Ателектаз
Добавил пользователь Евгений Кузнецов Обновлено: 13.12.2025
Патологический процесс, характеризующийся безвоздушностью лёгочной ткани в следствие спасения альвеол, называется ателектазом легкого. Причины развития ателектаза легкого могут быть врождёнными или приобретёнными. К причинам врождённого характера относят попадание околоплодных вод в лёгкие новорождённого, аномалии и пороки лёгких, черепно-мозговые травмы, полученные в процессе появления ребёнка на свет. Черепно-мозговые родовые травмы угнетающе сказываются на функциональной деятельности органов дыхания в целом и на лёгких в частности.
Причины возникновения ателектаза легкого
В качестве причин развития приобретённой формы патологии необходимо выделить обструктивный синдром, аллергические реакции организма, нарушение обменных процессов в организме, инородное тело в бронхах, онкологические опухоли в области грудной клетки, оказывающие сдавливающее воздействие на легочные ткани. В качестве наиболее вероятных заболеваний, на фоне которых развивается патология, выделяют плеврит, пневмоторакс, гемоторакс, пиоторакс, хилоторакс. В качестве располагающих к развитию патологии факторов следует выделить продолжительный постельный режим, переломы рёбер, недоношенность, побочное действие ряда фармакологических препаратов, травмы грудной клетки, избыточный вес, табакокурение.
Виды ателектаза
Исходя из обширности поражения патологией лёгочных тканей ателектазы разделяют на ацинозные, дольковые, сегментарные, долевые и тотальные. Развитие патологического процесса может поражать как одно, так и оба лёгких. Двусторонний ателектаз является очень опасным заболеванием для человека, увеличивается вероятность летального исхода.
Исходя из причин и характера развития патологии, ателектазы легкого подразделяют на обструктивные, компрессионные, контракционные и ацинарные. Обструктивная форма патологии развивается в следствие нарушения проходимости воздушных путей бронхиального дерева. Компрессионные ателектазы вызваны сдавливанием лёгочных тканей. Контракционные развиваются в следствие сдавливания альвеол фиброзной тканью. Ацинарные ателектазы связаны с недостатком сурфактанта, вызванного течением респираторного дистресс-синдрома.
Болезнь имеет три выраженные стадии своего развития: лёгкую, умеренную и тяжёлую. Интенсивность симптоматики зависит от обширности поражения лёгочных тканей. Так, к примеру, микроателектазы протекают в большинстве случаев вовсе бессимптомно. Наиболее выраженную симптоматику имеет ателектаз с вовлечением в воспалительный процесс верхней доли правого лёгкого. К симптомам данной формы патологии относят одышку, боли различной интенсивности в области груди, приступы непродуктивного кашля, учащённое сердцебиение, характерную синюшность кожи. Для получения наиболее информативной клинической картины необходимо проведение ряда диагностических процедур.
В качестве лабораторных исследований проводят биохимический анализ крови, позволяющий определить её газовый состав.
В качестве инструментальных методов диагностики применяют бронхоскопическое исследование, рентгенографию, компьютерную томографию лёгких.
Лечение ателектаза легкого
Основываясь на результатах исследований, врач-пульмонолог назначает максимально эффективную в конкретном случае терапию. В качестве основного метода лечения применяют методы консервативной терапии. Консервативная терапия сопровождается отсасыванием экссудата из дыхательных путей, промыванием бронхов антибактериальными средствами, санацию бронхов путём бронхоальвеолярного лаважа. Помимо вышеуказанных методов лечения, активно применяется физиотерапия, курсы перкуторного массажа, лечебная физкультура. Своевременно проведённое лечение позволяет избежать развития таких осложнений, как острая дыхательная недостаточность, пневмония, абсцесс легкого.
Публикации в СМИ
Ателектаз (коллапс) лёгкого — потеря участком лёгкого воздушности, возникающая остро или в течение длительного периода времени. В поражённой спавшейся области наблюдают сложное сочетание безвоздушности, инфекционных процессов, бронхоэктазов, деструкции и фиброза.
Этиология и патогенез • Обструкция просвета бронха пробками вязкого бронхиального секрета, опухолью, кистами средостения, эндобронхиальной гранулёмой или инородным телом • Увеличение поверхностного натяжения в альвеолах вследствие кардиогенного или некардиогенного отёка лёгких, дефицита сурфактанта, инфекции • Патология стенок бронха: отёк, опухоль, бронхомаляция, деформация • Сдавление дыхательных путей и/или самого лёгкого, вызванное внешними факторами (гипертрофия миокарда, аномалии сосудов, аневризма, опухоль, лимфаденопатии) • Увеличение давления в плевральной полости (пневмоторакс, выпот, эмпиема, гемоторакс, хилоторакс) • Ограничение подвижности грудной клетки (сколиоз, нервно-мышечные заболевания, паралич диафрагмального нерва, наркоз) • Острый массивный лёгочной коллапс как послеоперационное осложнение (нераспознанная и несанированная обтурация главного бронха).
Генетические аспекты определяются основным заболеванием (муковисцидоз, бронхиальная астма, ВПС и пр.). Факторы риска. Операции на органах грудной клетки, при ХОБЛ, туберкулёзе, у курильщиков, лиц, страдающих ожирением и у людей с короткой и широкой грудной клеткой.
Патоморфология • Капиллярная и тканевая гипоксия становится причиной транссудации жидкости. Альвеолы заполняются бронхиальным секретом и клетками, что препятствует полному спадению ателектазированного участка • Присоединение инфекции вызывает фиброз и бронхоэктазы.
Клиническая картина варьирует в зависимости от скорости развития бронхиальной окклюзии, объёма ателектаза и наличия инфекции.
• Диффузные микроателектазы, небольшой ателектаз, медленно развивающийся ателектаз и синдром средней доли (хронический ателектаз средней доли правого лёгкого вследствие сдавления лимфатическими узлами) могут протекать бессимптомно.
• Обширный ателектаз вследствие острой окклюзии характеризуется следующими признаками •• Боль на стороне поражения, внезапные одышка и цианоз •• Кашель •• Гипоксия со значительным снижением рaО2 с тенденцией к его восстановлению в течение первых 24–48 ч за счёт ослабления кровотока в ателектазированной области •• Перкуссия: притупление перкуторного звука над областью ателектаза •• Аускультация ••• отсутствие дыхательных шумов — при окклюзии дыхательных путей ••• бронхиальное дыхание, если дыхательные пути проходимы ••• влажные хрипы при фокальной обструкции •• Уменьшение экскурсии грудной клетки •• Смещение верхушечного толчка.
• Хронический ателектаз •• Одышка •• Кашель •• Перкуссия: притупление перкуторного звука •• Аускультация: влажные хрипы •• При инфицировании: увеличение количества мокроты, подъём температуры тела •• Возможны рецидивирующие кровотечения из поражённой области.
Возрастные особенности • Ранний детский возраст: аспирационный механизм, пневмония • Дети: среди причин наиболее часты кисты средостения, сосудистые аномалии • Пожилые: среди причин наиболее часты опухоли лёгкого, рубцовые стенозы, бронхоэктазы.
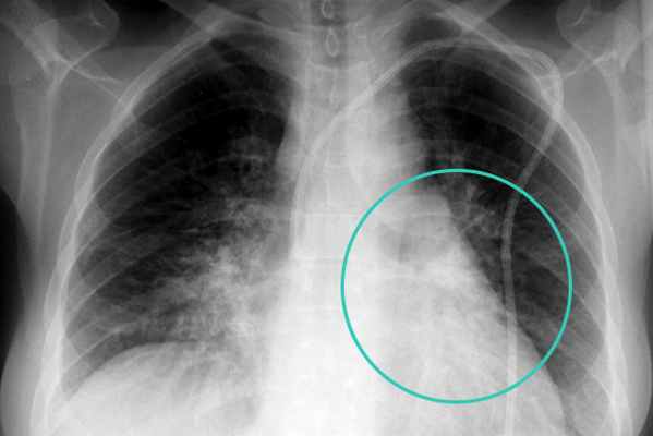
Специальные исследования • Рентгенография грудной клетки в двух проекциях •• треугольной формы интенсивная однородная тень с чёткими границами, с вершиной, направленной к корню лёгкого, с уменьшением объёма поражённого участка лёгкого •• При ателектазе доли или лёгкого — стойкое смещение средостения в больную сторону, купол диафрагмы на стороне поражения поднят, межрёберные промежутки сужены •• диффузные микроателектазы — ранее проявление кислородной интоксикации и острого респираторного дистресс-синдрома: картина «матового стекла» •• округлый ателектаз — округлое затенение с основанием на плевре, направленное к корню лёгкого («кометообразный» хвост из сосудов и воздухоносных путей). Чаще возникает у больных, контактировавших с асбестом, и напоминает опухоль •• правосторонний среднедолевой и язычковый ателектазы сливаются с границами сердца на этой же стороне (симптом Арман-Делиля) • Бронхоскопия показана для оценки проходимости дыхательных путей • ЭхоКГ для оценки состояния сердца при кардиомегалии • КТ или МРТ органов грудной полости.
Лечение
• Режим зависит от состояния больного. Следует поощрять физическую активность.
• Острый ателектаз (включая острый послеоперационный массивный коллапс) •• Следует устранить основную причину ателектаза, выполнить санационную бронхоскопию, особенно в случаях обструкции просвета бронха вязкой мокротой или рвотными массами •• При аспирации инородного тела — эндоскопическое удаление.•• Адекватная оксигенация, увлажнение дыхательной смеси •• В тяжёлых случаях ИВЛ с положительным давлением на выдохе или создание постоянного положительного давления в дыхательных путях у лиц с нервно-мышечной слабостью •• Постуральный дренаж (головной конец кровати опущен таким образом, чтобы трахея была ниже поражённого участка), дыхательная гимнастика, ранняя послеоперационная мобилизация больного •• Физиотерапевтические процедуры, массаж •• Антибиотики широкого спектра действия назначают с первого дня.
• Хронический ателектаз •• Постуральный дренаж, дыхательная гимнастика (спиротренажёр) •• Вентиляция лёгких с положительным давлением на выдохе или создание постоянного положительного давления в дыхательных путях у лиц с нервно-мышечной слабостью •• Антибиотики широкого спектра действия при гнойном характере мокроты •• Хирургическая резекция ателектазированного сегмента или доли при рецидивирующей инфекции и/или кровотечениях из поражённой области •• Если обструкция обусловлена опухолью, то выбор метода лечения определяется характером и распространённостью опухоли, общим состоянием больного.
• Бронходилататоры (сальбутамол, фенотерол) — вспомогательное значение.
Осложнение — абсцесс лёгкого (редко).
Профилактика • Отказ от курения • Профилактика аспирации инородных тел и жидкостей, в т.ч. рвотных масс • В послеоперационном периоде следует ограничивать применение длительно действующих обезболивающих средств • Ранняя послеоперационная мобилизация больного • Дыхательная гимнастика.
МКБ-10 • J98.1 Лёгочный коллапс
Код вставки на сайт
Ателектаз лёгкого
Ателектаз (коллапс) лёгкого — потеря участком лёгкого воздушности, возникающая остро или в течение длительного периода времени. В поражённой спавшейся области наблюдают сложное сочетание безвоздушности, инфекционных процессов, бронхоэктазов, деструкции и фиброза.
Этиология и патогенез • Обструкция просвета бронха пробками вязкого бронхиального секрета, опухолью, кистами средостения, эндобронхиальной гранулёмой или инородным телом • Увеличение поверхностного натяжения в альвеолах вследствие кардиогенного или некардиогенного отёка лёгких, дефицита сурфактанта, инфекции • Патология стенок бронха: отёк, опухоль, бронхомаляция, деформация • Сдавление дыхательных путей и/или самого лёгкого, вызванное внешними факторами (гипертрофия миокарда, аномалии сосудов, аневризма, опухоль, лимфаденопатии) • Увеличение давления в плевральной полости (пневмоторакс, выпот, эмпиема, гемоторакс, хилоторакс) • Ограничение подвижности грудной клетки (сколиоз, нервно-мышечные заболевания, паралич диафрагмального нерва, наркоз) • Острый массивный лёгочной коллапс как послеоперационное осложнение (нераспознанная и несанированная обтурация главного бронха).
Генетические аспекты определяются основным заболеванием (муковисцидоз, бронхиальная астма, ВПС и пр.). Факторы риска. Операции на органах грудной клетки, при ХОБЛ, туберкулёзе, у курильщиков, лиц, страдающих ожирением и у людей с короткой и широкой грудной клеткой.
Патоморфология • Капиллярная и тканевая гипоксия становится причиной транссудации жидкости. Альвеолы заполняются бронхиальным секретом и клетками, что препятствует полному спадению ателектазированного участка • Присоединение инфекции вызывает фиброз и бронхоэктазы.
Клиническая картина варьирует в зависимости от скорости развития бронхиальной окклюзии, объёма ателектаза и наличия инфекции.
• Диффузные микроателектазы, небольшой ателектаз, медленно развивающийся ателектаз и синдром средней доли (хронический ателектаз средней доли правого лёгкого вследствие сдавления лимфатическими узлами) могут протекать бессимптомно.
• Обширный ателектаз вследствие острой окклюзии характеризуется следующими признаками •• Боль на стороне поражения, внезапные одышка и цианоз •• Кашель •• Гипоксия со значительным снижением рaО2 с тенденцией к его восстановлению в течение первых 24–48 ч за счёт ослабления кровотока в ателектазированной области •• Перкуссия: притупление перкуторного звука над областью ателектаза •• Аускультация ••• отсутствие дыхательных шумов — при окклюзии дыхательных путей ••• бронхиальное дыхание, если дыхательные пути проходимы ••• влажные хрипы при фокальной обструкции •• Уменьшение экскурсии грудной клетки •• Смещение верхушечного толчка.
• Хронический ателектаз •• Одышка •• Кашель •• Перкуссия: притупление перкуторного звука •• Аускультация: влажные хрипы •• При инфицировании: увеличение количества мокроты, подъём температуры тела •• Возможны рецидивирующие кровотечения из поражённой области.
Возрастные особенности • Ранний детский возраст: аспирационный механизм, пневмония • Дети: среди причин наиболее часты кисты средостения, сосудистые аномалии • Пожилые: среди причин наиболее часты опухоли лёгкого, рубцовые стенозы, бронхоэктазы.
Специальные исследования • Рентгенография грудной клетки в двух проекциях •• треугольной формы интенсивная однородная тень с чёткими границами, с вершиной, направленной к корню лёгкого, с уменьшением объёма поражённого участка лёгкого •• При ателектазе доли или лёгкого — стойкое смещение средостения в больную сторону, купол диафрагмы на стороне поражения поднят, межрёберные промежутки сужены •• диффузные микроателектазы — ранее проявление кислородной интоксикации и острого респираторного дистресс-синдрома: картина «матового стекла» •• округлый ателектаз — округлое затенение с основанием на плевре, направленное к корню лёгкого («кометообразный» хвост из сосудов и воздухоносных путей). Чаще возникает у больных, контактировавших с асбестом, и напоминает опухоль •• правосторонний среднедолевой и язычковый ателектазы сливаются с границами сердца на этой же стороне (симптом Арман-Делиля) • Бронхоскопия показана для оценки проходимости дыхательных путей • ЭхоКГ для оценки состояния сердца при кардиомегалии • КТ или МРТ органов грудной полости.
Лечение
• Режим зависит от состояния больного. Следует поощрять физическую активность.
• Острый ателектаз (включая острый послеоперационный массивный коллапс) •• Следует устранить основную причину ателектаза, выполнить санационную бронхоскопию, особенно в случаях обструкции просвета бронха вязкой мокротой или рвотными массами •• При аспирации инородного тела — эндоскопическое удаление.•• Адекватная оксигенация, увлажнение дыхательной смеси •• В тяжёлых случаях ИВЛ с положительным давлением на выдохе или создание постоянного положительного давления в дыхательных путях у лиц с нервно-мышечной слабостью •• Постуральный дренаж (головной конец кровати опущен таким образом, чтобы трахея была ниже поражённого участка), дыхательная гимнастика, ранняя послеоперационная мобилизация больного •• Физиотерапевтические процедуры, массаж •• Антибиотики широкого спектра действия назначают с первого дня.
• Хронический ателектаз •• Постуральный дренаж, дыхательная гимнастика (спиротренажёр) •• Вентиляция лёгких с положительным давлением на выдохе или создание постоянного положительного давления в дыхательных путях у лиц с нервно-мышечной слабостью •• Антибиотики широкого спектра действия при гнойном характере мокроты •• Хирургическая резекция ателектазированного сегмента или доли при рецидивирующей инфекции и/или кровотечениях из поражённой области •• Если обструкция обусловлена опухолью, то выбор метода лечения определяется характером и распространённостью опухоли, общим состоянием больного.
• Бронходилататоры (сальбутамол, фенотерол) — вспомогательное значение.
Осложнение — абсцесс лёгкого (редко).
Профилактика • Отказ от курения • Профилактика аспирации инородных тел и жидкостей, в т.ч. рвотных масс • В послеоперационном периоде следует ограничивать применение длительно действующих обезболивающих средств • Ранняя послеоперационная мобилизация больного • Дыхательная гимнастика.
Особенности формирования ателектазов
Игорь Евгеньевич Тюрин, профессор, доктор медицинских наук:
– Особенности формирования ателектазов.
Конечно, механизм закупорки бронха – от этого зависит дальнейшая его судьба. Почему. Потому что быстрая, мгновенная (в течение нескольких минут или даже секунд, или часов, может быть) полная обтурация просвета бронха приводит к формированию ателектаза в собственном прямом смысле этого слова. Воздух резорбируется из альвеол, и результатом этого становятся участки безвоздушной легочной ткани.
Особенность заключается в том, что в этом случае (когда в просвет бронха попадает инородное тело, и это тело как пробка полностью и сразу же закупоривает просвет бронха), в этом случае дистальнее места сужения обтурации в легочной ткани не успевает развиваться обтурационный пневмонит – вторичный воспалительный процесс. Как следствие этого, такой ателектаз может существовать многие месяцы, иногда даже годы – такие наблюдения описаны в литературе.
После того, как причина, вызвавшая такой мгновенный ателектаз, устраняется (скажем, из просвета бронха удаляется инородное тело), легочная ткань, как это ни парадоксально, расправляется. Восстанавливает свою воздушность и дальше функционирует так же, как и оставшаяся здоровая легочная ткань. Это, кстати сказать, один из возможных примеров экспериментального формирования ателектазов легочной ткани.
Он имеет ряд очень важных отличительных особенностей – мы о них чуть попозже поговорим. Но самое главное, что там возникают вторичные воспалительные процессы с соответствующими клиническими проявлениями.
Второе очень важное обстоятельство: степень обтурации просвета бронхов. Конечно, полная обтурация просвета бронхов теоретически должна была бы приводить к такому же полному ателектазу. Тем не менее, мы очень часто наблюдаем, что такой прямой зависимости не существует.
Мы можем наблюдать полную обтурацию бронха и воздушную легочную ткань без каких-либо признаков ателектаза. Это не является каким-то удивительным физиологическим феноменом, учитывая, что снабжение воздухом отдельных участков легочной ткани имеет очень много колотералей.
Еще раз повторю: это не имеет какой-то прямой зависимости. Так же как, на самом деле, не существует строгой последовательности в развитии ателектаза, как это часто описывалось раньше в учебниках. Сначала это частичный ателектаз или, как его иногда называют, гиповентиляция. Затем это так называемое обтурационное вздутие, потом полный ателектаз.
Очень часто мы наблюдаем смешение различных стадий, степеней нарушения бронхиальной проходимости. Поэтому нас больше интересует, в каком состоянии именно сейчас находится легочная ткань.
В чем особенность обтурационного пневмонита. Возникает при частичном нарушении бронхиальной проходимости. Характеризуется сочетанием ателектаза, хронического воспаления, пневмосклероза.
В этом важнейшая причина, которая нередко усложняет диагностику такого рода состояний, когда пациента с обтурационным ателектазом при наличии центрального рака подвергают антибактериальной терапии. Состояние несколько улучшается, воздушность легочной ткани несколько восстанавливается, но не полностью – а дальше этот процесс продолжает свое существование и не приводит к положительному результату.
Вот один из таких возможных вариантов обтурационного пневмонита. Инфильтративные изменения, которые локализуются, в данном случае, в верхней доле правого легкого – они формально совершенно никак не отличимы от верхнедолевой пневмонии. Но проблема в том, что сам по себе обтурационный пневмонит, несмотря на проводимое лечение, редко подвергается полному обратному развитию.
Когда мы наблюдаем этого пациента в динамике, мы видим, что изменения в легочной ткани остались, но стала очень хорошо видна причина, вызывающая такой вторичный воспалительный процесс. У этого пациента, конечно, это большое патологическое образование, которое располагается в корне правого легкого, в проекции верхнедолевого бронха. Суживает этот бронх и вызывает такой непрерывно рецидивирующий процесс в легочной ткани.
Если мы говорим об обтурационных пневмонитах, конечно, здесь принципиальное значение имеет компьютерная томография и вообще томографическое исследование. В случае уменьшения объема части легкого, как у этого пациента – а здесь совершенно очевидно уменьшение объема верхней доли правого легкого, неравномерное уплотнение части верхней доли. Но при томографическом исследовании мы видим сохраненные долевые сегментарные бронхи. Это позволяет отличить такое уменьшение объема верхней доли при воспалительном процессе (в данном случае это затяжная пневмония) от обтурационных пневмонитов, возникающих в результате сдавления или сужения крупных бронхов.
Диагностическая тактика в таких случаях. Мы видим затяжное течение пневмонии или, тем более, рецидивирующее течение пневмонии. При рентгеновском исследовании определяется выраженное уменьшение объема доли или сегмента и это не имеет тенденции к восстановлению, особенно в сочетании с расширением корня легкого.
Конечно, в этом случае бронхологическое исследование и компьютерная томография являются совершенно обязательными для оценки состояния долевых и сегментарных бронхов.
А также то, что я уже говорил в отношении нарушения бронхиальной проходимости и степени спадения легочной ткани. В этом случае вы видите практически полную обтурацию третьего сегментарного бронха. Второй сегментарный бронх на месте, он хорошо виден – направляющийся назад. А спереди культя квадратной формы за счет эндобронхиального образования третьего сегментарного бронха, которое полностью перекрывает просвет этого бронха.
Тем не менее, легочная ткань сохраняет свою воздушность, и ни на рентгенограммах, ни на компьютерных томограммах никаких признаков ателектаза здесь не возникает. Эта ситуация возникает не так часто, конечно, но в ней нет ничего экстраординарного. Это обычный физиологический механизм компенсаторной вентиляции отдельных участков легкого.
Если же говорить о причинах ателектаза и нашей возможности разграничивать эти причины каким-то образом с помощью методов лучевой диагностики – они здесь перед вами на слайде.
Конечно, самое частое – это новообразования. Злокачественные, значительно реже доброкачественные, опухоли. Кроме этого, рубцовая структура, посттуберкулезные, посттравматические инородные тела. В том числе бронхиолиты, возникающие у больных, перенесших туберкулез легких.
Это сдавление бронха извне. Обычно это бывает либо лимфатическими узлами средостения, либо (когда речь идет о нижней доле левого легкого) уплотненной расширенной аортой. Тогда возникает ателектаз нижней доли левого легкого – но это более редкая причина.
Конечно, самое частое – это новообразования. Я не буду возвращаться к новообразованиям обычным, с которыми мы часто встречаемся в нашей практике. Практически все примеры ателектазов, которые я сейчас показывал, так или иначе были связаны с первичными опухолями центральных бронхов (центральный рак) и формированием соответствующего ателектаза. То, что я хочу сейчас показать – наши возможности и наши ограничения в плане диагностики.
Можем ли мы каким-то образом определить морфологическую структуру патологического образования, которое закрывает просвет бронха и приводит к развитию ателектаза. К сожалению, в большинстве случаев нет. Поэтому распространенное заключение врачей-рентгенологов, когда они видят ателектаз и стеноз бронха, о том, что это рак легкого – оно формально не соответствует действительности.
Рак – это все-таки эпителиальная опухоль, исходящая из поверхности бронхиального дерева. Это все-таки морфологический диагноз. Тем не менее, бронхостеноз сам по себе может развиваться в результате множества других причин.
В ряде случаев мы очень хорошо можем найти эту причину, увидеть. Одно из редких наблюдений, но, как обычно, показывающее возможности лучевой диагностики. Классическая картина ателектаза средней доли правого легкого. Нелокализованное затенение в правом кардиодиафрагмальном углу и типичная треугольная тень в проекции средней доли на снимке в боковой проекции.
Что мы видим при компьютерной томографии. Жиросодержащее патологическое образование, которое полностью перекрывает просвет среднедолевого бронха. В этом случае, естественно, рентгенолог может практически морфологический диагноз установить, просто анализируя компьютерно-томографические снимки.
Естественно, в таких случаях можно и более красивое изображение получить с помощью, например, виртуальной бронхоскопии, как в этом случае. Убедиться в том, что это действительно стеноз крупного бронха, это патологическое образование. Но главное, что мы можем в этой ситуации увидеть саму причину и фактически определить морфологический характер.
Другая возможная ситуация, когда мы хорошо понимаем, о чем идет речь – это карциноиды. Это нейроэндокринные опухоли, часть из которых отличается исключительно высоким кровоснабжением. Они ведут себя как гиперваскулярные структуры при томографическом исследовании, при введении контрастных веществ, при ангиографических исследованиях.
В этой ситуации на обзорной цифровой рентгенограмме вы видите классическую картину ателектаза нижней доли левого легкого. В этом случае контур спавшей левой доли находится внутри от контура сердца. Естественно, исчезает нормальное изображение купола диафрагмы, реберно-диафрагмального синуса. А при томографическом исследовании – округлой формы с четкими контурами гиперваскулярное образование в корне левого легкого и типичный ателектаз нижней доли левого легкого с расширенными бронхами.
Еще раз повторю: карциноид. В этой ситуации, кончено, врач-рентгенолог может достаточно точно предположить, по крайней мере, морфологическую природу изменений в грудной полости.
С другой стороны, есть ситуации, когда мы совершенно лишены такой возможности. Я уже говорил о том, что чаще всего, конечно, эта злокачественная опухоль является раковой опухолью.
Метастазы в крупные бронхи выявляются не так часто. Но если они возникают, то рентгенологическая картина у больных, перенесших рак молочной железы, рак кишки, почки, меланому, оказывается практически неотличима от рентгенологической картины первичного рака легкого.
В этом случае наблюдаем картину формирования в течение нескольких месяцев полного ателектаза верхней доли левого легкого (здесь это хорошо показано стрелками).
При томографическом исследовании огромное патологическое образование, практически полностью обтурирующее просвет левого главного бронха. При этом, это рак прямой кишки, метастаз в левый верхнедолевой бронх. Это морфологически доказано. Не всякий ателектаз при не всяком злокачественном образовании является раковой опухолью.
Несколько слов о доброкачественных структурах и формировании обтурационных ателектазов при такого рода изменениях.
Рубцовые структуры, инородные тела бронхов, сдавления извне – это достаточно частые ситуации. В этом случае, конечно, формальная картина ателектаза должна сопровождаться еще дополнительными томографическими исследованиями.
Почему. Конечно, одной из очень частых причин в этой ситуации является туберкулез. Либо это обтурация бронхолитом. Либо это сдавление бронхов увеличенными лимфатическими узлами. Либо это последствия перенесенного туберкулеза, как в этом случае.
Суженный просвет среднедолевого бронха окружен частично обызвествленными лимфатическими узлами после перенесенного туберкулеза. Это классический синдром средней доли в результате перенесенного первичного туберкулеза легких. Очень важно, что в данном случае рентгенолог имеет возможность определить правильную топику этих изменений и их причину.
А с другой стороны, это выпадение казеозно-некротических обызвествленных масс из лимфатического узла. Бронхолиты, которые попадают в крупные бронхи, их обтурируют. В результате – ателектаз язычковых сегментов. Мы хорошо видим это рентгеноконтрастное инородное тело (в этом случае бронхолит) непосредственно в просвете язычкового сегментарного бронха. Это, конечно, отличает такие обтурационные ателектазы от злокачественных опухолей.
Так же как и при более совершенном техническом обеспечении, когда у нас в распоряжении есть многосрезовая компьютерная томография, здесь прекрасно виден бронхолит, который располагается в бронхе переднего сегмента (в третьем сегментарном бронхе). Он обтурирует просвет этого бронха, но опять (обратите внимание) не вызывает формирование ателектаза, а только уменьшение объема.
Конечно, классика жанра – это инородные тела бронхов. Особенно у детей, как в этом случае. Это куриная косточка, которая обтурирует просвет нижнедолевого бронха. В этом случае, конечно, рентгеноконтрастное инородное тело (кость) хорошо видно при рентгеновском томографическом исследовании. Хорошо понятно, что это такое.
Сложности возникают в тех ситуациях, когда это не контрастные инородные тела. Тогда их очень сложно отличить от новообразований и других причин, вызывающих сдавление бронхов.
Сдавление бронхов увеличенными лимфатическими узлами, которое наблюдается при злокачественных опухолях, при метастатических поражениях лимфатических узлов.
В этом случае – пример классического ателектаза верхней доли у ребенка, страдающего туберкулезом внутригрудных лимфатических узлов. На снимке в нижнем правом углу вы хорошо видите увеличенные лимфатические узлы в корне правого легкого.
Наконец, фиброателектазы. Своеобразное патологическое состояние, которое возникает в результате перенесенного воспалительного процесса. Рентгеновские признаки ателектазы в этом случае сочетаются с сохранением просвета крупного бронха. Фактически, это патологическое состояние, которое сочетает в себе признаки и фиброзных изменений в легочной ткани, и признаки ателектаза.
Принципиально важно определить и доказать, что уменьшение объема части легкого не связано с новообразованием, а в основе своей имеет перенесенный воспалительный процесс.
Здесь, конечно же, томографическое исследование, наряду с бронхологическим, позволяет очень точно оценить состояние долевых и сегментарных бронхов и на этом основании исключить наличие патологического образования.
Еще один очень важный элемент нарушений бронхиальной проходимости или ателектазов, типов ателектазов – так называемые круглые ателектазы. Я не буду сегодня показывать дисковидные ателектазы – я думаю, все это хорошо знают и понимают, как это выглядит. Но покажу своеобразный вид патологий легочной ткани, вид рефлекторных ателектазов. Они возникают, еще раз повторю, вследствие различных раздражающих факторов.
Типичная компьютерно-томографическая (иногда даже рентгеновская) картина. Она связана с формированием участка уплотнения в легочной ткани и очень характерным изменением сосудистого бронхиального рисунка в легочной ткани по типу хвоста кометы, направленного от корня легкого. Вы видите это на компьютерных томограммах.
Выглядит это вот таким образом на обзорной рентгенограмме – как сегментарный или субсегментарный ателектаз. А при томографическом исследовании, как я уже сказал, это достаточно характерная картина.
В заключение несколько слов о ретенционных кистах. Возникают при обтурации бронхов среднего калибра. Как правило, это все-таки бронхи дистальнее субсегментарных.
Обычно это результат туберкулеза бронхов, говорим мы и прежде всего ищем у таких пациентов посттуберкулезные изменения. Хотя ретенционные кисты или расширение бронхов в результате накопления там избыточного количества бронхиального секрета могут наблюдаться при множестве других патологических состояний. Там, где есть нарушение отхождения бронхиального секрета по бронхам.
Это могут быть и атрезия бронхов как врожденная патология. Это и бронхоэктазы с формированием ретенционных кист. Скажем, при бронхиальной астме, при аллергическом бронхолегочном аспергиллезе и целом ряде других патологических процессов. В том числе, как вы сейчас видели, и при обтурационных ателектазах внутри ателектозированной легочной ткани формально формируются такие расширенные бронхи по типу ретенционных кист.
Обычно они имеют типичную V-образную или Y-образную форму, острием обращенную в сторону корня легкого, а основанием в сторону висцеральной плевры. Иногда содержат обызвествления (обызвествленное содержимое, обызвествленная стенка бронхов) – тогда это очень важный критерий в смысле туберкулезного анамнеза у такого пациента. А также могут иметь жидкостную плотность при компьютерной томографии – тогда это, конечно, облегчает диагноз.
Классическая картина: неправильной формы патологическое образование, имеющее V-образную форму с двумя ответвлениями, острием обращенное к дренирующему бронху. При томографическом исследовании хорошо видны включения кальция в одну из стенок этого патологического образования.
Другой пример, когда обызвествлению подвергается, собственно, само содержимое ретенционной кисты. На рентгенограмме в боковой проекции прекрасно видна в передней части правого легкого V-образная крупная структура, состоящая как бы из двух рогов, острием обращенная в сторону корня легкого. Это прекрасно видно при томографическом исследовании.
В корне легкого огромный обызвествленный паратрахиальный лимфатический узел, полная обтурация субсегментарного бронха третьего сегмента. А также частично кальцифицированное казеозное содержимое этой ретенционной кисты, которая располагается в третьем бронхолегочном сегменте.
Но все-таки чаще мы видим не такие крупные ретенционные кисты, а более мелкие образования. Это важно, потому что в этой ситуации, конечно, речь идет о дифференциальной диагностике с периферическими образованиями в легких. Такими, как периферический рак или туберкулема.
Здесь ключевое значение, конечно, имеет форма таких ретенционный кист и их связь с бронхом. Повторяю еще раз: такая V-образна или Y-образная форма, в устье которой находится соответствующий бронх – это очень типичная картина, характерная для этих патологических состояний. При томографическом исследовании это видно очень хорошо.
Ателектаз

Ателектаз легкого — участки легких, утратившие воздушность; полный или частичный коллапс дыхательного органа. Так происходит когда альвеолы выпускают и больше не хранят воздух либо когда они заполняются жидким экссудатом и поэтому не участвуют в газообмене. Ателектазы могут формироваться постепенно, а могут мгновенно, что характеризует острую форму.
Помимо безводушности в пораженных участках легких также могут быть выявлены инфекционно-воспалительные очаги, бронхоэктазы, пневмофиброз.
Причины ателектазов
- Отек легких;
- Респираторные инфекции (пневмонии, туберкулез);
- Поражение бронхов, связанное со скоплением слизи (пробками), опухолями, крупными кистами средостения, гранулемами, инвазией инородными предметами;
- Пневмоторакс;
- Последствия общей анестезии;
- Последствия хирургического вмешательства;
- Некоторые наследственные заболевания (муковисцидоз, бронхиальная астма);
- Травмы грудной клетки;
- Пневмоторакс;
- Отравление токсичными газами и веществами, в т.ч. лекарственными препаратами при индивидуальной непереносимости.
Симптомы ателектазов
- Затрудненное (учащенное, поверхностное) дыхание;
- Одышка;
- Кашель;
- Кровохарканье (редко).
Если поражены сравнительно небольшие участки легких, ателектазы не беспокоят, но могут увеличиваться постепенно.
Для диагностики ателектазов наиболее предпочтительным неинвазивным методом обследования является КТ легких.
Текст подготовил
Котов Максим Анатольевич, главный врач центра КТ «Ами», кандидат медицинских наук, доцент. Стаж 20 лет
Текст подготовил
Котов Максим Анатольевич, главный врач центра КТ «Ами», кандидат медицинских наук, доцент. Стаж 20 лет
- Котов М.А. Опыт применения компьютерной томографии в диагностике заболеваний органов дыхания у детей / Материалы X Невского радиологического Форума (НРФ-2018). – СПб., 2018, Лучевая диагностика и терапия. 2018. № 1 (9). — С. 149.
- Панов А.А. Пневмония: классификация, этиология, клиника, диагностика, лечение, 2020.
- Бова А.А. Пневмонии: этиология, патогенез, клиника, диагностика, 2016.
- Chl Hong, M.M Aung , K. Kanagasabai , C.A. Lim , S. Liang , K.S Tan. The association between oral health status and respiratory pathogen colonization with pneumonia risk in institutionalized adults, 2018.
- Yang-Pei Chang, Chih-Jen Yang, Kai-Fang Hu, A-Ching Chao, Yu-Han Chang, Kun-Pin Hsieh, Jui-Hsiu Tsai, Pei-Shan Ho, Shen-Yang Lim. Risk factors for pneumonia among patients with Parkinson's disease: a Taiwan nationwide population-based study, 2016.
- Клинические рекомендации по диагностике, лечению и профилактике тяжелой внебольничной пневмонии у взрослых. Министерство здравоохранения РФ, 2019.
Мы перезвоним, подберём удобное для записи время и ответим на вопросы.
Оператор обрабатывает входящие заявки с 8:00 до 22:00
Нажимая на кнопку, вы даете согласие на обработку персональных данных в соответствии с Федеральным законом от 27.07.2006 г. № 152-ФЗ «О персональных данных».
Если вы оставили ее с 8:00 до 22:00, мы перезвоним вам для уточнения деталей в течение 15 минут.
Ателектаз легкого
Снижение воздушности всего легкого или его части. Одним из самых распространенных механизмов является исчезновение воздуха дистальнее уровня обструкции дыхательных путей (например, эндобронхиальные новообразования). Синоним коллапс часто используется наравне с ателектазом.
Классификация
В зависимости от патогенетического механизма выделяют:
- резорбтивный (обструктивный, обтурационный) ателектаз
- развивается в результате полной или частичной обструкции дыхательных путей
- атмосферный воздух не поступает дистальнее места обструкции, а воздух уже содержащийся с просвете дыхательных путей постепенно подвергается резорбции в легочную капиллярную систему, приводя к спадению пораженного участка легкого
- поскольку висцеральная и париетальная плевра не разделяются при резорбтивном ателектазе, возникающая тракция приводит к смещению подвижных структуры грудной клетки в сторону уменьшения объема ("смещение средостения")
- потенциальные причины резорбтивного ателектаза это опухоли, слизистые пробки (напр при бронхиальной астме), инородные тела
- резорбтивный ателектаз (коллапс) целого легкого происходит при обструкции главного бронха
- возникает при нарушение контакта между париетальной и висцеральной плеврой
- наиболее частые причины пассивного ателектаза это плевральный выпот и пневмоторакс
- чаще развивается в следствии сдавления легкого извне, чаще всего жидкостью (например, при экссудативном плеврите, гидротораксе) или воздухом при пневмотораксе
- возникает в результате формирования рубцов или фиброза, которые приводят к снижению способности легочной ткани расправлятся, наиболее частые причины включают гранулематозные заболевания,некротизирующую пневмонию и радиационный фиброз
- обусловлен патологическим составом или недостаточностью сурфактанта в альвеолах, что приводит к тому, что альвеолы могут прилипать одна к другой
- поражаются преимущественно нижние отделы лёгкого, вследствие нарушения механики движения диафрагмы или угнетения дыхательного центра, обычно у лежачих больных
Морфологически выделяют
- дисковидный (пластинчатый, субсегментарный) ателектаз
- в основном наблюдается в базальных отделах и представляет собой несколько спавшихся долек легкого
- спадение одного или нескольких отдельных сегментов легких
- спадение одного или нескольких долей легкого
Диагностика
Диагностика ателектаза легкого обычно проводится при помощи рентгенологического исследования органов дыхания – рентгенографии легких в прямой и боковой проекциях. Также используется бронхоскопия и мультиспиральная компьютерная томография. На рентгеновских снимках и КТ-сканах определяется
- уменьшение объема, сопровождающееся повышением непрозрачности (рентгенография грудной клетки) или коэффициента ослабления (повышением КТ-плотности) в пораженной части легкого
- отсутствие легочного рисунка в пораженной части
- смещение средостения в сторону пораженного легкого
- компенсаторное повышение воздушности здорового легкого
- высокое положение купола диафрагмы со стороны пораженного легкого
Ателектаз часто ассоциируется с аномальным смещение щелей, бронхов, сосудов, диафрагмы, средостения. Изменения могут быть долевыми, сегментарными или субсегментарными
Читайте также:
- Дыхательная недостаточность при бронхиальной астме. Одышка при эмфиземе.
- Эпидемиология туберкулеза. Распространенность туберкулеза
- Канальцевая реабсорбция. Регуляция канальцевой реабсорбции. Проксимальная реабсорбция. Аквопорины.
- Цирроз печени
- Меланоакантома. Инвертированный фолликулярный кератоз. Доброкачественный плоскоклеточный кератоз.
