Физиология и биомеханика краниовертебрального сочленения
Добавил пользователь Евгений Кузнецов Обновлено: 17.12.2025
Барташевич В.В., Камзеев В.Д.
Казанская государственная медицинская академия
Кафедра неврологии и рефлексотерапии
Учение о двигательном стереотипе активно развивалось в работах В.П. Веселовского (1991); V.Janda., K.Lewit (1980). Постулируется, что сознательные программы динамического стереотипа закладываются в раннем детстве, в момент первого осознаваемого поведения, закончившегося положительным результатом, и в дальнейшем изменяются и совершенствуются на протяжении всей жизни (9).
В мускульной основе динамического стереотипа две составляющие - статическая и динамическая. Статическая функция определяет осанку, позу, их сохранение и коррекцию. Динамическая функция -это смена позной активности и автоматизм движения, реализующие неосознаваемые двигательные реакции и программы поведения (6).
Мышечная активность динамического стереотипа реализуется благодаря биомеханическим свойствам двигательного аппарата, самым важным из которых является наличие степеней свободы вследствие многозвенности суставов. Механизмы координации, включая лишь некоторые из степеней свободы, ограничивают все остальные, чтобы обеспечить устойчивость и надежность результата.
Координация динамического стереотипа обеспечивается взаимодействием всех уровней построения движения, в том числе высших церебральных. Наиболее консервативной (жесткой) частью в этом комплексе являются уровни А и В. Сегментарный аппарат построения движения (уровни А и В) обеспечивают наиболее простые и надежные компоненты локомоции. Супрасегментарные, структурно-функциональные отделы ЦНС осуществляют программу построения движения пространственного поля С, теменно-премоторного D и смыслового уровня Е. Основой двигательного стереотипа является уровень синергии В (1,5).
Сформированный миогенный гипертонус (МГ) качественно меняет ситуацию по организации и реализации движения. Между физиологическими параметрами программы движения и искаженным, вследствие боли, реальным результатом устанавливается положительная обратная связь. Рассогласование параметров, в форме положительной обратной связи, стимулируют функциональные системы на продолжение планирования движения до тех пор, пока не сформируется патологически измененный двигательный стереотип, где миофасциальный гипертонус (МФГ) становится частью системы (8).
Материал и методы исследования. За период с 1995 по 2004 годы обследовано 919 больных спондилогенным миофасциальным болевым синдромом (МФБС). Причиной дискорадикулярного конфликта были спортивные травмы (31% наблюдений), автомобильные травмы (29% случаев), подъем тяжести (18% наблюдений), бытовые конфликты (13% случаев). Установить причину дискорадикулярного конфликта не представилось возможным в 9% случаев.
В острую фазу дискорадикулярного конфликта ведущим синдромом была боль с иррадиацией по зонам иннервации вовлеченных в процесс корешков. В ответ на боль повышался тонус мышц и ограничение движения в позвоночнике и конечностях. Со временем боль проходила и начинался процесс формирования функционального, органического блока или консолидация позвоночно-двигательного сегмента (ПДС). Движения в этом отделе уменьшались или исчезали. В вышележащих сегментах сформировалась гипер-, а в нижележащих - гипомобильность.
Медленно формирующийся, умеренно выраженный, периферический парез мышцы в острую фазу дискорадикулярного конфликта часто проходит незамеченным. Больной, поглощенный переживаниями боли, не ощущает исподволь появляющейся слабости мышцы. 41% больных узнали о наличии у них пареза только после проведенного обследования в период ремиссии корешковых и вертебральных синдромов.
Для объективной характеристики двигательного стереотипа был использован метод компьютерной, светооптической ортоспондилографии. Метод компьютерной, светооптической ортоспондилографии позволяет оценивать выносливость к статической нагрузке мышечных групп спины, верхних и нижних конечностей при выполнении функциональных двигательных тестов, стабильность осанки, стабильность тазобедренного сустава, стабильность плечевого сустава.
Исследование проводилось на аппаратно-программном комплексе для оценки состояния позвоночника в трех взаиморасположенных плоскостях путем передачи и компьютерной обработки его цифрового фотоизображения.
Обработка и создание статистической базы данных пациентов проводилась автоматически программным модулем KODiT АРК.
Анализ полученных результатов. Анализ осанки и походки 112 здоровых лиц показал, что совершаемые человеком движения по скорости, темпу, размаху строго индивидуальны. Нет двух одинаковых осанок или походок. Однако на этом фоне установлены определенные закономерности.
В положении стоя, стопы вместе, нить отвеса, проведенного от кончика носа, проходит через середину вырезки грудины на шее и середину пупка, не касаясь кожи. Центр тяжести устанавливается в проекции стоп в точке основания фаланг больших пальцев. Вследствие движения частей тела и внутренних органов центр тяжести постоянно перемещается. Из-за постоянного смещения центра тяжести туловище покачивается с пятки на носок, с одной стороны на другую. При закрытых глазах смещения центра тяжести усиливаются, но не выходят за пределы площади опоры.
При выдвижении левой ноги вперед происходит разворот тазового пояса по часовой стрелке со спиралевидным поворотом поясничного отдела позвоночника, постепенно затухающим на уровне L I - II, ThXII. Одновременно плечевой пояс совершает движение против часовой стрелки со спиралевидным поворотом верхнегрудного отдела позвоночника, постепенно затухающим на уровне ThХII, L II -I. Движения рук являются продолжением движения плечевого пояса. Голова при этом поворачивается вправо, сохраняя положение, определяемое взглядом и точкой зрительной фиксации. Это вызывает восходящее спиралевидное движение шейного отдела позвоночника по часовой стрелке, затухающее в зоне краниоцервикального сочленения. Одновременно в позвоночнике происходят волнообразные движения из стороны в сторону. Наибольшие экскурсии совершаются в среднепоясничном отделе, вызывая компенсаторный изгиб в грудном отделе позвоночника в противоположную сторону. Таз находится в срединном положении и совершает поступательно-возвратные движения, равномерно поднимаясь и опускаясь в ритме ходьбы. Движения центра тяжести тела в стороны и вперед-назад небольшие.
Все локомоции имеют наибольшую амплитуду в ортогональных отношениях. Во фронтальной оси, в сагитальной плоскости осуществляются наклоны головы и шеи вперед-назад. В сагитальной оси, во фронтальной плоскости происходят наклоны в стороны. В вертикальной оси, в горизонтальной плоскости голова и шея осуществляют повороты в стороны.
Наблюдения за походкой здоровых лиц при ношении тяжести в одной руке показали, что плечи находятся позади плоскости тела, верхние фиксаторы лопатки остаются расслабленными. Сгибатели пальцев напряжены в соответствии с испытываемым гравитационным отягощением.
В зависимости от локализации последствий перенесенного дискорадикулярного конфликта больные разделены на три группы. В первую группу вошли 317 больных с органическим и функциональным блоком на краниоцервикальном уровне Ко второй группе отнесли 306 больных, перенесших дискорадикулярный конфликт на средне-шейном уровне. Третью группу составили 296 больных с патологическими изменениями нижнешейного отдела позвоночника.
Динамическое равновесие черепа по отношению к позвоночнику достигается гармоничной работой мышц краниовертебральной области. Эти мышцы обеспечивают вращающий момент прилагаемой силы, равным вращающему моменту силы тяжести. Многочисленные индивидуальные движения головы, заполняющие пространство между конечными точками движения, обеспечивают опережение и предупреждение ошибок движения. Движения черепа - важное условие стабилизации центра тяжести всего тела. Индивидуальная пластика движений головы обеспечивает динамическому стереотипу достижение результата действия наиболее надежным способом, по механизму предвидения.
При блокаде верхнешейных ПДС ограничивается или становится невозможным сгибание, разгибание, вращение головы вместе с атлантом в срединном и латеральных атлантоосевых суставах вокруг зуба осевого позвонка. Поэтому, при изменениях положения туловища и конечностей автоматизированные движения головы осуществляются за счет ПДС ниже атлантоокципитального сустава. Стабилизация центра тяжести происходит посредством движения головы вслед за движением верхней части туловища. Движения плечевого пояса, из-за преодоления инерции, запаздывают, и координация центра тяжести происходит менее надежным способом, путем исправления уже совершенной ошибки движения.
Для повышения надежности стабилизации центра тяжести, недопущения ошибок движения, уменьшается количество, объем, индивидуальность локомоции во всем шейном отделе позвоночника. Из движения выпадают хейрокинез, качательные, вращательные движения плечевого пояса. Центр тяжести стабилизируется в передних отделах площади опоры. Формируется «сутулая спина». Движения осуществляются «всем телом». Это происходит вследствие повышения и перераспределения тонуса мышц всего плечевого пояса. В результате возникают длительные статические перегрузки мышц шеи и плечевого пояса.
Оптимизация управления центром тяжести осуществляется за счет увеличения длины шага и мышечных усилий. У больных исчезает индивидуальная «легкость» походки.
В краниоцервикальном отделе мы выделили две группы мышц, обеспечивающих движение головы в атлантоокципитальном суставе. Первая группа - это мышцы, имеющие точки прикрепления в пределах блокированных ПДС: mm. rectus capitis posterior major et minor, obliqus capitis superior et inferior.
При блоке краниоцервикального отдела с полным отсутствием движения, усилия этих мышц не заканчиваются изменением расстояния между точками прикрепления, не приводят к движению головы. Отсутствие действия и конечного результата действия является сигналом для перестройки программы нейрофизиологической модели двигательного стереотипа. Стимуляция к сокращению mm. rectus capitis posterior major et minor, obliqus capitis superior et inferior прекращается. Тонус этих мышц снижается, они становятся «ленивыми», «вялыми».
При блоке краниоцервикального отдела с сохранением, но значительным ограничением движения, усилия этих мышц сопровождаются их сокращением, но не приводят к конечному результату. Движения головы столь малы, что не способны участвовать в динамике двигательного стереотипа по координации центра тяжести. Наличие действия, но не совпадение конечного результата действия с программой нейрофизиологической модели двигательного стереотипа, являются сигналом для перманентной инициации стимулов к продолжению сокращения мышц. В мышцах краниоцервикальной зоны возникает длительно сохраняющийся повышенный тонус для обеспечения работы, не заканчивающийся необходимым результатом. Формируется феномен «перегруженной» мышцы.
Вторая группа мышц - это мышцы, одним концом прикрепляющиеся к блокированным ПДС краниоцервикальной зоны, другим - к костным структурам позвоночника и плечевого пояса с сохранной подвижностью сочленений: mm. longissimus capitis, sternocleidomastoideus, trapezius.
Сокращение этих мышц сопровождается движением головы за счет подвижности нижележащих сегментов. Однако, вследствие инерции и отсутствия индивидуальной пластики, движения головы не заканчиваются запланированным результатом. Управление центром тяжести осуществляется с опозданием, по механизму исправления ошибки. Для удержания центра тяжести в площади опоры происходит обеднение локомоции, ограничение движения в плечевом поясе. Движения головы идут вслед за движением плечевого пояса и туловища.
Сокращения mm. trapezius, sternocleidomastoideus образуют гиперлордоз шейного отдела позвоночника с запрокидыванием головы назад и выдвижением подбородка вперед. Тягой m. trapezius формируется кифоз верхнегрудного отдела позвоночника. Уменьшается расстояние между затылком и остистым отростком С VII.
Невозможность или ограничение возможности совершать автоматизированные движения головой в краниоцервикальной зоне, на фоне перманентного мышечного гипертонуса приводит к перестройке нейрофизиологической модели двигательного стереотипа. Формируется новая программа патологического двигательного стереотипа с неоптимальным функционированием «перегруженных» и «ленивых» мышц. Возникают условия для развития генерализованного МФБС в мышцах краниовертебральной зоны, шеи и плечевого пояса.
Литература
2. Васильева Л.Ф. Мануальная диагностика и терапия (клиническая биомеханика и патобиомеханика).-СПб.: ИКФ «Фолиант», 1999.-400с.
4. Иваничев Г.А., Старосельцева Н.Г. Миофасциальный генерализованный болевой (фибромиалгический) синдром. - Казань - Йошкар-Ола, 2002.-164с.
5. Janda V. On the concept of postural muscles and posture. // The Australian Journal of physiotherapy.-1983.-V.29.-№6.-P.90-93.
6. Janda V., Levit K. Trends und Perspektiven der Manuellen Medizin. // Man Med - 1980.-Bd. 2.-№ 1.-P.1-6.
7. Romano T.J. Fibromyalgia in children: diagnosis and treatment / W.V.Med J.-1991.-V. 87. № 3.-P.112-114.
Физиология и биомеханика краниовертебрального сочленения
Физиология и биомеханика краниовертебрального сочленения
Краниовертебральное сочленение — самый подвижный участок шейного отдела позвоночника. Оно представляет собой переходный участок между черепом и позвоночником, обладающий уникальной стабильностью и амплитудой движений. Особое костное строение атланта и осевого позвонка — так же как и суставов между черепом, С1 и С2 — обеспечивает множество разнообразных движений в краниовертебральном сочленении.
Механические свойства атланто-затылочного сегмента во многом обусловлены строением костных элементов, тогда как свойства атланто-осевого сегмента более зависят от строения связочного аппарата.
а) Атланто-затылочный комплекс. Затылочные мыщелки представляют собой округлые образования, соединенные с чашеобразными верхними суставными поверхностями латеральных масс атланта, формируя шаровидные суставы, в которых возможно движение в сагиттальной плоскости (например, сгибание-разгибание), но сильно ограничено осевое вращение и боковое сгибание.
Основным движением атланто-затылочного комплекса является сгибание и разгибание. В норме амплитуда сгибания составляет 21 градус, а разгибания — 3,5 градуса, что является наибольшим значением для любого, отдельно взятого сегмента шейного отдела позвоночника. Сгибание ограничено соприкосновением верхушки зуба с большим затылочным отверстием, а разгибание — покровной мембраной.
Благодаря анатомии сустава, боковое сгибание и осевое вращение ограничены сильнее — их амплитуды составляют 5,5 и 7,2° соответственно. Хотя идею осевого вращения в этом суставе долгое время отрицали, последние исследования подтвердили его наличие.
Амплитуда бокового сгибания составляет 3,4-5,5° с каждой стороны. Это движение ограничено анатомией атланто-затылочного сустава и крыловидными связками. Амплитуда осевого вращения составляет 2,4-7,2° с каждой стороны и ограничена теми же структурами.
В норме боковое сгибание и смещение в сагиттальной и фронтальной плоскостях значительно ограничены соединением затылочной кости с атлантом и, предположительно, покровной мембраной и связкой верхушки зуба.
б) Атланто-осевой комплекс. Атланто-осевой (С1-С2) сустав включает в себя четыре составляющих: два боковых атланто-осевых сустава; срединный атланто-осевой сустав, между передней дугой атланта и зубом; и сустав между задней поверхностью зуба и поперечной связкой атланта. В отличие от атланто-затылочного сустава, боковой атланто-осевой сустав имеет большую синовиальную сумку, что обеспечивает большую амплитуду движений. Зуб служит осью, вокруг которой вращается атланта.
Кроме того, суставные поверхности как С1, так и С2 выпуклые, что обеспечивает еще большую свободу осевого вращения вокруг зуба, а также допускает боковое сгибание и сгибание-разгибание. Средняя амплитуда осевого вращения составляет 23,3-38,9° с каждой стороны. Осью вращения головы в горизонтальной плоскости является зуб.
Исследования анатомии показали, что растяжение и перегиб контралатеральной позвоночной артерии возникает при амплитуде атланто-осевого вращения равной 30-35°. Когда вращение превышает 40°, возникает смыкание суставных поверхностей С1 и С2. Фактически, позвоночная артерия скручивается в петлю между С1 и С2, что позволяет ей избежать повреждения при нормальном движении в этой плоскости; длина артерии между атлантом и затылочной костью остается достаточной, если совершено движение с этой амплитудой.
Осевое вращение С1-С2 неблагоприятно совмещено с вращением в атланто-затылочном суставе. По существу, осевое вращение С1-С2 вызывает вращение меньшей амплитуды в противоположном направлении в атланто-затылочном суставе.
Общая амплитуда сгибания-разгибания С1-С2 составляет 10,1 -22,4°. Сгибание ограничено поперечной связкой атланта, разгибание — покровной мембраной соединения С1-С2. При сгибании и разгибании ось вращения расположена посередине между верхушкой и основанием зуба около его задней поверхности.
Боковое сгибание ограничено крыловидными связками до средней амплитуды 6,7°. В норме амплитуды бокового смещения, растяжения и компрессии в С1-С2 минимальны. Атланто-осевой сустав обеспечивает вращение шеи с амплитудой, равной 47°. Испытания подтвердили, что значение интервала осевого вращения в атланто-затылочном суставе составляет 8°, в атланто-осевом у взрослых — 40° в каждом направлении, у детей — 45°. Сгибание и разгибание примерно одинаковы в обоих суставах со средним значением общей амплитуды сгибания, равным 27,1°, и разгибания, равным 24,9°, учитывая весь комплекс: затылочную кость, атлант и осевой позвонок.
При возникновении воспалительного процесса в атланто-осевом суставе проявляется крайне сильная зависимость его стабильности от функции связочного аппарата, тогда как функция атланто-затылочного сустава и шейного отдела позвоночника ниже С2 нарушается не столь значительно.
Данные с трехмерной модели краниовертебрального сочленения пациентов с ревматоидным артритом также подтверждают, что помимо ферментативного расщепления костной ткани, присутствует нарушение движений — механический компонент поражения ревматоидным артритом. Эрозия основания зуба может привести к изменениям костной структуры согласно трансформационному закону Вольфа (Wolff) и различным исследованиям воздействия нагрузок на кость. На основании отмеченных изменений в латеральных массах атланта предполагают схожий механизм эрозивных изменений при ревматоидном артрите. Значения передней и задней атланто-дентальной дистанции показывают, что для крайней степени подвывиха атланто-осевого сустава необходима полная деструкция поперечной связки атланта в сочетании с нарушением функции крыловидных или капсульных связок.
Сложная анатомия и взаимоотношения между различными компонентами обусловливают уникальность краниовертебрального сочленения и значительную трудность хирургического доступа к глубоким структурам этой области. Доскональное понимание анатомии краниовертебрального сочленения имеет первостепенную важность для успешного хирургического вмешательства. Многочисленные исследования морфометрии и анатомии этой области обеспечили специалистов необходимой информацией о нормальных показателях, измерениях и параметрах, которые столь важны в предоперационном планировании и непосредственном ходе операции при хирургическом доступе в этой уникальной и сложноустроенной области.
МРТ краниовертебрального сочленения в сагиттальной плоскости (А) и художественное исполнение (Б).
Показаны покровная мембрана (стрелка) и поперечная связка атланта (толстая стрелка).
БА — базион; ОП — опистион; ПМем — передняя атланто-затылочная мембрана; ЗМем — задняя атланто-затылочная мембрана;
З—Зуб; Ост2 — остистый отросток С2;ПД — передняя дуга атланта (тонкая стрелка); ЗД — задняя дуга атланта. Крестообразная, поперечная, крыловидные и добавочные связки.
А. МРТ во фронтальной плоскости. Б. рисунок.
Редактор: Искандер Милевски. Дата обновления публикации: 18.3.2021
МРТ краниовертебрального перехода в Ростове-на-Дону
МРТ краниовертебрального перехода – метод диагностики приобретенных и врожденных патологий, возникающих в области атлантозатылочного сустава. Сложная анатомия, ограниченные объемы, огромное количество жизненно важных нервов и кровеносных сосудов в этой области требуют использования самого информативного и точного метода визуализации.
МРТ краниовертебрального перехода
- Письменное заключение — 0 руб.
- Диск со снимками или архив с ссылкой (от 100 до 1000 снимков)
- Исследование — 0 руб.
- Контраст не выбран — 0 руб.
Запишитесь сейчас и получите консультацию врача МРТ в подарок
* При предъявлении направления от врача скидка 5%

Врач МРТ диагностики.
Закончил СПбГУ в 2009 г.

Врач МРТ диагностики.
Стаж с 2010 года

Врач МРТ диагностики. Закончил ординатуру РостГМУ в 2011 г.
Ситуация усложняется тем, что непосредственно через атлантозатылочную область проходит спинной и продолговатый мозг, контролирующий основные жизненно важные функции организма – дыхание и кровообращение.

Анатомия краниовертебрального перехода
Магнитно-резонансная томография идеально подходит для диагностики заболеваний краниовертебрального перехода, благодаря высокой точности, превосходному тканевому контрасту, отсутствию негативного влияния на человеческий организм. МРТ – метод выбора при визуализации патологий, локализующихся в этой области.
Показания к МРТ краниовертебрального перехода
МРТ краниовертебрального перехода используется в качестве инструментального метода в диагностики следующих патологий и заболеваний:
аномалии развития костных и мягкотканных структур – недоразвитие атланта, дефекты дужек, зубчатого отростка, спинномозговые грыжи, аномалия Киммерле, синдром Клиппеля-Фейля, платибазия, мальформация Арнольда-Киари;
наследственные заболевания, сопровождающиеся нарушением развития осевого скелета (синдром Дауна, болезнь Лобштейна-Вролика, ахондроплазия);
травмы, возникающие при резком сгибании-разгибании шеи (падения с высоты, дорожно-транспортные происшествия, прыжки в воду);
ревматоидный артрит, болезнь Педжета, спондилоартриты;
опухоли краниовертебрального перехода, метастазы;
сирингомиелия, демиелинизирующие заболевания;

МРТ снимок шейного отдела позвоночника с захватом краниовертебрального перехода
МРТ краниовертебрального перехода может назначаться при наличии следующих жалоб пациента:
боли в шее, затылочной зоне;
снижение подвижности, ограничение движений при поворотах, наклонах головы;
головные боли, головокружение, провоцируемые наклонами и поворотами головы, кашлем;
расстройства речи, охриплость голоса, нарушение глотания, нарушения координации;
слабость, спутанность или потеря сознания, потемнение в глазах, провоцируемые изменением положения головы;
нарушения болевой, температурной чувствительности в плечевом поясе и верхних конечностях, мышечная слабость и атрофия.
Противопоказания к МРТ краниовертебрального перехода
Магнитно-резонансная томография имеет следующие противопоказания:
1 триместр беременности;
детский возраст до 5 лет;
медицинские импланты – кардиостимуляторы, дефибрилляторы, устройства слухопротезирования;
посторонние предметы из металла в теле пациента – фрагменты боеприпасов, металлическая стружка в глазном яблоке, сосудистые клипсы и стенты (особенно установленные на сосудах центральной нервной системы);
избыточная масса тела – обхват туловища более 150 см.
МРТ краниовертебрального перехода у пациентов детского возраста
Детский возраст до 5 лет – относительное противопоказание для проведения МРТ краниовертебрального перехода. Ограничения связаны с тем, что во время процедуры необходимо длительное время сохранять полную неподвижность. В противном случае на снимках возникают артефакты, затрудняющие или делающие невозможной расшифровку результатов исследования.
Вместе с тем, МРТ краниовертебрального перехода часто используется в педиатрической практике, так как большая часть патологий этой области имеют врожденное происхождение. По этой причине перед проведением обследования у детей необходимо уделить внимание подготовке к процедуре. Легче всего это сделать в игровой форме, за несколько дней перед посещением нашей клиники.
Основные особенности процедуры МРТ – шум, замкнутое пространство, сохранение неподвижности в положении лежа на протяжении 15 минут – легко имитировать подручными средствами в домашних условиях. Благодаря таким тренировкам ребенок будет знать, чего ожидать от обследования, предупреждается стресс. Для достижения лучших результатов можно пообещать малышу игрушку, сладости или другое вознаграждение.
Другой подготовки к обследованию, как для детей, так и для взрослых, не требуется.
Как проводится МРТ краниовертебрального перехода
Магнитно-резонансная томография проводится с помощью специальной установки – томографа – вмещающей в себя пациента. Так как основной компонент томографа – мощный магнит, устройство имеет форму большого кольца с коротким (не более полутора метров) и широким туннелем в центре. Во время обследования в нем, на подвижном столе, находится пациент.
Во время проведения МРТ в помещении создается мощное магнитное поле, способное притягивать к себе предметы из металла. Запрещается проносить на обследование любые посторонние объекты, из-за риска травмы или порчи оборудования.

Процедура МРТ краниовертебрального перехода
МРТ краниовертебрального перехода длится 15 минут. При использовании контраста – 30 минут. Во время обследования сохраняйте полную неподвижность, четко следуйте указаниям врача – это крайне важно для получения качественных снимков.
Работа установки МРТ сопровождается шумом. По этой причине пациентам предлагается использовать наушники, через которые транслируют музыку и указания медперсонала. После завершения обследования необходимо подождать 15-20 минут, необходимых для расшифровки ваших снимков врачом-рентгенологом. Снимки можно получить на компакт-диске или пленке, по вашему выбору. Вы также можете получить бесплатную консультацию специалиста по результатам обследования.
Что покажет МРТ краниовертебрального перехода
В основе метода – использование магнитных полей и радиоволн для получения подробных послойных снимков интересующей области тела. За несколько минут томограф позволяет получать десятки изображений в нескольких плоскостях.
Благодаря высокому контрасту при визуализации мягких тканей на снимках четко идентифицируются структуры основания черепа, спинного и продолговатого мозга, мозжечка. При этом оценивается состояние нервной ткани, наличие аномалий развития окружающих костно-хрящевых образований и связок. Определяется компрессия нервных стволов, кровеносных сосудов, спинного, продолговатого мозга, и ее степень.

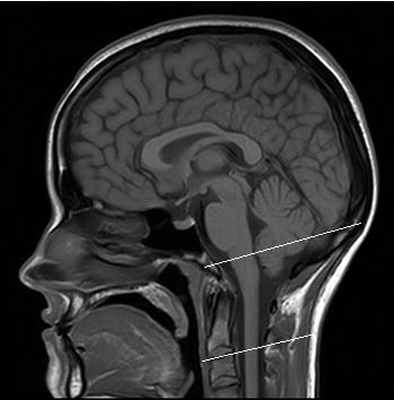
МРТ головного мозга — белыми линиями отмечен краниовертебральный переход
Метод позволяет получать четкие изображения суставов, связок и сухожилий. Обращается внимание на наличие аномалий развития первого, второго позвонков шейного отдела позвоночника. Оценивается нормальное строение краниовертебрального перехода, измеряются углы между отдельными его компонентами, что имеет важное значение для нормальной биомеханики.
МРТ краниовертебрального перехода с контрастом
Контрастные препараты – лекарственные растворы для внутривенного введения, использующиеся при проведении МРТ. Основное назначение контраста – увеличить точность диагностики в спорных случаях, при подозрении на демиелинизирующие заболевания, доброкачественные или злокачественные новообразования, воспалительные процессы.
Контраст вводится внутривенно непосредственно во время обследования. При этом незначительно увеличивается длительность процедуры. В большинстве случаев контрастные препараты хорошо переносятся пациентами. В редких случаях возможны легкие аллергические реакции в виде сыпи, насморка, слезотечения, тошноты.
Где сделать МРТ краниовертебрального перехода и шейного отдела в Ростове-на-Дону: адреса и цены
Вся важная информация об МРТ краниовертебрального перехода и шейного отдела: сколько стоит диагностика, как проводится обследование, адреса и телефоны медицинских центров и клиник, где можно сделать магнитно-резонансную томографию затылочной области черепа и краниовертебрального перехода. Для записи звоните по телефону или оставляйте заявку на сайте, наши сотрудники помогут выбрать подходящий центр для проведения исследования, расскажут о ценах и актуальных акциях.
МРТ краниовертебрального перехода и атланто-окципитального сочленения
Запишитесь на МРТ краниовертебрального перехода и атланто-окципитального сочленения
Обслуживание на двух языках: русский, английский.
Оставьте свой номер телефона, и мы обязательно перезвоним вам.
Информацию из данного раздела нельзя использовать для самодиагностики и самолечения. В случае боли или иного обострения заболевания диагностические исследования должен назначить только лечащий врач. Для постановки диагноза и правильного назначения лечения следует обращаться к Вашему лечащему врачу.
МРТ краниовертебрального перехода и атланто-окципитального сочленения является высокоинформативным методом диагностики заболеваний, травм и аномалий развития этой зоны. Симптомы различных заболеваний области соединения черепа с позвоночником во многом схожи, что затрудняет постановку правильного диагноза. МРТ позволяет максимально точно диагностировать неврологическую, нейрохирургическую и онкологическую патологию и назначить соответствующее лечение.
Преимущества:
- Единственный метод, подтверждающий острый рассеянный энцефаломиелит и рассеянный склероз
- Исследование безопасно и безболезненно, не требует введения контрастного вещества
- Проводится без специальной подготовки
Краниовертебральным переходом называют переходную зону между основанием черепа и верхним отделом позвоночника, включающего и шейные позвонки.
Атланто-окципитальным (атланто-затылочным) сочленением называют сустав, который образован затылочными костями и первым шейным позвонком (атлантом).
Что показывает данное исследование
Проведение МРТ краниовертебрального перехода позволяет прицельно осмотреть шейный отдел позвоночника и основание черепа, оценить строение и структуру первых позвонков, состояние сосудов и спинного мозга. С помощью данного исследования выявляется:
- костная патология и повреждения связочного аппарата;
- степень смещения позвонков;
- свежие и застарелые гематомы;
- повреждения нервов, сосудов и мягких тканей;
Показания к проведению обследования
МРТ краниовертебрального перехода и атланто-окципитального сочленения назначается при подозрении на:
- аномалии (врожденные и приобретенные) развития позвоночника и основания черепа;
- артроз в районе краниовертебрального перехода;
- грыжи межпозвонковых дисков;
- опухоли и метастазы в шейном отделе позвоночника;
- травмы и шейных позвонков (вывихи, переломы);
- переломы мыщелков затылочной кости;
- воспалительные заболевания структур позвоночного канала (ревматоидный артрит, синдром Рейтера, болезнь Бехтерева);
- кровоизлияния;
- ушибы мягких тканей в области краниовертебрального перехода;
- опухоли, травмы и воспалительные процессы спинного мозга;
Также МРТ назначается при частых головных болях и головокружении с невыясненными причинами.
Как проходит обследование
МРТ краниовертебрального перехода проводится без специальной подготовки. Больного лишь просят удалить из карманов металлические предметы (очки, ножи, ручки, ключи) и снять бижутерию. Если на одежде имеются металлические детали, ее необходимо снять и переодеться в одноразовый стерильный костюм/халат. Пациента укладывают на стол томографа на спину и перемещают внутрь аппарата. Процедура длится 30 минут.
В кабинете предусмотрен климат-контроль. Пациент может выбрать желаемое освещение и визуальные эффекты, музыкальное сопровождение. Поддерживается постоянная аудиосвязь с медперсоналом.
После исследования и программной обработки врач описывает полученные снимки и дает необходимые рекомендации. Снимки при желании копируются на электронный носитель больного или распечатываются на плёнке.
Цены на услуги Вы можете посмотреть в прайсе или уточнить по телефону, указанному на сайте.
Цены на МРТ краниовертебрального перехода и атланто-окципитального сочленения
- Брюшная полость
- МР-урография, без контрастирования 6 300 руб.
- МР-урография (дополнительная программа к основному исследованию), без контрастирования 2 000 руб.
- МР-холангиография (МРХПГ), без контрастирования 6 300 руб.
- МР-холангиография (МРХПГ) (дополнительная программа к основному исследованию), без контрастирования 2 000 руб.
- МРТ органов брюшной полости и забрюшинного пространства, без контрастирования 10 000 руб.
- МРТ почек и надпочечников, без контрастирования 7 600 руб.
- Верхняя конечность
- МРТ грудинно-ключичных сочленений, без контрастирования 7 500 руб.
- МРТ мягких тканей и костей одного предплечья, без контрастирования 8 900 руб.
- МРТ мягких тканей и кости одного плеча, без контрастирования 8 900 руб.
- МРТ одного локтевого сустава, без контрастирования 7 700 руб.
- МРТ одного лучезапястного сустава (не включая кисть), без контрастирования 8 900 руб.
- МРТ одного плечевого сустава, без контрастирования 7 700 руб.
- МРТ одной кисти (не включая лучезапястный сустав), без контрастирования 8 900 руб.
- Всё тело
- МРТ всего тела, без контрастирования 32 400 руб.
- МРТ скрининг всего тела (все тело с диффузией, МРТ головного мозга, трехмерная МР-ангиография артерий и вен головного мозга) 39 000 руб.
- МРТ центральной нервной системы (МРТ головного мозга, артерии головы, вены головы, МРТ трех отделов позвоночника), комплексное обследование 18 500 руб.
- МРТ всего тела, комплексное обследование (МР-диффузия, МРТ брюшной полости, МРТ забрюшинного пространства, МРТ малого таза и одна стандартная зона прицельно) 49 000 руб.
- Лицо, шея, основание черепа
- МРТ височно-нижнечелюстных суставов с функциональными пробами, без контрастирования 9 500 руб.
- МРТ глазниц (орбит), без контрастирования 9 500 руб.
- МРТ мягких тканей лица и лицевого скелета, без контрастирования 9 200 руб.
- МРТ мягких тканей шеи, без контрастирования 9 200 руб.
- МРТ носоглотки, без контрастирования 9 200 руб.
- МРТ околоносовых пазух, без контрастирования 6 900 руб.
- МРТ основания черепа, без контрастирования 7 100 руб.
- МРТ ротоглотки, без контрастирования 9 200 руб.
- Молочные железы
- МРТ молочных желез для оценки целостности имплантов, без контрастирования 7 500 руб.
- МРТ молочных желез, с контрастированием 15 500 руб.
- Мягкие ткани
- МРТ мягких тканей брюшной стенки, без контрастирования 8 100 руб.
- МРТ мягких тканей грудной стенки, без контрастирования 7 400 руб.
- МРТ мягких тканей одной области тела, без контрастирования 9 100 руб.
- Нижняя конечность
- МРТ мягких тканей и костей одной голени, без контрастирования 8 700 руб.
- МРТ мягких тканей и кости одного бедра, без контрастирования 8 700 руб.
- МРТ мягких тканей паховой и лобковой области, без контрастирования 8 900 руб.
- МРТ обоих тазобедренных суставов, без контрастирования 11 100 руб.
- МРТ одного голеностопного сустава (не включая стопу), без контрастирования 7 700 руб.
- МРТ одного коленного сустава, без контрастирования 7 700 руб.
- МРТ одной стопы (не включая голеностопный сустав), без контрастирования 7 700 руб.
- МРТ-картирование суставного хряща, без контрастирования 6 500 руб.
- МРТ одного тазобедренного сустава, без контрастирования 8 000 руб.
- Периферические нервы
- МРТ крестцового сплетения и его ветвей на уровне таза (седалищные, половые, бедренно-половые) (МР-нейрография), без контрастирования 9 000 руб.
- МРТ плечевого нервного сплетения (с одной стороны), без контрастирования 9 000 руб.
- МРТ седалищного нерва на всем протяжении (МР-нейрография), без контрастирования 13 000 руб.
- Позвоночник
- МРТ всех отделов позвоночника (шейный, грудной, поясничный, крестцовый и копчик), без контрастирования 18 000 руб.
- МРТ грудного отдела позвоночника, без контрастирования 6 500 руб.
- МРТ крестцово-подвздошных сочленений, без контрастирования 7 300 руб.
- МРТ крестцового отдела позвоночника и копчика, без контрастирования 7 500 руб.
- МРТ пояснично-крестцового отдела позвоночника и копчика, без контрастирования 8 800 руб.
- МРТ поясничного отдела позвоночника, без контрастирования 6 500 руб.
- МРТ трёх отделов позвоночника (шейный, грудной, поясничный), без контрастирования 14 500 руб.
- МРТ шейного отдела позвоночника и МР-ангиография артерий шеи, без контрастирования 9 500 руб.
- МРТ шейного отдела позвоночника, без контрастирования 6 500 руб.
- Сосуды
- МР-ангиография артерий головного мозга, без контрастирования 6 500 руб.
- МР-ангиография артерий шеи и головного мозга, без контрастирования 11 000 руб.
- МР-ангиография артерий шеи, без контрастирования 6 900 руб.
- МР-ангиография брюшной аорты, с контрастированием 15 600 руб.
- МР-ангиография грудной аорты, с контрастированием 15 600 руб.
- МР-венография (флебография) тазовых (подвздошных) вен, без контрастирования 8 000 руб.
- МР-венография (флебография) тазовых (подвздошных), нижней полой и почечных вен, без контрастирования 14 000 руб.
- МР-венография головного мозга, без контрастирования 2 000 руб.
- Средостение
- МРТ сердца, с контрастированием 19 100 руб.
- МРТ средостения, без контрастирования 8 100 руб.
- Таз
- МРТ аноректальной (перианальной) области, без контрастирования 10 000 руб.
- МРТ костей таза, без контрастирования 10 700 руб.
- МРТ мошонки, без контрастирования 9 100 руб.
- МРТ органов малого таза, без контрастирования 8 900 руб.
- МРТ плода, без контрастирования 22 700 руб.
- МРТ полового члена, без контрастирования 9 100 руб.
- МРТ предстательной железы (мультипараметрическая), с контрастированием 14 000 руб.
- Центральная нервная система и головной мозг
- МР-трактография головного мозга, без контрастирования 15 500 руб.
- МРТ гипофиза (турецкого седла), без контрастирования 6 500 руб.
- МРТ головного и спинного мозга (всей ЦНС), с контрастированием 24 000 руб.
- МРТ головного мозга обзорная и МР-ангиография артерий головного мозга, без контрастирования 9 000 руб.
- МРТ головного мозга обзорная и МР-ангиография артерий и вен головного мозга, без контрастирования 10 500 руб.
- МРТ головного мозга обзорная, без контрастирования 6 500 руб.
- МРТ головного мозга при внутричерепных новообразованиях (включая перфузию), с контрастированием 14 300 руб.
- МРТ головного мозга при рассеянном склерозе и других демиелинизирующих заболеваниях, с контрастированием 14 300 руб.
- МРТ головного мозга при эпилепсии (эпипротокол), без контрастирования 7 400 руб.
- МРТ конуса спинного мозга и спинномозговых корешков на уровне поясничного отдела позвоночника, без контрастирования 7 900 руб.
- МРТ мосто-мозжечковых углов, черепно-мозговых нервов, в т.ч. при нейроваскулярном (вазоневральном) конфликте, без контрастирования 8 600 руб.
- МРТ спинного мозга (грудной отдел), без контрастирования 7 300 руб.
- МРТ спинного мозга (шейный отдел), без контрастирования 6 900 руб.
- МРТ головного мозга высокого разрешения 9 600 руб.
- Контрастирование
- Внутривенное контрастирование полумолярным контрастным препаратом 8 100 руб.
- Внутривенное контрастирование гепатоспецифичным контрастным препаратом (Примовист) 15 500 руб.
- Эндоскопия
- Капсульная эндоскопия 50 000 руб.
Внимание! Цены на сайте могут отличаться.
Пожалуйста, уточняйте актуальную стоимость у администраторов по телефону.
Наши специалисты:
ОБРАТНЫЙ ЗВОНОК
ОБРАТНЫЙ ЗВОНОК

Работа по страховому полису ОМС
Наши опытные специалисты оказывают все виды услуг и оперативных вмешательств - лечение возможно провести в рамках страхового полиса ОМС и на платной основе для жителей Москвы, МО и жителей регионов РФ.

Акции

Акции

Акции
Аномалии краниоцервикального перехода
Аномалии краниовертебрального перехода – врожденные или приобретенные дефекты затылочной кости, большого затылочного отверстия или первых двух шейных позвонков, приводящие к уменьшению пространства для нижних отделов ствола головного мозга и шейного отдела спинного мозга. Эти дефекты могут приводить к болям в шее, сирингомиелии, поражениям каудальной группы черепных нервов, нарушениям функций мозжечка и спинного мозга и нарушениям кровообращения в вертебрально-базилярной системе. Диагностика производится с помощью магнитно-резонансного исследования (МРИ) или компьютерной томографии (КТ). Лечение часто требует исправления дефекта с последующей стабилизацией путем хирургического вмешательства или внешнего ортопедического устройства.
Нервная ткань податлива и чувствительна к компрессии. Краниовертебральные аномалии вызывают или способствуют компрессии шейного отдела спинного мозга или ствола головного мозга; некоторые виды этой патологии включают нижеследующие:
Сращение атланта (С1) и затылочной кости – если переднезадний размер большого затылочного отверстия позади зубовидного отростка составляет 19 мм, то может развиться компрессия спинного мозга
Базилярная инвагинация (внедрение затылочных мыщелков в полость задней черепной ямки): выпячивание зубовидного отростка через большое затылочное отверстие, обычно укорочение шеи и компрессия, которая может вовлекать мозжечок, ствол головного мозга, каудальную группу черепных нервов и спинной мозг
Мальформация Клиппеля-Фейля (сращение верхних шейных позвонков или атласа с затылком): деформация и ограниченное движение шеи, но обычно без неврологических последствий, но иногда сдавление шейного отдела спинного мозга после незначительной травмы
Платибазию (уплощение основания черепа таким образом, что угол, образующийся при пересечении плоскостей ската и передней ямки, составляет > 135 ° ) видно на изображении боковой поверхности черепа: сокращение шеи, обычно не вызывает симптомов, если только она не сопровождается базилярной инвагинацией
Этиология
Аномалии краниовертебрального перехода, среди которых многие могут быть врожденными или приобретенными.
Врожденные
Врожденные аномалии Обзор врожденных неврологических аномалий Врожденные аномалии мозга обычно вызывают тяжелые неврологические дефициты, а некоторые могут быть фатальными. Некоторые из наиболее серьезных неврологических аномалий (например, анэнцефалия. Прочитайте дополнительные сведенияСтруктурные скелета аномалии включают в себя следующие:
Ассимиляцию атланта (врожденное сращение атланта и затылочной кости)
Врожденную аномалию Клиппеля–Фейля (например, с синдромам Тернера Синдром Шерешевского-Тернера При синдроме Тернера девочки рождаются с одной или двумя частично или полностью отсутствующей Х-хромосомой. Диагноз ставят на основании клинических данных и цитогенетических анализах. Лечение. Прочитайте дополнительные сведенияАномальную зубовидную кость (os odontoideum), частично или полностью замещающую зуб осевого позвонка
Платибазия Этиология Гидроцефалия развивается из-за накопления избыточного количества спинномозговой жидкости, вызывая расширение желудочков головного мозга и/или повышение внутричерепного давления. Первые проявления. Прочитайте дополнительные сведенияСистемные расстройства, приводящие к нарушению роста и развития костной системы и развитию аномалий краниовертебрального перехода, включают в себя:
ахондроплазию Остеохондродисплазии (остеохондродиспластическая карликовость) Остеохондродисплазия включает аномальный рост костей или хряща, что приводит к недоразвитию скелета, часто коротким конечностям и карликовости. Диагноз ставят на основании данных медицинского. Прочитайте дополнительные сведения (нарушение эпифизарного роста кости, характеризующееся укороченными, плохо сформированными костями), которая в некоторых случаях вызывает сужение большого затылочного отверстия или сращение последнего с атлантом, приводя таким образом к компрессии спинного мозга или ствола головного мозга;
синдром Дауна Синдром Дауна (трисомия 21) Синдром Дауна является аномалией 21-й хромосомы, может проявляться нарушением умственного развития, микроцефалией, небольшим ростом и характерным внешним видом. Диагноз предполагают на основании. Прочитайте дополнительные сведения , которые могут приводить к подвывиху или дислокации атлантоосевого сустава.
Приобретенные
Приобретенные нарушения могут быть результатом травмы или заболевания.
Травмы могут вовлекать костно-связочный аппарат и обычно являются результатом дорожно-транспортных происшествий, падений и ныряний; некоторые травмы несовместимы с жизнью.
Ревматоидный артрит Ревматоидный артрит (РА) Ревматоидный артрит (РА) – хроническое системное аутоиммунное заболевание, поражающее прежде всего суставы. Патологические изменения при РА опосредовано цитокинами, хемокинами и металлопротеиназами. Прочитайте дополнительные сведения с поражением шейного отдела позвоночника могут вызывать дислокацию или подвывих атлантоосевого сустава, базилярную инвагинацию или платибазию.
Метастатические опухоли с поражением костей Метастазы костных опухолей Любая злокачественная опухоль может метастазировать в кость, но метастазы карцином встречаются наиболее часто, особенно тех, что возникают в следующих областях: Молочная железа Легкие Простата Почки Прочитайте дополнительные сведенияМедленно растущие опухоли краниовертебрального перехода (например, менингиома Менингиомы Менингиомы – это доброкачественные опухоли мозговых оболочек, способные сдавливать прилегающую ткань мозга. Симптомы зависят от локализации опухоли. Диагноз ставят с помощью МРТ с контрастным. Прочитайте дополнительные сведения ) могут сдавливать ствол мозга или спинной мозг.
Клинические проявления
Симптомы и признаки нарушений краниоцервикального перехода могут появиться после небольшой травмы шеи или спонтанно, они могут варьироваться в зависимости от степени компрессии и поражения вовлеченных структур. Сохранность варьирует от Степени сдавливания и затронутых структур.
Наиболее распространенными проявлениями являются:
Клиническая картина компрессии спинного мозга
Боль в шее часто распространяется и на руки, может сочетаться с головной болью (часто в затылочной области с иррадиацией в теменную); появление такого рода боли связывают с компрессией корешка С2 и большого затылочного нерва, а также локальной костно-мышечной дисфункции. Боли в шее и головные боли обычно усиливаются при движениях головой и могут провоцироваться кашлем или наклоном вперед. Если у пациентов с пороком Киари присутствует гидроцефалия, положение вниз головой может усугублять гидроцефалию и вызывать головную боль.
Компрессия спинного мозга Компрессия спинного мозга При различных повреждениях может развиться компрессия спинного мозга, вызывающая сегментарные нарушения чувствительности, двигательной и рефлекторной сферы, парезов сфинктеров. Диагноз ставится. Прочитайте дополнительные сведения вовлекает верхнешейный отдел. Дефициты включают
Спастический парез в руках и/или ногах, вызванный компрессией двигательных путей.
Поражение задних канатиков проявляется нарушениями суставно-мышечной и вибрационной чувствительности.
При сгибании шеи волна покалывания, идущая сверху вниз вдоль позвоночника, часто с распространением на руки и ноги (симптом Лермитта).
Нарушение болевой и температурной чувствительности (функция спиноталамического тракта) по типу "перчаток" и "чулок" возникает нечасто.
Внешний вид шеи и/или амплитуда движений могут быть изменены при наличии определенных аномалий (например, платибазия, базилярная инвагинация, мальформация Клиппеля–Фейля). Она может укорачиваться с ограничением подвижности (образование крыловидных кожно-мышечных складок на боковой поверхности шеи от грудинно-ключично-сосцевидной мышцы до плеча) или находиться в патологическом положении (например, кривошея при аномалии Клиппеля–Фейля). Возможно ограничение диапазона движений.
При компрессии головного мозга (например, вследствие платибазии, базилярной инвагинации или краниоцервикальных опухолей) возможны поражения мозжечка, ствола мозга и черепных нервов. Поражения ствола мозга и черепных нервов включают
Толчкообразный нистагм, направленный вниз (быстрый компонент направлен вниз)
Нарушение кровообращения в вертебрально-базилярной системе может быть спровоцировано изменением положения головы. Симптомы могут включать
Дроп-атаки (приступы падения)
Замешательство или изменённое состояние сознания
Сирингомиелия Патологическая полость в спинном мозге или стволе мозга Сирингомиелическая киста представляет собой заполненную жидкостью полость внутри спинного мозга (сирингомиелия) или ствола головного мозга (сирингобульбия). К предрасполагающим факторам развития. Прочитайте дополнительные сведения (полость в центральной части спинного мозга) часто встречается у пациентов с мальформацией Киари. Это может привести к
Сегментарному вялому парезу и атрофии, которые более выражены в дистальных отделах верхних конечностей
Потере болевой и температурной чувствительности, распространенная на участки тела в виде капюшона на шею и проксимальные отделы верхних конечностей.
Однако некоторая чувствительность сохраняется.
Диагностика
МРТ или КТ головного мозга и верхней части шейного отдела спинного мозга
При болях в шее или в затылке в сочетании с неврологическим дефицитом, соответствующим поражению верхних отделов спинного мозга, нижних отделов ствола или мозжечка, следует заподозрить аномалию краниоцервикального перехода. Дифференцировка с поражениями на более низком уровне шейного отдела обычно основывается на данных клинической картины (уровень поражения спинного мозга) и нейровизуализации.
Нейротомография
При подозрении на аномалию краниоцервикального перехода проводится КТ или МРТ верхних отделов спинного и головного мозга, особенно задней черепной ямки и собственно краниоцервикального перехода. Острый или резко прогрессирующий неврологический дефицит – неотложное состояние, требующее немедленной нейровизуализации. МРТ в сагиттальной плоскости лучше идентифицирует сопутствующие поражения нервной системы (например, изменения мозгового вещества, моста, мозжечка, спинного мозга, сосудистые аномалии и сирингомиелию). КТ точнее, чем МРТ, отображает костные структуры и более доступна в неотложной ситуации.
При невозможности проведения КТ и МРТ выполняют краниограммы в боковых проекциях, а также снимки шейного отдела спинного мозга в переднезадней и косых проекциях.
Если МРТ недоступна или малоинформативна, то выполняют КТ-миелографию (КТ после интратекального введения рентгеноконтрастного вещества). Если по данным МРТ или КТ можно предположить наличие сосудистой аномалии, то проводят магнитно-резонансную или вертебральную ангиографию.
Лечение
Репозиция и иммобилизация
В некоторых случаях – хирургическая декомпрессия и/или фиксация
При компрессии нервных структур лечение состоит из репозиции (тракция или изменение положения головы для восстановления нормального соотношения элементов краниовертебрального перехода и уменьшения выраженности сдавления нервных структур). После репозиции голову и шею фиксируют. Острая или внезапно прогрессирующая компрессия спинного мозга требует экстренной репозиции.
Если репозиция не позволила достичь уменьшения выраженности сдавления нервных структур, то применяют хирургические методы декомпрессии, используя передний или задний доступ. Если после оперативного вмешательства сохраняется нестабильность, необходима задняя фиксация (стабилизация). При некоторых заболеваниях (например, при ревматоидном артрите) внешняя иммобилизация редко приводит к успеху, чаще требуется задняя фиксация или передняя декомпрессия и стабилизация.
Для стабилизации на то время, пока кости не срастутся, применяют различные методы (например, пластины или винты). В общем необходимо добиться сращения для каждой из нестабильных областей.
Костная патология
При метастатических опухолях костей Лечение Любая злокачественная опухоль может метастазировать в кость, но метастазы карцином встречаются наиболее часто, особенно тех, что возникают в следующих областях: Молочная железа Легкие Простата Почки Прочитайте дополнительные сведения Кальцитонин, митрамицин и бисфосфонаты могут быть полезными в случае пациентов с болезнью Педжета Лечение Болезнь Педжета – хроническое заболевание скелета у взрослых, при котором происходит усиление метаболизма костной ткани. В результате костный матрикс замещается аномальными тканями, что приводит. Прочитайте дополнительные сведенияКлючевые моменты
Аномалии краниовертебрального перехода – врожденные или приобретенные дефекты затылочной кости, большого затылочного отверстия или первых двух шейных позвонков, приводящие к уменьшению пространства для нижних отделов ствола головного мозга и шейного отдела спинного мозга.
При болях в шее или в затылке в сочетании с неврологическим дефицитом, соответствующим поражению верхних отделов спинного мозга, нижних отделов ствола или мозжечка, следует заподозрить аномалию краниовертебрального перехода.
Для диагностики краниовертебральных аномалий используют МРТ или КТ головного мозга и верхней части шейного отдела спинного мозга.
Необходимо восстановить нормальное положение и иммобилизировать сжатые нервные структуры.
Лечение большинства пациентов с тягой, иммобилизацией или, если снижение не успешно, хирургическим путем.
Авторское право © 2022 Merck & Co., Inc., Rahway, NJ, США и ее аффилированные лица. Все права сохранены.
Читайте также:
