Герпетический энцефалит на КТ, МРТ
Добавил пользователь Валентин П. Обновлено: 30.10.2025
Диагностика герпетического энцефалита по КТ, МРТ
а) Терминология: 
1. Сокращения: 
• Энцефалит, вызванный вирусом простого герпеса (D) 
2. Определение: 
• Инфекционное поражение паренхимы головного мозга, вызванное вирусом простого герпеса 1 типа (ВПГ1) 
• Обычно развивается при реактивации вируса у иммунокомпетентных пациентов
б) Визуализация:
1. Общие характеристики герпетического энцефалита: 
• Лучший диагностический критерий: 
о Изменение сигнальных характеристик коры медиальных отделов височных и нижних отделов лобных долей в сочетании с ограничением диффузии на ДВИ 
о Высокая вероятность вовлечения поясной извилины и контрлатеральной височной доли 
• Локализация: 
о Лимбическая система: обычно височные, островковые доли, обсубфронтальная область, поясные извилины 
о Возможно поражение конвекситальной поверхности полушарий головного мозга, коры задних отделов затылочных долей 
о Обычно двустороннее, но асимметричное поражение 
о Обычно наблюдается «щажение» базальных ганглиев 
о У младенцев и детей наблюдаются атипичные паттерны патологических изменений (могут быть вызваны ВПГ1 или ВПГ2): 
- Изначально может наблюдаться поражение больших полушарий головного мозга 
о Поражение среднего мозга и моста (мезенромбэнцефалит) встречается редко

 (а) Бесконтрастная КТ, аксиальный срез: у пациента 45 лет с лихорадкой и изменениями психического состояния в медиальном отделе правой височной доли определяется подозрительный участок слабого изменения плотности мозговой ткани. 
(б) МРТ, Т2-ВИ, аксиальный срез: у того же пациента в медиальном отделе правой височной доли определяются изменения интенсивности сигнала. При исследовании СМЖ методом полимеразной цепной реакции (ПЦР) был выявлен ВПГ1. На ранних этапах течения герпетического энцефалита может сохраняться нормальная КТ-картина. 
2. КТ признаки герпетического энцефалита: 
• Бесконтрастная КТ: 
о На ранних этапах заболевания изменения при КТ отсутствуют: 
- Снижение плотности, легкий масс-эффект в медиальных отделах височных долей, островка 
- Кровоизлияния обычно встречаются на поздних этапах заболевания 
о Преимущественное поражение лимбической системы; «щажение» базальных ганглиев 
о Наиболее ранние КТ-признаки появляются на третий день после появления симптомов 
• КТ с контрастированием: 
о Фрагментарный или гиральный характер контрастирования височных долей (признак поздней острой/подострой стадии)
4. Рекомендации по визуализации: 
• Лучший инструмент визуализации: 
о МРТ (изменения появляются на 24-48 часов раньше, чем на КТ) 
• Советы по протоколу исследования: 
о Мультипланарная МРТ с получением корональных Т2-ВИ и/или FLAIR-изображений, ДВИ, Т2* GRE, постконтрастных T1-ВИ томограмм
в) Дифференциальная диагностика герпетического энцефалита:
1. Острый инсульт головного мозга: 
• Характерно соответствие бассейнам кровоснабжения (СМА, ПМА, ЗМА) 
• Острейшее развитие симптоматики в отличие от 2-3 дневного анамнеза гриппоподобного состояния при герпетическом энцефалите (ГЭ) 
• Снижение коэффициента диффузии при остром инсульте 
• Инсульт в бассейне кровоснабжения ПМА может имитировать картину при герпетическом энцефалите (ГЭ)
2. Эпилептический статус: 
• При активных судорогах возможно нарушение гематоэнцефалического барьера, что обусловливает изменения сигнальных характеристик и накопление контрастного вещества 
• Гиперперфузия при височной эпилепсии может имитировать герпетический энцефалит (ГЭ) 
• При эпилептическом статусе кровоизлияния отсутствуют
3. Лимбический энцефалит: 
• Редкий паранеопластический синдром, связанный с первичной опухолью, часто локализованной в легких 
• Предрасположенность к поражению лимбической системы, часто двустороннего характера 
• Нет кровоизлияний 
• Картина при нейровизуализации может быть неотличима от ГЭ 
• Симптомы развиваются на протяжении недель и месяцев (в отличие от острого течения ГЭ) 
• Новообразование с инфильтрирующим типом роста 
• При глиомах низкой степени злокачественности возможно поражение медиальных отделов височной доли, что обусловливает развитие эпилепсии 
• При глиоматозе головного мозга возможно поражение лобных и височных долей, также возможен двусторонний характер поражения 
• Появление симптомов обычно вялотекущее
4. Другие энцефалиты: 
• Лимбическая система обычно не поражается 
• При нейросифилисе возможно поражение медиальных отделов височных долей, что может имитировать герпетический энцефалит (ГЭ): 
о Возможно вовлечение мозговых оболочек, кровеносных сосудов (облитерирующий эндартериит) 
• Лихорадка Западного Нила может имитировать клиническую картину при герпетическом энцефалите (ГЭ), но заболевание обычно протекает с поражением базальных ганглиев и/или таламуса

 (а) Бесконтрастная КТ, аксиальный срез: у молодого взрослого с изменениями психического состояния в левой височной доле определяется отек и геморрагический компонент. Несмотря на раннее начало лечения ацикловиром данный пациент погиб. Смертность среди пациентов с герпетическим энцефалитом (ГЭ) варьирует от 50 до 70%. 
(б) МРТ, Т1-ВИ, сагиттальный срез: у пациента через две недели после развития клинической картины герпетического энцефалита определяется потеря объема мозговой ткани височной доли. Кроме того, визуализируются линейные повторяющие ход извилин участки повышения интенсивности сигнала, которые расположены в структуре коры височной доли и характерные для подострого кортикального кровоизлияния. 
г) Патология:
1. Общие характеристики: 
• Этиология: 
о Первичная ВПГ1-инфекция обычно встречается в ЛОР-органах, куда попадает при контакте с инфицированными биологическими жидкостями: 
- Распространение по черепным нервам (язычный нерв, ветви тройничного нерва) в ганглии 
- Находится в латентном состоянии в ганглии тройничного нерва 
- Реактивация вируса может происходить спонтанно или при воздействии различных факторов: 
Локальная травматизация, иммунодефицит, изменения гормонального фона, эмоцинальное напряжение
2. Стадирование и классификация герпетического энцефалита: 
• Семейство герпес-вирусов включает ВПГ1, ВПГ2, вирус Эпштейна-Барр (ВЭБ), цитомегаловирус (ЦМВ), вирус варицелла-зостер (ВВЗ), вирус В, ВПГ6, ВПГ7 
• ВПГ1 встречается у взрослых и детей 
• ВПГ2 чаще встречается у младенцев 
• ВПГ1 и ВПГ2 являются ДНК-содержащими вирусами 
• Вирусы являются облигатными внутриклеточными патогенами
3. Макроскопические и хирургические особенности: 
• Геморрагический, некротизирующий энцефалит: 
о Характерны выраженный отек, массивный некроз мозговой ткани с кровоизлияниями 
о Вовлечение височных долей, коры островковой коры, глазничной поверхности лобных долей 
о Менее часто поражается поясная извилина и кора затылочных долей
4. Микроскопия: 
• Выраженные периваскулярные «манжеты», интерстициальное лимфоцитарное воспаление 
• Внутриядерные включения в инфицированных клетках (нейронах, глии, эндотелиоцитах): 
о Обычно это эозинофильные ядерные включения Каудри типа А 
• При иммуногистохимическом исследовании выявляются вирусные антигены, антитела к ВПГ1 
• При хроническом течении: микроглиальные узелки
д) Клиническая картина:
1. Проявления герпетического энцефалита: 
• Наиболее частые признаки/симптомы: 
о Лихорадка, головная боль, судорожные приступы ± продромальный период вирусного заболевания 
о У детей заболевание часто проявляется неспецифическими симптомами: 
- Поведенческие изменения, лихорадка, головные боли, судорожные приступы 
о Обычно развивается у иммунокомпетентных пациентов: 
- ВПГ1 не характерен для пациентов со СПИД 
• Другие признаки/симптомы: 
о Изменения психического состояния 
о Очаговая или диффузная неврологическая симптоматика (< 30% случаев) 
• Клинический профиль: 
о При исследовании СМЖ определяется лимфоцитарный плеоцитоз, ↑ содержания белка 
о Наиболее точным методом диагностики является исследование СМЖ методом полимеразной цепной реакции (ПЦР): 
- Чувствительность/специфичность приближается к 95-100% 
- Возможно получение ложноотрицательных результатов, если СМЖ была забрана менее, чем через 72 часа после появления симптомов 
о ЭЭГ: волны высокого напряжения в височных областях на фоне генерализованного замедления ритма 
о Для постановки диагноза может появиться необходимость в биопсии головного мозга
2. Демография: 
• Возраст: 
о Может развиться в любом возрасте 
о Наиболее часто встречается у подростков и молодых взрослых 
о Возраст 1/3 всех пациентов < 20 лет 
• Пол: 
о М = Ж 
• Эпидемиология: 
о ВПГ1 является возбудителем ГЭ в 95% случаев о Наиболее частая причина спорадического энцефалита со смертельным исходом 
о Наиболее частая неэпидемическая причина вирусного менингоэнцефалита 
о У взрослых герпетический энцефалит (ГЭ) обычно связан с реактивацией вирусной инфекции 
о У младенцев связан с инфекцией у матери 
о Встречаемость: 1-3/1 млн
3. Течение и прогноз: 
• Может прогрессировать до комы и смерти: 
о Уровень смертности: 50-70% 
о Снизить смертность и улучшить исход заболевания могут быстрая диагностика, раннее начало лечения противовирусными средствами 
• У 2/3 пациентов, переживших данное заболевание, наблюдается выраженный неврологический дефицит, несмотря на терапию ацикловиром 
• Остаточные явления включают нарушения памяти, потерю слуха, некупируемую эпилепсию, изменения личности
4. Лечение: 
• Противовирусная терапия с внутривенным введением ацикловира
е) Диагностическая памятка:
1. Обратите внимание: 
• При подозрении на герпетический энцефалит (ГЭ) немедленно начинайте в/в терапию ацикловиром 
• При одностороннем поражении герпетического энцефалита (ГЭ) может имитировать инсульт или опухоль: часто полезен анамнез 
• Диагноз лимбического энцефалита ставится при отрицательных результатах всех тестов на ГЭ и при подостром развитии симптоматики 
• Острое начало заболевания позволяет отличить ГЭ от поражения головного мозга иной этиологии
2. Советы по интерпретации изображений: 
• На ранних этапах заболевания КТ-картина часто остается нормальной, в ранней диагностике наиболее чувствительным методом является МРТ с FLAIR/ДВИ 
• Данные нейровизуализации часто имеют ключевое значение в постановке диагноза
Varicella Zoster энцефалит

Вирус Varicella Zoster (VZV), или герпесвирус человека 3-го типа, является возбудителем ветряной оспы — чрезвычайно высококонтагиозной инфекцией, частой для пациентов детского возраста, — и опоясывающего герпеса.
После первой «встречи» с вирусом и выздоровления от ветрянки вирус может переходить в латентное состояние, скрываясь в нервных клетках задних рогов спинного мозга, черепных нервах или ганглиях автономной нервной системы. Спустя десятилетия после первичного контакта может происходить его активация, сопровождающаяся аксональным транспортом вирусных частиц и их последующим выходом за пределы нервных клеток.
Поражения ЦНС могут встречаться как при первичной инфекции, так и при ее реактивации. Наиболее частыми осложнениями со стороны нервной системы являются церебеллит и энцефалит. Реже встречаются менингит, синдром Рамсея-Ханта (герпетический ганглионит коленчатого узла), миелит, поперечный миелит и васкулопатии. Долгое время считалось, что в основе VZV-церебеллита лежит аутоиммунный процесс, однако в последнее время появляются данные о прямом нейротропном повреждающем действии вируса.
Неврологические осложнения редко сопутствуют ветряной оспе у здоровых детей и являются прерогативной больных пожилого возраста и иммунокомпрометированных (однако стоит учитывать более высокую заболеваемость в детском возрасте). Симптомы поражения ЦНС обычно сопутствуют кожным высыпаниям, однако могут также предшествовать последним или проявляться в отсутствие сыпи (некоторые авторы считают обязательным обследование на маркеры VZV-инфекции всех пациентов с энцефалитом или менингоэнцефалитом и иммуносупрессией вне зависимости от наличия кожных высыпаний).
В тех случаях, когда поражения ЦНС осложняют течение ветрянки у ребенка, раннее (особенно до появления высыпаний) развитие энцефалита считается предиктором крайне неблагоприятного прогноза.
В последние годы некоторые исследования назвали VZV второй наиболее частой причиной энцефалита после ВПГ в странах Запада. Частота встречаемости осложнений по данным разных исследований ранжировалась в рамках 0,5–1,5 на 1000 случаев заболевания.
Ветряную оспу (особенно у детей) чаще осложняют церебеллиты, проявляющиеся атактическими симптомами, тошнотой и рвотой; для них характерно острое появление симптоматики в течение (в среднем) около 1 недели после первых высыпаний. Энцефалиты встречаются реже и носят ограниченный характер.
Инфекционное поражение, связанное с опоясывающим лишаем, чаще протекает в форме энцефалита, поражения периферических нервов, миелитов и поражения глаз (острый некроз сетчатки).
Наиболее частыми клиническими проявлениями энцефалита являются: симптомы угнетения сознания разной степени, очаговая неврологическая симптоматика; судорожные приступы не столь часты.
У иммунокомпрометированных (чаще при СПИДе) пациентов энцефалиты осложняют течение опоясывающего лишая и часто носят диффузный характер.
В последние годы силы исследователей сосредоточены на изучении васкулопатии, обусловленной VZV — некротическом гранулематозном артериите сосудов головного мозга.
Васкулопатия и энцефалит при VZV-инфекции ЦНС идут «рука об руку»; фактически, изолированное воспаление паренхимы мозга встречается крайне редко.
У подлежавших лечению пациентов (в исследованиях, затрагивающих в основном взрослых больных) смертность достигала 9–20%
Диагноз VZV-поражения ЦНС подтверждают результатами ПЦР ликвора, однако последняя может быть менее специфична в сравнении с ВПГ-энцефалитом.
При лечении наиболее эффективным является внутривенное применение ацикловира в максимальных дозировках, также применяется специфический иммуноглобулин против VZV (зостевир).
Лучевые проявления VZV-энцефалита крайне схожи с таковыми при ВПГ-энцефалите. Стоит напомнить, что установление этиологии заболевания по данным визуализации невозможно. Более характерными признаками VZV-инфекции можно назвать:
- локальный характер поражения
- васкулопатию (и как следствие, зоны ишемии паренхимы мозга)
КТ
- пораженные участки проявляются слабо выраженным понижением плотности паренхимы мозга;
- о характерной локализации говорить сложно, чаще всего поражаются лобные и височные доли;
- базальные ядра могут быть вовлечены в процесс.
- КТ-ангиография выявляет области сужения просвета сосудов, вплоть до появления симптома «нити бисера»
МРТ
- высокий в Т2ВИ и FLAIR сигнал от пораженных областей.
- МР-ангиографические проявления аналогичны КТ-ангиографии.
- участки геморрагии, проявляющиеся «выпадением» сигнала на SWI и повышением на Т1ВИ, довольно редки

(А) времяпролетная МР-ангиограмма демонстрирует расширение левой (короткая стрелка) и окклюзию просвета правой (длинная стрелка) передних мозговых артерий 
(В) МР-скан головного мозга определяет множественные гиперинтенсивные области в обеих гемисферах, в основном локализованные в белом и на границе серого и белого вещества (стрелки).
(С) При использовании последовательности DWI определяются участи ограничения диффузии (что отвечает ишемии) в таламусе, гипотоламусах и задней части внутренней капсулы справа (стрелка). Неделю спустя у пациента развилась картина гемиплегии.
(D) Макроскопические изменения у пациента, умершего в результате хронической васкулопатии. Овоидной формы множественные участки ишемии и демиелинизации.
DWI/ADC (ИКД)
- умеренное ограничение диффузии в областях цитотоксического отека и
- зоны ишемии проявляются выраженным ограничением диффузии.
Нет специфического паттерна накопления контрастного агента как при КТ, так и при МРТ — исследовании.
Лучевые признаки церебеллита
- диффузное увеличение мозжечка, которое может приводить к окклюзионной гидроцефалии
- локальные или диффузные области повышения сигнала на Т2ВИ и FLAIR
- ограничение диффузии как проявление цитотоксического отека
Корональная Т2ВИ-томограмма показывает гиперинтенсивные области инфарктов в области полосатого ядра слева.
  
На сагиттальной FLAIR томограмме мозжечок выглядит диффузно увеличенным, оттесняя кпереди структуры ствола.
Герпетический энцефалит на КТ, МРТ
Диагностика герпетического энцефалита у новорожденных по КТ, МРТ, УЗИ
а) Сокращения: 
• ВПГ у новорожденных, ВПГ-2
1. Общие характеристики герпетического энцефалита у новорожденных: 
• Лучший диагностический критерий: 
о Вариабельная степень поражения головного мозга, ранние изменения на ДВИ 
• Локализация: 
о Вариабельна: белое вещество (БВ), серое вещество (СВ) (кора, базальные ганглии [БГ]), височные доли, ствол мозга, мозжечок ± зоны водораздела
2. КТ признаки герпетического энцефалита у новорожденных: 
• Бесконтрастная КТ: 
о Ранние изменения: нормальная картина (27%); вариабельная распространенность изменений, низкая плотность 
о Поздние изменения: гидроцефалия, кисты, Са++ (БГ, таламусов, коры или БВ)

 (а) Бесконтрастная КТ, аксиальный срез: у новорожденного с ВПГ-2-энцефалитом определяются протяженные зоны снижения плотности серого и белого вещества. У 27% инфицированных новорожденных признаков заболевания при первичной бесконтрастной КТ не наблюдается. 
(б) МРТ, ДВИ, аксиальный срез: у двухнедельного ребенка с судорожным синдромом и выбуханием родничка визуализируется распространенное ограничение диффузии в области структур серого и белого вещества без четкой локализации ЕЯ. Были выявлены увеличение IgM и положительный результат ПЦР против ВПГ. ДВИ имеет большое значение в ранней диагностике этого состояния. 
5. Рекомендации по визуализации: 
• Совет по протоколу исследования: 
о Бесконтрастная КТ, МРТ
в) Дифференциальная диагностика герпетического энцефалита у новорожденных: 
1. Интранатальная и/или постнатальная инфекция: 
• Другие бактериальные и вирусные поражения могут имитировать неонатальную ВПГ-инфекцию 
2. Инсульт/ишемия: 
• Артериальный или венозный характер 
3. Инфекция с вертикальным путем передачи, TORCH: 
• ЦМВ → микроцефалия, Са++, появление расщелин в коре или аномалий развития 
• Токсоплазмоз → рассеянные кальцификаты, гидроцефалия

 (а) МРТ, Т2-ВИ, корональный срез: у младенца, у которого в перинатальном периоде был диагностирован ВПГ-2-энцефалит, определяются распространенная кистозная э нцефаломаля-ция с выраженным расширением боковых желудочков заместительного генеза. 
(б) Патологоанатомический макропрепарат головного мозга новорожденного, корональный срез: определяются изменения, вызванные вертикально переданной ВПГ-2-инфекцией, включающие расширение желудочковой системы, кистозную энцефаломаляцию и отсутствие нормального рисунка извилин коры. Внутриутробную передачу имеют около 5% всех ВПГ-2-инфекций у новорожденных. 
1. Общие характеристики герпетического энцефалита у новорожденных: 
• Этиология: 
о Инфицирование: перинатально в 85%, постнатально в 10%, внутриутробно в 5% случаев
2. Стадирование и классификация: 
• ВПГ-инфекция, приобретенная во внутриутробном, перинатальном или постнатальном периодах, подразделяется на следующие типы: 
о Внутриутробная инфекция 
о Диссеминированное поражение 
о Поражение ЦНС
3. Макроскопические и хирургические особенности: 
• Ранние изменения: менингоэнцефалит, некроз ± кровоизлияние, микроглиальная пролиферация 
• Поздние изменения: атрофия, кисты, Са++ ± гидроанэнцефалия
1. Проявления герпетического энцефалита у новорожденных: 
• Наиболее частые признаки/симптомы: 
о Постнатальное инфицирование: вялость, апноэ, нарушения питания ± судороги, выбухание родничка 
о Внутриутробное инфицирование: низкий вес при рождении, микроцефалия, микрофтальмия ± изъязвление слизистых оболочек 
• Клинический профиль: 
о СМЖ: плеоцитоз (одноядерные клетки), ↑ белка о ЭЭГ: неспецифические изменения
2. Демография: 
• Возраст: 
о Начало перинатальной инфекции → 2-4 недели 
• Эпидемиология: 
о Встречается нечасто, приблизительно один случай на 3200 рождений
3. Течение и прогноз: 
• Летальный исход - у 3% новорожденных с поражением ЦНС и 29% с диссеминированным поражением 
• Выжившие дети → церебральный паралич, судорожный синдром, умственная отсталость
4. Лечение: 
• Кесарево сечение при активной инфекции у матери, внутривенное введение ацикловира
е) Диагностическая памятка: 
1. Обратите внимание: 
• Предполагайте ВПГ-2 у новорожденных с необъяснимыми изменениями на ДВИ 
2. Советы по интерпретации изображений: 
• Постнатальное инфицирование: вариабельная распространенность изменений + изменений на ДВИ + кровоизлияние 
• Внутриутробное инфицирование: атрофия, рассеянные кальцификаты в головном мозге, кистозная энцефаломаляция, вентрикуломегалия
Лучевая диагностика энцефалитов: герпетический энцефалит

Вирусный энцефалит — это поражение паренхимы мозга вирусом, которое может сочетаться с воспалением мозговых оболочек (менингоэнцефалит) или с поражением спинного мозга (энцефаломиелит).
Лучевая диагностика критически важна в ведении пациентов с энцефалитом. Данные визуализационных методик помогают определить диагноз (и имеют особую ценность в ранней диагностике), обнаружить осложнения основного процесса (например, масс-эффект), предположить этиологию заболевания, отслеживать ответ на проведенную терапию и проводить динамическое наблюдение в случае перехода процесса в хроническую форму.
У возбудителей вирусных энцефалитов есть два основных пути «попадания» в ЦНС: гематогенное распространение и нейрональная трансмиссия (ретроаксональный путь). Первый путь более характерен для арбовирусов, второй предпочитают представители семейства герпесвирусов и возбудитель бешенства.
Вирусы-возбудители энцефалита в подавляющем большинстве случаев обладают тропностью к нервной ткани. Такая тропность может иметь несколько форм: одни вирусы поражают отдельные виды клеток (например, олигодендроциты), другие «предпочитают» определенные области головного мозга.
Энцефалит, вызванный герпесвирусами
В первую очередь подразумевается вызванный вирусом простого герпеса (ВПГ) герпетический энцефалит, однако позже мы поговорим в том числе и о цитомегаловирусном и варицелловирусном энцефалитах.
Серопревалентность (наличие антител) к вирусу простого герпеса первого и/или второго типов в разных странах мира оценивается в пределах 60–95 % у взрослых, однако энцефалит — редкий вариант инфекционного поражения ВПГ.
Попадание в ЦНС обеспечивает ретроаксональный путь передачи; данные, полученные с использованием экспериментальных моделей (кролики, мыши) показали возможность передачи по волокнам обонятельного пути. Считается также, что у взрослых ВПГ-1 энцефалиты вызываются реактивацией латентной инфекции в тройничном ганглии с распространением по ветвям V пары черепных нервов на оболочки передней и средней черепных ямок.
Герпетический энцефалит стал одним из первых инфекционных заболеваний, диагностируемых с использованием методов молекулярной биологии (ПЦР для обнаружения ДНК ВПГ в цереброспинальной жидкости) и одной из первых вирусных инфекций, в лечении которых была успешно применена противовирусная химиотерапия. В США ВПГ является наиболее распространенной причиной неэпидемического острого энцефалита.
Наиболее частые клинические признаки: высокая (более 38°С) температура, головная боль, дезориентация, афазия, угнетение сознания, судороги, нарушения поведения, тошнота и рвота.
Для данной патологии не характерна сезонность. Можно выделить два основных паттерна:
- герпетический энцефалит у детей и взрослых (чаще — ВПГ 1 типа);
- неонатальный герпетический энцефалит (в большинстве случаев обусловленный ВПГ 2 типа).
ВПГ-энцефалит у взрослых
Протекает с неспецифическими симптомами угнетения сознания, лихорадкой, головной болью и очаговой неврологической симптоматикой. Анализ ЦСЖ неспецифичен, часто удается выделить ДНК вируса методом ПЦР.
У иммунокомпетентных взрослых ВПГ обычно приводит к поражению:
- медиобазальных отделов полушарий: очаги некроза и кровоизлияний наблюдаются в височных областях, орбитальной поверхности лобных долей;
- островковых долей;
- могут поражаться также задние отделы затылочной коры;
- вовлечение теменных областей более характерно у детей, чем у взрослых;
- базальные ганглии обычно интактны (что при визуализации помогает дифференциировать энцефалит от ОНМК в бассейне средней мозговой артерии);
Иммуноскомпроментированные пациенты демонстрируют более диффузное поражение с распространением на стволовые структуры мозга.
Лучевые проявления
КТ
Ранняя диагностика при помощи КТ затруднительна, потому при наличии характерной клинической картины «нормальная» КТ не исключает вероятности энцефалита. Если же изменения присутствуют — это, как правило, участки нерезко выраженного понижения плотности паренхимы мозга в передних и медиальных отделах височной области и в островковой доле. Кровоизлияния на ранней стадии увидеть обычно не удается.
При исследовании с контрастированием в первую неделю можно не обнаружить зон контрастного усиления; они появляются позже, в виде слабо выраженного «пятнистого» контрастного усиления.
МРТ
Гораздо чувствительнее на ранней стадии как к непосредственным, так и к косвенным (отек мозга) признакам энцефалита.
Лучевые симптомы в разных МР-последовательностях:
Т1
- может демонстрировать неспецифические признаки отека в пораженном регионе в виде сглаженности извилин и признаков масс-эффекта;
- очаги острого/подострого кровоизлияния проявят себя областями повышенного сигнала.
Т2
- пораженные области демонстрируют повышение сигнала;
- области «давнего» кровоизлияния так же будут выглядеть гиперинтенсивными в Т2;
- очаги накапливают контраст в последовательности Т1, однако накопление контраста в пораженной области может отсутствовать на ранней стадии (3–5 дней после появления симптомов);
- контрастное усиление может быть гириформным (по ходу извилин), лептоменингеальным (по ходу субарахноидальных пространств), кольцевидным и диффузным.
- часто демонстрирует ограничение диффузии вследствие цитотоксического отека.
GRE/SWI
-    кровоизлияние проявит себя областью «выпадения» МР-сигнала из-за продуктов распада гемоглобина.

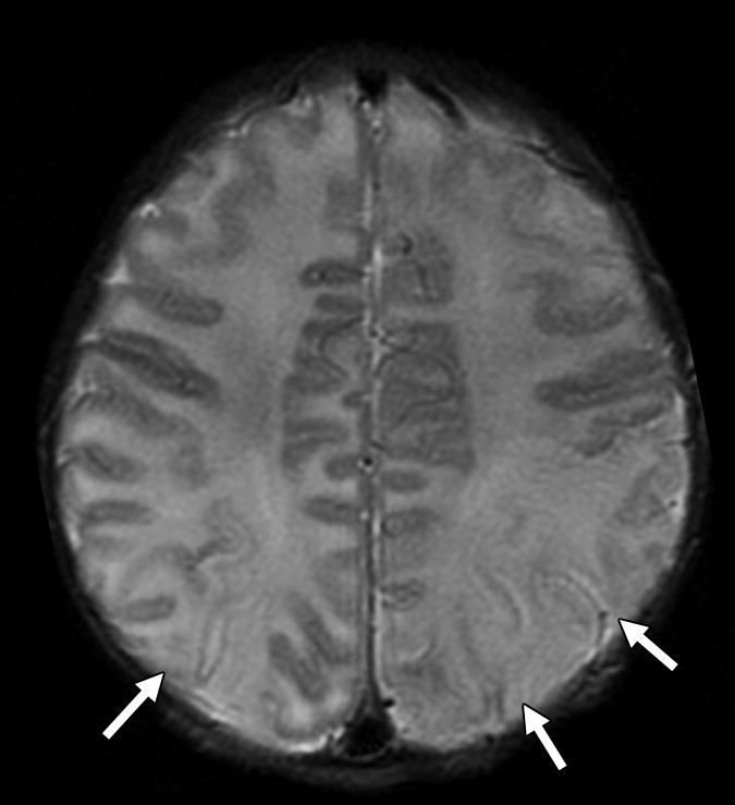
Рисунок 1 | Асимметричные области патологически повышенного МР сигнала в медиальных отделах обеих височных долей, больше выраженные в корковом веществе

Рисунок 2 | В последовательности DWI у того же пациента определяются области повышения сигнала в обоих лобно-височных областях. ИДК подтвердила ограничение диффузии

Т1-взвешенное корональное изображение после введения контраста демонстрирует асимметричное двустороннее гириформное и лептоменингальное контрастное усиление больше в области коры островка (большие стрелки) и поясной извилины (меньшая стрелка)
Неонатальный герпетический энцефалит
Как уже было сказано, чаще вызывается ВПГ 2 типа.
Развитие неонатального герпеса может происходить при контакте новорожденного с ВПГ в половых путях во время родов. Это заболевание является редким, составляя примерно 10 случаев на 100 000 деторождений в мире. Смертность при данной форме энцефалита достигает 50 %, также около 50 % выживших будут иметь тяжелые неврологические нарушения. Риск развития неонатального герпеса особенно высок, если первичное инфицирование матери ВПГ происходит на поздних сроках беременности. У женщин, перенесших генитальный герпес до беременности, риск передачи ВПГ детям крайне низок.
В клинической картине преобладают сонливость, лихорадка или гипотермия, судороги; менее частыми проявлениями являются апноэ, потеря веса, раздражительность, выпуклый передний родничок, везикулярная сыпь в области лба, фокальные клонические судороги конечностей.
Лучевые признаки
Герпетический энцефалит у младенцев характеризуется более диффузным поражением, причем эти изменения сложнее заметить на фоне незавершенной миелинизации; поражение типично затрагивает кору полушарий, глубокие слои белого вещества, включая перивентрикулярные области и таламусы. Медиальные области височных и нижние области лобных долей часто интактны. Геморрагии встречаются реже и появляются в более поздних стадиях.
- на ранней стадии изменения могут отсутствовать;
- в более поздних сроках определяются обширные зоны гиподенсивности (отвечающие отеку и/или некрозу) коры и белого вещества;
- при контрастировании чаще наблюдается гириформное контрастное усиление.
Сигнальные характеристики аналогичны энцефалиту у взрослых:
- области повышенного сигнала в Т2-взвешенных последовательностях могут быть плохо заметными на фоне незрелой миелинизации;
- кровоизлияния (редко) визуализируются как области повышения в Т1 и «выпадения» сигнала в GRE/SWI последовательностях;
- рестрикция диффузии (повышение сигнала в ДВИ последовательностях, подтвержденное при ИКД), как правило, диффузная и двусторонняя;
- гириформное накопление контрастного вещества;
- МР-картина последствий перенесенного процесса включает зоны лейкомаляции, диффузную кистозную энцефаломаляцию и кальцификаты, расположенные диффузно либо по ходу извилин.
В группе пациентов, у которых развился неонатальный герпетический энцефалит в течение 28 дней после рождения, основными признаками при использовании DWI-последовательности были кортикальные поражения. Двустороннее поражение глубоких слоев коры и белого вещества мозга, визуализируемые на 7-й день, были предикторами плохого прогноза и высокой вероятности развития двигательных и когнитивных расстройств.

С рождения наблюдалась везикулезная сыпь в области лба. На аксиальной Т2-взвешенной томограмме определяется «missing cortex» симптом: потеря нормального изменения сигнала от коры (кора и белое вещество неразличимы) в обеих затылочных областях, больше слева. 
 
Т1-взвешенная аксиальная томограмма: диффузная кистозная энцефаломаляция с компенсаторной вентрикуломегалией
Современные методики МРТ не ограничиваются классической томографией. Все чаще для диагностики герпетического энцефалита используется протонная МР-резонансная спектроскопия. Сообщается о снижении пика NAA (N-ацетиласпартата) по отношению к холину через 7–14 недель после первых симптомов заболевания; в некоторых случаях наблюдается повышенный пик холина. Иногда может быть повышен пик лактата. Считается, что уменьшение пика NAA отражает повреждение нейронов. Было отмечено, что восстановление нормальных значений NAA происходит одновременно с клинически значимым улучшением состояния пациента.
Энцефалит на МРТ головного мозга
МРТ играет важную роль в диагностике, контроле за эффективностью лечения многих заболеваний. В неврологии окончательный диагноз врачи ставят только после проведения этого ценного дополнительного исследования. Энцефалит на МРТ выявляют на ранних стадиях (с 3, 4 дня заболевания). В дальнейшем наблюдают за изменениями в мозге и корректируют лечение, контролируют развитие осложнений – абсцесса мозга, размягчения, атрофии.
Что такое энцефалит головного мозга?
Энцефалит головного мозга – воспалительный процесс в самом мозговом веществе. По природе бывает инфекционным – вирусным, бактериальным, а также аутоиммунным, посттравматическим, аллергическим. Возбудители попадают в вещество мозга с кровью (гематогенным путем) или по ходу нервных волокон (с тройничным и обонятельными нервами). При укусе клеща развивается первичный клещевой энцефалит.

При сочетании с поражением мозговых оболочек ставят диагноз менингоэнцефалит. Если есть симптомы со стороны спинного и головного мозга – энцефаломиелит.
В зависимости от локализации различают:
Клиническая картина энцефалита:
Высокая температура тела.
Нарушение сознания от спутанности до комы. Наблюдаются изменения поведения, дезориентация пациента в пространстве, проблемы с памятью, потеря навыков самообслуживания.
Генерализованные и парциальные судороги.
В 30 % случаев развиваются очаговые признаки – парезы, нарушения чувствительности, афазия, афония, экстрапирамидные расстройства.
Тошнота, рвота, понос, при вовлечении оболочек – менингеальные симптомы.
При клещевом энцефалите кроме неврологических нарушений появляются симптомы поражения мышц: подергивания, спазмы, ломота. Могут наблюдаться нарушение аппетита, режима сна и бодрствования, повышение температуры кожи лица. Подтверждение диагноза – наличие антител к арбовирусу в крови и спинномозговой жидкости. Также учитывают сезонность (лето и осень-зима), пребывание в эндемичных очагах и укус клеща в анамнезе (за 10 – 30 дней до начала симптомов).
Из вирусов наиболее часто энцефалит вызывают герпевирусы. Также в качестве возбудителей выступают арбовирусы, вирус гриппа, кори, краснухи, ECHO- и энтеровирусы. Герпес-вирусы 1 типа поражают взрослых и детей старшего возраста, 2 типа – новорождённых. У взрослых вирусы постоянно находятся в латентном состоянии в области тройничного ганглия, при снижении иммунитета могут провоцировать клинически выраженное заболевание.
Особенно тяжело протекает герпетический энцефалит у новорождённых. Они заражаются при прохождении по инфицированным родовым путям матери. Хуже всего прогноз, если женщина впервые заражается генитальным герпесом во время беременности. Половина детей погибает, остальные имеют впоследствии тяжелые когнитивные нарушения, проблемы со слухом, зрением, памятью, речью, возможна эпилепсия, нарушения личности. Клинические признаки воспаления: лихорадка, высыпания в виде пузырьков на лбу, снижение веса, тошнота, рвота, судороги, нарушение сознания.
Из бактериальных возбудителей энцефалита часто встречаются пневмококки, стафилококки, стрептококки. Они распространяются в мозг из очагов хронической инфекции ЛОР органов, после травмы головы.
Покажет ли МРТ головного мозга энцефалит?
МРТ выявляет симптомы воспаления в головном мозге, но не позволяет достоверно назвать причину энцефалита.

При энцефалите головного мозга на МРТ регистрируют:
Признаки отека головного мозга – сглаженность извилин, уменьшение различий между корой и белым веществом мозга (масс-эффект).
В подостром периоде очаги кровоизлияний в виде усиления сигнала на Т-2 зависимых снимках МРТ и выпадения МР-сигнала в GRE/SWI последовательностях.
На поздних этапах появляются очаги некроза в виде гипоинтенсивных участков без четких границ.
При хроническом течении обнаруживают рассеянные узелки из микроглии.
К признакам перенесенного воспаления головного мозга относят кальцификаты, зоны размягчения мозга по ходу извилин или диффузно расположенные. Они могут иметь вид кист. При этом компенсаторно может увеличиваться желудочек мозга на стороне поражения.
Для уточнения данных проводят МРТ с контрастированием. Контрастное вещество накапливается вдоль извилин, по ходу субарахноидального пространства, диффузно или кольцевидно.
Используют разные режимы МРТ диагностики энцефалита, наиболее чувствительным из которых будет импульсная последовательность FLAIR или TIRM: регистрируют сигнал повышенной интенсивности в области коры и сразу под ней.
Одним из методов исследования при энцефалите является протонная МР-резонансная спектроскопия. Она отражает поражение нейронов в головном мозге. Это проявляется в уменьшении пика N-ацетиласпартата (NAA) по сравнению с холином. По мере восстановления нервных клеток показатели NAA нормализуются.
При проведении МР ангиографии выявляют очаги кровоизлияния и тромбоза сосудов, отсутствие мозговых борозд, при поражении оболочек гидроцефалию, расширение цистерн между полушариями.
Как выглядит энцефалит головного мозга на снимке МРТ?
В первые 3 дня превалирует отек мозга, следующие 7 дней появляются участки деструкции мозговой ткани, кровоизлияния в паренхиму мозга. Если формируется капсула, отграничивающая абсцесс в мозге, ее обнаруживают по сигналам высокой интенсивности. Сам гной светится на диффузионно-взвешенных МРТ снимках. Это прогностически плохой признак. При расширенной МРТ контраст накапливается в стенках капсулы и не проникает внутрь абсцесса.
При переходе воспаления на стенки желудочков мозга, виден отек их и усиление сигнала. Такое поражение характерно для энцефалита, вызванного вирусом эпидемического паротита.

Диагностическая картина при вирусном энцефалите на МРТ зависит от вида возбудителя:
Для цитомегаловирусной этиологии присущи утолщение сетчатки, гиперэхогенные очаги в подкорковом слое с переходом на кору.
При внутриутробном заражении вирусом краснухи видна атрофия мозга и нарушение миелинизации нервных волокон.
Коревой энцефалит – поражается затылочная и лобная доли, в них выявляют участки демиелинизации волокон.
При клещевом энцефалите типичными местами поражения будут базальные ганглии, мозжечок, таламус. При болезни Лайма под корой и вблизи желудочков мозга выявляют очаги инфаркта мозга.
Сифилитическое поражение может проявляться вовлечением медиальных частей височной доли с двух сторон.
При герпетическом энцефалите на МРТ характерно поражение медиальной области височных долей, нижней поверхности лобных долей и островковой коры. Реже вовлекается корковое вещество затылочных долей, поясная извилина. Иногда поражается конвекситальная поверхность полушарий мозга. На ДВИ определяют ограничение диффузии среди элементов лимбической системы.
При герпетическом менингите у новорожденных поражаются кора полушарий, глубокие слои белого вещества, включая перивентрикулярные области и таламус. Медиальные области височных и нижние области лобных долей часто интактны. Геморрагии встречаются реже и появляются в более поздних стадиях.
Есть отличительные черты герпетической патологии, которые позволяют заподозрить конкретный этиологический фактор. Подтверждением природы энцефалита является положительная ПЦР на ДНК возбудителя в крови и ликворе, бактериологическое и серологическое исследование биологических жидкостей (ИФА на выявление антител). Изменения ДНК наблюдаются уже через одни сутки после заражения, антитела в крови и ликворе появляются позже – через 1 – 3 недели. При обследовании ликвора характерна белково-клеточная диссоциация. Положительная ПЦР с ликвором – наиболее специфический вид диагностики при герпетическом энцефалите.
Для наиболее раннего выявления энцефалита рекомендуют выполнение мультипланарной МРТ в режиме Т2-ВИ, FLAIR или ДВИ, исследование с контрастом в режиме Т1-ВИ. При этом изменения на МРТ обнаруживают раньше, чем на КТ на 1 – 2 суток. Также на МРТ изображениях больше видны последствия кровоизлияний спустя 7 дней от появления симптомов.
МРТ в 90 % случаев выявляет ранние частые признаки герпетического энцефалита – симметричное поражение медиальных областей теменной доли с преимущественным поражением серого вещества. Это помогает вовремя поставить диагноз, назначить правильное лечение, спасти жизнь больного и уменьшить риск осложнений.
Читайте также:
- Рентгенограмма, КТ, МРТ при синдроме сдавливания запястья
- Возбудители отогенных внутричерепных осложнений. Внутричерепные осложнения средних отитов
- Закрытие культи двенадцатиперстной кишки. Оценка двенадцатиперстной кишки.
- Дигиталисная интоксикация - диагностика, лечение
- Венерическая лимфогранулема. Болезнь Николя-Фавра. Возбудитель венерической лимфогранулемы. Клиника венерической лимфогранулемы.
