Доброкачественное лимфоэпителиальное поражение околоушной железы при ВИЧ - лучевая диагностика
Добавил пользователь Alex Обновлено: 29.10.2025
Ключевые факты. Терминология. Лимфатическая или гематогенная опухоль распространяется на внутрижелезистые околоушные лимфатические узлы. Нормальная околоушная железа имеет внутрижелезистые лимфатические узлы, которые определяются на УЗИ (в отличие от подчелюстных и подъязычных желез). Околоушные и перипаротидные узлы: уровень 1-го порядка при плоскоклеточном раке кожи и меланоме волосистой части головы, ушной раковины и лица.
Данные ультразвукового исследования слюнных желез
- Одиночные или множественные гипоэхогенные образования при известном распределении внутрипаротидных лимфоузлов.
- На ультразвуковом сканировании образование четко или плохо определено (экстранодальное распространение)
- Необходимо искать локальную инвазию: интрапаротидную, в наружную сонную артерию, ретромандибулярную вену, экстрапаротидные мягкие ткани.
- На УЗИ определяется аномальная внутренняя архитектура ± эхогенные ворота, эхогенность однородная или неоднородная с внутренними кистозными участками в некротических узлах
- ± Метастатические шейные лимфатические узлы
- Интранодулярный кровоток хаотичный / дезорганизованный или преимущественно периферический
- Ультразвуковое сканирование дает оптимальную характеристику лимфоузлов в поверхностной доле и проведение подтверждающей биопсии.

ПЭТ / КТ: наиболее чувствительны для определения метастатической природы небольших лимфатических узлов. 
МРТ: наиболее чувствительна к экстранодальному поражению, особенно периневральной опухоли, распространяющейся на лицевой нерв.
Основной дифференциальный диагноз
- При мультифокальных односторонних образованиях околоушной железы с шейной аденопатией: регионарные метастазы, местная неходжкинская лимфома (НХЛ).
- При мультифокальных односторонних образованиях околоушной железы без шейной аденопатии: опухоль Вартина, рецидивирующая доброкачественная смешанная опухоль, регионарные метастазы.
- При мультифокальных двусторонних образованиях околоушной железы: системные метастазы, системная НХЛ, опухоли Вартина, доброкачественные лимфоэпителиальные поражения, связанные с ВИЧ, болезнь Шегрена.
Терминология. Определения . Лимфатическая или гематогенная опухоль распространяется на внутрипаротидные лимфатические узлы.
Визуализация. Общие особенности. Само по себе ультразвуковое сканирование метастазов в околоушные лимфоузлы неспецифична. Одиночные или множественные околоушные образования. Хорошо выраженный или плохо выраженный лимфоузел (экстранодальное распространение), однородный или неоднородный с внутренним некрозом. На УЗИ с ЦДК внутриузловая васкуляризация или усиление кровотока. Патология связана с известным первичным раком, часто в прилегающей коже или региональной области головы и шеи. Околоушные и перипаротидные узлы: узловая станция 1-го порядка при плоскоклеточной карциноме кожи (ПКК) и меланоме латеральной части волосистой части головы, ушной раковины / наружного слухового прохода и передней части лица 
Расположение интрапаротидное ± периаротидное 
Размер. Обычно 1-3 см 
Морфология. Форма яйцевидная или круглая. Край на УЗИ хорошо выраженный или (при экстранодальном распространении) инфильтративный

Результаты ультразвукового исследования слюнной железы
Серошкальное УЗИ. Одиночные или множественные гипоэхогенные образования в известном распределении внутрипаротидных лимфоузлов. Хорошо выраженный или слабо окаймленный (экстранодальное распространение). Экстранодальное распространение. Обратите внимание на местную инвазию интрапаротидной наружной сонной артерии (ВСА), ретромандибулярной вены или экстрапаротидных мягких тканей. Аномальная внутренняя архитектура ± эхогенные ворота. Однородный или неоднородный вид с внутренними кистозными участками в некротических узлах ± метастазы в шейные лимфатические узлы 
Энергетический допплер. Внутриочаговая васкуляризация. Хаотический / дезорганизованный или преимущественно периферический кровоток 
Результаты КТ. Одно или более внутрипаротидное образование с острыми или инвазивными краями. Узлы могут быть однородными или неоднородными с центральным некрозом. Также могут присутствовать метастазы в околоушно-шейные лимфоузлы.
Результаты MРТ 
• T1WI. Одна опухоль или несколько промежуточных сигнальных образований 
• T2WI. Равномерный или неоднородный (некроз) высокий сигнал 
• T1WI C +. Сплошное или ободковое (центральный узловой некроз) усиление интрапаротидных лимфоузловых образований, которые при экстранодальном распространении могут оказаться инвазивными. Лучший способ оценки периневральной инфильтрации лицевого нерва (CNVII), инвазии в НСА и экстрапаротидной инвазии мягких тканей 
Результаты ядерной медицины. ПЭТ. Метастатические интрапаротидные и шейные лимфатические узлы демонстрируют повышенную метаболическую активность. Доброкачественные поражения околоушных желез также могут быть гиперметаболическими. 
Рекомендации по визуализации. Лучший инструмент для визуализации - ультразвуковое сканирование, которое оптимально характеризует лимфоузлы в поверхностной доле, и врач в таких случаях направляет пациента на подтверждающую биопсию. ПЭТ / КТ: наиболее чувствительны для определения метастатического характера мелких лимфатических узлов. МРТ наиболее чувствительна к экстранодальному поражению, особенно периневральному распространению опухоли на CNVII. Изображение должно быть получено от первичного участка околоушной железы и остальной части узловых цепей шеи до ключиц. МРТ - лучший инструмент для оценки поражений глубоких долей. Распространение на глубокие ткани и периневральная опухоль лучше определяются с помощью МРТ. Необработанные изображения без подавления жира T1 часто лучше всего очерчивают края / поля (естественный контраст между опухолью и жировой ткани железы). Всем пациентам с инвазивной плоскоклеточной карциномой кожи или меланомой на коже лица, волосистой части головы и ушной раковины следует пройти стадию ПЭТ / КТ для выявления лимфоузлов шеи и интрапаротидной зоны. У пациентов с карциномой носоглотки (КНГ) аномальные ипсилатеральные интра- / перипаротидные лимфоузлы следует рассматривать как злокачественные, если не доказано иное. Сравните с противоположной стороной, поскольку метастатические интра- / перипаротидные лимфатические узлы обычно односторонние. 
Дифференциальная диагностика 
- Околоушная неходжкинская лимфома. У пациента обычно имеется системная неходжкинская лимфома (НХЛ). Множественные плотные двусторонние гипоэхогенные интрапаротидные лимфоузлы с аномальной сетчатой / псевдокистозной архитектурой и внутриузловой васкуляризацией, которая более выражена, чем периферическая. Трудно отличить от метастазов, если нет известных первичных источников опухоли
- Опухоль Вартина. Курильщики с безболезненным образованием на щеках. Мультифокальное образование в 20% случаев, гетерогенное с кистозным изменением, внутренним дебрисом и толстыми стенками на УЗИ слюнных желез.
- Рецидивирующая доброкачественная смешанная опухоль околоушной железы. В анамнезе хирургическое удаление доброкачественной смешанной опухоли (плеоморфной аденомы). Мультифокальная опухоль, имеющей внешний вид гроздей винограда
- Доброкачественные лимфоэпителиальные поражения - ВИЧ. Пациент с ВИЧ или СПИДом. Множественные мелкие двусторонние кистозные и солидные образования околоушных желез на УЗИ. Околоушная болезнь Шегрена. Аутоиммунное заболевание, поражающее ткань слюнной железы. Увеличенная слюнная железа ± слезные железы. Микро- / макрокистозное расширение внутрижелезистых протоков + лимфоидные скопления
Патология. Общие особенности. Этиология. Лимфатическое или гематогенное распространение опухоли кожи лица, наружного уха и волосистой части головы (составляет 75% первичных опухолей). Иногда первичные регионарные участки головы и шеи (например, носоглотка / ротоглотка). Системные метастазы в околоушные узлы (редко). Околоушные железы имеют внутрижелезистые лимфатические узлы (в отличие от подчелюстных и подъязычных желез). Нормальная околоушная железа имеет примерно 20 внутрижелезистых узлов. 
Эмбриология. Околоушная железа подвергается поздней инкапсуляции, включая лимфоузлы в ее паренхиме. 
Макропатологические и хирургические особенности. Лимфоузлы могут оставаться инкапсулированными или подвергаться экстракапсулярному распространению. Лимфоузел при плоскоклеточной карциноме в околоушной железе желто-коричневого цвета. Лимфоузел при меланоме представлен черной, коричневой или белой эластичной опухолью. 
Микроскопические особенности. Наиболее распространенные карциномы кожи. Плоскоклеточный рак (60%), меланома (15%) 
Наиболее частые системные метастазы: первичные поражения легких и молочных желез. Плоскоклеточный рак: на УЗИ лимфатический узел частично или полностью замещен структурой, выстланной эпителием ± центральное кистозное изменение. Выстилка эпителия кистозных пространств состоит из гиперклеточных и плеоморфных клеток с потерей полярности и ↑ митотической активности. Меланома: диффузная пролиферация эпителиоидных ± веретеновидных клеток с обильной эозинофильной цитоплазмой и выступающими ядрышками. Иммунохимия: белок S100 и HMB-45 положительные 
Клинические проблемы и проявления. Наиболее частые признаки / симптомы. Рак кожи наружного уха, черепа, верхней части лица с увеличивающейся околоушной опухолью. Дисфункция лицевого нерва CNVII. Лицевая боль. Незаживающая язва (плоскоклеточная карцинома кожи или меланома) на коже лица, волосистой части головы или ушной раковины - EAC, связанная с опухолью щеки 
Демография. Возраст. Наиболее часто встречается в 7-м десятилетии жизни 
Пол. Мужчины: Женщины = 2: 1 
Эпидемиология. Встречается у 1-3% пациентов с плоскоклеточным раком кожи головы и шеи. Метастазы (4% всех новообразований околоушной железы). Интрапаротидные лимфоузлы чаще встречаются в географических регионах с повышенным воздействием солнца. 
Естественная история и прогноз. Прогноз сильно зависит от наличия экстракапсулярного распространения (8% против 79% местных рецидивов). 5-летний контроль околоушных желез - 78%; общая выживаемость 54%. Метастатический плоскоклеточный рак с поражением околоушной железы и шейных узлов является агрессивной формой карциномы с тенденцией к инфильтративному типу роста и множественным рецидивам. Для некоторых первичных участков (например, EAC) прогноз хуже. 
Меланома: плохой прогноз; долгосрочное выживание редко
Доброкачественное лимфоэпителиальное поражение околоушной железы при ВИЧ - лучевая диагностика
а) Терминология:
1. Аббревиатура: 
• Доброкачественное лимфоэпителиальное поражение (ДЛП) при ВИЧ
2. Синонимы: 
• ВИЧ-ассоциированные кисты околоушных желез: 
о Единственным проявлением ВИЧ может оказаться наличие антител: 
- Развернутая картина СПИД отмечается не у всех пациентов 
- Термина «ВИЧ-ассоциированные кисты околоушных желез» лучше избегать
3. Определения: 
• Множественные смешанные кистозные и солидные образования в околоушных железах на фоне ВИЧ-инфекции: 
о Стойкая генерализованная лимфаденопатия околоушных узлов: солидные образования в околоушной железе 
о Доброкачественные лимфоэпителиальные образования (ДЛО): одновременное наличие солидных и кистозных образований 
о Доброкачественные лимфоэпителиальные кисты: кистозные образования
б) Визуализация:
1. Общая характеристика: 
• Лучший диагностический критерий: 
о Множественные кистозные и солидные образования в обеих околоушных железах на фоне увеличения небных миндалин и реактивной шейной лимфаденопатии 
• Локализация: 
о В толще железы 
о Редко обнаруживают в поднижнечелюстных или подъязычной железах: 
- Только в околоушной железе имеется собственная лимфоидная ткань 
• Размер: 
о Вариабелен: обычно несколько миллиметров, встречаются образования вплоть до 3,5 см 
• Морфология: 
о Кисты округлые, с четкими контурами 
о Солидные образования в толще железы могут иметь нечеткие контуры 
о Двусторонее увеличение околоушных желез 
о Зачастую выявляется очень много мелких новообразований

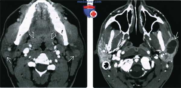
 (Слева) КТ с КУ, аксиальная проекция. В обеих околоушных железах визуализируются солидные образования с четкими контурами. И хотя метастазы и лимфома могут выглядеть точно так же, гипертрофия небных миндалин позволяет заподозрить лимфоэпителиальное поражение или хроническую лимфаденопатию околоушных лимфоузлов при ВИЧ. 
(Справа) КТ с КУ, единичная киста в левой околоушной железе, разделенная внутренней перегородкой. И хотя при доброкачественном лимфоэпителиальном поражении обычно обнаруживается сразу несколько образований, иногда они могут быть и единичными. В такой ситуации может быть выставлен неверный диагноз - киста первой жаберной щели. 
2. КТ при лимфоэпителиальном поражении околоушной железы при ВИЧ: 
• КТ без КУ 
о Множественные двусторонние кистозные и солидные образования с четкими контурами, расположенные в толще увеличенных околоушных желез 
• КТ с КУ 
о Двустороннее увеличение обеих околоушных желез с увеличением их плотности 
о Периферическое кольцо накопление контраста у кист, неоднородное накопление контраста у солидных образований 
о При КТ с контрастированием нужно попытаться обнаружить другие признаки ВИЧ-инфекции: 
- Реактивная шейная лимфаденопатия 
- Гипертрофия небных, глоточной, язычной миндалин
3. МРТ при лимфоэпителиальном поражении околоушной железы при ВИЧ: 
• Т1ВИ: 
о Кисты с сигналом низкой интенсивности 
о Солидные образования с неоднородным сигналом различной интенсивности: 
- Собственная жировая клетчатка околоушных желез обеспечивает хорошую контрастность изображения 
• Т2ВИ: 
о Округлые или овальные образования с четкими контурами и гиперинтенсивным сигналом в обеих околоушных железах о Двусторонняя шейная лимфаденопатия, гиперинтенсивный сигнал 
о Увеличение лимфоидной ткани кольца Вальдейера, сигнал высокой интенсивности 
• STIR: 
о Улучшает визуализацию образований 
• Т1ВИ с КУ: 
о Тонкое кольцо накопления контраста вокруг кист, для солидных образований характерен неоднородный сигнал различной интенсивности: 
- В кистах имеются пристеночные узелки (увеличенные лимфоидные фолликулы) 
о Из-за наличия окружающей жировой клетчатки на Т1 ВИ с контрастированием солидные образования могут быть видны хуже, чем на Т1 ВИ без контраста
4. УЗИ при лимфоэпителиальном поражении околоушной железы при ВИЧ: 
• Находки могут варьировать от простых кист до смешанных новообразований с преобладанием солидного компонента: 
о Кисты не являются полностью анэхогенными, внутри них могут находиться кровоснабжаемые перегородки 
о Солидные образования могут напоминать опухоль околоушной железы
5. Рекомендации по визуализации: 
• Лучший метод визуализации: 
о При КТ шеи с контрастированием лучше всего визуализируются двусторонние кистозные и солидные образования в околоушных железах, увеличенные небные миндалины и шейные лимфоузлы

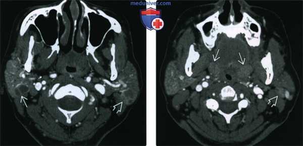
 (Слева) КТ с КУ, аксиальная проекция у пациента с объемным образованием шеи слева. Плотность обеих околоушных желез увеличена, в правой железе определяется многокамерная киста, в левой - смешанное кистозно-солидное образование. 
(Справа) КТ с КУ, аксиальная проекция, этот же пациент. Определяется единичный увеличенный околоушной узел слева и гипертрофия небных миндалин. По результатам КТ пациенту было рекомендовано обследование на ВИЧ, результат оказался положительным. 
в) Дифференциальная диагностика лимфоэпителиального поражения околоушной железы при ВИЧ:
1. Киста первой жаберной щели: 
• Клиническая картина: одностороннее образование в области околоушной железы, которое периодически воспаляется 
• Лучевая диагностика: одностороннее округлое кистозное образование в околоушной области
2. Поражение околоушной железы при синдроме Шегрена: 
• Клиническая картина: пожилые пациентки с сикка-синдромом (сухость глаз, полости рта и кожи) и ревматоидными заболеваниями 
• Лучевая диагностика: картина может быть идентична лимфоэпителиальному поражению при ВИЧ
3. Саркоидоз околоушной железы: 
• Клиническая картина: встречается крайне редко 
• Лучевая диагностика: поражение шейных и медиастинальных лимфоузлов: 
о Картина может быть идентична лимфоэпителиальному поражению при ВИЧ
4. Опухоль Вартина: 
• Клиническая картина: одиночные или множественные образования в околоушной железе 
• Лучевая диагностика: 
о Солидное или смешанное кистозно-солидное образование с узелковыми стенками 
о В 20% встречаются множественные опухоли, но их число невелико 
о Гипертрофия небных миндалин и шейная лимфаденопатия отсутствуют
5. Неходжкинская лимфома околоушных лимфоузлов: 
• Клиническая картина: обычно на момент обращения уже имеется развернутая картина неходжкинской лимфомы 
• Лучевая диагностика: солидные образования в обеих околоушных железах
6. Метастазы в околоушных лимфоузлах: 
• Клиническая картина: симптомы первичной опухоли и метастазирования в другие органы 
• Лучевая диагностика: множественные солидные образования в одной из околоушных желез

 (Слева) MPT STIR, аксиальная проекция. В обеих околоушных железах визуализируются лимфоэпителиальные кисты. Обратите внимание, что вовлечены и поверхностная, и глубокая доли желез. Присутствует реактивная лимфаденопатия затылочных узлов. Гипертрофия небных миндалин незначительная. 
(Справа) МРТ Т1ВИ FS c КУ, аксиальная проекция. Двусторонние кистозные и солидные образования у ВИЧ-положительного пациента. Небные миндалины гипетрофированы, также имеет место реактивная лимфаденопатия латеральных заглоточных лимфоузлов. 
г) Патология:
1. Общая характеристика: 
• Этиология: 
о Лимфоэпителиальные образования появляются в железистом эпителии ± околоушных лимфоузлах 
о Выстланы доброкачественным эпителием, в стенках находятся увеличенные лимфоидные фолликулы неправильной формы 
• Сопутствующие изменения: 
о Шейная лимфаденопатия и гипертрофия лимфоидной ткани глоточного кольца
2. Микроскопия: 
• Тонкостенные кисты с ровными контурами, размеры от нескольких миллиметров до 3-4 см 
• Содержимое кист: пенистые макрофаги, лимфоидные и эпителиальные клетки, многоядерные гигантские клетки
3. Иммуногистохимия: 
• В лимфоидном компоненте определяются В-клеточные и Т-клеточные маркеры 
• Для кист, выстланных плоским эпителием, характерно наличие эпителиальных маркеров (например, цитокератины, эпителиальный мембранный антиген и другие) 
• Ядерный антиген ВИЧ р24 обнаруживается в герминативных центрах лимфоузлов и многоядерных гигантских клетках: 
о Многоядерные гигантские клетки также положительны на белок S100 и р55
д) Клинические особенности:
1. Проявления: 
• Типичные признаки/симптомы: 
о Двустороннее безболезненное увеличение околоушных желез 
• Другие признаки/симптомы: 
о Шейная лимфаденопатия 
о Отек небных миндалин 
• Клиническая картина: 
о Может быть первым проявлением ВИЧ-инфекции о Появление образований в обеих околоушных железах у пациента с ВИЧ-инфекцией: 
- У ВИЧ-положительных пациентов до начала стадии СПИД: 
Появление ДЛО может предшествовать сероконверсии 
Не считается предшественником СПИД 
о Анализ крови на ВИЧ нужно брать у каждого пациента с доброкачественными лимфоэпителиальными образованиями
2. Демография: 
• Возраст: 
о Пациент с ВИЧ любого возраста 
о Чаще всего у лиц мужского пола 
• Эпидемиология: 
о Ранее доброкачественные лимфоэпителиальные образования выявлялись у 5% пациентов с ВИЧ 
о С изобретением комбинированной антиретровирусной терапии частота выявления упала
3. Течение и прогноз: 
• При отсутствии лечения процесс переходит в хроническую стадию, происходит значительное увеличение обеих околоушных желез, напоминающее картину эпидемического паротита 
• Прогноз зависит от ВИЧ- и СПИД-статуса пациента, а не от собственного лимфоэпителиального поражения 
• Возможно перерождение в В-клеточную лимфому (редко)
4. Лечение: 
• Проведение ВААРТ приводит к полному или частичному исчезновению симптомов лимфоэпителиального поражения 
• Кисты: при наличии болевого синдрома или противопоказаний к антиретровирусной терапии возможно введение в полость кисты доксициклина
е) Диагностическая памятка:
1. Следует учесть: 
• При подозрении на лимфоэпителиальное поражение околоушных желез при ВИЧ в первую очередь следует выполнять КТ с контрастированием 
• Для того, чтобы оценить состояние околоушных желез и шейных лимфоузлов, исследование должно захватывать область от основания черепа до ключиц
2. Советы по интерпретации изображений: 
• У ВИЧ-положительного пациента увеличенные околоушные железы с наличием кист или солидных образований говорят о ДЛП (пока не доказано обратное) 
• КТ с контрастированием: гипертрофия небных миндалин и шейная лимфаденопатия без признаков некроза 
• Если лимфопролиферативное поражение проявляется наличием одиночной кисты в одной из околоушных желез, возможна неправильная постановка диагноза кисты первой жаберной щели 
• Если проявляется односторонним солидным образованием, можно принять за опухоль околоушной железы
3. Рекомендации по отчетности: 
• Может быть первым признаком ВИЧ-инфекции: 
о В характерных случаях необходимо напомнить клиницисту о необходимости обследования пациента на ВИЧ
1. Аббревиатура: 
• Доброкачественные лимфоэпителиальные поражения (ДЛЭП): ВИЧ
2. Синонимы: 
• СПИД-ассоциированные паротидные кисты (САПК): 
о Единственное условие для манифестации ДЛЭП: ВИЧ(+): 
- Не обязательно присутствует развернутая картина СПИДа 
- Избегайте данного синонима (САПК)
3. Определение: 
• Множественные смешанные кистозные и солидные объемные образования в околоушных железах у ВИЧ-инфицированных пациентов 
• Трехуровневая классификация: 
о Персистирующая генерализованная лимфаденопатия околоушной железы: солидные поражения 
о ДЛЭП: смешанные солидные и кистозные поражения 
о Доброкачественные лимфоэпителиальные кисты: кистозные поражения
1. Общая характеристика: 
• Лучший диагностический критерий: 
о Увеличение обеих околоушных желез за счет множественных кистозных и солидных объемных образований в сочетании с гиперплазией миндалин и реактивной шейной лимфаденопатией 
• Локализация: 
о Внутри железы 
о Околоушное пространство с обеих сторон 
о Редко поднижнечелюстная или подъязычная слюнная железа: 
- Лимфоидная ткань присутствует лишь в околоушной железе 
• Размер: 
о Варьирует: обычно несколько миллиметров; до 3,5 см 
• Морфология: 
о Округлые кисты с четкими границами 
о Солидные лимфоидные скопления могут быть плохо отграничены 
о Двухстороннее увеличение околоушных желез 
о Часто обнаруживаются множественные мелкие образования

 (Слева) На аксиальной КТ с КУ визуализируются хорошо отграниченные солидные контрастиру-ющиеся очаги в обеих околоушных железах. Метастазы и лимфома могут выглядеть аналогично, но гипертрофия миндалин позволяет предположить ДЛЭП или персистирующую лимфаде-нопатию околоушных желез, обусловленную ВИЧ. 
(Справа) На аксиальной КТ с КУ в левой околоушной железе визуализируется солитарное образование, разделенное перегородками. ДЛЭП обычно являются множественными, но возможны и солитарные поражения. 
2. КТ при доброкачественном лимфоэпителиальном поражении околоушного пространства при ВИЧ: 
• КТ без КУ: 
о Множественные хорошо отграниченные кистозные и солидные объемные образования в увеличенных околоушных железах с обеих сторон 
• КТ с КУ: 
о Кистозные очаги с тонким контрастирующимся «ободком»; неоднородное контрастирование солидных образований 
о Другие изменения на КТ с КУ, связанные с ВИЧ: 
- Реактивная шейная лимфаденопатия 
- Гипертрофия глоточных, небных, язычных миндалин
3. МРТ при доброкачественном лимфоэпителиальном поражении околоушного пространства при ВИЧ: 
• Т1 ВИ: 
о Кистозные очаги с сигналом низкой интенсивности о Неоднородный вариабельный сигнал в солидных очагах: 
- Жировая ткань, в норме присутствующая в околоушной железе, обеспечивает высокую контрастность 
• Т2 ВИ: 
о Гиперинтенсивные очаги овальной или округлой формы, с четкими границами, в обеих околоушных железах 
о Двухсторонняя шейная лимфаденопатия с гиперинтенсивным сигналом 
о Увеличение лимфоузлов кольца Вальдейера с гиперинтенсивным сигналом 
• STIR: 
о Улучшает видимость поражений 
• Т1 ВИ С+: 
о Кистозные очаги с тонким контрастирующимся «ободком»; вариабельное неоднородное контрастирование солидных очагов 
о Солидные очаги могут быть хуже различимы на изображениях с контрастом, чем без такового, из-за окружающей жировой ткани
4. УЗИ при доброкачественном лимфоэпителиальном поражении околоушного пространства при ВИЧ: 
• Спектр сонографических находок варьирует от простых кист до смешанных объемных образований с преобладающим солидным компонентом: 
о Кистозные очаги не являются абсолютно анэхогенными, содержат сеть тонких перегородок, кровоснабжаемых сосудистыми ножками: 
- В 40% имеются муральные узлы 
о Солидные поражения могут напоминать новообразования околоушной железы
5. Рекомендации по визуализации: 
• Лучший метод визуализации: 
о КТ с КУ или МРТ от основания черепа до ключиц позволяет обнаружить двухсторонние объемные образования в околоушных железах, гиперплазию миндалин, шейную лимфаденопатию

 (Слева) На аксиальной КТ с КУ визуализируются множественные мелкие контрастирующиеся очаги с диффузным поражением обеих околоушных желез, характерные для персистирующей генерализованной паротидной лимфаденопатии. Данные очаги представляют собой увеличенные лимфоузлы. 
(Справа) На корональной реформатированной КТ с КУ у пациента с ВИЧ определяются очаги в обеих околоушных железах, образованные кистозным и солидным компонентами, сопоставимые с ДЛЭП при ВИЧ. 
в) Дифференциальная диагностика доброкачественного лимфоэпителиального поражения околоушного пространства при ВИЧ:
1. Киста первой жаберной щели: 
• Симптоматика: рецидивирующее воспалительное объемное образование околоушной железы с одной стороны 
• Визуализация: одностороннее овальное кистозное образование околоушной железы
2. Поражение околоушной железы при синдроме Шегрена: 
• Симптоматика: пожилые женщины с синдромом Сикка (сухость глаз, рта, кожи) и заболеванием соединительной ткани (ревматоидный артрит); антинуклеарные антитела 
• Визуализация: картина может быть идентична ДЛЭ кистам
3. Поражение околоушной железы при саркоидозе: 
• Симптоматика: саркоидоз околоушной железы встречается крайне редко 
• Визуализация: шейные и медиастинальные лимфоузлы: 
о Картина может быть идентична ДЛЭП
4. Опухоль Уортина: 
• Симптоматика: солитарное или множественное объемное образование в околоушной железе 
• Визуализация: 
о Солидные или смешанные кистозно-солидные объемные образования околоушной железы с узлами в стенках 
о В 20% множественные, но никогда не бывают многочисленными 
о Не связаны с гиперплазией миндалин и шейной лимфаденопатией
5. Неходжкинская лимфома околоушных лимфоузлов: 
• Симптоматика: обычно имеются очевидные признаки хронической системной неходжкинской лимфомы (НХЛ) 
• Визуализация: солидные объемные образования в обеих околоушных железах: 
о Картина может быть идентичной персистирующей лимфаденопатии околоушной железы 
• Первичная НХЛ околоушной железы встречается редко: 
о Односторонние множественные солидные объемные образования околоушной железы
6. Метастатическое поражение околоушных лимфоузлов: 
• Симптоматика: обычно очевидна первичная злокачественная опухоль с метастазами другой локализации 
• Визуализация: односторонние множественные солидные объемные образования околоушной железы

 (Слева) На аксиальной MPT (Т2 FS) в обеих околоушных железах определяются объемные образования с сигналом высокой интенсивности. И солидные, и кистозные ДЛЭП характеризуются гиперинтенсивным Т2 сигналом. Обратите внимание на увеличение глоточных миндалин. 
(Справа) На аксиальной МРТ (Т1 С+) визуализируются объемные образования в обеих околоушных железах с контрастирующимся «ободком». Солидные ДЛЭП сложнее выявить на исследованиях с контрастом из-за «смешивания» контрастирующихся участков с жировой тканью околоушной железы. 
1. Общая характеристика: 
• Этиология: 
о Гипотеза 1: обструкция протока, перидуктальная атрофия, формирование дистальной кисты из-за околопротоковых лимфоидных скоплений 
о Гипотеза 2: формирование кисты во включениях железистого эпителия в интрапаротидных лимфоузлах: 
- Также называется цистификацией 
о Кисты непосредственно не формируются из интрапаротидных лимфоузлов 
• Сопутствующие нарушения: 
о Шейная лимфаденопатия и лимфофолликулярная гиперплазия носоглотки 
• Кистозные полости, выстланные плоским эпителием, в сочетании с обширной лимфоидной стромой 
• Редко сообщается о трансформации в В-клеточную лимфому
2. Макроскопические и хирургические особенности: 
• Диффузное увеличение околоушных желез с множественными хорошо отграниченными узлами «резиновой» консистенции с ровными краями, «мясистого» характера, белого цвета или цвета загара
3. Микроскопия: 
• Кисты с ровной и тонкой стенкой от нескольких мм до 3-4 см 
• Пенистые макрофаги, лимфоидные и эпителиальные клетки, многоядерные гигантские клетки в аспирированной из кисты жидкости: 
о Интенсивная иммуноэкспрессия белка S100 и p24 (ВИЧ-1) в многоядерных гигантских клетках
1. Проявления: 
• Типичные признаки/симптомы: 
о Безболезненное увеличение обеих околоушных желез 
• Другие признаки/симптомы: 
о Шейная лимфаденопатия 
о Отек миндалин 
• Клинический профиль: 
о Объемные образования обеих околоушных желез у ВИЧ(+) пациента: 
- Изначально обнаруживаются у ВИЧ(+) пациентов до развития СПИД: 
ДЛЭП могут предшествовать сероконверсии ВИЧ 
ДЛЭП не рассматриваются как предшественники СПИД
2. Демография: 
• Возраст: 
о Инфицирование ВИЧ возможно в любом возрасте 
• Эпидемиология: 
о Статистически у 5% ВИЧ(+) пациентов возникают ДЛЭП 
о Частота ДЛЭП снижается в связи с появлением комбинированной антивирусной терапии
3. Течение и прогноз: 
• В отсутствие лечения возможен переход в хроническое состояние, напоминающее эпидемический паротит, с выраженным увеличением обеих околоушных желез 
• Редко возможна трансформация в В-клеточную лимфому 
• Прогноз у пациента зависит от наличия других ВИЧ- и СПИД-ассоциированных заболеваний, но не от ДЛЭП
4. Лечение: 
• Антиретровирусная терапия ВИЧ позволяет полностью или частично устранить ДЛЭП околоушных желез 
• Лучевая терапия приводит к кратковременному регрессу 
• ДЛЭ кисты: склерозирование путем введения доксициклина или спирта в кисту при наличии болевой симптоматики или у неподходящих для антивирусной терапии кандидатов 
• Хирургическая эксцизия не рекомендуется пациентам со СПИДом
1. Следует учесть: 
• Используйте MPT (Т2 ВИ FS) для повышения заметности поражений 
• Сканируйте область от основания черепа до ключиц с целью полной оценки поражения околоушных желез и лимфаденопатии
2. Советы по интерпретации изображений: 
• Двухсторонние кистозные и солидные образования в увеличенных околоушных железах у ВИЧ(+) пациента должны расцениваться какДЛЭП, пока не доказано обратное 
• Шейная лимфаденопатия без признаков некроза и гипертрофия миндалин - ключевые признаки ДЛЭП на КТ с КУ 
• ДЛЭ кисты, выглядящие как односторонние кистозные образования околоушной железы, можно спутать с кистой первой жаберной щели 
• ДЛЭП, выглядящие как односторонние солидные интрапаротид-ные образования, можно спутать с опухолью околоушной железы
3. Заключение: 
• ДЛЭП могут быть первым признаком ВИЧ инфекции; в характерных случаях рекомендуется исследование на ВИЧ
а) Терминология: 
• Трехуровневая классификация: 
о Стойкая генерализованная лимфаденопатия околоушных узлов: солидные образования в околоушной железе 
о Доброкачественные лимфоэпителиальные образования (ДЛО): одновременно солидные и кистозные образования 
о Доброкачественные лимфоэпителиальные кисты: кистозные образования
б) Визуализация: 
• КТ или МРТ с контрастированием: множественные двусторонние кистозные и солидные образования с четкими контурами, расположенные в толще увеличенных околоушных желез: 
о Стенки кисты могут иметь узловатое строение (лимфоидные фолликулы) 
• При КТ с контрастированием нужно попытаться обнаружить другие признаки ВИЧ-инфекции: 
о Реактивная шейная лимфаденопатия 
о Гипертрофия небных миндалин
 (Слева) Классическая картина доброкачественного лимфоэпителиального поражения околоушных желез при ВИЧ. В обеих околоушных железах обнаруживаются кистозные и солидные лимфоидные образования. Обратите внимание на гипертрофию лимфоидной ткани глоточной миндалины. Реактивная лимфаденопатия (здесь не показана) также весьма характерна для доброкачественного лимфоэпителиального поражения. 
(Справа) КТ с КУ, аксиальная проекция. У ВИЧ-пациента в обеих околоушных железах (их плотность повышена) определяются множественные микрокисты. Такая картина характерна для доброкачественного лимфоэпителиальною поражения. Обратите внимание на гипертрофию глоточной миндалины. (Слева) КТ с КУ, аксиальная проекция. Крупные многокамерные кисты в обеих околоушных железах у пациента с ВИЧ. Внутри кисты видны перегородки. 
(Справа) КТ с КУ, аксиальная проекция. Двусторонние кистозные образования околоушных желез с узловатым строением стенок (лимфоидные фолликулы) у пациента с ВИЧ. При доброкачественном лимфоэпителиальном поражении в железах могут возникать как кисты, так и солидные объемные образования. Обратите внимание на гипертрофию небных миндалин. 
в) Дифференциальная диагностика: 
• Киста первой жаберной щели 
• Поражение околоушной железы при синдроме Шегрена 
• Опухоль Вартина 
• Неходжкинская лимфома околоушных лимфоузлов 
• Метастазы в околоушной железе
г) Клинические особенности: 
• Двустороннее безболезненное увеличение околоушных желез: 
о Доброкачественные образования могут появиться раньше, чем произойдет сероконверсия 
о Анализ крови на ВИЧ нужно брать у каждого пациента с доброкачественными лимфоэпителиальными образованиями 
• Ранее доброкачественные лимфоэпителиальные образования выявлялись у 5% пациентов с ВИЧ 
• В настоящее время встречается реже, поскольку при проведении ВААРТ данное проявление ВИЧ-инфекции исчезает
д) Диагностическая памятка: 
• Для постановки диагноза по данным КТ с контрастированием важными признаками будут гипертрофия небных миндалин и шейная лимфаденопатия без признаков некроза 
• Если лимфопролиферативное поражение проявляется только одиночной кистой в одной из околоушных желез, возможна неправильная постановка диагноза кисты первой жаберной щели 
• Если проявляется односторонним солидным образованием, можно принять за опухоль околоушной железы
Доброкачественные лимфоэпителиальные поражения (ВИЧ) на УЗИ слюнных желез

Терминология. Сокращения. Доброкачественные лимфоэпителиальные поражения (ДЛП) - ВИЧ. Доброкачественные лимфоэпителиальные кисты (ДЛК).
Синонимы. Кисты околоушной железы, связанные со СПИДом (ARPC). Избегайте синонимов ARPC. Для проявления ДЛП у пациента должен быть только ВИЧ (+). Может не иметь полноценного СПИДа с ДЛП
Определение. Мультифокальные смешанные кистозные и солидные интрапаротидные образования, обнаруженные у ВИЧ-инфицированных пациентов. 
3-х уровневая классификация. Кистозные поражения: кисты ДЛК. Смешанные солидные и кистозные образования: ДЛП. Солидные поражения: стойкая генерализованная лимфаденопатия околоушных желез.
Ультразвуковое исследование слюнных желез. Общие особенности
Лучший диагностический признак: множественные кистозные и твердые образования, увеличивающие обе околоушные железы, связанные с гиперплазией миндалин и реактивной аденопатией шеи 
Расположение. Двустороннее вовлечение околоушных слюнных желез на УЗИ. Редко наблюдается в подчелюстных или подъязычных слюнных железах. Только околоушная железа имеет собственную лимфоидную ткань. 
Размер. Переменный: обычно несколько мм, ≤ 3,5 см 
Морфология. Кисты хорошо очерчены, округлой формы. Солидные лимфоидные агрегаты могут быть плохо определены. Часто бесчисленные маленькие массы; необычно одинокий
- Серошкальное УЗИ. Спектр сонографических находок от простых кист до смешанных и солидных образований. Кистозные, смешанные и солидные поражения могут возникать одновременно в околоушных железах. Кистозные поражения (кисты ДЛК). Хорошо очерченная киста, разного размера, от анэхогенной до гипоэхогенной структуры с задним акустическим усилением. Сеть тонких перегородок ± муральные узлы. Часто встречаются внутренние эхо, которые могут быть мобильными. Сотовидная внешность паренхимы околоушной железы, когда она диффузно изменена з а счет кист. Смешанные поражения (ДЛП). Границы могут быть плохо очерченными, разного размера. Структура преимущественно гипоэхогенная, железы могут быть неоднородными. Без заднего акустического усиления. Солидные поражения (околоушная лимфаденопатия). Множественные овальные / круглые, гипоэхогенные, внутрипаротидные лимфоузлы на УЗИ. Четкий корковый слой ± сохранная корневая архитектура. Сопутствующая реактивная шейная лимфаденопатия
- Цветной допплер. Кистозные поражения: от бессосудистого до умеренного сосудистого кровотока в перегородках, интрамуральных лимфоузлах и на периферии. Смешанные поражения: переменная, васкуляризация от легкой до умеренной. Солидные поражения: внутрипаротидная васкуляризация.

Результаты КТ. Множественные, двусторонние, четко очерченные кистозные и солидные образования в увеличенных околоушных железах. При контрастировании легкое усиление кистозных поражений с гетерогенным усилением солидных поражений. Другие результаты КЭКТ, связанные с ВИЧ: реактивная шейная лимфаденопатия, и гипертрофия аденоидных, небных и язычных миндалин 
Результаты MРТ 
- T1WI. Кистозные поражения низкой интенсивности сигнала. Гетерогенный переменный сигнал при солидных поражениях. Нормальный жир околоушной железы обеспечивает хороший естественный контраст
- T2WI. Гиперинтенсивные, двусторонние, четко очерченные, округлые или яйцевидные интрапаротидные поражения. Гиперинтенсивная двусторонняя шейная лимфаденопатия. Увеличение лимфатического кольца Вальдейера с высоким сигналом
- T1WI C +. Увеличение тонкого ободка при кистозных поражениях с переменным гетерогенным усилением твердых поражений. Солидные поражения могут быть менее заметными на C +, чем неусиленный T1WI из-за окружающего жира
Дифференциальная диагностика
- Синдром околоушной железы Шегрена. Пожилые женщины с синдромом Сикки (сухость глаз, сухость во рту, сухость кожи) и заболеванием соединительной ткани (ревматоидный артрит); антинуклеарные антитела. Кистозные поражения могут быть идентичны кистам ДЛП при визуализации ан УЗИ. Неоднородный фон околоушной паренхимы трудно оценить с бесчисленными кистами ± поражение подчелюстных и слезных желез.
- Киста 1-й жаберной щели. Одиночное, одностороннее, кистозное, интрапаротидное образование. Анэхогенная структура ± мелкий детрит, тонкие стенки, псевдосолидный вид с задним акустическим усилением. Может быть виден «клюв» в сторону костного наружного слухового прохода. Лимфаденопатия при наличии воспаления
- Опухоль Вартина. Солитарные или мультифокальные околоушные образования. Солидные или смешанные кистозно-солидные околоушные образования с узловатыми стенками. 20% - многоочаговые, но не тотально многочисленные. Солидные / кистозные, толстые стенки, перегородки, внутренний детрит ± васкуляризация, особенно внутри корней при небольших поражениях. Отсутствие сопутствующей гиперплазии миндалин и аденопатии шеи
- Неходжкинская лимфома околоушных лимфоузлов. Двусторонние твердые интрапаротидные образования при системной неходжкинской лимфоме (НХЛ). Может быть идентично стойкой лимфаденопатии околоушных желез. Лимфаденопатия в другом месте обычно уже очевидна. Структура на УЗИ солидная, круглая, не кальцинированная, гипоэхогенная, сетчатая / псевдокистозная, внутриопухолевая васкуляризация более выраженная, чем периферическая. Первичная околоушная НХЛ встречается очень редко. Односторонние, мультифокальные, солидные внутрипаротидные образования или диффузная паренхиматозная неоднородность
- Метастатическое заболевание околоушных узлов. Односторонние, мультифокальные, твердые околоушные образования ± центральный некроз из-за нарушения их кровоснабжения. Первичная злокачественная опухоль и другие метастатические отложения уже очевидны
- Околоушный саркоидоз. Шейные и средостенные лимфатические узлы. Может быть идентичным ДЛП. Интрапаротидный саркоидоз встречается очень редко.
Патология. Общие особенности. Этиология. Гипотеза 1: перидуктальные лимфоидные агрегаты вызывают непроходимость корня протока, перидуктальную атрофию и образование дистальных кист. Гипотеза 2: Цистификация; Формирование кисты происходит во включенном железистом эпителии внутри паротидных лимфоузлов. Не возникает непосредственно из интрапаротидных лимфатических узлов. 
Сопутствующие аномалии. Цервикальная лимфаденопатия и носоглоточная лимфофолликулярная гиперплазия. Кистозные пространства, выстланные плоским эпителием, сопровождаемые обильной лимфоидной стромой. Сообщалось о редкой трансформации в В-клеточную лимфому. 
Макропатологические и хирургические особенности. Диффузно увеличенные околоушные железы с множеством хорошо очерченных узлов, резиновой консистенции и гладкого, коричнево-белого цвета, мясистого вида 
Микроскопические особенности. Тонкие гладкостенные кисты размером от нескольких мм до 3-4 см. При аспирации жидкости кисты выявляются пенистые макрофаги, лимфоидные и эпителиальные клетки, а также многоядерные гигантские клетки. Интенсивная иммуноэкспрессия белков S100 и p24 (ВИЧ-1) в многоядерных гигантских клетках 
Клинические проблемы и проявления. Наиболее частые признаки / симптомы. Двустороннее безболезненное увеличение околоушной железы. Другие признаки / симптомы. Шейная лимфаденопатия. Отек миндалин 
Клинический профиль. Двусторонние околоушные образования у пациента с ВИЧ (+). Первоначально наблюдается у пациентов с ВИЧ (+) до появления СПИДа. ДЛП может предшествовать сероконверсии ВИЧ. Доброкачественное лимфоэпителиальное поражение не считается предшественником СПИДа 
Демография. Возраст. В любом возрасте, если человек инфицирован ВИЧ 
Эпидемиология. Исторически у 5% пациентов с ВИЧ (+) развивается ДЛП. Доброкачественные лимфоэпителиальные поражения наблюдается реже после начала высокоактивной антиретровирусной терапии 
Естественная история и прогноз. При отсутствии лечения перерастает в хроническое состояние, подобное паротиту, со значительным двусторонним увеличением околоушных желез. Редко может трансформироваться в В-клеточную лимфому; рекомендуется последующее наблюдение. Прогноз пациента зависит от других заболеваний, связанных с ВИЧ и СПИДом, а не от ДЛП 
Лечение 
Читайте также:
