Диагностика лептоменингеальной кисты по КТ, МРТ
Добавил пользователь Евгений Кузнецов Обновлено: 19.12.2025
Недавно побывал впервые в жизни в Астане. Ощущение от города — современный Чикаго времён 1980-х Советского Союза. Поясню: вроде бы тенденция к новому и ультра, а дух — «наш», родной, «юношеский», привычный, с молодости, с 80-х. Вроде бы и построен новый город будущего, а чувствуешь в нём себя в Советском Союзе (да простят меня те, кто думает иначе, но меня не покидало ощущение во время нашей встречи с казахскими друзьями на их научно-практической конференции, что сижу я на зачёте по научному коммунизму на 6-м курсе института и вспоминаю содержание нетленных творений дорогого Леонида Ильича. В этом нет ничего плохого, мы все такие, какие мы есть — кто сказал, что иначе — это лучше).
Я ехал к друзьям, надеюсь, они правильно расценят эти строки, если прочтут, а я им благодарен за возможность вернуться в молодость — в Москве стало слишком всё по-западному, а там ещё сохранился дух советского братства. Но это ностальгия. А по сути — за 20 минут нужно было «пробежаться» по проблеме диагностики разновидностей кистозных образований поджелудочной железы. Скажу лишь, что за последнее время к хорошо известному добавились возможности диффузионно-взвешенных изображений.
Всё-таки карты исчисляемого коэффициента диффузии работают, и где темно — там и ищи озлокачествление. МРТ «тоньше» выявляет нюансы строения стенок и перегородок. КТ более чувствительна к кальцию. Врачи по-прежнему забывают, что не всё то, что полость в поджелудочной железе — это постнекротическая киста, и класть панкреатоеюноанастомозы всем подряд не следует, иногда следует вспомнить о возможности наличия муцинозной цистаденомы, которая в анастомозе уж точно переродится в цистаденокарциному. Многие почему-то думают, что нейроэндокринные опухоли обязательно продуцируют гормоны. А они могут быть и «немыми» (чуть ли не 40%).
Растут себе потихоньку, кистозно трансформируются, а заодно и озлокачествляются. Солидно-псевдопапиллярные опухоли — «в начале своего жизненного пути» и не «псевдопапиллярные» вовсе, а плохо контрастируемые, солидные, и их путают с чем угодно, в том числе с протоковой аденокарциномой. Но, «молодые» и маленькие — они ещё доброкачественные, а большие и кистозные, да ещё с обызвествлениями (по периферии), — чаще злокачественные. А ещё есть целый ряд других, ну, очень редких опухолей, которые надо выявить, понаблюдать за ними и обязательно решить, что делать дальше. Грамотный подход обеспечит нормальную жизнь пациенту.
И вообще, следует помнить: большие опухоли обеспечивают хорошие показатели диагностики, но от этого уже никому не легче. «Лучше меньше, да лучше» — сказал вождь мирового пролетариата. И, как всегда, он был прав: меньше размеры опухоли поджелудочной железы — лучше результаты её лечения. Здесь, как нигде более, работает весьма популярный на Западе принцип: «Размер имеет значение»! (а я бы добавил: и структура опухоли). Не надо считать все кистозные образования поджелудочной железы постнекротическими кистами. Разложите их на группы, и поверьте: «пасьянс» выискивания сверхмалых симптомов и различий — ну очень увлекательный процесс. Главное понимать: ваши усилия будут не напрасными, кому-то вы сохраните Жизнь.
Кисты головного мозга и их диагностика
МРТ головного мозга. Т2-взвешенная аксиальная томограмма. Арахноидальная киста. Цветовая обработка изображения.
Кисты головного мозга в большинстве своем относятся к аномалиям развития. Некоторые образования, возникшие на почве нарушения развития, имеют сходные с кистами черты.
Эпидермоидные кисты (эпидермоиды) – доброкачественные врождённые образования. Они происходят из эктопических эпидермальных клеток и развиваются в период закрытия, в 3-5 нед. эмбриогенеза, как следствие неполного разделения нейрональной и покровной эктодермы. Частота составляет около 1% от внутричерепных образований. Обычно диагностируются в возрасте 25 – 45 лет. Локализация эпидермоидов может быть любой, но типичная – мосто-мозжечковый угол (третье по частоте образование этой области), предмостовая цистерна, параселлярная область, четверохолмие и желудочковая система, очень редко в полушариях, спинном мозге и интрадиплоидно. Растут они интра- или экстрадурально, экспансивно, медленно, сдавливая ствол мозга, внутричерепные нервы, но не разрушая кость. Иногда захватывают сосуды и нервы. По характеру роста их можно отнести к опухолевидным образованиям. Вокруг эпидермоидов нередко развивается асептическое воспаление, а при разрыве содержимое (жир, кератин) прорывается в ликворные пространства. Клинические проявления зависят от локализации и масс-эффекта.
При МРТ головного мозга картина неспецифическая и зависит от содержимого кисты. Если она не содержит жира, то имеет ликворную интенсивность сигнала . В таком случае эпидермоидная киста трудно отличима от арахноидальной, хотя, как правило, не столь однородная. На МРТ типа FLAIR и диффузионно-взвешенных МРТ изображениях содержимое эпидермоидов светлее ликворного. Жировое содержимое, такие эпидермоиды еще называют холестеатомой, приводит к высокому сигналу на Т1-взвешенных МРТ головного мозга. Видимо, он обусловлен липидами, но не холестеролом. На Т2-взвешенных МРТ головного мозга он менее интенсивен чем ликвор. Контуры эпидермоидов всегда четкие. Холестеатомы составляют всего 3-5% от эпидермоидов. В 15-20% случаев встречается кальцификация по переферии кисты. Редко наблюдается контрастирование стенок.
МРТ головного мозга. Т1-взвешенные корональная и сагиттальная МРТ. Эпидермоидная киста левой височной доли.
Дермоидные кисты встречаются реже эпидермоидных, составляя около 0,3 % от внутричерепных образований. Обычно выявляются в возрасте между 10 и 20 годами. Морфологически от эпидермоидов их отличает наличие эктодермальных элементов – волосяных фолликулов, потовых желёз и т.д. Типично они расположены по средней линии (в отличие от эпидермоидов, которые чаще внеосевые): в супраселлярной цистерне, субфронтально, вокруг моста и, очень редко парапиниально, периорбитально, в IV желудочке, в области конского хвоста и интрадиплоидно. От эпидермоидных кист на МРТ головного мозга их отличает только выраженная неоднородность структуры, кроме того, они всегда яркие на Т1-взвешенных МРТ головного мозга за счёт большого содержания липидов. При разрыве и прорыве в субарахноидальное пространство в нём появляется уровень, на Т1-взвешенных МРТ головного мозга светлый жир плавает на ликворе.
Липома представляет собой скопление в субарахноидальном пространстве зачаточных жировых клеток с примесью коллагена. Происходят липомы из остатков примитивной эмбриональной оболочки. Эта мальформация оболочек мозга связана с нарушением дифференцировки мезенхимы на мягкую мозговую оболочку и субарахноидальное пространство. Частота липомы составляет менее 0.5% от внутричерепных образований. Обычно липомы локализуется в мозолистом теле, в межполушарной щели, воронке гипофиза и гипоталамусе, реже вокруг червя мозжечка и пластины четверохолмия и мосто-мозжечковом углу и Липомы мозолистого тела сочетаются с его агенезией и в 60% случаев с распространением на сосудистое сплетение. При МРТ головного мозга липома четко очерчена, без отека вокруг и масс-эффекта, кость не разрушает. Структура образования чаще однородная, жировой интенсивности сигнала – то есть выраженно гиперинтенсивная на Т1-взвешенных МРТ и немного менее интенсивная по отношению к ликвору на Т2-взвешенных МРТ. Иногда встречаются неоднородные липомы с участками низкого сигнала от кальцинатов и сосудов, проходящих ее насквозь. При сомнениях в диагнозе надо выполнить МРТ головного мозга с подавлением жира или можно сделать КТ. На КТ липома всегда резко гиподенсна и может содержать включения кальция.

МРТ головного мозга. Сагиттальная Т1-взвешенная МРТ. Липома мозолистого тела.
Эпендимальные кисты встречаются очень редко. Они представляют собой врождённую отшнуровку внутри желудочков или цистернах . На МРТ головного мозга контур кисты четкий, сигнал ликворной интенсивности или чуть светлее за счет отсутствия пульсации и примеси белка, структура однородная. В отличие от кист прозрачной перегородки она не расщеплена, а смещена.
Арахноидальные кисты представляют собой скопление ликвора между листками расщепленной паутинной оболочки. Арахноидальная киста обычно не сопровождается другими мальформациями. Незначительная часть арахноидальных кист имеет приобретенное происхождение – следствие лептоменингита, операции или кровоизлияния. Частота составляет около 1% от внутричерепных образований. Соотношение полов М:Ж, как 4:1. Типичная локализация – средняя черепная ямка (в области Сильвиевой борозды 50%), межполушарная щель, мосто-мозжечковый угол (11%), за скатом или на уровне четверохолмия (10%), в области червя мозжечка (9%), реже в области межножковой и предмостовой цистерн (3%), а также супраселлярной и хиазмальной цистерн. Ретроцеребеллярная арахноидальная киста довольно часто встречаются за мозжечком и отличима от mega cisterna только по неизменённой задней черепной ямке. Содержимое кисты чисто ликворное, стенки гладкие, чётко очерченные, внутри кисты могут быть перегородки. Мелкие арахноидальные кисты очень трудно увидеть. Меняя ширину окна и его уровень на Т1-взвешенных МРТ изображениях можно заметить, что киста чуть светлее ликвора. Дифференциальная диагностика с эпидермальными кистами лучше осуществляется с помощью МРТ последовательности FLAIR. Эпидермальные кисты становятся яркими, в отличие от гипоинтенсивных арахноидальных.
Нейроглиальные (нейроэпителиальные) кисты – врождённые кисты различной этиологии, локализующиеся в паренхиме мозга или в области сосудистого сплетения желудочков. Обычно округлые, с гладкими стенками. Очень часто такие кисты сочетаются с аномалиями развития: отсутствием прозрачной перегородки и полимикрогирией. При МРТ головного мозга содержимое кист ликворное, иногда с небольшой примесью белка.
Коллоидная киста – это врождённое нейроэпителиальное образование. Коллоидная киста выстлана эпителием и имеет фиброзную капсулу. Она составляют около 1-2% объемных внутричерепных образований. Обычно диагностируются в возрасте между 30 и 50 годами. При МРТ головного мозга видно, что киста всегда расположена в переднее-верхнем отрезке III желудочка между отверстиями Монро. Контур ее четкий, форма округлая, содержимое бывает неоднородное. Размер от 3 мм до 4 см, при больших размерах она закрывает отверстия Монро и вызывает окклюзионную гидроцефалию. Сигнал зависти от примеси белка к ликвору. При наличии белкового мукоидного содержимого киста гиперинтенсивна на Т1-взвешенных МРТ и гипоинтенсивна на Т2-взвешенных МРТ, но встречаются варианты гиперинтенсивные на томограммах обоих типов кольцевидные или смешанные . Контрастирования не наблюдается.
КТ и МРТ головного мозга. Коллоидная киста III желудочка.
Киста кармана Ратке представляет собой редко встречающееся образование из остатков эмбриональной эктодермы (щель Ратке), расположенное между долями гипофиза. Выявляется в любом возрасте, но чаще в 50-60 лет. Клинические проявления связаны с масс-эффектом. При головного мозга выявляется небольшая (3-5 мм) киста с четким контуром, без отека вокруг, однородная по структуре. Сигнал зависит от содержимого. При серозном содержимом сигнал типично жидкостный, при мукоидном киста светлая на Т1-взвешенных МРТ. В редких случаях киста достигает больших размеров и даже выходит за пределы седла. Стенка кисты иногда усиливается при контрастировании.
МРТ головного мозга. Т2-взвешенная корональная МРТ. Киста кармана Ратке.
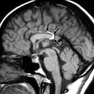
Пинеальная киста расположена в проекции шишковидной железы. Встречается с частотой 4-11%. Размеры обычно не превышают 1 см, но изредка встречаются больших размеров. В таких случаях она вызывает окклюзионную гидроцефалию. При головного мозга она имеет все признаки кисты с примесью белка в жидкости, то есть немного светлая на Т1-взвешенных. Изредка встречается геморрагическое содержимое. Киста может контрастироваться по периферии.

МРТ головного мозга. Сагиттальная Т1-взвешенная МРТ. Пинеальная киста.
Кисты средней линии – киста прозрачной перегородки (cavum septi pellucidi), полость Верге (cavum Vergae) и киста промежуточного паруса (cavum veli interpositi) – являются нормальными структурами головного мозга плода. В течение 6 месяцев после рождения у большинства людей они запустевают, но могут и сохраниться, визуализируясь при этом на МРТ головного мозга. По-видимому, эти полости не имеют клинического значения и относятся к случайным находкам при томографии. Киста прозрачной перегородки (еще называют V желудочком) является медиальной стенкой боковых желудочков и ограничена спереди коленом мозолистого тела, сверху мозолистым телом и сзади столбами свода . Полость Верге представляет собой продолжение кисты прозрачной перегородки кзади и расположена между телами желудочков . Обычно обе кисты сочетаются. Киста промежуточного паруса расположена в крыше III желудочка (tela choroidea), между треугольниками боковых желудочков на уровне отверстий Монро. Она ограничена сверху мозолистым телом, cзади цистерной четверохолмия и снизу III желудочком.
При МРТ в СПб мы обращаем внимание на возможность не только врожденных, но и редких состояний, к которым относятся приобретенные кисты головного мозга, причиной которых могут быть:
- последствия ОНМК
- опухолевые кисты
- паразитарные кисты

МРТ головного мозга. Корональная Т1-взвешенная МРТ. Многокамерные эхинококковые кисты.
Кисты головного мозга одинаково хорошо видны в высоких полях и низкопольных открытых МРТ. МРТ СПб дает место выбора выполнения МРТ.
Диагностика лептоменингеальной кисты по КТ, МРТ
Диагностика метастазов мостомозжечкового угла и внутреннего слухового прохода по КТ, МРТ
а) Терминология:
1. Сокращения:
• Метастазы (мтс)
2. Синонимы:
• Лептоменингиальный канцероматоз, менингеальный канцероматоз, канцероматозный менингит
о Все вышеперечисленные термины некорректны последующим причинам:
- Опухоли не всегда являются карциномами
- Часто вовлекаются как пахименинкс (твердая мозговая оболочка), так и лептоменинкс (мягкая + паутинная мозговые оболочки)
- Как правило, воспалительный компонент отсутствует:
Употребление суффикса -ит не имеет смысла
3. Определение:
• Метастазы в области ММУ-ВСП: поражающие ММУ-ВСП метастазы из первичной опухоли ЦНС или другой локализации
б) Визуализация:
1. Общие характеристики метастазов мостомозжечкового угла и внутреннего слухового прохода (ММУ-ВСП):
• Лучший диагностический критерий
о Множественные объемные образования, накапливающие контраст при МРТ с контрастированием в режиме Т1-ВИ
• Локализация:
о Четыре основные локализации: лептоменингс (мягкая-паутинная, мозговые оболочки), твердая мозговая оболочка, клочок мозжечка и сосудистое сплетение
о Локализация первичной опухоли:
- Первичные опухоли: молочная железа, легкие, меланома
- Менингеальные лимфопролиферативные злокачественные новообразования:
Лимфома и лейкоз
- Первичная опухоль ЦНС метастазирует в базальные цистерны через спинномозговую жидкости (СМЖ): «падающие» метастазы
• Размеры:
о Обычно малых размеров (< 1 см):
- Метастазы характеризуются ранним появлением клинических проявлений
• Морфология:
о Лептоменинкс: утолщение ЧН VII и ЧН VIII во ВСП
о Твердая мозговая оболочка: диффузное утолщение твердой мозговой оболочки (пахименинкс)
о Клочок мозжечка: увеличение клочка, перитуморальный отек мозга, объемное образование распространяется в цистерну ММУ
о Сосудистое сплетение: узловое утолщение
2. КТ признаки метастазов мостомозжечкового угла и внутреннего слухового прохода (ММУ-ВСП):
• КТ с контрастированием:
о Одностороннее или двустороннее контрастирование твердой мозговой оболочки вдоль ММУ
о На КТ метастазы выявляются только будучи больших размеров ± множественными

(Слева) МРТ, постконтрастное Т1-ВИ, аксиальный срез: метастазы рака легкого в твердую мозговую оболочку в области ММУ. Необходимо различать контрастируемую утолщенную твердую мозговую оболочку от нормального участка контрастирования сигмовидного синуса. При исследовании СМЖ были выявлены злокачественные клетки.
(Справа) МРТ, постконтрастное Т1-ВИ, режим подавления сигнала от жира, аксиальный срез: в правом ВСПВ определяется контрастируемый метастаз, распространяющийся через канал улиткового нерва и стержень улитки в перепончатый лабиринт.
3. МРТ признаки метастазов мостомозжечкового угла и внутреннего слухового прохода (ММУ-ВСП):
• Т1-ВИ:
о Очаговое утолщение твердой мозговой оболочки, изоинтенсивное серому веществу головного мозга
• Т2-ВИ:
о Высокоразрешающие Т2-ВИ:
- Лептоменингеальные метастазы: утолщение ЧН VII и ЧН VIII
- Метастазы в клочок мозжечка: перитуморальный отек, имеющий ↑ сигнал
• FLAIR:
о Большие в размерах метастазы ММУ-ВСП могут вызвать ↑ сигнала в прилежащем стволе мозга ± мозжечке
о Метастазы в клочке мозжечка имеют ↑ сигнал
• Постконтрастное Т1-ВИ:
о Лептоменингеальные метастазы: диффузное утолщение и контрастирование черепных нервов во ВСП:
- При позднем обнаружении выявляется «пробка» из контрастируемой ткани, затыкающая ВСП
- Односторонние или двусторонние
о Метастазы в твердую мозговую оболочку: утолщение и контрастирование твердой мозговой оболочки: могут иметь диффузный или очаговый характер:
- Сочетаются с другими образованиями твердой мозговой оболочки или черепа
о Метастазы в клочок мозжечка: контрастируемое объемное образование клочка
о Метастазы в сосудистое сплетение: контрастируемое узелковое поражение по ходу сосудистого сплетения:
- Латеральный карман IV желудочка → отверстие Люшка → нижний отдел цистерны ММУ
о Могут выявляться метастаические контрастируемые очаги в головном мозге
4. Рекомендации по визуализации:
• Лучший инструмент визуализации:
о МРТ с контрастированием в режиме Т1-ВИ является лучшим инструментом визуализации
о FLAIR и постконтрастные Т1-ВИ всего мозга для поиска ассоциированных метастазов
• Совет по протоколу исследования:
о Рекомендуется использовать аксиальные и корональные срезы

(Слева) МРТ, постконтрастное Т1-ВИ, корональный срез: в клочке правого полушария мозжечка определяется контрастируемый метастаз карциномы молочной железы. Обратите внимание на нормальный клочок и сосудистое сплетение цистерны
(Справа) МРТ, FLAIR, аксиальный срез: у этого же пациента определяется, что объемное образование несколько гипоинтенсивнее прилегающего серого вещества мозга. Вазогенный отек вещества средней ножки и самого мозжечка визуализируется как гиперинтенсивная область. Левый клочок в норме.
в) Дифференциальная диагностика метастазов мостомозжечкового угла и внутреннего слухового прохода (ММУ-ВСП):
1. Двусторонняя вестибулярная шваннома (НФ2):
• Более молодые пациенты; злокачественные новообразования в анамнезе отсутствуют
• На постконтрастных Т1-ВИ с двух сторон в области ММУ-ВСП определяются контрастируемые объемные образования:
о Имитируют двусторонние лептоменингеальные метастазы
• Возможны другие шванномы черепных нервов ± менингиомы
2. Саркоидоз, ММУ-ВСП:
• ↑ скорость оседания эритроцитов (СОЭ) и сывороточный ангиотензин-превращающий фермент (АПФ)
• Нa постконтрастных Т1-ВИ может наблюдаться картина, идентичная мультифокальному менингеальному типу метастазов:
о Могут выявляться двусторонние поражения ММУ, имитирующие нейрофиброматоз 2 типа (НФ2) или метастазы
о Может быть единичный очаг бляшечного типа, имитирующий менингиому
• Оцените стебель гипофиза на предмет вовлечения в патологический процесс
3. Менингит, ММУ-ВСП:
• Бактериальный менингит
• Грибковый менингит
• Туберкулезный менингит
• Картина на постконтрастных Т1-ВИ может быть идентична картине при метастазах области ММУ-ВСП
• Оценка клинических данных и исследование СМЖ имеют ключевое значение
4. Синдром Рамсея Ханта:
• Везикулярная сыпь в области наружного уха
• На постконтрастных Т1-ВИ выявляется накопление контраста в области дна ВСП и внутреннего уха ± VII черепного нерва:
о Имитирует односторонние лептоменингиальные метастазы
г) Патология:
1. Общие характеристики метастазов мостомозжечкового угла и внутреннего слухового прохода (ММУ-ВСП):
• Этиология:
о Метастатическое поражение лептоменинкс или твердой мозговой оболочки в области ММУ-ВСП
- Лептоменингеальные метастазы развиваются по ходу ЧН VII и ЧН VIII во ВСП
о Метастатическое поражение клочка мозжечка или сосудистого сплетения
о Пути метастазирования:
- Экстракраниальное новообразование характеризуется гематогенным метастазированием в мозговые оболочки
- Реже встречается метастазирование внутричерепного или интраспинального новообразования посредством СМЖ
• Ассоциированные аномалии:
о Множество других пиальных или дуральных метастатических очагов:
о Также возможны паренхиматозные мозговые метастазы:
- Мягкая + паутинная мозговые оболочки мозга = лептоменинкс
• Клучевые анатомические особенности: выделяют три отдельные мозговые оболочки:
о Твердая мозговая оболочка (пахименинкс): плотная волокнистая соединительная ткань, прикрепляющаяся к костям свода черепа
о Паутинная мозговая оболочка: располагается между мягкой и твердой мозговыми оболочками
о Мягкая мозговая оболочка: чистая мембрана, прочно соединенная с поверхностью мозга; проникает глубоко в борозды
2. Макроскопические и хирургические особенности:
• Диффузный, узловой ± дискретный характер
3. Микроскопия:
• Выделяют основные типы ткани опухоли:
о Солидные опухоли = молочная железа, легкие, меланома:
- Все характеризуются метастатическим поражением как лептоменинкс, так и пахименинкс
о Злокачественные лимфопролиферативные заболевания = лимфома и лейкоз:
- Характеризуются метастатическим поражением как лептоменинкс, так и пахименинкс
о «Падающие» метастазы опухолей центральной нервной системы:
- Медуллобластома, эпендимома, мультиформная глиобластома

(Слева) МРТ, постконтрастное Т1-ВИ, режим подавления сигнала от жира, аксиальный срез: у пациента с верифицированными отдаленными метастазами рака прямой кишки определяется контрастирование метастаза, в сосудистом сплетении нижней части цистерны ММУ и отверстия Люшки. Также визуализируется нормальное сосудистое сплетение справа.
(Справа) МРТ, постконтрастное Т1 -ВИ, режим подавления сигнала от жира, аксиальный срез: с двух сторон в областях ММУ-ВСП определяются «падающие» метастазы супратенториальной мультиформной глиобластомы. Наряду с двусторонними контрастируемыми метастазами во ВСП, на поверхности мозжечка выявляются множественные лептоменингиальные метастазы.
д) Клиническая картина:
1. Проявления метастазов мостомозжечкового угла и внутреннего слухового прохода (ММУ-ВСП):
• Наиболее частые признаки/симптомы:
о Быстро нарастающий односторонний или двусторонний паралич лицевого нерва (ЧН VII) и нейросенсорная тугоухость (ЧН VIII)
• Другие признаки/симптомы:
о Головокружение и полиневропатия черепных нервов
• Клинический профиль:
о Пациент со злокачественной опухолью в анамнезе
2. Демография:
• Возраст:
о Пожилой и старческий возраст
• Эпидемиология:
о Неврологические осложнения метастатических опухолей встречаются все чаще:
- В связи с увеличением выживаемости больных раком пациентов
3. Течение и прогноз:
• Менингеальные метастазы обычно обнаруживаются на поздней стадии
• Прогноз неблагоприятный, поскольку пациенты имеют инкурабельное заболевание на поздней стадии по определению
4. Лечение метастазов мостомозжечкового угла и внутреннего слухового прохода (ММУ-ВСП):
• Радикальные способы лечения отсутствуют
• Доступные методы лечения направлены на сохранение неврологических функций и улучшение качества жизни
• Методы лечения соответствуют таковым для первичного новообразования:
о Лучевая терапия ± химиотерапия в зависимости от типа ткани
• Хирургические методы редко применяются на данной стадии:
о Исключением могут являться одиночные метастазы меланомы
• При наличии сомнений в диагнозе необходима эксцизионная биопсия
е) Диагностическая памятка:
1. Обратите внимание:
• При обнаружении у взрослого пациента двусторонней «вестибулярной шванномы» наиболее вероятен не НФ2, а метастатический генез таких образований
• При наличии у пациента быстро нарастающего пареза VII черепного нерва + нейросенсорной тугоухости в совокупности с объемным образованием ВСП следует предположить метастаз:
о Вестибулярная шваннома редко вызывает парез ЧН VII
2. Советы по интерпретации изображений:
• При появлении подозрений на метастазы в области ММУ-ВСП при анализе постконтрастных Т1-ВИ или вследствие наличия злокачественного новообразования в анамнезе исследуйте:
о Экстракраниальные структуры и структуры свода черепа для поиска других образований с целью подтверждения диагноза
о Оболочки мозга других областей, таких как параселлярная и других базальных, на предмет вовлечения в патологический процесс
о Паренхиму мозга на предмет наличия аномального высокого сигнала на FLAIR ± контрастируемых образований на постконтрастных Т1-ВИ
а) Определение:
• Увеличивающийся в размерах перелом костей свода черепа в смежных с посттравматической энцефаломаляцией отделах
1. Общие характеристики лептоменингеальной кисты:
• Лучший диагностический критерий:
о Стабильная или расширяющаяся линия перелома свода черепа после травмы головы
• Локализация:
о Наиболее часто - теменная кость
2. Рекомендации по визуализации:
• Совет по протоколу исследования:
о Рутинная бесконтрастная КТ в режиме исследования головного мозга и костей
3. Рентгенологические признаки:
• Рентгенография:
о Линейное литическое поражение черепа с фестончатыми краями
4. КТ признаки лептоменингеальной кисты:
• Бесконтрастная КТ:
о В острую стадию мозговая ткань и спинномозговая жидкость (СМЖ) выходят между краями костного дефекта
о Последующее развитие энцефаломаляции в смежных с переломом отделах

(Слева) Бесконтрастная КТ, проводимая в рамках рутинного наблюдения за пациентом в динамике, аксиальный срез: у юноши 14 лет через два месяца после эвакуации субдуральной гематомы, образовавшейся вследствие футбольной травмы, определяется дефект черепа и посттравматическая энцефаломаляци.
(Справа) Два года спустя тот же пациент стал наблюдать постепенное увеличение «шишки» на голове. При повторной бесконтрастной КТ определяется, что края дефекта черепа выступает наружу, а через сам дефект выпячивается объемное образование с плотностью, подобной ликвору, которое располагается под сухожильным шлемом.
5. МРТ признаки лептоменингеальной кисты:
• Т1-ВИ:
о Киста изоинтенсивна по отношению к СМЖ, сообщается с субарахноидальным пространством
о Последующее развитие энцефаломаляции в смежных с переломом отделах
• Т2-ВИ:
о Те же изменения, что и на Т1 -ВИ
в) Дифференциальная диагностика лептоменингеальной кисты:
1. Эпидермальная киста:
• Четкие склеротические края + ограничение диффузии
2. Врожденные дефекты свода черепа:
• Выполните поиск двусторонний симметричных изменений с характерной локализации
3. Гистиоцитоз из клеток Лангерганса:
• Классическая скошенность края кости у младенцев (до развития диплоического слоя) наблюдается очень редко
4. Метастатическое поражение свода черепа:
• Предполагайте лейкоз, нейробластому
5. Остеомиелит:
• Отек вышележащих мягких тканей, нечеткие края костного дефекта вследствие инфильтративного и деструктивного характера процесса
1. Общие характеристики лептоменингеальной кисты:
• Этиология:
о Перелом черепа + разрыв твердой мозговой оболочки → грыжевое выпячивание мягкой, паутинной мозговых оболочек (лептоменинкс) через разрыв твердой мозговой оболочки
о Лептоменинкс располагаются не на внутренней поверхности разорванной твердой мозговой оболочки и над смежными отделами головного мозга
о Пульсации СМЖ → прогрессирующая эрозия черепа вокруг перелома
о Вклинение мозговой ткани препятствует миграции остеобласов и заживлению перелома
о Поврежденный головной мозг подвергается некротическим или глиозным изменениям → энцефаломаляция
2. Макроскопические и хирургические особенности:
• Отсутствие лептоменинкс по ходу внутренней поверхности разрыва твердой мозговой оболочки над смежными отделами головного мозга
3. Микроскопические признаки:
• Некроз, глиоз ткани головного мозга

(Слева) КТ, костное окно, аксиальный срез: отмечается, что кортикальный слой краев дефекта черепа хорошо выражен. Обратите внимание на фестончатость наружной пластинки кости свода черепа.
(Справа) КТ, костный режим, 3D реконструкция в режиме оттененных поверхностей: визуализируется расширенный дефект черепа с фестончатыми краями. По поводу данного «растущего» перелома черепа с лептоменингеальной кистой было проведено оперативное лечение.
1. Проявления лептоменингеальной кисты:
• Наиболее частые признаки/симптомы:
о Младенец или ребенок более старшего возраста: увеличивающееся в размерах пальпируемое мягкотканное объемное образование волосистой части кожи головы:
- Перелом клинически может не быть распознан
о Взрослые: обычно обнаруживается в виде немягкого непульсирующего подкожного объемного образования:
- Травма в детском возрасте редко запоминается или при сборе анамнеза ее трудно выявить
2. Демография:
• Возраст:
о 90% встречаются у пациентов < 3 лет
• Эпидемиология:
о Редко: 0,6% среди переломов черепа у детей
о Падение является наиболее частым механизмом травмы
3. Течение и прогноз:
• Увеличение диастаза костных фрагментов с течением времени
• ± прогрессирующий неврологический дефицит (судороги, парез), особенно при обнаружении во взрослом возрасте
4. Лечение:
• Хирургическое восстановление твердой мозговой оболочки, резекция кисты
е) Диагностическая памятка:
1. Обратите внимание:
• Предполагайте диагноз у всех младенцев с дефектом черепа по данным рентгенографии или пальпируемым объемным образованием головы
2. Советы по интерпретации изображений:
• Характерно увеличение диастаза костных фрагментов с течением времени, а не заживление перелома
Лептоменингеальные метастазы
Эта информация разъясняет, что такое лептоменингеальные метастазы и как они лечатся.
Информация о лептоменингеальных метастазах
Клетки раковых опухолей некоторых видов, например рака молочной железы, рака легких или меланомы, иногда могут распространяться в мозговые оболочки, спинномозговую жидкость или в обе эти области одновременно.
- Мозговые оболочки — это слои ткани, покрывающие и защищающие головной и спинной мозг. Иногда их называют мембранами.
- Спинномозговая жидкость — это жидкость между слоями мозговых оболочек. Она вырабатывается внутри головного мозга и служит амортизатором для головного и спинного мозга.
Проникновение раковых клеток в мозговые оболочки или спинномозговую жидкость называют лептоменингеальными метастазами.
Симптомы лептоменингеальных метастазов
Лептоменингеальные метастазы могут вызывать множество различных симптомов, например:
- затруднение мыслительного процесса;
- двоение в глазах;
- головную боль;
- нарушения речи или проблемы с глотанием;
- боль;
- слабость в руках и ногах или нарушение их координации;
- утрату контроля над мочеиспусканием или опорожнением кишечника;
- судорожные припадки.
У вас может быть один или несколько из этих симптомов. Наличие одного симптома не означает, что у вас появятся и остальные.
Диагностика лептоменингеальных метастазов
Сканирование методом магнитно-резонансной томографии (magnetic resonance imaging (MRI))
Если ваш врач считает, что у вас лептоменингеальные метастазы, вам могут назначить магнитно-резонансную томографию (MRI) головного мозга или позвоночника. Сканирование методом MRI может применяться для диагностики лептоменингеальных метастазов.
Люмбальная пункция
Возможно, врач рекомендует сделать вам люмбальную пункцию (иногда называемую поясничным проколом), чтобы проверить спинномозговую жидкость на наличие раковых клеток или определить их количество в ней.
При выполнении люмбальной пункции врач сделает вам инъекцию (укол) лекарства, которое вызовет онемение кожи на пояснице. После этого вам введут иглу через кожу в позвоночный канал, чтобы взять образец спинномозговой жидкости. Образец будет отправлен в патологоанатомическое отделение для исследования на наличие раковых клеток. Если в спинномозговой жидкости обнаружатся раковые клетки, это означает, что у вас лептоменингеальные метастазы.
Возможно, вам понадобится сделать несколько люмбальных пункций, поскольку найти раковые клетки в спинномозговой жидкости может быть трудно.
Люмбальная пункция также позволит вашему врачу измерить давление спинномозговой жидкости. Лептоменингеальные метастазы могут вызывать высокое давление спинномозговой жидкости, что возможно усугубит симптомы.
Лечение лептоменингеальных метастазов
Цель лечения лептоменингеальных метастазов — облегчить симптомы и постараться уничтожить раковые клетки в мозговых оболочках и спинномозговой жидкости. Вам может быть назначена радиотерапия, химиотерапия или и то, и другое. Вид лечения, который выберет ваш врач, зависит от вида рака, имеющихся симптомов и результатов исследований. Ваш врач и медсестра/медбрат обсудят с вами и вашей семьей план лечения.
Радиотерапия
Вам могут назначить радиотерапию тех областей, где образовались скопления раковых клеток, вызывающие симптомы, например радиотерапию головы, областей спинного мозга или и того, и другого одновременно. Иногда радиотерапию назначают сначала для одной области, а затем для другой.
Радиотерапию обычно проводят в амбулаторной клинике, но ее также могут провести и во время вашего пребывания в больнице. Вы и ваш врач примете это решение вместе.
Химиотерапия
Химиотерапия при лептоменингеальных метастазах проводится тремя различными способами:
- с помощью таблеток (пероральная химиотерапия);
- через иглу, введенную в вену (внутривенная ((intravenous (IV)) химиотерапия);
- введением непосредственно в спинномозговую жидкость (интратекальная химиотерапия или химиотерапия с использованием резервуара Ommaya).
Ваш врач решит, какой тип химиотерапии больше подходит для вас. Различные виды рака по-разному реагируют на эти виды химиотерапии.
Если вам назначили химиотерапию путем введения лекарства непосредственно в спинномозговую жидкость, возможно, она будет выполняться с использованием резервуара Ommaya. Резервуар Ommaya — это устройство в виде купола, которое в ходе операции помещается под кожу головы. Небольшая трубка соединяет этот резервуар с областями головного мозга, где вырабатывается спинномозговая жидкость. У химиотерапии, проводимой таким образом, очень мало побочных эффектов, так как для лечения раковых клеток в спинномозговой жидкости достаточно небольшой дозы лекарства.
Перед операцией по размещению резервуара Ommaya вы получите общий наркоз (лекарство, под действием которого вы уснете). Операция длится около 1 часа. Когда наркоз перестанет действовать, вы будете испытывать дискомфорт в том месте, где был сделан разрез для размещения резервуара. Для получения дополнительной информации попросите у медсестры/медбрата материал Часто задаваемые вопросы о резервуарах Ommaya и пункциях резервуара Ommaya.
Даже если у вас установлен резервуар Ommaya, вы также можете получать интратекальную химиотерапию через люмбальную пункцию, внутривенную или пероральную химиотерапию. Это делается для того, чтобы помочь контролировать и основной рак, и лептоменингеальные метастазы.
Приемы во время лечения
Ваша медицинская бригада будет внимательно наблюдать за вами на протяжении лечения лептоменингеальных метастазов. Каждые 6-8 недель вам могут назначать сканирования методом MRI, люмбальные пункции, или и то и другое. Вам также могут проводить врачебные осмотры каждые 6–8 недель.
Уход за собой во время лечения
Существуют разные способы, которыми мы можем помочь вам контролировать симптомы лептоменингеальных метастазов. Важно рассказывать вашему врачу или медсестре/медбрату о любых проблемах, а также об изменении или облегчении ваших симптомов. Это поможет нам понимать, как протекает лечение, и принять решения о внесении изменений в план вашего лечения.
Если у вас диагностировали лептоменингеальные метастазы, это может вызвать чувство тревоги. Ваш врач, медсестра/медбрат и социальный работник готовы обсудить с вами опасения, касающиеся лептоменингеальных метастазов и основного рака.
Читайте также:
