Клиника и диагностика доброкачественной опухоли слюнной железы
Добавил пользователь Евгений Кузнецов Обновлено: 26.11.2025
Причины и типы доброкачественных опухолей слюнных желез
Доброкачественные опухоли слюнных желез представляют собой медленно растущие, безболезненные образования, возникающие на лице, на шее или в полости рта. Несмотря на доброкачественную природу, дифференцировать их от злокачественных опухолей бывает достаточно сложно даже после сбора анамнеза, осмотра, проведения лучевых методов диагностики и тонкоигольной биопсии.
Плеоморфная аденома является самой распространенной опухолью слюнных желез. В редких случаях встречаются и другие доброкачественные новообразования. Плеоморфные аденомы способны малигнизироваться, поэтому их всегда необходимо удалять. Возможно, будущие исследования в сфере молекулярной генетики и разработки новых методов визуализации помогут хирургам выработать новые алгоритмы лечения больных с этими заболеваниями.
а) Эпидемиология доброкачественных опухолей слюнной железы. В целом опухоли слюнных желез встречаются редко, они составляют лишь 3-4% от всех опухолей головы и шеи. Заболеваемость всеми опухолями слюнных желез в США составляет около 1,5 на 100000 человек. В зависимости от локализации, все они могут быть разделены на две большие группы: опухоли крупных слюнных желез и опухоли малых слюнных желез.
Крупные слюнные железы представлены парными околоушными, поднижнечелюстными и подъязычными слюнными железами. Малые слюнные железы, количество которых может достигать 600-1000, располагаются вдоль верхних отделов дыхательного и пищеварительного трактов.
В 70-80% случаев опухоли слюнных желез возникают в околоушной слюнной железе, 75% из них доброкачественны. Опухоли поднижнечелюстной слюнной железы составляют 10-15% от всех новообразований слюнных желез, примерно половина из них является злокачественными. Как правило, чем меньше железа, тем ниже риск развития в ней новообразования, однако риск озлокачествления на 25% выше.
Данная закономерность известна как «правило 25/50/75», отображающее процент злокачественных опухолей в околоушной, поднижнечелюстной и подъязычной/малых слюнных железах, соответственно.
У взрослых наиболее часто встречающейся опухолью является плеоморфная аденома (60%), следом идет опухоль Уортина (12%). Как правило, у взрослых доброкачественными являются 54% всех опухолей слюнных желез, у детей 65%. У детей наиболее часто доброкачественным новообразованием слюнных желез является гемангиома, далее следует плеоморфная аденома.
Перечень доброкачественных опухолей с частотой их встречаемости приведен в таблице ниже. Как правило, они представляют собой плотные, безболезненные, медленнорастущие образования с четкими границами. Лечение состоит в полном хирургическом удалении с иссечением части здоровых тканей. Наиболее часто встречающиеся опухоли приведены в таблице ниже.

Наиболее распространенные доброкачественные опухоли слюнных желез
и их относительная частота встречаемости среди всех новообразований слюнных желез.
б) Плеоморфная аденома. Определяемая как доброкачественная смешанная опухоль, плеоморфная аденома является самым часто встречающимся новообразованием слюнных желез. Развивается в равной степени у мужчин и женщин, чаще появляясь на пятом десятке жизни. Клинически представляет собой одноузловое образование, не сопровождающееся появлением каких-либо жалоб. Описаны редкие случаи многоузловых аденом. Опухоль называется «плеоморфной» или «смешанной», потому что в ее состав в разных пропорциях входит и эпителиальная, и соединительная ткань. Как уже говорилось выше, плеоморфные аденомы составляют 75% всех доброкачественных новообразований слюнных желез.
Если опухоль поражает околоушную слюнную железу, в 90% случаев она располагается латеральнее лицевого нерва. В редких случаях плеоморфная аденома распространяется за шилонижнечелюстную связку и ветвь нижней челюсти в окологлоточное пространство что создает характерную гантелеобразную форму при визуализации. Только 10% плеоморфных аденом происходят из глубокой доли околоушной слюнной железы. Плеоморфные аденомы являются самыми частыми опухолями прешиловидного отдела окологлоточного пространства. Из всех опухолей поднижнечелюстной слюнной железы 36% составляют доброкачественные плеоморфные аденомы.
Плеоморфные аденомы, происходящие из малых слюнных желез, чаще всего располагаются на небе и верхней губе.
Плеоморфная аденома представляет собой плотную опухоль округлой формы, цвет варьирует от серо-белого до желтого. При локализации в околоушной слюнной железе обычно осумкована, аденомы малых слюнных желез чаще всего капсулы лишены. При микроскопии определяется плотная капсула железы с псевдоподиями, которые представляют микроскопические участки прорастания аденомы в окружающие ткани. Поэтому при удалении опухоли обязательным является и частичный захват здоровых тканей. Если следовать данному принципу, риск рецидива составляет менее 5%.
Доброкачественная аденома никогда не прорастает в лицевой нерв, поэтому его необходимо сохранять при всех операциях.
Операция по поводу рецидива плеоморфной аденомы представляет собой значительную трудность для хирурга. Рецидивировавшая опухоль часто многоочаговая, вероятность излечения после повторного вмешательства может составлять 25% и менее. Основной целью операции по поводу рецидива опухоли является ее полное удаление, но риск травмы лицевого нерва в данном случае значительно возрастает. Необходимость лучевой терапии подвергается сомнению, но этот вариант лечения стоит рассмотреть при многоузловых опухолях или при неясных границах резекции.
Малигнизируются плеоморфные аденомы редко. Риск малигнизации тем выше, чем дольше пациент живет с аденомой. В первый год наблюдения риск составляет около 1,5%, при наблюдении в течение 15 лет и более—10%.

Плеоморфная аденома.
При микроскопии определяется пролиферация цитологически нормальных миоэпителиальных клеток, формирующих скопления неправильной формы в миксоидной мезенхимальной строме.
Для мезенхимального компонента характерны миксоидные и фиброзные изменения, иногда встречаются признаки хрящевой или костной метаплазии.
В течение пяти лет рецидивируют 3,4% опухолей, в течение 10 лет — 6,8%.
Часто рецидивирующие плеоморфные аденомы отличает многоочаговое строение.
Плеоморфные аденомы составляют около 60% всех опухолей слюнных желез. Из них 80% возникают в околоушной слюнной железе, 10% в поднижнечелюстной и 10% в малых слюнных железах.
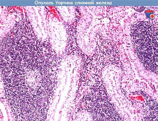
в) Опухоль Уортина (сосочковая кистаденолимфома). Составляя около 10% от всех новообразований слюнных желез, опухоль Уортина представляет собой вторую по частоте встречаемости доброкачественную опухоль слюнных желез. Из-за характерных гистологических свойств, более корректно называть данную опухоль «сосочковой кистаденолимфомой». Опухоли возникают только в околоушной слюнной железе, мужчины страдают в пять раз чаще, чем женщины. Предполагается, что разница в частоте встречаемости у мужчин и женщин объясняется тем, что определенную роль в патогенезе опухолей Уортина играет курение. В 10% встречаются опухоли обеих слюнных желез. В редких случаях могут становиться болезненными вследствие их аутоиммунного воспаления, которое развивается в ответ на лимфоидные клетки опухоли.
Опухоль Уортина имеет круглую или овальную форму, может быть гладкой, либо иметь дольчатое строение. Опухоль окружена капсулой. На срезе видна серая ткань, окружающая лимфоидную ткань белого цвета, а также множественные сосочковые кисты со слизью бурого цвета внутри. Благодаря такому строению опухоль и получила название сосочковой кистаденолимфомы. Рекомендуемое лечение — хирургическое удаление с сохранением лицевого нерва. Риск рецидива возрастает при удалении многодольчатых или двусторонних опухолей.

Опухоль Уортина (сосочковая кистаденолимфома) составляет примерно 3,5% всех эпителиальных опухолей слюнных желез.
Встречается практически исключительно в околоушной слюнной железе. Может иметь дольчатое строение, иногда двусторонняя.
При микроскопии опухоль имеет кистозно-сосочковое строение. Эпителиальные клетки с онкоцитарной метаплазией (большое количество цитоплазматических митохондрий,
розовая цитоплазма с частыми включениями) располагаются в два ряда, формируя сосочковые структуры, которые перемежаются с участками лимфоидной гиперплазии.
После удаления рецидивирует редко.
г) Мономорфная аденома. Наиболее часто встречающимися формами мономорфной аденомы являются базальноклеточная аденома и светлоклеточная аденома. Эти опухоли составляют около 2% от всех опухолей слюнных желез. Чаще всего они возникают из околоушной слюнной железы, а также на верхней губе. Среди всех опухолей слюнных желез имеют наименее агрессивное течение, клинически представляют собой инкапсулированные плотные новообразования с медленным ростом. Иногда их бывает достаточно сложно дифференцировать от солидного варианта аденокистозного рака, но существует несколько характерных признаков: отсутствие инвазии в окружающие ткани, периферическое расположение наружных базалоидных клеток, отсутствие периневрального распространения, наличие васкуляризированной стромы.
д) Онкоцитома. Онкоциты представляют собой крупные эпителиальные клетки с зернистой эозинофильной цитоплазмой. Зернистый внешний вид данных клеток обусловлен большим количеством митохондрий, которые можно увидеть при электронной микроскопии. Эти редкие опухоли составляют около 1% от всех новообразований слюнных желез, у мужчин и женщин встречаются с одинаковой частотой и чаще возникают на поздних этапах жизни. Представляют собой безболезненную солитарную опухоль. Чаще всего локализуются в поверхностной доле околоушной слюнной железы, но также могут поражать другие слюнные железы, поджелудочную железу, дыхательные пути, щитовидную и паращитовидные железы, гипофиз, надпочечники и почки.
Обычно онкоцитомы представляют собой инкапсулированные опухоли с четким границами, цвет от розового до оранжевого. При локализации в малых слюнных железах капсула может отсутствовать и опухоль становится местно деструктирующей. Могут разрушать костную или хрящевую ткани, но метастазируют редко. Доброкачественные опухоли необходимо дифференцировать от злокачественных новообразований с онкоцитарным компонентом (аденокистозный рак, мукоэпидермоидный рак, аденокарцинома, злокачественная онкоцитома), а также от метастатического светлоклеточного рака и рака щитовидной железы. Лечение при доброкачественных онкоцитомах заключается в их хирургическом удалении.
е) Гемангиомы слюнных желез и их сосудистые мальформации. Как уже говорилось выше, наиболее часто встречающимися доброкачественными опухолями слюнных желез в детском возрасте являются гемангиомы. Более детальное описание гемангиом приведено в других разделах этой книги. Как правило, впервые гемангиомы появляются в младенческом возрасте, в течение 1-6 месяцев длится фаза роста, после которой начинается фаза инволюции, которая может длиться вплоть до 12 лет. Чаще встречаются у девочек. Обычно они не вызывают каких-либо жалоб, располагаются с одной стороны, мягкие при пальпации. Чаще всего возникают в околоушной слюнной железе, иногда могут приводить к появлению изменений окружающей кожи.
Дольчатые темно-красные гемангиомы не имеют капсулы. При микроскопии определяются капилляры, выстланные пролиферирующими эндотелиальными клетками. Подробное описание схемы лечения гемангиом не входит в задачи этой главы. Как правило, хирургическое лечение требуется лишь при неэффективности консервативного лечения (кортикостероиды и, с недавнего времени, пропранолол), а также при опухолях, вызывающих сдавление окружающих тканей, или сопровождающихся сосудистой/кардиологической симптоматикой.
Сосудистые мальформации отличаются от гемангиом тем, что по своей природе не являются истинными опухолями. Имеется три вида мальформаций: венозные, артериовенозные и лимфатические мальформации. Как правило, они обнаруживаются еще при рождении, а затем медленно растут в течение всей жизни. Хирургическое лечение часто сопровождается значительными затруднениями, поскольку мальформации могут сильно кровоточить и проникать в окружающие ткани. Тем не менее, на данный момент основным методом лечения сосудистых мальформаций слюнных желез остается хирургический.
ж) Причины доброкачественных опухолей слюнных желез. Точная этиология доброкачественных опухолей слюнных желез неизвестна. Была выявлена связь между повышением риска появления новообразований и некоторыми факторами (курение, воздействие ионизирующего излучения, некоторые профессиональные вредности).
Одно из недавних исследований показало, что у людей, подвергавшихся лучевой терапии по поводу опухолей головы и шеи в 4,5 раза возрастает риск развития рака слюнных желез и в 2,6 раза риск доброкачественных опухолей (особенно опухоли Уортина). Также риск развития опухоли Уортина выше у курильщиков. Также риск рака слюнных желез повышен у работников каучукового производства, контактирующих с нитрозаминами и кварцевой пылью.

Гемангиома области околоушной железы.
Редактор: Искандер Милевски. Дата обновления публикации: 18.3.2021
Аденома слюнной железы
Аденома слюнной железы – это доброкачественное образование, развивающееся из эпителиоцитов выводных протоков малых и больших слюнных желез. Сопровождается возникновением безболезненного узла округлой формы в проекции железы. При значительных размерах новообразования возникает асимметрия лица, припухлость, ноющие боли, парестезии кожи. Диагностируется аденома с помощью общеклинических и специальных методов исследования: УЗИ слюнной железы, контрастной сиалографии, гистологии, томографии. Лечение аденом осуществляется исключительно хирургическим путем: в зависимости от размера опухоли проводится полное или частичное иссечение железы.
МКБ-10
Общие сведения
В хирургической стоматологии описано несколько гистологических типов аденом слюнных желез. Наиболее часто в клинической практике диагностируется плеоморфная аденома. Она составляет 50-70% эпителиальных новообразований больших слюнных желез (обычно околоушных) и 20-55% - малых (преимущественно нёбных). Аденома обычно возникает у людей преклонного возраста (после 50-60 лет), чаще у женщин.
Растет в течение длительного времени ‒ 10-12 лет. Плеоморфную аденому слюнной железы также называют смешанной опухолью из-за морфологической разнородности структуры. Новообразование является доброкачественным, но может малигнизироваться. Перерождение в злокачественную форму встречается в 2-5% случаев. После нерадикального лечения опухоль нередко рецидивирует.
Причины
Этиология аденомы изучена не до конца. Существует несколько теорий возникновения заболевания: физико-химическая, вирусная, полиэтиологическая. Каждая теория является правомочной, но ни одна из них не может точно объяснить возникновение аденомы и охватить все причины болезни. На сегодняшний день самой популярной и логичной является полиэтиологическая концепция, согласно которой, действие различных факторов может привести к нарушению работы клеток. Теории образования аденом:
- Физико-химическая. Опирается на положение о пусковой роли в процессе канцерогенеза различных экзогенных веществ. К канцерогенам относят некоторые химические соединения, ионизирующую радиацию, ультрафиолетовое излучение, воздействие холода. Риск образования аденом возрастает после травмы или воспаления слюнной железы (сиаладенита).
- Вирусная. Указывает на связь патологии с инфицированием организма определенными вирусами (Эпштейна-Барр, герпеса), которые провоцируют возникновение опухоли. Согласно данной теории, канцерогены создают благоприятную среду для инвазии и размножения онкогенных вирусов.
- Полиэтиологическая. Основывается на наличии множества этиологических факторов, которые могут вызывать новообразование. Кроме канцерогенов и вирусов, указанных выше, к ним относятся генные мутации, нарушение эмбриональной закладки желез, гормональные нарушения, вредные привычки.
Патогенез
После 45 лет в организме человека происходит иммунная и эндокринная перестройка. Данное состояние в сочетании с нарушением процессов пролиферации и дифференциации клеток делают организм уязвимым для развития опухолевого процесса. Согласно полиэтиологической теории, под действием различных факторов в клетках эпителия слюнной железы возникают процессы ката- и анаплазии. Происходит нарушение дифференциации клеток, которые начинают неконтролируемо размножаться, что приводит к формированию аденомы.
Макроскопически аденома представляет собой эластичный или плотный узел размером 5-6 см. Образование ограничено капсулой, но может прорастать в ткани железы. Наличие капсулы и дольчатое строение можно проследить не всегда. На разрезе аденома может иметь белесоватый, желтоватый или серый оттенок с хрящевидными и слизистыми компонентами. Микроскопически ткань аденомы очень разнородна, представлена железистыми, трабекулярными, солидно-альвеолярными и микрокистозными структурами, миксоидным и ходндроидным веществом.
Классификация
Аденомы составляют до 80% всех эпителиальных новообразований желез. Для них характерен доброкачественный рост, медленное развитие, возникновение после 50 лет. По морфологическом и гистологическому строению аденомы бывают следующих видов:
- Плеоморфная. Является самой распространенной. Образуется из эпителия выводных протоков. Пальпаторно определяется как круглое образование с плотной текстурой и бугристой поверхностью.
- Мономорфная. Опухоль состоит преимущественно из железистого компонента слюнной железы. Имеет размер до 5 см, мягкая и эластичная при пальпации.
- Аденолимфома. Возникает из лимфатических протоков или узлов, содержит лимфу. Образуется исключительно в околоушной области. Для нее характерны четкие границы, эластичная или плотная структура, склонность к нагноению.
- Оксифильная (онкоцитома). Возникает в 1% случаев, преимущественно в околоушных железах. При пальпации определяется как четко ограниченный эластичный узелок.
- Базальноклеточная. Возникает из базалоидного вида ткани и содержит базальные клетки. Макроскопически является плотным узлом. От других аденом отличается тем, что никогда не рецидивирует и не озлокачествляется.
- Каналикулярная. Появляется чаще на слизистой оболочке верхней губы или щеки. Состоит из призматических клеток эпителия в виде пучков. Отличается маленьким размером, внешне напоминает бусины.
- Сальная. Это небольшой узелок, состоящий из кистозно-измененных сальных клеток. Образование безболезненное, не рецидивирует после удаления.
Симптомы
Образование может возникать в любых слюнных железах: околоушных, подчелюстных, подъязычных или малых – на слизистой губ, щек, неба. Плеоморфная аденома чаще поражает одну из околоушных желез. Опухоль появляется ниже виска, спереди от ушной раковины. Для аденомы характерен медленный рост и длительное существование. Патогномоничными симптомами являются наличие круглого или овального уплотнения, четкие очертания, подвижность и безболезненность при пальпации.
На начальных этапах опухоль может не беспокоить. По мере роста аденомы появляются неприятные и болезненные ощущения, припухлость, отек, снижение слюноотделения и сухость в полости рта. Большие опухоли могут вызывать асимметрию лица, сдавливать окружающие органы, провоцировать ноющие боли. Аденома околоушной железы может травмировать нервные окончания, становясь причиной парестезии кожи и паралича мимических мышц.
Большие новообразования вызывают деформацию глотки, что проявляется неприятными ощущениями во время приема пищи и глотания. Поражение подъязычных желез вызывает у пациентов ощущение инородного тела во рту и нарушения речи. Опухоль малых слюнных желез характеризуется малоподвижностью.
Осложнения
Аденомы больших размеров выходят за пределы капсулы и прорастают вглубь железы. Происходит замещение тканей железы и нарушение функции слюноотделения. Возможны поражения лицевого и тройничного нервов, которые грозят невритом, парезом и параличом мышц. В случае несвоевременного и нерадикального хирургического лечения значительно возрастает риск рецидивирования аденомы.
При длительном существовании опухоли у 5% больных происходит ее малигнизация. При трансформации аденомы в злокачественную возникает стремительное разрастание тканей, образование становится неподвижным и твердым. Беспокоят самопроизвольные болезненные ощущения, снижение выработки слюны, дисфагия. В 50% случаев злокачественное новообразование метастазирует в лимфатические узлы.
Диагностика
С целью диагностики аденомы применяются клинические и специальные методы исследования. Первичный осмотр и опрос больного осуществляет стоматолог-хирург или онколог. Дифференциальную диагностику аденомы проводят с кистами, лимфаденитом, сиаладенитом, злокачественными опухолями слюнных желез. Применяются следующие методы обследования и диагностики:
- Осмотр и зондирование. Путем пальпации определяется место расположения, структура, форма, подвижность, размеры, контуры образования; оценивается наличие болезненных ощущений, отношение опухоли к окружающим органам. Ретроградное зондирование дает возможность определить наличие образования в протоках, степень сдавления железы опухолью. Оценка слюноотделительной функции производится с помощью зонда и массажа железы.
- Контрастная рентгенография. Сиалография показывает точную локализацию и размер новообразования в 83%. Доброкачественные образования оттесняют протоки, которые совпадают с контурами опухоли. По контурам судят о размере аденомы. Прерывистое контрастирование протоков характерно для злокачественных образований.
- Эхография. УЗИ слюнных желез позволяет судить о размере опухоли и ее структуре. По эхогенности определяют структурные изменения железы, степень замещения соединительной тканью. Доброкачественные образования имеют ровные и четкие контуры. Исследование менее точное при глубоком расположении аденомы.
- Гистологическое и цитологическое изучение. Проводятся после аспирационной биопсии и получения пунктатов опухоли. Позволяют верифицировать опухоль, уточнить клеточный состав, определить вид аденомы, дифференцировать доброкачественные и злокачественные образования.
- Томография. КТ и МРТ слюнных желез дают точную и полную информацию о заболевании. Компьютерная и магнитно-резонансная томография имеют наиболее высокую диагностическую ценность, показывают отношение опухоли к окружающим тканям, стадию развития, уточняют топографо-анатомическую локализацию.
Лечение аденомы слюнной железы
Лечение проводится преимущественно хирургическим путем. Методика операции зависит от клинического течения болезни, размера и расположения аденомы, возраста и состояния здоровья пациента. Труднее всего удалить аденому околоушной области, что обусловлено сложной анатомией данной области. В процессе операции важно правильно выделить и сохранить лицевой нерв. В челюстно-лицевой хирургии используются следующие способы оперативного вмешательства:
- Энуклеацияопухоли. Удаление аденомы предполагает вылущивание и устранение опухоли в пределах ее оболочки. Производят рассечение капсулы железы, отслойку оболочки опухоли от окружающих тканей по всему периметру. Новообразование постепенно препарируют и удаляют. Способ является наименее травмирующим.
- Иссечение железы. Паротидэктомия может быть частичной (удаление опухоли и небольшой подлежащей части железы), субтотальной (экстирпация аденомы вместе с несколькими долями железы) и тотальной (экстирпация околоушной железы с опухолью). При плеоморфной аденоме специалисты рекомендуют проводить тотальную паротидэктомию, т. к. образование склонно к озлокачествлению и рецидивированию. Современные технологии позволяют выполнять операцию с применением лазера, микроскопа и компьютерных технологий. Вмешательство осуществляется малотравматично, а период реабилитации проходит легче.
Прогноз и профилактика
После оперативного удаления аденомы прогноз для жизни и здоровья благоприятный. Послеоперационный период длится 7-10 дней. Осложнения после хирургического лечения возникают крайне редко. После тотальной паротидэктомии возможность рецидива снижается до 1-4%. В случае повторного образования аденомы хирургическое вмешательство проводят вновь в более радикальном объеме. Специфической профилактики заболевания не существует. К мерам общей профилактики относят предупреждение канцерогенных воздействий, заболеваний слюнных желез, травматических повреждений, соблюдение принципов здорового питания и образа жизни.
3. Анализ причин рецидивов доброкачественных опухолей слюнных желез/ Дрегалкина А.А. Коковина Т.А.// Проблемы стоматологии. - 2014.
4. Рецидивы опухолей околоушных слюнных желез (клиника, диагностика, лечение): Автореферат диссертации/ Матякин Е.Г. - 2011.
Опухоли слюнных желёз
Опухоли слюнных желез – различные по своему морфологическому строению новообразования малых и больших слюнных желез. Доброкачественные опухоли слюнных желез развиваются медленно и практически не дают клинических проявлений; злокачественные новообразования отличаются быстрым ростом и метастазированием, вызывают боли, изъязвление кожи над опухолью, паралич лицевой мускулатуры. Диагностика опухолей слюнных желез включает УЗИ, сиалографию, сиалосцинтиграфию, биопсию слюнных желез с цитологическим и морфологическим исследованием. Опухоли слюнных желез подлежат лечению хирургическим путем или комбинированному лечению.
Опухоли слюнных желез – доброкачественные, промежуточные и злокачественные новообразования, исходящие из малых или больших (околоушных, подчелюстных, подъязычных) слюнных желез или вторично поражающие их. Среди опухолевых процессов различных органов на долю опухолей слюнных желез приходится 0,5-1,5%. Опухоли слюнных желез могут развиваться в любом возрасте, однако наиболее часто возникают в возрасте 40-60 лет, в два раза чаще у женщин. Склонность опухолей слюнных желез к малигнизации, местному рецидивированию и метастазированию обусловливают интерес к ним не только со стороны хирургической стоматологии, но и онкологии.
Причины опухолей слюнных желез
Как и в случае с новообразованиями других локализаций, рассматривается этиологическая роль генных мутаций, гормональных факторов, неблагополучных воздействий внешней среды (чрезмерного ультрафиолетового облучения, частых рентгенологических исследований области головы и шеи, предшествующей терапии радиоактивным йодом по поводу гипертиреоза и пр.), курения. Высказывается мнение о возможных алиментарных факторах риска (высоком содержании холестерина в пище, недостатке витаминов, свежих овощей и фруктов в рационе и пр.).
Принято считать, что к группам профессионального риска по развитию злокачественных опухолей слюнных желез относятся работники деревообрабатывающей, металлургической, химической промышленности, парикмахерских и салонов красоты; производств, связанных с воздействием цементной пыли, керосина, компонентов никеля, свинца, хрома, кремния, асбеста и пр.
На основании клинико-морфологических показателей все опухоли слюнных желез делятся на три группы: доброкачественные, местно-деструирующие и злокачественные. Группу доброкачественных опухолей слюнных желез составляют эпителиальные (аденолимфомы, аденомы, смешанные опухоли) и неэпителиальные (хондромы, гемангиомы, невриномы, фибромы, липомы) соединительнотканные новообразования.
Местнодеструирующие (промежуточные) опухоли слюнных желез представлены цилиндромами, ацинозноклеточными и мукоэпителиальными опухолями. К числу злокачественных опухолей слюнных желез относятся эпителиальные (карциномы), неэпителиальные (саркомы), малигнизированные и метастатические (вторичные).
Для стадирования рака больших слюнных желез используется следующая классификация по системе TNM.
- Т0 – опухоль слюнной железы не выявляется
- Т1 – опухоль диаметром до 2 см не распространяется за пределы слюнной железы
- Т2 - опухоль диаметром до 4 см не распространяется за пределы слюнной железы
- ТЗ - опухоль диаметром от 4 до 6 см не распространяется за пределы слюнной железы либо распространяется за пределы слюнной железы без поражения лицевого нерва
- Т4 - опухоль слюнной железы диаметром более 6 см либо меньшего размера, но с распространением на основание черепа, лицевой нерв.
- N0 – отсутствие метастазов в регионарные лимфоузлы
- N1 – метастатическое поражение одного лимфоузла диаметром до 3 см
- N2 – метастатическое поражение одного или нескольких лимфоузлов диаметром 3-6 см
- N3 – метастатическое поражение одного или нескольких лимфоузлов диаметром более 6 см
- М0 – отсутствие отдаленных метастазов
- M1 – наличие отдаленных метастазов.
Симптомы опухолей слюнных желез
Доброкачественные опухоли слюнных желез
Наиболее частым представителем этой группы является смешанная опухоль слюнной железы или полиморфная аденома. Ее типичной локализацией служат околоушная, реже - подъязычная или поднижнечелюстная железа, малые слюнные железы щечной области. Опухоль растет медленно (многие годы), при этом может достигать значительных размеров и вызывать асимметрию лица. Полиморфная аденома не причиняет болевых ощущений, не вызывает пареза лицевого нерва. После удаления смешанная опухоль слюнной железы может рецидивировать; в 6% случаев возможна малигнизация.
Мономорфная аденома – доброкачественная эпителиальная опухоль слюнной железы; чаще развивается в выводных протоках желез. Клиническое течение аналогично полиморфной аденоме; диагноз обычно устанавливается после гистологического исследования удаленного новообразования. Характерной особенностью аденолимфомы является преимущественное поражение околоушной слюнной железы с непременным развитием ее реактивного воспаления.
Доброкачественные соединительнотканные опухоли слюнных желез встречаются реже эпителиальных. В детском возрасте среди них преобладают ангиомы (лимфангиомы, гемангиомы); невриномы и липомы могут возникать в любом возрасте. Неврогенные опухоли чаще возникают в околоушной слюнной железе, исходя из ветвей лицевого нерва. По клинико-морфологическим признакам ничем не отличаются от аналогичных опухолей других локализаций. Опухоли, прилежащие к глоточному отростку околоушной слюнной железы, могут вызывать дисфагию, оталгию, тризм.
Промежуточные опухоли слюнных желез
Цилиндромы, мукоэпидермоидные (мукоэпителиальные) и ацинозноклеточные опухоли слюнных желез характеризуются инфильтративным, местно-деструирующим ростом, поэтому относятся к новообразованиям промежуточного типа. Цилиндромы поражают преимущественно малые слюнные железы; другие опухоли - околоушные железы.
Обычно развиваются медленно, однако при определенных условиях приобретают все черты злокачественных опухолей – быстрый инвазивный рост, склонность к рецидивам, метастазирование в легкие и кости.
Злокачественные опухоли слюнных желез
Могут возникать как первично, так и в результате малигнизации доброкачественных и промежуточных опухолей слюнных желез.
Карциномы и саркомы слюнных желез быстро увеличиваются в размерах, инфильтрируют окружающие мягкие ткани (кожу, слизистую оболочку, мышцы). Кожа над опухолью может быть гиперемирована и изъязвлена. Характерными признаками являются боли, парез лицевого нерва, контрактуры жевательных мышц, увеличение регионарных лимфоузлов, наличие отдаленных метастазов.
Основу диагностики опухолей слюнных желез составляет комплекс клинических и инструментальных данных. При первичном осмотре пациента стоматологом или онкологом производится анализ жалоб, осмотр лица и полости рта, пальпация слюнных желез и лимфатических узлов. При этом особое внимание обращается на локализацию, форму, консистенцию, размеры, контуры, болезненность опухоли слюнных желез, амплитуду открывания рта, заинтересованность лицевого нерва.
Для распознавания опухолевых и неопухолевых поражений слюнных желез проводится дополнительная инструментальная диагностика – рентгенография черепа, УЗИ слюнных желез, сиалография, сиалосцинтиграфия. Наиболее достоверным методом верификации доброкачественных, промежуточных и злокачественных опухолей слюнных желез является морфологическая диагностика – пункция и цитологическое исследование мазка, биопсия слюнных желез и гистологическое исследование материала.
С целью уточнения стадии злокачественного процесса могут потребоваться КТ слюнных желез, УЗИ лимфатических узлов, рентгенография органов грудной клетки и др. Дифференциальная диагностика опухолей слюнных желез проводится с лимфаденитом, кистами слюнных желез, сиалолитиазом.
Лечение опухолей слюнных желез
Доброкачественные опухоли слюнных желез подлежат обязательному удалению. Объем оперативного вмешательства определяется локализацией новообразования и может включать энуклеацию опухоли, субтотальную резекцию или экстирпацию железы вместе с опухолью. При этом обязательно проведение интраоперационного гистологического исследования для решения вопроса о характере образования и адекватности объема операции.
Удаление опухолей околоушных слюнных желез связано с опасностью повреждения лицевого нерва, поэтому требует тщательного визуального контроля. Послеоперационными осложнениями могут служить парез или паралич мимических мышц, образование послеоперационных слюнных свищей.
При раке слюнных желез в большинстве случаев показано комбинированное лечение – предоперационная лучевая терапия с последующим хирургическим лечением в объеме субтотальной резекции или экстирпации слюнных желез с лимфаденэктомией и фасциально-футлярным иссечением клетчатки шеи. Химиотерапия при злокачественных опухолях слюнных желез не находит широкого применения ввиду своей малой эффективности.
Прогноз
Хирургическое лечение доброкачественных опухолей слюнных желез дает хорошие отдаленные результаты. Частота рецидивов составляет от 1,5 до 35%. Течение злокачественных опухолей слюнных желез неблагоприятное. Полное излечение достигается в 20-25% случаев; рецидивы возникают у 45% пациентов; метастазы выявляются почти в половине случаев. Наиболее агрессивное течение отмечается при раке подчелюстных желез.
Доброкачественные опухоли полости рта
Доброкачественные опухоли полости рта — расположенные в полости рта новообразования, характеризующиеся отграниченным медленным ростом и не склонные к метастазированию. К доброкачественным опухолям полости рта относятся папилломы, миксомы, ретенционные кисты, железы Серра, фибромы, фиброматоз десен, миомы, гемангиомы, лимфангиомы. Диагностика опухолей полости рта осуществляется на основании данных осмотра, пальпации, рентгенологического исследования, ангиографии и гистологического исследования. Удаление опухолей полости рта возможно путем хирургического иссечения, электрокоагуляции, лазерной валоризации, криодеструкции, склерозирования сосудов или применения радиоволнового метода.
Наиболее часто стоматология сталкивается с опухолями эпителиального происхождения, берущими свое начало из железистого, плоского или зубообразовательного эпителия. Возможно развитие опухоли полости рта из жировой ткани, мышечных волокон, соединительнотканных структур, нервных стволов и сосудов. В зависимости от расположения выделяют доброкачественные опухоли языка, внутренней поверхности щек, мягкого и твердого неба, подъязычной области, десен и губ.
Причины опухолей полости рта
Этиология и механизм развития опухолей полости рта пока не достаточно изучены. К факторам риска относятся употребление алкоголя, курение, острая травма (например, удаление зуба), хроническое травмирование слизистой рта краем сломанного зуба, плохо обработанной поверхностью пломбы, коронкой или зубным протезом. Наиболее высок риск возникновения опухоли полости рта при сочетании курения с приемом алкоголя. В развитии некоторых неопластических опухолей полости рта (папилломы, папилломатоз) ведущая роль отводится вирусной инфекции (вирус папилломы человека, вирус герпеса).
Опухоли полости рта, возникающие в детском возрасте, часто связаны с нарушениями дифференцировки тканей в период внутриутробного развития. К ним относятся дермоидные и ретенционные кисты, железы Серра, врожденные невусы. Как правило, эти новообразования выявляются в течение первого года жизни.
Эпителиальные опухоли полости рта
Папилломы. Опухоли полости рта, состоящие из клеток многослойного плоского эпителия. Локализуются чаще всего на губах, языке, мягком и твердом небе. Папилломы полости рта представляют собой округлый выступ над поверхностью слизистой. Могут иметь гладкую поверхность, но чаще покрыты сосочковыми разрастаниями по типу цветной капусты. Обычно наблюдаются единичные папилломы, реже — множественные. Со временем эти опухоли полости рта покрываются ороговевающим эпителием, за счет чего приобретают белесоватую окраску и шероховатую поверхность.
Невусы. В полости рта невусы наблюдаются в редких случаях. Они чаще бывают выпуклыми и имеют различную степень пигментации от бледно-розового цвета до коричневого. Среди опухолей ротовой полости встречаются голубой невус, папилломатозный невус, невус Ота и другие. Некоторые из них могут озлокачествляться с развитием меланомы.
Железы Серра. Обычно этот вид опухолей полости рта располагается в области альвеолярного отростка или твердого неба. Железы Серра представляют собой полушаровидные образования желтоватого цвета размером до 0,1 см и плотной консистенции. Могут иметь множественный характер. Обычно к концу первого года жизни ребенка отмечается самопроизвольное исчезновение этих образований.
Соединительнотканные опухоли полости рта
Фибромы. Наиболее часто фибромы полости рта встречаются в области нижней губы, языка и на небе. Имеют вид гладкого овального или округлого образования, в отдельных случаях расположенного на ножке. Цвет этих опухолей полости рта не отличается от окраски окружающей их слизистой.
Фиброматоз десен. Не все авторы относят фиброматоз десен к опухолям полости рта, некоторые считают, что в его основе лежат изменения воспалительного характера. Фиброматозные разрастания — безболезненные плотные образования. Они могут носить локальный характер в пределах нескольких зубов и диффузный, захватывая весь альвеолярный отросток как нижней, так и верхней челюсти. Опухолевые разрастания при фиброматозе локализуются в сосочках десен и могут быть настолько выражены, что полностью закрывают коронки зубов. Этот вид опухоли полости рта требуют дифференциации от гиперпластического гингивита.
Миомы. Развиваются из мышечной ткани. Рабдомиомы образуются из волокон поперечно-полосатой мускулатуры. Чаще всего наблюдаются в виде единичных узловых образований в толще языка. Лейомиомы развиваются из гладкомышечных волокон и обычно локализуются на небе. Миобластомы (опухоль Абрикосова) являются результатом дисэмбриогенеза и диагностируются у детей до года. Они представляют собой округлую опухоль полости рта размером до 1 см, покрытую эпителием и имеющую блестящую поверхность.
Миксомы. Эти опухоли полости рта могут иметь округлую, сосочковую или бугристую поверхность. Располагаются в области твердого неба или альвеолярного отростка.
Пиогенная гранулема. Развивается из слизистой или соединительнотканных элементов ротовой полости. Часто наблюдается после травмирования слизистой оболочки щек, губ или языка. Пиогенная гранулема имеет сходство с богато кровоснабжающейся грануляционной тканью. Отличается быстрым увеличением размеров до 2 см в диаметре, темно-красной окраской и кровоточивостью при прикосновении.
Эпулисы. Доброкачественные опухоли полости рта, расположенные на десне. Могут произрастать из глубоких слоев десны, надкостницы, тканей периодонта. Наиболее часто эпулис встречается в области передних зубов. Классифицируются на фиброзные, гигантоклеточные и ангиоматозные образования.
Невриномы. Образуются в результате разрастания клеток шванновской оболочки нервных волокон. Достигают в диаметре 1 см. Имеют капсулу. Невриномы являются практически единственными опухолями полости рта, при пальпации которых может отмечаться болезненность.
Сосудистые опухоли полости рта
Гемангиомы. Самые распространенные опухоли полости рта. В 90% случаев гемангиомы диагностируются сразу или в ближайшее время после рождения ребенка. Бывают простыми (капиллярными), кавернозными, капиллярно-кавернозными и смешанными. Отличительной особенностью этих опухолей полости рта является их побледнение или уменьшение в размерах при надавливании. Травмирование гемангиом часто приводит к кровоточивости.
Лимфангиомы. Возникают в результате нарушений эмбриогенеза лимфатической системы и выявляются обычно у новорожденных. Характеризуются образованием ограниченной или диффузной припухлости в полости рта. Среди опухолей полости рта различают кавернозные, кистозные, капиллярно-кавернозные и кистозно-кавернозные лимфангиомы. Эти опухоли полости рта склонны к воспалению, которое часто бывает связано с травмой слизистой рта или обострением какого-либо хронического воспалительного заболевания носоглотки: пульпита, периодотита, хронического тонзиллита, гайморита и пр. Отдельные авторы указывают также на связь рецидивирующего воспалительного процесса в лимфангиоме с обострениями хронического гастрита, дуоденита или колита.
Диагностика опухолей полости рта
Опухоли полости рта небольшого размера могут быть диагностированы стоматологом случайно при проведении профилактического осмотра, в ходе лечения кариеса и других стоматологических манипуляций. Точное определение вида опухоли возможно только после гистологического изучения ее структуры. Подобное исследование может проводится на материале, взятом в ходе биопсии опухоли или после ее удаления.
Для определения глубины прорастания опухоли полости рта применяется УЗИ образования, для оценки состояния костных структур — рентгенологическое исследование. При фиброматозе десен проводится ортопантомограмма, на которой часто выявляются участки деструкции альвеолярного отростка. В диагностике сосудистых опухолей нередко используют ангиографию.
Лечение опухолей полости рта
Затруднение речи и пережевывания пищи при наличии опухоли полости рта, постоянная травматизация новообразований этой локализации, а также вероятность их малигнизации — все это является поводом для активной хирургической тактики. В зависимости от вида опухоли полости рта возможно применение электрокоагуляции, удаления лазером, криодеструкции, радиоволнового метода, хирургического иссечения, склеротерапии.
Удаление опухолей полости рта диффузного характера проводится в несколько этапов. Иссечение фиброматозных разрастаний производят вместе с надкостницей. Участки разрушенной костной ткани подвергаются обработке фрезой и коагуляции. Сосудистые опухоли полости рта могут быть склерозированны путем введения склерозирующих веществ непосредственно в сосуды опухоли.
Клиника и диагностика доброкачественной опухоли слюнной железы
а) Первичный осмотр. Слюнные железы может поражать множество различных неопухолевых заболеваний, но исключить большинство из них можно после тщательного сбора анамнеза. Аутоиммунные, воспалительные и инфекционные заболевания могут имитировать новообразования. Острое, болезненное увеличение в размере слюнной железы является признаком инфекции или воспаления.
Двустороннее поражение часто развивается вследствие вирусной инфекции (свинка, ВИЧ) или синдрома Шегрена. Воспаление слюнных желез чаще развивается у пожилых людей, при иммунодефиците, недостаточном питании или обезвоживании. Тем не менее, не следует исключать возможность, что даже при таких проблемах основной причиной может быть как доброкачественная, так и злокачественная опухоль.
При первичном опросе пациента нужно сосредоточиться на времени появления опухоли, скорости ее роста, связи симптомов или размеров с приемом пищи, наличием боли, слабости лицевой мускулатуры или асимметрии лица. Плотное, безболезненное увеличение в размерах околоушной слюнной железы скорее свидетельствует о наличии новообразования, но в случае поднижнечелюстной слюнной железы такая же картина более характерна для хронической обструкции и воспаления.
Также стоит задать вопросы о курении и о профессиональной вредности, контактах с химическими веществами. Дальнейшее описание возможных жалоб следует ниже.

а Бимануальная пальпация поднижнечелюстной (1) и подъязычной (2) железы и перигландулярного лимфатического узла или камня (3) в поднижнечелюстном протоке.
б Техника пальпации ретромандибулярной части околоушной железы. Голову пациента наклоняют, чтобы ослабить натяжение шейной фасции.
б) Клиническая картина, данные осмотра. Всем пациентам проводится полный осмотр органов головы и шеи. При опухолях околоушной слюнной железы пальпация должны быть бимануальной, включая внутриротовую пальпацию, необходимую для оценки состояния окологлоточного пространства. Необходимо оценить функцию лицевого нерва и задокументировать ее (даже при норме). Опухоли поднижнечелюстной слюнной железы иногда достаточно сложно отличить от ее диффузного увеличения, критерием служит подвижность опухоли.
Опухоли поднижнечелюстной и подъязычной слюнных желез тоже нужно пальпировать двумя руками. У пациентов с опухолями поднижнечелюстной железы требуется оценить подвижность и чувствительность языка, а также функцию лицевого нерва, поскольку их нарушение может быть признаком периневрального распространения опухоли по подъязычному, язычному и краевому нижнечелюстным нервам, соответственно.
При осмотре доброкачественные опухоли слюнных желез выглядят как плотные подвижные образования с четкими границами. Спаянность с окружающими тканями, парез или паралич черепных нервов, лимфоаденопатия, локальная деструкция являются признаками злокачественного процесса. Следует помнить, что опухоли малых слюнных желез редко являются доброкачественными, поэтому лечить их необходимо более агрессивно.
в) Обследование при доброкачественной опухоли слюнной железы. Диагностический алгоритм при обследовании пациента с доброкачественной опухолью слюнной железы может включать в себя тонкоигольную биопсию и/или лучевые методы диагностики. Оба метода являются обязательными в том случае, если опухоль имеет нетипичную локализацию (окологлоточное пространство), или большую вероятность малигнизации. Если же образование представляет собой единичную, плотную, подвижную опухоль поверхностной доли околоушной слюнной железы, ценность этих методов диагностики сомнительна.
г) Тонкоигольная аспирационная биопсия. Тонкоигольная аспирационная биопсия может быть очень чувствительным (86-99%) и специфичным (96-100%) методом диагностики, если она выполняется в учреждении, занимающимся лечением больных с опухолями слюнных желез. Метод прост в исполнении, безопасен и относительно недорог. Если опухоль расположена глубоко, точность метода можно повысить использованием УЗИ. Как правило, тонкоигольная биопсия более предпочтительна в диагностике доброкачественных опухолей, чем злокачественных, поскольку при микроскопическом исследовании первые часто могут выглядеть как вторые.
Сторонники тонкоигольной биопсии считают, что ее выполнение может предотвратить ненужное оперативное лечение при некоторых доброкачественных процессах (хроническом воспалении, доброкачественных лимфоэпителиальных процессах), у пожилых или ослабленных пациентов с доброкачественными опухолями, у пациентов с лимфомами. Также тонкоигольная биопсия позволяет заранее спланировать ход операции при подозрении на злокачественную опухоль, помогает более конкретно информировать пациента о возможных осложнениях и исходах.
Противники утверждают, что при правильно проведенной диагностике выполнять биопсию всех новообразований не обязательно. Несмотря на то, что выполнение биопсии иглой 25G считается безопасной манипуляцией, опухоли Уортина иногда могут воспаляться после нее. Вряд ли найдутся сторонники тонкоигольной биопсии новообразований подчелюстной или подъязычной области, потому что при такой локализации велика вероятность злокачественного или метастатического заболевания.

(а) Аксиальная и (б) фронтальная КТ шеи с контрастированием у пациента с плеоморфной аденомой правой околоушной слюнной железы.
(в) Аксиальный и (г) фронтальный срезы у пациента с плеоморфной аденомой правой поднижнечелюстной слюнной железы.
Обратите внимание, что опухоли имеют капсулу и четкие границы, не прорастают в окружающие ткани.
д) Лучевая диагностика. Рассматривая необходимость назначения того или иного метода обследования, хирург должен думать о том, как его выполнение повлияет на план лечения пациента. И если в пользу выполнения тонкоигольной биопсии можно привести какие-либо аргументы, то пациенту с единичной плотной подвижной опухолью околоушной слюнной железы вряд ли нужны вообще какие-либо лучевые методы диагностики, потому что они никак не повлияют на алгоритм лечения. Обычно они требуются при атипичном расположении опухоли, либо при подозрении на злокачественный процесс.
Двумя основными методами, использующимися в диагностике опухолей слюнных желез, являются компьютерная томография (КТ) и магнитно-резонансная томография (МРТ). КТ должна выполняться с контрастированием. Этот метод исследования позволяет добиваться хорошей визуализации слюнных желез. Инкапсулированные опухоли четко определяются на КТ, но отличить одно новообразование от другого часто не представляется возможным. Двусторонний процесс или метастазы в шейные лимфоузлы также хорошо визуализируются и на КТ, и на МРТ.
При доступности МРТ и отсутствии к ней противопоказаний у пациента, она является методом выбора в диагностике опухолей слюнных желез любой локализации. При помощи динамической контрастной МРТ можно дифференцировать плеоморфную аденому от опухоли Уортина с чувствительностью 100% и специфичностью 80%. Плеоморфные аденомы отличаются высокой интенсивностью в Т2-режиме, в то время как для опухолей Уортина характерен кистозный, некротический компонент.
Помимо этого МРТ по сравнению с КТ позволяет более точно оценить экстракапсулярный рост, периневральное распространение опухоли, вовлечение окологлоточного пространства, более четко показывает границу между опухолью и самой железой. Несмотря на точность МРТ, единственным новообразованием слюнных желез, которое можно достоверно диагностировать при помощи лучевых методов, является липома. Во всех остальных случаях для постановки точного диагноза требуется микроскопия.
УЗИ используется при выполнении тонкоигольной биопсии у детей и беременных женщин. Исследование выполняется быстро, стоимость его невелика. При помощи УЗИ можно оценить характер процесса (диффузный или отграниченный), структуру ткани (кистозная, солидная, сосудистая), определить границы опухоли, в некоторых случаях подтвердить неопластический характер процесса.
е) Дифференциальный диагноз. Дифференцировать необходимо со всеми заболеваниями, перечислявшимися выше, злокачественными опухолями, различными воспалительными заболеваниями.
Читайте также:
- Сосуды ( кровоснабжение ) предплечья. Иннервация ( нервы ) предплечья. Передний межкостный сосудисто-нервный пучок.
- Диагностика острого панкреатита. Дифференциальная диагностика острого панкреатита
- Клиника, диагностика, лечение ювенильной ангиофибромы носоглотки
- На приеме у врача
- Причины межъядерной офтальмоплегии
