Диффузное альвеолярное кровотечение
Добавил пользователь Евгений Кузнецов Обновлено: 22.11.2025
Физиология:
Популярные разделы сайта:
Диффузное альвеолярное кровотечение. Диагностика, лечение
Повреждение альвеолярно-капиллярной базальной мембраны приводит к заполнению альвеолярных пространств кровью. Впоследствии развивается кровотечение в альвеолярное пространство, дающее толчок развитию ДАК — частого проявления ААСВ. Тем не менее необходимо дифференцировать его от геморрагического альвео-лита в рамках других заболеваний.
Выделяют 3 морфологические картины поражения:
• Легочный капиллярит, при котором стенки альвеол инфильтрированы клетками воспаления, локализованными в основном в капиллярных стенках.
• Мягкое легочное кровотечение, для которого характерно кровотечение в альвеолярное пространство без воспалительных изменений сосудов или альвеол.
• Диффузное повреждение альвеол — аналогичное обнаруживаемому при ОРДС — отек альвеол и гиалиноз их мембраны.
Клиническая картина диффузного альвеорлярного кровотечения:
• Симптомы ДАК неспецифичны.
• К частым проявлениям относят одышку, кашель и лихорадку.
• Кровохарканье возникает лишь у 2/3 пациентов.
• В анамнезе пациентов можно выделить данные, указывающие на один из диагнозов
• Рентгенологические признаки — диффузные легочные инфильтраты и симптом «матового стекла» при МСКТ.

• Если доступны исходные лабораторные данные, ДАК сопровождается снижением уровня гемоглобина.
• Если пациент способен выполнить исследование диффузионной способности легких для монооксида углерода (DLСО), результат будет повышен.
• При бронхоальвеолярном лаваже характерно затруднение тока лаважной жидкости (в отличие от эндобронхиального кровотечения).
• Следует выполнить такие исследования, как анализ мочи и серологические исследования на ANCA, антитела к базальной мембране клубочков, антинуклеарные и антифосфолипидные антитела, ревматоидный фактор, а также уровень комплемента и активность креатинфосфокиназы.
• Вопрос о проведении биопсии почки следует решать при подозрении на легочно-почечный синдром.
Лечение диффузного альвеорлярного кровотечения:
• В тяжелых случаях лечение не может быть отсрочено до получения результатов серологических тестов или морфологического исследования биоптата.
• Если инфекция и ДАК без капиллярита были исключены, в качестве иммуносупрессивной терапии следует назначить глюкокортикоиды (метилпреднизолон в дозе 1 г/сут в течение 3-5 дней) в сочетании с циклофосфамидом (в дозе 2 мг/кг в сутки).
• При нестабильном тяжелом течении заболевания, обусловленном системным аутоиммунным процессом, следует обсудить назначение плазмафереза.
• При массивном кровотечении достичь гемостаза можно путем применения концентрата фактора свертывания крови VII.
Прогноз диффузного альвеолярного кровотечения:
• Повторные эпизоды диффузного альвеолярного кровотечения могут привести к развитию фиброза легких, особенно у пациентов с микроскопическим полиангиитом, гранулематозом Вегенера, идиопатическим гемосидерозом и митральным стенозом.
• После диффузного альвеолярного кровотечения также могут развиваться обструктивные изменения.
Диффузное альвеолярное кровотечение
Женщина 51 года поступила в отделение неотложной помощи с жалобами на прогрессивно увеличивающиеся одышку и продуктивный кашель. В анамнезе носовое кровотечение и два эпизода кровохарканья. За последние полгода она неоднократно поступала в отделение неотложной помощи и в стационар с симптомами инфекции верхних дыхательных путей и умеренным синуситом, заложенностью носа, и однажды — с носовым кровотечением; кроме того, она обращалась к офтальмологу по поводу двухсторонней инъецированности склер и серозного отделяемого из глаз. За четыре дня до госпитализации был диагностирован склерит. Тем временем она вновь обратилась в клинику с высыпаниями на туловище и ногах, болезненным изъязвлением на губах, мигрирующией полиартралгией и отечностью пальцев рук.
Ранее у пациентки не было каких‑либо хронических заболеваний, также она сообщила, что не подвержена вредным привычкам и не принимает лекарства.
Высокий уровень гипоксии и дыхательной недостаточности стал причиной ее перевода в отделение интенсивной терапии. При осмотре отмечены: тахипноэ и вовлеченность дополнительной дыхательной мускулатуры в дыхательный акт, двухсторонняя инъецированность склер, расширенные сосуды слизистой носа с небольшим изъязвлением в правом носовом ходу, несколько пузырьков и язв на нижней губе (высыпания простого герпеса herpes simplex) и одна язва на правой нёбной дужке. При осмотре кожных покровов обнаружена пурпура в нижней части живота и на бедрах. Кроме того, у нее был симметричный билатеральный артрит метакарпальных и проксимальных межфаланговых суставов. При аускультации легких выявлены двухсторонние мелкопузырчатые влажные хрипы. Других отклонений при осмотре не обнаружено.
Тяжелую гипоксию (Po2 = 50 мм рт. ст. при Fio2 = 100 %) не удалось скорректировать вентиляцией легких с двухфазным положительным давлением, поэтому была проведена эндотрахеальная интубация.
По данным лабораторных исследований, у пациентки развилась микроцитарная анемия (Hb за месяц упал с 132 г/л до 104 г/л) с умеренным тромбоцитозом (600 000 на мкл), СОЭ была 100 мм/час. Зафиксирован умеренный подъем трансаминаз; азот мочевины крови и креатинин были в норме. В ОАМ — микрогематурия и массивная протеинурия (>3 г/л), цилиндров нет.
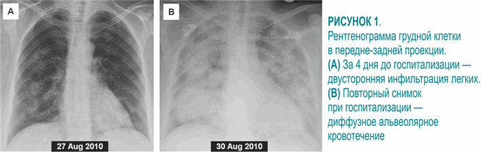
При амбулаторно проведенной рентгенографии грудной клетки за 4 дня до госпитализации выявлена двухсторонняя альвеолярная инфильтрация (рисунок 1А). Повторный снимок в отделении неотложной терапии показал существенное ухудшение, соответствующее диффузному альвеолярному кровотечению (рисунок 1B). Антинуклеарные антитела и ревматоидный фактор были отрицательными, антинейтрофильные цитоплазматические антитела с цитоплазматическим типом свечения (ц-АНЦА) — положительные, их уровень составил 59 ед/мл. АНЦА с перинуклеарным типом свечения (п-АНЦА) и антитела к базальной мембране клубочков отрицательны.
Важную роль в патогенезе васкулитов играют антинейтрофильные цитоплазматические антитела (AНЦА). При исследовании иммунофлюоресцентным методом в гpанулоцитах различают два типа флюоpесценции: классический цитоплазматический — ц-АНЦА, считающийся высокоспецифичным для гранулематоза Вегенера, и пеpинуклеаpный п-АНЦА — который обычно наблюдается при микроскопическом полиангиите, синдроме Чарджа-Стросса, но может также определяться при различных других, в основном аутоиммунных состояниях, таких как системная красная волчанка, ревматоидный артрит, пурпура Шенлейн-Геноха и хронические воспалительные заболевания кишечника.
М. В. Шумихина. Редкие заболевания в педиатрии, ассоциированные с легочно-почечным синдромом. Пульмонология детского возраста: проблемы и решения, вып. 7., М, 2007 год.
Анализ бронхоальвеолярного лаважа подтвердил альвеолярное кровотечение. Посев лаважа дал рост метициллин-резистентного золотистого стафилококка (Staphylococcus aureus), хотя двукратный посев крови был стерильным. Эндоскопия носовых ходов показала наличие некротически измененного участка слизистой на левой латеральной стенке и область небольшого изъязвления на носовой перегородке справа. Биопсия этих образований выявила только неспецифические признаки острого и хронического воспалительного процесса и подтвердила изъязвление и некроз.

Диффузное альвеолярное кровотечение — жизнеугрожающее состояние, которое чаще всего вызвано аутоиммунным капиляритом, инфекцией или побочным действием лекарственных препаратов [1]. В описанном случае у больной в течение месяца прогрессировала симптоматика мультисистемного поражения и нарастали СОЭ, анемия и тромбоцитоз, что очень характерно для системных васкулитов. Дифференциальный диагноз включал гранулематоз Вегенера (ГВ), микроскопический полиангиит, синдром Чарджа-Стросса и Гудпасчера (более характерный для мужчин), а также системную красную волчанку и, наименее вероятно, болезнь Бехчета [2].
Гранулематоз Вегенера — системный васкулит, поражающий сосуды среднего и малого калибра, при котором обнаруживают антинейтрофильные цитоплазматические антитела (АНЦА). Манифестирует заболевание чаще всего с поражения ЛОР-органов и верхних дыхательных путей, в дальнейшем страдают легкие и/или почки.
Совокупная клиническая картина: положительные ц-АНЦА и отрицательные п-АНЦА, ревматоидный фактор, антинуклеарные антитела и антитела к базальной мембране клубочков — определила диагноз — гранулематоз Вегенера [1, 2]. У пациентки присутствовали типичные симптомы манифестации ГВ: синусит (у 51 % заболевших), заложенность носа и носовое кровотечение (36 %), конъюнктивит с последующим эписклеритом (5 % и 6 % заболевших), выраженный артрит (32 %) и пурпура (13 %) [3].
Диффузное легочное кровотечение могло бы быть следствием септического васкулита [1], однако первичная бактериальная, вирусная или микозная пневмония не могли бы объяснить всех наблюдаемых у пациентки симптомов. Инфекция Herpes simplex и носительство Staphyloccocus aureus были связаны с обострением системного васкулита [3, 5].
Изредка диффузное легочное кровотечение может быть первым проявлением ГВ [2, 4]. На сегодняшний день описано около 40 подобных случаев [2]. Обычно при ГВ наблюдается тяжелое поражение почек, что служит самой частой причиной смерти пациентов [1–3], однако в описанном случае почечная функция оставалась сохранной. Массивная протеинурия и микрогематурия с большой вероятностью были вызваны гломерулонефритом, ассоциированным с ГВ, хотя характерных для этой патологии эритроцитарных цилиндров не было [4]. Результаты биопсии слизистой носовой полости не имели диагностической ценности, возможно, из‑за хронической воспалительной реакции в тканях.
Микроскопический полиангиит — системный некротизирующий васкулит, клинически и гистологически характеризующийся вовлечением мелких сосудов, протекающий без образования гранулем и ассоциированный с сегментарным некротизирующим гломерулонефритом.
Синдром Чарджа-Стросса — эозинофильное, гранулематозное воспаление респираторного тракта и некротизирующий васкулит, поражающий мелкие и средние сосуды, часто сочетающийся с астмой и эозинофилией.
Синдром Гудпасчера возникает в результате выработки организмом аутоантител, главным образом к базальным мембранам клубочковых капилляров почек и альвеол легких, и проявляется клиникой гломерулонефрита в сочетании с легочным кровотечением (кровохарканьем).
М. В. Шумихина Редкие заболевания в педиатрии, ассоциированные с легочно-почечным синдромом. Пульмонология детского возраста: проблемы и решения, вып. 7., М, 2007 год.
Высокие дозы кортикостероидов и циклофосфамида — это основа терапии васкулитов, устойчивость болезни к этому сочетанию встречается крайне редко. Обычно назначают внутривенно циклофосфамид (от 0,5 г/м2 до 1,0 г/м2) и пульс-терапию метилпреднизолоном (по 1 г внутривенно, 3 дня), затем переходят на пероральные стероиды в высокой дозировке. Курс циклофосфамида проводят повторно через четыре недели. В описанном случае к тому же на второй день начат пятидневный курс плазмафереза, поскольку в нескольких клиниках данная процедура успешно применялась при фульминантных состояниях, сопровождавшихся почечной и легочной недостаточностями, которые требовали ИВЛ и диализа, или в первые дни после альвеолярного кровотечения [6]. В описанном случае замена плазмы была обоснована, поскольку гипоксия не купировалась при очень высоких параметрах оксигенации ИВЛ.
Во время госпитализации возникли осложнения: фебрильная нейтропения, бактериемия, вызванная метициллин-резистентным Staphylococcus aureus, и пневмония, вызванная бактериями Pseudomonas. Антибиотики широкого спектра позволили купировать осложнения, экстубировать пациентку и затем перевести в отделение реабилитации.
Есть данные о том, что терапия триметоприм-сульфаметоксазолом может уменьшить вероятность рецидива ГВ [7], поскольку антибиотик будет предохранять от бактериальной инфекции и, таким образом, не даст развиться патологическому каскаду иммунных реакций [8]. Триметоприм-сульфаметоксазол можно начинать применять в самом начале болезни и у некоторых пациентов с нетяжелыми генерализованными формами ГВ [9]. В описанном случае антибиотик был назначен при выписке для профилактики пневмоцистной пневмонии [10].
Врачи должны быть настороже и в случае поражения лор-органов, суставов, почек, глаз и легких обязательно учитывать вероятность возникновения системных васкулитов и включать гранулематоз Вегенера в круг дифференциальной диагностики.
Пациентка дала письменное согласие на публикацию своего случая. Копия письменного согласия находится у главного редактора журнала (JOURNAL OF MEDICAL CASE REPORTS).
Альвеолярный геморрагический синдром и кровотечения в легких Текст научной статьи по специальности «Клиническая медицина»
Аннотация научной статьи по клинической медицине, автор научной работы — Самсонова Мария Викторовна, Черняев Андрей Львович
В статье рассматриваются альвеолярный геморрагический синдром и кровотечения в легких – их причины, классификация, гистологические проявления
Похожие темы научных работ по клинической медицине , автор научной работы — Самсонова Мария Викторовна, Черняев Андрей Львович
Легочно-почечный синдром у детей: клинические наблюдения гранулематоза с полиангиитом (Вегенера) и синдрома Гудпасчера
Текст научной работы на тему «Альвеолярный геморрагический синдром и кровотечения в легких»
Альвеолярный геморрагический синдром и кровотечения в легких
М.В. Самсонова, А.Л. Черняев
В статье рассматриваются альвеолярный геморрагический синдром и кровотечения в легких - их причины, классификация, гистологические проявления.
Ключевые слова: альвеолярный геморрагический синдром, патологическая анатомия.
Определение,этиология и классификация альвеолярного геморрагического синдрома
Альвеолярный геморрагический синдром представляет собой группу болезней, характеризующихся диффузным внутриальвеолярным кровотечением с нарушением диффузионной способности легких.
Классификация кровотечений легких:
1) первичный альвеолярно-геморрагический синдром;
2) вторичные альвеолярные кровоизлияния:
• некротическая бактериальная пневмония;
• венозное полнокровие (недостаточность кровообращения):
- пороки митрального клапана (врожденные и приобретенные);
- веноокклюзионная болезнь легких;
• повреждение почек с недостаточностью кровообращения;
• тромбоцитопения и другие коагулопатии;
3) очаговые кровоизлияния в легких:
• микозы (микотические абсцессы, аспергиллома);
• другие абсцессы легких;
• врожденные аномалии сосудов легких;
Причины альвеолярного геморрагического синдрома:
• гранулематоз Вегенера и другие васкулиты;
• острый пневмонит (альвеолит) при системной красной волчанке;
• идиопатический гемосидероз легких;
• смешанная соединительнотканная болезнь;
• реакция легких на введение пеницилламина, нитрофура-нов, L-триптофана;
• ингаляции кокаина, тримеллитового ангидрида, пиро-меллитового диангидрида;
• пересадка костного мозга;
• идиопатический быстропрогрессирующий гломеруло-нефрит без отложения или с отложением иммунных комплексов [1].
НИИ пульмонологии ФМБА России, Москва. Мария Викторовна Самсонова - докт. мед. наук, зав. лабораторией патологической анатомии и иммунологии. Андрей Львович Черняев - профессор, зав. отделом патологии.
Клинически при всех описанных выше состояниях у пациентов наблюдаются кровохарканье, диффузные инфильтраты в легких и анемия.
Альвеолярный геморрагический синдром при различных нозологиях Синдром Гудпасчера - болезнь антибазально-мем-бранных антител, относится ко II типу иммунной реакции - гуморальной цитотоксической. При этой болезни в сыворотке крови обнаруживаются антитела к базальной мембране клубочков почек, к базальной мембране легких. В 2 раза чаще болезнь встречается у женщин. Диагноз требует гистологического подтверждения с исследованием биоптатов почек и легких. Гистологически в почках наблюдается пролиферативный или некротический (локальный или диффузный) гломерулонефрит. В легочной ткани в просвете альвеол имеют место массивные скопления эритроцитов и гемосидерофагов (рис. 1).
Гемосидерин появляется в альвеолах через 2 сут после кровоизлияния и, как правило, исчезает через 2-4 нед от начала болезни. Гемосидерин обнаруживают в альвеолярных макрофагах и экстрацеллюлярно в виде желто-коричневых гранул. При этом наблюдается утолщение стенок альвеол, пролиферация альвеолоцитов II типа, иногда встречаются перикапиллярные инфильтраты, состоящие из нейтрофилов и эозинофилов. Наличие васкулита и некрозов для синдрома Гудпасчера нехарактерно. Окончательным доказательством при диагностике этого синдрома является обнаружение иммунофлюоресцентным методом в базальных мембранах клубочков почек и в стенках
Рис. 1. Синдром Гудпасчера: массивные скопления си-дерофагов, эритроциты в просветах альвеол. Здесь и на рис. 3-6: окраска гематоксилином и эозином.
Рис. 2. Синдром Гудпасчера: аутоантитела в гиалиновых мембранах по контуру альвеол. Иммунофлюоресцентное окрашивание с антителами к 1дО.
альвеол иммуноглобулина О (1дО) (рис. 2) (или сочетания 1дМ и 1дА) и комплемента.
Гранулематоз Вегенера - гиперергический системный васкулит с преимущественным поражением органов дыхания и почек. Развивается, как правило, у лиц в возрасте от 16 до 40 лет, относится к редким заболеваниям. Патогенез гранулематоза Вегенера связан с аутоиммунными нарушениями.
При гранулематозе Вегенера поражаются носоглотка, придаточные пазухи носа, среднее ухо, зев, гортань. В основе лежит язвенно-некротический процесс, приводящий к перфорации нёба, глазницы, захватывающий трахею, бронхи, легкие, при генерализации - другие органы (прежде всего почки).
В легких поражаются преимущественно сосуды среднего и мелкого калибра с развитием эндартериита, панар-териита. Васкулит может быть деструктивным, деструктив-но-пролиферативным, продуктивным.
В легких при данной патологии имеет место сочетание некротизирующего васкулита и гранулематозного воспаления. Характерным для гранулематоза Вегенера является развитие васкулита. При этом наблюдается инфильтрация стенки сосудов гранулоцитами, преимущественно нейтро-фильными (рис. 3), в поздней фазе - лимфоцитами.
Рис. 3. Гранулематоз Вегенера: продуктивный васкулит -лейкоцитарная инфильтрация стенки артериолы.
Возможно наличие фокусов некроза или гранулема-тозного воспаления. Некроз чаще всего фибриноидный, как правило парциальный, чередуется с воспалительной инфильтрацией, может отмечаться кариорексис клеток инфильтрата. Поражаются артерии и вены, мелкие артерио-лы (артериолит), капилляры стенок альвеол (капиллярит). В поздней стадии заболевания нейтрофильная инфильтрация может замещаться лимфоидной.
В ткани легких возможно наличие некрозов. Некрозы могут быть обширными, содержащими клеточный детрит. Распространение некрозов носит иррегулярный характер, при этом зоны некроза напоминают географическую карту. Могут встречаться фокусы микроабсцессов округлой и неправильной формы, в центре их - некротический экссудат с лейкоцитами, лимфоцитами, гистиоцитами, плазматическими клетками, фибробластами. По периферии некрозов палисадообразно располагаются гистиоциты. Иногда в зоне некрозов обнаруживают эозинофильные массы - нек-ротизированный коллаген. По периферии некрозов можно обнаружить нечетко очерченные эпителиоидно-клеточные гранулемы, иногда с наличием гигантских многоядерных клеток. Гигантские клетки могут встречаться также по периферии пораженных сосудов.
Выделяют следующие варианты гранулематоза Веге-нера:
- с наличием капиллярита в стенках альвеол и внутри-альвеолярными кровоизлияниями; это наиболее сложная форма для диагностики, с быстропрогрессирующим течением и неблагоприятным прогнозом (рис. 4);
- эозинофильный вариант; в отличие от эозинофиль-ной пневмонии при этом не увеличивается число эозино-филов в крови;
- бронхоцентрический с поражением терминальных бронхиол; чаще возникает у лиц старше 70 лет, при этой форме может наблюдаться сочетание интерстициального фиброза и некротического васкулита;
- с наличием облитерирующего бронхиолита и организующейся пневмонии; для этой формы характерно сочетание мелких некротических гранулем с микроабсцессами, гигантских многоядерных клеток, некротического васку-лита с периферическим облитерирующим бронхиолитом и организующейся пневмонией [2].
Дифференциальную диагностику следует проводить с другими гранулематозами и ангиитами, а также с грануле-матозным воспалением, вызванным инфекционными агентами. Для решения вопросов дифференциальной диагно-
Рис. 4. Гранулематоз Вегенера: продуктивный капиллярит, внутриальвеолярные кровоизлияния.
Рис. 5. Ревматоидный артрит: острый продуктивный васку-лит в зоне некроза с инфильтрацией стенки сосуда лейкоцитами.
Рис. 6. Идиопатический гемосидероз легких: инкрустация стенки сосуда солями железа.
стики следует определять антилейкоцитарные (антиней-трофильные) цитоплазматические антитела (ANCA) - так, PR3-ANCA (IgG-антитела к протеиназе 3) положительны у 50-90% пациентов с гранулематозом Вегенера.
Ревматоидный артрит - при данном заболевании легкие и плевра довольно часто вовлекаются в системный процесс. В плевре можно наблюдать неспецифическое хроническое воспаление, гиперплазию мезотелиальных клеток и отложения фибриноида, иногда встречаются гигантские клетки, редко - некротические узелки, идентичные таким же узелкам в коже при этой патологии.
В ткани легких патогистологические изменения более разнообразны. Могут встречаться участки обычной интер-стициальной пневмонии, очаги фиброза. Возможно развитие облитерирующего бронхиолита с организующейся пневмонией, констриктивного бронхиолита. В междоль-ковых перегородках и субплеврально имеет место лимфо-идная гиперплазия. Васкулит при ревматоидном артрите поражает мелкие ветви легочной артерии и венулы, при этом имеет место инфильтрация стенки сосудов лимфоцитами и плазматическими клетками. Иногда наблюдается острый капиллярит в виде острого некротического воспаления в стенках капилляров. Такие изменения в сосудах в
отдельных случаях приводят к развитию вторичной легочной гипертензии. Острый капиллярит может проявляться диффузным альвеолярным кровотечением. В части наблюдений в ткани легких встречаются некротические узелки, располагающиеся, как правило, подплеврально. Такие изменения чаще всего ассоциированы с высокими титрами ревматоидного фактора. В центре узелков видны зоны некроза, по периферии палисадообразно располагаются гистиоциты, плазматические клетки, лимфоциты. В зонах некроза можно наблюдать инфильтрацию стенок мелких сосудов лейкоцитами (рис. 5).
Ревматоидные некробиотические узелки в легких следует дифференцировать с некротическими гранулемами при гранулематозе Вегенера и при инфекциях. Некротические узелки могут сочетаться с наличием в просветах альвеол некротического детрита [3].
Идиопатический гемосидероз легких развивается, как правило, у лиц до 16 лет, крайне редко у взрослых. Для этой болезни характерно наличие кровохарканья, инфильтратов в легких и железодефицитной анемии. В 50% наблюдений в сыворотке крови обнаруживают IgA. Гистологически изменения в легких почти идентичны изменениям при синдроме Гудпасчера, однако IgG и комплемент в стенках альвеол не определяются. При трансмиссионной электронной микроскопии в стенках альвеолярных капилляров и эпителиальной базальной мембране альвеол выявляют редупликацию, фрагментацию, утолщение и агрегацию тромбоцитов в просветах капилляров. Гистологически при этой болезни наблюдается скопление сидерофагов в просветах альвеол (см. рис. 1), отложение железа и кальция в стенках капилляров межальвеолярных перегородок, утолщение эластических мембран сосудов, перикапилляр-ное расположение гигантских многоядерных клеток "инородных тел", эндогенный пневмокониоз (рис. 6).
Диагноз идиопатического гемосидероза легких ставится после исключения всех других видов альвеолярного геморрагического синдрома [4].
При вторичных кровоизлияниях в легких диагноз основывается на клинико-рентгенологических симптомах, лабораторных показателях, наличии эритроцитов и гемоси-дерофагов в бронхоальвеолярных смывах. Биопсию легких выполняют крайне редко.
При митральном стенозе в легких описывают изменения сосудов, характерные для артериальной легочной ги-пертензии, в виде пролиферации интимы, гипертрофии медии и сужения просветов ветвей легочной артерии и вен, умеренно выраженный интерстициальный фиброз с массивными отложениями в стенках измененных альвеол гемосидерина (бурая индурация легких).
Для веноокклюзионной болезни характерно наличие мелких перивенозных инфарктов легкого.
При исследовании локальных кровоизлияний в легких можно обнаружить очаги грануляционной ткани, в стенках бронхов могут встречаться очаги изъязвлений, некрозы, перибронхиальные кровоизлияния, кровь и гемосидерин в просветах бронхов, очаги плоскоклеточной метаплазии эпителия бронхов, бронхолитиаз, очаги плоскоклеточного рака in situ, карциноиды.
Диффузное альвеолярное кровотечение встречается у 26% пациентов в течение 2 нед после трансплантации. Причина его также до конца не ясна, однако это состояние часто сочетается с диффузным альвеолярным повреждением и инфекционными осложнениями.
Таким образом, гистологические изменения в легких при альвеолярно-геморрагическом синдроме, вызванном
различными причинами, сходны. Для дифференциальной диагностики различных заболеваний этой группы необходимо проведение лабораторных исследований для выявления антител к базальной мембране (синдром Гудпасчера), ANCA (большинство случаев гранулематоза Вегенера), ревматоидного фактора (ревматоидный артрит), антинуклеарных и других антител (другие системные заболевания соединительной ткани, включая системную красную волчанку), а также клинических исследований для выяснения причин развития вторичного гемосидероза легких. Диагноз идиопатиче-ского гемосидероза легких устанавливают при исключении других возможных причин легочного кровотечения.
1. Katzenstein A.-L. Katzenstein and Askin's Surgical Pathology of Non-Neoplastic Lung Diseases. 4th ed. Philadelphia, PA, 2006.
2. Dail D.H. Dail and Hammar's Pulmonary Pathology. 3rd ed. V. 1: Nonneoplastic Lung Disease / Ed. by J.F. Tomashefski Jr. et al. N.Y., 2008.
3. Spenser H. Pathology of the Lung. 4th ed. Oxford, 1985. P. 147-165.
4. Черняев А.Л., Самсонова М.В. Патологическая анатомия легких: Атлас / Под ред. А.Г. Чучалина. 2-е изд., испр. и доп. М., 2011. J
АД. Чгршт, МЛ. üwcmw
Книги издательства "Атмосфера"
Патологическая анатомия легких: Атлас. Авторы Черняев А.А., Самсонова М.В. 2-е изд., испр. и доп. (Серия монографий Российского респираторного общества; Гл. ред. серии Чучалин А.Г.)
В отечественном атласе по цитологии и патологической анатомии основных заболеваний легких проиллюстрированы основные морфологические изменения при разных видах патологии органов дыхания человека, приведены данные о патогенезе этих болезней, клинико-морфологические классификации отдельных групп заболеваний, критерии дифференциальной диагностики. Основу атласа составляет материал, собранный авторами в течение нескольких лет работы в ФГУ "НИИ пульмонологии" ФМБА России. 112 с., ил.
Для патологоанатомов, цитологов, терапевтов, пульмонологов, торакальных хирургов, фтизиатров, студентов медицинских вузов.
Тромбоэмболия легочной артерии и диффузное альвеолярное кровотечение: варианты сочетания и особенности терапии
Тромбоэмболия легочной артерии и диффузное альвеолярное кровотечение: варианты сочетания и особенности терапии
Третьяков А.Ю., Раденска-Лоповок С.Г., Новиков П.И., Третьякова В.А., Захарченко С.П. Тромбоэмболия легочной артерии и диффузное альвеолярное кровотечение: варианты сочетания и особенности терапии. Терапевтический архив. 2021; 93 (3): 311–319. DOI: 10.26442/00403660.2021.03.200657
Tret’yakov AYu, Radenska-Lopovok SG, Novikov PI, Tret’yakova VA, Zakharchenko SP. Terapevticheskii Arkhiv (Ter. Arkh.). 2021; 93 (3): 311–319. DOI: 10.26442/00403660.2021.03.200657
Проведен анализ механизмов формирования редкого клинического сочетания тромбоэмболии легочной артерии (ТЭЛА) и диффузного альвеолярного кровотечения (ДАК), являющихся осложнениями системных васкулитов, ассоциированных с антителами к цитоплазме нейтрофилов (в первую очередь гранулематоза с полиангиитом), системной красной волчанки с вторичным антифосфолипидным синдромом, реже – первичного антифосфолипидного синдрома и синдрома Гудпасчера. С учетом хронологической последовательности возникновения ТЭЛА и ДАК рассмотрены 3 варианта дебюта данных потенциально фатальных дополнений основного заболевания: опережающее ДАК развитие ТЭЛА, отсроченная от ДАК ТЭЛА и совместное (в пределах 24 ч) формирование ТЭЛА и ДАК. Выполнен обзор единичных описаний подобной комбинации осложнений гранулематоза с полиангиитом, указаны критерии, дана рабочая классификация тяжести и, с учетом этого, – современная программа терапии ДАК как самостоятельного события и в сочетании с ТЭЛА.
Ключевые слова: диффузное альвеолярное кровотечение, тромбоэмболия легочной артерии, гранулематоз с полиангиитом, капиллярит, лейкоцитоклазис, рекрутирование нейтрофилов, иммуносупрессивная терапия, обменное переливание плазмы, плазмаферез, рекомбинантный VII фактор свертывания
The analysis of the mechanisms of the formation of a rare clinical combination of pulmonary embolism (PE) and diffuse alveolar hemorrhage (DAH), which are complications of systemic vasculitis associated with antibodies to the cytoplasm of neutrophils (primarily granulomatosis with polyangiitis), systemic lupus erythematosus and secondary antiphlogistic syndrome – primary antiphospholipid syndrome and Goodpasture’s syndrome. Taking into account the chronological sequence of the occurrence of PE and DAH, 3 variants of the onset of these potentially fatal additions to the underlying disease were considered: the anticipatory DAH development of PE, delayed from DAH PE and joint (within 24 hours) formation of PE and DAH. A review of single descriptions of such a combination of complications of granulomatosis with polyangiitis is carried out, criteria are indicated, a working classification of severity is given and, taking this into account, a modern program of therapy for DAH as an independent event and in combination with PE.
Keywords: diffuse alveolar bleeding, pulmonary embolism, granulomatosis with polyangiitis, capillaritis, leukocytoclasis, neutrophil recruitment, immunosuppressive therapy, exchange plasma transfusion, plasmapheresis, recombinant coagulation factor VII
А.Ю. Третьяков*1, С.Г. Раденска-Лоповок2,3, П.И. Новиков2, В.А. Третьякова4, С.П. Захарченко1
Andrey Yu. Tret’yakov*1, Stefka G. Radenska-Lopovok2,3, Pavel I. Novikov2, Viktoriia A. Tret’yakova4, Svetlana P. Zakharchenko1
Диффузное альвеолярное кровотечение
Типичными симптомами являются затрудненное дыхание и кашель, часто кровохарканье.
Обычно людям проводят рентгенологическое исследование органов грудной клетки, анализы крови и иногда исследование дыхательных путей с помощью гибкого зонда с оптической системой (бронхоскопия).
Лечение аутоиммунных причин заключается в угнетении иммунной системы кортикостероидами и часто циклофосфамидом (препарат для химиотерапии) или ритуксимабом (вид препаратов, угнетающих иммунную систему).
Важная функция иммунной системы Общие сведения об иммунной системе Иммунная система защищает организм от чужеродных или опасных элементов. Такие элементы включают: микроорганизмы (обычно называемые микробами, такие, как бактерии, вирусы и грибки); паразиты. Прочитайте дополнительные сведения — борьба с инфекциями. Для этого иммунная система распознает микроорганизмы как чужеродные человеку и вырабатывает белки ( антитела Антитела В одной из линий защиты организма ( иммунной системе) участвуют белые кровяные клетки (лейкоциты), которые перемещаются с потоком крови в ткани, находя и атакуя микроорганизмы и других возбудителей. Прочитайте дополнительные сведенияДиффузное альвеолярное кровотечение представляет собой синдром, а не отдельное заболевание. Синдром — это группа симптомов и других аномалий, которые возникают одновременно, но их причиной могут быть несколько разных заболеваний. При диффузном альвеолярном кровотечении происходит повреждение мелких кровеносных сосудов, которые снабжают легкие, что вызывает накопление крови в небольших воздухоносных мешочках легких (альвеолах). Такое повреждение кровеносных сосудов может быть вызвано различными заболеваниями.
Причины диффузного альвеолярного кровотечения
Причиной диффузного альвеолярного кровотечения могут быть многие заболевания.
Ее наиболее распространенными причинами являются:
аутоиммунные заболевания (например, васкулит Общие сведения о васкулите Причиной заболеваний сосудов является воспаление стенок кровеносных сосудов (васкулит). Причиной васкулита могут стать определенные инфекции или лекарственные препараты, либо заболевание развивается. Прочитайте дополнительные сведенияДругие заболевания, которые могут вызывать диффузное альвеолярное кровотечение, включают:
токсины (например, изоцианаты, крэк кокаин, тримеллитовый ангидрид и некоторые пестициды);
лекарственные препараты (например, амиодарон, блеомицин, инфликсимаб, метотрексат, монтелукаст, нитрофурантоин, фенитоин и пропилтиоурацил);
заболевания сердца (например, митральный стеноз Митральный стеноз Митральный стеноз представляет собой сужение отверстия митрального клапана, которое блокирует (затрудняет) кровоток из левого предсердия в левый желудочек. Митральный стеноз обычно представляет. Прочитайте дополнительные сведенияизолированный слабоиммунный легочный капиллярит (иммунное заболевание, возникающее у людей в возрасте 18–35 лет, которое поражает мелкие кровеносные сосуды легких, вызывая просачивание крови в легкие при отсутствии других проблем);
Читайте также:
