Кисты и опухоли средостения. Клиника опухолей средостения
Добавил пользователь Владимир З. Обновлено: 08.01.2026
Рак средостения – различные по морфологии злокачественные новообразования, расположенные в срединных отделах грудной полости. Прогрессирование рака медиастинального пространства сопровождается болями в груди, одышкой, дисфонией, кашлем, дисфагией, развитием синдромов Горнера и верхней полой вены. Диагностировать рак средостения помогает рентгенография органов грудной клетки, компьютерное и магнитно-резонансное томографическое исследование, медиастиноскопия или видеоторакоскопия с биопсией. Хирургическое лечение рака средостения может быть радикальным или паллиативным (с целью декомпрессии соседних органов). В большинстве случаев также используется лучевая терапия.
МКБ-10

Общие сведения
В собирательное понятие «рак средостения» включены различные по происхождению объемные злокачественные образования, берущие начало в медиастинальном пространстве. Среди всех опухолей средостения на долю злокачественных новообразований различной гистологической структуры приходится 20-40%. Чаще всего рак средостения представлен лимфомой (ретикулосаркомой, диффузной и нодулярной лимфосаркомой), болезнью Ходжкина; реже встречаются злокачественная тимома, ангиосаркома, нейробластома, дисгерминома, хондросаркома и остеобластокластома. Кроме этого, в средостении могут выявляться метастазы первичного рака различной локализации, саркомы, меланомы. Злокачественные опухоли средостения обнаруживаются преимущественно у лиц молодого и среднего возраста (20-40 лет), с равной частотой у мужчин и женщин. Лечением рака средостения занимаются специалисты в области онкологии и онкопульмонологии.

Причины
Истинные причины развития первичного рака средостения остаются невыясненными. Специалисты-онкологи предполагают, что ведущая роль в этиологии злокачественных новообразований медиастинальной локализации принадлежит ионизирующему излучению, контакту с канцерогенными веществами в быту, сельском хозяйстве и на производстве, вирусным агентам (вирусу Эпштейна-Барр, ВИЧ-инфекции). Риск возникновения неходжкинских лимфом средостения выше у лиц, получавших лучевую терапию по поводу других онкологических процессов, а также у больных аутоиммунными заболеваниями.
Некоторые опухоли изначально развиваются как злокачественные (например, лимфомы и саркомы); другие первично возникают как доброкачественные, но под действием неблагоприятных факторов подвергаются малигнизации (например, тимомы, тератомы и др.); третьи носят метастатический характер. Метастатический рак средостения может являться «отголоском» рака легкого, рака щитовидной железы, рака пищевода или желудка, рака молочной железы, колоректального рака, нефробластомы, меланомы, геморрагической саркомы Капоши при СПИДе. Метастазирование из первичных очагов происходит путем контактного распространения, лимфогенным или гематогенным путем. Выявление метастатического рака средостения служит неблагоприятным прогностическим признаком.
Классификация типов рака средостения
Таким образом, в зависимости от своего происхождения рак средостения подразделяется на первичный (изначально развивается из органов средостения) и вторичный (метастатический рак других локализаций).
Согласно гистогенетической классификации, первичные злокачественные новообразования средостения делятся на опухоли, происходящие из собственных тканей средостения, тканей, дистопированных (смещенных) в грудную полость в процессе эмбриогенеза, и опухоли вилочковой железы:
Злокачественные опухоли, развивающиеся из собственных тканей средостения, включают:
- неврогенные опухоли (неврогенная саркома, нейробластома)
- мезенхимальные опухоли: из соединительной (фибросаркома), жировой (липосаркома), мышечной (лейомиосаркома), лимфоретикулярной (лимфома, лимфосаркома), сосудистой (ангиосаркома) ткани.
Среди дисэмбриогенетических новообразований средостения, берущих начало из дистопированных тканей, могут встречаться:
- опухоли из тиреоидной ткани (злокачественный внутригрудной зоб)
- опухоли из мультипотентных клеток (злокачественная тератома - тератокарцинома)
- хорионэпителиома, семинома (дисгерминома) и др.
Злокачественные тимомы (рак вилочковой железы) склонны к инфильтративному росту, раннему и обширному метастазированию.
Рак средостения может быть классифицирован по локализационному признаку. Так, в верхнем средостении из злокачественных опухолей выявляются лимфомы, тимомы, медиастинальный зоб. В переднем средостении, кроме тимом и лимфом также встречаются мезенхимальные опухоли, тератомы. Среднее средостение поражается лимфомами, заднее средостение является излюбленным местом локализации злокачественных неврогенных опухолей.
Симптомы рака средостения
В течении рака средостения выделяют бессимптомный период и период явных клинических проявлений. Продолжительность бессимптомной стадии зависит от расположения опухоли, ее размеров, гистологического типа, темпа роста, взаимоотношений с другими структурами средостения. Симптоматика всех опухолей средостения довольно сходна, однако для злокачественных новообразований характерно быстрое прогрессирование симптомов. Клиническая картина любой медиастинальной опухоли складывается из общих проявлений, присущих онкопатологии, признаков компрессии или прорастания органов средостения и специфических симптомов, характеризующих разные виды новообразований.
Самой частой жалобой пациентов, страдающих раком средостения, служит болевой синдром, вызванный сдавлением или прорастанием нервных стволов. Боли локализуются на стороне поражения, часто иррадиируют в плечо, шею, область между лопатками, иногда имитируют стенокардию. При сдавлении опухолевым конгломератом верхнегрудных нервных корешков возникает синдром Горнера. При заинтересованности возвратного гортанного нерва появляется осиплость голоса, при компрессии трахеи и крупных бронхов – одышка и кашель, пищевода – затруднение глотания пищи.
При сдавлении растущей опухолью крупных венозных стволов развивается типичный для рака средостения синдром верхней полой вены, характеризующийся одышкой, одутловатостью и синюшностью лица, тяжестью в голове, набуханием вен шеи. В ряде случаев при раке средостения выявляются увеличенные лимфоузлы над ключицей, прорастание опухолью грудной стенки, у детей – выбухание грудины. На поздних стадиях рака средостения возникает слабость, потливость, лихорадочное состояние, похудание. Иногда отмечаются отеки конечностей, артралгии и припухлость суставов, аритмии, гепатомегалия, асцит.
Специфическими симптомами злокачественных лимфом служат ночная потливость и кожный зуд. При внутригрудном зобе возникают симптомы тиреотоксикоза. Для фибросарком средостения типичны эпизоды спонтанной гипогликемии – падение уровня глюкозы в крови. У больных злокачественной тимомой нередко развивается синдром миастении, синдром Кушинга, гипогаммаглобулинемия, анемия.
Диагностика рака средостения
Больные с предполагаемым диагнозом «рак средостения» направляются на консультацию к торакальному хирургу или онкологу. Для установления точного морфологического и топографо-анатомического диагноза решающую роль играют данные рентгенологических, томографических, эндовидеохирургических исследований, результаты биопсии.
Обязательный перечень рентгенологических исследований включает рентгенографию грудной клетки, рентгенографию пищевода с контрастированием, компьютерную томографию. В большинстве случаев проведенное обследование позволяет установить локализацию рака средостения и распространенность процесса, заинтересованность органов грудной полости (легких, диафрагмы, аорты, грудной стенки). Уточнить состояние мягких тканей в зоне новообразования, выявить метастазы опухоли в лимфоузлы и легкие помогает МРТ.
В диагностике рака средостения широко применяются эндоскопические методы. Бронхоскопия позволяет исключить бронхогенную локализацию опухоли, прорастание новообразования в трахею и крупные бронхи. Кроме этого, в процессе исследования может быть проведена трансбронхиальная биопсия образования. В ряде случаев прибегают к трансторакальной биопсии под ультразвуковым или рентгенологическим контролем. При обнаружении увеличенных лимфоузлов в подключичной области показана прескаленная биопсия. При подозрении на лимфоретикулярные опухоли выполняется стернальная пункция с изучением миелограммы.
Высокоинформативными диагностическими исследованиями служат видеоторакоскопия и медиастиноскопия, которые позволяют удостовериться в топографии опухоли средостения, осуществить забор материала для морфологического исследования под контролем зрения. Для ревизии и биопсии средостения также может применяться парастернальная торакотомия и медиастинотомия. Рак средостения необходимо дифференцировать с аневризмой аорты, саркоидозом, эхинококкозом, целомической кистой перикарда, абдомино-медиастинальной липомой и прочими доброкачественными опухолями средостения.
Лечение рака средостения
Тактика лечения рака средостения зависит от типа злокачественной опухоли, ее локализации и распространенности. Одни злокачественные опухоли (ретикулосаркома) чувствительны к лучевому лечению, другие (лимфома, лимфогpанулематоз) – к полихимиотерапии, облучению, иммунохимиотерапии. При метастатическом раке средостения осуществляется паллиативное облучение в комплексе с химиотерапией или гормонотерапией. Наиболее эффективным подходом к лечению радиочувствительных соединительнотканных опухолей и тератобластом признана комбинированная терапия, где радикальному удалению опухоли средостения предшествует неоадъювантная лучевая терапия. Радиорезистентные опухоли (хондpосаpкомы, фибpосаpкомы, злокачественные шванномы, лейомиосаpкомы) в резектабельных случаях сразу подлежат удалению.
Резекция опухолей средостения нередко сопряжена с техническими трудностями, которые обусловлены вмешательством в зоне нахождения жизненно-важных органов, крупных нервных стволов и магистральных сосудов. Под расширенным удалением рака средостения подразумевается полное иссечение опухоли вместе с лимфоузлами окружающей клетчаткой, которая часто дополняется резекцией органов, в которые она прорастает (перикарда, легких, пищевода, нервов, сосудов и др.). При локализации новообразования в заднем средостении обычно осуществляется боковая или заднебоковая торакотомия; в переднем средостении - переднебоковая торакотомия или стернотомия.
Кроме радикального иссечения рака средостения, может осуществляться паллиативное удаление образования с целью декомпрессии средостения. После полного или частичного удаления опухоли проводится химиотерапия или лучевое лечение с учетом наибольшей чувствительности медиастинального новообразования к тому или иному воздействию. Прогноз при раке средостения различается в зависимости от вида опухоли, но в целом неблагоприятный. По показателю выживаемости комбинированное лечение с до- и послеоперационной лучевой терапией имеет преимущества перед хирургическим.
1. Клинические рекомендации по диагностике и лечению больных опухолями средостения и вилочковой желез/ Борисова Т.Н., Бредер В.В., Горбунова В.А. и др. – 2014.
3. Новообразования средостения: принципы дифференциальной диагностики и хирургического лечения: Автореферат диссертации/ Пищик В.Г. – 2008.
4. Современные подходы к лечению больных с опухолями средостения/ Лазутин Ю.Н., Карташов С.З., Зинькович С.А., Кабанов С.Н., Лейман И.А.// Известия Самарского научного центра Российской академии наук – 2009 - Т. 11, №5(2).
Техника проведения операций при образованиях средостения. Общие принципы

Большинство новообразований средостения оперируют, производя боковую торакотомаю или полную срединную стернотомию. Срединную стернотомию выбирают при струме и опухолях вилочковой железы. В тех случаях, когда струма средостения связана с шейным, прибегают к шейно-медиастинальному доступу. Оперативное вмешательство начинают на шее разрезом по Kocher и, если не удается извлечь и экстирпировать струму из шейного доступа, шейный разрез продолжают вниз и производят срединную стернотомию. Встречаются гигантские опухоли, прорастающие в обе плевральные полости, при них приходится производить поперечную стернотомию с двухсторонней торакотомией. Такого рода доступ связан со значительным нарушением дыхательной функции, поэтому желательно избегать его.
Опухоли и кисты, находящиеся в среднем и заднем средостении, а также вблизи от диафрагмы, лучше всего оперировать при боковом доступе, производя стандартную торакотомию. В зависимости от расположения того или иного образования разрез производят кпереди или кзади. С этим связан и выбор соответствующего межреберья. Небольшие доброкачественные опухоли и кисты можно легко удалять и из аксиллярного доступа; при этом щадятся мышцы грудной стенки.
Эксплорация и экстирпация опухоли
После выделения опухоли средостения пальпируют ее. При ощущении флуктуации можно предположить, что это киста средостения. Следует быть осторожным, чтобы не принять аневризму за другое образование средостения. Тератомы, лимфангиомы, лимфомы и некоторые разновидности саркомы иногда имеют смешанную структуру (содержат твердые, жидкие и замазковидные части). В некоторых опухолях пальпируются плотные участки кальцифицированной ткани (дермоидные кисты, тератомы, лимфомы). Если жидкое содержимое находится под сильным напряжением, киста может лопнуть. Нередко вылущивание опухоли затруднено из-за ее больших размеров. В таком случае киста тщательно и осторожно выделяется, а затем ее пунктируют и жидкое содержимое отсасывают. Место пункции зашивают или лигируют. Подозрение на наличие аневризмы (сходное расположение, пульсация) проверяют, производя пробную пункцию тонкой иглой. Отсутствие крови при пункции еще не исключает возможности аневризмы, которая может быть заполнена слоистым организовавшимся тромбом!
Прежде чем перейти к экстирпации опухоли, необходимо произвести осмотр и топографически сориентироваться в отношении связи опухоли с окружающими органами (большими сосудами, перикардом, легким, бронхами, средостением, нервами и спинно-мозговым каналом). Идя сверху вниз, разъединяют окружающую опухоль (кисту) медиастинальную плевру. Нередко при этом проникают в район прохождения трех основных нервных стволов (в заднем средостении — симпатическая цепочка, в средней части средостения — блуждающий нерв, а в переднем — диафрагмальный нерв). Эти нервные стволы необходимо щадить. Доброкачественные опухоли и кисты окружены капсулой, хорошо дифференцированной от окружающих тканей. Их можно легко выделить, отпрепарировать и удалить. Некоторые из злокачественных опухолей прорастают в окружающие ткани; это обстоятельство во многом определяет операбильность данного процесса. Часть перикарда, диафрагмы или легкого может быть удалена вместе с опухолью. Проникновение опухоли в крупные сосуды, сердце и грудную стенку онкологически означает инкурабильность, даже в тех случаях, когда в техническом отношении экстирпация опухоли возможна. В связи с многообразием опухолей средостения следует особо рассмотреть специальные вопросы операционной техники.
Специальная техника операции
Эндоторакальная медиастинальная струма
Примерно в 5% случаев струмы средостения находят истинную эндоторакальную струму (автономную струму), исходящую из эмбриональных зачатков щитовидной железы в средостении. В большинстве случаев медиастинальная струма является загрудинным продолжением шейной части щитовидной железы. Щитовидная железа может быть без особого перехода в виде монолитного конгломерата соединена с загрудинной частью. Встречаются случаи, когда шейная часть струмы только в той или иной степени соединена отшнуровавшимся перешейком от ее грудной части, или даже эта отшнурованная часть выглядит как тонкий шнурок, связующий перешеек (struma endolhoracica falso).
Сравнительно нередко в этих случаях после струмэктомии, произведенной на шее, возникает «медиастинальный рецидив». 7% медиастинальных струм злокачественны (Merlier, Eschapasse, 1973). Малигнизация не имеет внешних характерных проявлений. Сильное сдавливание окружающих органов (например, полой вены) не является типичным, оно может быть вызвано и доброкачественной опухолью. Крупная доброкачественная опухоль средостения, подтвержденная гистологически, включившись в верхнюю апертуру грудной клетки, вызывает сдавливание ветвей верхней полой вены и значительное повышение венозного давления. Расширенные вены создают характерную коллатеральную сеть. При ангиографии полой вены эта коллатеральная сеть отчетливо видна.
Для удаления эндоторакальной струмы можно выбрать как срединную стернотомию, так и комбинированный шейно-медиастинальный доступ. Иногда начинают со срединной стернотомии, выделяют и отделяют струму от окружающих тканей, а затем, после закрытия стернального разреза, удаляют ее через шейный доступ. Мы, однако, придерживаемся мнения о целесообразности обратного порядка оперативного вмешательства. Все более и более часто приходится встречаться с тем обстоятельством, что, начиная операцию на шее, удается извлечь струму, располагающуюся глубоко в средостении, иногда до бифуркации трахеи, так что необходимость в стернотомии отпадает.
Основной опасностью при такой операции является возможность повреждения больших вен. Струма отодвигает левую плечеголовную вену (безымянную вену) кпереди и поднимает ее в вентральном направлении. Уже во время проведения стернотомии следует думать о том, что эта вена расположена сразу за грудиной. Правая плечеголовная (безымянная) вена отодвигается струмой вправо, при этом она сильно изгибается и образует дугу того же направления. При выделении струмы легко повреждаются расширенные и извитые венозные коллатерали. Нижняя щитовидная артерия может простираться далеко вглубь средостения вдоль шейного и медиастинального ложа через перемычку, соединяющую эти два отдела струмы.
Струма, опускаясь от шеи в средостение, простирается впереди больших сосудов (преваскулярно), редко сзади этих сосудов (ретроваскулярно). Как правило, струма асимметричной формы, так как с левой стороны дуга аорты ограничивает ее распространение. Поэтому чаще всего наибольшая часть струмы располагается справа от грудины. Она нередко кольцом охватывает торакальную часть трахеи и распространяется между трахеей и пищеводом. При мобилизации ретроваскулярно расположенной струмы можно легко повредить проходящий справа возвратный нерв, который проходит вокруг подключичной артерии в месте ее выхода из плече-головного ствола.
После окончания оперативного вмешательства ложе, в котором располагалась струма, дренируют, присоединяя дренаж к отсосу. При срединной стернотомии дренаж выводят через эпигастрий. При шейном доступе дренаж выводят на шее, а при шейно-медиастинальном комбинированном вмешательстве дренирование производят как на шее, так и в эпигастрии.
Аденома эпителиальных телец в 20% всех случаев локализуется в передне-верхнем средостении (Derra, 1961). В тех случаях, когда хирург, несмотря на характерную симптоматику, не находит аденому эпителиальных телец на шее, он должен искать ее в средостении и произвести срединную стернотомию.
Опухоли вилочковой железы
В хирургии переднего средостения вилочковая железа играет важную роль. Вилочковая железа обуславливает развитие различных доброкачественных, злокачественных и кистозных новообразований. Опухоли вилочковой железы примерно в 70% случаев связаны с тяжелой миастенией. Однако значительно чаще можно наблюдать миастению без опухоли вилочковой железы. В таком случае миастения протекает на фоне гиперплазии вилочковой железы. Тимэктомия производится и в этих случаях, если медикаментозное лечение не дает результатов.
Вилочковая железа простирается от вырезки грудины до верхних границ перикарда. В горизонтальном направлении эта железа доходит до линий прохождения диафрагмальных нервов. Обе доли железы расположены позади грудины довольно симметрично. Наиболее удачным доступом служит срединная стернотомия, независимо от того, по каким показаниям проводится тимэктомия (опухоль вилочковой железы или ее гиперплазия, миастения). К передней поверхности вилочковой железы проходят сосуды из внутренней грудной артерии и вены. Эти сосуды пересекаются после их перевязки. Затем в обе стороны отодвигают плевру, приподнимают нижний полюс железы и шаг за шагом мобилизуют железу по направлению снизу вверх. От задней поверхности вилочковой железы идут один или два мощных венозных ствола, впадающих с каждой стороны в соответствующие плече-головные вены. После их перевязки и пересечения дальнейшее выделение и удаление гиперплазарованной железы или доброкачественной тимомы происходит без особых трудностей. Исходящая из вилочковой железы лимфосаркома или карцинома, как правило, иноперабильна. Лучевая терапия в каждом подобном случае не должна оставаться без внимания, независимо от того, будет ли удаляться вилочковая железа или нет.
Нейрогенные опухоли
В заднем средостении чаще всего встречаются нейрогенные опухоли. По своей локализации они распространяются от купола плевры до диафрагмы. Опухоли, исходящие из корешков спинного мозга и межреберного нерва, располагаются обычно в реберно-позвоночном углу и в зависимости от строения являются нейриномами или нейрофибромами. Опухоли корешков спинного мозга частично растут внутрь спинномозгового канала, частично же распространяются в средостение. поэтому их называют опухолями в форме песочных часов. Несколько кнаружи от места локализации таких опухолей располагаются ганглионейромы и симпатикобластомы, исходящие из симпатической цепочки и блуждающего нерва.
Операция производится обычно из бокового доступа (стандартная торакотомия), но возможен и аксиллярный доступ. На ощупь опухоль плотная и сращена со своим основанием. После вскрытия медиастинальной плевры над опухолью эту опухоль препарируют и обходят со всех сторон тупым и острым путем, вплоть до основания, где находят ножку опухоли. В этой ножке проходит нерв, из которого исходит опухоль и питающие сосуды. После перевязки ножки опухоли ее пересекают и опухоль удаляют.
Для экстирпации опухоли, имеющей форму песочных часов, приходится расширять межпозвоночное отверстие костным инструментом, чтобы подойти, к той части опухоли, которая расположена рядом со спинномозговым каналом. Если перед операцией на основании симптоматологии и соответствующих исследований (миелография) ставится диагноз опухоли в форме песочных часов, то оперативное вмешательство можно производить и при положении больного на животе. Производят гемиляминэктомию, вскрывают спинномозговой канал и экстраплеврально, удлиняя разрез в сторону средостения, удаляют целиком всю опухоль.
Кисты средостения
Кисты, происходящие из передней кишки
Впервые недели эмбриональной жизни развиваются кисты из передней кишки. Эти кисты связаны с трахеей или с бронхом и снабжены реснитчатым эпителием (трахеальные или бронхиальные кисты). Ткани другой группы этих кист напоминают стенку кишечного тракта (гастроэнтерогенные кисты). Они расположены в средней части верхнею средостения, реже — в средней части нижнего средостения. После вскрытия кисты отсасывают ее творожисто-слизистое содержимое и производят осмотр. Если киста полностью отграничена от воздухоносных путей, ее удаление не представляет особых трудностей. Если же эта киста соединяется с дыхательными путями только посредством тонкой ножки, то, прежде чем удалить кисту, ножку выделяют и перевязывают. Нередко, однако, трахея или бронх соединяются с кистой широким основанием. Полость кисты отделяется от просвета трахеи или бронха только тонкой, перфорированной мембраной. При сдавливании такого рода кисты мембрана сильно выпячивается кпереди, через нее может выступать и воздух. В таких случаях из стенки кисты формируют створчатный лоскут, пришивают его к мембране, фиксируя затем частыми швами к интактному краю трахеи.
Кисты мезотелиального происхождения. Кисты мезотелиального происхождения являются частыми образованиями, локализующимися в нижнем средостении и исходящими из перикарда. Полностью отшнурованный канал или канал диаметром 2-3 см соединяет эту кисту с полостью перикарда (дивертикул). В обоих случаях кисты заполнены перикардиальной жидкостью. Так как эти кисты обычно рыхло связаны с окружающими их тканями, то их удаление не представляет особых трудностей. Если речь идет о т.н. дивертикуле, то его ножку только перевязывают.
Околоперикардиальные липомы
Околоперикардиальные липомы могут находиться в любой части нижнего средостения. Чаще всего они исходят из околоперикардиальной жировой клетчатки. Второй тип этой опухоли имеет отношение к диафрагмальным грыжам; по происхождению и локализации их трудно отличить от грыж грудино-реберного пространства. Околоперикардиальные липомы могут достигать чрезвычайно больших размеров и даже претерпевать саркоматозное перерождение. Если липома плотно сращена с перикардом, следует вскрыть полость перикарда и осмотреть ее изнутри. При необходимости вместе с опухолью удаляют и соответствующую часть перикарда. При выделении опухоли следует прежде всего следить за тем, чтобы не были повреждены диафрагмальный нерв и сопровождающие его перикардио-диафрагмаль-ные артерия и вена.
Медиастинальные лимфомы (туберкуломы)
Локализация медиастинальных лимфом и трудности их экстирпации являются характерными и типичными. Эти опухоли располагаются в области между трахеей, непарной веной и верхней полой веной. Творожистое содержимое опухоли просвечивает через медиастинальную плевру и имеет своеобразный желтый цвет. Опухоль связана с окружающими тканями Рубцовыми сращениями. При экстракапсулярном (радикальном) удалении опухоли можно повредить трахею, главный бронх, непарную вену и даже верхнюю полую вену. Чтобы избежать такого рода осложнений, вскрывают капсулу туберкуломы, удаляют ее творожистое содержимое ложечкой Volkmann, после чего шаг за шагом удаляют стенку туберкуломы в тех пределах, которые позволяют не повредить расположенные рядом органы.
Следует придерживаться этого правила и особенно предохранять от повреждения крупные сосуды, в частности верхнюю полую вену, сращенную с опухолью (туберкуломой, хондромой, саркомой и т. д.). Для этой цели зажимом Safinsky или Derra сращенный участок сосуда выключается из кровотока. Если это невозможно, то сосуд выделяют вне опухоли и на его центральную (интраперикардиальную) и периферическую части накладывают турникетные держалки. На турникетах производится временное пережатие сосуда, и если при удалении опухоли произошло повреждение его стенки, то поврежденная часть ушивается. Чтобы полая вена не была сужена, можно применить лоскутную пластику. Если опухолевый процесс привел к сдавливанию верхней полой вены, то может встать вопрос о шунте «by-pass»: о наложении шунта между периферическим отрезком верхней полой вены и правым ушком сердца. Для такого шунта используются аутовенозный участок подкожной вены бедра или синтетический сосудистый протез.
Кисты и опухоли средостенья

Проблема диагностики и лечения опухолей средостения по-прежнему остается наиболее сложной и актуальной в клинической онкологии. Эти новообразования составляют 2-7% всех опухолей человека. В начальных стадиях опухоли средостения протекают бессимптомно или с незначительной органоспецифической симптоматикой. У 1/3 больных клиническая симптоматика отсутствует. По мере увеличения размера опухоли, давления, смещения и прорастания в соседние структуры и органы развиваются медиастинальные синдромы. Несмотря на расширение возможностей первичной и уточняющей диагностики, методик морфологической верификации опухоли, установление точного диагноза порой остается сложной задачей клинициста.
Выбор оптимальной лечебной тактики нередко вызывает значительные трудности в связи с многообразием гистологических форм новообразований, особенностями их локализации в различных отделах средостения и взаимоотношений с соседними анатомическими структурами и органами.
Хирургическая анатомия средостения (по Литтманну) - средостение является комплексом топографо-анатомически связанных органов и тканей. Сзади – позвоночный столб, спереди – грудина, с боков – медиастинальная плевра, снизу – диафрагма, кверху средостение без четких границ переходит в область шеи.
В целях облегчения определения той или иной локализации средостение разделяется в хирургии на два отдела. В верхнем средостении различают – переднюю и заднюю, в нижнем – переднюю, среднюю и заднюю части.
Граница между верхним и нижним средостением проходит на уровне 4 грудного позвонка. Границей между передней и задней частями верхнего средостения служит трахея.
В передней части располагаются – вилочковая железа, крупные вены, дуга аорты; в задней – пищевод, пограничный ствол симпатических ганглиев и грудной проток. Передняя и средняя части нижнего средостения почти полностью заняты сердцем и перикардом, перикардиальной жировой клетчаткой. Верхняя треть среднего средостения содержит следующие образования – бифуркацию трахеи с лимфатическими узлами, основной ствол и разветвления легочной артерии, восходящая часть и дуга аорты. В нижнем заднем средостении, рядом с нисходящей частью аорты, проходят те же самые образования, что и в задней части верхнего средостения.
Общие сведения об опухолях и кистах средостения
20% - опухолей средостения первичнозлокачественные. 50% при дальнейшем наблюдении из доброкачественных опухолей превращаются в злокачественные.
При увеличении размеров опухоли нарушается: дыхание, кровообращение, акт глотания.
Все опухоли средостения должны быть удалены. Лучевая терапия только при опухолях больших размеров (можно начать с нее, и при злокачественной природе – очень быстро уменьшаются).
Классификация. Мы придерживаемся классификации опухолей средостения предложенной академиком Петровским Б.В.:
- Кисты (эпидерамальные, бронхогеннные, эхинококки)
- Злокачественные новообразования:
- первичные - лимфогранулематоз, саркома, меланома;
- метастазы – саркомы, рака, меланомы и др.,
Деление опухолей средостения на злокачественные и доброкачественные является условным, так как иногда точную границу между ними провести нельзя. Например, при тератоме или тимоме вообще трудно определить границу перехода доброкачественного новообразования в злокачественное.
Клиника и диагностика
Как таковой клиники нет, состоит из синдромов:
- сдавления (зависит от органа или тканей, на которые оказывается давление);
- гипо– или гиперфункции железы, из которой развивается опухоль(миастенический синдром, гипертиреозы);
- раздражение симпатического нерва (энофтальм, птоз, миоз – триада Горнера, обусловлена атрофией позадиглазничной клетчатки).
Диагностика складывается из хорошо собранного анамнеза и рентгенологических методов исследования. Необходимо исключить образования относящиеся к сердечно-сосудистой системе – аневризма сердца, аорты.
Всем больным необходимо производить прямую и боковую рентгенографию органов груди. У ряда больных очень показательные данные удается получить путем томографии. Для более рельефного выявления различных новообразований средостения большую ценность имеет так называемая пневмомедиастинография, т.е, рентгенография после введения в клетчатку средостения воздуха или кислорода, который вводят под местной анестезией за рукоятку грудины, под мечевидным отростком или около края грудины в одном из межреберных промежутков в количестве от 500 до 1000 см 3 . При анализе пневмомедиастинограмм – или пневмомедиастинотомо-грамм, который должен быть произведен квалифицированным рентгенологом, в большинстве случаев удается достаточно точно определить локализацию, размеры и другие особенности имеющегося новообразования.
Иногда приходится прибегать к более сложным методам исследования – ангиография, азигография, торакоскопия, трансторакальная пункционная биопсия, чрезбронхиальная биопсия, медиастиноскопия, парастернальная медиастинотомия. Хотя следует сказать о том, что окончательное уточнение диагноза происходит, как правило, на операционном столе. Во время операции при всех относительно неясных случаях участок опухоли должен быть взят для экстренного гистологического исследования с целью установления ее природы и уточнения операбельности.
Злокачественные опухоли средостения
Наиболее частыми разновидностями этих опухолей являются лимфогранулематоз, лимфосаркома, ретикулосаркома , относящиеся к системным злокачественным опухолевым формам лимфоретикулеза, а также различные формы тимом, злокачественных внутригргудных и загрудинных струм.
Итак, лимфогранулематоз нередко трудно дифференцировать от лимфосаркомы и ретикулосаркомы. Согласно исследованиям Скотта, различие этих трех опухолевых форм заключается главным образом в степени дифференциации клеток. Поэтому некоторые авторы объединяют их под общим названием «лимфомы ».
У больных лифогранулематозом имеется определенная, подчас весьма сложная клиническая симптоматика, выражающаяся повышением температуры до38° и , что характерно это происходит периодически, изменениями крови с лейкоцитозом, эозинофилией и ускоренной СОЭ, нередко кожным зудом. В связи с тем, что эти симптомы у многих больных бывают выражены слабо, они не привлекают к себе должного внимания. Главным признаком, с которым приходится сталкиваться в хирургической клинике, являются рентгенологические симптомы. Компрессионный синдром развивается позже. Диагноз лифогранулематоза бывает относительно прост в тех случаях, когда наряду со средостением поражаются различные группы периферических лимфатических узлов; при поражении только медиастинальных лимфатических узлов диагноз весьма труден и просто невозможен без биопсии.
Для взятия биопсии раньше приходилось прибегать к торакотомии. В настоящее время у ряда больных материал для гистологического исследования может быть получен более простым способом – при парастренальной медиастинотомии или медиастиноскопии.
Способ парастернальной медиастинотомии состоит в следующем: разрез длиной 5 см, на высоте 2-3 реберного хряща, параллельно грудине. Субперихондрально резецируется участок одного из реберных хрящей в 2- 3 см, а также участок межреберной мышцы после ее перевязки дистальнее и центральнее места иссечения.
Способ медиастиноскопии, предложенный Карленсом, состоит в следующем: под общим наркозом делают небольшой разрез над яремной вырезкой. Затем с помощью ларингоскопа, бронхоскопа или специально сконструированнго инструмента медиастиноскопа тупо расслаивают клетчатку позади грудины и проникают в переднее средостение. Кусочки ткани лимфатических узлов или непосредственно из опухоли берут бронхоскопическими или специальными щипцами.
При гистологическом подтверждении диагноза лимфогранулематоза средостения хирургическое вмешательство обычно целесообразно при ограниченных поражениях, а при распространенных требуется удаление максимально большой части опухоли, с последующей химиолучевой терпией, так как они весьма эффективны. Ремиссия достигается почти у 95% пациентов.
Особенно эффективна лучевая терапия при лимфосаркоме средостения. У больных с лимфосаркомой опухоль иногда буквально «тает» под влиянием облучения и может даже исчезнуть совсем. Мы имеем несколько наблюдений выздоровления больных с гистологически доказанной лимфосаркомой средостения после лучевого лечения. В случаях рецидива опухоли, исходящей из лимфоидной ткани, повторное лучевое лечение гораздо менее эффективно, применение же полихимиотерапии может сопровождаться у этих больных более длительными ремиссиями.
Опухоли исходящие из зобной железы, т.е. тимуса, называют тимомами. Обычно тимомы имеют злокачественный характер. Несмотря на медленный рост, малигнизация тимом раньше или позже наступает всегда. Макроскопически тимомы представляют собой относительно большие округлые или уплощенные образования, которые на разрезе имеют так называемое бахромчатое строение. В отдельных случаях опухоль может иметь кистозный характер.
Дифференциальная диагностика между тимомами, лимфосаркомами и лимфогранулематозом весьма трудна. Другое дело когда тимомы сопровождаются клиникой миастении. При миастениях нарушается нервно-мышечная передача в результате блокады и повреждения ацетилхолиновых рецепторов постсинаптической мембраны антителами, циркулирующими в крови, что и обусловливает клинические проявления заболевания. Генерализованная миастения – нейроэндокринное аутоиммунное заболевание, характеризующееся слабостью и патологической утомляемостью поперечно-полосатой мускулатуры.
Тимомы, как правило, располагаются непосредственно за рукояткой или телом грудины и только в запущенных случаях сдавливают или смещают трахею либо пищевод. Однако сосуды средостения и особенно плечеголовные вены при тимоме все же сдавливаются, что затрудняет отток по венозной системе головы и шеи. В таких случаях лицо больного бывает цианотично, отечно, вены на шее напряжены, венозное давление повышается и может достигать 15- 20 см вод.ст. Примерно у 3% больных с тимомами опухоль располагается в нижнепереднем средостении.
Вообще, удаление вилочковой железы в сочетании с адекватной терапией ацетилхолинэстеразными препаратами (АХЭП), кортикостероидными гормонами, препаратами калия, иммунодепрессантами (азатиопирин), цитостатиками (метотрексат) при миастении позволяет добиться удовлетворительного уровня качества жизни больных.
Одним из эффективных способов является торакопневмоскопический способ с использованием видеотехники.
В хирургической клинике чаще всего приходится встречаться с доброкачественными опухолями средостения, прежде всего с так называемыми неврогенными опухолями.
Неврогенные опухоли практически оказываются у каждого пятого больного, оперированного по поводу опухоли средостения. В зависимости от гистологического строения среди неврогенных опухолей различают ганглионевриному, ганглионейробластому, невриному.
Клиника неврогенных опухолей отличается некоторыми особенностями, обусловленными тем, что опухоль исходит либо из симпатического нервного ствола, либо из межреберных нервов или из нервных корешков спинного мозга. Все симптомы мы делим на три основные группы: первая группа – это неврологические признаки: боль в груди, синдром Горнера, изменение кожи на стороне поражения, в редких случаях – парезы верхних или нижних конечностей; вторая группа симптомов обусловлена сдавлением сосудов и органов средостения; третья – деформация костей груди.
При рентгенологическом исследовании больных с неврогенными опухолями обнаруживают округлую гомогенную тень, которая имеет ровные контуры и располагается в задних отделах средостения, примыкая к позвоночнику или к задним отрезкам ребер. Она особенно хорошо контурируется после наложения пневмомедиастинума или пневмоторакса.
Существенное практическое значение имеют некоторые варианты неврогенных опухолей, обусловленные особенностями их роста. Так, некоторые опухоли имеют форму песочных часов. При этом одна часть такой опухоли располагается в позвоночном канале, а другая – в грудной полости. У ряда больных с неврогенными опухолями ввиду вовлечения в процесс симпатического ствола отмечаются различные секреторные, вазомоторные и трофические расстройства кожи, верхней половины туловища, верхней конечности, шеи, лица на стороне опухоли. В связи с этим подобных больных следует консультировать со специалистом-невропатологом.
Современное хирургическое вмешательство при неврогенных опухолях средостения очень эффективно. Операция дает минимальную летальность и сопровождается практически полным и стойким выздоровлением больных.
Другими частыми доброкачественными новообразованиями средостения являются так называемые тератоидные образования, к которым относят эпидермоидные и дермоидные кисты и тератомы.
Дермоидные кисты образуются вследствие отщепления частиц эктодермы и погружения их в средостение при слиянии кожных покровов в процессе эмбрионального формирования передних отделов грудной клетки. Практически дермоидные кисты состоят из различных тканей: соединительной, эпителия, сальных желез и т.д. Поэтому их относят к так называемым органоидным образованиям. Характерная локализация дермоидных кист – передневерхний отдел средостения. У ряда больных кисты располагаются и в нижних отделах средостения. Наиболее достоверным клиническим симптомом дермоидной кисты является откашливание больным кашицеобразных масс с примесью жира и волос, что наблюдается в связи с прорывом кисты в бронх. Этот симптом встречается примерно у 30% больных. У ряда больных отмечается выпячивание груди в области расположения опухоли. У половины больных опухоль вызывает различные нарушения со стороны сердечно-сосудистой системы: приступы стенокардии, учащение пульса, боли.
При всех дермоидных кистах и тератомах средостения показано радикальное оперативное вмешательство с удалением опухоли.
Более редкими доброкачественными новообразованиями средостения являются липомы, лимфангиомы, бронхогенные и эпителиальные кисты, целомические перикардиальные кисты. Эти новообразования, как правило, протекают доброкачественно. Но и при них в отдельных случаях может наблюдаться малигнизация со всеми вытекающими отсюда последствиями. Поэтому радикальное оперативное вмешательство рекомендуется при всех доброкачественных новообразованиях средостения.
Сосудистые новообразования средостения
Наблюдаются у 1,3-6% взрослых. В литературе сообщено не более 300 наблюдений.
- зрелые (гемангиомы, лимфангиомы, гломусные, ангиолейомиомы, гемангиоперицитомы);
- незрелые (ангиоэндотелиомы, перителиома – злокачественная перицитома, ангиосаркома).
Диагностика: помимо клинических, рентгентомографических исследований показана ангиография, пункционная тонкоигольная трансторакальная или транстрахеальная биопсия, пункционная вазография.
Лечение в основном хирургическое, некоторые авторы в случае неоперабельности применяют инъекции склерозирующих веществ – 30% раствор глюкозы, спирта с йодом, диодона.
Все операции при опухолях средостения в настоящее время производится под эндотрахеальным наркозом с мышечными релаксантами и управляемым дыханием. Основным доступом к органам средостения является переднебоковой межреберный разрез по четвертому, пятому или шестому межреберью. В отдельных случаях может быть использована срединная стренотомия, а также комбинированный доступ со стороны плевральной полости и со стороны шеи. Последний приходится изредка применять при некоторых формах внутригрудного зоба.
Послеоперационное ведение больных, оперированных по поводу новообразований средостения, не менее каких-либо специфических особенностей и является общим для торакальной хирургии.
Необходимо констатировать, что при доброкачественных опухолях средостения достижения современной анестезиологии и торакальной хирургии позволяют радикально излечивать почти всех больных. В то же время при злокачественных опухолях средостения оперативное удаление возможно относительно редко, а лучевая терапия и химиотерапия остаются малоэффективными. Чрезвычайно важно своевременно оперировать больных доброкачественными опухолями средостения. Эта тактика предотвращает переход ряда доброкачественных опухолей в злокачественные, ликвидирует опасность прогрессирующего сдавления органов и в целом значительно улучшает исходы лечения больных с различными новообразованиями средостения.
Нужно уметь определить правильный доступ:
- если опухоль в переднем средостение строго по середине, то показана стернотомия; если опухоль выступает вправо или влево, то переднебоковая торакотомия по 4 межреберью;
- в среднем средостение – боковая торакотомия в 5,6,7 межреберьях;
- в заднем средостении -–заднебоковая торакотомия в 5,6,7 межреберьях;
- при ныряющих и загрудинных струмах – шейный доступ, при внутригрудном – стернотомия.
При злокачественных опухолях средостения лечение должно быть комбинированным:
Кисты средостения
Кисты средостения – многочисленная группа полостных образований медиастинального пространства врожденного и приобретенного характера. Кисты средостения могут иметь бессимптомное течение или сопровождаться признаками компрессии окружающих органов (бронхов, пищевода, предсердий, артерий), нарушая их функцию. Диагностика кист средостения подразумевает проведение полипозиционной рентгеноскопии и рентгенографии грудной клетки, пищевода, сердца; томографии; бронхоскопии, пневмомедиастинографии, медиастиноскопии, тонкоигольной аспирационной биопсии, УЗИ средостения, парастернальной медиастинотомии. Лечение кист средостения может включать их открытое или торакоскопическое удаление, трансторакальную пункцию кисты с дренированием и склерозированием и др.
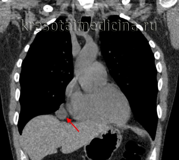
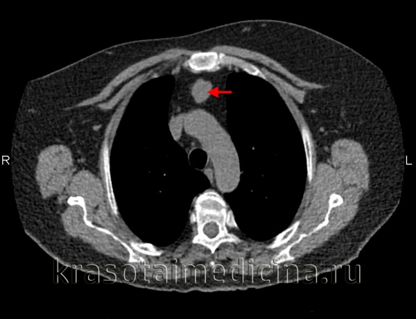
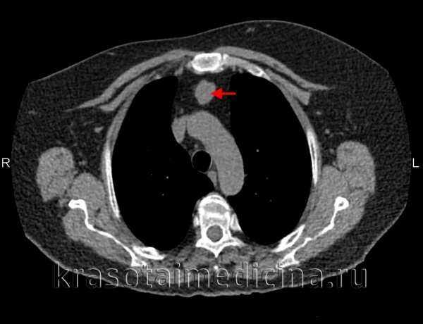
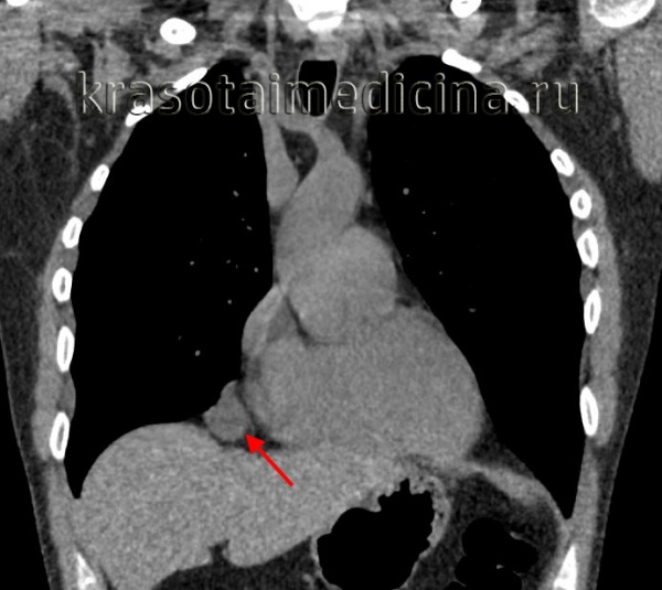
![Кисты средостения]()
![КТ ОГК. Киста в переднем нижнем средостении (киста перикарда).]()
Кисты средостения составляют от 14 до 18,5% всей медиастинальной патологии. К кистами средостения относят полостные образования различного генеза, происходящие из разнородных тканей и объединенные анатомо-топографическими особенностями расположения. Преимущественно обнаруживаются у пациентов в возрасте 20-50 лет, при этом с одинаковой частотой у женщин и мужчин.
Кроме кист, в средостении могут развиваться истинные доброкачественные и злокачественные опухоли: тимомы, тератомы, липомы, нейрогенные опухоли, лимфомы, саркомы, лимфогенные метастазы злокачественных опухолей различных органов и др. Проблема диагностики и лечения кист средостения относится к числу наиболее сложных и актуальных разделов пульмонологии и торакальной хирургии.
Анатомия средостения
Под средостением (mediastinum) понимают сложное в анатомическом отношении пространство, расположенное в грудной полости. Спереди границами средостения служат грудина, позадигрудинная фасция и реберные хрящи; сзади - предпозвоночная фасция, передняя поверхность грудного отдела позвоночника и шейки ребер; по бокам - листки медиастинальной плевры; снизу – диафрагма; сверху - условная горизонтальная плоскость, проходящая по верхнему краю рукоятки грудины. Т.о., в медиастинальном пространстве выделяют 3 отдела (переднее, среднее и заднее средостение) и 3 этажа (верхнее, среднее и нижнее средостение).
В средостении сосредоточены жизненно важные органы и анатомические образования (крупные сосуды, нервные стволы и сплетения, лимфатические протоки, бифуркация трахеи и главные бронхи, пищевод, перикард и др.). Поэтому компрессия или инвазия этих структур может сопровождаться различными по проявлениям и нередко угрожающими жизни симптомокомплексами. Кисты средостения могут выявляться в любых отделах и этажах медиастинального пространства.
Классификация кист средостения
Кисты средостения классифицируются по происхождению и локализации. Среди множества кист средостения различают истинные (врожденные, первичные), вторичные (приобретенные).
Врожденные кисты средостения развиваются из мезодермальных образований - целома или передней кишки. К ним относятся целомические, энтерогенные, бронхогенные, дермоидные кисты, кисты тимуса и др. Приобретенные кисты средостения происходят из лимфатических сосудов, различных органов средостения и пограничных областей. В число приобретенных кист средостения входят лимфатические, тимусные, паразитарные (эхинококковые), менингеальные.
Целомические кисты и дивертикулы перикарда
Являются своеобразным врожденным пороком развития и составляют 3,3-14,2% всех медиастинальных новообразований. Наиболее часто кисты перикарда (60%) развиваются в правом кардиодиафрагмальном углу, реже (30%) – в левом кардиодиафрагмальном углу и других отделах средостения (10%). Такие кисты средостения являются полыми тонкостенными образованиями, сходными по строению с тканями перикарда, имеют гладкую поверхность серо-желтого или серого цвета.
Кисты перикарда содержат прозрачную серозную или серозно-геморрагическую жидкость. Целомические кисты перикарда могут достигать диаметра от 3 до 20 и более см. Целомические кисты средостения могут быть однокамерными или многокамерными, сообщаться с полостью перикарда, быть связанными с перикардом посредством ножки или плоскостного сращения. Приобретенные кисты перикарда встречаются редко; обычно имеют воспалительное и травматическое происхождение. Также описаны паразитарные (эхинококковые) кисты перикарда.
Бронхогенные кисты средостения
Встречаются в 30-35% наблюдений. Они также являются пороками эмбрионального развития и формируются из участков дистопированного бронхиального эпителия. Макроскопически представляют тонкостенные образования, заполненные прозрачной, реже бурой жидкостью. При гистологическом исследовании в них обнаруживается хрящевая ткань, соединительнотканные и гладкомышечные волокна слизистые железы.
Полость бронхогенной кисты средостения изнутри выстлана эпителием цилиндрического или реснитчатого типа. Внутри кисты содержится прозрачная или мутноватая желатинообразная, вязкая масса, которая, при наличии связи кисты с бронхиальным деревом, может нагнаиваться. Бронхогенные кисты средостения обычно располагаются позади бифуркации трахеи и тесно соприкасаются с трахеей или главными бронхами, иногда - пищеводом. Обычно они имеют однокамерное строение и достигают размеров 7-10 см в диаметре.
Гастроэнтерогенные кисты средостения
Энтерокистомы являются эмбриональными производными из первичной кишки. С учетом микроскопического сходства их структуры с отделами ЖКТ, выделяют пищеводные, желудочные и кишечные кисты. Гастроэнтерогенные кисты средостения встречаются в 0,7-5% случаев. Они представляют собой однокамерные округлые или овоидные образования, с толстыми стенками и ножкой; локализуются преимущественно в заднем средостении. Гастроэнтерогенные кисты средостения содержат мутноватую слизевидную массу. Желудочные кисты могут продуцировать соляную кислоту, что приводит к изъязвлению стенок, кровотечению, язвам и перфорации стенок кисты средостения. В редких случаях в стенке кисты может развиваться рак.
Дермоидные кисты средостения
Кистозные тератомы содержат в своей структуре элементы эктодермы и возникают в процессе нарушения эмбриогенеза. В медицине встречаются дермоидные кисты яичников, брюшной стенки, кожи, забрюшинной клетчатки, печени, почек и др. органов и тканей. Дермоидные кисты обычно расположены в передневерхнем отделе средостения. Величина дермоидных кист средостения может достигать 15-25 см. Форма кистозных тератом обычно неправильная овальная; консистенция эластическая или мягкая. Стенки кисты могут содержать хрящевые и известковые включения. Внутри кисты заключена густая кашицеобразная жирная масса с множеством различных включений (волос, чешуек эпидермиса, кристаллов холестерина, аморфных жиров, зубов).
Кисты вилочковой железы
Могут иметь врожденное и приобретенное (воспалительное, опухолевое) происхождение. Они преимущественно выявляются у детей и людей молодого возраста.
Симптомы кист средостения
Особенности клинических проявлений кисты средостения обусловлены типом и расположением образования, его величиной и скоростью роста. В большинстве случаев симптоматика развивается на том этапе, когда увеличение кисты средостения вызывает компрессию других органов и неизбежное нарушение их функций.
Течение кист перикарда в большинстве случае бессимптомное, гладкое. Нередко они являются находкой при прохождении профилактической флюорографии. Иногда наблюдаются сердцебиение, одышка, сухой кашель, возникающие при перемене положения туловища и физической нагрузке. При осложненном течении целомических кист средостения может иметь место провыв содержимого кисты перикарда в бронх, нагноение и разрывы кисты.
Развитие бронхогенных кист средостения нередко сопровождается надсадным кашлем, одышкой, дисфагией, тупой болью в грудной клетке. При сдавлении кистой дыхательных путей развивается стридорозное дыхание. В случае прорыва бронхогенной кисты средостения в бронх может появиться кровохарканье. При одновременном прорыве кисты в плевральную полость и в бронх, развивается гидропневмоторакс и бронхоплевральный свищ.
Гастроэнтерогенные кисты средостения проявляют себя кашлем, одышкой, тахикардией, дисфагией, болью в груди. Энтерокистомы могут прорываться в трахею, бронхи, плевральную полость, средостение, вызывая развитие кровохарканья, эмпиемы плевры, частых пневмоний, лихорадки неясного генеза, бронхоэктазов, медиастинита.
Более чем в половине случаев дермоидная киста средостения сопровождается различными сердечно-сосудистыми нарушениями: приступами стенокардии, болью в области сердца, тахикардией. У 30% больных признаком дермоидной кисты средостения служит появление продуктивного кашля с выделением кашицеобразной массы, содержащей примесь волос и жира, что наблюдается при прорыве кисты в бронх. У части пациентов отмечается выпячивание грудной стенки в проекции расположения опухоли.
Симптоматика кист вилочковой железы может быть разнообразной – от бессимптомного течения до осложненного. Достигнув известных размеров, кисты могут вызывать медиастинальный «компрессионный» синдром. В некоторых случаях на первый план выходит миастенический синдром. Опасность кист вилочковой железы заключается в риске нагноения, прорыва в плевру, кровотечения.
Осложнения
Наиболее грозным осложнением кист средостения служит так называемый синдром медиастинальной компрессии, частота которого колеблется от 27 до 39%. Сюда может входить компрессия дыхательных путей, синдром верхней полой вены (СВПВ), сдавление пищевода, сердца, возвратного нерва.
При компрессии дыхательных путей развивается стридорозное дыхание, одышка, дыхательная недостаточность. Синдром ВПВ проявляется цианозом кожи лица, видимых слизистых оболочек, шеи, верхних конечностей и грудной клетки; отечностью мягких тканей этой зоны; расширением и напряжением вен шеи; повышением давления в системе ВПВ. Сдавление кистами различных структур средостения может сопровождаться дисфагией, дисфункцией надгортанника, дисфонией, компрессией и дислокацией сердца.
К прочим осложнениям кист средостения относятся их прорывы в полости плевры, бронхи и легкое, кровотечения в средостение и плевральную полость (гемоторакс). Осложненное течение кист средостения несет в себе потенциальную угрозу жизни пациента.
Диагностика
Методы выявления кист средостения включают рентгенологическую, ультразвуковую, томографическую, эндоскопическую, морфологическую диагностику.
- Рентгенологические исследования. Полипозиционная рентгеноскопия и рентгенография грудной клетки, рентгенография пищевода и сердца, пневмомедиастинография позволяют определить локализацию, форму и размеры кисты, ее связь с соседними органами, изменение положения при дыхательных движениях.
- Томографическая диагностика. Для более детальной оценки структуры, толщины стенок кисты, характера содержимого и взаимоотношения с соседними анатомическими образованиями, производится КТ и МРТ средостения.
- Эхография. При медиастинальных новообразованиях в диагностической практике широко используется УЗИ средостения. В диагностике кист перикарда существенно помогает ЭхоКГ, позволяющая дифференцировать кисту средостения от кист легкого, дермоидных кист средостения, аневризмы аорты.
- Бронхологическое обследование. При кистах средостения, демонстрирующих интимную связь с трахеей или бронхами, прибегают к выполнению бронхоскопии и бронхографии.
![КТ ОГК. Киста в переднем нижнем средостении (киста перикарда).]()
Если названные методы диагностики не позволяют определиться с нозологией образования, целесообразен переход к инвазивным диагностическим исследованиям:
- Биопсия. Проведение аспирационной тонкоигольной биопсии кисты средостения позволяет осуществить цитологическое исследование полученного пунктата и верифицировать морфологию образования в 80-90% случаев. Тонкоигольная биопсия может выполняться чрескожным, чрестрахеальным, чрезбронхиальным, чреспищеводным доступом.
- Диагностические операции. С целью визуализации и открытой эксцизионной биопсии опухоли средостения может быть предпринята медиастиноскопия, диагностическая торакоскопия, парастернальная медиастинотомия.
Лечение кист средостения
Лечебная тактика в отношении кист средостения сводится к их хирургическому удалению в возможно ранние сроки. Такой подход является профилактикой развития компрессионного синдрома, разрыва и малигнизации кист средостения.
- Открытое удаление кисты средостения может проводиться путем продольной стернотомии (при расположении кисты в переднем средостении), с помощью переднебоковой торакотомии на стороне поражения (при боковом расположении образования), боковой торакотомии (при локализации опухоли в среднем средостении), заднебоковой торакотомии (при расположении кисты в заднем средостении). Открытые операции обеспечивают возможность наибольшей свободы действий и полноценной интраоперационной ревизии раны. При развитии осложнений может потребоваться проведение медиастинотомии.
- Торакоскопическое удаление кист средостения также широко и успешно применяется не только для диагностики, но и для удаления медиастинальных образований. В некоторых случаях используется миниторакотомия с видеоподдержкой.
- Пункционная аспирация. У соматически отягощенных пациентов с низкими функциональными резервами методом выбора служит трансторакальная пункция с дренированием и склерозированием кисты средостения. В качестве склерозантов обычно используется раствор спирта с йодом, глюкозы.
1. Опухоли и кисты средостения (включая патологию вилочковой железы)/ Овнатанян К.Т. Кравец В.М. – 1971.
2. Новообразования средостения: принципы дифференциальной диагностики и хирургического лечения: Автореферат диссертации/ Пищак В.Г. – 2008.
3. Клинические рекомендации по диагностике и лечению больных опухолями средостения и вилочковой желез/ Борисова Т.Н., Бредер В.В., Горбунова В.А., Иванов С.М., Лактионов К.К., Михина З.П., Реутова Е.В., Полоцкий Б.Е., Тюляндин С.А. – 2014.
Читайте также:


