КТ, МРТ при аплазии лабиринта
Добавил пользователь Владимир З. Обновлено: 07.01.2026
Список сокращений:
КТ — компьютерная томография
МРТ — магнитно-резонансная томография
ОАЭ — отоакустическая эмиссия
КСВП — коротколатентные слуховые вызванные потенциалы
КИ — кохлеарная имплантация
По данным отечественных и зарубежных авторов, кохлеарная имплантация (КИ) в настоящее время является самым эффективным методом лечения глухоты [1—3]. Успешное проведение КИ является залогом эффективной реабилитации пациентов.
Перед операцией проводится тщательное обследование пациентов для выявления показаний и противопоказаний к хирургическому этапу К.И. Предоперационная подготовка включает в себя сбор анамнеза, клинический осмотр, аудиологическое обследование: регистрацию отоакустической эмиссии (ОАЭ) и коротколатентных слуховых вызванных потенциалов (КСВП), проведение акустической импедансометрии, при возможности — тональной пороговой и речевой аудиометрии, сурдопедагогическую консультацию; для пациентов старшего возраста желательно проведение промонториального теста. Также необходимы консультация педиатра, невролога, терапевта и/или других специалистов, у которых больной состоит на учете.
КТ крайне важна при обследовании пациентов с глухотой, так как позволяет получать изображения сложных анатомических структур височной кости с точностью до 0,5 мм, оценить степень развитости и пневматизации сосцевидного отростка и барабанной полости, определить уровень и протяженность атрезии наружного слухового прохода, топографии лицевого нерва, характер изменения цепи слуховых косточек, состояние улитки и окон лабиринта, положение крупных сосудов, полукружных каналов и внутреннего слухового прохода.
Различают следующие варианты врожденных аномалий внутреннего уха, которые можно определить только по данным КТ: кохлеарная гипоплазия, общая полость улитки, преддверия и полукружных каналов (на КТ определяется общая полость, имеющая кистообразную форму, которая представляет улитку и вестибулярный аппарат без дальнейшей дифференцировки); аномалия Мондини I—II — деформация, которая представлена нормальным базальным завитком улитки в комбинации со слиянием второго и третьего завитков. В случае деформации Michel улитка и полукружные каналы отсутствуют (тотальная аплазия лабиринта), а среднее и наружное ухо визуализируются без патологических изменений [4].
Полным противопоказанием для проведения КИ являются отсутствие слухового нерва и аплазия улитки.
Также по данным КТ можно определить аномальное сужение или расширение внутреннего слухового прохода. Узкий (менее 2 мм) слуховой проход свидетельствует об отсутствии слухового нерва. Широкий внутренний слуховой проход встречается как аномалия развития, при нейрофиброматозе; кроме этого, встречается бульбообразное расширение внутренних слуховых проходов неясной этиологии или после перенесенного менингита или менингоэнцефалита [5, 6].
КТ позволяет определить размеры улитки, которые не меняются с возрастом и составляют в среднем 8,0×5,0×6,0 мм [5, 6]. За этими размерами скрываются индивидуальные особенности строения улитки, которые могут влиять на процесс интракохлеарного размещения электродов, а также быть прогностическими критериями при планировании хирургического вмешательства.
Пациентам, оглохшим вследствие перенесенного менингита, необходимо в обязательном порядке проводить МРТ височных костей для выявления поражения ЦНС органического характера и изменений во внутреннем ухе, так как МРТ позволяет более четко (по сравнению с КТ) диагностировать облитерацию улитки, развивающуюся вследствие перенесенного воспалительного процесса. По данным разных авторов, частота сенсоневральной тугоухости вследствие менингита составляет 4—40%. Чаще глухота развивается у детей до 3 лет на фоне менингококкового, пневмококкового, гриппозного менингита, а также менингита, вызванного палочкой Афанасьева—Пфейффера [7].
Цель исследования — определение возможностей КТ и МРТ в диагностике врожденной и приобретенной патологии внутреннего уха у глухих пациентов.
Пациенты и методы
Для выполнения поставленной цели в консультативно-диагностической поликлинике ФГБУН РНПЦ аудиологии и слухопротезирования ФМБА России и в ЛОР-отделении ДГКБ св. Владимира ДЗМ были обследованы две группы пациентов. В 1-ю группу были включены 75 пациентов — кандидатов на КИ в возрасте от 1 года до 43 лет с врожденной или приобретенной посттравматической глухотой. 2-ю группу составили 75 пациентов в возрасте 3—12 лет с глухотой, развившейся после перенесенного острого бактериального менингита.
Всем пациентам проводили КТ и МРТ височных костей. КТ височных костей была выполнена полипозиционно в коронарной и аксиальной проекциях с шагом 0,5 мм и МРТ — в стандартных отведениях в SEFSE FLAIR Т1 и Т2 взвешенном изображении в аксиальной, коронарной и сагиттальной проекциях с акцентом на внутреннее ухо.
Результаты и обсуждение
У 5 пациентов 1-й группы отмечалисьпосттравматические изменения височных костей (у 4 процесс носил односторонний характер, у 1 — двусторонний): у пациента с двусторонним поражением височных костей имели место разрыв и дислокация цепи слуховых косточек, изменений в структурах внутреннего уха выявлено не было. У остальных 4 был диагностирован поперечный перелом пирамиды височной кости: линия перелома проходила через область лабиринта и хорошо определялась на томограммах, при этом у одного из этих пациентов была обнаружена полная облитерация улитки, у другого был найден участок костной плотности в преддверии (давность травмы составила 25 и 8 лет соответственно).
У 2 больных был выявлен локальный порок развития слуховых косточек: гипоплазия цепи слуховых косточек и аномалия развития молоточка в сочетании с уплотнением мембраны круглого окна.
У 9 пациентов определялись воспалительные изменения в среднем ухе: мягкотканные компоненты в барабанной полости и клетках сосцевидного отростка, проявление хронического среднего отита, в том числе у одного больного с холестеатомой барабанной полости и деструкцией промонториальной стенки.
Также в 1-й группе в одном наблюдении было выявлено двустороннее симметричное расширение внутренних слуховых проходов, потребовавшее дополнительного обследования пациента.
Анализ КТ и МРТ 75 пациентов 2-й группы — кандидатов на КИ с двусторонней глухотой после перенесенного менингита показал, что у 63 пациентов (84% наблюдений) изменения височных костей отсутствовали. В одном случае была выявлена аномалия Арнольда—Киари (врожденная аномалия развития головного мозга), при которой основные изменения связаны с нарушением функций мозжечка и продолговатого мозга.
У 11 (14,6%) пациентов были обнаружены изменения внутреннего уха: у 1 больного с рецидивирующим менингитом, приведшим к глухоте, на КТ обнаружен склеротический тип строения сосцевидного отростка (результат ранее перенесенных отитов), дефект дна барабанной полости над луковицей яремной вены и дополнительный венозный коллектор, идущий от луковицы яремной вены в заднюю черепную ямку. По данным МРТ, структуры внутреннего уха — без изменений, количество внутриулитковой жидкости — удовлетворительное с двух сторон.
Один пациент после перенесенного менингита имел КТ-признаки двусторонней частичной костной облитерации лабиринта без вовлечения улиток с двух сторон. Данные МРТ подтвердили находки КТ: правая и левая улитки — без патологических изменений.
У 1 пациента после перенесенного менингита по данным КТ имелась картина двусторонней частичной костной облитерации лабиринта с вовлечением улитки справа. На МРТ патологические изменения структур внутреннего уха отсутствовали, количество внутриулитковой жидкости было удовлетворительным с двух сторон.
Один пациент, по данным КТ височных костей, имел двустороннюю облитерацию лабиринта, включая улитки с двух сторон, с большей выраженностью патологических изменений справа. На МРТ было выявлено уменьшение количества жидкости в улитке справа, слева количество жидкости в улитке соответствовало норме (рис. 1, 2).

Рис. 1. КТ, аксиальная проекция. Облитерация улитки (стрелка).

Рис. 2. МРТ, аксиальная проекция. Справа — полное отсутствие жидкости в улитке (короткая стрелка), слева — частичное (длинная стрелка).
У одного пациента на КТ определялись двусторонняя аномалия внутреннего уха по типу Мондини (рис. 3), двусторонний локальный порок развития цепи слуховых косточек, костная облитерация лабиринта, включая улитку справа. На МРТ внутриулитковая жидкость справа не определялась, слева количество внутриулитковой жидкости было в норме.

Рис. 3. КТ, аксиальная проекция. Аномалия Мондини, состояние после КИ.
По данным КТ височных костей, 5 пациентов имели двустороннюю частичную облитерацию лабиринта с односторонним вовлечением улитки. По данным МРТ, с одной стороны количество внутриулитковой жидкости было в норме, с другой — внутриулитковая жидкость не была обнаружена.
Один пациент, по данным КТ, имел двустороннее бульбообразное расширение внутреннего слухового прохода, что явилось рентгенологической находкой, при этом, по данным МРТ, внутриулитковая жидкость с двух сторон определялась в удовлетворительном количестве, патологии VII—VIII пар ЧМН не было.
Таким образом, среди обследованных 75 пациентов с глухотой, развившейся вследствие острого бактериального менингита, у 11 (14,6%) были выявлены изменения структур височных костей. Анализ данных КТ с изменениями височных костей всех 11 пациентов (22 уха) выявил частичную облитерацию улиток в 20 наблюдениях, у 1 пациента с одной стороны на фоне аномалии Мондини облитерации улитки не было выявлено, с другой — была обнаружена полная костная облитерация улитки. По данным МРТ, в тех же наблюдениях нормальное количество жидкости в улитке было выявлено в 15 случаях, в 1 — определялось уменьшенное количество внутриулитковой жидкости, в 6 — жидкость отсутствовала. Данные результаты повлияли не только на выбор стороны операции, но и позволили хирургу выбрать необходимый тип электродной решетки кохлеарного импланта: в 6 случаях использовалась прямая электродная решетка, в 5 — перимодиолярная.
В то же время отсутствие поражения улитки в 84% наблюдений после перенесенного менингита является хорошим прогностическим показателем успешной реабилитации оглохшего вследствие менингита больного.
Все пациенты обеих групп были успешно прооперированы, операцию перенесли удовлетворительно, перимодиолярная электродная решетка была введена полностью у 144 пациентов. У пациентов с облитерацией улитки, выявленной в предоперационном периоде, в 5 случаях электродная решетка импланта double array и в 1 — прямая были введены не полностью, так как облитерация основного завитка составляла более 4,0 мм.
Выводы
1. КТ и МРТ височных костей позволяют выявить индивидуальные особенности строения наружного, среднего и внутреннего уха, которые могут влиять на процесс интракохлеарного размещения электродной решетки кохлеарного импланта в улитке и являются прогностическими критериями при планировании хирургического вмешательства.
2. МРТ имеет преимущество перед КТ в диагностике ранней облитерации улитки.
3. КТ и МРТ являются обязательными методами обследования пациентов с глухотой, возникшей вследствие менингита. Совокупность данных КТ и МРТ позволяет хирургу выбрать оптимальную сторону проведения КИ.
КТ, МРТ при аплазии лабиринта
а) Терминология:
1. Синоним:
• Подострый лабиринтит
2. Определение:
• Подострое воспалительное или инфекционное заболевание пространств внутреннего уха (ВУ), заполненных жидкостью:
о Вторичные изменения перепончатого лабиринта ВУ обусловлены воспалительным процессом
б) Визуализация:
1. Общая характеристика:
• Лучший диагностический критерий:
о МРТ T1 С+: контрастирование (от легкого до умеренного) пространств ВУ, в норме заполненных жидкостью

(Слева) При аксиальной МРТ Т1 ВИ С+ FS у годовалого мальчика с перенесенным менингитом и нейросенсорной тугоухостью определяется патологическое контрастирование базального завитка улитки с обеих сторон, сопоставимое с менингогенным лабиринтитом.
(Справа) При аксиальной МРТ Т2 ВИ FSE у пациента с двухсторонним лабиринтитом определяется гиперинтенсивная жидкость (норма) в улитке с обеих сторон. Наличие жидкости с типичным или слегка гипоинтенсивным сигналом позволяет отличить лабиринтит от объемного образования.
2. КТ при лабиринтите:
• КТ в костном окне:
о Острая и подострая фаза: норма
о Гнойный процесс: оссифицирующий лабиринтит (ОЛ):
- Фиброз, затем (недели-годы) оссификация
3. МРТ при лабиринтите:
• Т1 ВИ:
о Сигнал часто в норме
о При тяжелом диффузном перепончатом лабиринтите возможно легкое ↑ сигнала
о При интралабиринтном кровоизлиянии: ↑ сигнал в ВУ
• Т2 ВИ:
о Острая/подострая фаза: гиперинтенсивная жидкость (норма) в ВУ:
- Т2 позволяет отличить перепончатый лабиринтит от интралабиринтной шванномы (гипоинтенсивная жидкость ВУ)
• Т1 ВИ С+:
о Острая/подострая фаза: возможна норма
о Ограниченное/распространенное контрастирование (от легкого до умеренного) пространств улитки, преддверия и полукружных каналов, в норме заполненных жидкостью
о Контрастирование может обнаруживаться и после исчезновения симптоматики
4. Рекомендации по визуализации:
• Лучший метод визуализации:
о Классические клинические проявления: лучевая диагностика не нужна
о Атипичные проявления: тонкосрезовая MPT (Т1 С-,Т1 С+,Т2)

(Слева) При аксиальной МРТ Т1 ВИ С+ у пациента с внезапно возникшим головокружением и тугоухостью на фоне вирусного лабиринтита определяется патологическое контрастное усиление завитков улитки и преддверия.
(Справа) При аксиальной МРТ Т1 ВИ С+ определяется контрастирование улитки и внутреннего слухового канала у пациента с двухсторонним отомастоидитом, оталгией, параличом ЧН VII и тугоухостью. Барабанный сегмент ЧН VII в этом примере тимпаногенного лабиринтита также утолщен и накапливает контраст.
в) Дифференциальная диагностика лабиринтита:
1. Оссифицирующий лабиринтит:
• КТ в костном окне: оссификация перепончатого лабиринта
• МРТ Т1 С+: контрастирование ВУ в ранней фазе
• MPT Т2: замещение нормальной гиперинтенсивной жидкости в ВУ гипоинтенсивным сигналом
2. Интралабиринтная шваннома:
• МРТ Т1 С+: более интенсивное и ограниченное контрастное усиление, чем при лабиринтите
• МРТ Т2: ограниченное понижение сигнала = зона контрастного усиления
3. Интралабиринтное кровоизлияние:
• Нарушение свертываемости или травма в анамнезе
• МРТ Т1: гиперинтенсивный преконтрастный сигнал
г) Патология:
1. Общая характеристика:
• Этиология:
о Возможен серозный или гнойный лабиринтит
о Этиология контрастного усиления ВУ на МРТ:
- Нарушение васкуляризации лабиринта — неоваскуляризация интралабиринтной перегородки
- Начинается в подострой фазе, сохраняется месяцами
2. Микроскопия:
• Гнойный лабиринтит → оссифицирующий лабиринтит
• Ранняя хроническая фаза: стадия фиброза, пролиферация фибробластов
• Поздняя фаза: стадия оссификации (ОЛ)
д) Клинические особенности:
1. Проявления:
• Типичные признаки/симптомы:
о Внезапное появление нейросенсорной тугоухости (НСТУ), головокружения и звона в ушах
• Классификация лабиринтита:
о Вирусный лабиринтит:
- Острая односторонняя НСТУ ± заболевания верхних дыхательных путей
- При классических проявлениях лучевая диагностика не требуется
- Возможно гематогенное распространение
о Бактериальный лабиринтит:
- Часто прогрессирует, приводя к постоянной НСТУ
- Менингогенный: двухсторонний; вследствие менингита:
Главная причина приобретенной глухоты у детей
Распространение происходит от дна ВСК через решетчатую пластинку — преддверие или канал улиткового нерва → улитка или водопровод улитки — базальный завиток улитки
- Тимпаногенный: односторонний; вследствие бактериального отомастоидита:
Острый бактериальный отомастоидит → прямое распространение через круглое или овальное окно
о Посттравматический/послеоперационный: односторонний; вследствие бактериального отомастоидита:
- Кровоизлияние обычно приводит к накоплению контраста
- Заживление — грануляционная ткань ± ОЛ
о Аутоиммунный: очень редкий, связанный с системным заболеванием
2. Демография:
• Любой возраст
• Эпидемиология: вирусный >> бактериальный лабиринтит
3. Течение и прогноз:
• При вирусном лабиринтите слух часто восстанавливается:
о Тугоухость может рецидивировать и приводить к неработоспособности
• Для бактериального менингита типична стойкая НСТУ
4. Лечение:
• Вирусная этиология: стероиды, вестибулярные супрессанты, вестибулярная тренировка
• Бактериальные: топические и внутривенные антибиотики:
о Хирургическое вмешательство при тяжелом заболевании
е) Список использованной литературы:
1. Salzman KL et al: Intralabyrinthine schwannomas: imaging diagnosis and classification. AJNR Am J Neuroradiol. 33(1):104-9, 2012
1. Синонимы:
• Полная аплазия лабиринта (ПАЛ)
• Устаревший синоним: аномалия Мишель
2. Определение:
• Отсутствие улитки, преддверия и полукружных каналов (ПКК)
1. Общая характеристика:
• Лучший диагностический критерий:
о Полное отсутствие структур внутреннего уха
о Отсутствие/гипоплазия костей слуховой капсулы
• Морфология:
о Нарушение развития лабиринта
о Отсутствие/гипоплазия костей слуховой капсулы

(Слева) На рисунке в аксиальной плоскости показана аплазия лабиринта. Обратите внимание на полное отсутствие всех структур внутреннего уха за исключением небольшого ВСК, содержащего только ЧН VII. Латеральная стенка внутреннего уха (мыс) уплощена.
(Справа) При аксиальной КТ в костном окне у девушки 21 года с НСТУ определяется выраженная гипоплазия костной слуховой капсулы. В области мыса видны ячейки, содержащие газ (ожидаемая локализация). Структуры внутреннего уха отсутствуют. Визуализируется канал ЧН VII с расширенным верхним коленом. Обратите внимание на гипоплазию вершины пирамиды с уменьшением ее ширины.
2. КТ при аплазии лабиринта:
• КТ в костном окне:
о Двухсторонняя или односторонняя аномалия
о Отсутствие улитки, преддверия, ПКК, водопровода преддверия
о Мыс улитки: отсутствие/уплощение
о Слуховые косточки: норма или мальформация стремечка
о Крыша барабанной полости: норма, опущение или дефект (подозрителен на энцефалоцеле)
о Среднее ухо и сосцевидный отросток: норма или гипоплазия
о Канал лицевого нерва: аберрантный ход
о Вершина пирамиды: гипоплазия
о Внутренний слуховой канал: аплазия/гипоплазия
о Яремная вена/луковица: норма, зияние канала или стеноз + расширенные эмиссарные вены
о Сонный канал: норма или отсутствие
о Скат: норма или сужение
о Шейный отдел позвоночника: норма или аномалии
3. МРТ при аплазии лабиринта:
• Т2 ВИ:
о Отсутствие перепончатого лабиринта
о Отсутствие преддверного и улиткового нервов
о Расширение цистерны мосто-мозжечкового угла/арахноидальная киста
о Аномалии моста
4. Рекомендации по визуализации:
• Лучший метод визуализации:
о КТ в костном окне
о МРТ головного мозга и височных костей

(Слева) При аксиальной КТ в костном окне у этой же пациентки на более краниальном уровне определяется гипоплазия костной слуховой капсулы. Визуализируется переднее колено и проксимальный тимпанический сегмент аномального канала ЧH VII.
(Справа) При корональной КТ в костном окне у этого же пациента определяется полное отсутствие структур внутреннего уха и выраженная гипоплазия костной слуховой капсулы и вершины пирамиды. Обратите внимание на отсутствие патологических изменений среднего уха и слуховых косточек, несмотря на тотальную аплазию внутреннего уха.
в) Дифференциальная диагностика:
1. Аплазия улитки:
• Остановка в конце 3-й недели: отсутствие улитки, дисморфия преддверия и ПКК
2. Общая полость:
• Остановка на 4-й неделе: овоидный глобулярный мешок, представляющий собой улитку + преддверие
3. Оссифицирующий лабиринтит:
• Оссификация внутреннего уха после перенесенного менингита; мыс улитки сформирован правильно
г) Патология:
• Этиология:
о Генные мутации, прием талидомида; этиология неизвестна
• Генетика:
о Мутации FGF3: LAMM (аплазия лабиринта, микротия, микродонтия)
о Мутации НОХА1: синдром Босли-Салиха-Алорайни (СБСА) и дисгенезия ствола мозга у атабасков (ДСМА)
• Сопутствующие патологические изменения:
о СБСА и ДСМА: врожденные болезни сердца, паралич горизонтального взора, отсутствие внутренних сонных артерий
• Эмбриология:
о Остановка развития ушной плакоды до третьей недели гестации
1. Макроскопические и хирургические особенности:
• Нарушение формирования костной и перепончатой части лабиринта
2. Микроскопия:
• Отсутствие структур внутреннего уха
1. Проявления:
• Типичные признаки/симптомы:
о Врожденная нейросенсорная тугоухость (НСТУ)
2. Демография:
• Эпидемиология:
о Крайне редко состояние;
3. Лечение:
• Односторонняя ПАЛ: оценка противоположной стороны для имплантации при двухсторонней НСТУ
• Двухсторонняя ПАЛ: стволовая имплантация
е) Диагностическая памятка:
1. Следует учесть:
• ПАП при отсутствии/гипоплазии слуховой капсулы и отсутствии улитки, преддверия и ПКК
2. Советы по интерпретации изображений:
• Изменения часто асимметричны: контрлатеральная общая полость, гипоплазия внутреннего уха, или аномалия неполного разделения улитки 1 типа
3. Рекомендации по отчетности:
• Вариабельное (от легкого до значительного) патогномоничное уплощение мыса улитки
• Целостность крыши барабанной полости на корональных реформатированных изображениях
1. Синоним:
• Отсутствие улитки
2. Определение:
• Отсутствие улитки; преддверие, полукружные каналы (ПКК), внутренний слуховой канал (ВСК) присутствуют в той или иной форме
б) Визуализация:
• Лучший диагностический критерий:
о Отсутствие улитки, дисморфия преддверия и ПКК
• Локализация:
о Передний отдел перепончатого лабиринта

(Слева) На рисунке в аксиальной плоскости показаны признаки аплазии улитки, включая уменьшение внутреннего слухового канала (ВСК) с отсутствием улитковою нерва, улитки; с мальформацией преддверия и полукружного канала, уплощением переднею колена ЧH VII.
(Справа) При аксиальной МРТ SPACE у четырехмесячной девочки с врожденной НСТУ отсутствует улитка. Определяется глобулярная аномалия преддверия и горизонтального полукружного канала. В коротком и узком внутреннем слуховом канале находятся преддверный и лицевой нервы. Улитковый нерв не визуализируется.
1. КТ при аплазии улитки:
• КТ в костном окне:
о Улитка: отсутствует с одной или с обеих сторон
о Канал улиткового нерва: отсутствует
о Мыс улитки: гипоплазия, уплощение
о Преддверие и ПКК: мальформация, шаровидная форма, расширение или гипоплазия (часто)
о Водопровод преддверия: обычно норма
о Канал лицевого нерва: аномальный тупой угол переднего колена
о ВСК: обычно гипоплазия
о Среднее ухо: нормальный размер
о Слуховые косточки: норма или мальформация стремечка
о Овальное окно: норма или стеноз/атрезия
о Круглое окно: атрезия
2. МРТ при аплазии улитки:
• Т2 ВИ:
о Улитка и улитковый нерв: отсутствуют
о Преддверие и ПКК: различные нарушения
3. Рекомендации по визуализации:
• Лучший метод визуализации:
о КТ или МРТ височных костей

(Слева) При аксиальной КТ в костном окне у этой же пациентки отсутствует улитка, определяется легкое уплощение мыса улитки.
(Справа) При аксиальной КТ в костном окне у этой же пациентки определяется глобулярная мальформация преддверия и горизонтального полукружною канала. Визуализируется короткий и узкий ВСК. Частично визуализируется переднее колено лицевого нерва, идущее под тупым углом, канал лицевого нерва имеет аномальный ход.
в) Дифференциальная диагностика аплазии улитки:
1. Аплазия лабиринта:
• Улитка, преддверие и ПКК отсутствуют
• Эмбриогенез: остановка развития на 3-й неделе гестации
2. Деформация общей полости:
• Общая полость, сформированная расширенной улиткой и преддверием
• Эмбриогенез: остановка развития на 4-й неделе гестации
3. Кистозная аномалия улитки и преддверия:
• Кистозные изменения улитки и преддверия с отсутствием внутренней архитектуры
• Эмбриогенез: остановка развития на 5-й неделе гестации
4. Оссифицирующий лабиринтит:
• Клинические проявления: приобретенная нейросенсорная тугоухость (НСТУ), обычно после менингита
• Выраженное обызвествление перепончатого лабиринта, нормальный мыс
1. Общая характеристика:
• Этиология:
о Неизвестна
• Сопутствующие патологические изменения:
о Возможно расширение преддверия и ПКК
• Эмбриология:
о Остановка развития ушной плакоды в конце 3-й недели гестации
2. Макроскопические и хирургические особенности:
• Улитка отсутствует; остальные структуры внутреннего уха обычно присутствуют, но патологически изменены
1. Проявления:
• Типичные признаки/симптомы
о Врожденная НСТУ, обычно двухсторонняя
2. Демография:
• Возраст:
о Присутствует при рождении
• Эпидемиология:
о Крайне редкая аномалия внутреннего уха
о
3. Лечение:
• Двухсторонняя НСТУ + двухсторонняя аплазия улитки: стволовая акустическая имплантация
• Кохлеарная имплантация противопоказана при отсутствии улитки:
о Отсутствует улитковый нерв
о В единичных случаях при выраженной в той или иной степени функции нерва выполняется имплантация преддверия, при условии положительного аудиологического исследования
е) Диагностическая памятка. Следует учесть:
• Диагноз аплазии улитки устанавливается, если улитка не визуализируется на КТ или МРТ Т2, но остальные отделы перепончатого лабиринта присутствуют:
о Важно отличать аплазию от облитеративной оссификации улитки
ж) Список использованной литературы:
1. Sennaroglu L et al: Long-term results of ABI in children with severe inner ear malformations. Otol Neurotol, ePub, 2016
2. Kontorinis G et al: Aplasia of the cochlea: radiologic assessment and options for hearing rehabilitation. Otol Neurotol. 34(7): 1253-60, 2013
3. Jeong SW et al: Cochlear implantation in children with cochlear aplasia. Acta Otolaryngol. 132(9):910-5, 2012
4. Sennaroglu L et al: A new classification for cochleovestibular malformations. Laryngoscope. 112(12):2230-41, 2002
5. Jackler RK et al: Congenital malformations of the inner ear: a classification based on embryogenesis. Laryngoscope. 97(3 Pt 2 Suppl 40):2-14, 1987
МРТ и КТ при нарушении слуха
МРТ головного мозга. Слуховые нервы в норме. Цветовая обработка изображения.
Нарушение слуха (тугоухость) может быть сенсоневральная – в связи с повреждением внутреннего уха, внутреннего слухового прохода, мосто-мозжечкового ушла и вестибулокохлеарного нерва.
- Во внутреннем ухе отосклероз или травматическое повреждение височной кости, редко – врожденные недоразвития улитки (дисплазия Мондини), полукружных каналов, вестибулярного водопровода
- В мембранной части лабиринта – лабиринтит (инфекционное поражение), в том числе и склерозирующий, внутриулитковая Шваннома(невринома), болезнь Меньера (гипоплазия водопровода)
- Внутренний слуховой проход и мостомозжечковый угол – шваннома 8 нерва, менингиома височной кости, эпидермоидные (холестеатомы) и арахноидальные кисты, редко – гломусная тимпаническая опухоль.
Вестибулокохлеарный нерв (VIII) состоит из 4 пучков. Опухоли происходят обычно из вестибулярной его части. Шваннома – инкапсулированная доброкачественная (градация 1) опухоль, происходящая из дифференцированных неопластических шванновских клеток оболочек периферических нервов. Невриномы ММУ составляют около 3% опухолей головного мозга. Часть шванном (двухсторонние слуховых нервов) связана с НФ 2 типа. Пик частоты между 40 и 60 годами. Растут медленно и крайне редко малигнизируются. Клинические проявления связаны с нарушением функции нерва и компрессией ствола. Шваннома может происходить из любого отрезка по ходу нерва и хорошо прослеживается при МРТ области ММУ. Невринома видна как на Т2-взвешенных, так и на Т1-взвешенных МРТ в виде округлого образования. Невриномы хорошо и равномерно усиливаются после МРТ с введением контрастного вещества. Невриномы области цистерны могут иметь компонент во внутреннем слуховом проходе, особенно, хорошо видимый при МРТ головного мозга с контрастированием. Изредка встречаются невриномы полностью расположенные внутри канальца. Они составляют наибольшую диагностическую сложность при МРТ, требуют тонких срезов и контрастирования. Менингиомы ММУ обычно типично расположены и при МРТ имеют характерную форму и типичные черты при МРТ с контрастированием. Однако редко встречаются внутриканальцевые менингиомы. При МРТ они неотличимы от неврином. Холестеатомы при МРТ имеют смешанную интенсивность сигнала, в зависимости от их содержимого. На диффузионно-взвешенных МРТ холестеатомы обычно яркие.
МРТ головного мозга. Аксиальная Т2-взвешенная МРТ. Фрагмент ММУ. Холестеатома слева.
МРТ головного мозга наиболее информативна в плане выявления опухолей мостомозжечкового угла и кист этой области. Некоторое патологии, такие как расширение водопровода и лабиринтит также хорошо видны при МРТ. КТ лучше демонстрирует состояние внутреннего уха.
КТ. Дисплазия Мондини.
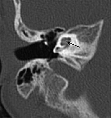
КТ. Полная аплазия лабиринта.
КТ. Расширение и укорочение полукружного канала.

КТ. Болезнь Меньера.

КТ. Водопровод в норме (стрелка).
КТ. Увеличенный водопровод (стрелка).
МРТ головного мозга. Т2-взвешенная аксиальная МРТ мосто-мозжечкового угла. Увеличенный водопровод.
КТ. Хронический отит.
КТ. Хронический отит с кальцификацией барабанной перегородки.
КТ. Хронический отит с грануляциями на барабанной перегородке и эрозией стенки тимпанической полости.
При МРТ в СПб в наших клиниках мы при нарушении слуха считаем необходимым применение обоих методов.
Читайте также:
