Кольпоцефалия - клиника, диагностика
Добавил пользователь Евгений Кузнецов Обновлено: 29.12.2025
В кольпоцефалия это врожденная аномалия головного мозга, которая влияет на структуру желудочковой системы. На анатомическом уровне в головном мозге наблюдается значительное расширение затылочных рогов боковых желудочков. Можно увидеть, что задняя часть боковых желудочков больше, чем ожидалось, из-за аномального развития белого вещества.
Клиническое проявление этой патологии проявляется в первые годы жизни и характеризуется задержкой когнитивного и моторного созревания, развитием судорог и эпилепсии.
Хотя конкретная причина кольпоцефалии еще не обнаружена, этот тип патологии может быть результатом развития какого-либо аномального процесса во время эмбрионального развития примерно на втором и шестом месяце беременности.
Диагноз кольпоцефалии обычно ставится в пре- или перинатальном периоде, во взрослой жизни диагноз ставится очень редко.
С другой стороны, прогноз людей с кольпоцефалией в основном зависит от тяжести заболевания, степени развития мозга и наличия других типов медицинских осложнений.
Медицинское вмешательство при кольпоцефалии ориентировано в основном на лечение вторичных патологий, например, судорог.
Характеристики кольпоцефалии
Кольпоцефалия - это врожденное неврологическое заболевание, то есть нарушение нормального и эффективного развития нервной системы, в данном случае различных областей мозга во время беременности.
В частности, врожденные нарушения, поражающие центральную нервную систему (ЦНС), являются одной из основных причин смертности и заболеваемости плода.
Всемирная организация здравоохранения (ВОЗ) указывает, что около 276 000 новорожденных умирают в течение первых четырех недель жизни в результате того или иного вида врожденной патологии.
Кроме того, эти типы аномалий представляют собой одну из наиболее важных причин функциональных нарушений в детской популяции, поскольку они вызывают широкий спектр неврологических расстройств.
Заболевания головного мозга
С другой стороны, кольпоцефалия классифицируется в группе патологий, которые влияют на структуру мозга и известны как «энцефалические расстройства».
Заболевания головного мозга относятся к наличию различных изменений или аномалий центральной нервной системы, возникающих на ранних стадиях развития плода.
Развитие нервной системы (НС) на пренатальной и постнатальной стадиях следует за серией очень сложных процессов и событий, в основе которых лежат различные нейрохимические события, генетически запрограммированные и действительно чувствительные к внешним факторам, таким как влияние окружающей среды.
Когда имеет место врожденная аномалия нервной системы, структуры и / или функции начинают развиваться ненормальным образом, что имеет серьезные последствия для человека как физически, так и когнитивно.
В частности, кольпоцефалия - это патология, которая влияет на развитие боковых желудочков, в частности, задней или затылочной области, что приводит к аномально большому разрастанию затылочных борозд.
Хотя это заболевание мало освещается в медицинской и экспериментальной литературе, оно связано с наличием судорог, умственной отсталостью и различными сенсорными и моторными изменениями.
Статистика
Кольпоцефалия - очень редкий врожденный порок. Хотя последних данных нет, по состоянию на 1992 г. было описано около 36 различных случаев лиц, страдающих этой патологией.
Отсутствие статистических данных по этой патологии может быть результатом как отсутствия консенсуса по клиническим характеристикам, так и ошибок диагноза, поскольку она, по-видимому, связана с различными заболеваниями.
Признаки и симптомы
Характерным структурным признаком кольпоцефалии является наличие расширения или увеличения затылочных рогов боковых желудочков.
Внутри нашего мозга мы можем найти систему полостей, связанных между собой и омываемых спинномозговой жидкостью (CSF), то есть желудочковой системой.
Эта жидкость содержит белки, электролиты и некоторые клетки. Помимо защиты от возможных травм, спинномозговая жидкость играет важную роль в поддержании гомеостаза мозга благодаря своей питательной, иммунологической и воспалительной функциям (Chauvet and Boch, X).
Боковые желудочки представляют собой самые большие части этой желудочковой системы и состоят из двух центральных областей (тела и предсердия) и трех расширений (рогов).
В частности, задний или затылочный рог простирается до затылочной доли, а его крыша образована различными волокнами мозолистого тела.
Следовательно, любой тип изменения, вызывающий порок развития или разнообразные повреждения и травмы боковых желудочков, может вызвать широкий спектр неврологических признаков и симптомов.
В случае кольпоцефалии наиболее частыми клиническими признаками являются церебральный паралич, интеллектуальный дефицит, микроцефалия, миеломенингоцеле, агенезия мозолистого тела, лисецефалия, гипоплазия мозжечка, двигательные нарушения, мышечные спазмы, судороги и гипоплазия зрительного нерва.
Микроцефалия
Микроцефалия - это заболевание, при котором размер головы меньше обычного или ожидаемого (меньше по сравнению с вашей возрастной группой и полом), потому что мозг не развился должным образом или остановился. расти.
Это редкое или необычное заболевание, однако степень тяжести микроцефалии варьируется, и многие дети с микроцефалией могут испытывать различные неврологические и когнитивные расстройства и задержки.
Возможно, что у тех людей, у которых развивается микроцефалия, наблюдаются, среди прочего, повторяющиеся приступы, различные физические недостатки, проблемы с обучением.
Церебральный паралич
Термин церебральный паралич (ДЦП) относится к группе неврологических расстройств, которые влияют на области, ответственные за моторный контроль.
Повреждения и травмы обычно возникают во время внутриутробного развития плода или на ранних этапах постнатального периода и постоянно влияют на движения тела и координацию мышц, но они не будут постепенно увеличиваться в степени тяжести.
Обычно церебральный паралич вызывает физический недостаток, который различается по степени воздействия, но, кроме того, он также может сопровождаться сенсорной и / или интеллектуальной инвалидностью.
Следовательно, с этой патологией могут быть связаны различные сенсорные, когнитивные, коммуникативные, восприятие, поведенческие расстройства, эпилептические припадки и т. Д.
Миеломенингоцеле
Под термином миеломенингоцеле мы понимаем один из типов расщелины позвоночника.
Расщелина позвоночника - это врожденный порок развития, который поражает различные структуры спинного мозга и позвоночного столба и, помимо других изменений, может вызывать паралич нижних конечностей или конечностей.
Основываясь на пораженных участках, мы можем различить четыре типа расщелины позвоночника: скрытые, закрытые дефекты нервной трубки, менингоцеле и миеломенингоцеле. В частности, наиболее серьезным подтипом считается миеломенигоцеле, также известное как открытая расщелина позвоночника.
На анатомическом уровне можно увидеть, как позвоночный канал обнажается или открывается вдоль одного или нескольких сегментов позвоночника в средней или нижней части спины. Таким образом, мозговые оболочки и спинной мозг высовываются, образуя мешок сзади.
Как следствие, люди с диагнозом миеломенингоцеле могут иметь значительные неврологические нарушения, которые включают такие симптомы, как: мышечная слабость и / или паралич нижних конечностей; кишечные расстройства, судороги и ортопедические заболевания, среди прочего.
Агенезия мозолистого тела
Агенез мозолистого тела - это тип врожденной неврологической патологии, которая относится к частичному или полному отсутствию структуры, соединяющей полушария головного мозга, мозолистого тела.
Этот тип патологии обычно возникает при других заболеваниях, таких как мальформация Киари, синдром Ангельмана, синдром Денди-Уокера, шиецефалия, голопрозэнцефалия и т. Д.
Клинические последствия агенезии мозолистого тела значительно различаются среди пораженных, хотя некоторые общие характеристики включают в себя дефицит взаимосвязи зрительных образов, интеллектуальную задержку, судороги или спастичность.
Лиссэнцефалия
Лиссэнцефалия - это врожденный порок развития, который также входит в группу заболеваний головного мозга. Для данной патологии характерно отсутствие или частичное развитие извилин больших полушарий коры головного мозга.
Поверхность мозга имеет аномально гладкий вид и может привести к развитию микроцефалии, изменениям лица, задержке психомоторного развития, мышечным спазмам, судорогам и т. Д.
Судороги
Припадки или припадки возникают в результате необычной нейронной активности, то есть нарушается привычная активность, вызывая припадки или периоды необычного поведения и ощущений и иногда могут привести к потере сознания,
Симптомы судорог и эпилептических припадков могут значительно различаться в зависимости как от области мозга, в которой они возникают, так и от человека, который ими страдает.
Некоторые из клинических признаков припадков: временная спутанность сознания, неконтролируемое дрожание конечностей, потеря сознания и / или эпилептическое отсутствие.
Эти эпизоды, помимо того, что представляют собой опасную ситуацию для человека, подверженного риску падений, утопления или дорожно-транспортных происшествий, являются важным фактором в развитии повреждения мозга из-за аномальной активности нейронов.
Гипоплазия мозжечка
Гипоплазия мозжечка - неврологическая патология, характеризующаяся отсутствием полноценного и функционального развития мозжечка.
Мозжечок - одна из самых больших областей нашей нервной системы. Хотя ему традиционно приписывались двигательные функции (координация и выполнение двигательных актов, поддержание мышечного тонуса, равновесия и т. Д.), В последние десятилетия его участие в различных сложных когнитивных процессах стало очевидным.
Гипоплазия зрительного нерва
Гипоплазия зрительного нерва - еще один тип неврологического расстройства, влияющего на развитие зрительных нервов. В частности, зрительные нервы меньше, чем ожидалось для пола и возрастной группы пострадавшего.
Среди медицинских последствий, которые могут быть вызваны этой патологией, мы можем выделить: снижение зрения, частичную или полную слепоту и / или аномальные движения глаз.
Помимо нарушений зрения, гипоплазия зрительного нерва обычно связана с другими вторичными осложнениями, такими как когнитивный дефицит, синдром Морсье, двигательные и языковые нарушения, гормональный дефицит и другие.
Интеллектуальный дефицит и двигательные нарушения
В результате кольпоцефалии у пораженных людей может наблюдаться общая задержка когнитивного созревания, то есть развитие их внимания, языковых, памяти и практических навыков будет ниже, чем ожидалось для их возрастной группы и уровня образования.
С другой стороны, среди изменений, связанных с двигательной сферой, могут возникнуть мышечные спазмы, изменение мышечного тонуса, среди других симптомов.
Причины
Кольпоцефалия возникает при отсутствии утолщения или миелинизации затылочных областей.
Хотя причина этого изменения точно не известна, генетические мутации, нарушения миграции нейронов, воздействие радиации и / или потребление токсичных веществ или инфекций были идентифицированы как возможные этиологические причины кольпоцефалия.
Диагностика
Кольпоцефалия - это тип порока развития головного мозга, который можно диагностировать еще до рождения, если можно доказать наличие увеличения затылочных рогов боковых желудочков.
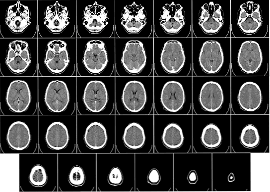
Некоторые из диагностических методов, используемых при этой патологии: УЗИ, магнитно-резонансная томография, компьютерная томография, пневмоэнцефалография и вентрикулография.
Есть ли лечение кольпоцефалии?
В настоящее время нет специального лечения кольпоцефалии. Следовательно, вмешательства будут зависеть от степени поражения и вторичных симптомов этой патологии.
Как правило, вмешательства направлены на борьбу с приступами, профилактику мышечных расстройств, восстановление двигательной функции и когнитивную реабилитацию.
Симптомы, причины и методы лечения кольцефалии
colpocephaly это врожденная аномалия головного мозга, которая влияет на структуру желудочковой системы (Esenwa & Leaf, 2013). На анатомическом уровне в головном мозге наблюдается значительное расширение затылочных рогов боковых желудочков (Pérez-Castrillón et al., 2001).
Можно наблюдать, как задняя часть боковых желудочков больше, чем ожидалось, из-за аномального развития белого вещества (Национальный институт неврологических расстройств и инсульта, 2015).

Клиническое проявление этой патологии проявляется в первые годы жизни и характеризуется когнитивной, двигательной задержкой созревания и развитием судорожных эпизодов и симптомов эпилепсии (Bartolomé et al., 2013).
Хотя конкретная причина colpocephaly до сих пор не обнаружена, этот тип патологии может быть результат развития какого-то ненормального процесса во время эмбрионального развития во второй и шестую месяцы беременности (Национальный институт неврологических расстройств и инсульта, 2015 ).
Диагноз кольпоцефалия обычно ставится в до или перинатальном периоде (Esenwa & Leaf, 2013), диагноз во взрослой жизни очень редок (Bartolomé et al., 2013).
С другой стороны, прогноз людей, страдающих кольцецефалией, зависит главным образом от тяжести патологии, степени развития мозга и наличия других видов медицинских осложнений (Национальный институт неврологических расстройств и инсульта, 2015).
Медицинское вмешательство при кольцецефалии в основном ориентировано на лечение вторичных патологий, таких как судороги (Национальный институт неврологических расстройств и инсульт, 2015).
Характеристика кольцефалии
colpocephaly является врожденным неврологическим расстройством, то есть происходит изменение нормального и эффективного развития нервной системы, в данном случае, различных областей мозга во время беременности.
В частности, врожденные изменения, затрагивающие центральную нервную систему (ЦНС), являются одной из основных причин смертности и заболеваемости плода (Piro, Alongi et al., 2013).
Всемирная организация здравоохранения (ВОЗ) отмечает, что около 276 000 новорожденных умирают в течение первых четырех недель жизни в результате некоторых врожденных патологий..
Кроме того, этот тип аномалий представляет собой одну из наиболее важных причин нарушения функциональности в детской популяции, так как они вызывают широкий спектр неврологических расстройств (Herman-Sucharska et al, 2009).
С другой стороны, кольцецефалия классифицируется в группе патологий, которые влияют на структуру мозга и известны как расстройства мозга".
расстройства мозга они относятся к наличию различных изменений или аномалий центральной нервной системы, возникших на первых этапах развития плода (Quenta Huayhua, 2014).
Развивается нервная система (SN), в дородовой и послеродовой следует ряд процессов и событий высокой сложности, главным образом, на основе различных нейрохимических событий, генетически запрограммированы и на самом деле подвержены воздействию внешних факторов, таких как влияние окружающей среды.
Когда это происходит врожденный порок развития нервной системы, начать развивать структуры и / или функции ненормальным образом, что имеет серьезные последствия для человека, как физически, так и когнитивно.
В частности, кольцецефалия является патологией, которая влияет на развитие боковые желудочки, в частности, в задние или затылочные области (Gary et al., 1992), что приводит к аномально большому росту затылочных канавок.
Этот врожденный порок развития, известный как кольцецефалия, был первоначально описан Бенда в 1940 году и упоминается в различных клинических докладах Яковлев и Уодсуорт в 1946 году (Нигро и др., 1991).
Однако позже этот термин colpocephaly был использован для обозначения расстройства, характеризующегося персистирующей фетальной конфигурацией мозга желудочков, где затылочные рога представлены дилатационными и аномально большими (Flores-Sarnat, 2016).
Хотя это медицинское состояние мало рассмотрено в медицинской и экспериментальной литературе, оно было связано с наличием судорожные приступы, умственная отсталость и различные сенсорные и моторные изменения (Нигро и др., 1991).
Кольцефалия является очень редким врожденным пороком развития. Хотя в последнее время нет данных, по состоянию на 1992 год было описано приблизительно 36 различных случаев людей, пораженных этой патологией (Gary et al., 1992)
Отсутствие статистических данных об этой патологии может быть результатом отсутствия консенсуса по клиническим характеристикам, а также из-за диагностических ошибок, так как это связано с различными заболеваниями..
Характерным структурным признаком кольцецефалии является наличие расширения или уплощения затылочных рогов боковых желудочков (Nigro et al., 1991)..
Внутри нашего мозга мы можем найти систему полостей, сообщающихся друг с другом и омываемых спинномозговой жидкостью (CSF), желудочковой системой (Waxman, 2011).
Эта жидкость содержит белки, электролиты и некоторые клетки. Помимо защиты от возможной травмы, спинномозговая жидкость играет важную роль в поддержании церебрального гомеостаза благодаря своей питательной, иммунологической и воспалительной функции (Chauvet and Boch, X).
боковые желудочки они являются самыми большими частями этой желудочковой системы и образованы двумя центральными областями (тело и предсердие) и тремя расширениями (рога) (Waxman, 2011)
В частности, задний рог или затылок, он простирается до затылочной доли, а его крыша образована различными волокнами мозолистого тела (Waxman, 2011).
Следовательно, любой тип изменения, который вызывает порок развития или различные травмы и повреждения в боковых желудочках, может привести к широкому разнообразию неврологических признаков и симптомов..
В случае colpocephaly, наиболее распространенные клинические признаки включают в себя: детский церебральный паралич, интеллектуальный дефицит, микроцефалия, Миеломенингоцеле, агенезия мозолистого тела, lisecefalia, гипоплазии мозжечка, моторные нарушения, мышечные спазмы, судорожные эпизоды и гипоплазия зрительного нерва (Gary ЕТ аль, 1992 ;. Квэнта Huayhua, 2014).
микроцефалия
Микроцефалия - это заболевание, при котором размер головы меньше нормального или ожидаемого (более низкий по сравнению с их возрастной группой и полом), потому что мозг не развивался правильно или прекратил расти (Национальный институт неврологических расстройств и инсульта, 2016).
Это редкое или редкое изменение, однако степень выраженности микроцефалии варьируется, и многие дети с микроцефалией могут испытывать различные изменения, а также неврологические и когнитивные задержки (Бостонская детская больница, 2016 г.).
Возможно, что у тех людей, у которых развивается микроцефалия, возникают рецидивирующие судорожные приступы, различные физические нарушения, дефицит обучения, среди прочего (World Health Organization, 2016).
Церебральный паралич
Термин церебральный паралич (ПК) относится к группе неврологических расстройств, которые затрагивают области, отвечающие за моторный контроль (Национальный институт неврологических расстройств и инсульта, 2016).
Повреждения и травмы обычно имеют место во время развития плода или в начальные моменты постнатальной жизни и будут постоянно влиять на движения тела и координацию мышц, но не будут постепенно увеличивать тяжесть (Национальный институт Неврологические расстройства и инсульт, 2016).
Обычно церебральный паралич вызывает физическую инвалидность, которая варьируется по степени вовлеченности, но также может сопровождаться сенсорной и / или интеллектуальной инвалидностью (ASPACE Confederation, 2012).
Следовательно, различные сенсорные, когнитивные, коммуникационные, воспринимаемые, поведенческие, эпилептические кризисы и т. Д. Дефициты могут появляться в связи с этой патологией. (Muriel et al., 2014).
миеломенингоцеле
Со сроком mielomeningocele мы ссылаемся на один из типов расщелина позвоночника.
Спина позвоночника является врожденный дефект, который влияет на различные структуры спинного мозга и позвоночника и в дополнение к другим изменениям, может вызвать паралич конечностей или нижних конечностей (World Health Organization, 2012).
Исходя из пораженных участков, мы можем дифференцировать четыре типа расщелины позвоночника: оккультные, дефекты закрытой нервной трубки, менингоцеле и миеломенингоцеле (NationalInstitu of NeurologicalDisorders and Stroke, 2006).
В частности, миеломенигоцеле, также известное как открытая расщелина позвоночника, считается наиболее тяжелым подтипом (Mayo Clinic, 2014)..
На анатомическом уровне можно наблюдать, как позвоночный канал открыт или открыт вдоль одного или нескольких позвоночных сегментов, в средней или нижней части спины. Таким образом, мозговые оболочки и спинной мозг выступают в виде мешочка на спине (Mayo Clinic, 2014).
Как следствие, люди с диагнозом миеломенингоцеле могут проявлять значительное неврологическое поражение, которое включает такие симптомы, как: мышечная слабость и / или паралич нижних конечностей; кишечные изменения, судороги и ортопедические изменения, среди прочего (Клиника Майо, 2014).
Агенезия мозолистого тела
агенезия мозолистого тела представляет собой тип неврологической патологии Врожденные относится к частичному или полному отсутствию структуры, которая соединяет полушария головных мозга, мозолистое тело (Национальный институт неврологических disordes и инсульт, 2014).
Этот тип патологии обычно связан с другими заболеваниями, такими как порок развития Киари, синдром Ангельмана, синдром Денди-Уокера, шикефалия, голопрозэнцефалия и т. Д. (Национальный институт неврологических расстройств и инсульта, 2014).
Клинические последствия агенеза мозолистого тела значительно различаются среди пораженных, хотя некоторые общие характеристики: дефицит взаимосвязи зрительных образов, умственная отсталость, судороги или спастичность (Национальный институт неврологических расстройств и инсульт, 2014).
Лиссэнцефалия
Lissencephaly является врожденным пороком развития, который также является частью группы энцефальных расстройств (Национальная организация по редким расстройствам, 2012).
Эта патология характеризуется отсутствием или частичным развитием мозговых извилин коры головного мозга (Национальная организация по редким заболеваниям, 2012)..
Поверхность головного мозга имеет необычно гладкий вид и может привести к развитию микроцефалии, изменениям лица, психомоторной отсталости, мышечным спазмам, судорогам и т. Д. (Национальный институт неврологических расстройств и инсульта, 2010).
конвульсии
Судорожные эпизоды или эпилептические припадки возникают в результате необычной нейронной активности, то есть привычная деятельность изменяется, вызывая припадки или периоды необычного поведения и ощущений, и иногда может привести к потере сознания (Mayo Clinic., 2015 ).
Симптомы судорог и эпилептических припадков могут значительно различаться в зависимости от области мозга, в которой он возникает, и от человека, который страдает (Mayo Clinic., 2015).
Некоторые из клинических характеристик судорог: временное замешательство, неконтролируемое дрожание конечностей, потеря сознания и / или отсутствие эпилепсии (Mayo Clinic., 2015).
Эпизоды в дополнение к постановке ситуации, представляющей опасность для человека, подверженного риску падений, утоплений, дорожно-транспортных происшествий и т. Д., Являются важным фактором в развитии повреждения головного мозга из-за ненормальной активности нейронов..
Гипоплазия мозжечка
гипоплазия мозжечка неврологическая патология, характеризующаяся отсутствием полного и функционального развития мозжечка (гипоплазия, 2013).
Мозжечок - одна из самых больших областей нашей нервной системы. Хотя моторные функции традиционно приписывают ему (координация и выполнение двигательных действий, поддержание мышечного тонуса, баланса и т. Д.), Его участие в различных сложных когнитивных процессах было подчеркнуто в последние десятилетия..
В последнее время различные исследования показали тесную связь между структурными и функциональными аномалиями мозжечка и различными психическими расстройствами, особенно шизофренией (Chen et al., 2013; Fatemi et al., 2013), биполярным расстройством (Baldacara et al., 2011; Liang et al., 2013), депрессия, тревожные расстройства (Nakao et al., 2011; Schutter et al., 2012; Talati et al., 2013), синдром дефицита внимания с гиперактивностью (ADHD) (An et al. al., 2013; Tomasi et al., 2012; Wang et al., 2013) и аутизм (Marko et al., 2015; Weigiel et al., 2014).
Гипоплазия зрительного нерва
гипоплазия зрительного нерва это другой тип неврологического расстройства, которое влияет на развитие зрительных нервов. В частности, зрительные нервы меньше, чем ожидалось, для пола и возрастной группы больного человека (Hypoplasia, 2013).
Среди медицинских последствий, которые могут возникнуть в результате этой патологии, мы можем выделить: снижение зрения, частичную или полную слепоту и / или аномальные движения глаз (Hypoplasia, 2013).
Помимо зрительных изменений, гипоплазия зрительного нерва обычно связана с другими вторичными осложнениями, такими как: когнитивный дефицит, синдром Морсье, моторные и языковые расстройства, гормональный дефицит и др. (Hypoplasia, 2013).
Интеллектуальный дефицит и моторные изменения
В результате кольпоцефалического покрытия пострадавшие могут проявлять генерализованную когнитивную задержку созревания, то есть развитие их навыков внимания, лингвистики, памяти и практики будет ниже, чем ожидалось для их возрастной группы и уровня образования..
С другой стороны, среди изменений, связанных с двигательной сферой, могут быть мышечные спазмы, изменение мышечного тонуса, среди других симптомов.
Кольпоцефалия возникает при недостаточном утолщении или миелинизации затылочных областей (Quenta Huayhua, 2014).
Хотя причина этого изменения неизвестна, генетические мутации, нарушения миграции нейронов, облучение и / или потребление токсических веществ или инфекций, как возможные этиологические причины кольцефалия (Quenta Huayhua, 2014).
Кольцецефалия является типом пороков развития головного мозга, который можно диагностировать до рождения, если можно продемонстрировать наличие увеличения затылочных рогов боковых желудочков (Gary et al., 1992).
Некоторые из диагностических методов, используемых в этой патологии: ультразвук ультразвуком, магнитный резонанс, компьютерная томография, пневмоэнцефалография и вентрикулография.
Есть ли лечение от кольцецефалии?
В настоящее время нет специфического лечения кольцецефалии. Следовательно, вмешательства будут зависеть от степени поражения и от симптомов, вторичных к этой патологии..
Как правило, вмешательства направлены на контроль эпизодов судорог, профилактику мышечных расстройств, восстановление двигательной функции и когнитивную реабилитацию (Gary et al., 1992)..
Кольпоцефалия: обзор, причины, лечение
Кольпоцефалия – это патология, при которой наблюдается аномальное увеличение затылочных рогов - задней или задней части боковых желудочков (полостей или долей) головного мозга. Это увеличение развивается, когда происходит недостаточное развитие или отсутствие утолщения белого вещества в заднем мозге. Кольпоцефалия характеризуется микроцефалией (аномально маленькой головой) и задержкой развития. К другим симптомам могут огноситься моторные (двигательные) нарушения, мышечные спазмы, подергивания и судороги.
Кольпоцефалия относится к избирательной дилатации затылочных рогов нормальными или маленькими лобными рогами и третьим желудочком. Его часто путают с гидроцефалией. Он обычно описывается как гидроцефалия или вентрикуломегалия. Различие важно, потому что гидроцефалия обычно требует шунтирования, влияет на всю желудочковую систему и часто прогрессирует и обструктивна, тогда как колпоцефалия является затылочным избирательным, непрогрессивным и непроизводительным состоянием, которое не требует хирургического лечения. Кольпоцефалия может происходить изолированно или связано с различными аномалиями и генетическими синдромами.
Ключевые моменты
- Кольпоцефалия - это селективная дилатация затылочных рогов боковых желудочков. Это наиболее частая аномалия желудочковой системы после гидроцефалии.
- Кольпоцефалию часто путают с гидроцефалией, но она не связана с увеличением внутрижелудочкового давления.
- Наиболее частая ассоциация связана с агенезом или дисгенезом мозолистого тела с уменьшенным белым веществом в задней половине теленцефалона.
- Существует много связанных генетических синдромов, а также многих других связанных с ней пороков развития мозга
- Диагноз может быть сделан любым способом нейровизуализации: УЗИ, КТ или МРТ, включая пренатально.
Историческая справка и терминология
В 1940 году Бенда впервые признал «неудачу уменьшения размеров примитивных мозговых везикул» у умственно отсталого мальчика с эпилепсией и микроцефалией, у которых на невропатологическом обследовании также были отсутствовали мозолистые тела, микро- и макрогирия и гетеротопия серого вещества. Он использовал термин «везикулоцефалия» для этой желудочковой конфигурации (Benda 1940). В 1946 году Яковлев и Уодсворт обсуждали этого пациента как случай слизистой шизенцефалии и предложили вместо этого термин «колпоцефалия» (от греческого «кольпоса», что означает «пустота»), чтобы «избежать ошибочного кодирования латинских и греческих корней» (Яковлев и Уодсворт, 1946) ). Вначале колпоцефалия относилась к постоянным глобальным желудочкам (Barth et al., 1982). Позднее термин «колпоцефалия» ограничивался сохранением специфической формы конфигурации желудочков плода в постнатальной жизни, где затылочные рожки желудочков головного мозга остаются непропорционально большими и расширенными (Garg, 1982). Этот термин получил широкое признание и использовался с тех пор. Колонцефальная конфигурация желудочков в настоящее время наиболее легко распознается компьютерной томографией или магнитно-резонансной томографией головного мозга.
В прошлом пневмоэнцефалография или вентрикулография использовались с той же целью (Garg, 1982).
Кольпоцефалию часто путают с гидроцефалией, как у плода (Ashrafi et al 2006), так и в позднем послеродовом возрасте. Он обычно описывается как гидроцефалия или вентрикуломегалия. Однако они отличаются от аномалий и их следует различать. Кольпоцефалия относится к избирательной дилатации затылочных рогов нормальными или маленькими лобными рогами и третьим желудочком. Различие важно, потому что гидроцефалия обычно требует шунтирования, влияет на всю желудочковую систему и часто прогрессирует и обструктивна, тогда как колпоцефалия является затылочным избирательным, непрогрессивным и непроизводительным состоянием, которое не требует хирургического лечения. Исключение существует, когда colpocephaly совпадает с обструктивной гидроцефалией (Patnaik et al., 2012). Фетальная вентрикуломегалия относится к увеличенным боковым желудочкам головного мозга у плода с поперечным диаметром атриума выше 10 мм с помощью ультразвука (Cardoza et al., 1988).
Причины
Хотя причина патологии неизвестна, ученые считают, что расстройство является следствием внутриутробного нарушения, которое происходит между вторым и шестым месяцами беременности. Кольпоцефалия может быть диагностирован в конце беременности, хотя часто ошибочно диагностируется как гидроцефалия (чрезмерное накопление спинномозговой жидкости в головном мозге). Болезнь может быть более точно диагностировано после рождения, когда присутствуют признаки микроцефалии, задержки развития и судорог.
Лечение
Не существует окончательного лечения колпоцефалии. Врачами могут назначаться противосудорожные препараты для предотвращения припадков. Также назначаются физические упражнения и ортопедические приспособления для уменьшения усадки или сокращения мышц, что направлено на предотвращение контрактуры (сокращения мышц). Прогноз для людей с колпоцефалией зависит от тяжести связанных с патологией симптомов и степени аномалии развития мозга.
Агенезия мозолистого тела — это врожденное отсутствие мозолистого тела либо его части. Аномалия обусловлена генетическими нарушениями, сосудистыми мальформациями, тератогенными факторами. Основные признаки заболевания: двигательные расстройства, задержка психоречевого развития, судорожные приступы. При негрубом (частичном) варианте патологии возможно малосимптомное течение. Для диагностики состояния назначается церебральные КТ или МРТ, нейросонография у новорожденных, генетические исследования. Лечение симптоматическое: медикаментозная коррекция осложнений, реабилитационные программы.
МКБ-10
Общие сведения
Агенезия мозолистого тела (АМТ) — один из наиболее частых пороков нервной системы. Распространенность болезни в популяции составляет от 0,05% до 7% среди новорожденных, причем в группе детей с замедленным становлением психики агенезия встречается у 2,3%. Калифорнийская программа по изучению врожденных пороков предоставляет другие данные по частоте агенезии — 1,4 на 10000 живых новорожденных. Впервые состояние было описано в 1812 году в ходе аутопсии, проведенной немецким анатомом И. Рэйлем, и названо «природной моделью рассеченного мозга».
Точные этиологические факторы заболевания не установлены. В современной неврологии преобладает мультифакториальная теория, согласно которой для формирования врожденного порока ЦНС требуется комбинация неблагоприятных экзогенных и эндогенных причин. Ученые выделяют несколько наиболее вероятных предпосылок развития агенезии:
- Генетические аномалии. Повреждения мозолистого тела отмечаются при различных наследственных синдромах: Миллер-Дикера, Рубинштейна-Тауби, Доннаи-Кугана. Состояние входит в состав не менее 7 аутосомно-доминантных, 23 аутосомно-рецессивных, 12 Х-сцепленных врожденных заболеваний.
- Сосудистые нарушения. Причиной недоразвития мозолистого тела могут выступать артериовенозные мальформации или аневризмы, которые характеризуются отсутствием нормальной капиллярной сети. При этом возникает феномен обкрадывания, клетки МТ не получают должного количества кислорода, питательных веществ.
- Токсические влияния. Болезнь связана с действием тератогенных химических факторов: лекарственных препаратов, солей тяжелых металлов, пестицидов и бытовой химии. Негативное влияние на формирование ЦНС плода оказывает вдыхание табачного дыма (активное или пассивное курение) или прием беременной алкоголя во время гестации.
- Внутриутробные инфекции. Аномалии формирования неврологических структур, в том числе агенезия мозолистого тела, встречаются при проникновении возбудителей в организм плода на 2-3 месяце беременности. Нейротропные свойства демонстрируют герпетические инфекции, токсоплазмоз, цитомегаловирус.
Основным фактором риска выступает недоношенность. У новорожденных, родившихся до 27-недельного срока гестации МТ истончено в задних отделах, между 28 и 30 неделями — только в области валика. У рожденных после 30 недели в неонатальном периоде изменения не обнаруживаются, хотя при нейропсихологическом исследовании у школьников зачастую выявляется дефицит межполушарной передачи познавательной информации.
Патогенез
Агенезия возникает при нарушении дифференциации нервной трубки в период со 2 до 5 месяца внутриутробного развития. При полном отсутствии МТ третий мозговой желудочек остается открытым, не формируются столбы свода мозга, отсутствуют прозрачные перегородки. В 60% случаев при АМТ передней комиссуры нет вообще. В 10% она увеличена и берет на себя часть функций мозолистого тела у новорожденных, а также на следующих этапах постнатального периода.
Характерным анатомическим изменением является колпоцефалия, при которой расширены задние отделы боковых церебральных желудочков. Состояние не относится к истинной гидроцефалии новорожденных, а обусловлено уменьшением кортикальных ассоциативных путей. Еще один типичный признак порока — пучки Пробста, представляющие собой неправильно ориентированные аксоны, расположенные параллельно межполушарной щели.
Классификация
В практической неврологии состояние подразделяют на тотальное, когда орган полностью отсутствует, и частичное (парциальное), при котором визуализационные методы не обнаруживают отдельные участки МТ. Это имеет решающее значение для тяжести клинической картины, возможных осложнений. В соответствии с патогенетическими особенностями формирования врожденных пороков, выделяют следующие 3 формы болезни:
- Агенезия. Закладка эмбрионального зачатка МТ отсутствует полностью.
- Аплазия. Эмбриональный зачаток мозолистого тела есть, но не развивается.
- Гипоплазия. МТ недостаточно развито из-за нарушений на одном из этапов эмбриогенеза: размеры и масса органа уменьшены, его функциональная активность снижена.
Симптомы
Клиническая картина агенезии мозолистого тела широко варьирует от практически бессимптомных форм (при гипоплазии) до критических нервно-психических расстройств при его грубом недоразвитии, сопровождающемся другими врожденными пороками ЦНС. У новорожденных признаки патологии могут вовсе отсутствовать и проявляться по мере взросления младенца задержкой психомоторного развития.
Двигательные нарушения определяются у 35-40% пациентов. Они проявляются мышечной гипотонией или дистонией, гипер- или гипорефлексией, нарушением глотательного и сосательного рефлексов. Дети позже начинают держать голову, испытывают затруднения при обучении сидению, ползанию, ходьбе. Могут отмечаться координационные нарушения, неуклюжая походка. Из пароксизмальных расстройств у новорожденных и детей первого года жизни преобладают судороги.
Мозолистое тело поддерживает связь между церебральными зонами, формирует межполушарную организацию высших психических процессов. При его агенезии либо гипоплазии у детей выявляются когнитивные расстройства. У новорожденных пациентов и в раннем детстве наблюдается задержка речи, снижение динамического компонента игровой деятельности. В дошкольном и школьном возрасте возникают проблемы с концентрацией внимания, расстройства памяти, при тотальной АМТ снижен коэффициент интеллекта.
Осложнения
Около 65% случаев заболевания сопровождаются сопутствующими врожденными патологиями, среди которых преобладают мальформации кортикального развития (22,8%), межполушарные кисты (14,3%), голопрозэнцефалия (14,3%). К более редким сопутствующим аномалиям относят кисты и гипоплазию мозжечка, синдром Арнольда-Киари. До 20% новорожденных, кроме структур ЦНС, имеют пороки нескольких внутренних органов.
У 75% больных с тотальным поражением наблюдается симптоматическая эпилепсия височно-лобной локализации, в 66% случаев выражены когнитивные нарушения. У 16% пациентов формируются расстройства аутистического спектра. Изредка встречаются патологии органа зрения в виде хориоретинальных лакунарных очагов, сочетанной аномалии зрительных нервов.
Диагностика
В качестве первичного метода обследования в пренатальном периоде проводится акушерское УЗИ. У новорожденных для скрининговой диагностики используется нейросонография, однако этот метод не всегда показывает хорошую информативность, особенно при парциальной агенезии. Для верификации диагноза назначаются следующие методы исследования:
- КТ головного мозга. При компьютерной томографии определяются широко расставленные передние рога, высокое стояние третьего желудочка, параллельный ход медиальных стенок боковых желудочков. КТ производится в рамках постнатальной диагностики.
- МРТ головного мозга. Для максимально точной визуализации степени агенезии или гипоплазии мозолистого тела новорожденным выполняется магнитно-резонансная томография в трех плоскостях. По показаниям МРТ может рекомендоваться беременным женщинам для исключения несовместимых с жизнью сочетанных пороков ЦНС.
- Нейропсихологическое обследование. Для изучения когнитивных функций у детей применяется шкала интеллекта Векслера (WISC-Revised), адаптированное чтение и правописание (Schonnel Graded Reading and Spelling Tests), оценка вербальной беглости, тест контролируемых устных ассоциаций (Controlled Oral Word Association Test).
- Генетический анализ. Для подтверждения или исключения наследственных заболеваний, сопровождающихся агенезией мозолистого тела, показаны кариотипирование, секвенирование генома, проводимое как новорожденным, так и детям другого возраста. Исследования также проводят в антенатальном периоде для принятия решения о сохранении или прерывании беременности.
Лечение агенезии мозолистого тела
Специфическая терапия отсутствует. Медикаментозное лечение назначается неонатологом или педиатром индивидуально с учетом ведущих патологических синдромов: у новорожденных, детей раннего возраста используются антиконвульсанты, нейрометаболические препараты, дегидратационная терапия. Основу медицинской помощи составляет комплексная реабилитация, которая включает следующие составляющие:
- Нейрологопедические программы. Занятия с детским логопедом проводятся для становления речевой функции, ликвидации проявлений дизартрии, улучшения артикуляции.
- Дефектологические программы. Помощь коррекционных педагогов требуется детям с интеллектуальными нарушениями, которые не могут проходить обучение в обычных классах.
- Нейроакустические программы. Формирование и гармонизация высших психических функций производятся с помощью звуковой терапии, музыкотерапии.
Прогноз и профилактика
Прогноз определяется видом врожденной аномалии мозолистого тела, наличием сопутствующих пороков развития ЦНС. Благоприятный исход наблюдается при частичной гипоплазии МТ, а в случае комбинированных церебральных пороков у новорожденных могут быть жизнеугрожающие осложнения. Профилактические меры включают медико-генетическое консультирование, исключение тератогенных влияний в гестационном периоде.
1. Эпилептические проявления когнитивные и аутистические расстройства у пациентов с агенезией мозолистого тела: результаты нейропсихологического тестирования/ О.А. Милованова, О.А. Комиссарова, Т.Ю. Тараканова, С.В. Бугрий// Эпилепсия и пароксизмальные состояния. — 2018. — №4.
2. Влияние особенностей строения мозолистого тела и доминирующего полушария на протекание психических процессов в юношеском возрасте/ У.С. Чернышова, Т.Ю. Хабарова, Д.А. Соколов// Центральный научный вестник. — 2016.
4. Молекулярная эмбриология: на пути каталогизации генов врожденных пороков развития головного мозга/ В.П. Пишак, М.А. Ризничук// Международный журнал педиатрии, акушерства и гинекологии. — 2014. — №5.
Гематокольпос
Гематокольпос – это патологическое состояние, характеризующееся скоплением менструальной крови в вагине в связи с закрытием её просвета. Сопровождается влагалищным зудом, аменореей, болями в нижней части живота, иногда нарушением мочеиспускания и дефекации, болезненностью полового акта, его затруднением или полной невозможностью. Диагностические мероприятия включают гинекологический осмотр, зондирование влагалища, УЗИ и МРТ органов малого таза. Лечение хирургическое, направлено на эвакуацию влагалищного содержимого и обеспечение нормального оттока менструальной крови.
Гематокольпос – накопление крови во влагалищной трубке. Объём содержимого растянутой вагины в отдельных случаях может достигать до литра и более. Это редкое состояние в гинекологии, встречающееся менее чем у 0,5% больных, обратившихся за медицинской помощью. Патология регистрируется у женщин в возрастном диапазоне от менархе (12-16 лет) до менопаузы (45-55 лет) и чаще всего наблюдается у девочек пубертатного возраста. Гематокольпос, как правило, является следствием врождённых пороков, постнатальные повреждения приводят к полной обструкции гораздо реже. Гематокольпос, развившийся ввиду врождённых аномалий полового аппарата, почти в 55% случаев сочетается с пороками мочевыделительной системы (агенезией и удвоением почки, отсутствием мочеточника).
Причины гематокольпоса
Причиной формирования гематокольпоса является полная непроходимость влагалища на любом уровне. Источником проблемы могут быть аномалии, развившиеся внутриутробно с пятой по двадцатую неделю беременности, или повреждения вагины, возникшие как в детском, так и во взрослом возрасте.
- Врождённые аномалии. Анатомические пороки женских гениталий, приводящие к гематокольпосу, включают атрезию гимена (полное заращение девственной плевы), поперечные и продольные вагинальные перегородки, частичную аплазию влагалища при нормально функционирующей матке. Причиной аномалий развития является воздействие тератогенных факторов. Внешние факторы включают инфекции (особенно вирусные), лекарственные препараты (прежде всего - гормональные), химические тератогены (бензин, спирты, фенолы, формальдегид), гипо- или гипервитаминоз, ионизирующее излучение. К внутренним относятся эндокринно-обменные патологии и наследственные мутации.
- Приобретённые пороки. В допубертатном периоде ввиду возрастных особенностей (узости просвета влагалищной трубки, физиологической гипоэстрогении, незрелости иммунной системы) к атрезии влагалища и гимена чаще всего приводят воспаления - вульвовагиниты, обусловленные недостаточной гигиеной наружных гениталий, а также вызванные аллергической реакцией, инфекциями (герпесвирусной, хламидийной, уреа- и микоплазменной, корью, краснухой). У взрослых женщин приобретённая атрезия в большинстве случаев связана с родовыми травмами и оперативными вмешательствами.
Приобретённые аномалии вагины обусловлены слипанием её стенок в результате воспаления или грубыми рубцовыми деформациями вследствие травм и хирургических операций. К врождённым порокам приводят нарушения развития мюллеровой системы и её слияния с урогенитальным синусом. У эмбриона женского пола маточные трубы, матка и влагалище формируются из парамезонефрических (мюллеровых) протоков, изначально имеющих вид двух сплошных тяжей. В дальнейшем эти протоки сливаются, при этом в средней и нижней части образуется канал, закрытый снизу влагалищной пластинкой и образующий однополостную матку и верхнюю часть однорукавного влагалища. Вагинальная трубка формируется в процессе слияния мюллеровой системы, влагалищной пластины и урогенительного синуса.
Недоразвитие нижней части мюллеровых протоков влечёт аплазию вагины. При полном неслиянии мюллеровых протоков формируются две обособленные матки и два отдельных влагалища, причём одна из трубок зачастую «слепая», не сообщающаяся с внешней средой. Результатом частичного неслияния становятся продольные влагалищные перегородки. Нарушения слияния влагалищной пластинки с мюллеровой системой и с мочеполовым синусом приводят к формированию поперечных вагинальных перегородок и атрезии гимена.
Симптомы гематокольпоса
Клинические проявления при врождённых и приобретённых в детстве пороках влагалища развиваются в подростковом возрасте с началом месячных. У взрослых гематокольпос формируется по прошествии нескольких месяцев после травматического воздействия. Чем меньше объём «слепого» участка влагалищной трубки, тем раньше наступает и интенсивнее проявляется болевой синдром. Опорожнение гематокольпоса приводит к моментальному улучшению состояния.
У девочек с заращением гимена ведущим симптомом является ложная аменорея, зуд и болевой синдром присоединяется позднее, через несколько месяцев, когда гематокольпос достигает определённого размера. Ноющие боли внизу живота сначала появляются в период менструации, в дальнейшем становятся постоянными и более интенсивными. Рост образования сопровождается нарушением мочеиспускания (сначала учащением, затем задержкой) и запорами. При этой форме анатомической аномалии влагалище может достигать значительных размеров и прощупываться самой пациенткой в виде внутренней «опухоли», выходящей за пределы малого таза и выбухающей в половую щель.
В случае атрезии и аплазии влагалища также наблюдается ложная аменорея, сопровождающаяся выраженной болью и зудом уже в первые месяцы от начала менструальной функции, болевой синдром быстрее приобретает постоянный характер. Мочеиспускание и дефекация при этих формах, как правило, не нарушаются, однако скопление крови в расположенных выше полых органах начинается значительно раньше. При наличии добавочной матки со слепым «влагалищем» симптомы аналогичны признакам при атрезии девственной плевы с тем отличием, что наблюдаются скудные месячные, причём периодические боли, сопровождающие развитие гематокольпоса в добавочной вагине, могут не соответствовать менструальному циклу полностью функционирующего полового аппарата. На поздних этапах могут присоединиться кровянисто-гнойные выделения вследствие перфорации слепого влагалища в области смежной стенки.
Половая жизнь может быть относительно нормальной только при поражении добавочного замкнутого влагалища. В этом случае возможен полноценный половой контакт (может сопровождаться дискомфортом и болевыми ощущениями), зачатие, беременность и вагинальные роды. Гематокольпос, вызванный иными анатомическими пороками, приводит к невозможности естественного оплодотворения. Половое сношение значительно затруднено и сопровождается выраженным болевым синдромом в случае достаточно высокой обструкции и невозможно при атрезии гимена и аплазии вагины.
Длительное нарушение оттока мочи ввиду сдавления уретры и мочевого пузыря объёмным гематокольпосом может приводить к воспалительным заболеваниям мочевыделительной системы и развитию почечной недостаточности. Вследствие нелеченного гематокольпоса кровь постепенно начинает скапливаться в матке (гематометра), а позднее и в маточных трубах (гаматосальпинкс), что сопровождается постоянной, плохо купируемой анальгетиками, интенсивной, схваткообразный болью. У 70% больных развивается эндометриоз, усугубляющий болевые ощущения. Застой кровянистого содержимого создаёт благоприятные условия для развития гнойных инфекций в матке и придатках, приводящих к спаечной болезни и стойкому бесплодию. Грозное осложнение – некроз стенки влагалища или маточной трубы с последующим разрывом и развитием острого пельвиоперитонита (перитонита).
Гематокольпос, вызванный атрезией гимена и аплазией части влагалища, можно легко заподозрить уже на этапе клинического осмотра. Затруднения вызывает диагностика гематокольпоса в случае атрезий и удвоения влагалища, а также дифференциальная диагностика в основном с онкологическими заболеваниями: саркомой и миомой матки, новообразованиями яичника, опухолью Вильмса. Диагноз устанавливается при участии акушера-гинеколога и онкогинеколога. Диагностическая программа включает:
- Гинекологический осмотр. Гематокольпос можно предположить по данным анамнеза, результатам осмотра на кресле - пальпации и визуальной оценки. Так, при заращении гимена наблюдается выпячивание синюшного опухолевого образования из половой щели или выбухание всей промежности, аплазию же легко установить по небольшому чашевидному углублению на месте влагалища. Независимо от происхождения, гематокольпос характеризуется тугоэластическим подвижным образованием, расположенным в области малого таза, иногда распространяющимся в брюшную полость.
- Инструментальное исследование. Зондирование влагалища позволяет выявить атрезию и определить её уровень. С помощью пункции влагалища можно получить кровянистое содержимое, свидетельствующее о гематокольпосе. По результатам МРТ и УЗИ забрюшинного пространства и малого таза можно обнаружить добавочные матку и влагалище, анатомические пороки вагины, опухоли, исходящие из половых органов и почек.
- Бактериологическое исследование. С помощью бактериоскопического и культурального метода выявляют возбудителей присоединившейся инфекции и подбирают эффективный препарат для её лечения.
Лечение гематокольпоса
Лечение направлено не только на устранение помех, препятствующих оттоку менструальной крови, но и на восстановление репродуктивной функции. Объём хирургического вмешательства зависит от патологии, приведшей к гематокольпосу: в одних случаях это «поточная», рутинная операция, в других – сложная, требующая высокой квалификации оперирующего гинеколога. Все операции включают обязательный этап – опорожнение и санацию гематокольпоса.
Прогноз неосложнённого гематокольпоса благоприятный, адекватная хирургическая операция позволяет навсегда избавиться от мучительных страданий и успешно реализовать репродуктивную функцию. Первичная профилактика патологии заключается в предупреждении и своевременном лечении инфекций у девочек и женщин, борьбе с травмами в родах, здоровом образе жизни, полноценном питании и исключении факторов, вызывающих тератогенное воздействие в первой половине гестации. Вторичная профилактика включает УЗИ плода в последнем триместре беременности (некоторые аномалии, влекущие впоследствии гематокольпос, можно обнаружить уже в этом периоде), профилактические осмотры детским гинекологом девочек младшего возраста и в пубертатном периоде.
2. Пороки развития влагалища у девочек и методы их коррекции: Автореферат диссертации/ Баран Н.М. – 2010.
3. Аномалии женских половых органов: систематизация и тактика оперативного лечения/ Макиян З.Н. – 2010.
4. Аномалии матки и влагалища в сочетании с эндометриозом: хирургическое лечение и реабилитация: Диссертация/ Фархат К.Н. – 2016.
Читайте также:
- Системная склеродермия: атлас фотографий
- Профилактика выявления переслушивания ухом - маскировка нетестируемого уха
- Гистологические исследования в гематологии. Показания к трепанобиопсии
- Очищение желудочно-кишечного тракта при отравлении ядами пролонгированного действия
- Случай профилактики миопии и лечения спазма аккомодации по Дашевскому
