КТ брюшной полости при посттрансплантационном лимфопролиферативном заболевании
Добавил пользователь Евгений Кузнецов Обновлено: 19.12.2025
КТ брюшной полости – это метод диагностики, основанный на регистрации рентгеновского излучения. Новейший томограф последнего поколения, установленный в нашей клинике, позволяет получить очень качественные 3D (объемные) изображения внутренних органов, костных структур, лимфоузлов и мягких тканей.
Компьютерная томография брюшной полости дает возможность получать единовременно большое количество снимков-срезов. А подключенный к аппарату мощный компьютер обрабатывает данные, полученные при сканировании.
Эта разновидность томографии используется для обнаружения недугов на самых ранних стадиях, для дифференциальной диагностики (так называют сравнение болезней с похожей симптоматикой) и для оценки состояния различных органов.
Зачем делают КТ брюшной полости?
При этом исследуются: желудок, кишечник (толстый и тонкий), печень с желчным пузырем, селезенка, пути выведения желчи, поджелудочная железа, мочевыводящие пути, почки, надпочечники, лимфоузлы, мягкотканные структуры и сосуды, которые находятся в данной области.
КТ помогает выявить последствия травм, опухолевые образования, гнойники (абсцессы), присутствие жидкости в брюшной полости. Обычно данное исследование назначается после других диагностических мероприятий (УЗИ или рентгена) и показывает расположение выявленных патологий. С помощью КТ брюшной полости врач уточняет характер заболевания и устанавливает окончательный диагноз.
Показания для КТ брюшной полости
Данный вид компьютерной томографии показан в следующих случаях:
- острые травматические повреждения области живота;
- предоперационная подготовка к некоторым видам хирургических вмешательств;
- подозрение на опухоль брюшной полости либо подтвержденное новообразование – для уточнения локализации и величины опухоли и степени ее прорастания в соседние органы;
- камни в желчном пузыре и в почках, нарушение оттока желчи;
- наличие тревожных симптомов со стороны органов брюшной полости без объяснимой причины;
- резкое снижение веса, не имеющее явных причин;
- желтуха непонятной этиологии;
- необходимость контроля проводимого лечения;
- контрольное исследование после проведения терапии, а также после хирургической операции.
КТ может также использоваться при врожденных аномалиях или предрасположенности к заболеваниям органов брюшной полости (чаще всего встречается у детей).
Противопоказания
Поскольку рентгеновское излучение при данном виде исследования минимальное, абсолютных противопоказаний к нему не существует. К относительным противопоказаниям относятся следующие состояния:
- возраст до 14 лет;
- ожирение с массой тела пациента, превышающей 220 кг;
- некоторые психические заболевания;
- болезни нервной системы, при которых человек не может лежать несколько минут неподвижно (однако существуют успокоительные средства, с которыми исследование все же возможно провести);
- беременность и период грудного вскармливания малыша;
- острая почечная недостаточность;
- сахарный диабет в стадии декомпенсации.
Противопоказаниями к введению контрастного вещества являются в первую очередь почечная недостаточность, также печеночная недостаточность, аллергическая реакция на контраст, а также диагностированная беременность на любом сроке и период лактации.
Сахарный диабет не является абсолютным противопоказанием, в большинстве случаев при диабете данное исследование проводится.
Как проходит подготовка к КТ брюшной полости
Подготовка к компьютерной томографии брюшной полости зависит от конкретного органа, который нужно исследовать. Несколько отличается подготовка к КТ с использованием контрастного вещества. Чтобы результаты исследования были наиболее точными, соблюдайте следующие рекомендации лечащего врача.
В любом случае на процедуру лучше сразу приходить в удобной и свободной одежде, чтобы не тратить время на раздевание.
Необходимо знать, что при КТ кишечника вам нужно будет обязательно его опорожнить. Для этого вам порекомендуют использовать слабительные таблетки или очистительную клизму (опорожнение кишечника требуется провести примерно за 5 часов до исследования).
В случае, если у вас на момент процедуры есть признаки ОРЗ или ОРВИ, вы без труда сможете перенести томографию на другой день.
КТ с введением контрастного вещества
Компьютерная томография нередко проводится с контрастным веществом, чаще всего это водорастворимые контрасты. Хотим заметить, что для контрастирования мы применяем только безопасные химические соединения, при помощи которых получаются четкие границы тканей, детальное изображение различных изучаемых органов, сосудов и др.
Контраст вводят 3-мя способами: через рот, анально или внутривенно. Как именно будет применен контраст, доктор определяет, исходя из того, какая область брюшной полости будет обследована.
Подробности дополнительной подготовки к КТ вы можете узнать у вашего лечащего врача. Не забудьте сообщить ему о принимаемых вами медицинских препаратах.
Как проходит КТ диагностика
После того, как вы вошли в комнату с томографом, вас, возможно, попросят снять все металлические вещи:
- часы;
- украшения (в том числе пирсинг);
- очки;
- слуховой аппарат;
- бюстгальтер с металлическими застежками.
Далее вам при необходимости выдают больничную одежду и укладывают на передвижной стол томографа. Во время исследования вы будете непрерывно находиться на связи с врачом. Двухстороннее устройство для связи с пациентом позволяет мгновенно прервать процедуру, если это потребуется.
Возможны ли осложнения?
Мы всегда предупреждаем, что, несмотря на безопасность процедуры КТ в целом, иногда встречаются быстро проходящие побочные эффекты.
Контрастные вещества для компьютерной томографии постоянно совершенствуются, и сегодня мы используем препараты, которые не дают побочных эффектов, даже если ранее у вас отмечались аллергические реакции на йод. Все же, если вы опасаетесь, то уточните у нашего рентген-лаборанта, какое конкретно вещество используется в качестве контраста.
Что нужно взять с собой на обследование
Для полноты картины, особенно если необходимо сравнение с предыдущим состоянием, возьмите с собой следующие документы:
- направление, которое выдает лечащий врач;
- выписку из амбулаторной карты;
- все другие документы, снимки и результаты анализов, относящиеся к данной патологии;
- людям с сахарным диабетом разрешается взять с собой перекус (на них ограничения пищи не распространяются).
Где лучше сделать компьютерную томографию органов брюшной полости
Диагностическое отделение «ОН КЛИНИК» оснащено компьютерным томографом последнего поколения. У нас работают врачи мирового уровня. При любых подозрениях на опухоль, травму, воспаление брюшной полости - Вы можете пройти платно процедуру КТ внутренних органов брюшной полости в нашей клинике.
КТ брюшной полости при посттрансплантационном лимфопролиферативном заболевании
Лучевые изменения брюшной полости при посттрансплантационном лимфопролиферативном заболевании
а) Терминология:
• Неоднородная группа лимфопролиферативных болезней, возникающих после пересадки органа или стволовых клеток, проявления которых варьируют от гиперплазии лимфоидной ткани до явного злокачественного образования
б) Визуализация брюшной полости при посттрансплантационном лимфопролиферативном заболевании:
• Могут иметь любую локализацию, но чаще - внутрибрюшную:
о Внеузловые поражения (80%) преобладают над узловыми (20%)
• Изменения при посттранспантационном лимфопролиферативном заболевании аналогичны таковым при неходжкинской лимфоме (НХЛ) у пациентов с нормальным иммунным ответом
• ЖКТ: изменения похожи на таковые при НХЛ, включая опухолевидное утолщение кишечной стенки, аневризматическое расширение, изъязвленное полиплоидное объемное образование, или подслизистые узлы
• Печень: наиболее часто поражающийся паренхиматозный орган брюшной полости:
о Единичное либо множественные слабо усиливающиеся при контрастировании объемные образования, отдельно лежащее объемное образование в воротах печени или распространенная инфильтрация печеночной паренхимы
• Селезенка: спленомегалия ± дискретные поражения (обычно множественные, гиподенсные, и различные по размеру)
• Почки: наиболее частая локализация у пациентов после пересадки почки:
о Объемное образование неоднородной структуры или диффузное инфильтративное поражение
• Поражение лимфатических узлов: внутрибрюшные лимфатические узлы вовлекаются в 15-20% случаев:
о Вовлечение лимфоузлов наблюдается реже, чем при НХЛ без нарушения иммунного ответа
(Слева) При аксиальной КТ с контрастным усилением у пациента после пересадки печени определяется вновь возникшее гиподенсное объемное образование в воротах печени, а также увеличенный портакавальный лимфоузел.
(Справа) При аксиальной КТ с контрастным усилением у этого же пациента определяется выраженная забрюшинная лимфаденопатия. Изменения при посттранспантационном лимфопролиферативном заболевании (ПТЛЗ) в этом случае неотличимы от таковых при типичной неходжкинской лимфоме (НХЛ) у иммунокомпетентного пациента. (Слева) При асиальной нативной КТ визуализируется опухолевидное утолщение стенки сегмента толстой кишки с аневризматическим расширением.
(Справа) Вид в корональной плоскости при КТ с контрастным усилением у этого же пациента: определяется значительное утолщение стенки сегмента кишечника с его дилятацией. Данные изменения характерны как для НХЛ у пациентов с нормальным иммунным ответом, так и для ПТЛЗ.
в) Патология:
• В большинстве случаев заболевание обусловлено пролиферацией В-лимфоцитов из-за инфицирования вирусом Эпштейна-Барр (ВЭБ)
г) Клинические особенности:
• Высокая смертность, выживаемость около 25-30%
• Лечение: может быть эффективной коррекция иммунного дефицита, хотя также могут понадобиться антивирусные препараты, химиотерапия, ритуксимаб
а) Терминология:
1. Синонимы:
• Неходжкинская лимфома (НХЛ)
• Лимфома Ходжкина (ЛХ)/Болезнь Ходжкина
2. Определение:
• Неоднородная группа злокачественных новообразований лимфоидного и миелоидного ростка
б) Визуализация:
1. Рекомендации по визуализации:
• Лучший метод визуализации:
о ПЭТ/КТ и КТ с контрастным усилением
2. КТ брюшной полости при лейкемии и лимфоме:
• Желудочно-кишечный тракт:
о Самая частая локализация внеузловых поражений при НХЛ (30-40%)
- Желудок > тонкая кишка, двенадцатиперстная кишка>толстая кишка (в т.ч. аппендикс) > пищевод
о Лимфома из лимфоидной ткани слизистой оболочки (MALT-лимфома) - второй по частоте тип лимфомы, поражающей ЖКТ:
- Краевая зона В-клеточной НХЛ: высокодифференцированное образование, часто плохо определяющееся при КТ или ПЭТ
- Возникает из тканей стенки органа, например желудка или кишечника
о Лимфома в различных сегментах ЖКТ может проявляться строго определенным образом:
- Инфильтративные изменения (круговое утолщение стенки кишки):
Аневризматическое расширение просвета из-за повреждения межмышечного нервного сплетения или полное замещение стенки кишки большой язвой
Лимфома относится к «мягким» поражениям, обструкция кишечника возникает значительно реже, чем при раке или метастазах
- Язвенные изменения (типичное крупное внутрипросветное поражение)
- Полиповидные изменения (с внутристеночным объемным компонентом)
- Узловые изменения (множественные подслизистые образования)
• Селезенка:
о Самая частая злокачественная опухоль селезенки
- Поражение селезенки и при НХЛ, и при лимфоме Ходжкина
- Часто поражение селезенки является первым проявлением НХЛ внутрибрюшной локализации
о Возможные множественные изменения при визуализации
- Диффузная сленомегалия без наличия отдельно лежащего объемного образования (образований):
Спленомегалия у пациентов с лимфомой необязательно означает ее лимфоматозное поражение
- Множественные мелкие гиподенсные поражения селезенки
- Единичное объемное образование селезенки: гиподенсное, плохо васкуляризованное, нечетко очерченное

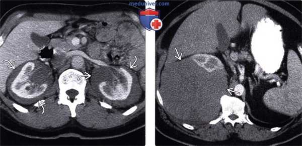
(Слева) При аксиальной КТ с контрастным усилением определяются гиподенсные мягкие ткани в виде «кожуры» вокруг обеих почек, классическое проявление периренальной лимфомы.
(Справа) При аксиальной КТ с контрастом определяется большое мягкотканное объемное образование вокруг правой почки, проявление периренальной НХЛ.
• Печень:
о Печень поражается примерно в 40% при НХЛ:
- Выраженная регионарная лимфаденопатия может стать ключом к постановке диагноза
о Заболевание может проявляться в виде единичного/множественных образований или диффузной инфильтрации печени:
- Объемные образования обычно гиподенсные, слабо усиливающиеся при контрастировании, имеют инфильтративный характер
- Печень может быть диффузно гиподенсной (как при стеатозе) в результате лимфоматозной инфильтрации
• Поджелудочная железа:
о Может определяться дискретное объемное образование (плохо отграниченное, инфильтративного характера, не усиливающееся при контрастировании), которое часто ошибочно принимается за аденокарциному:
- Нет расширения протока либо атрофии железы
- Сосуды проходят через объемное образование без сужения или окклюзии
о Может проявляться в виде диффузной инфильтрации и увеличения поджелудочной железы, что часто ошибочно принимается за острый панкреатит:
- Нет жидкости вокруг поджелудочной железы или воспалительных изменений перипанкреатических тканей
• Почки:
о Некоторые вероятные признаки лимфомы почки на диагностических изображениях:
- Единичное доминирующее объемное образование, чаще всего слабо усиливающееся при контрастировании, инфильтративного характера, однородной структуры
- Множественные двухсторонние дискретные гиподенсные объемные образования
- Одностороннее/двухстороннее увеличение почек с сохранением исходной формы и диффузная инфильтрация почек
- Мягкотканные образования вокруг почек, окружающие их в виде «кожуры»:
Могут распространяться вниз, вдоль собирающей системы почек и мочеточников, становясь причиной гидронефроза
- Контактное метастазирование в почки при заболевании забрюшинных лимфатических узлов
• Надпочечники:
о Первичная лимфома надпочечников обычно проявляется в виде объемных образований надпочечников с обеих сторон; вторичная может быть односторонней либо двухсторонней
о Неспецифичное инфильтративное, гиподенсное, незначительно усиливающееся при контрастировании объемное образование с однородной структурой
• Брюшина и сальник (лимфоматоз):
о Чаще всего у пациентов с «агрессивными» формами НХЛ, вт.ч. лимфомой Беркитта и СПИД-ассоциированной лимфомой
о Практически невозможно отличить от канцероматоза брюшины (мягкотканная инфильтрация сальника, дискретные объемные образования, выраженное утолщение сальника, асцит):
- Преобладание выраженности лимфаденопатии над таковым при канцероматозе-ключ к правильному диагнозу
- Выраженность асцита меньше, чем при канцероматозе
• Лимфатические узлы:
о Чаще всего возникает увеличение лимфатических узлов, однако это неспецифичный признак поражения:
- При ПЭТ/КТ определяется, что лимфоузлы «нормального размера» (меньше 1,5 см в поперечнике) часто поражены опухолью, в то время как большие лимфоузлы увеличены вследствие доброкачественной гиперплазии
- «Сливные» лимфоузлы чаще всего являются патологически измененными
- Лимфоузлы с наличием жира в воротах обычно являются нормальными
о Лимфома Ходжкина:
- Распространение обычно происходит вдоль сопредельных групп лимфоузлов
о Неходжкинская лимфома:
- Часто поражаются удаленные друг от друга группы лимфоузлов и органы брюшной полости
о Выраженная лимфаденопатия сливного характера:
- Симптом «сэндвича» или «гамбургера»: конгломерат брыжеечных или забрюшинных лимфоузлов, окружающих брыжеечные сосуды
- Сосуды могут быть окружены опухолью или втянуты в нее, но без сужения просвета или окклюзии
• Лейкемия:
о Может проявляться так же, как лимфома
о Гранулоцитарная саркома (хлорома):
- Проявления лейкемии в виде мягкотканного объемного образования (образований) в лимфоузлах, во внутренних органах, в плевральной и брюшной полости
- Чаще всего острый миелоидный лейкоз (ОМЛ)

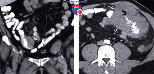
(Слева) При КТ с контрастным усилением в корональной плоскости визуализируется опухолевидное утолщение мягких тканей по краю подвздошной кишки. Обратите внимание на отсутствие обструкции кишки несмотря на значительное опухолевое поражение. Это характерное проявление лимфомы.
(Справа) На аксиальной КТ с контрастным усилением у ВИЧ-инфицированного пациента выявлено большое изъязвленное образование с наличием контраста в просвете тонкой кишки. Обратите внимание на типичное аневризматическое расширение просвета пораженной кишки вследствие опухолевой инфильтрации. Это часто встречающееся проявление лимфомы кишечника.
3. УЗИ брюшной полости при лейкемии и лимфоме:
• Яички:
о Семенники могут быть местом локализации скрытого, «остаточного» заболевания, при отсутствии злокачественных изменений в других органах
о НХЛ - самая частая опухоль семенников у мужчин > 60 лет
о Единичное/множественные гипоэхогенные объемные образования при УЗИ:
- Может не определяться отдельно лежащее объемное образование; диффузная инфильтрация с измененной эхоструктурой/эхогенностью
- Повышенная васкуляризация пораженных участков при цветном доплеровском картировании
- Двухстороннее поражение в 40% случаев
4. Радионуклидная диагностика:
• ПЭТ/КТ:
о Высокая чувствительность (90%) и специфичность (91%):
ПЭТ; ПЭТ/КТ превосходит и ПЭТ, и КТ в отдельности
- При ПЭТ/КТ у 30% пациентов с НХЛ и лимфомой Ходжкина устанавливается более высокая стадия заболевания по сравнению с КТ
о Усиление накопления ФДГ зависит от степени дифференцировки опухоли:
- Высокодифференцированные опухоли обычно не накапливают ФДГ
- Агрессивные низкодифференцированные опухоли интенсивно накапливают ФДГ

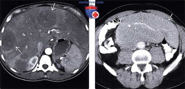
(Слева) При аксиальной КТ с контрастным усилением определяются множественные отдельно лежащие гиподенсные объемные образования в печени, а также выраженная диффузная инфильтрация большей части остальной паренхимы печени, выглядящей гиподенсной. При биопсии был подтвержден лимфоматозный характер инфильтрации.
(Справа) При аксиальной КТ с контрастом определяется большой конгломерат лимфатических узлов в брыжейке. Обратите внимание на сосуды внутри данного конгломерата, которые проходят сквозь него без сужения просвета или окклюзии, что является признаком, характерным для лимфомы.
в) Дифференциальная диагностика изменений брюшной полости при лейкозе и лимфоме:
1. Метастазы в лимфоузлах:
• Лимфаденопатия при лимфоме более выражена с тенденцией к слиянию лимфоузлов; сведений о первичной опухоли нет
2. Саркоидоз:
• Может проявляться так же, как и лимфома: гепатоспленомегалией, множественными гиподенсными узлами в печени/селезенке и лимфаденопатией
3. Инфекции:
• Туберкулез, ВИЧ и другие инфекции могут стать причиной лимфаденопатии
• При оппортунистических инфекциях могут появляться мелкие гиподенсные узелки в печен и/селезенке
4. Первичные злокачественные новообразования внутренних органов:
• Аденокарциномы желудка/кишечника вызывают более локальное утолщение стенки и сужение просвета, приводя к обструкции
• Выраженная лимфаденопатия не характерна для первичных злокачественных опухолей ЖКТ, печени, селезенки, поджелудочной железы и др.
5. Метастатическое поражение различных органов:
• Нет данных о первичной опухоли какого-либо органа в анамнезе пациентов с лимфомой
г) Патология:
1. Общая характеристика:
• Этиология:
о НХЛ и лимфома Ходжкина чаще возникают у пациентов с первичной вирусной инфекцией (Эпштейна-Барр)
о Хеликобактерная инфекция играет роль в возникновении MALT-лимфомы желудка
• Ассоциированные патологические изменения:
о При снижении иммунитета (СПИД, трансплантация органов)
- Выраженное увеличение распространенности НХЛ
2. Стадирование, градация и классификация лейкемии и лимфомы:
• Первичная лимфома: ограниченное поражение единственного органа ± окружающих лимфоузлов
• Вторичная лимфома: поражение отдаленных лимфоузлов или более чем одного органа
• Стадирование в соответствии с классификацией Ann-Arbor:
о Стадия I: поражение лимфоузлов одной области (I) или локальное поражение единственного нелимфатического органа или ткани (IE)
о Стадия II: поражение лимфоузлов двух и более областей на одной стороне от диафрагмы (II) ± локальное поражение единственного не лимфатического органа (НЕ)
о Стадия III: поражение лимфоузлов различных областей по обе стороны диафрагмы (III) ± локальное поражение не лимфатического органа или ткани (IIIE), селезенки (IMS), или обоих (IIISE)
о Стадия IV: диссеминированное/множественное поражение одного и более нелимфатических органов ± поражение лим-фоузлов/изолированное поражение нелимфатического органа с поражением отдаленных (не регионарных) лимфоузлов
• Классификация лимфомы Ходжкина:
о «Классическая» лимфома (нодулярный склероз, смешанная целлюлярность, лимфоцитоз или лимфоцитопения)
о Лимфома Ходжкина с лимфогистиоцитарным преобладанием
д) Клинические особенности:
1. Проявления изменений брюшной полости при лейкозе и лимфоме:
• Наиболее частые признаки/симптомы:
о Боли в животе, тошнота, рвота, потеря веса, лихорадка, увеличение внутренних органов, пальпируемая лимфаденопатия
о Лабораторные данные: анемия, лейкопения, томбоцитопения из-за инфильтрации костного мозга/поражения селезенки
2. Демография:
• Возраст:
о Риск возникновения НХЛ увеличивается с возрастом:
- Средний возраст: 65 лет
о При лимфоме Ходжкина два пика заболеваемости (20-29 лет и >55 лет)
• Эпидемиология:
о Лимфома находится на пятом месте по частоте среди злокачественных новообразований в США, является причиной смерти от опухолей в 5% случаев
о 88% НХЛ и 12% лимфомы Ходжкина
о Внеузловые поражения более часты при НХЛ (20-40%), чем при лимфоме Ходжкина (4-5%)
3. Течение и прогноз:
• Лимфома Ходжкина: обычно поддается лечению
• НХЛ: прогноз зависит от типа и стадии заболевания:
о В целом прогноз хуже, чем при лимфоме Ходжкина
4. Лечение изменений брюшной полости при лейкозе и лимфоме:
• Зависит от стадии опухоли, гистотипа, симптоматики, общего состояния и возраста пациента, сопутствующих заболеваний:
о Хирургическое лечение при изолированном вовлечении одного органа; спленэктомия при вероятном изолированном поражении селезенки при торакальной форме лимфомы Ходжкина
о Лучевая терапия, химиотерапия (моно-/комбинированная), ритуксимаб (моноклональные антитела к CD20), пересадка костного мозга во всех случаях в зависимости от типа лимфомы
е) Диагностическая памятка:
1. Cabral FC et al: Peritoneal lymphomatosis: CTand PET/СТ findings and how to differentiate between carcinomatosis and sarcomatosis. Cancer Imaging. 13:162-70, 2013
а) Терминология:
1. Аббревиатура:
• Посттранспантационное лимфопролиферативное заболевание (ПТЛЗ)
2. Определение:
• Неоднородная группа лимфопролиферативных заболеваний, возникающих в результате трансплантации (органа или стволовых клеток), проявления которых варьируются от гиперплазии лимфоидной ткани до явного злокачественного образования
1. Общая характеристика:
• Локализация:
о Внеузловое поражение (80%) более распространено, чем изменения со стороны лимфоузлов (20%):
- В отличие отлимфомы в целом в популяции, при которой преобладают поражения лимфоузлов
о Может иметь любую локализацию, но наиболее частыми являются легкие, ЖКТ, ЦНС:
- Место проявления зависит от пересаженного органа
- Брюшная полость поражается наиболее часто (до 50% всех случаев)
- Могут поражаться аллотрансплантаты почки и печени:
Согласно данным некоторых исследований, при ПТЛЗ могут поражаться преимущественно аллотрансплантаты почки и печени
2. Рекомендации по визуализации:
• Лучший метод визуализации:
о КТ с контрастным усилением для первичного диагноза
о ПЭТ/КТ с целью стадирования и контроля
(Слева) При аксиальной нативной КТ у пациента с трансплантатом почки визуализируются большие дольчатые объемные образования в подмышечной области слева, представляющие собой значительно увеличенные подмышечные лимфатические узлы.
(Справа) При аксиальной нативной КТ у этого же пациента визуализируются в значительной степени атрофически измененная собственная почка и правый надпочечник или забрюшинное объемное образование, обусловленное ПТЛЗ пациента. При ПТЛЗ может поражаться практически любой орган или группа лимфоузлов в организме, и любое мягкотканное объемное образование у реципиента трансплантата необходимо считать подозрительным на ПТЛЗ. (Слева) При аксиальной нативной КТ у пациента с трансплантированной почкой определяются объемные образования обоих надпочечников.
(Справа) На более каудальном аксиальном нативном КТ срезе у этого же пациента визуализируется трансплантат почки в правой подвздошной ямке. Имеет место также массивная тазовая лимфаденопатия. И лимфаденопатия, и объемные образования надпочечников являются проявлениями ПТЛЗ. (Слева) При аксиальной КТ с контрастным усилением у пациента с пересаженной печенью определяется большое объемное образование в трансплантате печени, которое окружает воротную вену и желчные протоки. Селезенка также вовлечена в процесс, что проявляется спленомегалией и множеством мелких гиподенсных узелков.
(Справа) При аксиальной КТ с контрастным усилением у этого же пациента выявлены увеличенные портакавальные лимфоузлы и лимфоузлы в воротах печени, представляющие собой проявления ПТЛЗ. Обратите внимание на билиарный стент, установленный с целью коррекции выраженного сдавливания общего желчного протока увеличенными лимфоузлами и объемным образованием печени.
3. КТ при посттрансплантационном лимфопролиферативном заболевании:
• Изменения при ПТЛЗ аналогичны таковым при неходжкинской лимфоме (НХЛ) у иммунокомпетентных пациентов
• ЖКТ:
о Тонкая кишка (дистальные > проксимальные отделы) > толстая кишка > желудок > двенадцатиперстная кишка > пищевод
о Изменения аналогичны таковым при НХЛ у пациентов с нормальным иммунным статусом:
- Опухолевидное утолщение стенки кишки (наиболее часто) с аневризматическим расширением просвета
- Доминирующее полиплоидное образование (часто с изъязвлением) или множественные подслизистые узлы
- Может проявляться инвагинацией
о В отличие от лимфомы в общей популяции, при данном заболевании в значительной степени превалирует язвообразование и перфорация стенки кишки:
- Спонтанная перфорация может быть первым симптомом ПТЛЗ
• Печень:
о Наиболее часто поражающийся паренхиматозный орган брюшной полости
о Некоторые возможные проявления:
- Чаще всего одиночное либо множественные объемные образования низкой плотности, слабо усиливающиеся при контрастировании:
Размер поражения от нескольких мм до нескольких см
- Диффузная или «географическая» инфильтрация печени без локальных поражений (печень выглядит так же, как при жировой инфильтрации)
- Отдельно лежащее объемное образование в воротах печени (в некоторых случаях с распространением в желчные протоки или желчный пузырь):
Проявление, типичное для ПТЛЗ (нетипично для лимфомы у иммунокомпетентных пациентов)
• Селезенка:
о Селезенка поражается в 30-40% случаев (особенно часто после трансплантации печени)
о Вероятные проявления:
- Спленомегалия (самое частое) ± дискретные поражения паренхимы
- Поражения паренхимы обычно множественные, низкой плотности, вариабельного размера
о Спонтанный разрыв-одно из возможных осложнений
• Почки:
о Самая частая локализация у реципиентов трансплантатов почки, при которой может поражаться как собственная почка, так и аллотрансплантат
о Поражение аллотрансплантата почки:
- Неоднородное объемное образование вокруг сосудов в области ворот
- Мультифокальные объемные образования в паренхиме
о Поражение собственной почки:
- Практически всегда одностороннее
- Дискретное поражение паренхимы округлой формы, не усиливающееся при контрастировании
- Диффузное инфильтративное заболевание с увеличением почек
• Надпочечники:
о Надпочечники поражаются в 5%
о Диффузная инфильтрация с увеличением надпочечников или отдельно лежащее однородное, не усиливающееся при контрастировании объемное образование
• Поджелудочная железа:
о Редкие проявления ПТЛЗ, указания на которые в литературе есть только для панкреатических аллотрансплантатов (не для собственной железы)
о Диффузное увеличение поджелудочной железы, симулирующее острый панкреатит
о Локальное, не усиливающееся при контрастировании объемное образование в поджелудочной железе, симулирующее рак:
- Нет расширения панкреатического протока или атрофии паренхимы железы
• Поражение лимфоузлов:
о Вовлечение внутрибрюшных лимфоузлов только в 15-20%:
- Не так часто, как при лимфоме у иммунокомпетентных пациентов
- Поражение лимфоузлов обычно наблюдается параллельно с внеузловыми проявлениями
о Забрюшинные лимфоузлы > брыжеечные лимфоузлы
о Солитарные увеличенные лимфоузлы с однородной структурой или конгломерат увеличенных лимфатических узлов
4. Рентгеноскопия:
• Внутрипросветное изъязвление (поражения в виде «мишени» или «бычьего глаза»)
• Аневризматическая дилятация просвета кишки
• Внутрипросветный полиповидный дефект наполнения
5. Радионуклидная диагностика:
• ПЭТ/КТ:
о Может выявить признаки заболевания, даже если таковые не определяются при КТ (включая накопление РФП в лимфоузлах нормального размера)
о Метод полезен для контроля после лечения:
- Позволяет отличить «активную» часть опухоли после операции от окружающей ее соединительной ткани, не содержащей активные клетки опухоли
о Важное значение ПЭТ/КТ также во многом обусловлено возможностью выявления лимфомы у иммунокомпетентных пациентов
о Может быть более эффективным методом в диагностике и стадировании моноклонального ПТЛЗ по сравнению с поликлональной формой
в) Дифференциальная диагностика изменений брюшной полости при посттрансплантационном лимфопролиферативном заболевании:
1. Рецидивное или вновь возникшее злокачественное новообразование:
• Пациенты с уже известными злокачественными опухолями после трансплантации подвержены риску рецидива:
о Например, пересадка печени-фактор риска рецидива гепатоцеллюлярной карциномы
• Ранее вялотекущие или не выявленные опухоли могут увеличивать темпы роста на фоне иммуносупрессивной терапии:
о Реципиенты трансплантатов подвержены повышенному риску возникновения рака различных локализаций:
- Кожа и губы (плоскоклеточный рак): составляют около 40% всех злокачественных новообразований у реципиентов трансплантатов
- Рак вульвы, шейки и тела матки
- Саркома Капоши (6% случаев)
- Почечноклеточный рак (собственной почки или аллотрансплантата)
2. Оппортунистические инфекции кишечника:
• Могут приводить к утолщению кишечной стенки, но не к возникновению отдельно лежащего объемного образования
• Могут обусловливать умеренно выраженную лимфаденопатию
3. Оппортунистические инфекции печени и селезенки:
• Микроабсцессы печени и селезенки:
о Чаще всего обусловлены грибковой инфекцией, например кандидозом
о Множественные мелкие гиподенсные узелки при КТ с контрастным усилением могут быть похожи на одно из возможных проявлений ПТЛЗ
1. Общая характеристика:
• Этиология:
о Большая часть случаев обусловлена пролиферацией В-лимфоцитов в результате инфицирования вирусом Эпштейна-Барр (ВЭБ):
- Иммуносупрессия (со снижением Т-клеточного ответа) приводит к бесконтрольной пролиферации инфицированных ВЭБ В-лимфоцитов
о Патогенез ПТЛЗ, не обусловленного вирусом Эпштейна-Барр, неизвестен:
- Составляет примерно 30% всех случаев ПТЛЗ
о Факторы риска:
- Первичное инфицирование ВЭБ
- Трансплантация от серопозитивного донора к серонегативному рецепиенту
- Цитомегаловирусная инфекция
- Возраст: детский или старше 60 лет
- Значительное снижение иммунитета (может быть связано с приемом определенных лекарственных препаратов):
Наибольший риск ПТЛЗ в первый год после трансплантации, когда иммуносупрессия выражена в наибольшей степени
о Может иметь место у реципиентов:
- Аллогенная трансплантация целого органа
- Аллогенная трансплантация стволовых гемопоэтических клеток
2. Стадирование, градация и классификация посттрансплантационного лимфопролиферативного заболевания:
• Гиперпластические (ранние) поражения:
о Поликлональная пролиферация В-лимфоцитов без явных признаков злокачественности
о Симптомы похожи на таковые при острой вирусной инфекции
• Полиморфные поражения:
о Имеются признаки злокачественности, но они не удовлетворяют критериям, необходимым для постановки диагноза «классической» лимфомы у иммунокомпетентных пациентов
• Мономорфные (лимфоматозные) поражения:
о Явные изменения злокачественного характера, которые могут быть описаны с использованием стандартной номенклатуры разновидностей лимфомы:
- В-клеточный тип (самый частый)
- Т-клеточный тип (составляет 14% всех случаев)
- NK-клеточный тип
• Другие лимфопролиферативные заболевания (например, лимфома Ходжкина)
1. Проявления посттрансплантационного лимфопролиферативного заболевания:
• Наиболее частые признаки/симптомы:
о Многие пациенты не имеют симптоматики на ранних стадиях
о Лихорадка, ночная потливость, потеря веса, утомляемость
о Симптомы со стороны ЖКТ, нарушение функции трансплантата
о Лабораторные данные: значительное повышение вирусной нагрузки (ВЭБ), анемия, тромбоцитопения, лейкопения
2. Демография:
• Эпидемиология:
о Частота зависит от типа трансплантата:
- Реципиенты множественных висцеральных трансплантатов (13-33%)
- Трансплантат кишечника (7-11%)
- Трансплантат сердца и легкого (10%)
- Трансплантат легкого (2%)
- Трансплантат сердца (3-4%)
- Трансплантат печени (2%)
- Трансплантат почки (1 %)
о Наибольшее количество случаев заболевания наблюдается в первый год после трансплантации (около 80% всех случаев ПТЛЗ)
3. Течение и прогноз:
• Несмотря на разнообразное лечение, смертность по-прежнему высока:
о Выживаемость составляет 25-35%
о Наибольшая смертность при моноформном ПТЛЗ
4. Лечение посттрансплантационного лимфопролиферативного заболевания:
• Коррекция иммунносупресии при ранних поликлональных поражениях:
о Восстановление иммунного ответа в большинстве случаев может привести к отторжению измененных тканей при раннем ПТЛЗ так же, как и самого трансплантата
о У некоторых пациентов иммуноподавляющие средства могут быть отменены без возникновения отторжения
о Больше подходит для лечения полиморфного ПТЛЗ, нет практически никакого эффекта при мономорфном ПТЛЗ
• Другие способы:
о Антивирусные средства, такие как ацикловир (при раннем поликлональном заболевании)
о Химиотерапия (CHOP-наиболее часто используемый режим)
о Ритуксимаб (препарат моноклональных антител к рецептору CD20)
о Местная лучевая терапия
е) Диагностическая памятка. Следует учесть:
• Любой лимфоузел мягкотканной плотности или внутренностное объемное образование у реципиента трансплантата должно рассматриваться как ПТЛЗ, пока не доказано обратное
ж) Список использованной литературы:
1. Takehana CS et al: (18)F-FDG PET/CT in the management of patients with post-transplant lymphoproliferative disorder. Nud MedCommun. 35(3):276-81,2014
Лимфома брюшной полости
Лимфома брюшной полости – это разновидность рака крови, связанная с появлением патологических лимфоцитов Т или В группы. В норме лимфоциты участвуют в формировании гуморального звена иммунитета, вырабатывают антитела и защищают наш организм от инфекционных и онкологических заболеваний. Атипичные лимфоциты делятся быстрее, чем нормальные клетки и продолжительность их жизни дольше. В результате образуются скопления патологических клеток в лимфоидной ткани (лимфатических узлах, селезенке, костном мозге).
Типы лимфом
Выделяют 2 основных типа:
- Ходжкинская. К ней относится 6 типов, общим для которых является наличие клеток Рида-Штернберга.
- Неходжкинская . Встречаются чаще. Известна 61 разновидность этого типа. Отличительная особенность – отсутствие клеток Рида-Штернберга.
Симптомы
Среди общих симптомов выделяют:
- увеличение групп лимфатических узлов, как правило, безболезненных;
- необъяснимая потеря в весе;
- лихорадка;
- повышенное ночное потоотделение;
- слабость, быстрая утомляемость.
Среди симптомов лимфомы брюшной полости можно отметить:
- пальпируемое образование в брюшной полости, при сдавлении кишечника увеличенными лимфоузлами могут развиться симптомы кишечной непроходимости;
- чувство переполнения желудка после приема небольшого количества пищи;
- увеличение селезенки;
- боль в животе, тошнота, уменьшение аппетита;
- при поражении лимфоузлов стенки кишечника может развиться перфорация (нарушение целостности стенки кишки) с последующим перитонитом;
- вздутие живота, асцит (скопление жидкости в брюшной полости).
При снижении количества тромбоцитов, эритроцитов и лейкоцитов развиваются:
- кровотечения;
- кровоподтеки;
- анемия;
- слабая сопротивляемость инфекционным заболеваниям.
Все эти симптомы не означают, что у Вас обязательно рак, но они служат сигналом для обращения к врачу-специалисту.

Диагностика. лечение
Для постановки правильного диагноза важно выяснить семейный анамнез, случаи рака крови среди близких родственников. При осмотре обращают внимание на увеличенные лимфоузлы, проводят пальпацию селезенки и печени.
Существует несколько типов биопсий.
Эксцизионная – удаление всего лимфоузла для последующего гистологического исследования. При подозрении на болезнь может быть выполнена лапароскопически.
Пункционная биопсия – доктор использует очень тонкую, полую иглу, приложенную к шприцу, чтобы аспирационно набрать небольшое количество ткани. При расположении опухоли глубоко, пункционная биопсия проводится под контролем КТ (компьюторного томографа) или ультразвука. При асците выпот из брюшной полости направляют на цитологическое исследование.
Для определения стадии и степени распространенности патологического процесса применяется биопсия костного мозга.
Все образцы смотрит под микроскопом патолог (доктор со специальной подготовкой в обнаружении раковых клеток), он изучает размер и форму клеток и определяет наличие проблемы.
Для определения вида лимфомы используются дополнительные методы исследования:
- иммунногистохимическое исследование образца, полученного при биопсии;
- поточная цитометрия;
- цитогенетическое тестирование;
- флуоресцентная гибридизация;
- ПЦР (полимеразно-цепная реакция) позволяет обнаружить атипичные клетки даже в очень маленьких количествах);
- всем пациентам выполняется клинический анализ крови с подсчетом все клеток крови (эритроциты, тромбоциты, лейкоциты и их фракции), уровня гемоглобина;
- проводится обследование на гепатиты В, С, ВИЧ-инфекцию, так как при данных заболеваниях лимфома развивается чаще;
- из инструментальных методов обследования применяют рентгенографию грудной клетки, КТ (компьютерная томография), МРТ, ультразвуковое исследование, ПЭТ (позитрон-эмиссионная томография) – метод основан на поглощении радиоактивного вещества раковыми клетками более интенсивно, чем нормальными.
Инструментальные методы исследования используются не только для диагностики, но и для оценки эффективности лечения. С целью лечения проводятся:
Читайте также:
- Диагностика лекарственной тромбоцитопенической пурпуры - лечение
- Дисфункция яичников: причины, симптомы и лечение
- Строение сперматозоидов. Структура сперматозоидов
- Клиника ГЛПС. Поражение печени при геморрагической лихорадке с почечным синдромом
- Диагностика нарушений менструального цикла. Психоневрозы и дисменореи
