КТ, МРТ при хондросаркоме жевательного пространства
Добавил пользователь Владимир З. Обновлено: 18.12.2025
а) Терминология:
1. Синонимы:
• Саркома жевательного пространства (ЖП)
• Множество вариантов: рабдомиосаркома, лейомиосаркома, саркома Юинга, синовиальная саркома, липосаркома, фибросаркома
2. Определение:
• Саркома жевательного пространства (ЖП): злокачественная опухоль мягкотканного происхождения (жировая клетчатка, мышцы, нервы, суставы, кровеносные сосуды, глубокие ткани кожи), которая расположена в жевательном пространстве надподъязычной области шеи
б) Визуализация:
1. Общая характеристика:
• Лучший диагностический критерий:
о Агрессивное новообразование с неровными контурами, которое разрушает костные ткани и прорастает в близлежащие фасциальные пространства
• Локализация:
о Жевательное пространство, часто распространяется за его пределы
• Размер:
о Часто крупное (>4см), несмотря на поверхностную локализацию
• Морфология:
о Нечеткие границы ± многодольчатое строение

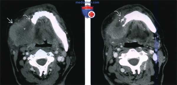
(Слева) КТ с КУ, аксиальная проекция. Злокачественная фиброзная гистиоцитома жевательного пространства и нижней челюсти. Солидная опухоль, которая умеренно накапливает контраст, располагается в правом жевательном пространстве и разрушает нижнюю челюсть, в том числе ее ветвь и тело. Жевательное пространство представляет собой глубокую область лица, в которой может возникать саркома.
(Справа) КТ с КУ, аксиальная проекция, тот же пациент. Солидная опухоль, умеренно накапливающая контраст, разрушает значительную часть нижней челюсти.
2. КТ при саркоме жевательного пространства:
• КТ с КУ:
о Возможны различные варианты накопления контраста:
- Обычно неоднородное накопление
• КТ в костном окне:
о Инвазивная опухоль жевательного пространства, разрушающая нижнюю челюсть, скуловую дугу или крыловидные отростки:
- Остеосаркомы челюсти прорастают в мягкие ткани в большинстве случаев (72%)
о Кальцификаты или образование костной ткани могут наблюдаться при любом варианте сарком:
- Чаще всего при остеосаркоме (72%), хондросаркоме, синовиальной саркоме или саркоме Юинга
- Периостальная реакция отмечается при 62% всех остеосарком челюсти
3. МРТ при саркоме жевательного пространства:
• Т1ВИ:
о Изо- или гиперинтенсивный относительно здоровых мышц сигнал, часто неоднородный
о Замещение нормального сигнала от костного мозга
• Т2ВИ:
о Неоднородный гиперинтенсивный относительно мышц сигнал
• STIR:
о Неоднородный гиперинтенсивный относительно мышц сигнал
• ДВИ:
о Количественные значения кажущегося коэффициента диффузии помогают дифференцировать инфекционный процесс от саркомы
о Ключевым значением считается 1,20 х 10 -3 мм 2c-1
- Более высокие цифры говорят об инфекционном процессе
- Более низкие цифры говорят о злокачественном процессе
• Т1 ВИ с КУ:
о Типично неоднородное накопление контраста
5. Рекомендации по визуализации:
• Лучший метод визуализации:
о КТ в костном окне тонкими срезами + MPT Т1ВИ с контрастированием:
- МРТ: оценка состояния мягких тканей, наличии периневрального распространения
- КТ в костном окне: позволяет оценить матрикс саркомы ± наличие костно-деструктивных изменений

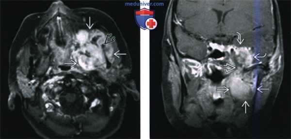
(Слева) МРТ Т1ВИ FS с КУ, аксиальная проекция. Лейомиосаркома жевательного пространства высокой степени злокачественности. Опухоль неоднородно накапливает контраст и прорастает в нижнюю челюсть. Только по данным лучевой диагностики дифференцировать различные типы сарком невозможно, за исключением случаев обнаружения матрикса остео- или хондросаркомы.
(Справа) МРТ Т1ВИ FS с КУ, коронарная проекция, тот же пациент. Новообразование, накапливающее контраст, распространяется в полость черепа через овальное отверстие. Отсюда опухоль может прорастать в пещеристый синус.
в) Дифференциальная диагностика:
1. Абсцесс жевательного пространства:
• Скопление жидкости в жевательном пространстве с периферическим кольцом накопления контраста ± остеомиелит нижней челюсти
2. Остеомиелит нижней челюсти:
• Деструкция кости без формирования остеоидной ткани
• Возможно формирование секвестров
3. Инвазивный плоскоклеточный рак:
• Плоскоклеточный рак небной миндалины:
о Новообразование небной миндалины прорастает в расположенное рядом жевательное пространство
• Плоскоклеточный рак позадимолярного треугольника:
о Новообразование позадимолярного треугольника прорастает в расположенное рядом жевательное пространство
4. Метастазы в нижней челюсти:
• Агрессивные деструктивные изменения в кости
• Кальцификация или периостальная реакция отсутствуют
5. Кератокистозная одонтогенная опухоль (одонтогенная кератокиста):
• Кистозное образование, происходящее из нижней челюсти, которое характеризуется доброкачественным ростом и смещает окружающие ткани
6. Периневральное распостранение опухоли по нижнечелюстному нерву:
• Плоскоклеточный рак кожи подбородка или первичный рак полости рта и ротоглотки
• Опухоль распространяется по нижнечелюстному нерву в жевательное пространство

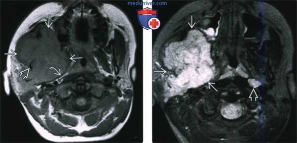
(Слева) МРТ Т1ВИ в аксиальной проекции. Саркома Юинга, локализующаяся в жевательном пространстве. Обратите внимание, что сигнал относительно здоровых мышц гиперинтенсивный. Нижняя челюсть разрушена, определяется лишь небольшой ее фрагмент. Жировая клетчатка окологлоточного пространства смещена в медиальную сторону.
(Справа) МРТ Т2ВИ FS, аксиальная проекция, тот же пациент. Неоднородный сигнал высокой интенсивности. Крупный лимфоузел в заглоточном пространстве слева представляет собой случайную находку.
г) Патология:
1. Общая характеристика:
• Этиология:
о Ионизирующее излучение (чаще всего вследствие лучевой терапии по поводу других опухолей):
- На него приходится - Между проведением лучевой терапии и постановкой диагноза проходит около 10 лет
о Семейный анамнез:
- Синдром Гарднера: повышен риск образования десмоид-ных опухолей (фибросаркомы низкой степени злокачественности) в брюшной полости
- Синдром Ли-Фраумени: повышен риск образования сарком мягких тканей и костей
- Ретинобластома (наследственная форма): повышен риск образования саркомы костей или мягких тканей
о Повреждение лимфоузла:
- Лифангиосаркомы изредка обнаруживают после хирургического удаление лимфоузла или после лучевой терапии
• Генетические факторы:
о Мутации ДНК в саркомах мягких тканей встречаются часто
2. Стадирование, классификация саркомы жевательного пространства:
• Гистологическая классификация:
о G1: микроскопические характеристики здоровой ткани (медленный рост)
о G2: микроскопические характеристики напоминают здоровую ткань (более быстрый рост)
о G3: микроскопические характеристики лишь отдаленно напоминают здоровую ткань (быстрый рост)
о G4: микроскопические характеристики радикально отличаются от нормы (самый быстрый рост)
• Т-система стадирования:
о Т1: опухоль < 5см
о Т2: опухоль > 5см:
- а: поверхностное расположение
- b: глубокое расположение
• Анатомические стадии/прогностические группы согласно Американскому объединенному комитету по раку:
о Стадия IA: G1-2, Т1 (а или b), N0, М0
о Стадия IB: G1-2, Т2а, N0, М0
о Стадия IIА: G1-2, Т2b, N0, М0
о Стадия IIB: G3-4, Т1 (а или b), N0, М0
о Стадия IIС: G3-4, Т2а, N0, М0
о Стадия III: G3-4, Т2b, N0, М0
о Стадия IVA: Любая G, любая Т, N1, М0
о Стадия IVB: Любая G, любая Т, любая N, М1
3. Макроскопические и хирургические особенности:
• Патоморфологические характеристики зависят от варианта саркомы
• Неоднородное образование с оссифицированными (желто-белые, плотные) и неоссифицированными участками (мягкие, бурого цвета, с участками кровоизлияния и некроза)
• Периостальная реакция: участки формирования новой ткани на периферии опухоли
4. Микроскопия:
• Опухоли с низкой степенью злокачественности:
о Мало митозов, клеточная атипия выражена слабо или отсутствует, относительно неинфильтративный характер роста
• Опухоли с высокой степенью злокачественности:
о Выраженная клеточная атипия, гиперхроматизм, ядерный плеоморфизм, инфильтративный характер роста
д) Клинические особенности:
1. Проявления:
• Типичные признаки/симптомы:
о Увеличивающееся в размерах болезненное новообразование, расположенное над нижней челюстью
о Другие признаки/симптомы:
- При поражении основания черепа достаточно часто встречаются нарушения со стороны черепных нервов
2. Демография:
• Возраст:
о Средний возраст: 35 лет
• Пол:
о М:Ж=2:1
• Эпидемиология:
о В США регистрируется около 8000 новых случаев в год
3. Течение и прогноз:
• Стадия I = пятилетняя выживаемость 99%; рецидив 20%
• Стадия II = пятилетняя выживаемость 80%; рецидив 35%
• Стадия III = пятилетняя выживаемость 50%; рецидив 65%
• Стадия IV = пятилетняя выживаемость 10%
4. Лечение саркомы жевательного пространства:
• При планировании лечения значение имеет не только патоморфология и стадия по TNM, но и локализация опухоли:
о Лечение обычно мультимодальное
• Стадия I: хирургическое удаление; лучевая терапия в случае, если опухоль не была полностью удалена:
о Лучевая терапия при неоперабельных опухолях (например, если она окружает жизненно важные структуры)
• Стадия II: цель - хирургическое удаление с захватом здоровых тканей в 2 см:
о Достаточно часто используется пред- или послеоперационная лучевая терапия; химиотерапия используется реже
• Стадия III: для снижения риска рецидива хирургическое лечение обычно сочетается с химио- и лучевой терапией
• Стадия IV: хирургическое и лучевое лечение, хирургическое удаление метастазов
• В настоящее время исследуются экспериментальные методы лечения, например, иммунотерапия интерлейкином-2
• В особенных случаях возможно проведение адъювантной химиотерапии
• При рецидивах рабдомиосаркомы используется радиочастотная абляция
е) Диагностическая памятка:
1. Следует учесть:
• Отсутствие известной первичной опухоли и клиники инфекционного поражения должно насторожить врача в отношении саркомы
• Деструкция нижней челюсти ± периневральное распространение опухоли по нижнечелюстному нерву в сторону основания черепа являются лучевыми признаками саркомы
2. Советы по интерпретации изображений:
• Подозрение на злокачественную природу опухоли по данным КТ или МРТ:
о Следует тщательно оценить состояние нижнего альвеолярного канала, отверстия нижней челюсти, овального отверстия и нижнечелюстного нерва на предмет наличия периневральной опухолевой инвазии
ж) Список использованной литературы:
1. Abdel Razek АА et al: Role of diffusion-weighted MRI in differentiation of masticator space malignancy from infection. Dentomaxillofac Radiol. 42(4):20120183, 2013
2. Wang S et al: Osteosarcoma of the jaws: demographic and CT imaging features. Dentomaxillofac Radiol. 41(1 ):37-42, 2012
3. Makimoto Y et al: Imaging findings of radiation-induced sarcoma of the head and neck. Br J Radiol. 80(958):790-7, 2007
4. Pandey M et al: Soft tissue sarcoma of the head and neck region in adults. Int J Oral MaxillofacSurg. 32(1):43-8, 2003
5. Potter BO et al: Sarcomas of the head and neck. Surg Oncol Clin N Am. 12(2):379-417, 2003
6. Folpe AL et al: (F-18) fluorodeoxyglucose positron emission tomography as a predictor of pathologic grade and other prognostic variables in bone and soft tissue sarcoma. Clin Cancer Res. 6(4): 1279-87, 2000
7. Patel SG et al: Radiation induced sarcoma of the head and neck. Head Neck. 21(4):346-54, 1999
8. Som PM et al: A re-evaluation of imaging criteria to assess aggressive masticator space tumors. Head Neck. 19(4):335-41, 1997
9. Lyos AT et al: Soft tissue sarcoma of the head and neck in children and adolescents. Cancer. 77(1): 193-200, 1996
10. Le Vay J et al: An assessment of prognostic factors in soft-tissue sarcoma of the head and neck. Arch Otolaryngol Head Neck Surg. 120(9):981-6,1994
11. Wanebo HJ et al: Head and neck sarcoma: report of the Head and Neck Sarcoma Registry. Society of Head and Neck Surgeons Committee on Research. Head Neck. 14(1): 1-7,1992
КТ, МРТ при хондросаркоме жевательного пространства
1. Аббревиатура:
• Хондросаркома жевательного пространства (ХСЖП)
2. Определение:
• Злокачественная опухоль хряща, возникающая в жевательном пространстве
1. Общая характеристика:
• Лучший диагностический критерий:
о Мягкотканное образование в ЖП возле нижней челюсти с вариабельной картиной обызвествления
• Локализация:
о Возле исходной кости (ХС неотделима от нее)
о В нижней челюсти поражаются преимущественно область моляров и ветвь
о Может распространяться книзу от основания черепа или височно-нижнечелюстного сустава (ВНЧС)
• Размер:
о Наиболее часто > 3 см на момент обнаружения
• Морфология:
о Округлая форма с волнистыми краями
2. Рентгенография при хондросаркоме жевательного пространства:
• Рентгенологические признаки:
о Расширение пространств периодонтальной связки лучше определяется на панорамных и периапикальных рентгенограммах

(Слева) На аксиальной КТ в костном окне визуализируется типичная хондросаркома ВНЧС с множественными кальцинатами. Мыщелок нижней челюсти слева неравномерно склерозирован, в ВНЧС и вокруг него визуализируются множественные мелкие очаговые кальцинаты.
(Справа) На сагиттальной реформатированной КТ у этого же пациента определяется деформация мыщелка. Некоторые кальцинаты, вероятно, находятся в мягкотканном компоненте за пределами сустава.
3. КТ при хондросаркоме жевательного пространства:
• КТ с КУ:
о Неоднородное, преимущественно периферическое контрастирование
о Опухоль с нечеткими контурами и протяженной переходной зоной
• КТ в костном окне:
о Рентгенонегативный очаг ± зоны обызвествления:
- Наличие и выраженность обызвествлений зависит от степени злокачественности опухоли
- Кальцинаты в виде колец и дуг наиболее характерны для опухолей низкой степени злокачественности
- В опухолях высокой степени злокачественности обызвествления выглядят аморфными или отсутствуют
о Эрозии исходной кости и окружающих костей (напр., основания черепа)
о Расширение суставной щели (если опухоль возникает в ВНЧС)
о При наличии периостальной реакции она обычно выражена минимально
4. МРТ при хондросаркоме жевательного пространства:
• Т1ВИ:
о Однородный промежуточный сигнал
о Неоднородный сигнал при наличии хрящевого матрикса или кальцинатов
о Инвазия кости лучше определяется без контрастирования:
- Замещение жирового костного мозга
• Т2ВИ:
о Типичен гиперинтенсивный сигнал
о Однородный или неоднородный в зависимости от выраженности и типа обызвествлений
о Может определяться отек костного мозга, мягких тканей
• Т1ВИ С+:
о Очаговое (часто периферическое) или диффузное контрастирование
о Выраженность контрастирования зависит от степени злокачественности:
- Выше в ХС высокой степени злокачественности
5. Рекомендации по визуализации:
• Лучший метод визуализации:
о На КТ обнаруживаются характерные кальцинаты; МРТ позволяет лучше оценить распространенность опухоли
• Выбор протокола:
о КТ с КУ в костном окне:
- КТ в костном окне лучше подходит для выявления характерных кальцинатов

(Слева) На аксиальной КТ с КУ в мягкотканном окне визуализируется гиподенсная опухоль (хондросаркома без включений кальция), окружающая ветвь нижней челюсти и распространяющаяся вокруг венечного отростка и мыщелка.
(Справа) На аксиальной КТ в костном окне определяется вздутие мыщелка и шейки нижней челюаи с наличием хондроидных кальцинатов. Отсутствие типичных для хондросаркомы кальцинатов в мягкотканном компоненте затрудняет диагностику.
в) Дифференциальная диагностика хондросаркомы жевательного пространства:
1. Инфекция жевательного пространства:
• Наиболее частая причина объемного образования в ЖП
• Обычно одонтогенной природы
• В отсутствие кальцинатов ХСЖП может имитировать инфекцию ЖП на изображениях
2. Синовиальный хондроматоз височно-нижнечелюстного сустава:
• Обызвествленные свободные тела в мягких тканях вокруг ВНЧС
• Картина «зерен риса»
• Патологический процесс обычно ограничен расширенной синовиальной полостью, но может приводить к эрозии основания черепа
3. Остеосаркома нижней челюсти:
• Наиболее частая саркома кости в ЖП
• Вновь сформированная костная ткань в виде «кучевых облаков»
• Лучистая периостальная реакция
• Прогноз при остеосаркоме хуже, чем при ХСЖП
4. Метастазы в нижней челюсти:
• Кальцинаты в метастазах рака легкого, молочной железы, толстой кишки
• Аморфные кальцинаты в метастазах муцинозных опухолей можно спутать с хондроидными обызвествлениями
• Поражаются челюсти, основание черепа, мягкие ткани

(Слева) На корональной КТ с КУ визуализируется обызвествленная опухоль в жевательном пространаве, распроараняющаяся через основание черепа. Картина обызвеавления характерна для высокодифференцированной хондросаркомы.
(Справа) На аксиальной MPT (Т1 ВИ) визуализируется опухоль с промежуточным сигналом вокруг ветви нижней челюсти справа. В данном случае картина хондросаркомы жевательного пространства неспецифична.
1. Общая характеристика:
• Этиология:
о ХСЖП преимущественно спорадические (75%)
о Могут сочетаться с иными состояниями или доброкачественными хондроидными опухолями:
- Остеохондрома
- Энхондрома
- БолезньОлье
- Синдром Маффуччи
- Болезнь Педжета
- Фиброзная дисплазия
- Синовиальный хондроматоз
- Облучение
- Воздействие торотраста
• ХСЖП может возникать в т.ч. в хрящевых суставах (ВНЧС):
о ХС ВНЧС обусловлена опухолевой дифференцировкой плюрипотентных мезенхимальных клеток
2. Стадирование, градации, классификация хондросаркомы жевательного пространства:
• Костная/внекостная форма
• Центральная (медуллярная)/периферическая (юкстакортикальная)
• Первичная/вторичная (связанная с энхондромой или остеохондромой)
• Гистологические подтипы ХС:
о Традиционная
о Миксоидная
о Светлоклеточная
о Мезенхимальная
о Дедифференцированная
• Гистологическая степень дифференцировки:
о Степень I (высокодифференцированная ХС): часто обнаруживаются кальцинаты и участки формирования костной ткани
о Степень II (умеренно дифференцированная ХС): преимущественно миксоидный (не хондроидный) матрикс
о Степень III (низкодифференцированная ХС): отсутствие матрикса, высокая митотическая активность (редкая форма)
3. Макроскопические и хирургические особенности:
• Твердая узловатая опухоль
• Цвет от коричневато-белого до опалесцирующего желтовато-серого
• Крупные кровоизлияния в опухолях высокой степени злокачественности
4. Микроскопия:
• Гиалиновый хрящ в матриксе
• Многоядерные лакуны с вариабельными ядрышками
• ХС может быть сложно отличить от хондробластической остеосаркомы
• Опухоли низкой степени злокачественности сложно отличить от энхондромы
1. Проявления:
• Типичные признаки/симптомы:
о Увеличивающаяся безболезненная опухоль в преаурикуляр-ной области:
- Скорость роста зависит от степени злокачественности
- Может быть ошибочно принята за опухоль околоушной железы
• Другие признаки/симптомы:
о Головная боль
о Выпадение или смещение зубов
о Дисфункция ЧМН V3
о ХС ВНЧС часто болезненны
2. Демография:
• Возраст:
о Любой, но наиболее часто 30-45 лет
• Эпидемиология:
о Вторая наиболее частая злокачественная опухоль костей (после остеосаркомы, не учитывая множественную миелому)
о ХС: 15% злокачественных костных опухолей
о 5-10% ХС возникают в области головы и шеи:
- Гортань, челюсти, кости лица, основание черепа, ВНЧС
- У детей чаще поражается глазница
3. Течение и прогноз:
• Местные рецидивы (50%):
о Возможны поздние рецидивы (10-20 лет)
• Метастазы нетипичны (7%)
• Пятилетняя выживаемость: 68% (степень I = 90%, степень II/III = 50%)
• Общий прогноз зависит от степени злокачественности опухоли, размера
• Возможна дедифференцировка в остеосаркому, злокачественную фиброзную гистиоцитому или фибросаркому
4. Лечение:
• Широкая локальная эксцизия
• Роль лучевой терапии, химиотерапии, криохирургии, иммунотерапии изменчива и противоречива
1. Следует учесть:
• Инфекционное поражение ЖП встречается намного чаще, чем саркома:
о При отсутствии кальцинатов в первую очередь предполагайте инфекцию
• При наличии объемного образования в ЖП без клинических признаков инфекции предполагайте опухоль:
о В первую очередь предполагайте периневральное распространение плоскоклеточного рака (ПКР) кожи, альвеолярного гребня нижней челюсти, позадимолярного треугольника по ходу V3
о При отсутствии признаков ПКР с инвазией ЖП, предполагайте первичную саркому ЖП
2. Советы по интерпретации изображений:
• Объемные образования ЖП необходимо наблюдать, пока не будет сделано заключение, что они не являются саркомами
• Вариабельная картина ХС затрудняет точную диагностику за исключением случаев с характерными кальцинатами:
о Крайне важно заподозрить опухоль; точный ее тип можно определить при оперативном вмешательстве
Хондросаркома жевательного пространства - лучевая диагностика
а) Терминология:
• Хондросаркома (ХС) жевательного пространства (ЖП)
б) Визуализация:
• Мягкотканное новообразование жевательного пространства, в нижней челюсти или возле нее, накапливает контраст и характеризуется различной степенью кальцификации
• Чаще всего возникает в области моляров и тела нижней челюсти
• Может распространяться вниз из вышележащих отделов, например, основания черепа или височно-нижнечелюстного сустава
• КТ в костном окне:
о Образование пониженной плотности ± участки отложения кальция
о Отложения кальция в виде колец и полуколец: низкая степень злокачественности
о Неоднородные отложения кальция или его отсутствие: высокая степень злокачественности
• МРТ:
о Опухоли высокой степени злокачественности интенсивнее накапливают контраст на Т1ВИ с контрастированием
о Неоднородное накопление контраста (на периферии)
о Прорастание в костные ткани лучше оценивать на Т1ВИ без контрастирования
о На Т2 ВИ интенсивность сигнала обычно высокая:
- Экстраоссальные хондросаркомы обычно имеют сигнал промежуточной интенсивности
- Для эксраоссальных хондросарком также характерны участки потери сигнала
(Слева) При МРТ Т1ВИ в аксиальной проекции определяется объемное образование с сигналом промежуточной интенсивности, которое деформирует жевательное пространство и смещает кпереди заднюю стенку левой верхнечелюстной пазухи. Во всех последовательностях видны небольшие участки низкой интенсивности сигнала, которые представляют собой кальцификаты.
(Справа) МРТ Т2ВИ в аксиальной проекции, этот же пациент. Новообразование имеет гиперинтенсивный сигнал, характерный для опухолей хрящевой ткани. (Слева) МРТ Т1ВИ с КУ, аксиальная проекция, этот же пациент. Образование имеет неоднородную структуру и интенсивно накапливает гадолиний.
(Справа) КТ с КУ в аксиальной проекции, костное окно, этот же пациент. Определяется крупное новообразование, в толще которого «рассеяны» кальцификаты, образующие кольца и арки. Это типичные хрящевые кальцификаты. Наличие кальцификатов обычно говорит о низкой степени злокачественности опухоли.
в) Дифференциальная диагностика:
• Инфекционные процессы жевательного пространства
• Синовиальный хондроматоз височно-нижнечелюстного сустава
• Одонтома
• Оссифицирующая фиброма нижней челюсти
• Фиброзная дисплазия нижней челюсти
• Остеосаркома нижней челюсти
г) Диагностическая памятка:
• В жевательном пространстве инфекционные заболевания встречаются гораздо чаще, чем саркомы:
о При отсутствии отложений Са++ в первую очередь следует думать об инфекционном процессе
• Всех больных с объемным образованием жевательного пространства следует отслеживать до полного разрешения процесса, чтобы убедиться в том, что образование не является саркомой
1. Синонимы:
• Саркома жевательного пространства (СаЖП)
• Другие саркомы: рабдомиосаркома, лейомиосаркома, саркома Юинга, синовиальная саркома, липосаркома, фибросаркома
2. Определение:
• СаЖП: злокачественная опухоль мягких тканей (жировой, мышечной, нервной; суставов, кровеносных сосудов, глубоких слоев кожи) в жевательном пространстве (ЖП) надподъязычной области шеи
1. Общая характеристика:
• Лучший диагностический критерий:
о Агрессивная, плохо отграниченная опухоль ЖП с деструкцией кости и инвазией соседних фасциальных пластинок/про-странств
• Локализация:
о ЖП; часто распространяется за пределы ЖП
• Размер:
о Часто большой (> 4 см) несмотря на поверхностное расположение ЖП
• Морфология:
о Расплывчатые ± бугристые контуры

(Слева) На аксиальной КТ с КУ в жевательном пространстве справа визуализируется злокачественная фиброзная гистиоцитома нижней челюсти в виде минимально контрастирующегося солидного объемного образования, разрушающего ветвь и тело нижней челюсти. Жевательное пространство является известным местом возникновения сарком глубоких областей ли ца.
(Справа) На аксиальной КТ с КУ у этого же пациента визуализируется опухоль в жевательном пространстве справа, приводящая к обширной деструкции нижней челюсти. Обратите внимание на асимметрию лица на стороне поражения.
2. КТ при саркоме жевательного пространства:
• КТ с КУ:
о Вариабельная картина контрастирования:
- Обычно неоднородное
• КТ в костном окне:
о Инвазивная опухоль в ЖП с деструкцией нижней челюсти, скуловой дуги или крыловидной пластинки
о В любой саркоме может наблюдаться продукция костной ткани или обызвествление:
- Преимущественно в остеосаркоме, хондросаркоме, синовиальной саркоме, саркоме Юинга
• КЛКТ:
о Метод аналогичен КТ в костном окне; ниже разрешающая способность для мягких тканей
о Иногда единственным признаком является воздействие на окружающую костную ткань (напр., периостальная реакция)
3. МРТ при саркоме жевательного пространства:
• Т1 ВИ:
о Изо- или гиперинтенсивный сигнал (часто неоднородный) относительно нормальных мышц
о Замещение нормального жирового сигнала при поражении нижней челюсти
• Т2 ВИ:
о Неоднородный гиперинтенсивный сигнал относительно мышц
• STIR:
о Неоднородный гиперинтенсивный сигнал по сравнению с мышцами
• Т1 ВИ С+:
о Типичное неравномерное контрастное усиление
4. Сцинтиграфия:
• Остеосцинтиграфия:
о Вспомогательный метод: остеосцинтиграфия с Тс-99m
• ПЭТ:
о Накопление F18 ФДГ
о Играет роль в планировании биопсии, прогнозировании степени злокачественности опухоли, оценке ответа на терапию
5. Рекомендации по визуализации:
• Лучший метод визуализации:
о Тонкосрезовая КТ в костном окне в сочетании с MPT (Т1 ВИ С+):
- МРТ для оценки мягких тканей, возможной инвазии нижней челюсти, периневрального распространения опухоли вдоль ЧМН V3
- КТ в костном окне для оценки матрикса саркомы ± деструктивных изменений костей

(Слева) На аксиальной МРТ (Т1 ВИ C+) в жевательном пространстве визуализируется лейомиосаркома высокой степени злокачественности, неравномерно накапливающая контраст и поражающая нижнюю челюсть. Большинство типов сарком жевательного пространства сложно дифференцировать в отсутствие костного или хондроидного матрикса.
(Справа) На корональной МРТ (Т1 ВИ С+ FS) у этого же пациента визуализируется контрастирующаяся опухоль с интракраниальным распространением через овальное отверстие а и поражением кавернозного синуса.
в) Дифференциальная диагностика саркомы жевательного пространства:
1. Венозная мальформация жевательного пространства:
• Многокамерное объемное образование с вероятными участками «выпадения» сигнала и кальцинатами (флеболитами)
2. Абсцесс жевательного пространства:
• Скопление жидкости в ЖП, окруженное контрастирующимся ободком ± остеомиелит нижней челюсти
3. Остеомиелит нижней челюсти:
• Деструкция кости без формирования остеоида
• Может обнаруживаться секвестрация
• Возможна линейная периостальная реакция
4. Инвазивный плоскоклеточный рак:
• Плоскоклеточный рак (ПКР) небной миндалины:
о Опухоль небной миндалины с инвазией подлежащего ЖП
• ПКР позадимолярного треугольника:
о Опухоль небной миндалины с инвазией ЖП
5. Периневральная опухоль ЧМН V3 в жевательном пространстве:
• ПКР кожи подбородка, первичный ПКР полости рта или ротоглотки
• Злокачественная опухоль, распространяющаяся вдоль ЧМН V3 в ЖП
6. Метастазы в нижней челюсти:
• Агрессивные деструктивные изменения костей
• Отсутствие периостальной реакции или кальцинатов в опухоли

(Слева) На аксиальной МРТ (Т1ВИ) в жевательном пространстве визуализируется саркома Юинга в виде огромного объемного образования с гиперинтенсивным относительно мышц сигналом. Ветвь нижней челюсти разрушена, на этом изображении виден лишь ее мелкий фрагмент. Полоска окологлоточного жира смещена кнутри.
(Справа) На аксиальной МРТ (Т2ВИ FS) у этого же пациента определяется неоднородный сигнал крайне высокой интенсивности в опухоли. Хорошо различимый заглоточный лимфоузел слева является случайной находкой.
1. Общая характеристика:
• Этиология:
о Ионизирующее излучение (ЛТ), преимущественно по поводу других опухолей:
- Обусловливает - Среднее время между ЛТ и выявлением саркомы - 10 лет
о Наследственность:
- Синдром Гарднера: риск десмоидных опухолей (фибросаркомы низкой степени злокачественности) в брюшной полости
- Синдром Ли-Фраумени: повышенный риск развития мягкотканных и костных сарком
- Ретинобластома (врожденная форма): повышенный риск развития сарком мягких тканей и костей
о Повреждение лимфоузла:
- Лимфангиосаркомы редко обнаруживаются после лимфодиссекции или в поле облучения
• Генетика:
о В мягкотканной саркоме часто встречаются мутации ДНК
2. Стадирование, градации, классификация саркомы жевательного пространства:
• Гистологическая градация:
о G1: микроскопически нормальная ткань (медленный рост)
о G2: ткань, микроскопически напоминающая нормальную (несколько более быстрый рост)
о G3: ткань, микроскопически лишь слегка напоминающая нормальную (более быстрый рост)
о G4: микроскопически патологическая ткань (наиболее быстрый рост)
• Стадия Т:
о T1: опухоль о T2: опухоль >5 см:
- а: поверхностная опухоль
- b: глубокая опухоль
• Анатомические стадии/прогностические группы АОКР:
о Стадия IA: G1—2, T1(а или b), N0, M0
о Стадия IB: G1-2, T2a, N0, M0
о Стадия IIA: G1-2, T2b, N0, M0
о Стадия IIB: G3-4, T1 (a или b), N0, M0
о Стадия IIC: G3-4, T2a, N0, M0
о Стадия III: G3-4, T2b, N0, M0
о Стадия IVA: любая G, любая Т, N1, M0
о Стадия IVB: любая G, любая Т, любая N, M1
3. Макроскопические и хирургические особенности:
• Патоморфологические изменения зависят от типа саркомы
• Неоднородная опухоль с оссифицированным (желтовато-белым, твердым) или неоссифицированным (мягким, цвета загара, с очагами кровоизлияний ± некроз) компонентом
• Периостальная реакция: пластинки вновь сформированной кости на периферии опухоли
4. Микроскопия:
• Опухоли низкой степени злокачественности:
о Малое количество фигур митоза, минимальная клеточная атипия (если присутствует), относительно неинфильтративная картина роста
• Опухоли высокой степени злокачественности:
о Выраженная клеточная атипия, гиперхроматизм, плеоморфизм ядер, инфильтративная картина роста
1. Проявления:
• Типичные признаки/симптомы:
о Увеличивающееся мягкотканное объемное образование в области нижней челюсти, нарастание боли
о Другие признаки/симптомы:
- Дефицит ЧМН (онемение, паралич жевательной мышцы) часто сопровождает поражение основания черепа
2. Демография:
• Возраст:
о Средний возраст: 35 лет
• Пол:
о М:Ж = 2:1
• Эпидемиология:
о 8000 новых случаев в год (в США)
3. Течение и прогноз:
• Стадия I: пятилетняя выживаемость: 99%; рецидив: 20%
• Стадия II: пятилетняя выживаемость: 80%; рецидив: 35%
• Стадия III: пятилетняя выживаемость: 50%; рецидив: 65%
• Стадия IVB: пятилетняя выживаемость: 10%
4. Лечение:
• При планировании лечения важно учитывать локализацию саркомы, ее патоморфологию и стадию TNM:
о Обычно рекомендуется мультимодальный подход
• Стадия I: хирургическое удаление; в сочетании с ЛТ в случае наличия опухоли в крае резектата:
о ЛТ может использоваться как основной метод при нерезекта-бельных опухолях (например, в случае обрастания жизненно важных структур)
• Стадия II: хирургическое лечение (эксцизия) с захватом 2 см здоровых тканей от края опухоли:
о Часто в сочетании с пред- и послеоперационной ЛТ, реже с химиотерапией
• Стадия III: оперативное лечение и ЛТ, часто в сочетании с химиотерапией, для снижения уровня рецидивов
• Стадия IV: оперативное лечение и ЛТ, хирургическое удаление метастазов
• Исследуются экспериментальные методы лечения, такие как иммунотерапия интерлейкином-2
• В нетипичных случаях используется адъювантная химиотерапия
• При рецидивирующей рабдомиосаркоме применяется радиочастотная абляция
1. Следует учесть:
• В отсутствие известной злокачественной опухоли (системной; головы и шеи) или симптомов сепсиса (абсцесс ЖП) наличие объемного образования в ЖП позволяет заподозрить саркому
• Деструкция нижней челюсти ± периневральное распространение опухоли по ходу ЧМН V3 к основанию черепа: подозрительные лучевые признаки саркомы
2. Советы по интерпретации изображений:
• КТ или МРТ при подозрении на злокачественную опухоль в ЖП:
о Тщательно исследуйте нижний альвеолярный канал, подбородочное отверстие, овальное отверстие, и другие отделы ЧМН V3 на предмет периневрального распространения опухоли
1. Аббревиатура:
• Хондросаркома (ХС)
2. Синонимы:
• Хондросаркома жевательного пространства (ЖП): злокачественная опухоль жевательного пространства, происходящая из хрящевой ткани
1. Общая характеристика:
• Лучший диагностический критерий:
о Мягкотканное новообразование ЖП, которое располагается в нижней челюсти или возле нее, накапливает контраст и характеризуется различной степенью кальцификации (Са++)
• Локализация:
о Расположена возле (неотличима от) причинной кости
о Чаще всего происходит из нижней челюсти, области моляров, ветви нижней челюсти
о Может распространяться книзу из области основания черепа или височно-нижнечелюстного сустава
о Экстраоссальные хондросаркомы без вовлечения в процесс костей встречаются редко (2%)
• Размер:
о При первичном обращении обычно >3 см
• Морфология:
о Округлая с дольчатыми краями
о Мягкотканная опухоль может иметь четкие края
2. Рентгенография:
• Рентгенограмма:
о Симметричное расширение пространства периодонта на панорамных снимках

(Слева) КТ в костном окне, аксиальная проекция. Типичная хондросаркома левого височно-нижнечелюстного суаава. Мыщелок нижней челюсти склерозирован и имеет неправильную форму, внутри и вокруг сустава рассеянны множественные кальцификаты. И хотя в данном случае достаточно сложно дифференцировать заболевание от синовиального хондроматоза, в обоих случаях лечение должно быть хирургическим, а точный диагноз будет установлен после гистологического исследования.
(Справа) Реконструкция в сагиттальной плоскости, этот же пациент. Мыщелок деформирован, а часть кальцификатов находится в мягких тканях вне сустава.
3. КТ при хондросаркоме жевательного пространства:
• КТ без контрастирования:
о Неоднородное накопление контраста, преимущественно на периферии
• КТ в костном окне:
о Новообразование с четко очерченными костными контурами и длинной переходной зоной
о Участки пониженной плотности ± участки отложения Са++:
- Наличие и количество отложений Са++ зависит от злокачественности опухоли
- Отложения кальция в виде колец и полуколец: низкая степень злокачественности
- Неоднородные отложения кальция или его отсутствие: высокая степень злокачественности
о Эрозия исходной кости и окружающих костей (например, основания черепа)
о Расширение сустава (если исходит из височно-нижнечелюстного сустава)
о Надкостница обычно не реагирует или реагирует слабо
4. МРТ при хондросаркоме жевательного пространства:
• Т1ВИ:
о Однородный сигнал промежуточный интенсивности
о Наличие хрящевого матрикса или Са++ делает сигнал неоднородным
о Инвазию в костную ткань лучше всего оценивать на Т1ВИ без контрастирования:
- Замещение костного мозга
• Т2ВИ:
о На Т2 ВИ обычно имеет интенсивный сигнал:
- Для эксраоссальной хондросаркомы больше характерен промежуточный сигнал
- Для эксраоссальных хондросарком также характерны участки потери сигнала
о В зависимости от количества и формы отложения Са++ сигнал однородный или неоднородный
о Иногда определяется отек костного мозга и мягких тканей
• Т1ВИ с КУ:
о Накопление контраста может быть как локальным (обычно по периферии), так и диффузным
о Интенсивность накопления контраста зависит от злокачественности опухоли:
- Опухоли высокой степени злокачественности интенсивнее накапливают контраст на Т1 ВИ с контрастированием
5. Рекомендации по визуализации:
• Лучший метод визуализации:
о При КТ хорошо визуализируются характерные отложения Са++, но при МРТ более четко видна степень распространенности опухоли
• Протокол исследования:
о При использовании КТ с контрастированием снимки стоит оценивать в костном окне:
- При КТ в костном окне проще всего визуализировать отложения Са++

(Слева) КТ с КУ, мягкотканное окно. Другой пример хондросаркомы жевательного пространства, на этот раз без кальцификатов. Образование низкой плотности окружает ветвь нижней челюаи и распространяется вокруг венечного отростка и мыщелка.
(Справа) КТ в костном окне, аксиальная проекция. Мыщелок и шейка нижней челюсти деформированы и содержат кальцификаты. Отсутствие характерных кальцификатов в мягкотканной части опухоли делает постановку диагноза затруднительной.
1. Инфекция жевательного пространства:
• Самая частая этиология объемных образований ЖП
• Обычно одонтогенной природы
• Некальцифицирующая хондросаркома на снимках может выглядеть как инфекционный процесс
2. Синовиальный хондроматоз височно-нижнечелюстного сустава:
• Область сустава заполнена мелкими редкими тельцами
• Участки свободной хрящевой ткани различной степени кальцификации
• Вид «зерен риса»
• Обычно патологические изменения ограничены расширенной суставной полостью, но иногда обнаруживается эрозия основания черепа
3. Одонтома:
• Составной вариант: небольшой зуб внутри новообразования
• Сложный вариант: аморфные отложения Са++ с участками плотной эмали
4. Оссифицирующая фиброма нижней челюсти:
• Доброкачественная одиночная опухоль челюсти
• Фиброзный центр, окруженный периферическим кольцом высокой плотности
• Характерный «звездчатый» характер отложения Са++
5. Фиброзная дисплазия нижней челюсти:
• Расширенная кость с характерным матриксом
• Кистозный вариант и вариант по типу «матового стекла», обычно сочетаются друг с другом
• Экспансивное, а не эрозивное образование, в отличие от хондросаркомы
• Только костный компонент, без мягкотканного
6. Остеосаркома нижней челюсти:
• Наиболее распространенная саркома жевательного пространства костного происхождения
• Образование новой костной ткани по типу «кучевого облака»
• «Лучистая» реакция надкостницы
• Прогноз при остеосаркоме хуже, чем при хондросаркоме
7. Метастазы в нижней челюсти:
• Отложения Са++ встречаются в метастазах при раке легких, предстательной железы, толстой кишки
• Неоднородные отложения Са++ при метастазах муцинозного рака можно принять за хондрокальциноз
• Метастазы поражают челюсть, основание черепа, мягкие ткани

(Слева) КТ в костном окне, аксиальная проекция. Типичная хондросаркома височно-нижнечелюстного сустава низкой степени злокачественности. Определяются небольшие кальцификаты дистрофической природы (либо кальцифицированный матрикс самого образования) и обширная деарукция/ремоделирова -ние суставной ямки.
(Справа) MPT Т2ВИ в аксиальной проекции, тот же пациент. Определяется дольчатое гиперинтенсивное образование с четкими контурами, которое окружает мыщелок нижней челюсти.
1. Общая характеристика:
• Этиология:
о Большинство случаев заболевания спорадические (75%)
о Предрасполагающие состояния:
- Остеохондрома
- Энхондрома
- Болезнь Оллье
- Синдром Маффуччи
- Болезнь Педжета
- Фиброзная дисплазия
- Синовиальный хондроматоз
- Воздействие радиации
- Воздействие торотраста
• Хондросаркома жевательного пространства может происходить, а может не происходить из области хрящевого соединения (височно-нижнечелюстной сустав):
о Хондросаркома височно-нижнечелюстного сустава возникает вследствие опухолевой дифференцировки плюрипотентных мезенхимальных клеток
2. Стадирование, классификация хондросаркомы жевательного пространства:
• Костная и внекостная
• Центральная (медуллярная) и периферическая (юкстакортикальная)
• Первичная и вторичная (связанная с энхондромой или остеохондромой)
• Гистологические варианты:
о Типичная
о Миксоидная
о Светлоклеточная
о Мезенхимальная
о Дедифференцированная
• Гистологические степени злокачественности:
о Степень I (высокодифференцированная): Са++ и формирование новой костной ткани встречаются часто
о Степень II (умеренно дифференцированная): матрикс миксоидный, а не хондроидный
о Степень III (низкодифференцированная): матрикс отсутствует, высокая митотическая активность (встречается редко)
3. Макроскопические и хирургические особенности:
• Плотное узловое образование
• Цвет от светло-коричневого до мутного серо-синего
• Кровоизлияния в опухолях высокой степени злокачественности
4. Микроскопия:
• Матрикс дольчатого гиалинового хряща
• Многоядерные лакуны с различным числом ядрышек
• Может быть сложно отличить от хондробластной остеосаркомы
• Опухоль низкой степени злокачественности сложно дифференцировать от энхондромы
1. Проявления:
• Типичные признаки/симптомы:
о Увеличивающееся в размерах безболезненное новообразование, расположенное кпереди от ушной раковины:
- Скорость роста зависит от степени злокачественности
- Можно спутать с опухолью околоушной слюнной железы
о Другие признаки/симптомы:
- Головная боль
- Выпадение зубов
- Нарушения со стороны нижнечелюстного нерва
- Хондросаркома, происходящая из височно-нижнечелюстного сустава, обычно сопровождается болевым синдромом
2. Демография:
• Возраст: любой, чаще всего 30-45 лет
• Эпидемиология:
о Вторая по частоте встречаемости злокачественная опухоль костной ткани (после остеосаркомы, не считая множественной миеломы)
о Хондросаркома = 15% всех злокачественных опухолей костной ткани
о 5-10% случаев приходятся на голову и шею:
- Поражаются гортань, челюсти, лицевой скелет, основание черепа, височно-нижнечелюстной сустав
- У детей достаточно часто поражается глазница
3. Течение и прогноз:
• Высокий риск местного рецидива (50%)
о Возможны поздние рецидивы (10-20 лет)
• Метастазирует редко (7%)
• Общая пятилетняя выживаемость: 68% (90% степень I; 50% степени II и III вместе)
• Прогноз зависит от степени злокачественности и размера опухоли на момент постановки диагноза:
о При наличии системных метастазов прогноз неблагоприятный
• Может дедифференцироваться в остеосаркому, злокачественную фиброзную гистиоцитому, фибросаркому
4. Лечение:
• Широкое хирургическое удаление
• Значение лучевой, химио-, крио-, иммунотерапии неоднозначно, данные методы в настоящий момент развиваются
1. Следует учесть:
• В жевательном пространстве заболевания инфекционной природы возникают гораздо чаще:
о При отсутствии кальцификатов в первую очередь следует думать об инфекции
• Если клинических данных за инфекционный процесс нет, следует думать об опухолевой природе:
о В первую очередь следует думать о периневральном распространении опухоли по волокнам нижнечелюстного нерва (плоскоклеточный рак кожи подбородка, альвеолярного гребня, позадимолярного треугольника)
о Если данных за распространение плоскоклеточного рака нет, следует думать о первичной саркоме ЖП
2. Советы по интерпретации изображений:
• Всех больных с объемным образованием жевательного пространства следует отслеживать до полного разрешения процесса, дабы убедиться в том, что образование не является саркомой
• Поскольку внешний вид хондросарком крайне вариабелен, отсутствие кальцификатов затрудняет диагностику:
о Крайне важно заподозрить опухоль; точный диагноз будет установлен интраоперационно
Читайте также:
