Уменьшение эластичности хряща приводит к тому, что он уже не защищает подлежащую кость, формируется остеосклероз. Также возможно появление кист, которые вскрываются, образуя костные эрозии. На боковых участках суставных поверхностей хрящ компенсаторно разрастается и замещается костной тканью – образуются остеофиты.
При отсутствии своевременного лечения в дальнейшем происходит фиброзное изменение синовиальной оболочки и капсулы сустава, что существенно ограничивает его функцию.
Ювенильный идиопатический артрит
Это хроническое воспалительное заболевание, развивается у детей в возрасте до 16 лет.
Сопровождается поражением суставов, часто именно коленных. Может приводить к необратимому разрушению хряща и подхрящевого отдела кости, вплоть до последующей инвалидизации.
Эффективность лечения напрямую зависит от возможности ранней диагностики (до того, как сформируются костные эрозии) и правильной оценки степени активности процесса.
Важная особенность этой болезни заключается в том, что около 70% больных с ранним ювенильным артритом не имеют видимых изменений на рентгенограммах. То есть если у ребенка болит колено без видимых изменений на обычном рентгене, лучше не откладывать и сделать МРТ, а не надеяться, что это пройдет само со временем. Иначе можно упустить время, необходимое для того, чтобы остановить процесс.
В данном случае преимущество МРТ в том, что она дает возможность оценить состояние синовиальной оболочки. Чаще всего – это признаки синовиита в виде наличия жидкости в полости сустава, утолщение синовиальной оболочки.
Важным является то, что на основании анализа толщины синовиальной оболочки и объема выпота можно отличить активный процесс от стадии ремиссии. Это кардинально меняет тактику лечения.
Киста Бейкера
На начальной стадии видна только на МРТ. При прогрессировании может определяться визуально как округлое плотное образование в подколенной области. На этом этапе она уже может вызывать боль при физических нагрузках и дискомфорт при сгибании ноги в колене.

МРТ коленного сустава показывает наличие кисты Бейкера в подколенной ямке (обозначена стрелкой)
Возможно ее обратное развитие вплоть до полного исчезновения, но при условии своевременной диагностики и лечения. При длительном её существовании содержимое кисты затвердевает, формируется спаечный процесс. Возможен ее разрыв, приводящий к появлению острых болей, отеку в подколенной ямке и области голени. В таком случае особое значение приобретает МРТ, которая дает возможность провести дифдиагностику с другими патологиями.
Противопоказания к МРТ коленного сустава
Основные ограничения связаны с наличием в организме несъемных металлических конструкций и инородных тел.
Основываясь на их свойствах, различают:
- Ферромагнетики. Они обладают собственной намагниченностью и, попадая в мощное внешнее магнитное поле, могут вести себя непредсказуемо. К ним относится железо, никель, кобальт, некоторые сплавы. Проведение МРТ при их наличии в теле запрещено.
- Парамагнетики. При отсутствии внешнего магнитного поля не обладают магнитными свойствами. Например, титан, платина. Опасности они не представляют, но могут создавать помехи, если находятся в зоне исследования.
Окончательное решение принимает врач после изучения документов, описывающих состав изделия.
Абсолютным противопоказанием для проведения МРТ является:
- наличие электронных устройств – кардиостимулятор, кохлеарный имплант, инсулиновая помпа и другие;
- первый триместр беременности;
- выраженная клаустрофобия.
Наш медицинский центр не обследует детей в возрасте младше 5 лет, родителям нужно обращаться в специализированное детское учреждение для выполнения МРТ коленного сустава под наркозом. При весе более 150 кг выполнение МРТ коленного сустава также затруднено из-за конструктивных особенностей томографа.
Подготовка к МРТ коленного сустава
Особенной подготовки не требуется, попасть на процедуру томографии в нашем медицинском центре можно уже в день записи.
Перед тем, как приступить к томографии, вас попросят снять все аксессуары и элементы одежды, содержащие металл, убрать банковские и другие магнитные карты.
Обязательно нужно предоставить врачу вашу историю болезни и результаты исследований, сделанных ранее. Это позволит уделить особое внимание спорным моментам, выбрать оптимальный протокол проведения процедуры.
Сколько по времени делается МРТ коленного сустава
Исследование занимает около 20 минут. Пациента укладывают на подвижный стол, который перемещается внутри магнита. Врач на момент процедуры находится в соседнем кабинете, но может поддерживать контакт через переговорное устройство, наблюдать за пациентом по монитору.
Внутри томографа создается комфортная температура и освещение. Для лучшей релаксации предлагаются наушники с приятной музыкой. Сразу после обследования можно возвращаться к привычному ритму жизни.
Расшифровка МРТ коленного сустава
Описанием снимков в медицинском центре “ДиМагнит” занимаются врачи с опытом работы более 7 лет. Наши врачи специализируются именно на МРТ-диагностике, поэтому их заключениям можно доверять.
Методика МРТ может выявить самые ранние изменения различных структур сустава. Например, она незаменима при оценке состояния менисков. Степени их изменения на МРТ:
- 0 степень – нормальное состояние мениска;
- I степень – в теле мениска есть очаговый сигнал усиленной интенсивности, который еще не доходит до края мениска;
- II степень – появление в мениске линейного сигнала усиленной интенсивности, не доходящего до его краев;
- III степень – сигнал усиленной интенсивности достигает крайней части мениска.
О разрыве мениска говорят только изменения III степени.

На снимке – разрыв крестообразной связки и мениска вследствие травмы колена
Для диагностики важна еще и форма мениска. В норме он в определенной плоскости имеет форму бабочки. Любые отклонения могут указывать на возможный разрыв.
Повреждение мениска нередко обнаруживается на МРТ на этапе отсутствия у человека существенных жалоб, такие случаи нередки у возрастных пациентов.
МРТ или КТ коленного сустава – что лучше?
Эти два метода исследования принципиально различаются тем, что при КТ используется рентгеновское излучение, а при МРТ – безопасное магнитное поле. Из-за наличия лучевой нагрузки врачи рекомендуют не проводить КТ чаще, чем 2 раза в год. Количество сеансов МРТ не ограничивается.
Начальные изменения мягких тканей на КТ могут не отображаться, поэтому диагностика ранних этапов патологии ненадежна. В этом случае более информативна МРТ, которая дает возможность выявить болезнь на самой начальной стадии.
Только магнитно-резонансное обследование может визуализировать сосуды, которые не видны на КТ.
В особо сложных случаях для уточнения диагноза пациентам предлагается артроскопия. Это эндоскопическая операция, которая проводится как с диагностической, так и с лечебной целью. Требует особой подготовки и реабилитации. Только МРТ позволяет с высокой точностью определить, насколько необходимо артроскопическое вмешательство на коленном суставе.
Точная и своевременная диагностика позволяет сократить сроки лечения, выбрать оптимальный подход и существенно улучшить качество жизни пациента.
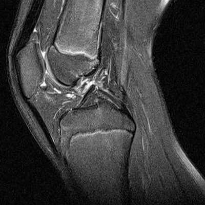
Артрографическая, МРТ анатомия коленного сустава
Артрографическая, МРТ анатомия коленного сустава
а) Краткий обзор:
• Мениски: выполняют амортизирующую, смазывающую и стабилизирующую функции:
о Состоят из фиброзно-хрящевой ткани, имеют треугольное сечение
о Васкуляризирована лишь периферическая треть
о В каждом мениске выделяют передний рог, тело и задний рог:
- Корни мениска: центральные части переднего и заднего рогов, прикрепляющиеся к большеберцовой кости
о Между передними рогами проходит поперечная связка
о Медиальный мениск: задний рог крупнее переднего:
- Плотно спаян с медиальной частью капсулы сустава; возле мениска имеется небольшой заворот синовиальной сумки
о Латеральный мениск: задний и передний рога одинакового размера:
- Связан с капсулой сустава неплотно, что позволяет выполнять ротационные движения; возле мениска имеется крупный заворот синовиальной сумки
- Около заднего рога проходит сухожилие подколенной мышцы; от влагалища сухожилия подколенной мышцы к заднему рогу отходят подколенно-менисковые пучки волокон
• Крестообразные связки:
о Располагаются внутри сустава, но вне синовиальной оболочки
о Передняя крестообразная связка (ПКС):
- Препятствует смещению большеберцовой кости кпереди
- Отходит от заднелатеральной части межмыщелковой вырезки, направляется кпереди и медиально, прикрепляется к межмыщелковому возвышению и его медиальному бугорку
- Два пучка: переднемедиальный и заднелатеральный
о Задняя крестообразная связка (ЗКС):
- Препятствует смещению большеберцовой кости кзади
- Отходит от медиальной поверхности межмыщелковой вырезки, направляется назад и латерально, прикрепляется за пределами сустава к кортикальному слою задней части проксимального отдела большеберцовой кости
- Два пучка: переднелатеральный и заднемедиальный
• Мениско-бедренные связки: отходят от заднего рога латерального мениска к медиальному мыщелку бедренной кости:
о Связка Хамфри: проходит кпереди от ЗКС
о Связка Врисберга: проходит кзади от ЗКС
• Медиальная коллатеральная связка:
о Поверхностный пучок: толстый, отходит от мыщелка бедренной кости к проксимальному отделу большеберцовой кости
о Глубокий пучок: мениско-бедренная (коронарная) и мениско-большеберцовая связки
о Препятствуют вальгизирующей нагрузке
• Латеральный коллатеральный комплекс связок:
о Подвздошно-большеберцовый тракт: является дистальным ответвлением напрягателя широкой фасции бедра, прикрепляется к бугорку Жерди на переднелатеральной поверхности большеберцовой кости
о Малоберцовая коллатеральная связка (МКС): соединяет мыщелок бедренной кости и малоберцовую кость
о Двуглавая мышца бедра: несколько точек прикрепления к малоберцовой и большеберцовой костям
о Заднелатеральный угол: МКС, двуглавая мышца бедра, подколенная мышца; фабелло-малоберцовая (Каплана)/дугообразная/подколенно-малоберцовая связки
• Механизм разгибания:
о Сухожилие четырехглавой мышцы бедра:
- Прикрепляется к передневерхнему краю надколенника
о Сухожилие надколенника:
- Является продолжением сухожилия четырехглавой мышцы бедра, соединяет передненижний край надколенника и бугристость большеберцовой кости
о Надколенник:
- Медиальная и латеральная суставные поверхности, разделенные срединным гребнем (верхушка)
о Жировое тело Гоффа: васкуляризированная жировая прослойка треугольной формы кзади от сухожилия надколенника
• Гиалиновые хрящевые поверхности:
о Надколенно-бедренные:
- Хрящ надколенника является наиболее толстым хрящом в организме человека; его толщина может достигать 7 мм
- Раздвоенный надколенник: верхнелатеральная добавочная кость, интактный хрящ в месте соединения с надколенником
- Сочленяется с клиновидной бороздой блока бедренной кости
о Медиальный большеберцово-бедренный компартмент:
- Медиальный край хряща в норме тоньше, чем латеральный
- Хрящ истончается по мере приближения к бугоркам межмыщелкового возвышения, периферическим отделам и по направлению кпереди
о Латеральный большеберцово-бедренный компартмент:
- Хрящ истончается в области терминальной борозды (граница между большеберцово-бедренным и надколенно-бедренным компартментами)
• Капсула сустава, завороты:
о Наднадколенниковый заворот: крупный заворот, свободно сообщается с остальной частью суставной полости
о Околоменисковые завороты: латеральный > медиального
о Влагалище сухожилия подколенной мышцы: сообщается с суставом
о Капсула может достигать места отхождения медиальной/ла-теральной головок икроножной мышцы или проходить через нее
о Подколенная киста (киста Бейкера):
- Проникновение жидкости через слабое место в капсуле между сухожилием полуперепончатой мышцы и медиальной головкой икроножной мышцы
о Складки: остатки тканей между формирующимися отделами сустава:
- Наднадколенниковая складка: изгибается в наднадколен-никовом завороте с медиальной стороны в латеральную (патологические изменения проявляются редко)
- Медиальная надколенниковая складка: проходит вертикально в медиальном надколенно-бедренном завороте (может являться причиной появления щелчка при сгибании/разгибании и изнашивания хряща в медиальном отделе бедренно-надколенного сочленения)
- Поднадколенниковая складка: отходит поблизости от ПКС к жировому телу Гоффа; проходит параллельно ПКС
• Внесуставные сумки:
о Преднадколенниковая сумка: кпереди от надколенника
о Поднадколенниковая сумка: в толще жирового тела Гоффа, прилежит к бугристости большеберцовой кости, располагается глубже сухожилия надколенника
б) Ошибки интерпретации:
• Область прикрепления связок к менискам может быть принята за разрыв:
о Поперечная связка: прикрепляется к передним рогам обоих менисков
о Мениско-бедренная связка: прикрепляется к заднему рогу латерального мениска
• Влагалище сухожилия подколенной мышцы может быть принята за разрыв заднего рога латерального мениска
• У молодых пациентов васкуляризация менисков в норме может проявляться гиперинтенсивным сигналом при МРТ
• Передний рог латерального мениска в области прикрепления делится на пучки волокон, что на сагиттальных срезах может напоминать разрыв
МРТ суставов

МРТ суставов — это современное, высокоинформативное и точное диагностическое исследование, позволяющее одновременно просмотреть костные, хрящевые и мягкотканные конструкции суставов. Диагностировать состояние связочного аппарата, жировой ткани, полости сустава, МРТ позволяет без инвазивного, травматичного проникновения внутрь исследуемой области. Качество изображения, получаемое при МРТ суставов, которое гораздо выше, чем при УЗИ или рентгенографии, позволяет увидеть патологические изменения на самых ранних стадиях, а значит, начать своевременное лечение для предотвращения болезни.
Самыми сложными для диагностики травматических изменений являются коленный и плечевой суставы, так как их строение объединяет много важных внешних и внутрисуставных структур. Обычный метод рентгенографии дает представление о состоянии костей, их форме, размере, соотношении костей внутри сустава, суставной щели, но он абсолютно не информативен для просмотра мягких тканей. Чтобы исключить возможность кровоизлияния внутри сустава после ушиба мягких тканей, применяют такие методы диагностики, как прямая МР артрография и непрямая МР артрография.
- При прямой МР артрографии контрастное вещество вводится в суставную щель, но это исследование инвазивное и достаточно болезненное.
- Непрямая МР артрография представляет собой стандартное МРТ исследование с применением контрастного вещества внутривенно. Это исследование более гуманно и не менее информативно, правда, технологией проведения таких исследований владеют, как правило, врачи МРТ специализированных клиник.
![]()
Как проходит процедура.
МРТ суставов проходит лежа с применением специальных датчиков в виде катушек, на каждый сустав - своя катушка. При магнитно-резонансной томографии не выявлено каких-либо побочных эффектов для здоровья, поэтому исследование можно проводить многократно. Продолжительность процедуры в среднем составляет 20-40 минут.
В медицинском центре «Гарантия» каждое МРТ заключение проходит трехуровневый контроль качества - каждый случай курируют три специалиста: МРТ оператор, рентгенолог и врач МРТ. Снимок и диск с записью исследования пациент получает сразу после процедуры. Полное заключение с описанием исследованной области готово на следующий день. Забрать заключение можно, обратившись за ним непосредственно в медицинский центр или попросив администратора переслать его по электронной почте.
Для чего применяется МРТ диагностика суставов.
- Профилактическое обследование.
МРТ суставов позволяет выявить дегенеративные изменения суставов на ранних стадиях, артриты, небольшие разрывы сухожилий, связок и мышц, повреждения суставных поверхностей, а также переломы, не диагностируемые при рентгенографии.
Магнитно-резонансная томография суставов назначается при планировании операций на суставах, для послеоперационного наблюдения оперированного сустава. Порой только МРТ суставов позволяет поставить правильный диагноз и выработать тактику лечения заболевания.
Томография костей и суставов позволяет выявить на начальной стадии развития:
- воспалительный процесс в суставе и окружающих мягких тканях;
- внутрикостные патологические изменения;
- опухоли и другие образования;
- дегенеративные изменения.
Преимущества МРТ суставов:
- Самая высокая информативность.
- Отсутствие побочных явлений.
- Возможность выявления поражений в тканях сустава на различных уровнях и стадиях, в том числе и онкологические процессы.
- Максимальная детализация и возможность измерений объектов обследования до миллиметра.
- Возможность получить 3D и 4D изображения.
- Возможность повторного обследования в короткие сроки без вреда для здоровья.
- Терапевтический эффект при проведении МРТ обследования. Отмечается благотворный лечащий и обезболивающий эффект магнитного поля.

Показания к проведению МРТ суставов:
- травмы костей, суставов, связочного и другого хрящевого аппарата суставов.
- инфекционные, деструктивные и воспалительные заболевания костей, суставов и мягких тканей.
- дегенеративные поражения суставов.
- поражения суставов позвоночника.
- острые и хронические артриты.
- онкология костей и мягких тканей.
Пройдите МРТ суставов на Бору в Центре современных медицинских технологий «Гарантия».
Сделать МРТ суставов на Бору вы можете в отделении магнитно-резонансной томографии медицинского центра «Гарантия» по адресу: г.Бор, Стеклозаводское шоссе, территория ОАО «ЭйДжиСи БСЗ», здание поликлиники.
Режим работы: Пн-Пт с 7:30 до 20:00, Сб 8:00 до 20:00, Вс 8:00 до 17:00.
Записаться на прием вы можете позвонив по телефону 8 (83159) 9-22-10 или оставив заявку на сайте.
Основные обследования в направлении магнитно-резонансной томографии суставов:
Артрографическая, МРТ анатомия коленного сустава

ГБУЗ НО «Клинический диагностический центр» в конце декабря 2012 года в рамках программы модернизации здравоохранения был оснащен новым магнитно-резонансным томографом Optima MR360 от GE Healthcareс напряженностью магнитного поля 1,5 Тесла. Это высокотехнологичный прибор, отвечающей повышенным требованиям современной медицины.
Магнитно-резонансная томография (МРТ) – метод исследования внутренних органов и тканей с использованием физического явления ядерного магнитного резонанса атомов водорода. Водород является составляющей всех тканей человеческого тела. В ядре водорода присутствует одна положительно заряженная частица. Когда эта частица попадает в сильное магнитное поле, она начинает двигаться. По окончании воздействия движение прекращается, и частица выделяет энергию расслабления. Эту энергию и фиксирует прибор.
Этот метод исследования появился сравнительно недавно, но уже успел завоевать доверие врачей и пациентов. МРТ позволяет проводить исследование в любых плоскостях с учетом анатомических особенностей тела пациента, а при необходимости – получать трехмерные изображения для точной оценки взаиморасположения различных структур. МРТ обладает высокой мягкотканной контрастностью и позволяет выявлять и характеризовать патологические процессы, развивающиеся в различных органах и тканях тела человека. Более того, МРТ является единственным методом неинвазивной диагностики, обладающим высокой чувствительностью и специфичностью при выявлении отека и инфильтрации костной ткани.
Проведение МР-обследования
Спектр обследований, выполнение которых возможно на конкретном МР-томографе, определяется как техническими характеристиками аппарата, так и набором радиочастотных (РЧ) катушек, или специализированных “датчиков” для различных анатомических областей, а также программным обеспечением прибора. Существуют РЧ-катушки для исследования головного мозга, позвоночника, сосудов шеи, молочных желез, коленного сустава, плечевого сустава, эндокавитарные датчики и многие другие. МРТ исследования совершенно безболезненны и очень комфортны. Во время процедуры пациент не испытывает никаких неприятных ощущений, а при боязни замкнутого пространства рядом может находиться врач или близкий человек. Важным преимуществом является возможность получения снимков в электронном виде с последующей их обработкой на любом персональном компьютере. Пациент получает паспорт состояния его органов на данный момент времени, а это крайне необходимо при появлении изменений в последующие годы жизни.
- МРТ позволяет получать изображения высокой четкости.
- Томограф Optima MR360, позволяет методом сканирования получить томограммы в произвольно ориентированной плоскости без изменения положения пациента, что для него очень удобно.
- Время нахождения пациента в томографе зависит от поставленной диагностической задачи, и составляет в среднем всего от 10 до 40 мин.
- При МРТ-исследовании не используются радиоактивные излучения, опасные для здоровья, поэтому метод МРТ абсолютно безвреден и позволяет проводить диагностику заболеваний как у взрослых, так и у детей.
- Магнитное поле и радиоволны, применяемые при МРТ, являются абсолютно безвредными для человеческого организма.

Однако, сильное магнитное поле МР-системы притягивает железосодержащие (не титановые) предметы и может быть причиной их внезапного перемещения с высокой скоростью. Сильное магнитное поле томографа может привлечь железосодержащие предметы и в теле пациента. В подобных случаях есть риск нагревания и смещения этих предметов. Кроме этого, металлические предметы могут быть и причиной искажения изображения, что может привести к неправильным выводам на основе полученной информации. Магнитное поле может также нарушить работу имплантированных электронных приборов. В их числе слуховой аппарат, водители ритма сердца.
МР-контрастирование.
На заре развития МРТ предполагалось, что потребность в создании МР-контрастных препаратов не возникнет. Однако исследовательские работы в этой области шли, и постепенно стало очевидным, что точность диагностики может быть существенно повышена при использовании внутривенного контрастного усиления. Более того, многие патологические процессы (например, мелкие опухоли) зачастую не выявляются без внутривенного контрастирования. Побочные реакции на контрастные препараты возникают крайне редко (менее 1% случаев) и обычно имеют легкую степень выраженности (тошнота, головная боль, жжение в месте инъекции, головокружение, сыпь). При почечной недостаточности частота побочных эффектов не увеличивается. Введение МР-контрастных препаратов при беременности не рекомендуется. В настоящее время разработаны и различные классы контрастных агентов для МРТ, в том числе – орган-специфические и внутрисосудистые.
Клиническое применение.
Исторически первым применением МРТ было исследование головного мозга, открывшее новые горизонты в диагностике неврологических заболеваний. И в настоящее время наиболее часто метод МРТ-диагностики используется для установления причин частых болей в пояснице, головных болей, назначается практически при всех неврологических расстройствах. Более того, без выполнения магнитно-резонансной томографии в этих случаях невозможно выбрать лечение.
Одна из точек приложения метода МРТ установление диагноза при заболеваниях суставов. Чаще всего проводят МРТ коленного сустава, реже других (плечевого, тазобедренного, лучезапястного и голеностопного) и позвоночника. Однако, виды патологии, при которых используют МРТ коленного сустава, напрямую связаны с диагностическими возможностями данного исследования. Основным преимуществом МРТ в травматологии и ортопедии по сравнению с рентгенологическим исследованием и КТ является возможность визуализации мягкотканных структур, в том числе внутрисуставных связок, менисков, синовиальных складок.
С появлением МРТ практически отпала необходимость в выполнении контрастной артрографии.
В отличие от ультразвукового исследования МРТ позволяет выполнить комплексную оценку как мягких тканей, так и губчатой кости при меньшей степени операторной зависимости метода.
Исследования органов брюшной полости и малого таза применяется в хирургии, гинекологии, урологии, онкологии и других областях медицины. Применение магнитно-резонансной томографии в онкологии дает неоспоримые преимущества перед другими видами неинвазивных исследований. Оценка распространенности опухоли, определение наличия метастазов, определение тактики оперативного лечения, все это возможно с помощью МРТ. МРТ дает хорошее представление о размерах и структуре объемных образований, а также позволяет устанавливать динамику их развития во времени. Для правильной интерпретации полученных изображений очень важно предоставление пациентом имеющейся у него клинической информаций, а также данных предшествующих МРТ, КТ, УЗ исследований врачу магнитно-резонансной томографии.
Перспективы развития МРТ.
Основой прогресса современной лучевой диагностики (в том числе и МРТ) является развитие цифровых технологий, обеспечивающих возможность математической обработки изображений (например, создание многоплоскостных и трехмерных реконструкций), компьютерного моделирования хирургических вмешательств, получения функциональной информации (например, картирование коры головного мозга). Развитие цифровой радиологии является основой создания телерадиологических сетей (в том числе интегрированных в больничную систему электронной истории болезни) для проведения удаленных консультаций. Основное технологическое совершенствование современной МРТ состоит в постоянном увеличении скорости томографии, дальнейшей специализации обследований и развитии программ компьютерной обработки изображений. МРТ является прицельным методом исследования, дающим детальную информацию о морфологии конкретной анатомической области. Обязательным условием высокой информативности МРТ является наличие предварительных клинических данных. Только в этом случае специалист по лучевой диагностике может спланировать специализированное МР-обследование с учетом клинической картины, которое позволит ответить на специфический клинический вопрос. В значительной части случаев МРТ используется как метод уточняющей диагностики у пациентов, ранее обследованных с помощью рентгенографии, УЗИ, КТ, сцинтиграфии. При этом МРТ обеспечила переход в лучевой диагностике от принципа “от простого к сложному” к принципу “наибольшей информативности”, заменив собой целый ряд ранее использовавшихся методик. Несмотря на значительную стоимость МР-обследования, присущие этому методу оптимальное соотношение стоимость/эффективность и высокая клиническая значимость – при правильно выбранных показаниях к исследованию – определяют продолжающееся бурное развитие и распространение МРТ.
Жители города и области теперь имеют возможности пройти МРТ-обследование на современном томографе бесплатно в ГБУЗ НО «Клинический диагностический центр» – по направлению от лечащего врача.
МРТ коленного сустава
Как показывает практика, колено – это часть тела, которая чаще всего травмируется и требует подробного обследования. При повреждениях и подозрении на различные заболевания пациентам нередко делают МРТ коленного сустава. По своей точности и надежности она намного превосходит рентгенографию и, в некоторых случаях, КТ.
В ходе магнитно-резонансной томографии можно зафиксировать любые изменения в структуре сустава и состоянии его отдельных частей, даже несмотря на его сложное строение и наличие множества мелких элементов. На снимках МРТ видны хрящи, суставная капсула и окружающие мягкие ткани. Кроме того, исследование максимально точно показывает мениски, внутрисуставные связки и другие компоненты, которые часто подвергаются патологическим изменениям и с трудом визуализируются другими методами, включая УЗИ.
При МРТ можно зафиксировать:
- изменения, свойственные самостоятельным заболеваниям (очаговые образования, дегенерация хряща, зоны опухолевого роста);
- признаки травм (ушиб, кровоизлияния, отек) и их осложнений (воспаление, разрастание рубцов).
Зачем делать МРТ коленного сустава
МРТ травм коленного сустава и его заболеваний показано в следующих случаях:
- боль, ограничение и блокирование движений, скованность и другие симптомы, позволяющие заподозрить заболевание или последствие травм;
- артрит, артроз;
- сомнительные результаты других исследований;
- ущемление сухожилий и нервов в области коленного сустава;
- продолжающиеся симптомы при нормальных результатах других методов исследования;
- подозрение на злокачественные или доброкачественные опухоли коленного сустава или окружающих тканей;
- свежие травмы, для уточнения масштаба повреждений (разрыв крестообразных связок, менисков и капсулы, кровоизлияние в полость сустава, отек тканей);
- нестабильность, привычный вывих коленного сустава;
- противопоказания к проведению рентгена (больные, уже перенесшие неоднократные рентгенологические исследования, беременные женщины);
- подготовка к операции на коленном суставе, контроль состояния после оперативного вмешательства;
- аномалии развития сустава;
- остеохондропатия коленного сустава;
- эпикондилит (воспаление сухожилий мышц в месте их прикрепления к нижней части бедренной кости).
С собой необходимо взять если есть:
- направление врача;
- выписку из истории болезни или амбулаторной карты;
- снимки и описания результатов предыдущих исследований (не только МРТ, но и других);
- прочие документы, относящиеся к Вашему заболеванию.
Что получает пациент после МРТ, куда идти с результатами
После окончания процедуры МРТ Вы получите снимки и их описание.
Если Вы проходили исследование по направлению вашего врача, заключение нужно показать ему. Он назначит необходимое лечение либо даст направление к другому доктору, который займется Вашей проблемой.
В том случае, если Вы проходили МРТ по своей инициативе, выбор врача нужно будет сделать в зависимости от выявленного нарушения.
Если Вы не знаете, куда обратиться, этот вопрос можно уточнить у специалиста центра «Добрый доктор», который будет описывать Ваши результаты.
Стоимость МРТ исследований
| Номенклатура | Стоимость, руб. |
|---|---|
| Коленный сустав | 3 600,00 |
Рекомендуется дополнительно пройти:
Адрес: г. Пенза, пр-т. Строителей, 9 (в торговом центре «Олимп»)
Режим работы: пн-сб: с 7:00 до 23:00, вс: с 8:00 до 23:00
Телефоны: 8 (8412) 202-200, 8 (8412) 305-802
ИНН: 5836632523
КПП: 583501001
ОГРН: 1085836003879
ОКПО: 88040148
Лицензия Л041-01166-58/00362786 на осуществление медицинской деятельности от 10.11.2015 г., выдана Министерством здравоохранения Пензенской области ООО «Добрый доктор».
Читайте также:

