КТ, ангиография при послеоперационном желудочно-кишечном кровотечении
Добавил пользователь Евгений Кузнецов Обновлено: 06.01.2026
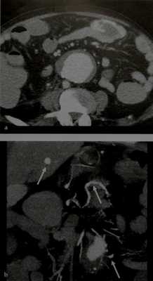
Острое артериальное кровотечение из псевдоаневризмы. Мужчине 43 лет по поводу РРЖ проведена химиотерапия, а затем тотальная резекция желудка (стадия T3N1). На 20-й день после операции больной доставлен скорой помощью в больницу с жалобами на боли в эпигастрии.
(а, б) При КТ без контрастирования выявлена гиперденсивная крупная гематома (указатели) в околоселезеночном пространстве и полости малого таза, имеется уровень жидкости и продуктов распада. Пунктирная стрелка указывает на ЭЕ-анастомоз.
(в, г) При КТ в артериальную (в) и отсроченную венозную (г) фазы контрастирования установлено фокальное накапливающее контраст узелковое образование (стрелка), расположенное вблизи металлического шовного материала ЭЕ-анастомоза (указатель) и примыкающее к левой ножке диафрагмы. Причиной рентгенологически подтвержденного гемоперитонеума могло стать кровотечение из псевдоаневризмы левой нижней диафрагмальной артерии (ЛНДА). Была предпринята попытка терапевтической эмболизации, однако технически это оказалось невозможным из-за ригидной ангуляции корня ЛНДА. После стабилизации состояния пациента проводили и медикаментозное лечение.
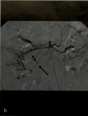
(д-з) Через две недели возник рецидив эпигастральных болей и развилась артериальная гипотензия. Проведена КТ-ангиография. При КТ-ангиографии в артериальную фазу (д), отсроченную венозную фазу (е), с помощью мультипланарной реконструкции в коронарной проекции (ж), а также с помощью метода объемного представления (з) выявлено увеличение размера псевдоаневризмы (стрелки), которая оказалась отдельной структурой, расположенной вблизи дилатированной селезеночной артерии (указатель). (продолжение) (и) Предпринята повторная ангиоинтервенция. В итоге после нескольких неудачных попыток выделения ЛНДА была успешно выполнена эмболизация псевдоаневризмы (стрелка) спиралями.
(к) Ангиография чревного ствола, выполненная после эмболизации, подтвердила, что псевдоаневризма больше не визуализирована (пунктирная стрелка). Гемоперитонеум, обусловленный кровотечением из культи короткой артерий желудка.
У пациента 64 лет, перенесшего субтотальную гастрэктомию по поводу МРЖ, через два дня после операции отмечено снижение артериального давления.
(а-г) При КТ выявлено умеренное количество крови в брюшной полости (*), гиперденсивное перигастральное образование, расположенное вдоль большой кривизны культи желудка, а также гиперденсивная гематома в левом поддиафрагмальном пространстве, распространяющаяся до полости малого таза (указатели). В перигастральной зоне гематомы определена тонкая линейная гиперденсивность, совпадающая с ходом коротких артерий желудка (стрелка, а).
Заключение КТ: возможные ишемические изменения культи желудка вследствие кровоизлияния из короткой артерии желудка и ассоциированный внутрибрюшной гемиперитонеум. Экстренная диагностическая лапаротомия подтвердила послеоперационное кровотечение из культи короткой артерии резецированного желудка.
Послеоперационное желудочно-кишечное кровотечение — одно из наиболее опасных осложнений. Возможные источники в желудке включают пептическую язву, стресс-эрозии, синдром Мэллори-Вэйсса и варикозное расширение вен желудка.
Также оно может возникнуть при неадекватно проведенных лигировании сосудов или гемостазе, при разрыве селезенки или геморрагическом панкреатите. Развитие внутрибрюшного кровотечения клинически проявляется отделением крови через хирургический дренаж или просачиванием через послеоперационную рану, а также артериальной гипотензией.
КТ может быть использована для подтверждения н линия и локализации внутрибрюшных гематом. Несмотря на то что внутрибрюшное кровотечение можно принять за асцитическую жидкость, в острой стадии оно имеет высокую плотность (20-40 HU) при КТ (Ghahremani и Gore, 1989). Однако хроническую гематому бывает сложно отличить от скопления других жидкостей или абсцесса. Кровотечение из сосудов культи и формирование псевдоаневризмы, ассоциированной с хирургической техникой, — возможные причины послеоперационного кровотечения.
В тонкой кишке могут возникнуть артериовенозная мальформация или кровотечение из места анастомоза (Kulaylat и Dayton, 2008).
Диагностика желудочно-кишечного кровотечения на снимках МРТ и КТ брюшной полости
Какой метод диагностики желудочно-кишечного кровотечения выбрать: КТ, МРТ, рентген, эндоскопия
Методы выбора
- эндоскопическое исследование, мультиспиральная КТ, ангиография.
Патогномоничные признаки при диагностике желудочно кишечных кровотечений
- Вытекание контрастного агента из кровеносного сосуда (прямой признак);
- Резкий обрыв сосудистой структуры;
- Изменения сосудов, такие как псевдоаневризмы;
- Опухоль (например гастроинтестинальная стромальная опухоль);
- Утолщение стенки кишки с повышенным кровотоком.
Для чего проводят эндоскопию при желудочно-кишечном кровотечении
- Непосредственное выявление кровотечения
- Эндоскопический метод может применяться для остановки кровотечения.
Что покажут снимки КТ брюшной полости при желудочно-кишечном кровотечении
- Экстравазация контрастного вещества в просвет кишки;
- При реконструкции имеется возможность визуализировать сосуды идентично ангиографии, что позволяет выявить повреждение, с которым связано кровотечение;
- Это исследование особенно показано, когда при эндоскопическом исследовании источник кровотечения не найден.

а, b Острое вытекание контрастного вещества в петлю подвздошной кишки (а) у пациента с множественными аневризмами сосудов брыжейки и печеночной артерии (стрелки на b).

а, b Кровотечение из дивертикула: а) КТ. Острое вытекание контрастного вещества в просвет поперечной ободочной кишки;

b) При ангиографии видно подтекание контрастного вещества (стрелка).
Проводят ли ангиографию кишечника при желудочно-кишечном кровотечении
- Прямая визуализация экстравазации контрастного вещества;
- Позволяет выявить изменения в сосудах, из-за которых произошло кровотечение;
- Ангиография особенно показана в случае планирования интервенционного гемостаза.
Что покажет капсульная эндоскопия
- Все чаще используется с большим успехом для выявления оккультного кровотечения.
Что покажет ирригография
- Имеют вторичную роль;
- Метод малоинформативен.
Клинические проявления
Типичная картина основывается на следующий признаках или симптомах желудочно кишечного кровотечения:
- рвота кровью
- Мелена
- Кровавый стул
- Повышенное потоотделение
- Снижение артериального давления
- Геморрагический шок.
Хроническое кровотечение: рецидивирующее кровотечение, aнемия.
Принципы лечения
- При проявлении признаков лечение желудочнокишечных кроточений основывается на оказании первой помощи, поскольку это может произойти вдалеке от больницы и когда в ближайшем окружении нет врача. Поэтому знаниями про оказание первой помощи при кровотечениях, в том числе желудочно кишечных, должен владеть каждый.
- Необходимо срочно вызвать «скорую помощь», создать больному покой, уложить его в положение с приподнятыми на 10-15° ногами, положить на живот пузырь (грелку) со льдом.
- Если больной без сознания, но при этом у него сохраняются дыхание и пульс, необходимо их измерить и следить за их состоянием.
- При остановке серца необходимо выполнять искуственное дыхания и непрямой массаж сердца, что относится к элементам неотложной помощи при желудочно-кишечном кровотечении.
- В условиях стационара при транспортировке пострадавшего продоться интсрументальные методы остановки кровотечения, одновременно со стабилизацией состояния больного, воссполнением общего объема циркулирующей крови, нормлизации сердечно деятельности и дыхания.
Среди инструментальных методов остановки кровотечений желудочно-кишечного тракта наиболее эффективны:
- Эндоскопический гемостаз
- Трансартериальный гемостаз (успешен клинически более чем в 80% случаев, лучше использовать при кровотечениях в нижнем отделе ЖКТ).
Течение и прогноз
- Кровотечение в нижнем отделе ЖКТ обычно не угрожает жизни и самостоятельно прекращается в 80-95% случаев;
- Кровотечения из верхнего отдела ЖКТ имеют тенденцию рецидивировать обычно в течение 3 дней. При повторном кровотечении смертность повышается в 5—10 раз.
Что хотел бы знать клиницист
- Локализацию источника кровотечения
- Причину кровотечения.
Какие заболевания имеют симптомы, схожие с желудочно-кишечным кровотечением
Варикозное расширение вен пищевода
-Цирроз печени или окклюзия воротной вены
- Варикозные узлы в стенке желудка и пищевода
Ангиодисплазия
- Иногда присутствует расширение крупной артерии
- Узловое или островковое накопление контраста в слизистой оболочке кишки
- Очень ранее и интенсивное наполнение вен, связанных с участком поражения
Кровотечение из дивертикула
- Экстравазация контрастного вещества из дивертикулов
Кровотечение из опухоли
- Экзофитная или интрамуральная опухоль (например GISТ)
Сосудистые мальформации
- Псевдоаневризмы или эктатические сосуды
Дивертикул Меккеля
- Визуализация артерии желточного мешка при ангиогрaфии
- Выпячивание при ирригографии или КТ обычно в 50-60 см от илеоцекального клапана
Советы и ошибки
Ошибкой является отсроченное использование лучевых методов диагностики при кровотечении из неизвестных источников или известном источнике кровотечения, которое не может быть эффективно остановлено эндоскопически.
КТ и МРТ диагностика желудочно-кишечного кровотечения
Почему возникает кровотечение из желудка или кишечника
- В 80% случаев встречаются желудочно кишечные кровотечения из верхних отделов ЖКТ, тогда как кровотечения из нижних отделов ЖКТ встречаются лишь в 20° о случаев.
- Частота встречаемости желудочно кишечного кровотечения увеличивается е возрастом
- Наиболее высокие показатели риска отмечаются у лиц старше 80 лет
- При кровотечениях из верхних отделов ЖКТ источник находится проксимальнее связки Трентца
- При кровотечениях из нижних отделов ЖКТ источник находится дистальнее связки Трентца
- Наиболее часто причинами желудочно кишечных кровотечений являются кровотечения из варикозно-расширенных вен пищевода
- Геморрагический гастрит
- Пептические язвы также являются причинами желудочно кишечных кровотечений
- Кровотечения в послеоперационном периоде (в особенности после выполнения оперативных вмешательств на печени или поджелудочной железе)
- Дивертикул ободочной кишки
- Ангиодисплазия
- Злокачественные новообразования
- Язвенный колит
- Кровотечение из геморроидальных узлов
- Анальные трещины
- Риск возникновения желудочно кишечных кровотечений увеличивается у пациентов, получающих антикоагулянты (варфарин, ингибиторы агрегации тромбоцитов)
- Острое желудочно-кишечное кровотечение с высокой скоростью кровотока сопровождается системными нарушениями гемодинамики и может приводить к развитию гиповолемического шока
- Хронические желудочно-кишечные кровотечения с низком скоростью кровотока обычно не приводят к системным нарушениям гемодинамики, однако сопровождаются картиной анемии.
Какой метод диагностики кровотечения выбрать: ФГДС, МРТ, КТ, ангиографию
- Эндоскопическая визуализация используется не только для обнаружения источника кровотечения, но и для оказания неотложной помощи при желудочно кишечном кровотечении; хотя при массивных кровотечениях в некоторых случаях не представляется возможным установить источник
- Использование лучевой диагностики с целью установления источника кровотечения и оказанию неотложной помощи при желудочно кишечном кровотечении показано только тогда, когда гастроскопия и колоноскопия не информативны
- Методиками выбора из средств лучевой диагностики являются КТА, радионуклидные методы, а также ЦСА
- Эффективность МРА-диагностики ЖК-кровотечений при помощи контрастных веществ, депонирующихся в крови, в настоящее время изучается.
Отличительные признаки желудочно-кишечного кровотечения
- Попадание контрастного вещества из просвета сосудов в просвет кишечника
- Все методики визуализации позволяют диагностировать не более чем 50% желудочно кишечных кровотечений, поскольку в некоторых случаях патологические изменения могут быть ниже диагностического порога и кровотечение может рецидивировать непосредственно в ходе диагностической процедуры
- После эпизода гастродуоденального кровотечения необходимо как можно быстрее выполнить процедуру диагностической визуализации
- При отсутствии исходных данных за желудочно кишечное кровотечение чувствительность диагностики желудочно кишечных кровотечений может быть увеличена путем медикаментозной провокации гепарином или рекомбинантным тканевым активатором плазминогена
- Вероятность правильной диагностики желудочно кишечных кровотечений увеличивается при резком снижении концентрации гемоглобина, а также при наличии признаков гемодинамически значимого кровотечения
- Установить источник кровотечения с помощью методик лучевой диагностики желудочно кишечных кровотечений обычно представляется возможным только при гемодинамнчески значимом остром кровотечении
- При наличии хронических неинтенсивных рецидивирующих кровотечений в сочетании с меленой не показано использовать методики лучевой диагностики, за исключением радионуклидных методов.

Корональная MIP визуализация: идентифицируется a. ileocolica (стрелка), являющаяся приносящим сосудом (b). Острое ЖК-кровотечение. ЦСА, артериальная фаза (а). Идентифицируется контрастное вещество вне пределов сосудистого русла (стрелке). Кровотечение в просвет подвздошной кишки из ветви подвздошной артерии. Нахождение контрастного вещества (стрелка) вне пределов сосудистого русла сохраняется после его вымывания (b). Интраоперационный препарат (с). Источником кровотечения является дивертикул тонкого кишечника.
КТ, ангиография при послеоперационном желудочно-кишечном кровотечении
Рентгенограмма, КТ при несостоятельности анастамоза и культи двенадцатиперстной кишки
Пери- и послеоперационная заболеваемость при хирургии рака желудка довольно распространена из-за обширности вмешательств. В целом большинство осложнений возникает в ближайший послеоперационный период и связано с инфекцией или со сложностями хирургических техник. Подавляющее большинство этих осложнений возникает вследствие естественного и неотъемлемого риска хирургического вмешательства, однако встречаются и ятрогенные случаи (Kim et al., 2002).
Несостоятельность анастомоза при ЭЕ-стомии с образованием небольшого абсцесса в сальниковой сумке. Мужчина 67 лет, перенесший тотальную резекцию желудка, обратился в пункт неотложной помощи с жалобой на боль в эпигастрии.
(а) При КТ, проведенной через две недели после операции, выявлены внепросветные пузырьки воздуха и небольшое скопление жидкости (указатель) позади ЭЕ-анастомоза.
(б) При эндоскопии обнаружены поврежденные шовные скобы (указатели) и дефект шва анастомоза.
(в) На рентгенограмме, выполненной после перорального введения гастрографина, установлено вытекание контрастного вещества (стрелка) в области ЭЕ-анастомоза (указатели). Несостоятельность анастомоза при ЭЕ-стомии с формированием крупного абсцесса в левой поддиафрагмальной области. Женщина 77 лет, подвергшаяся тотальной резекции желудка, на 4-й день после операции предъявляет жалобы на лихорадку.
(а) Рентгенография с применением водорастворимого контрастного средства: фокальное вытекание (стрелка) контрастного средства в области левой латеральной части ЭЕ-анастомоза в крупное содержащее газ скопление жидкости (указатели) в левом поддиафрагмальном пространстве.
(б) При КТ, выполненной после рентгенографии, выявлены утечка контрастного вещества в левое поддиафрагмальное пространство (стрелка), а также пневмоперитонеум (указатели). (в) При эндоскопии обнаружена внепросветная полость абсцесса, содержащая гной. Несостоятельность анастомоза при гастрогастростомии вдоль малой кривизны. Мужчина 76 лет, подвергшийся лапароскопической резекции желудка с сохранением пилорического жома по поводу МРЖ, на 16-й день после операции предъявляет жалобы на мелену.
(а—в) При КТ в аксиальной (а), сагиттальной (б) и коронарной (в) проекциях выявлен протяженный разрыв линии шва в области гастрогастростомии (указатели) вдоль малой кривизны желудка. Просвет культи желудка полностью сообщается с брюшной полостью.
(г) При эндоскопии обнаружен разрыв линии шва, эндоскоп проходит непосредственно в брюшинную полость, заполненную гноем.
(д) На рентгенограмме, выполненной после введения контрастного вещества через дренажный катетер, выявлено массивное вытекание контрастного вещества в брюшную полость (указатели).
(е) При КТ, проведенной после рентгенографии, отмечено скопление контрастного вещества в крупной полости абсцесса (*), сформированной стенкой желудка и брюшиной.
а) Несостоятельность анастомоза. Практически при всех реконструктивных желудочно-кишечных операциях имеется риск развития несостоятельности анастомоза, что может привести к отграниченному скоплению жидкости или абсцессу в операционном ложе. Несостоятельность анастомоза чаще всего возникает при тотальной гастрэктомии (Budisin et al., 2001). КТ весьма информативна для распознавания пневмоперитонеума, внепросветного скопления перорального контрастного вещества и ассоциированного внутрибрюшного абсцесса.
Однако изолированный пневмоперитонеум служит чрезвычайно частой послеоперационной находкой, а просачивание контраста возникает редко при невыраженной несостоятельности. Отграниченное скопление жидкости или абсцесс, т.е. единственные характерные проявления несостоятельности анастомоза, невозможно достоверно отличить от транзиторного послеоперационного скопления экссудата только при помощи КТ (Kim et al., 2002). При поиске доказательств несостоятельности анастомоза важно помнить об изменениях нормальных анатомических границ, происходящих вследствие пересечения связок брюшины и брыжеек во время операции, в связи с чем скопления жидкости и абсцессы могут возникать в необычных и неожиданных местах.
Ассоциированная патология — экссудативный плеврит и базальный пневмофиброз — часто сопутствует поддиафрагмальным абсцессам (Kim et al., 2002).
Несостоятельность культи ДПК легкой степени. Мужчина 76 лет, перенесший лапароскопическую дистальную резекцию желудка по поводу МРЖ, обратился в пункт неотложной помощи с жалобами на боль в эпигастрии и рвоту (22-й день после операции).
(а) При КТ кпереди от культи ДПК выявлены небольшое скопление жидкости с пузырьками воздуха и утолщение стенки (стрелки).
(б) После назначения антибиотиков, а также отказа от перорального приема пищи в течение недели проведено KТ: полное разрешение осложнений (отсутствие жидкости и воздуха). Прогрессирующая несостоятельность культи ДПК. Мужчина 42 лет, перенесший лапароскопическую дистальную резекцию желудка по поводу РРЖ, на 10-й день после операции обратился в пункт неотложной помощи с жалобами на боль в животе.
(а) При КТ вблизи культи ДПК обнаружены абсцесс диаметром 5,5 см, пузырьки воздуха, утолщение стенки (указатели) и небольшой пневмоперитонеум (*).
(б) Были назначены антибиотики, запрещен пероральный прием пищи, однако при КТ, проведенной через неделю выявлено увеличение количества жидкости и воздуха (указатели).
(в) Проведено перкутанное дренирование абсцесса (*). (г) В месте несостоятельности культи проведено также эндоскопическое клипирование.
(д) При последующей рентгеноскопии отмечены отсутствие вытекания контрастного вещества и нормальный пассаж контрастного вещества через ДПК (Д).
(е) При КТ, проведенной через 5 мес, установлено полное рассасывание полости абсцесса.
б) Несостоятельность культи двенадцатиперстной кишки. Несостоятельность культи ДПК — наиболее тревожное техническое осложнение операции по Бильрот II при резекции желудка или тотальной гастрэктомии (Greenfield, 1990). Просачивание желчи или секрета поджелудочной железы вызывает местное раздражение брюшины, а присоединение бактериальной инфекции при отсутствии адекватной терапии может в дальнейшем осложнить течение послеоперационного периода.
Несостоятельность культи ДПК приводит к послеоперационному скоплению жидкости или формированию абсцесса в правом подпеченочном пространстве с частым распространением в перипанкреатическое пространство. Широкое применение КТ облегчило постановку диагноза несостоятельности культи ДПК за счет визуализации скопления жидкости или абсцесса в этих пространствах, окружающих культю.
Желудочно-кишечное кровотечение неуточненное (K92.2)
Желудочно-кишечное кровотечение неуточненное, включая:
- желудочное кровотечение без дополнительных уточнений;
- кишечное кровотечение без дополнительных уточнений.
Из данной подрубрики исключены:
- Острый геморрагический гaстрит (K29.0);
- Кровотечения из заднего проходa и прямой кишки (K62.5);
- Желудочно-кишечное кровотечение вследствие пептической язвы (K25-K28);
- Ангиодисплазии желудка с кровотечением (K31.8);
- Дивертикулит с кровотечением (K57).

Автоматизация клиники: быстро и недорого!
- Подключено 300 клиник из 4 стран
- 800 RUB / 4500 KZT / 27 BYN - 1 рабочее место в месяц

Автоматизация клиники: быстро и недорого!
- Подключено 300 клиник из 4 стран
- 1 место - 800 RUB / 4500 KZT / 27 BYN в месяц
Мне интересно! Свяжитесь со мной
13-15 октября, Алматы, "Атакент"
600 брендов, более 150 компаний-участников из 20 стран.
Новинки рынка стоматологии. Цены от производителей
Классификация
1. Кровотечение из верхних отделов желудочно-кишечного тракта (ЖКТ).
2. Кровотечение из нижних отделов ЖКТ:
- явное;
- скрытое (оккультное).
Этиология и патогенез
Механизм развития желудочно-кишечного кровотечения зависит от вызвавшей его причины.
Предполагают, что при язвенной болезни кровотечение возникает в результате того, что наступает истончение и некроз сосудистой стенки, когда дно язвы достигает стенки кровеносного сосуда.
- острые ишемические поражения кишечника, возникающие в результате тромбоза или эмболии ветвей мезентериальных артерий при их атеросклерозе или васкулитах;
- опухоли и полипы кишечника;
- радиационный колит у больных, проходивших курсы лучевой терапии по поводу злокачественных новообразований органов брюшной полости и забрюшинного пространства, включая опухоли урологической и гинекологической сфер;
Эпидемиология
Факторы и группы риска
Кровотечения, возникшие из-за варикозного расширения вен пищевода, наиболее часто отмечают у больных с циррозом печени. Однако подобные симптомы могут присутствовать и при других заболеваниях, которые сопровождаются синдромом портальной гипертензии Портальная гипертензия - венозная гипертензия (повышенное гидростатическое давление в венах) в системе воротной вены.
Подробно .
Клиническая картина
Cимптомы, течение
Кровотечения из верхних отделов ЖКТ
Прямые симптомы (основные клинические признаки): рвота с кровью (гематемезис), черный дегтеобразный стул.
Мелена в большинстве случаев появляется не ранее, чем через 8 часов после начала кровотечения, при кровопотере более чем 50 мл.
В случае ускоренного (менее 8 часов) транзита содержимого по кишечнику и кровопотере свыше 100 мл, с калом может выделиться алая кровь (гематохезия).
Кровотечение из нижних отделов ЖКТ
Нередко явные кровотечения из нижних отделов ЖКТ выражены умеренно и не сопровождаются падением артериального давления и другими общими симптомами. В некоторых случаях больные сообщают о наличии периодически возникающих кишечных кровотечений только при тщательном расспросе. Редко встречаются массивные кровотечения из нижних отделов ЖКТ, которые сопровождаются гиповолемией Гиповолемия ( син. олигемия) - уменьшенное общее количество крови.
, острой постгемморагичнской анемией, артериальной гипотензией, тахикардией.
Диагностическое значение имеет цвет выделяющейся крови. При кишечных кровотечениях наиболее часто встречается появление неизмененной крови (гематохезия). При этом, чем светлее выделяющаяся из прямой кишки кровь, тем дистальнее находится источник кровотечения.
Кровь алого цвета выделяется в основном при кровотечениях, вызванных поражением сигмовидной кишки. Как правило, при расположении источника кровотечения в более проксимальных отделах толстой кишки, отмечается появление темно-красной крови.
При кровотечениях, связанных с поражением перианальной области (геморрой, анальные трещины), выделяющаяся кровь (в виде следов на туалетной бумаге или капель, попадающих на стенки унитаза) обычно не смешана с калом, который сохраняет коричневую окраску.
При локализации источника кровотечения проксимальнее ректосигмоидного отдела кровь бывает более или менее равномерно перемешана с калом.
Боли в животе, предшествующие эпизоду кишечного кровотечения, свидетельствуют об острых инфекционных или хронических воспалительных заболеваниях кишечника, острых ишемических поражениях тонкой или толстой кишки.
Боли в области прямой кишки при акте дефекации либо усиливающиеся после него, характерны обычно при геморрое или трещине заднего прохода. Массивное кишечное кровотечение без боли может возникать при дивертикулезе кишечника, телеангиоэктазиях Телеангиэктазия - локальное чрезмерное расширение капилляров и мелких сосудов.
.
Другие клинические симптомы, сопутствующие кишечным кровотечениям и имеющие важное диагностическое значение:
1. Инфекционным заболеваниям с поражением толстой кишки свойственны: остро возникшая лихорадка, боли в животе, тенезмы Тенезмы - ложные болезненные позывы к дефекации, например при проктите, дизентерии
и диарея.
2. При туберкулезе кишечника могут наблюдаться: длительная лихорадка, потливость, похудание, диарея.
3. Для хронических воспалительных заболеваний кишечника характерны: лихорадка, артрит, афтозный стоматит, узловатая эритема, первичный склерозирующий холангит Холангит - воспаление желчных протоков.
, поражения глаз (ирит Ирит - воспаление радужной оболочки глаза вследствие общих инфекционных заболеваний
, иридоциклит Иридоциклит - воспаление радужки и ресничного тела.
).
Диагностика
Диагностика кровотечения из верхних отделов ЖКТ
1. Оценка (диагностика) кровопотери
Тяжесть желудочно-кишечного кровотечения в первые часы его развития оценивается по изменениям артериального давления, выраженности тахикардии, дефициту объема циркулирующей крови (ОЦК).
Необходимо иметь в виду, что снижение содержания гемоглобина, обусловленное гемодилюцией , можно выявить лишь через несколько часов после начала кровотечения.
Для оценки дефицита ОЦК используют расчет шокового индекса (ШИ) по методу Альговера: ШИ = ЧСС /АД сист.
| Показатель шокового индекса (ШИ) | Дефицит ОЦК в % |
| 1 | 30 |
| 2 | 70 |
Степени тяжести острого желудочно-кишечного кровотечения в зависимости от объема кровопотери и дефицита ОЦК
| Степень тяжести | Объем кровопотери в литрах | Дефицит ОЦК % |
| I | 1-1,5 | |
| II | 1,5-2,5 | 20-40 |
| III | >2,5 | 40-70 |
| Показатель | 0 баллов | 1 балл | 2 балла | 3 балла |
| Возраст | 60 - 79 | > 80 | ||
| Шок | Нет шока | Пульс > 100 АД > 100 систолическое | АД систолическое | |
| Сопутствующая патология | Нет | Хроническая сердечная недостаточность, ишемическая болезнь сердца | Почечная недостаточность, печеночная недостаточность, рак с наличием метастазов | |
| Эндоскопическая картина | Синдром Мэллори-Вейса | Язвы, эрозии и другие нераковые источники кровотечения | Злокачественные источники кровотечения (опухоли, малигнизированные полипы) | |
| Состояние гемостаза | Кровотечения нет | Кровь в просвете, сгусток крови на поверхности дефекта, пульсирующая струя крови |
Общий балл вычисляется путем простого сложения. Сумма баллов менее 3 свидетельствует о хорошем прогнозе, сумма более 8 баллов - высокий риск смертности.
| Количество баллов | Частота повторных кровотечений (%) | Смертность больных (%) |
| 0 | 5 | 0 |
| 1 | 3 | 0 |
| 2 | 5 | 0,2 |
| 3 | 11 | 3 |
| 4 | 14 | 5 |
| 5 | 24 | 11 |
| б | 33 | 17 |
| 7 | 44 | 27 |
| >8 | 42 | 41 |
Также используют Шкалу оценки и прогноза состояния больного с кровотечением из верхних отделов желудочно-кишечного тракта - Glasgow-Blatchford score (GBS).
Оценка рассчитывается по следующей таблице:
| Критерии Глазго-Блэтчфорд | |
| Показатель | Оценочный балл |
| Мочевина крови ммоль\л | |
| ≥ 6,5 | 2 |
| ≥ 8,0 | 3 |
| ≥ 10,0 | 4 |
| ≥ 25 | 6 |
| Гемоглобин (г / л) для мужчин | |
| ≥ 12,0 | 1 |
| ≥ 10,0 | 3 |
| 6 | |
| Гемоглобин (г / л) для женщин | |
| ≥ 10,0 | 1 |
| 6 | |
| Систолическое артериальное давление (мм рт.ст.) | |
| 100-109 | 1 |
| 90-99 | 2 |
| 3 | |
| Другие маркеры | |
| Пульс ≥ 100 (в минуту) | 1 |
| Мелена (дегтеобразный стул) | 1 |
| Потеря сознания | 2 |
| Заболевания печени | 2 |
| Сердечная недостаточность | 2 |
Для оценки риска производится простое суммирование баллов.
При наличии "6" и более баллов возникает необходимость госпитализации и вмешательства в 50% случаев.
Риск считается минимальным или равным "0" в случаях когда:
- гемоглобин > 12,9 г/дл (для мужчин) или > 11,9 г/дл (для женщин);
- систолическое артериальное давление > 109 мм рт.ст.;
- пульс - мочевина крови - отсутствуют мелена или потеря сознания;
- отсутствуют указания на наличие патологии печени или сердечно-сосудистой недостаточности.
2. Инструментальная диагностика
Диагностика кровотечений из нижних отделов ЖКТ
1. Установление факта кровотечения и оценка степени его тяжести (см. выше).
4. Ангиография с заполнением бассейна верхней и нижней брыжеечных артерий может обнаружить выход контрастного вещества из кровеносных сосудов (экстравазаты) в просвет кишечника. Данный метод полезен при диагностике кишечных кровотечений, связанных с дивертикулезом и ангиодисплазией. В 40-85 % случаев ангиография дает положительные результаты, если объем кровопотери превышает 0,5 мл/минуту.
5. Сцинтиграфия (с эритроцитами, меченными 99Тс или тромбоцитами, меченными 111In) позволяет обнаружить источник кровотечения, если объем кровопотери превышает 0, 1 мл/минуту. По сравнению с ангиографией, считается более точным методом диагностики кишечных кровотечений, но требует больше времени для проведения.
Сканирование с помощью радиоактивных эритроцитов является более чувствительным методом, чем артериoграфия, и может использоваться при обследовании больных с менее тяжелыми кровотечениями. Однако при кровотечениях сканирование менее специфично, чем артериография. С его помощью обычно можно локализовать очаг поражения, но поставить точный диагноз удается редко.
Таким образом, сканирование наиболее полезно в случае активного незначительного или интермиттирующего кровотечения для определения наиболее подходящего момента проведения артериoграфии и получения максимальной информации.
6. Информативность исследования с контрастированием барием сомнительна при оценке острого ректального кровотечения, поскольку оно не позволяет определить место кровотечения (хотя с его помощью можно локализовать потенциальный источник кровотечения).
Помимо этого, если активное кровотечение возобновится, из-за остатков контрастного вещества в кишке могут возникнуть трудности в интерпретации данных последующей колоноскопии или ангиографии. В связи с этим рекомендуется отложить рентгенологические исследования с контрастированием барием по меньшей мере на 48 часов после прекращения активного кровотечения.
Лабораторная диагностика
1. Анализ рвоты и кала на скрытую кровь.
2. Определение группы крови и резус-фактора.
3. Общий анализ крови для выявления степени анемии, определение количества тромбоцитов.
4. Коагулограмма.
5. Биохимическре исследование крови.
При обследовании больных с подозрением на гастроинтестинальное кровотечение осуществляют динамический контроль лабораторных показателей.
Дифференциальный диагноз
1. Заглатывание крови вследствие легочных кровотечений или кровотечений из ротовой полости.
2. Мелена новорожденных.
3. Заглатывание материнской крови новорожденными.
4. Окраска рвотных масс и кала пищевыми красителями.
Осложнения
Лечение
Алгоритм терапии зависит от наличия или отсутствия признаков шока.
Алгоритм терапии у пациентов с шоком:
- обеспечение проходимости дыхательных путей, оксигенотерапия;
- обеспечение венозного доступа (установка двух периферических венозных катетеров 14-16G);
- в/в ведение кровезаменителей (стартовая доза 500-1000 мл), определение группы крови и резус-фактора, расчет необходимой дозы донорской крови;
- катетеризация центральной вены, измерение центрального венозного давления;
- рассмотреть вопрос о терапии ИПП (поражение желудка и двенадцатиперстной кишки), октреотидом и глипрессином (при кровотечении из варикозно расширенных вен пищевода) или иной патогенетической терапии (при кровотечениях другой этиологии).
В 80% случаев происходит самопроизвольное прекращение острых кишечных кровотечений. При умеренно выраженных кровотечениях проводят консервативную терапию в соответствии с заболеванием, вызвавшим кровотечение.
Если кишечные кровотечения обусловлены дивертикулезом, в 90% случаев их остановка возможна при помощи инфузии вазопрессина при осуществлении ангиографии. Для проведения пролонгированной инфузионной терапии катетер оставляют в месте введения, поскольку кровотечение нередко рецидивирует в течение первых 48 часов.
Для остановки кровотечения при проведении ангиографии мезентериальных сосудов применяется чрескатетерная эмболизация.
Хирургическое лечение (гемиколэктомия или субтотальная колэктомия с наложением илеоректального анастомоза) необходимо, когда у больных с дивертикулезом кишечника не удается остановить кровотечение; когда кровотечение возникает повторно в течение 48 часов, сопровождается шоком и требует применения свыше 6 доз крови в сутки.
Для остановки кровотечений, обусловленных ангиодисплазиями слизистой оболочки кишечника, требуется проведение монополярной электрокоагуляции или лазерной коагуляции.
При кровотечениях, связанных с острыми ишемическими поражениями кишечника, в начальной стадии возможно восстановление кровотока с помощью вазодилатирующих средств или реваскуляризирующих операций. Резекцию пораженного участка осуществляют при возникновении осложнений (инфаркт кишки, перитонит ).
При кровоточащем геморрое в упорных случаях (если нет выпадения узлов) проводится инъекционное лечение. В область узлов вводятся склерозирующие растворы (например, спирт этиловый с новокаином). Если при помощи данного метода не удается остановить геморроидальное кровотечение, применяют хирургическое лечение (операция перевязки узлов или их иссечение).
Обязательным является проведение базисной терапии заболеваний, которые вызвали кишечное кровотечение.
Читайте также:
