КТ, МРТ при гемангиоме глазницы у младенцев
Добавил пользователь Евгений Кузнецов Обновлено: 27.10.2025
а) Терминология:
1. Аббревиатура:
• Младенческая гемангиома (МГ)
2. Синонимы:
• Устаревшие, некорректные термины: гемангиома младенческого возраста, капиллярная гемангиома:
о В литературе широко используется некорректный термин «гемангиома»:
- Кавернозная гемангиома, гемангиома тела позвонка, синовиальная гемангиома = венозная мальформация
- Гемангиоэндотелиома = сосудистая опухоль высокой степени злокачественности
3. Определение:
• Доброкачественное сосудистое новообразование из пролиферативных эндотелиальных клеток, самая частая мягкотканная опухоль у младенцев
• Не является сосудистой мальформацией
• В классификации Международного Сообщества по Изучению Сосудистых Аномалий пересмотра 2014 года сохранены две основные категории:
о Сосудистые опухоли (истинные новообразования с клеточной пролиферацией, в большинстве своем растущие непропорционально с пациентом)
о Сосудистые мальформации (врожденные нарушения развития сосудов, обычно растущие соразмерно с пациентом)
б) Визуализация:

(Слева) При аксиальной МРТ Т1ВИ С+ FS у четырехмесячной девочки с синдромом PHACES в правом околоушном пространстве, задненижних отделах правой глазницы, правой щеке, носу, внутреннем слуховом канале и в области правого мостомозжечкового угла визуализируются множественные гемангиомы, накапливающие контраст. Обратите также внимание на гипоплазию правой гемисферы мозжечка.
(Справа) При аксиальной КТ с КУ у семимесячного ребенка с опухолью носа визуализируется объемное образование, интенсивно накапливающее контраст, и вызывающее окклюзию преддверия носа слева. Все характеристики и расположение этого образования типичны для МГ.
2. КТ с КУ при младенческой гемангиоме:
о Диффузное интенсивное контрастное усиление
о Выбухающие сосуды в объемном образовании/возле него в ПФ
о Жировая инфильтрация в ИФ
4. УЗИ при младенческой гемангиоме:
о Мягкотканное образование с вариабельной эхогенностью, малым количеством макроскопических сосудов
о Фаза пролиферации: большое количество сосудов на единицу площади (> 5 сосудов/см 2 ) при цветовой допплерографии, высокое систолическое допплеровское смещение (> 2 кГц), низкий индекс резистентности артерий в отсутствие артериализации вен (изменения, подозрительные на шунты)
о Средние значения пиковой скорости кровотока в венах не повышены, как в случае истинной артерио-венозной мальформации
о Инволютивная фаза: ↓ плотности сосудов, ↑ индекса резистентности
5. Рекомендации по визуализации:
• Лучший метод визуализации:
о Большинство пациентов не нуждаются в лучевых исследованиях
о Показания к лучевой диагностике:
- Атипичный вид опухоли, симптоматика; нехарактерный анамнез
- Подозрение на глубокое распространение (в глазницу или дыхательные пути)
- Если планируется медикаментозное или хирургическое/ лазерное лечение
- Оценка эффективности лечения
- Подозрение на связь с синдромом PHACES, например, наличие большой сегментарной МГ на лице
о MPT С+: диффузное накопление контраста
о Последовательности GRE для обнаружения сосудов с высоким кровотоком в объемном образовании/возле него
о МР-ангиография для выявления сопутствующих сосудистых аномалий
• Выбор протокола:
о УЗ-допплерография для документирования характерного кровотока
о МР- последовательности, используемые для визуализации движения крови, для визуализации жидкости, Т1 С+ FS:
- МР-ангиография для обнаружения аномалий сосудов: стеноз, окклюзия, болезнь моямоя, аневризмы
- Гемангиомы околоушной железы: расположение ЧН VII

(Слева) При корональной МРТ Т1ВИ С+ FS у двухмесячного ребенка визуализируется крупная МГ, интенсивно накапливающая контраст, находящаяся как внутри, так и снаружи мышечной воронки глазницы; видно также другое объемное образование в области неба справа.
(Справа) При корональной МРТТ1ВИ С+ FS у этого же пациента шесть месяцев спустя после лечения пропранололом с целью предотвращения осложнений со стороны глазницы определяется существенный регресс объемных образований в глазнице и небе.
в) Дифференциальная диагностика младенческой гемангиомы:
2. Венозная мальформация:
• Врожденная сосудистая мальформация, образованная крупными венозными «озерами»
• ↑ Т2,↓ Т1, диффузное контрастное усиление
• Флеболиты
3. Саркома мягких тканей:
• Рабдомиосаркома, внекостная саркома Юинга, недифференцированная саркома:
о Минимальное или умеренное контрастное усиление ± эрозии костей
4. Плексиформная нейрофиброма:
• Инфильтративное образование с нечеткими краями, часто распространяющееся на несколько анатомических зон
• Сочетается с другими признаками НФ 1
5. Артериовенозная мальформация:
• Врожденная сосудистая мальформация
• Питающие артерии с высоким кровотоком, артериовенозные шунты, крупные дренирующие вены
• ± другие мягкотканные компоненты

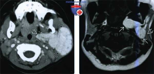
(Слева) При аксиальной КТ с КУ, выполненной девочке в возрасте одного года, определяется МГ очень большого размера, равномерно и интенсивно накапливающая контраст, практически полностью замещающая поверхностную и глубокую долю левой околоушной железы.
(Справа) При аксиальной МРТ Т1ВИ у этой же девочки восемь лет спустя определяется значительное уменьшение размеров гемангиомы и диффузное замещение ее жировой тканью. Обратите внимание на тонкую «полоску» ткани поверхностной доли околоушной железы.
г) Патология:
1. Общая характеристика:
• Этиология:
о Предпочтительная теория: клональная экспансия ангиобластов, выраженная экспрессия основных факторов роста фибробластов и других маркеров ангиогенеза
• Генетические нарушения:
о В большинстве случаев спорадические
2. Микроскопия:
• В ПФ хорошо заметны эндотелиальные клетки, формирующие мелкие сосудистые каналы; плоские эндотелиальные клетки + фиброзно-жировое замещение (ИФ)
3. Иммуногистохимические особенности:
• GLUT1 (+) во всех фазах (пролиферации и регрессии)
д) Клинические особенности:
1. Проявления:
• Типичные признаки/симптомы:
о В пролиферативной фазе: растущее мягкотканное образование у младенцев, кожа над которым теплая, имеет красноватый, «земляничный» цвет
о В единичных случаях при более глубоких опухолях, крупные вены, дренирующие ее, придают коже над гемангиомой синеватый цвет
• Другие признаки/симптомы:
о Изъязвление кожи над гемангиомой
о Обструкция дыхательных путей при их вовлечении
о Проптоз в случае гемангиомы глазницы
о Сопутствующие патологические изменения (синдром PHACES)
2. Демография:
• Возраст:
о В среднем проявляет себя в возрасте двух недель, в большинстве случаев к 1-3 месяцу:
- Обычно симптоматика отсутствует при рождении
- В трети случаев обнаруживается при рождении: бледное или красноватое пятно, телеангиэктазия, псевдоэкхимоз или красная точечная сыпь
• Пол:
о Ж>М(1,5-4:1)
• Эпидемиология:
о Самая частая опухоль головы и шеи у младенцев
о Заболеваемость: 1-2% у новорожденных, 12% к первому году жизни
о ↑ у недоношенных детей и новорожденных с дефицитом веса (у 30% новорожденных 1 кг)
• Этническая принадлежность:
о Чаще всего заболевают люди с белым цветом кожи
3. Течение и прогноз:
• Для большинства гемангиом типична фаза пролиферации, после которой к возрасту девяти лет спонтанно наступает регрессия
• Большие и сегментарные гемангиомы лица при отсутствии лечения чаще вызывают осложнения
4. Лечение:
• В большинстве случаев не требуется, используется выжидательная тактика
• Показания к лечению: воздействие на жизненно важные структуры, сдавливание зрительного нерва, обструкция дыхательных путей; выраженное изъязвление кожи
• Варианты лечения:
о Пропранолол (бета-блокатор) сейчас используется вместо пероральных стероидов в качестве основного препарата из-за меньшего количества побочных воздействий
о Введение стероидов в гемангиому, лечение лазером, реже хирургическая эксцизия или эмболизация
е) Диагностическая памятка. Следует учесть:
• Флеболиты позволяют предположить венозную мальформацию
• Дети старшего возраста, нетипичный вид, деструкции костей: необходимо предполагать саркому
• Распространенное объемное образование с изменением цвета кожи над ним («кофе с молоком»): плексиформная нейрофиброма
• Крупные кровеносные сосуды внутри паренхиматозного объемного образования с нечеткими краями: артерио-венозная мальформация
ж) Список использованной литературы:
1. Laken РА: Infantile hemangiomas: pathogenesis and review of propranolol use. Adv Neonatal Care. 16(2):135-42, 2016
2. Wassef M et al: Vascular anomalies classification: recommendations from the International Society for the Study of Vascular Anomalies. Pediatrics. 136(1):e203-14, 2015
3. Restrepo R et al: Hemangiomas revisited: the useful, the unusual and the new. Part 1: overview and clinical and imaging characteristics. Pediatr Radiol. 41 (7):895-904, 2011
4. Restrepo R et al: Hemangiomas revisited: the useful, the unusual and the new. Part 2: endangering hemangiomas and treatment. Pediatr Radiol. 41 (7):905-15,2011
5. Mulliken JB et al: Hemangiomas and vascular malformations in infants and children: a classification based on endothelial characteristics. Plast Reconstr Surg. 69(3):412-22, 1982
КТ и МРТ диагностика гемангиомы глазницы
Кавернозная гемангиома лица — врожденное образование доброкачественного характера, располагающееся под коже.
Капизлярная гемангиома: Наиболее частая опухоль глазницы у детей (1% от всех новорожденных).
Кавернозная гемангиома: Наиболее частая опухоль глазницы у взрослых.
Сосудистое образование глазницы:
Капиллярная гемангиома: Доброкачественная опухоль, состоящая из скопления капилляров с пролиферацией эндотелиальных клеток (гемангиоэндотелиома).
Кавернозная гемангиома: Неопухолевая венозная мальформация с большими полостями, выстланными эндотелием.
Гемангиома у новорожденных обычно представляет собой простую гемангиому. Причины точно не известны, однако существует несколько теорий:
- Неблагоприятная экологическая обстановка
- Прием лекарственных средств во время беременности
- Нарушение гормонального фона матери
Гемангиома у взрослых образовывается вследствие аномального разрастания сосудов. Причины также не изучены до конца. Перерождение образование в злокачественное происходит крайне редко, однако, очень часто происходит сдавливание окружающих тканей опухолью, поражая всё большую поверхность.
Клинические проявления
- Верхний внутренний квадрант глазницы
- Возможно распространение за пределы глазницы (синеватая опухоль века).
- Объемное образование с выпуклыми границами, расположенное внутри конуса, образованного глазодвигательными мышцами
- Псевдокапсула.
Какой метод диагностики гемангиомы глазницы выбрать: МРТ или КТ
Метод выбора
Информативна ли МСКТ сосудов глазницы с контрастом при гемангиоме
- Неоднородное объемное образование без четких границ в верхнем внутреннем квадранте глазницы
- При динамическом исследовании наблюдается быстрое, интенсивное усиление сигнала после введения контрастного вещества
- Могут определяться микрокальцинаты.
- Четко очерченное объемное образование средней плотности
- При динамическом исследовании наблюдается постепенное, умеренное усиление сигнала.
Что покажут снимки МРТ сосудов глазницы с контрастом при гемангиоме
- Объемное образование в верхнем внутреннем квадранте глазницы
- Низкая интенсивность сигнала на Т1-взвешенном изображении, высокая интенсивность сигнала на Т2-взвешенном изображении
- Нечеткие границы
- Может инфильтрировать расположенные рядом структуры
- Быстрое, интенсивное усиление сигнала после введения гадолиния.
- Четко очерченное объемное образование
- В 80% случаев расположено внутри конуса, образованного глазодвигательными мышцами
- Гиперинтенсивно на Т2-взвешенном изображении
- Изоинтенсивно на Т1-взвешенном изображении, после введения гадолиния наблюдается незначительное усиление сигнала
- Интенсивность сигнала на Т2-взвешенном изображении может быть снижена в связи с наличием (частичного) тромбоза.
Отличительные признаки гемангиомы
- Четко очерченное, усиленное объемное образование, расположенное внутри конуса, образованного глазодвигательными мышщами,с высокой интенсивностью сигнала на Т2 взвешенном изображении.
Что хотел бы знать лечащий врач
- Распространенность
- Диагноз
- Течение
Какие заболевания имеют симптомы, схожие с гемангиомой глазницы
Лимфангиома:
Варикозное расширение вен:
- Расширенные, извитые сосуды
Ложная опухоль глазницы:
Объемное образование (например, метастаз, лимфома):
- Склонный к деструкции кости очаг поражения с , инвазивным ростом
Рабдомиосаркома:
- Разрушающая кость опухоль с инвазивным ростом.
Лечение
- Наблюдение
- Глюкокортикоиды
- Лазерная терапия
- Хирургическое удаление имеет противоречивые результаты.
- Хирургическое удаление
- В случае высокого риска хирургического лечения может быть оправдана выжидательная тактика.
Гемангиома у детей часто является причиной насмешек других детей, начиная еще с детского сада. Поэтому необходима и психологическая поддержка ребенка.
Врачи каких специальностей диагностируют и лечат гемангиому глазницу
- Офтальмолог (осмотр и консультация, лечение гемангиомы и ее удаление)
Прогноз
- Рост образования наблюдается в течение первых 6 месяцев жизни
- Затем наступает спонтанная ремиссия (в 50% случаев - к 5 годам, в 70% случаев - к 7 годам).
Возможные осложнения и последствия
- Болевой синдром
- Нагноение гемангиомы
- Незначительный косметический дефект после удаления гемангиомы.

Гемангиома правой глазницы с кровоизлиянием в опухоль (стрелка: уровень жидкости). На Т1 - (а) и Т2-взвешенном изображении (b) визуализируется объемное образование, расположенное внутри конуса, образованного глазодвигательными мышцами. На П-взвешенном изображении (с) после введения гадолиния наблюдается незначительное усиление сигнала от опухоли.
КТ в горизонтальной плоскости с контрастированием: накапливающая контраст ретробульбарная гемангиома.
Диагностика кавернозной гемангиомы на снимках МРТ и КТ головного мозга
Что необходимо знать о кавернозной гемангиоме мозга
- В 15% этих случаев наблюдаются множественные кавернозные гемангиомы.
- Частота: 0,5% населения
- Синусоидальные полости, выстланные одноклеточным слоем эпителия
- Полости разделены коллагеновой стромой
- Между полостями отсутствует мозговое вещество
- Глиоз в окружающей паренхиме головного мозга
- Наличие включений гемосидерина вследствие микрокровоизлияний
- Локализация: 63-81% гемангиом локализуются в белом веществе супратенториальных отделов; субтенториальные гемангиомы чаще встречаются в варолиевом мосту
- Примерно в 25% случаев имеется сопутствующая венозная дисплазия или другая сосудистая мальформация, например, капиллярная телеангиоэктазия (в непосредственной близости к кавернозной гемангиоме или в другом участке)
- Наличие дополнительных сосудистых мальформаций имеет важное значение при планировании нейрохирургического вмешательства.
- Обычно возникают судорожные припадки
- Может наблюдаться иная очаговая неврологическая симптоматика в зависимости от локализации гемангиомы
Какой метод диагностики кавернозной гемангиомы мозга выбрать: МРТ, КТ, ангиографию
Информативна ли КТ-ангиография мозга при гемангиоме
- Визуализируются только большие кавернозные гемангиомы и гемангиомы с острым кровоизлиянием или с кальцинатами
- Введение КС (в двойной или тройной дозе) повышает чувствительность метода.
Что покажут снимки МРТ головного мозга при кавернозной гемангиоме
- Центральный очаг может иметь гомогенный сигнал на Т1- и Т2-ВИ
- Структура по типу «тутовой ягоды», «медовых сот» или похожая на попкорн
- Может наблюдаться контрастное усиление гемангиомы
- Кровь на разных стадиях распада
- Перифокальный отек обычно встречается только при остром кровоизлиянии
- На Т2-ВИ обычно виден гипоинтенсив- ный ободок, соответствующий гемосидерину
- На Т2*-ВИ могут визуализироваться дополнительные, более мелкие кавернозные гемангиомы
В каких случаях проводят ангиографию сосудов мозга
- Кавернозные гемангиомы обычно не визуализируются
Что хотел бы знать лечащий врач?
- Множественные кавернозные гемангиомы?
- Локализация
- Острое кровоизлияние?
- Сочетание с венозной дисплазией или артериовенозной мальформацией с быстрым кровотоком.
Какие заболевания имеют симптомы, схожие с кавернозной гемангиомой
Капиллярная телеангиоэктазия:
- Расширенная, кистевидная или мелкоточечная структура
- Отсутствие ободка гемосидерина
- Отсутствие глиоза в ткани мозга, расположенной между сосудами
Абсцесс:
- Отсутствие замкнутого ободка гемосидерина
- Гипоинтенсивная капсула абсцесса на Т2-ВИ
Метастаз:
- Солидное или кольцевидное усиление, перифокальный отек, отсутствие замкнутого ободка гемосидерина
Венозная дисплазия:
- Сходящиеся зонтиковидные или звездчатые структуры, идущие через головной мозг; они выглядят гипоинтенсивными на томограмме, взвешенной по протонной плотности, и на Т2-ВИ, гиперинтенсив- ными на Т1-ВИ после введения КС
Накапливающая КС бляшка при рассеянном склерозе:
- Типичная локализация в перивентрикулярной области
- Всегда гиперинтенсивная на Т2-ВИ
Конгофильная ангиопатия:
- Нет картины «тутовой ягоды»
Лечение кавернозной гемангиомы заключается в следующем:
- Профилактическая операция не показана
- Удаление кавернозной гемангиомы проводится тогда, когда неврологическая симптоматика, обусловленная кровоизлиянием, и неэффективность консервативного лечения судорожных припадков.
Врачи каких специальностей диагностируют и лечат кавернозную гемангиому мозга
- Невропатолог(оценка неврологического дефецита)
-Нейрохирург ( выбор методики лечения (радиохирургия, кибер-нож, трепанация)
-Врач функциональной диагностики (оценка состояния на момент обращения и наблюдение / сравнение результатов обследований в динамике)
- Риск бессимптомного кровоизлияния составляет около 3% на пациента в год и примерно 1,4-2,5% на гемангиому в год
- К факторам риска кровоизлияния относятся женский пол и субтенториальная локализация
Возможные осложнения
- Кавернозная гемангиома ускоряет развитие атеросклероза в артериях головного мозга расположенных рядом с зоной облучения

Кавернозная гемангиома (схематическое изображение). Дольковое расположение синусоидальных полостей с кровоизлияниями на разных стадиях распада. Гемангиома окружена ободком гемосидерина (стрелки).
Гемангиома глаза
Гемангиома глаза – это доброкачественная сосудистая опухоль, располагающая на коже век или конъюнктиве и состоящая из патологических сосудистых сплетений. Причины возникновения гемангиомы глаза точно неизвестны. Различают капиллярные и кавернозные гемангиомы, а также смешанные варианты. Клинические проявления зависят от вида гемангиомы. Диагностику проводят с помощью визуального осмотра и биомикроскопии, из дополнительных методов используют УЗИ глаза, МРТ или КТ орбит, ангиографию. Лечение проводят консервативно или оперативно, в зависимости от размеров и места расположения гемангиомы. При раннем обращении и правильном лечении прогноз благоприятный.
Общие сведения
Гемангиома глаза – доброкачественное сосудистое новообразование, возникающее из гиперплазированного эндотелия кровеносных сосудов, которое проявляется преимущественно в детском возрасте, характеризуется довольно быстрым ростом и частым прорастанием в окружающие ткани. Гемангиома глаза является одной из самых частых доброкачественных опухолей в детской офтальмологии. Встречается у новорожденных детей, чаще у недоношенных. Обнаруживается в первые дни после рождения ребенка или в первые месяцы жизни. Девочки болеют чаще, чем мальчики. Наиболее высокая заболеваемость наблюдается у детей из развитых стран. Если у ребенка появилась гемангиома глаза, то в течение первого полугодия жизни у таких детей возможно появление гемангиом на других участках тела. Являясь морфологически доброкачественными образованиями, гемангиомы часто отличаются неблагоприятным клиническим течением и характеризуются быстрым инфильтрирующим ростом, достигая максимальной величины в первые недели и месяцы жизни.
Причины гемангиомы глаза
Причины возникновения гемангиом глаза до сих пор вызывают много споров у офтальмологов. В настоящее время ещё не найдены специфические генные мутации, отвечающие за развитие гемангиомы глаза, наследственность не является фактором риска. Неизвестны точные механизмы, запускающие нарушения в ангиогенезе (процесс образования и развития новых сосудов). Имеются определённые доказательства, что гемангиома глаза у новорожденных детей образуется в результате повреждения ангиобластов (клетки сосудистой стенки). Эти процессы возникают в первом триместре беременности, между 7 и 10 неделей. Процесс внутриутробного развития сосудов достаточно сложен и окончательно не изучен. Любые изменения в ангиогенезе могут приводить к спонтанному росту кровеносных сосудов, отмечаемому при гемангиомах глаза у детей.
Симптомы гемангиомы глаза
Выделяют капиллярную и кавернозную гемангиому глаза, а также смешанные варианты. Капиллярная гемангиома, или «земляничный» невус, проявляется у новорожденных детей в виде ограниченного опухолевидного разрастания ярко-красного цвета. Выступает над уровнем кожи, бледнеет при надавливании и увеличивается в размерах во время крика или плача ребёнка. Чаще встречается на верхнем веке и может распространяться в орбиту. У данного вида гемангиомы активный рост отмечается в первый год жизни ребёнка и останавливается к двум годам. Затем происходит обратный регресс опухоли с полным исчезновением к 5-6 годам. В редких случаях гемангиома глаза может сочетаться с поражениями других органов и систем в виде синдрома Казабаха-Мерритта (характеризуется тромбоцитопенией, анемией и нарушением свёртывания крови), или синдрома Маффуччи (сочетается с хондроматозом рук, ног и искривлением трубчатых костей).
Кавернозная гемангиома, или пламенеющий невус, проявляется в виде пятна, чётко отграниченного, мягкого по консистенции, розового цвета, не бледнеющего при надавливании. Возникают также у новорожденных. С возрастом не увеличивается в размерах и не проходит самостоятельно, меняется цвет пятна до тёмно-красного или фиолетового. Кожа под образованием может грубеть, гипертрофироваться, становиться узловатой, рыхлой, кровоточить или воспаляться. Поражение носит сегментарный характер, но встречаются и двусторонние невусы. Сочетанные поражения возникают при обширных гемангиомах, затрагивающих ветви тройничного нерва. Проявляются в структуре синдрома Штурге-Вебера (характеризуется нарушением в развитии сосудов сетчатки и оболочек головного мозга).
Из осложнений гемангиом глаза выделяют: механический птоз (большой размер опухоли мешает нормальной работе мышц век), как результат птоза развивается обскурационная амблиопия; косоглазие (новообразование в области глаза мешает полноценному движению глазного яблока в какую-либо сторону). На месте регрессировавшей опухоли может оставаться рубец или гипопигменация. Гемангиомы глаза большого размера могут осложняться кровотечениями, инфицированием или нагноением.
Диагностика гемангиомы глаза
Диагностика всех видов гемангиом глаза обычно не вызывает затруднений и основывается на визуальном осмотре ребёнка офтальмологом с помощью метода биомикроскопии при помощи щелевой лампы. Для уточнения диагноза и дифференциальной диагностики с другими сосудистыми опухолями проводят дополнительные исследования, такие как УЗИ глазного яблока (для уточнения структуры и глубины распространения гемангиомы), КТ орбит или МРТ (при недостаточности данных УЗИ, для уточнения размеров новообразования и возможного поражения соседних органов).
При необходимости оперативного лечения гемангиомы глаза дополнительно проводят ангиографию для более точного определения границ опухоли и распространения патологических сосудов. При изменении поверхности гемангиомы, окраски или консистенции выполняют биопсию, для исключения злокачественного перерождения новообразования. Также могут назначаться консультации онколога, дерматолога, гематолога или инфекциониста.
Лечение гемангиомы глаза
При лечении гемангиомы применяют консервативный или хирургический метод. Консервативная терапия включает в себя использование препаратов из группы глюкокортикостероидов (препарат вводят перорально ребёнку при первых проявлениях новообразования), интерфероны (подкожное введение препарата используется при обширных гемангиомах). При малых размерах гемангиомы глаза для удаления используют метод криодеструкции или диатермокоагуляции (воздействие на гемангиому низкой или высокой температурой, в результате чего происходит разрушение и отторжение новообразования). Использование лазерных методик оправдано также при небольших размерах гемангиомы глаза. Оперативное лечение показано при обширных гемангиомах с расположением в анатомически сложных областях. Кроме того, хирургический метод используют для удаления косметических дефектов, оставшихся от гемангиом.
При своевременном обращении к офтальмологу с первыми признаками формирования гемангиом, правильно подобранной терапии - прогноз благоприятный, удается добиться полного исчезновения новообразования без видимых дефектов.
Профилактика гемангиомы глаза
Учитывая, что гемангиомы глаза закладываются на эмбриональном этапе, профилактические мероприятия включают в себя тщательный контроль и обследование женщин как в период беременности, так и на этапе подготовки к зачатию. За несколько месяцев до зачатия необходимо пройти лечение всех хронических очагов инфекции (ЛОР-органов, глаз, зубов). Обязательно информировать женщин о вреде курения и алкоголя в период беременности, своевременно освободить беременную от работы на вредных химических производствах или перевести на более лёгкий труд. У рожениц старше 35-40 лет необходимо тщательно контролировать артериальное давление для предотвращения возникновения эклампсии. При обнаружении у новорожденного гемангиомы глаза необходимо максимально быстро обратиться к офтальмологу для обследования и уточнения диагноза, а также строго соблюдать рекомендации врача.
Гемангиома у детей
Гемангиома у детей – доброкачественное сосудистое образование, возникающее вследствие эмбрионального нарушения развития кровеносных сосудов. Гемангиома у детей имеет вид красного, багрового или синюшного пятна с плоской или возвышающейся над кожей поверхностью; гемангиомы склонны к интенсивному росту и кровотечениям. Обследование при гемангиоме у детей включает консультацию детского дерматолога и хирурга, рентгенографию анатомической области, где расположена сосудистая опухоль, УЗИ, ангиографию, исследование состояния свертывающей системы крови. Гемангиома у детей может быть подвергнута лазерному или хирургическому удалению, лучевой терапии, электрокоагуляции, криотерапии, склеротерапии, гормональному лечению и др.
Гемангиома у детей - доброкачественная опухоль из сосудистой ткани, сосудистое родимое пятно, порок развития сосудов. В педиатрии и детской хирургии гемангиомы обнаруживаются у 1,1–2,6 % новорожденных и 10% детей первого года жизни. Гемангиома – самая распространенная доброкачественная опухоль кожи и слизистых у детей, составляющая около 50% всех опухолей мягких тканей в детском возрасте. В 2-3 раза чаще гемангиомы возникают у девочек.
Несмотря на доброкачественность, гемангиома у детей склонна к бурному прогрессирующему росту. Разрастаясь вширь и вглубь, гемангиома может прорастать и разрушать окружающие ткани; вызывать нарушение функций органов зрения, слуха, дыхания и др.; инфицироваться, изъязвляться и провоцировать кровотечение. Кроме этого, наличие гемангиомы у ребенка представляет значительный косметический дефект.
Причины гемангиомы у детей
Причины образования гемангиом у детей неизвестны, однако многочисленные наблюдения и обобщение данных позволили выдвинуть ряд предположений. Ввиду того, что гемангиомы возникают у детей грудного возраста, вероятно, предпосылкой для этого служит нарушение развития сосудов в эмбриональном периоде развития.
В свою очередь, нарушение васкулогенеза может происходить под влиянием приема беременной женщиной некоторых лекарств, перенесенных во время беременности вирусных заболеваний (гриппа, ОРВИ и др.), неблагоприятных экологических условий. Возможно, что появление сосудистых опухолей связано с гормональной регуляцией, поскольку прослеживается четкая гендерная зависимость - у девочек гемангиомы возникают чаще.
Классификация гемангиомы у детей
На основании морфологических признаков различают простую (капиллярную), кавернозную, комбинированную и смешанную гемангиому у детей.
Простая гемангиома происходит из капилляров; располагается на поверхности кожи; имеет четкие границы, плоскую, бугристо-узловую, бугристо-уплощенную поверхность; красный или багрово-синюшный цвет. Простая гемангиома у детей бледнеет при надавливании на пятно, а затем вновь восстанавливает свой цвет.
Пещеристая или кавернозная гемангиома у детей расположена подкожно в виде бугристого узлового образования. Она имеет мягко-эластическую консистенцию и состоит из полостей-каверн, заполненных кровью. Сверху пещеристая гемангиома покрыта неизмененной или синюшного оттенка кожей. При надавливании на узел, вследствие оттока крови, гемангиома бледнеет и спадается; при натуживании, кашле и плаче ребенка – напрягается и увеличивается в размерах (эректильный симптом, обусловленный притоком крови в кавернозные полости).
Комбинированная гемангиома у детей обладает признаками простой и кавернозной опухоли, имеет кожную и подкожную части. Клинические проявления зависят от преобладания капиллярного или пещеристого компонента.
Смешанная гемангиома у детей имеет сложное строение и содержит элементы сосудистой и других тканей (соединительной, нервной, лимфоидной). К гемангиомам смешанного типа относятся ангиофибромы, ангионевромы, гемлимфангиомы и др. Их цвет, консистенция и внешний вид зависят от входящих в состав сосудистой опухоли тканей.
Гемангиомы у детей могут иметь единичный или множественный характер; быть мелкими, крупными или обширными. В 95% случаев у детей диагностируется простая гемангиома. По течению патологического процесса различают гемангиомы с быстрым ростом, медленным ростом и отсутствием роста.
Симптомы гемангиомы у детей
В большинстве случаев гемангиома у ребенка обнаруживается сразу после рождения или в первые недели жизни; реже – в течение первых 2-3-х месяцев. Особенно интенсивный рост гемангиом у детей происходит в первом полугодии жизни; в дальнейшем, как правило, рост сосудистой опухоли замедляется.
Гемангиомы у детей (по мере убывания частоты) могут локализоваться в области волосистой части головы (особенно на затылке), лица (на веках, щеках, носу), полости рта, половых органов, верхней части туловища, рук и ног, внутренних органов и костей.
Внешне гемангиома у детей представляет собой плоское или возвышающееся над кожей бугристо-уплощенное, бугристо-узловатое или кавернозное образование. Размер пятна может варьировать от 1-2 мм до 10-15 и более см в диаметре: в последнем случае гемангиома занимает большую анатомическую область. Гемангиома у детей имеет различные формы и оттенки (от бледно-розового до бордово-синюшного). При гемангиомах кожи у детей четко выражена температурная асимметрия – сосудистое образование на ощупь горячее окружающих интактных тканей.
Рост гемангиомы происходит не только в ширину, но и вглубь, что может сопровождаться сдавлением тканей и нарушением функций соседних органов. Гемангиомы у детей легко подвергаются травматизации, обусловливая развитие кровотечения из опухоли, которое бывает сложно остановить. Другими осложнениями гемангиомы у детей служат изъязвление и инфицирование сосудистой опухоли.
Простые гемангиомы у детей могут подвергаться самопроизвольной регрессии. В процессе спонтанного исчезновения гемангимы выделяют 3 стадии: до конца 1-го года жизни, ранней инволюции (от 1 до 5 лет), поздней инволюции (до конца пубертатного периода). Регресс гемангиомы у детей начинается с появления в центре опухоли участков побледнения, которые постепенно распространяются от центра к периферии. По времени процесс спонтанного исчезновения гемангиомы у детей может занимать несколько лет.
Диагностика гемангиомы у детей
В обследовании детей с сосудистой опухолью принимают участие педиатр, детский хирург и детский дерматолог. В зависимости от топографии гемангиомы ребенку может потребоваться дополнительная консультация и обследование у детского офтальмолога, детского отоларинголога, детского гинеколога, детского уролога, детского стоматолога и других специалистов.
Приемы физикального обследования включают осмотр, пальпацию, аускультацию, определение площади гемангиомы у ребенка. Для выявления синдрома Казабаха-Мерритт, характеризующегося активным ростом гемангиомы, тромбоцитопенией и нарушением свертываемости крови, исследуются показали гемостаза (коагулограмма, количество тромбоцитов).
С целью оценки глубины распространения гемангиомы у детей, ее анатомо-топографических особенностей и структуры проводится УЗИ кожного новообразования с измерением скорости кровотока в паренхиме опухоли и периферических сосудах. Для выяснения особенностей кровоснабжения гемангиомы у детей, ангиоархитектоники и взаимоотношений с другими сосудами выполняется ангиография.
В случае необходимости определения заинтересованности окружающих тканей может выполняться рентгенография той или иной анатомической области (костей черепа, грудной клетки, орбит и т д.).
Лечение гемангиомы у детей
Раннему лечению (в первые недели и месяцы жизни) подлежат гемангиомы у детей, расположенные в области головы и шеи, в ротовой полости, аногенитальной области или имеющие тенденцию к агрессивному росту (увеличению площади в 2 раза за неделю), нерегрессирующие кавернозные гемангиомы, а также сосудистые образования, осложненные кровотечением, инфицированием, некрозом. Выжидательная тактика возможна при простых гемангиомах у детей, не представляющих серьезного косметического дефекта и опасности осложнений; при наличии признаков спонтанной регрессии сосудистой опухоли. При выборе способа лечения гемангиомы у детей руководствуются принципами достижения максимального онкологического, функционального и косметического результата.
Точечные и поверхностные гемангиомы у детей могут быть подвергнуты успешной электрокоагуляции, криодеструкции, лазерному удалению. Небольшие кавернозные и комбинированные гемангиомы хорошо поддаются склеротерапии. При глубоко расположенной сосудистой опухоли и невозможности ее удаления менее травматичными методами, прибегают к хирургическому иссечению гемангиомы у детей в пределах здоровых тканей. Возможно проведение эмболизации крупного сосуда, питающего гемангиому.
В отношении гемангиом, имеющих сложную анатомическую локализацию (например, в области глазницы или ретробульбарного пространства) или занимающих обширную площадь, применяется лучевое лечение (рентгенотерапия). При обширных гемангиомах кожных покровов у детей может назначаться гормональная кортикостероидная терапия. В трудных случаях (при глубоком расположении гемангиомы у детей, обширной площади поражения, сложном строении и труднодоступной локализации) возможно сочетание различных методов лечения: облучение сверхвысокочастотным магнитным полем плюс криодеструкция; гормональная терапия плюс хирургическое лечение или рентгенотерапия и т. д.
Прогноз при гемангиоме у детей
В 6,7% случаев гемангиомы у детей прогрессируют в течение первого года жизни, а затем подвергаются спонтанному обратному развитию в течение нескольких лет. Исходом обратного развития гемангиомы у детей может стать полное исчезновение с хорошим косметическим результатом, депигментация сосудистой опухоли, ее уплощение или рубцевание. Наилучший косметический эффект достигается при самопроизвольном исчезновении плоских гемангиом.
Решение о динамическом наблюдении или лечении гемангиомы у детей принимает детский хирург, поэтому во всех случаях необходимым является обращение за квалифицированной помощью. Ввиду того, что часто гемангиомы у детей склонны к бурному росту и различным осложнениям, в большинстве случаев избирается активная тактика. Возможности современной детской медицины позволяют выбрать оптимальный метод лечения гемангиомы у детей с тем, чтобы добиться оптимального функционального и эстетического результата.
Читайте также:
