Генетика болезни Гиршспрунга. Особенности наследования
Добавил пользователь Валентин П. Обновлено: 31.12.2025
Патогенез болезни Гиршпрунга - эмбриогенез, морфогенез
Наиболее интенсивно изучаемый аспект развития толстой кишки — механизм возникновения болезни Гиршпрунга, которая характеризуется отсутствием клеток внутренних парасимпатических ганглиев, располагающихся как в подслизистом сплетении (Мейсснера), так и в межмышечном сплетении (Ауэрбаха) задней кишки. Развитие заболевания связано с неспособностью клеток нервного гребня мигрировать в направлении дистального отдела кишечной трубки, а в клиническом отношении заболевание представляет собой наиболее распространенную форму врожденной кишечной непроходимости.
Исследование, проведенное на модели мутантных мышей, позволило объяснить причину возникновения заболевания. При изучении мышей с наличием летальной мутации конечный, дистальный отдел кишечной трубки характеризовался врожденным отсутствием ганглиев. Отсутствие ганглиев в стенке толстой кишки явилось результатом неспособности мигрирующих клеток нервного гребня проникать через аномально утолщенную базальную пластину и нормально колонизировать развивающуюся кишечную трубку. Ламинин базальной пластины взаимодействует с рецепторами клеток нервного гребня и досрочно останавливает процесс миграции.
На различных мутантных линиях мышей продемонстрировано, что врожденный мегаколон у трансгенных мышей с избыточной экспрессией hoxa-4, по-видимому, возникает вследствие аномального взаимодействия между предшественниками кишечных нейронов и гладкомышечными клетками.
Генетические и молекулярные механизмы, лежащие в основе заболевания, представляют собой предмет интенсивного изучения, что нашло отражение в огромном числе публикаций, количество которых неуклонно увеличивается. Идентифицированы многочисленные мутации, наличие которых обусловлено развитием болезни Гиршпрунга. Обнаружены мутации кодирующих регионов, включая так называемые точечные миссенс- и нонсенс-мутации и делеции, что предполагает нарушение функции белков, образующихся в результате работы генов. Наиболее интенсивно были изучены мутации генов, кодирующих рецептор к тирозинкиназе (ген ret) и рецептор к эндотелину-В.
Ген ret представляет собой протоонкоген, кодирующий трансмембранный рецептор к тирозинкиназе. Лигандом для обозначенного рецептора является нейротрофический фактор, вырабатываемый глиальными клетками (GDNF), экспрессирующийся в развивающейся кишечной трубке. В настоящее время установлено, что GDNF связывается также с другим рецептором — GDNFRa — и обе молекулы вместе образуют сигнальный комплекс с белком Ret. Гомозиготные мыши с продукцией аномального белка Ret характеризуются недостаточностью киназы, необходимой для формирования кишечных ганглиев. У пациентов с болезнью Гиршпрунга обнаружено наличие многочисленных мутаций в гене ret. Подробный обзор структуры и функции Ret-рецептора опубликован Manie и соавт..

Направленное повреждение гена, кодирующего рецептор к эндотелину-В, сопровождалось рождением мышей с мегаколоном и отсутствием ганглиев, что свидетельствует о важной роли данного рецептора, в том числе в процессах миграции и дифференцировки клеток нервного гребня, из которых и происходит формирование кишечных ганглиев. Кроме того, дефекты Ret-рецепторов и рецепторов к эндотелину-В, дефицит лигандов GDNF и эндотелина-3, так же как и дефицит эндотелинпревращающего фермента, приводят к формированию у мышей фенотипа, аналогичного болезни Гиршпрунга. Независимо от описанных комплексов рецептор/лиганд у пациентов с болезнью Гиршпрунга обнаружена мутация фактора Sox-10 — фактора транскрипции, экспрессирующегося в клетках нервного гребня на ранних стадиях развития.
В противоположность ранее использовавшимся лабораторным моделям в последнее время экспериментальные исследования выполняют на мышах, у которых отсутствуют Ret-рецепторы вследствие мутаций, обладающих доминантным негативным эффектом. В результате такие мыши являются фенотипической копией, соответствующей болезни Гиршпрунга у человека. В настоящее время у человека идентифицировано 11 генов болезни Гиршпрунга, значение которых в развитии заболевания неодинаково, и несколько других генов выявлено у мышей, у которых мутации сопровождаются развитием заболевания, идентичного болезни Гиршпрунга.
Основной фактор, приводящий к развитию болезни Гиршпрунга, — мутация гена ret. Данная мутация обнаруживается с частотой до 50% в случае наследственной формы заболевания и только лишь 20% — при спорадическом варианте. Недавно было продемонстрировано, что мутация в регуляторном фрагменте гена ret также влияет на предрасположенность к рассматриваемому заболеванию.
Анализ последовательности локуса гена ret позволил установить наличие полиморфизма, сопряженного с развитием заболевания и локализованного в консервативной области, ответственной за связывание с фактором транскрипции и, вероятно, вовлеченной в регуляцию транскрипции. Подробное описание современного состояния исследования генетических основ болезни Гиршпрунга можно найти в базе данных Менделевского наследования у человека (Mendelian Inheritance in Man).
Определение значения взаимосвязанных процессов пролиферации, миграции и функции клеток нервного гребня было одним из этапов в понимании механизмов развития болезни Гиршпрунга. Изучение изолированных стволовых клеток нервного гребня с использованием в качестве модели лабораторных мышей стало отправной точкой в объяснении некоторых процессов. Iwashita и соавт. выделили стволовые клетки нервного гребня из кишки эмбрионов крыс и исследовали экспрессию генов с использованием технологии микрочипов. Ученые обнаружили, что идентифицированные ранее гены, ассоциированные с развитием болезни Гиршпрунга, были в стволовых клетках нервного гребня активированы.
Полученные результаты подтверждали методы полимеразной цепной реакции с обратной транскрипцией, проточной цитометрии и функционального анализа. В экспериментах in vitro было продемонстрировано, что GDNF способствует клеточной миграции, но не влияет на пролиферацию и жизнеспособность клеток. Представленные данные также свидетельствуют о взаимодействии сигнальных путей GDNF и эндотелина в регуляции процесса миграции стволовых клеток нервного гребня. Возможность применения стволовых клеток нервного гребня в терапии исследована в экспериментах, в которых было продемонстрировано эффективное встраивание трансплантированных клеток в кишечник мышей с дефектами рецепторов к эндотелину и Ret-рецепторов.
В настоящее время установлены основные регуляторы развития ЖКТ, а также некоторые гены, необходимые для обеспечения эпителиально-мезенхимного взаимодействия — фундаментального механизма эмбрионального развития. Анализ паттернов экспрессии генов box позволяет предположить их участие в процессе формирования ЖКТ. Белки семейства hedgehog влияют на некоторые аспекты формирования ЖКТ в период раннего эмбрионального развития. Целенаправленная делеция отдельных генов, участвующих в формировании кишки, за счет создания мутантных животных выявила важную регулирующую роль продукции BMP в процессах клеточной пролиферации, возникновения характерной морфологии ворсин и определения местоположения крипт. Дальнейшее изучение генов, участвующих в регуляции механизмов развития ЖКТ, должно способствовать более глубокому пониманию процессов патогенеза и выработке новых подходов к лечению заболеваний ЖКТ.

Редактор: Искандер Милевски. Дата обновления публикации: 18.3.2021
Болезнь Гиршпрунга ( Аганглиоз толстого кишечника , Врожденный мегаколон )
Болезнь Гиршпрунга — это врожденная патология толстой кишки с недоразвитием или отсутствием нервных сплетений в подслизистом и мышечном слоях всего толстого кишечника или его сегмента. Проявляется хроническими запорами, отсутствием позывов к дефекации, метеоризмом, нелокализованной абдоминальной болью, асимметричной формой живота, интоксикацией. Диагностируется с помощью ирригоскопии, ректороманоскопии, гистологии биоптата толстокишечной стенки, аноректальной манометрии. Лечится хирургическими методами, пациентам рекомендована одномоментная или двухэтапная резекция толстого кишечника с созданием колоректального анастомоза.
МКБ-10

Общие сведения
Аганглиоз толстого кишечника (врожденный мегаколон) — одна из частых аномалий развития пищеварительных органов. По данным наблюдений, распространенность болезни Гиршпрунга в популяции новорожденных составляет от 1:30 000 до 1:2 000. У 90% пациентов заболевание дебютирует до 10-летнего возраста. У мальчиков аномалия выявляется в 4,32 раза чаще, чем у девочек. В 29,0-32,7% случаев патология ассоциирована с другими пороками развития, при этом у 9% больных толстокишечный аганглиоз развивается в рамках синдрома Дауна. Впервые нарушение было описано в трудах датского педиатра Гаральда Гиршпрунга в 1888 году. Актуальность своевременного выявления заболевания обусловлена тяжестью его осложнений.
Причины
Болезнь Гиршпрунга имеет полиэтиологическое происхождение, роль предполагающих и производящих факторов, способствующих развитию аганглиоза толстокишечной стенки, продолжает уточняться. Вероятнее всего, врожденный порок становится результатом критического повреждения генов, регулирующих формирование толстокишечных нервных структур. По мнению специалистов в области практической проктологии, возникновению аномалии Гиршпрунга способствуют:
- Отягощенная наследственность. У 20% пациентов прослеживается семейный характер болезни. По результатам молекулярно-генетических исследований, при наследуемых мутациях генов RET, GDNF, EDN3, ENDRB нарушается миграция нейробластов из вагусного нейрогребешка, из-за чего возникает аганглиоз стенки кишечника. В 12% случаев болезни прослеживаются хромосомные аберрации, в 18% — порок проявляется в структуре наследственных синдромов.
- Дизонтогенез. Ненаследственные формы болезни связаны с влиянием внутриутробной вирусной инфекции, высокой радиации, мутагенных химических веществ, нарушающих дифференцировку нейробластов. Риск развития аномалии повышается при акушерской патологии и хронических заболеваниях беременной, сопровождающихся тканевой гипоксией, — гестозах, кардиопатологии (гипертонической болезни, сердечной недостаточности), сахарном диабете.
Патогенез
Развитие болезни Гиршпрунга обусловлено нарушением эмбриогенеза предположительно на 7-12 неделях гестационного срока, когда формируются нервные сплетения Мейснера (в подслизистом слое толстой кишки) и Ауэрбаха (в мышечной оболочке кишечника). Из-за преждевременного прекращения миграции нейробластов или их недостаточной дифференцировки вместо типичных подслизистого и мышечно-кишечного сплетений с ганглиями нейроструктуры кишки представлены отдельными нервными волокнами и глиальными элементами.
Чем раньше завершается миграция нейробластов, тем более протяженным является аганглиозный участок толстокишечной стенки. В слизистом слое накапливается ацетилхолинэстераза, которая вызывает спазм кишки, что является патогномоничным признаком аномалии Гиршпрунга. Из-за тонического спазмирования и отсутствия перистальтики денервированный сегмент становится функциональным препятствием для продвижения каловых масс. Хроническая задержка кишечного содержимого приводит к постоянным запорам и значительному расширению вышележащего отдела кишечника.
Классификация
Систематизация болезни Гиршпрунга проводится с учетом анатомических и клинических критериев. В зависимости от локализации аганглиозного участка различают наиболее распространенную ректосигмодиальную форму заболевания, выявляемую у 70% больных, ректальную (до 25% случаев аномалии), субтотальную (3%), сегментарную (1,5%), тотальную (0,5%). По расположению расширенной кишки выделяют мегаректум, мегасигму, левосторонний, субтотальный и тотальный мегаколон, мегаилеум. При диагностике кишечного аганглиоза Гиршпрунга учитывают особенности клинического течения:
- Детский вариант болезни. Выявляется почти у 90% больных. Характеризуется быстрым развитием, практически полным отсутствием самостоятельной дефекации, нарастанием признаков кишечной непроходимости. Хирургическое вмешательство обычно выполняется двухэтапно.
- Пролонгированный вариант аганглиоза. Дебютирует у детей. В связи с небольшой протяженностью денервированного сегмента развивается медленно. Для коррекции запора длительно применяются клизмы. Возможно проведение как двухэтапной, так и одноэтапной операции.
- Латентный вариант аномалии. Запоры появляются в подростковом возрасте, при этом быстро происходит формирование хронической толстокишечной непроходимости. Для устранения запора необходимы ежедневные клизмы. Пассаж каловых масс обычно восстанавливается в два этапа.
При компенсированном течении самостоятельный стул сохраняется много лет, по мере развития заболевания возникают 3-7-дневные запоры, для разрешения которых требуются слабительные или клизма. У больных с субкомпенсированным состоянием запоры без назначения слабительных и клизм длятся более 7 дней. О декомпенсации болезни свидетельствует отсутствие самостоятельной дефекации и позывов к ней, уплотнение кишечного содержимого и формирование каловых камней, неэффективность консервативных методов опорожнения кишечника.
Симптомы болезни Гиршпрунга
Скорость развития клинической картины заболевания зависит от распространенности поражения кишечника. В большинстве случаев первые признаки возникают сразу после рождения ребенка, но иногда патология протекает малосимптомно, дебют наблюдается уже в подростковом и даже взрослом возрасте. Основное проявление толстокишечного аганглиоза — хронические запоры и отсутствие позывов на дефекацию. У 50% больных отмечается вздутие и боли в абдоминальной полости, которые связаны с задержкой стула.
При длительном течении болезни формируется асимметрия живота и расширение кожной венозной сети. У некоторых пациентов можно заметить активную кишечную перистальтику. При аганглиозе Гиршпрунга зачастую возникают признаки анемии — бледность кожи и слизистых, частые головокружения, снижение работоспособности. Могут отмечаться симптомы общей интоксикации организма: тошнота и рвота, головные боли. Патология иногда сочетается с врожденной гетерохромией (неодинаковой окраской радужки глаз).
Осложнения
В случае аганглиоза Гиршпрунга у больных нарушается переваривание и всасывание питательных веществ, что в комбинации со снижением аппетита приводит к резкой гипотрофии вплоть до кахексии. Зачастую обнаруживается железодефицитная анемия. У детей наблюдается отставание в росте и физическом развитии. Длительный застой кала в кишке провоцирует дисбактериоз, воспалительные изменения слизистой оболочки, что может проявляться парадоксальными поносами.
Наиболее опасные осложнения болезни Гиршпрунга — кишечная непроходимость, пролежень стенки каловым камнем и перфорация кишки. Возможно возникновение токсического мегаколона, для которого характерно расширение проксимального отдела кишечника и избыточный рост патогенной бактериальной флоры. Это состояние часто приводит к перитониту и сепсису вследствие проникновения кишечных бактерий через патологически измененную стенку кишечника. В таком случае возникают резкие разлитые боли в животе, многократная рвота, фебрильная лихорадка.
Диагностика
Заподозрить болезнь Гиршпрунга можно при наличии характерных физикальных признаков (пальпации тестоватой «опухоли» и появлении «симптома глины» — четко определяемых через переднюю стенку живота следов сдавления толстой кишки пальцами). Диагностический поиск предполагает проведение комплексного лабораторно-инструментального обследования больного, позволяющего верифицировать диагноз. Наиболее информативными в диагностике аганглиоза являются:
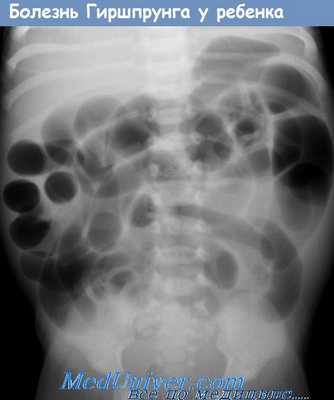
- Ретроградная рентгенография толстого кишечника. Обратное заполнение толстой кишки рентгеновским контрастом дает возможность визуализировать четкий переход между расширенным проксимальным отделом кишечника и суженным дистальным, который не имеет иннервации. При ирригоскопии также определяется отсутствие толстокишечной гаустрации.
- Эндоскопическое исследование прямой и сигмовидной кишки. Ректороманоскопия и ректосигмоскопия проводится без специальной подготовки пациента. При патологии Гиршпрунга выявляется спазмированная кишечная стенка, отсутствие каловых масс. Проксимальнее расположен расширенный участок толстого кишечника, заполненный твердым калом.
- Цитоморфологический анализ по Свенсону. Гистология биоптатов прямой и толстой кишки — «золотой стандарт» в диагностике болезни. Для получения достоверных результатов забор биологического материала осуществляют по задней стенке кишечника на протяжении 6 см, начиная от зубчатой линии. Дополнительно проводят оценку активности АХЭ.
- Манометрическое исследование. Для аганглиоза Гиршпрунга характерно отсутствие рефлекторного раскрытия сфинктера прямой кишки в ответ на повышение давления. Отмечается дискоординация сокращения сфинктеров и прямой кишки. Аноректальная манометрия является важным диагностический критерием и имеет чувствительность около 85%.
Изменения в клиническом анализе крови (лейкоцитоз, повышение СОЭ, токсическая зернистость нейтрофилов) возникают в случае осложненного варианта болезни. В биохимическом анализе крови наблюдается гипоальбуминемия, диспротеинемия. При наличии у пациента парадоксальных поносов проводят бактериологическое исследование кала для выделения патогенных возбудителей.
Аганглиоз Гиршпрунга, прежде всего, необходимо дифференцировать с идиопатическим мегаколоном. Основным диагностическим критерием является отсутствие в биоптатах кишечника подслизистых и межмышечных нервных ганглиев. Обращают внимание на анамнез (начало болезни в раннем детском возрасте), данные исследования активности АХЭ и аноректальной манометрии. Для консультации пациентов кроме специалиста-проктолога по показаниям привлекают инфекциониста, хирурга.
Лечение болезни Гиршпрунга
Пациентам с подтвержденным диагнозом рекомендована операция, направленная на восстановление кишечной проходимости за счет удаление денервированного участка. Консервативные методы (коррекция метаболических расстройств, устранение запоров с помощью очистительных, гипертонических и сифонных клизм) применяют на этапе диагностики и предоперационной подготовки. При затягивании консервативной терапии мегаколон прогрессирует, состояние пациента ухудшается, возрастает риск послеоперационных осложнений.
При выборе объема и техники хирургического вмешательства учитывают протяженность аганглиозного сегмента, степень престенотического расширения, возраст больного. В ходе полостной операции производится резекция денервированного участка и патологически измененной расширенной части кишки, создается колоректальный анастомоз. С учетом выбранной техники хирургического лечения патологии Гиршпрунга возможны два подхода к проведению плановых вмешательств:
- Одноэтапная операция. Показана при компенсированной форме болезни и небольшой длине аганглиозного сегмента. Удаляется пораженная кишка и сразу же формируется анастомоз. Преимуществом одноэтапного подхода является меньшая травматичность, однако при неправильной оценке клинической ситуации увеличивается вероятность возникновения осложнений в послеоперационном периоде.
- Двухэтапная операция. Рекомендована пациентам с субкомпенсированным и декомпенсированным вариантами болезни, значительными изменениями толстой кишки выше денервированного участка, протяженным аганглиозным сегментом. На первом этапе после резекции кишечника формируется колостома, которая через некоторое время ушивается с созданием толстокишечного анастомоза в ходе реконструктивного вмешательства.
Экстренно или срочно операция производится при возникновении острой кишечной непроходимости, перфорации кишечника, пролежне стенки кишки каловым камнем. Вмешательство выполняется в объеме резекции сигмовидной кишки, левосторонней гемиколэктомии, колопроктэктомии с наложением колостомы или илеостомы. В дальнейшем пассаж кишечного содержимого восстанавливается хирургическими методами. Диспансерный клинический осмотр прооперированных больных проводится еженедельно в течение месяца после операции, ежеквартально в течение года и ежегодно на протяжении 3-х лет.
Прогноз и профилактика
Исход болезни Гиршпрунга зависит от времени ее выявления и степени поражения нервных ганглиев кишечника. Прогноз относительно благоприятный в случае ранней постановки диагноза и проведения хирургической коррекции. При отсутствии лечения младенческая летальность в первые месяцы жизни достигает 80%. Из-за врожденного характера патологии меры специфической профилактики не разработаны. При появлении первых признаков болезни необходимо немедленно обратиться к врачу, чтобы избежать развития тяжелых осложнений.
2. Клинические рекомендации по диагностике и лечению взрослых пациентов с болезнью Гиршпрунга/ Ассоциация колопроктологов России – 2013.
3. Лечение болезни Гиршпрунга у взрослых/ Москвитин И.С., Заиграев Б.В., Плеханов А.Н., Товаршинов А.И. // Бюллетень ВСНЦ СО РАМН - 2012 - №4
4. К вопросу о диагностике болезни Гиршпрунга/ Схакумидова А.Г., Машков А.Е., Щербина В.И., Цуман В.Г., Семилов Э.А., Синенкова Н.В. // Педиатрия. Журнал им. Г.Н. Сперанского - 2006
Генетика болезни Гиршспрунга. Особенности наследования
Болезнь Гиршспрунга: причины, диагностика, лечение
Этиология и встречаемость болезни Гиршспрунга. Болезнь Гиршспрунга (MIM №142623) — врожденное отсутствие парасимпатических ганглиозных клеток переменной длины в подслизистых и мезентериальных сплетениях толстого кишечника; длинные аганглионарные участки, захватывающие зону от внутреннего анального сфинктера и выше проксимального селезеночного угла толстой кишки, классифицируют как аганглиоз длинного сегмента, если же пораженный участок не достигает селезеночного угла, то случай классифицируют как аганглиоз с коротким сегментом.
Примерно в 70% болезнь Гиршспрунга встречается как изолированный признак, в 12% — в сочетании с известной хромосомной аномалией и в 18% — с множественными врожденными аномалиями.
Изолированная или несиндромальная болезнь Гиршспрунга — панэтническое заболевание с неполной пенетрантностью, преимущественным поражением одного пола, с внутрисемейной и межсемейной вариабельностью экспрессивности; встречаемость от 1,8 на 10 000 живых новорожденных европейцев до 2,8 на 10 000 живых новорожденных среди выходцев из Азии.
Аганглиоз длинного сегмента, включая тотальный аганглиоз толстой кишки, обычно передается как аутосомно-доминантное заболевание с низкой пенетрантностью; аганглиоз с коротким сегментом обычно имеет аутосомно-рецессивное или полигенное наследование.
Патогенез болезни Гиршспрунга
Нервная система кишечника формируется преимущественно из вагусных клеток нервного гребня, мигрирующих краниокаудально с 5 по 12 нед гестации. Некоторые нейроны кишечника также мигрируют краниально из крестцового нервного гребня; тем не менее миграция и дифференцировка этих клеток зависят от присутствия вагусных клеток нервного гребня.
Болезнь Гиршспрунга возникает вследствие задержки краниокаудальной миграции вагусных клеток нервного гребня в заднюю кишку и, таким образом, характеризуется отсутствием парасимпатических ганглиозных клеток в субмукозных и мезентериальных сплетениях пораженной кишки. Гены, вовлеченные в болезнь Гиршспрунга — RET, EDNRB, EDN3, GDNF и NRTN. До сих пор не определено, каким образом мутации в этих генах вызывают задержку миграции клеток нервного гребня.
Независимо от механизма, отсутствие ганглиозных клеток вызывает нарушение перистальтики и тем самым кишечную непроходимость.
Основной ген предрасположенности к изолированной форме болезни Гиршспрунга — RET. Почти все семьи с двумя и более больных демонстрируют сцепление с локусом RET. Тем не менее мутации в кодирующей последовательности гена RET обнаруживают приблизительно у 50% пациентов с семейной болезнью Гиршспрунга и у 15-35% пациентов со спорадической болезнью Гиршспрунга.
Кроме того, в семьях, передающих мутантные аллели гена RET, пенетрантность составляет только 65% у мужчин и 45% у женщин. Показано, что со степенью и половыми различиями пенетрантности при болезни Гиршспрунга связан один частый вариант в некодирующей консервативной последовательности энхансера в нитроне 1 гена RET. Кроме того, этот вариант значительно чаще наблюдают у жителей Азии, чем у европеоидов, что объясняет популяционные различия.

Фенотип и развитие болезни Гиршспрунга
Пациентов с болезнью Гиршспрунга обычно диагностируют в начале жизни по плохой моторике кишечника; тем не менее 10-15% больных не идентифицируют даже после первого года жизни. Приблизительно у 50-90% детей в первые 48 ч жизни меконий не отходит. После периода новорожденности у больных могут отмечаться запоры (68%), вздутие живота (64%), рвота (37%), иногда понос; у 40% в анамнезе задержка отхождения мекония.
При отсутствии лечения болезнь Гиршспрунга обычно фатальна. Невозможность дефекации последовательно вызывает перерастяжение проксимальных отделов толстой кишки, повышение давления в просвете кишечника, снижение кровотока, нарушение барьера слизистой оболочки, бактериальную инсеминацию и энтероколит. Диагностика болезни Гиршспрунга до начала энтероколита может существенно уменьшить смертность и инвалидизацию больных.
Болезнь Гиршспрунга нередко бывает частью синдрома или комплекса пороков развития. Будучи патологией нервного гребня, болезнь Гиршспрунга составляет часть континуума болезней, включающих ткани, происходящие из нервного гребня, например, периферические нейроны, клетки Шванна, меланоциты, конотрункальные ткани сердца и эндокринные и параэндокринные ткани. Иллюстрация этого континуума — синдром Ваарденбурга IV типа, с болезнью Гиршспрунга, глухотой и отсутствием меланоцитов эпидермиса.
Особенности фенотипических проявлений болезни Гиршспрунга:
• Возраст начала: от новорожденности до зрелости
• Запоры
• Вздутие живота
• Энтероколит
Лечение болезни Гиршспрунга
Для диагностики болезни Гиршспрунга необходимо гистопатологическое выявление отсутствия ганглиозных клеток в дистальных отделах прямой кишки. Препараты для такого исследования обычно получают аспирационной биопсией слизистой и подслизистой оболочки прямой кишки.
Окончательное лечение болезни Гиршспрунга включает удаление или обход аганглионарного сегмента толстой кишки. Хирургическая процедура также обычно включает анастомоз сохранного отдела кишечника с анальным сфинктером, а не постоянную колостому. Прогноз для оперированных пациентов обычно хороший, у большинства больных достигают нормализации стула; тем не менее возможны послеоперационные проблемы, включая энтероколит, стриктуры, выпадение кишки, перианальные абсцессы и недержание стула.
Риски наследования болезни Гиршспрунга
Изолированная форма болезни Гиршспрунга преобладает у мужчин (соотношение 4:1), а также имеет варьирующую экспрессивность и неполную пенетрантность. Эмпирический риск повторения болезни Гиршспрунга у сибсов зависит от пола пробанда, длины аганглионарного участка у пробанда и пола сибса.
Пренатальное консультирование осложнено неполной пенетрантностью и варьирующей экспрессивностью. Даже если мутация в семье обнаружена, обычно прогноз ни для одной из форм болезни Гиршспрунга, включая как несиндромальную, так и синдромальную, невозможен. В настоящее время пренатальная диагностика, кроме того, затруднена недостаточной доступностью молекулярного тестирования.
Пример болезни Гиршспрунга. Семейная пара направлена в генетическую клинику для уточнения риска рождения второго ребенка с болезнью Гиршспрунга; их дочь родилась с болезнью Гиршспрунга с большим пораженным сегментом кишечника и хорошо себя чувствовала после хирургического удаления аганглионарного участка кишечника. При обследовании у дочери не найдено признаков или симптомов других болезней. Мать знала, что ее дядя и брат умерли в раннем детстве из-за непроходимости кишечника.
Консультант-генетик объяснил, что, в отличие от болезни Гиршспрунга с коротким пораженным сегментом, форма болезни с длинным сегментом обычно передается как аутосомно-доминантный признак с неполной пенетрантностью, часто вызывается мутациями в гене RET, кодирующем поверхностный рецептор тирозинкиназы клетки. Последующее обследование показало, что больная дочь и мать оказались гетерозиготными по мутации в гене RET.
Более сложный набор взаимодействующих генетических факторов описан в патогенезе частой аномалии парасимпатической нервной системы кишечника, известной как болезнь Гиршспрунга. При болезни Гиршспрунга отмечают полное отсутствие некоторых или всех клеток ганглиев в брыжеечных и подслизистых сплетениях толстого кишечника. Аганглиозный участок кишечника неспособен к перистальтике, что приводит к тяжелым запорам, симптоматике кишечной непроходимости и огромному растяжению кишечника (мегаколон) проксимальнее аганглиозного сегмента.
Заболевание встречается приблизительно у 1 из 5000 новорожденных. Болезнь Гиршспрунга чаще наблюдают как изолированный порок, включающий единственный короткий сегмент толстой кишки, но болезнь также может захватывать протяженные сегменты или входить в состав более широкого набора врожденных аномалий, включающих глухоту и пигментные аномалии волос и глаз (синдром Ваарденбурга-Шаха).
Наследование болезни Гиршспрунга имеет многие характеристики заболеваний с комплексной генетикой. Относительный коэффициент риска для сибсов, hs, очень высокий (около 200), но однояйцовые близнецы не имеют полной конкордантности. Болезнь Гиршспрунга может передаваться через многочисленные поколения или влиять на нескольких детей одних родителей в семье, или могут быть оба варианта, предлагая аутосомно-доминантное или рецессивное заболевание, но риск повторения не составляет точно 50 или 25%, как можно было бы ожидать для аутосомно-доминантных или аутосомно-рецессивных болезней.
Наконец, мужчины имеют в 2 раза более высокий риск болезни Гиршспрунга по сравнению с женщинами в той же семье.

Болезнь могут вызывать мутации во множестве различных генов. В некоторых семьях болезнь Гиршспрунга, поражающая длинные сегменты толстого кишечника, наследуется по менделевскому типу. В этих случаях врожденные дефекты чаще вызваны мутациями в гене RET, располагающемся в 10qll.2 и кодирующем белок RET, рецептор тирозинкиназы. Небольшое число семей с менделирующим наследованием болезни Гиршспрунга имеют мутации в генах, кодирующих один из лигандов, связанных с RET, например нейротрофический фактор глиальных клеток (GDNF).
Другие случаи вызваны мутациями в одной из пар генов: в гене EDNRB в 13q22, кодирующем связанный с G-белком эндотелиновый рецептор В, и в гене EDN3, кодирующем его лиганд, эндотелии 3, в 20ql3. Эндотелиновый рецептор В и RET могут действовать независимо друг от друга по параллельным путям, а могут взаимодействовать, обеспечивая развитие клеток толстокишечных ганглиев.
Хотя болезнь Гиршспрунга, поражающую многочисленных членов семьи, может вызывать ряд других мутаций в кодирующих экзонах RET, пенетрантность аллелей RET далека от полной. В некоторых семьях для появления болезни необходимо, чтобы больной имел как мутацию в гене RET, так и мутацию в гене GDNF. Наиболее вероятное объяснение этих наблюдений — то, что некоторые мутантные аллели RET все же обеспечивают остаточную функциональность, достаточную для предотвращения развития болезни, если не происходит дополнительного нарушения в другом компоненте.

Многофакторная природа болезни Гиршспрунга стала ясна, когда была проанализирована генетическая основа наиболее частой семейной формы болезни, включающей только короткий сегмент кишечника, не соответствовавшей ни одному менделирующему типу наследования.
При анализе выборки из 67 пар сибсов, конкордантных по болезни Гиршспрунга, с целью выявления локусов и аллелей в данных локусах, общих у больных братьев или сестер, значительно больше общих аллелей оказалось в трех локусах — области 10qll.2, где расположен ген RET, и в двух других областях, 3р21 и 19q12, хотя конкретные ответственные гены в этих двух областях в настоящее время неизвестны. Наиболее конкордантные пары сибсов (55 из 67) имели общие аллели во всех трех локусах. Конкретно все 55 пар сибсов имели общий вариант ДНК в первом интроне гена RET, который ухудшает функцию регуляторного элемента. Такой вариант довольно часто встречается в некоторых популяциях, с частотой приблизительно 25% у белых и около 40% у азиатов.
Поскольку большинство людей с этим вариантом не имеют болезни Гиршспрунга, у него должна быть очень низкая пенетрантность и, чтобы вызвать болезнь, необходимо взаимодействие с другими генетическими локусами. Низкая конкордантность в парах сибсов (12 из 67) обнаруживалась, когда общие аллели встречались только в двух из трех локусов, и ни в одной из конкордатных пар не найдено общих аллелей только в одном локусе.
Таким образом, болезнь Гиршспрунга — многофакторная болезнь, которая вызвана сложением эффектов аллелей восприимчивости в локусах RET, EDNRB и множестве других. Идентификация частого варианта ДНК с низкой пенетрантностью в некодирующем энхансере в интроне гена RET позволила показать, что варианты генов, ответственных за модифицикацию экспрессии многофакторного признака, могут оказывать малый эффект на экспрессию генов, и, как следствие, на пенетрантность и экспрессивность болезни. Это также заставило понять, что основные генетические механизмы для такого сравнительно хорошо известного врожденного порока развития оказались удивительно сложными; и все же, вероятно, они гораздо проще, чем механизмы, существующие при более частых болезнях, например сахарном диабете.
Болезнь Гиршпрунга – аганглиоз

- Запись опубликована: 26.06.2021
- Reading time: 5 минут чтения
Болезнь Гиршпрунга – это врожденное заболевание, связанное с отсутствием ганглиев (парасимпатических нервных узлов) чаще всего в стенке отдела толстой кишки, но иногда и в других отделах. Чаще всего присутствует как отдельная патология, но у примерно 15 % детей есть другие врожденные дефекты, такие как пороки сердца или синдром Дауна.
Общие сведения о заболевании
Болезнь Гиршпрунга (БГ) – это наследственное функциональное нарушение моторики желудочно-кишечного тракта, возникающее из-за отсутствия ганглиев в кишечном сплетении, начиная с внутреннего анального сфинктера и простираясь проксимально до различной длины кишечника. Патологический участок представляет собой механическое препятствие для продвижения содержимого кишечника.
Заболевание названо в честь педиатра Харальда Гиршпрунга, который в 1888 году описал истории болезни двух мальчиков, не состоящих в родственной связи, умерших от хронического запора.
Суть заболевания заключается в отсутствии внутримышечных и подслизистых ганглиев в дистальном (концевом) сегменте толстой кишки. Аномальная иннервация кишечника означает, что перистальтическая волна не проводится и аганглионарный сегмент находится в состоянии постоянного сокращения. Это, в свою очередь, способствует непроходимости кишечника. Доминирующий симптом заболевания – хронический запор.
В 70-80% случаев заболевание проявляется в виде изолированного дефекта, в остальных оно часто является составной частью таких синдромов, как синдромы Дауна и Ваарденбурга.
Локализация
- Чаще всего поражения ограничиваются прямой и сигмовидной кишкой (75% случаев).
- Реже аганглиоз достигает селезеночного изгиба (15%).
- В 6% случаев отсутствует вегетативная иннервация всего толстого кишечника (тотальная форма).
- Иногда заболевание поражает весь тонкий кишечник и даже двенадцатиперстную кишку.
- Описана также ультракороткая форма, при которой поражается только 2-3 см ректального сегмента выше зубчатой линии.
Распространенность
Согласно данным Европейского надзора за врожденными аномалиями (EUROCAT), который объединяет регистры врожденных пороков развития 31 европейской страны, заболеваемость оценивается в 1,09 на 5000 рождений с тенденцией к увеличению заболеваемости за последние 20 лет.
Болезнь Гиршпрунга у мальчиков встречается в более чем в 4 раза чаще, чем у девочек.
Заболевание может быть как доминантным, так и рецессивным. На сегодняшний день идентифицировано 10 генов, участвующих в патогенезе болезни Гиршпрунга. Распространение в семьях встречается примерно в 30 %. В некоторых случаях возникает как компонент врожденных синдромов, у остальных пациентов является изолированным дефектом, т.е. возникает единично.
В 18 % пациенты также имеют другие врожденные дефекты, связанные с хромосомными аберрациями. Наиболее частой причиной заболевания является трисомия 21 или синдром Дауна, который диагностируется у 2-10 % людей с подтвержденной болезнью Гиршпрунга. Для случаев с трисомией 21-й хромосомы характерна значительно более высокая распространенность (заболеваемость независимо от времени начала у мужчин оценивается в 5 на 10 000 человек).
Болезнь Гиршпрунга является следствием остановки миграции первичных нервных клеток, происходящих из нервного гребня, на ранних этапах жизни плода. Это может быть вызвано:
- генетическими факторами (гены: RET, GDNF и т. д.);
- аномальной структурой белков внеклеточного матрикса (фибронектин, ламинин и т. д.);
- дефицитом нейротрофических факторов (NGF, NT-3 и т. д.);
- нарушениями молекул клеточного прикрепления или адгезии (NCAM, LiCAM).
Симптомы
У около 80-90% детей с БГ первые симптомы появляются уже в неонатальном периоде. К ним относятся: задержка выведения мекония (более чем через 24 часа), запор, вздутие живота, периодически повторяющаяся диарея (энтероколит), стул гнилостный, водянистый, жар и заметная потеря веса. Эти симптомы могут вызывать сепсис и представлять прямую угрозу жизни новорожденного.
Доминирующие симптомы болезни Гиршпрунга в старшем возрасте:
При осмотре прямой кишки выявляется пустой сокращенный ректальный пузырь. Необъяснимая перфорация кишечника при отсутствии воспалительных поражений кишечной стенки, особенно слепой кишки, позволяет заподозрить БГ.
Взрослые пациенты в основном жалуются на запоры, которые в той или иной степени сохраняются с детства и не исчезают после консервативного лечения. Они сопровождаются:
- вздутием живота (83-86%);
- периодическими болями в животе (40-80%), особенно в течение длительных периодов между дефекациями.
Пациенты хронически принимают слабительные или самостоятельно ставят клизмы. В отличие от детей, недержание кала у взрослых является редким симптомом БГ. Заболевание также может проявляться появлением «острых» хирургических заболеваний, таких как желудочно-кишечная непроходимость, растяжение толстой кишки или инвагинация сигмовидной кишки.
Развивающаяся перфорация кишечника, а затем абсцесс или сепсис при осложненном течении болезни Гиршпрунга представляют серьезную угрозу жизни пациента.
Для постановки правильного диагноза проктолог вначале собирает анамнез и проводит физикальное обследование, а затем назначает:
- Сонографию кишечника ;
- Рентгенологическое исследование брюшной полости с использованием ректальной инфузии контрастного вещества (водный контраст у новорожденных, барий у детей старшего возраста и взрослых);
- Ректальное манометрическое исследование (это оценка тонуса внутреннего анального сфинктера)
- Биопсию слизистой оболочки и мышц прямой кишки . Собранные образцы отправляются на гистопатологическое и гистохимическое исследование.
Это обязательные диагностические методы, но могут быть и дополнительные по назначению проктолога.
Забор биоптатов слизистой и подслизистой оболочки прямой кишки проводится с целью подтверждения или исключения болезни Гиршпрунга и становится основанием для квалификации для операции TEPT.
Для надежной оценки необходимо взятие среза подходящего размера, правильной толщины (содержащего подслизистую основу) и правильного расположения (0,5-1,5 см над зубчатой линией). Биопсию проводят, в том числе во время лапароскопии/лапаротомии, чтобы определить степень аганглиоза.
В образцах определяется присутствие ганглиозных клеток и возникновение гипертрофии нервных волокон. Затем выполняются различные типы гистохимических и иммуногистохимических тестов с использованием различных реагентов (например, эозина, гематоксилина, ацетилхолинэстеразы, лактат и сукцинатдегидрогеназы, NADPH-D) или антител (кальретинин, PGP9.5, периферин, субстанция P, NO-синтаза и др.).
Изображение характеризуется отсутствием нервных клеток и ганглиев в нервном сплетении кишечника и гипертрофией нервных волокон в стенке. Чувствительность и специфичность аспирационной биопсии в диагностике болезни Гиршпрунга следующие: 97–100% и 99–100% соответственно, а риск осложнений ниже 1%.
Аноректальная манометрия и рентгенологические исследования помогают поставить диагноз, но их чувствительность и специфичность намного ниже, чем в случае биопсии. Манометрическая проба проводится в основном для определения наличия рефлекса расслабления внутренней мышцы анального сфинктера, который развивается в первый месяц жизни. Отсутствие расслабления сфинктера в ответ на повышение давления в альвеолах прямой кишки характерно для болезни Гиршпрунга. Чувствительность и специфичность этого метода оцениваются в 75-100% и 85-97%.
Радиологические исследования часто выполняются в первую очередь из-за их доступности и низкой инвазивности. На изображении брюшной полости видны растянутые петли толстой кишки и наличие уровней жидкости и газа.
При ректальном введении контрастного вещества виден воронкообразный участок переходной зоны – «симптом конуса» – на границе кишечника. На позднем снимке через 24 часа виден остаточный контраст в дистальной части кишечника.
Контрастный тест проводится без предварительной подготовки, его чувствительность и специфичность различаются в зависимости от длины аганглионарного фрагмента кишечника и возраста пациента и составляют 70 и 83%. Более низкая чувствительность и специфичность теста наблюдаются в случае коротких участков аганглиоза и в неонатальном возрасте, когда переходная зона менее развита.
- динамическая кишечная непроходимость;
- мегаколон;
- стеноз подвздошной кишки;
- эндокринопатии;
- синдром Сиппла;
- запор из-за погрешностей питания.
Лечение
После постановки диагноза начинается симптоматическое лечение болезни Гиршпрунга, заключающееся в очищении кишечника от каловых масс и регулярном применении ректальных клизм. Можно применять суппозитории и пероральные осмотически активные средства (лактулоза, полиэтиленгликоль-ПЭГ). Эти препараты не перевариваются в желудочно-кишечном тракте, тем самым увеличивая абсорбцию воды в толстом кишечнике и расслабляя каловые массы. Их можно использовать долгое время.
Хирургия – единственный метод, который дает шанс вылечить пациента. Идея хирургического лечения болезни Гиршпрунга заключается в иссечении аганглионарного отдела кишечника, а затем в подведении и фиксации иннервируемого кишечника с дистальной частью прямой кишки как можно ближе к анальному отверстию.
Уч. Свенсон и Билл провели первую успешную операцию по удалению аганглиозной части кишечника и протаскиванию здоровой части через выпрямленную прямую кишку в 1948 году. С тех пор появились новые методы, отличающиеся от первоначальной операции, которая также была модифицирована.
Хирургическое лечение БГ изначально состояло из трех этапов операции: формирование стомы над переходной зоной, собственно процедура восстановления, а затем закрытие колостомы. В настоящее время наблюдаются значительные успехи, когда количество плановых вмешательств сократилось до одноэтапного. Эта процедура становится все более распространенной, а результаты сопоставимы или лучше, чем в случае многоэтапных операций.
Операции выполняются с использованием различных методик.
- Метод Свенсона. Включает удаление всего аганглиозного отдела кишечника путем выворота прямой кишки через ректальный канал наружу с последующим соединением правильно иннервируемого участка кишечника с анусом. Этот метод иногда называют сквозным.
- Метод Дюамеля. Его цель – оставить ректальный пузырь в аганглиозном отделе кишечника и зафиксировать правильный фрагмент кишечника за прямой кишкой через наружный анальный сфинктер. Затем удаляется аганглионарный разрез, и конец кишечника соединяется со стороной прямой кишки. Полученный сегмент кишечника состоит из неиннервируемого сегмента прямой кишки спереди и функционально нормальной кишки сзади.
- Метод Соаве. Остальная часть кишечника проводится через неганглиозный сегмент прямой кишки. Благодаря этому обходится ненормальный участок кишечника. Во время операции удаляется слизистая оболочка патологической части и формируется своего рода манжета. Затем через сформированную манжету и анастомоз пропускают нормально функционирующий кишечник.
- Метод Ребейна. После вскрытия брюшной полости передний аганглиозный отдел кишечника удаляется и остается короткий разрез. Затем выполняется кишечный анастомоз со стороны брюшной полости.
У младенцев операция по удалению аганглиозного отдела кишечника проводится при достижении ребенком соответствующей массы тела (5-6 кг) или в возрасте 2 лет.
Результаты хирургического лечения зависят от многих факторов, в том числе от:
- опыта хирурга;
- типа дефекта, особенно длины патологического участка кишки;
- послеоперационных осложнений;
- послеоперационного ухода.
Выявлены и другие факторы, влияющие на результаты лечения. Это: мужской пол, врожденные пороки развития ЦНС, обструкция каловыми массами (каловый завал) и возникновение энтерита до хирургического лечения.
Осложнения после операции
Наиболее частые послеоперационные осложнения включают стриктуру кишечника в месте анастомоза, выпадение слизистой оболочки прямой кишки, инфекцию, нарушение перистальтики кишечника.
Генетическое консультирование
Если у ребенка диагностирована болезнь Гиршпрунга, необходима консультация опытного генетика. Целью консультации является выявление определенного набора врожденных пороков развития и разработка диагностической программы для их выявления. Также важно определить, как передается само заболевание по наследству.
Родители ребенка с изолированной болезнью Гиршпрунга должны знать, что у следующих детей, дефект может повториться. Иногда для определения молекулярного дефекта используются генетические тесты, но они не на 100% надежны.
Общий риск заболевания у потомков наследника (человека, для которого определяется степень родства) оценивается в 4 %. При изолированной болезни Гиршпрунга точный риск развития болезни у детей зависит от пола пациента и ребенка, а также длины аганглиозного сегмента. Он колеблется от 1 до 33 %.
Специфических мер профилактики болезни Гиршпрунга не разработано, так как это генетическая патология. Лицам с постоянными, периодическими или усиливающимися запорами рекомендуется обратиться к проктологу для обследования, лечения и предупреждения осложнений.
Читайте также:
- Свищ полости рта. Папула. Бляшка. Узел полости рта.
- Показания к эндоскопическим спинальным операциям. Преимущества эндоскопических операций.
- Плоские бородавки. Диагностика и лечение
- Кровоизлияния во внутреннем ухе. Тромбоз внутренней слуховой артерии
- Глаза при аутоиммунном тиреоидите. Экзофтальм при микседеме
