КТ, МРТ при хроническом риносинусите
Добавил пользователь Евгений Кузнецов Обновлено: 28.10.2025
Если перед вам стоит вопрос, что лучше сделать, МРТ или КТ носа, то нужно в деталях разобраться, в чем основная разница между этими видами томографии. Для начала нужно понимать, что как при КТ пазух носа, так и при МРТ носа врач получит трехмерное изображение, но на магнитно-резонансном томографе изображения получаются за счет воздействия магнитных волн, а при компьютерной томографии на ткани идет воздействие рентгеновских лучей - то есть, облучение, причем гораздо более сильное, чем при обычном рентгене (до 10 мЗв). Однако, одно-два КТ обследования в год особого вреда здоровью человеку не принесут. МР исследование пазух носа обычно назначают при диагностике мягких тканей самих пазух и при поиске каких-то опухолей, а вот КТ лучше показывает костные ткани, особенно носовую и лицевую кость.
Если перед вам стоит вопрос, что лучше сделать, МРТ или КТ носа, то нужно в деталях разобраться, в чем основная разница между этими видами томографии. Для начала нужно понимать, что как при КТ пазух носа, так и при МРТ носа врач получит трехмерное изображение, но на магнитно-резонансном томографе изображения получаются за счет воздействия магнитных волн, а при компьютерной томографии на ткани идет воздействие рентгеновских лучей - то есть, облучение, причем гораздо более сильное, чем при обычном рентгене (до 17мЗв). Однако, одно-два КТ обследования в год особого вреда здоровью человеку не принесут. МР исследование пазух носа обычно назначают при диагностике мягких тканей самих пазух и при поиске каких-то опухолей, а вот КТ лучше показывает костные ткани, особенно носовую и лицевую кость.
Виды диагностики носовых пазух
Для диагностики состояния носа в современной медицине активно применяется
- рентгенография
- компьютерной томографии (КТ)
- магнитно-резонансной томографии (МРТ).
Классическое рентгенологическое исследование используется преимущественно для оценки лицевого скелета и придаточных пазух носа. Компьютерная томография (КТ) носа позволяет получить четкое изображение костных тканей и мягкотканных образований. Это дает возможность судить о состоянии жевательных мышц, расположенных в области крылонебной и подвисочной ямок, мышц глаза, зрительного нерва. Магнитно-резонансная томография (МРТ) носовых пазух имеет более высокое контрастное разрешение при исследовании мягкотканных образований, может быть выполнена в любой плоскости без перемены положения пациента. Она не связана с ионизирующим излучением, а магнитные поля используемой в МРТ напряженности не оказывают вредного воздействия на организм.
Отличия КТ пазух носа
КТ носа позволяет оценить носовую кость и хрящи в трех проекциях - коронарной, аксиальной и сагиттальной. Врач можно выполнить трехмерную реконструкцию костей лицевого скелета для того, чтобы понять, если у больного переломы, травмы, врожденные аномалии носовой перегородки, костные наросты и деформации. Основным показанием для применения данного вида томографии будут любые костные повреждения носа.
Особое преимущество компьютерной томографии - это ее скорость. Процедура происходит буквально в течение 5-7 минут и не требуют специальной подготовки. К диагностическим недостатком КТ относится ее неспособность визуализировать содержимое околоносовых пазух. Для этого требуется применение МРТ носа.
Отличия МРТ околоносовых пазух
МРТ или магнитно-резонансная томография изначально называлась ядерно-магнитно-резонансная томография. Все, что связывает МР томографию со словом ядерный, это то, что волны магнита томографа воздействует на ядра атомов водорода в организме, возбуждая молекулы и выстраивая их таким образом, чтобы компьютер мог получить сигналы и транслировать их в объемные изображения того, что находится внутри человека.
Поскольку в основе физики МРТ лежит магнитное поле, а не рентген лучи, в ходе такой диагностики нет никакого рентгеновского облучения, и нет каких-то ограничений по количеству магнитно-резонансных исследований в год. Если врач назначил вам сделать МРТ головного мозга и МРТ околоносовых пазух за один раз, этого не нужно бояться. МР сканирование не причинит никакого вреда вашему здоровью.
Если КТ носовых пазух хорошо показывает кости, то МРТ лучше визуализирует лобные, клиновидные, верхнечелюстные пазухи, решетчатый лабиринт, слизистую оболочку. С помощью МР диагностики врачи могут увидеть признаки таких заболеваний, как:
- , гайморит
- полип
- склерома
- киста, опухоль.
Противопоказания КТ и МРТ носовых пазух
У КТ практически нет противопоказаний - только беременность и ранний возраст ребенка (до 5 лет). Прямым противопоказанием к МР томографии является наличие кардиостимуляторов и металлических имплантов в теле. Можно проводить исследования с ними, но только в случае, если они созданы из немагнитных материалов, например, титан или специальный медицинский пластик. Информация о совместимости импланта с МРТ всегда будет указана в паспорте данного изделия или в выписке после операции. С брекетами МРТ исследование пазух носа делать можно точно также, как и с зубными имплантами, но возможный засвет от металла будет мешать получению качественного изображения.
| МРТ пазух носа | КТ носа |
![]() |
КТ или МРТ пазух носа - что лучше?
КТ или МРТ пазух носа - что лучше выбрать, зависит от нескольких факторов:
- целей обследования
- изначального диагноза
- состояния здоровья пациента.
Если основная цель диагностики - посмотреть костные структуры носа, то следует выбирать КТ носовых пазух. Однако, при подозрениях на новообразования в околоносовых пазухах и воспалительный процесс более информативной будем МРТ пазух носа. Для уточнения местной распространенности злокачественной опухоли в полость верхнечелюстной пазухи, на орбиты и полость носа, возможно применение как КТ так и МРТ. Четко судить о поражении костных структур - твердого неба и альвеолярного отростка верхней челюсти возможно только по данным КТ. Выявление опухолевых масс на фоне мягкотканных структур -крылонёбной и подвисочной ямок, жевательных мышц и мягких тканей щеки, а также распространении опухолевых масс на лобную и основную пазухи решетчатый лабиринт и интракраниально, требует выполнения МРТ.
В дифференциальной диагностике послеоперационных или постлучевых изменений с рецидивом или продолженным ростом опухоли необходимо проведение МРТ. Чувствительность МРТ пазух носа (98%) выше, нежели КТ пазух носа (76%) в дифференциальной диагностике.
С точки зрения безопасности, если у пациента в теле есть металл, и он не совместим с МР томографом, лучше сделать компьютерную томографию, а вот беременным женщинам и маленьким детям следует по возможности выбирать только МР диагностику, чтобы избежать риска облучения и возникновения рака у ребенка.
КТ, МРТ при хроническом риносинусите
а) Терминология:
1. Аббревиатура:
• Хронический риносинусит (ХРС)
2. Определение:
• Группа заболеваний, характеризующихся воспалением околоносовых пазух длительностью >12 недель (последовательно)
• Такое емкое определение основывается на признаках и симптомах и не ограничено специфической этиологией
б) Визуализация:
1. Общая характеристика:
• Лучший диагностический критерий:
о Снижение пневматизации пазухи или утолщение слизистой оболочки и гиперостоз/склероз костных стенок
• Локализация:
о Решетчатая пазуха > верхнечелюстная пазуха > лобные и клиновидные пазухи
• Размер:
о Снижение объема вовлеченной пазухи (или норма):
- Отсутствие вздутия пазухи в неосложненных случаях
• Морфология:
о Заболевание может быть локальным или диффузным, протекать с поражением, например, остиомеатального комплекса, при обструкции
2. Рентгенография при хроническом риносинусите:
• Затемнение пазухи, утолщение слизистой оболочки, остеосклероз, уровни жидкости и газа
• Чувствительность и специфичность ниже по сравнению с КТ

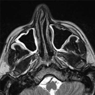
(Слева) При аксиальной МРТ Т2 ВИ у пациента с ХРС определяется снижение пневматизации левой верхнечелюстной пазухи. Содержимое в центре пазухи отчасти гипоинтенсивно из-за малого количества воды и большого количества белка. По периферии определяется воспаленная гиперинтенсивная слизистая оболочка.
(Справа) При аксиальной MPT DWI у этого же пациента определяется диффузное повышение интенсивности сигнала в левой верхнечелюстной пазухе, заполненной содержимым. Определяется рестрикция диффузии, наиболее выраженная в центре.
3. КТ при хроническом риносинусите:
• КТ с КУ:
о Контрастное усиление воспаленной слизистой оболочки
о В неосложненных случаях контрастирование не требуется
• «Костная» КТ:
о Утолщение слизистой оболочки или снижение пневматизации пазухи без ее вздутия
о Острый синусит: уровни жидкости и газа
о Содержимое вариабельной плотности:
- Изо- или гиперденсное в зависимости от содержания белка, воды, грибкового компонента
- Гиперденсное содержимое: «выветренная» слизь или грибковый синусит
о В единичных случаях могут обнаруживаться кальцинаты
о Утолщение и склероз костных стенок пазухи (остеит)
о Ретенционные кисты, содержащие слизь, и полипы
4. МРТ при хроническом риносинусите:
• Т1ВИ:
о Утолщенная слизистая оболочка изоинтенсивна мягким тканям
о Интенсивность сигнала в содержимом зависит от количества воды и белка:
- Чем больше белка, тем выше интенсивность сигнала (Т1)
• Т2ВИ:
о Слизистая оболочка обычно гиперинтенсивна
о Содержимое пазухи может быть гиперинтенсивным (↑ воды) или гипоинтенсивным (↓ воды, «сухое» содержимое)
о Утолщение стенок пазухи очевидно на MPT (Т2 ВИ)
• Т1ВИ С+:
о Типичное контрастное усиление слизистой оболочки
о Контрастирование не требуется в неосложненных случаях
5. Рекомендации по визуализации:
• Лучший метод диагностики:
о Тонкосрезовая аксиальная «костная» КТ с реформатированием в корональной плоскости
о Позволяет оценить утолщение слизистой оболочки, снижение пневматизации и изменения костей
• Выбор протокола:
о Аксиальная КТ с толщиной среза 0,625-1,25 мм с использованием костного алгоритма с реформатированием в сагиттальной ± корональной плоскости

(Слева) Аксиальная ADC-карта у этого же пациента подтверждает рестрикцию диффузии как причину гиперинтенсивного сигнала при MPT DWI. В содержимом левой верхнечелюстной пазухи определяется снижение интенсивности сигнала, в слизистой оболочке на периферии интенсивность сигнала повышена.
(Справа) При аксиальной КТ в костном окне у пациента с хроническим фронтитом определяется утолщение слизистой оболочки, выраженное утолщение стенок пазух, особенно слева. Изменения слева имитируют фиброзную дисплазию.
в) Дифференциальная диагностика хронического риносинусита:
1. Грибковый синусит, мицетома:
• Затемнение пазухи; гиперденсное содержимое/кальцинаты
• Часто в условиях ХРС:
о Изменения костей могут имитировать ХРС
2. Аллергический грибковый синусит:
• Вариант ХРС у пациентов с астмой, аллергией
• Затемнение и вздутие пораженной пазухи с гиперденсным содержимым в центре
3. Полипоз носа/околоносовых пазух:
• Множественные полиповидные мягкотканные образования различной плотности в полости носа и пазухах
• Возможно вздутие пазухи и ремоделирование костных стенок
• Обычно возникает в условиях ХРС на фоне утолщения слизистой оболочки и затемнения пазухи
4. Острый риносинусит:
• Меньшая длительность; часто является следствием ОРВИ
• Утолщение слизистой, уровни жидкости и газа, пенистое содержимое
• Изменения костей отсутствуют
5. Синоназальный гранулематоз Вегенера:
• Узловое утолщение мягких тканей ± эрозии костей
• Поражение полости носа > пазух:
о Поражение носовых раковин и перегородки
6. Саркоидоз носа/околоносовых пазух:
• Узловое утолщение мягких тканей ± эрозии костей
• Поражение носа/околоносовых пазух: реже, чем гранулематоз Вегенера
• Преимущественное поражение полости носа и носовой перегородки

(Слева) При аксиальной КТ в костном окне у пациента с гранулематозом Вегенера определяются типичные для ХРС изменения верхнечелюаных пазух, пневматизация которых, а также полости носа снижена вследствие наличия мягкотканного компонента. Определяется также остеит стенок пазух.
(Справа) При корональной КТ в костном окне у ребенка с муковисцидозом определяется утолщение слизистой оболочки обеих верхнечелюстных пазух, визуализируются уровни жидкости, подтверждающие присоединение острого инфекционною процесса на фоне хроническою воспаления. Остеит у этого ребенка еще не развился в силу его возраста.
г) Патология:
1. Общая характеристика:
• Этиология:
о Определение ХРС основано на симптомах; специфической этиологии нет
о Причины ХРС многочисленны, разнообразны и часто перекрываются:
- Воспаление играет большую роль, чем инфекция
- Биопленки (колонии бактерий, устойчивых к антибиотикам) снижают эффективность антибиотиков и выделяют медиаторы воспаления
о В этиологии ХРС играют роль множество факторов и процессов:
- Системные факторы (хозяина): аллергия, иммунодефицит, генетические/врожденные факторы, мукоцилиарная дисфункция, эндокринные нарушения, нейромеханизм
- Локальные факторы (хозяина): варианты анатомии, неоплазия, приобретенная мукоцилиарная дисфункция
- Факторы окружающей среды: микроорганизмы, ядовитые химикаты, медикаменты, травмы, операции
• Генетика:
о В большинстве случаев заболевание спорадическое
о Генетические факторы играют роль при причинном системном заболевании:
- Муковисцидоз, первичное нарушение подвижности ресничек, иммунодефицит
• Сопутствующие патологические изменения:
о Астма, аллергия (>50% пациентов с ХРС)
о Заболевания зубов верхней челюсти
о Полипоз носа/околоносовых пазух
2. Стадирование, классификация хронического риносинусита:
• Риносинусит: пять клинических категорий:
о Острый, подострый, хронический, острый рецидивирующий, обострение хронического ХРС
• ХРС может быть бактериальным, аллергическим, грибковым:
о Бактериальный ХРС:
- Бактерии могут инициировать ХРС, вызывать длительно текущее заболевание, или обострять неинфекционное воспаление
- Типичные возбудители: золотистый стафилококк, коагулазоотрицательные стафилококки, анаэробные и грам-отрицательные бактерии
о Аллергический ХРС:
- Цитокины и медиаторы аллергии → аллергическое воспаление носа → отек слизистой оболочки → обструкция устья
о Аллергический грибковый синусит:
- Эозинофильный ответ на наличие неинвазивных грибков
3. Макроскопические и хирургические особенности:
• Отек слизистой оболочки, гнойное отделяемое, полиповидные изменения, эритема
4. Микроскопия:
• Смешанная воспалительная инфильтрация: лимфоциты, плазматические клетки, эозинофилы, интерлейкин-8, интерферон-у
• Изменения прилежащих костей схожи с остеомиелитом
д) Клинические особенности:
1. Проявления:
• Типичные признаки/симптомы:
о Обструкция носа, выделения из носа, гипосмия, аносмия
• Другие признаки/симптомы:
о Боль в лице, ощущение распирания, головная боль
• Определение ХРС: воспаление/инфекция носа/околоносовых пазух длительностью >12 недель
• Эндоскопия носа и КТ: количественная оценка поражения слизистой оболочки и точечный забор содержимого для культурального исследования
3. Течение и прогноз:
• Персистирующий, рецидивирующий синусит часто не поддается медикаментозному лечению
• Часто связан с аллергией, вариантами анатомии:
о У пациентов с эозинофилией слизистой оболочки исход хуже
• Эндоскопическое исследование носа - наилучший объективный способ оценки рецидива
4. Лечение:
• Медикаментозная терапия: антибиотики, противогрибковые, сосудосуживающие, антигистаминные препараты, топические стероиды (при аллергии)
• Коррекция коморбидных состояний (ингаляционная восприимчивость, полипы, инфекции, иммунодефицит) критична для успешного лечения ХРС
• Операция резервируется для случаев, не поддающихся медикаментозному лечению:
о Функциональная эндоскопическая хирургия пазух - метод выбора
е) Диагностическая памятка:
1. Следует учесть:
• КТ-метод выбора при ХРС:
о Для оценки изменений костей и идентификации вариантов анатомии, предрасполагающих к рецидиву заболевания
2. Советы по интерпретации изображений:
• Утолщение слизистой оболочки или затемнение пазухи без ее вздутия с сопутствующим утолщением/склерозом костей наиболее сопоставимо с ХРС
• КТ дает мало информации об этиологии изменений слизистой оболочки
• Запомните: симптоматика и лучевые изменения не соотносятся
ж) Список использованной литературы:
1. Hamilos DL: Pediatric chronic rhinosinusitis. Am J Rhinol Allergy. 29(6):414-20,2015
2. Huang BY et al: Current trends in sinonasal imaging. Neuroimaging Clin N Am. 25(4):507-25, 2015
3. Joshi VM et al: Imaging in sinonasal inflammatory disease. Neuroimaging Clin N Am. 25(4):549-68, 2015
4. Reddy CE et al: Imaging of granulomatous and chronic invasive fungal sinusitis: comparison with allergic fungal sinusitis, Otolaryngol Head Neck Surg. 143(2):294-300, 2010
5. Nair S: Correlation between symptoms and radiological findings in patients of chronic rhinosinusitis: a modified radiological typing system. Rhinology. 47(2):181 -6, 2009
6. Chan Y et al: An update on the classifications, diagnosis, and treatment of rhinosinusitis. Curr Opin Otolaryngol Head Neck Surg. 17(3):204-8, 2009
7. Mafee MF et al: Imaging of rhinosinusitis and its complications: plain film, CT, and MRI. Clin Rev Allergy Immunol. 30(3): 165-86, 2006
8. Benninger MS et al: Adult chronic rhinosinusitis: definitions, diagnosis, epidemiology, and pathophysiology. Otolaryngol Head Neck Surg. 129(3 Sup-pl):S1-32, 2003
9. Emanuel IA et al: Chronic rhinosinusitis: allergy and sinus computed tomography relationships. Otolaryngol Head Neck Surg. 123(6):687-91, 2000
10. Krouse JH: Computed tomography stage, allergy testing, and quality of life in patients with sinusitis. Otolaryngol Head Neck Surg. 123(4):389-92, 2000
КТ, МРТ при осложнениях риносинусита
1. Аббревиатуры:
• Риносинусит (PC), острый риносинусит (ОРС), хронический риносинусит (ХРС)
• Поднадкостничный постсептальный абсцесс (ППА), тромбоз кавернозного синуса (ТКС), эпидуральный абсцесс (ЭДА), субдуральная эмпиема(СДЭ)
2. Определения:
• Осложнения ОРС или ХРС: кости и мягкие ткани, глазницы, полость черепа:
о Поверхностные осложнения: остеомиелит, подапоневротический абсцесс («одутловатая» опухоль Попа), септический тромбофлебит
о Осложнения со стороны орбит: пресептальный целлюлит/абсцесс, ППА, воспаление наружных мышц глаза, оптический неврит, септический тромбофлебит
о Интракраниальные осложнения: менингит, ЭДА, СДЭ, церебрит, абсцесс мозга, ТКС
1. Общая характеристика:
• Лучший диагностический признак:
о ППА: экстракональное объемное образование с гиподенсным центром, накапливающее контраст по периферии, с инфильтрацией окружающей жировой ткани
о ТКС: расширение и неравномерное контрастное усиление кавернозного синуса, расширение или тромбоз верхней глазной вены (ВГВ)
о ЭДА и СДЭ: экстрааксиальное скопление жидкости в эпи- или субдуральном пространстве (соответственно), со снижением коэффициента диффузии и контрастным усилением прилежащих мозговых оболочек
о Абсцесс мозга: объемное образование в паренхиме с контрастным усилением в виде «кольца», с равномерно толстыми стенками, снижением диффузии в центре, окружающим вазогенным отеком
• Локализация:
о ППА: верхнее (фронтит), внутреннее (этмоидит), нижнее (гайморит) экстракональное пространство возле верхней, внутренней или нижней прямой мышцы (соответственно)
о ЭДА и СДЭ: ниже лобной кости (фронтит, этмоидит): над плато клиновидной кости (сфеноидит)
о Абсцесс мозга: чаще всего в лобных долях (фронтит)
о Подапоневротический абсцесс: мягкие ткани спереди от лобных пазух
• Морфология:
о ППА: веретеновидной формы, прилежит к верхней или нижней стенке орбиты, глазничной пластинке
о ТКС: выбухание наружного края пораженного кавернозного синуса
о ЭДА: линзовидное скопление гноя рядом с инфицированной пазухой
о СДЭ: серповидное скопление гноя, принимающее форму прилежащего полушария
о Церебрит: отек головного мозга без четких границ
о Церебральный абсцесс: округлое или овоидное скопление в паренхиме

(Слева) При сагиттальной МРТ Т1ВИ С+ определяется утолщение и контрастное усиление мягких тканей лба, соотносящееся с диагнозом «одутловатой» опухоли Попа (подапоневротический абсцесс), обусловленной фронтитом. Обратите внимание на дренирующий синусный тракт. Определяются интракраниальные осложнения: менингит и абсцесс лобной доли.
(Справа) При аксиальной МРТ Т2 ВИ FS определяется отек мягких тканей лба и снижение пневматизации лобных пазух. Визуализируется абсцесс мозга с гипоинтенсивным ободком, окруженный обширным вазогенным отеком.
2. КТ при осложнений риносинусита:
• КТ с КУ:
о ППА:
- Экстракональное скопление жидкости: гиподенсное в центре, с периферическим контрастным усилением
- Инфильтрация окружающей клетчатки, отек вовлеченных экстраокулярных мышц ± дефект стенки пазухи
о ТКС:
- Неравномерное или ↓ контрастное усиление синуса по сравнению с противоположной стороной
- Выбухание наружных краев (отек) кавернозного синуса
- Расширение ВГВ
о СДЭ:
- Экстрааксиальное субдуральное скопление с гиподенсным центром и контрастным усилением прилежащей твердой оболочки
о Абсцесс мозга:
- Очаг с «кольцом» контрастного усиления, равномерной толстой стенкой, окруженной гиподенсным вазогенным отеком
о Остеомиелит черепа/подапоневротический абсцесс:
- Фокальный лизис кости, секвестрация, реактивный остеосклероз
- Фокальное скопление жидкости, накапливающее контраст в виде ободка, подапоневротический абсцесс
3. МРТ при осложнений риносинусита:
• ППА:
о Экстракональное скопление с периферическим контрастным усилением, снижением коэффициента диффузии в центре, низким или промежуточным Т1 сигналом, ↑ Т2
• ТКС:
о Расширение, неравномерное контрастирование кавернозного синуса
о Расширение или тромбоз ВГВ (отсутствие тока жидкости)
о Возможно увеличение экстраокулярных мышц вследствие венозного застоя
о Возможно сужение сонных артерий возле синуса
• СДЭ:
о Серповидное экстрааксиальное субдуральное скопление жидкости с контрастированием в виде «ободка», со снижением коэффициента диффузии в центре, ↓ Т1, ↑ Т2
о Контрастирование прилежащей твердой оболочки
• ЭДА:
о Линзовидное экстрааксиальное эпидуральное скопление с контрастным усилением в виде «ободка», со снижением коэффициента диффузии в центре, ↓ Т1, ↑ Т2
о Обычно возле пораженной пазухи
• Церебрит:
о Аморфный гиперинтенсивный участок мозга на Т2 или FLAIR
о Отсутствие периферического контрастного усиления на Т1 С+
• Абсцесс мозга:
о Очаг с равномерно утолщенной стенкой и кольцевидным накоплением контраста
о Снижение коэффициента диффузии в центре, ↓ Т1, ↑ Т2
о ↓ Т2 в «кольце», окруженном вазогенным отеком (↑ Т2)
4. Рекомендации по визуализации:
• Лучший метод диагностики:
о КТ с КУ при ППА; MPT С+ с ДВИ при интракраниальных осложнениях
• Выбор протокола:
о ППА: тонкосрезовая (1 мм) аксиальная КТ пазух/глазниц после введения контраста с корональным реформатированием
о ТКС: мультипланарная МРТ (гадолиний С+); постконтрастные томограммы с жироподавлением; тонкие аксиальные и корональные срезы кавернозных синусов/орбит; SPGR С+ для оценки ТКС
о СДЭ/ЭДА/церебрит/абсцесс мозга: мультипланарная МРТ с гадолинием; ДВИ (обязательно)

(Слева) При аксиальной КТ с КУ над глазничной пластинкой визуализируется поднадкостничный абсцесс, накапливающий контраст в виде «ободка»: пневматизация ячеек решетчатой кости снижена. Обратите внимание на распространенный интракональный отек/тяжистость, проптоз, диффузный пресептальный отек у пациента с синуситом, осложненным орбитальным и пресептальным целлюлитом.
(Справа) При корональной МРТ Т1 ВИ С+ FS у пациента с фронтитом и этмоидитом, осложненным абсцессом экстраконального пространства, определяется смещение глазного яблока вследствие объемного воздействия.
в) Дифференциальная диагностика осложнений риносинусита:
1. Поднадкостничный постсептальный абсцесс:
• Идиопатическая воспалительная псевдоопухоль орбиты
• Экстракональное новообразование:
о Лимфопролиферативная опухоль орбиты
о Рабдомиосаркома
2. Тромбоз кавернозного синуса:
• Идиопатическая воспалительная псевдоопухоль основания черепа
• Новообразования кавернозного синуса:
о Менингиома
о Неходжкинская лимфома носа/околоносовых пазух
о Периневральная опухоль жевательного пространства ЧН V (3)
3. Субдуральная эмпиема:
• Субдуральная гигрома
• Хроническая субдуральная гематома
4. Церебрит или абсцесс мозга:
• Ушиб головного мозга
• Рассеянный склероз
• Глиобластома
• Изменения мозга после облучения и химиотерапии

(Слева) При аксиальной МРТ Т1 ВИ С+ у пациента с двусторонним тромбозом кавернозных синусов, обусловленным пансинуситом, визуализируются тромбы, не накапливающие контраст, в обоих кавернозных синусах. Определяется утолщение твердой оболочки вдоль намета мозжечка и большого крыла клиновидной кости слева.
(Справа) При аксиальной КТ с КУ у этого же пациента определяется расширение обеих верхних глазных вен; видны дефекты наполнения на всем протяжении вены справа и в задних отделах вены слева.
г) Патология. Общая характеристика:
• Этиология:
о Интраорбитальные и интракраниальные осложнения более вероятны при ОРС; костные осложнения чаще при ХРС:
- Осложнения преимущественно обусловлены бактериальной инфекцией (реже-грибковой)
- Описаны синокутанные фистулы при хроническом фронтите
о ППА: по бесклапанным решетчатым венам инфекция из решетчатой кости может распространяться в орбиту через тонкую глазничную пластинку:
- Этмоидит > сфеноидит > фронтит > гайморит
о ТКС: септический тромбофлебит глазных вен:
- Из верхнечелюстной пазухи по нижней глазной вене, из сфеноидальной пазухи через крыловидное сплетение
о Подапоневротический абсцесс («одутловатая» опухоль Потта): остеотромбофлебит вследствие фронтита
о Интракраниальные осложнения: чаще всего на фоне фронтита, по сети эмиссарных вен-сплетению Бехчета, соединяющему слизистую оболочку пазух с оболочками мозга:
- Фронтит >> сфеноидит > этмоидит > гайморит
• Сопутствующие патологические изменения:
о Менингит/менингоэнцефалит ± инфаркт
1. Проявления:
• Типичные признаки/симптомы:
о ППА: проптоз, хемоз, снижение остроты зрения, ограничение подвижности глазных яблок
о Подапоневротический абсцесс: отек лба
о ТКС: пациенты в тяжелом состоянии с жалобами на боль в глазах, параличами ЧН, признаками менингита
о СДЭ/ЭДА: головная боль, лихорадка, признаки объемного воздействия
о Абсцесс мозга: головная боль, судороги, неврологический дефицит в зависимости от локализации
2. Демография:
• Возраст:
о Осложнения PC со стороны орбит: чаще у детей
о Интракраниальные осложнения: чаще у подростков и до возраста 20-30 лет
• Пол:
о Интракраниальные осложнения: чаще у мужчин
• Эпидемиология:
о у 3% пациентов с синуситом: воспаление пресептальных тканей или орбиты:
- Перманентное осложнение со стороны глаз: 4,5% синогенных инфекций орбиты
- 15-20% случаев оптического неврита связаны с сфеноидитом и задним этмоидитом (риногенный оптический неврит)
о Головная боль: в 3% обусловлена синуситом
о Интракраниальный абсцесс: в 3% связан с синуситом
3. Течение и прогноз:
• Вероятное прогрессирование осложнений со стороны орбиты при отсутствии лечения:
о Периорбитальный целлюлит → ППА → ТКС → менингит -СДЭ — абсцесс мозга
о Прогноз великолепный при своевременной антибиотикотера-пии и дренировании
• Интракраниальные осложнения → смертность при отсутствии диагностики и своевременного лечения 50-80%
4. Лечение:
• Адекватная антибиотикотерапия во всех случаях
• Хирургическое вмешательство при ППА (функциональная эндоскопическая хирургия пазух), некоторых СДЭ, абсцессе мозга
1. Следует учесть:
• Лучевые методы визуализации имеют значение при неточном диагнозе, ухудшении состояния вопреки проводимому лечению
• Мультипланарная МРТ с контрастным усилением и ДВИ лучше подходит для оценки интракраниальных осложнений
2. Советы по интерпретации изображений:
• ППА сложно отличить от флегмоны
• С целью диагностики ТКС сравните размер и форму пораженного синуса с контрлатеральным
ж) Список использованной литературы:
1. Marchiano Е et al: Characteristics of patients treated for orbital cellulitis: an analysis of inpatient data. Laryngoscope. 126(3):554-9, 2016
2. Cotes C et al: Facial vein thrombophlebitis: an uncommon complication of sinusitis. Pediatr Radiol. 45(8): 1244-8, 2015
3. Dankbaar JW et al: Imaging findings of the orbital and intracranial complications of acute bacterial rhinosinusitis. Insights Imaging. 6(5):509-18, 2015
4. Fang A et al: Pediatric acute bacterial sinusitis: diagnostic and treatment dilemmas. Pediatr Emerg Care. 31(11):789-94; quiz 795-7, 2015
5. Cornelius R5 et al: ACR appropriateness criteria sinonasal disease. J Am Coll Radiol. 10(4):241-6, 2013
КТ является методом выбора при визуализации околоносовых пазух, это третий компонент диагностики риносинусита. С практической точки зрения КТ может быть более экономичной, чем многократные повторные рентгеновские исследования, к тому же, КТ предоставит гораздо больше полезной информации для лечения.
Благодаря совместному развитию компьютерных и лучевых технологий современные компьютерные томографы способны выполнять множество срезов по оси, а затем реконструировать изображения во фронтальной, сагиттальной и аксиальной проекциях. Учитывая то, что даже банальные инфекции верхних дыхательных путей могут приводить к появлению патологических признаков на КТ, временные рамки проведения исследования были пересмотрены.
В настоящее время оптимальным считается выполнение исследования спустя несколько недель после длительного курса антибиотиков, если только пациент не нуждается в неотложной помощи. МРТ должна использоваться целенаправленно в случаях, когда требуется определение характера патологического содержимого затемненной пазухи. КТ-цистернография выполняется для оценки распространения патологического процесса за пределы пазух, в глазницу или головной мозг.
Оценка данных визуализации пазух должна начинаться с банальных вещей, о которых часто забывают: определить, что просматриваются данные нужного пациента, дату проведения исследования, качество изображения. Использование КТ требуется в следующих ситуациях.
КТ, фронтальная проекция: аллергический грибковый синусит левой гайморовой пазухи.
Характерный участок повышенной плотности отмечен стрелкой. (а) Эндоскопическое интраоперационное изображение инвертированной папилломы правой половины носа. В нижних отделах носа виден нейрохирургический тампон.
(б) МРТ во фронтальной плоскости того же пациента. Причина затемнения противоположной верхнечелюстной пазухи — синусит, а не опухоль.
Пазуха на стороне папилломы не поражена. MS—верхнечелюстная пазуха. (а) Фронтальный и (б) аксиальный КТ срезы у пациента с синдромом латентного синуса.
Дно орбиты смещено книзу (стрелка), приводя к более низкому расположению правого глазного яблока по сравнению с левым.
Крючковидный отросток полностью прилежит к нижнемедиальной стенке орбиты. На аксиальном срезе определяются искривление перегородки носа вправо,
а также пневматизация переднего конца средней носовой раковины, concha bullosa. Интраоперационная навигация. На нижнем правом изображении показано место биопсии новообразования,
происходящего из области ската. На остальных изображениях показано расположение опухоли в трех плоскостях. (а) КТ пациента с двусторонней эндокринной офтальмопатией.
Гипертрофированные экстраокулярные мышцы (звездочки) сдавливают зрительный нерв.
(б) КТ в аксиальной проекции другого пациента с двусторонней эндокринной офтальмопатией.
Зрительный нерв (стрелка) сдавлен гипертрофированными мышцами (звездочки). КТ в аксиальной проекции пациента со злокачественной опухолью (стрелка) правой половины носа с распространением в глазницу.
Бумажная пластинка второго глаза интактна. Lp — бумажная пластинка;Т— новообразование.
а) Распространение процесса за пределы пазух. Распространение инфекции в глазницу или полость черепа возможно либо контактным, либо гематогенным путем. КТ используется для оценки вовлеченности в патологический процесс других органов и планирования оперативного лечения, например, при выполнении эндоскопической этмоидэктомии с целью вскрытия субпериостального абсцесса и его дренирования в решетчатый лабиринт.
Дополнительно может использоваться МРТ, которая помогает точнее определить патологический процесс и уточнить степень распространения за пределы пазух.
б) Трудности в диагностике риносинусита по КТ и МРТ. Иногда пациент предъявляет одну жалобу, которая может быть вызвана как синуситом, так и другими возможными заболеваниями. При отсутствии других визуальных признаков, КТ помогает исключить риногенную природу заболевания перед тем, как перейти к другим видам лечения (мигренозная головная боль или приступ мигрени, провоцируемый синуситом).
Затруднения при диагностике могут возникнуть и при так называемом синдроме латентного синуса, характерного тем, что верхняя и задняя стенки верхнечелюстной пазухи смещаются вовнутрь, а крючковидный отросток прилежит к медиальной стенке орбиты. На КТ может определяться затемнение пораженной пазухи. Длительное время пациенты могут не подозревать о какого-либо заболевания пазух, но с течением стенки пазухи продолжают смещаться кнутри, дно орбиты смещается, что приводит к опущению глазного яблока и развитию диплопии.
При такой нетипичной форме одним из первых проявлений может быть двоение в глазах.
Данные осмотра при риносинусите:
• Внешний осмотр:
- Отечность и покраснение в верхнечелюстной, лобной, глазничной областях
• Передняя риноскопия:
- Гиперемия
- Отек
- Корки
- Гнойные выделения
- Полипы
• Эндоскопия полости носа:
- Цианотичность раковин
- Гнойные выделения в области соустий пазух
- Полипы, точный размер и локализация
- Искривление перегородки, блокада соустий пазух искривленной перегородкой
- Concha bullosa
- Парадоксально изогнутые раковины
• Также возможны иные патологические находки

(а) КТ во фронтальной проекции пациента, получавшего антибактериальную терапию по поводу острого риносинусита.
Имеется лишь незначительное остаточное утолщение слизистой правой гайморовой пазухи.
Крючковидный отросток, соустье верхнечелюстной пазухи (звездочка), передние решетчатые клетки, альвеолярная бухта верхнечелюстной пазухи, лобные пазухи без особенностей.
Ar — альвеолярная бухта верхнечелюстной пазухи; ес—передние решетчатые клетки; FS — лобная пазуха; MS — верхнечелюстная пазуха; up—крючковидный отросток.
(б) КТ в сагиттальной проекции, срез через правый лобный карман. Полость валика носа распространяется в сторону лобного кармана, несколько сужая проток лобной пазухи.
Также отмечены клиновидная пазуха, решетчатый лабиринт, средняя и нижняя носовые раковины.
An — клетка agger nasi; ES — решетчатый лабиринт; FS — лобная пазуха; IT — нижняя носовая раковина; МТ—средняя носовая раковина; SS—клиновидная пазуха.
(в) КТ, аксиальный срез через середину клиновидной пазухи. Показаны внутренние сонные артерии, соустье клиновидной пазухи (звездочка),
носослезный проток, латеральный карман клиновидной пазухи; искривленная перегородка носа.
ICA—внутренние сонные артерии; nld — носослезный проток; lr — латеральный карман клиновидной пазухи; septum — перегородка носа.
(г) Аксиальный срез (тот же пациент, что и на (а—в)): нормальные пути оттока из лобной пазухи.
(д) Аксиальный срез (другой пациент) через середину лобных пазух. Фронтальная полость внутри лобной пазухи частично заполнена воздухом (звездочки), проток дистальнее клетки заблокирован.
Расположенная кзади над решетчатым пузырьком полость распространяется в область лобного кармана. FC — фронтальная клетка; sbc — супрабуллярная клетка.
в) Рецидивирующий синусит на КТ и МРТ. Поскольку обычные рентгеновские снимки не являются ни чувствительными, ни специфичными для целого ряда заболеваний околоносовых пазух, при нескольких эпизодах риносинусита и/или полипозе показано проведение КТ, которая способна четко отразить распространенность и тяжесть патологического процесса. На рентгенограммах по Колдуэллу легко пропустить изолированный передний этмоидит, т.к. на обычных снимках отображается совокупность плотностей костных и мягких тканей пазух.
МРТ может оказаться полезным дополнением к КТ в случае аллергического грибкового синусита. На томограммах в режиме Т2 грибковые уплотнения дают низкую интенсивность или отсутствие сигнала.
г) Рецидив риносинусита после хирургического лечения на КТ и МРТ. Нарушения архитектоники носа и фиброзные изменения, возникающие после оперативных вмешательств на околоносовых пазухах, осложняют диагностику при любом методе визуализации. КТ рекомендуется проводить при отсутствии улучшения после 2-3 месяцев консервативной терапии в послеоперационном периоде, а также при планировании повторной операции.
В случае, если по данным анамнеза или осмотра подозревается повреждение переднего основания черепа или глазницы, следует выполнять фронтальные срезы толщиной 1-2мм. МРТ может быть полезна при диагностике мукоцеле и энцефалоцеле не всегда видимые на КТ.

(а) Ликворная фистула (стрелка) в крыше решетчатого лабиринта на контрастной КТ-цистернограмме.
(б) Небольшое, похожее на полип образование, на МРТ у пациента с интермиттирующей риноликвореей, представляет собой энцефалоцеле (стрелка).
д) Планирование операции при риносинусите по КТ и МРТ. Компьютерная томография оказывает неоценимую помощь как во время планирования эндоскопической операции, так и во время ее выполнения. В операционной стоит особое внимание уделить следующим моментам:
(1) плоскость в которой находится латеральная ламелла продырявленной пластинки по отношению к крыше решетчатого лабиринта и самой решетчатой пластинке, в некоторых случаях анатомическое строение может предрасполагать к повреждению передней черепной ямки;
(2) близость соустья верхнечелюстной пазухи ко дну орбиты;
(3) степень пневматизации решетчатого лабиринта; при избыточной пневматизации передних решетчатых клеток возрастает риск повреждения орбиты; в случае избыточной пневматизации задних клеток в их просвете может находиться зрительный нерв;
(4) наличие и расположение межпазушных перегородок;
(5) расположение зрительного нерва и внутренней сонной артерии у латеральной стенки клиновидной пазухи, наличие их дигесценций;
(6) переднезадняя пневматизация лобной пазухи, которая может повлиять на доступ к ней через лобный карман;
(7) степень сохранности архитектоники носа, которая может помочь в обнаружении хирургических ориентиров.
е) Стадирование риносинусита по КТ и МРТ. КТ является объективным инструментом диагностики риносинусита. Как и в случае злокачественных новообразований, стадирование доброкачественных заболеваний пазух появилось в ответ на необходимость объективной оценки распространенности болезни и результатов лечения. Из множества существующих инструментов наиболее простой и в то же время достаточно точной показала себя модифицированная система Lund-Mackay.
После адекватного консервативного лечения оцениваются КТ всех четырех околоносовых пазух, каждой из них присваивается количественное значение: «0» для нормальной пазухи, «1» в случае частичного затемнения, «2» в случае полного затемнения. Передние и задние решетчатые клетки оцениваются отдельно. Также значение присваивается остиомеатальному комплексу: «О» если он свободен, «2» если заблокирован. После того, как баллы суммируются, получается значение в диапазоне от 0 до 12. Чем выше число, тем более тяжелым является риносинусит.
С развитием в 1990-х годах методов КТ и увеличением вычислительной мощности компьютеров стало возможным появление интраоперационной навигации. Электронные данные с результатами томографии синхронизируются с электромагнитными или инфракрасными детекторами. Получившаяся система помогает хирургу ориентироваться во время операций на головном мозге или лицевом скелете. Принцип навигационных систем напоминает GPS (GlobalPositionMonitoring, система глобального позицирования).
Ятрогенный абсцесс головного мозга, возникший после операции на околоносовых пазухах.
Наилучшая визуализация достигается на сагиттальной МР-томограмме. МРТ, сагиттальная проекция, режим Т1: эпидуральное мукопиоцеле лобной пазухи.
Хорошо визуализируется гетерогенное содержимое мукоцеле, которое не было бы так четко дифференцировано при КТ. (а) КТ во фронтальной плоскости, 2-мм срезы. Пациент с послеоперационной риноликвореей, возникшей из-за повреждения крыши решетчатого лабиринта (стрелка).
(б) Срез в сагиттальной плоскости того же пациента. Имеется дефект основания черепа. Место повреждения весьма типично, хирург может повредить основание черепа во время вскрытия задних решетчатых клеток.
ж) Ключевые моменты:
• Подробный сбор анамнеза и тщательное обследование, включающее эндоскопический осмотр, составляют основу правильного лечения.
• Наиболее постоянным симптомом риносинусита являются слизисто-гнойные выделения из носа.
• Состояние большинства пациентов с риносинуситом улучшается самостоятельно, требуется лишь минимальное участие врача. Антибиотики потребуются лишь в немногих случаях. Рассматривая возможность хирургического лечения, следует оценить продолжительность лечения и выбор антибиотика. Достаточно часто практикуется назначение недельного курса одного или нескольких антибиотиков, затем их заменяют другими. Решение о хирургическом лечении должно основываться на результатах КТ, а также данных осмотра.
• Компьютерная томография является важнейшим элементом предоперационного обследования. У пациентов, уже перенесших оперативное вмешательство, визуализация поможет определить причины неудачи и избежать осложнений, связанных с повреждением глаз или головного мозга.
Редактор: Искандер Милевски. Дата обновления публикации: 18.3.2021
2. Синоним:
• Риносинусит (PC)
3. Определение:
• ХРС: группа воспалительных заболеваний носа и околоносовых пазух длительностью >12 недель без перерывов
1. Общая характеристика:
• Лучший диагностический критерий:
о Утолщение слизистой оболочки или снижение пневматизации пазухи за счет мягких тканей с утолщением и склерозом костных стенок
• Локализация:
о Решетчатая пазуха > верхнечелюстная пазуха > лобные и сфеноидальные пазухи
• Размер:
о ↓ объем пораженной пазухи или норма:
- Пазуха не вздута
• Морфология:
о Норма или вогнутые края (↓ объем пазухи)

(Слева) На аксиальной МРТ (Т2 ВИ) у пациента с ХРС определяется нарушение пневматиза-ции левой верхнечелюстной пазухи. Секрет в центре гипоинтенси-вен вследствие высокого содержания воды и малого количества белка. Воспаленная слизистая оболочка на периферии гиперинтенсивна.
(Справа) На аксиальной MPT (DWI) у этого же пациента определяется тотальное повышение интенсивности сигнала в секрете, заполняющем левую верхнечелюстную пазуху (ограничение диффузии), наиболее выраженное в центре.
2. Рентгенография при хроническом риносинусите:
• Рентгенологические признаки:
о Пристеночное затемнение или нарушение пневматизации пазухи
о Склероз и утолщение стенок пазухи
о Используется для подтверждения диагноза у пациентов с сомнительными данными физикального исследования
о Низкая чувствительность и специфичность
3. КТ при хроническом риносинусите:
• КТ с КУ:
о Возможно контрастирование воспаленной слизистой оболочки
о Контрастное исследование не является обязательным
• КЛКТ и КТ в костном окне
о Утолщение слизистой оболочки или снижение пневматизации пазухи без ее вздутия о Вариабельная плотность секрета:
- Изо- или гиперденсный сигнал в зависимости от наличия белка, воды, грибков
о Иногда могут присутствовать кальцинаты
о Утолщение и склероз костных стенок
4. МРТ при хроническом риносинусите:
• Т1 ВИ:
о Утолщенная слизистая оболочка изоинтенсивна другим мягким тканям
о Вариабельный сигнал в «запертом» секрете в зависимости от количества воды и белка:
- ↑ отношение белка и воды → ↑ Т1 сигнал
о Утолщение и склероз костей сложно увидеть на МРТ
• Т2 ВИ:
о Слизистая оболочка гиперинтенсивна о Сигнал в «запертом» секрете варьирует от гиперинтенсивного (↑ содержание воды) до гипоинтенсивного (↓ содержание воды, обезвоживание)
о Хорошо различимы утолщенные стенки пазухи
• Т1 ВИ С+:
о Типичное контрастирование слизистой оболочки
о Исследование с контрастированием не является обязательным
5. Рекомендации по визуализации:
• Лучший метод визуализации:
о Тонкосрезовая аксиальная КТ в костном окне с реформатированием в корональной плоскости
о КТ позволяет оценить отделы пазух, недоступные эндоскопически
• Выбор протокола:
о Аксиальная КТ в костном окне со срезами толщиной 1-1,25 мм с реформатированием в корональной ± сагиттальной плоскости

(Слева) На аксиальной ADC-карте у этого же пациента определяется ограничение диффузии (как причина сигнала высокой интенсивности на DWI). Интенсивность сигнала снижена в секрете и повышена в слизистой оболочке на периферии.
(Справа) На аксиальной КТ в костном окне у пациента с хроническим фронтитом определяется утолщение слизистой оболочки обеих лобных пазух. Стенки пазух, особенно левой, в значительной аепени утолщены. Слева изменения напоминают фиброзную дисплазию, но без вздутия.
1. Грибковый синусит, мицетома:
• Затемнение пазухи
• Часто обнаруживало кальцинаты
• Часто наблюдается на фоне клинической картины ХРС:
о Изменения костей могут имитировать ХРС
2. Аллергический грибковый синусит:
• Вариант ХРС у пациентов с астмой, аллергией
• Снижение пневматизации пазухи и ее вздутие с наличием плотного материала в центре
3. Синоназальный полипоз:
• Множественные полиповидные мягкотканные узлы в полости носа и пазухах
• Может наблюдаться вздутие и ремоделирование костных стенок
4. Синоназальный гранулематоз Вегенера:
• Узловое утолщение мягких тканей ± эрозия кости
• Тенденция к поражению полости носа > пазух
о С вовлечением носовой перегородки и носовых раковин
5. Синоназальный саркоидоз:
• Узловое утолщение мягких тканей + эрозия кости
• Поражение полости носа и околоносовых пазух не столь типично, как при гранулематозе Вегенера
6. Фиброзная дисплазия:
• Остеосклероз при ХРС может имитировать изменения костей при фиброзной дисплазии
• Пазуха может быть поражена, однако ее «затемнение» обусловлено костной тканью, а не отечными мягкими тканями
• В отличие от ХРС поражение экспансивное
7. Острый риносинусит:
• Не столь длительное течение; часто возникает после ОРВИ
• Уровни «жидкость-газ» и секрет с пузырьками газа в дополнение к утолщению слизистой оболочки
• Изменения со стороны костей отсутствуют

(Слева) На аксиальной КТ в костном окне у пациента с гранулематозом Вегенера определяются типичные признаки двухстороннего хронического гайморита. Нарушена пневматизация пазух и полости носа за счет мягких тканей. Определяются также выраженные признаки остеита стенок пазух.
(Справа) На корональной КТ в коаном окне у ребенка с муковисцидозом определяется утолщение слизиаой оболочки обеих верхнечелюаных пазух. Края утолщенной слизистой оболочки бугристые. Присутствуют уровни жидкости, свидетельствующие о наложении оарой инфекции на хроническое воспаление. Остеит у этого ребенка еще не возник в силу его возраста.
1. Общая характеристика:
• Этиология:
о Единое понимание до сих пор отсутствует
о Многочисленные причины ХРС существенно разнятся, часто перекрываются:
- Роль воспаления выражена значительнее, чем инфекционного агента
- Биопленки (колонии бактерий, устойчивых к антибиотикам) снижают эффективность антибиотиков и высвобождают медиаторы воспаления
о В этиологии ХРС играют роль множество факторов и процессов:
- Системные факторы хозяина: аллергия, иммунодефицит, генетические/врожденные нарушения, мукоцилиарная дисфункция, эндокринные нарушения, нейромеханизм
- Локальные факторы хозяина: варианты анатомии, новообразования, приобретенная мукоцилиарная дисфункция
- Внешние факторы: микроорганизмы, ядовитые химические вещества, лекарства, травмы, операции
• Генетика:
о Заболевание в большинстве случаев спорадическое
о Генетические нарушения могут играть роль при наличии предрасполагающих системных заболеваний:
- Муковйсцидоз, первичная дисфункция ресничек, иммунодефицит
• Сопутствующие нарушения:
о Астма, аллергия (> 50% пациентов с ХРС)
о Заболевания зубов верхней челюсти
о Синоназальный полипоз
2. Стадирование, градации, классификация хронического риносинусита:
• ХРС: пять клинических категорий:
о Острый, подострый, хронический, активный рецидивирующий, обострение ХРС
• ХРС может быть бактериальным, аллергическим, грибковым:
о Бактериальный ХРС:
- Бактерии могут инициировать ХРС, приводить к персистенции заболевания или обострению неинфекционного воспаления
- Типичные микроорганизмы: золотистый стафилококк, коагулазо-отрицательные стафилококки, анаэробные и грам-отрицательные бактерии
о Аллергический ХРС:
- Цитокины и медиаторы аллергии — аллергическое воспаление носа → отек слизистой оболочки → обструкция устья
о Аллергический грибковый синусит:
- Воспалительный ответ на неинвазивные грибковые элементы
4. Микроскопия:
• Смешанный воспалительный инфильтрат: лимфоциты, плазматические клетки, эозинофилы, интерлейкин-8, интерферон-γ
• Изменения прилежащих костей напоминают остеомиелит
1. Проявления:
• Типичные признаки/симптомы:
о Обструкция носа, носовые выделения; гипо-, аносмия
• Другие признаки/симптомы:
о Боль в лице, ощущение распирания, головная боль
• Определение ХРС: инфекция/воспаление носа и околоносовых пазух длительностью >12 недель
• Для количественной оценки утолщения слизистой оболочки и целевого забора материала для культурального исследования используется КТ и назальная эндоскопия
3. Течение и прогноз:
• Персистирующий, рецидивирующий синусит часто не поддается медикаментозному лечению
• Часто связан с аллергией, предрасполагающими анатомическими вариантами:
о У пациентов с эозинофилией слизистой оболочки исход хуже
• Назальная эндоскопия наилучший объективный метод выявления раннего рецидивирующего заболевания
4. Лечение:
• Медикаментозная терапия: антибиотики, противогрибковые средства, деконгестанты, антигистаминные средства, топические стероиды (в случаях аллергического заболевания)
• Коррекция коморбидных состояний (исключение вдыхания раздражителей, устранение полипов, инфекции, иммунодефицита) крайне важна для успешного лечения пациентов с ХРС
• Оперативное лечение в случаях неэффективности медикаментозной терапии:
о Функциональная эндоскопическая хирургия пазух (ФЭХП) на данный момент является методом выбора в оперативном лечении
о Наружные доступы/облитерация лобной пазухи при неэффективности ФЭХП или ее невозможности из-за особенностей анатомии
1. Следует учесть:
• Метод выбора в диагностике ХРС: корональная КТ в костном окне:
о Позволяет оценить изменения костей и идентифицировать варианты анатомии, которые могут предрасполагать к рецидиву заболевания
2. Советы по интерпретации изображений:
• Утолщение слизистой оболочки или нарушение пневматизации пазухи в отсутствие ее вздутия в сочетании с утолщением/скле-розом костных стенок наиболее сопоставимо с ХРС
• КТ дает мало информации о причине изменений слизистой оболочки
• Обратите внимание: симптоматика и лучевые признаки не соотносятся
ж) Список использованной литературы:
1. Novis SJ et al: A diagnostic dilemma: chronic sinusitis diagnosed by nonotolaryngologists. Int Forum Allergy Rhinol. 6(5):486-90, 2016
2. Orlandi RR et al: International consensus statement on allergy and rhinology: rhinosinusitis. Int Forum Allergy Rhinol. 6 Suppl 1 :S22-S209, 2016
3. Angulo-Perez G et al: [Prevalence, location and tomographic severity of chronic rhinosinusitis in adult patients with common variable immunodeficiency.] Rev Alerg Mex. 62(0:15-21,2015
4. Bothur S et al: Asymptomatic chronic rhinosinusitis and osteitis in patients treated with multiple zygomatic implants: a long-term radiographic followup. Int J Oral Maxillofac Implants. 30(1 ):161-8,2015
5. Hamilos DL: Pediatric chronic rhinosinusitis. Am J Rhinol Allergy. 29(6):414-20, 2015
6. Joshi VM et al: Imaging in sinonasal inflammatory disease. Neuroimaging Clin N Am. 25(4):549-68, 2015
Читайте также:

