КТ, МРТ при гипоплазии улитки
Добавил пользователь Евгений Кузнецов Обновлено: 13.12.2025
Список сокращений:
КТ — компьютерная томография
МРТ — магнитно-резонансная томография
ОАЭ — отоакустическая эмиссия
КСВП — коротколатентные слуховые вызванные потенциалы
КИ — кохлеарная имплантация
По данным отечественных и зарубежных авторов, кохлеарная имплантация (КИ) в настоящее время является самым эффективным методом лечения глухоты [1—3]. Успешное проведение КИ является залогом эффективной реабилитации пациентов.
Перед операцией проводится тщательное обследование пациентов для выявления показаний и противопоказаний к хирургическому этапу К.И. Предоперационная подготовка включает в себя сбор анамнеза, клинический осмотр, аудиологическое обследование: регистрацию отоакустической эмиссии (ОАЭ) и коротколатентных слуховых вызванных потенциалов (КСВП), проведение акустической импедансометрии, при возможности — тональной пороговой и речевой аудиометрии, сурдопедагогическую консультацию; для пациентов старшего возраста желательно проведение промонториального теста. Также необходимы консультация педиатра, невролога, терапевта и/или других специалистов, у которых больной состоит на учете.
КТ крайне важна при обследовании пациентов с глухотой, так как позволяет получать изображения сложных анатомических структур височной кости с точностью до 0,5 мм, оценить степень развитости и пневматизации сосцевидного отростка и барабанной полости, определить уровень и протяженность атрезии наружного слухового прохода, топографии лицевого нерва, характер изменения цепи слуховых косточек, состояние улитки и окон лабиринта, положение крупных сосудов, полукружных каналов и внутреннего слухового прохода.
Различают следующие варианты врожденных аномалий внутреннего уха, которые можно определить только по данным КТ: кохлеарная гипоплазия, общая полость улитки, преддверия и полукружных каналов (на КТ определяется общая полость, имеющая кистообразную форму, которая представляет улитку и вестибулярный аппарат без дальнейшей дифференцировки); аномалия Мондини I—II — деформация, которая представлена нормальным базальным завитком улитки в комбинации со слиянием второго и третьего завитков. В случае деформации Michel улитка и полукружные каналы отсутствуют (тотальная аплазия лабиринта), а среднее и наружное ухо визуализируются без патологических изменений [4].
Полным противопоказанием для проведения КИ являются отсутствие слухового нерва и аплазия улитки.
Также по данным КТ можно определить аномальное сужение или расширение внутреннего слухового прохода. Узкий (менее 2 мм) слуховой проход свидетельствует об отсутствии слухового нерва. Широкий внутренний слуховой проход встречается как аномалия развития, при нейрофиброматозе; кроме этого, встречается бульбообразное расширение внутренних слуховых проходов неясной этиологии или после перенесенного менингита или менингоэнцефалита [5, 6].
КТ позволяет определить размеры улитки, которые не меняются с возрастом и составляют в среднем 8,0×5,0×6,0 мм [5, 6]. За этими размерами скрываются индивидуальные особенности строения улитки, которые могут влиять на процесс интракохлеарного размещения электродов, а также быть прогностическими критериями при планировании хирургического вмешательства.
Пациентам, оглохшим вследствие перенесенного менингита, необходимо в обязательном порядке проводить МРТ височных костей для выявления поражения ЦНС органического характера и изменений во внутреннем ухе, так как МРТ позволяет более четко (по сравнению с КТ) диагностировать облитерацию улитки, развивающуюся вследствие перенесенного воспалительного процесса. По данным разных авторов, частота сенсоневральной тугоухости вследствие менингита составляет 4—40%. Чаще глухота развивается у детей до 3 лет на фоне менингококкового, пневмококкового, гриппозного менингита, а также менингита, вызванного палочкой Афанасьева—Пфейффера [7].
Цель исследования — определение возможностей КТ и МРТ в диагностике врожденной и приобретенной патологии внутреннего уха у глухих пациентов.
Пациенты и методы
Для выполнения поставленной цели в консультативно-диагностической поликлинике ФГБУН РНПЦ аудиологии и слухопротезирования ФМБА России и в ЛОР-отделении ДГКБ св. Владимира ДЗМ были обследованы две группы пациентов. В 1-ю группу были включены 75 пациентов — кандидатов на КИ в возрасте от 1 года до 43 лет с врожденной или приобретенной посттравматической глухотой. 2-ю группу составили 75 пациентов в возрасте 3—12 лет с глухотой, развившейся после перенесенного острого бактериального менингита.
Всем пациентам проводили КТ и МРТ височных костей. КТ височных костей была выполнена полипозиционно в коронарной и аксиальной проекциях с шагом 0,5 мм и МРТ — в стандартных отведениях в SEFSE FLAIR Т1 и Т2 взвешенном изображении в аксиальной, коронарной и сагиттальной проекциях с акцентом на внутреннее ухо.
Результаты и обсуждение
У 5 пациентов 1-й группы отмечалисьпосттравматические изменения височных костей (у 4 процесс носил односторонний характер, у 1 — двусторонний): у пациента с двусторонним поражением височных костей имели место разрыв и дислокация цепи слуховых косточек, изменений в структурах внутреннего уха выявлено не было. У остальных 4 был диагностирован поперечный перелом пирамиды височной кости: линия перелома проходила через область лабиринта и хорошо определялась на томограммах, при этом у одного из этих пациентов была обнаружена полная облитерация улитки, у другого был найден участок костной плотности в преддверии (давность травмы составила 25 и 8 лет соответственно).
У 2 больных был выявлен локальный порок развития слуховых косточек: гипоплазия цепи слуховых косточек и аномалия развития молоточка в сочетании с уплотнением мембраны круглого окна.
У 9 пациентов определялись воспалительные изменения в среднем ухе: мягкотканные компоненты в барабанной полости и клетках сосцевидного отростка, проявление хронического среднего отита, в том числе у одного больного с холестеатомой барабанной полости и деструкцией промонториальной стенки.
Также в 1-й группе в одном наблюдении было выявлено двустороннее симметричное расширение внутренних слуховых проходов, потребовавшее дополнительного обследования пациента.
Анализ КТ и МРТ 75 пациентов 2-й группы — кандидатов на КИ с двусторонней глухотой после перенесенного менингита показал, что у 63 пациентов (84% наблюдений) изменения височных костей отсутствовали. В одном случае была выявлена аномалия Арнольда—Киари (врожденная аномалия развития головного мозга), при которой основные изменения связаны с нарушением функций мозжечка и продолговатого мозга.
У 11 (14,6%) пациентов были обнаружены изменения внутреннего уха: у 1 больного с рецидивирующим менингитом, приведшим к глухоте, на КТ обнаружен склеротический тип строения сосцевидного отростка (результат ранее перенесенных отитов), дефект дна барабанной полости над луковицей яремной вены и дополнительный венозный коллектор, идущий от луковицы яремной вены в заднюю черепную ямку. По данным МРТ, структуры внутреннего уха — без изменений, количество внутриулитковой жидкости — удовлетворительное с двух сторон.
Один пациент после перенесенного менингита имел КТ-признаки двусторонней частичной костной облитерации лабиринта без вовлечения улиток с двух сторон. Данные МРТ подтвердили находки КТ: правая и левая улитки — без патологических изменений.
У 1 пациента после перенесенного менингита по данным КТ имелась картина двусторонней частичной костной облитерации лабиринта с вовлечением улитки справа. На МРТ патологические изменения структур внутреннего уха отсутствовали, количество внутриулитковой жидкости было удовлетворительным с двух сторон.
Один пациент, по данным КТ височных костей, имел двустороннюю облитерацию лабиринта, включая улитки с двух сторон, с большей выраженностью патологических изменений справа. На МРТ было выявлено уменьшение количества жидкости в улитке справа, слева количество жидкости в улитке соответствовало норме (рис. 1, 2).

Рис. 1. КТ, аксиальная проекция. Облитерация улитки (стрелка).

Рис. 2. МРТ, аксиальная проекция. Справа — полное отсутствие жидкости в улитке (короткая стрелка), слева — частичное (длинная стрелка).
У одного пациента на КТ определялись двусторонняя аномалия внутреннего уха по типу Мондини (рис. 3), двусторонний локальный порок развития цепи слуховых косточек, костная облитерация лабиринта, включая улитку справа. На МРТ внутриулитковая жидкость справа не определялась, слева количество внутриулитковой жидкости было в норме.

Рис. 3. КТ, аксиальная проекция. Аномалия Мондини, состояние после КИ.
По данным КТ височных костей, 5 пациентов имели двустороннюю частичную облитерацию лабиринта с односторонним вовлечением улитки. По данным МРТ, с одной стороны количество внутриулитковой жидкости было в норме, с другой — внутриулитковая жидкость не была обнаружена.
Один пациент, по данным КТ, имел двустороннее бульбообразное расширение внутреннего слухового прохода, что явилось рентгенологической находкой, при этом, по данным МРТ, внутриулитковая жидкость с двух сторон определялась в удовлетворительном количестве, патологии VII—VIII пар ЧМН не было.
Таким образом, среди обследованных 75 пациентов с глухотой, развившейся вследствие острого бактериального менингита, у 11 (14,6%) были выявлены изменения структур височных костей. Анализ данных КТ с изменениями височных костей всех 11 пациентов (22 уха) выявил частичную облитерацию улиток в 20 наблюдениях, у 1 пациента с одной стороны на фоне аномалии Мондини облитерации улитки не было выявлено, с другой — была обнаружена полная костная облитерация улитки. По данным МРТ, в тех же наблюдениях нормальное количество жидкости в улитке было выявлено в 15 случаях, в 1 — определялось уменьшенное количество внутриулитковой жидкости, в 6 — жидкость отсутствовала. Данные результаты повлияли не только на выбор стороны операции, но и позволили хирургу выбрать необходимый тип электродной решетки кохлеарного импланта: в 6 случаях использовалась прямая электродная решетка, в 5 — перимодиолярная.
В то же время отсутствие поражения улитки в 84% наблюдений после перенесенного менингита является хорошим прогностическим показателем успешной реабилитации оглохшего вследствие менингита больного.
Все пациенты обеих групп были успешно прооперированы, операцию перенесли удовлетворительно, перимодиолярная электродная решетка была введена полностью у 144 пациентов. У пациентов с облитерацией улитки, выявленной в предоперационном периоде, в 5 случаях электродная решетка импланта double array и в 1 — прямая были введены не полностью, так как облитерация основного завитка составляла более 4,0 мм.
Выводы
1. КТ и МРТ височных костей позволяют выявить индивидуальные особенности строения наружного, среднего и внутреннего уха, которые могут влиять на процесс интракохлеарного размещения электродной решетки кохлеарного импланта в улитке и являются прогностическими критериями при планировании хирургического вмешательства.
2. МРТ имеет преимущество перед КТ в диагностике ранней облитерации улитки.
3. КТ и МРТ являются обязательными методами обследования пациентов с глухотой, возникшей вследствие менингита. Совокупность данных КТ и МРТ позволяет хирургу выбрать оптимальную сторону проведения КИ.
КТ, МРТ при гипоплазии улитки
а) Терминология:
1. Синоним:
• Отсутствие улитки
2. Определение:
• Отсутствие улитки; преддверие, полукружные каналы (ПКК), внутренний слуховой канал (ВСК) присутствуют в той или иной форме
б) Визуализация:
• Лучший диагностический критерий:
о Отсутствие улитки, дисморфия преддверия и ПКК
• Локализация:
о Передний отдел перепончатого лабиринта

(Слева) На рисунке в аксиальной плоскости показаны признаки аплазии улитки, включая уменьшение внутреннего слухового канала (ВСК) с отсутствием улитковою нерва, улитки; с мальформацией преддверия и полукружного канала, уплощением переднею колена ЧH VII.
(Справа) При аксиальной МРТ SPACE у четырехмесячной девочки с врожденной НСТУ отсутствует улитка. Определяется глобулярная аномалия преддверия и горизонтального полукружного канала. В коротком и узком внутреннем слуховом канале находятся преддверный и лицевой нервы. Улитковый нерв не визуализируется.
1. КТ при аплазии улитки:
• КТ в костном окне:
о Улитка: отсутствует с одной или с обеих сторон
о Канал улиткового нерва: отсутствует
о Мыс улитки: гипоплазия, уплощение
о Преддверие и ПКК: мальформация, шаровидная форма, расширение или гипоплазия (часто)
о Водопровод преддверия: обычно норма
о Канал лицевого нерва: аномальный тупой угол переднего колена
о ВСК: обычно гипоплазия
о Среднее ухо: нормальный размер
о Слуховые косточки: норма или мальформация стремечка
о Овальное окно: норма или стеноз/атрезия
о Круглое окно: атрезия
2. МРТ при аплазии улитки:
• Т2 ВИ:
о Улитка и улитковый нерв: отсутствуют
о Преддверие и ПКК: различные нарушения
3. Рекомендации по визуализации:
• Лучший метод визуализации:
о КТ или МРТ височных костей

(Слева) При аксиальной КТ в костном окне у этой же пациентки отсутствует улитка, определяется легкое уплощение мыса улитки.
(Справа) При аксиальной КТ в костном окне у этой же пациентки определяется глобулярная мальформация преддверия и горизонтального полукружною канала. Визуализируется короткий и узкий ВСК. Частично визуализируется переднее колено лицевого нерва, идущее под тупым углом, канал лицевого нерва имеет аномальный ход.
в) Дифференциальная диагностика аплазии улитки:
1. Аплазия лабиринта:
• Улитка, преддверие и ПКК отсутствуют
• Эмбриогенез: остановка развития на 3-й неделе гестации
2. Деформация общей полости:
• Общая полость, сформированная расширенной улиткой и преддверием
• Эмбриогенез: остановка развития на 4-й неделе гестации
3. Кистозная аномалия улитки и преддверия:
• Кистозные изменения улитки и преддверия с отсутствием внутренней архитектуры
• Эмбриогенез: остановка развития на 5-й неделе гестации
4. Оссифицирующий лабиринтит:
• Клинические проявления: приобретенная нейросенсорная тугоухость (НСТУ), обычно после менингита
• Выраженное обызвествление перепончатого лабиринта, нормальный мыс
г) Патология:
1. Общая характеристика:
• Этиология:
о Неизвестна
• Сопутствующие патологические изменения:
о Возможно расширение преддверия и ПКК
• Эмбриология:
о Остановка развития ушной плакоды в конце 3-й недели гестации
2. Макроскопические и хирургические особенности:
• Улитка отсутствует; остальные структуры внутреннего уха обычно присутствуют, но патологически изменены
д) Клинические особенности:
1. Проявления:
• Типичные признаки/симптомы
о Врожденная НСТУ, обычно двухсторонняя
2. Демография:
• Возраст:
о Присутствует при рождении
• Эпидемиология:
о Крайне редкая аномалия внутреннего уха
о
3. Лечение:
• Двухсторонняя НСТУ + двухсторонняя аплазия улитки: стволовая акустическая имплантация
• Кохлеарная имплантация противопоказана при отсутствии улитки:
о Отсутствует улитковый нерв
о В единичных случаях при выраженной в той или иной степени функции нерва выполняется имплантация преддверия, при условии положительного аудиологического исследования
е) Диагностическая памятка. Следует учесть:
• Диагноз аплазии улитки устанавливается, если улитка не визуализируется на КТ или МРТ Т2, но остальные отделы перепончатого лабиринта присутствуют:
о Важно отличать аплазию от облитеративной оссификации улитки
ж) Список использованной литературы:
1. Sennaroglu L et al: Long-term results of ABI in children with severe inner ear malformations. Otol Neurotol, ePub, 2016
2. Kontorinis G et al: Aplasia of the cochlea: radiologic assessment and options for hearing rehabilitation. Otol Neurotol. 34(7): 1253-60, 2013
3. Jeong SW et al: Cochlear implantation in children with cochlear aplasia. Acta Otolaryngol. 132(9):910-5, 2012
4. Sennaroglu L et al: A new classification for cochleovestibular malformations. Laryngoscope. 112(12):2230-41, 2002
5. Jackler RK et al: Congenital malformations of the inner ear: a classification based on embryogenesis. Laryngoscope. 97(3 Pt 2 Suppl 40):2-14, 1987
1. Аббревиатура:
• Канал улиткового нерва (КУН)
2. Синонимы:
• Стеноз или атрезия апертуры улитки
3. Определения:
• Аплазия-гипоплазия КУН: сужение или отсутствие КУН
• Недоразвитие улиткового нерва (НУН): гипоплазия или отсутствие (аплазия) УН
б) Визуализация:
1. Общая характеристика:
• Лучший диагностический критерий:
о НУН: УН меньше, чем ЧН VII в норме (гипоплазия) или отсутствует (аплазия) на МРТ
о Ширина КУН: наименьший поперечный размер между дном внутреннего слухового канала (ВСК) и стержнем на аксиальных изображениях
о Стеноз КУН = ширина КУН о Утолщение стержня
• Локализация:
о КУН идет от дна ВСК до стержня
о УН (часть ЧН VIII) занимает передненижнее положение в ВСК
2. Рекомендации по визуализации:
• Лучший метод визуализации:
о 3D T2 ВИ МРТ (аксиальные и косые сагиттальные изображения)
• Выбор протокола:
о 3D SPACE/FIESTA и аналогичные последовательности
о Косые сагиттальные изображения перпендикулярно плоскости ЧН VIII

(Слева) При аксиальной КТ в костном окне у девочки 11 лет с глубокой двухсторонней нейросенсорной тугоухостью (НСТУ) определяется тяжелый стеноз канала улиткового нерва (КУН). Стержень и камеры улитки выглядят асимметричными. Определяется также легкое расширение водопровода преддверия.
(Справа) При аксиальной КТ в костном окне у четырехлетней девочки с глубокой правосторонней НСТУ определяется отсутствие КУН и выраженное утолщение стержня.
3. КТ при аплазии-гипоплазии улиткового нерва и канала улиткового нерва:
• КТ в костном окне:
о КУН:
- Норма: в некоторых случаях НУН на МРТ
- Стеноз: тяжесть варьирует
- Атрезия: полное отсутствие КУН
о Улитка:
- Нормальные завитки и нормальный стержень, нормальный или незначительно стенозированный КУН
- Нормальные завитки, утолщенный стержень, умеренный или тяжелый стеноз КУН
- Аномалия улитки со стенозом/атрезией КУН (менее типична), например, гипоплазия улитки
о Преддверие и полукружный канал (ПКК): норма (чаще всего); реже аномалии (синдромной этиологии)
о ВСК: норма или уменьшение, редко-отдельный канал ЧН VII («удвоение ВСК»)
о Канал ЧН VII: норма (чаще всего) или аномалия (редко)
4. МРТ при аплазии-гипоплазии улиткового нерва и канала улиткового нерва:
• УН: гипоплазия или аплазия:
о Нормальный КУН: спорадические случаи НУН
о Легкий стеноз КУН: нормальный УН или НУН
о Стеноз КУН о Стеноз КУН + сужение ВСК: НУН сложно выявить на МРТ из-за ↓ ЦСЖ вокруг ЧН VIII и ЧН VII
• Преддверные нервы (ПН):
о ВСК в норме: ПН обычно не изменены
о Сужение ВСК: норма или недоразвитие ПН
• Мальформации улитки, преддверия и ПКК нетипичны

(Слева) При аксиальной МРТ Т2 SPACE у годовалого мальчика с глубокой левосторонней НСТУ визуализируется нормальный УН справа, преддверные нервы с обеих сторон не изменены. Левый УН отсутствует, КУН слева слегка стенозирован.
(Справа) При сагиттальной косой MPT Т2 SPACE у годовалого мальчика с глубокой левосторонней НСТУ левый УН отсутствует, видны нормальные преддверные нервы и лицевой нерв.
в) Дифференциальная диагностика аплазии-гипоплазии улиткового нерва и канала улиткового нерва:
1. Синдром CHARGE:
• Стеноз/атрезия КУН, недоразвитие ЧН VIII, гипоплазия преддверия, отсутствие/гипоплазия ПКК
2. Аплазия улитки:
• Улитка отсутствует
3. Гипоплазия улитки:
• Маленькая улитка,
г) Клинические особенности:
1. Проявления:
• Типичные признаки/симптомы:
о Врожденная нейросенсорная тугоухость (НСТУ):
- Односторонняя» двухсторонняя НСТУ; обычно статическая
- Нейральный тип НСТУ типичен для изолированного НУН:
При односторонней НСТУ нейрального типа у детей аплазия УН обнаруживается в 73% случаев
о Распространенность односторонней глубокой НСТУ 0,1 — 0,2 %
- 50%: изолированная гипоплазия УН ±стеноз КУН
о Дисфункция ПН различной степени выраженности
2. Лечение:
• Кохлеарная имплантация противопоказана при отсутствии УН:
о Стволовая имплантация может быть успешной
д) Диагностическая памятка:
1. Следует учесть:
• НУН: наиболее типичная находка при НСТУ нейрального типа у детей
• При односторонней слуховой нейропатии при нормальных УН; при опухолях, мальформациях ствола мозга, повреждениях
2. Советы по интерпретации изображений:
• В большинстве случаев НУН определяется нормальная улитка, стеноз КУН ± утолщение стержня
3. Рекомендации по отчетности:
• НСТУ нейрального типа: оценка УН на МРТ
1. Аббревиатура:
• Гипоплазия улитки (ГУ)
2. Определение:
• Недоразвитие улитки: маленькая улитка, обычно
1. Общая характеристика:
• Лучший диагностический критерий:
о Маленькая улитка, обычно о В улитке часто отсутствуют внутренние перегородки

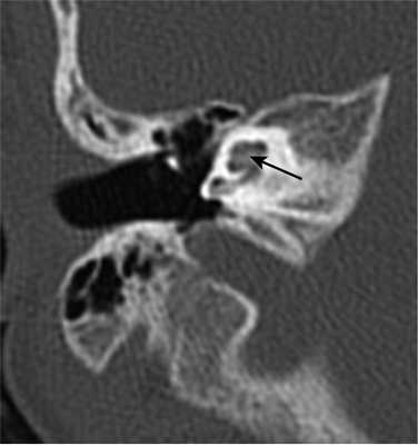
(Слева) При аксиальной КТ в костном окне у мальчика в возрасте 2,5 лет с глубокой двухсторонней врожденной нейросенсорной тугоухостью визуализируется маленькая бутонообразная структура, сопоставимая с гипоплазией улитки, изолированная от внутреннего слуховою канала (ВСК). Круглое окно отсутствует.
(Справа) При корональной КТ (реконструкция) у этого же пациента визуализируется маленькая зачаточная улитка (гипоплазия) без внутренней архитектуры.
2. КТ при гипоплазии улитки:
• КТ в костном окне:
о Изменения улитки:
- Различной степени выраженности, иногда асимметричные
- Маленькая улитка, обычно - Внутренняя структура улитки присутствует или отсутствует
- Единственный примитивный завиток или зачаточная форма
- Маленькая, кистозная, без стержня или межлестничной перегородки
- Маленькая, с внутренней архитектурой, с коротким стержнем
о Круглое окно: отсутствует или присутствует
о Канал улиткового нерва: отсутствует, сужен или расширен
о Внутренний слуховой канал: норма или сужение/аномалии
о Преддверие: норма, расширение, или гипоплазия
о Полукружные каналы (ПКК): норма, расширение, гипоплазия, отсутствие
о Водопровод преддверия: нормальный или увеличенный
о Канал лицевого нерва: аберрантый ход ± зияние
о Пространство и содержимое среднего уха: обычно норма
3. МРТ при гипоплазии улитки:
• Улитка: маленькая, • Улитковый нерв: отсутствие или гипоплазия (часто)
4. Рекомендации по визуализации:
• Лучший метод визуализации:
о Тонкосрезовая (о Тонкосрезовая (≤1 мм) МРТ высокого разрешения
• Выбор протокола:
о МРТ 3D T2 SPACE или FIESTA: компоненты ЧН VIII

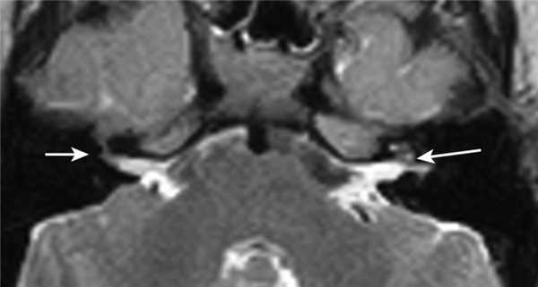
(Слева) При 3D МРТ Т2 SPACE у младенца мужского пола с глубокой двухсторонней нейросенсорной тугоухостью визуализируется единственный округлый завиток улитки без стержня.
(Справа) На более каудальном изображении у этого же ребенка визуализируется передний край единственного завитка улитки. ВСК и нижний вестибулярный нерв выглядят нормальными. Улитковый нерв не визуализируется, канал улиткового нерва отсутствует.
в) Дифференциальная диагностика гипоплазии улитки:
1. Неполное разделение улитки:
• Улитка имеет нормальный размер или увеличена
• Межлестничная перегородка отсутствует
• Стержень отсутствует
2. Неполное разделение улитки:
• Уменьшение стержня улитки ± расширение апикального и среднего завитков
• Дефицит перегородки между апикальным и средним завитком
• Расширение костного водопровода улитки (на КТ)
• Расширение эндолимфатического протока (на МРТ)
3. Бранхио-ото-ренальный синдром:
• Коническое сужение базального завитка улитки
• Гипоплазия и отсутствие дифференцировки среднего и апикального завитка улитки
4. Синдром CHARGE:
• Гипоплазия улитки (например, единственный завиток), уплощение апикального завитка или улитка нормального размера
• Стеноз канала улиткового нерва
• Маленькое преддверие
• Уменьшение или отсутствие ПКК
1. Общая характеристика:
• Этиология
о Неизвестная этиология; синдромные формы
2. Стадирование, классификация:
• ГУ I типа (маленький зачаток улитки)
о Отсутствие стержня или межлестничной перегородки
• ГУ II типа (маленькая кистозная улитка)
о Отсутствие стержня или межпестничной перегородки
• ГУ III типа (маленькая улитка, о Дефицит стержня и межпестничной перегородки
3. Макроскопические и хирургические особенности:
• Маленькая улитка
• Улитка: от зачаточного состояния до • Межлестничная перегородка улитки может отсутствовать или присутствовать
1. Проявления:
• Типичные признаки/симптомы:
о Врожденная нейросенсорная тугоухость (НСТУ)
• Другие признаки/симптомы:
о Различаются в зависимости от этиологии
2. Лечение:
• Двухстороння НСТУ + легкая ГУ: кохлеарная имплантация, если сохранен улитковый нерв:
о Для оценки наличия улиткового нерва во внутреннем слуховом канале используется 3D МРТ Т2 ВИ высокого разрешения в плоскости канала
е) Диагностическая памятка:
1. Следует учесть:
• ГУ при наличии маленькой улитки с
2. Советы по интерпретации изображений:
• Необходимо принять во внимание CHARGE: стеноз канала улиткового нерва, маленькое преддверие, гипоплазия/аплазия ПКК
• Следует учитывать бранхио-ото-ренальный синдром: коническое сужение базального завитка улитки:
о Гипоплазия, отсутствие дифференцировки среднего и апикального завитка
ж) Список использованной литературы:
1. Sennaroglu L: Cochlear implantation in inner ear malformations - a review article. Cochlear Implants Int. 11 (1):4-41, 2010
2. Teissier N et al: Computed tomography measurements of the normal and the pathologic cochlea in children. Pediatr Radiol. 40(3):275-83, 2010
«Проект: Аудиология» - сборник научно-практических материалов для профессионалов в области аудиологии и слухопротезирования, включающий материалы конференций, статьи по кохлеарной имплантации, отоневрологии и законодательные акты по сурдологии.

Аномалии развития внутреннего уха и кохлеарная имплантация
В.Е. Кузовков, Ю.К. Янов, С.В. Левин
Санкт-Петербургский научно-исследовательский институт уха, горла, носа и речи
Кохлеарная имплантация (КИ) в настоящее время является общепризнанным в мировой практике и наиболее перспективным направлением реабилитации лиц, страдающих сенсоневральной тугоухостью высокой степени и глухотой, с последующей интеграцией их в среду слышащих. В современной литературе достаточно широко освещены вопросы классификации аномалий развития внутреннего уха, в том числе применительно к КИ, описаны хирургические методики проведения КИ при данной патологии. Мировой опыт КИ у лиц с аномалиями развития внутреннего уха насчитывает более 10 лет. В то же время в отечественной литературе отсутствуют работы по данной тематике.
В Санкт-Петербургском НИИ уха, горла, носа и речи впервые в России стала выполняться КИ у лиц, имеющих аномалии развития внутреннего уха. Трехлетний опыт подобных операций, наличие успешных результатов таких вмешательств, а также недостаточное количество литературы по данному вопросу, послужили причиной выполнения данной работы.
Классификация аномалий развития внутреннего уха. Современное состояние вопроса.
С появлением в конце 80-х – начале 90-х г.г. компьютерной томографии (КТ) высокого разрешения и магнитно-резонансной томографии (МРТ) данные методики стали широко применяться для диагностики наследственной тугоухости и глухоты, особенно при определении показаний к КИ. С помощью этих прогрессивных и высокоточных методик были выявлены новые аномалии, которые не укладывались в существовавшие классификации F. Siebenmann [5] и K. Terrahe [7]. В результате чего R.K. Jackler [1, 2] были предложена новая классификация, расширенная и модифицированная N. Marangos [4] и L. Sennaroglu [5]. Однако, следует отметить, что, в частности, МРТ в настоящее время выявляет настолько тонкие детали, что обнаруживаемые мальформации бывает трудно классифицировать [3, 4].
В своей классификации аномалий развития внутреннего уха, основанной на данных обычной рентгенографии и первых данных КТ, R.K. Jackler [1] принимал во внимание отдельное развитие преддверно-полукружной и преддверно-улитковой частей единой системы. Автор предположил, что различные типы аномалий появляются в результате задержки или нарушения развития на определенной стадии последнего. Таким образом, обнаруживаемые типы мальформаций соотносятся с временем нарушения. Позже автор рекомендовал относить комбинированные аномалии к категории А, и предположил связь таких аномалий с наличием расширенного водопровода преддверия (табл.1).
В классификации N. Marangos [3] включены неполное или аберрантное развитие лабиринта (табл. 2, пункт 5).
Таблица 2
Классификация аномалий развития внутреннего уха по N. Marangos
| Категория | Подгруппа |
| А = неполное эмбриональное развитие | 1. Полная аплазия внутреннего уха (аномалия Michel) 2. Общая полость (отоцист) 3. Аплазия/гипоплазия улитки (нормальный «задний» лабиринт) 4. Аплазия/гипоплазия «заднего лабиринта» (нормальная улитка) 5. Гипоплазия всего лабиринта 6. Дисплазия Mondini |
| В = аберрантное эмбриональное развитие | 1. Расширенный водопровод преддверия 2. Узкий внутренний слуховой проход (внутрикостный диаметр менее 2 мм) 3. Длинный поперечный гребень (crista transversa) 4. Внутренний слуховой проход, разделенный на 3 части 5. Неполное кохлеомеатальное разделение (внутреннего слухового прохода и улитки) |
| С = изолированные наследственные аномалии | Х-связанная тугоухость |
| D | Аномалии при наследственных синдромах |
Таким образом, описаны четыре категории (A-D) аномалий развития внутреннего уха. Расширенным водопровод преддверия автор считает, если межкостное расстояние в средней части превышает 2 мм, тогда как другие авторы приводят цифру в 1,5 мм.
L. Sennaroglu [4] дифференцирует 5 основных групп (табл. 3): аномалии развития улитки, преддверия, полукружных каналов, внутреннего слухового прохода и водопровода преддверия или улитки.
Основные группы и конфигурации кохлеовестибулярных аномалий по L. Sennaroglu
| Основные группы | Конфигурация |
| Кохлеарные аномалии | Аномалия Michel / аплазия улитки / общая полость / неполное разделение тип I / гипоплазия улитки / неполное разделение тип II / нормальная улитка |
| Вестибулярные аномалии | Преддверие: отсутствие / гипоплазия / расширение (включая аномалию Michel и общую полость) |
| Аномалии полукружных каналов | Отсутствие / гипоплазия / увеличенные размеры |
| Аномалии внутреннего слухового прохода | Отсутствие / узкий / расширенный |
| Аномалии водопроводов преддверия и улитки | Расширенный / нормальный |
Кохлеарные мальформации (табл. 4) были разделены автором по степени выраженности на шесть категорий в зависимости от времени нарушения нормального хода эмбрионального развития. Эта классификация аномалий развития улитки включает неполное разделение I и II типов.
Таблица 4
Классификация аномалий улитки по времени нарушения внутриутробного развития по L. Sennaroglu
| Кохлеарные мальформации | Описание |
| Аномалия Michel (3-я неделя) | Полное отсутствие кохлеовестибулярных структур, часто – апластичный внутренний слуховой проход, чаще всего – нормальный водопровод преддверия |
| Аплазия улитки (конец 3-ей недели) | Улитка отсутствует, нормальное, расширенное или гипопластическое преддверие, и система полукружных каналов, часто – расширенный внутренний слуховой проход, чаще всего – нормальный водопровод преддверия |
| Общая полость (4-ая неделя) | Улитка и преддверие – единое пространство без внутренней архитектуры, нормальная или деформированная система полукружных каналов, либо ее отсутствие; внутренний слуховой проход чаще расширен, чем сужен; чаще всего – нормальный водопровод преддверия |
| Неполное разделение тип II (5-ая неделя) | Улитка представлена единой полостью без внутренней архитектуры; расширенное преддверие; чаще всего – расширенный внутренний слуховой проход; отсутствующая, расширенная или нормальная система полукружных каналов; нормальный водопровод преддверия |
| Гипоплазия улитки (6-ая неделя) | Четкое разделение кохлеарных и вестибулярных структур, улитка в виде пузырька небольших размеров; отсутствие или гипоплазия преддверия и системы полукружных каналов; суженный или нормальный внутренний слуховой проход; нормальный водопровод преддверия |
| Неполное разделение, тип II (аномалия Мондини) (7-ая неделя) | Улитка в 1,5 завитка, кистозно расширенные средний и апикальный завитки; размеры улитки близки к норме; незначительно расширенное преддверие; нормальная система полукружных каналов, расширенный водопровод преддверия |
Учитывая вышеизложенные современные представления о видах кохлеовестибулярных нарушений, мы используем классификации R.K. Jackler и L. Sennaroglu, как наиболее соответствующие находкам, встречающимся в собственной практике.
Принимая во внимание небольшое число прооперированных пациентов, ниже представлен один случай успешной КИ при аномалии развития внутреннего уха.
Случай из практики.
В СПб НИИ ЛОР в марте 2007 года обратились родители пациентки К., 2005 года рождения с жалобами на отсутствие у ребенка реакции на звуки и отсутствие речи. В ходе обследования был установлен диагноз: Хроническая двухсторонняя сенсоневральная тугоухость IV степени, врожденной этиологии. Вторичное расстройство рецептивной и экспрессивной речи. Последствия перенесенной внутриутробной цитомегаловирусной инфекции, внутриутробного поражения центральной нервной системы. Резидуально-органическое поражение центральной нервной системы. Левосторонний спастический верхний монопарез. Аплазия I пальца левой кисти. Дисплазия тазобедренных суставов. Спастическая кривошея. Тазовая дистопия гипоплазированной правой почки. Задержка психомоторного развития.
По заключению детского психолога – познавательные способности ребенка в пределах возрастной нормы, интеллект сохранен.

При проведении игровой аудиометрии в слуховых аппаратах выявлены реакции на звуки интенсивностью 80-95 дБ в диапазоне частот от 250 до 1000 Гц.
КТ височных костей выявила наличие двухсторонней аномалии развития улитки в виде неполного разделения I типа (табл. 4). При этом данное утверждение верно как для левого, так и для правого уха, несмотря на различную, на первый взгляд, картину (рис.1).
Рис. 1. Данные КТ пациентки К.

Примечание: Так, справа (1) улитка представлена небольшой полостью, максимальный размер которой составляет не более 5 мм, преддверие и полукружные каналы отсутствуют. Слева (2) улитка представлена единой полостью без внутренней архитектуры, отмечается наличие расширенного преддверия (рис. 2, стрелка); расширенная система полукружных каналов (рис. 3, стрелка).
Рис.2. Расширенное преддверие слева

Рис. 3. Расширенная и деформированная система полукружных каналов слева
После обследования пациентке проведена КИ на левом ухе классическим доступом через антромастоидотомию и заднюю тимпанотомию, с введением электрода через кохлеостому. Для операции использовался специальный укороченный электрод (Med-El, Австрия), имеющий рабочую длину активного электрода около 12 мм, специально разработанный для применения в случаях аномалии или оссификации улитки.
Несмотря на сохранные слуховые косточки и сухожилие стременной мышцы, акустические рефлексы со стременной мышцы в ходе операции зафиксированы не были. Однако, при проведении телеметрии нервного ответа, были получены четкие ответы при стимуляции 7 электродов из 12.

Послеоперационная трансорбитальная рентгенография улиток выявила, что активный электрод импланта находится в общей полости (рис. 4, стрелка), приняв форму идеальной окружности.
Рис. 4. Трансорбитальная рентгенография. Укороченный электрод в общей полости.
При контрольном аудиологическом обследовании через год после операции у пациентки обнаружены реакции в свободном звуковом поле на звуки интенсивностью в 15-20 дБ в диапазоне частот от 250 до 4000 Гц. Речь пациентки представлена одно- и двусложными словами («мама», «дай», «пить», «киса» и др.), простой фразой из не более двух одно- или двусложных слов. Учитывая то, что возраст пациентки на момент повторного обследования составлял менее 3 лет, результаты слухоречевой реабилитации в данном случае следует считать отличными.
Современная классификация аномалий развития внутреннего уха не только дает представление о многообразии такой патологии и времени появления дефекта в процессе внутриутробного развития, но и является полезной при определении показаний к проведению кохлеарной имплантации, в процессе выбора тактики для проведения вмешательства. Представленное в работе наблюдение позволяет оценить возможности кохлеарной имплантации, как средства реабилитации, в сложных случаях, расширяет представления о показаниях к проведению имплантации.
Читайте также:
- Операция чрезкожной внутрикоронарной антиопластики. Тромболизис и снятие спазмов коронарных артерий
- Ложный неврит или псевдоневрит зрительного нерва. Остатки эмбриональной артерии зрительного нерва
- Лечение сходящегося косоглазия без операции (инфантильной эзотропии)
- Причины слуховой нейропатии и ее патогенез
- Грибковые инфекции мочевыводящих путей
