Хронический сфеноидит. Доброкачественные опухоли полости носа и пазух
Добавил пользователь Евгений Кузнецов Обновлено: 27.01.2026
Существует множество клинических состояний, уточнить характер и распространение которых помогает МРТ. Для начала стоит сказать несколько слов о вариантах развития, из которых наиболее распространенными являются гипоплазии и аплазии пазух.Гипоплазия лобной пазухи Особого внимания заслуживает такой вариант развития, как избыточная пневматизация клиновидной пазухи и задних решетчатых клеток в виде развитых верхних латеральных карманов, при наличии которых внутренние сонные артерии и каналы зрительных нервов могут вдаваться в их просвет. В результате при воспалительных процессах слизистых оболочек этих отделов /в том числе подострых и хронических/ может развиваться клиническая картина прогрессирующей атрофии зрительных нервов. Кроме этого при проведении оперативных вмешательств в данной анатомической области во много раз повышается опасность повреждения сонных артерий и зрительных нервов.Развитые верхнелатеральные карманы, на фоне которых определяются зрительные нервы Воспалительные изме
МРТ при заболеваниях придаточных околоносовых пазух
Существует множество клинических состояний, уточнить характер и распространение которых помогает МРТ.
Для начала стоит сказать несколько слов о вариантах развития, из которых наиболее распространенными являются гипоплазии и аплазии пазух.
Гипоплазия лобной пазухи
Особого внимания заслуживает такой вариант развития, как избыточная пневматизация клиновидной пазухи и задних решетчатых клеток в виде развитых верхних латеральных карманов, при наличии которых внутренние сонные артерии и каналы зрительных нервов могут вдаваться в их просвет. В результате при воспалительных процессах слизистых оболочек этих отделов /в том числе подострых и хронических/ может развиваться клиническая картина прогрессирующей атрофии зрительных нервов. Кроме этого при проведении оперативных вмешательств в данной анатомической области во много раз повышается опасность повреждения сонных артерий и зрительных нервов.
Развитые верхнелатеральные карманы, на фоне которых определяются зрительные нервы
Воспалительные изменения околоносовых синусов являются наиболее распространенными заболеваними верхних дыхательных путей. От 5 до 15 % населения в мире страдает различными видами синуситов. Кроме того отмечается тенденция увеличения хронических форм.
Лицевая боль при синусите локализуется в проекции пораженной пазухи. При фронтите и гайморите помимо боли отмечается болезненность при пальпации. Этмоидит и сфеноидит характеризуются постоянной болью в глазу и носу и заложенностью носа. Особенно трудна диагностика хронического синусита. При мукоцеле и опухолях наблюдаются отек и смещение глазного яблока: вверх – при поражении верхнечелюстной пазухи, наружу - при поражении решетчатого лабиринта и вниз – при поражении лобной пазухи.
Рассмотрим примеры патологии придаточных пазух носа, выявляемые при МР-исследовании.
Отек слизистой оболочки правой верхнечелюстной пазухи с уровнем жидкости
МР картина полисинусита с тотальным нарушением пневматизации ячеек решетчатой кости, умеренным, местами неравномерным, локальным нарушение пневматизации правой половины основной пазухи и верхних отделов левой верхнечелюстной пазухи, без экссудативного компонента.
Хронический риносинусит
характеризуется пристеночными утолщениями, обусловленными гиперплазией слизистой и частичными фиброзными изменениями в ней. Толщина слизистой оболочки колеблется в пределах 4-5 мм.
Синоназальный полипоз, гипертрофический синоназальный риносинусит. Неопухолевый воспалительный отек слизистой.
Микозные синуситы
В последнее время отмечается рост количества грибковых синуситов.
Хронические формы протекают под маской полипозного рецидивирующего синусита, МР-картина неспецифична, лабораторная диагностика затруднена.
Может отмечаться изменение костных стенок пазух за счет гиперостоза или разрушения стенки пазухи как результат длительного давления грибкового тела.
Мицетома
неинвазивный грибковый синусит левой верхнечелюстной пазухи
Гипоинтенсивный МР-сигнал мицетомы можно ошибочно принять за воздух в околоносовой пазухе; неинвазивный грибковый синусит не выглядит одинаково в разных последовательностях.
Кисты верхнечелюстных пазух
При больших размерах вызывают головную боль из-за давления оболочки кисты на стенки пазухи.
Часто сочетаются с аллергическим ринитом, гипертрофией носовых раковин и искривлением носовой перегородки
Бессимптомными могут быть крупные кисты, находящиеся в нижних отделах верхнечелюстной пазухи, тогда как небольшая киста, расположенная на верхней стенке, в области прохождения 2-й ветви тройничного нерва, может вызывать головную боль.
Мукоцеле решетчатого лабиринта и лобной пазухи справа
Это объемное образование околоносовой пазухи, выстланное эпителием и заполненное слизью, которое формируется в результате обструкции основного канала пазухи.
Наиболее типичный симптом: расширение околоносовой пазухи с ровными четкими контурами с истончением и ремоделированием прилежащей костной пластинки.
Доброкачественные опухоли придаточных пазух
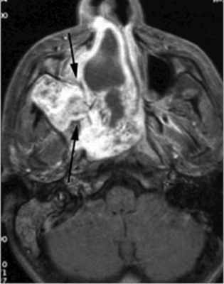
Ангиофиброма
Доброкачественное сосудистое объемное образование с медленно агрессивным ростом; локализуется в полости носа; растет вокруг задней стенки полости носа, по краям крыловидно-нёбного отверстия; на ранних стадиях пенетрирует в крыловидно-нёбную ямку (стрелки), прорастает медиальную крыловидную пластинку

Переходно-клеточная папиллома
редкая, но характерная для полости носа и его синусов доброкачественная опухоль. Чаще встречается у мужчин. Как правило, она возникает на боковой стенке полости носа, а также в околоносовых пазухах. Из полости носа опухоль может врастать в околоносовую пазуху и наоборот. Пациенты обычно жалуются на заложенность носа, выделения, носовые кровотечения, боль в области лицевого нерва. Иногда в зоне опухолевого роста происходит разрушение костной ткани.
Переходно-клеточная папиллома с ремоделированием костных стенок

Образование в центре среднего носового хода, накапливающее контрастное вещество, распространяется в верхнечелюстную пазуху и/или ячейки лабиринта решетчатой кости
Злокачественные опухоли придаточных пазух
1. протекают длительно бессимптомно, под видом воспалительных изменений, особенно при отсутствии деструкции стенок
2. быстро распространяются на соседние структуры и к моменту распознавания, инфильтрируют несколько областей
3. трудно или невозможно установить исходное место возникновения опухоли
4. крайне редко метастазируют в отдаленные органы и ткани
5. не удается четко обозначить границы поражения
6. МР-семиотика: тканевое образование, распространение на окружающие ткани, костная деструкция
При поражении костных структур - твердого неба и альвеолярного отростка верхней челюсти необходимо пройти дополнительное лучевое исследование - РКТ, уточняющее наличие или отсутствие костной деструкции.
Выявление ткани опухоли на фоне мягкотканых структур - крылонебной и подвисочной ямок, жевательных мышц, мягких тканей щеки, а также распространение опухоли на лобную и клиновидную пазухи, решетчатый лабиринт интракраниально требует выполнения МРТ (с контрастным усилением). Кроме того, МР-томография незаменима в дифференциальной диагностике послеоперационных или постлучевых изменений с рецидивом или продолженным ростом.
Таким образом, чтобы исключить патологический процесс и вовремя начать лечение, необходимо пройти полное лучевое обследование.
Хронический сфеноидит. Доброкачественные опухоли полости носа и пазух
Хронический сфеноидит. Доброкачественные опухоли полости носа и пазух
Хроническое воспаление основной пазухи встречается нередко и главным образом при полипозных паисинуитах с одновременным полипозом полости носа.
Затемнение основных пазух, чаще двустороннее, имеет преимущественно равномерный интенсивный характер. Для уточнения вопроса о стороне поражения и об анатомическом строении пазух дополнительно к боковому снимку всегда следует производить передний или задний аксиальный снимок.
Томография и коптрастное исследование являются ценными дополнительными методами рентгенологического исследования при хроническом сфеноидите. Очень редко удается обнаружить на рентгенограмме основных пазух тень, типичную для кисты, с характерным полукруглым внешним контуром; кисты эти, по-видимому, встречаются значительно реже, чем в гайморовых пазухах.
Доброкачественные опухоли полости носа и пазух
Разрастание полипов в полости носа иногда ведет к растяжению ее, резкому истончению стенок и костных элементов перегородки и носовых раковин. Эти изменения могут быть легко обнаружены с помощью рентгенографии в лобно-носовой и подбородочно-носовой проекциях, а также снимками костей носа и в особенности томографией.
При первых двух проекциях определяется значительное увеличение поперечных размеров грушевидного отверстия и истончение теневых линейных контуров полости носа и перегородки. Сама полость носа представляется гомогенно и совершенно бесструктурно затемненной вследствие полной атрофии костных элементов раковин и закрытия носовых ходов полипами.

На фоне гомогенной тени полости носа можно отчетливо различить тень мягких тканей основания носа и овальные просветления отверстий ноздрей.
В одном из наших наблюдений необычайно резко выраженного полипоза носа границы грушевидного отверстия были настолько расширены, что в основании достигали почти середины гайморовых пазух; лобные отростки верхней челюсти в виде вертикально идущих линий проецировались на внутренние части орбит и находились на 4—6 мм кнаружи от линий их внутренних стенок.
Специальный боковой снимок носа, который в таких случаях рекомендуется производить, указывал также на столь резкую атрофию носовых костей, что сквозь едва различимую тень их можно было видеть почти изолированное изображение век и переднего отрезка глазного яблока.
Рентгенологическое исследование при двустороннем полипозе полости носа, почти как правило, обнаруживает затемнение всех придаточных пазух его, включая основные. При операциях на пазухах в них часто обнаруживаются полипы. Случаи выраженного одностороннего полипоза носа при неизмененной слизистой оболочке другой половины полости наблюдаются очень редко.
Они могут дать повод к ошибочпому диагнозу злокачественной опухоли полости носа по симптому гомогенного бесструктурного затемнения на рентгенограмме.
Солитарные, хоанальные полипы, достигающие иногда больших размеров, могут быть хорошо видимы па рентгенограмме в передней аксиальной проекции. Правильная округлая или овальная форма, а также четкие, ровные контуры тени солитарного полипа являются признаком, отличающим его от злокачественного новообразования.
Информация на сайте подлежит консультации лечащим врачом и не заменяет очной консультации с ним.
См. подробнее в пользовательском соглашении.
Сфеноидит
Сфеноидит – это воспалительное поражение слизистой оболочки, выстилающей изнутри клиновидную пазуху носа.
Компьютерная конусно-лучевая томография придаточных пазух носа
Компьютерная томография придаточных пазух носа
Прием (осмотр, консультация) врача-оториноларинголога первичный
Прием (осмотр, консультация) врача-оториноларинголога повторный
Рентгенография придаточных пазух носа
Ультразвуковое исследование придаточных пазух носа
Клиновидная пазуха изнутри разделена перегородкой, которая делит ее на 2 части, поэтому выделяют:
- Одностороннее поражение: левосторонний сфеноидит или правосторонний сфеноидит.
- Двухстороннее поражение.
В зависимости от выраженности воспалительных изменений в пазухе выделяют следующие виды сфеноидита:
- Катаральный сфеноидит – начальная форма воспаления, при которой присутствует только отечность слизистой оболочки и ее инфильтрация лейкоцитами при бактериальной природе заболевания или лимфоцитами – при вирусной.
- Экссудативный сфеноидит – это следующая стадия острого воспаления, когда помимо описанных изменений, имеется еще и воспалительный секрет в полости пазухи (экссудат). Он образован пропотевшей через межклеточные сосудистые промежутки плазмой.
- Гнойный сфеноидит – чаще всего развивается при бактериальной природе воспаления, когда происходит нагноение воспалительного секрета. Гной – это погибшие лейкоциты и микроорганизмы, отмершие клетки эпителия и экссудат.
- Полипозный сфеноидит – это результат хронического течения заболевания, когда слизистая оболочка клиновидного синуса реагирует на длительное воспаление разрастанием. Она как бы пытается защититься от патогенов, но ничего подобного не происходит. Ситуация только усугубляется, т.к. резко нарушается отток воспалительного секрета в носовую полость.
Причины
Непосредственные причины сфеноидита связаны с инфицированием патогенными микроорганизмами:
- Бактериями;
- Вирусами;
- Грибами.
Поэтому даже простуда может приводить к воспалению клиновидной пазухи. Но не всегда так происходит. Обычно хронический или острый сфеноидит развиваются при наличии фоновых факторов. Это:
- Узость отверстий, через которые пазуха связана с окружающей средой;
- Кистозные полости или полипозные разрастания, которые блокируют выводные протоки;
- Искривленная перегородка носа;
- Наличие чужеродных тел в пазухе, которые туда могут попасть при резком вдохе, если выводные отверстия имеют большой диаметр;
- Добавочные перегородочные разделения в пазухе, нарушающие нормальное выведение секрета;
- Незначительные размеры самой пазухи;
- Наличие опухолей в ней.
Поэтому если выявлен сфеноидит, симптомы которого доставляют человеку огромный дискомфорт, от врача обязательно требуется детально обследовать пациента, чтобы выявить способствующие факторы (полипы, грануляции, кисты, опухоли и т.д.). Их устранение поможет предупредить повторные эпизоды этого заболевания.
Микроорганизмы в пазуху могут попадать различными путями:
- Аэрогенным – при вдыхании воздуха;
- Одонтогенным – из кариозных зубов по кровеносным сосудам.
Также не исключен вариант активации собственной условно-патогенной микрофлоры, которая из носовой или ротовой полости проникает в слизистую клиновидного синуса.
Острый сфеноидит чаще всего вызывают вирусы и бактерии, а хронический сфеноидит – бактерии (кишечная и синегнойная палочка, протей) и грибки. Это обстоятельство врачи учитывают при составлении программы обследования пациента и причинно-значимого лечения.
Согласно результатам эпидемиологических обследований, наиболее частыми возбудителями сфеноидита являются:
- Риновирусы;
- Аденовирусы;
- Вирус гриппа;
- Гемофильная палочка;
- Пневмококк;
- Золотистый стафилококк;
- Кандиды и др.
Симптомы
Клинические признаки сфеноидита зависят от характера течения заболевания, т.е. это хронический сфеноидит или острый. Если это первичное острое воспаление, то на первый план выходят проявления простудного заболевания, поэтому человек даже не догадывается, что развивается поражение клиновидной пазухи. В это время его беспокоят:
- Заложенность носовых ходов, невозможность свободного дыхания;
- Постоянные выделения слизистого или слизисто-гнойного характера;
- Подъем температуры и другие проявления интоксикации, особенно ярко выраженные при вирусной природе простуды (слабость, боли в мышцах и суставах, головная боль и т.д.).
Если врач осмотрит носовые ходы, то он увидит, что они отечные и покрасневшие. На данном этапе никаких других признаков сфеноидита он не увидит. Но если присоединяется бактериальная флора, то симптоматика становится более выраженной, поэтому специалист уже может, даже основываясь на ней, выставить предварительный диагноз. Острый сфеноидит на данном этапе будет проявляться следующими признаками:
- Боли в области затылка, которые усиливаются преимущественно в утреннее время;
- Выраженность боли уже не зависит от приема сосудосуживающих капель, которые эффективны только при изолированном рините;
- Умеренно повышенная температура тела, которая обычно не переходит за отметку 38°С;
- Нарастает заложенность носа, выраженная со стороны воспаленной пазухи ;
- Выделения из носа становятся уже не слизистыми, а гнойными. Но их может и не быть, если блокировано выводное отверстие клиновидной пазухи. В этом случае человека беспокоит мучительная головная боль, которая не купируется даже приемом анальгетиков или уменьшается всего лишь на некоторое время.
Такой сфеноидит у ребенка или взрослого отоларинголог подтверждает при осмотре задней стенки глотки. Если диагноз правомочен, то на ее поверхности определяется умеренное или обильное количество патологических выделений (слизисто-гнойных или гнойных).
Хронический сфеноидит по проявлениям напоминает острый только в период обострения, но при этом симптоматика может быть менее выраженной. В последнее время участились случаи вялотекущего воспаления в клиновидной пазухе, которые протекают без повышения температуры и выраженного болевого синдрома. Заподозрить такой сфеноидит симптомы следующего характера помогают:
- Постоянно или периодически беспокоящие выделения из носовой полости;
- Заложенность носового дыхания, которая может присутствовать только какое-то время или постоянно;
- Дискомфорт в области затылка.
Диагностика
Клинически заподозренный сфеноидит, симптомы которого заставили человека обратиться за медицинской помощью – это показание для детального обследования пациента. Если вы хотите установить точный диагноз и определить причину этого состояния, то обращайтесь в Ниармедик. На это есть 3 веских аргумента:
- Оснащенность новейшим инструментальным оборудование для диагностики и лечения.
- Высокая квалификация врачей, которые регулярно повышают уровень своих медицинских знаний и практических умений, чтобы внедрять самые инновационные методы помощи пациентам, страдающим сфеноидитом.
- Чуткое и внимательное отношение к обратившемуся человеку, которое вселяет ему веру в возможность полного излечения и восстановления полноценной жизни.
Если у врачей центров Ниармедик есть подозрение на сфеноидит, диагностика в обязательном порядке включает проведение:
- Передней и задней риноскопии (соответственно, осмотра передних отделов носовой полости и задних);
- Эндоскопического обследования носовой полости и носоглотки. Для этого используют специальные приборы, оснащенные на конце видеокамерой. Изображение под увеличением выводится на экран, поэтому врач может детально рассмотреть строение этих анатомических образований.
Рентгенография черепа – еще один метод диагностики, который позволяет уточнить, есть или нет сфеноидит. Особенно высока ее диагностическая ценность при экссудативной форме воспаления, когда обнаруживается уровень жидкости в пазухе.
Нередко, особенно при хроническом течении, врачи прибегают к проведению компьютерной томографии. С ее помощью удается послойно оценить строение носа и придаточных его пазух. Главное преимущество этого метода – это возможность определить размер соустий, который влияет на частоту рецидивов заболевания и отражается на тактике лечения.
Сфеноидит, лечение которого предполагает использование противомикробных препаратов, в обязательном порядке предполагает микробиологическое обследование. Оно поможет идентифицировать возбудителя, а также определить его чувствительность к антибиотикам (противогрибковым средствам и т.д.).
Осложнения
Осложнения сфеноидита определяются соседством клиновидной пазухи с важными образованиями, которые могут вторично вовлекаться в воспалительный процесс. Рядом располагаются:
- Сонные артерии и вены;
- Гипофиз – важная эндокринная железа и нервный центр регуляции многих процессов;
- Глазничные нервы;
- Участки головного мозга, расположенные в области основания черепа.
Лечение в Ниармедик
Лечение сфеноидита в Ниармедик проводится с учетом индивидуальный особенностей пациента и характера воспалительного процесса. При остром и обострении хронического заболевания преимущественно показана консервативная терапия, которая включает в себя 3 направления:
- Антибактериальное (при доказанной причинной роли бактерий);
- Противовоспалительное;
- Сосудосуживающее и муколитическое (для создания оттока воспалительной жидкости из пазухи).
Консервативному лечению не подлежит полипозный сфеноидит. Операция направлена на иссечение патологических разрастаний. Врачи Ниармедик используют для ее проведения эндоназальный доступ (через носовые ходы), поэтому она малотравматична и не оставляет видимых следов.
Рак полости носа
«Медицинские физики составляют дозиметрические планы лечения рака, включая и эту локализацию. Из опыта можно судить о том, что заболевание наиболее часто поражает верхнечелюстные пазухи (это происходит у 3 из 4 пациентов), носовая полость поражена опухолевым процессом в 12% всех клинических случаев. Наиболее редко встречается рак клиновидного и лобного синусов, однако даже в таких ситуациях медицинские физики TomoClinic в тандеме с точнейшим оборудованием составляют эффективные дозиметрические планы для лечения рака носа: результативные по отношению к опухоли, но щадящие для остального организма».
Что такое рак полости носа?
Рак полости носа — это новообразование злокачественного характера, которое поражает пазухи носа (верхнечелюстная, клиновидная и лобная). Изнутри полость носа и придаточные пазухи выстланы плоским слоем — слизистой оболочкой, на которой может появиться патология. Опухоль поражает эпителий и формируется из эпителиальной ткани, отличается быстрым и агрессивным ростом. Помимо эпителиального происхождения опухоли рак носовой полости может формироваться из соединительной ткани (саркома) и являться пигментным новообразованием (меланома). В зависимости от строения и анатомии опухоли новообразование может иметь серый, красный или белый оттенок.
Злокачественное новообразование полости носа на последних стадиях склонно к регионарному метастазированию и может быстро расположить свои посевы в организме. Гематогенные метастазы при онкологическом поражении пазух носа не встречаются.
Рак пазух носа составляет около 2% от общего числа онкологических заболеваний. Болезнь чаще поражает особей мужского пола. Пик риска развития рака придаточных пазух носа припадает на 50-55 лет.
Опасность заболевания состоит в тяжелой диагностике, ее сложно заподозрить по внешним признакам. На ранних этапах развития рака носа и околоносовых пазух не возникает ярких симптомов, исходя из которых можно было бы точно заподозрить патологию. Ранняя симптоматика проявляется заложенностью носа и затрудненным дыханием, что легко спутать с сезонными респираторными заболеваниями.
Типы рака пазух носа:
- Плоскоклеточный неороговевающий рак носовой полости.
- Плоскоклеточный ороговевающий рак придаточных пазух носа.
- Мукоэпидермоидный рак.
- Переходноклеточный рак носовой полости.
- Недифференцированный рак.
- Аденокистозный рак придаточных пазух носа.
- Аденокарцинома.
Симптомы рака пазух носа
Симптоматика болезни зависит от места локализации опухоли, структуры и стадии развития. На первичном этапе не возникает ярких причин заподозрить онкологию. Пациенты с хроническим ринитом склонны списывать симптомы на обострение болезни, потому выявление рака на ранней стадии происходит нечасто.
Основными признаками развития рака полости носа являются:
- Заложенность носа, можно утратить ощущение запахов.
- Затрудненное дыхание.
- Не только дышать становится тяжело, но и жевать, глотать.
- Возникновение гнойных сгустков в выделениях из носа.
- Кровотечения из носа (совсем не из-за слабых сосудов).
- Воспаление среднего уха.
- Шум в ушах (иногда одновременный звук в обоих) из-за сдавления.
- Болевые ощущения в зоне придаточных пазух.
- Сильная головная боль, сонное состояние, чувство онемения и боли в области лица.
Развитие злокачественного новообразования в зоне гайморовых пазух провоцирует появление многих признаков. Ощущается дискомфорт в лобной части и ушной зоне, шее и шейных отделах. Может сопровождаться сильной зубной болью, расшатыванием и потерей единиц. Воспалительные процессы, расшатывание зубов, кровеносные течения и слезотечение важно не спутать с другими грозными заболеваниями, представляющими собой настоящую опасность. Наряду с опухолями они могут протекать без осложнений и не требовать такого специального подхода.
Встречается развитие язв на деснах со стороны поражения.
На поздних стадиях развития рака носовой полости происходит распространение опухолевого процесса на челюсть, что провоцирует затруднение с открыванием рта и пережевыванием пищи. Новообразования пазух носа с распространением на челюсти приводит к асимметрии лица и заметным (иногда односторонним) дефектам.
Пределы опухолевого процесса расширяются: сложные поражения глаз встречаются при локализации опухоли в околоносовых пазухах, происходит ухудшение зрительной функции. Отечность век при распространении процесса становится причиной экзофтальма, смещением глаз и резким снижением зрения.
Причины появления рака полости носа:
- Длительный стаж курения, увеличение выкуриваемых сигарет в день; курение повышает риск развития рака полости носа и придаточных пазух наряду с опухолями легких и грудными патологиями.
- Злоупотребление алкоголем и спиртными напитками, плохое питание и другие вредные привычки.
- Хронический ринит, синусит, гайморит, сфеноидит.
- Контакт (постоянный или периодический, близкий или отдаленный) с канцерогенными веществами: условия труда на заводах, сфера автотехники, производство и работа в деревообрабатывающей сфере, вдыхание древесной пыли, мучной пыли, клея, растворителя, работа с производством обуви; к другим менее значительным факторам риска относятся: контакт с клеем, формальдегидом, растворителями, которые используются в производстве мебели.
- Проживание в местах с неблагоприятной экологией.
- Вирус папилломы человека, инфекции.
Особенно опасным является такой фактор, как контакт с канцерогенными веществами. Условия труда, связанные с вдыханием паров никеля, формальдегида, кожевенной пыли усиленно провоцируют развитие рака носа и околоносовых пазух. Носовая полость — часть дыхательных путей, через которые при нормальной работе с воздухом в легкие попадают различные опасные вещества.
Диагностика рака пазух носа
Заподозрить заболевание на ранней стадии возможно лишь при профилактическом осмотре у врачей и во время тщательного медицинского обследования. Первыми заподозрить рак носовой полости может отоларинголог. Помимо жалоб на заложенность носа, сложности с дыханием и слизистых выделений, важно учесть и другие симптомы. Врач проводит комплексный осмотр полости носа. Замеченные опухолевидные уплотнения, изменения цвета слизистой и деформация лица становятся причиной обращения к онкологу. Ряд следующих методов диагностики помогает определить область поражения, выявить распространенность процесса, обнаружить развитие болезни, уточнить стадии/стадирование.
Методы диагностики при раке придаточных пазух носа, которые должны выполняться как можно раньше:
- Риноскопия. Метод исследования носовой полости, который позволяет определить заболевания носоглотки и придаточных пазух. Проводится отоларингологом при помощи зеркал. Также для более отчетливой оценки может быть назначена эндоскопическая риноскопия.
- Фарингоскопия. Исследование назначается с целью определить степень распространения опухолевого процесса на ротовую полость.
- Рентгенография. Обязательное исследование, которое определяет изменение тканей, степень деформации и асимметрии лица.
- МРТ и КТ. Магнитно-резонансная и компьютерная томография являются максимально информативными методами визуализации. Исследования позволяют определить наличие новообразования, структуру и степень распространения. В особых случаях МРТ и КТ могут проводиться с предварительным вводом контрастного вещества для лучшей оценки распространенности опухолевого процесса.
- Фиброскопия. Исследование проводится для детального обследования ротовой полости, а также для взятия образца измененных тканей с целью дальнейшего гистологического исследования.
Кроме перечисленных методов может применяться ультразвуковой метод (УЗИ). При возможности проводится биопсия — это взятие частички (кусочка) опухоли и исследования этого микроскопического материала. Таким образом информативность диагностики можно повышать и, таким образом, расширить представление об опухоли. Биопсия необходима для постановки точного диагноза, однако в данном случае ее выполнение может нести высокую опасность, т.к. она производится в непосредственной близости к артериям и перегородкам. Важность обследования может заключаться в том, что специалист с помощью микроскопа установит, доброкачественный ли процесс происходит в ткани или злокачественный. Данные после взятия кусочка опухоли для микроскопического исследования можно использовать для составления схемы лечения.

Лечение рака полости носа
Для лечения рака пазух носа применяют традиционные противоопухолевые методы: хирургическое вмешательство, химиотерапию и лучевую терапию. Каждый метод может быть назначен как самостоятельный, так и являться частью комбинированной терапии. Подходящий способ лечения и прогноз зависит от типа рака, локализации, степени поражения и общего состояния пациента.
Химиотерапия — один из методов лечения рака носа и околоносовых пазух, который предусматривает ввод медицинских препаратов, влияющих на замедление роста опухоли. Чаще используется в комплексе с хирургическим вмешательством или радиотерапией. Самостоятельно химиотерапия применяется при неоперабельных формах рака в качестве паллиативной терапии. Использование препаратов для лечения может проходить в нашем химиотерапевтическом отделении клиники.
Хирургическое вмешательство предусматривает не только полную или частичную резекцию пораженных анатомических структур, но и иссечение лимфатических узлов на шее, иногда полное удаление носовой перегородки. Наиболее часто при хирургическом лечении назначается удаление верхней челюсти, экзентерация глазницы. При прорастании опухоли в ткани черепа операция проводится нейрохирургом с применением стереотаксических систем нейронавигации. Иссечение может быть опасным для зрительных нервов. Также есть близость головного мозга, глаз, полости рта и сонных артерий.
Инновационные решения в TomoClinic
Медицинский центр оснащен современной аппаратурой для лечения и контроля за лечением рака пазух носа. Система TomoTherapy HD и линейный ускоритель Elekta Synergy отличаются максимально прицельным воздействием на опухоль и обеспечивают безопасность для здоровых окружающих тканей.
Лечение лучевой терапией
Лучевая терапия — метод лечения рака пазух носа воздействием пучков ионизирующего излучения на опухоль, который может быть как самостоятельным, так и комбинированным. Прицельное воздействие лучей в ходе облучения оказывает разрушающее действие на опухоль, но при этом не задевает здоровые близлежащие ткани. Лучевая терапия назначается для разрушения раковых клеток и замедления роста опухоли с помощью облучения перед хирургическим вмешательством. Также она проводится в ходе лечения для повреждения и удаления регионарных метастазов, которые были определены при диагностике. ЛТ помогает в очищении организма от оставшихся опухолевых клеток. Облучение может быть применено у больных с плохим общим состоянием.
Осложнения при раке полости носа
При онкологических заболеваниях осложнения характеризуются степенью распространения опухолевого процесса и вовлечением окружающих анатомических структур. От этого в значительной мере будет зависеть восстановление и последующее качество жизни пациента. В редких случаях осложнений может не иметься, необходимо лишь устранение косметических дефектов, работа хирурга с кожей и оболочками.
Наиболее распространенными осложнениями при раке носовой полости являются:
- Нарушение зрения, пучеглазие, одностороннее пучеглазие или ухудшение зрения. На поздних стадиях рак пазух носа прорастает в ткани черепа, мозг и глаза. Патологическое состояние провоцирует нарушение зрения и затрудняет функциональность органов.
- Проблемы с приемом пищи. Разрастание опухоли становится причиной трудностей с открытием рта и жеванием. Это влияет на резкую потерю массы тела и общее истощение.
- Риск рецидива болезни.
- Метастазирование. Рак придаточных пазух носа на поздних стадиях склонен к регионарному метастазированию, поражая лимфатические узлы.
Профилактика рака пазух носа
Основной профилактической мерой является отказ от курения и злоупотребления алкогольными напитками. Не стоит соглашаться на работу, которая предполагает постоянный контакт с канцерогенными веществами.
Пациентам с хроническим ринитом, синуситом и гайморитом необходимо каждые полгода проходить профилактический осмотр у специалистов. Согласно отзывам, ранняя диагностика болезни значительно улучшает шансы на выздоровление.
Цена лечения рака полости носа в TomoClinic
TomoClinic специализируется на лечении всех видов рака. Высококвалифицированные специалисты проведут комплексную диагностику и назначат индивидуальный курс лечения рака носовой полости. Цена лечения в клинике зависит от количества курсов химиотерапии или лучевой терапии. Также на стоимость лечения влияет необходимость госпитализации пациента на период лечения.
Какой врач лечит рак полости носа?
Наиболее часто подозрение на онкологический процесс возникает у отоларинголога во время профилактического осмотра носовой полости больного. Диагностические меры предпринимает врач-онколог, а совершает операции хирург. При распространении опухолевого процесса на кости черепа оперативное вмешательство может проводиться совместно с нейрохирургом. Разработкой плана и проведением реконструирующих операций занимается пластический хирург.
Какие есть методы лечения рака пазух носа?
Для лечения рака придаточных пазух носа могут быть применены хирургическое вмешательство, химиотерапия и лучевая терапия. В зависимости от степени распространения опухолевого процесса, стадии и формы болезни выбирается наиболее подходящий метод лечения. Каждый метод терапии может использоваться самостоятельно или в комплексе.
Протоколы лечения
Для ознакомления с международными протоколами лечения от организаций ESMO и NCCN вы можете пройти по ссылке (зарегистрироваться, скачать PDF-файл) и узнать более детальную информацию о терапии рака носа:
Первый визит в TomoClinic
Выбрав наш центр для диагностики, уточнения или подтверждения диагноза либо уже целенаправленно готовы к лечению, мы предоставим вам всю необходимую информацию, чтобы первый визит к нам прошел максимально результативно.
Комплексная консультация
Мы дадим вам несколько советов, чтобы вы получили максимальную отдачу от приема и консультации специалиста и точно знали, что делать дальше. Только вместе, в партнерстве с вами, мы сможем успешно бороться болезнью.
Обращайтесь в онкологический центр TomoClinic для лечения рака пазух носа, задавайте свои вопросы нашим специалистам по бесплатному номеру 0 (800) 33-45-69. Победим рак вместе!
Остеома лобной пазухи

Остеома лобной пазухи – доброкачественное образование в лобном придаточном синусе носа, состоящее из костной ткани. Причины развития заболевания не установлены. Главным провоцирующим фактором признаны механические повреждения костной ткани в результате травмы. Диагностикой данного заболевания занимается врач-отоларинголог (ЛОР), а к лечению дополнительно может привлекаться нейрохирург.
Для остеомы лобной пазухи характерно благоприятное течение, медленный рост, длительное бессимптомное развитие (от 5 до 27 лет). Несмотря на медленное прогрессирование, опухоль считается агрессивной, поскольку может повреждать костные структуры синусов, блокировать отток секрета и провоцировать осложнения. Чаще заболевание выявляют у мужчин. Новообразование может образоваться еще в подростковом возрасте, а выявиться только спустя десятилетия.
Остеома состоит из плотной костной ткани. В ее составе может преобладать компактное или губчатое вещество. Некоторые опухоли имеют смешанную структуру. Для компактной остеомы характерно наличие костных пластинок, расположенных концентрически и параллельно самой опухоли. В структуре губчатых остеом обнаруживаются костные балки, некоторые из них содержат мозговое вещество. В лобных пазухах могут образовываться гиперпластические костные опухоли (простые или остеоидные остеомы) или гетеропластические, состоящие из соединительнотканных волокон (остеофиты). Обычно выявляют небольшие образования диаметром до 1,5 см. Опухоли более 3 см в диаметре называют гигантскими.
Основными признаками остеомы являются головные боли, зрительные нарушения, хронический синусит. Консервативных методов лечения не существует.
Симптомы остеомы лобной пазухи
Мелкие образования никак себя не проявляют. Возможны периодические головные боли в лобной области, чаще на фоне насморка или ОРВИ. Внешним проявлением может быть образование твердого бугорка в области пазухи (наблюдается при специфическом положении опухоли).
По мере роста образования дренаж пазух нарушается, что проявляется вторичным синуситом. Для него характерна головная боль, насморк и обильные выделения из носа. При увеличении остеомы возникают микроциркуляторные проблемы, затрагивающие близлежащие зоны.
Со временем к основной симптоматике присоединяются зрительные нарушения:
- экзофтальм – выпячивание глазных яблок;
- диплопия – двоения в глазах;
- анизокория – разный диаметра зрачков;
- снижение остроты зрения;
- нарушения при открывании глаз – веко не поднимается или остается полузакрытым.
Растущая остеома может существенного сдавливать нервные корешки, что сопровождается интенсивными болезненными ощущениями. При сдавливании тканей мозга возможно появление судорог, эпилептических приступов, головной боли, сопровождающейся тошнотой и рвотой, нарушений памяти, расстройств сна, резких перемен в поведении. Клинические проявления заболевания зависят от размеров и направления роста остеомы и могут меняться в процессе прогрессирования патологии.
Причины остеомы лобной пазухи
Относительно этиологии заболевания ученые не пришли к единому мнению.
В настоящее время актуальны 2 теория происхождения:
- гипотеза повреждения, согласно которой опухоли костной ткани растут из-за травм);
- гипотеза нарушений эмбриогенеза, согласно которой остеома формируется из тканей надкостницы или эмбрионального хряща.
В качестве потенциальных провоцирующих факторов рассматривают следующие:
- генетическая предрасположенность;
- метапластические изменения в кости;
- нарушения обмена кальция и других веществ в организме;
- инфекционные заболевания;
- системные патологии соединительной ткани.
Получить консультацию
Если у Вас наблюдаются подобные симптомы, советуем записаться на прием к врачу. Своевременная консультация предупредит негативные последствия для вашего здоровья.
Узнать подробности о заболевании, цены на лечение и записаться на консультацию к специалисту Вы можете по телефону:
Читайте также:
