Диагностическая дилемма при аневризме брюшной аорты. Операция при аневризме аорты.
Добавил пользователь Евгений Кузнецов Обновлено: 19.12.2025
• Разрез при аневризме брюшной аорты: открывайте живот длинным срединным разрезом от мечевидного отростка до середины расстояния между пупком и лобком. Иногда при необходимости доступа к подвздошным артериям разрез может быть продолжен и ниже, однако в большинстве случаев его вполне достаточно для замещения аорты простым трубчатым линейным протезом.
• Проксимальный контроль при аневризме брюшной аорты. Тотчас по вхождении в брюшную полость диагноз подтверждается наличием большой забрюшинной гематомы. Первостепенное значение приобретает контроль за аортой проксимальнее гематомы. У большинства больных, у которых в этой стадии сохраняется стабильное состояние, имеется возможность пережатия аорты выше аневризмы, но ниже уровня почечных артерий.
У пациентов с нестабильным состоянием быстрый контроль за аортальным кровотечением может быть достигнут путем временного пережатия аорты непосредственно под диафрагмой до тех пор, пока не будет выделена инфраре-нальная часть аорты.
• Контроль аорты под диафрагмой. Вспомните, как вы выполняете СВ. Вот как бы и выполняйте ее снова. Разделите диафрагмально-пищеводную связку (переход брюшины с диафрагмы на пищевод), покрывающую пищевод (ощущая назогастральный зонд в его просвете). Указательным пальцем мобилизуйте пищевод вправо; на этом этапе забудьте о гемостазе. Теперь ощутите пульсирующую аорту левее пищевода, указательным пальцем выделите обе стороны аорты, пока не ощутите позвоночник, наложите прямой аортальный зажим, проведя его до позвоночника. Оставьте несколько тампонов для гемостаза и продолжайте действовать, как описано ниже.
• Контроль за инфраренальной частью аорты. Возвращайтесь к выделению шейки аневризмы аорты. Главный принцип — не нарушать целостности забрюшинной гематомы, пока не достигнут полный контроль за проксимальной частью аорты. Как только вы проникли в забрюшинное пространство на уровне шейки, используя свой указательный палец и наконечник отсоса, выделите и изолируйте шейку аневризмы. После идентификации шейки выделите книзу обе стороны аорты, пока не ощутите тела позвонков. Не старайтесь подвести под аорту тесемку, а лучше наложите прямой зажим на нее в переднезаднем направлении так, чтобы концы его браншей были против тела позвонка. Наложить зажим легче, если взять аорту между указательным и средним пальцами левой руки так, чтобы концы пальцев уперлись в тела позвонков. Затем, скользя браншами открытого зажима вдоль тыльной стороны пальцев, проведите его на подходящую глубину и закрывайте. Теперь можно убрать наложенный ранее поддиафрагмальный зажим.
• Как узнать, что проксимальный контроль эффективен? Очень просто: забрюшинная гематома перестает пульсировать. Если пульсация продолжается, значит, ваш зажим лежит неточно. Переложите его!
• Дистальный контроль. Следующая часть вмешательства — выделение общих подвздошных артерий — часто оказывается более трудной. При обычных обстоятельствах большая часть забрюшинной гематомы аккумулируется в тазу, а подвздошные артерии оказываются замурованными в ней. Артерии трудно различить не только потому, что они находятся внутри гематомы, но и потому, что аорта пережата проксимально, и поэтому пульсация отсутствует. У большинства пациентов, однако, наличие пальпируемых внутрипросветных бляшек делает возможной идентификацию сосуда в глубине гематомы. Используйте снова электроотсос для облегчения выделения подвздошных артерий. При затруднениях попытайтесь пальцами «выудить» артерию из гематомы наружу. Как и в случае с аортой, не пытайтесь подвести под подвздошные сосуды тесемки. Это неизбежно приведет к повреждению подвздошных вен, что является большой бедой. Важно выделить переднюю и боковые стенки подвздошных сосудов и положить зажимы в переднезаднем направлении, как уже указывалось ранее.
• Альтернативный баллонный контроль. После того как проксимальный контроль достигнут, а подвздошные артерии находятся внутри большой гематомы, вы можете быстро вскрыть просвет аневризматического мешка и ввести 2 катетера Фолея или 2 больших катетера Фогарти в подвздошные сосуды и обеспечить с помощью раздутых баллонов дистальный контроль.

• Замещение аорты. Поскольку проксимальное и дистальное артериальное дерево контролируется, вскрывайте аневризматический мешок в продольном направлении. Удалите сгустки и обеспечьте контроль ретроградного кровотечения путем прошивания истоков поясничных артерий и нижней брыжеечной артерии изнутри аневризматического мешка. Для облегчения этой манипуляции и последующего иссечения стенок мешка введите в его просвет небольшой самоудерживающийся ретрактор.
Число пациентов, у которых удается заместить аорту простым трубчатым протезом, широко варьирует у разных хирургов и в разных центрах. Мы уверены, что у большинства больных замещение трубчатым протезом может быть вполне успешным. Его преимуществом являются минимальные манипуляции в тазу и значительное снижение риска повреждения подвздошных вен и тазовых нервов. Более того, кажется, что в увеличении длины протеза нет большого смысла при уже избранной тактике, делающей введение бифуркационного протеза ненужным. Конечно, есть ситуации, в которых применение трубчатых протезов исключено. Например, при выраженном окклюзивном процессе в аортоподвздошном сегменте; выраженном аневризматическом поражении подвздошных артерий или если угол бифуркации слишком широк и отверстия подвздошных артерий находятся далеко друг от друга.
Подготовьте аорту к введению протеза. Продольный разрез аневризматического мешка должен быть ограничен с обеих сторон поперечными разрезами так, что разрез становится Т-образным с каждой стороны. Перекладины этого «T» не должны превышать более 50% окружности нормальной аорты у его как дистальной, так и проксимальной части.
Протез фиксируют 3/0 монофиламентной нитью с использованием техники «парашюта». Это позволяет наложить швы на заднюю стенку под визуальным контролем. При шве задней стенки сосуда должны применяться большие стежки, так как в этой ситуации она довольно хрупкая. Более того, встречающиеся после завершения анастомоза прорезывания швов трудны для закрытия именно потому, что располагаются на задней стенке. Как только верхний анастомоз завершен, тотчас ниже анастомоза на протез накладывают зажим, а с аорты зажим снимают. Убедившись, что «подтекания» из верхнего анастомоза нет, приступают к дистальному анастомозу. Техника его завершения такая же, как и проксимального анастомоза.
Перед завершением дистального анастомоза следует проверить ретроградный кровоток из подвздошных артерий. Помимо этого, протез должен быть промыт физиологическим раствором, а проксимальный зажим на короткое время («на 1—2 сердечных удара») снят, чтобы вытолкнуть из протеза, возможно, возникшие там свежие тромбы. Если нет ретроградного кровотока, следует провести в подвздошные артерии эмболэктомические катетеры для извлечения тромботи-ческих масс. Как только дистальный анастомоз завершен и проконтролирован, зажимы с подвздошных сосудов снимают поочередно, чтобы дать время для компенсации возможной гипотензии при открытии русла подвздошных артерий. Предупреждение хирурга о моменте снятия зажима является серьезной помощью анестезиологической бригаде, помогая идти с опережением в восстановлении объема жидкости. Неадекватное замещение жидкости на этом этапе может привести к серьезной гипотензии при снятии зажимов с подвздошных артерий.
• Два слова о гепарине. Совершенно ясно, что неразумно назначать гепарин пациенту с продолжающимся из разрыва аорты кровотечением до того, как источник кровотечения взят под контроль. У пациентов, у которых была предпринята операция в связи с подозрением на разрыв аневризмы, но он не был обнаружен, назначают гепарин в дозировке, обычной для хирургической практики. Допустимо гепаринизировать подвздошные сосуды и местно, поскольку аневризматический мешок открыт и ретроградный кровоток из мелких сосудов остановлен. Обе подвздошные артерии могут быть промыты гепаринизирован-ным физиологическим раствором перед перекладыванием зажимов на этих артериях. Единой точки зрения по поводу этого промывания нет, но, по-видимому, у большинства больных в этом нет необходимости.
• Закрытие живота. Большая забрюшинная гематома в сочетании с висцеральным отеком, вызванным шоком, реанимационными мероприятиями, ре-перфузией и лапаротомией, приводит к тяжелой внутрибрюшной гипертензии, проявляющейся после закрытия живота. Чем выполнять окончательный этап при чрезмерном напряжении живота, лучше использовать временное его закрытие, как рекомендовано в наших статьях, и вернуться к ушиванию брюшной стенки на следующий день. Предотвращение АКС имеет решающее значение для выживания этих тяжелых больных, у которых любое дальнейшее ухудшение может оказаться той «соломинкой», которая ломает хребет верблюду.
При экстренных вмешательствах по поводу аневризмы брюшной аорты упрощение операции является ключом к выживанию больного: быстрый и по возможности атравматич-ный контроль, исключение повреждений крупных вен, трубчатый протез, минимальная кровопотеря и быстрая хирургия.
Многие из таких пациентов переносят операцию, но умирают после нее, обычно от сопутствующих заболеваний, в частности такого, как инфаркт миокарда. Успешный исход, таким образом, зависит от ведения в БИН в не меньшей степени, чем от квалифицированно выполненной операции. Завершив операцию, вы выиграли битву только наполовину.
Операция при разрыве аневризмы брюшной аорты чаще является началом конца, который наступает в послеоперационном периоде.
Диагностическая дилемма при аневризме брюшной аорты. Операция при аневризме аорты.
Своеобразная диагностическая дилемма возникает, если у пациента уже известно наличие аневризмы брюшной аорты и возникли острые боли в животе или спине, которые могут относиться или не относиться к АБА. Трудности здесь заключаются в том, что небольшие предвестники разрыва могут проявляться болью без какой-либо гемодинамической нестабильности. Обследование таких пациентов мало помогает в диагностике, так как аневризма остается мнимо интактной. Но у этих пациентов остается высоким риск внезапного разрыва и катастрофического кровотечения. Важно, таким образом, чтобы аневризма была распознана до ее дальнейшего разрыва, чтобы предотвратить фатальное кровотечение.
Трудности заключаются и в том, что у такого пациента может быть другая причина наблюдаемых симптомов, например ишиалгия, которая не относится к аневризме. В этом случае немедленная операция вряд ли в интересах пациента, особенно при его плохом общем состоянии.
Эта дилемма — оперировать без промедления, когда это требуется, и избегать операции, если в ней нет необходимости, — сложна даже для опытных клиницистов. В этой ситуации показана срочная КТ для выявления как АБА, так и «утечки» из нее (обычно в забрюшинное пространство). В общем же лучше ошибиться максимально в пользу операции, чем минимально в пользу консервативного ведения.

Операция при аневризме аорты
Бесполезно наполнять ведро, в котором есть дыра.
Полезное «практическое» правило гласит, что шансы на выживание больного с разрывом аневризмы брюшной аорты прямо пропорциональны уровню его АД при поступлении. Поступившие в состоянии шока пациенты выживают редко, конечно, их можно снять живыми с операционного стола, но обычно они не покидают клинику через парадную дверь. Значит, можно было бы заключить, что операция при разрыве АБА у больного в состоянии шока — это лишь напрасная трата времени и ресурсов? Другая точка зрения заключается в том, что следует поспешить с операцией, если только пациент не в агональном состоянии или не страдает каким-либо инкурабельным заболеванием. Вы можете спасти отдельных пациентов и приобрести дополнительный опыт, который поможет вам спасти жизнь следующему пациенту. Эта философия поможет вам облегчить взаимоотношения с больным и его родственниками.
Как только диагноз разрыва аорты или весомое подозрение на разрыв подтверждены, больного следует брать в операционную без промедления. Не заботьтесь даже пока о внутривенной трансфузии: то, что вы вольете, тут же вытечет, а возрастающее АД приведет к усилению кровотечения.
Обрабатывайте живот и изолируйте операционное поле, пока анестезиологи устанавливают трансфузионную систему и налаживают мониторинг. Не позволяйте им, однако, напрасно терять время на установку ненужных функциональных датчиков — таких, как введение в легочную артерию катетера Сван-Ганца. Вводный наркоз не должен начинаться до вашей полной готовности сделать кожный разрез; нередко назначение мышечных релаксантов и последующая релаксация брюшной стенки, упраздняя эффект тампонады, существенно усиливают кровотечение из аневризмы с немедленным гемодинамическим коллапсом.
Помните: пережатие аорты проксимальнее аневризмы важнее, чем любое ваше другое действие.
Информация на сайте подлежит консультации лечащим врачом и не заменяет очной консультации с ним.
См. подробнее в пользовательском соглашении.
Аневризма аорты
Аневризма аорты – патологическое локальное расширение участка магистральной артерии, обусловленное слабостью ее стенок. В зависимости от локализации аневризма аорты может проявляться болью в грудной клетке или животе, наличием пульсирующего опухолевидного образования, симптомами компрессии соседних органов: одышкой, кашлем, дисфонией, дисфагией, отечностью и цианозом лица и шеи. Основу диагностики аневризмы аорты составляют рентгенологические (рентгенография грудной клетки и брюшной полости, аортография) и ультразвуковые методы (УЗДГ, УЗДС грудной/брюшной аорты). Хирургическое лечение аневризмы предполагает выполнение ее резекции с протезированием аорты либо закрытого эндолюминального протезирования аневризмы специальным эндопротезом.
МКБ-10


Общие сведения
Аневризма аорты характеризуется необратимым расширением просвета артериального ствола на ограниченном участке. Соотношение аневризм аорты различной локализации примерно следующее: аневризмы брюшной части аорты составляют 37% случаев, восходящего отдела аорты – 23%, дуги аорты – 19%, нисходящего отдела грудной аорты – 19,5%. Т. о., на долю аневризм грудной аорты в кардиологии приходится почти 2/3 всей патологии. Аневризмы грудного отдела аорты часто сочетаются с другими аортальными пороками - аортальной недостаточностью и коарктацией аорты.

Причины
По этиологии все аневризмы аорты могут быть разделены на врожденные и приобретенные. Формирование врожденных аневризм связано с наследственными заболеваниями стенки аорты:
Приобретенные аневризмы аорты могут иметь воспалительную и невоспалительную этиологию:
- Поствоспалительные аневризмы возникают вследствие специфического и неспецифического аортита при грибковых поражениях аорты, сифилисе, послеоперационных инфекциях.
- Невоспалительные дегенеративные аневризмы обусловлены атеросклерозом, дефектами шовного материала и протезов аорты .
- Гемодинамически-постстенотических и травматические аневризмы связаны с механическими повреждениями аорты
- Идиопатические аневризмы развиваются при медионекрозе аорты.
Факторами риска формирования аневризм аорты считаются пожилой возраст, мужской пол, артериальная гипертензия, табакокурение и злоупотребление алкоголем, наследственная отягощенность.
Патогенез
Кроме дефектности стенки аорты в формировании аневризмы принимают участие механические и гемодинамические факторы. Аневризмы чаще возникают в функционально напряженных зонах, испытывающих повышенную нагрузку вследствие высокой скорости кровотока, крутизны пульсовой волны и ее формы. Хроническая травматизация аорты, а также повышенная активность протеолитических ферментов вызывают деструкцию эластического каркаса и неспецифические дегенеративные изменения в стенке сосуда.
Сформировавшаяся аневризма аорты прогрессирующе увеличивается в размерах, поскольку напряжение на ее стенки возрастает пропорционально расширению диаметра. Кровоток в аневризматическом мешке замедляется и приобретает турбулентный характер. В дистальное артериальное русло поступает лишь около 45% крови от объема, находящегося в аневризме. Это связано с тем, что, попадая в аневризматическую полость, кровь устремляется вдоль стенок, а центральный поток сдерживается механизмом турбулентности и присутствием в аневризме тромботических масс. Наличие тромбов в полости аневризмы является фактором риска тромбоэмболий дистальных разветвлений аорты.
Классификация
В сосудистой хирургии предложено несколько классификаций аневризм аорты с учетом их локализации по сегментам, формы, структуры стенок, этиологии. В соответствии с сегментарной классификацией выделяют
Оценка морфологического строения аневризм аорты позволяет подразделить их на истинные и ложные (псевдоаневризмы):
- Истинная аневризма характеризуется истончением и выпячиванием наружу всех слоев аорты. По этиологии истинные аневризмы аорты обычно атеросклеротические или сифилитические.
- Псевдоаневризма. Стенка ложной аневризмы представлена соединительной тканью, образовавшейся вследствие организации пульсирующей гематомы; собственные стенки аорты в формировании ложной аневризмы не задействованы. По происхождению чаще бывают травматическими и послеоперационными.
По форме встречаются мешотчатые и веретенообразные аневризмы аорты: первые характеризуются локальным выпячиванием стенки, вторые – диффузным расширением всего диаметра аорты. В норме у взрослых диаметр восходящей аорты составляет около 3 см, нисходящей грудной аорты - 2,5 см, брюшной аорты - 2 см. Об аневризме аорты говорят при увеличении диаметра сосуда на ограниченном участке в 2 и более раза.
С учетом клинического течения различают неосложненные, осложненные, расслаивающиеся аневризмы аорты. К числу специфических осложнений аневризм аорты относятся разрывы аневризматического мешка, сопровождающиеся массивным внутренним кровотечением и образованием гематом; тромбозы аневризмы и тромбоэмболии артерий; флегмоны окружающих тканей вследствие инфицирования аневризмы.
Особый тип представляет собой расслаивающаяся аневризма аорты, когда через разрыв внутренней оболочки кровь проникает между слоями стенки артерии и распространяется под давлением по ходу сосуда, постепенно расслаивая его.
Симптомы аневризмы аорты
Клинические проявления аневризм аорты вариабельны и обусловлены локализацией, размерами аневризматического мешка, его протяженностью, этиологией заболевания. Аневризмы могут протекать бессимптомно или сопровождаться скудной симптоматикой и выявляться на профилактических осмотрах. Ведущим проявлением служит боль, обусловленная поражением стенки аорты, ее растяжением или компрессионным синдромом.
Аневризма брюшной аорты
Клиника аневризмы брюшной аорты проявляется преходящими или постоянными разлитыми болями, дискомфортом в области живота, отрыжкой, тяжестью в эпигастрии, ощущением переполнения желудка, тошнотой, рвотой, дисфункцией кишечника, похуданием. Симптоматика может быть связана с компрессией кардиального отдела желудка, 12-перстной кишки, вовлечением висцеральных артерий. Часто больные самостоятельно определяют наличие усиленной пульсации в животе. При пальпации определяется напряженное, плотное, болезненное пульсирующее образование.
Аневризма грудной аорты
Для аневризмы восходящего отдела аорты типичны боли в области сердца или за грудиной, обусловленные сдавлением или стенозированием венечных артерий. Пациентов с аортальной недостаточностью беспокоит одышка, тахикардия, головокружение. Аневризмы больших размеров вызывают развитие синдрома верхней полой вены с головными болями, отечностью лица и верхней половины туловища.
Аневризма дуги аорты приводит к компрессии пищевода с явлениями дисфагии; в случае пережатия возвратного нерва возникает осиплость голоса (дисфония), сухой кашель; заинтересованность блуждающего нерва сопровождается брадикардией и слюнотечением. При компрессии трахеи и бронхов развиваются одышка и стридорозное дыхание; при сдавлении корня легкого - застойные явления и частые пневмонии.
При раздражении аневризмой нисходящей аорты периаортального симпатического сплетения возникают боли в левой руке и лопатке. В случае вовлечения межреберных артерий может развиваться ишемия спинного мозга, парапарезы и параплегии. Компрессия позвонков сопровождается их узурацией, дегенерацией и смещением с формированием кифоза. Сдавление сосудов и нервов клинически проявляется радикулярными и межреберными невралгиями.
Осложнения
Аневризмы аорты могут осложняться разрывом с развитием массивного кровотечения, коллапса, шока и острой сердечной недостаточности. Прорыв аневризмы может происходить в систему верхней полой вены, перикардиальную и плевральную полость, пищевод, брюшную полость. При этом развиваются тяжелые, подчас фатальные состояния – синдром верхней полой вены, гемоперикард, тампонада сердца, гемоторакс, легочное, желудочно-кишечное или внутрибрюшное кровотечение.
При отрыве тромботических масс из аневризматической полости развивается картина острой окклюзии сосудов конечностей: цианоз и болезненность пальцев стоп, ливедо на коже конечностей, перемежающаяся хромота. При тромбозе почечных артерий возникает реноваскулярная артериальная гипертензия и почечная недостаточность; при поражении мозговых артерий – инсульт.
Диагностика
Диагностический поиск при аневризме аорты включает оценку субъективных и объективных данных, проведение рентгенологических, ультразвуковых и томографических исследований. Аускультативным признаком аневризмы служит присутствие систолического шума в проекции расширения аорты. Аневризмы брюшной аорты обнаруживаются при пальпации живота в виде опухолевидного пульсирующего образования. Инструментальная диагностика:
- Рентгенография. В план рентгенологического обследования пациентов с аневризмой грудной или брюшной аорты включается рентгеноскопия и рентгенография грудной клетки, обзорная рентгенография брюшной полости, рентгенография пищевода и желудка.На заключительном этапе обследования выполняют аортографию, по данным которой уточняются локализация, размеры, протяженность аневризмы аорты и ее отношение к соседним анатомическим структурам.
- УЗИ. При распознавании аневризм восходящего отдела аорты используется эхокардиография; в остальных случаях проводится УЗДГ (УЗДС) грудной/брюшной аорты.
- Компьютерная томография. КТ (МСКТ) грудной/брюшной аорты позволяет точно и наглядно представить аневризматическое расширение, выявить наличие расслоения и тромботических масс, парааортальной гематомы, очагов кальциноза.
По результатам комплексного инструментального обследования принимается решение о показаниях к оперативному лечению. Аневризму грудной аорты следует дифференцировать от опухолей легких и средостения; аневризму брюшной аорты – от объемных образований брюшной полости, поражения лимфоузлов брыжейки, забрюшинных опухолей.

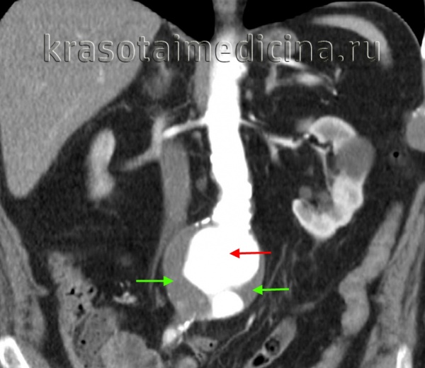
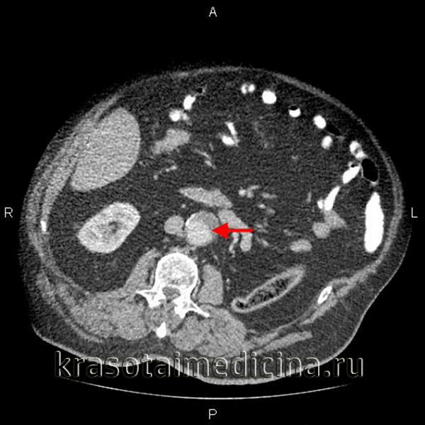
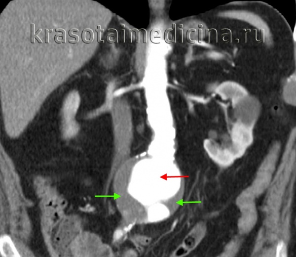
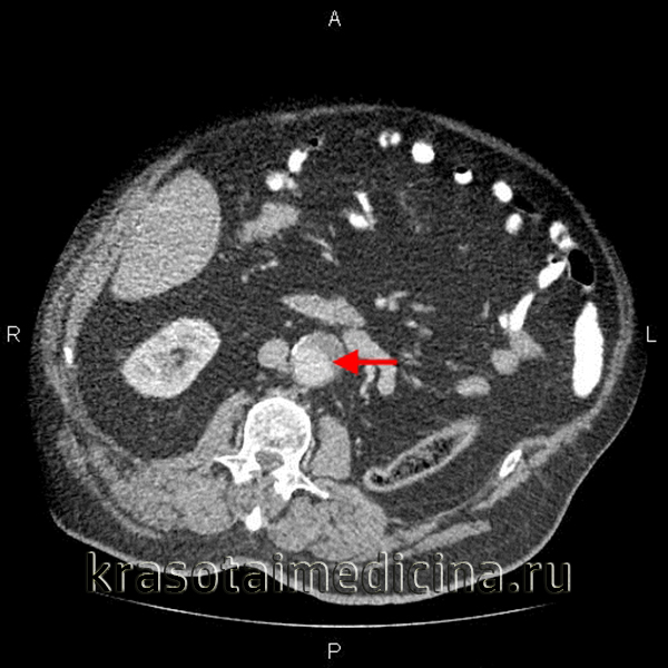
КТ-ангиография аорты. Аневризма брюшной аорты над бифуркацией. Просвет аневризмы (красная стрелка), пристеночный тромб (зеленая стрелка).
Лечение аневризмы аорты
При бессимптомном непрогрессирующем течении аневризмы аорты ограничиваются динамическим наблюдением сосудистого хирурга и рентгенологическим контролем. Для снижения риска возможных осложнений проводится гипотензивная и антикоагулянтная терапия, снижение уровня холестерина.
Оперативное вмешательство показано при аневризмах брюшной аорты диаметром более 4 см; аневризмах грудной аорты диаметром 5,5-6,0 см или при увеличении аневризм меньшего размера более чем на 0,5 см за полгода. При разрыве аневризмы аорты показания к экстренному хирургическому вмешательству абсолютные.
Хирургическое лечение аневризмы аорты заключается в иссечении аневризматически измененного участка сосуда, ушивании дефекта либо его замещении сосудистым протезом. С учетом анатомической локализации выполняется резекция аневризмы брюшной аорты, грудной аорты, дуги аорты, торакоабдоминальной части аорты, подпочечного отдела аорты.
При гемодинамически значимой аортальной недостаточности резекцию восходящей грудной аорты сочетают с протезированием аортального клапана. Альтернативой открытому сосудистому вмешательству служит эндоваскулярное протезирование аневризмы аорты с установкой стента.
Прогноз и профилактика
Прогноз аневризмы аорты, главным образом, определяется ее размерами и сопутствующим атеросклеротическим поражением сердечно-сосудистой системы. В целом естественное течение аневризмы неблагоприятное и связано с высоким риском смерти от разрыва аорты или тромбоэмболических осложнений. Вероятность разрыва аневризмы аорты диаметром 6 и более см составляет 50% в год, меньшего диаметра – 20% в год. Раннее выявление и плановое хирургическое лечение аневризм аорты оправдано низкой интраоперационной (5 %) летальностью и хорошими отдаленными результатами.
Профилактические рекомендации включают контроль АД, организацию правильного образа жизни, регулярное наблюдение у кардиолога и ангиохирурга, медикаментозную терапию сопутствующей патологии. Лицам из групп риска по развитию аневризмы аорты следует проходить скрининговое ультразвуковое обследование.
Аневризма брюшной аорты
Аневризма брюшной аорты – это локальное выбухание или диффузное расширение стенки аорты в ее брюшном отделе. Аневризма брюшной аорты может протекать бессимптомно или обнаруживать себя пульсацией, болями в животе различной интенсивности, при разрыве аневризмы – клиникой внутрибрюшного кровотечения. Диагностика аневризмы включает проведение обзорной рентгенографии брюшной полости, УЗДГ брюшной аорты, рентгеноконтрастной ангиографии, КТ. Лечение аневризмы брюшной аорты исключительно хирургическое: открытая резекция аневризматического мешка с заменой иссеченной части синтетическим протезом либо эндопротезирование.


Аневризма брюшной аорты – патологическое расширение брюшной части аорты в виде выпячивания ее стенки на участке от XII грудного до IV—V поясничного позвонка. В кардиологии и ангиохирургии на долю аневризм брюшной аорты приходится до 95% всех аневризматических изменений сосудов. Среди мужчин старше 60 лет аневризма брюшной аорты диагностируется в 2-5% случаев. Несмотря на возможное бессимптомное течение, аневризма брюшной аорты склонна к прогрессированию; в среднем ее диаметр увеличивается на 10% в год, что нередко приводит к истончению и разрыву аневризмы с летальным исходом. В списке наиболее частых причин смерти аневризма брюшной аорты занимает 15 место.
Формирование аневризм аорты может быть обусловлено различными причинами. Предпосылкой последующего формирования аневризмы брюшной аорты может являться фиброзно-мышечная дисплазия - врожденная неполноценность аортальной стенки. Среди приобретенных факторов наибольшее значение имеют:
- Атеросклероз сосудов. По данным исследований, основным этиологическим фактором аневризм аорты (аневризмы дуги аорты, аневризмы грудной аорты, аневризмы брюшной аорты) является атеросклероз. В структуре причин приобретенных аневризм аорты на его долю приходится 80-90% случаев заболевания.
- Воспалительные изменения сосудистой стенки. Более редкое приобретенное происхождение аневризм брюшной аорты связно с воспалительными процессами: неспецифическим аортоартериитом, специфическими поражениями сосудов при сифилисе, туберкулезе, сальмонеллезе, микоплазмозе, ревматизме.
- Травмы аорты. Бурное развитие сосудистой хирургии в последние десятилетия привело к увеличению числа ятрогенных аневризм брюшной аорты, связанных с техническими погрешностями при выполнении ангиографии, реконструктивных операций (дилатации/стентирования аорты, тромбоэмболэктомии, протезирования). Закрытые повреждения брюшной полости или позвоночника могу способствовать возникновению травматических аневризм брюшной аорты.
Факторы риска
Около 75% пациентов с аневризмой брюшной аорты составляют курильщики; при этом риск развития аневризмы увеличивается пропорционально стажу курения и количеству ежедневного выкуриваемых сигарет. Возраст старше 60 лет, мужской пол и наличие аналогичных проблем у членов семьи повышают риск образования аневризмы брюшной аорты в 5-6 раз.
Вероятность разрыва аневризмы брюшной аорты выше у пациентов, страдающих артериальной гипертонией и хроническими заболеваниями легких. Кроме этого, имеет значение форма и размер аневризматического мешка. Доказано, что асимметричные аневризмы более подвержены разрыву, чем симметричные, а при диаметре аневризмы более 9 см смертность от разрыва аневризматического мешка и внутрибрюшного кровотечения достигает 75%.
В развитии аневризмы брюшной аорты играют роль воспалительные и дегенеративные атеросклеротические процессы в стенке аорты. Воспалительная реакция в стенке аорты возникает как иммунный ответ на внедрение неизвестного антигена. При этом развивается инфильтрация аортальной стенки макрофагами, В- и Т-лимфоцитами, усиливается продукция цитокинов, повышается протеолитическая активность. Каскад этих реакций, в свою очередь, приводит к деградации экстрацеллюлярного матрикса в среднем слое оболочки аорты, что проявляется в увеличении содержания коллагена и уменьшении эластина. На месте гладкомышечных клеток и эластических мембран формируются кистоподобные полости, вследствие чего прочность стенки аорты снижается.
Воспалительные и дегенеративные изменения сопровождаются утолщением стенок аневризматического мешка, возникновением интенсивного перианевризматического и постаневризматического фиброза, сращением и вовлечением окружающих аневризму органов в воспалительный процесс.
По форме выпячивания стенки сосуда различают мешотчатые, диффузные веретенообразные и расслаивающиеся аневризмы брюшной аорты; по строению стенки – истинные и ложные аневризмы. Наибольшую клиническую ценность представляет анатомическая классификация аневризм брюшной аорты, согласно которой выделяют:
- инфраренальные аневризмы, расположенные ниже отхождения почечных артерий (95%);
- супраренальные с локализацией выше почечных артерий.
С учетом этиологических факторов аневризмы брюшной аорты подразделяются на врожденные и приобретенные. Последние могут иметь невоспалительную этиологию (атеросклеротическую, травматическую) и воспалительную (инфекционную, сифилитическую, инфекционно-аллергическую).
По признаку распространенности А.А. Покровский и соавт. различают 4 типа аневризмы брюшной аорты:
- I – инфраренальная аневризма с достаточным по протяженности дистальным и проксимальным перешейком;
- II - инфраренальная аневризма с достаточным по протяженности проксимальным перешейком; распространяется до бифуркации аорты;
- III - инфраренальная аневризма с вовлечением бифуркации аорты и подвздошных артерий;
- IV – инфра- и супраренальная (тотальная) аневризма брюшной аорты.
Симптомы аневризмы БА
При неосложненном течении аневризмы брюшной аорты субъективные симптомы заболевания отсутствуют. В этих случаях аневризма может быть диагностирована случайно при пальпации живота, проведении УЗИ, рентгенографии брюшной полости, диагностической лапароскопии по поводу другой абдоминальной патологии.
Наиболее типичными клиническими проявлениями аневризмы брюшной аорты служат постоянные или периодические ноющие, тупые боли в мезогастрии или левой половине живота, что связано с давлением растущей аневризмы на нервные корешки и сплетения в ретроперитонеальном пространстве. Боли нередко иррадиируют в поясничную, крестцовую или паховую область. Иногда боли имеют настолько интенсивный характер, что для их купирования требуется назначение анальгетиков. Болевой синдром может быть расценен как приступ почечной колики, острого панкреатита или радикулита.
Часть больных в отсутствие болей отмечает чувство тяжести, распирания в животе или усиленную пульсацию. Вследствие механического сдавления аневризмой брюшной аорты желудка и 12-перстной кишки может возникать тошнота, отрыжка, рвота, метеоризм, запоры.
Урологический синдром при аневризме брюшной аорты может быть обусловлен компрессией мочеточника, смещением почки и проявляется гематурией, дизурическими расстройствами. В некоторых случаях сдавление тестикулярных вен и артерий сопровождается развитием болевого симптомокомплекса в яичках и варикоцеле.
Ишиорадикулярный симптомокомплекс связан с компрессией нервных корешков спинного мозга или позвонков. Он характеризуется болями в пояснице, чувствительными и двигательными расстройствами в нижних конечностях. Изолированная расслаивающаяся аневризма брюшной аорты встречается крайне редко; чаще она является продолжением расслоения грудного отдела аорты. При аневризме брюшной аорты может развиваться хроническая ишемия нижних конечностей, протекающая с явлениями перемежающейся хромоты, трофическими нарушениями.
Разрыв аневризмы брюшной аорты сопровождается клиникой острого живота и в относительно короткие сроки может привести к трагическому исходу. Симптомокомплекс сопровождается характерной триадой: болью в животе и поясничной области, коллапсом, усиленной пульсацией в брюшной полости. Особенности клиники разрыва аневризмы брюшной аорты определяются направлением разрыва (в забрюшинное пространство, свободную брюшную полость, нижнюю полую вену, 12-перстную кишку, мочевой пузырь).
Забрюшинный разрыв аневризмы брюшной аорты характеризуется болевым синдромом постоянного характера. При распространении забрюшинной гематомы в область малого таза отмечается иррадиация болей в бедро, пах, промежность. Высокое расположение гематомы может симулировать кардиальные боли. Количество излившейся в свободную брюшную полость крови при забрюшинном разрыве аневризмы, как правило, невелико – около 200 мл.
При внутрибрюшинной локализации разрыва аневризмы брюшной аорты развивается клиника массивного гемоперитонеума: быстро нарастают явления геморрагического шока - резкая бледность кожных покровов, холодный пот, слабость, нитевидный, частый пульс, гипотония. Отмечается резкое вздутие и болезненность живота во всех отделах, разлитой симптом Щеткина-Блюмберга. Перкуторно определяется наличие свободной жидкости в брюшной полости. Летальный исход при данном типе разрыва аневризмы брюшной аорты наступает очень быстро.
Прорыв аневризмы брюшной аорты в нижнюю полую вену сопровождается слабостью, одышкой, тахикардией; типичны отеки нижних конечностей. К локальным симптомам относятся боли в животе и пояснице, пульсирующее образование в животе, над которым выслушивается систоло-диастолический шум. Указанные симптомы нарастают постепенно, приводя к тяжелой форме сердечной недостаточности.
При разрыве аневризмы брюшной аорты в 12-перстную кишку развивается клиника профузного желудочно-кишечного кровотечения с внезапным коллапсом, кровавой рвотой, меленой. В диагностическом плане данный вариант разрыва сложно отличить от желудочно-кишечных кровотечений другой этиологии.
В ряде случаев заподозрить наличие аневризмы брюшной аорты позволяет общий осмотр, пальпация и аускультация живота. Для выявления семейных форм аневризмы необходимо собрать тщательный анамнез. Методы диагностики:
- Осмотр. При обследовании худощавых пациентов в положении лежа может определяться усиленная пульсация аневризмы через переднюю брюшную стенку. При пальпации в верхней части живота слева выявляется безболезненное пульсирующее плотноэластическое образование. При аускультации над аневризмой брюшной аорты выслушивается систолический шум.
- Рентгеновская диагностика. Наиболее доступным методом диагностики аневризмы брюшной аорты служит обзорная рентгенография брюшной полости, позволяющая визуализировать тень аневризмы и кальциноз ее стенок. КТ или МСКТ брюшного отдела аорты позволяет получить изображение просвета аневризмы, кальциноза, расслоения, внутримешкового тромбоза; выявить угрозу разрыва или свершившийся разрыв. Кроме указанных методов, в диагностике аневризмы брюшной аорты применяются аортография, внутривенная урография.
- УЗИ аорты. В настоящее время в ангиологии широко используется УЗДГ, дуплексное сканирование брюшной аорты и ее ветвей. Точность ультразвукового выявления аневризмы брюшной аорты приближается к 100%. С помощью УЗИ определяется состояние стенки аорты, распространенность и локализация аневризмы, место разрыва.

Лечение аневризмы брюшной аорты
Открытая хирургия
Противопоказания к плановой операции служат недавний (менее 1 месяца) инфаркт миокарда, ОНМК (до 6 недель), тяжелая сердечно-легочная недостаточность, почечная недостаточность, распространенное окклюзирующее поражение подвздошных и бедренных артерий. При надрыве или разрыве аневризмы брюшной аорты резекция выполняется по жизненным показаниям.
Эндоваскулярная хирургия
К современным малотравматичным методам хирургии аневризмы брюшной аорты относится эндопротезирование аорты с помощью имплантируемого стент-графта. Хирургическая процедура выполняется в рентген-операционной через небольшой разрез в бедренной артерии; ход операции контролируется рентгенотелевидением. Установка стент-графта позволяет изолировать аневризматический мешок, предотвратив тем самым возможность его разрыва, и одновременно создает новый канал для кровотока. Преимуществами эндоваскулярного вмешательства являются минимальная травматичность, меньший риск развития послеоперационных осложнений, быстрое восстановление. Однако, по данным литературы, в 10% случаев отмечается дистальная миграция эндоваскулярных стентов.
Аневризма брюшной аорты – коварная и непредсказуемая сосудистая патология. Вероятность летального исхода от разрыва аневризмы больших размеров составляет более 75%. При этом от 30 до 50% пациентов погибает еще на догоспитальном этапе.
В последние годы в кардиохирургии наблюдается заметный прогресс в диагностике и лечении аневризмы брюшной аорты: уменьшилось число диагностических ошибок, расширился контингент больных, подлежащих хирургическому лечению. Прежде всего, это связано с применением современных визуализирующих исследований и внедрением в практику эндопротезирования аневризмы аорты.
Для предотвращения потенциальной угрозы аневризмы брюшной аорты, лица, страдающие атеросклерозом или имеющие семейный анамнез по данному заболеванию, должны проходить регулярные обследования. Важную роль играет отказ от нездоровых привычек (курения). Пациенты, перенесшие оперативное вмешательство по поводу аневризмы брюшной аорты, нуждаются в наблюдении сосудистого хирурга, регулярном прохождении УЗИ и КТ.
3. Воспалительные аневризмы брюшной аорты/ Тихановская Е.О.// Вестник Российской Военно-медицинской академии. - 2012. - 1(37).
Аневризма дуги аорты
Аневризма дуги аорты – диффузное или локальное расширение просвета аорты на отрезке между ее восходящей и нисходящей частью, превышающее нормальный диаметр сосуда. Аневризма дуги аорты может проявляться одышкой, кашлем, дисфагией, осиплостью голоса, отечностью и цианозом лица, набуханием шейных вен, что связано с компрессией близлежащих органов. Диагностическая тактика при подозрении на аневризму дуги аорты включает проведение рентгенографии грудной клетки, ЭхоКГ и УЗДГ грудной аорты, аортографии, КТ и МРТ. Лечение заключается в резекции аневризмы дуги аорты в условиях ИК с установкой аллотранспланта или эндолюминальном протезировании аневризмы специальным эндопротезом.

В зависимости от уровня локализации различают аневризмы корня аорты и синусов Вальсальвы, восходящей аорты, дуги аорты, нисходящей аорты, брюшной аорты. Довольно часто в кардиологии и кардиохирургии встречаются сочетанные поражения смежных сегментов аорты. Так, аневризмы дуги аорты редко встречаются изолированно; в большинстве случаев они являются продолжением аневризматического расширения корня или восходящего отдела аорты.
Дугой аорты принято называть часть аорты, расположенную между ее восходящим и нисходящим отделами. Дуга аорты проходит между легочными артериями и огибает левый главный бронх. От дуги аорты отходят три крупные сосудистые ветки - плечеголовной ствол, левая общая сонная и левая подключичная артерии.
По данным аутопсий, аневризмы грудной части аорты встречаются в 0,9-1,1 % случаев, в 3–7 раз чаще у мужчин. Из них на долю аневризмы дуги аорты приходится около 18,9% случаев. Летальность в течение 3-х лет после обнаружения аневризмы составляет 35%, а через 5 лет достигает 54-65%.
Причины и механизмы развития аневризм дуги аорты не отличаются от таковых при аневризмах прочих локализаций. К врожденным факторам риска относятся:
- наследственные заболевания соединительной ткани, способствующие слабости стенки аорты, - болезнь Марфана, фиброзная дисплазия, синдром Элерса—Данлоса
- кистозный медионекроз
- врожденная извитость дуги аорты
- коарктация и др.
Среди приобретенных состояний ведущая роль принадлежит:
- воспалительным поражениям аорты - специфическим и неспецифическим аортитам при ревматизме, сифилисе, туберкулезе, микозах, бактериальной инфекции, болезни Такаясу
- невоспалительным дегенеративным процессам (атеросклерозу грудной аорты и др.)
- травмам грудной клетки. В результате травм грудной клетки могут образовываться посттравматические аневризмы дуги аорты. От момента травмы до развития аневризмы дуги аорты может пройти длительный срок (от нескольких месяцев до 20 лет).
- ятрогенным факторам. С развитием сосудистой хирургии все чаще встречаются аневризмы дуги аорты, обусловленные дефектами трансплантатов и шовного материала, в т. ч. постстенотические аневризмы.
Ослаблению тонуса стенок аорты и формированию аневризматического мешка способствует стойкая артериальная гипертензия. Независимыми механизмами развития аневризмы дуги аорты считаются возраст старше 60 лет, мужской пол, наличие аневризмы у членов семьи.
В патогенезе аневризмы дуги аорты, кроме воспалительных и дегенеративных процессов, играют роль гемодинамические и механические факторы. Особенности гемодинамики в грудном отделе аорты заключаются в высокой скорости кровотока, крутизне пульсовой волны и ее форме. Кроме этого, в грудной аорте имеются наиболее функционально напряженные сегменты — корень, перешеек и диафрагма. Поэтому увеличение кровяного давления или механическая травма легко приводит к надрыву внутренней оболочки стенки аорты с образованием субинтимальной гематомы, а в последующем — аневризмы.
Для аневризм воспалительного происхождения характерны явления периаортита, утолщение наружной оболочки и интимального слоя аорты, продуктивное воспаление с разрушением эластического и мышечного каркаса стенки аорты.
Симптомы
Аневризма дуги аорты среднего и большого размера приводит к сдавлению соседних анатомических структур, что обусловливает особенности клинического течения патологии. Давление аневризматического мешка на окружающие ткани и растяжение нервных сплетений аорты сопровождается пульсацией в груди, болью за грудиной с иррадиацией в шею, плечо, спину. Как правило, боли имеют упорный, жгучий характер и не купируются приемом нитратов.
Сухой, мучительный кашель, одышка и стенотическое дыхание появляются при компрессии бронхов и трахеи. При сдавлении аневризмой дуги аорты возвратного нерва возникает парез гортани (дисфония и осиплость голоса); сдавливание пищевода сопровождается явлениями дисфагии. Развитие синдрома верхней полой вены характеризуется головными болями, отеком лица и верхней половины туловища, удушьем, цианозом, набуханием вен шеи, гиперемией склер. При сдавливании симпатических путей развивается синдром Горнера, выражающийся в сужении зрачков, частичном птозе век, ангидрозе и др.
В некоторых случаях аневризма дуги аорты распознается только в связи с ее разрывом. Данное осложнение может сопровождаться кровоизлиянием в средостение, гемотораксом, кровотечением в пищевод, кровохарканьем и легочным кровотечением. Массивное кровотечение сопровождается резкой болью, бледностью, потерей сознания, нитевидным пульсом и, как правило, быстро приводит к летальному исходу. Кроме разрыва, аневризма дуги аорты может осложняться тромбоэмболиями артерий большого круга кровообращения, в т. ч. мозговых, приводящих к развитию инсульта.
Диагностика аневризмы дуги аорты основана на клинических данных, результатах рентгенографии, аортографии, ультразвукового ангиосканирования, КТ и МРТ.
При внешнем осмотре может обращать внимание усиление пульсации дуги аорты в яремной вырезке, а также видимое на глаз выпячивание аневризматического мешка в области грудины. Важное значение имеет факт наличия в анамнезе заболевания сифилисом, травмы грудной клетки, неспецифического аортоартериита и др. Заподозрить аневризму дуги аорты в ряде случаев позволяет внешний вид больных с синдромом Марфана: высокий рост, худощавость, длинные руки, арахнодактилия, воронкообразная грудная клетка, кифосколиоз, повышенная слабость связочного аппарата суставов.
- Рентгенодиагностика. Полипозиционная рентгенография грудной клетки выявляет тень расширенной дуги аорты и расширение сосудистого пучка. Часто определяется кальциноз стенок аневризмы. Рентгенография пищевода и желудка позволяет обнаружить смещение пищевода и кардии желудка. Инвазивная рентгеноконтрастная аортография применяется, главным образом, для оценки кровотока в ветвях аорты.
- Сонография. Ведущая роль в распознавании аневризм дуги аорты принадлежит ультразвуковому исследованию: эхокардиографии (трансторакальной, чреспищеводной ЭхоКГ), УЗДГ и дуплексному сканированию грудной аорты. Данный метод незаменим для определения диаметра аорты, наличия расслоения, тромбов в аневризматическом мешке.
- Томография. КТ (МСКТ) грудной аорты с контрастированием позволяет наглядно выявить мешотчатое или веретенообразное расширение просвета аорты, наличие тромботических масс, расслоения, парааортальной гематомы, очагов кальциноза. Дифференциальный диагноз аневризмы дуги аорты следует проводить с опухолями легких и средостения.

Лечение аневризмы дуги аорты
Консервативная выжидательная тактика может применяться при изолированных аневризмах небольших размеров, не вызывающих клинической симптоматики. В этом случае пациентам назначаются гипотензивные средства, адреноблокаторы, статины. При этом каждые полгода больным показано динамическое наблюдение, включающее осмотр кардиолога, проведение ЭхоКГ, КТ или МРТ. Хирургическому лечению подлежат аневризмы дуги аорты свыше 5 см в диаметре, протекающие с болевым или компрессионным синдромом, а также аневризмы, осложнившиеся расслоением, разрывом и тромбозом.
- Открытая операция. Радикальное лечение заключается в резекции аневризмы дуги аорты. Суть операции состоит в иссечении аневризмы с замещением дефекта аорты аллотрансплантатом, наложении анастомозов брахицефального ствола, левой общей сонной и левой подключичной артерий с сосудистым протезом. Операцию проводят в условиях искусственного кровообращения с защитой миокарда и головного мозга от ишемии с помощью гипотермии. Хирургическая летальность при данном типе операций составляет порядка 5-15%. Отдаленные результаты после резекции аневризмы дуги аорты хорошие.
- Эндоваскулярное вмешательство. Кроме открытого хирургического вмешательства при аневризмах дуги аорты применяется закрытое эндоваскулярное протезирование аневризмы. При этом специальный эндопротез с помощью проводника вводится в просвет аневризмы и фиксируется выше и ниже аневризматического мешка. В ряде случаев, при наличии абсолютных противопоказаний к выполнению радикальной операции, проводится паллиативное вмешательство, заключающееся в окутывании аневризмы синтетической тканью при угрожающем разрыве.
Прогноз
В случае отказа от лечения прогноз при аневризме дуги аорты неблагоприятный: около 60% больных погибают в течение 3—5 лет от разрыва аневризмы, ИБС, инсульта. Прогноз отягощается при размерах аневризмы более 6 см, сопутствующей артериальной гипертензии, посттравматическом генезе аневризмы дуги аорты.
Читайте также:
- Резекция внепросветных дивертикулов двенадцатиперстной кишки. Техника резекции дивертикулов.
- Лучевые признаки злокачественной опухоли печени у плода
- МРТ-артрограмма при повреждении Банкарта и его разновидностях
- Рентгенограмма, МРТ при болезни Севера
- Мелкоочаговый интрамуральный инфаркт миокарда. Инфаркт правого желудочка на ЭКГ
