Артрографическая, МРТ анатомия плечевого сустава
Добавил пользователь Евгений Кузнецов Обновлено: 29.01.2026
1 Федеральное государственное бюджетное учреждение здравоохранения, Центральная клиническая больница Российской академии наук
2 Государственное бюджетное образовательное учреждение дополнительного профессионального образования Российская медицинская академия последипломного образования
Целью исследования является изучение возможностей прямой Магнитно-резонансной (МР) артрографии в диагностике повреждений сухожилий вращательной манжеты плеча (ВМП) у пациентов с хронической травмой. 70 пациентам проведена нативная магнитно-резонансная томография на высокопольном МР-томографе 1,5Тл, а также прямая магнитно-резонансной артрография (МРА) с внутрисуставным введением парамагнитного контрастного препарата. Для оценки диагностической точности МРТ и МР-артрографии (МРА) в выявлении повреждений структур плечевого сустава определяли чувствительность (Se), специфичность (Sp), точность (Ac), отношение правдоподобия положительных (PPV) и отрицательных (NPV) результатов. При вычислении показателей диагностической эффективности МР-исследований за эталон принимали данные лечебно-диагностической артроскопии (АС). Получены более высокие результаты диагностической эффективности МР-артрографии в выявлении повреждений ВМП в сравнении с нативным МР-исследованием. Особенно важно дополнить нативное МР-исследование прямой МР-артрографией при проведении дифференциальной диагностики травматических и дегенеративных изменений ВМП. Своевременная и точная информация об объеме и характере повреждений структур ПС, а в частности ВМП, позволяет выбрать адекватный метод лечения, спланировать объем оперативного вмешательства, определить прогноз заболевания и сократить сроки утраты нетрудоспособности.
1. Ахмеджанов Ф.М., Григорьева Е.В. Магнитно-резонансная томография плечевого сустава. Атлас // Аз. Москва. – 2009. – 104 с.
2. Брюханов А.В., Финк Л.И. Комплексная лучевая диагностика повреждений мягкотканых структур плечевого сустава // Мед. визуализация. – 2007. – № 3. – С. 91-98.
3. Вихтинская И.А. Возможности непрямой магнитно-резонансной артрографии в диагностике травматических изменений плечевого и коленного суставов: дисс. . канд. мед. наук. – СПб., 2009. – 195с.
4. Мурашина И.В. Оптимизация методов лучевой диагностики последствий повреждений плечевого сустава: дисс. … канд. мед. наук. – М., 2011. – 125с.
5. David W. Stoller. (eds.) Magnetic resonance imaging in ortopaedics and sports medicine//Lippincott Williams&Wilkins, 3-rd edition, 2007. – Vol. 2. – P.1131-1463.
6. Karels C.H., Bierma-Zeinstra S.M., Verhagen A.P. et al. Sickness absence in patients with arm, neck and shoulder complaints presenting in physical therapy practice: 6 months follow-up // Man Ther. – 2010. – Vol.15, no. 5. – P.476-481.
7. Krief O.P. MRI of the rotator interval capsule // Am. J. Roentgenol. – 2005. – Vol. 184, no. 5. – P.1490-1494.
8. Lee S.U., Lang P. MR and MR arthrography to identify degenerative and posttraumatic diseases in the shoulder joint // Eur. J. Radiol. – 2000. – Vol. 35. – P.126–135.
9. Morrison W. B. Indirect MR arthrography: concept and controversies // Semin. Musculoskelet. Radiol. – 2005. – Vol. 9. – № 2. – P. 125–134.
10 . Waldt S., Burkart A., Imhoff A. B. Anterior shoulder instability: Accuracy of MR arthrography in classification of anterioinferior labroligamentous injuries // Radiol. – 2005. – Vol. 237. – № 2. – P. 578–583.
ПС является самым подвижным и наименее стабильным суставом человеческого тела. Высокий риск травматизации ПС связан с особенностями его анатомического строения [4]. Нарушение его функции сказывается на всей конечности, часто приводит к нетрудоспособности и ухудшению качества жизни больного [6].
Эффективность лечения травм плечевого сустава во многом зависит от наличия своевременной и полной информации обо всех поврежденных структурах [1]. Поэтому перед врачами-специалистами постоянно ставится задача выбора наиболее безопасного и эффективного метода диагностики травматической патологии суставов [4].
Благодаря усовершенствованию специальных катушек и методик исследования суставов в настоящее время МРТ стала основным методом визуализации органов опоры и движения при наличии клинических проявлений их поражения [2,3,7].
В литературе появились работы по использованию новых методик МРТ для диагностики повреждений суставов с применением парамагнитных контрастных веществ для оценки состояния вне- и внутрисуставных структур ПС [3,5,9].
Прямая МР-артрография основана на введении парамагнитного КВ в полость сустава с целью повышения разницы интенсивности мр-сигнала между неизмененной и измененной областями на фоне контрастной жидкости [5].
В исследованиях имеются противоречивые данные о диагностической значимости как нативной МРТ, так и прямой МР-артрографии в диагностике повреждений мягкотканых структур плечевого сустава [4,8,10]. По данным Lee S.U et al. (2000), чувствительность МРТ в диагностике полных разрывов сухожилий ВМП достигает 95,0 %, но при выявлении частичных разрывов эти показатели значительно ниже. Некоторые авторы утверждают, что в большинстве случаев достоверная диагностика частичных разрывов сухожилия надостной мышцы возможна только при прямой МР-артрографии [5].
Следует отметить, что до сих пор нет стандартизованного подхода и определенного алгоритма в проведении прямой МР-артрографии, существуют различные методики ее проведения [3,4]. Возможности МРА при различных повреждениях структур ПС не изучены.
Целью проведенного исследования является изучение диагностической эффективности прямой Магнитно-резонансной артрографии в диагностике повреждений вращательной манжеты плеча и сравнение с результатами диагностической эффективности нативного МР-исследования.
Материалы и методы
Материалом исследования послужили данные нативного МР-исследования, МР-артрографии и лечебно-диагностической артроскопии 70 пациентов, проходивших лечение в ЦКБ РАН с января 2011 года по июнь 2013 года. Интервал между проведением МРТ и артроскопической операцией составил не более месяца. В исследование включено 70 пациентов в возрасте 35–73 лет, 58 (83 %) мужчин и 12 (17 %) женщин, предъявляющие жалобы на наличие боли и нарушение функций в плечевом суставе уже в течение длительного времени (2 и более лет).
МР-исследования проводили на высокопольном мр-томографе с напряженностью магнитного поля 1,5 Тесла, с использованием специальной 4-х канальной плечевой катушки Shoulder 4. Далее, под контролем рентгена под местным обезболиванием задним доступом в полость плечевого сустава ортопед-травматолог вводил полумолярный парамагнитный Gd (Гадолиний), содержащий контрастный препарат 0,5 ммоль/мл в разведении с физиологическим раствором 1/100 в количестве 12–18 мл, до появления чувства распирания в области сустава у пациента.
Протоколы нативного МР-исследования и МРА плечевого сустава включали получение трех взаимно перпендикулярных проекций (косой коронарной, косой сагиттальной и аксиальной). Нативное исследование проводилось с использованием следующих импульсных последовательностей: TSE PD SPAIR – изображения, взвешенные по протонной плотности, с эффектом подавления сигнала от жировой ткани; TSE_T1W-Т1 взвешенном изображении (ВИ) в режиме турбо-спин эхо; FFE_T2W-Т2 ВИ в режиме градиентного эхо (табл.1). МРА проводили в режиме TSE_T1W, а также с использования эффекта жироподавления – TSE_T1W SPIR (табл.2, рис.1). Исследование проводилось через 15 минут после введения контраста и выполнения пациентом маятникообразных движений верхней конечностью.
Параметры протокола нативного МР-исследования плечевого сустава
Толщина среза /шаг, мм
Параметры протокола МР-артрографии плечевого сустава
Толщина среза /шаг, мм
а бРис. 1. МР-артрография. МР-томограммы ПС: а – корональная плоскость, T1 TSE; б,в – аксиальная плоскость T1 TSE, FS T1 TSE
Результаты МРТ и МР-артрографии сопоставляли с данными лечебно-диагностической артроскопии в ходе оперативных вмешательств. Для оценки диагностической точности МРТ и МР-артрографии в выявлении повреждений структур плечевого сустава определяли чувствительность (Se), специфичность (Sp), точность (Ac), отношение правдоподобия положительных (PPV) и отрицательных (NPV) результатов.
Результаты
По частоте разрывы вращательной манжеты встречались в следующем порядке: сухожилие надостной мышцы, подостной мышцы, подлопаточной мышцы, что согласуется с результатами отечественных и зарубежных исследований. Случаи повреждения сухожилия малой круглой мышцы в нашем исследовании не встречались.
При МРТ у 28 пациентов заподозрен частичный разрыв сухожилий надостной и подостной мышц, проявляющийся наличием неоднородного участка повышенной интенсивности мр-сигнала на Т2ВИ и FS PD TSE в толще сухожилий, с нарушением целостности части волокон в этой области и утолщением окружающих волокон за счет отека. У большинства пациентов (n-19) участок измененного мр-сигнала находился в критической точке сухожилия – наиболее слабо васкуляризированной зоне, расположенной на 1–1,5 см дистальнее места прикрепления сухожилия к большому бугорку головки плечевой кости. Косвенными признаками повреждения сухожилий надостной и подостной мышц являются наличие жидкости в подакромиально-поддельтовидной сумке и плече-лопаточном суставе, отсутствие подакромиальной жировой прослойки.
При проведении МР-артрографии на Т1-ВИ с подавлением сигнала от жировой ткани отмечалось повышение интенсивности МР-сигнала в зонах разрывов сухожилия НМ по суставной поверхности, обусловленное затеканием контрастного вещества в зоны дефектов сухожилий, чего не отмечалось при сохранении их целостности при дегенеративных изменениях.
При проведении АС частичный разрыв сухожилий ВМП выявлен у 32 пациентов. При сравнении результатов МРТ и АС выявлено 24 совпадений положительных заключений и 34 отрицательных заключений о наличии повреждения ВМП. 4 пациентов с заподозренным на МРТ повреждением при АС диагностирована целостность контуров сухожилия. При проведении МРА у двоих из этих четырех пациентов диагноз уже был исключен, вследствие подтверждения целостности контуров сухожилий. Зато у 8 пациентов при проведении АС выявлено частичное повреждение сухожилий, не диагностированное после нативного МРТ. Шести из этих пациентов правильно выставлен диагноз при проведении МРА, тогда как при нативном МР-исследовании этим пациентам был выставлен диагноз тендиноз сухожилия НМ.
При последующем проведенном анализе анамнеза, МР-исследований и данных АС этих пациентов выявили, что жалобы на боль в плечевом суставе носили многолетний характер и при оперативном вмешательстве дефект сухожилия НМ был заполнен грануляционной тканью, не визуализирующийся как участок отека или скопления жидкости при нативной МРТ, что сделало диагностику без мр-артрографии затруднительной.
При полном разрыве сухожилий ВМП на МРТ визуализируется участок повышенного мр-сигнала на Т2ВИ и FS PD, пониженного сигнала на Т1ВИ в проекции сухожилия, с нарушением траектории волокон, вплоть до мышечно-сухожильной ретракции (n-7).
При этом после проведения МРА диагноз правильно был выставлен еще 2 пациентам и подтвержден у пациентов с заподозренным повреждением при нативной МРТ. И лишь у одного пациента при МРА был не диагностирован полный разрыв, а неправильно заподозрено частичное повреждение сухожилия.
Дегенеративные изменения выявлены у 15 пациентов при АС. При этом при сопоставлении данных МРТ и АС выявлено 11 совпадений положительных заключений. А ложноположительный и ложноотрицательный результат составлял 8 и 4 случая соответственно. При проведении МРА правильно диагностированные изменения были у 14 пациентов и не выявлены лишь у 1 пациента.
Повреждение сухожилий ВМП часто (72 %) сочеталось с наличием суженного субакромиального пространства (в N – не менее 7 мм) и повреждением длинной головки двуглавой мышцы плеча.
Результаты диагностической эффективности нативной МРТ и МР-артрографии в оценке частичных и полных разрывов сухожилий ВМП, а также дегенеративных изменений сухожилий представлены в табл. 3 и рис. 2–3.
Диагностическая эффективность МРТ и МРА при повреждениях сухожилий вращательной манжеты плеча
Артрографическая, МРТ анатомия плечевого сустава
а) Краткий обзор лучевой анатомии плечевого сустава:
• Плечевой сустав обладает высокой подвижностью, склонен к нестабильности:
о Вращательная манжета и суставно-плечевые связки способствуют его стабилизации:
- В некоторой степени стабильности способствует также губа суставной впадины лопатки
• Капсула сустава:
о Берет свое начало у края суставной впадины лопатки или шейки лопатки в направлении анатомической шейки плечевой кости
о При артрографии визуализируются нормальные завороты сустава:
- Подмышечный, подлопаточный, интервал вращателей, передний и задний завороты, влагалище сухожилия двуглавой мышцы
• Суставная впадина лопатки:
о Повернута кпереди, имеет форму неглубокой чаши
о Центральный хрящевой отдел представлен небольшой областью с ровным краем, которая может занимать различное положение
• Губа суставной впадины лопатки:
о Волокнистые хрящевые структуры выступают по окружности костной части суставной впадины
о Располагается на суставной поверхности, перекрывает гиалиновый хрящ
о Углубляет костную впадину, улучшает конгруэнтность и стабильность сустава
о В поперечном сечении может иметь форму треугольника или окружности
о Передняя губа больше задней
Передне-задняя артрограмма плеча, ротированного кнаружи: визуализируется нормальный косой контур прикрепления капсулы к анатомической шейке плечевой кости. Распространение контраста латеральнее данной линии и/или латеральнее большого бугорка указывает на разрыв вращательной манжеты. Обратите внимание на нормальное заполнение кармана двуглавой мышцы и подмышечного кармана. Передне-задняя артрограмма плеча, ротированного внутрь: визуализируется контраст, заполняющий подлопаточный карман. Подлопаточный карман (иначе называемый сумкой) образует сумку, перекидывающуюся через верхний край подлопаточной мышцы. Свободные тела часто мигрируют в нее или в подмышечный карман. Рисунок, вид спереди: показаны взаимоотношения мышц-вращателей плеча и интервала вращателей—участка треугольной формы, расширяющегося медиально и сужающегося латерально, с вершиной у переднего края большого бугорка. Показано сагиттальное сечение внутрисуставной части области плеча, удалена головка плечевой кости. Верхняя и средняя суставно-плечевая связки берут свое начало рядом с сухожилием двуглавой мыщцы, но верхняя суставно-плечевая связка имеет горизонтальное направление и образует часть петли сухожилия двуглавой мышцы. Средняя суставно-плечевая связка имеет косое нижнелатеральное направление и обеспечивает стабильность передней части. Пучки нижней суставно-плечевой связки берут свое начало около экватора суставной впадины лопатки спереди и сзади и образуют переднюю и заднюю границы подмышечного кармана. Схематично оказана нормальная анатомия интервала вращателей. Поперечные сечения в латеральной, средней и медиальной частях интервала вращателей представлены вдоль нижней части изображения. У латеральной части интервала, сразу проксимальнее входа в межбугорковую борозду плечевой кости, медиальный пучок клювовидно-плечевой связки (голубой цвет) и верхняя суставно-плечевая связка образуют петлю вокруг сухожилия длинной головки двуглавой мышцы. В средней части интервала вращателей клювовидно-плечевая связка покрывает верхнюю поверхность сухожилия двуглавой мышцы, а верхняя суставно-плечевая связка образует Т-образное соединение с клювовидно-плечевой связкой. Около медиального края интервала вращателей верхняя суставно-плечевая связка представляет собой округлую структуру, лежащую кпереди от сухожилия двуглавой мышцы; обе структуры покрыты U-образной клювовидно-плечевой связкой. Первая из шести выбранных косых корональных Т1ВИ МР-артрограмм, полученных вдоль оси сухожилия надостной мышцы. Задний пучок нижней суставно-плечевой связки образует толстый, четко различимый пучок по заднему краю подмышечного кармана. Задневерхняя губа суставной впадины лопатки часто имеет немного более высокую интенсивность сигнала, чем остальная часть, вероятно, вследствие артефакта «магического угла». Обратите внимание, что у этого пациента 20 лет в диафизе плечевой кости в первую очередь визуализируется кроветворный костный мозг, в то время как эпифиз содержит преимущественно желтый костный мозг. Очаги кроветворного костного мозга в диафизе плечевой кости сохраняются на протяжении всей жизни и могут быть ошибочно приняты за патологическое замещение. Кзади от начала двуглавой мышцы верхняя губа плотно прилежит к нижележащему суставному хрящу. Подмышечный карман четко очерчен и выступает за нижний край суставной впадины лопатки к шейке плечевой кости. Двуглавая мышца берет свое начало у надсуставного бугорка лопатки и крепится к верхней губе, затем следует латерально и кпереди над головкой плечевой кости и входите межбугорковую борозду плечевой кости. Визуализация места прикрепления длинной головки двуглавой мышцы плеча к суставной губе может различаться в зависимости от ротации плеча. В этом случае плечо ротировано кнаружи и проксимальная часть двуглавой мышцы располагается практически параллельно к плоскости визуализации. Трехстороннее отверстие визуализируется между сухожилием двуглавой мышцы и верхней губой. Эту находку кпереди от места прикрепления длинной головки двуглавой мышцы плеча к суставной губе не следует путать с повреждением верхней суставной губы лопатки спереди назад. Обратите внимание на нормальное распределение внутрисуставного контраста вдоль влагалища сухожилия двуглавой мышцы. Как правило, в передней проекции сустава визуализируется подлопаточный карман, выступающий над верхним краем подлопаточной мышцы. Обратите внимание на нормальное соединение сухожилия подлопаточной мышцы и самой мышцы. Также визуализируется наиболее передняя часть клювовидно-плечевой связки, сливающаяся с латеральными волокнами подлопаточной мышцы. На первой из шести отобранных Т1 FS МР-артрограмм визуализируется плечевой сустав в направлении сверху вниз. Сухожилие двуглавой мышцы проходит над головкой плечевой кости. Клювовидно-суставная связка визуализируется частично, сплетаясь с клювовидно-плечевой связкой. Клювовидно-плечевая связка имеет средний пучок, который образует часть петли сухожилия двуглавой мышцы, и латеральный пучок, который перекидывается через передний край подлопаточной мышцы и крепится к подлопаточной мышце, а также к малому и большому бугоркам, формируя таким образом часть поперечной связки. В литературе обсуждается вопрос, является ли поперечная связка самостоятельной структурой. Она представляет собой слияние волокон подлопаточной мышцы и петли сухожилия двуглавой мышцы, удерживает сухожилие двуглавой мышцы в межбугорковой борозде. Передняя и задняя губы прилежат к хрящу на передней поверхности суставной впадины. Задняя губа не имеет сублабральной борозды и жидкость между суставным хрящом и губой всегда наблюдается в норме. Средняя суставно-плечевая связка прилежит к заднему краю сухожилия подлопаточной мышцы, с которым сливается в нижней части. Площадка истонченного хряща суставной впадины лопатки в норме расположена центрально и известна как «голая зона». Здесь часто располагаются выступающие кровеносные сосуды кзади от головки плечевой кости, которые иногда ошибочно принимают за субхондральные кисты. Анализ округлых участков на последовательных снимках поможет установить их тубулярное строение, что соответствует сосудистым структурам. При визуализации места прикрепления передней части капсулы сустава к лопатке отмечается значительная вариабельность. В норме в данной области глубже подлопаточной мышцы наблюдается небольшой карман. Подмышечная петля состоит из множества пучков с участками небольшого расхождения между ними. Это создает слоистый вид в месте их прикрепления к шейке плечевой кости. Обратите внимание, что хотя верхняя часть подлопаточной мышцы фиксирована к плечу посредством сухожилия, нижняя-крепится посредством мышечной ткани. Первая из девяти отобранных сагиттальных PD FS МР-артрограмм, от латеральной к медиальной: визуализируется нормальная вращательная манжета в виде кольца по типу велосипедной шины вокруг верхней и задней поверхностей головки плечевой кости. Небольшие разрывы сухожилия надостной мышцы часто возникают в переднем или «ведущем» крае, который лучше визуализируется в сагиттальной проекции. Обратите внимание на высокоинтенсивный сигнал в области дельтовидной мышцы, отражающий наличие лидокаина, введенного во время процедуры. Последовательность PD FS позволяет визуализировать контрастное вещество и другие жидкости с высокоинтенсивным сигналом. Визуализируется подлопаточная мышца, которая прикрепляется к малому бугорку. Сухожилие двуглавой мышцы находится сразу выше данного участка при изгибе и вступлении в межбугорковую борозду. Клювовидно-плечевая связка лежит выше двуглавой; она и поверхностные волокна подлопаточной мышцы сливаются, образуя поперечную связку межбугорковой борозды. Сагиттальная плоскость лучше подходит для оценки внутрисуставного расположения сухожилия двуглавой мышцы, поскольку эффект частичного объема затрудняет точную визуализацию в корональной и аксиальной плоскостях. Обратите внимание, что подлопаточная мышца имеет множественные сухожильные волокна, чередующиеся с мышечными, а нижняя треть- мышечное прикрепление к малому бугорку. На этом уровне начинает визуализироваться подлопаточный карман, простирающийся над верхним краем подлопаточной мышцы. Передний и задний пучки нижней суставно-плечевой связки определяются в месте прикрепления к хирургической шейке плечевой кости. Клювовидно-плечевая связка представлена широким пластом и делится на медиальный и латеральный пучки. Подмышечный карман имеет множество пучков, что создает исчерченный вид. Клювовидно-плечевая связка заполняет интервал вращателей и перекидывается через верхнюю часть сухожилия двуглавой мышцы. Латеральный пучок визуализируется в месте прикрепления к переднему краю подлопаточной мышцы. Клювовидно-плечевая связка и клювовидно-суставной пучок визуализируются в месте их начала у основания клювовидного отростка. Их визуализация в значительной степени вариабельна. В норме визуализируются множественные карманы сустава: подмышечный, задний и подлопаточный (часто именуемый подлопаточной сумкой). Снимок получен медиальнее предыдущего, но у другого пациента; вследствие большего растяжения полости сустава достигнута лучшая визуализация карманов сустава и суставно-плечевых связок. Суставная губа визуализируется частично. Хотя сагиттальный срез не является первостепенным для оценки губы, на этом уровне наличие контрастного вещества между костью и губой подтверждает разрыв губы. На аксиальной Т1 МР-артрограмме визуализируется сублабральное окно. Этот вариант нормы имеет место в передневерхнем квадранте губы, где редко возникают изолированные разрывы губы. Они не распространяются ниже уровня клювовидного отростка. В отличие от неровного зазубренного контура при разрыве губы, сублабральное окно имеет ровный контур. На аксиальной Т1 МР-артрограмме визуализируется сублабральное окно (другой пациент). Снимки получены ниже для дифференцировки между губой и сублабральным окном (в этом случае верхняя губа присоединяется к кости более низко) или комплексом Буфорда (в этом случае тяжистая средняя суставно-плечевая связка сливается с подлопаточной мышцей и отдельная верхняя губа визуализируется более низко). Артроскопия: визуализируется прочно прикрепленная суставная губа кзади от места прикрепления длинной головки двуглавой мышцы плеча к суставной губе и сублабральное окно в передневерхнем квадранте сустава. На рисунке в сагиттальной плоскости показан комплекс Буфорда: передняя верхняя суставная губа отсутствует, средняя суставно-плечевая связка утолщена и натянута. На аксиальной Т1 FS МР-артрограмме визуализируется комплекс Буфорда. Средняя суставно-плечевая связка утолщена и натянута. Такое строение может быть немного нестабильным, так как пациенты с комплексом Буфорда имеют повышенный риск повреждения верхней суставной губы лопатки спереди назад. На аксиальной Т1 FS МР-артрограмме у пациента с комплексом Буфорда на этом уровне определяется наличие губы, средняя суставно-плечевая связка остается натянутой.
• Вращательная манжета: четыре мышцы, берущие свое начало на лопатке и прикрепляющиеся к плечевой кости:
о Надостная: от надостной ямки лопатки к большому бугорку плечевой кости:
- Отводит плечо, а также опускает головку плечевой кости
о Подостная: от задней поверхности лопатки к большому бугорку плечевой кости:
- Вращает плечо кнаружи
о Малая круглая мышца: от латерального края лопаточной кости к большому бугорку плечевой кости:
- Вращает плечо кнаружи
о Подлопаточная мышца: от передней поверхности лопаточной кости к малому бугорку плечевой кости:
- Поверхностные волокна простираются через передний край большого бугорка в виде части поперечной связки
- Вращает плечо внутрь, приводит плечо
• Суставно-плечевые связки: утолщения капсулы сустава, вариабельное строение:
о Верхняя суставно-плечевая связка:
- Стабилизирует приведенное плечо и противостоит нижнему подвывиху
- Тонкий горизонтальный пучок у верхнего края сустава
- Берет свое начало у суставной губы сразу кпереди от сухожилия двуглавой мышцы
- Прикрепляется к малому бугорку
- Сливается с клювовидно-плечевой связкой о Средняя суставно-плечевая связка:
- Стабилизирует отведенное плечо
- Косо ориентирована в нижнелатеральном направлении от верхней части суставной губы
- Берет свое начало кпереди от верхней суставно-плечевой связки
- Сливается со связкой надлопаточной мышцы
- Прикрепляется к малому бугорку
- Увеличивается при отсутствии передневерхней губы (комплекс Буфорда)
о Нижняя суставно-плечевая связка:
- Стабилизирует отведенное плечо
- Передний пучок: от передненижней губы к хирургической шейке плечевой кости
- Задний пучок: от задненижней губы к хирургической шейке плечевой кости
• Клювовидно-плечевая связка:
о Стабилизирует длинную головку двуглавой мышцы, формирует петлю совместно с верхней суставно-плечевой связкой и сухожилием подлопаточной мышцы
о Стабилизация при нижнем и заднем подвывихе
о Берет свое начало у заднего края клювовидного отростка, крепится к большому и малому бугоркам плечевой кости
о Широкая тонкая связка или изгиб капсулы с латеральным и медиальным сгущением (пучки)
о Латеральные пучки сливаются с капсулой, сухожилием подлопаточной мышцы, поперечной связкой:
- Прикрепляются у переднего края сухожилия подлопаточной мышцы
о Медиальный пучок сливается с капсулой, верхней суставно-плечевой связкой и дистальной частью сухожилия надостной мышцы
• Клювовидно-суставная связка:
о Прилежит и часто срастается с верхней суставно-плечевой и клювовидно-плечевой связками; вариабельна
• Интервал вращателей:
о Пространство треугольной формы между сухожилиями надостной и подлопаточной мышц:
- Широкое в медиальной части, узкое в латеральной, оканчивается в месте крепления надостной и подостной мышц к плечевой кости
- Верхняя стенка сформирована клювовидно-плечевой связкой
• Сухожилие длинной головки двуглавой мышцы:
о Берет свое начало у верхней губы суставной впадины и надсу-ставного бугорка лопатки
о Располагается латерально над головкой плечевой кости
о Проходит в межбугорковой борозде
На первом из трех рисунков в корональной плоскости представлен нормальный вариант развития комплекса двуглавой мышцы и суставной губы. При первом типе комплекс двуглавой мышцы и суставной губы прочно крепится к суставной впадине. Видна неглубокая борозда между суставной впадиной и верхней губой, второй тип строения комплекса двуглавой мышцы и суставной губы. Обратите внимание, что борозда ниже губы соответствует контуру подлежащего суставного хряща. Это помогает отличить ее от разрыва: разрыв выступает за пределы хряща в структуру губы. Показана глубокая борозда между суставной впадиной и двуглавой мышцей/губой. Верхняя суставная губа имеет менисковидный тип строения. Глубокая борозда часто продолжается кпереди как сублабральное отверстие. У этого пациента верхняя губа крепится к подлежащему суставному хрящу Обратите внимание, что суставной хрящ изгибается медиально и простирается на верхний край костной части суставной впадины ниже места прикрепления длинной головки двуглавой мышцы плеча к суставной губе. У другого пациента визуализируется сублабральное углубление, создающее так называемый менисковидный вид верхней губы. Видимая ширина углубления изменяется при растяжении сустава. Для дифференцировки между углублением и повреждением верхней суставной губы лопатки спереди назад строение более важно, чем измерение ширины: углубление имеет ровные контуры, в то время как линия повреждения-неровный и зазубренный контур. На этом снимке плечо ротировано кнутри. Вследствие этого горизонтальная часть двуглавой мышцы ориентирована сагиттальнее и место прикрепления длинной головки двуглавой мышцы плеча к суставной губе имеет V-образную форму. Визуализационная картина места прикрепления двуглавой мышцы к губе различна, и зависит от ротации плеча. Визуализация суставной губы и капсулы значительно зависит от ротации руки. Внутренняя ротация, визуализируемая на данном снимке на уровне середины суставной впадины, приводит к растяжению переднего суставного кармана. Средняя суставно-плечевая связка очерчена жидкостью. Ротация кнаружи на том же уровне опустошает передний карман и уменьшает видимость средней суставно-плечевой связки, которая приближается к подлопаточной мышце. Теперь задний карман заполнен контрастом и выглядит растянутым. Максимальная ротация кнаружи позволяет визуализировать нормальный задний суставной карман. Средняя суставно-плечевая связка растянута и напряжена.
• Петля сухожилия двуглавой мышцы:
о Стабилизирует внутрисуставную часть сухожилия двуглавой мышцы
о Сформировано клювовидно-плечевой связкой, верхней суставно-плечевой связкой, сухожилием подлопаточной мышцы
• Поперечная связка плеча:
о Верхняя стенка межбугорковой борозды плечевой кости
о Состоит из сухожилия подлопаточной мышцы и волокон клювовидно-плечевой связки
о Анатомы спорят, следует ли выделять ее как отдельную структуру
• Заднее пространство интервала вращателей:
о Потенциальное пространство между сухожилиями надостной и подостной мышц
б) Трудности при визуализации плечевого сустава:
• Передняя губа: комплекс Буфорда, борозда или пространство под губой
• Варианты строения верхней губы: верхняя губа может иметь менисковидную форму в месте прикрепления к ней длинной головки двуглавой мышцы плеча и кпереди от нее
Плечевой сустав анатомия при МРТ исследовании
Плечевой сутав обладает наибольшей амплитудой движений чем любые другие суставы тела человека. Небольшой размер суставной впадины лопатки и относительно слабое натяжение суставной капсулы создают условия для относительной нестабильности и склонности к подвывихам и вывихам. МРТ исследование является лучшей модальностью для обследования пациентов при болевом синдроме и несатибльности плечевого сустава. В первой части статьи мы остановимся на нормальной анатомии плечевого сустава и анатомических вариантах которые могут симулировать патологию. Во второй части мы обсудим нестабильность плечевого сустава. В тетьей части мы рассмотрим импинджмент синдром и повреждение манжеты вращателей.
перевод статьи Robin Smithuis and Henk Jan van der Woude на Radiology Assistant
Radiology department of the Rijnland hospital, Leiderdorp and the Onze Lieve Vrouwe Gasthuis, Amsterdam, the Netherlands
Введение

Удерживающий аппарат плечевого сустава состоит из следующих структур:
- верхние
- клювовидно-акромиальная дуга
- клювовидно-акромиальная связка
- сухожилие длинной головки двуглавой мышцы плеча
- сухожилие надостной мышцы
- передние
- передние отделы суставной губы
- плече-лопаточные связки (glenohumeral ligaments, или суставно-плечевые связки) - верхняя, средняя и передний пучок нижней связки
- сухожилие подлопаточной мышцы
- задние
- задние отделы суставной губы
- задний пучок нижней плече-лопаточной связки
- сухожилия подостной и малой круглой мышц

Изображение передних отделов плечевого сустава.
Сухожилие подлопаточной мышцы прикрепляется как к малому бугорку, так и к большому бугорку, давая поддержку длинной головке двуглавой мышцы в борозде двуглавой мышцы. Вывих длинной головки двуглавой мышцы плеча неизбежно приведет к разрыву части подлопаточной сухожилия. Манжета вращателей плеча состоит из сухожилий подлопаточной, надостной, подостная и малой круглой мышц.

Изображение задних отделов плечевого сустава.
Отображены надостная, подостная и малая круглая мышцы и их сухожилия. Все они прикрепляются к большому бугорку плечевой кости. Сухожилия и мышцы манжеты вращателей участвуют в стабилизации плечевого сустава во время движения. Без манжеты вращателей головка плечевой кости частично сместилась бы из суставной впадины, уменьшив силу отведения дельтовидной мышцы (мышцы вращательной манжеты координирует усилия дельтовидной мышцы). Повреждение манжеты вращателей может привести к смещению головки плечевой кости кверху, в результате вызвая высокое стояние головки плечевой кости.
Нормальная анатомия
Нормальная анатомия плечевого сустава в аксиальных изображениях и контрольный список.








- поищите os acromiale, акромиальную кость (добавочная кость, расположенная у акромиона)
- обратите внимание что ход сухожилия надостной мышцы параллелен оси мышцы (это не всегда так)
- обратите внимание что ход сухожилия длинной головки двуглавой мышцы в области прикрепления направлен на 12 часов. Область прикрепления может быть различной ширины.
- обратите внимание на верхние отделы суставной губы и прикрепление верхней плече-лопаточной связки. На данном уровне ищется SLAP-повреждение (Superior Labrum Anterior to Posterior) и варианты строения в виде отверстия под сутавной губой (sublabral foramen - подгубное отверстие). На этом же уровне по задне-боковой поверхности головки плечевой кости визуализируются повреждение Хилл-Сакса.
- волокна сухожилия подлопаточной мышцы, создавая бицепитальную борозду, удерживают сухожилие длинной головки двуглавой мышцы. Изучите хрящи.
- уровень средней плече-лопаточной связки и передних отделов суставной губы. Поищите комплекс Буффорда. Изучите хрящи.
- вогнутость заднебокового края головки плечевой кости не следует путать с повреждением Хилл-Сакса, поскольку это нормальная форма для данного уровня. Повреждение Хилл-Сакса визуализируется только на уровне клювовидного отростка. В предних отделах мы сейчас на урвоне 3-6 часов. Здесь визуализируются повреждение Банкарта и его варианты.
- обратите внимание на волокна нижней плече-лопаточной связки. На данном уровне так же ищется повреждение Банкарта.
Ось сухожилия надостной мышцы

Подвергаясь тендинопатие и повреждению, сухожилие надостной мышцы является важнейшей частью манжеты вращателей. Повреждения сухожилия надостной мышцы лучше видны в косой корональной плоскости и в положении отведения и поворота плеча кнаружи (ABER - abduction external rotation). В большинстве случаев ось сухожилия надостной мышцы (головки стрелок) отклонена кпереди от оси мышцы (желтая стрелка). При планировании косой корональной проекции лучше ориентироватьия на ось сухожилия надостной мышцы.
Нормальная корональная анатомия плечевого сустава и контрольный список


















- обратите внимание на клюво-ключичную связку (coracoclavicular ligament) и короткую головку двуглавой мышцы (short head of the biceps).
- обратите внимание на клювоакромиальную связку (coracoacromial ligament).
- -
- -
- обратите внимание на надлопаточный нерв и сосуды (suprascapular nerve and vessels)
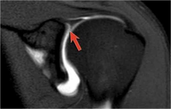
- поищите импинджмент надостной мышцы за счет остеофитов в акромиально ключичном суставе или из-за утолщения клювовидноакромиальной связки.
- изучите верхний комплекс двуглавой мышцы и суставной губы, поищите подгубный карман илм SLAP-повреждение
- поищите скопление жидкости в подакромиальной сумке и повреждение сухожидия надостной мышцы
- -
- -
- поищите частичный разрыв сухожилия надостной мышцы в месте его прикрепления в виде кольцевидного повышения сигнала
- изучите область прикрепления нижней плече-лопаточной связки. Изучите нижний комплекс суставной губы и связок. Поищите HAGL-повреждение (humeral avulsion of the glenohumeral ligament).
- поищите повреждение сухожилия подостной мышцы
- обратите внимание на небольшое повреждение Хилл-Сакса
- -
- -
- -
Нормальная сагиттальная анатомия и контрольный список







- обратите внимание на мышцы манжеты вращателей и поищите их атрофию
- обратите внимание на среднюю плече-лопаточную связку, которая имеет косое направление в полости сустава, и изучите отношение к сухожилию подлопаточной мышцы
- на данном уровне иногда видны повреждения суставной губы в направлении на 3-6 часов
- изучите место прикрепления длинной головки двуглавой мышцы плеча к суставной губе (biceps anchor)
- обратите внимание на форму акромиона
- поищите импинджмент за счет акромиально ключичного сустава. Обратите внимание на интервал между мажетой вращателей и клювовидно-плечевой связкой (coracohumeral ligament).
- поищите повреждение подостной мышцы
Вид в положении отведения и поворота плеча кнаружи (ABER)

Повреждения суставной губы
Изображения в положении отведения и поворота плеча кнаружи является наилучшим для оценки передненижних отделов суставной губы в положении 3-6 часов, где локализуется большинство ее повреждений. В положении отведения и поворота плеча кнаружи суставно-плечевая связка растягивается напрягая передне-нижние отделы суставной губы, позволяя внутрисутавному контрасту попасть между повреждением губы и суставной впадиной.
Повреждение манжеты вращателей
Изображения в положении отведения и поворота плеча кнаружи так-же очень полезны для кизуализации как частичных так и полных повреждений манжеты вращателей. Отведение и поворот конечности кнаружи высвобождает натянутую манжету больше чем при обычных косых корональных изображений в положении приведения конечности. В результате небольшие частичные поврждения волокон суставной поверхности манжеты не прилегают ни к интактным пучкам, ни к головке плечевой кости, и внутрисуставной контраст улучшает визуализацию повреждений (3).
Вид в положении отведения и поворота плеча кнаружи (ABER)

Изображения в положении отведения и поворота плеча кнаружи получаются в аксиальной плоскости путем отклонения на 45 градусов от коротальной плоскости (см. иллюстрацию).
В этом положении область на 3-6 часов ориентирована перпендикулярно.
Обратите внимание на красную стрелку указывающую на небольшое повреждение Пертеса, которо не визуализировалось при стандартной аксиальной ориентации.
Анатомия в положении отведения и поворота плеча кнаружи





- Обратите внимание на прикрепление длинного сухожилия двуглавой мышцы. Нижний край сухожилия надостной мышцы должен быть ровным.
- Ищите неоднородность сухожилия надостной мышцы.
- Изучите суставную губу в области на 3-6 часов. Из-за натяжения передних пучков в нижних отделах суставной губы повреждения будет легче обнаружить.
- Обратите внимание на ровный нижний край сухожилия надостной мышцы
- Обратите внимание на ровный нижний край сухожилия надостной мышцы
Варианты строения суставной губы

Существует много вариантов строения суставной губы.
Эти вариатны нормы локализуются в области 11-3 часов.

Важно уметь распознавать эти варианты поскольку они могут симулировать SLAP-повреждения.
За повреждение Банкарта, эти варианты нормы обычно не принимают, поскольку оно локализуется в позиции 3-6 часов, где анатомические варианты не встречаются.
Однако повреждение суставной губы может возникать в области 3-6 часов и распространяться на верхние отделы.
Подгубное углубление

Есть 3 типа прикрепления верхних отделов суставной губы в области 12 часов, в месте прикрепления сухожилия длинной головки двуглавой мышцы плеча.
I тип - между суставным хрящем суставной впадины лопатки и суставной губой нет углубления
II тип - есть маленькое углубление
III типа - есть крупное углубление
Это подгубное углубление тяжело отличить от SLAP повреджения или подгубного отверстия.

Эта иллюстрация показывает различие между подгубным углублением и SLAP-повреждением.
Углубление больше 3-5 мм всегда не нормально и должно трактоваться как SLAP-повреждение.

Это изображение показывает типичные изменения при сублабральном углублении.
Подгубное отверстие

Подгубное отверстие - отсутствие прикрепления передневерхних отделов суставной губы в области 1-3 часов.
Определяется у 11% населения.
При МР-артрографии подгубное отверстие не должно приниматься за подгубное углубление или SLAP-поврежедение, которые также локализуются в данной области.
Подгубное углубление расположено в области прикрепления сухожилия двуглавой мышцы плеча на 12 часов и не распространяется на область 1-3 часов.
SLAP-повреждение может распространятся на область 1-3 часов, но всегда должно быть вовлечено прикрепление сухожилия двуглавой мышцы.



Пролистывайте изображения и обратите внимание суставная губа не прикреплена в области 12-3 часа, в области подгубного отверстия.
Обратите внимание гладкие края, в отличии от SLAP-повреждения.
Комплекс Буфорда

Комплекс Буфорда это врожденный вариант строения суставной губы в виде отсутствия ее передневерхних отделов в области на 1-3 часа и утолщение средней плече-лопаточной связки.
Определяется в 1,5 % случаев.

На аксиальных изображениях слева может быть виден комплекс Буфорда.
Отсутствуют переднеие отделы суставной губы в области на 1-3 часв, утолщена средняя плече-лопаточная связка.
Утолщенная средняя плече-лопаточная связка не должна обшибочно приниматься за смещенную суставную губу.
Всегда по возможности необходимо прослеживать ход средней плече-лопаточная связки сверху вниз от фиброзно-хрящевой губы гленоида к плечевой кости.
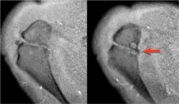
Акромиальная кость

Нарушение одного их центров окостенения акромиона приводит к образованию акромиальной кости.
Определяется в 5 % случаев.
Обычно является сулучайной находкой и относится к нормальным вариантам анатомии.
Однако она может вызывать импинджмент, при нестабильности она може смещатся вниз при отведении дельтовидной мышцы, которая прикрепляется в данной области.

На МРТ изображениях акромиальная кость лучше всего видна на верхних аксиальных изображениях.
Она должна быть отмечена в описательной части, поскольку у пациентов направляемых на подклювовидную декомпрессию резекция акромиона дистальнее синхондроза может в еще больше дестабилизировать синхондроз и привести к гипермобильности после хирургического вмешательства и даже усилить сдавление.
На аксиальном МРТ изображении показана акромиальная кость с дегенеративными изменениями, такими как субхондральные кисты и остеофиты (стрелка).
Возможности прямой магнитно-резонансной артрографии в диагностике повреждений плечевого сустава

ОГЛАВЛЕНИЕ
ВВЕДЕНИЕ
ГЛАВА 1. СОВРЕМЕННОЕ СОСТОЯНИЕ ВОПРОСА ДИАГНОСТИКИ
ПОВРЕЖДЕНИЙ ПЛЕЧЕВОГО СУСТ АВА (обзор литературы)
ЕЕ Современные представления о строении и функционировании
плечевого сустава
1.2 Патоморфологические аспекты повреждений структур плечевого сустава
1.3 Лучевые методы исследования и визуализации структур плечевого сустава
ГЛАВА 2. ХАРАКТЕРИСТИКА КЛИНИЧЕСКОГО МАТЕРИАЛА И МЕТОДЫ ИССЛЕДОВАНИЯ
2.1 Общая характеристика обследованных больных
2.2 Методы и методики обследования больных
2.2.1 Рентгенологическое исследование
2.2.2 Ультразвуковое исследование
2.2.3 Рентгеновская компьютерная томография
2.2.4 Магнитно-резонансная томография
2.2.4.1 Методика нативной МРТ плечевого сустава
2.2.4.2 Методика прямой МР-артрографии плечевого сустава
2.3 Нормальная МР-анатомия плечевого сустава, варианты анатомического строения и аномалии развития суставной
губы
2.4 Методы научного анализа полученных результатов
ГЛАВА 3. РЕЗУЛЬТАТЫ ЛУЧЕВЫХ ИССЛЕДОВАНИЙ ПОСТРАДАВШИХ С ПОВРЕЖДЕНИЯМИ ПЛЕЧЕВОГО СУСТАВА
3.1 Результаты лучевых исследований пациентов с повреждениями
статических с табилизирующих структур плечевого
сустава
3.1.1 Результаты классической рентгенографии плечевого сустава в диагностике повреждений статических стабилизирующих структур
3.1.2 Результаты компьютерной томографии в диагностике повреждений статических стабилизирующих структур
3.1.3 Результаты ультразвукового исследования в диагностике повреждений статических стабилизирующих структур
3.1.4 Результаты нативной МРТ и прямой МР-артрографии
в диагностике повреждений статических стабилизирующих структур
3.2 Результаты лучевых исследований пациентов с повреждениями
сухожилий ротаторной манжеты
3.2.1 Результаты классической рентгенографии плечевого сустава в диагностике повреждений сухожилий ротаторной
манжеты
3.2.2 Результаты компьютерной томографии плечевого сустава в диагностике повреждений сухожилий мышц ротаторной манжеты
3.2.3 Результаты ультразвукового исследования плечевого сустава в диагностике повреждений сухожилий ротаторной
манжеты
3.2.4 Результаты нативной МРТ и прямой МР-артрографии плечевого сустава в диагностике повреждений сухожилий ротаторной манжеты
3.3 Результаты лучевых исследований пациентов с
костно-травматическими изменениями плечевого сустава
3.3.1 Результаты классической рентгеноірафии в диагностике костно-травматических изменений плечевого сустава
3.3.2 Результаты компьютерной томографии в диагностике костно-травматических изменений плечевого сустава
3.3.3 Результаты нативной МРТ и прямой МР-артрографии в
диагностике костно-травматических изменений плечевого сустава
3.4 Результаты лучевых исследований в диагностике сопутствующих изменений плечевого сустава
3.5 Клинические наблюдения
3.6 Сопоставление результатов нативной МРТ и прямой
МР-артрографии с данными оперативных вмешательств и
артроскопии
ЗАКЛЮЧЕНИЕ
ВЫВОД1Л
ПРАКТИЧЕСКИЕ РЕКОМЕНДАЦИИ
СПИСОК СОКРАЩЕНИЙ
СПИСОК ЛИТЕРАТУРЫ
МР артрография плечевого сустава
Атрограмма выполняется для оценки патологических изменений капсулы сустава. Для оценки суставных изменений, радиолог вводит в полость сустава контрастное вещество. Введение контраста проводится под контролем флюороскопа или УЗИ.
Положение во время введения контраста: правильное расположение плечевого сустава это наиболее важный этап выполнения артрограммы. Положение пациента на спине с наружной ротацией верхней конечности (ладонью кверху), чтобы изолировать длинную головку сухожилия бицепса. Для иммобилизации руки поместите на ладонь подушечку с песком.
Маркеры для введения контраста: поставьте метку на коже над верхнемедиальным квадрантом плечевой кости на стыке с линии сустава.

Контрастирование: теперь обработайте помеченную область раствором бетадина и обезбольте кожу и подлежащие ткани 1% раствором лидокаина.
Для проведения всех МР артрограмм при контрастировании применяют иглы A 22 G 3½. Теперь поместите кончик иглы на отметку и при помощи флюороскопа проконтролируйте введение иглы в полость сустава. Теперь введите от 10 до 15мл разведенного магневиста в следующей пропорции: 5мл физиологического раствора, 2мл омнипака, 2мл 1% р-ра лидокаина и 0,1 мл магневиста.
Положение пациента
- Положение пациента лежа на спине головой по направлению к магниту (на спине головой вперед);
- Плечо помещают в катушку для плеча или большую изогнутую катушку и иммобилизуют с помощью подушечек с песком;

- Центральный луч лазера фокусируется над плечевым суставом или над линией, проходящей через центр катушки.
Предложенные протоколы параметров и планирования исследования
Локалайзер
Первично при планировании последовательности должны быть выполнены снимки в 3 плоскостях. Выдержка снимков менее 25 сек, с получением Т1-взешенных изображений низкого разрешения. При необходимости выполните дополнительные локалайзеры.

Серия T1 vibe 3d с жироподавлением, аксиальный срез 1 mm малое поле обзора (small FOV)
Планирование аксиальных срезов на коронарной плоскости; угловое расположение блока должно быть перпендикулярно плечевому суставу. Проверьте расположение блока на 2-х других плоскостях. Соответствующий угол должен быть получен в сагиттальной плоскости (перпендикулярно головке плеча). Эти срезы должны полностью покрывать всю область плечевого сустава (от верхушки акромиально-ключичного сустава и на 2 среза ниже нижней суставно-плечевой связки (the inferior glenohumeral ligament) (суставной капсулы)). Добавление полос насыщения над грудной клеткой поможет предотвратить появление нежелательных артефактов дыхания. Направление фазы исследования должно идти спереди назад, чтобы избежать появления артефактов заворота и дыхания.
Читайте также:
