Аспергиллез
Добавил пользователь Владимир З. Обновлено: 27.01.2026
Аспергиллез вызывают плесневые грибы Aspergillus, которые могут находиться в воздухе, в воде, на земле. Заметить их можно на испорченных продуктах и на стенах помещений с большой влажностью. Поражает аспергиллез птиц, животных и человека, при этом данный грибок наносит серьезный вред организму.
А знаете ли Вы, что?
Группы риска для заражения аспергиллезом:
— больные сахарным диабетом, бронхиальной астмой
— птицеводы, животноводы, работники аптек, библиотек,
сборщики грибов и т. д.
не передается от человека к человеку
Заражение аспергилезом возможно:
— при ингаляции конидий (спор гриба)
— при попадании конидий на раневую поверхность
— с пищей
Симптомы аспергиллеза
- Заболевание может поражать кожу, слизистые и внутренние органы
- Другие локализации аспергиллеза: также, аспергиллы нередко поражают ЛОР-органы, кожу, кости, слизистые. Возможен генерализованный (септический) аспергиллез
- Аспергиллез разнообразен по клиническим проявлениям, что зависит от иммунитета больного
- В большинстве случаев у лиц с хорошим иммунитетом заболевание может протекать бессимптомно , а больной является переносчиком заболевания и не подозревает об этом
- При проявлении иммунных нарушений аспергилез переходит в инвазивную форму, которая имеет хроническое, подострое или острое течение
Источники аспергилл
Вентиляционные, душевые системы, кондиционеры, ингаляторы, увлажнители воздуха, старые подушки и книги, строительно-ремонтные работы, почва комнатных растений, пищевые продукты (овощи, орехи, молотый черный перец, чай в пакетиках и пр.), гниющая трава, сено и др.
Аспергиллез легких и аспергиллез бронхопульмональный
Основной путь проникновения грибка в организм – воздушно-капельный, поэтому первый удар приходится на дыхательную систему. Аспергиллез легких проявляется в виде кровохаркания, выделение мокроты серо-зеленоватого цвета, больного беспокоят боли в груди, слабость, отсутствие аппетита и бессонница. Характерный привкус плесени во рту – еще один важный признак данного заболевания. Аллергический аспергиллез проявляется как прогрессирующая бронхиальная астма с поражением бронхов среднего калибра.
Диагноз «аспергиллез бронхопульмональный» врач ставит на основании рентгенологического обследования, анализа крови и исследования патологического материала (мокроты), в отдельных случаях может понадобиться биопсия пораженных тканей.
Важно! Инфекционист и Оториноларинголог — специалисты к которым следует обращаться если у вас есть подозрения на аспергиллез
О лечении аспергиллеза
Аспергиллез, симптомы которого уже проявились, требует незамедлительного лечения. При обострениях заболевания эффективны бронходилататоры, антимикробные, противогрибковые средства и кортикостероиды. Схема лечения аспергиллеза индивидуальна и составляет от 7 дней до 12 месяцев.
В профилактике и лечении аспергиллеза важнейшую роль играет состояние иммунной системы!
галавит при аспергиллезе
Одним их наиболее надежных иммуномодуляторов на российском фармацевтическом рынке сегодня является Галавит. В ряде клинических испытаний Галавита при лечении различных инфекционных заболеваний не выявлено местных и общих побочных эффектов, а также аллергических реакций.
Галавит усиливает действие этиотропных препаратов, сокращает сроки лечения и значительно улучшает показатели иммунного ответа.
Аспергиллез
Аспергиллез – заболевание, которое вызывается различными видами плесневых грибков рода Aspergillus. Часто сопровождается поражением дыхательной системы, у лиц с ослабленным иммунитетом протекает в тяжелой форме.
Аспергиллез является одним из самых распространенных микозов легких. Грибок аспергиллы можно встретить в любой среде, как в почве и воздухе, так и в дистиллированной воде.
Внимание!
Здесь вы сможете выбрать врача, занимающегося лечением Аспергиллез Если вы не уверены в диагнозе, запишитесь на прием к терапевту или врачу общей практики для уточнения диагноза.
Статьи на тему Аспергиллез:
Причины
Симптомы
Диагностика
Лечение
Местом дислокации этого грибка являются вентиляционные шахты, душевые кабины, кондиционеры, книги, мебель, сельскохозяйственные угодья, почва домашних растений и прочие места, где возможно скопление пыли и условия, подходящие для размножения грибка. Аспергиллы также могут обнаруживаться и в пыли больничных учреждений, что является причиной внутрибольничного инфицирования.
Больные сахарным диабетом имеют высокий уровень риска заражения аспергиллезом, независимо от региона проживания. Само заболевание не является контагиозным и не передается от человека к человеку. Из профессиональной сферы деятельности в зону риска попадают работники швейных фабрик, сельского хозяйства и прядильных предприятий.
В первую очередь грибок аспергилломы поражает респираторные пути, а из органов – легкие и околоносовые пазухи.
Причины
Вместе с воздухом возбудитель попадет на слизистую верхних дыхательных путей. Может поступать в организм и через поврежденную кожу. Большое значение в заражении аспергиллезом имеет ослабленный иммунитет человека. Легочная форма аспергиллеза может возникать на фоне бронхоэктатической болезни, абсцесса, туберкулеза или рака легких и прочих заболеваний. У лиц с ослабленным иммунитетом сначала поражаются легкие, затем повреждается плевра и непосредственно лимфатические узлы. Пользуясь кровеносной системой, аспергиллы попадают в другие органы, создавая там абсцедирующие гранулемы. Из легочного аспергиллез превращается в септический. Конечным результатом часто становится смерть больного. Шансы на выздоровление есть только у тех больных, чья иммунная система функционирует хотя бы частично. Люди, подверженные объемному вдыханию спор аспергилл, переживают острую диффузную пневмонию, которая заканчивается самостоятельным выздоровлением.
Симптомы
Инкубационный период аспергиллеза не установлен. Споры грибка могут поражать различные органы или ткани. Аспергиллез, лечение которого является сложным, встречается таких видов:
- бронхолегочный аспергиллез;
- аспергиллез кожи;
- аллергический аспергиллез;
- инвазивный аспергиллез;
- септический аспергиллез;
- аспергиллез ЛОР-органов;
- аспергиллез костей.
Бронхолегочный аспергиллез проявляется сначала как аспергиллезный бронхит или трахеобронхит. Первоначально аспергиллы располагаются в поверхностных слоях слизистой бронхов. Далее происходит углубление с образованием изъязвлений. Заболевание носит хронический характер. Аспергиллез имеет такие симптомы, как: проявление общей слабости организма, кашель с серой мокротой и иногда с прожилками крови. Далее может развиваться аспергиллезная пневмония, поражающая легкие. При острой форме наблюдается сильное повышение температуры тела, возможна лихорадка, появляется кашель с гнойной мокротой или с кровью. Также проявляется ночная потливость, сильная отдышка, боли в груди и наступает резкое снижение веса. При прослушивании констатируются мелкопузырчатые хрипы. На рентгенологических снимках обнаруживаются инфильтраты круглой или овальной формы. Хронические формы, как правило, являются вторичными и накладываются на прочие повреждения легких. Иногда при хронической форме отмечается запах плесени изо рта, в мокроте видны зеленые комочки, которые состоят из самых грибков.
Аллергический бронхопульмональный аспергиллез является гиперчувствительной реакцией к грибку аспергиллы, который часто встречается у больных астмой или муковисцидозом.
Септические формы чаще развиваются у людей, больных СПИДом, из-за поврежденного иммунитета. Данная форма характеризуется широкой географией распространения аспергилл, которые создают метастазы в зараженных органах. Часто наблюдаются поражения желудочно-кишечного тракта, множественные повреждения кожного покрова, абсцесс головного мозга и прочее.
Аспергиллез ЛОР-органов определяется наружными и средними отитами, следствием операции на внутреннем ухе, аспергиллеза гортани. Возможно появление аспергиллезного поражения кожи и/или ногтей. Профессиональный аспергиллез проявляется у людей, которые часто контактируют со спорами разного вида аспергиллы.
Диагностика
Аспергиллез, диагностика которого является комплексным и сложным процессом, определяется по ряду факторов. При опознании аспергиллеза принимается к вниманию профессия, состояние иммунной системы человека. При пораженных бронхах и легких обращают внимание на длительность и сложность протекания, характер мокроты, лейкоцитоз и эозинофилия. Подтверждением наличия заболевания служит выделение грибка из проб мокроты, материала из бронхов. Редко производят выделение аспергиллы из проб крови. Для диагностического определения принимают во внимание и появление антител к возбудителю. Следует обратить внимание, что у ВИЧ-инфицированных реакция гиперчувствительности замедленного типа является отрицательной.
Лечение
Лечение легочного и септического аспергиллеза является трудным. Химиотерапия дает положительный результат лишь в некоторых случаях. Аспергиллез легких эффективнее лечится методом хирургического вмешательства. Для большинства больных операция проходит удачно и без осложнений. Рецидив наблюдается редко. Если заболевание распространилось на другие органы, то используют комбинированную методику хирургического вмешательства и другой традиционной методики, в зависимости от особенностей протекания болезни и состояния пациента. Внутривенно назначают йодсодержащие препараты, постепенно увеличивая дозу, применяя йодид калия или натрия. Курс длится в зависимости от вида аспергиллеза и составляет в среднем от 4 до 8 недель. При легочных формах аспергиллеза показаны ингаляции растворов йодида натрия, настойки бриллиантового зеленого и натриевой соли.
При поражении кожи и слизистых аспергиллезом местно используют противовоспалительные и противомикозные препараты.
Найти и забронировать лекарства Вы можете на нашем сайте в соответствующем разделе.
Лечение аспергиллеза легких в Самаре
Аспергиллез легких (АЛ)- это заболевание относящиеся к микозам, возбудителем которого являются плесневые грибы. Наиболее часто выделяют от пациентов с аспергиллезом вид Aspergillus fumigatus. Следующие по частоте виды это Aspergillus flavus, Aspergillus niger и Aspergillus terreus. В некоторых учреждениях могут чаще обнаруживать A. flavus или A. Terreus.
Аспергиллез легких — причины развития заболевания и симптомы
- применение системных кортикостероидных препаратов в дозе более 5 мг в сутки (при коллагенозах, включая анкилозирующий спондилит, ревматоидный артрит, синдром Рейно), что приводит к дисфункции макрофагов и угнетению Т-лимфоцитов;
- цитостатическая химиотерапия, приводящая к нейтропении в крови (менее 0,5х109, при онкогематологических заболеваниях, трансплантации органов);
- длительный агранулоцитоз при лейкозах, апластическая анемия, хронический гранулематоз и др.;
- дисфункция гранулоцитов (хроническая гранулематозная болезнь, синдром Чедиак-Хигаши и др.);
- сахарный диабет;
- уменьшение клиренса грибковых спор при заболеваниях легких: хроническая обструктивная болезнь легких, муковисцидоз, бронхоэктазы и кисты легкого, нарушения легочной архитектоники (кистозная гипоплазия легкого, легочный фиброз), туберкулез, саркоидоз, гранулематозные болезни легких, состояния после резекции легкого и др.;
- хронический перитонеальный диализ (с развитием перитонита и последующей диссеминацией в другие органы);
- ожоговые раны, оперативные вмешательства, травмы;
- постановка венозных катетеров (с возможной местной контаминацией кожи), самоклеющихся повязок в области постановки катетеров; - алкоголизм с нарушением функции печени;
- кахексия и тяжелые хронические заболевания;
- злокачественные новообразования;
- интенсивная и длительная антибиотикотерапия;
- ВИЧ-инфицирование и СПИД;
- сочетание этих факторов.
Обобщая все состояния, при которых определяются и/или играют роль аспергиллы, можно выделить носительство/колонизацию, инвазию и аллергическое состояние, при этом микосенсибилизация и аллергия могут приобретать доминирующий самостоятельный характер. Для пациентов с дефектами иммунной системы аспергиллезное носительство/колонизация очень опасны и легко могут перейти в инвазию и диссеминацию. К группе риска развития микогенной аллергии относят лиц с бронхиальной астмой, хроническим бронхитом, особенно среди людей, связанных с грибами по роду профессиональной деятельности (птицеводов, животноводов, рабочих микробиологических предприятий, пекарей, работников аптек, библиотек, сборщиков грибов и др.).
Грибы Aspergillus spp. имеют относительно низкий инвазивный потенциал, который не приводит к заболеванию у людей с нормальной иммунной защитой. Основная масса спор гриба, попадающая в организм, элиминируется за счет мукоцилиарного клиренса. Остатки спор и мицелия фагоцитируются альвеолярными макрофагами. Первичной задачей неспецифической системы иммунитета является контроль роста спор, что препятствует превращению патогена в инвазивную форму.
Это осуществляется, главным образом, за счет киллинга спор альвеолярными макрофагами и переваривания спор в фаголизосомах. Гифы гриба Aspergillus, слишком большие по размеру, не могут фагоцитироваться макрофагами. Макрофаги и способны повреждать стенки гифов, ограничивая их рост, но основную роль защиты организма играют нейтрофилы. Таким образом, в норме существует три основные линии защиты организма против инвазии организма грибами рода Aspergillus: мукоцилиарный клиренс, фагоцитоз и киллинг спор макрофагами, а также повреждение и элиминация гифов грибов нейтрофилами.
При нормальном функционировании врожденной системы иммунитета этих систем вполне достаточно для защиты организма от инвазии грибами. При нарушениях функции альвеолярных макрофагов и нейтрофилов, споры гриба могут прорастать и формировать гифы, способные к инвазии. В группу риска попадают люди с нейтропенией, со сниженной по различным причинам способностью фагоцитов продуцировать перекисные формы кислорода при нормальном уровне нейтрофилов, а также имеющие сниженную кислород-независимую функцию макрофагов. В этом случае возможно формирование адаптивного иммунного ответа, однако у части людей формируются различные по клиническим проявлениям заболевания.
Среди инвазивных аспергиллезных инфекций на первое место (90% поражений) следует поставить аспергиллез легких – тяжелое заболевание с первичным поражением легких и, нередко, придаточных пазух носа (у 5-10% больных), гортани, трахеи и бронхов, с возможной диссеминацией в кожу и внутренние органы. В ЦНС распространяется в виде единичных/множественных абсцессов головного мозга, менингита, эпидурального абсцесса или субарахноидального кровотечения; отмечают также миокардит, перикардит, эндокардит, остеомиелит и дискит, перитонит, эзофагит; первичный аспергиллезный гранулематоз лимфоузлов, кожи и уха, эндофтальмит, аспергиллез наружного слухового прохода, мастоидит. Кроме того, аспергиллы могут быть причиной возникновения бронхиальной астмы и аллергического бронхолегочного аспергиллеза, а также способствовать развитию экзогенного аллергического альвеолита, иногда сочетающегося с IgE-зависимой бронхиальной астмой (при работе с гнилым сеном, ячменем и др.).
Диагностика аспергиллеза легких
Ранними симптомами острого АЛ являются кашель (обычно сухой) и лихорадка. Возможно кровохарканье, одышка, затруднение дыхания - при значительном распространении процесса, а также могут поражаться придаточные пазухи носа, трахея, кости, головной мозг, сердце. Самым редким является поражение кожных покровов, оно встречается всего в 5% случаев. Современные методы диагностики аспергиллеза направлены на как можно более раннее выявление микотического процесса, так как это позволяет существенно повысить выживаемость. Высокоспецифичным методом исследования с высокой диагностической ценностью в отношении аспергиллеза является получение бронхоальвеолярного лаважа (БАЛ) с цитологическим и бактериологическим исследованиями и/или определением антигена методом ПЦР.
При постановке диагноза существенное значение придают копьютерному томографическому исследованию (КТ) или проводят рентген грудной клетки в двух проекциях. Большое значение имеет определение аспергиллезного галактоманнана с помощью иммуноблотинга и иммуноферментного анализа (ИФА) в моче, крови, спинномозговой жидкости и бронхоальвеолярных смывах больных (для этого назначается ФБС), биопсия очагов поражения проводится с целью культуральной и гистологической диагностики, обязательна консультация отоларинголога – для исключения грибкового поражения ЛОР-органов. В целом, определение антигена Aspergillus spp. в крови позволяет предполагать инвазивный процесс за 6 -13 дней до его клинических проявлений (т.е. до возникновения лихорадки) и начать терапию значительно раньше, чем в обычных случаях.
Лечение аспергиллеза легких в Самаре
Следует помнить, что источником спор могут быть земля цветочных горшков, продукты питания (орехи, чай, черный перец, кофе и др.), старые журналы, книги, постельные принадлежности а также аппаратура искусственной вентиляции легких, системы кондиционирования и фильтрации воздуха, сырые помещения, погреба, места хранения муки. Поэтому для иммунокомпроментированных лиц необходимо запрещение земляных, сельскохозяйственных работ, контактов с животными, ограничение пребывания в пыльных и влажных местах, запрещение потребления несвежих и заплесневелых продуктов, сыров и пр. Установлено, что больной аспергиллёзом не несёт угрозы другим людям, специфический иммунитет не приобретается, как следствие могут быть повторные эпизоды болезни. Пациент должен находится под наблюдением пульмонолога, аллерголога - иммунолога, ЛОР — врача, врача компьютерной диагностики.
Аспергиллез

Аспергиллез – это одна из разновидностей микозов человека, заболевание, которое провоцируется плесневыми грибами Aspergillus. Проявляется заболевание преимущественно аллергической реакцией, однако в отличие от обычной аллергии, чаще всего поражающей кожные покровы, при аспергиллезе задействуются дыхательная и другие системы организма человека. Данное заболевание занимает первое место среди всех микозов человека, и это неудивительно, ведь возбудитель выявляется и в почве, и в воздухе, и даже в таких, казалось бы, совершенно неподходящих для них местах, как серный источник или дистиллированная вода.
Сложно сказать, каким путем возбудитель аспергиллеза не может попасть в организм. Согласно подтвержденным медицинским фактам, источниками аспергилл с той или иной частотой оказывались системы вентиляции, душевые системы, книги и подушки, которые длительное время использовались, кондиционеры, увлажнители воздуха, ингаляторы, строительная пыль, почва, в которую высажены комнатные растения, многие пищевые продукты, в том числе и специи, трава и многое, многое другое. Чаще всего аспергиллез диагностируют у тех, в чьи обязанности входит уход за голубями, поскольку именно эти птицы склонны заболеванию гораздо больше всех остальных.
Симптомы аспергиллеза
Поскольку в подавляющем большинстве случаев заболевание поражает именно внутренние органы, даже тщательный просмотр фото аспергиллеза не поможет вам определить, действительно ли пришлось столкнуться именно с ним. Кроме того, диагностику усложняет тот факт, что у каждого человека, в зависимости от целого ряда факторов (состояние иммунной системы, наличие хронических заболеваний и т.п.) симптомы аспергиллеза будут отличаться, а во многих случаях заболевание и вовсе протекает бессимптомно.
В зависимости от того, в каком состоянии находится иммунитет человека, возможно острое, подострое или хроническое течение аспергиллеза. Взаимосвязь самая что ни на есть прямая: чес сильнее ослаблены защитные функции организма, тем острее будет протекать болезнь. Для того, чтобы поставить диагноз, пациенту следует обратиться за медицинской помощью, и делать это рекомендуется как можно скорее после того, как вы обнаружили у себя возможные симптомы аспергиллеза:
- Постоянная заложенность носа.
- Аллергический ринит, не поддающийся привычной антигистаминной терапии.
- Астматические состояния.
- Головные боли.
- Полипы в носу.
- Устойчиво повышенная температура тела, не снижающаяся при проведении терапевтических мероприятий.
- Сильные боли в области грудной клетки.
- Признаки, свойственные пневмонии: кашель без отделения мокроты, примесь крови в отделяемой мокроте, боли в грудной клетке в процессе дыхания, хрипы и шумы.
- Носовое кровотечение.
Лечение аспергиллеза
К сожалению, избавиться от аспергиллеза не так просто. Если клинические исследования подтвердили, что у пациента именно аспергиллез, лечение начинается немедленно, причем в обязательном порядке оно проводится комплексно. Так, возможна симптоматическая терапия (чаще всего назначается пациентам с кровохарканьем). Само же лечение заболевания проводится одновременно со стабилизацией иммунной системы человека.
Лечение аспергиллеза осуществляется при помощи противогрибковых препаратов, принимаемых внутренне. Дозировка средств, равно как и продолжительность лечения, в каждом случае могут быть индивидуальны, а потому схему лечения должен назначать только врач. В качестве вспомогательной терапии назначаются иммуномодулирующие препараты, поскольку в вопросах борьбы с грибком защитные силы организма играют колоссальную роль.
К сожалению, иногда при лечении данного заболевания не удается избежать хирургического вмешательства, в ходе которого проводится одно или несколько из следующих мероприятий:
- Лобэктомия
- Перевязка бронхиальной артерии
- Эмболизация бронхиальной артерии
- Иссечение очага
- Выскабливание пораженных участков
То, каким именно будет лечение аспергиллеза у конкретного пациента, может решать исключительно врач, исходя из общего состояния больного и некоторых других немаловажных факторов.
ХПА – хронический легочный аспергиллез
Хронический аспергиллез легких — длительное Aspergillus инфекция легкого; аспергилл дымящийся почти всегда виноват вид. Страдающие CPA имеют здоровую иммунную систему, которая при обычных обстоятельствах полностью уничтожает инфекцию. Следовательно, грибок не может быстро проникнуть в больного, но ему удается заселить участки тела, где он может закрепиться.
Подходящими участками тела для заражения являются места, куда грибку впервые удалось проникнуть; дыхательные пути или пазух распространены, так как грибковые споры хорошо переносятся по воздуху. Во-вторых, ему необходимо ускользать от иммунной системы, поэтому он имеет тенденцию обитать в полостях, где контакт с иммунной системой меньше, например, в поврежденных легочных тканях, оставленных туберкулезом или подобной инфекцией. Мусор, оставленный первоначальной инфекцией, обеспечивает «точку опоры», в которой нуждается грибок.
После установления грибок может медленно расти, ограничиваясь тканью, окружающей полость (где иммунная система пациента все еще может бороться с инфекцией). Он может оставаться скрытым в течение многих лет, вызывая мало симптомов, но в некоторых случаях может начать разрушать окружающие ткани — возможно, из-за рубцевания, вызванного воспалением, когда грибок соприкасается со стенками полости. Вот как грибковый шарик, также называется аспергиллома, развивается. Не у всех пациентов с сердечно-сосудистыми заболеваниями развивается аспергиллома.
Это не представляет непосредственной угрозы для здоровья, если только не поврежден крупный кровеносный сосуд и не возникнет кровотечение. Иногда могут возникать тяжелые кровопотери; это называется кровохарканьем и требуется немедленное лечение в стационаре.
NB: Хронический легочный аспергиллез (CPA) и хронический инвазивный легочный аспергиллез (CIPA) использовались в прошлом, и это вызывало путаницу. CIPA теперь официально больше не используется для описания этой болезни. Инвазивный аспергиллез это другая болезнь.
Хронический легочный аспергиллез охватывает как минимум три подкатегории хронической инфекции:
- Хронический полостной легочный аспергиллез (CCPA), который определяется одной или несколькими полостями с наличием грибкового шарика или без него.
- Аспергиллома это термин, используемый для грибкового шара, растущего в полости. Пациент с CPA с аспергилломой может увидеть улучшение или небольшие изменения в течение нескольких лет. Может быть несколько симптомов или просто кашель.
- Хронический фиброзирующий легочный аспергиллез (CFPA) — это, по сути, CCPA, которая достигла поздней стадии своего развития, и легкие сильно повреждены.

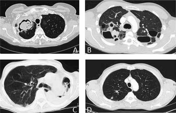
КТ больных с различными формами хронического аспергиллеза легких. (А) Простая аспергиллома; (B) Хронический полостной аспергиллез легких; (C) Хронический фиброзирующий аспергиллез легких; (D) Аспергиллезный узелок. Рисунок взят из Kosmidis C, Denning DW, Клинический спектр легочного аспергиллеза, торакс 2015;70:270-277
симптомы
У пациентов с аспергилломами мало специфических симптомов, но у 50-90% наблюдается кашель с кровью.
Для других пациентов с CPA симптомы могут включать потерю веса, утомляемость, кашель, кровохарканье (кровотечение в легких) и одышку, обычно в течение периода, превышающего 3 месяца.
Диагностика
Большинство пациентов с ХПА имеют основное заболевание легких. К ним относятся туберкулез, предшествующее лечение рака легких, саркоидоз, эмфизема и ХОБЛ. Рентген грудной клетки или компьютерная томография могут показать одну или несколько полостей легкого, а анализы крови могут быть положительными для Aspergillus антитела. Анализ галактоманнана является более надежным тестом на Aspergillus экспозиция. Образец мокроты можно культивировать, чтобы увидеть, Aspergillus растет. Иногда берется и проверяется биопсия.
Диагностика затруднена и часто требует обращения к специалисту. Это одна из основных услуг, предлагаемых Национальный центр аспергиллеза в Манчестере, Великобритания, где можно получить консультацию.
Решение
Пациенты с одиночными аспергилломами обычно хорошо переносят операцию, и им лучше всего назначать противогрибковые препараты до и после операции для предотвращения других осложнений. В более сложных случаях (CCPA) пожизненное использование противогрибковых препаратов является нормальным, наряду с регулярным рентгеном для наблюдения за прогрессом. Важно контролировать уровень противогрибковых препаратов в крови, чтобы обеспечить оптимальную дозировку, поскольку люди различаются по тому, как их организм обрабатывает эти препараты.
Если происходит кровотечение и операция невозможна, можно использовать другие методы лечения для ограничения кровопотери. Например, транексемовая кислота можно давать для стимулирования свертывания крови. Если это не удается и кровотечение становится чрезмерным, эмболизацию проводят через катетер (см. выступление консультанта-рентгенолога Национального центра аспергиллеза Рэя Эшли об ограничении кровопотери).
прогноз
Для большинства пациентов ХПА будет пожизненным заболеванием. 84% пациентов чувствуют себя хорошо после операции, если это возможно. Менее чем в 10% случаев заболевание самопроизвольно исчезает. Подавляющему большинству пациентов с ХПА требуется лечение хронических заболеваний. В большинстве случаев ключевыми целями терапии являются уменьшение симптомов и предотвращение прогрессирования заболевания.
Иногда пациенты бессимптомны и не прогрессируют даже без лечения. На другом конце спектра находятся пациенты с выраженными симптомами, у которых заболевание прогрессирует, несмотря на интенсивную противогрибковую терапию, иногда в сочетании с иммунотерапией. Остановка прогрессирования и, в частности, минимизация потери функции легких является ключевой целью терапии, к сожалению, не всегда достигаемой; Точно так же увеличение веса, снижение утомляемости, уменьшение кашля, выделение мокроты, кровохарканье и одышка — все это ценные преимущества длительной противогрибковой терапии, которые также не всегда достигаются.
Дополнительная информация
Eсть бумаги описание всех аспектов CPA на Веб-сайт Аспергилла. Написано профессором Дэвидом Деннингом (директор Национальный центр аспергиллеза) и коллег, он предназначен для людей с медицинским образованием.
Для получения более подробной информации о типах аспергиллеза, их симптомах и лечении посетите следующие ссылки:
Читайте также:
