Инфаркт кости: атлас фотографий
Добавил пользователь Владимир З. Обновлено: 26.11.2025
Какой метод диагностики инфаркта кости выбрать: МРТ, КТ, рентген, УЗИ
Методы выбора
Рентгенологические признаки инфаркта кости
- В ранней стадии - остеопения и потеря трабекулярности костной ткани с окружающим склеротическим кольцом
- Участки склероза, образующиеся в зоне некроза кости, и формирование относительно новой костной ткани
- В поздней стадии - неравномерные участки затемнения или кальцинаты (изображение в виде морской гальки, гроздьев винограда, мишени или кольца), обычно расположенные на периферии
- Зона инфаркта кости может иметь длину до 20 см
- При инфаркте в области эпифиза языковидное или клиновидное затемнение распространяется от основания эпифиза на суставную поверхность.
Что покажут снимки КТ кости при инфаркте
- Деструкция трабекул
- Обычно является случайной находкой.
Зачем проводят сцинтиграфию при подозрении на инфаркт кости
- В ранней стадии заболевания - уменьшение накопления радионуклида в месте некроза («холодное пятно»)
- Позднее появляется также увеличение накопления радионуклида (пятно «холодное в горячем»).
Что покажут снимки МРТ кости при инфаркте
- В ранней стадии заболевания - отек (гипоинтенсивный на Т1-взвешенном изображении и гиперинтенсивный на Т2-взвешенном изображении)
- Позднее отграничение вдоль периферии пораженной кости (гипоинтенсивное на Т1 - взвешенном изображении; на Т2-взвешенном изображении - гиперинтенсивная линия по направлению к зоне некроза, соответствует грануляционной ткани)
- Гипоинтенсивная линия по направлению к здоровой кости (склероз, фиброз): признак двойной линии
- Накопление контрастного вещества периферической зоной
- При застарелых инфарктах кости интенсивность сигнала зоны некроза эквивалентна жировой ткани
- Периферическая зона типично извилистая, напоминает гирлянду.

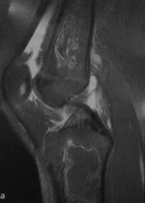
а, b Инфаркт зрелого костного мозга. (а) Сагиттальная протонная плотно-взвешенная МРТ с подавлением МР-сигнала от жировой ткани. Изображение демонстрирует гирляндовидный склеротический край и центральный участок с сигналом жирового костного мозга. Множественные некротические зоны расположены преимущественно в метадиафизальной области, однако несколько находятся непосредственно рядом с суставом, в связи с чем имеется риск уплощения суставных поверхностей;

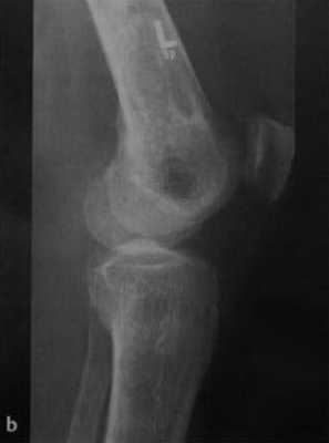
b) Рентгенологическое исследование демонстрирует выраженный склеротический край и центральный участок снижения рентгенопрозрачности в дистальном отделе бедренной кости и в большеберцовой кости. Проксимальный отдел бедренной кости демонстрирует участок частичного грубого склероза, который иногда трудно отличить от энхондромы.
Типичные проявления инфаркта кости
- Обычно протекает бессимптомно
- Редко - нехарактерный локализованный болевой синдром.
Методы лечения
- Обычно не требует лечения
- При подсуставном инфаркте с уплощением суставных поверхностей может быть необходима реконструкция суставных поверхностей.
Течение и прогноз
- Очень редко после инфаркта кости развивается саркома.
Что хотел бы знать лечащий врач
- Размеры
- Расположение
- Проведение дифференциальной диагностики.
Какие заболевания имеют симптомы, схожие с инфарктом кости
Энхондрома
- Дольчатое изображение в виде гроздьев винограда
- Мелкие, точечные или в виде запятой участки (кальцинаты) с уменьшением интенсивности сигнала, разбросанные в центральной части поражения
Хондросаркома
- Высокодифференцированные формы сходны с энхондромой, при сомнении в диагнозе необходимо проведение биопсии
Инфекционный процесс (ранняя стадия)
- Отсутствие реакции надкостницы
- Интенсивность сигнала при МРТ сходна с отеком
- Даже свежий инфаркт нередко четко ограничен и не имеет реакции окружающих тканей
Советы и ошибки
Ошибочная интерпретация заболеваний, представленных в разделе дифференциальной диагностики, и требующих проведения лечения, таких как инфаркт кости.
Инфаркт кости: атлас фотографий
Прогрессирующая оссифицирующая фибродисплазия: атлас фотографий
Прогрессирующая оссифицирующая фибродисплазия (синонимы: прогрессирующая костная гетероплазия, прогрессирующий оссифицирующией миозит, болезнь Мюнхмайера) — это редко аутосомно-доминантное наследственное заболевание, характеризующееся различными пороками развития первых пальцев стоп и прогрессирующей оссификацией крупных скелетных мышц, проводящей к значительной и прогрессирующей инвалидизации пациентов.
Частота заболевания составляет 1:2000000, болезнь распространена повсеместно независимо от расовой, этнической и географической принадлежности. Характерными скелетными изменениями является болезненный отек и фиброзирование мышц, проводящие к их оссификации. Дебют заболевания приходится на возраст от 0 до 15 лет.
Эффективных методов лечения не существует; к возрасту 30 лет пациенты уже обычно прикованы к инвалидному креслу в связи с выраженными контрактурами мягких тканей и ограничением подвижности суставов.
Внешний вид (а) и рентгенограмма (6) стоп 15-летней девушки с типичным укорочением первых лучей, вальгусо-подобной деформацией передних отделов стоп и отсутствием фаланг первых пальцев. Внешний вид (а) и рентгенограмма (б) кистей этой же пациентки: укорочение первых пальцев кистей. Этот порок развития наблюдается непостоянно. Заболевание начинается с оссификации верхних паравертебральных мышц шеи, которые видны при рентгенографии в виде отдельной линии (а, стрелка), в дальнейшем оссификация распространяется от центральной оси тела к периферии, от верхних отделов туловища в каудальном направлении, от проксимальных отделов конечностей к дистальным, также поражаются мышцы в области тазобедренного (б, стрелка) и других крупных суставов. Оссификаты развиваются в сухожилиях, связках, мышцах и соединительной ткани. В пораженной области фиброзированные мышцы постепенно замещаются костной тканью. МР-сканы этой же 15-летней девушки. Виден высокоинтенсивный сигнал, свидетельствующий о текущем патологическом процессе при прогрессирующем оссифицирующем миозите. На фронтальном скане груди (а) и аксиальном скане таза (б) визуализируется высокоинтенсивный сигнал в области межреберных мышц слева, а также наружной запирательной и подвздошно-поясничной мышц справа. В терминальной фазе заболевания наблюдается только оссификация и кальцинация мышц, отек тканей не характерен. Поэтому в терминальной фазе оссифицирующей дисплазии МРТ становится менее информативным исследованием. Четырехлетний мальчик (а, архивное фото). Обратите внимание на изъязвление кожи, вызванное оссификаци-ей мышц спины. Рентгенограммы грудной клетки этого же пациента в боковой (б) и прямой проекциях (в) свидетельствуют о тяжелой деформирующей оссификации мышц живота и спины. Рентгенограмма таза и деформированных тазобедренных суставов этого же пациента в возрасте 25 лет (г). Тот же пациент в возрасте 46 лет (архивное фото).
а) Терминология:
1. Синонимы:
• Остеонекроз, аваскулярный некроз, асептический некроз:
о Термины взаимозаменяемы и все относятся к некрозу кости
о Термин «инфаркт кости» принято применять к очагу, расположенному не субхондрально
2. Определение:
• Гибель костной ткани и костного мозга, вторично вследствие потери кровоснабжения
б) Визуализация:
1. Общая характеристика:
• Лучший диагностический критерий:
о Классический не осложненный инфаркт:
- Серпигинозный или бесформенный склероз на рентгено-граммех
- Признак двойной линии на МРТ
о Широкий ряд других визуализационных признаков, зависящих от процесса заживления и стадии инфаркта
• Локализация:
о Трубчатые кости, зоны метафиза и диафиза
о Реже в плоских костях
(Слева) Рентгенография в боковой проекции: патологические изменения метадиафизарной области, включающие усиленный склероз и очаги точечной кальцификации. Можно предположить э нхондрому или костный инфаркт.
(Справа) Фронтальная Т1 МР-И, этот же случай: серпигинозный В очаг инфаркта кости с низким сигналом, с желтым костным мозгом в центре, точечными очагами низкого сигнала, что соответствует данным рентгенографии. Данные визуализации соответствуют диагнозу инфаркта кости. (Слева) Фронтальная Т2 FS МР-И, этот же случай: серпигинозное кольцо высокого сигнала; низкий сигнал, окружающий высокий сигнал плохо определяется, вследствие насыщения сигнала от жира. Однако он присутствует и это говорит о наличии признака двойной линии, характерного для инфаркта кости.
(Справа) Рентгенография в ПЗ проекции: литическое образование в диафизе бедренной костив. Нет склеротического края и дистрофического обызвествления. В то время, как эти признаки могут представлять собой внутрикостную липому, биопсия подтвердила наличие инфаркта кости. Полностью литическое образование - нехарактерная картина для инфаркта. (Слева) Рентгенография в ПЗ проекции: у пациента с серповидноклеточной анемией наблюдаются диффузные неоднородные участки повышения и понижения интенсивности. Хотя диагностика инфарктов костной ткани нередко основана на наличии серпигинозной кальцификации, они часто представлены как диффузный неоднородный склероз.
(Справа) Сагиттальное Т2ВИ FS МР-И: типичный очаг множественных инфарктов кости с признаком двойной линии. У этого пациента пятнистая лихорадка Скалистых гор, которая может привести к некротизирующему васкулиту, что в свою очередь вызовет инфаркт костной ткани.
2. Рентгенография при инфаркте кости:
• Широкий ряд других визуализационных признаков, зависящих от заживления или дегенерации:
о Первоначальная картина нормальная
о При ранней стадии инфаркта костей пальцев может визуализироваться периостит
о Со временем возможно развитие патологического усиления в различных очагах:
- Очаговый или диффузный склероз
- Серпигинозное дистрофическое обызвествление
о Кистозная дегенерация: нехарактерна:
- Умеренное распространение на вовлеченный участок кости
- Кисты могут приводить к развитию тонкого, склеротического кольца
о Редко развивается саркоматозная дегенерация:
- Изменения от характерных для доброкачественного образования, до признаков высоко агрессивного литического образования с разрушением кортикального слоя и распространением на мягкие ткани
- Как правило, переходит в злокачественную фиброзную гистиоцитому
3. МРТ при инфаркте кости:
• Не осложненный инфаркт кости:
о Признак двойной линии в последовательностях чувствительных к жидкости:
- Наружное кольцо низкого сигнала, как правило, серпиги-нозного характера (демаркационная линия между живой и мертвой тканью кости)
- Внутренний край яркой линии (грануляционная ткань/вос-палительный ответ в процессе излечения)
о Внутренний сигнал различный:
- Как правило, жир (высокий сигнал в Т1 ВИ, умеренно низкий в Т2 ВИ, подавление в последовательностях с подавлением сигнала от жировой ткани)
- 2-я фаза геморрагическая и редко встречается (яркий сигнал и в Т1 ВИ, и в Т2 ВИ последовательностях)
- Следующая фаза -сигнал схожий с отеком (низкий сигнал в Т1 ВИ, высокий в Т2 ВИ)
- С фиброзом и склерозом костного мозга, сигнал низкий и в Т1 ВИ, и в Т2 ВИ последовательностях
• Дистрофическое обызвествление → низкий сигнал во всех последовательностях:
о Может быть серпигинозным или очаговым, точечным
• Кистозная дегенерация: нехарактерна:
о Снижение сигнала в Т1 ВИ
о Гетерогенный яркий сигнал в Т2 ВИ
о На постконтрастном изображении визуализируется кольцо усиления с четким контуром, окружающее низкий сигнал от жидкости
• Трансформация в саркому:
о Очаговые изменения в образовании
о Разрушение кортикального слоя и вовлечение мягких тканей
о Гиперинтенсивное в Т2, гетерогенное
о Постконтрастное усиление и очаги некроза
4. Радионуклидные исследования:
• Остеосцинтиграфия:
о «Холодный» очаг в кости на ранней стадии
о По мере излечения, захват неоднородно повышается
в) Дифференциальная диагностика инфаркта кости:
1. Отек костного мозга:
• При ранних стадиях развития инфаркта без дистрофического обызвествления или признака двойной линии
2. Процесс замещения костного мозга, диффузный или очаговый:
• При ранних стадиях развития инфаркта, без дистрофического обызвествления или признака двойной линии
(Слева) Рентгенография в ПЗ проекции: диффузный неоднородный склероз в метадиафи-зах, распространяющийся на субхондральную зону (пациент принимает стероиды). Хотя на этой рентгенограмме серпигинозные очаги не визуализируются, распространенность и интенсивность указывают на инфаркт кости.
(Справа) Рентгенография в боковой проекции, этот же пациент: умеренные диффузные патологические изменения интенсивности сигнала. (Слева) Сагиттальная Т2 FS МР-И, этот же пациент: визуализируется признак двойной линии и серпигинозный очаг, характерный для инфаркта кости. Инфаркты вовлекают субхондральный участок и метадиафизы, хотя на настоящий момент нет колапса суставной поверхности.
(Справа) Фронтальная Т1 МР-И, этот же случай: инфаркты кости, обширно поражающие обадиа-физа бедренной кости. Этиологический фактор удается установить только в трети случаев инфарктов костной ткани, среди которых частой причиной является постоянное применение стероидов. (Слева) Рентгенография в ПЗ проекции: неоднородный склероз в метафизах большеберцовой и бедренной костей. Очаги не серпигинозные, но являются одним участком патологический ин-тенсивности в очаге костного инфаркта. У этого пациента полимиозит, назначено печение стероидами.
(Справа) Рентгенография в ПЗ проекции: серпигинозная кальцификация в метадиафизах, характерная для инфаркта кости. Дистальнее визуализируется более агрессивное литическое образование, развивающееся из костного инфаркта: подтверждена злокачественная фиброзная гистиоцитома, редкое осложнение инфаркта кости.
г) Патология. Общая характеристика:
• Этиология:
о Сниженный приток крови к кости различной этиологии:
- Эмболический феномен: серповидноклеточная анемия, жировая эмболия
- Повышение давления в костном мозге: стероиды, болезнь Гоше
- Уменьшение размеров сосудов: васкулит
о У многих пациентов нет предрасполагающих факторов и инфаркт считается идиопатическим
д) Клинические особенности:
1. Проявления:
• Типичные симптомы/признаки:
о Как правило, случайная находка при рентгенографии или МРТ
о Может иметь место ноющая боль
о У пациентов с серповидноклеточной анемией может быть интенсивная боль в позвоночнике
2. Течение и прогноз:
• Многие метафизарные и диафизарные инфаркты не изменяются и не имеют последствий
• Может развиться кистозная дегенерация, также без последствий
• Редко происходит дегенерация инфаркта в саркому кости:
о Как правило, в злокачественную фиброзную гистиоцитому
о 60% в области колена
о В трети случаев удается идентифицировать этиологию инфаркта
о Выживаемость без рецидивов около 60% в течение двух лет
3. Лечение:
• Нет лечения для не осложненного инфаркта кости
Инфаркт

Инфаркт – это атрофическое изменение участка миокарда с высоким риском некроза поврежденных тканей и последующим их рубцеванием. Развивается при нарушении кровообращения в сердечной мышце с обтурацией коронарных сосудов тромбом. Представляет собой тяжелую форму ишемической болезни сердца и проявляется жгучей, давящей, колющей болью в области грудины и окружающих структур. Требует экстренной госпитализации с оказанием неотложной помощи.
Причины развития инфаркта
Основные причины инфаркта миокарда – атеросклероз сосудов сердца, повышенная вязкость крови с формированием тромба и спазм венечных артерий. Провоцируют и усугубляют развитие этих причин следующие факторы:
- гормональные нарушения и сбои – климакс, сахарный диабет;
- длительный прием некоторых медикаментов – гормональных препаратов (оральные контрацептивы, кортикостероиды), жирорастворимых витаминов, гемостатиков;
- гипертония;
- курение – вредная привычка вызывает сужение сосудов и кислородное голодание тканей;
- ожирение и нарушение липидного обмена в целом – изменение липидограммы крови в сторону повышения липопротеинов низкой плотности (ЛПНП) приводит к образованию атеросклеротических бляшек и атеросклерозу сосудов, в том числе коронарных;
- малоподвижный образ жизни;
- злоупотребление алкоголем провоцирует ослабление сердечной мышцы;
- частые стрессы и психологическое напряжение на фоне повышенной эмоциональной восприимчивости и ИБС.
Симптомы и признаки инфаркта миокарда
Развитие симптомов зависит от формы инфаркта, его обширности и типа проявлений.
Самое важное для пациента – умение распознать симптомы предынфарктного состояния. Это поможет своевременно среагировать и предпринять спасительные меры.
Первые признаки инфаркта:
- выраженная стенокардия;
- одышка;
- затрудненное дыхание;
- болезненность в животе;
- головная боль;
- неприятные ощущения в области груди – чувство сжатия, давления;
- дискомфорт в верхней части тела;
- ощущение тревожности и сильного беспокойства, бессонница.
Предынфарктная стадия наблюдается в 50% случаев. Длиться она может от 2-3 суток до нескольких недель.
Вслед за ней начинается собственно острый инфаркт миокарда, который состоит из нескольких стадий.
Острейшая стадия инфаркта – проявляется сильной резкой загрудинной болью, которая отдает в шею, руки, под лопатки. Характер боли может быть жгучим, распирающим. К общим прединфарктным симптомам добавляются повышенное потоотделение (пот липкий, холодный), приступы панической атаки, тошнота, рвота, бледность покровов и слизистых, резкие скачки давления, головокружение с потерей сознания.
Острая стадия инфаркта – наиболее опасный и решающий период развития инфаркта, длится несколько суток. В этот период может произойти:
- разрыв сердечной мышцы;
- закупорка коронарного сосуда тромбом;
- нарушение кровообращения мозга.
Повышается температура тела, резко возрастает уровень лейкоцитов.
Подострая стадия инфаркта – начало затихания патологического процесса, может занимать до 1 месяца. В это время необходимо добиться снижения температуры и уровня лейкоцитов до нормальных значений, восстановить кровообращение, запустить процессы регенерации тканей и не допустить развития постинфарктного синдрома.
Постинфарктная стадия инфаркта – завершающий этап развития патологии с периодом активного формирования рубцовой ткани на месте повреждения. Именно на этой стадии следует ждать возможных осложнений. Если все проходит благополучно, состояние пациента быстро приходит в норму.
Внимание! Без должного ухода и репаративной терапии у 35% пациентов в течение 3-х лет может наблюдаться повторный инфаркт.
Формы и типы поражений инфаркта
В зависимости от объема повреждений различают:
- мелкоочаговый инфаркт – поражает небольшой участок миокарда и редко ведет к тяжелым последствиям;
- крупноочаговый инфаркт – симптомы более серьезные, поражение значительной площади сердечной мышцы требует длительного лечения, часто приводит к осложнениям и в течение 6-12 недель может рецидивировать, возможен летальный исход.
С учетом особенностей симптоматики различают:
- ангинозную форму – с выраженной стенокардией и болезненными ощущениями в области горла;
- астматическую форму – с сильной одышкой и загрудиной болью, которые быстро переодят в удушье и сердечную астму. Сопровождается отеком легких, посинением губ, сильным кашлем и хрипами;
- гастралгическую форму – проявляется неспецифической колющей болью во всем животе и напоминает приступ язвенной болезни. Наблюдаются характерные кишечные реакции: тошнота, рвота, отрыжка, вздутие живота, диарея. Как правило, развивается при сильном физическом и психическом истощении;
- церебральную форму – с отсутствием боли в области сердца и общим набором симптомов прединсультного состояния: головные боли, головокружение, тошнота, рвота. онемение или паралич рук, замедленная речь;
- аритмическую форму – с выраженной аритмией и снижением артериального давления; сопровождается кардиогенным шоком, который вызывает снижение сократительной способности миокарда с высоким риском смертельного исхода. Ситуацию усугубляет сложности выявления данной формы с помощью ЭКГ;
- отечную форму – наблюдается обширный отек тканей организма с увеличением печени. Часто развивается у людей с сердечной недостаточностью;
- безболевую форму – когда болезненные ощущения в организме отсутствуют полностью или сильно сглажены;
- малосимптомную форму – может проявляться только выраженной усталостью и сонливостью. Считается самым опасным вариантом инфаркта, так как диагностируется слишком поздно для успешного исхода лечения.
Осложнения инфаркта
Если обструкцию коронарного сосуда вовремя не устранить, участок мышечной ткани отмирает и замещается рубцовой тканью. Это провоцирует развитие целого ряда сердечных патологий:
- аритмия – если при инфаркте миокарда наблюдается повреждение участка проводящей системы сердца, происходит «короткое замыкание» с нарушением сердечного ритма различной степени тяжести;
- сердечная недостаточность – при обширном поражении возникает недостаток мышечной ткани для полноценного сокращения сердца и циркуляции крови; возникают одышка, усталость, отеки;
- патологии работы клапанов – при поражении близрасположенных участков миокарда;
- остановка сердца – при ослаблении мышечной ткани, особенно при повторном инфаркте, возможны разрывы миокарда с мгновенным летальным исходом.
Постинфарктный синдром, или синдром Дресслера – осложнение с аутоиммунным механизмом развития. Возникает на 2-й неделе от начала приступа с частотой 3-4%. Организм начинает воспринимать клетки сердечной мышцы как чужеродные и атакует их, вызывая аутоиммунные плевриты, перикардиты, пневмониты, синовииты с выраженным повышением температуры тела до 39 С и общей слабостью организма. Риск возникновения патологии особенно высок при обширных и повторных инфарктах.
Диагностика инфаркта

Своевременный и грамотный диагноз способен спасти жизнь пациенту. При немедленно начатом лечении есть шанс восстановить функциональную активность сердца даже при обширном поражении.
Внимание! При врачебном опросе очень важно описывать любые субъективные ощущения, даже самые незначительные. Также необходимо предоставить исчерпывающую информацию о своем здоровье в целом.
Основные методы диагностики – инструментальное обследование и лабораторные тесты.
- – график с рабочими характеристиками сердечных структур помогает выявить основную зону инфаркта; определяет частоту и ритм сердцебиения, наличие тромбоэмболий, изменений сердечной мышцы и др; – выявляет сбой сократимости сердечной мышцы и локализацию патологического очага;
- сцинтиграфию миокарда (радиоизотопное исследование) – принцип работы метода в том, что радиоизотопное вещество накапливается в зоне повреждения;
- коронарографию – определяет состояние сосудов сердца и наличие тромбов;
- позитронно-эмиссионную томографию – для выявления участков мышечной ткани с нарушением кровообращения;
- МРТ, КТ – для формирования общей картины структур сердца – размер, состояние камер, наличие гипертрофий, тромбов.
Лабораторные исследования включают общий и биохимический анализ крови, а также тесты с определением кардиоспецифических маркеров – ферментов, которые высвобождаются в кровь при повреждении тканей сердечной мышцы.
- тропониновый тест – наиболее чувствителен при остром процессе, стандарт быстрого выявления некротических изменений в сердечной мышце. Чем выше концентрация, тем больше очаг некрозных изменений. Уровень фермента начинает повышаться через 3-4 часа после приступа и достигает пиковых значений через 48 часов;
- миоглобиновый тест – миоглобин начинает повышаться через 2-3 часа и достигает максимума через 10 часов, его концентрация зависит от пола – у мужчин она при равном объеме поражений будет выше;
- лактатдегидрогеназный тест – определяет уровень ЛДГ-1, который выбрасывается в кровь через 8 часов после приступа и достигает наибольших значений через 3 суток;
- креатинфосфокиназный тест – выявляет МВ-фракцию креатинфосфатокиназы; ее значения повышаются через 4-8 часов, достигая максимума через сутки, но быстро опадают;
- аспартатаминотрансферазный (АСТ) тест – наименее специфичный тест, так как АСТ в больших количествах содержится в других органах и тканях; применяют как дополнительный показатель острого состояния. при котором его уровень может повысится в 5-20 раз от нормы.
Общий и биохимический анализы крови выявляют:
- увеличение уровня лейкоцитов;
- повышение СОЭ;
- «воспалительные» белки – С-белок, фибриноген, гамма-глобулин и др.
Лечение инфаркта
Для получения наилучшего результата, лечение инфаркта миокарда следует начинать как можно скорей. Базовые мероприятия проводят сразу после госпитализации, до окончания основной диагностики:
- устраняют болевой синдром – используют медикаментозную терапию с использованием различного спектра лекарственных средств – начиная от нитроглицерина (подъязычно, внутривенно) и заканчивая инъекциями морфина;
- восстанавливают кровообращение – применяют тромболитики, антикоагулянты, антиагреганты.
Дальнейшая терапия, в зависимости от данных обследования, направлена на предупреждение и устранение аритмий, кардиогенного шока, сердечной недостаточности. Назначают прием антиаритмических средств, спазмолитиков, седативных препаратов, адреноблокаторов и т.п.
Первая помощь при инфаркте
При обнаружении симптомов прединфарктного состояния или свершившегося инфаркта, первое, что следует сделать – вызвать «скорую помощь»:
- 103 – телефон медслужбы;
- 112 – единый номер экстренных служб.
Эти номера действуют как для мобильных, так и для стационарных телефонов.
До прибытия кардиобригады:
- отстраните пострадавлшего от любой физической нагрузки;
- уложите его в постель, слегка приподняв изголовье;
- ослабьте стягивающую одежду – расстегните ворот блузки/рубашки, ремень, снимите узкую обувь;
- постарайтесь успокоить человека – поговорите с ним, дайте выпить воды;
- если нет негативной реакции на аспирин, дайте 1-2 таблетки, чтобы замедлить рост тромба;
- обеспечьте доступ свежего воздуха в помещение – откройте окна, двери;
- контролируйте АД и пульс, дожидаясь приезда «скорой»;
- при потере сознания выполняйте сердечно-легочную реанимацию.
Важно! При высоком АД, если пострадавший принимает нитроглицерин, положите под язык таблетку. Если пациент не сталкивался с этим препаратом, а также при невысоких значениях АД, использование нитроглицерина может сильно «уронить» давление.
Профилактика инфаркта

- коррекция рациона питания – исключите жирные, жареные, копченые, соленые и сладкие блюда; отдавайте предпочтение растительным маслам с высоким содержанием ЛПВП (льняное, горчичное, кедровое), свежей рыбе и морепродуктам, свежим овощам, фруктам, ягодам, орехам и семенам, цельнозерновым крупам, мясу, птице и молочным продуктам с низким процентом жирности;
- поддержание режима физической активности – занимайтесь кардиотренировками, фитнесом, плаванием; практикуйте вечерние прогулки или пробежки, старайтесь почаще бывать на свежем воздухе – это не только способствует сжиганию жиров, но и укрепляет сердечную мышцу, поддерживает сосуды в тонусе;
- откажитесь от вредных привычек;
- старайтесь избегать длительных стрессов и психологических перегрузок;
Периодически отслеживайте показатели липидограммы, уровень сахара, значения артериального давления.
На заметку! Диабет тесно связан с атеросклерозом – там, где имеется одна патология, незримо присутствует тень другой. Поэтому для тех, кто находится в зоне риска, следует утроить внимание за показателями крови.
Асептический некроз головки бедренной кости — инфаркт тазобедренного сустава, аваскулярный некроз
Асептический некроз головки бедренной кости, он же аваскулярный некроз, возникает из-за нарушения кровотока в сосудах, питающих кровью головку бедренной кости. То есть при этом заболевании нарушается кровоснабжение «шарнира» тазобедренного сустава.
В результате, из-за нарушения кровоснабжения, происходит некроз отдельных участков костного мозга головки бедренной кости. По сути, происходит инфаркт тазобедренного сустава.
Симптомы асептического некроза
Болезнь встречается достаточно часто. Мужчины болеют асептическим некрозом примерно в 7 — 8 раз чаще женщин. Причем, в отличие от артроза тазобедренного сустава, асептический некроз часто поражает людей молодого возраста, от 20 до 45 лет: более 2/3 всех случаев.
В 60% случаев от асептического некроза страдает одна нога, и в 40% случаев — сразу обе.
Симптомы асептического некроза практически полностью совпадают с симптомами артроза тазобедренного сустава (коксартроза), одну болезнь очень трудно отличить от другой.
Основной симптом и той, и другой болезни — боль в паху, или боль в бедре, часто отдающая в колено, или ягодицу.
Нередко боль локализуется в крестце с больной стороны.
Важно знать!
В отличие артроза тазобедренного сустава, который развивается медленно, постепенно, асептический некроз чаще всего развивается быстро, в считанные дни.
Довольно часто боли нарастают до максимума и становятся нестерпимыми уже в течение первых двух-трех суток.
В остальном симптомы те же, что и при артрозе тазобедренного сустава:
— Боль в паху, или боли по передней и боковой поверхности бедра, или боль, отдающая в колено. Эти боли чаще всего возникают при наступании на больную ногу, при ходьбе, и при попытке встать со стула или с кровати.
Причем, в отличие от артроза, у многих заболевших боли не проходят до конца даже в полном покое, ломота в ноге может изматывать человека почти всю ночь. Отдых от нее наступает только к рассвету, в 4—5 часов. А при возобновлении нагрузок и ходьбе болевые ощущения сразу заметно усиливаются, боли при этом часто отдают, помимо прочего, в ягодицу или поясницу.
— Хромота при ходьбе.
— Ограничение подвижности больной ноги: заболевшему человеку трудно отвести ногу в сторону, подтянуть ногу к груди; трудно надеть носки или обувь.
Заболевший человек вряд ли сможет сесть на стул «верхом», широко раздвинув ноги — или сделает это с трудом. Причем сильное ограничение подвижности больной ноги при асептическом некрозе появляется очень быстро, в первые же дни болезни, а не развивается постепенно, за несколько месяцев или лет, как это бывает при коксартрозе.
— Атрофия мышц бедра при асептическом некрозе тоже развивается очень быстро, за несколько недель (при коксартрозе заметная атрофия бедренных мышц формируется гораздо дольше — обычно 1—2 года, а то и больше). В результате атрофии мышцы больной ноги как бы усыхают и уменьшаются в объеме, больная нога выглядит явно худее здоровой.
— Укорочение больной ноги. Реже (в 10% случаев) — явное удлинение больной ноги (это более тяжелый вариант болезни).
Укорочение больной ноги особенно заметно, когда пациент лежит на спине. Кроме того, укорочение ноги можно выявить, если положить пациента на живот и свести вместе его пятки. Сразу становится видно, что больная нога короче здоровой.
Важно! Для точности измерения надо следить, чтобы пациент лежал ровно, не перекашивал тело. И помните, что разница в длине ног на полсантиметра-сантиметр считается «физиологической», то есть нормальной, приемлемой. А вот разницу в и больше надо компенсировать: например, можно подложить в обувь укороченной ноги дополнительную стельку.
Видео с гимнастикой для лечения асептического некроза можно посмотреть здесь *
Статья доктора Евдокименко© для книги «Боль в ногах», опубликована в 2004 году.
Отредактирована в 2011г. Все права защищены.
Читайте также:
- МРТ тазобедренного сустава в продольной проекции в норме
- Показания для операции при несостоятельности тотального эндопротеза голеностопного сустава (операции спасения)
- Причины межъядерной офтальмоплегии
- Диета и питание при артрите
- Предвестники внезапной сердечной смерти. Диагностика внезапной сердечной смерти.
