Инородные тела пищевода
Добавил пользователь Евгений Кузнецов Обновлено: 31.10.2025
Статистические данные свидетельствуют, что ежегодно миллионы инородных тел попадают в дыхательные пути и желудочно-кишечный тракт человека. Значительную часть среди таких пациентов составляют дети. Как правило, это происходит в результате неосторожного обращения с мелкими предметами, недосмотра родителей или, в редких случаях, преднамеренно.
За 8 месяцев 2015года в Детскую больницу ГАУЗ «Камский детский медицинский центр» (г. Набережные Челны ) было доставлено 314 пациента с диагнозами: Инородное тело носа. Всем была оказана медицинская помощь на уровне приемного покоя и госпитализация не понадобилась. 9-ти пациентам была проведена бронхоскопия с целью диагностики и удаления инородных тел дыхательных путей. 84 пациента получили стационарную помощь в отделении хирургии с диагнозом: Инородное тело ЖКТ. У 16 детей чужеродные объекты были обнаружены на уровне пищевода, у 21- в желудке и у остальных – в кишечнике. В 37 случаях инородные тела были удалены эндоскопическим способом.
Что же делать и как не растеряться, если Вы и Ваш ребенок попали в такую ситуацию?
Чаще всего инородные тела в дыхательные пути и желудочно-кишечный тракт ребенка попадают случайно. Во время игры они непроизвольно проглатываются, как только ребенок отвлечется и потеряет контроль над предметом, который он держит во рту. Обычно это мелкие вещицы - игрушки или их детали, монеты, пуговицы, магнитики, батарейки. Также это могут быть крупные куски пищи, косточки от фруктов. Часто дети, боясь наказания, скрывают этот факт от родителей, и если у ребенка нет жалоб, инородное тело можно обнаружить очень не скоро или вообще не обнаружить, т.к. в большинстве случаев мелкие предметы выходят в течение 2-3 суток самостоятельно. Как правило ребенок при этом не испытывает каких – либо неприятных ощущений.
Клиническая картина зависит от вида, величины, формы и локализации инородного тела. Чаще симптомы включают: нарушение дыхания, нарушение глотания, боль при глотании, боль в грудной клетке. При крупном инородном теле пищевода, наблюдается обильное слюнотечение и срыгивание, а при закупорке инородным телом дыхательных путей может возникнуть остановка дыхания.
Поэтому, родителям в такой ситуации ни в коем случае нельзя заниматься самостоятельным лечением – промывать желудок, кормить, давать какие-либо медикаментозные препараты. В первую очередь должен решаться вопрос о скорейшей доставке ребенка в стационар; в приемном отделении ребенка должны осмотреть педиатр и хирург, при необходимости проводятся дополнительные обследования: рентгенологическое (но на рентгеновском снимке видны только металлические инородные тела, камни и некоторые виды стекла, а пластмасса, деревянные предметы не определяются ввиду текстуры материала), эндоскопическое или ультразвуковое.
После полного обследования ставится диагноз и определяется уровень нахождения инородного тела, попутно решается вопрос о необходимости госпитализации и экстренного вмешательства.
При инородных телах носа они удаляются довольно быстро и просто. В 99% случаев инородное тело желудочно-кишечного тракта удается удалить эндоскопическим способом, с помощью специального приспособления. Это возможно, если инородное тело находится не ниже двенадцатиперстной кишки. Данную процедуру лучше проводить под общим наркозом. В этом случае ребенок не только ничего не запомнит и безболезненно перенесет процедуру, но и позволит врачу спокойно выполнить свою работу. Извлечение инородного тела происходит с помощью гибкого волоконно-оптического прибора - эндоскопа. Причем через эндоскоп проводится эндоскопическая петля, корзинка или зажим для извлечения инородного тела.
Извлечение острых инородных тел, таких как иголки, булавки и т.д бывает сопряжено с большим риском повреждения целостности желудочно - кишечной стенки. В начале августа в Детской больнице была успешно удалена раскрывшаяся булавка из пищевода маленького пациента.
Если же эндоскопически удалить инородное тело не удалось, выполняется лапароскопическое (через небольшой, обычно 0,5—1,5 см, разрез), либо полостное хирургическое вмешательство, что всегда травматичнее для организма и сопряжено с намного большим числом вероятных осложнений.
Существует еще одна опасность. При длительном нахождении инородного тела в желудочно-кишечном тракте появляется риск возникновения пролежня с последующим повреждение стенки ЖКТ, тянущее за собой ряд осложнений. Как правило, это бывает при проглатывании монет, которые упираются в складки слизистой и надолго остаются в неподвижном состоянии.
На фото представлена рентгенограмма девочки, которой на днях в Детской больнице была удалена монета из пищевода. Состояние пациентки на сегодня удовлетворительное, угрозы для жизни нет.
Профилактика попадания инородного тела в организм ребенка.
Чтобы сократить риск попадания инородного тела в организм ребенка, не стоит оставлять его одного без присмотра, а также выставлять на виду потенциально опасные для ребенка предметы и тем самым провоцировать ребенка. Необходимо убрать в недоступное для малыша место бытовую химию, инструменты, разную мелочь.
Также предельно внимательно стоит подходить к выбору игрушек для ребенка. Их нужно выбирать обязательно с учетом возраста малыша - для самых маленьких подойдут достаточно простые, крупные, яркие, без мелких и легко отламывающихся деталей игрушки. Покупать их нужно только в детских магазинах или специализированных детских отделах. На бирке должен быть указан производитель, материал и возраст ребенка на который она рассчитана.
Ответственность за здоровье детей лежит на родителях.
Порядок выполнения родителями их обязанностей определяются ст.ст.63-65, 137, 152 Семейного кодекса РФ согласно которым, родители несут ответственность за воспитание и развитие своих детей. Родители обязаны заботиться о здоровье, физическом, психическом и духовном развитии своих детей. Родители, осуществляющие родительские права в ущерб правам и интересам детей, несут ответственность в установленном законом порядке.
Инородные тела пищевода
Кафедра оториноларингологии Курского государственного медицинского университета, Курск, Россия, 305005
Кафедра оториноларингологии Курского государственного медицинского университета, Курск, Россия, 305005
ЛОР-кафедра Курского государственного медицинского университета
Кафедра оториноларингологии Курского государственного медицинского университета, Курск, Россия, 305005
Длительное пребывание инородного тела в пищеводе
Журнал: Вестник оториноларингологии. 2016;81(3): 64‑66
Кафедра оториноларингологии Курского государственного медицинского университета, Курск, Россия, 305005
Кафедра оториноларингологии Курского государственного медицинского университета, Курск, Россия, 305005
Кафедра оториноларингологии Курского государственного медицинского университета, Курск, Россия, 305005
ЛОР-кафедра Курского государственного медицинского университета
Кафедра оториноларингологии Курского государственного медицинского университета, Курск, Россия, 305005
Инородные тела пищевода являются частой и опасной по возможным последствиям патологией, встречающейся как в детском возрасте, так и у взрослых [1, 2]. Инородные тела наиболее часто задерживаются в местах физиологических и анатомических сужений пищевода, причем в 60—80% случаев — в первом сужении [3—5]. Длительное нахождение инородного тела в пищеводе может вызвать пролежень, некроз стенки пищевода, его перфорацию, медиастинит. Приводим два наблюдения длительного пребывания инородных тел в пищеводе, закончившихся благоприятным исходом.
Больной Д., 17 лет, житель Железногорска, поступил в ЛОР-отделение 15.02.12. Жалоб не предъявлял. 13.02 во время прохождения комиссии в военкомате ему была назначена рентгенография органов грудной клетки, на которой было обнаружено инородное тело в верхнем отделе пищевода (рис. 1, а).

Рис. 1. Рентгенограмма органов грудной клетки больного Д. (а), инородное тело пищевода (б).
Поскольку инородное тело являлось металлической пластинкой, которой фиксируется пробка шампанского, больной вспомнил, что во время встречи 2011 г. в тот момент, когда он пил кока-колу из стакана, почувствовал кратковременную боль при глотании за грудиной, на которую не обратил внимания; за медицинской помощью не обращался. В последующие месяцы дискомфорта и болей при приеме пищи не отмечал.
С учетом данных рентгенографии 14.02.12 под интубационным наркозом была выполнена фиброэзофагоскопия, однако инородного тела при этом исследовании обнаружить не удалось. Далее была произведена ригидная эзофагоскопия трубкой № 5. Сразу же за входом в пищевод с большим трудом после плотного прижатия тубуса эндоскопа к задней стенке пищевода удалось увидеть край инородного тела, вогнутой поверхностью обращенного кзади, которое было захвачено щипцами. От попытки извлечь инородное тело вместе с трубкой эзофагоскопа пришлось отказаться в связи с тем, что оно было плотно фиксировано к задней стенке пищевода, возникала опасность его разрыва. Однако при движении вниз инородное тело легко отделилось от стенки пищевода, под контролем эзофагоскопа было смещено в желудок, откуда извлечено после выполнения фиброгастроскопии (см. рис. 1, б). Выполнена контрастная рентгенография пищевода, затеков контрастного вещества в клетчатку средостения нет. На следующий день больной выписан домой в удовлетворительном состоянии. Через месяц произведена фиброэзофагоскопия — патологических изменений в пищеводе не выявлено.
Таким образом, металлическая пластинка находилась в пищеводе более года, не проявляясь какой-либо клинической симптоматикой.
Второй случай длительного нахождения инородного тела в пищеводе у ребенка в возрасте 1 года обусловлен неправильной оценкой лечащими врачами клинических проявлений заболевания, а также данных, полученных при рентгенологическом обследовании органов грудной клетки.
Больной Я., 1 год, житель Курска, поступил в ЛОР-отделение 24.12.14 с диагнозом: инородное тело пищевода. Из анамнеза установлено, что ребенок заболел 09.12.14, когда у него появилась высокая температура, беспокойство, одышка; отказывался от приема пищи. Машиной скорой помощи доставлен в инфекционную больницу, где был поставлен диагноз: двусторонняя внебольничная пневмония, острый обструктивный бронхит, дыхательная недостаточность I—II степени. Лечение проводилось в реанимационном отделении, ребенок получал инванз, амикацин, максипин, ингаляции с беродуалом и амбробене, виферон. При поступлении была выполнена рентгенография органов грудной клетки, однако шейный отдел пищевода не был исследован. При внимательном осмотре рентгенограммы удалось заметить тень нижнего края инородного тела. 17.12.14 повторно была выполнена рентгенография органов грудной клетки, где на профильном снимке визуализируется инородное тело (крючок) металлической плотности (рис. 2, а, б), однако этот факт остался незамеченным лечащими врачами. Больной наблюдался до 24.12.14. В этот день его перевели в детскую областную больницу с диагнозом двусторонняя пневмония, острый бронхит, где сразу же была выполнена рентгенограмма органов грудной клетки, на которой четко выявилось инородное тело пищевода, и ребенок был срочно переведен в ЛОР-отделение. В этот же день в 18.00 ребенку под интубационным наркозом трубкой № 3 эзофагоскопа Мезрина произведена ригидная эзофагоскопия. Ниже входа в пищевод обнаружено инородное тело, оказавшееся пластмассовой прищепкой, с помощью которой штора крепится к оконному карнизу (рис. 3). Прищепка удалена из пищевода вместе с трубкой эзофагоскопа. Сразу же после удаления произведена фиброскопия пищевода, на боковой стенке справа обнаружен фибринозный налет на участке размером около 1 см. В 20.30 произведена рентгенография пищевода с контрастом (урографин), затека контрастного вещества в средостение не выявлено. На следующий день ребенок переведен в удовлетворительном состоянии в детскую областную больницу, откуда выписан по выздоровлении 29.12.14.

Рис. 2. Рентгенограмма органов грудной клетки больного Я. от 17.12.14 (а) и от 24.12.14 (б).

Рис. 3. Инородное тело пищевода (прищепка для штор).
Инородные тела верхних отделов желудочно-кишечного тракта.
Инородные тела в верхних отделах желудочно-кишечного тракта довольно частая проблема у животных. Ими оказываются довольно разнообразные предметы. Часть из них беспрепятственно проходит по желудочно-кишечному тракту, но некоторые из них могут вызвать непроходимость в любом отделе ЖКТ и стать причиной тяжелого состояния животного. Ранее для извлечения инородных тел из желудочно-кишечного тракта использовали хирургический метод, создание эндоскопов коренным образом изменило это положение. В настоящее время прежде чем решиться на хирургическую операцию для удаления инородного тела, у всех животных должна быть предпринята попытка удалить его с помощью эндоскопической техники.
Инородные тела верхних отделов пищеварительного тракта диагностируют на основании:
- анамнеза,
- клинической картины,
- данных рентгенологического и эндоскопического исследований.
Наиболее часто в пищеводе инородные тела застревают в области физиологических сужений. Это могут быть разнообразные предметы ,но чаще всего инородным предметом являются кости. Инородные тела пищевода клинически проявляются слюнотечением, болями, нарушением прохождения воды и пищи.
Инородные тела локализующиеся в желудке очень часто не дают никакой клинической картины пока не вызывают обструкцию сфинктеров особенно после приема пищи. В этих случаях клинические симптомы схожи с симптомами при инородных телах пищевода.
При подозрении на наличие инородного тела в пищеводе, желудке или двенадцатиперстной кишке обследование животного необходимо начинать с выполнения обзорной рентгенографии. Не следует проводить рентгеноконтрастное исследование, так как оно затруднит выполнение диагностической или лечебной эзофагогастродуоденоскопии.
Оценивая данные рентгенологического обследования, следует помнить о том, что многие инородные тела являются рентгеннеконтрастными, поэтому не следует отказываться от эндоскопического обследования.

Показаниями к проведению эзофагогастродуоденоскопии являются инородные тела пищевода, желудка, двенадцатиперстной кишки или подозрение на инородное тело.
Предварительная подготовка пациента как правило не проводится т.к. эндоскопическое исследование при инородных телах проводят экстренно. Не рекомендуется промывание желудка т.к. это может вызвать усиление перистальтику что приведет к смещению инородного тела в дистальные отделы ЖКТ.
Инструменты
Для удаления инородных тел эндоскопической методикой требуется целый ряд оборудования и инструментов. В настоящий момент довольно широко применяется видеогастроскопы которые дают более четкое изображение, что достаточным образом упрощает работу эндоскописта.
- Для крупных животных лучше использовать эндоскопы с инструментальным каналом 2.8 мм и длиной 1.5 м
Для извлечения инородных тел из пищевода возможно использовать жесткий бронхоскоп.
Инструменты для извлечения используют различные петли, корзины, захваты, грасперы.


Удаление инородных тел из пищевода
Инородные тела пищевода должны быть удалены как можно быстрее так как могут являтся причиной боли, дисфагии, перфорации. Методика извлечения инородного тела зависит от его локализации, размеров, консистенции и формы.
При наличии инородного тела в пищеводе или при подозрении на инородное тело эндоскоп вводят в ротовую полость под контролем зрения и прежде всего тщательно осматривают корень языка, заднюю стенку глотки при переходе ее в пищевод. В этих отделах нередко обнаруживают такие инородные тела как рыбные или куриные кости, нитки. И постепенно осматриваю все отделы пищевода. Чаще всего инородные тела локализируются в физиологических сужениях пищевода. Плоские кости, хрящи или куски игрушек захватывают биопсийными щипцами и извлекают вместе с прибором.
Тонкие и острые инородные тела (швейные иглы, булавки, острые кости, рыболовные крючки), как правило, внедряются одним концом в стенку пищевода. Предмет захватывают петлей или биопсийными щипцами за проксимальный край (чтобы инородное тело не заняло поперечного положения), и извлекают вместе с прибором.
Если острое инородное тело внедрено двумя концами в противоположные стенки пищевода, то его захватывают щипцами за один из концов и, смещая в ту или иную сторону, освобождают один из концов предмета и выводят его в просвет органа. Затем захватывают щипцами или петлей за освобожденный конец и извлекают вместе с эндоскопом.
Для извлечения инородных тел неправильной конфигурации используют вилочковый захват.
В случае обнаружения такого инородного тела как нитка извлечение его эндоскопическим методом может быть опасным т.к. нитка при скольжении нанесет травму мягким тканям пищевода, желудка и кишечника вызвав их перфорацию. Необходимо отследить до какого отдела тянется нитка и постараться вытянуть ее за дистальный конец, если это не удается то стоит отдать предпочтение хирургической методике.
Большие инородные тела (большие кости , хрящи), которые не удается сразу извлечь, разрушают инструментом, а затем или низводят в желудок, или извлекают наружу вместе с прибором. Если желудок наполнен пищей, то не следует сразу заниматься поисками инородного тела. Можно подождать несколько часов пока желудок опустеет. Если крупное инородное тело плотно стоит в пищеводе, а петля уже накинута, то можно усилить инсуфляцию газа в полость пищевода, это даст дополнительное пространство, и ввести вазелиновое масло, это улучшит скольжение.
После извлечения инородного тела выполняют повторную эзофагоскопию для оценки состояния слизистой оболочки пищевода в месте локализации инородного предмета. При наличии глубоких дефектов слизистой оболочки необходимо провести рентгеноконтрасное исследование для исключения перфорации. Если обнаружена перфорация то животное отправляют на срочную операцию.

Эндоскопическая картина пищевода после удаления инородного тела.
Извлечение инородных тел из желудка
Инородные тела желудка не часто дают клиническую картину. Важную роль в постановке диагноза «инородное тело желудка» играет сбор анамнеза. Нередко владельцы животного являются непосредственными свидетелями поедания инородного предмета.
- Наиболее легкими для удаления, инородными телами являются тряпки, бинты, носки, которые свободно располагаются в полости желудка. Для их извлечения обычно используют петли или четырехзубые захваты.
- Острые инородные тела захватывают за проксимальный конец и извлекают с помощью петли или щипцов.
- Инородные тела больших размеров и неправильной конфигурации захватывают петлей.
- Наиболее сложным для удаления инородным телом являются игрушки в виде мячей. Если мяч гладкий не имеет выступов или животное не разгрызло его, перед тем как проглотить извлечь его эндоскопом практически не возможно.
Если инородное тело не удается извлечь по техническим причинам (большой размер, множественные инородные тела, слишком долгое время было затрачено на его удаление) то необходимо перейти к хирургическому лечению.
Извлечение инородных тел из двенадцатиперстной кишки
Наиболее сложно удалять инородные тела из двенадцатиперстной кишки. Этот процесс сложен даже для опытного специалиста. Однако такая находка встречается не так часто. Инородное тело попавшее в кишечник как правило быстро мигрирует в низлежащие отделы.
После удаления инородных тел из желудка и двенадцатиперстной кишки проводят повторную ФГДС, чтобы убедиться в отсутствии поражений. Если есть предположение что часть инородных тел продвинулись в кишечник , назначают рентгеноконтрастное исследование.
Противопоказания
Эндоскопическое удаление инородных тел достаточно хороший метод ,но следует помнить что есть случаи когда извлечение инородных тел таким способом невозможно:
Инородные тела которые уже вызвали перфорацию и извлечение их эндоскопически не резонно, слишком большое количество инородных тел на удаление которых может уйти слишком много времени, инородные тела которые сместились дальше по ЖКТ и эндоскоп не может достать до них, слишком большие инородные тела ни один захват для них не подходит, слишком большие инородные тела чтобы они смогли пройти через кардий или пищевод не повредив его.

Оборудование для проведения эндоскопического исследования и удаления инородных тел
В нашем каталоге представлено эндоскопическое оборудование бренда HUGER: видеоэноскопические системы, эндоскопы, манипуляторы. Для обнаружения и извлечения инородных тел мы рекомендуем видеоэндоскопическую систему HUGER Elite: за счет разрешения 1280*720 пикселей и высокого уровня детализации изображения, она позволяет быстро найти и удалить инородное тело.
Республиканская детская клиническая больница
Регистратура КДЦ( Консультативно-диагностический центр )
Платные услуги:
Приемная главврача:
КДЦ( Консультативно-диагностический центр ):
Инородные тела желудочно-кишечного тракта
Ежедневно в приемное отделение ГБУЗ РК «Республиканская детская клиническая больница» поступают дети, проглотившие какие-либо инородные предметы (монеты, батарейки, скрепки, булавки, иголки, детали игрушек и прочее). Только за 2015 год врачами – эндоскопистами удалено более 100 инородных тел из пищевода, желудка, кишечника.
Так ли это опасно? Давайте разберемся.
Инородным телом желудочно-кишечного тракта называется попавший в организм естественным путем (через рот) посторонний предмет, который может привести к развитию тех или иных патологических состояний.
Как заподозрить инородное тело желудочно-кишечного тракта?
Если Ваш ребенок, оставшись без присмотра, во время игры с предметами, содержащими небольшие фрагменты, вдруг стал беспокойным, появился кашель, рвота, повышенное слюноотделение, либо изменилось его общее самочувствие – отказ от еды, нарушение сна – необходимо обратить внимание, с какими предметами ребенок играл. Если вы не досчитались каких-то мелких деталей (монеты, батарейки, иглы, булавки, скрепки, мелкие магниты, разборные элементы конструкторов и т.д.), следует незамедлительно обратиться к врачу!
Как диагностируется инородные тела желудочно-кишечного тракта?
Диагноз выставляется врачом на основании жалоб, данных анамнеза (истории заболевания), объективного осмотра ребенка. Дополнительным методом в диагностике является рентгенологический, однако, он не информативен в случае:
— деревянных;
— резиновых;
— пластмассовых;
— стеклянных инородных тел;
— косточек фруктов, ягод;
— некоторых других инородных тел. Однако, если Ваш ребенок, возможно, проглотил какое-либо из вышеперечисленных инородных тел, не стоит откладывать визит к врачу, полагая, что если его не видно на рентгенограмме, то и обследовать нечего.
Решение о необходимости использования каких-либо дополнительных диагностических методов принимает только врач!
Какие инородные тела особо опасны?
1.БАТАРЕЙКИ;
2.МАГНИТЫ (в количестве более одного);
3.Острые фрагменты, осколки;
4.Иглы, булавки и прочее;
Наиболее опасным местом локализации инородных тел является пищевод, поскольку это наиболее узкая часть желудочно-кишечного тракта. Длительное стояние инородного тела в пищеводе вызывает воспаление в его стенках, приводя в дальнейшем к образованию рубцов, что, в свою очередь, нарушает естественный процесс прохождения пищи к желудку! Симптомами инородного тела пищевода являются:
1.Повышенное слюноотделение, боязнь глотания;
2.Боли за грудиной;
3.Отказ от приема пищи, жидкости;
4.Рвота и прочее.
Как происходит удаление инородных тел желудочно-кишечного тракта?
При подтверждении диагноза «инородное тело пищевода» в срочном порядке проводится фиброэзофагоскопия, удаление инородного тела. Следующим местом, откуда возможно удаление инородных тел, является желудок. Манипуляция проводится натощак (не менее 4-6 часов после последнего приема пищи, жидкости). В случае небольших размеров и не агрессивного характера проглоченного предмета его удаление может быть отложено, однако, данное решение принимает только врач после тщательного обследования ребенка.
В случае попадания агрессивного инородного тела (батарейка, игла, фрагмент стекла и прочее) за пределы желудка, необходима госпитализация ребенка в хирургическое отделение и наблюдение за ним до отхождения инородного тела с каловыми массами.
Инородные тела в желудке у кошек и собак

К сожалению, наши любимцы кроме пищи и воды иногда проглатывают совершенно несъедобные вещи – инородные тела. Это не связано с голодом, а скорее с психологическим поведением и избыточным любопытством. Самое неприятное не то, что эти вещи не перевариваются, а то, что своими размерами или структурой поверхности они наносят повреждения слизистой оболочки пищевода и желудка.
Инородные тела пищевода у кошек и собак могут частично или полностью перекрывать просвет: полная и частичная обтурация (закупорка) пищевода, наносить травмы органу с полным его разрывом (перфорация пищевода) и попаданием пищи и воды в грудную полость.
Инородные тела в желудке у животных, имеющие небольшие размеры, продвигаются в двенадцатиперстную кишку с последующей обструкцией (непроходимостью) кишечника, большие остаются в желудке, нанося травму слизистой оболочке. Длительная травма слизистой приводит к сильному воспалению и изменению структуры с потерей нормальной функции и опухоль пищевода у кошек. Травма пищевода у кошки влечет за собой непроходимость желудка у кошек. Для этого проводится удаление инородного тела у кошки с помощью эндоскопии.
Симптомы и признаки
Как понять что у собаки инородное тело в желудке?
Признаки инородного тела в желудке у собаки и симптомы в острой фазе:
- повышенное слюнотечение,
- отказ от корма у кошки и собаки,
- рвота не переваренной пищей.
При хронической форме происходит фаза нарушения моторики органа (атония). Симптомами могут служить:
- отказ от корма,
- специфический запах из ротовой полости,
- обезвоживание.
При частичной непроходимости пищевода и желудка аппетит может быть сохранён, однако, периодически возникает рвота не переваренными фрагментами пищи.
Копростаз
Копростаз — что это такое? Это непроходимость кишечника у кошек. Очень опасное заболевание которое может привести к летальному исходу если вовремя не оказать помощь животному. Копростаз у кошек бывает хронического характера из-за запоров. Но частой причиной непроходимости кишечника у кошки становится инородное тело, проглоченное во время игры. В этом случае использование слабительных средств очень опасно. Лучше сразу обратиться к ветеринару для оказания должного лечения.
Диагностика инородных тел
Диагностика инородных тел пищевода и желудка включает в себя обязательное использование инструментальных методов, таких как: рентген, контрастная рентгенография пищевода и желудка, эзофагогастроскопия.
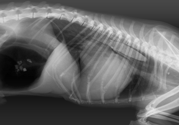
Существуют инородные тела рентгеноконтрастные – они визуализируются на рентгене, и не рентгеноконтрастные – они не визуализируются на рентгене (например, дерево). Дополнительное введение рентгеноконтрастных веществ (сульфат бария, йодсодержащие препараты), при проведении рентгена пищевода и желудка, позволяют в некоторых случаях определить не рентгеноконтрастные инородные тела (фото 1).
Наиболее объективной диагностикой является эндоскопический метод – эзофагогастроскопия. Инородное тело в пищеводе у собаки и у кошки можно определить с помощью эзофагогастроскопии и даже выявить последствия их пребывания в пищеводе и желудке, оценить состояние слизистой оболочки (фото 2, 3).
Лечение
Эндоскопические и открытые операции
Основным достоинством эндоскопического исследования является не только диагностика заболевания, но и возможность проводить лечение. На сегодняшний день мы в 90 % случаев инородных тел пищевода и желудка извлекаем их эндоскопически без разрезов и лишь в 10 % проводим хирургические открытые операции.
Особую проблему представляет собой хирургия пищевода грудного отдела. Операция проходит в грудной полости в условиях искусственной вентиляции лёгких. Для проведения подобного оперативного вмешательства необходимо чётко знать местоположение инородного тела в пищеводе, так как разное положение определяет место доступа в грудную полость. Для этого необходимо провести эзофагогастроскопию животному (фото 4,5,6,7).
Фото 4а, 4б, 4в: Кость в пищеводе грудной части у йоркширского терьера
На фото 5а, 5б, 5в: Кость в пищеводе грудной части у грифона

Фото 6а, 6б, 6в: Инородное тело (игрушка) в желудке лабрадора
На фото 7а, 7б, 7в, 7д: Иголка в желудке у кокер-спаниеля
Внедрение эндоскопических методик в гастроэнтерологию у животных позволяет не только проводить объективное и безболезненное исследование, ставить окончательные диагнозы, Операция на желудок у кошек и собак позволяет удалять инородные тела пищевода и желудка без разрезов.
Эндоскопия кошек проводится в нашем центре с применением новейшего оборудования и лучшими специалистами в этой области.
Удаление инородных тел из желудка и кишечника животного в ветцентре Воронцова
Проглоченные предметы могут привести к гибели вашего питомца. Диагностику и хирургическое лечение необходимо провести как можно быстрее! При любых подозрениях на заболевание, приходите к нам в ветеринарный центр. Ветклиника Воронцова находится в ЮАО, недалеко от пересечения МКАД и Каширского шоссе. Точный адрес: Совхоз им. Ленина, дом 3а (смотрите схему проезда), метро Домодедовская, Орехово, Зябликово, Красногвардейская.
Читайте также:
