Диагностика эпилептических автоматизмов. Очаг эпилепсии в гиппокампе
Добавил пользователь Валентин П. Обновлено: 28.11.2025
ЭЭГ при височных припадках. Течение височной эпилепсии
Пароксизмам преимущественно дисмнестического типа (реминисценции, иллюзорные, сложно-галлюцинаториые, идеаторные приступы, тотальные и парциальные амнезии, сложные автоматизмы с предполагаемой локализацией очага в структурах гиппокампа) обычно соответствуют фоиовый тета-ритм 5— 7 Гц амплитудой до 60 мкВ, пароксизмальиая активность в виде отдельных острых н медленных волн и комплексов острая волна — медленная волна в переднесредневисочных или задне-височных отведениях.
При наиболее сложных припадках, включающих аффективные, висцерально-вегетативные, дисмнестические проявления, сложные автоматизмы, вторично-генерализованные судорожные припадки, и вовлечении всех височно-лимбических образований одной височной доли на ЭЭГ часто отмечаются отсутствие, деформация и нерегулярность альфа-ритма, треугольная форма волн, высокая частота (20—25 Гц) и низкая амплитуда (5— 10 мкВ) бета-ритма; тета- и дельта-ритм регистрируются у половины больных.
Пароксизмальная активность в большинстве наблюдений имеет характер диффузной дизритмии с острыми и медленными волнами и комплексами острая волна — медленная волна.
Такие же изменения ЭЭГ наблюдаются и при вовлечении меднобазальных структур обеих височных долей при полиморфных припадках с грубыми психическими нарушениями, изменениями личности. Однако они более вариабельны, характеризуются перемежающей максимальной амплитудой разрядов в несимметричных отведениях обеих височных долей.

В то же время не менее чем у 1/3 больных, у которых можно было бы по клиническим данным предполагать вовлечение в эпилептические системы медиобазальиых структур, при повторных исследованиях на скальповой ЭЭГ эпилептическая активность не выявляется или отмечаются преходящие изменения то с одной, то с другой стороны.
Течение височной эпилепсии характеризуется неблагоприятными тенденциями. Оно более прогредиентно при отчетливом преобладании ранних экзогенных факторов в происхождении заболевания, дебюте заболевания с частых припадков, наличии грубых психопатологических периодических расстройств, изменений ЭЭГ по органическому типу [Внсневская Л. Я., 1980].
Несомненно также, что наиболее тяжело протекают многоочаговые формы заболевания [Зотов Ю. В., 1974; Савченко Ю. Н., Гейне Р. И., 1980; Чхенкели С. А., 1982, и др.]. Левосторонняя локализация эпилептических очагов чаще сопровождается развитием эпилептического статуса, что также ухудшает прогноз [Карлов В. А., 1974]. Как было указано выше, прогноз становятся хуже при развитии асинхронных приступов (эпилепсия сна и бодрствования). Наиболее часто такие припадки характеризуются полиморфизмом, отрицательно отражающимся на течении заболевания.
По нашим данным, одним из важнейших факторов, влияющих на течение эпилепсии, является своевременно подобранное адекватное лечение с использованием данных фармакокинетики и фармакотерапии.
Фокальная эпилепсия
Фокальная эпилепсия — такой вид эпилепсии, при котором эпилептические приступы обусловлены ограниченной и чётко локализованной зоной повышенной пароксизмальной активности головного мозга. Зачастую носит вторичный характер. Проявляется парциальными сложными и простыми эпи-пароксизмами, клиника которых зависит от расположения эпилептогенного очага. Диагностируется фокальная эпилепсия по клиническим данным, результатам ЭЭГ и МРТ головного мозга. Проводится противоэпилептическая терапия и лечение причинной патологии. По показаниям возможно хирургическое удаление зоны эпилептической активности.
Общие сведения
Понятие фокальной эпилепсии (ФЭ) объединяет все формы эпилептических пароксизмов, возникновение которых связано с наличием в церебральных структурах локального очага повышенной эпи-активности. Начинаясь фокально, эпилептическая активность может распространяться от очага возбуждения на окружающие мозговые ткани, обуславливая вторичную генерализацию эпиприступа. Такие пароксизмы ФЭ следует отличать от приступов генерализованной эпилепсии с первично-диффузным характером возбуждения. Кроме того, существует мультифокальная форма эпилепсии, при которой в головном мозге имеются несколько локальных эпилептогенных зон.
Фокальная эпилепсия составляет около 82% от всех эпилептических синдромов. В 75% случаев она дебютирует в детском возрасте. Наиболее часто она возникает на фоне нарушений развития мозга, травматического, ишемического или инфекционного поражения. Подобная вторичная фокальная эпилепсия выявляется у 71% всех страдающих эпилепсией пациентов.
Причины и патогенез фокальной эпилепсии
Этиологическими факторами ФЭ являются: пороки развития головного мозга, затрагивающие его ограниченный участок (фокальная корковая дисплазия, артериовенозные мальформации головного мозга, врождённые церебральные кисты и т. п.), черепно-мозговые травмы, инфекции (энцефалит, абсцесс головного мозга, цистицеркоз, нейросифилис), сосудистые нарушения (перенесенный геморрагический инсульт), метаболическая энцефалопатия, опухоли головного мозга. Причиной фокальной эпилепсии могут выступать приобретённые или генетически детерминированные нарушения в метаболизме нейронов определённого участка церебральной коры, не сопровождающиеся никакими морфологическими изменениями.
Среди этиофакторов возникновения фокальной эпилепсии у детей высока доля перинатальных поражений ЦНС: гипоксия плода, внутричерепная родовая травма, асфиксия новорожденного, перенесённые внутриутробно инфекции. Возникновение фокального эпилептогенного очага в детском возрасте бывает связано с нарушением созревания коры. В таких случаях эпилепсия носит временный возраст-зависимый характер.
Патофизиологическим субстратом ФЭ выступает эпилептогенный фокус, в котором выделяют несколько зон. Зона эпилептогенного повреждения соответствует участку морфологических изменений церебральной ткани, в большинстве случаев визуализируемых при помощи МРТ. Первичная зона — это участок мозговой коры, который генерирует эпи-разряды. Область коры, при возбуждении которой возникает эпиприступ, носит название симптоматогенная зона. Выделяют также ирритативную зону — область, являющуюся источником эпи-активности, регистрируемой на ЭЭГ в межприступный промежуток, и зону функционального дефицита — участок, ответственный за сопутствующие эпиприступам неврологические расстройства.
Классификация фокальной эпилепсии
Специалистами в области неврологии принято различать симптоматические, идиопатические и криптогенные формы фокальной эпилепсии. При симптоматической форме всегда можно установить причину её возникновения и выявить морфологические изменения, которые в большинстве случаев визуализируются при томографических исследованиях. Криптогенная фокальная эпилепсия носит также название вероятно симптоматическая, что подразумевает её вторичный характер. Однако при этой форме никакие морфологические изменения современными способами нейровизуализации не выявляются.
Идиопатическая фокальная эпилепсия возникает на фоне отсутствия каких-либо изменений ЦНС, которые могли бы привести к развитию эпилепсии. В её основе могут лежать генетически обусловленные канало- и мембранопатии, расстройства созревания мозговой коры. Идиопатическая ФЭ носит доброкачественный характер. К ней относят доброкачественную роландическую эпилепсию, синдром Панайотопулоса, детскую затылочную эпилепсию Гасто, доброкачественные младенческие эписиндромы.
Симптомы фокальной эпилепсии
Ведущий симптомокомплекс ФЭ — повторяющиеся парциальные (фокальные) эпилептические пароксизмы. Они могут быть простые (без потери сознания) и сложные (сопровождающиеся утратой сознания). Простые парциальные эпиприступы по своему характеру бывают: двигательные (моторные), чувствительные (сенсорные), вегетативные, соматосенсорные, с галлюцинаторным (слуховым, зрительным, обонятельным или вкусовым) компонентом, с психическими расстройствами. Сложные парциальные эпиприступы иногда начинаются как простые, а затем происходит нарушение сознания. Могут сопровождаться автоматизмами. В период после приступа отмечается некоторая спутанность сознания.
Возможна вторичная генерализация парциальных приступов. В таких случаях эпиприступ начинается как простой или сложный фокальный, по мере его развития возбуждение диффузно распространяется на другие отделы мозговой коры и пароксизм принимает генерализованный (клонико-тонический) характер. У одного пациента с ФЭ могут наблюдаться различные по типу парциальные пароксизмы.
Симптоматическая фокальная эпилепсия наряду с эпиприступами сопровождается другой симптоматикой, соответствующей основному поражению головного мозга. Симптоматическая эпилепсия ведёт к когнитивным нарушениям и снижению интеллекта, к задержке психического развития у детей. Идиапатическая фокальная эпилепсия отличается своей доброкачественностью, не сопровождается неврологическим дефицитом и нарушениями психической и интеллектуальной сфер.
Особенности клиники в зависимости от локализации эпилептогенного очага
Височная фокальная эпилепсия. Наиболее частая форма с локализацией эпилептогенного очага в височной доле. Для височной эпилепсии наиболее характерны сенсомоторные приступы с утратой сознания, наличием ауры и автоматизмов. Средняя длительность приступа 30-60 с. У детей преобладают оральные автоматизмы, у взрослых — автоматизмы по типу жестов. В половине случаев пароксизмы височной ФЭ имеют вторичную генерализацию. При поражении в височной доле доминантного полушария отмечается постприступная афазия.
Лобная фокальная эпилепсия. Эпи-очаг расположенный в лобной доле обычно вызывает стереотипные кратковременные пароксизмы со склонностью к серийности. Аура не характерна. Зачастую отмечаются поворот глаз и головы, необычные моторные феномены (сложные автоматические жесты, педалирование ногами и т. п.), эмоциональная симптоматика (агрессия, вскрикивания, возбуждение). При очаге в прецентральной извилине возникают двигательные пароксизмы джексоновской эпилепсии. У многих пациентов эпиприступы возникают в период сна.
Затылочная фокальная эпилепсия. При локализации очага в затылочной доле эпиприступы часто протекают с нарушениями зрения: транзиторным амаврозом, сужением зрительных полей, зрительными иллюзиями, иктальным морганием и пр. Самый частый вид пароксизмов — зрительные галлюцинации длительностью до 13 мин.
Теменная фокальная эпилепсия. Теменная доля - наиболее редкая локализация эпи-очага. Поражается в основном при опухолях и корковых дисплазиях. Как правило, отмечаются простые соматосенсорные пароксизмы. После приступа возможна кратковременная афазия или паралич Тодда. При расположении зоны эпиактивности в постцентральной извилине наблюдаются сенсорные джексоновские приступы.
Диагностика фокальной эпилепсии
Впервые возникший парциальный пароксизм является поводом для тщательного обследования, поскольку может быть первым клиническим проявлением серьёзной церебральной патологии (опухоли, сосудистой мальформации, корковой дисплазии и пр.). В ходе опроса невролог выясняет характер, частоту, длительность, последовательность развития эпиприступа. Выявленные при неврологическом осмотре отклонения указывают на симптоматический характер ФЭ и помогают установить примерную локализацию очага поражения.
Диагностика эпилептической активности мозга осуществляется при помощи электроэнцефалографии (ЭЭГ). Зачастую фокальная эпилепсия сопровождается эпи-активностью, регистрируемой на ЭЭГ даже в межприступный период. Если обычная ЭЭГ оказывается неинформативна, то проводится ЭЭГ с провокационными пробами и ЭЭГ в момент приступа. Точное расположение эпи-очага устанавливается при проведении субдуральной кортикографии — ЭЭГ с установкой электродов под твёрдой мозговой оболочкой.
Выявление морфологического субстрата, лежащего в основе фокальной эпилепсии, производится путём МРТ. Для выявления малейших структурных изменений исследование должно проводится с малой толщиной срезов (1-2 мм). При симптоматической эпилепсии МРТ головного мозга позволяет диагностировать основное заболевание: очаговое поражение, атрофические и диспластические изменения. Если отклонения на МРТ не были выявлены, то устанавливается диагноз идиопатическая или криптогенная фокальная эпилепсия. Дополнительно может проводиться ПЭТ головного мозга, которая выявляет участок гипометаболизма церебральной ткани, соответствующий эпилептогенному очагу. ОФЭКТ на этом же участке определяет зону гиперперфузии во время приступа и гипоперфузии — в период между пароксизмами.
Лечение фокальной эпилепсии
Терапия фокальной эпилепсии проводится эпилептологом или неврологом. Она включает подбор и постоянный приём антиконвульсантов. Препаратами выбора являются карбамазепин, производные вальпроевой к-ты, топирамат, леветирацетам, фенобарбитал и др. При симптоматической фокальной эпилепсии главным моментом является лечение основного заболевания. Обычно фармакотерапия достаточно эффективна при затылочной и теменной эпилепсии. При височной эпилепсии зачастую спустя 1-2 года лечения отмечается возникновение резистентности к проводимой противосудорожной терапии. Отсутствие эффекта от консервативной терапии выступает показанием для хирургического лечения.
Операции осуществляются нейрохирургами и могут быть направлены как на удаление очагового образования (кисты, опухоли, мальформации), так и на резекцию эпилептогенного участка. Оперативное лечение эпилепсии целесообразно при хорошо локализуемом очаге эпи-активности. В таких случаях проводится фокальная резекция. Если отдельные прилегающие к эпилептогенной зоне клетки также являются источником эпиактивности, показана расширенная резекция. Хирургическое лечение проводится с учётом индивидуального строения функциональных зон коры, установленном при помощи кортикографии.
Прогноз фокальной эпилепсии
Во многом прогноз ФЭ зависит от её типа. Идиопатическая фокальная эпилепсия отличается доброкачественностью течения без развития когнитивных нарушений. Её исходом зачастую становится самопроизвольное прекращение пароксизмов при достижении ребёнком подросткового возраста. Прогноз симптоматической эпилепсии обуславливает основная церебральная патология. Он наиболее неблагоприятен при опухолях и тяжёлых пороках развития головного мозга. Такая эпилепсия у детей сопровождается задержкой психического развития, которая особенно выражена при раннем дебюте эпилепсии.
Среди пациентов, которым было проведено хирургическое лечение, у 60-70% отмечалось отсутствие или значительное урежение эпи-пароксизмов после операции. Окончательное исчезновение эпилепсии в отдалённом периоде наблюдалось у 30%.
Височная эпилепсия
Височная эпилепсия — одна из форм эпилепсии, при которой очаг эпилептической активности локализуется в височной доли головного мозга. Височная эпилепсия характеризуется простыми и сложными парциальными эпи-приступами, а при дальнейшем развитии заболевания вторично-генерализованными припадками и психическими расстройствами. Установить диагноз «височная эпилепсия» позволяет сопоставление жалоб, данных неврологического статуса, ЭЭГ, полисомнографии, МРТ и ПЭТ головного мозга. Лечится височной эпилепсия путем моно- или политерапии противоэпилептическими препаратами. При их неэффективности применяются хирургические методики, заключающиеся в удалении клеток той области височной доли, где располагается эпилептогенный очаг.
МКБ-10
Височная эпилепсия является наиболее часто встречающейся формой эпилепсии. Она занимает почти 25% случаев эпилепсии вообще и до 60% случаев симптоматической эпилепсии. Следует отметить, что клиническая картина височной эпилепсии не всегда свидетельствует о расположении эпилептогенного очага в височной доли мозга. Известны случаи, когда патологический разряд иррадиирует в височную долю из очага, локализующегося в других областях головного мозга.
Изучение височной эпилепсии было начато еще во времена Гиппократа. Однако до внедрения в неврологическую практику методов прижизненной визуализации головного мозга причины, по которым возникает височная эпилепсия, удавалось установить менее, чем в 1/3 случаев. С применением в неврологии МРТ этот показатель вырос до 62%, а при дополнительном проведении ПЭТ и стереотаксической биопсии головного мозга он достигает 100%.
Причины возникновения височной эпилепсии
Височная эпилепсия может быть спровоцирована целым рядом факторов, которые подразделяют на перинатальные, воздействующие в период внутриутробного развития и во время родов, и постнатальные. По некоторым данным примерно в 36% случаев височная эпилепсия так или иначе связана с перенесенным перинатальным поражением ЦНС: гипоксией плода, внутриутробной инфекцией (корь, краснуха, цитомегалия, сифилис и пр.), родовой травмой, асфиксией новорожденного, фокальной кортикальной дисплазией.
Височная эпилепсия при воздействии постнатальных этиологических факторов может развиться в результате перенесенной черепно-мозговой травмы, нейроинфекции (бруцеллеза, герпетической инфекции, нейросифилиса, клещевого энцефалита, гнойного менингита, японского комариного энцефалита, поствакцинального энцефаломиелита), геморрагического или ишемического инсульта. Ее причиной может стать туберозный склероз, опухоль (ангиома, астроцитома, глиома, гломусная опухоль и др.), внутримозговая гематома, абсцесс, аневризма сосудов головного мозга.
В половине случаев височная эпилепсия наблюдается на фоне медиального (мезиального) височного склероза. Однако до сих пор нет однозначного ответа на вопрос является ли медиальный височный склероз причиной височной эпилепсии или он развивается как ее следствие, особенно при большой длительности эпи-приступов.
Классификация височной эпилепсии
По локализации очага эпилептической активности в пределах височной доли височная эпилепсия классифицируется на 4 формы: амигдалярную, гиппокампальную, латеральную и оперкулярную (инсулярную). Для большего удобства в клинической практике используют деление височной эпилепсии на 2 группы: латеральную и медиобазальную (амигдалогиппокампальную).
Некоторыми авторами выделяется битемпоральная (двусторонняя) височная эпилепсия. С одной стороны, она может быть связана с одновременным поражением обеих височных долей, что чаще наблюдается при перинатальной этиологии височной эпилепсии. С другой стороны, «зеркальный» эпилептогенный очаг может сформироваться по мере развития заболевания.
Симптомы височной эпилепсии
В зависимости от этиологии височная эпилепсия дебютирует в различном возрастном диапазоне. Для пациентов, у которых височная эпилепсия сочетается с медиальным височным склерозом, характерен дебют заболевания с атипичных фебрильных судорог, появляющихся в детском возрасте (наиболее часто в период с 6 месяцев до 6 лет). Затем в течение 2-5 лет отмечается спонтанная ремиссия височной эпилепсии, после которой возникают психомоторные афебрильные приступы.
Виды эпилептических приступов, которыми характеризуется височная эпилепсия, включают: простые приступы, сложные парциальные (СПП) и вторично-генерализованные (ВГП) приступы. В половине случаев височная эпилепсия протекает со смешанным характером приступов.
Простые приступы отличаются сохранностью сознания и часто предшествуют СПП или ВГП в виде ауры. По их характеру можно судить о расположении очага височной эпилепсии. Моторные простые приступы проявляются в виде поворота головы и глаз в сторону локализации эпилептического очага, фиксированной установке кисти, реже — стопы. Сенсорные простые приступы могут возникать в виде вкусовых или обонятельных пароксизмов, слуховых и зрительных галлюцинаций, приступов системного головокружения.
Могут отмечаться приступы вестибулярной атаксии, которые часто сочетаются с иллюзией изменения окружающего пространства. В ряде случаев височная эпилепсия сопровождается кардиальными, эпигастральными и респираторными соматосенсорными пароксизмами. В таких случаях пациенты жалуются на ощущение сдавления или распирания в области сердца, боли в животе, тошноту, изжогу, чувство комка в горле, приступ удушья. Возможно появление аритмии, вегетативных реакций (озноб, гипергидроз, бледность, ощущение жара), чувства страха.
Простыми эпи-приступами с нарушением психической функции с явлениями дереализации и деперсонализации сопровождается чаще медиобазальная височная эпилепсия. Явления дереализации заключаются в состоянии «сна наяву», ощущении ускорения или замедления времени, восприятии привычной обстановки как «никогда не виденного» или новых событий как «ранее пережитого». Деперсонализация проявляется отождествлением пациентом себя с каким-либо вымышленным персонажем; чувством, что мысли пациента или его тело ему на самом деле не принадлежат.
Сложные парциальные приступы представляют собой выключение сознания с отсутствием реакции на внешние раздражители. При височной эпилепсии такие приступы могут протекать с остановкой двигательной активности (пациент как бы застывает на месте), без остановки и с медленным падением, которое не сопровождается судорогами. Как правило, СПП составляют основу клинической картины медиабазальной формы височной эпилепсии. Зачастую они сочетаются с различными автоматизмами — повторяющимися движениями, которые могут быть продолжением начатых до приступа действий или возникать de novo. Ороалиментарные автоматизмы проявляются причмокиваниями, сосанием, облизыванием, жеванием, глотанием и т. п. Мимические автоматизмы представляют собой различные гримасы, нахмуривание, насильственный смех, моргание. Височная эпилепсия может также сопровождаться автоматизмами жестов (поглаживание, почесывание, похлопывание, топтание на месте, оглядывание и пр.) и речевыми автоматизмами (шипение, всхлипывание, повторение отдельных звуков).
Вторично-генерализованные приступы возникают обычно при прогрессировании височной эпилепсии. Они протекают с потерей сознания и клонико-тоническими судорогами во всех мышечных группах. Вторично-генерализованные приступы не носят специфический характер. Однако предшествующие им простые или сложные парциальные приступы свидетельствуют в пользу того, что у пациента отмечается именно височная эпилепсия.
С течением времени височная эпилепсия приводит к психическим эмоционально-личностным и интеллектуально-мнестическим нарушениям. Пациенты, у которых имеется височная эпилепсия, отличаются медлительностью, чрезмерной обстоятельностью и вязкостью мышления; забывчивостью, снижением способности к обобщению; эмоциональной неустойчивостью и конфликтностью.
Во многих случаях височная эпилепсия сопровождается разнообразными нейроэндокринными нарушениями. У женщин наблюдается нарушение менструального цикла, поликистоз яичников, снижение фертильности; у мужчин — снижение либидо и нарушение эякуляции. Отдельные наблюдения указывают на случаи, когда височная эпилепсия сопровождалась развитием остеопороза, гипотиреоза, гиперпролактинемического гипогонадизма.
Диагностика височной эпилепсии
Следует отметить, что височная эпилепсия представляет определенные диагностические трудности как для рядовых неврологов, так и для эпилептологов. Ранняя диагностика височной эпилепсии у взрослых зачастую не удается, поскольку пациенты обращаются за медицинской помощью только при возникновении вторично-генерализованных приступов. Простые и сложные парциальные приступы остаются незаметными для пациентов или не расцениваются ими как повод для обращения к врачу. Более своевременная диагностика эпилепсии у детей связана с тем, что на врачебную консультацию их приводят родители, обеспокоенные приступами «отключения» сознания, особенностями поведения и автоматизмами, наблюдаемыми у ребенка.
Височная эпилепсия часто не сопровождается какими-либо изменениями в неврологическом статусе. Соответствующие неврологические симптомы отмечаются лишь в тех случаях, когда причиной эпилепсии является очаговое поражение височной доли (опухоль, инсульт, гематома и пр.). У детей возможна микроочаговая симптоматика: легкие нарушения координации, недостаточность VII и XII пар ЧМН, повышение сухожильных рефлексов. При длительном течении заболевания выявляются характерные мнестические и личностные расстройства.
Дополнительные диагностические трудности связаны с тем, что височная эпилепсия достаточно часто протекает без изменений на обычной электроэнцефалограмме (ЭЭГ). Выявлению эпилептической активности может способствовать проведение ЭЭГ во время сна, что осуществляется в ходе полисомнографии.
Установить причину, по которой возникла височная эпилепсия, во многих случаях помогает МРТ головного мозга. Наиболее частой находкой при ее проведении является медиальный височный склероз. С помощью МРТ также можно диагностировать кортикальные дисплазии, опухоли, сосудистые мальформации, кисты, атрофические изменения височной доли. ПЭТ головного мозга при височной эпилепсии обнаруживает снижение обмена веществ в височной доли, зачастую затрагивающее таламус и базальные ганглии.
Лечение височной эпилепсии
Основной задачей терапии является снижение частоты приступов и достижение ремиссии заболевания, т. е. полного отсутствия приступов. Лечение пациентов, у которых диагностирована височная эпилепсия, начинают с проведения монотерапии. Препаратом первого выбора при этом является карбамазепин, при его неэффективности назначают вальпроаты, гидантоины, барбитураты или препараты резерва (бензодиазепины, ламотриджин). Если височная эпилепсия не поддается лечению монотерапией, то переходят к политерапии различными сочетаниями препаратов.
В случаях, когда височная эпилепсия оказывается резистентной к проводимой противоэпилептической терапии, рассматривается возможность ее оперативного лечения. Наиболее часто нейрохирурги производят височную резекцию, реже — фокальную резекцию, селективную гиппокампотомию или амигдалотомию.
Прогноз височной эпилепсии
Течение височной эпилепсии и ее прогноз во многом зависят от ее этиологии. Медикаментозной ремиссии удается достичь лишь в 35% случаев. Зачастую консервативное лечение приводит только к некоторому урежению приступов. После хирургического лечения полное отсутствие приступов наблюдается в 30-50% случаев, а у 60-70% пациентов отмечается их значительное урежение. Однако операция может привести к развитию таких осложнений, как нарушения речи, гемипарез, алексия и мнестические расстройства.
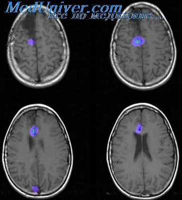
Диагностика эпилептических автоматизмов. Очаг эпилепсии в гиппокампе
Различить эти два автоматизма клинически часто невозможно. Относительное значение могут иметь следующие моменты:
1) при абсансе автоматизмов двигательные проявления часто более элементарны: непроизвольные движения губ, языка, потирание рук, отряхивание, одергивание одежды и пр. При височных приступах обычны: жевание, глотание, облизывание, чмоканье или координированная двигательная активность;
2) длительность приступа при абсансе обычно меньше, чем височного эпилептического автоматизма (секунды, максимум десятки секунд);
3) сознание при абсансах угнетено в большинстве случаев более значительно, нежели, при височных эпилептических пароксизмах;
4) височный автоматизм часто начинается или сопровождается яркими вегетативно-висцеральными симптомами или феноменами, включающими расстройства восприятия с выраженными чертами дереализации или деперсонализации.
Важную роль в диагностике играют данные электроэнцефалографии. Так, наличие пароксизмов генерализованных симметричных и синхронных разрядов частотой 3 в секунду и близкой к ней помогает диагностировать абсанс. Однако и данный признак не имеет абсолютной надежности.
Это связано с тем, что, с одной стороны, абсанс может проявляться иными ЭЭГ-феноменами, в частности эпилептическим ритмом вовлечения, а с другой — генерализованным синхронным симметричным разрядам 3 в секунду или близкой частоты могут предшествовать выраженные фокальные изменения на ЭЭГ, указывающие на наличие височного или лобно-височиого очага.
Возвращаясь к клинической картине сложных парциальных припадков с автоматизмами при ВЭ, следует напомнить, что А. V. Escueto и соавт. (1971) различают две нх формы.

При первой, наиболее частой, в начальной фазе приступа, длящейся около 15 с, наблюдаются обездвиженность больного, отсутствие реакции иа внешние стимулы. В следующей фазе припадка проявляются автоматизмы (жевание, глотание и др.) длительностью от 10 до 60 с. В заключительной фазе приступа степень нарушения сознания менее глубока (больной может реагировать на окружающее), и автоматизмы прерываются паузами. По-видимому, эта фаза может включать и постпароксизмальные расстройства.
Второй тип припадков авторы определяют как реактивный автоматизм, поскольку стереотипный моторный ответ координируется и достаточен для осуществления больным намеренных действий, выполняемых, однако, на фоне расстроенного сознания.
Исследованиями с применением долгосрочных погружных электродов установлена корреляция ряда клинических проявлений височной эпилепсии и топики очага. Больным с эпилептическими очагами в амигдалярном комплексе свойственны припадки с обонятельными, вкусовыми, вегетативно-висцеральными нарушениями, которые являются основными в клинической картине, а также с относительно элементарными пароксизмами. Последние в отличие от автоматизма абсансов или послеприпадочных автоматизмов, связанных с изменением уровня сознания, обусловлены прежде всего прямой активацией эпилептическими разрядами структур, реализующих моторные (часто и другие) компоненты таких актов, как пищевой, оборонительный, половой.
Для очагов, располагающихся в гиппокампе, особенно характерны расстройства восприятия, по-видимому, связанные с дисмнестическими процессами, — иллюзорные и в особенности галлюцинаторные пароксизмы, вплоть до сноподобиых состояний Джексона. Нередки собственно дисмиестические припадки в виде приступов амнезии или навязчивых воспоминаний.
Автоматизмы обычно имеют более сложный характер и имитируют произвольную упорядоченную деятельность, хотя в дальнейшем полностью амиезируются. Значительное влияние на клинику пароксизмальных проявлений оказывает латерализация эпилептического очага, о чем говорилось выше.
Аура при височной эпилепсии. Эпилептические височные автоматизмы
При сравнении характера припадков в зависимости от латерализации очага статистически достоверные различия получены только для трех видов припадков: сложных автоматизмов, преобладающих у больных с левополушарными очагами, психосенсорных и вегетативно-висцеральных припадков, домннирующнх у больных с правосторонними очагами.
Аура имела место у 74 (44,3%) больных с судорожными и бессудорожнымн припадками. Обращает на себя внимание высокая частота аур при сложных парциальных припадках: по данным R. Q. Feldman (1983)—50%, по нашим данным — 66,7%.
Наиболее характерная черта аур в этих случаях — качественное своеобразие ощущений, чувство нереальности переживаемого, в результате чего больной затрудняется описать свои ощущения. 9 больных характеризовали ауру как «какое-то отвратительное ощущение», «мне дурно», «мне плохо», «время остановилось», «что-то изменилось вокруг», «тягостное ощущение, что сейчас будет припадок» и т. д. «Психическая» аура —страх, тоска, ужас — отмечалась у 6, сенситивная — в виде «ватных ног», «чувства жара в груди», «ощущения прохождения электрического тока», «кома в горле» и т. д. — у 9, моторная — у 6, «пространственная» («пространство расширяется») —у 2 больных. О вкусовой, слуховой, вестибулярной и обонятельной ауре говорилось выше. Частой была вегетативно-висцеральная аура: эпигастральная — у 7, кардиальная — у 5, позывы к дефекации — у 2 больных. У 16 больных наблюдалась сложная аура, включавшая различные феномены. Отмечались также другие виды ауры — миестнческая и речевая.
При изучении распределения аур в зависимости от латерализации очага достоверное различие выявлено только в отношении двух типов аур — дереализации и вегетатнвио-висцеральных, которые преобладали у больных с правосторонними очагами. Специфичными левосторонними аурами (для правшей) были идеаториые, включая н речевую.

Помимо различной частоты ряда припадков и аур при разной латерализации очага, имеют место и качественные отличия. При правосторонних очагах висцерально-вегетативные проявления припадков максимально выражены, в частности характеризуются особой эмоциональной переживаемостью и физической ощутимостью.
Одновременно имеет место крайняя степень дереализации и деперсонализации. Больные переживают ощущение полного отчуждения собственного тела, внешнего мира, остановку времени, агнозию пространства н т. д. Эти качественно необычные восприятия усугубляют эмоциональные нарушения, порождая тревогу и страх. Нередки описанные J. H. Jackson сиоподобные состояния, которые включают в себя «уже виденное», «никогда не виденное», яркие образные картины прошлого. Это может сопровождаться неподвижностью больного, при котором он ощущает себя отчужденным, или чаще сложными двигательными автоматизмами. В последнем случае обычны аффекты страха, хотя возможны аффекты ярости и агрессивное поведение.
При левосторонних височных очагах соответствующие проявления менее ярки, более монотонны. Имеются и качественные отличия: преобладание слуховых расстройств — иллюзий, галлюцинаций, нарушение восприятия речи, чтения, состояние «уже слышанного», «никогда не слышанного», идеаторные пароксизмы.
Эмоциональный компонент припадка, как правило, более беден, лишен аффективной насыщенности.
Часто проявлением височной эпилепсии служат эпилептические автоматизмы, отмеченные нами в начальной стадии заболевания в качестве нзолироваииого феномена у 16, а в развернутой— у 40 больных. Припадки автоматизма проявлялись жеванием, глотанием, облизыванием (алиментарные автоматизмы), мимическими движениями, отражающими, как правило, соответствующие аффекты (страх), жестами, словесными автоматизмами или относительно координированной двигательной активностью.
Кроме приступов изолированных автоматизмов, последние часто оказываются одним из проявлений сложных многокомпонентных парциальных припадков. Поскольку в виде пароксизмов могут выражаться не только парциальные, но и генерализованные припадки (абсанс автоматизма), необходим тщательный анализ.
Читайте также:
