Дифференциальная диагностика кисты печени
Добавил пользователь Евгений Кузнецов Обновлено: 29.01.2026
ФГБОУ ВО «Северо-Западный государственный медицинский университет им. И.И. Мечникова» Минздрава России
Особенности диагностики и лечения при кисте ворот печени
Журнал: Эндоскопическая хирургия. 2020;26(6): 32‑35
Описан случай лечения пациента с кистой мезотелиального происхождения в области ворот печени. Кисты брюшной полости являются одними из крайне редких хирургических заболеваний. Первая полная их классификация, основанная в первую очередь на гистологических особенностях, предложена только в 2000 г. Кисты мезотелиального происхождения являются еще более редкими, в литературе описано около 900 таких наблюдений. Как правило, такие кисты — случайная находка. Обычно небольшая киста брюшной полости никак себя не проявляет, а пациенты иногда могут жаловаться на неспецифичные симптомы. Отсутствие выраженной клинической картины и патогномоничных симптомов существенно затрудняют диагностику этого заболевания. Варианты лечения кист брюшной полости крайне вариабельны и напрямую зависят от величины и локализации образования. Этим и интересен представленный клинический случай.
Дата принятия в печать:
В структуре хирургических заболеваний кисты брюшной полости встречаются крайне редко. В нозологическую группу «кисты брюшной полости» входят заболевания и патологические образования, разнообразные по происхождению, анатомическому строению и локализации. Наиболее полная классификация, которая основана в первую очередь на патогистологических особенностях кистозных образований, была предложена M. De Perrot в 2000 г., и в ней выделялось 6 групп: 1) киста лимфатического происхождения (простая лимфатическая киста и лимфангиома); 2) кисты мезотелиального происхождения (простая мезотелиальная киста, доброкачественная кистозная мезотелиома и злокачественная кистозная мезотелиома); 3) кисты кишечного происхождения; 4) кисты урогенитального происхождения; 5) зрелые кистозные тератомы (дермоидные кисты); 6) псевдокисты (инфекционные и травматические) [1, 2].
Так, согласно классификации M. De Perrot [1] простая мезотелиальная киста, доброкачественная кистозная мезотелиома и злокачественная кистозная мезотелиома были выделены в группу «кисты мезотелиального происхождения» (КМП). Эти кистозные новообразования брюшной полости стоят особняком, так как встречаются крайне редко. Всего в мировой литературе описано около 900 подобных случаев [3—5]. При этом описаны клинические наблюдения, когда размер кисты достигал 40 см [6, 7].
Что же касается клинической картины и диагностики заболевания, то, как правило, это случайная находка. Обычно небольшая киста брюшной полости никак не проявляет себя, а пациенты иногда могут предъявлять неспецифичные жалобы. Отсутствие выраженной клинической картины и патогномоничных симптомов существенно затрудняют диагностику этого заболевания. Варианты лечения пациентов с кистами брюшной полости крайне вариабельны и напрямую зависят от величины и локализации образования.
Следует также отметить, что по одной из существующих версий возникновение подобных кист связано с неполным сращением листков брюшины во время эмбриогенеза. Возможно, по этой причине КМП чаще описывают в области тонкой кишки, брыжейки ободочной кишки и сальника [2, 8].
В доступной отечественной и зарубежной литературе нам не удалось обнаружить описания мезотелиальной кисты с локализацией в воротах печени. В настоящее время не существует единых стандартов или рекомендаций по лечению таких заболеваний. Тем не менее развитие современных методов диагностики и лечения позволяют успешно диагностировать и выполнять радикальное лечение при кистах любой локализации.
Приводим собственное клиническое наблюдение успешного лечения кисты области ворот печени с помощью эндовидеохирургических методик.
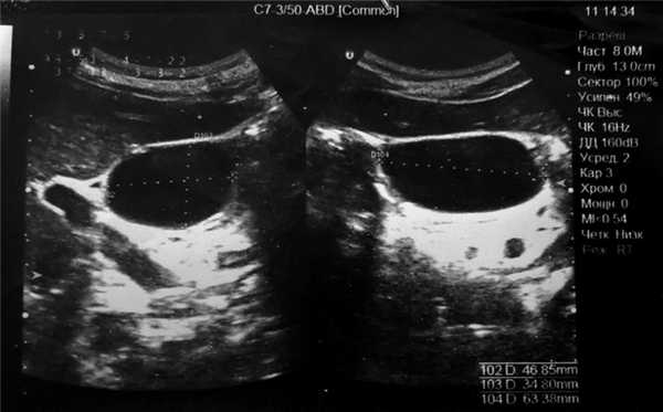
Клиническое наблюдение. Пациент П., 65 лет, обратился на консультацию в клинику факультетской хирургии им. И.И. Грекова СЗГМУ им. И.И. Мечникова 23.05.17 с диагнозом «киста холедоха» (общего желчного протока — ОЖП). Из анамнеза известно, что пациент считает себя больным около года, когда отметил появление чувства распирания и тяжести в верхних отделах живота, больше справа. Появление подобных жалоб ни с чем не связывает. Самостоятельно не лечился, за медицинской помощью не обращался. Ухудшение самочувствия отметил в конце апреля 2017 г., когда появились выраженные боли в правом подреберье, в связи с чем обратился в поликлинику. В амбулаторном порядке было выполнено УЗИ органов брюшной полости (рис. 1), при котором выявлено жидкостное образование в проекции ворот печени, которое было трактовано как киста ОЖП и рекомендована консультация хирурга-гепатолога.

Рис. 1. УЗ-скан образования брюшной полости.
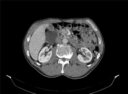
После консультации специалистами клиники в амбулаторном порядке выполнен ряд исследований. При спиральной компьютерной томографии органов брюшной полости обнаружены признаки кистозного образования в области ворот печени (более вероятно киста ОЖП) от 11.05.17 (рис. 2). Ввиду неоднозначности трактовки 30.05.17 выполнена магнитно-резонансная томография в режиме холангиографии, при которой визуализировалась киста брюшной полости размерами 66×44×48 мм с локализацией в области ворот печени, оттесняющая желчный пузырь кнаружи. Образование прилежало к нижней поверхности печени, к передним отделам и сосудистой ножке правой почки, нижней полой вене, к общему печеночному протоку без сужения их просвета, к головке поджелудочной железы и к стенке двенадцатиперстной кишки (ДПК).

Рис. 2. Данные спиральной компьютерной томографии органов брюшной полости с внутривенным контрастированием.
Следует отметить, что после введения гепатотропного парамагнитного контрастного вещества накопление его в сосудистой фазе сканирования не определялось.
Кроме того, были выполнены фиброэзофагогастродуоденоскопия (01.06.17: эозинофильный эзофагит, поверхностный гастрит, дуоденогастральный рефлюкс), фиброколоноскопия (31.05.17: проктит, сфинктерит, хронический геморрой вне обострения). Лабораторные показатели в пределах нормы.
Пациент госпитализирован в плановом порядке в клинику факультетской хирургии им. И.И. Грекова СЗГМУ им. И.И. Мечникова 21.06.17.
С учетом инструментальных и клинических данных было принято решение об оперативном лечении. После обзорной лапароскопии (22.06.17) в правом подпеченочном пространстве выявлено кистозное образование размерами 6,5×5,0×5,5 см, стенка которого сверху прилежит к висцеральной поверхности V и VI сегментов печени и желчному пузырю, слева плотно спаяна с элементами гепатодуоденальной связки, снизу прилежит к верхней части ДПК, а задняя стенка кисты — к супраренальному сегменту нижней полой вены (рис. 3 на цв. вклейке).

Рис. 3. Интраоперационная картина кисты ворот печени.
Другой патологии не выявлено. Дополнительно установлены два 5-миллиметровых и один 12-миллиметровый троакары. Преимущественно с помощью ультразвукового скальпеля Harmonic выделены все стенки кисты из плотных сращений и выполнена цистэктомия. Препарат эвакуирован с помощью контейнера для препаратов Endobag. При повторной ревизии брюшной полости целостность всех структур гепатодуоденальной зоны не вызывает сомнений (рис. 4 на цв. вклейке).

Рис. 4. Вид операционного поля после удаления препарата.
Оперативное вмешательство завершено дренированием подпеченочного пространства.
Послеоперационный период протекал без осложнений. Дренаж удален на 2-е сутки. При контрольном УЗИ органов брюшной полости в зоне гепатодуоденальной связки отклонений не выявлено, свободная жидкость в брюшной полости не определяется.
Пациент был выписан на 7-е сутки в удовлетворительном состоянии.
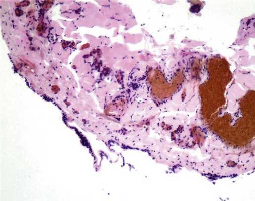
По данным гистологического исследования удаленной кисты (№2750 от 20.06.17): фиброзная стенка кисты, выстланная преимущественно однорядным уплощенным эпителием с большим количеством полнокровных сосудов. Гистологическая картина соответствует кисте мезотелиального происхождения (рис. 5 на цв. вклейке).

Рис. 5. Гистологический срез кисты мезотелиального происхождения.
Приведенный редкий клинический случай демонстрирует высокую вариативность возможной локализации кист брюшной полости, трудность дифференциальной диагностики их органной принадлежности. В частности, в нашем случае была необходимость выполнения МРТ в холангиорежиме с контрастированием для исключения связи образования с ОЖП. При выборе способа оперативного лечения учитывалась близость большого количества различных анатомических структур, что повышало риск развития осложнений при выполнении оперативного вмешательства. Тем не менее случай демонстрирует эффективность лапароскопического радикального лечения кист в области ворот печени.
Дифференциальная диагностика кисты печени
УЗИ при кистозных образованиях печени
а) Дифференциальная диагностика кисты в печени:
1. Распространенные заболевания:
• Киста печени
• Поликистозная болезнь печени
• Пиогенный абсцесс печени
• Недавнее кровоизлияние в печени
• Билома
• Сосуды
• Билиарная цистаденома/цистаденокарцинома
• Эхинококковая киста печени
• Кисты ворот печени(перибилиарные кисты)
• Билиарная гамартома
• Амебный абсцесс
• Расширенный желчный проток
2. Менее распространенные заболевания:
• Лимфома печени
• Метастазы в ткани печени
• Киста печени, выстланная ресничным эпителием передней кишки
3. Редкие, но важные заболевания:
• Болезнь Кароли
(Левый) Цветовая допплерография в поперечной проекции. Визуализируется четко отграниченная круглая киста печени, васкуляризация отсутствует, хорошо визуализируется задняя стенка га, отмечается заднее акустическое усиление, подтверждающее кистозную природу образования.
(Правый) Поперечный серошкальный УЗ срез печени. Визуализируются множественные кисты га по всей печени пациента, страдающего поликистозной болезнью печени. Заднее акустическое усиление наблюдается у каждой кисты и подтверждает кистозную природу образований. (Левый) Трансабдоминальная цветовая допплерография в косой проекции. Визуализируется кистозный абсцесс печени, окруженный гипоэхогенной паренхимой в правой доле печени. Также визуализируются внутренние перегородки и эхогенное содержимое абсцесса печени.
(Правый) Цветовая допплерография печени в поперечной проекции. В полости резекции визуализируется билома с эхогенными очагами по периферии и артефактом, вызванным хирургическими клипсами. На периферии биломы отмечается внутреннее содержимое. (Левый) Поперечный серошкальный УЗ срез печени. В правой доле печени визуализируются два прилежащих анэхогенных образования трубчатой формы с четкими границами.
(Правый) При цветовой допплерографии у этого же пациента можно отметить, что образование представляет собой сосуд, впадающий в среднюю печеночную вену. Следует всегда использовать цветовую допплерографию для оценки анэхогенных образований на предмет их возможной сосудистой природы, как в этом случае спонтанного внутрипеченочного портокавального шунта.
б) Важная информация:
1. Дифференциальная диагностика:
• Внутри образований эхосигнал слабый или отсутствует
• Называют «простой»:
о Если киста одиночная и не имеет внутренних перегородок, дольчатого строения или неровного контура
• Анэхогенные образования имеют округлую или овальную форму с гладким контуром по всей поверхности
• Степень заднего акустического усиления или затенения, а также толщина стенки помогают ограничить круг дифференциального поиска
2. Распространенные заболевания:
• Киста печени:
о Анэхогенная
о Гладкие стенки, но иногда имеет дольчатое строение
о Тонкая или незаметная стенка без интрамуральных узелков
о Четкая задняя стенка
о Заднее акустическое усиление
о Часто расположены субкапсулярно и могут выпячивать край печени
о Не пересекает сегменты печени
о Не сообщаются между собой или с желчными протоками
о Содержимое или стенки не имеют сосудов, но могут искажать ход прилежащих сосудов
о Могут иметь эхогенное содержимое или перегородки после кровоизлияния или инфицирования
• Поликистозная болезнь печени:
о Может наблюдаться сопутствующая аутосомно-доминантная поликистозная болезнь почек:
- Может облегчить диагностику поликистозной болезни печени
- Также, могут обнаруживаться кисты в поджелудочной железе, но реже
о Отдельные кисты выглядят идентично простым кистам печени о Количество кист увеличивается с возрастом
о Когда кист много, и они имеют разный размер, архитектоника печени нарушается, облегчая постановку диагноза
о Некоторые кисты могут осложняться кровоизлиянием:
- Становятся гиперэхогенными или содержат взвесь/перегородки
• Пиогенный абсцесс печени:
о Анэхогенный (50%), гиперэхогенный (25%), гипоэхогенный (25%)
о Небольшие абсцессы или микроабсцессы имитируют мелкие кисты:
- Крупные образования могут содержать эхогенную взвесь
о Различные по форме с тонкими или толстыми стенками
о Границы от четко определяемых до нечетких
о Тенденция к образованию кластеров:
- Группы мелких пиогенных абсцессов сливается в одну большую полость
о Могут вызывать отек прилежащей паренхимы печени:
- Проявляется снижением эхогенности и нечеткой эхокартиной ± изменением сосудистого рисунка
- Сосуды могут быть визуализированы только на участках с толстыми стенками
о Диагноз устанавливается на основании сочетания клинических и ультрасонографических признаков
• Свежее кровоизлияние в печень:
о Может быть вызвано прямой травмой, коагулопатией, операцией/биопсией
о Первоначально травматическая гематома обычно гиперэхогенная:
- Становится анэхогенной через несколько дней
- Может иметь ложную стенку из сдавленной паренхимы печени
о Контур может быть гладким или неровным
о Может произойти вторичное кровоизлияние в уже существующее образование:
- Аденома, печеночноклеточный рак, метастазы и др.
- Обычно не бывает полностью анэхогенным
• Билома:
о Почти всегда развивается после травмы:
- Сложно дифференцировать от травматической гематомы:
В гематомах со временем образуются включения, перегородки
Биломы остаются анэхогенными
о Круглая или овальная форма
о Содержащаяся внутри анэхогенная жидкость может давать заднее акустическое усиление:
- Предполагает свежую билому
о Тонкая стенка обычно не визуализируется о Крупные поражения могут сдавливать прилежащие структуры /паренхиму и искажать контур/архитектонику печени
о Сообщаются с желчевыводящей системой
о Васкуляризация в образовании отсутствует
• Сосуды:
о Ветви воротной вены: венэктазия, варикоз, развитие коллатералей при портальной гипертензии
о Печеночные вены: венэктазия, синдром Бадда-Киари и т. д.
о Печеночные артерии: аневризмы, шунты, мальформации сосудов
о Использование цветовой допплерографии:
- Для подтверждения сосудистой природы и определения типа сосуда
• Билиарная цистаденома/цистаденокарцинома:
о Четко отграниченное, многокамерное, анэхогенное или гипоэхогенное образование
о Гиперэхогенные перегородки
о Могут отмечаться эхосигналы от внутреннего содержимого: неоднородной жидкости, кальцификатов, узлов в слизистой/перегородке:
- Чаще всего встречается при билиарной цистаденокарциноме
о Цветовая допплерография: перегородки васкуляризированы
о Чаще всего наблюдается у женщин среднего возраста
• Эхинококковая киста печени:
о Может быть одиночной или множественной
о Крупное, четко отграниченное кистозное образование в печени с множественными дочерними кистами на периферии
о Имеет вид «кисты внутри кисты»
о Флотирующая мембрана внутри кисты
о Многослойность стенки кисты помогает поставить диагноз:
- Толстая стенка снижает выраженность заднего акустического усиления
• Кисты ворот печени (перибилиарные кисты):
о Четко отграниченные кистозные образования круглой/овальной/трубчатой формы вдоль портальных триад
о Обычно множественные: сливные или дискретно расположенные очаги
о Тонкие и гладкие стенки без видимых включений
о Размер варьирует от 2 мм до 2 см
о Не сообщается с желчевыводящей системой
• Билиарная гамартома:
о Множественные мелкие гипо-/гиперэхогенные очаги равномерно распределенные по всей печени:
- Эхотекстура печени становится неоднородной и крупнозернистой
о Очаги часто сопровождаются артефактами по типу «хвост кометы»
о Обычно мелкие очаги выглядят гиперэхогенными, тогда как более крупные имеют вид кистозных образований
- Размеры гиперэхогенных очагов при УЗ исследовании больше ожидаемых
- Мелкие очаги слишком малы и не визуализируются при УЗИ
о Цветовая допплерография: с гиперэхогенными очагами может быть ассоциирован артефакт «мерцания»
• Билиарная цистаденома/цистаденокарцинома:
о Ан- или гипоэхогенное многоочаговое образование с четкими границами
о Гиперэхогенные перегородки
о Может отмечаться гиперэхогенное внутреннее содержимое (жидкость с содержимым, кальцификации, узлы в стенках/перегородках):
- Обычно более свойственно для билиарной цистаденокарциномы
о Цветовая допплерография: васкуляризация перегородок
о Чаще всего наблюдается у женщин среднего возраста
• Эхинококковая киста печени:
о Может быть одиночной или множественной
о Крупное кистозное образование печени с четкими границами с множественными дочерними кистами по периферии
о Вид «кисты в кисте»
о Флотирующая мембрана внутри кисты
о Многослойная стенка кисты является диагностическим признаком:
- Утолщенные стенки уменьшают эффект заднего акустического усиления
• Кисты ворот печени (перибилиарные кисты):
о Кистозные образования с четкими границами круглой/овальной/трубчатой формы, расположенные вдоль портальных триад
о Обычно множественные: дискретное или конфлюэнтное расположение
о Гладкие и тонкие стенки без внутристеночных образований
о Размеры варьируют от 2 мм до 2 см
о Отсутствует связь с желчевыводящей системой
• Билиарная гамартома:
о Множественные небольшие гипо-/гиперэхогенные очаги равномерно распределенные по всей печени:
- Создают вид неоднородной и пестрой эхоструктуры паренхимы печени
о Множественные гиперэхогенные очаги часто ассоциированы с артефактом «хвост кометы»
о Обычно небольшие очаги выглядят гиперэхогенными, в то время как крупные очаги имеют вид кистозного образования:
- Уровень эхогенности очагов при УЗИ обычно выше, чем предполагалось
- Некоторые очаги слишком мелкие и не визуализируются при УЗИ
о Цветовая допплерография: с гиперэхогенными очагами может быть ассоциирован артефакт мерцания
• Амебный абсцесс:
о Имеет четкую демаркационную зону; круглое или овальное образование
о Гипоэхогенный; содержимое низкой эхогенности
о Могут наблюдаться узлы в стенках или перегородках
о Может наблюдаться заднее акустическое усиление
• Расширение желчных протоков:
о При сканировании в поперечной плоскости протоки могут имитировать анэхогенные образования
о Протоки имеют продолжительный анатомический ход:
- Сканирование в его продольной плоскости, в сочетании с прилежащими артериями/венами позволяют определить его природу
(Левый) Поперечный серошкальный УЗ срез печени. Визуализируется билиарная цистаденома, которая при УЗИ выглядит как сложная киста с множеством перегородок. Чаще всего билиарные цистаденомы наблюдаются у женщин среднего возраста.
(Правый) При поперечном трансабдоминальном ультразвуковом сканировании в левой доле печени визуализируется эхинококковая киста, содержащая множественные дочерние кисты на периферии, содержимое в центре неоднородное. Также наблюдается ассоциированное заднее акустическое усиление. (Левый) При цветовой допплерографии визуализируются перибилиарные кисты, прилежащие к воротной вене. Перибилиарные кисты не следует путать с расширенными желчными протоками, которые имеют более трубчатый и вытянутый вид.
(Правый) При серошкальном УЗИ печени визуализируются множественные мелкие, гиперэхогенные очаги с артефактом «хвост кометы», представляющие собой билиарные гамартомы. (Левый) При сагиттальном серошкальном УЗ срезе печени визуализируется крупный, четко отграниченный и инкапсулированный гипоэхогенный амебный абсцесс. Содержимое неоднородное из-за взвесив. Васкуляризация в абсцессе отсутствует.
(Правый) Поперечный трансабдоминальный УЗ срез у пациента с лимфомой. Визуализируются множественные вы ражен но гипоэхогенные очаги по всей сегментах правой доле печени, имеющих вид псевдокист. (Левый) Кистозный метастаз (метастазы рака шейки матки в печень). Образование имеет кистозную середину, а также гиперэхогенный ободок мягкой ткани и слоистые включения в нижней части образования.
(Правый) Косая трансабдоминальная цветовая допплерография у пациента с кистой печени, выстланной ресничным эпителием передней кишки. Визуализируется четко отграниченное, овоидное, субкапсулярное кистозное образование в IV сегменте печени. Внутреннее содержимое кистозного образования относительно однородно, васкуляризация отсутствует.
3. Менее распространенные заболевания:
• Лимфома печени:
о Неправильной или круглой/овальной формы
о ± заднее акустическое усиление, вид псевдокисты
о Внепеченочные признаки, такие как лимфаденопатия, спленомегалия (± инфильтрация селезенки)
• Метастатическая болезнь печени:
о Анэхогенные метастазы в ткани печени:
- Предположительно низкая степень дифференцировки и высокая степень злокачественности
о Заднее акустическое усиление обычно не наблюдается
о Может содержать включения, узлы в стенках и/или толстые перегородки
о Может иметь неровные края и контур
о Стенки васкуляризированы
• Киста выстланная ресничным эпителием передней кишки:
о Одиночная субкапсулярная простая киста, расположенная в сегменте 4а
• Болезнь Кароли:
о Симптом точки в центре: ветви воротной вены внутри расширенных внутрипеченочных желчных протоков при цветовой допплерографии
4. Технические особенности:
• Важно убедиться, что настройки усиления корректны
• В качестве внутренних ориентиров для настройки усиления можно использовать желчный пузырь или нижнюю полую вену
о В норме эти анатомические структуры должны быть анэхоген-ными
в) Список использованной литературы:
1. Corvino A et al: Contrast-Enhanced Ultrasound in the Characterization of Complex Cystic Focal Liver Lesions. Ultrasound Med Biol. ePub, 2015
2. Borhani AA et al: Cystic hepatic lesions: a review and an algorithmic approach. AJR Am J Roentgenol. 203(6):1192-204, 2014
3. Lantinga MA et al: Evaluation of hepatic cystic lesions. World J Gastroenterol. 19(23):3543-54, 2013
4. Vachha В et al: Cystic lesions of the liver. AJR Am J Roentgenol. 196(4):W355-66, 2011
Лучевая диагностика кисты печени
а) Терминология:
1. Синонимы:
• Билиарная киста, печеночная киста
2. Определения:
• Доброкачественное, врожденное или приобретенное образование, заполненное жидкостью, стенка которого выстлана эндотелием желчных протоков
б) Визуализация:
1. Общая характеристика:
• Ключевой диагностический признак:
о Анэхогенное образование с задним акустическим усилением, хорошо различимой задней стенкой и без васкуляризации
• Локализация:
о Могут располагаться в любом сегменте печени
• Размеры:
о Варьируют от нескольких мм до 10 см
• Морфология:
о Могут быть однокамерными или многокамерными с едва заметными перегородками
о Заполнены анэхогенной жидкостью
о Иногда осложняются кровотечениями
• Ключевые моменты:
о Действующая теория: истинные кисты печени образуются из гамартомной ткани
о Распространенное доброкачественное образование в печени, встречается у 2-7% популяции
о Врожденная или приобретенная: простая печеночная киста или киста желчного протока:
- Единичная или множественные
- Не сообщается с желчными протоками
- Чаще встречается у женщин
- Чаще всего бессимптомная
о Когда количество кист > 10, необходимо заподозрить фиброполикистозные болезни:
- Аутосомно-доминантная поликистозная болезнь печени (АДПБП) (количество > 20 кист является диагностическим признаком для АДПБП)
- Аутосомно-доминантная поликистозная болезнь почек
- Гамартомы желчных протоков
о Приобретенные кистоподобные поражения печени:
- Травма (серома или билома)
- Инфекция: гнойная или паразитарная
- Новообразования: первичные или метастатические
2. УЗИ при кисте печени:
• Серошкальное ультразвуковое исследование:
о Неосложненная простая киста:
- Круглая и анэхогенная
- Четко различимая задняя стенка
- Заднее акустическое усиление
- Гладкие или дольчатые границы
- Тонкие или неразличимые стенки
- Перегородки отсутствуют или едва различимы
- Узлы или кальцификация стенок отсутствуют
- Не пересекает сегменты
- Прилежащая паренхима печени не изменена о Геморрагическая или инфицированная киста:
- Внутренне содержимое (сгустки крови или нити фибрина) могут образовывать слой или быть рассредоточенными в пределах кисты
- Образование перегородок/утолщение стенок
- ± кальцификация
о Аутосомно-доминантная поликистозная болезнь печени:
- Множественные (> 10) размерами 1-10 см
- Анэхогенные или с различными включениями, возникшими из-за кровоизлияния или инфицирования
- Стенки некоторых кист кальцинированы
- Могут присутствовать едва различимые перегородки
- Часто в печени число кист настолько велико, что из не удается сосчитать
- В тяжелых случаях сохраняется лишь небольшое количество паренхимы печени; сегментарное строение печени и ее нормальная форма перестают прослеживаться
- Осмотрите почки на предмет поликистозной болезни почек
• Цветовая допплерография:
о Прилежащие сосуды могут сдавливаться крупными кистами
о Внутренняя васкуляризация отсутствует

(Левый) Поперечный и продольный серошкальные ультразвуковые срезы печени. Визуализируется киста с едва различимой перегородкой.
(Правый) Поперечный серошкальный ультразвуковой срез печени высокого разрешения. Визуализируется небольшая киста под капсулой печени с хорошо различимой задней стенкой.
3. КТ при кисте печени:
• КТ без контрастирования:
о Простая киста печени или желчных протоков:
- Четко определяемые границы с гладкими, тонкими стенками
- Плотность воды (от -10 до +10 HU)
- Перегородки отсутствуют или едва различимы, обычно до двух, тонкие
- Отсутствуют уровни жидкость/включения или кальцификация стенки
о Если киста осложняется кровоизлиянием, слои включений могут быть гиперденсивными или образование может имитировать опухоль
• КТ с контрастированием:
о Простая киста печени или АДПБП:
- Неосложненные или осложненные (инфицированные): нет контрастного усиления
4. МРТ при кисте печени:
• Простая киста печени или АДПБП:
о Т1-взвешенное изображение: гипоинтенсивная
о Т2-взвешенное изображение: гиперинтенсивная:
- Выраженное увеличение интенсивности сигнала из-за чисто жидкостного содержимого
- Иногда неотличима от типичной гемангиомы
о Магнитно-резонансная холангиопанкреатография (МРХПГ): не сообщается с желчными протоками:
• Осложненная (геморрагическая) киста
о Т1- и Т2-взвешенные изображения:
- Вариабельная интенсивность сигнала (из-за смеси производных крови)
- ± уровень жидкости
• Т1-взвешенное изображение С+: нет усиления
5. Рекомендации по визуализации:
• Лучший метод визуализации:
о Ультрасонография
о В некоторых случаях образования, обнаруженные при КТ или МРТ, не удается идентифицировать; ультразвуковое исследование может помочь установить кистозных характер этих образований

(Левый) Поперечный серошкальный ультразвуковой срез печени. Визуализируются множественные кисты по всей печени у пациента с поликистозной болезнью печени.
(Правый) Поперечный ультразвуковой срез печени с цветовой допплерографией доказывает, что множественные кисты печени не имеют внутренней васкуляризации.
в) Дифференциальная диагностика кисты печени:
1. Кистозные или некротические метастазы:
• Нет заднего акустического усиления
• Включения, узлы в стенках или толстые перегородки
• Васкуляризированные стенки
2. Абсцесс:
• Сложносоставное содержимое с включениями
• Толстые или тонкие множественные перегородки
• Узлы и васкуляризация в стенках
• Прилегающая паренхима может быть неоднородной и гипоэхогенной
3. Эхинококковая (гидатидная) киста:
• Большое, кистозное образование в печени с четкими границами и большим количеством дочерних кист на периферии
• Вид кисты в кисте
• Однокамерная, многокамерная, с множеством перегородок, гетерогенная
• С плавающей мембраной и дочерними кистами внутри
• ± кальцификация и расширение желчных протоков
4. Билиарная цистаденома/цистаденокарцинома:
• Кистозное образование с множеством перегородок; утолщенные или васкуляризированные перегородки
• Чаще встречается у женщин
• Может отмечаться точечная кальцификация стенки или перегородки
• Узелки в стенке или папиллярные разрастания с васкуляризацией предполагают цистаденокарциному
• Желчные протоки могут быть расширены
5. Билома:
• Скопление желчи, обычно связанное с повреждением билиарного тракта
• Обычно присутствуют симптомы

(Левый) Продольный косой ультразвуковой срез печени. Визуализируется осложненная киста печени с осевшими постгеморрагическими включениями.
(Правый) MPT, Т2 FS, аксиальная проекция, тот же пациент. Слой со сниженной интенсивностью сигнала в осложненной кисте соответствует постгеморрагическим включениям.
г) Патология кисты печени:
1. Общая характеристика:
• Этиология:
о Врожденная простая киста печени:
- Дефект в развитии внутрипеченочной желчевыводящей системы
• Ассоциированные состояния:
о АДПБП:
- У 50% также присутствует поликистозная болезнь почек; М:Ж = 1:2
- Множественные кисты в печени различного размера
о Поликистозная болезнь почек: у 83% отмечаются кисты в печени
о Туберозный склероз
2. Макроскопические и хирургические особенности:
• Стенка кисты: толщиной
3. Микроскопия:
• Одиночная однокамерная киста с серозным содержимым
• Отграничена однослойным кубическим эпителием желчных протоков
• Окружена тонкой фиброзной капсулой
д) Клинические особенности:
1. Проявления кисты печени:
• Наиболее распространенные признаки/симптомы:
о Неосложненная одиночная киста и АДПБП:
- Обычно протекают бессимптомно, выявляются случайно
о Осложненная киста: боль и/или лихорадка
о Крупные кисты могут вызывать симптомы, связанные со сдавливанием окружающих структур:
- Боли в животе (вызванные растяжением капсулы), желтуха (при сдавливании желчных протоков), пальпируемое образование
о У пациентов с прогрессирующей АДПБП могут развиться:
- Гепатомегалия, печеночная недостаточность, синдром Бадда-Киари
• Клинический профиль:
о Пациент без симптомов; простая киста печени является случайной находкой при обследовании печени
о Пациенты с большими кистами печени, сдавливающими окружающие структуры: ↑ уровня прямого билирубина
о Пациенты с прогрессирующей АДПБП: ↑ уровней функциональных проб печени
2. Демография:
• Возраст:
о Любая возрастная группа (обычно выявляются случайно на 5-7 декаде жизни)
о Может медленно увеличиваться в размерах
• Пол:
о М:Ж=1:5
• Эпидемиология:
о По некоторым данным встречается у 2,5% населения
о Заболеваемость: при аутопсии обнаруживается в 1-14% случаев
3. Течение и прогноз:
• Осложнения:
о Кровоизлияния, инфицирование или разрыв
о Крупные кисты: сдавливание внутрипеченочных желчных протоков и желтуха
• Прогноз:
о Крупные и мелкие кисты печени: хороший прогноз
о Прогрессирующая АДПБП: хороший прогноз
4. Лечение кисты печени:
• Бессимптомные простые кисты печени и АДПБП:
о Лечение не требуется
• Крупные, вызывающие симптомы, инфицированные кисты печени:
о Чрескожная аспирация и склерозирование алкоголем
о Хирургическое удаление или марсупиализация
• Прогрессирующая АДПБП:
о Частичная резекция печени, трансплантация печени
е) Диагностическая памятка:
1. Следует учесть:
• Исключите кистоподобные образования в печени, вызванные инфекцией, новообразованиями или травмой
2. Основные диагностические критерии:
• Анэхогенные, тонкие стенки, заднее акустическое усиление
• Отсутствует васкуляризация стенок или внутренняя васкуляризация
• Содержащиеся включения могут оседать под воздействием гравитации, их положение может зависеть от положения пациента
• При множественных кистах, осмотрите почки чтобы исключить поликистозную болезнь почек
Доброкачественные опухоли и кисты печени - клиника, диагностика, современные методы хирургического лечения
В большинстве своем доброкачественные опухоли (ДОП)- клинически малосимптомные или бессимптомные новообразования печени, исходящие либо из эпителиальной ткани (гепатоцеллюлярная аденома и др.), либо из стромальных и сосудистых элементов.
Распространение заболевания.

Пучков К.В., Баков В.С., Иванов В.В. Симультанные лапароскопические оперативные вмешательства в хирургии и гинекологии: Монография. - М.: ИД МЕДПРАКТИКА, 2005. - 168 с.

Пучков К.В., Иванов В.В. и др. Технология дозированного лигирующего электротермического воздействия на этапах лапароскопических операций: монография. - М.: ИД МЕДПРАКТИКА, 2005. - 176 с.
Данные по эпидемиологии ДОП очень скудны. Достаточно четкие сведения имеются лишь в отношении наиболее частой из доброкачественных новообразований печени - гемангиомы. Эти опухоли встречаются у 1-3% населения, чаще у женщин. Примерно у 1% населения встречаются непаразитарные кисты печени. Остальные виды доброкачественных новообразований печени обнаруживаются существенно реже.
Классификация доброкачественных опухолей печени
К доброкачественным опухолям печени относятся гемангиомы, лимфангиомы, фибромы, липомы и смешанные опухоли - гамартомы (тератомы). Логично отнести к доброкачественным новообразованиям печени также и непаразитарные кисты. Среди них выделяют истинные кисты (дермоидные, ретенционные цистаденомы) и поликистоз печени (более чем у половины больных он сочетается с кистозными изменениями других органов- почек, поджелудочной железы, яичников). Нередко наблюдаются также ложные кисты (травматические, воспалительные). Истинные кисты, как правило, одиночные; ложные могут быть как одиночными, так и множественными. Объем множественных кист обычно составляет несколько миллилитров, в то время как объем солитарных (истинных и ложных) кист может достигать 1000 мл и более.
Диагностика доброкачественных образований печени
Общими для ДОП являются два важных признака: 1) отсутствие повышения концентраций альфа-фетопротеина, карциноэмбрионального антигена СА - 199 сыворотки крови; 2) отсутствие отчетливого повышения активности аспарагиновой и аланиновой аминотрансфераз (АсАТ и АлАТ), щелочной фосфатазы (ЩФ), гамма- глутамилтрансферазы (ГГТФ) и лактатдегидрогеназы (ЛДГ).
Эти признаки надежны только в случаях отсутствия хронических или острых диффузных заболеваний печени, которые сами по себе могут вызывать изменения вышеприведенных тестов. Существенную помощь оказывает использование УЗИ и КТ (или ЯМР) с болюсным контрастированием, обладающие высокой разрешающей способностью.
Киста печени
Дифференциальная диагностика ДОП обычно начинается с исключения кист. Чаще встречаются непаразитарные кисты. Учитывается возможность поликистозной болезни, а также солитарных и множественных истинных и ложных кист печени.
Большинство кист небольшие (диаметром 1-5 см), чаще встречаются у женщин. Значительная часть их имеет бессимптомное течение. У ряда больных отмечаются боли в правом подреберье, у одних - постоянные, у других - периодические. Существенную помощь оказывает использование УЗИ и КТ (или ЯМР), обладающие высокой разрешающей способностью. Необходимо учитывать возможность поликистоза печени.
Дифференциальная диагностика простых кист проводится также с паразитарными кистами печени (эхинококкоз). В пользу последних говорят положительные реакции с эхинококковым антигеном и Кацони, а также обнаружение в зоне опухолевидного образования обызвествлений, хотя и геменгиомы изредка могут обызвествлятся.
Киста печени лечение
Часть непаразитарных кист печени лечению также подлежит оперативному, в связи с реальной возможностью их разрыва, инфицирования и кровоизлияния в просвет кисты. Кроме того, быстро растущие крупные кисты приводят к нарушению функций печени вследствие атрофии и замещения печеночной паренхимы кистозным образованием. Среди операций наиболее часто используют резекцию печени, перицистэктомию и вылущивание кисты.
В последние годы широкое распространение получили транспариетальные пункции кист под контролем УЗИ или КТ. После аспирации содержимого в просвет кисты вводят 96*раствор этилового спирта для склерозирования внутренней оболочки кисты. Эта операция эффективна при размере кисты до 5 см. Если нет эффекта от данных способов лечения или киста имеет больший размер, показана операция - лапароскопическое иссечение участка кисты с последующей деэпителизацией внутренней оболочки кисты аргонусиленной плазмой или расфокусированным лучом лазера. Аналогичная тактика используется и при поликистозе печени. При осложненном поликистозе печени (нагноение, кровотечение, озлокачествление, сдавление крупными кистами желчных путей, воротной или полой вены) показано оперативное лечение. Обычно выполняют фенестрацию (вскрытие выступающих над поверхностью печени кист) с последующей деэпителизацией внутренней оболочки кисты.
Посмотреть видео операций при кистах печени в исполнении профессора Вы можете на сайте "Видео операций лучших хирургов мира".
Гепатоцеллюлярная аденома
Клинически это малосимптомная доброкачественная опухоль печени, имеющая признаки аденомы, развивающейся из гепатоцитов, нередко отграничена капсулой. Чаще поражает женщин, обычно в связи с длительным приемом эстрогенпрогестативных противозачаточных средств. Реже возникает при длительном приеме анаболических стероидов. Аденома развивается достаточно редко: у 3-4 человек на 100 000 длительно пользующихся контрацептивами.
Как правило (90%), она бывает одиночной. Обнаруживается чаще в правой доле, субкапсулярно. Если располагается в передненижних отделах, то пальпируется в виде гладкого неплотного образования. Более «агрессивным» течением отличаются аденомы, развившиеся на фоне приема анаболических стероидов. Изредка наблюдаются осложнения в виде интраперитонеальных кровотечений. Очень редко аденома перерождается в злокачественную опухоль.
Очаговая (фокальная) узелковая гиперплазия
Клинически это малосимптомная доброкачественная опухоль, не имеющая капсулы. Центральная часть опухоли представлена рубцовой соединительной тканью, а периферическая - узелково трансформированной гепатоцеллюлярной тканью. Чаще расположена субкапсулярно. Нередко в опухоли наблюдаются очаги некроза и кровоизлияний. Как правило, развивается не в цирротически измененной печени, поэтому иногда именуется «фокальным циррозом». Обычно бывает одиночной. Это редкое доброкачественное новообразование печени, наблюдается преимущественно у женщин, принимающих пероральные противозачаточные средства.
Узелковая регенераторная гиперплазия
Эта опухоль напоминает очаговую узелковую гиперплазию печени, а иногда и сочетается с ней. В отличие от последней существенно меньше представлены элементы соединительной ткани. Может рассматриваться как предстадия гепатоцеллюлярной карциномы. Иногда при росте клеточных элементов этой опухоли происходит сдавление крупных желчных протоков или крупных ветвей воротной вены. Как правило, выявляется не в цирротически измененной печени. Иногда развивается на фоне злокачественных заболеваний внепеченочной локализации (миелопролиферативные процессы, саркомы и др.).
Все эти виды ДОП- малосимптомные заболевания, в большинстве случаев их обнаружение можно отнести к случайным находкам. Печень у большинства таких больных не увеличена.
Радионуклидная сцинтиграфия обычно выявляет очаговый процесс размером 3-5 см. Если опухоль расположена в краевых зонах печени, то могут выявляться образования и меньших размеров.
Близкие к этим данным бывают получены при УЗИ и КТ, а также с помощью селективной ангиографии и ядерно-магнитного резонанса (ЯМР). Поэтому значительная часть опухолей небольших размеров просматривается. Уточнить характер этих трех видов опухолей позволяют лишь морфологические методы. Материал для этих исследований обычно получают при помощи пункционной биопсии иглами Шиба под контролем УЗИ или КТ.
Больные гепатоциллюлярной аденомой, очаговой (фокальной) узелковой гиперплазией и узелковой регенераторной гиперплазией печени в лекарственном лечении не нуждаются. Хирургическое лечение применяется нечасто. Показанием к нему являются либо сдавление желчных путей или кровеносных сосудов, либо появление болей. Операция проводится при развитии любого осложнения и быстром росте опухоли.
Методы вторичной профилактики и система наблюдения сводятся к следующему. Запрещается прием пероральных противозачаточных средств, эстрогенов, анаболических стероидов. Не рекомендуется работа, связанная с производством винилхлорида. Нежелателен прием фенобарбитала и зиксорина. Рекомендуется воздержание от алкоголя.
При впервые обнаруженной опухоли обследования проводятся 3-6-9-12 месяцев и далее 1 раз в год. Кроме обычного осмотра с определением размеров печени по Курлову, выполняются исследования содержания билирубина, активности аминотрансфераз, ЩФ, ГГТФ, альфа-фетопротеина, карциноэмбрионального антигена и антигена СА 19-9. Проводится также УЗИ печени.
Гемангиома
Клинически это малосимптомная доброкачественная опухоль, происходящая из сосудистых, главным образом венозных элементов печени. Относится к наиболее часто встречающемуся виду ДОП.
Она представлена двумя вариантами: кавернома, представляющая собой как бы расширенные кровеносные сосуды, и истинная гемангиома, развивающаяся из сосудистой эмбриональной ткани. Располагается чаще субкапсулярно, в правой доле, нередко обладает ножкой. Часто покрыта фиброзной капсулой, которая может кальцинироваться.
Спонтанные разрывы очень редки, но жизнеопасны. Четкие клинические проявления наблюдаются лишь в 5-10% опухолей. Как правило, в этих случаях диаметр опухоли превышает 5 см.
Во многих случаях обнаружение гемангиомы, как и других ДОП, относится к случайным находкам. При больших размерах и соответствующей локализации иногда появляются симптомы сдавления желчевыводящих путей или, реже, симптомы портальной гипертензии. Иногда больной обращается к врачу в связи с болями в верхней половине живота.
Важную информацию дают инструментальные исследования. Радионуклидная сцинтиграфия печени выполняется, как обычно, при подозрении на объемный процесс в печени в двух проекциях. Благодаря этому методу, как правило, можно обнаружить опухоль диаметром 4-5 см. При гемангиомах диаметром 4-5 см и более опухоль выявляется у 70-80% обследованных. УЗИ при наличии гемангиомы позволяет выявить гиперэхогенное, хорошо очерченное образование. Подобную же информацию представляет ЯМР. Нередко, особенно в менее массивной левой доле, отчетливо видна сосудистая ножка. Гемангиомы диаметром 3-5 см и более выявляются при УЗИ у 70-80% обследованных. Иногда отмечаются в гемангиомах участки обызвествления.
КТ позволяет получить данные, близкие к результатам УЗИ, хотя нередко приносит и существенную дополнительную диагностическую информацию. Эта дополнительная информация в первую очередь касается состояния окружающих тканей и органов. Целиакография при распознавании гемангиом позволяет получить наиболее точные данные. Обычно хорошо видны гиперваскуляризованные участки с четкими границами, позволяющие обнаружить гемангиому диаметром 2-3 см и более у 80-85% обследованных.
Непрямая радионуклидная ангиография, выполняемая с помощью гамма-камеры, приносит близкие, но менее точные по сравнению с целиакографией, результаты. Существенную информацию приносит нередко ЯМР.
При постановке диагноза - гемангиома исключаются злокачественные опухоли печени. В последние годы объектом дифференциальной диагностики все чаще становится своеобразная очаговая жировая дистрофия печени, особенно в тех случаях, когда на фоне очаговой жировой дистрофии встречаются округлые участки интактной печени. Эти участки имеют разную с жировой дистрофией плотность, и эта разница достаточно четко регистрируется при УЗИ и КТ. Эти псевдоопухолевые образования обычно не видны при радионуклидной сцинтиграфии печени. Однако этот дифференциально-диагностический признак не очень надежен. Решающую роль в выявлении очаговых жировых дистрофий играет прицельная биопсия печени.
Лечение гемангиом печени. При гемангиомах небольших размеров без тенденции к росту в медикаментозном и хирургическом лечении пациенты, как правило, не нуждаются. При крупных опухолях, сдавливающих желчные ходы или сосуды, появляются показания к резекции соответствующих сегментов печени. Чаще это правило касается гемангиом диаметром более 5 см.
Лимфангиомы печени встречаются крайне редко, по клинической картине они трудноотличимы от гемангиом. Подозрение на лимфангиому возникает лишь при наличии внепеченочного расположения опухоли в средостении и на шее.
Крайне редко встречаются фибромы, миксомы, липомы, невриномы печени, которым присущи черты доброкачественных опухолей: медленное развитие, четкие границы, нормальная СОЭ. Отсутствие маркеров опухолей и повышения активности таких ферментов сыворотки крови, как АсАТ, АлАТ, ЩФ, ГГТП, ЛДГ.
Лечебная тактика аналогична таковой при гемангиомах.
Методы вторичной профилактики и система наблюдения в основном такие же, как и при описанных выше доброкачественных опухолях. При всех видах ДОП запрещаются лекарственные препараты типа пероральных противозачаточных средств, анаболических стероидов. Нежелателен прием препаратов типа фенобарбитала и зиксорина. Не рекомендуется работа, связанная с производством винилхлорида.
Все больные ДОП нуждаются в постоянном врачебном наблюдении. При впервые обнаруженной опухоли обследования проводят через 3-6-9-12 месяцев и далее- 1 раз в год. Крома обычного осмотра с определением размеров печени по Курлову, выполняют исследования содержания билирубина, определив активность АлАТ, АсАТ, ЩФ, ГГТФ, ГДГ и ЛДГ, альфа-фетопротеина и канцероэмбрионального антигена.
Гепатоцеллюлярная карцинома (ГЦК)
ГЦК - это злокачественная опухоль, развивающаяся из гепатоцитов. Относится к первичным карциномам печени. У 60-80% больных она связана с персистированием вирусов гепатита В и С, у 70-85% больных в развитых странах ГЦК развивается на фоне цирроза печени. В мире ежегодно умирают от ГЦК около 750 000 человек.
В основном предложены морфологические классификации ГЦК. Наиболее распространено деление ГЦК на узловую, массивную и диффузную формы. Используется также система TNM. Нами разработана классификация (1988), включающая основные клинические варианты заболевания: гепатомегалический (охватывает около 50% больных), кистозный (3-5%), циррозоподобный (около 25%), гепатонекротический, или абсцессовидный (6-10%), иктерообтурационный (6-10%), маскированный(6-10%).
Некоторые исследователи более высоко оценивают данные УЗИ. А. Maringhini и соавт. (1988) при обследовании 124 больных ГЦК обнаружили у 47 из них гиперэхогенные участки, у 30- гипоэхогенные и у 47- смешанные. Чувствительность УЗИ, по данным авторов, составила 90%, специфичность- 93,3%.
Как сообщает J. C. Ellis (1988), опухоли диаметром менее 2 см трудно отличить от гемангиом, солитарных регенераторных узелков и аденом. Особенно трудна диагностика опухолей, расположенных непосредственно под диафрагмой, в верхнелатеральном отделе правой доли.
КТ дает примерно те же результаты, что и УЗИ, иногда несколько более высокие. Однако выявление опухолей небольших размеров (диаметром 2-4 см), особенно на фоне цирроза, представляет большие трудности. J. M. Henderson и соавт. (1988) при КТ-обследовании у 15 из 100 больных циррозом печени выявили аномалии очагового характера, подозрительные на ГЦК.
Лечение гепатоцеллюлярной карциномы.
Во всех случаях, когда это возможно, производится хирургическое лечение опухолей. Чаще резекция выполнима при опухолях левой доли. Отдаленные результаты хирургического лечения малоутешительны. В связи с этим контрольные обследования больных после резекций рекомендуется делать каждые 3 мес.
У сравнительно небольшой части больных осуществляется пересадка печени. Она выполняется у лиц моложе 60 лет, при отсутствии метастазов и тяжелых внепеченочных заболеваний. Отдаленные результаты неблагоприятные.
При невозможности хирургического лечения у части больных проводится химиотерапия.
Метастатическая карцинома печени (МКП)
Первичный очаг МКП расположен вне печени - в легком, желудке, толстой кишке и других органах. Относится к вторичным опухолям печени.
Частота метастазирования опухолей различной первичной локализации в печень различна.
Опухоли желчного пузыря метастазируют в печень в 75% случаев, поджелудочной железы - в 70%, толстой кишки, молочной железы, яичников, а также меланобластомы - в 50%, желудка и легких- в 40%. Однако сами первичные опухоли встречаются с различной частотой. Поэтому врач наблюдает наиболее часто метастазы в печени, исходящие из толстой кишки, желудка и легких, а у женщин - также из молочной железы и яичников.
Для подтверждения или исключения метастатического характера злокачественной опухоли печени проводится тщательное обследование ряда органов. При некоторых локализациях это имеет особенно важное значение.
В план обследования включают:
- исследование сыворотки крови (АПФ, карциноэмбриональный антиген, антиген СА - 199, кислая фосфотаза);
- рентгенографию грудной клетки;
- гастроскопию;
- колоноскопию или ректороманоскопию в сочетании с ирригоскопией;
- УЗИ поджелудочной железы, почек, яичников, предстательной железы;
- осмотр молочных желез и маммографию у женщин;
- консультация гинеколога и уролога.
Особое внимание уделяется возможности первичной локализации опухоли в толстой кишке, в предстательной железе (у мужчин) и в яичниках (у женщин), так как метастазы этих локализаций представляются у части больных относительно курабельными.
Читайте также:
- Ложная кишечная непроходимость на УЗИ. УЗИ диагностика лихорадки неясного генеза.
- Куриная слепота. Симптомы и меры профилактики
- Симптомы полипов в носу и их лечение
- Нарушение слуха при врожденной фиксации основания стремени и истечения перилимфы
- Клиника миокардиодистрофий. Лечение миокардиодистрофий
