Дирофиляриоз
Добавил пользователь Владимир З. Обновлено: 29.01.2026
Дирофиляриоз (Dirofilariasis, от лат. «diro, filum» «злая нить») заболевание, вызываемое паразитированием нематоды рода Dirofilaria в организме человека. Это гельминтоз, характеризующийся медленным развитием и длительным хроническим течением.
Заражение человека происходит трансмиссивным путем через укусы кровососущих комаров, заражённых инвазионными личинками дирофилярий. Источником заражения комаров обычно являются зараженные домашние собаки, а также кошки, реже дикие животные.
Проблема дирофиляриоза обусловлена широкой циркуляцией возбудителя в природной среде и отсутствием надлежащих мер по выявлению и дегельминтизации зараженных животных облигатных дефинитивных хозяев (домашних собак и кошек). Истинная заболеваемость людей дирофиляриозом неизвестна, так как не ведётся её официальная регистрация. Вследствие недостаточной информированности врачей дирофиляриоз часто проходит под различными диагнозами непаразитарной этиологии.
Эпидемиология
Дирофилярии развиваются с двойной сменой хозяев. Половозрелые оплодотворенные самки отрождают в кровь дефинитивного хозяина микрофилярии, которые, не изменяясь морфологически, циркулируют в кровеносной системе до 2,5 лет или до того момента, когда попадут к кровососущему насекомому. Личинки концентрируются в головном отделе и нижней губе насекомого, при последующем кровососании они активно внедряются в кожу млекопитающего и продолжают развиваться до половозрелой стадии. Человек является случайным, тупиковым хозяином червей Dirofilaria, поскольку самки не достигают в его организме половой зрелости. Как полагают, большинство личинок при попадании в организм человека гибнет. В подобных условиях человек не является источником инвазии, так как микрофилярии не отрождаются в кровь, но полностью исключить возможность микрофиляриемии нельзя: в медицинской литературе описан единственный пока случай обнаружения микрофилярии в теле человека [6] .
Обычно человек заражается при проведении сельскохозяйственных работ, во время отдыха на природе дача, рыбалка, охота, туризм и в других местах, где есть значительные популяции комаров и заражённые животные. Частота нападения комаров на человека зависит от степени их активности и численности, а также связи комаров с жилищем человека. Если населённые пункты находятся в пределах дальности полета комаров от мест их выплода, то вероятность нападения природной популяции комаров на человека и домашних собак резко возрастает, что увеличивает возможность передачи инвазии человеку и вовлечение его в эпидемический процесс [5] .
Комар является основным, но не единственным распространителем заболевания: описаны единичные случаи инвазии после укусов клещей, слепней, вшей и блох.
Дирофиляриоз характеризуется очаговым распространением. Очаги инвазии с местной передачей в зоне умеренного климата выявлены вплоть до 55-57°с.ш., хотя ещё пару десятилетий назад северной границей заболевания считалась широта 53-54°с.ш.
В России встречается подкожный дирофиляриоз, главным образом у жителей эндемичных территорий юга страны.
Симптомы Дирофиляриоза:
Лечение Дирофиляриоза:
Поскольку обычно в теле человека паразитирует только один червь, в большинстве случаев неполовозрелый, который не отрождает микрофилярии, то применение микрофилярицидных препаратов не показано.
Оптимальный метод лечения полное хирургическое удаление гельминта.
Никаких специальных диет, либо ограничений подвижности не требуется.
Лекарственные средства: антигельминтные препараты.
Дирофиляриоз
Областное государственное бюджетное
учреждение здравоохранения
«Саянская городская больница»
Телефон горячей линии:
89914346227
Телефон горячей линии
по COVID-19
8 (3952) 43-77-30 (122)
Дирофиляриоз
Дирофиляриоз относится к геогельминтозам, поражающим преимущественно животных (собак, реже кошек), причем основной точкой приложения является сердечная мышца. Несмотря на зооспецифичность болезни все больше встречаются случаи инвазии человека в силу наличия особого переносчика личинок от животных – комара. Данные о заболеваемости среди человека разнятся и очень низкие по причине низкой выявляемости, а также отсутствия официальной регистрации паразитоза.
Дирофиляриоз (Dirofilariasis) – паразитарное заболевание, поражающее преимущественно животных, но и встречающееся у человека, вызываемое личиночной стадией нитевидной нематоды рода Dirofilaria, характеризующееся поражением органов зрения, а также других органов и систем с преимущественно хроническим течением.
Актуальность проблемы дирофиляриоза состоит в постоянном присутствии облигатных источников болезни - животных - вблизи человека и его жилищ, широком распространении дирофилярий как у животных, так и в целом в природных условиях, низкой информированностью медицинских работников и попадании таких пациентов не по профилю, а именно, к докторам различных специальностей.
К примеру, большая часть пациентов с дирофиляриозом проходит у докторов с такими диагнозами, как фурункул, флегмона, атерома, опухоль, фиброма, киста и другие.
Впервые описание дирофиляриоза датировано 1855 годом, когда описано удаление червя из глаза больной девочки португальским доктором Лузитано Амато. Затем с определенной частотой описаны схожие случаи во Франции, в Италии.
В России первый случай дирофиляриоза глаза описан в 1915 году в Екатеринодаре доктором и ученым Владыченским А.П. Уже с 1930 года основатель гельминтологической школы К.И. Скрябин и ученики вплотную занимались этой проблемой.

Географически дирофиляриоз с определенной частотой встречается в Средней Азии, Грузии, Армении, Киргизии, Казахстане, Азербайджане, Украине, в РФ встречается достаточно редко, преимущественно в южных ее районах (Волгоградская область, Краснодарский край, Ростовская область, Астраханская область, и другие).
Однако анализ заболеваемости последних лет показал, что определенная частота болезни присутствует и в областях с умеренным климатом (Московская область, Тульская, Рязанская области, Липецкая область, Урал, Сибирь, Башкортостан и другие).
В среднем за один год регистрируется до 35-40 случаев дирофиляриоза на территории России, а в некоторых областях (например, Ростовской) – до 12 случаев в год.
Причины возникновения дирофиляриоза
Название болезни произошло от латинского «diro, filium», что означает «злая нить».
Возбудитель у человека – личиночная стадия (микрофилярия) нитевидной нематоды (класс Круглые черви) рода Dirofilaria, которая в организме человека не достигает половозрелой стадии (подробнее в цикле развития).
Выделяют несколько видов дирофилярий:
1) Dirofilaria repens, Dirofilaria immitis (паразитируют у собак и кошек),
2) Dirofilaria ursi (бурый медведь и амурский тигр), и др
Дирофилярии

Половозрелая особь длиной до 30см и шириной до 1,5 мм, нитевидной формы с зауженными концами. У самки имеются рот, пищевод, кишечник, нервное кольцо, вульва, яйцеводы, матка и яичники, у самца – сосочки и спикулы.
Личинки (или микрофилярии) же микроскопически малы – до 320 мкм длиной и до 7 мкм шириной, имеют нитевидный вид с тупым передним и заостренным задним концом. Однако в силу своего размера могут достигать с током крои и лимфы «самых отдаленных уголков человеческого организма».
Источник инфекции при дирофиляриозе – облигатный или обязательный источник - это домашние животные (собаки в большинстве, реже кошки – D.repens и D.immitis), единичные случаи болезни встречаются и среди диких животных. Пораженность городских собак различная от 3,5 до 30% в зависимости от региона.
Промежуточным хозяином являются комары рода Culex, Aedes, Anopheles – они переносят инвазивные личинки (микрофилярии) от животных друг другу, а также к человеку. Пораженность комаров личинками разная – от 2,5% (Anopheles) до 30% (Aedes). Не исключается и роль в передачи личинок и другим кровососущим насекомым – блохи, вши, слепни, клещи. Человек является случайным и нетипичным хозяином для личинок дирофилярий.
Дирофиляриоз, переносчик инфекции - комары
Дирофиляриоз, цикл развития


При любой из форм дирофиляриоза большинство больных предъявляют и общие жалобы – слабость, раздражительность, беспокойство, нарушения сна, головные боли.
Случаи поражения дирофиляриями легких, сердца у человека крайне редки.
Диагностика дирофиляриоза
1) Первичная диагностика дирофиляриоза клинико-эпидемиологическая.
Однако, как правило,сбор эпидемиологического анамнеза (наличие собак вблизи жилища, укусы комаров, посещение леса, рыбалки, садово-огородных участков) малоинформативен в плане постановки диагноза. Обращать внимание стоит на пребывание пациента на эндемичной территории в период высокой активности комаров.
Также важной информацией является сезонность: при короткой инкубации (до 3х месяцев с момента заражения) возникновение болезни в июне-июле или октябре-ноябре, а при длительной инкубации (до 8 мес) – возникновение болезни на следующий год после заражения.
Основную роль играют жалобы больных: появление подкожных узлов, которые в течение суток могут мигрировать на расстоянии 10-30 см, внутри которых есть ощущения «ползания», а также другие характерные жалобы, описанные выше.
Дифференциальный диагноз проводят с узловатой эритемой, фурункулом, карбункулом, абсцессом, аллергическим проявлениями, конъюктивитами, холязионами (последствия «ячменя» глаза) и другими заболеваниями.
2) Лабораторная диагностика включает:
- общий анализ крови (эозинофилия до 10-11%);
- макроскопическое исследование паразита после хирургического удаления гельминта из очага (узла): обнаружение нитевидного паразита с закругленным передним и заостренным задним концами.
Также исследуются и внутренние органы паразита, наличие микрофилярий в матке самки.
- Морфологическое исследование удаленного узла или гранулемы: на срезе виден очаг хронического воспаления с капсулой снаружи, внутри которого находится тонкий круглый паразит, свернутый в клубок. Отличительные признаки – наличие «кутикулярных шипов» - так называемых вершин продольных гребней на кутикуле паразита.
- Специфические серологические реакции на обнаружение антигена паразита в крови:
это ИФА для выявления соматического антигена дирофилярий,
ПЦР диагностика с целью определения повторяющихся участков ДНК одних видов дирофилярий или кутикулярных антигенов других,
метод иммуноблота для выявления антигенов взрослых особей и личинок.
Лечение дирофиляриоза
Тактика лечения определяется формой болезни. Чаще всего это паразитирование одной особи, причем неполовозрелой, поэтому токсическое противопаразитарное лечение проводится редко.
Основной метод лечения – хирургический
– удаление образований, узлов, гранулем с последующим морфологическим исследованием образования. С целью предотвратить миграцию паразита в ходе операции накануне назначают дитразин.
Медикаментозная терапия проводится редко и используются ивермектин, диэтилкарбамазин, однако в ходе терапии возможны аллергические реакции.
Сопутствующая терапия: нестероидные противовоспалительные средства, глюкокортикостероиды, антигистаминные препараты, успокаивающие и другие.
При глазной форме дирофиляриоза основной метод терапии – оперативное удаление гельминта из-под кожи века, конъюктивы с последующим назначением дезинфицирующих и противовоспалительных препаратов: капли левомицетина, сульфацил-натрия, колбиоцина с последующим закладыванием мазей (эритромициновой, тетрациклиновой).
Ряду пациентов требуется назначение каплей дексаметазона с целью уменьшения воспалительных явлений. Весь период терапии поддерживается назначением антигистаминных средств (зиртек, кларитин, эриус, диазолин и другие).
Профилактика дирофиляриоза
- борьба с ростом популяции бродячих животных (собаки, кошки);
- индивидуальная защита от кровососущих насекомых (репелленты, защитная одежда);
- дегельминтизация домашних собак и кошек с целью профилактики в весеннее-летний период (вермитан, левамизол, ивермектин, селамектин, дектомакс, новомек);
- в очагах паразитоза – обработка водоемов с целью снижения численности комаров (деларвация).
Дирофиляриоз
Отделение хирургии для взрослых Городской больницы №20 Ростова-на-Дону
Отделение хирургии для взрослых Городской больницы №20 Ростова-на-Дону
кафедра ультразвуковой диагностики Ростовского государственного медицинского университета Минздрава РФ
Диагностика и лечение дирофиляриоза мягких тканей нижних конечностей
Журнал: Хирургия. Журнал им. Н.И. Пирогова. 2016;(4): 81‑85
Отделение хирургии для взрослых Городской больницы №20 Ростова-на-Дону
Отделение хирургии для взрослых Городской больницы №20 Ростова-на-Дону
Отделение хирургии для взрослых Городской больницы №20 Ростова-на-Дону
кафедра ультразвуковой диагностики Ростовского государственного медицинского университета Минздрава РФ
Впервые дирофиляриоз описал португальский врач Амато Лузитано в 1566 г. после удаления гельминта из глаза 3-летней пациентки. Клиническое описание в 1930 г. основоположником отечественной гельминтологии К.И. Скрябиным и его учениками дирофиляриоза нижнего века явилось началом его систематического изучения в СССР.
Обращает на себя внимание изменение соотношения локализации гельминта: если с 1915 по 1955 г. было описано 15 случаев, из них 12 глазной локализации, то в 1956-1995 гг. выявлено 95 случаев, из них всего 38 глазной [1].
Дирофиляриоз - антропозоонозный, тканевый, трансмиссивный гельминтоз домашних и диких плотоядных, в ряде случаев человека. Единственный в умеренном климате гельминтоз, передаваемый человеку комарами. Возбудитель заболевания - класс круглых червей Nematoda, отряд Spiruida, подотряд Filariata, семейство Filariidae, род Dirofilaria.
Выделяют две формы дирофиляриоза - легочную (сердечную), вызываемую Dirofilaria immitis (паразитирует в правом желудочке сердца, в полости легочной артерии, при сильной инвазии - в полых венах и в правом предсердии) и подкожную, вызываемую Dirofilaria tenus и Dirofilaria repens (паразитирует в подкожной клетчатке, редко - в глазах [1], головном мозге [14], мошонке [10]. Патогенными для человека являются виды D. repens и D. immitis, причем последний встречается в единичных наблюдениях [17].
Экологическую нишу для дирофилярий представляют плотоядные из семейств псовых и кошачьих. Чаще паразиты встречаются у чистокровных породистых животных с короткой и гладкой шерстью. Возможно также заболевание лисиц, хорьков.
Дирофилярии имеют нитевидное тело, покрытое тонкой исчерченной кутикулой молочного или серовато-желтого цвета. Половозрелые самки D. repens длиной 130-150 мм, диаметром до 0,5 мм, D. immitis длиной 180-300 мм, диаметром до 0,5 мм, самцы длиной 100-110 мм, диаметром до 0,4 мм. Тело состоит из кожно-мышечного мешка, представленного кутикулой, гиподермой и мышечными элементами. В организме животных сами паразиты живут (по данным Т.И. Авдюхина, Т.Н. Константинова, Ю.П. Горбунова, 2007 г.) от 4-5 мес до 2 лет.
Дирофилярии развиваются с двойной сменой хозяев. Половозрелые дирофилярии живут в подкожной клетчатке (D. repens) и кровеносной системе (D. immitis) дефинитивных хозяев - собак, кошек, диких плотоядных. Самки D. repens и D. immitis живородящие, после оплодотворения развитие микрофилярий происходит непосредственно в матке, отрождаются личинки первой стадии (L1) микрофилярий. За сутки отрождается до 30 000 микрофилярий, которые циркулируют в крови плотоядных (дефинитивного хозяина) до 2,5 года. Микрофилярии не имеют кутикулы, их длина до 0,3-0,4 мм, ширина до 0,006-0,008 мм, что сопоставимо с диаметром эритроцита.
При укусе кровососущих насекомых (в большинстве случаев инвазия человека происходит при укусе комаров рода Aedes, Anophelis, Culex, Mansonia). Личинки стадии L1 микрофилярии попадают в тело промежуточных хозяев (комаров), где развиваются в течение 10-16 сут (в зависимости от окружающих условий) последовательно до инвазивной стадии L3. Затем личинки скапливаются в ротовых органах комара. При очередном кровососании комаром человека или плотоядных животных инвазионные личинки активно внедряются в кожу, затем в кровеносное русло, током крови разносятся в различные ткани и в течение 9-15 дней достигают стадии L4 микрофилярии. Через 2 мес они становятся молодыми неполовозрелыми особями, впоследствии они активно мигрируют по подкожной клетчатке, превращаясь во взрослых особей.
Человек является тупиковым хозяином: в большинстве случаев микрофилярии, попавшие в кровь человека, гибнут; также в большинстве случаев у людей выявляется лишь один экземпляр возбудителя (описан единичный случай одновременной инвазии ребенка тремя гельминтами [4]), и это, как правило, неоплодотворенная развивающаяся самка, вследствие отсутствия самца оплодотворения не происходит, микрофилярии не отрождаются.
Заболеванию подвержены все возрастные и половые группы, но чаще женщины, прослеживается тенденция увеличения инвазированности детей [10].
Диагностика крайне затруднительна при первичном осмотре, что связано как с относительной редкостью инвазии у человека, недостаточной информированностью и настороженностью специалистов в отношении дирофиляриоза, так и с бессимптомным течением заболевания в дебюте, выраженным полиморфизмом симптомов [15].
По данным ряда авторов [11], при анализе 26 наблюдений глистной инвазии при первичном обращении ни в одном из них гельминтоз не был выявлен своевременно. В зависимости от локализации патологического процесса пациенты обращаются за медицинской помощью к терапевту, офтальмологу, стоматологу, урологу, хирургу, дерматовенерологу, психиатру, неврологу. В большинстве наблюдений устанавливается первичный диагноз, не связанный с паразитарной этиологией: атерома, флегмона, фурункул, киста, опухоль, поствакцинальная олеома, нейрофиброма, реактивная лимфоаденопатия, идиопатическое расширение сосудов области глазницы, ущемленная паховая грыжа, поражение легких и др.
Жалобы пациентов зависят от локализации гельминта в любой части тела - от органов зрения до гениталий и подкожной жировой клетчатки. Так, около 50% наблюдений приходится на дирофиляриоз с локализацией возбудителя под кожей век, в слизистой оболочке и под конъюнктивой, реже - в глазном яблоке, области век, области мошонки, полового члена, промежности, а также в щечной области [7, 8]. Важным является выраженный полиморфизм симптоматического течения, заболевание может протекать под различными масками - ущемленной паховой грыжи [3], инфильтрата мошонки, паховой области [13], фуникулита. При локализации гельминта в толще мягких тканей туловища или конечностей устанавливается ошибочный первичный диагноз фибромы, атеромы, липомы, дермоидной кисты, опухоли, лимфаденита [4].
При сборе анамнеза следует обратить внимание на возможное пребывание пациента в эндемичных районах в сезон активности комаров. Обычно через несколько дней после укуса зараженным комаром появляется уплотнение размером с просяное зерно, иногда сопровождающееся зудом, чувством распирания. В дальнейшем появляется плотный узел диаметром 0,5-4,0 см, иногда болезненный. Через 6 мес после заражения паразит достигает максимальных размеров и располагается внутри воспаленного узла. В 10-40% наблюдений характерным симптомом дирофиляриоза является перемещение гельминта под кожей до нескольких десятков сантиметров [5] или ощущение шевеления гельминта внутри уплотнения, также усиление миграции происходит при воздействии УВЧ при физиолечении, прогревании компрессами, согревающими мазями [19], в ряде наблюдений отмечается выраженная подвижность гельминта - диагностированный в области левой глазницы под кожей, он в течение 4 мес мигрировал в область лопатки справа, грудной железы слева, в область виска и удален из подкожной клетчатки левого предплечья [11].
Объективный осмотр при поражении глаз не представляет особых трудностей - при расположении гельминта под прозрачной слизистой оболочкой его можно увидеть при простом осмотре. Однако при локализации в других органах и тканях объективный осмотр может быть затруднен, особенно при местной воспалительной реакции, когда необходимо проведение дополнительной дифференциальной диагностики с другими заболеваниями.
При подозрении на дирофиляриоз возможно проведение лабораторной диагностики. Микроскопия нативного мазка крови, модифицированный метод Кнотта, метод непрямой иммунофлюоресценции (МНИФ) используются для обнаружения антител к микрофиляриям, последний метод имеет специфическую ценность при диагностике истинного дирофиляриоза, с помощью ИФА можно обнаружить антитела к дирофиляриям или сам антиген. Изменения в общем анализе крови весьма вариабельны и не могут являться диагностическим критерием; так, по данным В.В. Гуськова и соавт. [11], может встречаться гипохромная анемия, нейтрофилия (20-80% наблюдений), эозинофилия (85%), базофилия (60%). Однако, по данным Т.И. Авдюхиной и соавт. [1], эозинофилия отсутствует или весьма незначительна.
Некоторые методы инструментальной диагностики не являются хорошими с точки зрения обнаружения дирофилярий, но позволяют определить косвенные признаки заражения.
Пункционный метод диагностики, по мнению ряда авторов, неинформативен [8], имеется единичное наблюдение обнаружения микрофилярий в пунктате [18] и казуистическое наблюдение, в котором при диагностической пункции опухолевидного образования после удаления пункционной иглы из пункционного отверстия извлечен сам паразит [11].
В большинстве наблюдений интраоперационный диагноз дирофиляриоза является неожиданностью как для врача, так и для пациента.
Извлеченный гельминт следует поместить в физиологический раствор (для кратковременного хранения) или в формалин. Извлеченные гельминты обычно живые и подвижные. Во многих случаях гельминты окружены соединительнотканной капсулой.
Необходимо отметить, что диагностика дирофиляриоза человека основывается не только на комплексном анализе географических, эпизоотологических и эпидемиологических данных и клинических проявлений. Основа диагностики - проведение морфологического и паразитологического исследования удаленного гельминта с определением вида, пола, размера тела, изучением степени зрелости половой системы и дополнительным исследованием матки половозрелой самки на наличие или отсутствие в ней микрофилярий. Принципиально следующее: хотя человек является тупиковым хозяином, полностью исключить микрофиляриемию нельзя. Несмотря на то что в половых органах самок иногда обнаруживают микрофилярии, до определенного момента их не находили в крови больных [2, 6], в то же время описано несколько случаев микрофиляриемии [6, 19]. Именно поэтому необходимо полноценное морфологическое и паразитологическое исследование удаленного гельминта, в случае обнаружения микрофилярий в матке оплодотворенной самки целесообразно проведение многократного обследования больного с применением методов обогащения для исследования венозной крови. В ряде случаев необходимое исследование не выполняется вовсе или выполняется после исключения злокачественной опухоли [11], что лишний раз свидетельствует о неосведомленности практических врачей как о наличии заболевания, так и о необходимости полноценного послеоперационного обследования.
Прогноз заболевания условно благоприятный, при своевременной диагностике и адекватном лечении (полное хирургическое удаление) заболевание полностью излечивается. Интоксикация возникает лишь в случае гибели паразита или при нагноении инфильтрата.
С учетом сложности первичной диагностики наличие неинвазивного метода, позволяющего достоверно установить диагноз, является актуальным. В полной мере этому требованию может способствовать сонографический метод диагностики, так как имеется четкая и характерная ультразвуковая картина, позволяющая установить наличие глистной инвазии [5, 7, 9, 12], причем ультразвуковая картина дирофиляриоза органов мошонки описана особенно подробно [16].
Ультразвуковая картина дирофиляриоза мягких тканей конечностей и туловища является специфичной и позволяет провести дифференциальную диагностику с основными поверхностно расположенными структурами (фибромы, атеромы, липомы, кисты, опухоли, лимфаденит).
Лечение дирофиляриоза хирургическое. Это связано с тем, что в организме человека в большинстве наблюдений обнаруживается только один паразит, применение микрофилярицидных препаратов не показано при отсутствии микрофиляриемии, применение антигельминтных препаратов (диэтилкарбамазин, ивермектин, дитразин) не оправдано, поскольку может усугубить тяжесть течения заболевания в случае гибели и деструкции гельминта.
Обобщая изложенное, можно сделать следующие выводы:
- дирофиляриоз из редкого заболевания перешел в разряд относительно часто встречающегося;
- имеются определенные трудности дооперационной диагностики заболевания: клиническая симптоматика неспецифична, паразитологическая диагностика затруднительна (микрофиляриемия в большинстве наблюдений отсутствует), заболеваемость является спорадической. Именно поэтому в большинстве наблюдений диагностика основана на морфологическом исследовании удаленного гельминта;
- лечение хирургическое, с обязательным проведением морфологического и паразитологического исследования, с определением тактики дальнейшего лечения и наблюдения.
Таким образом, определенный клинический интерес представляет проведение достоверной неинвазивной диагностики дирофиляриоза, что может быть выполнено с помощью сонографического исследования.
1. Больная Б., 25 лет, житель Ростова-на-Дону, обратилась в отделение хирургии для взрослых в марте 2013 г. с жалобами на наличие патологического новообразования под кожей правой нижней конечности (в области коленного сустава), боль в этой области. Из анамнеза: считает себя больной на протяжении 6 мес, когда после укуса комара (в Ростове-на-Дону) впервые отметила появление патологического выпячивания, которое со временем несколько увеличилось в размерах, появился умеренный болевой синдром. Проведено амбулаторное исследование, диагноз направившего учреждения: фиброма мягких тканей области правого коленного сустава. Больная поступила для планового оперативного лечения. Объективно: в области коленного сустава по его наружной поверхности в проекции латеральной головки четырехглавой мышцы под кожей пальпируется образование диаметром 10 мм, округлой формы, плотной консистенции, с окружающими тканями не спаяно, подвижное, при пальпации отмечается некоторая болезненность, окружающие ткани не изменены. Общий анализ крови: изменений не выявлено.
Ультразвуковое исследование на аппарате Aloka Prosound 6 линейным датчиком в В-режиме: в мягких тканях в области правого коленного сустава на глубине 6 мм от поверхности кожи определяется полостное объемное образование округлой формы, размером 12-7 мм, с четкими ровными контурами, содержимое жидкостное, неоднородное за счет множества правильных геометрических фигур линейной формы повышенной эхогенности, с просветом в центре, толщиной до 0,6 мм, при легком надавливании датчиком неподвижные. Капсула образования толщиной до 2 мм, повышенной эхогенности. При исследовании в режиме энергетического допплера (ЭД) признаки васкуляризации образования не выявлены. Заключение: новообразование мягких тканей - паразитарная киста (дирофиляриоз?).
Выполнено оперативное вмешательство - иссечение новообразования в пределах здоровых тканей. Интраоперационно диагноз подтвержден - удаленное новообразование плотной консистенции, на разрезе стенка толщиной до 2 мм, в просвете мутная жидкость, а также нитчатое образование (гельминт) диаметром до 1 мм, длиной до 9 см (рис. 1).

Рис. 1. Удаленный паразит с оболочкой.
Пациентка выписана по выздоровлении, швы сняты на 7-е сутки, рана зажила первичным натяжением, на основании лабораторно-инструментальных данных патологических изменений не выявлено.
2. Больная П., 16 лет, житель Ростова-на-Дону, обратилась в отделение хирургии для взрослых в марте 2015 г. с жалобами на наличие новообразования в толще тканей левой ягодичной области, ограничение физической нагрузки, снижение качества жизни, боль в области новообразования. Из анамнеза: считает себя больной на протяжении 1-2 лет, когда впервые отметила появление новообразования, в динамике увеличивающегося в размерах, боль незначительная, некоторое ограничение физической нагрузки. Проведено амбулаторное исследование, диагноз направившего учреждения: фиброма мягких тканей левой ягодичной области. Больная поступила для планового оперативного лечения. Объективно: в проекции наружноверхнего квадранта левой ягодицы в толще мягких тканей пальпируется уплотнение диаметром до 2 см, с четкими контурами, несколько болезненное при пальпации, не спаянное с окружающими тканями, кожа над образованием не изменена. Общий анализ крови: изменений не обнаружено.
Ультразвуковое исследование на аппарате Aloka Prosound 6 линейным датчиком в В-режиме: в мягких тканях левой ягодицы на глубине 7 мм от поверхности кожи определяется полостное объемное образование округлой формы диаметром 15-8 мм, с четкими ровными контурами, содержимое жидкостное, неоднородное за счет множества правильных геометрических фигур линейной формы повышенной эхогенности, с просветом в центре, различной длины, толщиной до 0,6 мм, интенсивно флотирующих в полости образования, особенно при легком надавливании на него датчиком (рис. 2). При исследовании в режиме ЭД признаки васкуляризации образования не выявлены. Капсула образования толщиной до 3 мм, повышенной эхогенности, четко визуализируется на всем протяжении. Заключение: новообразование мягких тканей - паразитарная киста (дирофиляриоз?).

Рис. 2. Ультразвуковая картина дирофиляриоза.
Выполнено оперативное вмешательство - иссечение новообразования в пределах здоровых тканей. Интраоперационно диагноз подтвержден - удаленное новообразование плотной консистенции, на разрезе капсула толщиной до 3 мм, в просвете мутная жидкость, а также нитчатое образование (гельминт), подвижное, диаметром до 1 мм, длиной до 12 см (рис. 3).

Рис. 3. Макроскопическая картина удаленного паразита.
Пациентка выписана по выздоровлении, швы сняты на 7-е сутки, рана зажила первичным натяжением, на основании лабораторно-инструментальных данных патологических изменений не выявлено.
При гистологическом исследовании стенок гранулемы в двух наблюдениях - обнаружена фиброзная ткань. В Ростовском НИИ микробиологии и паразитологии Роспотребнадзора проведено паразитологическое исследование непосредственно гельминта, его результат - неоплодотворенная самка Dirofilaria repens длиной 12 см. Итак, проведена до- и послеоперационная диагностика дирофиляриоза.
Таким образом, основным клиническим проявлением дирофиляриоза служит наличие болезненного уплотнения в толще мягких тканей. Дифференциальную диагностику необходимо проводить с доброкачественными заболеваниями мягких тканей. В качестве первичного метода обследования при подозрении на дирофиляриоз может быть применено ультразвуковое исследование, поскольку данное заболевание имеет четкую эхографическую семиотику. Обязательным является удаление паразита с последующим паразитологическим исследованием.
Диагностика дирофиляриоза у собак. Dirofilaria immitis (сердечный червь)
Дирофиляриоз — заболевание, вызываемое паразитированием нематоды рода Dirofilaria в организме. Этот гельминтоз характеризиется медленным развитием и длительным хроническим течением.
Заражение происходит трансмиссивным путем через укусы кровососущих комаров, заражённых инвазионными личинками дирофилярий. Источником заражения комаров обычно являются инвазированные домашние собаки, а также кошки, реже дикие животные.
Возбудитель дирофиляриоза относится к классу круглых червей Nematoda, отряду Spirurina, подотряду Spiruromorpha, семейству Filarioidea, роду Dirofilaria. Всего описано несколько видов червей, из которых наибольшее распространение имеют Dirofilaria repens, Dirofilaria immitis.

Дирофилярии развиваются с двойной сменой хозяев. Первый хозяин (основной или дефинитивный) — млекопитающее, второй хозяин (промежуточный) — комар.
Жизненный цикл Dirofilaria immitis обычно составляет от 7 до 9 месяцев. Половозрелые оплодотворенные самки рождают в кровь дефинитивного хозяина микрофилярии, которые, не изменяясь морфологически, циркулируют в кровеносной системе до своей гибели или до того момента, когда попадут к кровососущему насекомому, при этом сначала микрофилярии попадают с кровью в кишечник комара, затем они мигрируют в полость тела и развиваются до инвазионной стадии в мальпигиевых сосудах комара.
Далее личинки концентрируются в головном отделе и нижней губе насекомого, при последующем кровососании они активно внедряются в кожу млекопитающего и продолжают развиваться до половозрелой стадии.
Человек может быть заражен микрофиляриями, но он является случайным, тупиковым хозяином червей Dirofilaria, поскольку самки не достигают в его организме половой зрелости. Как полагают, большинство личинок при попадании в организм человека гибнет.
Микрофилярии выделяются в кровь собаки, где они циркулируют, чтобы попасть в комара, который питается кровью зараженной собаки. Комары являются промежуточными хозяевами и переносчиками сердечных червей.
После того как микрофилярии попадают к комару, они претерпевают несколько линек в его кишечнике и перемещаются в ротовой аппарат, где превращаются в личинок третьей стадии, способных заражать окончательного хозяина.

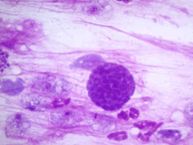
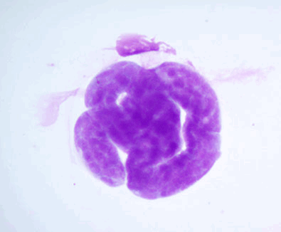
Яйцевые шары нематоды Dirofilaria repens

Яйцевые шары и микрофилярии нематоды Dirofilaria repens

Яйцевые шары нематоды Dirofilaria repens

Микрофилярия нематод Dirofilaria immitis,
Dirofilaria repens в крови у основного хозяина

Микрофилярия нематод Dirofilaria immitis,
Dirofilaria repens в крови у основного хозяина

Микрофилярия нематод Dirofilaria immitis,
Dirofilaria repens в крови у основного хозяина
Зараженный комар, питаясь кровью окончательного хозяина, заражает ее микрофиляриями. Личинки 3 стадии, приблизительно 1 мм длиной, попадают в организм животного. В течении приблизительно трех дней после попадания в организм хозяина личинка остается в месте укуса комара. Там происходит линька до 4 стадии в течении 3-12 дней после заражения. Через 2-3 недели личинка начинает мигрировать и расти, достигая размера приблизительно 4 мм через месяц и 1 см через 2 месяца. По сравнению с окончательным размером взрослого червя личинка все еще очень маленькая. Далее личинка мигрирует через мышцы, достигает вен, по которым транспортируется вместе с кровотоком в сердце и легкие. Через 50 дней после заражения происходит финальная линька во взрослую особь, и черви попадают в сосуды легких через 70 дней после первичного заражения.
Когда черви достигают легких, давление крови вдавливают их в мелкие легочные артерии. По мере роста паразиты захватывают более крупные артерии. Самки становятся половозрелыми приблизительно через 120 дней после заражения, следовательно, через 6 месяцев после заражения начинают выделяться микрофилярии. У собаки, зараженной сердечными червями, инфекция может поддерживаться 7,5 лет (т. е. в течение этого времени могут развиваться микрофилярии), а микрофилярии, попавшие в кровоток, могут жить там более 2-х лет.
Разрушение легочных артерий начинается вскоре после попадания сердечных червей в сердце и легкие; даже несколько живых паразитов могут вызвать заболевание. Признаками типичного заражения сердечными червями являются кашель, повышенная утомляемость, летаргия и внезапная слабость.
Dirofilaria immitis в сердце собаки


Диагностика дирофиляриоза у собак
1. Обнаружение антигена половозрелой самки
Тестирование на наличие антигена половозрелой самки является одним из наиболее чувствительных методов диагностики наличия сердечных червей. Поскольку доступные в продаже тесты направлены на выявление белка, выделяющегося из матки половозрелой самки червя, самое раннее время, в которое инфекция может быть диагностирована, составляет приблизительно 5 месяцев после заражения.
Уровень антигенимии прямо пропорционален количеству женских особей, и эти тесты очень специфические (т.е., ложноположительные результаты крайне маловероятны), но эти тест-системы могут не обнаруживать инфекцию у собак c маленьким количеством взрослых червей.
Причины ложноотрицательных результатов:
— низкое количество половозрелых женских особей;
— самки присутствуют, но они еще не половозрелые (требуется, по
меньшей мере, 5 месяцев после заражения, чтобы самка созрела);
— присутствуют только самцы.
2. Выявление микрофилярий в крови или тест Кнотта
Хотя отсутствие микрофилярий в крови не исключает диагноза
дирофиляриоз, обнаружение микрофилярий в крови может свидетельствовать о том, что собака заражена сердечными червями (требуется дополнительная дифференцировка от Dirofilaria repens).
Причины ложноотрицательных результатов теста Кнотта:
— черви еще не половозрелые и не выделяют микрофилярий (для
созревания требуется, по меньшей мере, 6 месяцев);
— взрослые особи одного пола;
— собаке вводили макроциклические лактоновые препараты,
обладающие микрофиляриецидной активностью, т.е. у собаки есть
половозрелые взрослые особи, но нет микрофилярий;
— микрофилярии выделяются, но уничтожаются иммунной системой
хозяина.
3. Диагностика методом ПЦР. Дифференцировка Dirofilaria immitis и Dirofilaria Repens
Диагностика методом ПЦР чаще всего проводится при обнаружении микрофилярий в крови, и целью данного способа является определение видовой принадлежности микрофилярий. Кроме D. immitis можно обнаружить червя D.repens, вызывающего кожные поражения, и не требующего серьезного лечения.
Причиной ложноотрицательных результатов при проведении ПЦР является отсутствие микрофилярий в крови животного.
Дирофиляриоз у человека
Местами обитания возбудителя дирофиляриоза являются страны Средней Азии, Армения, Грузия, Азербайджан, южная часть России, Украины, Казахстан. Переносчиками дирофилярий считают комаров, которые кусают животных и заражают человека. Наиболее часто встречается у человека Dirofilaria repens – гельминтоз, для которого характерно длительное хроническое течение болезни.
Случаи дирофиляриоза официально не регистрируются, поэтому распространенность заболевания среди людей неизвестна.
Как распознать заболевание
После укуса комара-носителя, в этом месте появляется уплотнение, размером с просяное зерно, возникает зуд (который никого не настораживает, поскольку является естественной реакцией на комариные ферменты). Вскоре уплотнение и зуд исчезают. А когда спустя некоторое время место поражения снова уплотняется и увеличивается, достигая размеров 0,5-4 см, человек уже не соотносит это явления с комариным укусом и попросту не обращает внимания до проявления болевых симптомов и других характерных признаков. Кожа в этом месте становится отечной и гиперемированной. Возникновение вторичного воспалительного процесса вызывает умеренный (в очень редких случаях, сильный, нестерпимый зуд и расчесы), сопровождается болезненными ощущениями как при покое, так и во время прикосновения.
Дирофиляриозом могут заболеть люди всех возрастных категорий, но большей опасности подвергаются те, которые имеют непосредственный контакт с переносчиками гельминтоза – комарами.
В группу риска входят:
- жители приречной, приозерной, заболоченной местности;
- работники сельского хозяйства, в частности – рыбхоза, лесхоза;
- дачники, рыбаки, охотники;
- владельцы собак (реже – кошек);
- путешественники (особенно, любители зеленого туризма).
Необходимо учитывать, что комары являются основным, но не единственным переносчиком дирофилярий, поэтому после укусов других кровососущих насекомых (слепней, вшей, блох, клещей) так же возможны проявления признаков заражения.
Инкубационный период составляет от 1 месяца до нескольких лет и зависит от состояния иммунной системы организма и скорости развития паразита. В большинстве случаев у человека обнаруживают всего одну особь неполовозрелой самки, поэтому вероятность появления микрофилярий у людей так ничтожно мала. В среднем, требуется около полугода для того, чтобы паразит достиг своих максимальных размеров, располагаясь внутри воспаленного узла. Как правило, местом локализации возбудителя заболевания является соединительно-тканная капсула, заполненная серозно-гнойным экссудатом с повышенным содержанием белка, эозинофильных и нейтрофильных лейкоцитов, которыми пропитана подкожно-жировая клетчатка. Для паразитов типично местонахождение - под кожей или в слизистой оболочкой, однако встречаются случаи, при которых очагом поражения становятся легкие, плевра, сердечная мышца. Гельминт со временем гибнет, постепенно разлагаясь в тканях организма, вызывая воспаления и некрозы близлежащих тканей.
Основные симптомы дирофиляриоза
Для 10-40% людей, инвазированных возбудителем дирофиляриоза, типичным симптомом является миграция уплотнения или самого паразита под кожей. Гельминт может перемещаться на расстояние в несколько десятков сантиметров, при этом скорость его движения может составлять 30 см за 1-2 суток. В каждом новом месте после миграции паразита появляется уплотнение, а на старом месте обитания оно бесследно исчезает. При проведении физиотерапии, под воздействием токов УВЧ на кожу, согревающих мазей или прогревающих компрессов, отмечается увеличение скорости миграции гельминта.
Характерный признак дирофиляриоза – ощущение ползания и шевеления живого паразита внутри подкожного узла, опухоли или уплотнения. У большинства больных отмечается рецидив инвазии с фазами ремиссии и обострения процесса. Если своевременно не удалить гельминт, в месте его локализации может образоваться абсцесс.
Дирофиляриоз глаз – самая распространенная и видимая форма заболевания
В 50% случаев заболевания дирофиляриозом, паразит локализуется под кожей век, под конъюнктивой и слизистой оболочкой, а иногда - в глазном яблоке.
При этой форме заболевания происходит поражение век, конъюнктивы, передней камеры глаза, глазницы и склеры. Поражение кожи век и бровей сопровождается отеком по типу Квинке, причиной которого является паразитирование дирофилярии в подкожно-жировой клетчатке. Клинически это проявляется отечностью, пастозностью век и их малоподвижностью, сопровождается зудом, слезотечением, болезненностью при пальпации. Некоторые пациенты жалуются на ощущение инородного тела в глазу и шевеление в уплотненной области глаза. Кроме этого, типичными признаками являются блефароспазм, гиперемия кожи век. Под кожей появляется гранулема, опухоль или небольшие уплотненные узелки. Иногда можно невооруженным глазом увидеть присутствие дирофилярии в конъюнктиве глаза. Острота зрения при заболевании остается неизменной, однако может отмечаться повышение внутриглазного давления.
Диагностика, лечение и профилактика
Диагностика заключается в сборе анамнеза (контакт с животными, нахождение в эндемичной зоне), выявлении паразита и анализе крови, в котором отмечается увеличение количества эозинофилов. Необходимо полное обследование пациента, так как дирофилярия может поражать внутренние органы (например, сердце, легкие), в таких случаях внешняя диагностика невозможна и характерные признаки дирофиляриоза - «подозрительные» узелки не обнаружить. В таких случаях можно выявить заражение с помощью иммуногистохимического исследования и УЗИ. Лечение заключается в удалении гельминта хирургическим методом. Перед этим целесообразно назначить прием препаратов, например, дитразина, который препятствует передвижению паразита.
Профилактика дирофиляриоза заключается в индивидуальной защите от кровососущих насекомых, особенно в периоды активности (май-июнь). Отличный способ профилактики – применение в опасные периоды противогельминтной программы, разработанной российскими учеными для уничтожения более 100 видов паразитов на любых стадиях развития. «Gelmostop» сможет уберечь от развития дирофиляриоза, умертвив паразита на стадии заражения и выведя из организма продукты его жизнедеятельности.
Эффективность воздействия на организм препаратов, входящих в программу «Gelmostop», подтверждено специально проведенными исследованиями. Состав всех препаратов исключительно растительного происхождения, что гарантирует безопасность применения и хорошую переносимость в любом возрасте (для детей разработан специальный комплекс «Gelmostop-mini»)
Дополнительные меры профилактики: использование репеллентов, москитных сеток для окон, защитной одежды, профилактическая дегельминтация домашних питомцев – все эти нехитрые предосторожности способны уберечь вас от скальпеля хирурга.
При «подозрительных» укусах, повышенном зуде, нехарактерных болевых ощущениях, появлении уплотнения, следует немедленно обратиться к врачу – чем быстрее будет выявлен и извлечен паразит, тем меньше вреда он успеет причинить свои нежеланным соседством.
Читайте также:
