Диверсионный колит - причины, признаки, лечение
Добавил пользователь Владимир З. Обновлено: 26.11.2025
Дивертикулярная болезнь (дивертикулит, дивертикулез) - причины, признаки, лечение
Наиболее частое неонкологическое заболевание толстой кишки, имеющее взаимосвязь с возрастом и запорами. Клинические проявления варьируют от легких форм до жизнеугрожающих состояний. Дивертикулез характеризуется гипертрофией мышечного слоя стенки толстой кишки с пролапсом слизистой через промежутки на участках артериального кровоснабжения; осложнения дивертикулеза: дивертикулит, острое (массивное) кровотечение.
Дивертикулит - воспаление стенки толстой кишки, развивающееся из-за стаза кишечного содержимого в дивертикуле; микроперфорация/микроабсцесс приводят к отграниченному или распространенному воспалению с развитием возможных осложнений, к которым относятся: абсцедирование, микро-/макроперфорация в свободную брюшную полость с развитием калового перитонита, образование свищей (в частности, коловагинального у женщин, ранее перенесших гистерэктомию! или коловезикального свища и т.д.), хроническое воспаление с образованием стриктуры (внимание: если не доказано дивертикулярное происхождение стриктуры, следует подозревать наличие рака!!).
Дивертикуляриая болезнь не является фактором риска развития рака толстой кишки, но распространена среди больных той же возрастной группы, что и рак толстой кишки. Рак может манифестировать симптомами дивертикулита, до 5% эпизодов «дивертикулита» вызваны наличием опухоли толстой кишки!!
а) Эпидемиология:
• В странах Запада частота возникновения дивертикулярной болезни увеличивается с возрастом: т.е., вероятность наличия заболевания после 50 лет соответствует возрасту больного; истинная заболеваемость/распространенность неизвестна. Внимание: молодой возраст не является причиной исключения дивертикулеза/-ита. • Приблизительно у 10-20% больных с дивертикулезом в течение 20 лет возникнет хотя бы один приступ дивертикулита. Риск второго приступа дивертикулита составляет около 10-20%, третьего - 40-60%.
б) Симптомы дивертикулярной болезни:
• Дивертикулез: наиболее часто протекает бессимптомно; хронические запоры, острые кровотечения.
• Острый дивертикулит: нарастающие боли в животе, лихорадка, перитонеальные симптомы (могут быть стертыми у больных с иммуносуппрессией!), тонкокишечная или толстокишечная непроходимость, реже тошнота/рвота. Внимание: сепсис, дегидратация!
• Хронический дивертикулит: симптомы обструкции, свищей.

а - Каловый камень при дивертикулярной болезни.
б - Резекция сигмовидной кишки, операционный препарат.
В просвете кишки обнаружены значительно расширенные отверстия дивертикулов, забитые калом.
в) Дифференциальный диагноз:
• Рак толстой кишки (замаскированный типичными для дивертикулита симптомами).
• Запоры (боли в ЛНК живота, отсутствие лихорадки и лейкоцитоза, улучшение после назначения клизмы).
• Ишемический колит.
• ВЗК, в частности болезнь Крона.
• Лучевой колит (лучевая терапия в анамнезе).
• СРК.
• Заболевания, несвязанные с толстой кишкой (тубоовариальный абсцесс, эндометриоз, аппендицит, пиелонефрит и т.д.).
• Перфорация других полых органов (пептическая язва, тонкая кишка и т.д.).
г) Патоморфология. Гипертрофия мышечного слоя, дивертикулы с острым/подострым/хроническим воспалением (полиморфноядерные лейкоциты, лимфоциты), формирование абсцессов.
а - Дивертикулез поперечно-ободочной кишки, прямой проекции дивертикулы видны заполненные барием мешочки (показано большой белой стрелкой) и кольцевидные тени (открытые стрелки).
В боковой проекции дивертикулы выдаются за контуры просвета кишки (маленькая белая стрелка). Клизма с барием, двойное контрастирование.
б, в - Дивертикул в виде «шляпы-цилиндра» (показано белой стрелкой). В отличие от полипа, верхушка дивертикула (белая стрелка) выходит далеко за пределы контура продольной оси просвета кишки (б). Два других дивертикула заметны в виде кольцевидных теней (черные стрелки). Боковая проекция (в).
Дивертикул (белая стрелка) выдается за контур просвета кишки. Также видны два других дивертикула с узким устьем (черные стрелки). Клизма с барием, двойное контрастирование.
г - Колоноскопическая картина дивертикулярной болезни сигмовидной кишки.
д - Утолщение циркулярных мышц и дивертикулез. Стенка проксимальной части сигмовидной кишки утолщена и имеет волнообразный вид (показано короткими стрелками).
Перед этим утолщением видны несколько дивертикулов (длинные стрелки). Компьютерная томография.
е - Мешковидные образования в стенке кишки при склеродермии. Рубцевание и атрофия мышечного слоя стенки поперечно-ободочной кишки обусловливают образование мешочков (показано стрелками) с широким устьем.
Их отличие от дивертикулов на других изображениях состоит в том, что дивертикулы меньше размером и имеют узкое устье. Клизма с барием, двойное контрастирование. а - Маленький околотолстокишечный абсцесс при дивертикулите. Фокус скопления воздуха наблюдается вне контура просвета кишки (показано длинной стрелкой) в центре мягкотканного тяжа жировой ткани, идущего к сигмовидной кишке.
В брыжейке сигмовидной кишки видна жидкость (короткая стрелка). Компьютерная томография.
б - Большой околотолстокишечный абсцесс при дивертикулите. Полость абсцесса содержит воздух и остатки тканей (показано стрелкой), толстая стенка абсцесса усиливает контрастность.
Компьютерная томография.
в,г,д - Радиоизотопное исследование с применением 99mТс у пациента с клиническими признаками сепсиса при отсутствии первичного очага. Через 1 ч (в) обнаружено нормальное рас пределение изотопа в печени и селезенке. Через 3 ч (г) изотоп наблюдают в кишке, и он накапливается в полости таза.
Через 22 ч — остатки изотопа наблюдают только в тазовом абсцессе (д).
д) Обследование при дивертикулярной болезни
Необходимый минимальный стандарт:
• Анамнез: время развития симптомов, предшествующие аналогичные эпизоды, изменения стула, кровотечения из прямой кишки, анемия, отхождение стула/ газов через влагалище или мочеиспускательный канал? Предшествующие операции (например, аппендэктомия, гистерэктомия и т.д.)? Предшествующие обследования толстой кишки (фибросигмоидоскопия, колоноскопия, ирригоскопия)?
• Сопутствующие заболевания (ишемическая болезнь сердца, ХОБЛ, диабет, болезни печени/почек, иммуносупрессия и т.д.).
• Клиническое обследование: локализованная болезненность и напряжение мышц живота или перитонеальные симптомы без четкой локализации? Выбухание стенок прямой кишки? Лихорадка? Баланс жидкостей/дегидратация?
• Лабораторные анализы: лейкоцитоз? Анемия? Преренальная почечная недостаточность (дегидратация!). Перемежающаяся лихорадка: посев крови. Анализы мочи: выявление явных признаков мочевой инфекции, наличие лейкоцитов и эритроцитов в моче может быть связано собственно с дивертикулитом. Гваяковая проба на скрытую кровь в острой ситуации (дивертикулит, макроскопически определяемое кровотечение) не имеет большого значения.
• Рентгенография органов грудной клетки/брюшной полости в положении стоя и лежа на левом боку => свободный газ в брюшной полости?
• За исключением разлитого перитонита: КТ органов брюшной полости/таза с двойным (пероральным и внутривенным) или тройным (пероральным, внутривенным и перректальным) контрастированием: наиболее чувствительный и специфичный метод обследования! Диагностический поиск: периколическая флегмона, (дренирующийся) абсцесс, воздух вне просвета кишки, свободный газ в брюшной полости, асцит, утолщение стенки мочевого пузыря, другие изменения.

Дополнительные исследования (необязательные):
• Острое заболевание. Ирригоскопия с водорастворимым контрастом (барий противопоказан при остром течении заболевания): «ампутированный» дивертикул как признак дивертикулита, локализованная перфорация и выход контраста за пределы кишечной стенки, стеноз; контрастирование всей толстой кишки не показано в острой фазе, но может быть выполнено в дальнейшем.
Является наилучшим первичным обследованием при недоступности КТ; более того, ирригоскопия с водорастворимым контрастом может назначаться при первичной госпитализации для исключения изменений, подозрительных в отношении рака!
• Хроническое заболевание/плановая ситуация. Ирригоскопия с барием, двойное контрастирование для определения плана лечения: характер дивертикулов, стриктуры, свищи?
е) Классификация дивертикулярной болезни. Классификация (или модифицированная классификация) Hinchey представлена ниже в таблице.

ж) Лечение без операции дивертикулеза
• Консервативная терапия: антибиотики в течение 1-3 недель, голод или активная стимуляция толстой кишки небольшими объемами очищающих препаратов, регуляция стула клетчаткой и размягчающими препаратами, изменение питания, ограниченная ирригоскопия с водорастворимым контрастом во время первичной госпитализации для исключения опухолей, ирригоскопия с барием или колоноско-пия через 6 недель после острого эпизода.
• Дренирование абсцесса под контролем КТ.
з) Операция при дивертикулярной болезни
Показания:
- Экстренная или срочная/внеплановая резекция при разлитом перитоните, свободной перфорации, при отсутствии ответа на консервативное лечение в течение 72 часов или ухудшении состояния на фоне консервативного лечения, подозрение на рак по данным ограниченной ирригоскопии с водорастворимым контрастом.
- Плановая резекция толстой кишки:
• Два или более эпизода дивертикулита (любой возраст, спорное показание), один эпизод дивертикулита у молодого больного (моложе 40 лет, спорное показание), один (?) эпизод у больного с иммуносупрессией (после трансплантации, диабет, химиотерапия, лейкемия и т.д.), но с учетом общего прогноза (например, возможное наличие опухоли)!
• Свищ (коловагинальный, коловезикальный, наружный и т.д.), стриктура толстой кишки.
• Сомнительное показание: единичный эпизод дивертикулита с осложнениями (например, после дренирования абсцесса под контролем КТ), купированный консервативной терапией.

Хирургический подход:
• Обычно двухэтапное (или одноэтапное) хирургическое лечение, т.н. резекция участка с признаками воспаления и формирование стомы. От трехэтапного лечения почти полностью отказались, так как выздоровление больного наступает быстрее, если пораженный участок кишки удален во время первичной операции.
Формирование отключающей стомы в качестве первого этапа лечения может рассматриваться при так называемом «злокачественном» дивертикулите, когда воспаление слишком обширное, чтобы выполнить мобилизацию сигмовидной кишки безопасно, без повреждения других структур (мочеточник и т.д.).
• Так как никогда нельзя полностью исключить опухоль, резекция должна выполняться в соответствии с онкологическими принципами. Резекция начинается от ректосигмоидного соединения (место слияния тений) и ведется в проксимальном направлении до участка толстой кишки с неизмененной стенкой; удаление всех отделов толстой кишки, содержащих дивертикулы, не показано.
Экстренная операция:
• Обычно двухэтапное хирургическое лечение: 1) операция Гартмана, т.е. удаление дистального сегмента толстой кишки, ушивание дистальной культи наглухо и выведение концевой колостомы; 2) после выздоровления (± 3 месяца) - реконструктивная операция, т.е. формирование десцендоректального анастомоза (только после полного обследования толстой кишки!!), возможно лапароскопически.
• Альтернатива: резекция с первичным анастомозом с/без наложения проксимальной стомы у отобранных больных с хорошим состоянием толстой кишки.
Плановая операция:
• Обычно одноэтапное лечение: резекция с первичным анастомозом, возможно, временная илеостома. В идеале - лапароскопически ассистированная операция!
• Рассмотрение необходимости предоперационного стентирования мочеточников (тяжелые рецидивирующие атаки дивертикулита).

и) Результаты лечения дивертикулеза толстой кишки:
• Острое заболевание: > 70% случаев купируются консервативной терапией.
• Хирургическое лечение: полное выздоровление, выздоровление со стомой (20-40% которых никогда не закрываются), сепсис/смерть (13 место среди наиболее распространенных причин смерти).
• Рецидивирующие обострения, последствия в отдаленном периоде (свищи, стриктуры).
к) Наблюдение и дальнейшее лечение:
• Адекватная продолжительность антибиотикотерапии: 1-3 недели в зависимости от тяжести течения, количества лейкоцитов и клинических параметров.
• Регуляция стула клетчаткой, средствами, размягчающими стул, изменение диеты (попкорн/арахис разрешены).
Редактор: Искандер Милевски. Дата обновления публикации: 18.3.2021
Статьи: ДИВЕРСИОННЫЙ КОЛИТ
В отключенных сегментах толстой кишки после хирургических вмешательств с наложением различного типа стом развивается неспецифическое воспаление, которое носит название диверсионного колита, или колита отключенной кишки. Проведение колоноскопии этой группе пациентов — неотъемлемая часть рутинной практики врача-эндоскописта. В обзоре рассмотрены вопросы эпидемиологии, патогенеза, эндоскопической семиотики диверсионного колита, а также подготовка к колоноскопии пациентов, перенесших операции на толстой и прямой кишке.
Введение:
На сегодняшний день в хирургической практике широко используются многоэтапные вмешательства, которые улучшают непосредственные результаты лечения и приводят к снижению числа осложнений и послеоперационной летальности. Показаниями к таким вмешательствам могут служить злокачественные новообразования, дивертикулярная болезнь, аномалии развития толстой кишки и другое. Однако в результате наложения колостомы или илеостомы в отключенных сегментах толстой кишки развивается неспецифическое воспаление, называемое диверсионным колитом, или колитом отключенной кишки [1]. Впервые это патологическое состояние было описано V. Morson в 1974 году, но термин «диверсионный колит» был введен D. Glotzer в 1981-м [1, 3, 8, 9].

Enter the password to open this PDF file:
Полный текст статьи:
Эпидемиология. Распространенность диверсионного колита у стомированных пациентов чрезвычайно высока и составляет 74–91% [1, 3, 9]. Считается, что у пациентов с предшествующим хроническим воспалительным заболеванием кишечника (ХВЗК) частота развития диверсионного колита выше, но, согласно результатам исследования Son и соавторов о диверсионном колите у пациентов, оперированных по поводу рака прямой кишки, частота развития составила 100% [7, 8]. Связи между диверсионным колитом, возрастом, полом, типом стомы или способом выполненного оперативного вмешательства нет [3, 9].
Патогенез. Основные механизмы, лежащие в основе диверсионного колита, по-прежнему до конца не ясны. Главное звено в патогенезе этого заболевания — бактериальный дисбаланс, развивающийся вследствие нарушения нормального пассажа кала, который приводит к нарушению защитной функции слизистой оболочки и снижению количества короткоцепочечных жирных кислот (КЦЖК). КЦЖК участвуют в метаболизме колоноцитов, покрывая около 70% их энергетических потребностей, и недостаток этих кислот приводит к нарушению энергетического обмена в эпителии толстой кишки [1]. С другой стороны, КЦЖК расслабляют гладкие мышцы сосудов — и их дефицит может вызывать повышение тонуса сосудов, что приводит к относительной ишемии слизистой и стенки толстой кишки (ишемическая теория) [9]. Основные теории патогенеза диверсионного колита представлены на рис. 1.

Рис. 1. Основные теории патогенеза диверсионного колита [9].
Клиническая картина. Клинические проявления возникают примерно у 30% больных без ХВЗК, но у пациентов с болезнью Крона встречаются в 33% случаев, а при язвенном колите — 87%.[Оэ2] Симптомы диверсионного колита возникают в течение 1–36 месяцев после наложения колостомы [3, 9]. Пациенты с диверсионным колитом жалуются на выделение слизи и/или крови, тенезмы, боли в животе, чувство тяжести или боль в прямой кишке [1, 7]. Патологические выделения из прямой кишки — наиболее распространенный симптом (40%), на втором месте по встречаемости — боли в животе и тенезмы (15%) [9]. Наиболее информативный в этом случае диагностический метод — ректороманоскопия и колоноскопия с гистологическим исследованием биоптата слизистой и удаленных операционных препаратов из отключенных отделов ободочной и прямой кишки [1].
Эндоскопическая картина. Макроскопические изменения в отключенной толстой кишке могут носить как непрерывный, так и сегментарный характер [9]. Диверсионный колит представлен отеком, зернистостью, петехиальными кровоизлияниями, контактной кровоточивостью слизистой, смазанностью сосудистого рисунка и напоминает эндоскопическую картину язвенного колита с умеренной степенью активности [1].
Пристеночно отмечаются налеты слизи. Son с соавторами в своей работе оценивали по эндоскопической картине в отдельности выраженность отека (0–3 балла), внутрислизистых кровоизлияний (0–3 балла) и контактную кровоточивость (0–1 балл). Впоследствии баллы суммировались (0–7 баллов). По общему баллу диверсионный колит был разделен на слабый (0–2 балла), умеренный (3–5 баллов) и тяжелый (6–7 баллов) (рис. 2) [8].
Рисунок 2. Эндоскопические проявления диверсионного колита [8].
Пример основных эндоскопических результатов при диверсионном колите в зависимости от относительной тяжести.
A, B, C. Петехиальные кровоизлияния (A — 1 балл; B — 2 балла; C — 3 балла).
D, E, F. Отек (D — 1 балл; E — 2 балла; F — 3 балла).

Подготовка к колоноскопии пациентов, перенесших операцию на толстой кишке. Мною найдено небольшое количество ресурсов, посвященных проблеме подготовки данной группы пациентов. В отечественной литературе эта проблема освещена крайне скудно.
На сегодняшний день стандартной считается двухэтапная подготовка или одноэтапная в день исследования полным объемом полиэтиленгликоля. Исследование Liu и соавторов показало, что уменьшение стандартного объема ПЭГ с 4 л до 2 л в сплит-режиме у пациентов с оперированной толстой кишкой приводит к снижению качества подготовки (89,4% против 66,7%, P < 0,001) [6].
Действенная альтернатива полнообъемным препаратам ПЭГ — применение малообъемного препарата ПЭГ с аскорбатным комплексом («МОВИПРЕП ® »). Применение препарата «МОВИПРЕП ® » предпочтительнее для амбулаторных пациентов, сопряжено с меньшим количеством таких нежелательных явлений, как тошнота и рвота, а также с большей приверженностью пациентов [2, 4, 5, 10, 11]. В проведенном многоцентровом рандомизированном клиническим исследовании в России по оценке подготовки пациентов по утренней и двухэтапной схеме применения препарата МОВИПРЕП ® , показано, что обоих схемах наблюдается почти в 100% случаях эффективная подготовка кишечника, включая правые отделы [14].
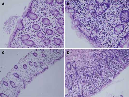
Гистологическая картина. Гистологические изменения в отключенной кишке присутствуют у всех стомированных пациентов [1, 8, 9]. В биоптатах слизистой при диверсионном колите выявляются признаки острого или хронического воспаления, эозинофильная инфильтрация, нарушение архитектоники крипт, фолликулярная лимфоидная гиперплазия и крипта-абсцессы [1, 8, 9]. Son и соавторы [8] также использовали шкалу оценки тяжести диверсионного колита, оценивая эти признаки по отдельности: острое воспаление (0–1 балл); хроническое воспаление (0–2 балла); эозинофильная инфильтрация (0–2 балла); нарушение архитектоники крипт (0–1 балл); фолликулярная гиперплазия (0–1 балл); крипта-абсцессы (0–1 балл) — с возможной суммой общего балла от 0 до 8. По общему баллу диверсионный колит был разделен на слабый (1–3 балла), умеренный (4–6 баллов) и тяжелый (7–8 баллов) (см. рис. 3).
Рисунок 3. Гистологическая картина диверсионного колита [8].
Пример основных гистологических результатов при диверсионном колите в зависимости от относительной тяжести.
А, B. Эозинофильная инфильтрация (A — 1 балл; B — 2 балла; окраска гематоксилином и эозином, увеличение 400x).
C, D. Хроническое воспаление с мононуклеарными макрофагами, лимфоцитами и плазматическими клетками (C — 1 балл; D — 2 балла; окраска гематоксилином и эозином, увеличение 200x).

Диверсионный колит – неспецифическое воспаление, возникающее в отключенной кишке после наложения стомы. Данное состояние развивается у всех стомированных пациентов, но при этом симптомы (выделение слизи и/или крови, тенезмы, боли в животе, чувство тяжести или боль в прямой кишке) возникают только у 30% человек. Диагностика диверсионного колита основана на данных колоноскопии с гистологическим исследованием биоптата. Эндоскопические признаки диверсионного колита: отек, зернистость, петехиальные кровоизлияния, контактная кровоточивость слизистой, смазанность сосудистого рисунка. Гистологическая картина представлена признаками острого или хронического воспаления, эозинофильной инфильтрацией, нарушением архитектоники крипт, фолликулярной лимфоидной гиперплазией и крипта-абсцессами. Основной метод лечения диверсионного колита – ликвидация стомы. Единых подходов к медикаментозному лечению на сегодняшний день нет.
Диверсионный колит - причины, признаки, лечение
Диверсионный колит - обратимые морфологические (и симптоматические) изменения в толстой кишке, развивающиеся при отсутствии нутриентов в отключенной кишке в результате формирования проксимальной стомы. Типичные причины: состояние после отключающей илеостомии/колостомии, операции Гартмана.
Патогенез диверсионного колита:
• 70% питательных веществ поступает в слизистую толстой кишки из просвета.
• В частности, особое значение для толстой кишки имеют жирные кислоты с короткой цепью (уксусная/пропионовая/n-масляная кислоты).
(Напротив, для тонкой кишки наиболее значимым компонентом питания является глютаминовая кислота).
а) Эпидемиология. В определенной степени диверсионный колит присутствует во всех случаях отключения толстой кишки (100% заболеваемость), но только у небольшой части пациентов носит симптоматический характер.
б) Симптомы диверсионного колита: ректальные кровотечения, слизистое или слизисто-гнойное отделяемое, иногда колики.
в) Дифференциальный диагноз:
• ВЗК: язвенный колит, болезнь Крона (внимание: оценка активности ВЗК невозможна после отключения => должна быть оценена и описана во время отключения).
• Лучевой проктит.
г) Патоморфология:
• Легкая форма: ранимость слизистой толстой кишки => разница между эндоскопической картиной при продвижении колоноскопа вперед (нормальный внешний вид слизистой) и на выходе (множественные повреждения от контакта с инструментом).
• От умеренной до тяжелой формы: диффузные и сливные изъязвления.
• Микроскопические изменения: атрофия и разрушение крипт с нейтрофильной (острое воспаление) и лимфоплазмоцитарной (хроническое воспаление) инфильтрацией.
д) Обследование при диверсионном колите
Необходимый минимальный стандарт:
• Анамнез: сведения, подтверждающие диагноз.
• Клиническое обследование: эндоскопия.
Дополнительные исследования (необязательные):
• Оценка возможности закрытия стомы.

Колоноскопия при диверсионном колите.
На слизистой оболочке видны характерные для него вытянутые очаги кровотечения.
е) Классификация:
• Симптомный/бессимптомный диверсионный колит.
• Диверсионный колит с/без перспективы закрытия стомы.
ж) Лечение без операции диверсионного колита:
• Больные без симптомов заболевания.
• Больные с симптомами заболевания: клизмы с жирными кислотами с короткой цепью (хороший, но фармакологически нестабильный препарат) => более практично применение молока или питательные клизмы (ежедневно или еженедельно).
з) Операция при диверсионном колите
Показания:
• Устойчивый к лечению симптомный диверсионный колит.
Хирургический подход:
• Закрытие стомы возможно => ликвидация стомы.
• Закрытие стомы невозможно => резекция отключенного сегмента толстой кишки.
и) Результаты лечения диверсионного колита. В целом доброкачественное течение.
к) Наблюдение и дальнейшее лечение:
• Регулярные повторные осмотры.
• Показано обследование отключенных отделов на предмет выявления опухолей.
- Вернуться в оглавление раздела "Хирургия"
Информация на сайте подлежит консультации лечащим врачом и не заменяет очной консультации с ним.
См. подробнее в пользовательском соглашении.
Коловагинальный и коловезикулярный свищ - причины, признаки, лечение
Симптомы неспецифичны для высокой или низкой локализации: патологическое отделяемое (стул/газ через влагалище, пневматурия/фекалурия); необходимость разграничивать свищи с дистальным прямокишечным/анальным и внутрибрюшным происхождением продиктована различием хирургического доступа (внутрибрюшной или промежностный).
Наиболее частые причины: дивертикулит, рак, болезнь Крона, послеоперационные осложнения (вскрытый просвет кишки, несостоятельность и т.д.). Эрозии влагалища или мочевого пузыря более характерны после гистерэктомии.
Лечение (вид операции и время) зависит от тяжести симптомов, этиологии, состояния тканей (например, после недавнего вмешательства, лучевой терапии и т.д.), уровня свища (достижим ли со стороны промежности или нет?). Необходимо дифференцировать ректовагинальный свищ от коловагинального или энтеровагинального свища (высокий).
а) Эпидемиология. Общая заболеваемость неизвестна в связи с разнообразием этиологических факторов. До 50% больных не могут вспомнить острый эпизод, предшествующий возникновению симптомов свища.
б) Симптомы:
• Вагинальный свищ: отхождение стула или газов через влагалище, частая инфекция мочевых путей, инконтиненция, раздражение перианальной кожи.
• Мочевой свищ: отхождение кала (фекалурия) или газов с мочой (пневматурия), инфекция мочевых путей, уросепсис, отхождение мочи из прямой кишки.
в) Дифференциальный диагноз:
• Дивертикулит.
• Рак.
• Болезнь Крона.
• Послеоперационный свищ (несостоятельность анастомоза, вскрытие просвета кишки).
• Постлучевая энтеропатия.
г) Патоморфология. Зависит от заболевания, приведшего к образованию свища: наиболее важна дифференцировка между злокачественным и доброкачественным.

д) Обследование при коловагинальном и коловезикулярном свище
Необходимый минимальный стандарт:
• Анамнез: начало и характер симптомов, изменения стула, кровотечения из прямой кишки, фоновое заболевание органов брюшной полости, предшествующие операции, предшествующие обследования толстой кишки, системные заболевания.
• Клиническое обследование: исследования прямой кишки и влагалища, включая аноскопию/ректороманоскопию для исключения прямокишечных свищей (ректовагинального или ректовезикального), обследование брюшной полости (инфильтраты, болезненность).
• Полное обследование толстой кишки.
• Методы визуализации:
- КТ: воздух в мочевом пузыре, утолщение стенки мочевого пузыря, спаянность с толстой кишкой?
- Цистоскопия/кольпоскопия: видимый стул, дефект, воспалительные изменения?
- Ирригоскопия: поступление контраста из толстой кишки в мочевой пузырь/влагалище?
Дополнительные исследования (необязательные):
• Цистография, вагинография (кольпограмма).
• Исследование тонкой кишки: пассаж контраста, КТ энтерография, капсульная эндоскопия.
е) Классификация:
• Коловагинальный/-везикальный.
• Высокий ректовагинальный/-везикальный.
• Энтеровагинальный/-везикальный.
ж) Лечение без операции коловагинального и коловезикулярного свища. Средства, закрепляющие стул.
з) Операция при коловагинальном и коловезикулярном свище
Показания. Любой симптомный коловагинальный/-везикальный свищ.
Хирургический подход:
• Доброкачественное заболевание: резекция кишечника с первичным анастомозом, в основном без обширных вмешательств на мочевом пузыре/влагалище (возможно простое ушивание).
• Злокачественное заболевание: резекция en-bloc с соответствующей реконструкцией.
• Острое течение, «сложный» таз: проксимальная стома для выигрыша во времени => позднее соответствующая реконструктивная операция.
• При невозможности реконструкции: паллиативные меры => наружное отведение мочи или колостома.
и) Результаты. В зависимости от этиологии: доброкачественное происхождение => полное выздоровление, злокачественное => прогноз зависит от типа опухоли.
к) Наблюдение и дальнейшее лечение:
• Коловезикальный свищ: катетер Фолея в течение 10 дней, возможно, цистография перед удалением.
• Доброкачественное заболевание: повторный осмотр через 2-4 недели, если проблемы, связанные со свищом, устранены, дальнейшее наблюдение не требуется; рутинный скрининг для исключения рака толстой кишки (в соответствии со стандартами).
• Злокачественное заболевание: онкологическое лечение и наблюдение.
Пациентам: Колит кишечника

Колит — заболевание, характеризующееся воспалением толстой кишки. Колит может быть следствием поражения кишечника инфекцией, лекарственным препаратом или другим возбудителем, в том числе паразитом.
Типы колита
Выделяют колиты двух типов: острый и хронический. Заболевание начинается, как правило, с острой формы с характерными болями, метеоризмом и тошнотой. Но затянувшийся острый колит может стать причиной развития хронической формы заболевания.
Хронический колит характеризуется наличием патологических изменений в строении слизистой оболочки кишечника. Причиной этих изменений служит продолжительный воспалительный процесс, который приводит к дистрофии поражённых тканей и нарушению функций толстого кишечника. Нередко воспаление толстой кишки может вызвать поражение и тонкого кишечника.
Колиты также разделяют на несколько видов в зависимости от причин возникновения заболевания:
- инфекционные колиты связаны с инфекционными заболеваниями;
- алиментарные возникают из-за нарушения питания;
- токсические экзогенные колиты обусловлены отравлениями вредными веществами;
- эндогенные колиты наблюдаются при интоксикации продуктами катаболизма;
- лекарственные колиты развиваются под действием лекарств;
- аллергические колиты становятся аллергической реакцией организма на возбудители;
- механические колиты являются результатом регулярного механического раздражения слизистой оболочки кишечника.
В некоторых случаях воспаление толстого кишечника может быть вызвано сразу несколькими факторами. Тогда врачи диагностируют комбинированный колит.
Симптомы колита кишечника
При хроническом колите больной чувствует боль в животе, часто слева, но иногда локализовать источник боли не получается. Боль усиливается после приёма пищи и уменьшается после дефекации. Возможны чувство тяжести в животе, вздутие и метеоризм. Характерным симптомом колита является расстройство стула со слизью и кровью в кале. Запоры могут сменяться поносами, больной часто ощущает “позывы” к дефекации без выделения кала.
Колит может сопровождаться и более “общими” симптомами, не связанными напрямую с работой ЖКТ, например, лихорадкой, слабостью и болью в суставах. Больной теряет аппетит, что приводит к потере веса. Если колит сопровождается острым воспалительным процессам, то все клинические симптомы проявляются более ярко.
Диагностика колита
Колит диагностируется в результате целого комплекса анализов. Туда входят: макро и микроскопия кала, общий анализ крови, контрастная ирригоскопия и колоноскопия. Эти анализы позволяют выявить наличие яиц гельминтов, воспаления, а также изучить анатомические и функциональные особенности толстого кишечника и состояние слизистой оболочки толстой кишки. В процессе колоноскопии берутся образцы для дальнейшего гистологического исследования. Осмотр пациента проводит и проктолог, он исследует задний проход, чтобы исключить вероятность геморроя, парапроктита и других патологий.
Расстройство работы кишечника может осложняться воспалением. Кроме того, колит может быть не главным заболеванием, а сопровождать развитие опухоли толстого кишечника. Поэтому врачи берут биопсию подозрительных участков стенок кишечника, чтобы провести дополнительные анализы и исключить вероятность наличия злокачественных новообразований. При подозрении на энтерит или другие заболевания могут назначить ещё ряд диагностических процедур, например, сделать УЗИ органов брюшной полости и взять функциональный пробы, чтобы выявить маркеры воспаления печени и поджелудочной железы.
Лечение колита кишечника
Лечение колита зависит от его типа. Хронические колиты в периоды обострения лучше лечить в стационаре отделения проктологии. Если причиной колита стала инфекция, то лечить его будут в инфекционном отделении.
Большую роль в лечении колита играет правильная диета, её также назначает врач. В рационе больного не должно быть продуктов, которые могут механически или химически раздражать кишечник, например, кисломолочных продуктов. Пищу больной должен будет принимать в протёртом виде, небольшими порциями и не реже 4-5 раз в день. Отказаться придётся и от продуктов, которые способствуют газообразованию, например, от капусты и бобовых.
Разрешён слегка подсушенный несладкий пшеничный хлеб, нежирное мясо и рыба. Пищу лучше готовить на пару. По мере улучшения состояния больного, список разрешённых продуктов увеличивают.
Если природа заболевания была инфекционной, то лечение будет курсовым, лекарства для антибактериальной терапии назначает врач. При любых формах колита полезна умеренная физическая активность и лечебная физкультура.
Профилактика колита
Хорошей профилактикой для предотвращения появления колитов является сбалансированная диета. Правильное питание позволит минимизировать риск различных заболеваний ЖКТ. Рекомендуется исключить употребление алкоголя, пряностей, консервов, перейти на дробное питание.
Люди с выявленными хроническими заболеваниями толстого кишечника должны находиться под контролем специалистов и проходить периодические диспансерные наблюдения. Им лучше избегать избыточных физических нагрузок и стрессов, не работать в ночное время и следить за режимом сна.
Даже если раньше вы не страдали колитом, от этой болезни никто не застрахован. Важна своевременная диагностика и правильное лечение заболевания, поэтому регулярно проходите профилактические обследования и при первых симптомах колита обращайтесь к врачу. Не экспериментируйте с самолечением, злоупотребление лекарствами может вам только навредить.
Читайте также:
- Дистальный прикус. Причины и признаки дистального прикуса
- Диазепам и бенактизин для лечения отравления нервно-паралитическими веществами
- Микробиологическая диагностика менингококковой инфекции. Диагностика менингококка. Выявление менингококка.
- Лучевые изменения брюшной полости при баротравме
- Как подготовиться к сдаче мазка на флору? Мазок в норме
