КТ, МРТ при интралабиринтной шванноме
Добавил пользователь Владимир З. Обновлено: 30.01.2026
Ежегодно невринома слухового нерва выявляется примерно у одного из 100 тысяч человек. На долю этого заболевания приходится 11 – 12 % всех опухолей головного мозга. Болезнь может развиться как у молодых, так и у пожилых людей, но чаще всего обнаруживается в возрасте от 30 до 50 лет. У детей опухоли этого типа не встречаются вовсе. Женщины страдают данным недугом втрое чаще, чем мужчины. В последние годы количество диагностированных случаев невриномы слухового нерва увеличивается. Впрочем, не в последнюю очередь это объясняется количественным и качественным ростом МРТ-диагностики.
Что такое невринома слухового нерва?
Невринома слухового нерва - это доброкачественная (нераковая) опухоль. Несмотря на название, она не затрагивает собственно слуховой нерв, который состоит из двух корешков с разными функциями: улитковый отвечает за проведение слуховых импульсов в головной мозг, а вестибулярный связан с равновесием. Невриномы образуются в вестибулярном корешке, а именно – в его шванновских (оболочковых) клетках. Отсюда их второе название неврином – шванномы.
Внешне невринома слухового нерва (вестибулярная шваннома, акустическая невринома, акустическая шваннома) выглядит как плотный узел округлой, овальной или неправильной формы с бугристой поверхностью. В ее ткань нередко вкраплены кисты различных размеров, заполненные жидкостью. Опухоли обычно растут медленно и не распространяются на другие органы. Однако нередко ухудшают качество жизни человека: он теряет слух, возможность держать равновесие, поражаются лицевые нервы. Хотя невринома слухового нерва не является раком, она может быть опасна: вырастая до большого размера, новообразование начинает давить на головной мозг или его ствол, что приводит к постоянным головным болям, в редких случаях – к нарушению ясности сознания.
Типы невриномы слухового нерва
Невриномы слухового нерва бывают двух видов
- односторонние. Возникают спорадически, не наследуются и не связаны с другими новообразованиями центральной нервной системы;
- двусторонние. Встречаются у больных с нейрофиброматозом второго типа, который является генетической патологией и передается от родителей детям. У страдающих данным заболеванием людей, помимо шванном, как правило, развиваются также другие опухоли внутри головы и в позвоночнике.
Причины и группы риска
Причина развития невриномы слухового нерва на сегодня неизвестна. Также не выявлены какие-либо факторы риска развития невриномы, помимо предрасположенности к их возникновению в связи с генетически наследуемым заболеванием
Симптомы
Данное заболевание развивается по разным сценариям. В одних случаях новообразование остается небольшим, до полутора сантиметров в диаметре, никак себя не проявляет и не мешает жизни человека. Такая невринома не требует оперативного вмешательства, достаточно будет наблюдать за ее состоянием, посещая врача раз в год.
В других случаях опухоль разрастается и начинает давить на улитковый корешок слухового нерва, а при особо больших размерах – на ствол головного мозга. В связи с этим возникают следующие симптомы:
- постепенно развивающаяся или внезапная потеря слуха на одно ухо;
- тиннитус (звон в ухе). Он отмечается у 60 % пациентов;
- ощущение заложенности уха;
- проблемы с равновесием, головокружение и неустойчивость при резких поворотах головы или наклонах. Встречается у 60% заболевших;
- рвота, тошнота, вызванные нарушениями в работе вестибулярного аппарата. Встречаются крайне редко;
- онемение, чувство покалывания на пораженной опухолью стороне лица. В запущенных случаях болезнь приводит к парезу (ослаблению или параличу) лицевого и отводящего нервов;
- тупые, ноющие боли в голове, возникающие из-за сдавливания невриномой ствола головного мозга. Возникают на поздних стадиях;
- к симптомам поздней стадии относятся также расстройство зрения, трудности с жеванием и глотанием.
Симптомы невриномы слухового нерва нарастают медленно и часто ошибочно принимаются за нормальные возрастные изменения. Надо быть внимательным: если звон в ухе длится более двух месяцев, вам следует обратиться к врачу.
Диагностика
Заболевание выявляется в результате проверки слуха и последующей инструментальной диагностики. Как правило, врач проводит ряд исследований:
- проверка слуха. Во время обычного осмотра врач-отоларинголог может заметить снижение слуха у пациента. В этом случае будет назначен специальный тест, который называется аудиограмма для оценки слуха в обоих ушах;
- слуховой тест на ответную реакцию ствола мозга. В ходе этого исследования измеряется скорость электрических импульсов, проходящих от внутреннего уха к мозгу. Замедление или отсутствии импульса почти всегда указывает на наличие шванномы;
- электронистагмография. Тест, который позволяет выявить наличие проблемы по нистагму - непроизвольному движению глазных яблок. В ушной канал вводятся холодная и теплая вода, а специальный прибор фиксирует и анализирует движение глаз;
- Магнитно-резонансная томография (МРТ).
Если предыдущие исследования с большой долей вероятности указывают на шванному, наиболее информативным инструментальным методом визуализации считается МРТ. Это современное высокоточное неинвазивное исследование, которое позволяет определить размер и локализацию опухоли, а также увидеть состояние окружающих ее органов и тканей. Магнитно-резонансная томография проводится по назначению лечащего врача или по желанию пациента при наличии головных болей, головокружений, при подозрении на опухоль (ухудшение зрения, слуха, нарушение речи, чувствительности и движений в конечностях).
После проведения основной МР томографии может понадобиться уточняющее исследование для постановки дифференциального диагноза, уточнения размеров опухолевого процесса и степени вовлечения окружающих органов и структур. В таком случае назначается МРТ с контрастным усилением, в ходе которого в вену пациента вводится контрастное вещество. Изображения, полученные с применением контраста, дают не только точное представление о размере и границах невриномы, но позволяют оценить функциональные нарушения в органах.
Стадии заболевания
- 1-я стадия. Размеры опухоли не превышает 2,5 см. Отмечаются симптомы поражения слуха и вестибулярного аппарата, например, глухота на одно ухо. Возможны также частичное нарушение вкуса, легкий парез лицевого нерва;
- 2-я стадия. Невринома выросла до 2,5- 3,5 см. Симптомы усиливаются: возникает неконтролируемое движение глазных яблок, нарушается равновесие и координация движений;
- 3-я стадия. Размеры опухоли превысили 4 см. Она уже сильно давит на головной мозг, вследствие чего нистагм становится более заметным, возможны нарушения зрения. Скапливание жидкости в желудочках головного мозга (гидроцефалия) может привести к изменению сознания и нарушению психики пациента.
Лечение невриномы слухового нерва
На данный момент существует три основных вида лечения – выжидательная тактика (наблюдение), хирургическая операция и лучевая терапия. Выбор метода зависит от параметров конкретного случая. Врач определит оптимальное лечение, ориентируясь на следующие показатели:
- размер и место опухоли;
- возраст пациента;
- общее состояние здоровья;
- уровень слуха;
- предпочтение больного.
Выжидательная тактика. Показана в тех случаях, когда опухоль мала, расположена таким образом, что не сдавливает близлежащие нервы. Либо, несмотря на достаточно крупный размер, ничем себя не проявляет и не беспокоит пациента. Наблюдение также выбирается в качестве метода, если пациенту противопоказано оперативное вмешательство в силу пожилого возраста или ослабленности организма.
Врач порекомендует наблюдать за развитием процесса, ежегодно делать МР исследование и приходить на консультацию;
Хирургическая операция. Хирургия невриномы слухового нерва – очень сложная и тонкая операция. Показана людям молодого возраста в тех случаях, когда опухоль растет, симптомы усиливаются, а радиохирургия не дает ожидаемого результата. Проводится для сохранения зрения, слуха, лицевого нерва. Хирургическая операция может быть проведена через различные доступы: сосцевидный отросток (транслабиринтный доступ); за ухом (ретросигмоидный доступ); над ухом (средняя ямка).
Операция идет под анестезией, предполагает трепанацию черепа. Восстановительный период длиться от полгода до года.
Лучевая терапия
Гамма-нож
Операции на установке Гамма-нож представляют собой неинвазивный (бескровный) метод лечения неврином слухового нерва, по своей эффективности не уступающий открытой хирургии и значительно снижающим риск послеоперационных осложнений. На сегодняшний день в мире известно более чем о 28 тысяч пациентов с невриномами слухового нерва, пролеченных с помощью Гамма-ножа, и их количество продолжает возрастать.
Целью радиохирургического лечения является предотвращение дальнейшего роста опухоли с минимизацией риска осложнений со стороны прилегающих невральных структур. Биолологические эффекты радиохирургического лечения неврином слухового нерва связаны с разрушением опухолевой ДНК и тромбозом сосудов, питающих опухоль.
Операции на Гамма-ноже показаны больным, у которых наибольший размер опухоли не превышает 3 см. А также - пациентам с остаточными и рецидивирующими опухолями после проведенного микрохирургического удаления.
До начала радиохирургического лечения проводится обследование, позволяющее определить точное положение опухоли и прилегающих нервных образований. Выполняется трехмерная реконструкция, отображающая детальную микрохирургическую анатомию этой области. Для этой цели с помощью МРТ получают четкую визуализацию опухоли и нервов во внутреннем слуховом проходе и области мосто-мозжечкового угла.
С помощью планирующей системы Gamma Planи автоматической позиционирующей системывозможно проводить очень точное облучение опухоли (точность 0,5 мм), избегаяповреждения черепных нервов и других важных отделов мозга.

Преимуществами лечения на Гамма-ноже являются высокая степень сохранения функции лицевого нерва (в 98%) и слуха (в 80%). Полностью отсутствуют осложнения, связанные с открытой операцией (менингит, ликворея). Лечение проводится за один день. Госпитализации и послеоперационного восстановительного периода не требуется. Большинство пациентов возвращаются к своему обычному образу жизни на следующий деньпосле операции.

Слева - МРТпациентки М., 65 лет. Обратилась в радиохирургический центр МИБС с диагнозом-невринома правого VIII нерва. Проведено радиохирургическое лечение, доза по краю невриномы составила 13 Грей, в изоцентре опухоли 21,7 Грей.
Справа - контрольное МРТ через 1,5 года после операции. Отмечается уменьшение объёма опухоли на 47%.
Кибер-нож
Роботизированная радиохирургическая система Кибер-нож, предназначенная для лечения доброкачественных и злокачественных опухолей. В отличие от Гамма-ножа, не имеет ограничений, связанных с размером новообразования. Принцип воздействия радиации на невриному, а также преимущества перед хирургическом вмешательством аналогичны описанным выше, а разделе о Гамма-ноже.
Отдаленные результаты радиохирургического лечения хорошо изучены на протяжении более 50 лет. Уровень контроля за опухолью (отсутствие роста после радиохирургического лечения) составляет 95%. Безопасность лечения и отсутствие побочных эффектов подтверждены длительными периодами наблюдения. На МРТ исследовании, выполненном через 6-12 месяцев после операции, видно, что контраст перестает накапливаться в центре опухоли. После чего новообразование начинает замещаться соединительной тканью. радиационный ответ обычно проявляется через 6-12 месяцев ввидепотери контрастного усиления в центре опухоли, после чего опухоль начинает замещаться соединительной тканью.
КТ, МРТ при интралабиринтной шванноме
а) Терминология:
1. Синоним:
• Подострый лабиринтит
2. Определение:
• Подострое воспалительное или инфекционное заболевание пространств внутреннего уха (ВУ), заполненных жидкостью:
о Вторичные изменения перепончатого лабиринта ВУ обусловлены воспалительным процессом
б) Визуализация:
1. Общая характеристика:
• Лучший диагностический критерий:
о МРТ T1 С+: контрастирование (от легкого до умеренного) пространств ВУ, в норме заполненных жидкостью

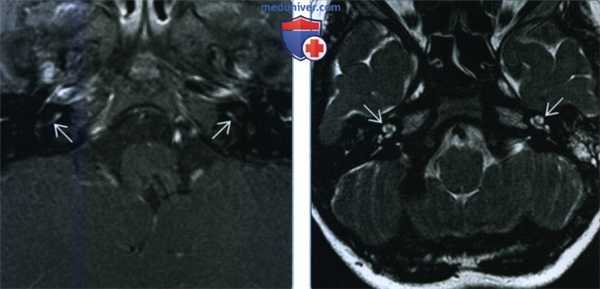
(Слева) При аксиальной МРТ Т1 ВИ С+ FS у годовалого мальчика с перенесенным менингитом и нейросенсорной тугоухостью определяется патологическое контрастирование базального завитка улитки с обеих сторон, сопоставимое с менингогенным лабиринтитом.
(Справа) При аксиальной МРТ Т2 ВИ FSE у пациента с двухсторонним лабиринтитом определяется гиперинтенсивная жидкость (норма) в улитке с обеих сторон. Наличие жидкости с типичным или слегка гипоинтенсивным сигналом позволяет отличить лабиринтит от объемного образования.
2. КТ при лабиринтите:
• КТ в костном окне:
о Острая и подострая фаза: норма
о Гнойный процесс: оссифицирующий лабиринтит (ОЛ):
- Фиброз, затем (недели-годы) оссификация
3. МРТ при лабиринтите:
• Т1 ВИ:
о Сигнал часто в норме
о При тяжелом диффузном перепончатом лабиринтите возможно легкое ↑ сигнала
о При интралабиринтном кровоизлиянии: ↑ сигнал в ВУ
• Т2 ВИ:
о Острая/подострая фаза: гиперинтенсивная жидкость (норма) в ВУ:
- Т2 позволяет отличить перепончатый лабиринтит от интралабиринтной шванномы (гипоинтенсивная жидкость ВУ)
• Т1 ВИ С+:
о Острая/подострая фаза: возможна норма
о Ограниченное/распространенное контрастирование (от легкого до умеренного) пространств улитки, преддверия и полукружных каналов, в норме заполненных жидкостью
о Контрастирование может обнаруживаться и после исчезновения симптоматики
4. Рекомендации по визуализации:
• Лучший метод визуализации:
о Классические клинические проявления: лучевая диагностика не нужна
о Атипичные проявления: тонкосрезовая MPT (Т1 С-,Т1 С+,Т2)

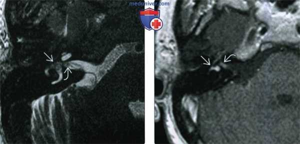
(Слева) При аксиальной МРТ Т1 ВИ С+ у пациента с внезапно возникшим головокружением и тугоухостью на фоне вирусного лабиринтита определяется патологическое контрастное усиление завитков улитки и преддверия.
(Справа) При аксиальной МРТ Т1 ВИ С+ определяется контрастирование улитки и внутреннего слухового канала у пациента с двухсторонним отомастоидитом, оталгией, параличом ЧН VII и тугоухостью. Барабанный сегмент ЧН VII в этом примере тимпаногенного лабиринтита также утолщен и накапливает контраст.
в) Дифференциальная диагностика лабиринтита:
1. Оссифицирующий лабиринтит:
• КТ в костном окне: оссификация перепончатого лабиринта
• МРТ Т1 С+: контрастирование ВУ в ранней фазе
• MPT Т2: замещение нормальной гиперинтенсивной жидкости в ВУ гипоинтенсивным сигналом
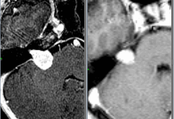
2. Интралабиринтная шваннома:
• МРТ Т1 С+: более интенсивное и ограниченное контрастное усиление, чем при лабиринтите
• МРТ Т2: ограниченное понижение сигнала = зона контрастного усиления
3. Интралабиринтное кровоизлияние:
• Нарушение свертываемости или травма в анамнезе
• МРТ Т1: гиперинтенсивный преконтрастный сигнал
г) Патология:
1. Общая характеристика:
• Этиология:
о Возможен серозный или гнойный лабиринтит
о Этиология контрастного усиления ВУ на МРТ:
- Нарушение васкуляризации лабиринта — неоваскуляризация интралабиринтной перегородки
- Начинается в подострой фазе, сохраняется месяцами
2. Микроскопия:
• Гнойный лабиринтит → оссифицирующий лабиринтит
• Ранняя хроническая фаза: стадия фиброза, пролиферация фибробластов
• Поздняя фаза: стадия оссификации (ОЛ)
д) Клинические особенности:
1. Проявления:
• Типичные признаки/симптомы:
о Внезапное появление нейросенсорной тугоухости (НСТУ), головокружения и звона в ушах
• Классификация лабиринтита:
о Вирусный лабиринтит:
- Острая односторонняя НСТУ ± заболевания верхних дыхательных путей
- При классических проявлениях лучевая диагностика не требуется
- Возможно гематогенное распространение
о Бактериальный лабиринтит:
- Часто прогрессирует, приводя к постоянной НСТУ
- Менингогенный: двухсторонний; вследствие менингита:
Главная причина приобретенной глухоты у детей
Распространение происходит от дна ВСК через решетчатую пластинку — преддверие или канал улиткового нерва → улитка или водопровод улитки — базальный завиток улитки
- Тимпаногенный: односторонний; вследствие бактериального отомастоидита:
Острый бактериальный отомастоидит → прямое распространение через круглое или овальное окно
о Посттравматический/послеоперационный: односторонний; вследствие бактериального отомастоидита:
- Кровоизлияние обычно приводит к накоплению контраста
- Заживление — грануляционная ткань ± ОЛ
о Аутоиммунный: очень редкий, связанный с системным заболеванием
2. Демография:
• Любой возраст
• Эпидемиология: вирусный >> бактериальный лабиринтит
3. Течение и прогноз:
• При вирусном лабиринтите слух часто восстанавливается:
о Тугоухость может рецидивировать и приводить к неработоспособности
• Для бактериального менингита типична стойкая НСТУ
4. Лечение:
• Вирусная этиология: стероиды, вестибулярные супрессанты, вестибулярная тренировка
• Бактериальные: топические и внутривенные антибиотики:
о Хирургическое вмешательство при тяжелом заболевании
е) Список использованной литературы:
1. Salzman KL et al: Intralabyrinthine schwannomas: imaging diagnosis and classification. AJNR Am J Neuroradiol. 33(1):104-9, 2012
Невринома: виды, симптомы, диагностика
Виды неврином по локализации и соответствующие им симптомы
Рассмотрим основные виды патологии и то, какими признаками они сопровождаются.
Невринома позвоночника (шейная, грудного отдела)
Чаще всего поражает грудной и шейный отдел позвоночника. В соответствии с общепринятой классификацией относится к внемозговому типу. Развивается на спинномозговых корешках и сдавливает снаружи спинной мозг.
Возникающие при этом симптомы:
- Корешковый синдром. Характеризуется болью по ходу спинного мозга, может наблюдаться вялый паралич, нарушение чувствительности в пораженном участке.
- Вегетативные нарушения. Симптоматика зависит от того, какой нерв вегетативной системы был поражен опухолью. Могут нарушаться функции органов малого таза (задержка либо недержание мочи, стула), органов ЖКТ (боль в животе, трудности при глотании), сердца (изменение ритма, брадикардия, стенокардия).
- Синдром Броун Секара, когда сдавливается спинной мозг. Ниже уровня расположения опухоли возникает спастический парез, вялый паралич на уровне шванномы, выпадение чувствительности на стороне поражения, утрата ощущения температуры и боли с противоположной стороны.
- Дискомфорт между лопаток, боли, утрата чувствительности.
Признаки патологии могут то появляться, то проходить. По мере роста новообразования симптоматика становится сильной и постоянной. Боли обычно усиливаются в положении лежа.
Невринома головного мозга
Шваннома черепно-мозговых нервов – это опухоль, растущая в пределах черепа. Чаще всего развивается на тройничном и слуховом нервах. В 90% случаев – односторонняя. Симптомы обычно включают:
- внутричерепную гипертензию;
- проявления сдавления окружающего мозгового вещества;
- признаки поражения нервного волокна;
- психические расстройства;
- судороги;
- атаксию;
- нарушения интеллекта;
- гипотонию мышц ног и рук;
- нарушение функции сердца и дыхания;
- изменение зрительных полей.
Невринома тройничного нерва
Это около 35% от всех внутричерепных шванном, вторая по частоте диагностирования шваннома головного мозга. Симптомы зависят от размера новообразования:
- сначала нарушается чувствительность на той половине головы, где есть опухоль;
- позднее поражаются жевательные мышцы, наступает их слабость;
- при росте образования далее появляется тошнота, рвота, распирающая головная боль, сдавливается кора височной доли;
- на запущенных стадиях добавляются обонятельные и вкусовые галлюцинации.
Невринома слухового нерва (акустическая шваннома)
Из-за расположения в мозжечково-мостовом углу опухоль быстро сдавливает окружающие участки головного мозга и нервы. Симптомы делятся на три вида:
- поражение улиткового участка нерва – звон и шум в ухе на стороне поражения;
- ухудшение слуха – постепенно, с высоких тонов;
- при размере опухоли 2-3 см появляется похожая на зубную боль, атрофируются жевательные мышцы;
- когда опухоль достигает 4-5 см поражается отводящий и лицевой нерв, в связи с чем теряется вкус на языке, неправильно работают слюнные железы, нарушается чувствительность лица на стороне поражения, возникает косоглазие с двоением в глазах;
- вестибулярные нарушения (размер образования 5-6 см) – головокружения, обмороки.
Шваннома лицевого нерва
Последствия такой невриномы – нарушение вкуса на первой половине языка, онемение и асимметрия лица, гипотония мимических мышц, нарушение процесса слюноотделения. Возможно разрушение костных структур.
Невринома Мортона (стопы)
Представляет собой доброкачественное разрастание фиброзной ткани в зоне подошвенного нерва. В основном развивается между 3-м и 4-м пальцами. Симптомы – это боль в стопе, ощущение инородного тела, усиление дискомфорта при ношении узкой обуви и нагрузке.
Невринома конского хвоста
Локализуется в самом нижнем отделе позвоночного канала. Сначала проявляется односторонним корешковым синдромом, затем – двухсторонним. Возникает вялый парез ног, нарушения чувствительности мозаичного типа, затруднения при дефекации и мочеиспускании.
Методы диагностики невриномы
Перечень исследований подбирает нейрохирург или невролог. Диагностика начинается с исключения заболеваний с похожей симптоматикой, проводится физикальное обследование – осмотр, опрос пациента на предмет жалоб.
Далее могут назначаться следующие обследования:
- При внутричерепной шванноме – МРТ или КТ головного мозга. КТ менее информативна, потому что не «видит» новообразования менее 2 см. Если МРТ сделать нельзя, то делают КТ с контрастом.
- МРТ или КТ позвоночника. Позволяет обнаружить опухоли, сдавливающие спинной мозг и спинномозговые нервные корешки.
- Аудиометрия. Это часть комплексной диагностики шванномы слухового нерва. Она дает возможность узнать степень потери слуха, причину его снижения.
- УЗИ или МРТ при расположении новообразования на периферических нервах. Первое обнаруживает утолщение неврилеммы. МРТ определяет точную локализацию опухоли, ее структуру и степень поражения нервного волокна.
- Электронейромиография. Таким способом оценивают проходимость по нерву электрических импульсов. Применяется почти при любом виде патологии и оценивает степень нарушения структуры нерва.
- Биопсия. Это прижизненный забор биоматериала с последующим цитологическим анализом. Определяет, злокачественная опухоль или доброкачественная.
Лечение и удаление шванномы
Данную опухоль нельзя вылечить консервативно. Поэтому ее либо удаляют хирургически, либо облучают. Иногда избирается выжидательная тактика:
- при слабых и не прогрессирующих симптомах;
- при случайном обнаружении опухоли во время диагностики другой болезни с помощью КТ или МРТ.
Хирургическое удаление невриномы
Основные показания к операции – это:
- быстрое увеличение новообразования;
- продолжение роста опухоли после ее частичного удаления;
- рост опухоли после радиохирургического вмешательства;
- нарастание симптомов;
- появление новых симптомов у пациентов в возрасте до 45 лет.
При нейрохирургической операции опухоль удаляется полностью, если она не проросла в окружающие ткани. Риск рецидива сводится в такой ситуации к абсолютному минимуму. Однако операция противопоказана людям старше 65 лет, при общем плохом состоянии и при соматических болезнях в стадии декомпенсации.
Если опухоль срослась с нервами, то приходится удалять ее не полностью и далее применять методы радиохирургии (гамма- или кибер-нож).
Когда операцию нельзя провести технически, пациенту назначают лучевую терапию – направленное облучение образования потоком элементарных частиц. Для этого применяется установка линейный ускоритель.
Пластика нервов и сухожилий – самые сложные хирургические манипуляции. Хирург должен быть опытным, хорошо знакомым с .
Прием хирурга может понадобиться при плановой госпитализации, диспансеризации, для получения некоторых видов медицинских карт .
Преимуществ платной медицины очень много. Это удобно, приятно, комфортно. Однако многие выбирают государственные поликлиники .
1. Аббревиатура:
• Интралабиринтная шваннома (ИЛШ)
2. Синоним:
• Шваннома внутреннего уха
3. Определение:
• ИЛШ: доброкачественная опухоль, возникающая из шванновских клеток внутри структур перепончатого лабиринта:
о Включает в себя шванномы улитки, преддверия (или обеих этих структур), а также опухоли внутреннего уха, распространяющиеся во внутренний слуховой канал (ВСК) среднего уха
1. Общая характеристика:
• Лучший диагностический критерий
о МРТ Т1 С+: очаговое контрастирующееся объемное образование в перепончатом лабиринте
о MPT T2 высокого разрешения: дефект наполнения в гиперинтенсивной перилимфе
• Локализация:
о Фокальная интралабиринтная опухоль, называющаяся в зависимости от локализации:
- Интракохлеарная: шваннома в улитке
- Интравестибулярная: шваннома в преддверии внутреннего уха
- Вестибулокохлеарная: шваннома преддверия и улитки
- Трансмодиолярная: шваннома, пересекающая стержень от улитки до дна ВСК
- Трансмакулярная: шваннома, распространяющаяся от преддверия в область дна ВСК
- Трансотическая: шваннома, пересекающая все внутреннее ухо от дна ВСК до среднего уха
• Размер:
о Обычно в пределах нескольких миллиметров в перепончатом лабиринте
о Большие шванномы распространяются за пределы лабиринта
• Морфология:
о Малые начальные шванномы могут быть овоидными или округлыми
о Большие запущенные шванномы принимают форму пораженной части перепончатого лабиринта

(Слева) При аксиальной МРТ Т1ВИ определяется минимальный гиперинтенсивный сигнал в преддверии и улитке у пациента с вестибулокохлеарной шванномой.
(Справа) При аксиальной MPT Т2ВИ визуализируется материал с сигналом, соответствующим мягким тканям, замещающий сигнал, типичный для нормальной жидкости в преддверии и улитке у пациента с ИЛШ вестибулокохлеарного типа. Эти опухоли чаще распознаются на МРТ высокого разрешения (Т2) в условиях высокой настороженности.
2. КТ при интралабиринтной шванноме:
• КТ без КУ:
о Обычно норма, ИЛШ не видна
• КТ с КУ:
о ИЛШ не видна даже на тонкосрезовой КТ с КУ
• КТ в костном окне:
о Норма, за исключением случаев, когда опухоль пролабирует в среднее ухо через нишу круглого окна
о При очень больших опухолях (трансмодиолярных, трансмакулярных, трансотических) могут обнаруживаться костные эрозии
о КТ в костном окне обычно не позволяет сделать заключение об ИЛШ
3. МРТ при интралабиринтной шванноме:
• Т1 ВИ:
о Материал мягкотканной интенсивности во внутреннем ухе
о Может быть слегка более интенсивным по сравнению с жидкостью в лабиринте
о Не виден за исключением больших опухолей и тонкосрезовых томограмм
• Т2 ВИ:
о Очаговое гипоинтенсивное образование в гиперинтенсивной жидкости перепончатого лабиринта
• Т1 ВИ С+:
о Однородное контрастирование ИЛШ
о ИЛШ может распространяться в различных направлениях из внутреннего уха:
- Через круглое окно в среднее ухо
- Вдоль ветвей вестибулярного нерва в дно ВСК = трансмакулярная ИЛШ
- Через стержень и канал лицевого нерва в ВСК = трансмодиолярная ИЛШ
4. Рекомендации по визуализации:
• Используйте фокусную Т1 С+ или Т2 высокого разрешения (например, FIESTA, 3D-TSE) мостомозжечкового угла (ММУ)-ВСК для диагностики ИЛШ
• Тщательно осматривайте все МР-сканы для «исключения акустической шванномы» на предмет наличия интралабиринтного объемного образования
• Тщательно оценивайте расположение опухоли:
о Предполагайте ИЛШ, если опухоль поражает преддверие, улитку или обе эти структуры
о Предполагайте ИЛШ, если опухоль пролабирует в среднее ухо или в область дна ВСК
• Всем пациентам с болезнью Меньера, которым планируется операция, должна выполняться фокусная МРТ для исключения ИЛШ

(Слева) При аксиальной МРТ Т2 ВИ определяется ИЛШ трансмакулярного типа в виде материала с интенсивностью сигнала, соответствующей мягким тканям, заполняющего преддверие и распространяющегося вдоль ветвей преддверного нерва до дна дистальных отделов внутреннего слухового канала (ВСК).
(Справа) При аксиальной МРТ Т1ВИ у этого же пациента определяется контрастное усиление интравестибулярной и дистальной интраканаликулярной части этой трансмакулярной шванномы. Минимальное отличие параметров контрастного усиления обусловлено эффектом усреднения объема.
в) Дифференциальная диагностика интралабиринтной шванномы:
1. Лабиринтит:
• Остро возникшая нейросенсорная тугоухость (НСТУ) ± головокружение и нейропатия лицевого нерва
• МРТ Т2 высокого разрешения: отсутствие мягкотканных опухолей в гиперинтенсивной жидкости во внутреннем ухе
• МРТ Т1 С+: контрастное усиление (полное или частичное) перепончатого лабиринта
2. Оссифицирующий лабиринтит:
• Клинические проявления: менингит или гнойный средний отит-мастоидит в анамнезе
• МРТ Т2 высокого разрешения: локальные гипоинтенсивные участки в гиперинтенсивной жидкости во внутреннем ухе; фиброзно-костные очаги могут имитировать ИЛШ
• КТ в костном окне: костные включения в жидкости перепончатого лабиринта
3. Интралабиринтное кровоизлияние:
• Клинические проявления: внезапная односторонняя НСТУ
• МРТ Т1: гиперинтенсивная жидкость в перепончатом лабиринте
4. Шваннома лицевого нерва с пролабированием во внутреннее ухо:
• Клинические проявления: НСТУ с сопутствующей нейропатией лицевого нерва
• МРТ Т1 С+: вытянутое образование, накапливающее контраст, расположенное по ходу внутривисочного канала лицевого нерва:
о Поражение внутреннего уха - вторичная находка
• КТ в костном окне: расширение канала лицевого нерва в височной кости, ровные края

(Слева) При аксиальной МРТ Т1ВИ С+ определяется контрастное усиление дна дистального ВСК и улитки (ИЛШ трансмодиолярного типа). Опухоль растет из улитки через стержень и канала улиткового нерва, достигая дна ВСК.
(Справа) При аксиальной МРТ Т1ВИ С+ визуализируется крайне редкая ИЛШ трансотического типа. Обратите внимание, что опухоль, накапливающая контраст, распространяется через ВСК из ММУ, а также поражает внутреннее и среднее ухо.
1. Общая характеристика:
• Этиология:
о Опухоль возникает из шванновских клеток вокруг аксонов дистальных отделов преддверного или улиткового нервов в перепончатом лабиринте
о Симптоматика болезни Меньера объяснятся вторичной водянкой эндолимфатического мешка
• Заболевание схоже с другими шванномами в человеческом организме
• Самый частый тип ИЛШ: интракохлеарный
2. Макроскопические и хирургические особенности:
• Коринчевато-серое инкапсулированное образование в лабиринте
3. Микроскопия:
• Дифференцированные неопластические шванновские клетки
• Энтони А: области компактно расположенных вытянутых клеток
• Энтони В: области менее плотно расположенных клеток, опухоль с рыхлой клеточной структурой, ± группы клеток, заполненных жирами
• Выраженная диффузная экспрессия белка S100
1. Проявления:
• Типичные признаки/симптомы:
о Односторонняя нейросенсорная тугоухость (НОТУ):
- Внезапное начало НСТУ-крайне редкая ситуация
о Специфические симптомы, зависящие от локализации опухоли:
- В преддверии: тиннитус, эпизодическое головокружение с тошнотой и рвотой, смешанная тугоухость (опухоль фиксирует основание стремечка, приводя к кондуктивной тугоухости)
- В улитке: медленно прогрессирующая НСТУ
• Клинический профиль:
о Односторонняя НСТУ, развивающаяся в течение нескольких десятилетий
2. Демография:
• Возраст:
о Взрослые >40
• Пол:
о Нет половой предрасположенности
• Эпидемиология:
о Редкая патология
о Примерно в 100 раз более редкая опухоль, чем вестибулярная шваннома ММУ-ВСК
3. Течение и прогноз:
• Крайне медленно растущая доброкачественная опухоль перепончатого лабиринта
• Прогрессирующая тугоухость может длиться 20 лет
• Часто растет, пока не заполнит внутренне ухо, затем рост останавливается
• В конечном счет при отсутствии лечения приводит к полной глухоте
• При удалении опухоли остается тугоухость, выраженная в той или иной степени
4. Лечение:
• Консервативное:
о Выжидательная тактика
о Показана при минимальной симптоматике (при удовлетворительном уровне слуха) и опухолях, ограниченных внутренним ухом
• Хирургическое (резекция):
о Удаление опухоли в преддверии: транслабиринтное вмешательство
о При опухолях улитки или среднего уха: трансотическое вмешательство
о При симптоматике, приводящей к нетрудоспособности:
- Обычно при некупируемом головокружении
о При значительном трансмодиолярном или трансмакулярном распространении возможен доступ через среднюю черепную ямку
о У некоторых пациентов после резекции может иметь значение кохлеарная имплантация
е) Диагностическая памятка:
1. Следует учесть:
• ИЛШ может быть пропущена даже опытными рентгенологами, если они не предупреждены о ее наличии
• ИЛШ сейчас обнаруживается чаще в связи с использованием Т2 высокого разрешения (CISS, FIESTA, 3D-TSE):
о Возрастание выявления частично связано с ↑ настороженностью относительно этого заболевания
о Некоторые ИЛШ не накапливают контраст, но могут визуализироваться на МРТ Т2 высокого разрешения
2. Советы по интерпретации изображений:
• При визуальном «исключении акустической шванномы» на МРТ не следует забывать тщательно оценивать жидкостные пространства внутреннего уха на предмет ИЛШ:
о ИЛШ может быть пропущена, если рентгенолог не ориентирован на поиск объемных образований во внутреннем ухе
• При подозрении на ИЛШ для дифференциальной диагностики с лабиринтитом необходимо использовать МРТ Т2 высокого разрешения:
о ИЛШ выглядит как мягкотканный патологический очаг в гиперинтенсивной жидкости во внутреннем ухе
о Лабиринтит: не столь выраженное очаговое объемное образование в гиперинтенсивной жидкости во внутреннем ухе
МРТ и КТ при нарушении слуха
МРТ головного мозга. Слуховые нервы в норме. Цветовая обработка изображения.
Нарушение слуха (тугоухость) может быть сенсоневральная – в связи с повреждением внутреннего уха, внутреннего слухового прохода, мосто-мозжечкового ушла и вестибулокохлеарного нерва.
- Во внутреннем ухе отосклероз или травматическое повреждение височной кости, редко – врожденные недоразвития улитки (дисплазия Мондини), полукружных каналов, вестибулярного водопровода
- В мембранной части лабиринта – лабиринтит (инфекционное поражение), в том числе и склерозирующий, внутриулитковая Шваннома(невринома), болезнь Меньера (гипоплазия водопровода)
- Внутренний слуховой проход и мостомозжечковый угол – шваннома 8 нерва, менингиома височной кости, эпидермоидные (холестеатомы) и арахноидальные кисты, редко – гломусная тимпаническая опухоль.
Вестибулокохлеарный нерв (VIII) состоит из 4 пучков. Опухоли происходят обычно из вестибулярной его части. Шваннома – инкапсулированная доброкачественная (градация 1) опухоль, происходящая из дифференцированных неопластических шванновских клеток оболочек периферических нервов. Невриномы ММУ составляют около 3% опухолей головного мозга. Часть шванном (двухсторонние слуховых нервов) связана с НФ 2 типа. Пик частоты между 40 и 60 годами. Растут медленно и крайне редко малигнизируются. Клинические проявления связаны с нарушением функции нерва и компрессией ствола. Шваннома может происходить из любого отрезка по ходу нерва и хорошо прослеживается при МРТ области ММУ. Невринома видна как на Т2-взвешенных, так и на Т1-взвешенных МРТ в виде округлого образования. Невриномы хорошо и равномерно усиливаются после МРТ с введением контрастного вещества. Невриномы области цистерны могут иметь компонент во внутреннем слуховом проходе, особенно, хорошо видимый при МРТ головного мозга с контрастированием. Изредка встречаются невриномы полностью расположенные внутри канальца. Они составляют наибольшую диагностическую сложность при МРТ, требуют тонких срезов и контрастирования. Менингиомы ММУ обычно типично расположены и при МРТ имеют характерную форму и типичные черты при МРТ с контрастированием. Однако редко встречаются внутриканальцевые менингиомы. При МРТ они неотличимы от неврином. Холестеатомы при МРТ имеют смешанную интенсивность сигнала, в зависимости от их содержимого. На диффузионно-взвешенных МРТ холестеатомы обычно яркие.
МРТ головного мозга. Аксиальная Т2-взвешенная МРТ. Фрагмент ММУ. Холестеатома слева.
МРТ головного мозга наиболее информативна в плане выявления опухолей мостомозжечкового угла и кист этой области. Некоторое патологии, такие как расширение водопровода и лабиринтит также хорошо видны при МРТ. КТ лучше демонстрирует состояние внутреннего уха.
КТ. Дисплазия Мондини.
КТ. Полная аплазия лабиринта.
КТ. Расширение и укорочение полукружного канала.

КТ. Болезнь Меньера.

КТ. Водопровод в норме (стрелка).
КТ. Увеличенный водопровод (стрелка).
МРТ головного мозга. Т2-взвешенная аксиальная МРТ мосто-мозжечкового угла. Увеличенный водопровод.
КТ. Хронический отит.
КТ. Хронический отит с кальцификацией барабанной перегородки.
КТ. Хронический отит с грануляциями на барабанной перегородке и эрозией стенки тимпанической полости.
При МРТ в СПб в наших клиниках мы при нарушении слуха считаем необходимым применение обоих методов.
Читайте также:
