Дегисценция луковицы яремной вены - лучевая диагностика
Добавил пользователь Евгений Кузнецов Обновлено: 15.12.2025
ЛОР-клиника Московского областного научно-исследовательского клинического института им. М.Ф. Владимирского, Москва
Отдел заболеваний уха, лаборатория патологической анатомии ЛОР-органов НКЦ оториноларингологии ФМБА России
Кафедра болезней уха, горла и носа Первого Московского государственного медицинского университета им. И.М. Сеченова, Москва, Россия, 119991
ООО "Центр "Зрение"
Кафедра оториноларингологии МОНИКИ им. М.Ф. Владимирского
ФГБОУ ВО «Воронежский государственный медицинский университет им. Н.Н. Бурденко», Воронеж, Россия
Первый Московский государственный медицинский университет им. И.М. Сеченова Министерства здравоохранения Российской Федерации, кафедра болезней уха, горла и носа, Москва, Россия, 119991
Гломусная опухоль луковицы яремной вены: осложнения послеоперационного периода
Журнал: Вестник оториноларингологии. 2018;83(6): 58‑60
В статье представлен клинический случай, отражающий трудности послеоперационного ведения пациентов после удаления гломусной опухоли яремной вены.
Параганглиомы являются истинными новообразованиями, источник роста которых — параганглионарные хеморецепторные клетки. В височной кости данные клетки расположены в области луковицы яремной вены и на промонториальной стенке барабанной полости, исходя из ветви языкоглоточного нерва — барабанного нерва [1].
Распространенность данной патологии 1:1 300 000, однако среди доброкачественных новообразований среднего уха гломусные опухоли занимают 2-е место после невриномы преддверно-улиткового нерва [1—3].
Гломусные опухоли характеризуются тканевой атипией, то есть являются доброкачественными, и относительно медленным ростом, однако их локализация обусловливает значительные медицинские проблемы, такие как серьезные патологические проявления при локализации новообразований на основании черепа в области внутренней сонной артерии, а также черепно-мозговых нервов, обеспечивающих в том числе координацию, глотание, голосообразование, и трудный хирургический доступ [1—3]. Смертность больных вследствие местного прогрессирования гломусной опухоли составляет 6% [4].
Хирургическое удаление является «золотым стандартом» лечения параганглиом. Данный метод лечения особенно актуален на ранних сроках опухолевого процесса, когда можно не только полностью удалить новообразование, но и улучшить качество жизни пациента, восстановив слух. Еще одним направлением лечения гломусных опухолей является лучевая терапия (гамма-нож). Вышеуказанный способ применяется при отказе пациента от операции, наличии сопутствующей соматической патологии, являющейся противопоказанием к выполнению продолжительного хирургического вмешательства под наркозом, а также при невозможности хирургического удаления опухоли (прорастание во внутреннюю сонную артерию). При отсутствии возможности полного удаления новообразования возможно сочетание хирургии и лучевых методов, замедляющей его рост. При наличии противопоказаний к операции проводится только лучевая терапия [2, 5, 6].
В том случае, когда гломусная опухоль тесно прилегает к тем или иным черепно-мозговым нервам, удаление ее может повлечь за собой их повреждение, с развитием соответствующей клинической картины [7, 8]. Так, например, по данным литературы, ухудшение уже имеющихся клинических проявлений (дисфагия и/или охриплость) или их появление отмечалось в 33% случаев после удаления яремного гломуса [9]. Другими осложнениями хирургического лечения являются снижение слуха/глухота (19%) [9], ликворея (8,3%), аспирация (5,5%), инфицирование послеоперационной области (5,5%), пневмония (2,3%), менингит (2,1%) [10].
Приводим клиническое наблюдение.
Пациентка Г., 29 лет, поступила в отоларингологическое отделение УКБ № 1 ФГАОУ В.О. Первый МГМУ им. И.М. Сеченова Минздрава России (Сеченовский университет) с жалобами на постоянный шум в левом ухе, пульсирующего характера, совпадающий с ритмом сердечных сокращений, снижение слуха на это ухо, тянущую боль в левой височной области.
Вышеуказанные жалобы беспокоили пациентку в течение 2 лет, симптоматика нарастала в динамике. По месту жительства после неоднократных неэффективных курсов антибактериальной терапии выполнена КТ височных костей и МРТ головного мозга, где обнаружено новообразование височной кости слева.

При отоскопии AS определялась типичная картина гломусной опухоли: в нижних отделах перепонка выбухала за счет расположенного за ней ярко-красного пульсирующего новообразования. Результаты аудиологического исследования представлены на рис. 1. Рис. 1. Данные аудиологического исследования.

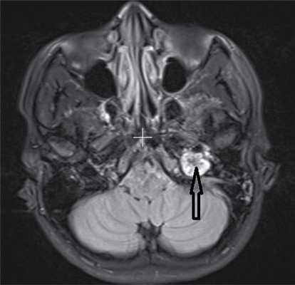
По данным МРТ с контрастным усилением в проекции верхушки пирамиды височной кости с распространением на область луковицы левой яремной вены определялась негомогенная структура неправильно-округлой формы, размером около 15×17×21 мм, интимно прилежащая к левой внутренней сонной артерии, а также к твердой мозговой оболочке задней черепной ямки. Опухоль активно накапливала контрастное вещество (рис. 2). Рис. 2. МРТ основания черепа. В области верхушки пирамиды височной кости слева — гломусная опухоль (указана стрелкой), прилежащая к внутренней сонной артерии.
По результатам обследования определена тактика ведения больной — хирургическое лечение с предварительной селективной эмболизацией питающих опухоль сосудов. В ходе операции после выполнения мастоидэктомии, обнажения лицевого нерва на протяжении тимпанальной и мастоидальной частей и транспозиции его кпереди опухоль была удалена вместе с луковицей яремной вены и сигмовидным синусом. Новообразование занимало область луковицы яремной вены, распространялось в заднюю черепную ямку, в область внутренней сонной артерии, а также сосудисто-нервного пучка яремной вырезки. Идентифицированы интактные n. vagus, n. hypoglossus, n. glossopharyngeus. Небольшой дефект твердой мозговой оболочки закрыт фасцией, образовавшаяся полость облитерирована жировой тканью, взятой с передней брюшной стенки, наружный слуховой проход ушит наглухо. После операции и вывода из наркоза пациентка была переведена в отделение реанимации, где планово экстубирована через 6 ч в связи с длительным хирургическим вмешательством. В первые сутки после операции отмечалась ликворея, что потребовало установки люмбального дренажа. Проводилась антибактериальная терапия (цефтриаксон по 2 г 2 раза в сутки). Через 7 сут ликворея была купирована и пациентка переведена в оториноларингологическое отделение.
На 11-е сутки после операции на фоне проводимого лечения отмечена положительная динамика со стороны гортани. При стробоскопии регистрировались микроколебания голосовых складок, появились движения черпаловидных складок, отмечено расширение голосовой щели до 6—7 мм.
Через 6 мес восстановилась подвижность правой половины гортани, левая голосовая складка осталась неподвижна. У пациентки сохранилась небольшая осиплость, не доставляющая пациентке беспокойства.
Данный клинический случай демонстрирует сложности послеоперационного ведения больных после удаления гломусной опухоли яремной вены. Несмотря на определенный риск развития осложнений, хирургическое лечение в данном случае выбрано в связи с достаточно большим размером новообразования, его близостью к черепно-мозговым нервам, а также молодым возрастом пациентки. Дальнейший рост новообразования привел бы к возникновению неврологических дефицитов.
Особенность данного клинического случая заключается в том, что в послеоперационном периоде у пациентки, не исключая травматическую этиологию пареза слева, развился идиопатический парез правой половины гортани, что в свою очередь привело к такому грозному осложнению, как аспирационная пневмония.
Дегисценция луковицы яремной вены - лучевая диагностика
Высокое расположение луковицы яремной вены - лучевая диагностика
а) Терминология:
• Высокое расположение луковицы яремной вены (ЛЯВ): верхний купол луковицы яремной вены выстоит над нижней стенкой внутреннего слухового прохода, но не проникает в среднее ухо:
о Если ЛЯВ пролабирует в среднее ухо, следует пользоваться термином «дегисценция луковицы яремной вены», а не «высокое расположение луковицы яремной вены»
б) Визуализация:
• Наиболее краниальная часть ЛЯВ выстоит над нижней стенкой внутреннего слухового прохода ± на уровне базального завитка улитки кортикальный слой костных краев яремного отверстия не изменен
• Аксиальные томограммы: ЛЯВ на уровне внутреннего слухового прохода или улитки
• Корональныетомограммы: ЛЯВ медиальнее ± ниже полукружных каналов
• MPT Т1 с КУ: высокая ЛЯВ контрастируется так же, как и сама яремная вена
• МР-венография: дает тот же сигнал, что и окружающие венозные структуры
• Высокая ЛЯВ чаще всего обнаруживается справа
• Оптимальный метод визуализации: КТ височной кости
(Слева) При КТ височной кости в аксиальной проекции на уровне улитки справа определяется высокая ЛЯВ; костные края интактны. Эта врожденная аномалия, как правило, выявляется случайно, но может вызывать пульсирующий шум в ушах.
(Справа) При МРТ Т1 ВИ FS с КУ в корональной проекции определяется высокая луковица яремной вены, снизу сообщающаяся с расширенной внутренней яремной веной. Верхушка высокой луковицы яремной вены достигает уровня нижней стенки внутреннего слухового прохода. На аксиальных томограммах, если не видно соединения с яремной веной, эта аномалия может симулировать новообразование внутреннего уха. (Слева) При КТ височной кости в аксиальной проекции на уровне левого внутреннего слухового прохода определяется высокая луковица яремной вены. Высокая луковица яремной вены прилегает к заднему краю костного вестибулярного водопровода.
(Справа) При КТ височной кости в корональной проекции у этою же пациента определяется высокая луковица яремной вены в виде краниального расширения яремного отверстия. Высокая луковица яремной вены чаще всею выявляется справа. Эта врожденная аномалия может сопутствовать дегисценции или дивертикулу луковицы яремной вены.
в) Дифференциальная диагностика:
• Псевдоопухоль луковицы яремной вены
• Дивертикул луковицы яремной вены
• Дегисценция луковицы яремной вены
• Параганглиома яремного гломуса
• Шваннома яремного отверстия
• Менингиома яремного отверстия
г) Патология:
• Высокая ЛЯВ чаще наблюдается при слабой пневматизации ячеек сосцевидного отростка
• В 35% случаев высокая ЛЯВ сочетается с дивертикулом луковицы яремной вены
д) Клинические особенности:
• Высокая ЛЯВ, как правило, выявляется случайно:
о Может увеличивать риск случайного повреждения луковицы яремной вены при мастоидэктомии
• При отоскопии патологические изменения отсутствуют
• Чаще всего пациент ведется консервативно
• Изредка высокая ЛЯВ сопровождается пульсирующим шумом в ушах или болезнью Меньера; причинные связи неясны
а) Терминология:
1. Аббревиатура:
• Дегисценция луковицы яремной вены (ДеЛЯВ)
2. Определение:
• Вариант нормального развития венозного русла - луковица яремной вены (ЛЯВ) через дефект сигмовидной пластинки пролабирует вверх и кнаружи в барабанную полость
б) Визуализация:

(Слева) На рисунке аксиального среза показана дегисценция луковицы яремной вены: через дефект в сигмовидной пластинке она пролабирует в верхнелатеральном направлении в барабанную полость. Как правило, в задненижнем квадранте за интактной барабанной перепонкой визуализируется сосудистое «объемное образование» синего цвета.
(Справа) При МРТ Т1 ВИ с КУ в аксиальной проекции отмечается контрастирование расширенной луковицы яремной вены, сообщающейся с пролабирующим в барабанную полость компонентом. Аналогично контрастируются и сигмовидные синусы.
1. КТ при дегисценции луковицы яремной вены:
• КТ с КУ:
о Пролабирующее в барабанную полость образование контрастируется так же, как и ЛЯВ
• КТ в костном окне:
о Мягкотканное объемное образование в задненижней части барабанной полости:
- Дефект сигмовидной пластинки
• КТ-ангиография:
о Характер контрастирования соответствует контрастированию сигмовидного синуса и внутренней яремной вены
2. МРТ при дегисценции луковицы яремной вены:
• Т1 ВИ:
о Могут наблюдаться неоднородность сигнала или «пустоты потока»
• Т2 ВИ:
о Могут наблюдаться гетерогенность или зоны потери сигнала
• Т1 ВИ с КУ:
о Контрастное образование барабанной полости сообщается с контрастируемой луковицей яремной вены
• МР-венография:
о Выпячивание кнаружи лучше всего визуализируется на корональных томограммах

(Слева) При аксиальной КТ в коаном окне определяются луковица яремной вены и мягкотканной плотности объемное образование в нижней части правой барабанной полости, сообщающиеся через широкий дефект яремной пластинки.
(Справа) При корональной КТ в костном окне определяется дольчатое выпячивание луковицы яремной вены в правую барабанную полость. Дегисценция луковицы яремной вены -наиболее часто варечающаяся сосудистая аномалия височной кости; чаще она выявляется справа.
в) Дифференциальная диагностика дегисценции луковицы яремной вены:
1. Асимметрия яремного отверстия:
• Часто встречающийся вариант нормы, чаще наблюдается справа
• КТ в костном окне: интактная сигмовидная пластинка
2. Высокая луковица яремной вены:
• Верхняя часть ЛЯВ достигает нижней стенки внутреннего слухового прохода
• КТ в костном окне: кортикальный слой костных структур, окружающих ЛЯВ, и сигмовидная пластинка интактны
3. Дивертикул луковицы яремной вены:
• КТ в костном окне: локальное полипоидное объемное образование, представляющее собой выпячивание верхней части ЛЯВ
4. Параганглиома барабанного гломуса:
• КТ в костном окне: локальное объемное образование мыса улитки; нижняя стенка барабанной полости интактна
5. Параганглиома яремного гломуса:
• КТ в костном окне: инфильтративно-деструктивные изменения кости вдоль верхненаружного края ЛЯВ
• МРТ Т1 без КУ: объемное образование яремного отверстия с «пустотами потока» из-за высокой скорости кровотока («перец»)
6. Шваннома яремного отверстия:
• КТ в костном окне: увеличенное яремное отверстие с ровными фестончатыми краями
• МРТ Т1 с КУ: гантелеобразное контрастируемое объемное образование яремного отверстия
7. Менингиома яремного отверстия:
• КТ: инфильтративно-склеротические изменения кости или гиперостоз
• MPT Т1 с КУ: могут наблюдаться «дуральные хвосты»
• MPT Т2: сигнал средней интенсивности, такой же, как и от коры
г) Патология. Общая характеристика:
• Этиология:
о Врожденная аномалия
• Сопутствующая патология:
о Чаще всего сочетается с высокой ЛЯВ
д) Клинические особенности:
1. Проявления:
• Типичные признаки/симптомы:
о Бессимптомная случайная находка
• Другие признаки/симптомы:
о Описаны различные симптомы, сопутствовавшие ДеЛЯВ, но причинная связь вызывает споры:
- Пульсирующий шум в ухе, утрата слуха, болезнь Меньера
• Отоскопия: сосудистое объемное образование за интактной барабанной перепонкой; выявление таких изменений становится поводом к выполнению лучевых исследований:
о Наблюдается в задне-нижнем квадранте барабанной перепонки
2. Демография:
• Возраст:
о Может выявляться при отоскопии или лучевых исследованиях в любом возрасте
• Эпидемиология:
о Наиболее часто встречающаяся сосудистая аномалия каменистой части височной кости
о Чаще выявляется справа:
- У 75% людей венозные синусы твердой мозговой оболочки и яремная вена справа крупнее
3. Течение и прогноз:
• Увеличивает риск повреждения ЛЯВ при травме:
о Перед оперативным вмешательством по поводу другого заболевания необходимо информировать хирургов о наличии у пациента ДеЛЯВ
е) Диагностическая памятка:
1. Следует учесть:
• ДеЛЯВ необходимо включать в дифференциальный диагноз любых сосудистых образований барабанной полости
ж) Список использованной литературы:
1. Atmaca S et al: High and dehiscent jugular bulb: dear and present danger during middle ear surgery. Surg Radiol Anat. 36(4):369-74, 2014
2. Huang BR et al: Dehiscent high jugular bulb: a pitfall in middle ear surgery. Otol Neurotol. 27(7):923-7, 2006
3. Caldemeyer KS et al: The jugular foramen: a review of anatomy, masses, and imaging characteristics. Radiographics. 17(5): 1123-39, 1997
4. Smith В etal: Dehiscent jugular bulb. Ann Otol Rhinol laryngol. 96(2 Pt 1 ):232-3, 1987
5. Daniels DL et al: Jugular foramen: anatomic and computed tomographic study. AJR Am J Roentgenol. 142(1):153-8,1984
6. Lo WW et al: High-resolution CT of the jugular foramen: anatomy and vascular variants and anomalies. Radiology. 150(3):743-7, 1984
КТ и МРТ диагностика тромбоза яремной вены
- Дефект эндотелия (например, вследствие длительной катетеризации или инъекционной наркомании).
- Замедление или прекращение кровотока (например, в связи со сдавлением или инвазией опухолью).
- Нарушения свертывания крови (например, вызванные опухолевым процессом).
Клинические проявления
Типичная картина симптомов тромбоза яремной вены:
- Припухлость шеи
- Расположена в боковых отделах шеи, ниже подъязычной кости или в надключичной области.
- Паранеопластический синдром (синдром Труссо).
- Сдавление или инфильтрация, связанная с опухолевым процессом.
- Повышение температуры тела
- Мягкая безболезненная припухлость (дифференциальная диагностика с абсцессом)
- Щадящее положение головы
- Редко - молниеносный сепсис.
- Хронический тромбоз яремной вены: Плотная, иногда безболезненная припухлость (дифференциальная диагностика с опухолью).
Какой метод диагностики тромбоза яремной вены выбрать: УЗИ, МРТ, КТ, ангиографию
Методы выбора
Информативна ли МСКТ яремной вены при тромбозе
- В острых и подострых случаях обычно наблюдается увеличение просвета яремной вены со снижением плотности в центре сосуда (тромб в просвете вены)
- После внутривенного введения контрастного вещества кон- трастированная кровь создает кольцо вокруг тромба
- При хронической прогрессирующей облитерации происходит полная окклюзия вены или отток крови происходит по коллатеральным сосудам
- Усиление стенки вены свидетельствует о наличии тромбофлебита
- Возможно образование абсцесса.
Эффективна ли МРТ при тромбозе яремной вены
- Объемное образование с характерными свойствами сигнала кровь-тромб
- Увеличение интенсивности сигнала вокруг тромба на Т2-взвешенном изображении.
- Увеличение интенсивности сигнала в вене на Т1- взвешенном изображении
- Уменьшение интенсивности сигнала на Т1 -взвешенном изображении (распад крови в тромбе).
- МР-ангиография: Отсутствие сигнала от движущейся крови или дефект наполнения в просвете вены.
Выборочные нормальные значения
- Нормальный диаметр внутренней яремной вены очень изменчив
- Правая сторона: 12 мм (от 6 до 23 мм)
- Левая сторона: 10,5 мм (от 5 до 19 мм).
Отличительные признаки
- Частично окклюзирующий тромб в просвете внутренней яремной вены.
Что хотел бы знать лечащий врач
Какие заболевания имеют симптомы, схожие с тромбозом яремной вены
Абсцесс
- Редко имеет трубчатую форму
- Выраженное усиление после введения контрастного вещества
- Может прилегать к вене или возникать где-либо в другом месте
Опухоль (с некрозом)
- Практически никогда не имеет трубчатой формы
- Обычно наблюдается более низкая интенсивность сигнала на Т1 -взвешенном изображении, чем у тромба
Увеличение лимфатических узлов (воспаление или опухолевое поражение)
- Обычно множественные поражения или конгломерат
- Усиление после введения контраста
- Расположены вдоль вены, изображение которой часто соответствует норме.
Принципы лечения тромбоза яремной вены
- Антибактериальные средства широкого спектра действия (активные в отношении аэробов и анаэробов) для лечения и профилактики инфекционного процесса
- Антикоагулянтная терапия (гепарин 30 000 ЕД/сут. в течение 10 дней)
- Резекция или перевязка вены показаны в редких случаях, так как случаи тромбоэмболии легочных вен из бассейна сосудов головы и шеи наблюдаются очень редко
- В большинстве случаев наступает спонтанное выздоровление вследствие реканализации тромба или оттока крови по коллатеральным сосудам.
Врачи каких специальностей диагностируют и лечат тромбоз яремной вены
- Терапевт (общий осмотр пациента)
- Врач функциональной диагностики (подвтерждение диагноза)
Прогноз
- Обычно возникновению тромбоза предшествует тромбофлебит на протяжении до 2 нед.
- Течение и прогноз часто зависят от заболевания, на фоне которого развился тромбоз.
Возможные осложнения и последствия
Тромбоз яремной вены влечет за собой опасные последствия:
- Сепсис
- Тромбоэмболия легочной артерии
- Отек диска зрительного нерва

Тромбоз яремной вены. КТ с контрастированием: полная окклюзия левой внутренней яремной вены старым тромбом. Диаметр вены не изменен в сравнении с противоположной стороной. Просвет не заполнен контрастным веществом и имеет плотность немного ниже, чем окружающие мышцы. Заметно увеличение просвета наружной яремной вены, функционирующей как коллатеральный сосуд на стороне поражения.

КТ с контрастированием, горизонтальная проекция: свежий тромбоз правой внутренней яремной вены (а). Диаметр вены увеличен в сравнении с противоположной стороной, тромб имеет плотность значительно ниже, чем окружающие мышцы. На срезе, выполненном на несколько более высоком уровне (b), вокруг тромба выявляется тонкое кольцо в виде полумесяца.
Отделение оториноларингологии, отделение компьютерной томографии Научного центра здоровья детей РАМН, Москва
ФГБНУ «Научный центр здоровья детей», Москва, Россия, 119991
Отделение рентгеновской компьютерной томографии Научного центра здоровья детей РАМН, Москва
Синдром расширенного водопровода преддверия: этиология, клиника, диагностика, реабилитация пациентов
Журнал: Вестник оториноларингологии. 2015;80(6): 46‑50
Цель статьи — описание клинических проявлений синдрома расширенного водопровода преддверия, применяемых в настоящее время методов его диагностики и описания тактики реабилитации пациентов с данным состоянием. Представлены сведения об анатомии, КТ-анатомии и патоморфологических изменениях водопровода преддверия, особенности клинической картины, современный алгоритм диагностики и возможности слуховой реабилитации данной группы больных.
Анатомия и рентгенанатомия водопровода преддверия. Внутреннее ухо (лабиринт) анатомически связано как с барабанной полостью через овальное окно преддверия и круглое окно улитки, так и с задней черепной ямкой через водопровод преддверия, водопровод улитки и внутренний слуховой проход.
Водопровод преддверия и водопровод улитки обеспечивают регуляцию давления в эндолимфатическом и перилимфатическом пространствах лабиринта.
Водопровод преддверия начинается внутренней апертурой, расположенной в нижних отделах эллиптического углубления, кпереди от устья общей ножки заднего и верхнего полукружных каналов. Заканчивается водопровод преддверия наружной апертурой, которая открывается на задней грани пирамиды височной кости кзади от отверстия внутреннего слухового прохода и книзу от борозды верхнего каменистого синуса. Внутри водопровода преддверия проходит эндолимфатический проток, который формируется из совместного протока эллиптического и сферического мешочков (ductus utriculosaccularis) и заканчивается резервуаром — эндолимфатическим мешком, который находится в дупликатуре твердой мозговой оболочки на задней поверхности пирамиды височной кости [1, 2]. Таким образом, эндолимфатическая система преддверия и улитки связаны между собой и являются замкнутым образованием. Эндолимфа течет по эндолимфатическому протоку в направлении эндолимфатического мешка.
Прижизненная визуализация водопровода преддверия стала возможной с внедрением в клиническую практику компьютерной томографии (КТ). На томограммах неизмененный водопровод преддверия (рис. 1) визуализируется в виде узкой линейной щели шириной до 1,5 мм, идущей от преддверия к задней грани пирамиды и заканчивающийся на ней отверстием, расположенным кзади от внутреннего слухового прохода [3, 4].

Рис. 1. Неизмененный водопровод преддверия (стрелка). Компьютерная томограмма правой височной кости в аксиальной проекции.
Синдром расширенного водопровода преддверия (СРВП) — достаточно распространенная аномалия костного лабиринта внутреннего уха, которая приводит к развитию тугоухости различной степени тяжести, обладает большой вариабельностью клинических проявлений, сочетается с другими заболеваниями и должна распознаваться специалистами. Постановка этого диагноза стала возможной благодаря все более широкому использованию КТ височных костей для выявления причин тугоухости неясного генеза.
Предполагают, что при расширенном эндолимфатическом протоке происходит рефлюкс эндолимфы в улитковый проток, в то время как нормальным считается перемещение эндолимфы от улиткового и полукружных протоков к эндолимфатическому мешку. Причиной снижения слуха могут быть нарушение нормального движения жидкости в эндолимфатической системе внутреннего уха, нарушения водно-электролитного и кислотно-щелочного баланса эндолимфы, приводящие к повреждению нейроэпителия [3, 5].
Этиология заболевания. СРВП как находка при КТ височных костей описывался различными авторами начиная с 80-х годов прошлого века. Семейное изолированное нарушение слуха с расширенным водопроводом преддверия было впервые описано в 1996 г. Griffith и соавт. (цит. по [2]).
Впоследствии выяснилось, что СРВП — наследственное заболевание с аутосомно-рецессивным типом наследования. Причиной является мутация в гене SLC26A4 (ген синдрома Пендреда — PDS), который локализован на хромосоме 7q22-q31, состоит из 21 экзона и кодирует трансмембранный транспортный белок пендрин. Остановка нормального развития уха возникает на 8—9-й неделе гестации. Мутации в данном гене могут приводить как к изолированной тугоухости (несиндромальная форма), так и к синдрому Пендреда (тугоухость и эутиреоидный зоб) или к дистальному почечному тубулярному ацидозу. Наличие двух мутантных аллелей SLC26A4 коррелирует с двусторонним синдромом расширенного водопровода преддверия и синдромом Пендреда, в то время как односторонняя аномалия и несиндромальный расширенный водопровод преддверия коррелируют с одной мутантной аллелью или мутантные аллели отсутствуют [6]. По данным некоторых авторов, присутствие аномального аллеля даже в гетерозиготном состоянии ассоциируется с более широким водопроводом преддверия и аномальным развитием преддверия [7]. СРВП может сочетаться с неполным разделением завитков улитки и аномалией Мондини [8—10].
Клиника. Обычно человек уже рождается с расширенным водопроводом преддверия. При этом нарушение слуха при СРВП присутствует с рождения или начинается в любом возрасте, чаще в дошкольном, но описаны случаи снижения слуха при данном синдроме и после 40 лет. Также при наличии данной аномалии могут сохраняться и нормальные пороги слуха [11]. Замечено, что снижение слуха может быть спровоцировано небольшой травмой головы, изменениями барометрического давления, физической нагрузкой, инфекционными заболеваниями, стрессом, гипертонической болезнью [3, 4, 8, 10, 12]. Нарушение слуха может носить сенсоневральный, смешанный или кондуктивый характер. Костно-воздушный разрыв на низких частотах встречается в 80% случаев [13].
Механизм появления на аудиограмме костно-воздушного интервала остается неясным. Существует гипотеза, что расширенный водопровод преддверия может быть причиной костно-воздушного интервала на аудиограмме из-за шунтирования (отвода) воздушно проведенных звуков от улитки, что повышает порог слуха для воздушно проведенных звуков, а увеличение разницы в импедансе между лестницей преддверия и барабанной лестницей улучшает пороги слуха для костно-проведенных звуков [14]. Тугоухость при этом синдроме бывает как односторонней, так и двусторонней. Также снижение слуха может быть флюктуирующим, прогрессирующим или внезапным. У лиц с несиндромальной формой СРВП слух более подвержен флюктуации, в ряде случае наблюдается спонтанное восстановление слуха.
СРВП — процесс всегда двусторонний, даже при наличии анатомической аномалии только с одной стороны. Пациенты с односторонним СРВП имеют более высокую частоту возникновения снижения слуха на втором ухе, чем пациенты с односторонней сенсоневральной тугоухостью без расширенного водопровода преддверия [15]. Скорость и степень снижения слуха при СРВП вариабельны и не коррелируют с шириной водопровода преддверия [3, 4, 9, 10]. S. Zwang и соавт. [16] не обнаружили корреляции между степенью снижения слуха и шириной внешней апертуры водопровода преддверия (в области эндолимфатического мешка). Это подтверждается и другими авторами, которые в то же время отмечают, что расширение водопровода в области внутренней апертуры может коррелировать с прогрессирующим ухудшением слуха [17].
Диагностика. СРВП часто мимикрирует заболевания среднего уха. Известно, что аномальное соединение внутреннего уха с подоболочечным пространством головного мозга, также как и «третье окно» лабиринта, может давать костно-воздушный разрыв на аудиограмме, более выраженный на низких частотах. Это явление описано в англоязычной литературе как интралабиринтная кондуктивная тугоухость, «псевдокондуктивная» тугоухость или «ложная» кондуктивная тугоухость [18]. Поэтому любое снижение слуха, характеризующееся нормальными тимпанограммами типа А, наличием акустических рефлексов и костно-воздушного интервала, более выраженного на низких частотах, должно вызывать подозрение на аномалию внутреннего уха. В таких случаях показано проведение высокоразрешающей мультиспиральной КТ височных костей, что позволит избежать эксплоративной тимпанотомии, проводимой ошибочно по поводу смешанной или кондуктивной тугоухости неясного генеза. На К.Т. данный синдром характеризуется расширением водопровода преддверия от 1,5 до 5—6 мм (рис. 2).

Рис. 2. Широкий водопровод преддверия (стрелка). Компьютерная томограмма правой височной кости в аксиальной проекции. Пациент А., 14 лет.
При наличии сенсоневральных нарушений слуха неясной этиологии показано выполнение МРТ головного мозга и пирамид височных костей. Т2-взвешенные изображения позволяют отчетливо выявить расширенный водопровод преддверия (рис. 3).

Рис. 3. Широкий водопровод преддверия (стрелка). Магнитно-резонансная томограмма правой височной кости в аксиальной проекции. Пациент А., 14 лет.
При данной аномалии развития необходима консультация эндокринолога (исследование функции и ультразвуковое исследование щитовидной железы) для выявления синдрома Пендреда, консультация генетика (ДНК-диагностика PDS-гена) и консультация нефролога для выявления дистального почечного тубулярного ацидоза.
Лечение и реабилитация. В литературе описан единичный случай лечения 12-летнего ребенка из Австралии, который внезапно оглох после травмы головы и у которого был обнаружен расширенный водопровод преддверия. Была проведена терапия стероидами и курс гипербарической оксигенации с хорошим улучшением порогов слуха на аудиограмме [19].
Тактика ведения пациентов с СРВП аналогична тактике ведения пациентов с повышенным внутричерепным давлением — рекомендуется избегать перепадов давления, физических нагрузок, занятий спортом, особенно занятий дайвингом. Также рекомендуется бессолевая диета. Для реабилитации хронической тугоухости при СРВП используются цифровые слуховые аппараты различной мощности. При односторонней глухоте для устранения проблем моноурального слуха нами используется система CROS. Система состоит из двух устройств. На стороне глухого уха применяется устройство в корпусе слухового аппарата, которое «собирает» звуки и передает их по беспроводной связи на сторону слышащего уха. На стороне слышащего уха располагается принимающее устройство (слуховой аппарат, но без усиления звуков). Это позволяет пациентам лучше разбирать речь в шумной обстановке. При асимметричной потере слуха успешно используется система BICROS.
На стороне глухого уха также используется передающее устройство в корпусе слухового аппарата. На стороне плохо слышащего уха — принимающее устройство, которое также работает и как слуховой аппарат (дает усиление звуков).
При двусторонней сенсоневральной глухоте проведение операции кохлеарной имплантации у пациентов с СРВП может осложняться gusher-синдромом.
Приводим несколько собственных клинических наблюдений.
1. Пациент А., 14 лет (аудиограмма, рис. 4), наблюдается в отделении нефрологии Научного центра здоровья детей с диагнозом: нефротический синдром, дистальный почечный тубулярный ацидоз. Снижение слуха возникло внезапно, без видимых причин, в возрасте 13 лет 6 мес. На компьютерной томограмме височных костей — двустороннее расширение водопровода преддверия (см. рис. 2). Высокоразрешающая МРТ пирамид височной кости также выявила широкий водопровод преддверия (см. рис. 3). Рекомендовано использование системы BICROS.

Рис. 4. Тональная пороговая аудиограмма пациента А., 14 лет.
2. Пациентка П., 6 лет (аудиограмма, рис. 5). Родители обратились по поводу впервые случайно замеченного снижения слуха на правое ухо. На компьютерной томограмме височных костей — признаки двустороннего синдрома расширенного водопровода преддверия. Состояние слуха стабильное в течение 5 лет. Рекомендовано использование системы CROS.

Рис. 5. Тональная пороговая аудиограмма пациентки П., 6 лет.
3. Пациентка С., 18 лет, обратилась с жалобами на медленно прогрессирующее снижение слуха, впервые замеченное в возрасте 6 лет, и постоянный пульсирующий шум в правом ухе (аудиограмма, рис. 6). С 6 лет регулярно два раза в год получала курсы консервативного лечения сенсоневральной тугоухости в условиях стационара с некоторым временным улучшением слуха. На компьютерной томограмме височных костей — признаки двустороннего расширения водопровода преддверия, высокое стояние луковицы яремной вены справа. Рекомендовано бинауральное слухопротезирование цифровыми слуховыми аппаратами малой мощности.

Рис. 6. Тональная пороговая аудиограмма пациентки С., 18 лет.
Заключение. Больным с тугоухостью неясного генеза в алгоритм обследования целесообразно включать КТ височной кости и МРТ головного мозга. Своевременное выявление изменений структур среднего и внутреннего уха позволяет использовать современные методы реабилитации, определить прогноз течения заболевания и избежать ненужных диагностических исследований и терапевтических процедур.
Читайте также:
