Дифференциация одностороннего экзофтальма. Экзофтальм при псевдотуморе
Добавил пользователь Евгений Кузнецов Обновлено: 06.01.2026
Экзофтальм – это патология, которая проявляется выпячиванием и смещением глазного яблока. Иначе эту болезнь еще называют протрузией, или «по-народному» пучеглазием.
Многие ошибочно полагают, что формирование экзофтальма не связано с нарушением работы органов зрения. Но на самом деле заболевание вызывает увеличение глазных орбит в объеме, что нередко является следствием разного рода воспалительных заболеваний глаз.
К тому же, патология может стать причиной серьезных осложнений, которые способны приводить к полной потере зрения.
Экзофтальм одинаково часто наблюдается, как у мужчин, так и у женщин. Так же патология поражает людей любого возраста.
Причины экзофтальма
На данный момент известно, что формирование экзофтальма может быть напрямую связано с нарушением работы иммунной системы. Как следствие происходит отек тканей жировой клетчатки глазницы и воспаляются мышцы. Обычно это происходит на обоих глазах одновременно, однако, в начальном периоде может провялятся только с одной стороны.
К иным причинам экзофтальма относятся:
- воспалительные процессы сосудов глаза;
- воспаление и отек слезных желез;
- варикозная болезнь вен глазного яблока;
- опухолевые новообразования;
- глаукома врожденного характера;
- дисфункция мышц;
- травмы и кровоизлияния.
Перечисленные выше причины являются локальными. Но патология нередко является следствием заболеваний общего характера. К ним относятся:
- инфекционно-воспалительные заболевания пазух носа;
- гидроцефалия;
- лимфаденоз;
- патологии щитовидной железы;
- врожденные патологии строения черепа;
- болезни кровеносной системы.
Симптомы экзофтальма
Экзофтальм у каждого проявляется по-разному. У одних симптомы патологии могут быть едва заметны, а у других иметь ярко выраженный характер. Иногда врачу достаточно лишь взглянуть на пациента, чтобы поставить точный диагноз, а иногда для выявления недуга требуются дополнительные исследования.
Когда заболевание запущено, оно может вызывать целый ряд неприятных симптомов:
- изменение положения глазного яблока;
- поражение мышц глаза и ограничение подвижности;
- двоение в глазах;
- гетеротропия;
- невозможность полностью сомкнуть веки;
- чрезмерная сухость глаз.
Наиболее грозным осложнением считается ущемление зрительного нерва. Это вызывает повышение внутриглазного давления и смещение положения яблока. Если прим этом нарушается кровоток, то это может спровоцировать полное разрушение нерва и потерю зрения.
Диагностика экзофтальма
Чтобы не пропустить начало заболевания необходимо регулярно проходить осмотр у офтальмолога. Если у врача возникнут сомнения, он может назначить дополнительные исследования. Обычно для выявления патологии проводят экзофтальмометрию. Это вид диагностики, который позволяет определить положение глазных яблок. При помощи специального оборудования врач измеряет точки выступов роговицы при взгляде вверх и вниз. Если он получает расхождение результатов более чем на 20 мм, то ставят диагноз экзофтальм.
Более детальное исследование при этом заболевании проводят на компьютерном или магнитно-резонансном томографе. Так как наиболее часто встречаемая форма экзофтальма - эндокринная офтальмопатия, пациентам обязательно назначают консультацию эндокринолога, обследование функции щитовидной железы и исследование работы иммунной системы. К сожалению, без установления истинной причины патологии, невозможно полное излечение заболевания.
Когда причиной экзофтальма является воспалительный процесс, врачи нередко назначают антибиотики и противовоспалительные препараты. В тяжелых случаях пациентам требуется хирургическое вмешательство. Но даже если патология спровоцирована аномалиями в глазницах, при назначении лечения или проведении хирургической операции обязательно участие офтальмолога.
Выбор оперативного способа лечения экзофтальма оправдан так же при ущемлении зрительного нерва и повреждении роговицы. В первом случае врачи удаляют часть жировой ткани глазницы, чтобы уменьшить давление. Во втором нередко используют метод временного сшивания век для укрепления роговицы.
Если причиной экзофтальма стала новообразование, то обязательно участие в лечение онколога. При необходимости врач назначит химиотерапию или облучение.
Экзофтальм – эта патология, которая может быть следствием серьезных недугов. К тому же само по себе заболевание может иметь плачевные последствия. Поэтому следует регулярно посещать офтальмолога для проведения профилактических осмотров. А при появлении симптомов немедленно обратится к врачу.
Псевдотумор или декомпенсированный отёчный экзофтальм? Текст научной статьи по специальности «Клиническая медицина»
ПСЕВДОТУМОР / ПЕРВИЧНЫЙ ИДИОПАТИЧЕСКИЙ МИОЗИТ / ОТЁЧНЫЙ ЭКЗОФТАЛЬМ / ГЛЮКОКОРТИКОИДНАЯ ТЕРАПИЯ / PSEUDOTUMOR / PRIMARY IDIOPATHIC MYOSITIS / DECOMPENSATED EDEMATOUS EXOPHTHALMOS / GLUCOCORTICOID THERAPY
Аннотация научной статьи по клинической медицине, автор научной работы — Торопова Ольга Сергеевна
Похожие темы научных работ по клинической медицине , автор научной работы — Торопова Ольга Сергеевна
Дифференциальная диагностика поражения экстраокулярных мышц при различных патологических процессах в орбите
Pseudotumor or decompensated edematous proptosis?
Текст научной работы на тему «Псевдотумор или декомпенсированный отёчный экзофтальм?»
КЛИНИЧЕСКИЙ СЛУЧАЙ / CLINICAL CASE
ПСЕВДОТУМОР ИЛИ ДЕКОМПЕНСИРОВАННЫЙ ОТЁЧНЫЙ ЭКЗОФТАЛЬМ?
ФГБОУ ДПО «Российская медицинская академия непрерывного профессионального образования» Министерства здравоохранения Российской Федерации;
ГБУЗ «Городская клиническая больница имени С.П. Боткина» Департамента здравоохранения, г. Москвы, Филиал № 1 «Офтальмологическая клиника», Москва
Поступила в редакцию: 26.07.2018 Принята к печати: 31.08.2018
ф В статье представлены основные дифференциально-диагностические признаки псевдотумора орбиты и декомпенсированного отёчного экзофтальма на основании собственного клинического наблюдения.
ф Ключевые слова: псевдотумор; первичный идиопатический миозит; отёчный экзофтальм; глю-кокортикоидная терапия.
PSEUDOTUMOR OR DECOMPENSATED EDEMATOUS PROPTOSIS?
Russian Medical Academy of Continuous Professional Education of the Ministry of Healthcare of the Russian Federation, Moscow, Russia;
Ophthalmology Clinic of S.P. Botkin City Clinical Hospital, Moscow, Russia
Received: 26.07.2018 Accepted: 31.08.2018
^ The article presents the main differential diagnostic signs of pseudotumor orbit and decompensated edematous exophthalmos on the basis of its own clinical observation.
Keywords: pseudotumor; primary idiopathic myositis; decompensated edematous exophthalmos; glucocorticoid therapy.
Несмотря на имеющиеся достижения в области диагностики заболеваний орбиты, вопрос дифференциации некоторых из них остаётся сложным. В первую очередь речь идёт о дифференциальной диагностике заболеваний, патологический процесс при которых распространяется диффузно. Одним из ярких примеров служат псевдотумор и декомпенсированный отёчный экзофтальм (одна из клинических форм эндокринной офтальмопа-тии), которые имеют много общего в клиническом проявлении. Отличительной чертой принято счи-
тать билатеральность поражения для декомпенсированного отёчного экзофтальма [1], монолате-ральность для псевдотумора [2].
Как известно, термин «псевдотумор» объединяет три группы заболеваний (первичный идиопатический миозит, липогранулёматоз или васкулит и дакриоаденит), которые в исходе заканчиваются фиброзом мягких тканей орбиты [3]. Из этих заболеваний очень близок к декомпенсированному отёчному экзофтальму по своей клинической картине первичный идиопатический миозит.
КЛИНИЧЕСКИМ СЛУЧАИ / CLINICAL CASE
МАТЕРИАЛ И МЕТОДЫ
В связи с вышеизложенным представляется интересным следующее наблюдение.
Больной Я., 71 год, поступил в отделение неотложной помощи Офтальмологической клиники 14 февраля 2018 г. с жалобами на резкое снижение зрения левого глаза и боли в орбите. Из анамнеза: в 2009 г. у больного появился экзофтальм слева. Наблюдался в одном из офтальмологических учреждений Москвы. С целью получения биоптата была проведена орбитотомия. Пато-морфологическое заключение: «Хроническое не-гранулёматозное воспаление экстраокулярной мышцы с признаками фиброза». Одновременно обследован эндокринологом, диагноз: «Многоузловой зоб без нарушения функции щитовидной железы»; предложено наблюдение. Офтальмологами проведено следующее лечение: ретробульбарное введение глюкокортикоида «Бетаметазон» № 10 и противовоспалительная рентгенотерапия левой орбиты. Со слов больного, все признаки заболевания исчезли. Спустя 9 лет, в январе 2018 г., начало резко снижаться зрение на левый глаз (в течение месяца), одновременно нарастал экзофтальм.
При поступлении острота зрения левого глаза 0,06 не кор., офтальмогипертензия (+++ паль-паторно), экзофтальм 10 мм, глаз смещён книзу кнаружи, подвижность его ограничена, репозиция невозможна. На рис. 1 представлен внешний вид больного. Преломляющие среды прозрачны, на глазном дне ДЗН слегка гиперемирован. Ре-тинальные сосуды расширены.
Эхография орбит: нижняя и внутренняя прямая мышцы резко увеличены в размерах (рис. 2).
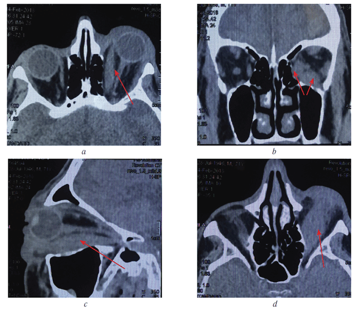
Резко увеличенные нижняя и внутренняя прямые мышцы визуализированы на компьютерных томограммах (рис. 3).
Рис. 1. Больной Я. при поступлении Fig. 1. Patient Y. on admission
Обследован эндокринологом. Диагноз: «Многоузловой зоб, состояние эутиреоза». Длительность спокойного периода, острое начало заболевания на фоне продолжающегося эутиреоза, поражение двух мышц (УЗИ и КТ) послужили основанием для постановки диагноза — первичного идиопатического миозита.
Начат курс лечения глюкокортикоидами (пульс-терапия). Суммарно получил 5625 мг глюкокортикоидов на протяжении 4 месяцев. Положительный эффект от лечения наступил после третьей инъекции: острота зрения повысилась с 0,06 до 0,7 с коррекцией, ВГД нормализовалось (18 мм рт. ст.), экзофтальм уменьшился до 7 мм, появились движения глаза (рис. 4).
Через 4 месяца после начала лечения острота зрения восстановилась до 1,0 с коррекцией, ВГД остаётся компенсированным (18 мм рт. ст.) без медикаментозной коррекции, остаточный экзофтальм — 5 мм (рис. 5). При контрольной эхографии орбит нижняя и внутренняя прямая мышцы уменьшены в объёме, в поперечнике — практически на 1 мм (рис. 6).
Рис. 2. Эхограммы орбит того же больного: а — нижняя прямая мышца, 6,5 мм; Ь — внутренняя прямая мышца, 6,2 мм
Fig. 2. Echograms of patient's orbits: a — lower rectus, 6.5 mm; b — internal rectus, 6.2 mm
^OPHTHALMOLOGY JOURNAL. 2018;11(3)
Рис. 3. Компьютерные томограммы орбит того же больного (во всех проекциях визуализируются увеличенные нижняя и внутренняя прямые мышцы (указаны стрелкой); c — визуализируется увеличенная нижняя прямая мышца на всём протяжении от зоны прикрепления к склере до сухожильного кольца
Fig. 3. Computer tomograms of patient's orbits (in all projections, enlarged lower and inner rectus muscles are visualized (indicated by an arrow); с — an enlarged lower straight muscle is visualized from the attachment zone to the sclera to the tendon ring
Рис. 4. Больной после третьей инъекций глюкокортикоидов Рис. 5. Больной после курса глюкокортикоидной терапии Fig. 4. Patient after 3th injections of glucocorticoids Fig. 5. Patient after a course of glucocorticoid therapy
Рис. 6. Эхограммы орбиты (по окончании лечения): a — нижняя прямая мышца, 5,6 мм; b — внутренняя прямая мышца, 5,46 мм
Fig. 6. Echograms of orbits after treatment: a — lower rectus, 5.6 mm; b — internal rectus, 5.46 mm
Таблица 1 / Table 1
Признаки псевдотумора и декомпенсированного отёчного экзофтальма Characteristics of pseudotumor and of decompensated edematous proptosis
Псевдотумор орбиты (первичный идиопатический миозит) Декомпенсированный отёчный экзофтальм
Хроническое неспецифическое воспаление с вовлечением в патологический процесс мягких тканей орбиты
Эутиреоидное состояние функции щитовидной железы Гипер-, гипотиреоидное состояние щитовидной железы
Поражены 1-2 экстраокулярные мышцы от склерального сухожилия до циннова кольца Поражены все экстраокулярные мышцы в зоне брюшка до вершины орбиты, сухожилие в зоне прикрепления к склере сохранено
Монолатеральный характер заболевания Билатеральный характер заболевания; монолатеральное поражение обусловлено асимметрией выраженности симптомов
Экзофтальм со смещением Осевой экзофтальм
Венозный стаз в орбите
«Красный» хемоз бульбарной конъюнктивы Внутриглазная гипертензия Ограничение подвижности глаз в сторону, противоположную поражённой мышцы Затруднённая репозиция Оптическая нейропатия Патогенетическое лечение — глюкокортикоидная терапия Исход заболевания — фиброз
Трудности в постановке диагноза определялись прежде всего по клинической картине: внезапное начало, большой экзофтальм, хемоз, полная неподвижность глаза, затруднённая репозиция. Всё свидетельствует о тяжести диффузного процесса в орбите, который мог быть расценён и как декомпен-сированный отёчный экзофтальм (исходя из анамнестических данных), и как псевдотумор. Против отёчного экзофтальма свидетельствует монолате-ральность поражения, сохранение функции щитовидной железы. За псевдотумор — острое начало, монолатеральность поражения, рецидив заболевания. Что касается резкого снижения зрения, то оно было обусловлено, скорее всего, быстрым увеличением в объёме экстраокулярных мышц и сдавле-нием папилломакулярного пучка, расположенного эксцентрично под оболочками зрительного нерва, а появление экзофтальма со смещением обусловлено поражением двух мышц, что нетипично для отёчного экзофтальма. Приведённый анализ позволил предложить таблицу дифференциально-диагностических признаков отёчного экзофтальма и первичного идиопатического миозита (табл. 1).
Сведения об авторе
Дифференциальная диагностика отёчного экзофтальма в стадии декомпенсации и первичного идиопатического миозита требует тщательного анализа всех симптомов. Необходимо обращать внимание на типичные для первичного идиопатического миозита поражение 1—2 экстраокулярных мышц от склерального сухожилия до циннова кольца с развитием одностороннего экзофтальма со смещением и эути-реоидное состояние щитовидной железы.
1. Бровкина А.Ф. Эндокринная офтальмопатия. - М.: ГЭОТАР-Медиа, 2004. - 176 с. [Brovkina AF. Endokrinnaya oftalmopatiya. Moscow; 2005. (In Russ.)]
2. Ye§ilta§ YS, Gunduz AK. Idiopathic Orbital Inflammation: Review of Literature and New Advances. Middle East Afr J Ophthalmol. 2018;25(2):71-80. doi: 10.4103/meajo.MEAJ0_44_18.
3. Бровкина А.Ф. Болезни орбиты. - М., 1993. - С. 90-93. [Brovkina AF. Bolezni orbity. Moscow; 1993. (In Russ.)]
Information about the author
Дифференциация одностороннего экзофтальма. Экзофтальм при псевдотуморе
Дифференциация одностороннего экзофтальма. Экзофтальм при псевдотуморе
Первичный идиопатический миозит, васкулит орбиты и дакриоаденит, объединяемые термином «псевдотумор», имеют много общего с другими заболеваниями орбиты, и в частности со злокачественной опухолью. Трудно отличить миозит и эндокринную офтальмопатию (отечный экзофтальм и эндокринная миопатия). Как известно, первичный идиопатический миозит и васкулит орбиты встречаются преимущественно у лиц до 40 лет, возникают всегда внезапно, быстро прогрессируют. Рано появляется неподвижность глаза в сторону пораженной мышцы либо наступает тотальная офтальмоплегия.
Экзофтальм всегда стационарный, чаще осевой. В силу резкого отека экстраокулярных мышц или формирования гранулемы в орбитальной клетчатке при васкулите уже в первые дни затруднена репозиция глаза. Больные предъявляют жалобы на чувство распираиия в орбите или сильную боль (чаще при васкулите). Нередко развиваются застойные изменения на глазном дне, формируются складки стекловидной пластинки (мембрана Бруха). Приблизительно у 2/3 больных стойко повышено внутриглазное давление, не снижающееся при назначении миотических средств. Ухудшение зрения связано с изменениями в зрительном нерве.
Возможно интермитирующее течение на протяжении многих лет. Как показывает наш опыт, заболевание чаще бывает односторонним. Несмотря на довольно яркую клиническую картину первичного идиопатического миозита и орбитального васкулита, их диагноз нередко бывает весьма затруднен.
Не случайно, анализируя результаты хирургического лечения опухолей орбиты, Л. Reese подчеркивал, что, по данным литературы, экзентерация орбиты у 50% больных оказывается ошибочной: патогистологическое исследование дает картину хронического неспецифического воспаления. До настоящего времени не существует абсолютно точного теста, позволяющего до операции диагностировать ложную опухоль орбиты. Следует иметь в виду, что может оказаться достаточно информативным такой простой тест, как изменение репозиции глаза на фоне приема глицерола: у больных с первичным идиопатическим миозитом резко уменьшается отек ретробульбарных тканей, усиливается их сжимаемость, улучшается репозиция глаза; при злокачественной опухоли прием глицерола на репозицию глаза не оказывает влияния. При переходе процесса в стадию склероза тест теряет значение.

Учитывая трудности дифференциальной диагностики синдрома одностороннего экзофтальма, V. Casten предлагал в качестве диагностического теста использовать назначение антибиотиков и глюкокортикоидов. Положительный эффект свидетельствует, по мнению автора, о псевдотуморе. Однако применение глюкортикоидов и антибиотиков с диагностической целью может сыграть и отрицательную роль. Дело в том, что вокруг любого опухолевого процесса может возникать перифокальное воспаление, быстро исчезающее под воздействием неспецифической противовоспалительной терапии. И у больного и у врача может сложиться ложное впечатление благополучного разрешения патологического процесса, а опухоль остается нераспознанной.
Мы имели возможность убедиться в этом и на собственном опыте. Одному из наших больных первоначально был поставлен диагноз псевдотумора, в связи с чем была назначена глюкокортикоидная терапия. На смену кратковременному эффекту вскоре пришло быстрое прогрессирование процесса. Во время операции была обнаружена инфильтративно растущая опухоль. Патогистологическое исследование обнаружило первичный рак орбиты. Таким образом, основой диагноза при пссвдо туморе является патогистологичсскос исследование биоптатов измененных мышц, орбитальной клетчатки или другой патологической ткани.
Немалые трудности в плане дифференциальной диагностики представляет эндокринная офтальмология. Наряду с экзофтальмом ведущим симптомом является ретракция верхнего века, которой, однако, может предшествовать частичное его опущение. Больные жалуются на боль в глазу и области лба, чувство инородного тела в глазу, слезотечение. Характерна тяжесть в глазах, светобоязнь, может быть диплопия. Для отечного экзофтальма типичен симптом «креста», который мы ни разу не наблюдали при другой орбитальной патологии. Отличает этих больных и ограничение подвижности глаза по вертикали или по горизонтали.
Невоспалительный отек век и периорбитальных тканей нарастает довольно быстро, это приводит к появлению жалоб на «приподнимание бровей». Экзофтальм может достигать большой степени, сопровождается хемозом. Почти у 50% больных выпадают корнеальные рефлексы, что вызывает кератит, вначале чаще перилимбальный. На глазном дне развивается нейроретинопатия. Уже на ранних стадиях процесса отмечают признаки нарушения офтальмотонуса, особенно заметные при изменении положения глаза: при измерении внутриглазного давления при взгляде пациентом прямо внутриглазное давление может быть нормальным или слегка повышенным, при повороте глаза кверху — четко повышается, причем разница может достигать 5-7 мм рт. ст.
Наиболее трудно дифференцировать эндокринную офтальмопатию от опухолевого поражения орбиты в фазе одностороннего процесса. УЗИ и КТ являются в таких случаях ведущими методами исследования, но не всегда решающими.
Исследование рефракции нередко помогает в дифференциальной диагностике. Как известно, опухолевый процесс в орбите ведет к ослаблению рефракции глаза, исключение составляют опухоли слезной железы. При эндокринной офтальмопатии, наоборот, рефракция усиливается и развивается миопия. Тем не менее отличить эндокринный экзофтальм и опухоль орбиты сложно и трудно. Интересно заметить, что такой великолепный специалист в области орбитальной патологии, как A. Reese, при обследовании 230 больных с односторонним экзофтальмом в 9 случаях поставил диагноз эндокринной офтальмопатии. Им все же была проведена эксплораторная орбитотомия. У всех 9 больных была обнаружена опухоль орбиты.
Учебное видео прибор и методика экзофтальмометрии

Редактор: Искандер Милевски. Дата обновления публикации: 18.3.2021
Псевдотумор или декомпенсированный отёчный экзофтальм?

В статье представлены основные дифференциально-диагностические признаки псевдотумора орбиты и декомпенсированного отёчного экзофтальма на основании собственного клинического наблюдения.
Ключевые слова
Полный текст
Введение
Несмотря на имеющиеся достижения в области диагностики заболеваний орбиты, вопрос дифференциации некоторых из них остаётся сложным. В первую очередь речь идёт о дифференциальной диагностике заболеваний, патологический процесс при которых распространяется диффузно. Одним из ярких примеров служат псевдотумор и декомпенсированный отёчный экзофтальм (одна из клинических форм эндокринной офтальмопатии), которые имеют много общего в клиническом проявлении. Отличительной чертой принято считать билатеральность поражения для декомпенсированного отёчного экзофтальма [1], монолатеральность для псевдотумора [2].
Как известно, термин «псевдотумор» объединяет три группы заболеваний (первичный идиопатический миозит, липогранулёматоз или васкулит и дакриоаденит), которые в исходе заканчиваются фиброзом мягких тканей орбиты [3]. Из этих заболеваний очень близок к декомпенсированному отёчному экзофтальму по своей клинической картине первичный идиопатический миозит.
Материал и методы
В связи с вышеизложенным представляется интересным следующее наблюдение.
Больной Я., 71 год, поступил в отделение неотложной помощи Офтальмологической клиники 14 февраля 2018 г. с жалобами на резкое снижение зрения левого глаза и боли в орбите. Из анамнеза: в 2009 г. у больного появился экзофтальм слева. Наблюдался в одном из офтальмологических учреждений Москвы. С целью получения биоптата была проведена орбитотомия. Патоморфологическое заключение: «Хроническое негранулёматозное воспаление экстраокулярной мышцы с признаками фиброза». Одновременно обследован эндокринологом, диагноз: «Многоузловой зоб без нарушения функции щитовидной железы»; предложено наблюдение. Офтальмологами проведено следующее лечение: ретробульбарное введение глюкокортикоида «Бетаметазон» № 10 и противовоспалительная рентгенотерапия левой орбиты. Со слов больного, все признаки заболевания исчезли. Спустя 9 лет, в январе 2018 г., начало резко снижаться зрение на левый глаз (в течение месяца), одновременно нарастал экзофтальм.
При поступлении острота зрения левого глаза 0,06 не кор., офтальмогипертензия (+++ пальпаторно), экзофтальм 10 мм, глаз смещён книзу кнаружи, подвижность его ограничена, репозиция невозможна. На рис. 1 представлен внешний вид больного. Преломляющие среды прозрачны, на глазном дне ДЗН слегка гиперемирован. Ретинальные сосуды расширены.

Рис. 1. Больной Я. при поступлении
Fig. 1. Patient Y. on admission
Эхография орбит: нижняя и внутренняя прямая мышцы резко увеличены в размерах (рис. 2).

Рис. 2. Эхограммы орбит того же больного: a — нижняя прямая мышца, 6,5 мм; b — внутренняя прямая мышца, 6,2 мм
Fig. 2. Echograms of patient’s orbits: a — lower rectus, 6.5 mm; b — internal rectus, 6.2 mm
Резко увеличенные нижняя и внутренняя прямые мышцы визуализированы на компьютерных томограммах (рис. 3).

Рис. 3. Компьютерные томограммы орбит того же больного (во всех проекциях визуализируются увеличенные нижняя и внутренняя прямые мышцы (указаны стрелкой); c — визуализируется увеличенная нижняя прямая мышца на всём протяжении от зоны прикрепления к склере до сухожильного кольца
Fig. 3. Computer tomograms of patient’s orbits (in all projections, enlarged lower and inner rectus muscles are visualized (indicated by an arrow); с — an enlarged lower straight muscle is visualized from the attachment zone to the sclera to the tendon ring
Обследован эндокринологом. Диагноз: «Многоузловой зоб, состояние эутиреоза». Длительность спокойного периода, острое начало заболевания на фоне продолжающегося эутиреоза, поражение двух мышц (УЗИ и КТ) послужили основанием для постановки диагноза — первичного идиопатического миозита.
Результаты
Начат курс лечения глюкокортикоидами (пульс-терапия). Суммарно получил 5625 мг глюкокортикоидов на протяжении 4 месяцев. Положительный эффект от лечения наступил после третьей инъекции: острота зрения повысилась с 0,06 до 0,7 с коррекцией, ВГД нормализовалось (18 мм рт. ст.), экзофтальм уменьшился до 7 мм, появились движения глаза (рис. 4).

Рис. 4. Больной после третьей инъекций глюкокортикоидов
Fig. 4. Patient after 3th injections of glucocorticoids
Через 4 месяца после начала лечения острота зрения восстановилась до 1,0 с коррекцией, ВГД остаётся компенсированным (18 мм рт. ст.) без медикаментозной коррекции, остаточный экзо фтальм — 5 мм (рис. 5). При контрольной эхографии орбит нижняя и внутренняя прямая мышцы уменьшены в объёме, в поперечнике — практически на 1 мм (рис. 6).

Рис. 5. Больной после курса глюкокортикоидной терапии
Fig. 5. Patient after a course of glucocorticoid therapy

Рис. 6. Эхограммы орбиты (по окончании лечения): a — нижняя прямая мышца, 5,6 мм; b — внутренняя прямая мышца, 5,46 мм
Fig. 6. Echograms of orbits after treatment: a — lower rectus, 5.6 mm; b — internal rectus, 5.46 mm
Трудности в постановке диагноза определялись прежде всего по клинической картине: внезапное начало, большой экзофтальм, хемоз, полная неподвижность глаза, затруднённая репозиция. Всё свидетельствует о тяжести диффузного процесса в орбите, который мог быть расценён и как декомпенсированный отёчный экзофтальм (исходя из анамнестических данных), и как псевдотумор. Против отёчного экзофтальма свидетельствует монолатеральность поражения, сохранение функции щитовидной железы. За псевдотумор — острое начало, монолатеральность поражения, рецидив заболевания. Что касается резкого снижения зрения, то оно было обусловлено, скорее всего, быстрым увеличением в объёме экстраокулярных мышц и сдавлением папилломакулярного пучка, расположенного эксцентрично под оболочками зрительного нерва, а появление экзофтальма со смещением обусловлено поражением двух мышц, что нетипично для отёчного экзофтальма. Приведённый анализ позволил предложить таб лицу дифференциально-диагностических признаков отёчного экзофтальма и первичного идиопатического миозита (табл. 1).
Таблица 1. Признаки псевдотумора и декомпенсированного отёчного экзофтальма
Table 1. Characteristics of pseudotumor and of decompensated edematous proptosis
Псевдотумор орбиты (первичный идиопатический миозит)
Декомпенсированный отёчный экзофтальм
Хроническое неспецифическое воспаление с вовлечением в патологический процесс мягких тканей орбиты
Эутиреоидное состояние функции щитовидной железы
Гипер-, гипотиреоидное состояние щитовидной железы
Поражены 1–2 экстраокулярные мышцы от склерального сухожилия до циннова кольца
Поражены все экстраокулярные мышцы в зоне брюшка до вершины орбиты, сухожилие в зоне прикрепления к склере сохранено
Монолатеральный характер заболевания
Билатеральный характер заболевания; монолатеральное поражение обусловлено асимметрией выраженности симптомов
Экзофтальм со смещением
Венозный стаз в орбите
«Красный» хемоз бульбарной конъюнктивы
Ограничение подвижности глаз в сторону, противоположную поражённой мышцы
Патогенетическое лечение — глюкокортикоидная терапия
Исход заболевания — фиброз
Заключение
Дифференциальная диагностика отёчного экзо фтальма в стадии декомпенсации и первичного идиопатического миозита требует тщательного анализа всех симптомов. Необходимо обращать внимание на типичные для первичного идиопатического миозита поражение 1–2 экстраокулярных мышц от склерального сухожилия до циннова кольца с развитием одностороннего экзофтальма со смещением и эутиреоидное состояние щитовидной железы.
Об авторах
Ольга Сергеевна Торопова
ФГБОУ ДПО «Российская медицинская академия непрерывного профессионального образования» Министерства здравоохранения Российской Федерации
аспирант кафедры офтальмологии
Список литературы
- Бровкина А.Ф. Эндокринная офтальмопатия. - М.: ГЭОТАР-Медиа, 2004. - 176 с. [Brovkina AF. Endokrinnaya oftalmopatiya. Moscow; 2005. (In Russ.)]
- Yeşiltaş YS, Gündüz AK. Idiopathic Orbital Inflammation: Review of Literature and New Advances. Middle East Afr J Ophthalmol. 2018;25(2):71-80. doi: 10.4103/meajo.MEAJO_44_18.
- Бровкина А.Ф. Болезни орбиты. - М., 1993. - С. 90-93. [Brovkina AF. Bolezni orbity. Moscow; 1993. (In Russ.)]
Дополнительные файлы

2. Рис. 2. Эхограммы орбит того же больного: a — нижняя прямая мышца, 6,5 мм; b — внутренняя прямая мышца, 6,2 мм

3. Рис. 3. Компьютерные томограммы орбит того же больного (во всех проекциях визуализируются увеличенные нижняя и внутренняя прямые мышцы (указаны стрелкой); c — визуализируется увеличенная нижняя прямая мышца на всём протяжении от зоны прикрепления к склере до сухожильного кольца
Экзофтальм глаза: что это такое, причины, лечение и прогноз
Экзофтальм — термин, применяемый в офтальмологии для обозначения такой патологии как выпячивание глазного яблока вперед. В зависимости от особенностей патогенетических факторов заболевание подразделяется на два вида: истинный и ложный экзофтальм. В большинстве клинических случаев экзофтальм или протрузия глаз развивается на фоне соматических болезней различной этиологии (фактически, любых болезней тела и внутренних органов, не связанных с психическими заболеваниями). Патология характеризуется возникновением ряда неприятной симптоматики и развитием дефекта, заметного внешне. Подбор оптимального вида терапии зависит от особенностей причин возникновения экзофтальма.
Причины возникновения экзофтальма
Болезнь является признаком, указывающим на развитие каких-либо заболеваний. В зависимости от особенностей патогенетических факторов основные причины развития заболевания подразделяются на локальные и общие. Локальными причинами являются:
- Механические повреждения и травмы глаза. Травматический экзофтальм может быть как односторонним, так и двухсторонним, может сопровождаться развитием воспалительных процессов, увеличением показателей внутриглазного давления. При отсутствии принятых своевременно мер, травматический экзофтальм может стать причиной снижения остроты зрения или привести к проптозу – выпадению глаза.
- Воспалительные процессы, затрагивающие глазницы также могут стать фактором возникновения глазных симптомов экзофтальма.
Онкологические заболевания. Опухоли, независимо от их размера, могут привести к стремительному развитию экзофтальма, причиной заболевания чаще становятся поражения головного мозга, глаз, зрительного нерва, сонной артерии.
Варикозное расширение, затрагивающее глазные вены.
Глаукома, носящая врожденный характер.
Нарушение функционирования глазодвигательных мышц.
Причины патологии могут носить общий характер. Независимо от особенностей механизма развития соматических заболеваний, причины болезни глаз могут быть следующими:
Различные варианты патологий щитовидной железы, к числу которых можно отнести, к примеру, диффузный токсический зоб (болезнь Грейвса) или аутоиммунный тиреоидит (зоб Хашимото). Чаще всего по этой причине выпучивание глаз бывает у подростков в период пубертата. К счастью, в юном возрасте это обычно поддаётся лечению и носит обратимый характер, но в редких случаях врачи прибегают к удалению щитовидной железы радиоактивным йодом.
Патологии органов кроветворения, для которых характерны различные варианты механизмов развития.
Гидроцефалия, именуемая в быту водянкой головного мозга, в большинстве клинических случаев приводит к развитию двустороннего экзофтальма.
Нарушения формы черепа. Различные варианты патологий строения черепа, в том числе, выраженные в легкой форме, нередко приводят к появлению симптомов экзофтальма.
Воспалительные процессы, затрагивающие полость носа. Лечение в таких случаях назначает оториноларинголог.
Односторонний экзофтальм, либо двухсторонняя его форма развиваются на фоне генетических мутаций и аномалий внутриутробного развития.
Виды экзофтальма
Истинный экзофтальм. Истинная форма развивается на фоне воспалительных, онкологических или иных поражений органов зрения.
Ложный или мнимый экзофтальм. Ложная или мнимая патология чаще имеет врожденный характер и развивается на фоне различных аномалий и патологий строения черепной коробки.
В зависимости от особенностей клинической картины и специфики развития выделяют следующие варианты классификации экзофтальма:
Постоянный. Постоянный экзофтальм имеет стремительный характер развития и возникает на фоне поражений щитовидной железы.
Перемежающийся. Этот вид может возникать на фоне различных поражений кровеносной системы глаз. Характеризуется наличием следующего признака – выпячивание глазного яблока может перемещаться от одного глаза к другому в зависимости от положения головы.
Пульсирующий экзофтальм. Данная форма протрузии развивается на фоне поражений органов зрения, либо кровеносной системы глаз. При отсутствии адекватного лечения пульсирующий экзофтальм может привести к проптозу, то есть, выпадению глазного яблока.
В зависимости от характера течения протрузии выделяют следующие ее виды:
Интермиттирующий экзофтальм. Нередко возникает на фоне поражения сосудистой системы. При данной форме чаще наблюдается сильное выпячивание глазного яблока и проптоз. Экзофтальм данного вида нередко приводит к развитию осложнений.
Тиреотоксический. Развивается на фоне поражений щитовидный железы, проявляется в виде легкой, мнимой и временной формы. Крайне редко приводит к осложнениям.
Отечный экзофтальм. Появляется вследствие поражения эндокринной системы. Для данной формы характерным является стремительное развитие болезни глаз.
Методы лечения протрузии подбираются в соответствии с особенностями поставленного диагноза и определения классификации экзофтальма.
Симптомы экзофтальма
Экзофтальм — это заболевание, характеризующееся проявлением выраженной симптоматики. В качестве основных признаков можно привести следующие:
Постоянное или временное выпячивание глазных яблок. Симптомы могут проявляться как на одной, так и на обеих сторонах. Помимо основных возможно появление дополнительных признаков, в числе которых — косоглазие.
Отечность тканей глазного яблока. При диагнозе экзофтальм возможно появление отека слизистых тканей полости носа.
Ухудшение зрения. Возможно двоение предметов, появление перед глазами расплывчатых кругов.
Трудности при смыкании век. Чаще всего такие симптомы наблюдаются на фоне двустороннего выраженного экзофтальма.
При постановке диагноза учитываются основные данные, полученные при визуальном осмотре пациента и изучении анамнеза. Приведенные сведения позволяют определить не только этиологию, но также степень развития патологии глаз.
С этими симптомами необходимо обратиться к врачу как можно скорее. В особенности это касается случаев, если глаза резко стали более выпуклыми за короткий срок. Даже если самочувствие нормальное, постарайтесь по возможности посетить эндокринолога.
Стадия (степень тяжести) экзофтальма определяют по степени смещения глазного яблока:
На I стадии диаметр глазного яблока составляет 21-23 мм. Патология может протекать бессимптомно;
На II — 24-26 мм. Больной начинает жаловаться на затруднения движения глазами и двоение;
На III — 27 и более. Становится тяжело смыкать веки, появляется повышенная сухость, начинает падать зрение.
Лечение
Терапия при экзофтальме глаз подбирается с учетом степени тяжести заболевания, основных причин, спровоцировавших его развитие и специфики клинической картины. В наиболее тяжелых случаях необходимо хирургическое вмешательство. Медикаменты, используемые для лечения, могут быть следующими:
- Противовоспалительные препараты для глаз. Использование лекарственных средств, обладающих противовоспалительными, иммуномодулирующими и антибактериальными свойствами носит обязательный характер при лечении экзофтальма в том случае, если его развитию способствовали соматические воспалительные процессы, а также инфекционные поражения глаз.
- Глюкокортикостероиды. Применение средств данной группы является необходимым в том случае, если развитие заболевания обусловлено поражением щитовидки. При отсутствия положительной динамики лечения экзофтальма, пациенту может быть показано удаление щитовидной железы. В данной ситуации для восстановления организма, гормонального фона и предупреждения осложнений экзофтальма истинной формы необходим прием глюкокортикостероидных препаратов.
- Гормональные препараты. Применение медикаментов данной группы необходимо на фоне эндокринных заболеваний, к числу которых относится тиреотоксикоз.
- Оперативное вмешательство. Выраженный экзофтальм, развитие которого обусловлено травмами, онкологическими заболеваниями глаз, поражениями нервной системы не лечится с помощью консервативной терапии, в данном случае обязательно хирургическое вмешательство. Подбор типа инвазивных манипуляций зависит от особенностей вида болезни. Врожденный экзофтальм, имеющий выраженную форму, лечится посредством проведения пластической операции, направленной на устранение дефекта. При механических повреждениях, сопряженных с поражением роговой оболочки глаза, применяется метод сшивания век. В том случае, если протрузия развивается в результате нарушений функционирования эндокринной системы, оперативное вмешательство направлено на удаление щитовидной железы.
На фоне легких форм мнимой или ложной протрузии лечение не носит обязательного характера, однако для предупреждения прогрессирования патологии может потребоваться прием средств и препаратов, обладающих иммуномодулирующим действием.
Прогноз и профилактика экзофтальма
Прогноз развития протрузии глаз зависит от стадии заболевания и степени тяжести. При начале лечения на ранних этапах формирования болезни шансы на полное устранение патологии и восстановление зрения, а также внешнего вида больного максимальны. На фоне осложнений и при запущенных формах патологии прогноз не является благоприятным, в таких ситуациях возможна полная утрата зрения или проптоз глаза.
При наличии предрасположенности к развитию патологии, а также на ранних этапах ее развития обязательны профилактические меры, предупреждающее прогрессирование болезни. Наиболее эффективными являются следующие:
Отказ от вредных привычек. Употребление алкоголя и никотина может спровоцировать поражение сосудистой системы глаз, что в свою очередь приведет к развитию осложнений протрузии.
Изменение рациона питания. Для обогащения организма витаминными комплексами рекомендуется отказаться от употребления тяжелой пищи в пользу свежих овощей и фруктов.
Соблюдение гигиены глазных яблок.
Предупреждение стрессовых ситуаций, которые также могут привести к выпячиванию глаз.
Предупреждение травм и механических повреждений глазных яблок. Соблюдение техники безопасности на предприятиях.
Наиболее важный фактор профилактики болезни глаз – своевременная терапия соматических заболеваний, наличие которых может спровоцировать развитие или осложнения экзофтальма.
Заключение
Как и с любыми другими заболеваниями, здесь важна ранняя диагностика. Поэтому если вы заметили у себя или кого-то из родных симптомы, похожие на приведённые выше, обратитесь к врачу как можно скорее. Помните: вовремя замеченный экзофтальм гораздо легче поддаётся специфическому лечению.
Несвоевременная терапия протрузии глаз, а также заболеваний, провоцирующих ее развитие, может привести к ряду тяжелых осложнений, в числе которых выпадение глазного яблока, внутренние кровотечения, приводящие к отечности слизистых тканей глаз, полная или частичная потеря зрения. Даже при условии успешного излечивания патологии существует немалый риск рецидива заболевания. для минимизации осложнений и возможных рисков рекомендуется соблюдать меры профилактики и проходить регулярные медицинские осмотры.
Читайте также:
