Киста желтого тела: причины, симптомы и лечение
Добавил пользователь Валентин П. Обновлено: 27.01.2026
Киста яичника, лечение которой порой болезненно, является одним из самых часто встречающихся заболеваний, и выглядит как полость в виде «мешочка», наполненная содержимым жидкого или полужидкого характера. Возникает она в яичнике и заметно увеличивает его в объёме, иногда в несколько раз.
Чаще всего эта киста обнаруживается у женщин детородного возраста, после наступления климакса вероятность появления кисты яичника снижается.
В медицинской практике различают кисты функциональные, которые возникают как следствие нарушения овуляции. Это та киста яичника, лечение которой обычно не производится, с течением времени она исчезает сама. Хотя и здесь есть опасность, т.к. всегда существуют обстоятельства, которые могут спровоцировать разрыв и перекрут кисты, что потребует немедленного оперативного вмешательства.
Другая разновидность кисты – «аномальная», которая развивается как результат гормональных изменений и не сокращается в течение нескольких месяцев. Это уже небезопасная киста яичника, лечение её производится в обязательном порядке. Один из способов ее лечения это операция по удалению кисты яичника.

Виды возможных новообразований:
- Фолликулярная киста. Возникает при половом созревании, в случаях, когда не происходит овуляция, т.е. созревшая яйцеклетка не может покинуть фолликул яичника.
- Киста жёлтого тела. Образуется вследствие чрезмерного накопления клеток («жёлтое тело»), которые производят гормон прогестерон.
- Другие разновидности кисты. Дермоидная киста, эндометриоидная и др.
Причины возникновения кисты яичника
Основными причинами, которые приводят к образованию кисты, являются гормональные нарушения, либо воспалительные заболевания.
Киста яичника в организме женщины может развиваться как бессимптомно, так и с признаками, которые несложно заметить (боль внизу живота, сбои в менструациях, набор веса).
Диагностика и лечение кисты яичника
Выявить кисту может врач во время осмотра. В этом случае пациентка обычно направляется на УЗИ, а для определения причин образования опухоли назначается анализ гормонов. При более сложных случаях (подозрения на разрыв кисты или перекрут ножки кисты) проводится лапароскопия кисты яичника в Санкт-Петербурге. Если подтверждается диагноз «киста яичника», операция по удалению образования проводится немедленно. Лапароскопия – несложная операция, которая проводится амбулаторно, нетравматична, не даёт осложнений, с её помощью можно провести и диагностику, и удаление кисты яичника. Цена лапароскопии кисты яичника в Санкт-Петербурга в Американской медицинской клинике (АМК) зависит от сложности проводимой операции.
Если обнаружена киста яичника, операция по удалению хирургическим путём показана в случаях дермоидных, эндометриоидных, а также муцинозных образований. Операция по удалению кисты яичника в АМК проводится на современном оборудовании специалистами высшей категории.
Однако если диагностирована киста яичника, операция требуется не всегда. Если случай не является сложным, медицина предусматривает медикаментозные способы лечения с помощью гормональных препаратов.
Поликистоз яичников. Лечение
Поликистоз яичников, лечение его можно определить только после тщательной диагностики с использованием УЗИ. Заболевание выглядит, как увеличенные яичники с множественными наростами (кистами). Лечение его также проводится как консервативными методами, так и хирургическим путём. Выбор способа борьбы с заболеванием после оценки его сложностиосуществляет только врач. Самолечение при поликистозе недопустимо.
Удаление кисты яичника
Если в течение 3-х менструальных циклов киста яичника не проходит, операция является необходимой. Также операционное вмешательств показано, если противовоспалительная терапия остается не эффективной, образуются угнетающие ситуации, такие как «перекрут» ножки кисты, нагноение, и подозрение на злокачественную опухоль. Но если киста яичника функциональная, которая возникает вследствие не произошедшей овуляции или накопления избыточной жидкости после овуляции, в большинстве случаев врачи не рекомендуют оперативное вмешательство. В период следующей менструации она может самостоятельно исчезнуть. Но стоит помнить, что любые новообразования, говорят об общем дисбалансе в организме.
Сегодня удаление кисты яичника в Санкт-Петербурге в основном осуществляется с помощь лапароскопии, которая считается «золотым стандартом», поскольку характеризуется минимальной травматизацией брюшной стенки и не приводит к формированию спаек в малом тазу.
Операция на кисте шейки матки выполняется на основании следующих принципов:
- минимальное выполнение коагуляции позволяет сохранить фолликулярный резерв;
- применение шовной техники сохраняет овариальную функцию;
- применение современных противоспаечных средств.
Дело в том, что удаление кисты яичника не ликвидирует причину заболевания, а позволяет лишь решить видимое проявление патологии.
Если киста яичника достигла слишком больших размеров, то здоровой ткани может практически не остаться, поэтому яичник удалятся целиком. Но такое удаление не оказывает серьезную нагрузку на изменение гормонального фона, поэтому в дальнейшем при условии нормальной работы второго яичника можно зачать и родить ребенка.
В нашей клинике работают хирурги с огромным опытом, которые выполнят качественную операцию по удалению кисты яичника. Благодаря профессионализму врачей, использованию самого современного оборудования и передовых методик успех хирургического вмешательства гарантирован, а любые риски сведены к минимуму.
Киста желтого тела
Киста желтого тела яичника является разновидностью патологии кисты яичника, возникающей из-за жидкости, которая скапливается в местах лопнувших фолликулов, и иногда там может содержаться кровь. Дефект, как правило, находится в боковой или задней области матки. Размеры кисты варьируются от 3 до 8 см, но существуют случаи дохода до границы 20 см. Благоприятное протекание данной патологии может проходить самостоятельно, без назначения лечения. Наиболее часто она обнаруживается у беременных женщин, но следует знать, что киста желтого тела при беременности не угрожает ее протеканию и правильному развитию плода.
Внимание!
Здесь вы сможете выбрать врача, занимающегося лечением Киста желтого тела Если вы не уверены в диагнозе, запишитесь на прием к терапевту или врачу общей практики для уточнения диагноза.
Статьи на тему Киста желтого тела:
Симптомы
Причины
Лечение
Какой врач лечит Киста желтого тела
Маммолог, гинеколог, имеет первую врачебную категорию, проходила практику в частных клиниках Туниса под руководством профессоров Хеди Хавири и Летаиеф Жемни. Занимается лечением эндокринных, воспалительных, инфекционных и предраковых состояний в гинекологии.
Консультация маммолога с узд -1050грн; Базовый осмотр гинеколога (консультация+осмотр+кольпоскопия+мазки) - 1450 грн.
УЗИ-специалист, акушер-гинеколог, проводит УЗ-скрининг беременных, исследование состояния щитовидной железы, молочных желез, почек, органов малого таза, кольпоскопию, лечение шейки матки (радиоволновое)
Квалифицированный акушер-гинеколог и гинеколог-эндокринолог Клиники Выходного Дня, специалист по вопросам женского здоровья и репродуктивной медицины. Доктор более 10 лет работает в сфере гинекологии и знает, как помочь при самых сложных ситуациях и заболеваниях женской репродуктивной системы. Екатерина Алексеевна консультирует по вопросам, связанным с наступлением менопаузы, предоставляет компетентную консультацию по планированию беременности и лечению гинекологических заболеваний
Формы
В зависимости от места расположения кисты, различают следующие формы:
- киста желтого тела правого яичника;
- киста желтого тела левого яичника.
Симптомы
Протекание данного нарушения возможно бессимптомное, но наиболее часто патология имеет такие симптомы, как тянущие и ноющие болевые ощущения в области женских внутренних половых органов, которые возникают при физических нагрузках, поднятиях тяжестей, также при половых актах. Кроме того, часто наблюдаются беспричинные вздутия живота, ощущение переполненности мочевого пузыря. Следует знать, что из-за несвоевременной диагностики возможно явление сильного кровотечения с повышением температуры тела. Менструальный цикл может нарушиться, менструация – задерживаться в течение длительного срока и могут появиться симптомы, которые похожи на симптоматику при беременности (тошнота, уплотнение и болезненность в области молочных желез).
Причины
Причинами расположения патологии является нарушенная функция конкретного яичника, а также экстренная контрацепция, препараты которой не подходят для организма. Но развитие кисты уже вне зависимости от ее расположения возможно из-за тяжелых психоэмоциональных и физических нагрузок, искусственного прерывания беременности, гормональных нарушений, а именно – дисбаланса соотношений вырабатывания половых гормонов женского организма в конкретную фазу цикла менструации, а также из-за хронических инфекционно-воспалительных заболеваний репродуктивной системы женщины.
Осложнения
В большинстве случаев киста яичников – это доброкачественное образование, неспособное к прогрессирующему развитию и росту. Но существуют очень редкие случаи, когда киста яичника – это признак рака яичника, вследствие чего она будет определяться как недоброкачественная опухоль.
Наиболее частым доброкачественным видом является функциональная киста яичника, образовавшаяся из фолликулов или же из желтого тела. Так, фолликулярная киста возникает в начале менструального цикла, а после овуляции вырастает до 6-ти см в своем диаметре. Вследствие разрыва данного вида кисты начинается сильная резкая боль в областях яичников (низ живота, отдает в поясницу).
Лечение
При выявлении патологии «киста желтого тела», лечение должно проводиться, ведь иногда возможны осложнения в виде разрыва кисты, вследствие чего возможно кровотечение и выраженный болевой синдром. Кроме этого, осложнением является и возможность инфекционного присоединения в содержимое кисты.
При лечении данной патологии целесообразным будет применение противовоспалительной терапии, а также физиотерапии, включающей манипуляции проведения фореза с помощью синусоидальных модулированных токов, лазеротерапии, электрофореза, ультрафонофореза и магнитотерапии. Следует знать, что возможно показание к оперативному лечению (удаление кисты).
Лечение функциональной кисты яичника особых показаний не требует, потому что она может проходить самостоятельно после истечения 4–5 месяцев. Но следует знать, что подобные случаи все-таки требуют участия врача-гинеколога, который будет наблюдать за общим состоянием, за процессом развития кисты и предупреждать развитие осложнений у женщины с данной патологией.
Профилактика
Для профилактики повторного процесса нужно соблюдать правила личной гигиены, исключать чрезмерные физические и психоэмоциональные нагрузки. Также требуется исключить частые акушерско-гинекологические манипуляции (аборты, выскабливания полости матки) и регулярно посещать врача-гинеколога.
Из-за не всегда исключаемого обратного развития кисты требуется профилактика, которая включает в себя наличие своевременного и достаточного лечения инфекционных заболеваний системы репродукции (вульвовагинитов, эндометритов, сальпингитов), а также и необходимость лечения нарушений в гормональном регулировании (дисфункция яичников).
Киста желтого тела яичника
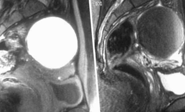
Киста желтого тела яичника — это доброкачественное образование в ткани левого либо правого яичника. Она формируется из желтого тела, которое не подверглось регрессии. Из-за сбоя в системе кровообращения в женской половой железе скапливается жидкость геморрагического либо серозного характера. Если изучить фото кисты, можно увидеть овальное образование, стенки которого уплотнены зернистыми лютеиновыми клетками.
Размер кисты яичника с желтым телом составляет от 6 до 8 см. Диагностируется патология редко — у 3 % женщин детородного возраста, у которых установился аномальный двухфазный менструальный цикл. Она не представляет опасности для жизни, но может вызывать некоторые проблемы со здоровьем.
В гинекологии принято дифференцировать кисты желтого тела в яичнике:
- возникшие на фоне беременности;
- развившиеся из атрезированного фолликула вне беременности.
В зависимости от локализации кисты желтого тела яичника бывают:
Также выделяют многополостные и однополостные кисты.
Самостоятельно заболевание может пройти в течение 2–3 менструальных циклов либо во втором триместре беременности.
Киста желтого тела яичника и беременность
Киста желтого тела яичника очень редко препятствует наступлению зачатия. Также она не несет опасности для плода, не приводит к его отставанию в развитии. При этом новообразование способно спровоцировать выкидыш. Для уменьшения риска выкидыша необходимо регулярно наблюдаться в акушерско-гинекологической клинике и следовать рекомендациям врача.
Согласно статистике, киста желтого тела правого/левого яичника, образовавшаяся в первые недели беременности, склонна к разрастанию, но в период третьего триместра она полностью исчезает. Если же женщина только планирует стать мамой и у нее постоянно болит яичник из-за патологии, рекомендуется произвести удаление желтой кисты до наступления беременности, чтобы свести к минимуму риск самопроизвольного выкидыша.
Лучшие врачи по лечению кисты желтого тела яичника
Причины образования кисты желтого тела правого/левого яичника
По поводу причин формирования желтой кисты на яичнике до сих пор ведутся споры. Считается, что она возникает в результате нарушений лимфотока и кровообращения в тканях женской половой железы, гормонального дисбаланса. Научно установлено, что к болезни приводит стимуляция овуляции с целью зачатия ребенка, подготовка к экстракорпоральному оплодотворению. Также негативно на состояние репродуктивного здоровья женщин влияют:
- экстренные контрацептивы;
- тяжелые условия труда;
- аборты;
- воспалительные процессы, возникающие в яичниках;
- экстремальные диеты;
- физические и психоэмоциональные нагрузки;
- инфекционные воспалительные заболевания органов репродуктивной системы, протекающие в хронической форме (эндометрит и др.);
- несоблюдение правил личной гигиены.
Киста желтого тела яичника — симптомы
Симптомы кисты желтого тела яичника обычно слабовыраженные. В большинстве случаев доброкачественные образования такого типа развиваются в течение 2–3 месяцев, а после самопроизвольно рассасываются. Иногда они вызывают:
- ; ;
- задержку месячных (происходит по причине неравномерного отторжения эндометрия); до 37 °С (особенно в промежуток с 14 по 28 день менструального цикла); ; ; во время выполнения физической работы, полового акта; .
Выраженная симптоматика кисты желтого тела правого либо левого яичника говорит о развитии осложнений — апоплексии яичника, кровоизлиянии в полость женской половой железы, перекрутке ножки.
Если Вы обнаружили у себя схожие симптомы, незамедлительно обратитесь к врачу. Легче предупредить болезнь, чем бороться с последствиями.
Диагностика кисты желтого тела яичника
В ходе диагностики кисты желтого тела яичника учитывается:
- анамнез;
- жалобы пациентки;
- данные гинекологического исследования;
- результаты ультразвуковой диагностики;
- информация, полученная в результате исследования онкомаркера СА-125 (проводится для исключения злокачественного образования в яичнике).
В ходе влагалищного исследования возможно выявление позади матки или сбоку от нее тугоэластического образования, которое имеет ограниченную подвижность и хорошо прощупывается при пальпации.
При необходимости пациентке может быть дополнительно назначена доплерография, направленная на исключение васкуляризации внутренних структур женской половой железы и дифференциацию желтой кисты от истинной опухоли. Чтобы исключить беременность, женщине предлагается пройти соответствующий тест и сдать анализ на определение хорионического гонадотропина.
Если кисту желтого тела яичника сложно отличить от внематочной беременности и других возможных новообразований (текалютеиновой кисты яичника при пузырном заносе и хорионэпителиоме, кистомы яичника и др.), проводится плановая лапароскопия. Во время процедуры через небольшие разрезы в брюшной стенке в брюшную полость вводится специальный оптический прибор (лапароскоп), позволяющий досконально изучить матку, область яичников и органы малого таза.
Среди дополнительных диагностических процедур:
- анализы крови, мочи (позволяют выявить воспалительный процесс, кровопотери);
- пункция заднего свода влагалища (берется при осложненных кистах и определяет наличие крови в брюшной полости).
Лечение кист желтого тела яичника
Во время лечения при невыраженной симптоматике пациентке рекомендуют:
- наблюдаться у врача - гинеколога;
- проходить ультразвуковой динамический контроль и цветное доплеровское картирование на протяжении 2–3 менструальных циклов. За данный период желтые кисты очень часто рассасываются самостоятельно.
Рецидивирующие и симптоматические образования в женской половой железе можно вылечить, прибегнув к методам консервативной терапии. Женщине подбираются противовоспалительные препараты, гормональные контрацептивы. Хороших результатов позволяют достичь:
- Бальнеотерапия (влагалищные орошения, лечебные ванны);
- Лазеротерапия. В ходе лечения используется вынужденное низкоинтенсивное излучение светового диапазона. Оно расширяет кровеносные сосуды, оказывает иммуно- и трофостимулирующее действие, способствует снятию воспалению. Также лазерная терапия повышает восприимчивость организма к лекарственным препаратам;
- Пелоидотерапия (грязелечение). Подразумевает применение измельченной глины, ила или других отложений со дна моря, соленого озера, пресного водоема. Подогретые до температуры 39–40 °С грязи характеризуются большой теплоемкостью. Они обладают выраженным термическим эффектом (повышают температуру тканей местно), оказывают положительное химическое действие;
- СМТ-терапия. Во время лечения используется модулированный ток высокой частоты. Он создает отдельные «пачки» импульсов, разделенные непродолжительными паузами. Процедура снимает боль, расширяет сосуды;
- Лекарственный электрофорез. Предполагает введение лекарств через кожу и слизистые оболочки с помощью электрического тока. В результате лечения максимальная концентрация главного действующего вещества наблюдается именно в очаге воспаления;
- Ультрафонофорез. Лекарства вводятся при помощи ультразвука;
- Магнитотерапия. На организм оказывается физиотерапевтическое воздействие импульсным либо постоянным магнитным полем. Лечение обеспечивает расширение кровеносных сосудов, активацию микроциркуляторного кровотока, усиление обменных процессов, снятие отечности. В результате стихает боль, минимизируется выраженность воспалительного процесса при кисте желтого тела яичника.
Чтобы лечение было успешным, до выздоровления женщине следует:
- снизить половую активность;
- ограничить физические нагрузки.
Если консервативное лечение продолжительностью 4–6 недель не обеспечивает рассасывания кистозного образования, встает вопрос о хирургическом удалении кисты. Лапароскопия — операция, сопровождающаяся минимальной травматичностью и сохранением функций женской половой железы. Троакарные проколы врач выполняет специальными эндохирургическими инструментами, затем аккуратно удаляет кисту и ушивает яичник.
При развитии осложнений (открытие кровотечения, некротическое изменение тканей железы) проводится экстренная лапаротомия, направленная на удаление всего яичника.
Опасность заболевания
Киста желтого тела яичника может провоцировать возникновение серьезных осложнений:
- Разрыв кисты. Развивается очень редко. Для патологии характерно возникновение острой боли, головокружения, рвоты, обморочного состояния. Развивается внутреннее кровотечение, кровоизлияние в брюшную полость и непосредственно в сам яичник;
- Перекрут яичника. Может возникнуть, если размер желтой кисты составляет около 5 см в диаметре. Причины заболевания — резкое изменение положения тела при выполнении физических упражнений, половом акте. Перекрут может быть полным и частичным. Обычно требуется проведение экстренного оперативного лечения;
- Присоединение инфекции. Образуется инфицированная киста желтого тела яичника, которая требует обязательного лечения.
Также болезнь может привести к нарушению менструального цикла. Задержка месячных при ней составляет до 2 недель. При этом возможно открытие маточного кровотечения.
Но самые страшные для женщин осложнения кисты желтого тела яичника — это развитие бесплодия, самопроизвольный выкидыш. Если болезнь протекает тяжело и требует экстренного удаления яичника, шансы забеременеть в будущем снижаются приблизительно на 50 %.
Группа риска
В группу риска по развитию желтой кисты входят женщины:
- подготавливающиеся к ЭКО;
- принимающие препараты экстренной контрацепции;
- делающие аборты;
- работающие во вредных условиях;
- соблюдающие монодиеты;
- длительное время находящиеся в условиях стресса.
Профилактика кисты желтого тела яичника
Профилактика образования кисты желтого тела яичника заключается в:
- своевременном лечении половых инфекций, гинекологических заболеваний;
- правильном питании;
- исключении чрезмерных физических нагрузок;
- соблюдении правил личной гигиены;
- регулярном посещении гинеколога;
- исключении акушерско-гинекологических манипуляций — абортов, выскабливаний полости матки;
- планировании беременности.
Данная статья размещена исключительно в познавательных целях и не является научным материалом или профессиональным медицинским советом.
Лечение кисты жёлтого тела
Киста желтого тела, её иногда называют «лютеиновая киста», если перевести с греческого, значит «пузырь». Это образование в форме мешочка, наполненного жидкостью, бывает с кровяными включениями. Такой вид кисты формируется под воздействием лютеинизирующего гормона, который вырабатывает гипофиз. Подобные образования могут возникать у женщин разного возраста: от девочек до зрелых женщин. К наступлению менопаузы риск их возникновения уменьшается.
Большинство врачей уверены, что это нормальный функциональный процесс женского менструально-овариального цикла, и нежелательно в него вмешиваться. Ведь если у женщины не наступает беременность, то и функция желтого тела больше не нужна, поэтому оно постепенно «рассасывается». Но временами бывает так, что желтое тело до конца не исчезает. Тогда в нем вырастает киста огромных размеров, мешая вести нормальный образ жизни.
Лечение кисты в Калининграде - медцентр "Class Clinic"
Функциональные кисты хорошо поддаются лечению. На ранних стадиях формирования образование чаще всего лечится консервативным методом. Это назначение противовоспалительных и гормональных лекарств. Если киста желтого тела сама не исчезла и по медицинским показаниям подлежит удалению, то доктор предложит вам лапароскопическую операцию. После удаления образования врач отправляет его на гистологическое исследование, которое выявит, не изменено ли нормальное строение клеток. Это даст возможность определить тип и правильно подобрать лечение.
Когда киста маленького размера, доктора зачастую просто проводят наблюдения. Если она не меняется с течением времени, то не применяют ничего, а просто периодически делают УЗИ.

Как диагностировать кисту?
Прежде всего, пальпируют нижнюю часть живота. При болезненных ощущениях врач обязательно назначит вам проведение ультразвуковой диагностики. При проведении интравагинального УЗИ можно точно определить кисту. Ультразвуковая диагностика – это самый информативный и точный вариант для постановки диагноза. Но волноваться не нужно ввиду того, что киста желтого тела составляет лишь немногим больше 2 % от возможных гинекологических заболеваний.
По большей части киста желтого тела правого яичника асимптоматическая и вовсе не проявляет себя. Но все же могут иметь место симптомы, на которых нужно сосредоточиться:
- непонятные тянущие боли;
- температура;
- скудные или обильные месячные;
- вздутие кишечника;
- тупая боль при сексуальной связи, выполнении тяжелой работы или усиленных тренировках;
- болезненные ощущения при резких поворотах, наклонах.
Чаще всего они могут проявиться со второй по третью фазы менструации.
Киста желтого тела: возникновение
Подобные образования могут появиться при нарушении гормонального состояния женщины. Провоцирующим фактором также являются всяческие воспаления в женских половых органах. Если в яичниках нарушен кровоток или лимфоток и не было оплодотворения созревшей яйцеклетки, тогда желтое тело в месте фолликула, который лопнул, плохо рассасывается и превращается в полость, в которой со временем начинает скапливаться жидкость или кровь. Само по себе желтое тело тоже имеет обозначенные формы. Медики определяют кистой желтого тела образования, превышающие три сантиметра в диаметре. Кисты среднего размера равны шести-восьми сантиметрам.
Для предотвращения кисты желтого тела нужно раз в шесть месяцев или раз в год обязательно проходить гинекологическое УЗИ. Также эффективен прием оральных контрацептивов, предупреждающих нежелательную беременность. Под их воздействием фолликул в яичнике не созревает, соответственно, появление кисты маловероятно.

Возможные негативные факторы
Киста желтого тела правого яичника проходит спустя некоторое время. Но она не совсем безобидна, как может показаться, и при отказе от лечения могут быть такие негативные последствия:
- разрыв кисты;
- перекрут;
- нагноение.
При так называемом «перекруте» кисты на ножке вокруг своей оси на сто восемьдесят или триста шестьдесят градусов возможен разрыв тканей яичника (апоплексия) или разрыв самой кисты. Это приведет к кровотечению в брюшину, заражению и перитониту. Как известно, перитонит грозит смертельной опасностью. Тогда необходима экстренная госпитализация.
Женщина ощущает слабость, «холодный пот», тошноту, острую боль в брюшной полости. Если киста повернулась на 180 градусов, кровоток не прекращается, и тогда происходит спаечный процесс между опухолью и кишечником, из-за чего киста становится неподвижной, тогда операции вряд ли придется избежать. Злокачественной опухоль становится крайне редко, и опасаться в этом случае не стоит.
Стоимость первичного приёма у гинеколога
- Консультация врача
- УЗИ органов малого таза
- Влагалищное обследование
- Осмотр молочных желез
Cтоимость комплексной диагностики, включая УЗИ: 2 500 руб.
Киста желтого тела
Киста желтого тела, или лютеиновая киста — функциональное, гормонозависимое образование желтого тела яичника. Желтым телом в гинекологии называют временную железу, продуцирующую прогестерон для подготовки организма женщины к зачатию, которая возникает после выхода яйцеклетки из овариального фолликула во второй (лютеиновой) фазе менструального цикла.
При отсутствии оплодотворения желтое тело постепенно регрессирует в развитии, перестает синтезировать прогестерон и самостоятельно исчезает за пару дней до начала следующей менструации. В случае успешного зачатия и образования плодного яйца желтое тело продолжает функционировать в течение 3-4 месяцев гестации и называется желтым телом беременности.
Но при наличии гормональных сбоев в организме женщины, желтое тело может патологически изменяться с образованием лютеиновой кисты, заполненной серозной жидкостью или кровью. Наиболее часто это заболевание возникает у беременных и молодых женщин в период формирования двухфазного менструального цикла.
Содержание:
Причины возникновения кисты желтого тела
Причины образования кисты желтого тела разнообразны, но все они приводят к расстройствам гормонального фона, ухудшению кровообращения и лимфооттока в яичниках.
К таким факторам относятся аборты и искусственные роды на поздних сроках беременности, прием медикаментов для экстренной контрацепции во избежание нежелательной беременности или гиперстимуляции яичников при бесплодии, в период подготовки к экстакорпоральному оплодотворению. Считается, что в зоне риска оказываются пациентки с хроническими воспалительными процессами и инфекционными заболеваниями внутренних половых органов, значительным дефицитом веса, при резком похудении.
Формирование кисты может быть вызвано и психоэмоциональным перенапряжением, психическими травмами, стрессами, переутомлением. Это связано с нарушением мозгового кровообращения в области гипофиза и гипоталамуса и, как следствие, эндокринным дисбалансом.
Виды кисты желтого тела
Поскольку желтое тело возникает вследствие овуляции, а она, как правило, без медикаментозной стимуляции односторонняя, то и лютеиновая киста в большинстве случаев формируется с одной стороны. Соответственно, выделяют левостороннюю и правостороннюю кисту желтого тела в зависимости от ее локализации в яичнике.
Также различают однокамерные и многокамерные кисты. Однокамерные кисты имеют всего одну полость (камеру, мешок), заполненную жидкостью, а многокамерные – несколько. В основном лютеиновые кисты небольших (до 5 см), реже средних размеров (до 6-8 см), однокамерные, односторонние, с утолщенной стенкой, состоящей из фиброзной ткани и клеток желтого тела. Полость кистозного образования преимущественно заполнена серозной жидкостью желтоватого цвета, иногда с примесью крови.
С клинической точки зрения разграничивают лютеиновые кисты, возникшие вне беременности и на фоне зачатия. Как правило, на течение беременности и развитие плода киста желтого тела яичника не оказывает негативного влияния.
Симптомы кисты желтого тела
Киста желтого тела яичника может не беспокоить женщину и протекать полностью бессимптомно. При значительных размерах образования может возникать тянущая боль, дискомфорт, ощущение тяжести в области яичника на стороне поражения. Боль может иногда отдавать вниз живота или в прямую кишку, сопровождаться вздутием живота, тошнотой, рвотой, повышением температуры.
Важным симптомом кисты желтого тела является изменение гормонального фона за счет повышения уровня прогестерона. Поэтому практически всегда лютеиновая киста будет сопровождаться различными расстройствами менструального цикла: нарушением цикличности, задержкой менструации или затяжным маточным кровотечением. В случае разрыва кисты, перекрута ножки, кровоизлияния в ее полость возникает симптоматика, характерная для острого хирургического состояния. Симптомы могут имитировать острый аппендицит, перитонит, геморрагический шок.
Диагностика кисты желтого тела
Диагностика кист желтого тела достаточно проста. Изначально врач проанализирует жалобы пациентки, осмотрит ее вагинально, соберет детализированный анамнез жизни и болезни.
На следующем этапе проводится динамическое УЗИ органов брюшной полости и малого таза. Стоит помнить, что УЗИ желательно делать в первой половине менструального цикла.
В сложных случаях, для уточнения диагноза или с целью дифференциации лютеиновой кисты от кистомы, текалютеинового ретенционного образования, опухолей яичника может понадобиться диагностическое лапароскопическое исследование.
Также проводится гормональный скрининг, позволяющий узнать об истинном уровне в организме женщины основных половых гормонов (прогестерон, эстроген) и подтвердить наличие беременности (хорионический гонадотропин).
В диагностике кист желтого тела яичника может эффективно использоваться допплерография. В отдельных случаях, для исключения онкологических заболеваний придатков матки изучаются специфические онкомаркеры (СА-125). Не стоит забывать об определении уровня гемоглобина в крови и коагулограмме.
Методы лечения кисты желтого тела
Киста желтого тела яичника – функциональное образование, и достаточно часто оно проходит без вмешательства врачей. Гинекологи могут на протяжении 2-3 менструальных циклов динамически наблюдать за кистой, не предпринимая активных действий. К комплексному лечению переходят только в случае активного роста лютеиновой кисты или длительного отсутствия регрессии (уменьшения). Но стоит помнить, что даже во время консервативной терапии нужно находиться под постоянным контролем врача в связи с возможностью развития осложнений и потребностью в коррекции лечения.
Медикаментозная терапия заключается в правильном лечении проявлений гормонального дисбаланса монофазными или двухфазными оральными контрацептивами, противовоспалительными препаратами. Широко применяется бальнеотерапия, электрофорез, иглоукалывание, лечебная физкультура.
В случае неэффективности консервативного лечения возникает потребность в хирургическом вмешательстве. Удаление лютеиновой кисты происходит путем малоинвазивной операции с использованием лапароскопического оборудования.
В послеоперационном периоде может потребоваться проведение физиотерапевтических процедур, направленных на ускорение восстановления тканей после операции, нормализацию гормонального фона и общее оздоровление организма.
Последствия кисты желтого тела
Киста желтого тела яичника считается доброкачественным образованием с положительным прогнозом на выздоровление, поскольку никогда не озлокачествляется и при благоприятном течении самостоятельно рассасывается. Но все же не стоит пускать все на самотек. Это чревато развитием опасных осложнений, таких как кровоизлияние в кисту, разрыв образования, перекрут ножки, инфицирование.
Попадание содержимого кисты в брюшную полость может вызвать перитонит – смертельно опасное заболевание. Инфицирование кисты вполне может стать причиной бесплодия в будущем.
Не стоит рисковать своим здоровьем. Чуткое руководство грамотного гинеколога позволит Вам быстро, просто и без каких-либо неприятных последствий избавиться от этой проблемы.
Читайте также:

