Диагностика субэпендимомы по КТ, МРТ
Добавил пользователь Евгений Кузнецов Обновлено: 26.11.2025
Диагностика супратенториальной эпендимомы по КТ, МРТ
а) Терминология:
1. Сокращения:
• Супратенториальная эпендимома (СТЭ)
2. Синонимы:
• Супратенториальная эпендимома (СТЭ) полушария (также известна, как конвекситальная эпендимома)
• Супратенториальная эктопическая кортикальная эпендимома
• Кортикальная эпендимома
3. Определения:
• Эпендимома супратенториальной локализации
б) Визуализация:
1. Общие признаки супратенториальной эпендимомы:
• Лучший диагностический критерий:
о Крупное объемное образование в области полушария с комплексной структурой, включающей кистозный и солидный компоненты
• Локализация:
о Преимущественная локализация эпендимом:
- 2/3 располагаются инфратенториально (ИТЭ)
- 1/3 располагаются супратенториально (СТЭ)
о 45-65% всех СТЭ располагаются экстравентрикулярно:
- Белое вещество или кора полушария:
Наиболее часто кортикальные СТЭ располагаются в лобной доле
Локализуются в структуре коры или инфильтрируют кору, произрастая из белого вещества
- Редко: в супраселлярной области
о Менее частая локализация = интравентрикулярно:
- Третий желудочек > боковой желудочек
• Размеры:
о Супратенториальные эпендимомы (СТЭ) часто имеют более крупные размеры при их выявлении, чем инфратенториальные эпендимомы (ИТЭ):
- 95% > 4 см
2. КТ при супратенториальной эпендимоме:
• Бесконтрастная КТ:
о Образование смешанной КТ-плотности (изо-/гиподенсное):
- Гиперденсное = солидный компонент
- Гиподенсное = кистозный компонент
- Кальцификация (44%):
Могут наблюдаться мелкие рассредоточенные на малом или большом протяжении очаги кальцификации
о Может определяться деструкция костей (инвазия опухоли в мозговые оболочки, включая твердую, и костные структуры)

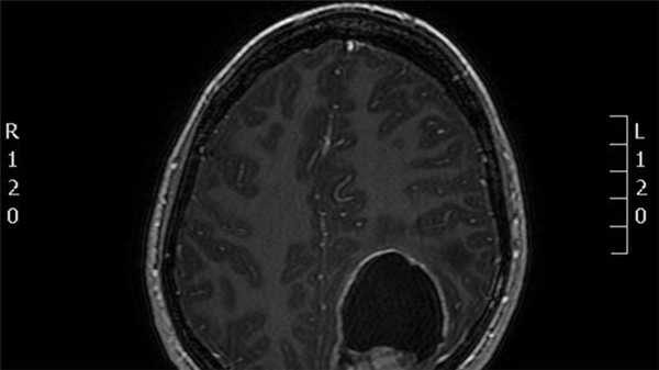
(а) MPT, FLAIR, аксиальный срез: в правом полушарии определяется крупное кистозное объемное образование с перифокальным отеком и компрессией правого бокового желудочка с минимальным смещением срединных структур.
(б) МРТ, постконтрастное Т1-ВИ, аксиальный срез: у того же пациента определяется периферийный характер накопления контраста вокруг неконтрастируемого кистозного компонента. При хирургической операции была диагностирована супратенториальная эпендимома (СТЭ). Данная супратенториальная эпендимома (СТЭ) не имеет связи с желудочковой системой.
4. Рекомендации по визуализации:
• Лучший инструмент визуализации:
о МРТ ± контрастирование
о Т2* (кровоизлияние, кальцификация)

(а) МРТ, Т2-ВИ, аксиальный срез: у пациента с супратенториальной эпендимомой (СТЭ) в III желудочке определяется негомогенное объемное образование. Обратите внимание на относительно низкую интенсивность сигнала, мелкие кистозные компоненты в структуре опухоли.
(б) МРТ, Т2* GRE, аксиальный срез: у того же пациента определяются участки «выцветания» изображения и очаги гипоинтенсивного сигнала, представляющие собой кальцификаты или кровоизлияния.
в) Дифференциальная диагностика супратенториальной эпендимомы:
1. Глиобластома:
• Если СТЭ определяется как крупное, частично некротизированное объемное образование
• Менее часто: анапластическая астроцитома низкой степени злокачественности
2. Астроцитома (другая):
• Анапластическая астроцитома, анапластическая плеоморфная ксантоастроцитома могут иметь очень сложную, гетерогенную структуру
3. Олигодендроглиома, анапластическая олигодендроглиома:
• Большие полушария головного мозга
• Локализуется в структуре коры или субкортикально
• Кальцификаты
• «Фестончатость» краев внутренней пластинки костей черепа
4. Астробластома:
• Дети более старшего возраста и молодые взрослые
• Кистозно-солидное объемное образование
• Супратенториальная локализация
• Кальцификация
5. Супратенториальная ПНЭО:
• Дети возрастом < 5 лет
• Хорошо отграничена от желудочка
6. Атипичная тератоидно-рабдоидная опухоль:
• Дети очень малого возраста
7. Ганглиоглиома:
• Наиболее часто локализуется в височной доле
• Менее сложное строение (обычно кистозный компонент + солидный узел)
8. Ангиоцентричная глиома:
• Дети, молодые взрослые
• Объемное образование в структуре коры, не накапливающее контрастное вещество
• Ободок гиперинтенсивного сигнала на Т1-ВИ
• Эпилепсия в анамнезе с детского возраста
9. Папиллярная глионейрональная опухоль:
• Объемное образование в структуре коры, часто имеет связь с желудочком
• Кальцификаты
• Может иметь кистозный или кистозно-солидный характер

(а) МРТ, постконтрастное Т1-ВИ, аксиальный срез: у того же пациента определяется выраженное, но негомогенное накопление контраста. В структуре опухоли отмечаются солидные и кистозные компоненты различных размеров и более крупный кистозный компонент с краевым характером контрастирования.
(б) МРТ, постконтрастное Т1-ВИ, корональный срез: у того же пациента определяется негомогенное контрастирование узлового компонента образования внутри III желудочка.
г) Патология:
1. Общие признаки супратенториальной эпендимомы:
• Этиология:
о Общие сведения: эпендимома является опухолью глиальных клеток, развивающейся из эпендимальной выстилки желудочковой системы
о Экстравентрикулярные СТЭ могут развиваться из:
- Эмбриональных остатков эпендимальных клеток в углах желудочков
- Перивентрикулярно расположенных эмбриональных остатков, рассредоточенных случайным образом
• Генетика:
о Дупликации 1q (связаны с агрессивным клиническим поведением), 12q, 7q, 8, 9
о При СТЭ уровень экспрессии перинуклеарных белков LRIG3 выше, чем при ИТЭ
о Полные и частичные потери участков хромосом 22, 22q, 10q, 3, 6q, 9q:
- 9q содержит ген Р16 INK4A, часто наблюдаемый при СТЭ
о Позитивная регуляция компонентов сигнальных путей EphB-ephrin и Notch при СТЭ
о Новая нозологическая единица: эпендимома, связанная стрисомией по 19 хромосоме:
- III степень злокачественности по классификации ВОЗ (grade III)
- Составляет 9% эпендимом
2. Стадирование и классификация супратенториальной эпендимомы:
• I степень злокачественности по классификации ВОЗ (grade I): субэпендимома и миксопапиллярная эпендимома
• II степень злокачественности II по классификации ВОЗ (grade II):
о Четыре варианта: клеточная, папиллярная, светлоклеточная, таницитарная
• III степень злокачественности III по классификации ВОЗ (grade III): анапластическая эпендимома:
о Большинство СТЭ у взрослых пациентов являются опухолями grade III
о Определяется по наличию любых двух из 44-диагностических критериев:
- Четыре митоза на 10 полей при высоком увеличении (оживленная митотическая активность)
- Гиперцеллюлярностъ
- Пролиферация эндотелия
- Некроз (некроз с формированием псевдополисадов)
3. Макроскопические и хирургические особенности:
• Хорошо отграниченная от окружающих структур опухоль
• Объемное образование с дольчатой структурой, серовато-красной поверхностью, участками кровоизлияний и кальцификации
4. Микроскопия:
• Важнейшие гистологические признаки:
о Периваскулярные розетки
о Эпендимальные розетки о GFAP(+)
• Ангиоцентрический характер роста без образования розеток
• Вариабельная степень роста солидного компонента опухоли
• Низкий пролиферативный индекс
• Инфильтрация паренхимы мозга:
о Инфильтрация по ходу аксональных трактов, наличие перинейрональных сателлитов, образование субпиального «холмика»
д) Клиническая картина:
1. Проявления супратенториальной эпендимомы:
• Наиболее частые признаки/симптомы:
о Наиболее частым симптомом являются судорожные приступы о Очаговая моторная или сенсорная симптоматика, головная боль
2. Демография:
• Возраст:
о Два пика:
- Наиболее часто у детей 1 -5 лет, реже у лиц в возрасте 20-30 лет
• Пол:
о М>Ж
• Эпидемиология:
о Эпендимомы = 1,2-7,8% от всех внутричерепных опухолей
о Третья по частоте внутричерепная опухоль детского возраста
3. Течение и прогноз:
• Пятилетняя выживаемость при супратенториальных эпендимомах (72%) значительно выше по сравнению с инратенториальными
• Более высокая частота рецидивов при опухолях III желудочка (в сравнении с опухолями полушарий)
• Наиболее значимый прогностический фактор: локализация
• Неблагоприятный исход у детей < 3 лет
4. Лечение:
• Тотальная резекция в сочетании с адъювантной лучевой терапией
е) Диагностическая памятка. Обратите внимание:
• Крупное кистозно-солидное, кальцифицированное объемное образование у детей старшего возраста и взрослых, локализованное в желудочке или в структуре коры
Диагностика субэпендимомы по КТ, МРТ
Субэпендимома на МРТ
а) Терминология:
• Редкая доброкачественная хорошо дифференцированная опухоль внутрижелудочковой локализации, обычно имеющая связь со стенкой желудочка
б) Визуализация субэпендимомы:
• Внутрижелудочковая локализация, обычно нижние отделы IV желудочка (60%)
• Другая локализация: боковой > третий желудочек > спинной мозг
• Внутрижелудочковое объемное образование, гиперинтенсивное HaT2-BИ/FLAIR:
о Неоднородность сигнала обусловлена кистозными изменениями; в структуре более крупных поражений могут наблюдаться продукты распада крови или Са++
• Вариабельный характер накопления контраста, обычно от его отсутствия до контрастирования умеренной интенсивности
• Т2-ВИ и FLAIR часто являются наиболее чувствительными последовательностями
в) Дифференциальная диагностика:
• Эпендимома
• Центральная нейроцитома
• Субэпендимальная гигантоклеточная астроцитома
• Хориоидпапиллома (ХП)
• Гемангиобластома
• Метастатическое поражение
(а) На рисунке сагиттального среза изображено четко отграниченное от окружающих тканей солидное объемное образование с умеренным масс-эффектом, произрастающее из дна IV желудочка.
Обратите внимание на отсутствие гидроцефалии, что характерно для субэпендимомы.
(б) МРТ, FLAIR, сагиттальный срез: у мужчины 64 лет с жалобами на головные боли в нижних отделах IV желудочка определяется солидное, гиперинтенсивное объемное образование.
При хирургической резекции была обнаружена субэпендимома. Подобные опухоли IV желудочка обычно протекают без симптомов.
Т2-ВИ и FLAIR обычно являются наиболее чувствительными последовательностями при диагностике таких опухолей I степени злокачественности по классификации ВОЗ (grade I). (а) МРТ, Т2-ВИ, аксиальный срез: по ходу нижних отделов IV желудочка на уровне продолговатого мозга определяется гиперинтенсивное объемное образование (классическая визуализацион-ная картина субэпендимомы).
(б) МРТ, постконтрастное Т1-ВИ, аксиальный срез: в области выпускного тракта IV желудочка определяется объемное образование, накапливающее контраст.
Умеренно интенсивный характер накопления контраста наблюдается редко. При субэпендимомах классически накопление контраста не происходит, либо оно незначительно.
Они могут «протискиваться» через отверстие Мажанди. В этом случае опухоль также распространяется кпереди от полушария мозжечка через отверстие Люшка.
г) Патология:
• I степень злокачественности по классификации ВОЗ (grade I)
д) Клиническая картина субэпендимомы:
• Симптоматика развивается в 40%, часто при супратенториальной локализации:
о Обусловлена повышением внутричерепного давления, гидроцефалией
• Выявляется у взрослых среднего и старшего возраста (обычно на 6-6-м десятилетии жизни)
• Лечение: консервативное с динамическим наблюдением методами диагностической визуализации при отсутствии симптоматики
• В большинстве случаев хирургическая резекция позволяет добиться излечения
• Благоприятнейший прогноз при супратенториальной локализации:
о Рецидивы крайне редки
е) Диагностическая памятка:
• Предполагайте субэпендимому при обнаружении гиперинтенсивного объемного образования IV или бокового желудочка у мужчин старшего возраста
Диагностика инфратенториальной эпендимомы по КТ, МРТ
а) Определение:
• Эпендимома задней черепной ямки (ЭЗЧЯ):
о Эпендимальноклеточная опухоль с медленным типом роста
о Подтипы: целлюлярная, папиллярная, светлоклеточная, таницитарная
1. Общие характеристики инфратенториальной эпендимомы:
• Лучший диагностический критерий:
о Мягкая «пластичная» опухоль, «протискивающаяся» в цистерны через отверстие IV желудочка
о Неоднородная плотность и интенсивность сигнала
о ± неразличимая граница с дном IV желудочка
• Локализация:
о Может возникать в любых отделах центральной нервной системы (большие полушария, задний мозг, спинной мозг)
о В 2/3 случаев локализуется в задней черепной ямке (в большинстве случаев в IV желудочке):
- Обычно растет из нижней 1/2 IV желудочка
- Антеролатеральное распространение через отверстие Люшка
о В 1/3 случаев локализуется супратенториально:
- В большинстве случаев экстравентрикулярно, в перивентрикулярном белом веществе (БВ)
• Размеры:
о 2-4 см
• Морфология:
о Принимает форму желудочка
о Типичные признаки = объемное образование IV желудочка с дольчатой структурой:
- Антеролатеральное распространение через отверстие(я) в цистерну ММУ
- Распространение в задненижнем направлении через отверстие Мажанди в большую цистерну
2. КТ при инфратенториальной эпендимоме:
• Бесконтрастная КТ:
о Объемное образование IV желудочка
о Часто Са++ (50%); ± кистозный, геморрагический компоненты
о Часто гидроцефалия
• КТ с контрастированием:
о Вариабельное гетерогенное накопление контраста

(а) Бесконтрастная КТ, аксиальный срез: в нижнем отделе IV желудочка определяется частично кальцифицированное гиперденсное объемное образование. Обратите внимание на распространение образования в направлении цистерны правого мостомозжечкового угла.
(б) МРТ, Т2-ВИ, аксиальный срез: у того же пациента отмечается хорошая ограниченность объемного образования от окружающих структур. Определяется распространение образования по направлению от средней линии нижней части IV желудочка через левое латеральное отверстие и его пролабирование в цистерну мостомозжечкового угла.
4. Рекомендации по визуализации:
• Лучший инструмент визуализации:
о Бесконтрастная КТ + МРТ с контрастированием, МР-спектроскопия
• Советы по протоколу исследования:
о Перед операцией проведите полную диагностическую визуализацию центральной нервной системы
о Для дифференцировки от ПНЭО-МБ необходимо учитывать ви-зуализационные и клинические признаки в совокупности
о Получение сагиттальных срезов в высоком разрешении полезно для определения участка произрастания опухоли: крыша или дно IV желудочка
в) Дифференциальная диагностика:
1. Медуллобластома (ПНЭО-МБ):
• Гиперденсная при бесконтрастной КТ
• Объемное образование гомогенной структуры
• Развивается из крыши IV желудочка
• Более четкая граница с дном
• Низкие значения ИКД, высокая целлюлярность
2. Мозжечковая пилоцитарная астроцитома (ПА):
• Гетерогенное объемное образование полушария мозжечка
• Кистозное образование с интрамуральным солидным компонентом
• Интенсивное контрастирование солидного компонента
3. Глиома ствола мозга:
• Объемное образование с инфильтративным типом роста, увеличивающее размеры ствола мозга
• Однородный сигнал при МРТ
• Может распространяться в дорсальном направлении в просвет IV желудочка
4. Атипичная тератоидно-рабдоидная опухоль (АТРО):
• Крупное объемное образование с кистозным или некротическим компонентами
• Вариабельный характер контрастирования
5. Папиллома сосудистого сплетения:
• Интенсивно накапливающая контраст внутрисосудистая опухоль
• Локализация в IV желудочке более характерна для взрослых
6. Олигодендроглиома:
• Супратенториальное объемное образование гетерогенной структуры у молодых взрослых
• Локализация в структуре лобной доли, характерна Са++
7. Глиобластома:
• Взрослые более старшего возраста; редко локализуется в задней черепной ямке
• Злокачественное супратенториальное объемное образование гетерогенной структуры
• Часто наблюдаются некротический и/или геморрагический компоненты

(а) МРТ, FLAIR, аксиальный срез: у мужчины 49 лет с головными болями в подзатылочной области в области IV желудочка определяется слегка гиперинтенсивное объемное образование, имеющее дольчатую структуру. Отмечается антеролатеральное распространение образования по направлению через левое отверстие Люшка в цистерну левого мостомозжечкового угла.
(б) МРТ, постконтрастное Т1-ВИ, аксиальный срез: у того же пациента определяется интенсивное, но слегка гетерогенное контрастирование объемного образования. При операции была диагностирована таницитарная эпендимома II степени злокачественности по классификации ВОЗ (grade II).
1. Общие характеристики инфратенториальной эпендимомы:
• Этиология:
о Предполагается, что ЭЗЧЯ развивается из регионально разрозненных радиальных глиальных клеток:
- Различия между этими популяциями клеток сохраняются и в сформированной опухоли
- Может частично обусловливать наблюдаемую гетерогенность
• Генетика:
о Амплификация генов обычно полностью отсутствует:
- Характерна дупликация или потеря целых хромосом
- Наиболее значимы эпигенетические аномалии
о При профилировании метилирования ДНК определяются 9 молекулярных подгрупп эпендимомы
о Три подгруппы эпендимомы задней черепной ямки:
- Субэпендимома (СЭЗЧЯ)
- Эпендимома задней черепной ямки, подтип А (ЭЗЧЯ-А):
Наиболее крупная подгруппа (- 50% всех случаев)
Преимущественно дети младенческого возраста
Стабильный геном («генетически обыденный»)
Нарушение эпигенетической регуляции (позитивный фенотип по метилятору CpG-островков [С1МР(+)])
Высокая степень злокачественности с плохим ответом на хирургическое вмешательство и лучевую терапию
Однако CIMP+ («метилированные») опухоли могут давать ответ на терапию препаратами, направленными на метилирование ДНК или НЗК27
- Эпендимома задней черепной ямки, подтип В (ЭЗЧЯ-В):
Дети старшего возраста, взрослые
10% всех случаев
Наиболее нестабильный геном среди всех эпендимом
Вариация числа копий крупных участков генома (часто дупликация/потеря целых хромосом)
Более благоприятный прогноз
CIMP(-)
о При рецидивировании молекулярные подгруппы остаются стабильными
о Стратификация риска на основе молекулярных подгрупп является более значимой, чем на основе гистологической картины
2. Стадирование и классификация инфратенториальной эпендимомы:
• Степень злокачественности II по классификации ВОЗ (grade II) (низкая степень злокачественности, высокая степень дифференцировки)
• Степень злокачественности III по классификации ВОЗ (grade III) (высокая степень злокачественности, анапластическая опухоль)
3. Макроскопические и хирургические особенности:
• Опухоль хорошо отграничена от окружающих структур
• Мягкое, серовато-красное объемное образование с дольчатым строением
• ± кистозный, некротический, геморрагический компоненты
• «Протискивание» через выпускные отверстия IV желудочка за счет «пластичности»
• Обычно смещает, а не инфильтрирует прилегающую паренхиму мозга
4. Микроскопия:
• Несмотря на гистологическую идентичность, эпендимомы, развивающиеся из разных анатомических областей, биологически и клинически различны
1. Проявления инфратенториальной эпендимомы:
• Наиболее частые признаки/симптомы:
о ↑ внутричерепного давления: головная боль, тошнота, рвота
• Клинический профиль:
о Возраст 1-5 лет; головная боль, рвота
• Другие признаки/симптомы:
о Атаксия, гемипарез, расстройства зрения, боль в области шеи, кривошея, головокружение
о Младенческий возраст: раздражительность, летаргия, задержка в развитии, тошнота, макроцефалия
2. Демография:
• Возраст:
о ЭЗЧЯ-А:
- 1-5 лет (средний возраст: три года)
о ЭЗЧЯ-В:
- Средний возраст постановки диагноза: 30 лет
• Пол:
о Небольшая предрасположенность у мужчин
• Эпидемиология:
о 3-5% от всех внутричерепных опухолей
о 15% от опухолей задней черепной ямки у детей
- Третья по встречаемости опухоль задней черепной ямки у детей:
Наиболее частыми являются ПА и ПНЭО-МБ
3. Течение и прогноз:
• Значительная вариабельность прогноза:
о Общая пятилетняя выживаемость при ЭЗЧЯ-А: 50-60%
о Пятилетняя выживаемость при ЭЗЧЯ-В: 90-95%
• Диссеминация через СМЖ возникает в 3-17% случаев
• Пятилетняя выживаемость при рецидивировании составляет 15%
4. Лечение инфратенториальной эпендимомы:
• Максимальная безопасная хирургическая резекция, затем лучевая терапия
о Хирургическая резекция часто затруднена вследствие адгезивных и инфильтративных свойств опухоли
о Тотальная резекция + лучевая терапия коррелируют с увеличением выживаемости
• Химиотерапия не увеличивает выживаемость
е) Диагностическая памятка:
1. Обратите внимание:
• Значительно менее частая опухоль, чем ПНЭО-МБ или ПА
• Тотальная резекция более значительно влияет на выживаемость, чем при ПНЭО-МБ или ПА
• Наблюдение в динамике для выявления бессимптомных рецидивов может увеличить выживаемость
2. Советы по интерпретации изображений:
• Стертые границы:
о С дном IV желудочка = эпендимома
о С крышей IV желудочка = ПНЭО-МБ
Эпендимома головного мозга
Эпендимома головного мозга — это опухоль из эпендимальной ткани желудочковой системы головного мозга. Клинически проявляется, прежде всего, признаками повышенного внутричерепного давления, а также атаксией, нарушениями со стороны зрения и слуха, судорожными приступами, нарушением речи и глотания. Диагностика осуществляется преимущественно при помощи МРТ головного мозга, спинальной пункции, ЭЭГ, гистологического исследования. Основу лечения составляет радикальное удаление эпендимомы с последующей лучевой или химиотерапией. У взрослых применяется стереотаксическая радиохирургия.
МКБ-10
Общие сведения
Эпендимома головного мозга — опухоль ЦНС, берущая свое начало из эпендимоцитов. Последние представляют собой эпителиоподобные клетки, образующие эпендиму — тонкую эпителиальную выстилку церебральных желудочков и центрального спинномозгового канала. Эпендимомы составляют до 8% всех опухолей головного мозга, относятся к глиомам.
Эпендимомы чаще встречаются в детском возрасте, около 60% больных составляют дети первых пяти лет жизни. По своей распространенности эпендимома головного мозга занимает 3-е место среди всех церебральных опухолей у детей. В детском возрасте более часто, чем у взрослых, наблюдаются ее злокачественные варианты. Лечение эпендимом является актуальной проблематикой современной онкологии, неврологии и нейрохирургии.
Причины
Исследования позволили обнаружить вирус SV40, находящийся в клетках эпендимом в активном состоянии. Однако до сих пор не понятна его роль в развитии новообразования. Предполагают, что эпендимома головного мозга возникает в связи с воздействием общих для большинства опухолей онкогенных факторов: химических канцерогенов, радиоактивного излучения, длительно действующих неблагоприятных природных условий (например, гиперинсоляции), онкогенных вирусов (вирус герпеса, папилломы человека и пр.).
Кроме того, нельзя исключить участия генетических факторов в развитии эпендимом. Известны сочетания церебральных эпендимом с нейрофиброматозом Реклингхаузена, синдромом множественных эндокринных неоплазий (МЭН), семейным полипозом толстой кишки.
Патогенез
Эпендимома головного мозга чаще образуется в задней черепной ямке. Во многих случаях характеризуется медленным ростом, отсутствием прорастания в окружающие церебральные ткани. Однако по мере роста новообразования оно может вызвать масс-эффект — сдавление головного мозга. Метастазирование эпендимомы происходит преимущественно по ликворным путям и, как правило, не выходит за пределы ЦНС. Наиболее часто отмечаются ретроградные метастазы в спинной мозг.
Классификация
Согласно современной классификации, различают 4 вида эпендимом, отличающихся степенью доброкачественности и характером течения опухолевого процесса:
- Миксопапиллярная эпендимома является наиболее доброкачественной, локализуется, главным образом, в спинном мозге в области конского хвоста. Встречается в основном у взрослых.
- Субэпендимома отличается медленным доброкачественным ростом, зачастую бессимптомным течением и относительно редким рецидивированием.
- Классическая эпендимома наблюдается наиболее часто. Может стать причиной окклюзии ликворных путей. Часто рецидивирует, со временем способна трансформироваться в анапластическую эпендимому.
- Анапластическая эпендимома составляет около четверти всех эпендимом. Отличается ускоренным ростом и метастазированием, за что получила синонимичные названия: эпендимобластома, злокачественная эпендимома, недифференцированная эпендимома.
Симптомы эпендимомы
Эпендимома головного мозга манифестирует признаками внутричерепной гипертензии: нарастающей головной болью, ощущением давления в глазных яблоках, независимой от приема пищи тошнотой, рвотой. Наряду с этим у многих пациентов наблюдается раздражительность, некоторые изменения в привычном поведении, атаксия — неуклюжесть и шаткость ходьбы, дискоординация движений, затрудняющая, в первую очередь, мелкие действия руками, в т. ч. и письмо. У детей школьного возраста отмечается заметное ухудшение результатов учебы.
Выше указанные симптомы являются следствием ликворно-гипертензионного синдрома и усугубляются по мере нарастания внутричерепного давления. Если эпендимома становится препятствием на пути циркуляции цереброспинальной жидкости и вызывает обтурацию ликворных путей, развивается обтурационная гидроцефалия. В клинической картине это проявляется резким нарастанием имеющихся симптомов — головная боль становиться очень интенсивной и сопровождается многократной рвотой без облегчения состояния. Возможны судорожные приступы.
Очаговая симптоматика, сопровождающая церебральную эпендимому, варьирует в соответствии с месторасположением опухоли. Для опухолей задней черепной ямки характерна вестибулярная атаксия, двоение в глазах. Если эпендимома головного мозга располагается в нижней части IV желудочка, то возможны тугоухость, дизартрия, мозжечковая атаксия, дисфагия.
Диагностика
Выраженный ликворно-гипертензионный синдром, появление другой неврологической симптоматики или впервые возникший эпиприступ являются для невролога поводом к всестороннему обследованию пациента. Спектр проводимых исследований включает:
- МРТ или КТ головного мозга.МРТ головного мозга предпочтительнее, поскольку дает более полную информацию и позволяет избежать лучевой нагрузки, особенно, когда речь идет об обследовании ребенка.
- НСГ. Для детей до года этапом первичной диагностики может стать нейросонография, которая выполняется через еще незакрывшийся родничок.
- Цитоморфологическая диагностика. Для определения распространенности процесса на спинномозговой канал производится люмбальная пункция и исследование цереброспинальной жидкости. Окончательная верификация диагноза возможна лишь после морфологического изучения материала эпендимомы, полученного интраоперационно или путем стереотаксической биопсии.
- Дополнительные методы. Проводится электроэнцефалография, консультация офтальмолога, прямая офтальмоскопия.
Лечение эпендимомы головного мозга
Нейрохирургические операции
Оптимальным способом лечения эпендимомы является ее тотальное удаление. Частое расположение опухоли в задней черепной ямки обуславливает определенные трудности доступа к ней, с которыми сталкивается нейрохирург. Если полное удаление опухоли невозможно, операция может носить паллиативный характер. В таких случаях для улучшения оттока цереброспинальной жидкости может быть проведена шунтирующая операция.
У взрослых разрушение опухоли возможно методом стереотаксической радиохирургии. Последнее время все шире применяется установка «Кибер-нож», позволяющая достигнуть большой суммарной дозы облучения эпендимомы путем схождения на опухоли многочисленных пучков, исходящих из разных точек аппарата. Однако, в связи с большой лучевой нагрузкой, этот метод не рекомендован детям до 14 лет.
Противоопухолевая терапия
С целью уменьшения вероятности рецидива церебральной эпендимомы после хирургического лечения проводится лучевая терапия. У детей раннего возраста, мозг которых особо восприимчив к радиоактивному излучению, лучевая терапия должна быть сокращена или заменена химиотерапией. Лечение цитостатиками (цисплатином, карбоплатином) может проводиться после лучевой терапии или вместо нее. Его объем зависит от характера и распространенности эпиндимомы.
Прогноз
Миксопапиллярная эпендимома и субэпиндимома после их радикального удаления обычно имеют благоприятный прогноз. В случае классической эпендимомы полное удаление удается не всегда. Новообразование рецидивирует, как правило, в месте своего первоначального появления. При удачном удалении 5-летняя выживаемость оценивается на уровне 67-80%.
Наиболее негативный прогноз у анапластической эпендимомы, что связано с ее быстрым распространением по ликворным путям. Следует отметить, что даже после успешно осуществленного лечения у пациентов в последующем может сохраняться различная неврологическая симптоматика, тугоухость, ухудшение зрения; у детей возможна задержка психического развития.
Эпендимомы

Эпендимомы – редкие опухоли, исходящие из эпендимы – оболочки выстилающей изнутри желудочки головного мозга и центральный канал спинного мозга. Из этого следует, что в подавляющем большинстве случаев эпендимомы расположены в желудочковой системе и в спинном мозге интрадурально. Значительно реже эпендимомы встречаются вне желудочковой системы, непосредственно в веществе головного мозга. Отличительной чертой этих образований является то, что они лучше отграничены от мозгового вещества в сравнении с большинством других внутримозговых опухолей. Из этого следует, что задачей нейрохирурга является максимально радикальное удаление опухоли, как в случае интракраниальной локализации, так и при локализации эпендимомы в спинном мозге. В случае невозможности радикального удаления, возможно проведение последующей лучевой терапии.
Эпендимомы возникают из эпендимальных клеток, выстилающих желудочки мозга и центральный канал спинного мозга. Они могут располагаться по всей длине нервной трубки.
Частота:
Интракраниальная локализация: составляют ≈5-6% внутричерепных глиом, в 69% бывают у детей, составляя 9% педиатрических мозговых опухолей.
Спинальная локализация: ≈60% глиом спинного мозга, в 96% случаев встречаются у взрослых, особенно в области конечной нити.
Средний возраст пациентов в момент диагностирования опухоли:
Интракраниальная локализация: взрослые - 17 лет, дети - 5 лет.
Инфратенториальная локализация: взрослые - 14 лет, дети - 4 года.
Супратенториальная локализация: взрослые - 22 года, дети - 6 лет.
Спинальная локализация: 40 лет.
Интрамедуллярная локализация: 47 лет.
Каудальная часть: 32 года.
Эпендимомы обладают способностью распространяться по нервной трубке по ликворным путям, этот процесс называется обсеменением, что приводит к возникновению «потерянных» метастазов в 11% случаев. Частота метастазирования возрастает по мере повышения степени злокачественности опухоли. В редких случаях имеет место системное распространение.
Патология
1. Неанапластическая (низкая степень злокачественности)
2. Папиллярная: «классическое поражение» ГМ и СМ. Метастазирование возможно вплоть до 30%.
3. Миксопапиллярная эпендимома: отдельная форма, встречается только в области конечной нити. Папиллярная эпендимома с микрокистозными вакуолями и слизистым содержимым.
5. Анапластическая: плеоморфизм, многоядерность, гигантские клетки, митозы, сосудистые изменения, участки некроза (иногда при большей выраженности анапластических изменений используют термин эпендимобластома, но этот термин должен быть оставлен для отдельного вида опухолей, редких примитивных нейроэктодермальных опухолей у детей). Влияет ли степень анаплазии на исходы пока неясно.
Внутричерепные эпендимомы
1. Часто возникают в дне IV желудочка
2. Существует потенциальная угроза распространения по нервной трубке
3. Молодые пациенты имеют худший прогноз
4. Лечение: максимальная резекция с последующей лучевой терапией.
Обычно это хорошо отграниченные и доброкачественные опухо- ли (хотя встречаются и злокачественные эпендимомы). Они часто возникают в дне IV желудочка (в 60-70% случаев располагаются инфратенториально, всегда вблизи IV желудочка, на их долю приходится 25% от всех опухолей области IV желудочка). Эпендимомы задней черепной ямки у детей часто являются анапластическими, при этом имеется больший риск распространения по нервной трубке. Хотя гистологически они не выглядят такими злокачественными, как медуллобластомы, они имеют худший прогноз из-за того, что они имеют тенденцию врастать в obex(задвижку), что препятствует их полному удалению. Субэпендимомы: для них типично расположение в передних отделах боковых желудочков или в задней части IV желудочка, выраженная роль субэпендимарных глиальных клеток. Нередко обнаруживаются на аутопсиях, подлежат хирургическому лечению в редких случаях.
Клинические данные
Симптомы
Большинство из них связаны с наличием объемного образования в задней черепной ямке, сопровождающимся повышением внутричерепного давления:
3. Атаксия или вертиго: 60%
4. Припадки: при супратенториальной локализации только в ≈30% случаев; это составляет только 1% больных с внутричерепными опухолями, которые проявили себя припадками.
КТ/МРТ:
Обычно обнаруживают объемное образование в дне IV желудочка, часто с окклюзионной гидроцефалией.
Рентгенологически может быть трудно отличить от медуллобластомы, могут помочь следующие признаки:
1. Калицификаты часто встречаются в эпендимомах, но редко (<10%) в медуллобластомах
2. Медуллобластомы обычно возникают из крыши IV желудочка (из его вершины, фастигиума), который покрывает опухоль («симптом банана»), эпендимомы имеют тенденцию врастать в IV желудочек со дна
3. Эпендимомы имеют негомогенную структуру на МРТ в Т1 режиме
4. Экзофитный компонент в эпендимомах имеет тенденцию давать высокий сигнал на МРТ в Т2 режиме (у медуллобластом он только немного гиперинтенсивный)
Миелография
Миелография с водорастворимым контрастным веществом обладает такой же чувствительностью для определения метастаз, как и МРТ с гадолиниумом. Также при этом можно сделать цитологическое исследование цереброспинальной жидкости для определения стадии опухоли.
Лечение
Хирургическая резекция
Цель операции: максимальное удаление интракраниальной части опухоли без неврологического дефицита. Если имеется значительная инвазия опухоли в дно IV желудочка, то удалить ее тотально невозможно. После операции производят лучевую терапию и миелографию для исключения возможного метастазирования. 10 мл цереброспинальной жикдкости направляют на цитологическое исследование, чтобы определить количество злокачественных клеток (если они в ней есть), ее можно также использовать в качестве способа контроля эффективности лечения.
Лучевая терапия
Эпендимомы являются вторыми по радиочувствительности после медуллобластом. Лучевую терапию назначают после хирургического удаления опухоли (выживание улучшается после проведения лучевой терапии в послеоперационном периоде: выживание 50% пациентов было на 2 года больше при проведении лучевой терапии, чем без нее, при этом количество пациентов, имевших 5-летний срок выживания увеличивается с 20-40% до 40- 80%)
Исходы
Оперативная летальность: 5-8%. При тотальной резекции первичной интракраниальной опухоли и проведении последующей краниоспинальной лучевой терапии срок 5-летнего выживания составляет 41%. У молодых пациентов выживание хуже (в педиатрической группе срок 5-летнего выживания составляет 20-30%, по сравнению с почти 80% у взрослых). За исключением эпендимобластом, наличие злокачественных признаков в эпендимомах не обязательно является признаком худшего прогноза.
Читайте также:
- Буллезный пемфигоид Левера. Диагностика и лечение буллезного пемфигоида.
- Рентгенограмма, КТ при полипе двенадцатиперстной кишки
- Диагностика хронического гнойного мезотимпанита. Течение хронического мезотимпанита
- Клиническая картина кардиальной астмы. Диагностика кардиальной астмы.
- Нейтрофилия. Защитные механизмы воспаления
