КТ, МРТ при рануле
Добавил пользователь Alex Обновлено: 03.11.2025
Чтобы провести полную диагностику различных органов человека не всегда достаточно сдать анализы. Иногда стоит провести комплексное обследование, включая МРТ и КТ.
МРТ и КТ - это методы диагностики, которые предоставляют полную картину состояния всего организма. Вопрос о назначении КТ либо МРТ решает врач в соответствии с задачами диагностики и в зависимости от исследуемого органа или системы.
МРТ и КТ - в чём отличия?
Что такое КТ
КТ (Компьютерная томография) – это один из современных методов диагностики различных заболеваний, при котором отсутствует контакт с поверхностью кожи пациента. В основе метода КТ лежит действие рентгеновских лучей. Аппарат вращается вокруг человека и делает несколько снимков, которые затем обрабатываются на компьютере и расшифровываются врачом.
Компьютерная томография (КТ) проводится для диагностики органов брюшной полости и почек, дыхательной и костной систем человека. Чаще всего КТ используют, чтобы определить точное расположение травм.
Что такое МРТ
МРТ (Магнитно-резонансная томография) - это диагностика внутренних органов и тканей человека с помощью ядерного магнитного резонанса. Прибор даёт возможность получить качественное изображение исследуемого участка тела, а также все изменения, которые происходили в нём.
Магнитно-резонансную томографию (МРТ) проводят с целью выявления патологий в органах малого таза, заболеваний кровеносной и пищеварительной системы человека.
Также МРТ назначают при инсультах.
Противопоказания для МРТ и КТ
- беременность – действие рентгеновских лучей негативно влияет на плод,
 - область исследования находится в гипсе,
 - частое проведение похожих процедур,
 - период лактации,
 - почечная недостаточность.
 
- Это различные электронные устройства и металлические имплантаты в исследуемых участках организма.
 - Лишний вес. Большие размеры пациента не позволят поместиться внутри аппарата МРТ.
 
Какие органы и ткани лучше видны на МРТ и КТ?
- кости,
 - КТ используют при исследовании больных с травмами головы, грудной клетки, брюшной полости, а также инсультов,
 - КТ используется при патологии легочной ткани.
 
- МРТ используют для исследования мягких тканей (хрящи, мышцы, связки, головной и спинной мозг, сосуды),
 - головной мозг,
 - с помощью МРТ исследуют сосуды головного мозга и шеи.
 
Преимущества
- Полученные результаты исследования МРТ характеризуются высокой точностью,
 - МРТ - самый точный метод диагностики заболеваний нервной системы,
 - МРТ с высокой точностью определяет наличие грыж в позвоночнике,
 - МРТ не представляет опасности для беременных женщин и детей,
 - Нет ограничений в количестве проводимых МРТ процедур,
 - В ходе процедуры МРТ болевые ощущения отсутствуют,
 - Информация по результатам обследования МРТ предоставляется в виде трёхмерного изображения,
 - Информацию можно сохранить на любой электронный носитель либо компьютер,
 - Допущение ошибок в результатах МРТ исследования невозможно,
 - Рентгеновское облучение отсутствует.
 
- Результат исследования КТ – трёхмерный снимок,
 - Снимки костей получаются с высокой точностью,
 - Процедура КТ абсолютно безболезненна,
 - Длительность процедуры КТ составляет примерно пару минут,
 - Полученная информация в результате КТ исследования проста и понятна для восприятия,
 - Доза облучения гораздо меньше, чем на рентген аппарате,
 - Нет ограничений в прохождении процедуры у людей, в организме которых присутствуют металлические либо электрические устройства,
 - КТ предоставляет точную информацию о наличии внутренних кровотечений и опухолей у пациента,
 - Стоимость процедуры компьютерной томографии (КТ) гораздо меньше, чем МРТ.
 
Недостатки исследований
У каждого метода диагностики есть положительные и отрицательные моменты.
- Отсутствует возможность проводить комплексное исследование полых органов. К ним относятся – желчный пузырь, мочевой пузырь, лёгкие.
 - Есть ограничения на проведение процедуры МРТ пациентам с металлическими предметами в организме,
 - Для получения точных снимков в ходе процедуры следует находиться в неподвижном и спокойном состоянии.
 
- КТ - опасное рентгеновское облучение,
 - Данная процедура предоставляет информацию только о строении органов и тканей, но не об их функционировании,
 - Этот вид диагностики противопоказан беременным и кормящим женщинам, детям.
 
Отличие МРТ от КТ
Компьютерная томография (КТ) лучше всего воспринимает костные структуры. Поэтому КТ хорошо использовать для определения костных травм и различных повреждений.
На МРТ хорошо видны мягкие ткани: мышцы, сосуды, хрящи, спинной и головной мозг. Поэтому МРТ лучше использовать для выявления опухолей и патологий в неврологии и нейрохирургии, эндокринологии.
Под воздействием рентгеновского излучения на компьютерном томографе (КТ) получается серия снимков исследуемого объекта.
Магнитно-резонансный томограф (МРТ) действует на основе магнитного поля, в которое помещают пациента.
- обнаружена ответная реакция организма на вводимое контрастное вещество при проведении компьютерной томографии,
 - следует проверить состояние головного мозга, состояние мягких тканей,
 - опорно-двигательные заболевания у детей,
 - необходимо проверить состояние гипофиза, состояние нервных клеток в головном мозге,
 - при повреждениях хрящей, суставов,
 - при подозрениях на онкологические заболевания.
 
- любые механические повреждения, травмы головы,
 - поражения костей, их деформация при различных воздействиях,
 - исследование сосудов, сердца,
 - подозрения на развитие гнойных заболеваний – синусит, отит,
 - патологии в брюшной полости,
 - проблемы с органами дыхания,
 - подозрения на рак, изменения в грудной клетке и её органах.
 
МРТ является безвредным методом диагностики и не облучает организм, как при компьютерной томографии. Является хорошей заменой, если обнаружена непереносимость организма к контрастному веществу, которое вводится для проведения КТ.
КТ оказывает более интенсивное влияние на организм.
Сравнить две эти процедуры невозможно, так как они совершенно разные. Их основные отличия состоят в противопоказаниях, показаниях, а также методу воздействия. Поэтому врач сам принимает решение в пользу выбора того или иного метода исследования.
Как часто можно делать КТ и МРТ?
Количество проводимых процедур должно зависеть только от их действительной необходимости. МРТ абсолютно безопасна, и её разрешается проводить неограниченное число раз. Ситуация с КТ немного отличается. Если есть показания для регулярного проведения данной процедуры, следовательно, нужно ограничить дозу получаемого облучения, чтобы уменьшить вред для организма.
С какого возраста можно проводить МРТ и КТ?
Возрастные ограничения для выполнения компьютерной томографии либо магнитно-резонансной томографии отсутствуют. Эти методы диагностики можно использовать, в том числе и для грудных детей при необходимости.
Как проходит процедура КТ и МРТ?
Эти процедуры абсолютно безболезненны. Единственное условие, во время процедуры пациент должен находиться в неподвижном положении в течение получаса. 
Во время процедуры пациенту разрешается разговаривать, лишь в некоторые моменты следует молчать и лежать без движения. На протяжении всей процедуры врач общается с пациентом, задаёт ему вопросы, контролирует его самочувствие.
Правила подготовки к процедурам КТ и МРТ
Для выполнения процедуры обязательным является направление от врача. Так как врач должен знать Ваш диагноз, чтобы выполнить правильную процедуру. При прохождении повторных исследований, рекомендуется взять с собой прошлые результаты.
Рекомендуется приходить в удобной, не стесняющей одежде, что во время процедуры Вам было комфортно.
Накануне прохождения данных процедур рекомендуется выпить достаточное количество жидкости. Так как при обследовании с использованием контрастного вещества, его выведение из организма будет происходить гораздо быстрее.
КТ, МРТ при рануле
а) Терминология:
1. Аббревиатуры: 
• Простая ранула (ПрР), погружная ранула (ПР)
2. Синонимы: 
• Простая ранула: мукоцеле подъязычной железы, слизистая ретенционная киста подъязычной железы 
• Погружная ранула: свисающая ранула
3. Определения: 
• Ретенционная киста подъязычной слюнной железы или малых слюнных желез: 
о Простая: истинная киста, ограниченная подъязычным пространством 
о Погружная: экстравазационная киста; простая ранула, распространяющаяся в поднижнечелюстное пространство 
• Термин «ранула» происходит от латинского слова гапа-лягушка: 
о Пузырьки, которые есть у лягушек под языком, по своему виду напоминают простую ранулу
б) Визуализация:
1. Общая характеристика: 
• Лучший диагностический критерий: 
о Простая: тонкостенная киста подъязычного пространства с четкими контурами 
о Погружная: тонкостенная киста поднижнечелюстного пространства с хвостом в подъязычном пространстве 
• Локализация: 
о ПрР: подъязычное пространство (выше челюстно-подъязычной мышцы) 
о ПР: поднижнечелюстное и подъязычное пространства 
• Размер: 
о Простая: обычно о Погружная: может достигать больших размеров, но обычно • Морфология: 
• ПрР: 
- Однокамерная киста, с одной стороны, овальной или чечевицеобразной формы 
- Однокамерная киста, при двустороннем расположении имеет форму подковы 
• ПР: 
- Однокамерная киста в виде кометы, хвост которой лежит в подъязычном пространстве 
- Достигнув крупных размеров, может проникать в окологлоточное пространство

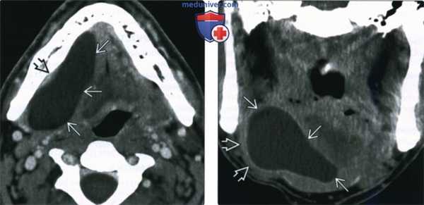
 (Слева) КТ с КУ, аксиальная проекция. Крупная простая ранула В, деформирующая правое подъязычное пространство и смещающая челюстно-подъязычную мышцу в латеральную сторону. Утолщения стенок или накопления в них контраста нет, что говорит об отсутствии воспаления. 
(Справа) КТ с КУ, коронарная проекция. Челюстно-подъязычная мышца В смещена книзу и латерально крупной, тонкостенной однокамерной кистой В. Простая ранула выглядит идентично эпидермоидной кисте подъязычного пространства. Для постановки диагноза требуется биопсия или четкий анамнез (при врожденной кисте). 
2. КТ при рануле: 
• КТ с КУ: 
о ПрР: 
- Однокамерное кистозное образование низкой плотности, незначительно накапливающее контраст в своих стенках 
- Может проникать в подъязычное пространство другой стороны (форма подковы) 
о ПР: 
- Признак хвоста: спавшаяся подъязычная часть 
- Располагается кзади от челюстно-подъязычной мышцы: хвост медиальнее челюстно-подъязычной мышцы, тело чаще медиальнее поднижнечелюстной железы 
- Может распространяться в латеральную сторону через дефект в челюстно-подъязычной мышце (более частый вариант): хвост в передней части подъязычного пространства, тело обычно кпереди от поднижнечелюстной железы 
о Инфицированная ранула (в настоящий момент или в прошлом): 
- Растянутая киста с плотными стенками, накапливающими контраст
3. МРТ при рануле: 
• Т1ВИ: 
о Гипоинтенсивный однородный сигнал (подобный ликвору) 
• Т2ВИ: 
о Гиперинтенсивный однородный сигнал (подобный ликвору) 
• Т1ВИ с КУ: 
о При отсутствии инфицирования контраст в стенках не накапливается или накапливается слабо 
о Инфицирование в настоящий момент или в прошлом => утолщение стенок, возможно изменение сигнала на Т1 и Т2ВИ
4. УЗИ: 
• Гипоэхогенное кистозное образование в подъязычном пространстве (или также в поднижнечелюстном, при погружной рануле) 
• При погружной рануле подъязычная железа может проникать в дефект челюстно-подъязычной мышцы: 
о Может предшествовать формированию погружной ранулы
5. Рекомендации по визуализации: 
• Лучший метод визуализации: 
о КТ с КУ оптимален для уточнения локализации ранулы 
• Протокол исследования: 
о Многоплоскостные реконструкции помогают в определении локализации погружной части 
о Т2 ВИ оптимальны для визуализации признака «хвоста»

