Клинические варианты церебрального паралича. Признаки
Добавил пользователь Евгений Кузнецов Обновлено: 26.11.2025
Клинические варианты церебрального паралича. Признаки
Спастический церебральный паралич. При этом поражении наблюдают повреждение эфферентного моторного пути (пирамидного или кортикоспинального тракта). Тонус конечностей увеличен (спастически), что сочетается с оживлением глубоких сухожильных рефлексов и реакций мышц-разгибателей подошвы. Повышенный тонус конечностей может под давлением неожиданно исчезнуть по типу «складного ножа».
Спастические явления обычно обнаруживают рано и они могут наблюдаться даже в неонатальном периоде. Иногда сначала выявляют гипотонию, особенно в голове и туловище. Существует три основных типа спастического церебрального паралича.
• Гемиплегия — одностороннее вовлечение руки и ноги. Рука обычно поражена больше, чем нога, лицо интактно. Нарушения у детей часто встречаются в возрасте 4-12 мес в виде сжатой в кулак поражённой кисти, согнутой руки, пронации локтя, асимметрии движений или функций руки. Впоследствии может проявиться хождение на цыпочках (походка с носка на пятку) на стороне поражения.
Поражённые конечности вначале могут быть вялыми и гипотоничными, однако повышенный тонус вскоре становится основным симптомом.
Анамнез обычно нормальный, родовой анамнез также ничем не примечателен, данные о гипоксической ишемической энцефалопатии (ГИЭ) отсутствуют. Однако в некоторых случаях состояние бывает вызвано неонатальным инсультом.
• Тетраплегия — поражены все четыре конечности, часто грубо. Руки могут быть поражены больше, чем ноги. В туловище наблюдается разгибатель-ная поза, слабое удерживание головы и низкий общий тонус. Эта форма церебрального паралича часто связана с припадками, микроцефалией, умеренной или глубокой интеллектуальной недостаточностью. Здесь в послеродовом анамнезе возможна ГИЭ.
• Диплегия — вовлечены все четыре конечности, но ноги поражены в гораздо большей степени, чем руки, так что функции рук могут оказаться относительно сохранными. Затруднения движений в руках наиболее очевидны при их функционировании. Походка нарушена.

Атаксический гипотонический церебральный паралич
Симптомы относительно симметричны. Выявляется ранняя гипотония туловища и конечностей, плохое равновесие и задержка двигательного развития. Некоординированные движения, интенционный тремор и атаксическая походка могут появиться позже вследствие дисфункции мозжечка или его связей.
Дискинетический церебральный паралич
Выявляется дискинезия (неустойчивый тонус), приводящая к частым непроизвольным движениям (обычно всех четырех конечностей), особенно очевидным в момент движения или стресса. Эти непроизвольные движения могут быть:
• хореическими — нерегулярными, внезапными и короткими, неповторяющимися;
• дистоническими и атетоидными — поддерживаемыми одновременными сокращениями мышц агонистов и антагонистов, с вовлечением туловища или проксимальных отделов конечностей (дистония) или их дистальных отделов (атетоз). Интеллект может быть относительно не нарушен.
Больные дети часто представляются вялыми, с плохим телесным контролем и задержанным двигательным развитием в период новорождённости, с отсутствием аномальных движений иногда вплоть до 1 года. Эти симптомы возникают вследствие поражения базальных ганглиев или связанных с ними путей (экстрапирамидальных). Раньше частой причиной этого расстройства становилась гипербилирубинемия как следствие резус-конфликта у новорождённых.
Следует как можно раньше сообщить родителям об особенностях диагноза, однако трудно давать прогноз, пока ребёнок мал, пока выраженность и последовательность возникновения симптомов, а также прогресс развития ребёнка не станут более отчётливыми в течение нескольких месяцев или лет жизни.
Дети с церебральным параличом чаще всего имеют широкий спектр связанных с ним медицинских, психологических и социальных проблем, что делает особенно важным использование мультидисциплинарного подхода к оценке и ведению.
Церебральный паралич:
• Имеет много причин, только около 10% случаев возникает вследствие ГИЭ.
• Обычно проявляется в младенчестве аномальным тонусом и позой, задержкой базовых моторных навыков и трудностями кормления.
• Может быть спастическим, атактически-гипотоническим, дискинетическим или смешанным.
Редактор: Искандер Милевски. Дата обновления публикации: 18.3.2021
Атаксический церебральный паралич ( Атонически-астатическая форма ДЦП )
Атаксический церебральный паралич — это разновидность ДЦП, которая возникает при поражении мозжечка или лобно-мосто-мозжечкового пути. Риск развития патологии повышается при недоношенности, действии тератогенных факторов, родовой травме. Атактическая форма паралича проявляется мышечной гипотонией, атаксией, мозжечковой дизартрией, а также интеллектуальными нарушениями различной степени тяжести. Диагностика болезни предполагает оценку неврологического статуса, нейровизуализацию (церебральные УЗИ, КТ либо МРТ), электрофизиологические методы (ЭНМГ, ЭЭГ). Лечение включает медикаменты, комплексную реабилитацию, ортопедическую помощь.
МКБ-10
Общие сведения
Детский церебральный паралич (ДЦП) встречается с частотой 2-3,6 случая на 1000 живорожденных доношенных детей, 9-40 случаев — на 1000 недоношенных. Атаксическая (атонически-астатическая) форма составляет до 9,2% всех случаев церебрального паралича, уступая спастической диплегии (69,3%), гемипаретической форме (16,3%). ДЦП считается основной причиной детской неврологической инвалидности в мире, требует больших ресурсов для проведения пожизненной реабилитации и социализации пациентов.
Причины
Атаксический церебральный паралич является полиэтиологическим заболеванием: в современной неврологии известно более 400 стрессовых факторов, нарушающих нормальное формирование нервной системы у плода. Ведущей причиной считается поражение мозговых тканей в разные периоды онтогенеза, проявляющееся полиморфными неврологическими симптомами. Предрасполагающие факторы повреждения структур ЦНС объединяются в следующие группы:
- Экстрагенитальные болезни матери. Вероятность рождения ребенка с ДЦП возрастает при наличии у беременной женщины хронических сердечно-сосудистых (артериальная гипертензия, пороки сердца, анемия), эндокринных патологий (сахарный диабет, дисфункция щитовидной железы, ожирение).
- Генетические аномалии. Для атаксической формы заболевания характерна связь с недифференцированными генетическими синдромами, которые появляются спорадически, либо возникают при семейной предрасположенности.
- Тератогенные факторы. Негативное влияние на формирование ЦНС оказывают внутриутробные вирусные инфекции, воздействие химических токсинов, неблагоприятная экологическая ситуация. Большое значение в механизме развития атаксического паралича имеет алкоголизм родителей, профессиональные вредности.
- Патологии беременности. Среди факторов риска выделяют нарушения плацентарного кровообращения, маточные кровотечения, предлежание или отслойку плаценты. Все эти предпосылки провоцируют внутриутробную гипоксию плода, которая вызывает органические церебральные повреждения.
- Недоношенность. У преждевременно рожденных младенцев атаксический паралич диагностируется в 5-10 раз чаще. Степень риска также зависит от массы тела: у младенцев весом 1,5-2,5 кг ДЦП выявляется в 5-15% случаев, а при экстремально низкой массе (менее 1,5 кг) — в 25-30%.
- Родовые травмы. До недавнего времени родовая асфиксия считалась главной причиной атактического церебрального паралича, но при детальном исследовании анамнеза было установлено, что у 75% детей присутствовали и другие факторы риска. Существенное значение в развитии ДЦП имеет внутричерепная родовая травма.
Патогенез
Патофизиологической основной атаксического варианта болезни являются нарушения мышечного тонуса, цепных установочных выпрямительных рефлексов. При этом у таких детей сохранены безусловные позотонические рефлексы. Основным отличием ДЦП от других форм центральных парезов считается время поражения — до 80% структурно-функциональных нарушений ЦНС происходит антенатально, в остальных 20% случаев предрасполагающие факторы действуют интранатально.
Тип изменений нервной ткани зависит от ведущей причины патологии. При хронической гипоксии плода угнетается синтез нуклеиновых кислот, нарушаются процессы миелинизации нервных волокон, снижается число нейронов. При родовых травмах происходит некроз церебральных тканей, внутримозговые кровоизлияния, расстройства кровообращения и ликвородинамики. Роль в патогенезе также играет ацидоз, гипогликемия, другие метаболические сдвиги.
Атаксический вариант церебрального паралича формируется при грубых нарушениях лобно-понтинно-мозжечкового пути, либо при внутриутробном органическом заболевании головного мозга с преимущественным вовлечением мозжечка. В результате мышечных дисфункций формируются патологические синергии и установки в суставах плечевого и тазового пояса, которые затем перерастают в стойкие контрактуры.
Симптомы
Атаксический тип болезни манифестирует гипотонией мышц, из-за чего дети выглядят вялыми, их произвольные движения обеднены, зачастую наблюдается слабый крик, недостаточно активное сосание материнской груди. На фоне снижения мускульного тонуса постепенно появляются патологические установки предплечий и кистей рук, повышается напряжение приводящей мускулатуры бедер, мышц стоп.
Сухожильные и периостальные рефлексы у детей, страдающих атаксическим параличом, повышены, а установочные рефлексы начинают формироваться к 1,5-3 годам. Длительно сохраняются лабиринтные, шейные тонические рефлексы. Мозжечковые нарушения проявляются тремором рук, особенно при целенаправленных движениях, неустойчивостью в положении стоя, шаткой неуверенной походкой. Также у детей страдает артикуляция.
Когда лобно-мосто-мозжечковый путь тотально поражен, отмечаются грубые расстройства психомоторных показателей: у новорожденных практически не развиваются функции сидения, стояния, ходьбы. У 15-20% больных возникает судорожный и гипертензионный синдром. У детей формируются грубая задержка психического и речевого развития: коэффициент интеллекта составляет от 20 до 50 единиц, что соответствует средней степени умственной отсталости.
Осложнения
Наиболее серьезными последствиями атаксического церебрального паралича являются грубые когнитивные расстройства (более 60% пациентов), эписиндром (35%), невротическая симптоматика (65%). Более 80% детей сталкиваются с астеническим синдромом, у 70% больных выявляются вегетативные дисфункции. Сопутствующие повреждения черепных нервов проявляются косоглазием, тугоухостью, псевдобульбарным синдромом.
Со временем у больных атонически-астенической формой ДЦП нарастают ортопедические патологии: деформации стоп (эквинусная, вальгусная, варусная), контрактуры суставов конечностей. Тяжелый моторный дефицит ограничивает самообслуживание, трудовую деятельность. Более грубые нарушения определяются у страдающих тотальным органическим повреждением структур лобно-понтинно-церебеллярного пути.
Диагностика
При первичном обследовании пациента у детского невролога выявляется задержка психоречевого развития, нарушения моторной сферы — мышечные гипотонии, расстройства позы и произвольных движений, патологические контрактуры. Для постановки диагноза требуется детальная информация о течении беременности, родов, неонатального периода. Для подтверждения диагноза атаксического церебрального паралича применяется комплекс исследований, в который включены:
- Электрофизиологическая диагностика. Для оценки нервно-мышечной передачи выполняются электронейромиография, исследование вызванных потенциалов. При судорожном синдроме необходима электроэнцефалография, транскраниальная магнитная стимуляция.
- Методы нейровизуализации. У детей младшего возраста используется нейросонография, для более информативного исследования мозговых структур назначается КТ или МРТ. По результатам исследований могут обнаруживаться врожденные пороки ЦНС, очаги кровоизлияний или ишемии, признаки перивентрикулярной лейкомаляции.
- Консультация генетика. Атаксическая форма по клиническим симптомам сходна со многими наследственными патологиями, поэтому необходимо детальное обследование ребенка в генетическом центре, по показаниям — проведение специфических биохимических, молекулярно-генетических анализов.
Лечение атаксического церебрального паралича
Консервативная терапия
Медикаментозное лечение при атаксическом параличе носит ограниченный характер, поскольку пока не разработаны лекарства для предупреждения или уменьшения признаков заболевания. Препараты назначаются для ликвидации осложнений, замедления прогрессирования ДЦП. Всем больным показаны витаминно-минеральные комплексы, обладающие общеукрепляющим действием. Дифференцированная терапия, подобранная детским неврологом индивидуально для ребенка, включает:
- нейрометаболические препараты;
- ноотропы;
- средства для улучшения церебральной гемодинамики;
- дегидратанты;
- антиконвульсанты;
- антихолинэстеразные препараты.
Для устранения контрактур, восстановления подвижности в конечностях требуется помощь детских ортопедов. Применяются различные ортезы для придания телу физиологического положения: шины, лонгеты, воротники и валики. При осложненных формах поражения костно-мышечной системы рекомендованы ортопедические операции по стабилизации позы, вправлению вывихов, устранению деформаций конечностей.
Реабилитация
Помощь пациентам с атаксическим церебральным параличом требует участия мультидисциплинарной команды специалистов, куда входят детские неврологи, ортопеды, логопеды, специалисты по физиотерапии и лечебной физкультуре. Реабилитационные мероприятия желательно начинать как можно раньше, в идеале до 4-месячного возраста младенца, и проводить непрерывно в течение всей жизни. Комплексный подход включает следующие направления:
- Лечебная физкультура. Специальные комплексы гимнастики, аппаратной кинезиотерапии, роботизированной механотерапии направлены на укрепление мышечного корсета, тренировку координации движений, повышение общей подвижности больного.
- Массаж. У детей с признаками ДЦП для тщательной проработки скелетной мускулатуры применяется несколько видов массажа: сегментарный, периостальный, круговой трофический, точечный.
- Войта-терапия. Метод рефлекторной локомоции направлен на становление моторных навыков на основе простых физиологических действий (ползание, переворачивание).
- Физиотерапия. Широко используются методики электромиостимуляции, электрофореза, иглорефлексотерапии и магнитотерапии. Хороший эффект показывает гидрокинезотерапия, грязелечение, парафиновые аппликации.
- Психолого-педагогическая коррекция. Детям назначаются занятия с логопедом-дефектологом, сенсорное воспитание, методика кодуктивной педагогики А. Пето или система Монтессори.
Прогноз и профилактика
При изолированном поражении мозжечка прогноз благоприятный, у детей наблюдается достаточный уровень двигательного развития и социальной адаптации. Такие больные при правильной реабилитации сохраняют навыки самообслуживания, частичную трудоспособность. Вовлечение в процесс всего корково-мосто-церебеллярного пути отличается неблагоприятным прогнозом, поскольку пациенты имеют тяжелую инвалидность.
Комплекс профилактики детского церебрального паралича включает сохранение репродуктивного здоровья населения, тщательную подготовку пары к зачатию, предупреждение тератогенных воздействий на плод во время беременности. Немаловажную роль играет правильное ведение родов, исключение акушерского травматизма. Особое внимание уделяется беременным с экстрагенитальными патологиями либо уже имеющим детей с врожденными церебральными аномалиями.
1. Детский церебральный паралич: ранняя диагностика и восстановительное лечение/ С.А. Немкова// Лечащий врач. — 2016. — №5.
2. Современные представления о патогенезе детского церебрального паралича в обосновании внедрения программ его ранней диагностики и лечения/ Л.А. Анаева, Р.А. Жетишев// Кубанский научный медицинский вестник. — 2015. — №4.
3. Федеральные клинические рекомендации по оказанию медицинской помощи детям с детским церебральным параличом. — 2013.
4. Детские церебральные параличи (практическое пособие для врачей)/ Е.В. Онегин, О.Е. Онегина. — 2006.
Спастическая диплегия
Спастическая диплегия (болезнь Литтля) — самый распространённый вариант ДЦП, характеризующийся спастическим тетрапарезом, более выраженным в нижних конечностях. Наряду с двигательными расстройствами наблюдается дисфункция черепно-мозговых нервов (косоглазие, псевдобульбарный синдром, снижение слуха, лицевой парез), расстройства речи, в некоторых случаях — лёгкая умственная отсталость. Диагностика проводится с использованием ЭЭГ, нейросонографии, церебральной МРТ, ЭНМГ. Лечение включает фармакотерапию (ноотропы, сосудистые, нейропротекторы, миорелаксанты), ЛФК, массаж, нейропсихическую и речевую коррекцию.
Спастическая диплегия впервые описана в 1853 г. английским врачом-акушером Литтлем, наблюдавшем заболевание у новорожденных детей. Болезнь Литтля — наиболее распространённая клиническая форма детского церебрального паралича (ДЦП), выявляется в половине случаев этой патологии. Дети со спастической диплегией составляют 40-50% всех учащихся специализированных школ. Заболеванию подвержены новорожденные с перинатальной травмой, недоношенные, дети, на которых в период внутриутробного развития воздействовали различные неблагоприятные факторы. Спастическая диплегия обнаруживается на первом году жизни, чаще в период от новорождённости до 6 мес. Заболевание нередко сочетается с гиперкинетическим синдромом, встречающемся в 20-25% случаев ДЦП.
Причины спастической диплегии
Среди причин, провоцирующих развитие ДЦП, наиболее значимыми в этиологии болезни Литтля современная неврология считает три фактора:
- Недоношенность. Недоношенные дети рождаются в результате преждевременных родов, обусловленных фетоплацентарной недостаточностью, резус-конфликтом, преждевременной отслойкой плаценты, аномалиями матки. Досрочные роды обуславливают заболевания беременной (пороки сердца, сахарный диабет, патология почек), гестоз (поздний токсикоз).
- Родовую травму новорожденного. Травмирование ребёнка в процессе естественных родов возможно вследствие аномалий родовой деятельности (дискоординированные, стремительные роды), клинически узкого таза, тазового предлежания плода. В большинстве случаев осложнённые роды наблюдаются на фоне имеющейся внутриутробной патологии.
- Асфиксию новорождённого. Отсутствие самостоятельного дыхания в момент рождения отмечается при попадании околоплодных вод в дыхательные пути, внутриутробных инфекциях, аномалиях развития плода, иммунологической несовместимости матери и плода. Асфиксия возможна при пневмопатии, в том числе связанной с незрелостью дыхательной системы при недоношенности.
Спастическая диплегия формируется в результате поражения прецентральной извилины, дающей начало пирамидным путям, обеспечивающим двигательную функцию. В 30-40% болезнь Литтля сочетается с поражением черепно-мозговых нервов. Развитие патологических изменений в указанных церебральных структурах происходит преимущественно по ишемически-гипоксическому механизму на фоне незрелости мозговых тканей вследствие недоношенности. Основное патогенетическое звено — гипоксия плода во внутриутробном периоде или в процессе родов (асфиксия, родовая травма). Головной мозг является наиболее чувствительной к гипоксии структурой организма человека, патологические изменения в нём развиваются уже через несколько минут кислородного голодания. В более редких случаях спастическая диплегия возникает в результате непосредственного повреждения указанных выше отделов мозга при внутричерепной родовой травме.
Классификация
По степени выраженности клинической симптоматики спастическая диплегия классифицируется на следующие формы:
- Лёгкая — в первом полугодии ребёнок развивается нормально, в дальнейшем спастический парез выражен в области нижних конечностей, движения в руках не ограничены. Пациент способен передвигаться без подручных средств. Психическое и умственное развитие не страдает.
- Средней тяжести — выраженная спастика в ногах делает передвижение больного возможным только при использовании подручных средств (костылей, палочек). Когнитивная сфера страдает незначительно, возможна социальная адаптация.
- Тяжёлая — заметна с первых дней жизни. Наблюдается выраженный тетрапарез с акцентом в ногах. Пациенты не могут самостоятельно передвигаться. Социальная адаптация нарушена.
Симптомы спастической диплегии
Типичным проявлением заболевания выступает спастический тетрапарез с преимущественным поражением нижних конечностей. Мышечный гипертонус, удерживающий конечности в согнутом и приведённом к телу состоянии, необходим плоду в период пребывания в полости матки. После рождения он постепенно ослабевает, в норме исчезает к возрасту 4-6 месяцев. Выраженная спастическая диплегия характеризуется гипертонусом, превышающим возрастную норму, не уменьшающимся с течением времени. Тяжёлые формы заметны с рождения: во время пеленания дети малоподвижны, попытки пассивного сгибания/разгибания конечностей встречают сильное сопротивление из-за резко повышенного тонуса мышц. При лёгких формах заболевания развитие ребёнка в первые полгода соответствует возрастным нормам, гипертонус становится отчётливо виден после 6-месячного возраста.
Гипертонус наиболее выражен в мышцах-сгибателях стоп, приводящих мышцах бедра. Формируется характерное положение ног больного ребёнка: бедра ротированы внутрь, колени соединены, голени прижаты или перекрещены. Задерживается развитие двигательной сферы, дети начинают ходить к 3-4 годам. Типична походка на носках с разогнутыми приведёнными ногами. При ходьбе колени трутся друг об друга. Верхние конечности страдают гораздо меньше, тонус повышен не так значительно, движения сохранены.
Патология черепных нервов представлена глазодвигательными нарушениями, косоглазием, снижением остроты зрения, тугоухостью, сглаженностью носогубных складок, отклонением языка от средней линии. Наблюдается псевдобульбарный паралич, обусловленный поражением каудальной группы нервов (языкоглоточного, блуждающего, подъязычного). Его клиника включает дизартрию, нарушения глотания, осиплость голоса. Сенсорные расстройства отсутствуют, функция тазовых органов сохранена. Нарушения речи в виде задержки речевого развития, дизартрии отмечаются у 75-80% больных.
В четверти случаев спастическая диплегия протекает с гиперкинезами. Непроизвольные движения в виде атетоза, хореоатетоза локализуются в дистальных отделах верхних конечностей, усиливаются при произвольных движениях, эмоциональном напряжении, ослабевают в покое, отсутствуют во сне. Умственное развитие страдает меньше, чем при прочих вариантах ДЦП. Олигофрения отмечается у 20-25% пациентов, по выраженности не заходит дальше дебильности.
Обусловленное мышечным гипертонусом ограничение подвижности конечностей приводит к формированию контрактур суставов, усугубляющих двигательные расстройства. Контрактуры развиваются в коленных, голеностопных суставах, при тяжёлой форме могут наблюдаться в суставах верхних конечностей. Патологическая установка ног обуславливает неправильную нагрузку на позвоночный столб при ходьбе, формирование искривления позвоночника (поясничного лордоза, сколиоза).
Спастическая диплегия диагностируется детским неврологом с учётом консультационных заключений смежных специалистов (педиатра, детского офтальмолога, отоларинголога). Большое значение придаётся наличию в анамнезе указаний на патологию антенатального периода, недоношенность, родовую травму, асфиксию в родах. Перечень диагностических обследований включает:
- Неврологический осмотр. Выявляет повышение мышечного тонуса по центральному типу, усиление сухожильных рефлексов (особенно коленных, ахилловых), клонус стоп, пирамидные стопные знаки Бабинского, Россолимо, гиперкинез, патологию черепных нервов.
- Офтальмологический осмотр. Диагностирует страбизм, глазодвигательные расстройства. Визометрия определяет снижение остроты зрения. При офтальмоскопии могут обнаруживаться признаки атрофии зрительного нерва.
- Консультацию отоларинголога с аудиометрией. Необходима для определения степени нарушений слуха.
- Электроэнцефалографию. Отражает состояние биоэлектрической активности мозга. Эпилептиформные изменения нехарактерны.
- Электронейромиографию. Назначается, чтобы дифференцировать болезнь Литтля от нервно-мышечных заболеваний.
- Нейросонографию. При помощи УЗИ визуализируют церебральные структуры через открытый родничок. Методика позволяет исключить врождённые аномалии головного мозга, гидроцефалию, опухоли, церебральные кисты, посттравматические внутричерепные гематомы.
- МРТ головного мозга. Проводится в диагностически сомнительных случаях детям с уже закрытым родничком. Более точно, чем УЗИ, отображает интракраниальные изменения.
- Диагностику психического развития. В раннем возрасте осуществляется неврологом, позже — детским психиатром. Направлена на выявление ЗПР, олигофрении.
Болезнь Литтля дифференцируют от других форм ДЦП, аномалий развития ЦНС, прогрессирующих дегенеративных поражений ЦНС, наследственных болезней, дисметаболических заболеваний. В рамках дифдиагностики может потребоваться консультация генетика, исследование биохимического состава крови, мочи.
Лечение спастической диплегии
Специфическая этиопатогенетическая терапия ДЦП не разработана. Проводится медикаментозное и реабилитационное лечение, направленное на предотвращение осложнений, обучение навыкам самообслуживания, улучшение социальной адаптации. Медикаментозное лечение включает:
- Сосудистые средства (циннаризин) — улучшают церебральное кровообращение, питание мозговых тканей.
- Нейрометаболиты (глицин, пантотеновая кислота, тиамин, пиридоксин) — обеспечивают необходимые для функционирования ЦНС вещества.
- Миорелаксанты (баклофен) — уменьшают мышечную спастику.
- Ноотропы (пирацетам) — активизируют когнитивные функции.
- Препараты ботулотоксина — вводятся внутримышечно для снятия спастического напряжения, предупреждения возникновения контрактур.
Реабилитационную терапию составляют:
- Лечебная физкультура. Проводится врачом ЛФК и самостоятельно родителями пациента. Включает пассивные, активные движения, занятия на специальных тренажёрах. Необходима ежедневно для сохранения объёма движений, профилактики осложнений.
- Массаж — улучшает кровоснабжение поражённых мышц. Миофасциальный массаж способствует расслаблению мускулатуры.
- Коррекция нарушений речи. Проводятся логопедические занятия по коррекции дизартрии, логопедический массаж.
- Коррекция нарушений психической сферы. Требуется в случае олигофрении. Осуществляется путём нейропсихологической коррекции, проведения занятий с психологом, дефектологом, игровой терапии. Обучение детей старшего возраста производится коррекционными педагогами в специализированных школах.
В отношении двигательной сферы спастическая диплегия имеет более серьёзный прогноз, чем гемиплегическая форма ДЦП. Только четверть больных способны ходить самостоятельно, половина пациентов передвигается с помощью специальных вспомогательных средств. При выраженном тетрапарезе передвижение возможно только на инвалидной коляске. При умственной сохранности и незначительных изменениях в мышцах верхних конечностей социальная адаптация больных приближается к здоровым людям. В тяжёлых случаях пациенты требуют постоянного ухода. Правильное регулярное проведение реабилитационных мероприятий, периодическое курсовое медикаментозное лечение улучшают прогноз. К мерам профилактики заболевания относится тщательное ведение беременности, предупреждение внутриутробной патологии, адекватный выбор методики родоразрешения, корректное ведение родов.
Детский церебральный паралич (ДЦП)
Детский церебральный паралич (ДЦП) — это понятие, объединяющее группу двигательных расстройств, возникающих вследствие повреждения различных мозговых структур в перинатальном периоде. Детский церебральный паралич может включать моно-, геми-, пара-, тетра- параличи и парезы, патологические изменения мышечного тонуса, гиперкинезы, нарушения речи, шаткость походки, расстройства координации движений, частые падения, отставание ребенка в моторном и психическом развитии. При ДЦП могут наблюдаться нарушения интеллекта, психические расстройства, эпилепсия, нарушения слуха и зрения. Диагностируется детский церебральный паралич преимущественно по клиническим и анамнестическим данным. Алгоритм обследования ребенка с ДЦП направлен на выявление сопутствующей патологии и исключение другой врожденной или послеродовой патологии. Люди, имеющие детский церебральный паралич, должны пожизненно проходить реабилитационную терапию, по мере необходимости получать медикаментозное, хирургическое и физиотерапевтическое лечение.
Согласно мировой статистике детский церебральный паралич встречается с частотой 1,7-7 случаев на 1000 детей до года. В России этот показатель по различным данным составляет 2,5-6 случаев на 1000 детей. Среди недоношенных детей заболеваемость ДЦП в 10 раз выше среднестатистической. По данным последних исследований около 40-50% детей с ДЦП появились на свет в результате преждевременных родов.
Если говорить о хронических заболеваниях детского возраста, то в современной педиатрии детский церебральный паралич является одной из ведущих проблем. Среди причин увеличения числа больных ДЦП совершенно справедливо называют не только ухудшение экологии, но и прогрессивное развитие неонатологии, позволяющее сейчас выхаживать младенцев с различной патологией, в том числе и недоношенных новорожденных с весом от 500г.
Причины возникновения ДЦП
Согласно современным представлениям детский церебральный паралич возникает в результате воздействия на ЦНС ребенка различных повреждающих факторов, обуславливающих неправильное развитие или гибель отдельных участков головного мозга. Причем действие этих факторов происходит в перинатальном периоде, т. е. до, во время и непосредственно после рождения ребенка (первые 4 недели жизни). Основное патогенетическое звено в формировании детского церебрального паралича — это гипоксия, к развитию которой и приводят различные причинные факторы ДЦП. В первую очередь при гипоксии страдают те участки головного мозга, которые отвечают за поддержание равновесия и обеспечение двигательных рефлекторных механизмов. В результате возникают типичные для ДЦП расстройства мышечного тонуса, парезы и параличи, патологические двигательные акты.
Этиологическим фактором ДЦП, действующим в период внутриутробного развития, является различная патология беременности:
а также инфекции:
Соматические заболевания матери (сахарный диабет, гипотиреоз, врожденные и приобретенные пороки сердца, артериальная гипертензия) и перенесенные женщиной в период беременности травмы также могут обусловить развитие детского церебрального паралича.
Факторы риска
К факторам риска развития ДЦП, влияющим на ребенка в период родов, относятся:
Лишь в некоторых случаях родовая травма является единственной причиной возникновения детского церебрального паралича. Зачастую тяжелые роды, приводящие к возникновению ДЦП, становятся следствием уже имеющейся внутриутробной патологии.
Основными факторами риска появления ДЦП в послеродовом периоде являются асфиксия и гемолитическая болезнь новорожденного. Приводящая к ДЦП асфиксия новорожденного может быть связана с аспирацией околоплодных вод, различными пороками развития легких, патологией беременности. Более частая послеродовая причина возникновения ДЦП состоит в токсическом поражении мозга при гемолитической болезни, развивающейся в результате несовместимости крови или иммунологического конфликта плода и матери.
Классификация ДЦП
В соответствии с местонахождением пораженного участка головного мозга в неврологии ДЦП классифицируют на 5 видов. Самой распространенной формой ДЦП является спастическая диплегия. По различным данным детский церебральный паралич этой формы составляет от 40 до 80% от общего числа случаев ДЦП. В основе этой формы ДЦП лежит поражение двигательных центров, ведущее к развитию парезов, в большей степени выраженных в ногах. При повреждении двигательных центров только одного полушария возникает гемипаретическая форма ДЦП, проявляющаяся парезом руки и ноги на стороне, противоположной пораженному полушарию.
Примерно в четверти случаев детский церебральный паралич имеет гиперкинетическую форму, связанную с повреждением подкорковых структур. Клинически данная форма ДЦП проявляется непроизвольными движениями — гиперкинезами, усиливающимися при волнении или усталости ребенка. При нарушениях в области мозжечка развивается атонически-астатическая форма детского церебрального паралича. Эта форма ДЦП проявляется нарушениями статики и координации, мышечной атонией. На ее долю приходится около 10% случаев ДЦП.
Наиболее тяжелая форма ДЦП носит название двойная гемиплегия. В этом варианте детский церебральный паралич является следствием тотального поражения обоих полушарий мозга, приводящего к мышечной ригидности, из-за которой дети не в состоянии не только стоять и сидеть, а даже самостоятельно держать голову. Встречаются также смешанные варианты детского церебрального паралича, включающие клинические симптомы, характерные для разных форм ДЦП. Например, часто наблюдается сочетание гиперкинетической формы ДЦП со спастической диплегией.
Симптомы ДЦП
Детский церебральный паралич может иметь разнообразные проявления с различной степенью выраженности. Клиническая картина ДЦП и его тяжесть зависят от локализации и глубины поражения мозговых структур. В отдельных случаях детский церебральный паралич заметен уже в первые часы жизни ребенка. Но чаще симптомы ДЦП становятся очевидными спустя несколько месяцев, когда ребенок начинает существенно отставать в нервно-психическом развитии от принятых в педиатрии норм. Первым симптомом ДЦП может быть задержка в формировании двигательных навыков. Ребенок с детским церебральным параличом долго не держит голову, не переворачивается, не интересуется игрушками, не может осознанно двигать конечностями, не удерживает игрушки. При попытке поставить ребенка с ДЦП на ноги он не ставит ногу на полную стопу, а встает на цыпочки.
Парезы при детском церебральном параличе могут быть только в одной конечности, иметь односторонний характер (рука и нога на стороне, противоположной пораженному участку мозга), охватывать все конечности. Недостаточность иннервации речевого аппарата обусловливает нарушение произносительной стороны речи (дизартрию) у ребенка с ДЦП. Если ДЦП сопровождается парезом мышц глотки и гортани, то возникают проблемы с глотанием (дисфагия). Зачастую детский церебральный паралич сопровождается значительным повышением мышечного тонуса. Выраженная спастика при ДЦП может приводить к полной обездвиженности конечности.
В дальнейшем у детей, имеющих детский церебральный паралич, происходит отставание паретичных конечностей в физическом развитии, в результате чего они становится тоньше и короче здоровых. В следствие этого формируются типичные для ДЦП деформации скелета (сколиоз, деформации грудной клетки). Кроме того, детский церебральный паралич протекает с развитием контрактур суставов в паретичных конечностях, что усугубляет двигательные нарушения. Расстройства моторики и деформации скелета у детей с ДЦП приводят к появлению хронического болевого синдрома с локализацией болей в плечах, шее, спине и ступнях.
Детский церебральный паралич гиперкинетической формы проявляется внезапно возникающими непроизвольными двигательными актами: поворотами или кивками головой, подергиваниями, появлением гримас на лице, вычурными позами или движениями. Для атонически-астатической формы ДЦП характерны дискоординированные движения, неустойчивость при ходьбе и в положении стоя, частые падения, мышечная слабость и тремор.
При детском церебральном параличе может наблюдаться косоглазие, функциональные нарушения ЖКТ, расстройства дыхательной функции, недержание мочи. Примерно в 20-40% случаев детский церебральный паралич протекает с эпилепсией. До 60% детей с ДЦП имеют проблемы со зрением. Возможна тугоухость или полная глухота. В половине случаев детский церебральный паралич сочетается с эндокринной патологией (ожирением, гипотиреозом, задержкой роста и др.).
Часто детский церебральный паралич сопровождается различной степенью олигофрении, задержкой психического развития, расстройством восприятия, нарушениями способности к обучению, отклонениями в поведении и т. п. Однако до 35% детей с ДЦП имеют нормальный интеллект, а в 33% случаев ДЦП нарушения интеллекта выражены в легкой степени.
Детский церебральный паралич является хроническим, но не прогрессирующим заболеванием. По мере роста ребенка и развития его ЦНС могут выявляться ранее скрытые патологические проявления, которые создают ощущение так называемой «ложной прогрессии» заболевания. Ухудшение состояния ребенка с ДЦП также может быть обусловлено вторичными осложнениями: эпилепсией, инсультом, кровоизлиянием, применением наркоза или тяжелым соматическим заболеванием.
Диагностика ДЦП
Пока не существует специальных диагностических критериев детского церебрального паралича. Однако некоторые типичные для ДЦП симптомы сразу обращают на себя внимание педиатра. К ним относятся: низкий бал, выставляемый по шкале Апгар сразу же после рождения ребенка, аномальная двигательная активность, нарушения мышечного тонуса, отставание ребенка в психофизическом развитии, отсутствие контакта с матерью. Подобные признаки всегда настораживают врачей в отношении ДЦП и являются показанием к обязательной консультации ребенка детским неврологом.
При подозрении на детский церебральный паралич необходим тщательный неврологический осмотр ребенка. В диагностике ДЦП также используются электрофизиологические методы обследования:
Они помогают дифференцировать ДЦП от наследственных неврологических заболеваний, проявляющихся на 1-ом году жизни (врожденной миопатии, атаксии Фредрейха, синдрома Луи-Бар и др). Использование в диагностике ДЦП нейросонографии и МРТ головного мозга позволяют выявить сопутствующие ДЦП органические изменения (например, атрофию зрительных нервов, очаги кровоизлияний или ишемии, перивентрикулярную лейкомаляцию) и диагностировать пороки развития головного мозга (микроцефалию, врожденную гидроцефалию и пр.).
Полная диагностика ДЦП может потребовать участия детского офтальмолога, детского отоларинголога, эпилептолога, детского ортопеда, логопеда и психиатра. При необходимости дифференцировать ДЦП от различных наследственных и обменных заболеваний применяются соответствующие генетические исследования и биохимические анализы.
Реабилитационное лечение ДЦП
К сожалению, пока детский церебральный паралич относится к неизлечимой патологии. Однако своевременно начатые, комплексно и беспрерывно проводимые реабилитационные мероприятия могут значительно развить доступные ребенку с ДЦП моторные, интеллектуальные и речевые навыки. Благодаря реабилитационному лечению можно максимально компенсировать имеющийся при ДЦП неврологический дефицит, уменьшить вероятность появления контрактур и скелетных деформаций, научить ребенка навыкам самообслуживания и улучшить его адаптацию. Наиболее активно развитие мозга, познавательный процесс, приобретение навыков и обучение происходят в возрасте до 8 лет. Именно в этот период при ДЦП необходимо прилагать максимальные усилия по реабилитации.
Программа комплексной реабилитационной терапии разрабатывается индивидуально для каждого больного ДЦП. Она учитывает локализацию и тяжесть поражения мозга; наличие сопутствующих ДЦП нарушений слуха и зрения, расстройств интеллекта, эпилептических припадков; индивидуальные возможности и проблемы больного ДЦП ребенка. Наиболее затруднительно проведение реабилитационных мероприятий при сочетании ДЦП с нарушениями познавательной деятельности (в том числе в следствие слепоты или глухоты) и интеллекта. Для таких случаев ДЦП разработаны специальные методики, позволяющие инструктору наладить контакт с ребенком. Дополнительные сложности в лечении ДЦП возникают у пациентов с эпилепсией, при которой активная стимулирующая терапия ДЦП может вызывать развитие осложнений. По этой причине дети с ДЦП и эпилепсией должны проходить реабилитацию с применением специальных «мягких» методов.
Основу реабилитационного лечения при детском церебральном параличе составляют ЛФК и массаж. Важно, чтобы детям с ДЦП они проводились ежедневно. По этой причине родителям ребенка с детским церебральным параличом следует овладеть навыками массажа и проведения ЛФК. В таком случае они смогут самостоятельно заниматься с ребенком в период между курсами профессиональной реабилитации ДЦП.
Для более эффективных занятий ЛФК и механотерапии с детьми, страдающими детским церебральным параличом, в соответствующих реабилитационных центрах имеются специальные аппараты и приспособления. Из последних разработок в этой области в лечении ДЦП нашли применение пневмокомбинизоны, фиксирующие суставы и обеспечивающие растяжение мышц, а также специальные костюмы, позволяющие при некоторых формах ДЦП выработать правильный двигательный стереотип и уменьшить спастику мышц. Подобные средства помогают максимально задействовать компенсаторные механизмы нервной системы, что зачастую приводит к освоению больным ДЦП ребенком новых, ранее не доступных для него, движений.
К реабилитационным мероприятиям при ДЦП относятся также так называемые технические средства реабилитации: ортодезы, вставки в обувь, костыли, ходунки, инвалидные коляски и т. п. Они позволяют компенсировать имеющиеся при ДЦП двигательные нарушения, укорочения конечностей и деформации скелета. Важное значение имеет индивидуальный подбор таких средств и обучение ребенка, имеющего детский церебральный паралич, навыкам их использования.
В рамках реабилитационного лечения детского церебрального паралича ребенку с дизартрией требуются логопедические занятия по коррекции ФФН или ОНР.
Медикаментозное и хирургическое лечение ДЦП
Лечение ДЦП при помощи лекарственных препаратов является в основном симптоматическим и направлено на купирование конкретного симптома ДЦП или возникших осложнений. Так, при сочетании ДЦП с эпилептическими припадками назначаются антиконвульсанты, при повышении мышечного тонуса — антиспастические препараты, при ДЦП с хроническим болевым синдромом — обезболивающие и спазмолитические средства. В медикаментозную терапию ДЦП могут входить ноотропы, метаболические препараты (АТФ, аминокислоты, глицин), неостигмин, антидепрессанты, транквилизаторы, нейролептики, сосудистые препараты.
Показанием к хирургическому лечению детского церебрального паралича являются контрактуры, образовавшиеся в результате длительной спастичности мышц и ограничивающие двигательную активность больного. Чаще всего при ДЦП применяются тенотомии, направленные на создание опорного положения парализованной конечности. Для стабилизации скелета при детском церебральном параличе может применяться удлинение костей, пересадка сухожилий и др. операции. Если детский церебральный паралич проявляется грубой симметричной мышечной спастичностью, ведущей к развитию контрактур и болевого синдрома, то для прерывания исходящей из спинного мозга патологической импульсации пациенту с ДЦП может быть проведена спинальная ризотомия.
Физиотерапевтическое лечение и анималотерапия ДЦП
Применяемые в лечении детского церебрального паралича методы физиотерапевтического воздействия прекрасно сочетаются с ЛФК и массажем. Хорошо зарекомендовали себя при ДЦП
Применение при детском церебральном параличе общих ванн с теплой водой уменьшает выраженность гиперкинезов и снижает мышечный тонус при спастике. Из водных процедур при ДЦП назначаются хвойные, кислородные, радоновые, скипидарные и йодобромные ванны, фитованны с валерианой.
Относительно новым способом терапии детского церебрального паралича является анималотерапия — лечение посредством общения больного с животным. К наиболее распространенным методикам анималотерапии ДЦП на сегодняшний день относятся иппотерапия ДЦП (лечение с использованием лошадей) и дельфинотерапия ДЦП. Во время проведения подобных лечебных сеансов с имеющим детский церебральный паралич ребенком одновременно работают инструктор и психотерапевт. В основе терапевтического воздействия указанных методик лежат:
- благоприятная эмоциональная атмосфера
- установление особого контакта между больным ДЦП и животным
- стимуляция мозговых структур через насыщенные тактильные ощущения
- постепенное расширение речевых и двигательных навыков.
Социальная адаптация при ДЦП
Не смотря на значительные двигательные нарушения, многие имеющие детский церебральный паралич дети могут быть успешно адаптированы в обществе. Огромную роль в этом играют родители и родные ребенка с ДЦП. Но для эффективного решения этой задачи им необходима помощь специалистов: реабилитологов, психологов и коррекционных педагогов, непосредственно занимающихся детьми с ДЦП. Они работают над тем, чтобы ребенок с ДЦП максимально освоил доступные для него навыки самообслуживания, приобрел соответствующие его возможностям знания и умения, постоянно получал психологическую поддержку.
Социальной адаптации при диагнозе детский церебральный паралич в большой степени способствует занятия в специализированных детсадах и школах, а в дальнейшем в специально созданных обществах. Их посещение расширяют познавательные возможности, дают ребенку и взрослому с ДЦП возможность общаться и вести активную жизнь. При отсутствии нарушений, значительно ограничивающих двигательную активность и интеллектуальные возможности, взрослые люди с ДЦП могут вести самостоятельную жизнь. Такие пациенты с ДЦП успешно трудятся и могут создать свою семью.
Прогноз и профилактика ДЦП
Прогноз в отношении детского церебрального паралича прямо зависит от формы ДЦП, своевременности и беспрерывности проводимого реабилитационного лечения. В некоторых случаях ДЦП приводит к глубокой инвалидности. Но чаще стараниями медиков и родителей ребенка с ДЦП удается до определенной степени компенсировать имеющиеся нарушения, поскольку растущий и развивающийся головной мозг детей, в том числе и ребенка с ДЦП, обладает значительным потенциалом и гибкостью, благодаря которым здоровые участки мозговой ткани могут брать на себя функции поврежденных структур.
Профилактика ДЦП в дородовом периоде состоит в корректном ведении беременности, позволяющем вовремя диагностировать угрожающие плоду состояния и предупредить развитие гипоксии плода. В последующем важное значение для профилактики ДЦП имеет выбор оптимального способа родоразрешения и правильное ведение родов.
Диагностика и дифференциация детского церебрального паралича (ДЦП)
а) Точная диагностика ДЦП. Диагностика ДЦП основана преимущественно на клинических проявлениях. Практические параметры, разработанные совместно Американской академией неврологии и Обществом детской неврологии (Ashwal et al., 2004), предполагают следующие диагностические шаги: (I) сбор анамнеза; (II) неврологический осмотр и оценка развития для определения не только моторного развития, но и когнитивных функций и развития речи и поведения; (III) нейровизуализация.
Нейровизуализация, в особенности МРТ, все чаще играет решающую роль. ДЦП преимущественно характеризуется повреждениями головного мозга, которые могут быть идентифицированы методом МРТ приблизительно в 75% случаев, и в меньшей степени мальформациями головного мозга, которые составляют около 10% случаев (Krageloh-Mann и Horber, 2007). Задачей нейровизуализации является поиск признаков таких повреждений или мальформаций, топография и распространенность которых объясняют неврологические симптомы и тяжесть клинических проявлений.
Электромиография, которая может пролить свет на механизмы заболевания (Harrison, 1988; Kanda et al., 1988), не используется в практической диагностике, не считая случаев, когда необходимо исключить другие заболевания, характеризующиеся, как и ДЦП, некоторой слабостью и гипотонией. Точный диагноз ДЦП во многом зависит от знаний нормального развития и его вариантов. Относительно легко рано исключить диагноз ДЦП в случае, если характеристики развития младенца не отличаются от нормы. Важна ранняя диагностика: разработана система ранней диагностики (Prechtl et al., 1997) для выявления ДЦП, с помощью оценки видеозаписи спонтанных движений новорожденных и ранних движений младенцев.

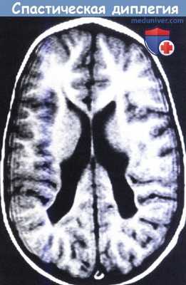
МРТ в Т2-режиме у ребенка со спастической диплегией. Задние рога боковых желудочков неравномерно расширены и вокруг них определяется утрата белого вещества.
Данный снимок характеризует позднюю стадию перивентрикулярной лейкомаляции и отмечается преимущественно у недоношенных детей.
б) Дифференциальная диагностика ДЦП. Дифференциальная диагностика специфических типов ДЦП уже обсуждалась. В данной главе рассматриваются только проблемы диагностики, типичные для большинства видов ДЦП.
Основную диагностическую ценность представляет дифференцировка прогрессирующих и стабильных неврологических нарушений, особенно поддающихся лечению, от ДЦП. Во всех случаях нужно исключать опухоли спинного мозга шейной локализации и медленно растущие опухоли головного мозга (Haslam, 1975).
Многие метаболические и гередодегенеративные заболевания характеризуются медленным течением, и их клиническая манифестация может имитировать все типы ДЦП. Например, лейкодистрофии могут изначально не отличаться от спастической диплегии, а атаксия-телеангиоэктазия по своим проявлениям не отличима от непрогрессирующих атаксий (Aicardi et al., 1988). Некоторые случаи допа-чувствительной дистонии могут симулировать диплегию или атетоидный ДЦП, и пробное лечение L-допой показано во всех случаях, когда анамнез и результаты исследований не исключают такой возможности. Болезнь Ли (Fryer et al., 1994), органические ацидемии (Gascon et al., 1994), митохондриальные заболевания (Tsao et al., 1994) и синдром карбогидрат-дефицитных гликопротеинов (Jaeken и Carchon, 1993; Stibler et al., 1993) также могут имитировать любой тип ЦДП, а дифференцировка стабильных и прогрессирующих метаболических нарушений становится чрезвычайно сложна, то есть может потребоваться рассмотрение показаний для проведения исследований.
Диагностика прогрессирующих неврологических заболеваний может проводиться с помощью лабораторных исследований. Тем не менее, они должны проводиться только в случаях с клиническим обоснованием. Иногда результаты лабораторных исследований могут вводить в заблуждение. Одному пациенту с параплегией, вызванной врожденной опухолью спинного мозга, на основании псевдодефицита арилсульфатазы А, в течение нескольких лет ставился диагноз метахроматической лейкодистрофии (Aicardi, собственные наблюдения).
Пациентам с задержкой умственного развития без двигательных аномалий часто ставится диагноз ДЦП в связи с тем, что в обеих ситуациях нормальные этапы развития запаздывают. Тем не менее, это не дает оснований оценивать всех детей с ДЦП как умственно отсталых.
Гипотония часто встречается при большинстве ранних случаев ДЦП, а также при других заболеваниях, которые нередко ошибочно диагностируются как ДЦП. Синдром Прадера-Вилли особенно легко перепутать с ДЦП, так как он характеризуется задержкой умственного развития, затруднениями глотания, угнетением дыхания и часто низкой массой при рождении (Wharton и Bresman, 1989). Данное обстоятельство касается также врожденной миотонической дистрофии, которая в действительности часто существует одновременно с гипоксической энцефалопатией, вызванной ранней асфиксией в результате поражения дыхательных мышц (Rutherford et al., 1989).
Повышенный тонус, который часто является ранним симптомом нескольких форм ДЦП, может встречаться также у младенцев с другими заболеваниями у здоровых в остальных отношениях младенцев (PeBenito et al., 1989). Повышенный тонус разгибателей шеи особенно часто предшествует ДЦП (Amiel-Tison et al., 1977; Ellenberg и Nelson, 1981). Выявлено, что это относится лишь к случаям сочетания других аномалий с переразгибанием шеи и туловища (Touwen и Hadders-Algra, 1983). Заметное повышение тонуса при гиперрефлексии может симулировать диплегию или тетраплегию, но в таких случаях отмечается прогрессирующее улучшение, а тактильные стимулы часто приводят к выраженной гипертонической реакции с апноэ.
Особое внимание уделяется повышенному тонусу туловища как показателю развития младенцев с низкой массой тела при рождении без последующего формирования ДЦП (Georgieff и Bernbaum, 1986; Georgieff et al., 1986).

Кистозное размягчение в бассейне левой средней мозговой артерии у 6-летней девочки с правосторонней врожденной гемиплегией:
КТ (сверху — аксиальная проекция, снизу — фронтальная проекция).
Заметно расширение свода черепа, истончение кости на уровне полости и области кальцификации сверху и снаружи от повреждения.
в) Диагностические сложности и ранняя диагностика ДЦП. Как говорилось ранее, диагностика ДЦП проводится на основании клинических проявлений, то с учетом развития типичной клинической картины лишь с течением времени, ранняя диагностика может быть затруднена. Аномалии неврологических признаков могут иметь транзиторный характер; асимметрия позы и тонуса, гипервозбудимость и гипер- или гипотония могут выявляться у младенцев без аномалий головного мозга. Такие проявления транзиторны более чем в 90% случаев (Michaelis et al., 1993). Транзиторная дистония встречается у некоторых здоровых младенцев в течение первого года жизни (Willemse, 1986; Deonnaet al., 1991), обычно поражает одну или более конечностей, не затрагивает туловище или шею, проявляется после 4-х месячного возраста и оказывает незначительное воздействие на активность ребенка.
У других детей была выявлена тяжелая умственная отсталость в сочетании также с тяжелой задержкой двигательного развития, но не отмечались явные неврологические признаки. Описанные случаи свидетельствуют о том, насколько ошибочным может быть диагноз ДЦП при отсутствии дальнейшего наблюдения, и насколько осторожно следует оценивать «эффект» раннего лечения. По описанным выше причинам принято соглашение, что диагноз ДЦП должен носить предварительный характер до 3 лет, а регистрация ДЦП должна проводиться только после подтверждения диагноза в возрасте 5 лет. Современные методы визуализации могут способствовать ранней диагностике. По результатам одного из исследований, у 37 из 40 детей с ДЦП отмечались аномалии на МРТ (Truwit et al., 1992), в ходе другого исследования (Candy et al., 1993) у 17 из 22 детей с изолированной задержкой двигательного развития на МРТ отмечались аномалии, предполагающие ДЦП. Естественно, бывают индивидуальные ситуации, особенно при известной этиологии заболевания, когда диагноз может определиться раньше.
Изменения клинической картины или проявлений ДЦП также могут быть источником диагностических проблем, особенно при хореоатетоидном и атаксическом ДЦП, когда гипотония зачастую является ранним признаком. Дискинетический ДЦП может быть ошибочно диагностирован у детей с гипотонусом и стереотипными движениями. У младенцев, у которых в дальнейшем выявляется задержка умственного развития без ДЦП, и наличием ранних неврологических признаков, такие как гипотония, повышенная возбудимость и неустойчивость двигательных навыков, может быть ошибочно диагностирован спастический ДЦП. У большинства младенцев с гемиплегией асимметрия движений становится заметной только после 4-6 месяцев, даже если известно о наличии повреждения.
Диагностика ДЦП может быть отсрочена у детей с вариантами нормального развития. Продемонстрировано, что диагностика спастической диплегии была значимо отсрочена у детей с гипотонией нижних конечностей и осевых мышц. Функцию рук, например, невозможно оценить до развития функций кисти, и легкие изменения становятся заметны только после формирования более сложных двигательных навыков.
Наконец, следует особо отметить, что анамнез аномальных факторов, оказывавших воздействие во время беременности, рождения или периода новорожденности в отсутствие объективных признаков не может служить основанием для диагностики ДЦП, несмотря на то, что они могут подтверждать диагноз ДЦП.
Читайте также:
- Конструктивные дефекты зубных протезов. Особенности
- Гидроксимочевина в лечении хронического миелолейкоза (ХМЛ) - эффективность
- Лучевая диагностика боковой периодонтальной кисты
- Доброкачественная смешанная опухоль слезной железы - лучевая диагностика
- Нозодерма земноводных. Формирование медуллярной трубки, хорды и мезодермы
