КТ, МРТ, ПЭТ при меланоме
Добавил пользователь Евгений Кузнецов Обновлено: 30.01.2026
Наблюдение направлено на своевременное выявление рецидива и проводится с определенной периодичностью. В случае меланомы кожи наблюдение включает в себя:
- осмотр врача — онколога с тщательной оценкой состояния кожных покровов и лимфатических узлов;
- выполнение визуализационных исследований — в зависимости от стадии заболевания и вида проведенного лечения это может быть: ультразвуковое исследование (УЗИ), компьютерная томография (КТ), магнитно — резонансная томография (МРТ), позитронно — эмиссионная томография, совмещенная с КТ (ПЭТ/КТ).
От чего зависит характер наблюдения и как часто оно проводится?
На всех стадиях важен самостоятельный осмотр кожи пациентом — на ранних стадиях это наиболее простой и эффективный способ выявления рецидивов меланомы, а также сателлитных и транзитных метастазов (метастазы меланомы за пределами первичного очага). Характер наблюдения зависит от стадии и степени риска рецидива болезни.
При IA стадии заболевания проводится:
- осмотр врача-онколога проводится каждые шесть месяцев в первые три года наблюдения, далее — один раз в год
При IB — IIВ стадии заболевания:
— осмотр врача — онколога проводится каждые три месяца
— УЗИ регионарных (ближайших к месту ранее существовавшей у пациента меланомы) лимфатических узлов каждые шесть месяцев в течение первых трех лет наблюдения, далее — при наличии симптомов, которые указывают на возможный рецидив болезни.
— При наличии симптомов, указывающих на возможный рецидив или прогрессирование болезни у пациентов с указанными стадиями, врачом-онкологом может быть назначено дополнительное обследование — КТ, МРТ, ПЭТ/КТ.
При IIC — IIIC стадиях заболевания проводится:
- осмотр врача-онколога каждые три месяца
- УЗИ регионарных лимфатических узлов каждые три месяца в течение первых трех лет наблюдения органов грудной клетки, брюшной полости и малого таза каждые шесть месяцев в течение первых пяти лет наблюдения.
Наблюдение при IV стадии заболевания (лекарственная терапия по поводу отдаленных метастазов меланомы) принимает характер контрольного обследования и направлена на оценку эффективности проводимого лекарственного противоопухолевого лечения. В рамках контрольного обследования могут выполняться компьютерная томография, магнитно-резонансная томография, позитронно-эмиссионная томография в режиме «все тело».
Как проводится наблюдение после лечения увеальной меланомы?
Пациенты, получившие лечение в объеме энуклеации (удаления глаза) по поводу увеальной меланомы подвергаются контрольным осмотрам офтальмолога и онколога:
- через 1-2 недели после операции для оценки состояния заживления.
- в 6 месяцев
- 12 месяцев
- в дальнейшем ежегодно
Осмотр касается глазницы и век и направлен на выявление возможных рецидивов или осложнений проводимого лечения.
Пациенты, получившие лучевую терапию, подвергаются полному офтальмологическому обследованию леченного глаза, которое включает:
- непрямую офтальмоскопию
- осмотр с помощью щелевой лампы
- тонометрия
- цветная фундус-фотографией
- измерение остроты зрения и поля зрения
Офтальмологическое исследование дополняется проведением МРТ тканей глаза через 6 недель после лечения, далее в 3 и 6 месяцев после проведенного лечения, далее — каждые 6 месяцев.
Единого мнения о необходимой периодичности контрольного обследования при наблюдении после лучевой терапии увеальной меланомы нет.
- Чаще всего оно проводится в течение первых шести недель после лечения, далее — каждые шесть месяцев в течении пяти лет, затем — ежегодно.
- При подозрении на рецидив или продолженный рост увеальной меланомы, кратность контрольных осмотров в рамках наблюдения увеличивается.
Меланома слизистых оболочек
Данные об оптимальном сроке и характере наблюдения после лечения по поводу меланомы слизистых оболочек внутренних органов отсутствуют, поэтому чаще всего применяются те же подходы, что для меланомы кожи.
КТ, МРТ, ПЭТ при меланоме
Меланома - лучевая диагностика
а) Терминология:
• Злокачественная опухоль из меланоцитов, локализующаяся в кожных покровах; характеризуется асимметричностью, неровным контуром, неоднородным цветом и диаметром >6 мм
б) Визуализация:
• Первичные опухоли подвергаются исследованию методами лучевой диагностики лишь в редких случаях
• При МРТ и УЗИ выполняется оценка сателлитных (менее чем в 2 см от первичного очага) и транзитных метастазов
• ПЭТ/КТ с F-18 ФДГ позволяет исследовать все тело с целью стадирования опухоли:
о Оценка кожных покровов при ПЭТ осуществляется без использования коррекции аттеннуации
• КТ превосходит ПЭТ по возможностям выявления в легких метастазов размером • Первичные опухоли и метастазы в мягких тканях при КТ проявляются объемными образованиями, изоденсными по сравнению с мышцами
• МРТ:
о Изоинтенсивный сигнал при МРТ по сравнению с мышцами на Т1 ВИ ± гиперинтенсивный сигнал вследствие парамагнитного эффекта меланина
- Метастазы часто характеризуются наличием кровоизлияний, проявляющихся гиперинтенсивным сигналом на Т1 ВИ
о Гомогенный или гетерогенный сигнал различной интенсивности по сравнению с мышцами на Т2 ВИ
• В костях обычно выявляют литические метастазы, но также могут быть обнаружены склеротические или смешанные
• УЗИ: гипоэхогенное образование с четким контуром под эхогенным эпидермисом ± акустическая тень
(Слева) Фотография меланомы. Образование на кожных покровах с асимметричностью, неровным контуром, неоднородным цветом и размером >6 мм. При первичной биопсии берут небольшой образец ткани образования во избежание нарушения оттока лимфы, которое впоследствии может помешать поиску сторожевого лимфатического узла.
(Справа) При МРТ заднего отдела стопы в коронарной плоскости на Т1ВИ в коже латеральной части пяточной области визуализируется выступающее наружу образование, которое характеризуется изоинтенсивным сигналом по сравнению с мышцами. (Слева) У этой же пациентки при МРТ в коронарной плоскости на Т2ВИ в режиме FS данное обра -зование характеризуется гиперинтенсивным сигналом по сравнению с мышцами. Лучевая картина неспецифична.
(Справа) У этой же пациентки при МРТ с контрастным усилением в коронарной плоскости на Т1ВИ в режиме FS визуализируется гетерогенное контрастирование образования, соответствующего по данным биопсии меланоме. Эта пациентка 85 лет поступила в хирургическое отделение по причине изъязвления опухоли. Хотя образование и достигло крупного размера, в биоптате полученном из сторожевого лимфатического узла опухолевые клетки найдены не были.
в) Клинические особенности:
• В США риск развития меланомы составляет 1:55
• В большинстве случаев меланомы возникают de novo
• Метастазы могут выявляться в любой области тела
г) Диагностическая памятка:
• В целях стадирования важно знать количество и локализацию подозрительных лимфатических узлов
• В протоколе следует указывать размер и топографию сателлитных и транзитных метастазов, что облегчит их резекцию
КТ, МРТ, УЗИ брюшной полости при меланоме
а) Определение:
• Разнообразные метастатические поражения при диагностированной или не выявленной злокачественной меланоме
б) Визуализация:
1. Общая характеристика:
• Локализация:
о Уникальная предрасположенность к метастазированию нетипичной локализации: (желчный пузырь, тонкая кишка, селезенка, подкожная клетчатка и др.):
- Может давать метастазы любой локализации или только нетипичные
- Отдаленные метастазы зависят от местоположения первичной опухоли:
Меланома нижних конечностей часто метастазирует в органы таза
Меланома глаза чаще всего метастазирует в печень
о Наиболее часто метастазы локализуются в: коже, лимфатических узлах (75%), легких (70%), печени (58%), ЦНС (54%), ЖКТ (40%)
о В брюшной полости поражаются чаще всего: печень и тонкая кишка
2. Рекомендации по визуализации:
• Лучший метод визуализации:
о ПЭТ/КТ («от головы до пяток»), диагностическое КТ-обследование всего тела с контрастным усилением

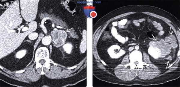
(Слева) При аксиальной КТ с контрастным усилением определяется объемное образование, интенсивно накапливающее контраст, неоднородной, дольчатой структуры в левом надпочечнике у пациента с меланомой, пролеченного десять лет назад. Путем биопсии было установлено, что данное образование является метастатической меланомой.
(Справа) При аксиальной КТ с контрастом выявлено несколько отдельно лежащих объемных образований неоднородной, дольчатой структуры, расположенных в околопочечных тканях у пациента с меланомой. Метастазы меланомы имеют уникальную предрасположенность к поражению околопочечных тканей.
3. КТ брюшной полости при меланоме:
• Лимфатические узлы:
о Первично поражаются обычно регионарные лимфоузлы, затем происходит дальнейшее распространение опухоли лимфогенным путем:
- Необходимо уделять особое внимание исследованию лимфатических узлов, расположенных недалеко от основной опухоли
- Внутрибрюшные лимфатические узлы поражаются в 30% случаев
о Вторично измененные лимфоузлы могут увеличиваться и изменять свой внешний вид (повышение степени контрастного усиления, отсутствие ворот «жировой» плотности, неровные края):
- Пораженные лимфоузлы увеличены в размерах, в их структуре могут быть кровоизлияния
- Редко в лимфоузлах может выявляться центральный некроз с периферическим «кольцом» контрастного усиления
• Печень:
о Наиболее часто поражаемый внутренний орган:
- В частности, при меланоме глаза. Метастазы меланомы данной локализации могут возникать спустя годы после установления диагноза первичной опухоли
о Единичное или множественные поражения различного размера ± обызвествления:
- Могут интенсивно усиливаться в артериальную фазу
- Большая часть (86%) поражений выглядят гиподенсными в портально-венозную фазу
• Желудочно-кишечный тракт:
о Может поражаться любой отдел ЖКТ, но чаще всего -тонкая кишка (75% случаев)
о Может проявляться в виде единичного или множественных поражений, часто с центральным некрозом и изъязвлением
о Может приводить к аневризматическому расширению просвета кишки
о Метастазы меланомы в ЖКТ могут становиться причиной тонкокишечной инвагинации
о «Мягкая» опухоль обычно не вызывает обструкцию
• Поражение брыжейки:
о Единичный или множественные узлы различного размера, помутнение брюшины/сальника с наличием узловых изменений, асцит
о При неизвестном первичном заболевании меланому необходимо включать в дифференциально-диагностический ряд при обнаружении крупного единичного объемного мягкотканного образования брюшины
• Желчный пузырь:
о Меланома очень часто метастазирует в желчный пузырь
о Маленький, плоский узел субэпителиальной локализации постепенно развивается в отдельное полиповидное объемное образование
• Поджелудочная железа:
о Перипанкреатические узлы могут быть ошибочно приняты за объемное образование поджелудочной железы
о Единичный или множественные узлы, усиливающиеся при КТ с контрастным усилением
о Могут выглядеть гиперваскулярными в артериальную фазу и симулировать нейроэндокринную опухоль
• Селезенка:
о Меланома — частый источник метастазов в селезенке
о Множественные, четко не отграниченные, гиподенсные поражения или «кистозные» изменения с четко очерченными контурами (обычно содержащие также солидный компонент)
• Почки:
о Уникальная предрасположенность к околопочечным тканям:
- Большое изолированное объемное образование в околопочечном пространстве должно наводить на мысль о меланоме
- Могут поражаться почки, мочевой пузырь или собирающая система (почек)
о Единичное или множественные поражения различного размера, которые могут выглядеть солидными либо «кистозными» (но никогда не выглядят как простая киста)
• Надпочечники:
о Вторичные поражения надпочечников при меланоме неотличимы от метастазов других опухолей на изображениях:
- Обычно гиподенсные, дольчатые, неоднородные по структуре
о Может возникать надпочечниковая недостаточность (болезнь Адиссона) в результате деструкции железы

(Слева) На КТ с контрастным усилением в корональной плоскости определяется усиливающееся при контрастировании объемное образование в мочевом пузыре. Обратите внимание также на гиперденсную зону в уретре, накопившую контраст. Все эти изменения являются проявлениями метастатической меланомы. Поражение мочевого пузыря неотличимо от первичной опухоли без анамнеза заболевания.
(Справа) При аксиальной КТ с контрастным усилением выявлено накапливающее контраст объемное образование в желчном пузыре. В анамнезе - меланома, и это поражение медленно увеличивается в размерах с течением времени. Меланома - самая частая причина метастазов в желчном пузыре.
4. МРТ брюшной полости при меланоме:
• Т1-ВИ:
о Гиперинтенсивный сигнал от печени (из-за содержания меланина):
- Практически уникальный признак метастазов меланомы
- Беспигментная меланома может давать гилоинтенсивный сигнал на Т1
- Гиперинтенсивный на Т1-ВИ сигнал могут давать метастазы других опухолей, содержащие жир или кровоизлияния
• Т2-ВИ:
о Гиперинтенсивный сигнал от печени: аналогично метастазам других опухолей
• Т1-ВИ с контрастным усилением:
о Могут быть признаки повышенного накопления контраста в артериальную фазу
о Большинство метастазов заметны лучше всего в портально-венозную фазу
5. УЗИ брюшной полости при меланоме:
• Метастазы в печени:
о Единичные либо множественные гипоэхогенные поражения различного размера
• Метастазы в желчном пузыре:
о Единичные или множественные объемные образования, прикрепляющиеся к стенке широким основанием; «классические» метастазы гиперэхогенны, однако чаще встречаются гипоэхогенные
о Гиперваскуляризация при цветном доплеровском картировании
6. Рентгеноскопия:
• Верхние отделы ЖКТ:
о Единичный/множественные четко отграниченные дефекты наполнения в стенке желудка или кишки:
- Поражения в виде «бычьего глаза» или «мишени» (с вдавлением в центре): объемное образование со скоплением бария в центре
о Метастазы могут проявляться как подслизистые узлы, полиповидное образование или внутрипросветный узел на ножке о Обычно вызывают сужение просвета, но могут быть причиной аневризматического расширения, не отличимого от такового при лимфоме
7. Радионуклидная диагностика:
• ПЭТ/КТ:
о Повышение накопления ФДГ в местах локализации меланомы
о Точность выше, чем при КТ или ПЭТ в отдельности:
- При ПЭТ часто выявляются метастазы нетипичной локализации, которые трудно определить на КТ
- Используется для контроля рецидивов
• Лимфосцинтиграфия:
о Внутрикожная инъекция (возле опухоли) наноколлоида, меченного технецием - 99m
о Позволяет составить «карту» дренажной системы лимфы, на которую можно ориентироваться во время операции

(Слева) На аксиальной МР томограмме (Т1-ВИ) визуализируются множественные метастазы, дающие характерный гипоинтенсивный сигнал на Т1-ВИ, обусловленный высоким содержанием меланина в них. В похожих случаях, метастазы, содержащие жир или кровь, также могут выглядеть гиперинтенсивными на Т1-ВИ.
(Справа) В верхних отделах ЖКТ определяются «классические» поражения в виде «бычьего глаза», представляющие собой мелкие внутристеночные объемные образования с изъязвлением в центре. Лимфома и саркома Капоши также могут проявляться схожими изменениями.
в) Дифференциальная диагностика брюшной полости при меланоме:
1. Лейкемия и лимфома:
• Могут давать распространенную лимфаденопатию
• Поражение кишечника может быть таким же, как при меланоме: поражение в виде «бычьего глаза» и аневризматическое расширение просвета
2. Метастазы других первичных опухолей:
• Метастазы меланомы могут быть похожи на другие гиперваскулярные метастазы: гепатоцеллюлярная карцинома, нейроэндокринная опухоль, карциноид, почечноклеточный рак
3. Первичные злокачественные новообразования ЖКТ:
• Могут проявляться циркулярным сужением, но аневризматическое расширение просвета нехарактерно
• Могут вызывать обструкцию кишечника (нетипично для меланомы)
4. Саркома Капоши:
• Распространенная лимфаденопатия с множественными узловыми поражениями печени или кишечника (часто в виде «мишени»)
• Может проявляться как меланома, но наиболее часто встречается у пациентов со СПИДом и поражением кожи/слизистых
г) Патология:
1. Общая характеристика:
• Этиология:
о Развивается из меланоцитов (формирующихся их клеток нервного гребня во время эмбриогенеза)
о В большинстве случаев меланомы возникают из доброкачественных невусов кожи:
- Могут возникать в глазах и в слизистых оболочках других органов
- Первичная опухоль не определяется приблизительно в 3% случаев, когда изначально выявляются только метастазы
о Воздействие ультрафиолетовых лучей - самый важный фактор, обусловливающий развитие опухоли
• Генетические изменения:
о Множественные мутации генов, в т.ч. CDKN2A/p16, обусловливают около 40% семейных случаев меланомы
2. Стадирование, градация и классификация меланомы:
• Клиническое стадирование:
о I: локализованная меланома, нет метастазов (78%)
о II: поражение регионарных лимфоузлов (18%)
о III: отдаленные метастазы (4%)
• Стадирование по Бреслау (Breslow):
о Тонкая: глубина о Средняя: глубина 0,76-3,99 мм (метастазирует в 50%)
о Толстая: глубина >4 мм (в 84% приводит к метастазам)
• Классификация TNM:
о Т1: о N0: нет поражения лимфатических узлов; N1: один пораженный лимфоузел; N2: два или три пораженных лимфоузла; N3> 4 пораженных лимфоузла
о М0: нет метастазов; М1: отдаленные метастазы
о Стадия I: Т1 или Т2а, N0M0; стадия II: T2b-T4b, N0M0; стадия III: N1-N3; стадия IV: отдаленные метастазы (М1)
д) Клинические особенности:
1. Проявления меланомы брюшной полости:
• Наиболее частые признаки/симптомы
о Отсутствие симптоматики или легкая боль в животе
о Тошнота, рвота, отсутствие аппетита при поражении ЖКТ
- Особенно при инвагинации или обструкции
2. Демография:
• Возраст:
о Риск возрастает с возрастом
о Третье наиболее часто встречающееся онкологическое заболевание у молодых взрослых
• Пол:
о Немного чаще у мужчин, у них также выше уровень смертности
• Эпидемиология:
о Меланома составляет 1 % всех опухолей у взрослых О Риск возникновения меланомы в течение жизни реализуется у одного из 75 человек в США
о Количество случаев заболевания меланомой увеличивается в последние несколько десятилетий:
- В т. ч. из-за лучшего выявления и ↑ уровня УФ-облучения
3. Течение и прогноз:
• Частота метастазирования соотносится с глубиной проникновения первичной опухоли в дерму
• Пятилетняя выживаемость соотносится со стадией опухоли:
о Клинические стадии: I (80%), II (45%) и III (15%)
о Стадии TNM: I (>90%), II (45-47%), III (27-70%), IV «20%)
• Осложнения: перфорация кишки и инвагинация
4. Лечение меланомы брюшной полости:
• Удаление первичной опухоли и «сторожевых» лимфоузлов с целью стадирования (и лечения, если нет метастазирования):
о Возможно удаление метастатических опухолей кишечника, дающих симптоматику
о Резекция пораженного лимфоузла или других метастазов может благоприятно повлиять на выживаемость
• Комбинированная химиотерапия (дакарбазин, цисплатин, винбластин, кармустин. тамоксифен)
• Возрастающая роль иммунотерапии: большие дозы интерлей-кина-2 (ИЛ-2), препарат моноклональных антител к антигену CTLA-4 (ипилимумаб) или к PD-1 (пембролизуаб)
е) Диагностическая памятка. Советы по интерпретации изображений:
• Необходимо исследовать желчный пузырь, мышцы, мягкие ткани, кишечник на предмет выявления метастазов меланомы
• Меланома глаза часто может метастазировать в печень
ж) Список использованной литературы:
1. Baker JJ et al: Routine restaging PET/CT and detection of initial recurrence in sentinel lymph node positive stage III melanoma. Am J Surg. 207(4):549-54, 2014
а) Терминология:
1. Синонимы:
• Злокачественная меланома
2. Определение:
• Злокачественная опухоль из меланоцитов, локализующаяся в кожных покровах; характеризуется асимметричностью, неровным контуром, неоднородным цветом и диаметром >6 мм
1. Общая характеристика:
• Локализация:
о Чаще всего располагается в области лица:
- У лиц женского пола также часто встречается на нижних конечностях
- У лиц мужского пола - на ушах, голове, шее, спине и плечах
- У пациентов неевропеоидной расы меланомы формируются чаще в непигментированных областях кожи
• Размер:
о Обычно 6 мм
• Морфология:
о Асимметричное, поверхностно расположенное на коже образование, характеризующееся неоднородной пигментацией и неровным контуром
2. Рекомендации по визуализации:
• Лучший метод визуализации:
о Первичные опухоли подвергаются исследованию методами лучевой диагностики лишь в редких случаях
о При МРТ и УЗИ выполняется оценка метастазов в регионарных лимфатических узлах:
- Сателлитные (менее чем в 2 см от первичного очага)
- Транзитные (более чем в 2 см от первичного очага, но в пределах бассейна, дренируемого в регионарный лимфатический узел)
о ПЭТ/КТ с F-18 ФДГ позволяет исследовать все тело с целью стадирования опухоли
о КТ превосходит ПЭТ по возможностям выявления в легких метастазов размером • Рекомендации по выбору протокола:
о Оценка кожных покровов при ПЭТ осуществляется без использования коррекции аттеннуации
о При ПЭТ в область сканирования включают все тело
(Слева) При МРТ в аксиальной плоскости на Т1ВИ в подкожной жировой клетчатке верхних отделов спины визуализируется крупное округлое объемное образование, которое обладает изоинтенсивным сигналом по сравнению с мышцами и наличием гиперинтенсивных включений. Выявляются увеличенные подмышечные лимфатические узлы.
(Справа) При МРТ в аксиальной плоскости на Т2ВИ в режиме FS определяется доминантное объемное образование с гетерогенно гиперинтенсивным сигналом. Увеличенные подмышечные лимфатические узлы гомогенно гиперинтенсивны Пациент 18 месяцев назад обнаружил припухлость в этих областях. Четырьмя годами ранее он перенес резекцию нескольких образований на коже руки. (Слева) У этого же пациента при ПЭТ/КТ объемное образование характеризуется интенсивным уровнем накопления F-18 ФДГ. Менее выраженное накопление ФДГ регистрируется в подмышечных лимфатических узлах, что, как было показано, отражает наличие в них метастазов.
(Справа) У этого же пациента при цветовой допплерографии в продольной проекции в левой половине задней грудной стенки визуализируется объемное образование гетерогенной эхогенности. Выявляется выраженная васкуляризация этого образования. Также определяется слабовыраженная акустическая тень. (Слева) При МРТ в коронарной плоскости на Т1ВИ в костях и мягких тканях определяются множественные метастазы меланомы, характеризующиеся изоинтенсивным сигналом по сравнению с мышцами. Пациент поступил с безболевой желтухой, обусловленной наличием в поджелудочной железе метастазов. В остальном метастатическое поражение протекало бессимптомно.
(Справа) При КТ с контрастным усилением в аксиальной плоскости в мягких тканях визуализируются множественные метастазы, изоденсные или слабогиподенсные по сравнению с мышцами. Первичная меланома так и не была выявлена.
3. КТ при меланоме:
• Первичные опухоли и метастазы в мягких тканях проявляются объемными образованиями, изоденсными по сравнению с мышцами
• В костях обычно выявляют литические метастазы, однако также могут быть обнаружены склеротические или смешанные
4. МРТ при меланоме:
• Первичная опухоль обычно неразрывно связана с кожей:
о Изоинтенсивный сигнал по сравнению с мышцами на Т1 ВИ; могут выявляться гиперинтенсивные зоны вследствие парамагнитного эффекта меланина
о Гомогенный или гетерогенный сигнал различной интенсивности по сравнению с мышцами на Т2 ВИ о Интенсивное контрастирование различного характера:
- Гомогенное, гетерогенное, узловое или кольцевидное
• Метастазы в мягких тканях характеризуются сходными лучевыми признаками, как и первичная опухоль, однако во многих случаях метастазы с поверхностными отделами кожи не связаны
о Метастазы часто характеризуются наличием кровоизлияний, проявляющихся гиперинтенсивным сигналом на Т1 ВИ
5. УЗИ при меланоме:
• Проводится для оценки первичной меланомы, транзитных метастазов, сателлитных метастазов и лимфаденопатии
• Первичная меланома; гипоэхогенное образование с четким контуром под эхогенным эпидермисом ± слабовыраженная акустическая тень
• Метастаз в мягких тканях: гипоэхогенный узелок с неровным (дольчатым) контуром ± гипоэхогенные включения и акустическая тень
6. Биопсия:
• Биопсию первичных опухолей обычно выполняет дерматолог:
о Важно, чтобы первичная биопсия не помешала впоследствии выполнению разметки лимфатических узлов и биопсии сторожевого лимфатического узла (следует избегать широкого иссечения опухоли)
7. Радионуклидная диагностика:
• ПЭТ/КТ:
о Первичная и вторичная меланомы характеризуются интенсивным уровнем накопления F-18 ФДГ
(Слева) При MPT в аксиальной плоскости на Т1ВИ преимущественно в подкожной жировой клетчатке медиальных отделов голени определяется объемное образование с нечетким контуром. Образование характеризуется слабогетерогенным сигналом от изоинтенсивного до слабогиперинтенсивного по сравнению с мышцами.
(Справа) При МРТ с контрастным усилением в аксиальной плоскости на Т1ВИ в режиме FS объемное образование с гетерогенным интенсивным контрастированием. Образование инвазирует поверхностную фасцию и подлежащие мышцы голени. Лучевая картина позволяет заподозрить злокачественную опухоль, однако не является специфичной. (Слева) При нативной КТ в аксиальной плоскости в рамках ПЭТ/КТ в голени определяется объемное образование, изоденсное по сравнению с мышцами. Размер данного образования увеличивался в течение двух лет.
(Справа) При ПЭТ/КТ в аксиальной плоскости объемное образование в голени с интенсивным уровнем накопления F-18 ФДГ (SUVмакс=25.9). При ПЭТ в подколенном лимфатическом узле также был выявлен метастаз. При биопсии было подтверждено наличие метастаза меланомы. Пациент 10 годами ранее перенес резекцию меланомы предплечья. Менее чем через год после обнаружения метастаза пациент скончался. (Слева) При КТ с контрастным усилением в крестце определяется метастаз меланомы: очаг со склеротическим контуром и пониженной плотностью в центре.
(Справа) У этого же пациента при КТ с контрастным усилением в грудном позвонке также визуализируются два метастаза меланомы. Очаг, расположенный вентральнее, является склеротическим. Очаг, расположенный латеральнее, напоминает мишень из-за наличия в центре гиподенсной зоны. Такая лучевая картина является не совсем типичной, поскольку метастазы меланомы в костях обычно литические. Кроме того, метастазы были обнаружены в печени, брюшине и селезенке.
в) Дифференциальная диагностика меланомы:
1. Врожденный невус:
• Округлое или овальное образование на коже, характеризующееся однородной пигментацией и ровным четким контуром
2. Пиогенная гранулема:
• Клинически симулирует изъязвленную меланому
3. Себорейный кератоз и обыкновенная бородавка:
• Клинически симулирует веррукозную меланому
1. Общая характеристика:
• Этиология:
о Факторы окружающей среды: воздействие солнца (УФ излучение), воздействие агрохимикатов:
- Избыточное воздействие солнца в детском возрасте является основным фактором риска развития меланомы:
Во взрослом возрасте риск также возрастает при множественных солнечных ожогах
- С воздействием солнца обычно связывают развитие меланом на коже головы и шеи
- С воздействием агрохимикатов и УФ излучения связывают развитие меланом на коже конечностей
о Генетические/наследственные особенности: наличие у родственников рака кожи, клинически атипичных невусов, большое количество невусов, тип кожи, иммунодефицит:
- Меланомы на коже туловища обычно связывают с множественными пигментными невусами
о В большинстве случаев меланомы формируются de novo:
- В 20-30% случаев меланомы развиваются из существующих пигментных невусов
• Генетические особенности:
о Наследственная меланома (
2. Стадирование и классификация меланомы:
• Американский объединенный комитет по изучению рака (AJCC):
о Таблицы для клинического и патоморфологического стадирования
о Учитывают толщину первичной опухоли, поражение регионарных лимфатических узлов и наличие отдаленных метастазов:
- Толщина первичной опухоли устанавливается при гистологическом исследовании
- Поражение регионарных лимфатических узлов классифицируют в зависимости от их количества, наличия макрометастазов или микрометастазов
- Отдаленные метастазы классифицируют в зависимости от их локализации:
Метастазы в коже, подкожной клетчатке и отдаленных лимфатических узлах обозначаются не так, как метастазы в легких или других внутренних органах
о Степень дифференцировки не учитывается
• В каждом учреждении используется свой алгоритм диагностики:
о Биопсия сторожевого лимфатического узла, ПЭТ/КТ, МРТ, КТ
о Исследование головного мозга методами лучевой диагностики следует выполнять при наличии даже незначительных признаков поражения нервной системы
3. Макроскопические и хирургические особенности:
• Расположенная в дерме асимметричная опухоль, характеризующаяся неровным краем и цветом от беловатого до серого или черного
4. Микроскопия:
• Четыре основных гистологических подтипа:
о Поверхностно распространяющаяся меланома, узловая меланома, лентиго-меланома и акральная лентигинозная меланома
• Атипичные интраэпителиальные меланоциты:
о Эпителиодиные клетки, веретеновидные клетки или их смесь
о Расположены диффузно или формируют скопления
• Патологическая митотическая активность
• По периферии часто обнаруживают воспалительную реакцию
(Слева) При МРТ в аксиальной плоскости на Т1ВИ в пяточной области со стороны подошвы определяются небольшие овоидные поверхностно расположенные узелки, слабогиперинтен-сивные по сравнению с мышцами.
(Справа) У этого же пациента при МРТ в аксиальной плоскости на Т2ВИ в режиме FS данные узелки характеризуются гиперинтенсивным сигналом. Они представляют собой сателлитные метастазы первичной меланомы, которую несколькими годами ранее «прижег» врач. Несмотря на то, что эти образования были видны и при осмотре, для обнаружения в данной области всех возможных опухолей и планирования их резекции была выполнена МРТ. (Слева) У этого же пациента при МРТ с контрастным усилением в коронарной плоскости на Т1ВИ в режиме FS определяется контрастирование небольших сателлитных метастазов меланомы. Несмотря на то что при ПЭТ/КТ другие образования выявлены не были, уже через год в бедре этой же конечности был обнаружен транзитный метастаз.
(Справа) При ПЭТ в коронарной плоскости визуализируются множественные очаги накопления РФП, соответствующие метастазам меланомы. Такая картина оказалась не ожиданной, поскольку это было первичное исследование у пациента с бессимптомной меланомой предплечья размером 8 мм. (Слева) У этого же пациента при мультипланарной ПЭТ/КТ в мышцах левого бедра определяется метастаз меланомы (SUVмакс = 18,7). Образование характеризуется слабо пониженной плотностью по сравнению с мышцами при нативной КТ.
(Справа) У этою же пациента при КТ с контрастным усилением в костной ткани над вертлужной впадиной слева визуализируется доминантный метастаз. Он характеризуется литической структурой и деструкцией кортикального слоя кости. Также в подкожной клетчатке виден еще один метастаз.
1. Проявления:
• Типичные признаки/симптомы:
о Сначала появляется плоская коричневая макула, которая превращается в неоднородно пигментированную бляшку с неровным контуром:
- Асимметрия, неровный контур, неоднородный цвет, диаметр >6 мм
о В некоторых случаях меланомы проявляются небольшими гомогенными образованиями с четким контуром
• Другие симптомы:
о Боли, кровотечение, зуд или изъязвление
• Клинический профиль:
о Наиболее агрессивным типом является узловая меланома
о Поверхностно распространяющаяся меланома чаще возникает у лиц молодого возраста
о Акральная лентигинозная меланома наиболее распространена среди лиц с гиперпигментированной кожей:
- Ладони, подошвы, ногтевое ложе
о Лентиго-меланома чаще всего встречается на коже головы и шеи пожилых пациентов
о Беспигментная меланома чаще локализуется на коже лица
о Меланома на слизистой оболочке часто характеризуется наличием множественных очагов
о В подногтевой меланоме часто выявляют пигментированные продольные полосы
3. Течение и прогноз:
• Показатели пятилетней выживаемости продолжают повышаться:
о При локализованной первичной опухоли толщиной - 50-90% при первичной опухоли толщиной >1 мм
о 20-70% при наличии метастазов в регионарных лимфатических узлах (стадия III)
о • При положительных результатах биопсии сторожевого лимфатического узла прогноз менее благоприятен:
о Вероятность рецидивирования в течение 42 месяцев составляет 55%
о В 0,5-3,7% случаев выявляются отдаленные метастазы других опухолей, характеризующиеся отсутствием клинических симптомов
• Метастазы могут формироваться в любой области тела:
о Часто опухоль метастазирует в лимфатические узлы и кожные покровы (55%)
о При наличии метастазов во внутренних органах или большом числе лимфатических узлов прогноз менее благоприятен
о Специфические особенности метастазирования отсутствуют
о Метастазы могут быть обнаружены спустя 25 лет после выявления меланомы
• Спонтанное регрессирование первичной меланомы является неблагоприятным прогностическим фактором, свидетельствующим о ее метастазировании
4. Лечение:
• Выбор методов лечения зависит от стадии опухоли
• Широкая резекция ± биопсия сторожевого лимфатического узла:
о При наличии транзитных метастазов может выполняться резекция, полная диссекция лимфатических узлов, гипертермическая перфузия/инфузия с мелфаланом, введение препаратов внутрь образования и лучевая терапия
• Пациентам с опухолями на поздних стадиях предлагают принять участие в клинических исследованиях или пройти лечение интерфероном альфа
е) Диагностическая памятка. Рекомендации по отчетности:
• В целях стадирования важно знать количество и локализацию подозрительных лимфатических узлов
• В протоколе следует указывать размер и топографию сателлитных и транзитных метастазов, поскольку метастазы меланомы в отличие от метастазов других опухолей могут быть резецированы
ж) Список использованной литературы:
1. Rahim S et al: Correlation of PUV and SUV in the extremities while using PEM as a high-resolution positron emission scanner. Skeletal Radiol. 43(4):453-8, 2014
2. Catalano О et al: Locoregional spread of cutaneous melanoma: sonography findings. AJR Am J Roentgenol. 194(3):735-45, 2010
3. Melanoma of the skin staging form. In AJCC Cancer Staging Manual. 7th ed. New York: Springer. 341-4, 2010
Что такое визуализационные методы?
Медицинская визуализация позволяет выяснить внутреннее строение и функции человеческого тела без хирургического вмешательства.
К таким методам относятся:
- рентгенологические методы: флюорография, классическая рентгенография (рентген), компьютерная томография (КТ), ангиография.
- ультразвуковое исследование (УЗИ)
- Магнитно-резонансная томография (МРТ)
- радиоизотопные исследования: сцинтиграфия, позитронно-эмиссионная томография (ПЭТ)
- комбинированные методики: однофотонная эмиссионная компьютерная томография (ОФЭКТ), ПЭТ/КТ, ПЭТ/МРТ.
Кому показана КТ?
Это послойное исследование тела рентгеновским пучком с компьютерным анализом плотности тканей в области исследования и построением модели тела человека. При меланоме КТ может назначаться в следующих случаях:
- при диагностированной меланоме для обнаружения отдаленных метастазов;
- при лекарственном лечении меланомы для контроля эффективности лечения;
- при наблюдении за пациентом после радикального лечения.
Какие виды КТ бывают?
Компьютерные томографы делятся на виды по их техническим характеристикам. Выделяют односрезовые и многосрезовые, последовательные, спиральные и мультиспиральные томографы. Они отличаются качеством и скоростью получения изображений. На данный момент большинство работающих томографов являются многосрезовыми и мультиспиральными. При их применении выше качество получаемого изображения, однако может быть выше и цена исследования.
КТ можно разделить по:
- типу исследуемых зон: КТ органов грудной клетки, брюшной полости или забрюшинного пространства;
- по использованию контрастирующих препаратов: КТ с контрастом и без него.
В чем разница в КТ с контрастом и без?
Контрастирование при КТ — это введение в организм человека веществ, которые поглощают рентгеновское излучение сильнее, чем обычные ткани человека, поэтому контраст хорошо виден на получаемых изображениях.
Применение контраста позволяет более точно охарактеризовать строение органов, а также в некоторой степени указывает на их функциональное состояние.
После введения контраста внутривенно, что ощущается как обычная внутривенная инъекция, он с током крови распространяется по всем органам. Контрастное вещество в больших объемах накапливается в хорошо кровоснабжаемых тканях, например, в опухоли или метастазах. Это позволяет отличить доброкачественные образования от злокачественных или выявить невидимую при обычном исследовании опухоль.
Внутривенное контрастирование позволяет четче обозначить сосуды. Это может быть важно при подозрении на врастание опухоли в сосуды и может повлиять на тактику лечения.
При приеме внутрь (через рот) контраст распределяется по стенкам пищевода, желудка и кишечника. Это позволяет оценить их структуру и наличие изъязвлений или образований в стенке органов.
Контрастирование применяется не всегда, но при диагностике злокачественных образований является необходимым в подавляющем большинстве случаев.
Применение контраста может быть сопряжено с некоторыми побочными эффектами. Это аллергические реакции или нарушения работы почек, поэтому перед КТ с контрастом необходима консультация врача.
Кому показана МРТ?
Магнитно-резонансная томография — это способ получения послойных изображений органов и тканей с использованием ядерного магнитного резонанса. Этот метод принципиально отличается от рентгеновского излучения. Несмотря на наличие слова «ядерный» в названии, данный метод никак не связан с ионизирующим излучением и не несет лучевой нагрузки на организм пациента.
Согласно российским рекомендациям, показания для назначения МРТ аналогичны показаниям для КТ, за исключением КТ органов грудной клетки. Ее нельзя заменить заменить МРТ из-за технических особенностей метода МРТ.
Однако иностранные рекомендации отдают предпочтение назначению КТ с контрастом во всех случаях, кроме исследования головного мозга, где МРТ с контрастом более предпочтительно. Таким образом, выбор метода исследования определяется лечащим врачом с учетом особенностей клинической ситуации конкретного пациента.
В чем разница между МРТ и КТ?
Физические основы обоих методов объясняют плюсы и минусы каждого из методов.
- Исследование проводится быстрее. Обычно оно занимает не более 10 минут, в то время как МРТ может проводится до 60 и более минут в зависимости от локализации и выбранных рентгенологом схем исследования.
- Больше разрешающая способность, то есть способность определить самые маленькие изменения, например, мельчайшие метастазы в легких. Толщина получаемого «среза» при проведении КТ на современных томографах составляет 0,5 мм, а для самых распространенных сегодня аппаратов МРТ оптимальной толщиной среза являются 2-5 мм. Уменьшение данного параметра приведет к выраженному увеличению времени исследования и потере качества.
- наличие рентгеновского излучения;
- КТ хуже, чем МРТ, отображает мягкие ткани.
- как уже было сказано ранее, преимущество над КТ в плане отображения мягких тканей, что хорошо видно на картинке выше. МРТ выигрывает при диагностике заболеваний головного и спинного мозга, отдельных органов брюшной полости и органов малого таза.
- отсутствие излучения и наличие множества импульсных последовательностей, что позволяет оценить исследуемую область по множеству характеристик.
- более длительное время проведения исследования;
- чувствительность к движениям пациента во время сканирования; ряду пациентов с имплантированными устройствами или протезами.
Какие еще методы бывают?
Помимо КТ и МРТ чаще всего применяются:
- УЗИ. Может использоваться для оценки лимфатических узлов при первом обнаружении меланомы для диагностики их поражения метастазами; для оценки объема жидкости в плевральной или брюшной полости в случае их метастатического поражения. Однако УЗ-исследование других областей тела с целью выявления отдаленного метастазирования не позволяет полноценно оценить все возможные локализации. Также УЗИ не подходит для динамического наблюдения или контроля эффективности лечения, так как качество исследования сильно зависит от конкретного врача УЗИ-диагностики и не позволяет объективно отразить динамику изменений.
- ПЭТ/КТ. Данный метод может применяться как замена КТ органов грудной клетки, брюшной полости и малого таза в тех же ситуациях, когда назначается КТ.
- Применение классической рентгенографии и флюорографии с целью первичной диагностики, контроля эффективности лечения или динамического наблюдения нецелесообразно в силу низкой чувствительности этих методов, но возможно в ряде других клинических ситуаций и определяется лечащим врачом для конкретного пациента.
Помогают ли онкомаркеры в диагностике меланомы?
На настоящий момент при диагностике меланомы не существует онкомаркеров, определение которых в крови позволяет диагностировать или заподозрить меланому.
При уже диагностированной меланоме есть ряд доказанных показателей, чей уровень в крови или опухолевых клетках может говорить о прогнозе для жизни или о предполагаемом ответе на лечение.
Единственный применяемый прогностический маркер — уровень лактатдегидрогеназы в крови (ЛДГ, LDH) у пациентов с метастатической меланомой. Более высокие уровни ЛДГ связаны с более низкой продолжительностью жизни данных пациентов.
Также существует несколько предиктивных маркеров — показателей, предсказывающих лучший ответ на определенную терапию среди тех, у кого они были выявлены.
Читайте также:
- Осложнения антромастоидэктомии. Профилактика среднего отита и мастоидита
- Спермонедостаточные расстройства. Влияние тестикулярного фактора на здоровье
- Результаты кохлеарной имплантации при аплазии (гипоплазии) улиткового нерва
- Диагностика эхинококкоза - лечение и симптомы
- Диагностика и лечение гиперпаратиреоза
