Дистальный прикус. Причины и признаки дистального прикуса
Добавил пользователь Евгений Кузнецов Обновлено: 24.01.2026
По данным различных исследований, дистальный или прогнатический прикус — самая распространённая патология и встречается примерно у 30% детей и 15-20% взрослых с неправильным прикусом.
Дистальный прикус (дистальная окклюзия) — это патология зубных рядов, при которой верхняя челюсть сильно выдвинута вперед по отношению к нижней при смыкании зубных рядов. Непропорциональное смыкание возникает как из-за чрезмерного развития верхней челюсти, так и недостаточного развития нижней.
Признаки дистального прикуса
Любой неправильный прикус определяется прежде всего по положению зубных рядов при смыкании. Но некоторые окклюзионные аномалии отражаются на внешности в целом: формируют черты лица, мимику, симметрию, влияют на положение тела.
Внутриротовые признаки
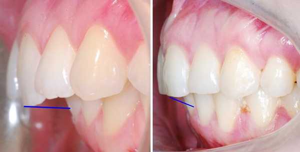
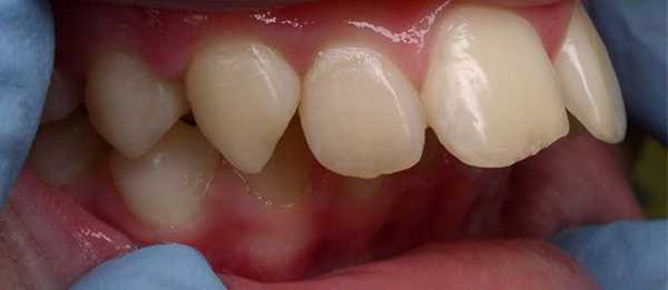
В полости рта дистальный прикус определяется по выступающим вперед верхним фронтальным зубам. В норме, при ортогнатическом прикусе, верхние резцы перекрывают нижние примерно на 1/3. При дистальной патологии между верхними и нижними резцами образуется расстояние — «саггитальная щель».

Саггитальная щель и прикус в норме
Внешние признаки
Из-за непропорционально выдвинутой верхней челюсти, дистальный прикус можно определить по выпуклому или «птичьему» профилю. Нос и верхняя губа выступают вперед, нижняя губа западает. Подборок скошенный, непропорционально маленький, иногда со складкой — «вторым подбородком». При серьезной дистальной окклюзии (с большой саггитальной щелью) губы в расслабленном состоянии не смыкаются и рот всегда немного приоткрыт.

Профиль до и после лечения дистального прикуса
Дистальный прикус визуально отражается на осанке — все тело немного наклоняется вперед. Для пациента с дистальной окклюзией характерна выраженная сутулость, удлиненная наклонённая вперед шея, выпирающий живот.
Функциональные признаки
Кроме внешних признаков, дистальный прикус сопровождается неудобствами при глотании, пережевывании пищи, затрудняет носовое дыхание и речевые функции.
Однако обычно аномалии окклюзии развиваются постепенно с детства, поэтому взрослый человек с большей вероятностью адаптируется и не будет ощущать неудобств.

Мы описали ряд возможных признаков, по которым можно выявить дистальный прикус. Но точный диагноз и методики лечения определяет только стоматолог-ортодонт.
Причины формирования дистального прикуса
На формирование челюстей влияют множество факторов, часть из которых определяет прикус еще до рождения ребенка или во время внутриутробного развития. Некоторые причины развития неправильного прикуса можно контролировать и предотвратить аномалии в раннем возрасте. Чаще всего дистальная окклюзия — это результат комбинации многих факторов, о которых мы расскажем ниже.
Генетические причины
Дистальный прикус наследуется примерно в 66% случаев. При наличии наследственной предрасположенности — неправильного прикуса у родителей, дистальный прикус формируется в более раннем возрасте. Без своевременной профилактики дальнейшее воздействие внешних факторов на прикус только усугубит аномалию.
Особенности внутриутробного развития
Рост плода, и в том числе, формирование челюстей, нарушают неблагоприятная окружающая среда и состояние здоровья матери. К основным вредным факторам относятся: болезни матери, недостаток витаминов, высокий уровень радиации, употребление алкоголя.
Особенности кормления и раннего развития
В норме у новорожденных нижняя челюсть немного недоразвита и задвинута назад по отношению к верхней. Рост нижней челюсти происходит благодаря ее интенсивному движению и естественному напряжению при грудном вскармливании. Примерно через полгода у ребенка формируется правильный ортогнатический прикус. Кормление из неправильной бутылочки (со слишком широким отверстием для молока) на первых месяцах развития младенца не обеспечивает необходимой нагрузки на нижнюю челюсть. Следовательно, она не растет и остается в дистальном соотношении с верхней челюстью.
Усугубить дистальный прикус и увеличить саггитальную щель может слишком продолжительное сосание соски, пальца и прочих предметов. От пустышки рекомендуется отучить ребенка до 2-х лет.
При дальнейшем развитии малыша, нужно не забывать вовремя вводить в рацион умеренно твердые продукты. Без нагрузки и тренировки жевания, челюсти ослабевают и не растут.
Детские заболевания
Болезни, влияющие на неправильное развитие прикуса, можно разделить на 2 группы:
- Заболевания дыхательных путей. Ринит, синусит, аденоидит, искривлённая перегородка, прочие патологии и болезни, нарушающие естественное носовое дыхание. Если ребенок вынужден часто или постоянно дышать ртом, то его рот приоткрыт, а нижняя челюсть опущена. Такое положение челюстей закрепляется и превращается в дистальный прикус.
- Заболевания, негативно влияющие на развитие организма в целом. Рахит, нарушения эндокринной системы, недостаток фтора, кальция и других полезных веществ сказываются, в том числе, и на нормальном росте и формировании челюстей, прорезывании зубов.
Кариес или ранняя потеря молочных зубов
При потере или плохом состоянии зубов также негативно влияют на рост челюстей и формирование нормального прикуса.
Классификация дистального прикуса
Ортодонты используют несколько классификаций дистального прикуса.
Клинические формы дистального прикуса по Хорошилкиной:
- Зубоальвеолярная форма. Неправильный прикус этой формы обусловлен неправильно растущими отдельными зубами или неправильным развитием альвеолярного отростка — той части полости рта, из которой растут зубы.
- Гнатическая или скелетная форма. Прикус, образованный в результате непропорционального размера и положения челюстей по отношению к черепу и друг другу.
- Смешанная форма — прикус, сочетающий неправильное развитие челюстей и неправильный рост отдельных зубов.
Подклассы по Энглю:
- I подкласс — верхние резцы направлены вперед, иногда немного вверх. Для этого вида дистальной окклюзии характерная саггитальная щель.
- II подкласс — передние зубы растут по направлению назад, смыкаются с нижними резцами, саггитальная щель отсутствует.


Последствия дистального прикуса
Неправильное смыкание зубов всегда означает неравномерное распределение нагрузки на разные зубы — пока отдельные зубы в жевательном процессе не участвуют, другим приходится перерабатывать большей объем пищи с большей интенсивностью. Это предсказуемо приводит зубы к более быстрому изнашиванию. Под риском преждевременного поражения оказывается вся зубо-челюстная система в целом:
- ткани пародонта. Образуются рецессии десны, десневые карманы, воспаления.
- зубная эмаль. Под давлением в придесневой области на эмали возникают сколы —клиновидные дефекты. При неправильном смыкании зубы стираются.
- корни зубов становят подвижными и постепенно слабеют, повышается риск пульпита и периодонтита.
- височно-нижнечелюстной сустав.
Дистальный прикус может стать причиной расстройств и нарушений работы ЖКТ из-за неэффективной переработки пищи.
Диагностика дистального прикуса
Для оценки состояния прикуса и определения его вида в первую очередь проводится визуальный осмотр зубов и полости рта стоматологом-ортодонтом и сбор информации от пациента. При первичном осмотре врач также обращает внимание на состояние сустава, осанку, признаку нарушения носового дыхания. Для дальнейших расчётов и составления плана лечения нужны более точные данные, которые можно поучить с помощью современных диагностических методов.

Выпуклый профиль при дистальном прикусе

Дистальное положение челюстей на телерентгенограмме
- Компьютерная томография или 3D-проекция черепа. По ней можно оценить важные показатели для ортодонтического лечения: клиническую форму прикуса, размер и положение челюстей. Положение и соотношение зубов в костной ткани и ее объемы. Состояние и положение головки височно-нижнечелюстного сустава. Трехмерная модель черепа дает более точное представление о положении зубов и челюстей, чем классических 2D-снимок черепа в боковой проекции.
- Слепки зубных рядов. По ним определяются нюансы смыкания, положения и будущего движения зубов.
- Фотопротокол. Для оценки состояния прикуса и полости рта на диагностике фиксируются на фото зубы с разных ракурсов, в сомкнутом, несомкнутом состоянии, а, также, лицо в профиль, анфас, с улыбкой, с открытым и закрытым ртом. Снимки помогают отслеживать динамику лечения, корректировать и оценить финальный результат лечения.
Лечение дистального прикуса
Лечение прикуса у детей
Дистальный прикус может начать развиваться на разных этапах: с самого рождения, при появлении молочных зубов или при смене на постоянный прикус. Чем раньше будет диагностирована патологии и начнется лечение, тем меньше времени и менее сложную методику придется использовать.
Родители могут предупредить развитие и осложнения дистального прикуса, если будут следовать рекомендациям по вскармливанию, наблюдать за методом дыхания, не допускать развитие хронических форм ЛОР-заболеваний и не давать закрепляться вредным привычкам.
Если все-таки имеется подозрение на неправильный прикус, обратиться к ортодонту впервые можно с появлением первых зубов, примерно с трех лет.
В раннем возрасте дистальный прикус исправляется с помощью съемных техник: тренажеров для мышц, аппаратов для стимулирования роста нижней челюсти и замедления роста верхней, заслонов для языка.
Лечение дистального прикуса у взрослых
С подросткового возраста, при постоянном прикусе выравнивание зубов и исправление патологий возможно только на несъемной аппаратуре — брекетах или съемных элайнерах. Для лечения дистальной окклюзии подходят все виды брекетов: внешние металлические и керамические, внутренние (лингвальные)
Часто дистальный прикус сопровождается смещением головки височно-нижнечелюстного сустава. Такие пациенты дополнительно используют суставную шину для коррекции движения и положения челюстей.
При невозможности скорректировать положение челюстей аппаратами из-за их аномальных размеров, приходится прибегнуть к челюстно-лицевой хирургии: расширению нижней челюсти или сужению верхней.


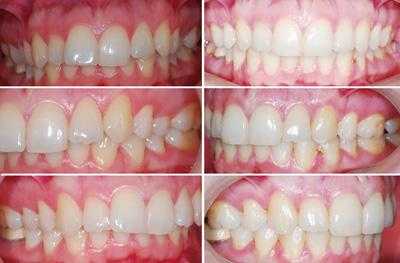
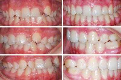
Завершенные клинические случаи дистального прикуса
Лечение дистального прикуса в клинике «Конфиденция»
Клиника «Конфиденция» предлагает своим пациентам грамотное лечение с использованием современных европейских и американских методик исправления прикуса.
Ортодонтическое отделение Конфиденции включает опытных врачей-ортодонтов, которые занимаются не только ортодонтической практикой, но также читают лекции и проводят учебные мастер-классы по ортодонтии для специалистов. В их портфолио входят самые разные по сложности случаи лечения дистального прикуса.
Также, в команде ортодонтов есть специалисты по лечению дисфункции ВНЧС.
Мы уделяем большое внимание диагностическому этапу. Обеспечиваем его точность за счет современного оборудования, детального анализа и обсуждения совместно с коллегами-ортодонтами и стоматологами других специальностей.
Наши доктора работают с разными брекет-системами и элайнерами, поэтому пациент может выбрать наиболее комфортный метод лечения.
Дистальный прикус
Дистальный прикус – нарушение окклюзии, обусловленное выдвижением верхнего зубного ряда вперед по отношению к нижнему при сомкнутых челюстях. Лицевые признаки дистального прикуса включают выступание верхней челюсти, скошенность подбородка («птичье лицо»), укорочение верхней губы и западение нижней; ротовые признаки представлены несмыканием верхних и нижних фронтальных зубов, неправильным смыканием боковых зубов. Могут иметь место нарушения дыхания, жевания, глотания, речи. Дистальный прикус диагностируется на основании клинического осмотра, изучения лицевого профиля, моделей челюстей, цефалометрических данных телерентгенографии, рентгенографии или томографии ВНЧС. Лечение дистального прикуса проводится с помощью ортодонтических приспособлений (функциональных аппаратов, брекетов и др.).

Общие сведения
Дистальный прикус – вариант неправильного прикуса, характеризующийся сдвигом нижнего зубного ряда назад по отношению к верхнему, резцовой дизокклюзией и нарушением взаимоотношения боковых зубов в сагиттальном направлении. В детском и подростковом возрасте дистальный прикус встречается у 6,5-15% обследуемых. В общей структуре зубочелюстных аномалий доля дистального прикуса составляет 31%. Наряду с мезиальным прикусом (прогенией), дистальная окклюзия зубных рядов относится к сагиттальным аномалиям прикуса. Понятию дистальный прикус в стоматологии также соответствуют термины «постериальный прикус», «прогнатический прикус» или «прогнатия».

Причины дистального прикуса
Следует отметить, что в норме у всех новорожденных нижняя челюсть имеет дистальное положение: она располагается на расстоянии 1-10 мм позади верхней, в результате чего между челюстями образуется сагиттальная щель. В дальнейшем, в процессе грудного вскармливания, прорезывания зубов и развития функции жевания положение нижней челюсти постепенно выравнивается, она занимает нормальное положение относительно верхней, а дистальный прикус переходит в ортогнатический. Таким образом, одной из причин формирования дистального прикуса выступает искусственное вскармливание, не требующее от ребенка особых усилий при сосании и, следовательно, не стимулирующее рост нижней челюсти.
Аномалии зубов и прикуса (в т. ч. дистальная окклюзия) встречаются у 60% детей, переболевших рахитом; у 34% детей, страдающих заболеваниями носоглотки с нарушением носового дыхания (аденоидами, хроническим гипертрофическим ринитом, искривлением носовой перегородки и др.). Свой негативный вклад в формирование дистального прикуса вносят вредные привычки, такие как длительное сосание пустышки, пальца, игрушек и других посторонних предметов, закусывание губы.
Также среди причинно значимых факторов следует отметить дефицит кальция и фтора в организме, отсутствие или недостаточное количество в рационе ребенка раннего возраста твердой пищи, раннее удаление молочных зубов и отсутствие протезирования. Кроме этого, дистальный прикус может являться следствием врожденных аномалий развития челюстей, родовой травмы, травм челюстей, нарушений осанки.
Классификация
В ортодонтии предложено несколько классификаций дистального прикуса (по Е. Энглю, А.И. Бетельману, Ф.Я. Хорошилкиной, Л.С. Персину, Ю.М.Малыгину и др.).
Так, Е. Энгль, относивший дистальную окклюзию к II классу смыкания зубных рядов, выделил 2 в нем подкласса:
- 1 подкласс – веерообразный наклон верхних резцов, сужение зубных рядов в боковых участках
- 2 подкласс - небный наклон центральных верхних резцов; отклонение боковых резцов в сторону губы и поворот по оси; отсутствие сагиттальной щели между верхними и нижними резцами
А.И. Бетельман различает несколько клинических разновидностей дистального прикуса:
- верхнюю макрогнатию при нормально развитой нижней челюсти;
- нижнюю микрогнатию при нормально развитой верхней челюсти;
- верхнюю макрогнатию в сочетании с нижней микрогнатией;
- прогнатию со сжатием верхней челюсти в боковых отделах.
На основании морфологических изменений, определяемых при анализе телерентгенограмм, Ф.Я. Хорошилкина выделяет гнатическую, зубоальвеолярную и сочетанную формы дистального прикуса.
Симптомы дистального прикуса
Как и в случае с глубоким прикусом, характерные признаки дистального прикуса могут быть условно поделены на лицевые и ротовые, которые приводят к эстетическим и функциональным нарушениям. Наличие дистального прикуса сопровождается изменением профиля и пропорций лица за счет выдвижения вперед верхней челюсти, недоразвития или скошенной формы подбородка, отчего лицо пациента иногда приобретает так называемый «птичий» вид. Верхняя губа вздернута; центральные верхние резцы выступают вперед, нижняя губа находится позади них. Рот у пациента с дистальным прикусом слегка приоткрыт, губы не смыкаются, подбородочная складка резко очерчена.
Определяющими внутриротовыми признаками дистального прикуса служат выдвижение вперед верхних фронтальных зубов; несмыкание верхних и нижних резцов с наличием между ними сагиттальной щели; нарушение взаимного расположения боковых зубов в переднезаднем направлении. В чистом виде дистальный прикус встречается редко; гораздо чаще он сочетается с аномалиями положения зубов, диастемой, тремами, глубоким, открытым или перекрестным прикусом, готическим нёбом.
Дистальный прикус неблагоприятно отражается не только на внешнем виде пациента, но и на функционировании зубочелюстного аппарата, органов дыхания и артикуляции. При дистальном прикусе затрудняется откусывание, пережевывание и глотание пищи, нарушается носовое дыхание, отмечаются болевые ощущения в височно-нижнечелюстном суставе. У детей с дистальным прикусом, чаще, чем у их сверстников, имеются нарушения речи (дислалия), требующие логопедической коррекции.
Дистальный прикус несет в себе повышенный риск развития кариеса, заболеваний пародонта (пародонтита, пародонтоза) задних зубов, испытывающих чрезмерную жевательную нагрузку, дисфункции ВНЧС. Наличие дистального прикуса сопряжено с техническими трудностями проведения протезирования и дентальной имплантации.
Опытный ортодонт уже по внешним признакам может определить наличие у пациента дистального прикуса. При клиническом осмотре обращается внимание на размеры челюстей, взаимное расположение зубных рядов, наличие сагиттальной щели, форму челюстей и альвеолярного отростка и т. д.
Для дифференциальной диагностики разновидности дистального прикуса проводится телерентгенография с последующим анализом и расчетом рентгенцефалометрических показателей; определение конструктивного прикуса; изготовление и исследование диагностических моделей челюстей. С целью оценки состояния элементов височно-нижнечелюстного сустава и жевательных мышц используется рентгенография или томография ВНЧС, электромиография, реография.
Исправление дистального прикуса должно начинаться еще до смены временных зубов постоянными. В этот период показано лечение, направленное на сдерживание роста верхней и стимуляцию развития нижней челюсти, которое осуществляется с помощью съемной ортодонтической аппаратуры (регулятора функции Френкеля, съемной пластинки Катца, активатора Андрезена-Гойпля, LM-активатора и др.). Комплекс лечебных мероприятий может включать в себя миогимнастику, избирательное пришлифовывание зубов, удаление сверхкомплектных зубов на верхней челюсти, устранение вредных привычек, нормализацию носового дыхания и пр.
В периоде сменного прикуса основной целью лечебного воздействия является исправления формы и соотношения зубных дуг, для чего применяются съемные пластиночные аппараты, аппараты Хургиной, Гуляевой, Курляндского, Энгля, небный расширитель, преортодонтические трейнеры и пр.
После завершения роста челюстных костей лечение дистального прикуса может проводиться с использованием брекет-систем, иногда в сочетании с аппаратурным методом (аппаратом Гербста, лицевой дугой или пружиной Саббаха и пр.). Для исключения рецидива дистального прикуса после курса активной терапии длительностью 3-4 года показано ношение ретенционных аппаратов (съемных или несъемных ретейнеров) в течение 1,5-2 сроков основного лечения. При некоторых формах дистального прикуса предварительно требуется проведение хирургического лечения (удаление нескольких зубов, компактостеотомия).
Для устранения сопутствующих дистальному прикусу нарушений может возникнуть потребность в помощи стоматолога-терапевта, хирурга, пародонтолога, логопеда, отоларинголога.
Прогноз и профилактика
Соблюдение всех рекомендаций ортодонта в процессе лечения дистального прикуса у детей и подростков позволяет рассчитывать на благоприятный эстетический и функциональный результат. Во взрослом возрасте коррекция дистального прикуса представляет большие сложности и занимает более длительное время.
Предотвращение формирования дистального прикуса диктует необходимость грудного вскармливания ребенка, своевременного перевода малыша на твердую пищу, отучение его от вредных привычек, проведение профилактики рахита, воспалительных заболеваний носоглотки и нарушений осанки.
Неправильный прикус
Неправильный прикус - аномальное смыкание зубных рядов, обусловленное челюстно-лицевой деформацией. Проявляется эстетическими недостатками внешнего вида, нарушением дыхания, мимики, жевания, речи. Может являться риск-фактором развития частых респираторных заболеваний, болезней ЖКТ, кариеса. Диагностируется в ходе ортодонтического обследования, включающего изготовление и анализ диагностических моделей, ТРГ, ортопантомографию, КТ челюстей. Коррекция неправильного прикуса может проводиться при помощи специальных аппаратов и капп, ретейнеров и брекет-систем.
МКБ-10


Прикус является основным параметром нормального развития и функционирования зубочелюстной системы. Ортогнатический прикус, при котором верхние зубы слегка прикрывают нижние, считается нормой, такой прикус встречается у большинства людей. Неправильный прикус развивается в силу генетической детерминированности, при наличии привычки сосать палец, вследстивие хронического нарушения носового дыхания. Коррекцией прикуса занимается ортодонт.
Причины неправильного прикуса
Основной причиной формирования неправильного прикуса является наследственная предрасположенность. Неправильный уход за ребенком в период формирования прикуса может привести к различным дефектам зубочелюстной системы. В период новорожденности верхняя челюсть ребенка больше, чем нижняя. За счет естественного вскармливания к концу первого года жизни челюсти выравниваются. Если во время сосания груди ребенок малоактивен, то выравнивание челюстей произойдет не в полном объеме, что чревато развитием неправильного прикуса.
Испорченная осанка может повлиять на формирование прикуса в дошкольном и младшем школьном возрасте. Из-за неправильного положения голова уходит вперед туловища, что может спровоцировать деформацию челюсти и формирование неправильного прикуса.
Частые заболевания, протекающие с нарушением носового дыхания, в сочетании с другими факторами увеличивают риск развития одного из типов неправильного прикуса. Мягкие ткани губ, языка и щек принимают участие в формировании челюстей, и, если носовое дыхание нарушено, а рот постоянно приоткрыт, развитие челюстей происходит с отклонениями.
Патогенез
Существует пять периодов формирования правильного ортогнатического прикуса, если имеются отклонения в каком-либо из периодов, то возможно формирование неправильного прикуса и других аномалий зубочелюстной системы:
- Первый период с рождения до полугода;
- С 6 месяцев до трех лет происходит формирование временного прикуса – это второй период на протяжении которого прорезываются все временные зубы.
- Третий период от 3 до 6-ти лет является подготовительным, так как начинается активный рост челюстей для дальнейшего прорезывания постоянных зубов.
- С 6-ти до 12-ти лет наблюдается активный рост челюстей и параллельно прорезываются постоянные зубы, поэтому этот период называется смешанным.
- И пятый период с 12-ти до 16-ти лет характеризуется окончательным формированием прикуса и заменой всех временных зубов на постоянные.
Если имеются нарушения роста челюстей или нарушения в прорезывании зубов, то это может привести к формированию неправильного прикуса. Например, к скученности зубов, это происходит, если постоянные зубы прорезывались вовремя и крупные, а рост челюсти приостановился. Иногда нарушение роста челюсти может закончиться отсутствием клыков, резцов или премоляров или же формированием промежутков и диастем.
Неправильный прикус из-за нарушения роста челюстей может проявляться отклонением от нормального расположения зубов и повороту части зубов на одной из челюстей. Иногда резцы одной челюсти значительно перекрывают другую; в редких случаях формируется открытый неправильный прикус, когда резцы не смыкаются совсем. Виды неправильного прикуса:
- При дистальном неправильном прикусе верхняя челюсть чрезмерно развита или наоборот отмечается недоразвитие нижней челюсти.
- При мезиальном прикусе вперед выдвинута нижняя челюсть.
- При глубоком прикусе верхние зубы закрывают нижнее более чем на половину.
- Открытый неправильный прикус формируется, если большая часть зубов при соприкосновении челюстей не смыкается.
- Если формируется одностороннее недоразвитие одного из зубных рядов, то такой прикус называют перекрестным.
- Дистопией называют неправильный прикус, при котором зубы занимают не свое место в ряду.

КТ черепа (3D-рендеринг). Прогнатический прикус, зубы верхней челюсти (красная стрелка) выстоят кпереди, отсутствует контакт резцовых краев при смыкании.
Симптомы неправильного прикуса
Неправильный прикус является как эстетическим недостатком, так и причиной нарушения носового дыхания, речевых и мимических нарушений. Иногда неправильный прикус ведет к развитию ЛОР-заболеваний и частым респираторным вирусным инфекциям, что заканчивается формированием хронических отитов, гайморитов, синуситов и фарингитов.
При неправильном прикусе пища плохо пережевывается, так как зубы смыкаются не полностью или же вообще отсутствует контакт между ними. Это может стать причиной заболеваний желудочно-кишечного тракта и кариеса, так как должный уход за полостью рта невозможен.
Диагностика
Диагностикой и коррекцией неправильного прикуса занимается ортодонтия. На первом этапе происходит подготовка к ортодонтическому лечению, которая включает в себя комплекс диагностических мероприятий, по результатам которых и определяется степень сложности терапии. Для этого делают ортопантомограмму (панорамный снимок), радиовизиографию или же используют данные компьютерной томографии. Снимки позволяют увидеть и оценить степень изменений в зубочелюстной системе.

КТ черепа. Прогнатический прикус, зубы верхней челюсти (красная стрелка) выстоят кпереди (этот же пациент).
Коррекция неправильного прикуса
Перед основным лечением проводят санацию полости рта: лечение кариеса и профессиональную гигиену полости рта. Важно лечение сопутствующих заболеваний, которые могут обостриться в процессе установки брекетов. На период коррекции неправильного прикуса необходимо отказаться от газированных напитков, вязкой пищи, жевательной резинки, орехов, конфет и меда, так как эти продукты трудно счищаются с зубной эмали и могут повредить брекет-систему.
Длительность ортодонтического лечения - от полугода до 2-х лет. Все это время необходимо уделять особое внимание уходу за ортодонтическими аппаратами. Эффективность коррекции неправильного прикуса зависит от того, насколько качественно и регулярно производился уход за ними.
Установка брекетов
Во время основного этапа коррекции неправильного прикуса производят установку брекетов, для их фиксации используются клеевые композиты. Однако, в зависимости от типа брекетов используются разные методики установки. Каждый вестибулярный брекет наклеивают на переднюю поверхность зубов, которые нуждаются в коррекции, далее на них крепят опорные кольца, а в замочки продевают силовую дугу. Дуга изготавливается из материалов, обладающих эластичностью и упругостью, за счет чего она стремиться занять ту форму, которую ей придали первоначально.
Лингвальные брекеты установить сложнее, так как внутренний рельеф зубного ряда разнообразнее. Вначале делается слепок зубных рядов, после чего брекет-система отрабатывается на данной конструкции и только потом фиксируется клеем на внутренней поверхности зубов.
Процесс установки брекетов безболезненный и редко сопровождается неприятными ощущениями. Однако в течение недели у пациента может наблюдаться болевой синдром, который рекомендуется купировать анальгетиками, в случае же сильных болей необходимо обратиться к врачу, который занимается коррекцией неправильного прикуса.
При ношении брекет-систем доступ к зубам затруднен, что может способствовать развитию кариеса. Чистку зубов необходимо производить после каждого приема пищи и использовать специальные щетки для пациентов, проходящих курс коррекции неправильного прикуса. Использование суперфлоссов, которые благодаря твердому кончику, легко продеваются между зубами у края десны, помогает удалить остатки пищи с участков, которые недоступны для чистки зубной щеткой и ершиком.
Ретенционный период
Третий период является восстановительным, или ретенционным. Мероприятия, проводящиеся в этот период направлены на закрепление полученного с помощью брекетов результатов. При неправильном прикусе после резкого снятия брекетов зубы через некоторое время вновь займут свое положение, во избежание чего используют ретейнеры, период ношения которых в 2 раза дольше, чем период ношения брекетов.
Длительность ношения ретейнеров зависит от общего состояния зубочелюстной системы, от возраста пациента и от наличия у него системных заболеваний. Ретейнеры могут быть съемными и несъемными, несъемные аппараты крепятся аналогично брекетам на лингвальную поверхность зубов, что делает их незаметными для окружающих. Съемные же ретейнеры представляют собой ортодонтические пластинки, которые крепятся на ночь. Давление, смещающее нижнюю челюсть, создается за счет пластиковых дуг и капп. Силиконовые ретейнеры становятся более популярными, так как практически не заметны во время разговора и при улыбке.
Профилактика
При искусственном вскармливании дырочка в соске должна быть маленькой, чтобы ребенок прилагал усилия для высасывания, чрезмерно большая дырочка не требует активных жевательных и сосательных движений, поэтому челюсть не развивается.
Ребенок не должен все время спать в одной позе, поэтому родителям необходимо контролировать положение ребенка во время сна. В целом же постель должна быть удобной, но не чрезмерно мягкой, тело ребенка во сне расслабленным, кроме этого ребенок не должен подкладывать под щеку кулачок или игрушки. Необходимо пресекать у ребенка вредные привычки сосать палец, пустышку и посторонние предметы. Это приводит к тому, что зубы отодвигаются так далеко, как позволяет размер пустышки. В результате формируется щель между верхним и нижним зубным рядом.
Неправильный прикус у детей
Неправильный прикус у детей – аномальное смыкание зубных рядов при привычном неподвижном положении нижней челюсти. Неправильный прикус у детей сопровождается несвоевременным прорезыванием, скученностью и дистопией зубов; наличием трем и диастем между зубами; болями в области челюсти, головными болями; дефектами звукопроизношения; повышенным риском развития кариеса, пародонтита, заболеваний ВНЧС. Определение неправильного прикуса у детей проводится ортдонтом на основании осмотра и выполнения ортопантомограммы, телерентгенограммы, снятия диагностических моделей. Для исправления неправильного прикуса у детей используются брекет-системы, съемные аппараты, миотерапия, хирургическое лечение.
Неправильным прикусом у детей называют такое взаимное расположение зубов верхней и нижней челюсти, которое не отвечает физиологическим нормам и функциональным потребностям. В стоматологии и ортодонтии за норму принят так называемый ортогнатический прикус, при котором верхние резцы перекрывают нижние примерно на треть высоты зубных коронок (1,5-3 мм). По статистике, около 35% детей имеют проблемы с прикусом той или иной степени выраженности и нуждаются в консультации детского ортодонта. Неправильный прикус у ребенка является не просто эстетическим недостатком, а может приводить к серьезным заболеваниям зубочелюстной, дыхательной, пищеварительной, опорно-двигательной систем, нарушениям речи, психологическому дискомфорту.
Причины неправильного прикуса у детей
Формирование патологического прикуса у детей может начинаться уже в младенчестве. Чаще всего неправильный прикус диагностируется у детей, получающих искусственное вскармливание. Дело в том, что у новорожденных нижняя челюсть несколько укорочена по отношению к верхней, и на первом году жизни, в процессе естественного вскармливания, происходит выравнивание размеров челюстей. Сосание материнской груди сопровождается активной работой лицевых мышц и движениями нижней челюсти, что способствует ее развитию. Напротив, кормление из бутылочки не требует от ребенка усиленного сосания и задействования нижней челюсти, поэтому она продолжает отставать в размерах от верхней челюсти.
Однако слишком долгое (свыше 1,5 лет) грудное вскармливание детей также может привести к формированию у них неправильного прикуса. К тому же, в этом возрасте в рационе ребенка обязательно должна присутствовать плотная, твердая пища, требующая тщательного пережевывания. В противном случае недостаточная нагрузка на жевательный аппарат также послужит развитию у детей неправильного прикуса.
Неблагоприятным образом на развитии зубочелюстной системы ребенка сказываются вредные оральные привычки: частое и бесконтрольное использование соски, прикусывание губ, сосание пальца или игрушек, бруксизм, привычки грызть ногти и карандаши и пр. В этих случаях также возможно образование диастемы. Способствовать возникновению неправильного прикуса у детей может однообразное положение головки ребенка во время кормления или сна (запрокидывание головки назад или опускание на грудь, привычка спать в одной и той же позе, подкладывание руки под щеку и т. п.).
Тесная взаимосвязь отмечается между состоянием прикуса и характером дыхания ребенка. Нарушение носового дыхания (при аденоидах у детей, хроническом рините, искривлении носовой перегородки, полипах полости носа) и дыхание через рот приводит к неправильному положению языка, несмыканию губ и зубов на фронтальном участке и формированию аномального прикуса у детей. В свою очередь, неправильный прикус также способствует переходу к ротовому дыханию, уменьшению объема носовых полостей и сужению носовых ходов, слабому обогреву и увлажнению воздушной струи, недостаточной бактериостатической и бактерицидной функции слизистой оболочки и частым респираторным заболеваниям – ангинам, ларингитам, трахеитам, бронхитам и пневмониям.
Немаловажную роль в формировании неправильного прикуса у детей играет преждевременная потеря молочных зубов, нарушение сроков прорезывания зубов вследствие нехватки в организме минеральных веществ (фтора, кальция), адентия, множественный кариес, короткая уздечка языка, травмы челюсти. В некоторых случаях неправильный прикус наследуется детьми от родителей. Относительно редко неправильный прикус у детей являются следствием врожденных дефектов, таких как расщелины неба или недоразвитие челюстей.
Классификация неправильного прикуса у детей
К нормальным видам прикуса, обеспечивающим правильное функционирование зубочелюстной системы, относят ортогнатический, прогенический, прямой и бипрогнатический. Среди вариантов неправильного прикуса у детей выделяют следующие основные разновидности:
- дистальный прикус (прогнатия) – резкое выступание верхней челюсти вперед, ее преобладание над нижней челюстью
- мезиальный прикус (прогения) – резкое выступание нижней челюсти вперед, ее преобладание над верхней
- глубокий прикус – глубокое (более чем на 50%) перекрытие верхними резцами нижних
- перекрестный прикус – нарушение нормального соотношения зубных дуг, их смещение вбок относительно друг друга
- открытый прикус – несмыкание верхних и нижних резцов при сомкнутых коренных зубах (открытый передний прикус) или несмыкание коренных зубов при сомкнутых резцах (открытый боковой прикус).
Симптомы неправильного прикуса у детей
К очевидным признакам неправильного прикуса у ребенка следует отнести выдвижение челюстей вперед или назад, неровные зубные ряды, чрезмерная скученность зубов, гипердентия (наличием «лишних», сверхкомплектных зубов), дистопия (неправильное расположение зубов), наличие диастем и трем между зубами. Дети с неправильным прикусом могут жаловаться на трудности с жеванием и глотанием пищи, постоянное прикусывание языка или щек, боль в челюсти и мышцах лица, регулярные головные боли.
Внимательные родители смогут заподозрить проблему неправильного прикуса у своих детей по некоторым косвенным признакам: преобладанию ротового дыхания, заметному напряжению губ и подбородка при глотании, изменению профиля, несимметричности лица, нарушению сроков прорезывания молочных и постоянных зубов.
Однако внешние признаки неправильного прикуса у детей – это всего лишь «вершина айсберга»; гораздо более драматическими могут быть отдаленные последствия. Дети с неправильным прикусом, как правило, «обречены» на быстрое стирание зубной эмали и возникновение гиперестезии зубов. Неприятными спутниками неправильного прикуса у детей служат частые травмы языка и щек, травматические язвы в полости рта, язвенный гингивит, пародонтит, пародонтоз, заболевания височно-нижнечелюстного сустава и др.
Наличие переднего открытого прикуса у детей затрудняет надкусывание пищи; наличие открытого бокового прикуса ограничивает жевание, а наличие дистального и глубокого прикуса ухудшает дыхание. Некачественное пережевывание пищи сопровождается проблемами с пищеварением, нарушение дыхания способствует возникновению частых ОРВИ. Все виды неправильного прикуса в той или иной степени приводят к нарушению звукопроизношения, нечеткости речи, обусловливая наличие у детей механической дислалии.
Дети с неправильным прикусом чувствуют свою физическую неполноценность на фоне сверстников, что постепенно приводит к вторичным психологическим проблемам: замкнутости, унынию, раздражительности.
Диагностика неправильного прикуса у детей
Дети с неправильным прикусом должны быть обследованы детским отоларингологом, детским стоматологом, детским пародонтологом, логопедом. Основная роль в выявлении вида и степени нарушения прикуса принадлежит детскому ортодонту.
С целью проведения подробных расчетов и составления грамотного плана лечения проводится панорамный снимок (ортопантомограмма), рентгенография черепа в боковой проекции (телерентгенограмма), фотографирование лица в фас и профиль. На основании снятого альгинатного слепка изготавливается диагностическая гипсовая модель зубных рядов. Для получения дополнительных данных о неправильном прикусе у детей может потребоваться компьютерная томография, миография. После сбора всех необходимых данных производится компьютерное моделирование результатов лечения.
Лечение неправильного прикуса у детей
Исправление неправильного прикуса у детей происходит гораздо быстрее, чем у взрослых, поэтому исправление зубочелюстных аномалий необходимо проводить как можно раньше, желательно с возраста 5-6 лет. Перед началом ортодонтического лечения неправильного прикуса у детей необходимо проведение полной санации полости рта: терапии кариеса и болезней десен, профессиональной гигиенической чистки полости рта с последующей реминерализующей терапией. В случае скученности или гипердентии может потребоваться удаление зубов.
Возможности современной ортодонтии позволяют применять для коррекции неправильного прикуса у детей различные методики. На ранних стадиях, в период временного прикуса используется миотерапия – специальная лечебная гимнастика для тренировки мимических и жевательных мышц.
Детям в возрасте 5-12 лет, имеющим неправильный прикус, может быть рекомендовано ношение преортодонтического трейнера – функционального аппарата из эластичного силикона. Удобство трейнеров заключается в том, что они используются только во время сна и 1 час в течение дня; при этом эффективно воздействуют на мышцы и зубочелюстную систему, отучают детей от вредных оральных привычек.
Начиная с 11-12-летнего возраста, для коррекции неправильного прикуса у детей могут применяться ортодонтические пластинки - съемные аппараты. С помощью съемных пластинок можно повернуть и переместить зубы, сузить или расширить зубную дугу. Примерно с этого же возраста для исправления неправильного прикуса у детей применяется несъемная аппаратура – брекет-системы, представляющие собой маленькие замочки, с помощью которых каждый зуб соединяется со специальной дугой, корректирующей положение зубов. По окончании основного периода, для закрепления правильного положения зубов, возникает необходимость в ношении ретейнера или ретенционной каппы. Весь период исправления неправильного прикуса у детей с помощью брекет-системы в среднем занимает около 2-х лет.
Логопедические занятия по коррекции дислалии следует начинать, не дожидаясь окончания ортодонтического лечения. В редких и особо тяжелых случаях детям с неправильным прикусом может потребоваться помощь челюстно-лицевого хирурга и хирургическое лечение (устранение аномалий челюстей, уранопластика, велофарингопластика).
Профилактика неправильного прикуса у детей
В большинстве случаев родители в состоянии предупредить формирование неправильного прикуса у детей. Для этого желательно осуществлять грудное вскармливание, а в случае кормления ребенка смесью следует использовать соску с небольшим отверстием для стимуляции активного сосания. Необходимо своевременно отучать ребенка от соски, не культивировать вредные привычки, приучать к твердой пище, следить за сменой позы ребенка во время сна, прививать навыки ухода за полостью рта. После появления первых зубов (не позднее 1 года) рекомендуется посетить детского стоматолога, а в 5-6 лет – детского ортодонта.
К чему ведет дистальный прикус? Серьезные отклонения прикуса могут привести к развитию многочисленных зубных заболеваний. Во-первых, у людей с неправильно устроенным прикусом наблюдаются проблемы с жеванием и дыханием. Кроме того, нарушается правильность речи, а лицо выглядит непропорционально.

Начинает появляться недовольство своим внешним видом, возникают проблемы в голосовом общении с незнакомыми людьми. Человек стремится всячески отгородиться от общества и не показывать свою проблему.
Что такое дистальный прикус, основная информация
Дистальный прикус (еще известен под названием прогнатический) – это неправильное расположение челюстей в ротовой полости, при котором верхняя челюсть выступает над нижней. Разница в выступе может зависеть от индивидуальных особенностей ифункционального строения костей черепа.
При этой проблеме нарушается правильное соотношение зубного ряда: зубы начинают «находить» друг на друга, пересекаются, из-за чего происходит истирание зубной эмали и последующее разрушение.
Классификация
- развитая верхняя челюсть;
- недоразвитая нижняя челюсть.
В медицинской практике обе классификации встречаются достаточно часто, но бывают и другие сочетания и отклонения, которые невозможно отнести к классификации из-за редкого числа проявлений.
У определенной группы пациентов с дистальным прикусом между нижними и верхними зубами присутствует продольная щель.
Если щели нет, это говорит о смещении верхних зубов в сторону гортани (в сторону рта). Если у кого-то такое смещение хорошо видно человеческим взглядом, то у небольшой категории пациентов при дистальном прикусе смещение верхних зубов можно определить только в стоматологическом кабинете.
- Дистальный прикус — Первая форма. Ее характеризует сужение боковых рядов зубов и веерообразное расположение зубов.
- Дистальный прикус — Вторая форма. Характеризуется наличием небного наклона верхнего ряда зубов. Чаще всего максимальный угол наклона имеют центральные резцы. Боковые резцы могут быть повернуты по отношению к нижним зубам. Продольной щели между верхними зубами и нижними нет.
Две приведенные формы дистального прикуса являются самыми распространенными и постоянно изучаются стоматологами для назначения эффективного лечения прикуса.
По каким признакам можно определить дистальный прикус
- выпуклость лица;
- нижняя часть лица укорочена (примерно на треть);
- верхняя губа короткая;
- нижняя губа отведена назад (за верхние резцы);
- рот у человека практически всегда полуоткрыт;
- присутствует подбородочная складка;
- боковые зубы не смыкаются;
- верхние и нижние зубы во время жевания пищи не смыкаются.
От того, под каким углом располагается верхний зубной ряд, губа может иметь выступающий вид или уплощенный (если передние зубы отсутствуют). Диагностика дистального прикуса и подбор индивидуального метода лечения для пациента требует от стоматолога тщательного изучения симметрии и строения лица. Только после детального изучения профиля можно рекомендовать приемлемые способы лечения.

Сложность аномалии зависит только от размеров и расположения нижней и верхней челюсти. Определить наличие дистального прикуса можно по неправильному соответствию размеров челюстей.
Главной особенностью такого прикуса является то, что как самостоятельная аномалия зубного ряда он практически не встречается в общем виде у пациентов. Чаще всего стоматологам приходится диагностировать глубокий дистальный прикус, который включает в себя сразу две аномалии: дистальный и глубокий прикус.
- скрученность зубов на верхней или нижней челюсти;
- узкий верхний челюстной ряд.
- нижняя губа толще верхней;
- губы плотно сомкнуты;
- передние верхние зубы наклонены внутрь;
- на подбородке присутствует глубокая складка;
- между верхними и нижними зубами полностью отсутствует щель.
При дистальном прикусе у пациентов нарушается процесс жевания, дыхания и речи. Степень проблемы зависит только от выраженности симптомов прогнатического прикуса и других врожденных аномалий челюстной кости.
Почему возникает дистальный прикус
- Наследственный фактор.
- Прикус, унаследованный из детства.
- Развитие неправильного прикуса во время внутриутробной жизни.
- хроническая болезнь рта и носа;
- наличие у детей вредных привычек;
- нарушение осанки;
- выпадение зубов раньше времени.
Теперь подробнее рассмотрим факторы, которые могут отложить серьезный отпечаток на формировании дистального прикуса у человека.
Наследственный фактор
Сегодня проявление наследственного фактора в формировании многочисленных аномалий зубочелюстного ряда вызывает споры среди врачей, которые не могут прийти к единому мнению. Примерно половина специалистов уверена в том, что именно наследственный фактор, в большей степени, влияет на формирование дистального прикуса.

Почему было сделано такое заключение? Были изучены дети-близнецы в разных семьях, после чего установлена прямая зависимость наследственного фактора на формирование дистального прикуса у отдельных детей. Удалось выявить доминирующий фактор наследственности.
Из 576 изученных случаев деформаций прикуса у близнецов, дистальный прикус наблюдался только в 85% случаев. Можно также сделать предположение о том, что наследственный фактор является предрасположением к развитию аномалий прикуса. Они могут развивать только в благоприятных для этого условиях жизни и развития человека.
Внешние факторы влияют на появление, а также излечение дистального прикуса, о чем важно помнить всем, кто мечтает избавиться от этой проблемы. Если вы считаете, что у вас имеется предрасположенность, рекомендуется заранее провести диагностические врачебные мероприятия, а также подобрать возможный вариант лечения.
Хронические болезни носа и рта
Хронические простудные заболевания могут оказывать влияние на формирование неправильного, дистального прикуса. Главной особенностью таких болезней является нарушение проходимости дыхательных путей. Ребенку, да и некоторым взрослым приходится дышать ртом из-за заложенного носа.
Дыхание ртом формирует высокое небо и ведет к сужению верхней челюсти.
Вредные привычки у детей
Как ни странно, но именно вредные привычки у вашего ребенка могут привести к формированию дистального прикуса. Они приводят к изменению наклона зубов и смещению положения челюсти в ротовой полости.
Если вовремя не отучить малыша от привычек, они могут закончиться изменением формы лица и развитие дистального прикуса, лечить и исправлять который будет значительно дороже и дольше по временным затратам. Главная привычка, присущая детям – сосание пальца. Это может стать причиной-провокатором!
- неправильное глотание еды;
- нарушение жевательной функции;
- дыхание ртом;
- неправильное произношение звуков;
- давление языком на зубы.
Многие дети имеют одновременно не одну, а несколько вредных привычек, что только усугубляет ситуацию и требует от родителей моментальной реакции.
Если вы заметили, что малыш не выпускает палец изо рта, дышит ртом или давит языком на зубы – постарайтесь отучить его от этого.
Существуют специальные методики, позволяющие отучить детей от вредных привычек, что значительно упрощает родителям их задачу.
Нарушение осанки
Нарушение осанки – это еще одна специфическая причина, которая может вести к неправильному положению челюстей во рту.
Правильная осанка тела подразумевает нахождение спины и головы малыша на одном уровне. Как только происходит смещение и нарушение осанки, возникает предрасположенность к развитию дистального прикуса.
Родителям следует дать важный совет: обязательно следите за осанкой вашего ребенка.
Потеря молочных зубов ранее нужного срока
Ранняя потеря или удаление молочных зубов также считаются факторами, влияющими на возникновение аномалий челюсти. К сожалению, для удаления в большинстве случаев имеются четкие рекомендации и наставление врача, поэтому от этого никуда не денешься.
Что происходит с челюстью в случае раннего выпадения молочных зубов? Постоянные зубы моляры из-за переизбытка свободного места на десне могут вырасти с неправильным углом наклоном или расположением на десне.
Какие последствия дистального прикуса могут возникнуть
Дистальный прикус часто приводит к серьезным изменениям и нарушениям в зубочелюстной системе. Это часто ведет к необратимым структурным и морфологическим нарушениям в других системах организма. Именно о них сейчас более подробно и поговорим.
Нарушение геометрии лица
Нарушение геометрии наблюдается в тех случаях, когда передние зубы выдвинуты вперед по отношению к нижним зубам. У таких пациентов нижняя челюсть значительно слабее верхней, а также отличается малым размером.

У пациентов с нарушенной геометрией лица отмечается небольшой и острый подбородок, поэтому часто их называют нерешительными и слабыми, основываясь только на внешнем образе человека.
Нарушение глотательной и жевательной функции
Из-за невозможности правильного смыкания верхних и нижних зубов, у человека нарушается правильность жевательной функции. На задние зубы ложится повышенная нагрузка по сравнению с передними, поэтому они изнашиваются и требуют дорогостоящего лечения значительно чаще.
Движения челюстями носят дробящий и размалывающий характер. Могут сопровождаться щелчками. Примечательно и то, что для полного разжевывания и глотания пищи таким людям нужно произвести на 30% движений челюстью больше, чем при нормальных показателях.
Это приводит к ухудшению аппетита и снижению веса.
Повышение риска пародонта и кариеса
Если не заняться лечением дистального прикуса в детстве, то в будущем занятие это не принесет эффективных результатов. Таким людям приходится приспосабливаться к жизни с неправильным прикусом.
К сожалению, запущенная форма прикуса может увеличивать шансы возникновения заболеваний пародонта и кариеса в 3-4 раза. Проблемными считаются задние зубы, на которые ложится основная нагрузка во время жевания.
Проблемы височно-нижнечелюстного сустава
Функциональность височно-нижнечелюстного сустава при дистальном прикусе серьезно страдает. Во время разговора человек может испытывать нестерпимую боль, а улыбка и вовсе вызывает град слез из глаз.
Подвижность челюсти уменьшается, что ведет к уменьшению аппетита и желанию человека общаться со своими родными и близкими.
Проблемы у врачей во время протезирования
Из-за асимметричного расположения верхних и нижних зубов во время протезирования зубов, если таковая возникает, ортодонты испытывают сложности.
Для исправления этой ситуации приходится прибегать к предварительному лечению зубов и их спиливанию, а только после этого устанавливаются коронки или мосты.
Лечение дистального прикуса у детей
Своевременное лечение прогнатического прикуса у ребенка позволяет уменьшить риск разрушения и последующего выпадения зубов, а также снижает давление на височно-нижнечелюстной сустав.
Какие методы лечения применяются в возрасте до 13 лет? Как правило, для этих целей ортодонты применяют съемные конструкции, имеющие название пластин. Данные пластины не наносят вреда маленькому организму и абсолютно безопасны. Главной особенностью таких пластин является возможность стимуляции роста и развития нижней челюсти, на фоне чего развитие верхней челюсти немного притормаживается.
- регулятор функций Френкеля;
- открытый активатор Кламмта;
- бионатор Янсона;
- закрытый активатор Хойпля.
Кроме этих пластинок детям часто назначают такие системы, как трейнер и миобрейс. Они изготавливаются из медицинского силикона и абсолютно безопасны для молодого, растущего организма. Считается, что эти методы лечения прикуса являются наиболее положительными в возрасте до 10 лет.
Лечение дистального прикуса у взрослых
Поскольку у взрослых исправление прикуса происходит достаточно сложно и порой вызывает болезненные ощущения, предлагается применять специальные брекет-системы, идеально справляющиеся со своей основной задачей.

Если стадия дистального прикуса запущена, дополнительно к брекет-системам устанавливают вспомогательные аппараты и даже проводят оперативное хирургическое вмешательство. Главным минусом такого подхода является чувство болезненности и долгий период реабилитации пациентов.
- аппаратно-хирургический комплекс;
- хирургическое вмешательство;
- комбинационный метод;
- протетический метод.
Правильный выбор метода лечения – это гарантия здоровья. Любой метод назначается только после квалифицированного осмотра пациента врачом и изучения его особенностей организма и здоровья в целом. Возраст пациента также играет важное значение.
Профилактические меры
Профилактические меры у детей направлены на предотвращение развития болезни. Главным фактором развития дистального прикуса является наличие вредных привычек, от которых ребенка придется отучать. Часто для этого могут понадобиться услуги психолога и другого специалиста.
Любые отклонения с нижнечелюстным суставом у ребенка должны быть оперативно исправлены. Это является гарантом того, что вашему малышу в будущем не придется столкнуться с болезненными операциями.
Если операция по исправлению прикуса прошла правильно, заметить разницу расположения верхней и нижней челюсти можно даже невооруженным взглядом.
- профилактика развития заболеваний органов дыхания;
- необходимость кормления младенца грудью;
- своевременная реакция на появление вредных привычек;
- профилактика рахита;
- профилактика искривления осанки;
- правильный перевод малыша на употребление твердой пищи;
- минимальное использование пустышки.
- Нарушение глотательной функции.
- Нарушение дыхательной функции.
- Болевые ощущения прямо во время разговора и при улыбке.
Какой прогноз от лечения можно ожидать
Если исправление дистального прикуса выполнено в раннем возрасте и согласно с рекомендациями лечащего врача, в будущем ребенка не будут беспокоить проблемы с зубами. В то же время, исправление прикуса занимает не менее 1 года, а порой затягивается и на несколько лет, поэтому и родителям, и детям следует быть готовыми к продолжительному периоду лечения и последующей реабилитации.
Если речь идет об использовании брекет-систем взрослыми, то период лечения и исправления прикуса может составлять до 4 лет. Это связано с тем, что лицевые суставы и мышцы атрофируются и сложно поддаются исправлению.
В запущенных случаях взрослым проводят такую процедуру, как миостимуляция. Она подразумевает ручную разминку мышц лица, шлифование и затачивание зубов, а также удаление зубов, которые мешают восстановлению прикуса.
Согласно многочисленным отзывам клиентов, которые обращались в частные медицинские центры за помощью в исправлении дистального прикуса, первый и вполне ощутимый результат они смогли заметить уже после года использования брекет-систем.
Также советуем приготовиться к тому, что вам придется раз в 3 месяца посещать стоматолога-ортодонта, который будет проводить подтяжку брекетов до нужного уровня. Это связано с тем, что постоянное воздействие на зубы немного сдвигает их в нужное положение, а конструкция фиксации брекета, наоборот, ослабевает.
Для тех людей, у которых наблюдаются действительно серьезные проблемы с зубами, этот факт не должен стать существенным минусом, ведь вернуть утраченную красоту улыбки и здоровый прикус – мечта многих.
Заключение
После прочтения данного подробного материала у вас не останется вопросов, которые касаются дистального прикуса, причин его возникновения и вариантах лечения. Об этом должен помнить каждый человек, у которого присутствует такая проблема с расположением зубов во рту.
Читайте также:
