Диагностика поддиафрагмального абсцесса. Методы выявления поддиафрагмального абсцесса
Добавил пользователь Евгений Кузнецов Обновлено: 20.11.2025
Поддиафрагмальный нарыв. Поддиафрагмальный абсцесс
Другим заболеванием брюшины, которое долгое время не поддавалось клинической диагностике и которое опять таки в настоящее время распознается без особого труда, является поддиафрагмальный нарыв, т. е. ограниченный гнойный перитонит диафрагмальной брюшины и серозного покрова расположенных под диафрагмой органов. Я не имею в виду поддиафрагмальных забрюшинных нарывов.
Поддиафрагмальные внутрибрюшинные нарывы как содержащие газ, так и простые, развиваются чаще всего после прободения или гнойного воспаления органов, лежащих поблизости к диафрагме, как-то: желудка, двенадцатиперстной кишки, ободочной кишки, печени, желчного пузыря и селезенки, в некоторых случаях путем распространения нагноения из плевры, ребер и забрюшинной клетчатки, а также метастически.
Но всякая перфорация или нагноение органа, расположенного в брюшной полости, хотя бы он лежал вдали от диафрагмы может также дать повод к поддиафрагмальному нагноению.
Это происходит или метастическим путем через кровеносные или лимфатические сосуды, или же путем попадания бактерий под диафрагму из свободной брюшной полости, благодаря присасывающему влиянию дыхательных движений диафрагмы. Наиболее частый повод к образованию поддиафрагмальных нарывов последней категории дают аппендициты, при чем по статистике Griineisen'a после аппендицитов чаще развиваются нарывы простые и реже газосодержащие (из 27-ми случаев Gruneisen'a только в 5-ти нарыв содержал газ).

Нарывы могут образоваться или под правым куполом диафрагмы, или под левым, при чем серповидная связка служит между ними барьером. Только в редких случаях благодаря прободению ее, развившийся нарыв, с одной стороны распространяется на другую, и тогда вся поддиафрагмальная брюшина и серозный покров расположенных здесь органов принимают участие в гнойном воспалении. При развитии правостороннего абсцесса гнойная полость, достигающая иногда при газовых нарывах очень большой величины, ограничена сверху диафрагмой, слева серповидной связкой, снизу верхней поверхностью печени, а снаружи и спереди теми перитонитическими сращениями, которые образуются между брюшиной, покрывающей переднюю брюшную стенку, и органами здесь расположенными, именно печенью, желудком и кишками.
В большинстве случаев поддиафрагмального правостороннего нагноения эти склейки развиваются между диафрагмой и печенью, и полость нарыва не выходит за пределы грудной клетки, но при очень больших газсодержащих абсцессах склейки могут образоваться значительно ниже и тогда нарыв распространяется в брюшную полость ниже реберной дуги, доходя в редких случаях до подвздошной кости (Griinbaum, Стражеско и др.). При развитии больших нарывов, вследствие воспаления и растяжения мышцы диафрагмы и. последующего ее пареза, диафрагма отдавливается значительно кверху, а печень опускается книзу, поворачиваясь иногда также около переднезадней своей оси. Таким образом при вертикальном положении больного купол нарыва образуется диафрагмой, а дно верхнепередней поверхностью смещенной печени.
При образовании левостороннего абсцесса нагноение развивается в левом подреберье и ограничивается чаще всего сверху диафрагмой, справа ligamentum suspensorium hepatis, сниз>г желудком и поперечной кишкой, спереди и снаружи спайками между этими органами и брюшиной, выстилающей переднюю брюшную стенку. Селезенка в некоторых случаях также принимает участие, срастаясь с диафрагмой и образуя часть наружной стенки. Но нарывы, развивающиеся слева, могут занимать и меньшее пространство в подреберье в виду того, что здесь расположено несколько органов, между которыми развивается нагноение и которые ограничивают его распространение.
При образовании правосторонних поддиафрагмальных нагноений, нагноительный процесс в редких случаях развивается не на всей выпуклой поверхности правой доли печени, а только на части ее; это случается при уже существовавших спайках между печенью и диафрагмой.
В некоторых случаях, благодаря переходу воспаления через диафрагму на плевру, может развиваться выпотный плеврит, серозный или гнойный; в других случаях вследствие развития сухого плеврита происходит сращение между легким и диафрагмой.
Информация на сайте подлежит консультации лечащим врачом и не заменяет очной консультации с ним.
См. подробнее в пользовательском соглашении.
Забрюшинный абсцесс
Забрюшинный абсцесс – это обособленная полость в ретроперитонеальном пространстве, заполненная гнойным экссудатом. Проявления зависят от локализации и распространённости патологического процесса. Общими признаками являются недомогание, тошнота, лихорадка. Возникают боли на стороне гнойного поражения с иррадиацией в позвоночник, лопатку, тазобедренный сустав. Диагностика основывается на данных осмотра, рентгенографии органов брюшной полости, УЗИ и КТ забрюшинного пространства. Лечение комбинированное: чрескожное или оперативное дренирование абсцесса, антибиотикотерапия.

Общие сведения
Забрюшинный (ретроперитонеальный) абсцесс – ограниченное скопление гноя, расположенное между задним листком брюшины и внутрибрюшинной фасцией. Гнойники могут быть одиночными, при этом достигать значительных объемов, или множественными. Диагностика последних вызывает трудности в связи с малыми размерами образований и стёртой клинической картиной. Абсцессы могут образовываться вследствие травм, операций, перфорации полого органа, метастазирования инфекции из соседних структур. После плановых полостных операций гнойники возникают в 0,8% случаев, после экстренных - в 1,5%. Заболевание встречается преимущественно у лиц 20-40 лет.

Причины
Патогенная флора, участвующая в формировании гнойного процесса, представлена анаэробными и аэробными бактериями (стафилококк, стрептококк, кишечная палочка, клостридии и др.). Факторы, способствующие образованию гнойника, можно разделить на 2 группы:
- Первичные. Открытые ранения брюшной полости с загрязнением и недостаточной хирургической обработкой раны приводят к формированию ограниченной пиогенной полости. Закрытые травмы, сопровождающиеся повреждением забрюшинной части кишечника, могут способствовать развитию гнойного процесса и образованию абсцесса.
- Вторичные. Возникают вследствие гематогенного или лимфогенного (в 70% случаев) распространения инфекции из близлежащих органов. Ретроперитонеальный гнойник может возникать вследствие гнойного панкреатита, паранефрита, лимфаденита, абсцессов почек. Образование пиогенной полости может являться осложнением операций на органах забрюшинного пространства (мочеточнике, 12-перстной кишке, толстом кишечнике и др.). В этом случае инфекция развивается при недостаточной санации гнойного очага, нарушении правил асептики и антисептики, нерациональной АБ-терапии и неправильном уходе в послеоперационном периоде.
Классификация
В зависимости от местоположения гнойного процесса в ретроперитонеальном пространстве в абдоминальной хирургии выделяют:
1. Абсцессы переднего забрюшинного пространства. Расположены между париетальной брюшиной и предпочечной фасцией. К ним относятся:
- Панкреатические абсцессы. Образуются в результате деструктивного панкреатита, панкреонекроза.
- Околокишечные абсцессы. Формируются при перфорации 12-перстной кишки, восходящей и нисходящей части ободочной кишки в результате язвы, ранения или опухоли. Гнойник образуется при ретроперитонеальном расположении червеобразного отростка и затеке гноя в околоободочную клетчатку (параколон) при перитоните.
2. Абсцессы заднего забрюшинного пространства. Находятся между передней почечной фасцией и поперечной фасцией, выстилающей заднюю часть брюшной полости. Включают:
- Абсцессы околопочечного пространства. Располагаются с обеих сторон между передним и задним листками почечной фасции. Образуются при травмах паранефрона (околопочечной клетчатки), прорыве гнойников почек (пионефроз), при деструктивном ретроцекально расположенном аппендиците.
- Поддиафрагмальные абсцессы. Формируются непосредственно в клетчатке под диафрагмой. Отрицательное давление под куполом диафрагмы создает присасывающий эффект и способствует скоплению гнойного содержимого под диафрагмой при прободении аппендицита, разлитом перитоните, открытом и закрытом ранении брюшной полости.
Отдельно можно выделить псоас-абсцесс, образующийся при ограниченном гнойном воспалении поясничной мышцы. Формирование пиогенной полости происходит вследствие гематогенной передачи инфекции при остеомиелите позвоночника. Гнойники могут достигать больших размеров и вызывать расплавление мышцы.
Симптомы забрюшинного абсцесса
Клиническая картина заболевания зависит от размеров и локализации гнойника, длительности воспаления и этиологии патологического процесса. В начале болезни, при небольших размерах абсцесса, симптоматика может отсутствовать. По мере увеличения пиогенного образования нарастают симптомы интоксикации: озноб, лихорадка, недомогание, тошнота. Характер болей обусловлен локализацией воспалительного процесса и носит в основном разлитой характер. Болезненные ощущения чаще возникают в боку на стороне поражения. Боли могут иррадиировать в лопатку, грудной отдел позвоночника, ягодичную и ректальную область, тазобедренный сустав.
Неприятные ощущения возникают сначала во время движения (при ходьбе, попытках сесть, встать, перевернуться на бок), а затем и в покое. При забрюшинных абсцессах переднего отдела иногда пальпируется округлое образование живота. При околопочечных гнойниках боли отдают в спину, позвоночник и усиливаются при попытке согнуть ногу в тазобедренном суставе. Возникает нарушение мочеиспускания (дизурия). Затяжной характер болезни приводит к атрофии мышц поясничной и ягодичной областей. У пациентов возникает сколиоз, контрактура и внутренняя ротация бедра на стороне гнойника.
Осложнения
Длительное течение забрюшинного абсцесса может привести к прорыву гнойника в плевральную и брюшную полость. Это способствует развитию эмпиемы плевры и диффузного гнойного перитонита. Генерализация гнойного процесса с возникновением сепсиса представляет угрозу для жизни пациента. Летальность при ретроперитонеальных абсцессах варьирует от 10 до 30 %.
Диагностика
Диагностика забрюшинного абсцесса осуществляется абдоминальным хирургом, вызывает значительные трудности из-за отсутствия четко очерченной локализации боли и специфических признаков болезни. При предположении о наличие ограниченного гнойного образования ретроперитонеальной области проводят следующие обследования:
- Осмотр хирурга. Специалист проведет тщательный физикальный осмотр, сбор анамнеза жизни. Большое значение имеет наличие сопутствующей соматической патологии и оперативных вмешательств в прошлом. При подозрении на гнойный процесс в забрюшинной полости врач назначает дополнительное обследование.
- УЗИ брюшной полости и забрюшинного пространства. Выявляет воспалительные процессы в поджелудочной железе, почках, ретроперитонеальной клетчатке, жидкость в брюшной полости. При большом размере абсцесса удается визуализировать его как округлую гипоэхогенную тень.
- Обзорная рентгенография брюшной полости. Позволяет обнаружить округлое образование с уровнем жидкости.
- КТ забрюшинного пространства. Является наиболее современным и эффективным методом исследования. Позволяет определить местоположение, размеры абсцесса и выявить причину его образования.
- Лабораторные исследования. В ОАК определяются признаки бактериальной инфекции (лейкоцитоз, повышение СОЭ, сдвиг лейкоцитарной формулы влево). При поражении поджелудочной железы увеличивается уровень ферментов (амилаза, липаза) в биохимическом анализе крови. При заболеваниях мочевыделительной системы отмечается лейкоцитурия, пиурия. Для выявления возбудителя проводят анализ крови или мочи на стерильность.
Для дифференциальной диагностики имеет значение локализация забрюшинного абсцесса. Начальные этапы болезни схожи с течением инфекционных заболеваний различной этиологии (брюшной тиф, грипп, малярия). При гнойнике переднего ретроперитонеального пространства дифференциальную диагностику проводят с панкреонекрозом, острым панкреатитом, язвенной болезнью 12-перстной кишки. Околопочечные абсцессы следует отличать от параненефрита, острого пиелонефрита.
Лечение забрюшинного абсцесса
Тактика лечения зависит от размера и местоположения гнойника. При небольших одиночных абсцессах проводят чрескожное дренирование и введение в полость антибактериальных препаратов с помощью катетера. Манипуляцию выполняют под контролем УЗИ или КТ. При неполном опорожнении пиогенной полости возможен рецидив болезни. При множественных, крупных одиночных абсцессах показано хирургическое вмешательство. Операция заключается во вскрытии, дренировании гнойника, санации очага воспаления и ревизии забрюшинного пространства. Выбор доступа зависит от местоположения абсцесса.
Околопочечные абсцессы вскрывают заднелатеральным или заднемедиальным доступом. При показаниях к нефрэктомии удаление почки проводят вторым этапом (после купирования гнойного процесса). При поддиафрагмальных абсцессах используют внебрюшинный или чрезбрюшинный доступ, при околокишечных - переднелатеральный. Вскрытие псоас-абсцесса производят из внебрюшинного доступа (разрез над паховой связкой вдоль гребня подвздошной кости). При остеомиелите подвздошной кости выполняют удаление секвестров.
При забрюшинном абсцессе неуточненной локализации проводят вскрытие ретроперитонеального пространства косым поясничным разрезом по Пирогову, Израэлю, Шевкуненко. Во всех случаях до и после хирургического вмешательства назначают курс антибиотикотерапии с учетом возбудителя инфекции. После операции показана дезинтоксикационная, противовоспалительная и обезболивающая терапия.
Прогноз и профилактика
Прогноз болезни зависит от запущенности гнойного процесса, общего состояния пациента. При грамотной диагностике и комплексном лечении забрюшинного абсцесса прогноз благоприятный. При порыве гнойника могут возникнуть жизнеугрожающие состояния (сепсис, перитонит). Профилактика заболевания направлена на рациональное лечение и послеоперационное ведение пациентов с острой хирургической патологией. Важную роль играет своевременное обнаружение и дренирование гнойника. Пациентам рекомендовано при первых симптомах болезни обратиться к хирургу.
Поддиафрагмальный абсцесс
Поддиафрагмальный абсцесс – локальный гнойник, сформировавшийся между куполом диафрагмы и прилегающими к ней органами верхнего этажа брюшной полости (печенью, желудком и селезенкой). Поддиафрагмальный абсцесс проявляется гипертермией, слабостью, интенсивной болью в эпигастрии и подреберье, одышкой, кашлем. Диагностическое значение имеют осмотр больного, данные рентгеноскопии, УЗИ, КТ, общего анализа крови. Для полного излечения поддиафрагмального абсцесса выполняют хирургическое вскрытие и дренирование гнойника, назначают антибактериальную терапию.

Поддиафрагмальный абсцесс является сравнительно редким, но очень серьезным осложнением гнойно-воспалительных процессов брюшной полости. Располагается поддиафрагмальный абсцесс преимущественно внутрибрюшинно (между диафрагмальным листком брюшины и прилегающими органами), редко - в забрюшинном пространстве (между диафрагмой и диафрагмальной брюшиной). В зависимости от нахождения гнойника поддиафрагмальные абсцессы разделяют на правосторонние, левосторонние и срединные. Чаще всего встречаются правосторонние поддиафрагмальные абсцессы с передневерхней локализацией.
Форма поддиафрагмального абсцесса может быть различной: чаще - округлой, при сдавлении его прилежащими к диафрагме органами – плоской. Содержимое поддиафрагмального абсцесса представлено гноем, иногда с примесью газа, реже - желчных камней, песка, кала.
Поддиафрагмальный абсцесс нередко сопровождается образованием плеврального выпота, при значительном размере в той или иной степени оказывает давление и нарушает функции диафрагмы и соседних органов. Поддиафрагмальный абсцесс обычно встречается у 30-50-летних пациентов, при этом у мужчин - в 3 раза чаще, чем у женщин.
Основная роль в возникновении поддиафрагмального абсцесса принадлежит аэробной (стафилококк, стрептококк, кишечная палочка) и анаэробной неклостридиальной микрофлоре. Причиной большинства случаев поддиафрагмального абсцесса является послеоперационный перитонит (местный или разлитой), развившийся после гастрэктомии, резекции желудка, ушивания прободной язвы желудка, спленэктомии, резекции поджелудочной железы. Развитию поддиафрагмального абсцесса способствуют возникновение обширной операционной травмы тканей, нарушение анатомических связей органов поддиафрагмального пространства, несостоятельность анастомозов, кровотечение, иммуносупрессия.
Поддиафрагмальные абсцессы могут возникать в результате торакоабдоминальных травм: открытых (огнестрельных, колотых или резаных ранений) и закрытых (ушибов, сдавления). Гематомы, скопление вытекшей крови и желчи, образовавшиеся после таких травм, нагнаиваются, осумковываются и приводят к развитию поддиафрагмального абсцесса.
Среди заболеваний, вызывающих образование поддиафрагмального абсцесса, ведущую роль играют воспалительные процессы органов брюшной полости (абсцессы печени, селезенки, острый холецистит и холангит, панкреонекроз). Реже поддиафрагмальный абсцесс осложняет течение деструктивного аппендицита, сальпингоофорита, гнойного паранефрита, простатита, нагноившейся кисты эхинококка, забрюшинных флегмон. Развитие поддиафрагмального абсцесса возможно при гнойных процессах в легких и плевре (эмпиема плевры, абсцесс легкого), остеомиелите нижних ребер и позвонков.
Распространению гнойной инфекции из очагов брюшной полости в поддиафрагмальное пространство способствуют отрицательное давление под куполом диафрагмы, создающее присасывающий эффект, перистальтика кишечника, а также ток лимфы.
Симптомы поддиафрагмального абсцесса
В начальной стадии поддиафрагмального абсцесса могут наблюдаться симптомы общего характера: слабость, потливость, озноб, ремиттирующая или интермиттирующая лихорадка, свойственные и другим абсцессам брюшной полости (межкишечному, аппендикулярному, абсцессу дугласова пространства и др.).
Для поддиафрагмального абсцесса характерно появление чувства тяжести и болей в подреберье и нижней части грудной клетки с пораженной стороны. Боли могут иметь различную интенсивность - от умеренных до острых, усиливаться при активном движении, глубоком дыхании и кашле, иррадиировать в плечо, лопатку и ключицу. Также появляется икота, одышка, мучительный сухой кашель. Дыхание учащенное и поверхностное, грудная клетка на стороне абсцесса отстает при дыхании. Больной с поддиафрагмальным абсцессом вынужден принимать полусидячее положение.
Обнаружение поддиафрагмального абсцесса облегчается после его полного созревания. С целью диагностики используют данные анамнеза и осмотра больного, результаты рентгенологического, ультразвукового, лабораторного исследований, КТ.
Пальпация верхних отделов живота при поддиафрагмальном абсцессе показывает болезненность и мышечное напряжение брюшной стенки в эпигастральной области или в подреберьях. Выявляется сглаженность и расширение межреберных промежутков, выпячивание подреберной области, при правостороннем абсцессе - увеличение печени.
Если поддиафрагмальный абсцесс не содержит газ, перкуссия грудной клетки обнаруживает притупление звука выше границы печени, снижение или отсутствие подвижности нижнего края легкого. При скоплении газа в полости поддиафрагмального абсцесса выявляются участки разных тонов («перкуторная радуга»). При аускультации наблюдается изменение дыхания (от ослабленного везикулярного до бронхиального) и внезапное исчезновение дыхательных шумов на границе абсцесса.
Лабораторное исследование крови показывает изменения, характерные для любых гнойных процессов: анемию, нейтрофильный лейкоцитоз со сдвигом лейкоцитарной формулы влево, нарастание СОЭ, наличие С-реактивного белка, диспротеинемию.
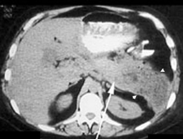
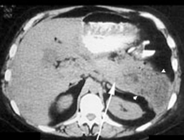
Главное значение в диагностике поддиафрагмального абсцесса отводится рентгенографии и рентгеноскопии грудной клетки. Для поддиафрагмального абсцесса характерно изменение в области ножек диафрагмы, более высокое стояние купола диафрагмы на пораженной стороне и ограничение ее подвижности (от минимальной пассивной подвижности до полной неподвижности). Скопление гноя при безгазовых поддиафрагмальных абсцессах видно как затемнение над линией диафрагмы, наличие газа – как полоса просветления с нижним горизонтальным уровнем между абсцессом и диафрагмой. Определяется выпот в плевральной полости (реактивный плеврит), снижение воздушности нижних частей легкого.
МСКТ и УЗИ брюшной полости позволяют подтвердить наличие жидкости, гноя и газа в брюшной или плевральной полости, изменение положения и состояния прилежащих внутренних органов (например, деформацию желудка, смещение продольной оси сердца и др.). Диагностическая пункция абсцесса допустима лишь во время операции.
Поддиафрагмальный абсцесс дифференцируют с язвенной болезнью желудка, язвенной болезнью 12п. кишки, гнойным аппендицитом, заболеваниями печени и желчевыводящих путей, нагноившимся эхинококком печени.
Лечение поддиафрагмального абсцесса
Основным методом лечения поддиафрагмального абсцесса в оперативной гастроэнтерологии является хирургическое вскрытие и дренирование гнойника.
Операция по поводу поддиафрагмального абсцесса выполняется трансторакальным или трансабдоминальным доступом, что позволяет обеспечить адекватные условия для дренирования. Основной разрез иногда дополняют контрапертурой. Проводят медленное опорожнение поддиафрагмального абсцесса и ревизию его полости. Для быстрого очищения поддиафрагмального абсцесса используют метод приточно-аспирационного дренирования двухпросветными силиконовыми дренажами.
В комплексное лечение поддиафрагмального абсцесса входит антибактериальная, дезинтоксикационная, симптоматическая и общеукрепляющая терапия.
Прогноз поддиафрагмального абсцесса очень серьезный: гнойник может прорваться в брюшную и плевральную полости, перикард, вскрыться наружу, осложниться сепсисом. Без своевременной операции осложнения в 90% случаев приводят к гибели пациента.
Предупредить образование поддиафрагмального абсцесса позволяет своевременное распознавание и лечение воспалительной патологии брюшной полости, исключение интраоперационных травм, тщательная санация брюшной полости при деструктивных процессах, перитоните, гемоперитонеуме и т. д.
Абсцесс поджелудочной железы
Абсцесс поджелудочной железы – это полость, заполненная гноем и некротическими массами в ткани железы. В подавляющем большинстве случаев развивается после острого алкогольного панкреатита. Характеризуется появлением лихорадки, опоясывающих болей, лейкоцитоза, опухолевидного образования в брюшной полости примерно через две недели после приступа панкреатита. Диагноз устанавливается после проведения УЗИ, МРТ или КТ брюшной полости, анализа биохимических и общеклинических параметров крови. Единственный эффективный метод лечения – хирургическая санация абсцесса с последующей антибактериальной терапией.
МКБ-10



Абсцесс поджелудочной железы – тяжелейшее заболевание, которое развивается у пациентов, перенесших панкреатит (остро или повторное обострение) или панкреонекроз с формированием в железе отграниченной гнойной полости. Заболевание опасно для жизни пациента, а коварство его кроется в стёртости клиники на фоне антибиотикотерапии. Именно поэтому в современной гастроэнтерологии принято назначать антибиотики при панкреатите только при сопутствующем поражении желчных путей или доказанных бактериальных осложнениях. Все случаи повышения температуры и появления болей в животе в течение двух недель после панкреатита должны рассматриваться как вероятный панкреатический абсцесс. Единственный метод лечения, приводящий к выздоровлению – хирургическая операция по дренированию гнойника. Без операции летальность при данной патологии достигает 100%.
Абсцесс поджелудочной железы развивается на фоне острого панкреатита, может образовываться при любой форме патологии, кроме отёчной; 3-4% случаев этого заболевания заканчиваются образованием абсцесса. Наиболее часто выявляется на фоне алкогольного панкреатита. Причины формирования гнойной полости в поджелудочной железе до конца не ясны. Предполагается, что инфекция может быть занесена током крови, при проколе псевдокист (если не соблюдается асептика), при формировании свища кисты с кишечником. Развитию абсцесса способствуют:
- тяжёлый панкреатит с более чем тремя факторами риска;
- послеоперационный панкреатит;
- ранняя лапаротомия;
- раннее начало энтерального питания;
- нерациональная антибиотикотерапия.
В подавляющем большинстве случаев при аспирации и посеве содержимого гнойника выделяется кишечная палочка либо энтеробактерии. Согласно исследованиям в области гастроэнтерологии, присоединение вторичной инфекции наблюдается практически в 60% случаев панкреонекроза, поэтому при лечении этого заболевания следует учитывать вероятность образования полости с гнойным содержимым.
Патогенез
При возникновении острого панкреатита ткань железы повреждается, из-за чего ферменты попадают и на саму железу, и на окружающие ткани, разрушая их. Из-за этого может начаться панкреонекроз, образуются псевдокисты – полости, заполненные жидким содержимым и некротизированными тканями. При попадании в область патологического процесса инфекции развивается либо флегмона поджелудочной железы – тотальное гнойное расплавление, либо формируется абсцесс. Следует отметить, что флегмона является более тяжёлым и прогностически неблагоприятным состоянием, по клинике практически не отличающимся от единичного абсцесса. Кроме того, при флегмоне в тканях могут формироваться множественные абсцессы.
Симптомы абсцесса
Абсцесс поджелудочной железы формируется длительно – обычно не менее 10-15 дней. Таким образом, в течение двух-четырёх недель от начала панкреатита повышается температура до фебрильных цифр, появляются озноб, тахикардия, усиливаются боли в верхней половине живота. Боли носят опоясывающий характер, достаточно сильные. Больной обращает внимание на слабость, утомляемость, отсутствие аппетита, повышенное потоотделение. Беспокоит тошнота, рвота, после которой во рту долго ощущается горечь. Налицо все признаки интоксикации. При пальпации живота обращает на себя внимание наличие опухолевидного образования, напряжение мышц передней брюшной стенки.
Абсцесс поджелудочной железы часто осложняется дальнейшим распространением инфекции, образованием множественных гнойников в самой железе и окружающих органах. Гной может затекать забрюшинно, прорываться в полые органы (кишечник, желудок), поддиафрагмально и в околокишечную клетчатку, плевральную и перикардиальную полости, в связи с чем могут сформироваться абсцесс кишечника, поддиафрагмальный абсцесс, гнойный плеврит и перикардит. Также гнойник изредка может прорываться наружу через кожу с образованием свища. При разрушении ферментами стенки сосуда может возникнуть сильное кровотечение, иногда с летальным исходом.
Диагноз абсцесс поджелудочной железы устанавливается специалистом в сфере общей хирургии после тщательного обследования больного. Дифференциальный диагноз проводится с псевдокистой поджелудочной железы, панкреонекрозом. Применяются следующие методы:
- Лабораторные исследования. В общем анализе крови отмечается высокий лейкоцитоз, сдвиг формулы лейкоцитов влево, повышение СОЭ, анемия. В биохимическом анализе крови обращает на себя внимание повышение уровня панкреатических ферментов, гипергликемия. Повышен уровень амилазы мочи, хотя при формировании абсцесса её количество может постепенно снижаться.
- Визуализирующие методики. УЗИ поджелудочной железы, КТ органов брюшной полости позволит определиться с локализацией и размерами очага, количеством абсцессов. При необходимости возможно одновременное проведение чрескожной пункции с аспирацией, исследованием и посевом содержимого.

УЗИ поджелудочной железы. На фоне резкого увеличения размеров железы (обведена пунктиром) в ее головке определяется крупный (до 3 см в диаметре) абсцесс (показан стрелками).
Рентгенологическое исследование панкреатического абсцесса имеет некоторые особенности. Так как железа расположена за желудком, то тень полости гнойника может накладываться на газовый пузырь желудка. Поэтому экспозиция должна быть дольше, а при подозрении на абсцесс в полость желудка вводят контрастное вещество и делают вертикальный снимок в боковой проекции – при этом округлая тень с границей жидкости (абсцесс) будет находиться за желудком. При попадании контраста в полость абсцесса можно говорить о наличии свища. Также на снимках можно увидеть признаки сдавления кишечника, смещения органов. Левый диафрагмальный купол высокий, подвижность его ограничена, может быть выпот в плевральную полость.

КТ органов брюшной полости. Диффузно увеличенная поджелудочная железа. Большая стрелка указывает на тело поджелудочной железы, маленькие стрелки - на абсцесс, расположенный в хвосте поджелудочной железы.
Лечение абсцесса поджелудочной железы
Лечение осуществляет абдоминальный хирург. Абсцесс является абсолютным показанием к санации и дренированию. Практика показывает, что чрескожное дренирование гнойников приводит к излечению только в 40% случаев, к тому же при такой тактике можно пропустить флегмону, множественные абсцессы, распространение инфекции на окружающие панкреас ткани. Именно поэтому эндоскопическое или классическое лапаротомное иссечение и дренирование абсцесса будет наилучшим выходом.
Во время операции производится внимательный осмотр окружающих органов, забрюшинной клетчатки на предмет вторичных абсцессов. Параллельно пациенту назначается антибиотикотерапия согласно полученным посевам, обезболивающие препараты, спазмолитики, ингибиторы ферментов. Проводится инфузионная терапия с целью дезинтоксикации.

Поскольку причины образования абсцессов поджелудочной железы до конца не выяснены, на сегодняшний день не существует и мер профилактики развития этой патологии после панкреатита и панкреонекроза. Таким образом, профилактикой абсцедирования является предупреждение панкреатита – ведь абсцесс может сформироваться только на его фоне.
Прогноз при формировании абсцессов серьёзный: без хирургического лечения смертность составляет 100%, после проведения операции выживаемость достигает 40-60%. Исход заболевания зависит от своевременности обращения, быстрой диагностики и оперативного лечения. Чем раньше поставлен диагноз и проведена операция, тем лучше отдалённые результаты.
Диагностика поддиафрагмального абсцесса. Методы выявления поддиафрагмального абсцесса
Развившиеся под диафрагмой абсцессы создают известную клиническую картину и характеризуются определенными клиническими признаками. При этом простой нарыв при объективном исследовании очень легко смешать с выпотным плевритом, а газовый с пиопнеймотораксом (Leyden и описал газовый нарыв под именем pyopneumothorax subphrenicus). В общем надо заметить, что диагностика нарывов тем проще, чем они больше, при чем газовые и правосторонние абсцессы распознаются значительно легче, особенно в последнее время благодаря рентгенологическому исследованию.
При осмотре больного, который не обнаруживает признаков легочного заболевания (нет кашля, колотья в боку, нет мокроты), если нет осложнения со стороны легких и плевры, мы замечаем небольшое выпячивание и сглаживание междуреберных промежутков на больной стороне, которая меньше участвует в акте дыхания, чем здоровая. Выпячивание межреберных промежутков может и вовсе отсутствовать, но если оно и заметно, то во всяком случае меньше при наддиафрагмальном нагноении соответствующей величины.
Феномен Litten'a ограничен или вовсе отсутствует при больших газовых нарывах. Живот несколько вздут в области соответствующего больного подреберья, особенно в тех случаях, когда полость нарыва распространяется книзу от края ребер. При перкуссии, в случае газового нарыва, перкуторный звук над последними ребрами и промежутками громкий, тимпанический, при чем распространение его зоны меняется в зависимости от положения больного; верхняя граница тимпанического звука ограничена выпуклой линией.
При аускультации над полостью нарыва выслушивается резко ослабленный дыхательный шум с амфорическим или металлическим оттенком, при чем характерным для поддиафрагмального пиопнеймоторакса является резкое обрывание легочного дыхания на месте верхней границы тимпанита. При встряхивании больного выслушивается шум плеска от сотрясения. Перкуссия сердца обнаруживает небольшое смещение сердца вверх и в противоположную сторону. При простом нарыве перкуторна определяется зона тупого звука, верхняя граница которого, особенно при правостороннем нарыве, представляется в форме выпуклой линии кверху, так что верхняя граница тупости печени делается местно неправильной конфигурации.

При пальпации живота в случае правостороннего нарыва мы находим повышенную резистенцию брюшного процесса около реберной дуги и вскоре находим нижний край смещенной печени. При левостороннем расположении нарыва бывает только напряженной и болезненной подложечная область около края ребер. По вышеприведенным признакам мы заподозреваем существование поддиафрагмального нагноения, но окончательная диагностика устанавливается проколом и рентгеновским исследованием. При проколе, иногда во 'многих местах, длинной и достаточно толстой иглой, раньше, чем обнаруживается гной, мы получаем в большинстве случаев доказательства поддиафрагмальной локализации нарыва. При вдохе наружный конец иглы или весь шприц подымается кверху (Furbringеr); гной из иглы иногда вытекает струйкой и, если соединить ее с манометрической трубкой, то при вдохе давление в ней будет повышаться (Рfuhl).
При наддиафрагмальном нагноении движение иглы вверх и повышение давления наблюдаются, наоборот, при выдохе. Вытекающий гной при поддиафрагмальной локализации нередко бывает вонючим уже при простом нарыве, и обязательно при газовом, когда к числу характерных признаков надо отнести присутствие в гное разнообразного вида бактерий. Очень подкрепляет диагностику поддиафрагмальной локализации абсцесса обнаружение при проколе в двух соседних промежутках жидкостей разного качества, в верхнем—серозной из плевры и в нижнем—гноя из нарыва.
Однакоже все перечисленные признаки при небольших нарывах бывают выражены не столь резко, а некоторые из них могут и вовсе отсутствовать; поэтому в этих случаях нельзя с уверенностью определить локализацию нагноения, особенно в случае простых и к тому же небольших левосторонних нарывов. И только рентгеноскопия позволяет с точностью установить, где находится нагноение, так как во время освещения больного совершенно отчетливо видно местоположение диафрагмы.
Особенно эксквизитна рентгеновская картина при газовом абсцессе; между светлым легочным полем и более светлым полем от газа узкой полоской пробегает растянутая диафрагма, совершающая дыхательные движения. Под светлым газом виден горизонтальный уровень гноя, изменяющий свое положение при наклонении больного. Картина настолько демонстративна, что сомнений относительно локализации не остается. Однако, при простом нарыве, хотя локализация и устанавливается, но может еще итти вопрос о том, нет ли внутрипеченочного заболевания, как, например, изолированного нарыва печени или поддиафрагмального эхинококка. В этих случаях даже рентгеновское исследование не позволяет поставить точного диагноза; он окончательно устанавливается только во время операции.
Читайте также:
- Моторная единица. Суммация мышечного сокращения
- Содержание РНК в слизистой протезного ложа при длительном ношении протеза
- Механизм удержания белков в аппарате Гольджи
- Лечение рака эндометрия при первично-множественных опухолях
- Диффузный полипоз кишечника как наследственный синдром и предраковое заболевание