 (Слева) КТ с КУ, подросток с жалобами на боль и припухлость в правой поднижнечелюстной области. В правом под нижнечелюстном пространстве, кпереди и латеральнее от железы определяется образование низкой плотности, накапливающее контраст по периферии. Имеются выраженные воспалительные изменения окружающих тканей. 
(Справа) КТ с КУ, аксиальная проекция. Задневерхняя часть ранулы В распространяется вдоль заднего края челюстно-подъязычной мышцы. Такая картина характерна для инфицированной погружной ранулы. Обратите внимание на отек дна полости рта справа. 
в) Дифференциальная диагностика ранулы:
1. Лимфатическая мальформация полости рта: 
• Многокамерное кистозное образование, захватывающее несколько пространств 
• Камеры, перегородки, неоднородный сигнал говорят в пользу лимфатической мальформации: 
о Может поражать несколько пространств 
о Возможно периферическое линейное накопление контраста
2. Дермоид и эпидермоид полости рта: 
• Односторонее образование низкой плотности/сигнала, расположенное в подъязычном пространстве и имеющее тонкую стенку 
• При расположении в подъязычном пространстве, может выглядеть идентично простой рануле: 
о Для дермоида характерны жировая плотность (КТ) или высокий сигнал (Т1ВИ) 
о Для эпидермоида характерно ограничение диффузии
3. Аномалии второй жаберной щели: 
• Овоидное однокамерное образование в задней части поднижнечелюстного пространства 
• Отсутствует признак хвоста 
• Смещает поднижнечелюстную железу вперед, а не латерально
4. Гнойный лимфаденит: 
• Множественные лимфоузлы в поднижнечелюстном пространстве, которые выглядят как кисты 
• Наличие отдельных нагноившихся/воспаленных лимфоузлов говорит в пользу гнойного лимфаденита 
• Ориентироваться на клинику воспаления и анамнез
5. Абсцесс полости рта: 
• Пациент с лихорадкой и болью в полости рта 
• Одно или несколько жидкостных образований с накапливающими контраст стенками 
• Сопутствующие воспалительные изменения в жировой клетчатке
6. Мукоцеле поднижнечелюстной железы: 
• Кистозные «пузыри» у края поднижнечелюстной железы 
• Отсутствует признак хвоста
7. Сиалоцеле полости рта: 
• Истинное сиалоцеле: растянутый поднижнечелюстной проток 
• Ложное сиалоцеле: слюна, окруженная псевдокапсулой

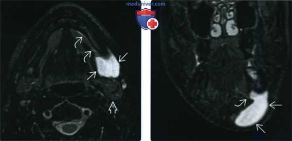
 (Слева) МРТ Т2ВИ FS, подросток с рецидивирующей припухлостью в поднижнечелюстной области. В прошлом пациенту дважды выполнялась аспирация содержимого кисты. Определяется образование В с четкими контурами и гиперинтенсивным сигналом, которое находится кпереди от поднижнечелюстной железы и латеральнее челюстно-подъязычной мышцы. Признак «хвоста» лучше всего виден на Т2ВИ. 
(Справа) МРТ Т2ВИ FS, коронарная проекция. Латеральная погружная ранула, которая представляет собой крупное кистозное образование поднижнечелюстного пространства. Часть ранулы (признак «хвоста») проходит через дефект в челюстно-подъязычной мышце. 
г) Патология:
1. Общая характеристика: 
• Этиология: 
о Ретенционная киста, причиной которой является травма или воспаление подъязычной железы или малых слюнных желез поднижнечелюстного пространства 
о Врожденная ранула может быть следствием атрезии или стеноза слюнного протока 
о Простая ранула разрывается => псевдокиста без эпителиальной выстилки (погружная ранула): 
- Разрывается кзади от заднего края челюстно-подъязычной мышцы до заднего края поднижнечелюстного пространства 
- Разрывается в латеральную сторону через челюстно-подъязычную мышцу (бутоньерку), кпереди от поднижнечелюстной железы (чаще всего) 
- 
2. Стадирование, классификация ранулы: 
• Первой в подъязычном пространстве развивается ПрР: 
о Может увеличиваться и полностью занимать подъязычное пространство 
о Может переходить через место крепления подбородочноязычной мышцы на противоположную сторону 
• ПР возникает вследствие разрыва простой ранулы: 
о Разрыв ретенционной кисты в поднижнечелюстное пространство
3. Макроскопические и хирургические особенности: 
• ПрР: флюктуирующее новообразование под языком, зачастую голубоватого цвета 
• ПР: флюктуирующее образование, заполненное слизью
4. Микроскопия: 
• ПР выстлана плоским, кубовидным или цилиндрическим эпителием: 
о В кисте содержаться слюна и слизь 
• ПР представляет собой псевдокисту без эпителиальной выстилки, но с фиброзной и грануляционной тканью, плотной соединительной тканью, клетками хронического воспаления 
о Содержит островки слизи
д) Клинические особенности:
1. Проявления: 
• Типичные признаки/симптомы: 
о Безболезненная припухлость на дне полости рта 
о ПР обычно выглядит как образование поднижнечелюстной области, которое является смещенной поднижнечелюстной железой: 
- Возможна частичная обструкция смещенной железы ± воспалительные изменения 
о Может уменьшаться и увеличиваться в размерах 
• Другие признаки/симптомы: 
о У 50% больных в анамнезе травма шеи или полости рта 
• Клиническая картина: 
о Пациент 30 лет с безболезненным образованием дна полости рта
2. Демография: 
• Возраст: 
о И дети, и взрослые; медианный возраст - 30 лет 
о Врожденная ранула у младенцев 
• Пол: 
о У мужчин чуть чаще, чем у женщин 
• Национальность: 
о ПР чаще встречается у майори из Новой Зеландии и полинезийцев Тихоокеанских островов 
• Эпидемиология: 
о Простая ранула встречается чаще погружной 
о Погружная ранула чаще всего распространяется в латеральную сторону через дефект в челюстно-подъязычной мышце 
о Врожденная ранула встречается редко
3. Течение и прогноз: 
• Крупная простая ранула может целиком заполнять подъязычное пространство и распространяться на противоположную сторону 
• Дети: может спонтанно разрешаться в течение 6 месяцев 
• Взрослые: в качестве погружной ранулы может прорываться в поднижнечелюстное пространство 
• В зависимости от проведенного хирургического лечения может рецидивировать
е) Диагностическая памятка:
1. Следует учесть: 
• Клинически и рентгенологически напоминает множество других состояний
2. Советы по интерпретации изображений: 
• ПР нужно подозревать при обнаружении «хвоста»: 
о Распространяясь позади заднего края челюстно-подъязычной мышцы, киста лежит медиальнее поднижнечелюстной железы 
о Распространяясь латеральнее, через дефект в челюстно-подъязычной мышце, киста лежит кпереди от поднижнечелюстной железы 
• От стороны, в которую смещена поднижнечелюстная мышца, не зависит, является ли ранула латеральной или задней: 
о Должен определяться «хвост» 
• Для выявления симптома хвоста лучше всего подходит Т2ВИ FS
ж) Список использованной литературы: 
1. Lee JY et al: Plunging ranulas revisited: a CT study with emphasis on a defect of the mylohyoid muscle as the primary route of lesion propagation. Korean J Radiol. 17(2):264-70, 2016 
2. Lee DH et al: Treatment outcomes of the intraoral approach for a simple ranula. Oral Surg Oral Med Oral Pathol Oral Radiol. 119(4):e223-5, 2015 
3. Owens DJ et al: Orthodontics: A traumatic cause of ranula. Br Dent J. 219(5): 194-5, 2015 
4. Li J et al: Correct diagnosis for plunging ranula by magnetic resonance imaging. Aust Dent J. 59(2):264-7, 2014 
5. Yang Y et al: Surgical results of the intraoral approach for plunging ranula. Acta Otolaryngol. 134(2):201-5, 2014 
6. Harrison JD et al: Postmortem investigation of mylohyoid hiatus and hernia: aetiological factors of plunging ranula. Clin Anat. 26(6):693-9, 2013 
7. Jain P et al: Plunging ranulas: high-resolution ultrasound for diagnosis and surgical management. Eur Radiol. 20(6): 1442-9, 2010 
8. Macdonald AJ et al: Giant ranula of the neck: differentiation from cystic hygroma. AJNRAmJ Neuroradiol. 24(4):757-61, 2003
1. Аббревиатуры: 
• Простая ранула (ПР) 
• Ныряющая ранула (HP)
2. Синонимы: 
• ПР = мукоцеле подъязычной железы (ПЯЖ), муцинозная ретенционная киста ПЯЖ 
• НР = погружающаяся ранула
3. Определения: 
• Ретенционная киста ПЯЖ или малой слюнной железы: 
о ПР: истинная киста, ограниченная подъязычным пространством (ПЯП) 
о HP: экстравазационная псевдокиста; разорвавшаяся ПР с распространением в поднижнечелюстное пространство (ПНП)
1. Общая характеристика: 
• Лучший диагностический критерий: 
о ПР: хорошо отграниченная тонкостенная киста ПЯП 
о HP: тонкостенная псевдокиста с «хвостом» в ПЯП 
• Локализация: 
о ПР: ПЯП (например, надчелюстно-подъязычной мышцей) 
о HP: ПНП и ПЯП 
• Размер: 
о ПР: о HP: • Морфология: 
о ПР: 
- Односторонняя, однокамерная киста ПЯП овальной или чечевицеобразной формы 
- Двухсторонняя, однокамерная киста ПЯП в форме подковы 
о HP: 
- Однокамерная киста ПНП в виде кометы с «хвостом» в ПЯП 
- При больших размерах может вовлекать окологлоточное пространство

 (Слева) На аксиальной КТ с КУ определяется большая ПР, растягивающая правую ПЯЖ и приводящая к дугообразному выбуханию челюстно-подъязычной мышцы кнаружи. Заметное контрастное усиление или утолщение стенки кисты отсутствует, как и воспалительные изменения окружающих тканей. 
(Справа) На корональной КТ с КУ в отсроченной фазе у этого же пациента определяется дугообразное выбухание челюстно-подъязычной мышцы книзу и кнаружи, обусловленное крупной однокамерной кистой с тонкой стенкой. ПР выглядит идентично эпидермоиду ПЯП, поэтому для установления окончательного диагноза требуется патоморфологическое исследование или точные данные о врожденной природе образования. 
2. КТ при рануле: 
• КТ с КУ: 
о ПР: 
- Одностороннее гиподенсное кистозное образование с легким линейным контрастным усилением стенки 
- Может распространяться в контралатеральное ПЯП (принимая подковообразную форму) 
о HP: 
- Симптом хвоста=спавшаяся часть ПЯП 
- Задняя над задним краем челюстно-подъязычной мышцы: хвост с внутренней стороны от челюстно-подъязычной мышцы и тело часто изнутри от поднижнечелюстной железы (ПНЖ) 
- Боковая проникает через дефект челюстно-подъязычной мышцы: хвост в передних отделах ПЯП, тело спереди от ПНЖ 
о Инфицированная ранула (в настоящий момент или немного ранее): 
- Растянутая киста с толстой стенкой, накапливающей контраст
3. МРТ при рануле: 
• Т1 ВИ: 
о Диффузный сигнал низкой интенсивности = ЦСЖ 
• Т2 ВИ: 
о Сигнал крайне высокой интенсивности = ЦСЖ 
• Т1 ВИ С+: 
о Тонкое линейное контрастирование стенки 
о Текущая или недавно перенесенная инфекция — утолщение стенки; возможно также изменение Т1 и Т2 сигнала
4. УЗИ при рануле: 
• Гипоэхогенное, хорошо отграниченное образование в ПЯП (± ПНП, если ныряющая)
5. Рекомендации по визуализации: 
• Лучший метод визуализации: 
о КТ с КУ-лучший метод для определения распространенности ранулы 
• Выбор протокола: 
о КТ с мультипланарным реформатированием позволяет оценить «ныряющий» компонент 
о MPT (Т2 FS) лучший метод для обнаружения едва различимого симптома «хвоста»

 (Слева) На аксиальной КТ с КУ (у молодого взрослого с сильной болью и отеком) в правой ПНЖ (спереди и снаружи) определяется гиподенсное образование, накапливающее контраст В, наряду с распространенными воспалительными изменениями прилежащих тканей. 
(Справа) На аксиальной КТ с КУ у этого же пациента визуализируется задний верхний край образования, распространяющегося по направлению к челюстно-подъязычной мышце. Изменения соответствуют вторично (остро) инфицированной HP. Обратите внимание на отек правой половины дна полости рта. 
1. Лимфатическая мальформация полости рта: 
• Многокамерное кистозное образование, занимающее несколько областей 
• Дольчатость, наличие перегородок, неоднородная структура позволяет предположить лимфатическую мальформацию (ЛМ) 
• ЛМ обычно не распространяется в ПЯП
2. Дермоид и эпидермоид полости рта: 
• Одностороннее гиподенсное/гипоинтенсивное образование в ПЯП стойкой стенкой, не накапливающей контраст 
• В ПЯП эпидермоид выглядит идентично ПР 
• Плотностьжира (КТ) или гиперинтенсивный сигнал (Т1 МРТ) — диагностический признак эпидермоида
3. Аномалия второй жаберной щели: 
• Овоидное однокамерное образование в заднем ПНП 
• Отсутствие «хвоста» в ПЯП 
• Смещает ПНЖ кпереди, не кнаружи
4. Нагноившиеся лимфатические узлы: 
• Множественные лимфоузлы в ПНП, выглядящие кистозными 
• Изолированные нагноившиеся/реактивные лимфоузлы 
• Ключевые признаки - сопутствующее воспаление и соответствующий анамнез
5. Абсцесс полости рта: 
• Септическое состояние; болезненность тканей, окружающих полость рта 
• Единичное (множественные) скопление(я) с контрастирующейся стенкой (стенками) 
• Сопутствующие воспалительные изменения жировой ткани
6. Мукоцеле поднижнечелюстной железы: 
• «Вздутие» края ПНЖ кистой 
• Отсутствие симптома «хвоста» в ПЯП
7. Сиалоцеле полости рта: 
• Истинное сиалоцеле: растянутый проток поднижнечелюстной железы 
• Ложное сиалоцеле: экстравазация слюны с ограничением ее фиброзной псевдокапсулой

 (Слева) На аксиальной МРТ (Т2 ВИ FS) у молодого взрослого с рецидивирующим образованием в поднижнечелюстной области, дважды перенесшего аспирацию содержимого кисты, спереди от ПНЖ В и снаружи от челюстно-подъязычной мышцы визуализируется образование с четкими контурами и крайне высокой интенсивностью сигнала Т2 FS лучше всего позволяет оценить едва различимый симптом «хвоста» (признак более редкой боковой HP). 
(Справа) На корональной MPT (Т2 ВИ FS) у этого же пациента определяется боковая HP в виде большого кистозного образования в ПНП с едва различимым «хвостом», проникающим через дефект челюстно-подъязычной мышцы. 
1. Общая характеристика: 
• Этиология: 
о Ретенционная киста, возникающая в результате травмы или воспаления ПЯЖ или малой слюнной железы ПЯП 
о Врожденная ранула обусловлена атрезией протока слюнной железы или спайками в его устье 
о Разрыв ПР — псевдокиста без эпителиальной выстилки (HP): 
- Разрыв с распространением кзади за пределы заднего края челюстно-подъязычной мышцы в заднее ПНП 
- Разрыв с распространением кнаружи через дефект челюстно-подъязычной мышцы в ПНЖ 
- Распространение в окологлоточное пространство в 
2. Стадирование, классификация ранулы: 
• ПР первично возникает в ПЯП: 
о Может расти, полностью заполняя ПЯП с одной стороны 
о Может распространяться в ПЯП с противоположной стороны над областью прикрепления подбородочно-язычной мышцы к нижней челюсти 
• HP возникает вторично вследствие разрыва ПР 
о При прорыве ретенционной кисты в подлежащее ПНП
3. Макроскопические и хирургические особенности: 
• ПР: флюктуирующее подъязычное образование, часто синеватого цвета 
• HP: флюктуирующее образование со слизью, вышедшей за пределы железы
4. Микроскопия: 
• ПР выстлана плоским, кубическим или цилиндрическим эпителием: 
о Киста содержит слизь и слюну 
• HP-псевдокиста без эпителиальной выстилки, но с фиброзной и грануляционной тканью, плотной соединительной тканью и клетками хронического воспаления 
о Содержит включения слизи
1. Проявления: 
• Типичные признаки/симптомы: 
о Безболезненный отек дна полости рта (ПР) 
о HP обычно проявляется как образование в поднижнечелюстной области, смещающее ПНЖ: 
- Возможна частичная обструкция протока смещенной ПНЖ ± воспалительные изменения 
о Ранула обоих типов может увеличиваться или уменьшаться в размерах 
• Другие признаки/симптомы: 
о В 50% случаев травма шеи или полости рта в анамнезе 
• Клинический профиль: 
о Мужчина 30 лет с безболезненным образованием дна полости рта
2. Демография: 
• Возраст: 
о Дети и взрослые: средний: 30 лет 
о Врожденная ранула у младенцев 
• Пол: 
о М слегка > Ж 
• Этническая принадлежность: 
о HP чаще встречается у обитателей Тихоокеанских Островов и Маори 
о Задняя HP более распространена, чем боковая 
о Врожденная ранула встречается редко
3. Течение и прогноз: 
• Большая ПР может заполнять ПЯП с одной стороны или распространяться на противоположную сторону в ПЯП 
• У детей может самостоятельно исчезать к шести месяцам 
• У взрослых тяготеет к прорыву в ПНП с формированием HP 
• Возможно возникновение рецидива после хирургического лечения
4. Лечение ранулы: 
• Существует множество вариантов: 
о Трансоральная эксцизия ПЯЖ с эвакуацией содержимого кисты: 
- Наименьшее количество осложнений и рецидивов 
- Биопсия стенки псевдокисты для подтверждения диагноза 
о Трансоральная эксцизия ПЯЖ и кисты 
о Трансцервикальная эксцизия ПНЖ, ПЯЖ и кисты 
о Марсупиализация: 
- Выше уровень рецидивов 
о Лазерная эксцизия и вапоризация 
• Нехирургические варианты: 
о Склерозирование путем введения в кисту ОК-432 и блемицина 
о Аспирация содержимого кисты; наивысший уровень рецидивов
1. Следует учесть: 
• Многочисленные лучевые и клинические «имитаторы» ранулы
2. Советы по интерпретации изображений: 
• Наличие «хвоста» позволяет заподозрить HP: 
о Располагаясь за задним краем шилоподъязычной мышцы, киста ПНП часто лежит изнутри от ПНЖ 
о Проходя кнаружи через дефект в челюстно-подъязычной мышце, кистозный компонент ПНП часто оказывается спереди от ПНЖ 
• Направление смещения ПНЖ не является диагностическим признаком боковой или задней HP: 
о Обязательно должен обнаруживаться «хвост» 
• MPT Т2 FS: метод выбора для обнаружения едва заметного симптома «хвоста»
Чем МРТ отличается от КТ и какое исследование более информативно?
На сегодняшний день магнитно-резонансная томография и компьютерная томография ― наиболее информативные и высокоточные методы инструментальной диагностики. Они создают послойное трехмерное изображение внутренних органов и позволяют делать достоверные заключения о процессах, протекающих в организме пациента.
Мельчайшие нарушения в тканях будут отражены на снимке и позволят быстро поставить точный диагноз. При этом МРТ и КТ принципиально различаются как в случаях применениях, так и в методах сканирования.
Основные отличия КТ от МРТ
Обе методики визуализируют патологии организма, но если МРТ дает информацию о состоянии мягких тканей, то КТ в большей степени применяется для оценки здоровья костей и других твердых тканей. Ключевые различия МРТ и КТ очевидны, когда понятны принцип действия аппаратов, природа излучения и показания к назначению.

 
Принцип действия: метод сканирования
Основная разница между исследованиями заключается в методе сканирования:
- В компьютерном томографе применяются рентгеновские лучи, которые проходят через мягкие ткани и отображают плотные структуры. Таким образом, создаются высокоинформативные точные трехмерные послойные изображения. Лучевая нагрузка при проведении компьютерной томографии существенно ниже, чем при выполнении рентгеновского снимка.
 - При магнитно-резонансной томографии также создается точное трехмерное послойное изображение органов и тканей, но за счет резонанса атомов водорода в организме человека на магнитное поле, создаваемое томографом.
 
Показания к назначению МРТ и КТ
Магнитно-резонансная томография применяется для обследования сосудов, мягких тканей, внутренних органов, головного мозга, нервной системы и лимфатических узлов.
Компьютерная томография помогает обнаружить структурные изменения тканей. В таблице мы приводим список некоторых заболеваний, при которых назначаются эти методы диагностики.
- грыжа межпозвоночного диска;
 - протрузия;
 - остеохондроз;
 - опухоли и воспалительные процессы головного мозга;
 - рассеянный склероз;
 - инсульт;
 - аневризмы;
 - панкреатит;
 - холецистит;
 - невриты;
 - тромбоз;
 - тромбоэмболия;
 - атеросклероз;
 - водянка головного мозга или брюшной полости;
 - болезни связок и хрящей;
 - застой желчи;
 - абсцессы и флегмоны;
 - грыжи и т.д.
 
- повреждения костей или позвоночника;
 - гематомы и внутренние кровотечения;
 - остеопороз;
 - сколиоз;
 - пневмония;
 - хронический бронхит;
 - астма;
 - туберкулез;
 - онкологические заболевания;
 - новообразования щитовидной железы;
 - аденома;
 - аневризмы;
 - заболевания желудка и кишечника;
 - атеросклероз;
 - мочекаменная болезнь.
 
Противопоказания к применению МРТ и КТ
Существует ряд противопоказаний к проведению диагностических обследований методами МРТ и КТ. Хотя доза облучения при КТ ничтожно мала, обследование проводят не чаще одного раза в шесть месяцев. Из этого правила могут быть исключения, при жизненной необходимости период между обследованиями может быть сокращен по решению врача.
Беременные и кормящие женщины не подлежат диагностике методом КТ из-за негативного воздействия облучения на плод. Пациентам с психическими отклонениями и клаустрофобией также не рекомендуется этот вид обследования из-за особенностей процесса проведения диагностики.
| Противопоказания к МРТ | Противопоказания к КТ | 
|---|---|
| Беременность | Беременность | 
| Кардиостимулятор | Период грудного вскармливания | 
| Слуховой аппарат | Декомпенсированный сахарный диабет | 
| Инсулиновая помпа | Тяжелые болезни сердца | 
| Несъемные зубные протезы, коронки, мосты | Почечная недостаточность | 
| Металлопротезы и осколки | Миелома и плазмоклеточная дискразия | 
| Кава-фильтр |   |  
При проведении МРТ и КТ пациент должен лежать и не двигаться. Поэтому дети и люди, по состоянию здоровья неспособные лежать без движения в процессе проведения диагностики, а также боящиеся замкнутых пространств пациенты, проходят обследование под наркозом или седацией.
Ожидание диагностики МРТ и КТ по назначению врача в государственном учреждении здравоохранения в среднем длится месяц. И только экстренные показания (угроза жизни) являются основанием для выполнения обследования вне очереди. В медицинском центре «Адмиралтейские верфи» при наличии назначения врача пройти диагностику на КТ и МРТ можно в день записи.
Обследование на томографе проходит лежа. Врач помогает пациенту разместиться на столе аппарата и выходит из помещения. Исследование занимает от 15 до 20 минут на КТ и от 10 минут до часа на МРТ. Выполнив серию снимков, пациента отпускают. Через полчаса – час ему выдается протокол обследования.
При проведении диагностики с контрастом используется болюсное введение. В нужный момент автоматический инъектор внутривенно вводит контраст пациенту. Использование контраста позволяет создать более детальную картину. Это требуется, когда обычного обследования недостаточно для постановки или уточнения диагноза.
 
Преимущества обследования в медицинском центре «Адмиралтейские верфи»
Многие пациенты сталкиваются с тем, что на УЗИ при выявлении или подозрении на патологию дальнейшее обследование методами КТ или МРТ откладывается на несколько дней или недель.
Если вам требуется пройти обследование оперативно, обращайтесь в отделение инструментальных методов диагностики медицинского центра «Адмиралтейские верфи». Для ускорения и оптимизации алгоритма обследования пациентов мы объединили отделение функциональной и лучевой диагностики.
Для проведения дополнительных исследований нашим пациентам не нужно перезаписываться на последующие даты. Расписание специалистов клиники построено таким образом, что при необходимости мы можем провести дообследование сразу же.
В каждом конкретном случае, решение о выборе того или иного метода диагностики принимает врач: именно он решает, что лучше – МРТ или КТ. Специалисты медицинского центра «Адмиралтейские верфи» ответят на ваши вопросы и подберут адекватный метод диагностики. Для этого позвоните по номеру телефона, указанному на сайте, или оставьте заявку в форме обратной связи. Давайте заботиться о вашем здоровье вместе!
МРТ или КТ брюшной полости: что выбрать?
В статье подробно разбираем при каких заболеваниях необходима магнитно-резонансная томография, а при каких компьютерная томография. Рассказываем о противопоказаниях процедур и необходимой подготовке.

Информацию из данного раздела нельзя использовать для самодиагностики и самолечения. В случае боли или иного обострения заболевания диагностические исследования должен назначать только лечащий врач. Для постановки диагноза и правильного назначения лечения следует обращаться к Вашему лечащему врачу.
Магнитно-резонансная томография и компьютерная томография крайне информативные методы исследования организма. У процедур есть немало и сходств, и различий. Если вам необходимо пройти исследование брюшной полости, что выбрать — МРТ или КТ?
Что такое МРТ и КТ?
Оба метода представляют собой послойное исследование организма. Именно это отражает термин «томография» (с др.греческого — «сечение») в названии.
Несмотря на общий принцип, физические способы получения изображений разные, поэтому одни органы и системы внутри организма лучше видны при проведении рентгеновской компьютерной томографии, другие — при магнитно-резонансной томографии.
Для оценки кровоснабжения органов или патологических очагов болезни в обеих процедурах может использоваться внутривенное контрастное усиление. Для этого в локтевую вену ставится катетер и во время «фотографирования» вводится специальное контрастное «красящее» вещество.
МРТ и КТ взаимно дополняют друг друга.
Компьютерная томография зарекомендовала себя как процедура, которая быстро дает результаты очень высокой точности, особенно при контрастном усилении исследования. Полученные изображения отражают костные структуры, лимфатические узлы, сосуды, образования различных органов исследуемой зоны. КТ не требует особенной подготовки и предварительных обследований.
При компьютерной томографии в основе метода лежат рентгеновские лучи. МРТ — это нелучевой метод исследования. При магнитно-резонансной томографии человек оказывается в действии сильного магнитного поля, а в основе изображения лежит эффект магнитного резонанса от атомов протонов водорода.
Так как оба метода создают послойные снимки, с их помощью которых можно составить 3D-модель исследуемой области. Полученные модели можно распечатать на пленке или перенести на носитель в нужных проекциях и масштабе.
Сходства и различия процедур
Три сходства МРТ и КТ
Сходств у двух видов томографии немного, и касаются они организации проведения исследований:
5 различий МРТ и КТ
Различий у процедур больше, чем сходств. Есть они как в проведении, так и в противопоказаниях:
1. Время исследования. Компьютерная томография выполняется в среднем за 3-5 минут (при контрастном усилении до 15-20). В то время как магнитно-резонансная томография брюшной полости может проводиться до 40 минут без контраста и до 60 минут с ним.
2. Из продолжительности исследования вытекает одно из ограничений МРТ: его трудно переносить людям с клаустрофобией, маленьким детям, людям с психическими заболеваниями или острой болью, когда человеку сложно находиться в малоподвижном состоянии. Ведь здесь все происходит как при обычном фотографировании: если объект шевелится, то снимки получаются нечеткими.
В такой ситуации лучше выполнить КТ, обсудить с лечащим врачом предварительное обезболивание или подбор альтернативного метода диагностики.
3. Звуки во время исследования. Процедура МРТ достаточно громкая, и лаборант во избежание дискомфорта наденет на вас шумоподавляющие наушники или выдаст защитные беруши. Компьютерная томография проходит бесшумно.
4. Притяжение металла магнитным полем. Так как во время МРТ на все тело пациента воздействует сильное магнитное поле, к процедуре стоит подходить с осторожностью людям с металлическими объектами:
- кардиостимуляторами,
 - внутричерепными ферромагнитными гемостатическими клипсами сосудов головного мозга;
 - аортальными клипсами;
 - электродами;
 - ферромагнитными металлическими имплантатами;
 - металлоконструкциями в анатомической области, подлежащей исследованию (металлическими пластинами, дистракторами и т.п.);
 - ферромагнитными или электронными имплантатами среднего уха;
 - металлической стружка в глазах.
 
Все эти элементы обладают магнитными свойствами. Перед МРТ вам необходимо предоставить паспорт на имплантированное устройство, в котором должна быть указана его МРТ—совместимость. Абсолютное противопоказание к МРТ — наличие в теле пациента металлических предметов с магнитными свойствами (имплантаты, протезы, инородные тела) и приборами (например, кардиостимуляторами). Для проведения компьютерной томографии такого противопоказания нет.
Зубные металлоконструкции и внутриматочные контрацептивы не являются противопоказанием для МРТ.
5. Ограничения при беременности. КТ не рекомендуют делать детям и беременным женщинам. Лучевая нагрузка беременным противопоказана и возможна, только когда есть жизненные показания. Решение при этом принимает консилиум врачей. Крайне не рекомендуется проводить МРТ в первый триместр (первые 12 недель беременности). В этот период как раз происходит формирование внутренних органов у плода и, в связи с этим, нежелательно изменять условия окружающей среды. Проведение МРТ в последующие сроки допустимо при наличии направления от лечащего врача.
Также КТ с контрастом назначают с осторожностью при поражении почек и щитовидной железы, а также людям с повышенным аллергическим фоном и сахарным диабетом (зачастую необходима предварительная консультация эндокринолога для коррекции терапии).
Если у вас реакция на 4 и более аллергена, обострение бронхиальной астмы, тяжелые аллергические реакции в анамнезе (отек Квинке, бронхоспазм, анафилактический шок), сообщите эти сведения лечащему врачу и проведите исследование в условиях стационара.
Подготовка к исследованиям брюшной полости
Перед МРТ
При исследовании органов брюшной полости, забрюшинного пространства и малого таза за два-три дня перестаньте употреблять продукты, богатые клетчаткой и способствующие газообразованию:
- дрожжевое тесто,
 - чёрный хлеб,
 - бобовые овощи и консервы,
 - газированные напитки и сладости,
 - молоко,
 - алкоголь.
 
Перед процедурой примите активированный уголь.
Исследование проводится натощак, последний прием пищи должен произойти за 6 часов до процедур. Можно пить воду в небольшом количестве и принимать лекарства. Также лечащий врач может порекомендовать вас за 30 мин до исследования принять две таблетки препаратов-спазмолитиков, например, «Но-шпа», чтобы устранить артефакты от перистальтики (движения) кишечника.
 
Перед КТ
За три-четыре дня полностью до компьютерной томографии исключите тяжёлую, жирную пищу, орехи, сладкое и любые мучные изделия. Откажитесь от крепких чая и кофе. Лучшей диетой станет отварная рыба, овощи, лёгкие супы и бульоны. Последний приём пищи можно провести за 6 часов до процедуры. Во время КТ также могут понадобиться препараты-спазмолитики, чтобы устранить артефакты от перистальтики (движения) кишечника.
Чем отличаются результаты МРТ и КТ брюшной полости?
Так как в исследованиях применяются разные технологий МРТ и КТ чувствительны к различным тканям.
Компьютерная томография даёт больше информации о плотных образованиях, костной ткани, состоянии сосудов. При оценке органов грудной клетки, камней в почках, КТ является методом выбора.
Магнитно-резонансная томография более чувствительна к мягким тканям и жидкостям. На изображениях врач сможет рассмотреть ранние стадии новообразований, нарушение кровообращения, метастазы и гематомы, абсцессы, хронические поражения органов.
Зависит ли выбор процедуры от заболевания?
Первое, что необходимо сделать — обратиться к врачу! Лишь врач, который имеет всю полноту информации о ваших проблемах сможет правильно сделать выбор диагностической методики.
Но жизнь иногда диктует свои коррективы и, если вы решили самостоятельно пройти обследование, то важно разобраться, при каких заболеваниях будет информативнее каждый вид томографии.
Компьютерную томографию стоит выбрать при таких заболеваниях, как:
- травмы, повреждения мочеточников, почек, разрывы почечной капсулы;
 - рентгенпозитивные камни в почках и мочеточниках, в желчевыводящих путях;
 - снижении массы тела, боль и прочие симптомы, указывающие на возможные заболевания органов данной зоны;
 - признаки любых патологий, обнаруженные в результате рентгенографии, УЗИ и так далее, требующие уточнения;
 - неоднозначные или вызывающие сомнения результаты других исследований;
 - при наличии противопоказаний к МРТ;
 - увеличение печени (неочевидного происхождения);
 - симптомы механической желтухи;
 - оценка эффективности лечения рака;
 - тромбозы, аневризмы, разрывы и деформации сосудов.
 
Также проведение компьютерной томографии целесообразно в рамках подготовки к оперативному вмешательству, т.к. исследование с контрастированием выявляет особенности кровоснабжения органа и позволяет спланировать доступ и объем операции.
Магнитная томография даст более качественные результаты в следующих случаях:
- подозрения на онкологию;
 - размер и строение органов брюшной полости: селезенки и печени, желчного пузыря и поджелудочной железы, надпочечников и почек, желчевыводящих путей, лимфоузлов;
 - метастазы;
 - воспалительные, дегенеративные, обструктивные и кистозные процессы;
 - нарушения кровообращения, инфаркты органов;
 - врожденные аномалии в строении органов брюшной полости;
 - злокачественные или доброкачественные новообразования;
 - тромбозы, аневризмы, разрывы и деформации крупных сосудов;
 - камни и патологические изменения желчевыводящих путей и желчного пузыря
 
Что выбрать для осмотра брюшной полости — МРТ или КТ?
Ответить на этот вопрос может только ваш лечащий врач. Лишь имея на руках полную картину болезни, он может определить необходимость тех или иных процедур. И уже после консультации со специалистом вы можете записаться на МРТ или КТ брюшной полости в наши медицинские центры.
Читайте также:
