Гипофиз. Развитие гипофиза. Строение гипофиза.
Добавил пользователь Евгений Кузнецов Обновлено: 11.12.2025
Гипофиз. Развитие гипофиза. Строение гипофиза.
Гипофиз (питуитарная железа) вместе с гипоталамусом составляет гипоталамо-гипофизарную нейросекреторную систему. Он является мозговым придатком. В гипофизе различают аденогипофиз (переднюю долю, промежуточную и туберальную части) и нейрогипофиз (заднюю долю, воронку).
Развитие. Аденогипофиз развивается из эпителия крыши ротовой полости. На 4-й неделе эмбриогенеза образуется эпителиальное выпячивание в виде гипофизарного кармана (карман Ратке), из которого вначале формируется железа с внешним типом секреции. Затем проксимальный отдел кармана редуцируется, и аденомер становится обособленной эндокринной железой. Нейрогипофиз образуется из материала инфундибулярной части дна Ш-го желудочка мозга и имеет нейральное происхождение. Эти две разные по происхождению части вступают в контакт, образуя гипофиз.
Строение. Аденогипофиз состоит из эпителиальных тяжей — трабекул. Между ними проходят синусоидные капилляры. Клетки представлены хромофильными и хромофобными эндокриноцитами. Среди хромофильных эндокриноцитов различают ацидофильные и базофильные эндокриноциты.
Ацидофильные эндокриноциты — это клетки средних размеров, округлой или овальной формы, с хорошо развитой гранулярной эндоплазматической сетью. Ядра находятся в центре клеток. Они содержат крупные плотные гранулы, окрашивающиеся кислыми красителями. Лежат эти клетки по периферии трабекул и составляют 30-35% от общего количества аденоцитов в передней доле гипофиза. Имеется две разновидности ацидофильных эндокриноцитов: соматотропоциты, вырабатывающие гормон роста (соматотропин), и лактотропоциты, или маммотропоциты, продуцирующие лактотропный гормон (пролактин). Соматотропин стимулирует процессы роста всех тканей и органов.
При гиперфункции соматотропоцитов может развиться акромегалия и гигантизм, а в условиях гипофункции — замедление роста тела, что приводит к гипофизарной карликовости. Лактотропный гормон стимулирует секрецию молока в молочных железах и прогестерона в желтом теле яичника.

Базофильные эндокриноциты — это крупные клетки, в цитоплазме которых есть гранулы, окрашивающиеся основными красителями (анилиновым синим). Они составляют 4-10% от общего числа клеток в передней доле гипофиза. В гранулах содержатся гликопротеины. Базофильные эндокриноциты подразделяются на тиротропоциты и гонадотропоциты.
Тиротропоциты — это клетки с большим числом плотных мелких гранул, окрашивающихся альдегидфуксином. Они вырабатывают тиреотропный гормон. При недостатке в организме тиреоидных гормонов тиротропоциты трансформируются в клетки тиреоидэктомии с большим числом вакуолей. При этом усиливается продукция тиротропина.
Гонадотропоциты — округлые клетки, в которых ядро смешено к периферии. В цитоплазме есть макула — светлое пятно, где расположен комплекс Гольджи. Мелкие секреторные гранулы содержат гонадотропные гормоны. При недостатке в организме половых гормонов в аденогипофизе появляются клетки кастрации, для которых характерна кольцевидная форма из-за наличия крупной вакуоли в цитоплазме. Такая трансформация гонадотропной клетки связана с ее гиперфункцией. Различаются две группы гонадотропоцитов, вырабатывающих либо фолликулостимулирующий, либо лютеинизирующий гормоны.
Кортикотропоциты — это клетки неправильной, иногда отростчатой формы. Они разбросаны по всей передней доле гипофиза. В их цитоплазме определяются секреторные гранулы в виде пузырька с плотной сердцевиной, окруженного мембраной. Между мембраной и сердцевиной имеется светлый ободок. Кортикотропоциты вырабатывают АКТГ (адренокортикотропный гормон), или кортикотропин, активирующий клетки пучковой и сетчатой зон коры надпочечников.
Хромофобные эндокриноциты составляют 50-60% от общего числа клеток аде-ногипофиза. Они располагаются в середине трабекул, имеют небольшие размеры, гранул не содержат, цитоплазма их слабо окрашивается. Это сборная группа клеток, среди которых находятся молодые хромофильные клетки, еще не накопившие гранул секрета, зрелые хромофильные клетки, уже выделившие секреторные гранулы, и резервные камбиальные клетки.
Таким образом, в аденогипофизе обнаруживается система взаимодействующих клеточных дифферонов, формирующих ведущую эпителиальную ткань этой части железы.
Средняя (промежуточная) доля гипофиза у человека развита слабо, составляя 2% от общего объема гипофиза. Эпителий в этой доле однородный, клетки богаты мукоидом. Местами есть коллоид. В промежуточной доле эндокриноцитами вырабатываются меланоцитостимулирующий гормон и липотропный гормон. Первый адаптирует сетчатку глаза к зрению в сумерках, а также активизирует кору надпочечников. Липотропный гормон стимулирует жировой обмен.
Влияние нейропептидов гипоталамуса на эндокриноциты осуществляется с помощью системы гипоталамо-аденогипофизарного кровообращения (портальной).
В первичную капиллярную сеть срединного возвышения секретируются гипоталамические нейропептиды, которые далее по портальной вене попадают в аденогипофиз и в его вторичную капиллярную сеть. Синусоидные капилляры последней расположены между эпителиальными тяжами эндокриноцитов. Так нейропептиды гипоталамуса воздействуют на клетки-мишени аденогипофиза.
Нейрогипофиз имеет нейроглиальную природу, не является гормонпродуцирующей железой, а выполняет роль нейрогемального образования, в котором накапливаются гормоны некоторых нейросекреторных ядер переднего гипоталамуса. В задней доле гипофиза идут многочисленные нервные волокна гипоталамогипофизарного тракта. Это нервные отростки нейросекреторных клеток супраоптического и паравентрикулярного ядер гипоталамуса. Неройны этих ядер способны к нейросекреции. Нейросекрет (трансдуктор) транспортируется по нервным отросткам в заднюю долю гипофиза, где выявляется в виде телец Херринга. Аксоны нейросекреторных клеток заканчиваются в нейрогипофизе нейрососудистыми синапсами, посредством которых нейросекрет поступает в кровь.
Нейросекрет содержит два гормона: антидиуретический (АДГ), или вазопрессин (он действует на нефроны, регулируя обратное всасывание воды, а также суживает сосуды, повышая кровяное давление); окситоцин, стимулирующий сокращение гладких мышц матки. Лекарственный препарат, полученный из задней доли гипофиза, называется питуитрином и используется для лечения несахарного мочеизнурения. В нейрогипофизе имеются нейроглиальные клетки, называемые питуицитами.
Реактивность гипоталамо-гипофизарной системы. Боевые травмы и сопровождающие их стрессы приводят к сложным нарушениям нейроэндокринной регуляции гомеостаза. При этом нейросекреторные клетки гипоталамуса усиливают выработку нейрогормонов. В аденогипофизе уменьшается количество хромофобных эндокриноцитов, что ослабляет репаративные процессы в этом органе. Число базофильных эндокриноцитов нарастает, а в ацидофильных эндокриноцитах появляются крупные вакуоли, свидетельствующие об их напряженном функционировании. При длительном лучевом поражении в железах внутренней секреции возникают деструктивные изменения секреторных клеток и угнетение их функции.
Гипофиз в организме человека

Гипофиз — крохотная железа в полости черепа. Несмотря на размер, влияние его на организм потрясает своими масштабами. Щитовидная железа, почки, надпочечники, половые железы, молочные железы, рост и развитие человека — неполный список того, над чем «властвует» гипофиз. В данном материале мы постарались доходчиво объяснить, что представляет из себя эта могущественная железа и как она работает. Также мы коснемся вопроса распространенных заболеваний данного органа и расскажем об их симптомах.
Что такое гипофиз и где он находится
Гипофиз — нейроэндокринный орган, главной функцией которого является продукция регуляторных гормонов. Размер его сопоставим с величиной горошины, а масса составляет около 0,5-1 граммов. Гипофиз исполняет роль дирижера в оркестре, музыканты которого — все эндокринные железы организма (кроме островского аппарата поджелудочной железы).
Гипофиз располагается в полости черепа, но этот момент стоит уточнить. Интересным здесь является то, что для гипофиза в клиновидной кости (одной из костей основания черепа) имеется специальное углубление. Это углубление носит название «турецкое седло». И действительно, визуально оно напоминает седло, у него даже есть хорошо выраженная спинка.
Орган располагается под головным мозгом, а если быть точным — под нижней его частью — гипоталамусом. Последний при этом связан с гипофизом посредством ножки, или гипофизарного стебля. Над гипофизом натянута мембрана, которая отделяет его от головного мозга. Таким образом, орган с одной стороны изолирован от образований головного мозга, а с другой стороны неразрывно связан с ними посредством ножки.
Прямо под турецким седлом, содержащим гипофиз, располагается клиновидная пазуха — полостное образование, которое граничит с полостью носа. Этот факт очень важен для нейрохирургов, поскольку позволяет осуществить оперативный доступ к гипофизу через нос. Именно таким способом в настоящее время проводят операции на органе.

Рисунок 1. Голова человека (схематически), вид сбоку. Пунктиром выделен гипофиз в турецком седле. Стрелкой показан хирургический доступ к железе через полость носа и клиновидную пазуху. Иллюстрация Данилы Мельникова
Строение гипофиза
В строении органа выделяют переднюю, заднюю и промежуточную доли, а также ножку гипофиза, в которой проходят сосуды и нервы. Передняя доля (аденогипофиз) — самая большая и занимает порядка 60-70% объема железы. Эта часть органа представлена эпителиальными гормон-продуцирующими клетками. Здесь вырабатывается большинство гормонов гипофиза. Клеточный состав аденогипофиза крайне разнообразен. Функции некоторых продуцируемых здесь веществ до сих пор остаются не совсем понятными.
Задняя доля (нейрогипофиз) представлена тканью нервного происхождения и не содержит клеток, вырабатывающих гормоны. Однако в данную область транспортируются «импортные» гормоны из гипоталамуса и уже отсюда, из задней доли, они поступают в кровь. Клетки нейрогипофиза в этом процессе играют лишь вспомогательную роль.
Промежуточная доля у человека несколько атрофирована и занимает совсем небольшую часть железы. Здесь продуцируется лишь меланоцитстимулирующий гормон.
Функции гипофиза
Как уже упоминалось, гипофиз посредством гормонов дирижирует работу эндокринных желез, которые, в свою очередь, вырабатывают собственные гормоны. Мало того, орган выделяет и другие гормоны, которые действуют самостоятельно, а не посредством периферических желез. В соответствии с этим, выделяют:
- Эффекторные гормоны, которые оказывают непосредственное влияние на органы-мишени. Например, гормон роста стимулирует рост костей в длину.
- Тропные гормоны — те, что регулируют выработку эффекторных гормонов в других эндокринных железах. Например, тиреотропный гормон повышает синтез и секрецию гормонов щитовидной железы.
Далее мы рассмотрим основные гормоны гипофиза в контексте их биологической роли в организме.
Гормоны передней доли гипофиза
Соматотропный гормон
Соматотропный гормон (соматотропин) также называют гормоном роста. Название прекрасно отражает основную функцию данного вещества — он обеспечивает рост практически всех тканей в организме. Это достигается за счет активации деления и увеличения размера клеток, усиления поступления в них белка и аминокислот. Также гормон стимулирует использование запасов жиров в организме, способствует росту костей и хрящей, повышает уровень глюкозы в крови.
Пролактин
Главным образом пролактин влияет на молочные железы и матку у женщин. Этот гормон стимулирует рост и развитие молочных желез, образование в них молока и секрецию последнего, способствует процессу имплантации эмбриона. Помимо этого пролактин участвует в формировании полового поведения, потенцирует действие лютеинизирующего и фолликулостимулирующего гормонов на половые железы. Причем последнее имеет важное значение не только для женщин, но и мужчин.

Рисунок 2. Гормон пролактин отвечает за выработку молока у кормящей женщины. Изображение: kavusta / Depositphotos
Тиреотропный гормон
Тиреотропный гормон (тиреотропин) отвечает за регуляцию функций щитовидной железы. При повышении его секреции щитовидная железа активнее продуцирует и секретирует гормоны в кровь, а при понижении наблюдаются обратные процессы. Можно сказать, что гипофиз контролирует все виды обмена (белковый, липидный и углеводный) посредством влияния на щитовидную железу. Последняя вырабатывает тироксин и трийодтиронин, которые и приводят в действие «планы» гипофиза.
Фолликулостимулирующий и лютеинизирующий гормоны
Эти гормоны прежде всего оказывают влияние на работу половых желез: яичек и яичников. Фолликулостимулирующий гормон (ФСГ) способствует продукции сперматозоидов у мужчин, а также созреванию фолликулов у секреции эстрогенов у женщин. Лютеинизирующий гормон (ЛГ) контролирует продукцию тестостерона у мужчин и стимулирует овуляцию у женщин.
Адренокортикотропный гормон
Еще один представитель тропных гормонов гипофиза — адренокортикотропный гормон (АКТГ). Его задача состоит в регуляции функций надпочечников — небольших, но очень важных желез, находящихся над обеими почками. Надпочечники вырабатывают множество гормонов, влияющих на артериальное давление, иммунитет, ионный баланс в организме и множество других процессов, но все это происходит «по поручению» гипофиза.
Гормоны задней доли гипофиза
Как уже было сказано, гормоны нейрогипофиза не являются его собственными, они вырабатываются в гипоталамусе. Тем не менее их роль рассматривают в контексте функций гипофиза, поскольку скапливаются и секретируются они именно в нем.
Антидиуретический гормон
Главной функцией антидиуретического гормона (АДГ) является реабсорбция воды в почках. Если АДГ не выделяется в должной мере, объем мочи может превышать 20 литров в сутки! Также гормон способствует сужению сосудов, поэтому второе его название — вазопрессин. Обе функции крайне важны для поддержания нормального артериального давления, что особенно актуально при кровотечениях.

Рисунок 3. Влияние гормонов гипофиза на органы человека. Изображение: megija / Depositphotos
Окситоцин
Окситоцин играет важнейшую роль в родовой деятельности. Он стимулирует сокращение матки во время родов, что способствует изгнанию плода. Также гормон способствует выделению молока при кормлении грудью. Этот процесс запускается менее чем через минуту после того, как ребенок прильнул к соску матери.
Окситоцин — гормон материнской любви и привязанности
Окситоцин оказывает существенное влияние на социальное поведение человека. Он облегчает временную привязанность между незнакомыми людьми, повышая доверие между ними. Кроме того, гормон влияет на родительское поведение, концентрация окситоцина в крови матери имеет прямую корреляцию с ее привязанностью к ребенку⁶.
Заболевания гипофиза и их симптомы
Гипофизарных расстройств существует немалое количество, но многие из них встречаются крайне редко. Поэтому мы рассмотрим наиболее частые патологии и их симптомы. В частности, поговорим о гормонпродуцирующих опухолях гипофиза (аденомах) и состоянии, при котором, наоборот, гормонов гипофиза вырабатывается мало (гипопитуитаризм).
Гиперпролактинемия и пролактинома
Гиперпролактинемия — это повышенная концентрация пролактина в крови. Чаще всего данное явление наблюдают при пролактиноме — гормонально активной опухоли гипофиза, хотя существуют и другие причины. Заболевание характеризует:
- Патологическое выделение грудного молока у женщин (галакторея).
- Прекращение менструаций (аменорея) или скудные менструации (олигоменорея).
- Избыточная масса тела.
- Бесплодие.
- Эректильная дисфункция и снижение либидо у мужчин.
Гиперпролактинемия — одна из самых частых причин женского бесплодия
Акромегалия и гигантизм
Оба состояния обусловлены повышенной выработкой гормона роста гипофизом. Отличие состоит в том, что при гигантизме патологический процесс начинается в детском или подростковом возрасте, когда еще не до конца окостенели зоны роста в костях. Поэтому рост у людей с гигантизмом достигает 2 метров и более, а при акромегалии он не изменяется.
Как и в случае с гиперпролактинемией, самая частая причина этих заболеваний — гормонально активная опухоль гипофиза (соматотропинома). Оба заболевания с течением длительного времени проявляются следующими симптомами:
- Утолщение кожи и кожных складок.
- Укрупнение и огрубение черт лица: нос, губы, нижняя челюсть, надбровные дуги и ушные раковины увеличиваются в размерах.
- Утолщение пальцев.
- Макроглоссия — увеличение размеров языка.
- Синдром обструктивного апноэ сна — остановки дыхания во время сна.
- Сахарный диабет.
- Артериальная гипертензия.
- Боли в суставах.
- Повышенная утомляемость, слабость.
Больные и их родственники часто не замечают изменений во внешности, а к врачу обращаются по поводу симптомов сахарного диабета или болей в суставах. Так происходит из-за очень растянутого течения заболевания. Клиническая картина становится особенно наглядной, если посмотреть фото больного 5-10 летней давности. Настоящий вид больного и его внешность на старых фотографиях создают впечатление, что это два разных человека.
Болезнь Иценко-Кушинга
Болезнь Иценко-Кушинга — это состояние, при котором в гипофизе повышается выработка адренокортикотропного гормона. В данном случае опухоль развивается из клеток, продуцирующих адренокортикотропный гормон (кортикотропинома). Избыток гормона в крови приводит к усиленной работе надпочечников, которые в повышенном количестве продуцируют адреналин, норадреналин, кортизол и некоторые другие гормоны. Для заболевания характерно:
- Специфическая картина ожирения, при котором конечности худые, а живот и лицо — с избыточным отложением жира.
- «Лунообразное лицо» — округление контура лица за счет жировых отложений.
- Плетора — яркий румянец на лице.
- Стрии на животе, бедрах, ягодицах и груди — фиолетовые или багровые полосы от растяжения кожи.
- Гирсутизм — рост волос на лице у женщин по мужскому типу (борода и усы).
- Истончение и выпадение волос.
- Повышение артериального давления.
- Нарушение менструаций у женщин.
- Бесплодие.
- Нарушения психики: депрессии, галлюцинации, бред.
Существует и множество других проявлений заболевания, которые можно обнаружить лабораторно. Такое обилие проявлений объясняется влиянием гормонов надпочечников почти на все органы и системы в организме человека.
Другие симптомы опухолей гипофиза
Выше мы обсудили специфические проявления гормонпродуцирующих опухолей гипофиза, которые обусловлены повышенной выработкой того или иного гормона. Однако вне зависимости от того, вырабатывает опухоль гормоны или нет, возможно появление симптомов, связанных с давлением опухоли на прилежащие структуры головного мозга. Выше гипофиза располагается зрительный перекрест, поэтому усиленный рост опухоли в этом направлении может привести к нарушениям зрения. Также недалеко проходят нервы, отвечающий за движения глазных яблок. Результатом давления на эти структуры становятся:
- Двоение в глазах.
- Выпадение полей зрения.
- Опущение верхнего века.
- Снижение остроты зрения.
- Нарушение периферического зрения.
Помимо зрительных нарушений рост опухоли может вызывать распирающую головную боль.
Гипопитуитаризм
Гипопитуитаризм — это состояние, при котором снижена выработка одного или нескольких гормонов гипофиза. Существует множество причин заболевания: врожденный дефект гипофиза, сдавление опухолью прилежащих структур, инсульт с гипофизарной локализацией, инфекционные энцефалиты и др.
Дефицит гормона роста
Чаще всего развивается дефицит гормона роста, что приводит к:
- Ожирению.
- Снижению мышечной массы и выносливости.
- Снижению минеральной плотности костей, их переломам.
- Дислипидемии и атеросклерозу.
- Истончению и сухости кожных покровов.
- Нарушениям сна.
- Психологическим нарушениям.
При развитии заболевания в детском возрасте или врожденной патологии человек перестает расти, что трактуется как гипофизарный нанизм (карликовость).
Дефицит тиреотропного гормона
В данном случае заболевание обусловлено недостаточной выработкой тиреотропного гормона. Это приводит к снижению функции щитовидной железы, то есть к гипотиреозу. Клинически это проявляется:
- Повышенной утомляемостью.
- Снижением работоспособности.
- Уменьшением массы тела.
- Снижением артериального давления.
- Общей заторможенностью.
- Снижением эмоциональности.
- Отеками в области лица.
- Бесплодием.

Рисунок 4. Симптомы гипотиреоза. Источник: МедПортал
Дефицит адренокортикотропного гормона
Данное состояние называют вторичным гипокортицизмом. Вследствие недостаточной выработки адренокортикотропного гормона снижается секреция гормонов надпочечниками. Это приводит к:
- Общей слабости, утомляемости.
- Похудению.
- Снижению артериального давления.
- Депрессии.
Заболевание длительно развивается бессимптомно, клинические проявления выражены тускло.
Дефицит гонадотропных гормонов
Заболевание, при котором в гипофизе вырабатывается недостаточно фолликулостимулирующего и лютеинизирующего гормонов, называют вторичным гипогонадизмом. Если болезнь манифестировала в детском возрасте, то:
- Происходит недоразвитие наружных и внутренних половых органов.
- У мальчиков при взросления остается высокий голос, не появляется характерного оволосения, развивается гинекомастия.
- У девочек не развиваются молочные железы, формируется узкий таз, жировая ткань распределяется по мужскому типу, нарушаются менструации.
Если болезнь настигает во взрослом периоде, то у мужчин развивается снижение либидо, бесплодие, эректильная дисфункция, ожирение, уменьшение мышечной массы, психологические расстройства в виде депрессии и приступов гнева. У женщин болезнь проявляется менструальными нарушениями, появляются симптомы раннего развития климакса.
Профилактика заболеваний гипофиза
К сожалению, профилактировать заболевания гипофиза практически невозможно. Во-первых, это обусловлено тем, что самая частая причина тех или иных гипофизарных расстройств — опухоли. Во-вторых, имеют место генетические факторы, которые не подвергаются коррекции. Повлиять возможно лишь на частоту инсультов, черепно-мозговых травм и ряд других неспецифических повреждений гипофиза. Однако в структуре причин заболеваний они занимают далеко не первое место.
Обращайте внимание на свою внешность
Большинство заболеваний гипофиза так или иначе меняют внешность человека. Поэтому не стоит игнорировать замечания знакомых, если они подметили что-то странное в вашей внешности. Хоть патологии гипофиза и не поддаются профилактике, они хорошо лечатся на ранних стадиях. Чем раньше вы заметите какие-то изменения в своем организме, тем выше будет успех лечения.
Заключение
Гипофиз — удивительный орган! Крошечный размер он компенсирует сложным клеточным строением и большим количеством важных функций, недостаточность которых сильно отражается на внешнем виде больного. Каждое из заболеваний имеет уникальную клиническую картину, поэтому врач может распознать в пациенте болезнь еще на пороге кабинета. Несмотря на трудности в профилактике заболеваний гипофиза, достигнуты серьезные успехи в их лечении. Это позволяет говорить об относительно благоприятном прогнозе гипофизарных расстройств.
Нарушения в работе гипофиза

На "вершине власти" в эндокринной системе находится гипофиз — маленькая железа, редко превышающая размером ноготь на мизинце ребенка.
Гормоны, влияющие на работу всех органов и систем, попадают в кровь из специальных эндокринных желез, которые объединены в единую эндокринную систему. Это надпочечники, щитовидная и паращитовидные железы, яичники (у женщин), семенники и яички — (у мужчин), поджелудочная железа, гипоталамус и гипофиз. Пожалуй, в организме нет более иерархичной и дисциплинированной системы, чем эндокринная.

Рисунок 1. Расположение гипофиза в головном мозге. Источник: Patrick J. Lynch, medical illustrator / Wikipedia (CC BY-SA 3.0)
Принцип действия гипофиза
На вершине власти стоит гипофиз — маленькая железа, редко превышающая размером ноготь на мизинце ребенка. Гипофиз находится в головном мозге (в самом его центре) и жестко контролирует работу большинства эндокринных желез, выделяя специальные гормоны, которые управляют производством других гормонов. Например, гипофиз выбрасывает в кровь тиреотропный гормон (ТТГ), который заставляет щитовидную железу создавать тироксин и трийодтиронин. Некоторые гормоны гипофиза оказывают непосредственный эффект, например, соматотропный гормон (СТГ), отвечающий за процессы роста и физического развития ребенка.
Недостаток или избыток гормонов гипофиза неизбежно приводит к тяжелым заболеваниям.

Недостаток гормонов гипофиза
Недостаток гормонов гипофиза приводит:
- К вторичному недостатку гормонов других эндокринных желез, например к вторичному гипотиреозу — дефициту гормонов щитовидной железы.
- Кроме того, нехватка самих гормонов гипофиза вызывает тяжелые физические нарушения. Так, дефицит соматотропного гормона (СТГ) в детстве приводит к карликовости.
- Несахарный диабет — при недостатке антидиуретического гормона (АДГ вырабатывается в гипоталамусе, затем поступает в гипофиз, откуда выделяется в кровь)
- * Гипопитуитаризм** — недостаток всех гормонов гипофиза - у детей может проявляться задержкой полового развития, а у взрослых — половыми расстройствами. В целом, гипопитуитаризм ведет к тяжелым нарушениям обмена веществ, которые затрагивают все системы организма.
Избыток гормонов гипофиза
Избыток гормонов гипофиза дает яркую клиническую картину, причем проявления болезни сильно отличаются в зависимости от того, какой или какие гормоны превышают норму.
При переизбытке гормонов гипофиза:
- Высокий уровень пролактина (* гиперпролактинемия**) у женщин проявляется нарушением менструального цикла, бесплодием, лактацией (набуханием молочных желез и секрецией молока). У мужчин гиперпролактинемия ведет к снижению полового влечения, импотенции.
- Избыток соматотропного гормона (СТГ) дал миру великанов. Если заболевание начинается в раннем возрасте, то возникает гигантизм , если в зрелом - акромегалия. Согласно Книге рекордов Гинесса, самым высоким мужчиной был Роберт Першинг Уодлоу, родившийся в 1918 году в США. Его рост составлял 272 сантиметра (размах рук 288 сантиметров). Однако, по данным отечественной книги рекордов Диво, самым высоким в мировой истории был российский гражданин Федор Махов. Его рост составлял 2 метра 85 сантиметров при весе 182 килограмма. При акромегалии у больного утолщаются кисти рук и ступней, черты лица становятся крупными, увеличиваются внутренние органы. Это сопровождается нарушениями работы сердца, неврологическими расстройствами.
- Повышение уровня адренокортикотропного гормона (АКТГ) приводит к болезни Иценко-Кушинга. Это тяжелое заболевание проявляется остеопорозом, повышением артериального давления, развитием сахарного диабета, психическими нарушениями. Болезнь сопровождается характерными изменениями внешности: похуданием ног и рук, ожирением в области живота, плеч, а также лица.
Причины
Чтобы понять причины заболеваний гипофиза, необходимо помнить, что он является частью головного мозга. Над ним проходят зрительные нервы, с боковых сторон — крупные мозговые сосуды и глазодвигательные нервы.
Причиной избытка гормонов гипофиза в большинстве случаев является опухоль самого гипофиза — аденома. При этом повышается уровень того гормона или гормонов, которые производят клетки аденомы, тогда как уровень всех остальных гормонов может значительно снижаться из-за сдавления оставшейся части гипофиза. Растущая аденома опасна еще и тем, что сдавливает расположенные рядом зрительные нервы, сосуды и структуры мозга. Практически у всех больных с аденомой бывают головные боли, часто встречаются зрительные расстройства.

Аденома гипофиза. Изображение: Medicine / ResearchGate (Creative Commons Attribution-NoDerivatives 4.0 license)
Причинами дефицита гормонов гипофиза могут быть:
- дефекты кровоснабжения,
- кровоизлияние,
- врожденное недоразвитие гипофиза,
- менингит или энцефалит,
- сдавление гипофиза опухолью,
- черепно-мозговая травма,
- некоторые лекарства,
- облучение,
- хирургическое вмешательство.
Диагностика заболеваний гипофиза
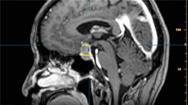
Диагностикой и лечением заболеваний гипофиза занимается врач-эндокринолог. При первом обращении врач соберет анамнез (жалобы, информацию о перенесенных заболеваниях и наследственной предрасположенности) и на основании этого назначит необходимое исследование гормонального профиля (анализ крови на гормоны), тест с тиролиберином, тест с синактеном и т.д. При необходимости может быть назначена компьютерная томография головного мозга, магнитно-резонансная томография головного мозга и др.

Фото: imagepointfr / Depositphotos
Лечение заболеваний гипофиза
Лечение заболеваний гипофиза направлено на нормализацию уровня гормонов в крови, а в случае аденомы — уменьшение давления опухоли на окружающие структуры мозга. При недостатке гормонов гипофиза применяется заместительная гормональная терапия: человеку дают лекарства-аналоги нужных гормонов. Такое лечение часто длится пожизненно. К счастью, опухоли гипофиза крайне редко бывают злокачественными. Тем не менее, их лечение — трудная задача для врача.
Гипофиз: что это и месторасположение железы

Гипофиз – это одна из желез организма, входящая в список органов внутренней секреции и отвечающая за своевременную выработку гормонов. Он небольшой по размеру, но выполняет функцию центра эндокринного отдела.
Месторасположение железы
Орган локализуется в нижнем мозговом отделе, относится к его отросткам. Гипофиз базируется в центре черепной коробки, выше него находится гипоталамус. Придаток размещен в углублении клиновидной кости, в большинстве случаев он полностью его заполняет, иногда – только половину объема. При гипертрофических изменениях орган может выходить за пределы костного кармана.
По размерам железа небольшая:
в высоту – 3-8 мм;
ширину – 10-16 мм;
вес – не превышает 1 г.
С задней, нижней и передней стороны гипофиз защищен костными структурами, сверху укрыт диафрагмой с отверстием. Через него проходит ножка, соединяющая железу с гипоталамусом.
Структурно-физиологические особенности
У органа овальная форма, в структуре выделяется две неравномерные доли: задняя и передняя. Существует и средняя, вставочная часть, в которой происходит продуцирование бета-меланоцитостимулирующего гормона.
Специалисты выделяют две основные доли органа:
Является передней долей нижнего мозгового придатка, включает три четверти всего объема гипофиза. В структуре органа находятся железистые клетки, отвечающие за выработку тропных гормональных веществ. Гормоны предназначены для контроля над активностью эндокринных желез, расположенных на периферии.
Передняя доля дополнительно оснащена нулевыми клетками, не принимающими участие в продуцировании гормональных веществ. Исследования не смогли определить их функцию до конца.
Является задней частью гипофиза, не предназначена для продуцирования гормонов. В основе ее функциональности лежит накапливание нейропептидов, синтезируемые гипоталамусом. В органе происходит активация вазопрессина и окситоцина, после завершения процесса элементы перенаправляются в кровяное русло.
Характеристики гормонов
Основная секреторная функция гипофиза приходится на переднюю часть железы – аденогипофиз. Отдел занимается выработкой гормональных веществ, используемых организмом для влияния на органы или ткани, регулирования их работы.
Особенности гормонов передней части железы представлены следующими характеристиками:
За усиление синтеза белка, образование глюкозы и распад липидов отвечает гормон роста. Соматотропное вещество используется для регулирования физического развития, он оказывает влияние на формы тела, стимулирует развитие мышц, снижает процентное содержание жировых тканей.
Контроль за ростом щитовидной железы отдан тиреотропному гормону. Элемент применяется для секреции тиреоидных элементов: Т4, Т3.
За нормальную функциональность яичников у женщин и яичек у мужчин отвечает гонадотропный гормон. Он необходим для нормального протекания овуляции, выработки мужских половых клеток, с его помощью синтезируется эстроген, тестостерон, прогестерон.
Нормализация функций надпочечников, выработка кортизола и иных активных компонентов лежит на адренокортикотропном гормоне.
За продуцирование молока при лактации отвечает пролактин или лактотропный гормон.
При помощи передней доли гипофиза в организме появляются и другие элементы, представленные эндорфинами, энкефалинами, бета-меланоцитостимулирующими веществами. Последние используются для изменения оттенка кожного покрова под влиянием ультрафиолетовых лучей.
Задняя доля нижнего придатка мозга вырабатывает собственные компоненты, представленные:
Окситоцином – отвечает за сокращение мышечных тканей матки во время родовой деятельности, мышц в области протоков молочной железы. В последнем случае наблюдается выделение молока и перемещение его в район сосков. Считается, что элемент вызывает доверие, спокойствие и ощущение привязанности у женщин и мужчин.
Вазопрессином – ингредиент используется для контроля над чувством жажды, он помогает организму отслеживать количество выводимой урины через почки. Элемент стабилизирует водный баланс на клеточном уровне.
Оба указанных гормона вырабатываются гипоталамусом. При попадании в нейрогипофиз они изменяются, а после высвобождения перенаправляются к определенному органу-мишени.
Признаки дисфункции гипофиза
При изменении работы железы происходит увеличение или уменьшение количеств поступающих в кровоток гормональных веществ. Первые симптомы неработоспособности определяются через 1,5-2 месяца от начала неполадок и проявляются:
дискомфортом в шейной области и районе головы;
сухой кожей с трещинами;
снижением полового влечения;
нарушениями в менструациях;
Клинические признаки нарушений могут встречаться у беременных, но это не входит в список патологий. Каждый случай дисфункции гипофиза из 10 известных связан с формированием опухолевидного процесса и разрастанием тканей. Параллельно с основными симптомами регистрируется возникновение цефалгий, кратковременных обмороков, падение остроты зрения.
Появление нестандартных клинических проявлений требует срочного визита в участковую поликлинику и прохождения полного лабораторно-диагностического обследования. Предположительный диагноз подтверждается увеличенным или уменьшенным количеством вырабатываемых гормонов, восстановление работоспособности органа требует длительной терапии.
Все представленные на сайте материалы предназначены исключительно для образовательных целей и не предназначены для медицинских консультаций, диагностики или лечения. Администрация сайта, редакторы и авторы статей не несут ответственности за любые последствия и убытки, которые могут возникнуть при использовании материалов сайта.
Гипофиз
Гипофиз представляет собой железу размером с горошину, расположенную внутри костной структуры (турецкого седла) у основания головного мозга. Турецкое седло защищает гипофиз, но оставляет очень мало места для его расширения. Гипофиз контролирует функцию большинства других желез внутренней секреции, поэтому его иногда называют главной железой. В свою очередь, гипофиз в значительной степени контролируется гипоталамусом, областью мозга, которая находится чуть выше гипофиза. Определяя уровни гормонов, вырабатываемых железами, находящимися под контролем гипофиза (железами-мишенями), гипоталамус или гипофиз могут определить, какая стимуляция требуется железам-мишеням. Гипофиз состоит из двух отдельных частей: передняя доля, на долю которой приходится 80% веса гипофиза и задняя (задняя) доля. Доли соединены с гипоталамусом ножкой, содержащей кровеносные сосуды и отростки нервных клеток (нервные волокна или аксоны). Гипоталамус контролирует переднюю долю, высвобождая гормоны через соединительные кровеносные сосуды. Он контролирует заднюю долю с помощью нервных импульсов.
Гормоны, вырабатываемые гипофизом, не все вырабатываются непрерывно. Большинство из них высвобождаются вспышками каждые 1–3 часа с чередующимися периодами активности и бездействия. Некоторые из гормонов, такие как адренокортикотропный гормон ( АСTH ), гормон роста и пролактин, следуют циркадному ритму: уровни повышаются и снижаются предсказуемо в течение дня, обычно достигая пика непосредственно перед пробуждением и падая до минимума непосредственно перед сном. Уровни других гормонов варьируются в зависимости от других факторов. Например, у женщин уровень лютеинизирующего гормона и фолликулостимулирующего гормона, контролирующих репродуктивную функцию, изменяется в течение менструального цикла.
Передняя доля гипофиза вырабатывает и высвобождает (секретирует) шесть основных гормонов:
Адренокортикотропный гормон ( АКТГ ), также называемый кортикотропином , стимулирует надпочечники к выработке кортизола и других гормонов.
Фолликулостимулирующий гормон и лютеинизирующий гормон (гонадотропины), которые стимулируют яички к выработке спермы, яичники к выработке яйцеклеток и половые органы к выработке половых гормонов ( тестостерон и эстроген ) .
Гормон роста, который регулирует рост и физическое развитие и оказывает важное влияние на форму тела, стимулируя формирование мышц и уменьшая жировую ткань.
Пролактин, который стимулирует молочные железы груди производить молоко
Тиреотропный гормон, который стимулирует щитовидную железу вырабатывать гормоны щитовидной железы.
Передняя доля также вырабатывает несколько других гормонов, в том числе тот, который вызывает потемнение кожи (гормон, стимулирующий бета-меланоциты), и те, которые подавляют болевые ощущения (энкефалины и эндорфины) и помогают контролировать иммунную систему (эндорфины).
Задняя доля гипофиза вырабатывает только два гормона:
Вазопрессин (также называемый антидиуретическим гормоном) регулирует количество воды, выделяемой почками, и поэтому важен для поддержания водного баланса в организме .
Окситоцин заставляет матку сокращаться во время родов и сразу после родов, чтобы предотвратить чрезмерное кровотечение. Окситоцин также стимулирует сокращения молочных протоков в молочной железе, которые перемещают молоко к соску (приток) у кормящих женщин. Окситоцин играет дополнительную роль как у мужчин, так и у женщин.
Патология гипофиза
Гипофиз может работать со сбоями по нескольким причинам, обычно в результате развития доброкачественной опухоли (аденомы). Опухоль может избыточно продуцировать один или несколько гормонов гипофиза или опухоль может давить на нормальные клетки гипофиза, вызывая недостаточное производство одного или нескольких гормонов гипофиза. Опухоль также может вызывать увеличение гипофиза с нарушением или без нарушения выработки гормонов. Иногда наблюдается перепроизводство одного гормона опухолью гипофиза и одновременно недопродукция другого из-за давления.
Синдром пустого турецкого седла
У людей с синдромом пустого турецкого седла имеется дефект тканевого барьера, который в норме удерживает спинномозговую жидкость вокруг головного мозга отдельно от турецкого седла. В результате спинномозговая жидкость оказывает повышенное давление на гипофиз и стенки турецкого седла. Турецкое седло может увеличиваться, а гипофиз может уменьшаться, в результате чего седло кажется пустым при визуализирующих исследованиях.Синдром пустого турецкого седла чаще всего возникает у женщин среднего возраста с избыточной массой тела и повышенным артериальным давлением. Реже это состояние возникает после операции на гипофизе, лучевой терапии или инфаркта (смерти) опухоли гипофиза.
Синдром пустого турецкого седла может вообще не вызывать симптомов и редко вызывает серьезные симптомы. Около половины пострадавших страдают головными болями, а у некоторых также наблюдается высокое кровяное давление. В редких случаях наблюдается подтекание ликвора из носа или проблемы со зрением.
Перепроизводство гормонов гипофиза вызывает нарушения, в том числе
Акромегалия или гигантизм : Гормон роста
Болезнь Кушинга : адренокортикотропный гормон ( АКТГ ),
Галакторея (выделение грудного молока мужчинами или женщинами, когда последние не беременны): пролактин
Эректильная дисфункция : пролактин
Бесплодие (особенно у женщин): пролактин
Недостаточная продукция гормонов гипофиза вызывает нарушения, в том числе
Центральный несахарный диабет : вазопрессин
Гипопитуитаризм : множество гормонов
Можно диагностировать нарушение функции гипофиза с помощью нескольких тестов. Визуализирующие исследования, такие как компьютерная томография (КТ) или магнитно-резонансная томография (МРТ), могут показать, увеличился ли гипофиз (например, при наличии опухоли гипофиза ) или уменьшился (например, при гипопитуитаризме ). Такие тесты обычно могут определить, существует ли опухоль в железе. Врачи могут измерить уровень гормонов гипофиза, обычно с помощью простого анализа крови. Врачи выбирают, какие уровни гормонов гипофиза они хотят измерить, в зависимости от симптомов человека. Иногда уровни гипофизарных гормонов трудно интерпретировать, потому что уровни сильно меняются в течение дня и в зависимости от потребностей организма. Для этих гормонов измерение случайного образца крови не дает полезной информации. Для некоторых из этих гормонов врачи назначают вещество, которое обычно влияет на выработку гормонов, а затем измеряют уровень гормона. Например, если вводить инсулин , уровни АCTH , гормона роста и пролактина должны повышаться. Вместо непосредственного измерения уровня гормона роста врачи часто измеряют другой гормон, инсулиноподобный фактор роста 1 (IFG-1). Гормон роста вырабатывается вспышками, и его уровень быстро падает, но уровень IFG-1 отражает общую суточную выработку гормона роста. По всем этим причинам интерпретация результатов анализа крови на гормоны гипофиза сложна.
Читайте также:
