КТ, МРТ при шванноме подъязычного нерва
Добавил пользователь Евгений Кузнецов Обновлено: 23.10.2025
НИИ нейрохирургии им. акад. Н.Н. Бурденко РАМН, Москва
ФГАУ «Национальный медицинский исследовательский центр нейрохирургии им. акад. Н.Н. Бурденко» Минздрава России, Москва, Россия
ФГБУ "НИИ нейрохирургии им. акад. Н.Н. Бурденко" РАМН, Москва
Невринома подъязычного нерва: случай из практики и обзор литературы
Журнал: Журнал «Вопросы нейрохирургии» имени Н.Н. Бурденко. 2019;83(5): 51‑57
Невринома (шваннома) подъязычного нерва — редкая опухоль, составляющая менее 5% всех невестибулярных неврином. Опухоль может иметь спорадический характер или быть проявлением нейрофиброматоза 2-го типа. Заболевание манифестирует, как правило, с девиации языка. По мере увеличения размеров опухоли у пациентов развиваются бульбарные нарушения и боли в шейно-затылочной области. Магнитно-резонансная томография (МРТ) является ведущим методом диагностики заболевания. Летальность при хирургическом лечении данных опухолей до 70-х годов XX века достигала 50%. Как и в настоящее время, она обусловлена усилением бульбарных симптомов и нарушением функции дыхания после удаления опухоли. С внедрением в клиническую практику стереотаксического лучевого лечения появилась тенденция перехода от радикального удаления опухоли к субтотальному, цель которого состоит в резекции парастволовой части опухоли и декомпрессии ствола мозга. На внутрикостный фрагмент опухоли проводится лучевое воздействие. В статье представлен случай успешного хирургического лечения пациента с невриномой подъязычного нерва. Опухоль удалена субтотально через срединный субокципитальный доступ. На оставшуюся часть опухоли, располагающуюся в канале подъязычного нерва, планируется проведение лучевой терапии.
МРТ — магнитно-резонансная томография
НПН — невринома подъязычного нерва
СКТ — спиральная компьютерная томография
Невринома — доброкачественная опухоль, происходящая из шванновской оболочки черепно-мозговых и периферических нервов. Невринома (шваннома) подъязычного нерва (НПН) — достаточно редкая патология, составляющая около 5% от всех невестибулярных внутричерепных неврином [1—5]. Впервые НПН описаны De Martel в 1933 г. (цит. по [6]). Тогда же выдвинута гипотеза, что местом исходного роста НПН является внутриканальная порция подъязычного нерва (по аналогии с вестибулярными невриномами, которые почти всегда исходят из области внутреннего слухового прохода). В опубликованном S. Weindling и соавт. [7] описании серии из 40 пациентов, у которых определялось поражение данной локализации, только 16 больных имели НПН, в 15 случаях выявлялись юкстаартикулярные кисты и в 9 — костные кисты области подъязычного канала. Опухоли могут иметь спорадический характер (чаще) или же быть проявлением нейрофиброматоза 2-го типа [5, 7]. Заболевание выявляется в возрасте от 11 лет до 78,5 года (в основном в 37—56 лет). Несколько чаще болезнь поражает женщин [6, 7].
Манифестация опухоли, как правило, начинается с девиации и гипотрофии языка. По мере распространения опухоли к стволу головного мозга и верхним шейным сегментам спинного мозга к симптомам добавляются боли в шейном отделе позвоночника. При разрушении стенок канала подъязычного нерва, деструкции костей, формирующих яремное отверстие, и воздействии опухоли на бульбарную группу нервов возникают нарушения глотания и фонации. При компрессии ствола мозга и мозжечка у пациентов могут обнаруживаться нарушения статики и походки, пирамидная недостаточность [1, 3, 5].
Магнитно-резонансная томография (МРТ) головного мозга является ведущим методом диагностики заболевания. Исследование определяет опухоль, по нейровизуализационным характеристикам соответствующую невриноме любой другой локализации. НПН на стадии клинических проявлений имеет несколько четко визуализируемых на МРТ частей. Интракраниальная часть опухоли располагается, как правило, на уровне краниовертебрального перехода и обусловливает компрессию продолговатого мозга. Внутрикостный фрагмент опухоли располагается в расширенном канале подъязычного нерва. Экстракраниальная часть выходит из расширенного канала подъязычного нерва, компримируя расположенные здесь внутреннюю сонную артерию и внутреннюю яремную вену, волокна первых спинномозговых нервов, а также корешков каудальной группы нервов. Спиральная компьютерная томография (СКТ) головного мозга позволяет оценить костную анатомию, а также степень деструкции канала подъязычного нерва, его взаимоотношение с областью яремного отверстия [7].
По классификации НПН, предложенной A. Kaye (1984), выделены следующие типы опухоли:
— тип A — интрадуральная опухоль;
— тип B — опухоль по типу «гантели» или «песочных часов»;
— тип С — экстракраниальная опухоль.
В последнее время дополнительно выделяют тип D — опухоль периферических отделов подъязычного нерва [2, 3, 5].
Варианты ведения пациентов, как и при невриномах других локализаций, включают выжидательную тактику, хирургическое лечение и лучевую терапию. Наблюдательная тактика принимается при отказе пациента от какого-либо метода лечения или при впервые выявленной опухоли небольшого размера [1, 3, 5].
При хирургическом лечении используют ретросигмовидный субокципитальный, срединный субокципитальный, транскондилярный и заднебоковой (far-lateral) доступы [4, 5]. До 70-х годов прошлого века послеоперационная летальность достигала 50% и была обусловлена, в большинстве случаев, дыхательной недостаточностью вследствие усугубления бульбарных симптомов. В тот период времени даже предложена рекомендация о наложении трахеостомы еще на дооперационном этапе [4, 5]. Проведение операции на современном этапе включает обязательный нейрофизиологический мониторинг каудальной группы нервов (IX—XII черепные нервы).
Тотальное удаление опухоли, даже в условиях нейрофизиологического мониторинга, сопряжено с высоким риском неблагоприятного исхода. Оно возможно только при использовании травматичного транскондилярного доступа, что также не является гарантией тотального удаления, а вероятность осложнений достаточно высока [3, 5, 6]. Бульбарные нарушения в послеоперационном периоде возникают в 100% случаев, а степень их выраженности определяет исход. Они могут быть как транзиторными, проявляясь дисфонией, так и постоянными, вплоть до отсутствия каких-либо глотательных и дыхательных движений, что требует зондового питания и искусственной вентиляции легких. Наиболее предпочтительны тактика субтотального удаления опухоли, достижение декомпрессии ствола мозга и черепных нервов с последующим стереотаксическим облучением остатков опухоли [3, 5].
Описание клинического случая
Пациентка В., 43 лет, поступила в клинику ФГАУ «Национальный медицинский исследовательский центр нейрохирургии им. акад. Н.Н. Бурденко» с жалобами на боли в шейно-затылочной области, преимущественно справа, которые беспокоят ее в течение последних 4 мес.
При обследовании в клинической картине выявлены: девиация языка вправо, легкая недостаточность функции бульбарной группы нервов без нарушения глотания, болевой синдром в шейно-затылочной области преимущественно справа, с иррадиацией в правое плечо.

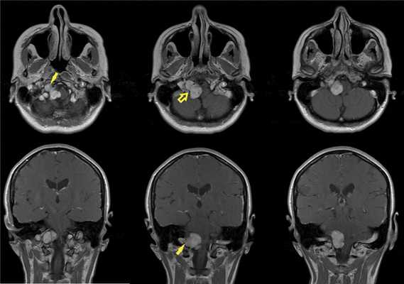
По данным МРТ головного мозга с усилением сигнала парамагнетиком выявлена опухоль парастволовой локализации справа, компримирующая продолговатый мозг и исходящая из расширенного канала подъязычного нерва. Меньший по размерам компонент опухоли располагался в полости канала и распространялся экстракраниально (рис. 1). Рис. 1. МРТ головного мозга пациентки В. до операции. При усилении сигнала выявляется опухоль справа, соответствующая невриноме, в форме «гантели», располагающаяся одной частью на уровне краниовертебрального перехода и вызывающая компрессию ствола мозга, а другой — частью в костных структурах.

При СКТ головного мозга в костном режиме выявлен расширенный канал подъязычного нерва с деструкцией его стенок. Заднелатеральная стенка практически отсутствовала, вследствие чего полость канала сообщалась с просветом яремного отверстия (рис. 2). Рис. 2. СКТ головного мозга пациентки В. в костном режиме до операции. Определяется деструкция канала подъязычного нерва справа, канал отделен от полости яремного отверстия тонкой костной перегородкой (указано стрелкой).

При проведении диффузионно-тензорной трактографии реконструированы каудальная группа нервов и кортикоспинальный тракт. Последний компримирован опухолью и оттеснен влево. На нижнем полюсе располагались корешки верхних шейных сегментов спинного мозга и подъязычного нерва. Языкоглоточный и блуждающий нерв располагались на верхнем полюсе опухоли и были деформированы (рис. 3). Рис. 3. Диффузионно-тензорная трактография головного мозга пациентки В. до операции. Определен кортикоспинальный тракт в стволе головного мозга, на верхнем полюсе опухоли располагаются языкоглоточный и блуждающий нервы, по переднему полюсу проходят добавочный нерв и корешок СI. а — кортикоспинальный тракт, б — корешки IX, X, XI черепно-мозговых нервов, в — акустико-фациальная группа нервов, г — опухоль.
Пациентке выполнена операция по удалению опухоли. В положении «конкорд» (лежа на операционном столе лицом вниз) произведен срединный субокципитальный доступ с резекцией задней дужки позвонка СI и чешуи затылочной кости с латерализацией трепанационного окна вправо. Твердая мозговая оболочка рассечена дугообразно над правой гемисферой мозжечка и стволом мозга до позвонка СII и фиксирована на лигатурах. Вскрыта арахноидальная оболочка большой затылочной цистерны, полушарие мозжечка отведено при помощи шпателя, обнаружена опухоль светло-желтого цвета с капсулой и небольшим количеством сосудов на ее поверхности, исходящая из боковой части большого затылочного отверстия. При нейрофизиологическом мониторинге черепных нервов на нижней и передней поверхностях определено расположение корешков отводящего нерва и корешка СI.

При проведении МРТ головного мозга пациентки В. на 3-и сутки после операции выявлена остаточная часть опухоли в канале подъязычного нерва (рис. 5). Рис. 5. МРТ головного мозга пациентки В. на 3-и сутки после операции. При усилении сигнала парамагнетиком определяется остаток опухоли в канале подъязычного нерва справа (указано стрелкой).
В неврологическом статусе у пациентки, помимо локального болевого синдрома, наблюдалось усиление бульбарных нарушений, не являвшихся показанием к установке назогастрального зонда или наложению трахеостомы, а также отмечены легкие нарушения статики и походки.
Гистологическое исследование биоптата — типичная невринома.
Далее планируется лучевая терапия на остаточную внутриканальную часть опухоли.
Заключение
Невринома подъязычного нерва является довольно редкой и малоизученной патологией, составляющей менее 5% случаев всех невестибулярных неврином. Заболевание, как правило, проявляет себя, когда опухоль достигает значительных размеров и вызывает компрессию ствола головного мозга и корешков каудальной группы нервов. В связи с этим удаление опухоли является основным методом лечения. Тотальное удаление опухоли затруднительно, возможно только при использовании травматичных транскондилярного или заднебокового (far-lateral) доступов и сопровождается возникновением тяжелых послеоперационных неврологических осложнений, преимущественно за счет поражения бульбарной группы нервов. Впоследствии многие пациенты погибают в результате нарушения кровообращения в стволе головного мозга или присоединения инфекционных осложнений.
С появлением метода стереотаксической лучевой терапии, который по своей эффективности немногим уступает хирургическому лечению в контроле роста опухоли, отпала необходимость в выполнении радикальной операции, если ее проведение связано с высоким риском развития осложнений и летального исхода. В нашем случае мы также руководствовались данным подходом к лечению пациента. Для удаления опухоли выбран малотравматичный срединный субокципитальный доступ с небольшой латерализацией в сторону патологического очага, выполнено субтотальное удаление опухоли, чем достигнута декомпрессия ствола мозга. В интракраниальном пространстве опухоль удалена полностью, а это стало возможным благодаря хорошо выраженной плоскости диссекции между поверхностью опухоли и мозговыми нейроваскулярными структурами. Внутрикостная остаточная часть опухоли будет подвергнута лучевой терапии. Такой подход позволяет сократить риск возникновения стойких бульбарных нарушений, уменьшить сроки социальной и трудовой реабилитации и сохранить качество жизни пациентов.
Участие авторов:
Концепция и дизайн исследования — В.Ш., С.Т., В.П.
Сбор и обработка материала — К.Ш., В.П., Ф.А.
Статистический анализ данных — К.Ш., В.П.
Написание текста — К.Ш., В.П.
Редактирование — В.Ш., С.Т.
Авторы заявляют об отсутствии конфликта интересов.
The authors declare no conflict of interest.
Комментарий
В статье представлено клиническое наблюдение случая исходящей из подъязычного нерва шванномы с преимущественным интракраниальным распространением. Невриномы подъязычного нерва могут локализоваться как в парастволовой зоне, так и в верхнешейной области, хотя в некоторых наблюдениях приобретают форму «песочных часов». В настоящее время опубликовано менее 30 описаний отдельных клинических случаев неврином подъязычного нерва, что подчеркивает редкость этой патологии. Специфические неврологические проявления в виде медленно прогрессирующей гемиатрофии и девиации языка, сопровождающейся фасцикуляциями, дополняются по мере роста опухоли компрессией ствола головного мозга и поражением близлежащих краниальных нервов. В случаях расположения опухоли в экстракраниальном отделе подъязычного нерва присоединяются затруднения при глотании и локальное выбухание в верхнешейной области. Характерным диагностическим признаком неврином подъязычного нерва, исходящих из интраканального отрезка нерва, служит расширение соответствующего костного канала, продемонстрированное в статье. При невриномах подъязычного нерва, сопровождающихся сдавлением продолговатого мозга и бульбарным синдромом, основной целью хирургического вмешательства является декомпрессия ствола головного мозга, что успешно проведено авторами статьи. При интракраниальной локализации опухоли некоторые авторы используют крайне латеральный, транскондилярный доступ, облегчающий тотальное удаление опухоли. Выбор авторами статьи срединного доступа с латерализацией его в сторону опухоли представляется обоснованным, так как обеспечивает наименее травматичный подход вдоль выйной линии, а поэтапная интракапсулярная резекция невриномы позволяет своевременно обнаружить плоскость хирургической диссекции со стволом мозга, позвоночной артерией и ее ветвями и краниальными нервами. Интраканальную часть опухоли, удаление которой часто сопровождается венозным кровотечением из собственных сосудов опухоли, а иногда из луковицы яремной вены, в отсутствие костной стенки с резко расширенным каналом подъязычного нерва можно не резецировать, а при необходимости подвергнуть впоследствии радиохирургическому воздействию. Представленное наблюдение, дополненное кратким обзором литературы, показывает успешность выбранной тактики хирургического вмешательства, служит примером удачного решения сложной клинической задачи и подчеркивает профессионализм авторов.
КТ, МРТ при шванноме подъязычного нерва
Шваннома тройничного нерва центральной части основания черепа - лучевая диагностика
а) Терминология:
• Синонимы: гигантская шваннома тройничного нерва, шваннома тройничного нерва «типа гантели»
б) Визуализация:
• Тубулярное объемное образования по ходу тройничного нерва:
о Может поражать преганглионарный (цистерновый) сегмент, развиваться в полости Меккеля, из первой ветви (верхняя глазничная щель), из второй ветви (круглое отверстие) или третьей ветви (овальное отверстие) ЧН V
о Через отверстия выхода ветвей ЧН V может распространяться за пределы полости черепа
• Размеры: от мелких до гигантских
• Морфология: форма «типа гантели» развивается вследствие сдавливания в porus trigeminus (вход в полость Меккеля) или отверстиях основания черепа
• КТ: мягкотканное объемное образование центральной части основания черепа, вызывающее эрозию кости с гладкими краями ± расширение отверстий
• МРТ: при Т1 МРТ опухоль изо- или гипоинтенсивна, при Т2 МРТ-гиперинтенсивна; контрастирование вариабельно:
о Часто выявляются кисты
(Слева) При МРТ Т2ВИ в аксиальной проекции в средней и задней черепных ямках определяется объемное образование внеосевой локализации. Зоны более интенсивного Т2-сигнала в ткани образования, возможно, представляют собой участки кистозной дегенерации.
(Справа) При МРТ Т1ВИ с КУ в аксиальной проекции определяется гигантская шваннома тройничного нерва гантелеобразной формы; перетяжка опухоли локализуется на уровне porus trigeminus. Присутствует обширный кистозный компонент. Обратите внимание на отсутствие изменений левой полости Меккеля, где регистрируется нормальный сигнал спинномозговой жидкости. (Слева) При МРТ Т2ВИ FS в корональной проекции определяется четко отграниченная гиперинтенсивная гигантская шваннома тройничного нерва, окружающая левую внутреннюю сонную артерию, но не вызывающая ее значительного сдавливания. В этом случае перетяжка сформировалась в месте пролабирования опухоли через расширенное овальное отверстие.
(Справа) При МРТ Т1ВИ с КУ в сагиттальной проекции определяется гантелеобразная шваннома тройничного нерва, поражающая преганглионарный сегмент нерва и отрезок, лежащий в полости Меккеля. Обратите внимание на интрамуральную кисту в преганглионарном сегменте; такие кисты часто обнаруживаются в ткани шванном.
в) Дифференциальная диагностика:
• Менингиома
• Периневральная опухоль третьей ветви ЧH V
• Периневральная опухоль второй ветви ЧH V
• Неходжкинская лимфома
г) Патология:
• Доброкачественная опухоль влагалища нерва:
о Вторая по частоте внутричерепная шваннома после вестибулярной шванномы
• Может развиваться на фоне нейрофиброматоза
д) Диагностическая памятка:
• Характерное трубчатое или в форме гантели объемное образование по ходу тройничного нерва
• МРТ с контрастированием - наилучший метод оценки внутричерепного и экстракраниального распространения новообразования
• Необходимо исключить другие внутричерепные шванномы; их наличие указывает на нейрофиброматоз
а) Терминология:
1. Аббревиатура:
• Шваннома подъязычного нерва (ШПН), канал подъязычного нерва (КПН)
2. Определение:
• Крайне редкая доброкачественная опухоль дифференцированных шванновских клеток, окружающих XII пару ЧН
б) Визуализация:
1. Общая характеристика:
• Лучший диагностический критерий:
о Веретеновидное четко отграниченное мягкотканное объемное образование, локализующееся походу ЧН XII
• Локализация:
о Может развиваться в любом месте по ходу ЧН XII:
- Опухоли дистальных отделов могут развиваться в каротидном и поднижнечелюстном пространствах или в языке
• Размеры:
о Обычно на момент манифестации уже имеет крупные размеры
• Морфология:
о Веретеновидная, в некоторых случаях гантелевидная опухоль

(Слева) При МРТ Т1 в аксиальной проекции наблюдается асимметрия сигнала языка. Правая половина языка не изменена; четко отграниченная левая половина языка дает патологически усиленный сигнал. Усиление сигнала свидетельствует о жировой инфильтрации и требует исследования канала подъязычного нерва.
(Справа) При МРТ Т1 с КУ в аксиальной проекции определяется дольчатое объемное образование левого подъязычного канала, распространяющееся в цистерну продолговатого мозга. Обратите внимание на отсутствие изменений правого канала подъязычного нерва. Отмечается равномерное контрастирование объемного образования, что характерно для шванномы. В ткани крупных опухолей часто наблюдаются кистозные изменения.
2. КТ при шванноме подъязычного нерва:
• КТ без контрастного усиления:
о Четко отграниченное объемное образование мягкотканной плотности по ходу ЧН XII
о В ипсилатеральной половине языка вследствие денервационной атрофии наблюдается коэффициент ослабления, соответствующий жировой ткани
• КТ с КУ:
о Однородное контрастирование ± интрамуральные кисты
• КТ в костном окне:
о Гладкостенный четко отграниченный расширенный КПН
о Корональная: увеличение размеров, перестройка нижней поверхности яремного бугорка (ниже «орлиного клюва»)
3. МРТ при шванноме подъязычного нерва:
• Т1 ВИ МРТ:
о Как правило, изоинтенсивна по сравнению с серым веществом
о Сопутствующая денервация может вызывать атрофию мышечной ткани языка на стороне поражения и ее замещение жиром, что сопровождается усилением сигнала
• Т2 ВИ МРТ:
о Как правило, усиление сигнала
о Крупные ШПН могут содержать интрамуральные кисты с усилением Т2-сигнала
• Т1 ВИ МРТ с КУ:
о Наблюдается однородное контрастирование мелких опухолей
4. Рекомендации по визуализации:
• Лучший метод визуализации:
о Мультипланарная МРТ с КУ и КТ в костном окне, позволяющая детально оценить перестройку костной ткани

(Слева) При корональной КТ в костном окне наблюдается значительное расширение правого канала подъязычного нерва и эрозия нижней поверхности «орлиного клюва». Сравните наблюдаемую картину с левым каналом подъязычного нерва и яремным бугорком.
(Справа) При МРТ Т1 FS с КУ в корональной проекции у этого же пациента наблюдаются неравномерное контрастирование шванномы, выраженная фестончатость прилегающей затылочной кости и облитерация нормального «орлиного клюва»; те же изменения наблюдаются и на КТ. Слева определяются нормальный канал подъязычного нерва и яремный бугорок.
в) Дифференциальная диагностика шванномы подъязычного нерва:
1. Асимметрия венозного оттока в КПН (псевдоопухоль):
• Нерасширенный КПН, окруженный нормальным корковым веществом
• Линейное трансканаликулярное контрастирование вен, окружающих неизмененный нерв
2. Метастаз в основании черепа:
• Наблюдаются литические или инфильтративные изменения костных краев КПН
• Контрастное инвазивное объемное образование
3. Персистирующая подъязычная артерия:
• МРТ + МР-ангиография: в расширенном КПН наблюдается «пустота потока», тянуаяся к базилярной артерии
4. Менингиома яремного отверстия:
• Фиксированное к твердой мозговой оболочке объемное образование с контрастным «дуральным хвостом»; КПН поражается вторично
• Инфильтративно-склеротические изменения кости/гиперостоз
5. Параганглиома яремного гломуса:
• Инфильтративо-деструктивные изменения костных краев яремного отверстия
• При МРТ характерны множественные «пустоты потока»
г) Патология. Макроскопические и хирургические особенности:
• Гладкое овоидное инкапсулированное дольчатое объемное образование светло-коричневого цвета
• Развивается эксцентрично из влагалища ЧН XII
д) Клинические особенности:
1. Проявления:
• Типичные признаки/симптомы:
о Нейропатия подъязычного нерва приводит к односторонней денервации языка:
- При высовывании языка наблюдается его отклонение в сторону поражения
2. Демография:
• Эпидемиология:
о Крайне редкая шваннома (значительно более редкая, чем шванномы ЧH V, VII, IX или X)
3. Течение и прогноз:
• Медленно растущая доброкачественная опухоль
4. Лечение:
• Оптимальный метод лечения: одномоментное удаление опухоли:
о Предложена классификация опухоли по стадиям, в зависимости от объема необходимого оперативного вмешательства:
- Тип А, интрадуральная; тип В, гантелеобразная; тип С, экстракраниальная; тип D, периферическая
е) Диагностическая памятка:
1. Следует учесть:
• ШПН - четко отграниченное веретеновидное объемное образование, локализующееся по ходу ЧН XII
2. Рекомендации по отчетности:
• Необходимо удостовериться, что опухоль исследована полностью от ее краниального конца до каудального
1. Аббревиатура:
• Шваннома лицевого нерва (ШЛН)
2. Синонимы:
• Неврома, нейролеммома лицевого нерва
3. Определение:
• ШЛН: редкая доброкачественная опухоль из шванновских клеток, окружающих лицевой нерв (ЧН VII) в височной кости
1. Общая характеристика:
• Лучший диагностический критерий:
о КТ височных костей: вытянутая опухоль, поражающая несколько сегментов ЧН VII в височной кости, с расширением костного канала ЧН VII с ровными краями
о MРТ T1 С+: вытянутое объемное образование, равномерно накапливающее контраст ± интрамуральные кисты
• Локализация:
о Наиболее типичное расположение: коленчатый ганглий
о >90% ШЛН захватывают > 3 сегмента ЧНVII в височной кости
• Размер:
о Часто протяженное поражение (несколько сантиметров)
о Размер на поперечных срезах обычно < 1 см
• Морфология:
о Зависит от локализации:
- Ямка коленчатого ганглия: овоидная или треугольная
- Большой поверхностный каменистый нерв (БПКН): овоидная шваннома, выбухающая в среднюю черепную ямку
- Барабанный ЧН VII: выбухает в среднее ухо
- Сосцевидный ЧН VII: неровные края при прободении окружающих воздухоносных ячеек
- Паротидный ЧН VII: вытянутое или овоидное образование по ходу ЧН VII внутри околоушной железы
о Вытянутая форма, по ходу нескольких сегментов ЧН VII

(Слева) При аксиальной КТ в костной окне определяется объемное образование в расширенной ямке коленчатого ганглия с распространением опухоли вдоль переднего барабанного сегмента ЧН VII со смещением слуховых косточек латерально. Наружная поверхность слуховой капсулы истончена ШЛН.
(Справа) При аксиальной МРТ Т1 С+ FS у этого же пациента визуализируется контрастирующаяся ШЛН, расположенная в коленчатом ганглии. Опухоль распространяется вдоль барабанного сегмента ЧН VII и во внутренний слуховой канал по лабиринтному сегменту ЧН VII. Обратите внимание на интрамуральную кисту медиально.
2. КТ при шванноме интратемпорального лицевого нерва:
• КТ с КУ:
о Не играет роли в диагностике шванномы
о Используется MPT С+
• КТ в костном окне:
о Общая картина на КТ височных костей:
- Протяженное расширение канала ЧН VII
- С ровными костными краями, имеющими доброкачественный вид
о Изменения на КТ височных костей определяются конкретной локализацией ШЛН по ходу ЧН VII:
- ШЛН в ямке коленчатого ганглия: расширение ямки коленчатого ганглия с ровными краями, овоидной формы:
Распространение опухоли в лабиринтный ± передний барабанный сегмент ЧН VII
- ШЛН (барабанный сегмент): ШЛН, выбухающая на ножке из барабанного сегмента ЧН VII в полость среднего уха
- ШЛН (сосцевидный сегмент): вытянутая опухоль с ровными краями или шаровидная с неровными краями:
Форма зависит от того, проникает ли ШЛН в окружающие воздухоносные ячейки сосцевидного отростка
- Шваннома БПКН: овоидное расширение канала БПКН спереди-изнутри от ямки коленчатого ганглия
3. МРТ при шванноме интратемпорального лицевого нерва:
• Т1 ВИ:
о Сигнал от промежуточного до гипоинтенсивного
• Т2 ВИ:
о Сигнал высокой интенсивности
• Т1 ВИ С+:
о ШЛН коленчатого ганглия: овоидное образование, накапливающее контраст, в расширенной ямке коленчатого ганглия:
- С выбуханием опухолевых «хвостов» в лабиринтный ± передний барабанный сегмент ЧН VII
о ШЛН (барабанный сегмент): выбухает на ножке в полость среднего уха
о ШЛН (сосцевидный сегмент):
- Вытянутое образование с ровными краями или шаровидное с неправильными краями
- В зависимости оттого, проникает ли в окружающие ячейки сосцевидного отростка
о Шваннома БПКН:
- Контрастирующаяся опухоль в области БПКН
- Сразу же спереди-изнутри от ямки коленчатого ганглия
- Контрастирующаяся опухоль средней черепной ямки, сообщающаяся с ямкой коленчатого ганглия
- Внемозговое происхождение этой шванномы может быть сложно определить
4. Рекомендации по визуализации:
• Лучший метод визуализации:
о Пациент с тугоухостью ± парезом ЧН VII:
- Стартовый метод: тонкосрезовая МРТ Т1 С+ FS в аксиальной и корональной плоскости на уровне внутреннего слухового канала (ВСК) и височных костей
- Если на МРТ обнаруживается вытянутое контрастирующееся образование в височной кости, выполняется КТ височных костей для определения природы образования на основании костных изменений

(Слева) При аксиальной КТ в костном окне у пациента с полипом в наружном слуховом канале определяется опухоль неправильной формы, расположенная в области сосцевидного сегмента ЧН VII.
(Справа) При аксиальной MPT Т1 ВИ С+ FS у этого же пациента определяется контрастирующаяся ШЛН в сосцевидном сегменте ЧН VII, выбухающая через костный дефект в НСК.
в) Дифференциальная диагностика шванномы интратемпорального лицевого нерва:
1. Нормальное контрастное усиление интратемпорального лицевого нерва:
• Клиническая картина: нет симптоматики
• КТ височных костей: нормальный канал ЧН VII в височной кости
• МРТ Т1 С+: контрастное усиление коленчатого ганглия, переднего барабанного ± сосцевидного сегментов (норма):
о Лабиринтный сегмент ЧН VII в норме не накапливает контраст
2. Паралич Белла (герептический паралич лицевого нерва):
• Клиническая картина: внезапное развитие периферического паралича ЧН VII
• КТ височных костей: нормальный канал ЧН VII в височной кости
• МРТ Т1 С+: контрастное усиление ЧН VII в височной кости+дно ВСК
3. Венозная мальформация интратемпорального лицевого нерва:
• Клиническая картина: острый односторонний периферический паралич ЧН VII
• КТ височных костей: «сотовая» структура опухоли или костные спикулы
• МРТ Т1 С+: плохо отграниченная опухоль в ямке коленчатого ганглия, накапливающая контраст
4. Периневральная опухоль ЧН VII в височной кости:
• Клиническая картина: известная злокачественная паротидная опухоль или рецидив
• КТ височных костей: менее выраженное, чем при ШЛН, расширение канала сосцевидного сегмента ЧН VII
• МРТ Т1 С+: инфильтративная опухоль околоушной железы

(Слева) При корональной МРТ Т1 ВИ С+ FS у пациента с кондуктивной тугоухостью и подергиванием мышц лица определяется мультифокальная контрастирующаяся ШЛН, проникающая в ячейки сосцевидного отростка и книзу вдоль сосцевидного сегмента ЧH VII.
(Справа) При аксиальной МРТ Т1 С+ визуализируется контрастирующееся образование, выбухающее в медиальные отделы средней черепной ямки из большого поверхноаного каменистого нерва. Диагноз ШЛН можно заподозрить при распространении по ходу барабанного и лабиринтного ЧН VII во внутренний слуховой канал.
г) Патология:
1. Общая характеристика:
• Этиология:
о Медленно растущая доброкачественная опухоль из шванновских клеток, окружающих ЧН VII в височной кости
• Генетика:
о При множественных шванномах ± менингиомах предполагайте нейрофиброматоз 2 (НФ 2)
• Сопутствующие патологические изменения:
о НФ 2: двухсторонние вестибулярные шванномы; возможны другие шванномы и менингиомы
2. Макроскопические и хирургические особенности:
• Коричневая, овоидная-вытянутая, инкапсулированная опухоль
• Возникает из наружной оболочки ЧН VII, распространяясь концентрически по направлению от нерва
3. Микроскопия:
• Доброкачественная инкапсулированная опухоль, образованная пучками веретеновидных шванновских клеток, дающих картину «водоворота»
• Клеточная архитектура представлена зонами плотно расположенных клеток (Энтони А) + разреженными миксоматозными зонами (Энтони В)
• Окраска на белок S100: выраженная и диффузно положительная окраска ядер и цитоплазмы
• Могут обнаруживаться интрамуральные кистозные изменения
1. Проявления:
• Типичные признаки/симптомы:
о Тугоухость в 70%
о Симптомы поражения лицевого нерва в 50%:
- Слабость или паралич ЧН VII > непроизвольные подергивания лица
- Паралич ЧН VII, напоминающий паралич Белла (редко)
о Боль в ухе ± лице
• Другие признаки/симптомы:
о ШЛН мосто-мозжечкового угла (ММУ)-ВСК: нейросенсорная тугоухость, головокружение, звон в ухе
о Большая ШЛН (барабанный и сосцевидный сегменты):
- Бессосудистая опухоль за барабанной перепонкой
- Кондуктивная тугоухость
2. Демография:
• Возраст:
о Средний возраст появления симптоматики: 50 лет
• Эпидемиология:
о ШЛН - редкая опухоль (- Височной кости >> околоушной железы > ММУ-ВСК
3. Течение и прогноз:
• Медленно растущая доброкачественная опухоль
• В итоге значительно увеличивается, приводя к тугоухости и поражению других ЧН
• Некоторые опухоли (<10%) не растут или становятся симптоматическими
4. Лечение:
• Консервативное:
о Если паралич ЧН VII легкий или отсутствует, операция может ухудшить течение заболевания:
- Несмотря на восстановление целостности ЧН VII хирургическим путем, его функция может полностью не восстановиться
о Применяется до появления симптомов поражения ЧН VII
о У пожилых пациентов
• Хирургическое:
о Цель = полное удаление ШЛН с сохранением слуха и восстановлением функции ЧН VII
о Оперативные техники при опухолях разного размера:
- Большие ШЛН: удаление опухоли + стволовая трансплантация ЧН VII
- Малые ШЛН (о Операции при опухолях различной локализации:
- ШЛН (лабиринтный сегмент или коленчатый ганглий): комбинированный подход через среднюю черепную ямку и сосцевидный отросток
- ШЛН (барабанный-сосцевидный сегмент): только через сосцевидный отросток
• Лучевая терапия:
о На ранних стадиях стереотаксическая терапия может быть альтернативой операции
о Операция выполняется при неэффективности радиотерапии
о Для утверждения этого варианта лечения необходимы крупномасштабные исследования
1. Следует учесть:
• Пожилые пациенты с ШЛН часто наблюдаются, но не оперируются
• Молодые пациенты без пареза ЧН VII преимущественно наблюдаются
2. Советы по интерпретации изображений:
• Интратемпоральная ШЛН: протяженное сегментарное расширение канала ЧН VII:
о Отличительные лучевые признаки зависят от пораженного сегмента ЧН VII
• ШЛН ММУ-ВСК: в точности напоминает вестибулярную шванному при распространении в лабиринтный сегмент ЧН VII:
о «Хвост» лабиринтного сегмента позволяет сделать заключение
• Интрапаротидная ШЛН: вытянутое образование в околоушной железе, идущее кнаружи от занижнечелюстной вены:
о «Хвост» сосцевидного сегмента позволяет заподозрить диагноз
о Дифференцируйте с периневральной злокачественной паротидной опухолью
Невралгия языкоглоточного нерва
Невралгия языкоглоточного нерва — одностороннее поражение IX черепного нерва, проявляющееся пароксизмами боли в корне языка, миндалинах, глотке, мягком небе и ухе. Сопровождается нарушением вкусового восприятия задней 1/3 языка на стороне поражения, нарушением слюноотделения, снижением глоточного и небного рефлексов. Диагностика патологии включает осмотр невролога, отоларинголога и стоматолога, проведение МРТ или КТ головного мозга. Лечение в основном консервативное, состоящее из анальгетиков, противосудорожных препаратов, седативных и снотворных медикаментов, витаминов и общеукрепляющих средств, физиотерапевтических методик.
Общие сведения
Невралгия языкоглоточного нерва достаточно редко встречающееся заболевание. Отмечается примерно 16 случаев на 10 млн. человек. Страдают обычно лица в возрасте после 40 лет, мужчины чаще, чем женщины. Первое описание заболевания было дано в 1920 г. Сикаром, в связи с чем патология известна также под названием синдром Сикара.
Специалисты в области неврологии выделяют 2 формы заболевания: идиопатическую (первичную) и симптоматическую (вторичную), развивающуюся при травмах, инфекционных процессах задней черепной ямки, сдавлении нерва опухолью.
Анатомия и функции языкоглоточного нерва
Языкоглоточный нерв (n. glossopharyngeus) берет свое начало в нескольких ядрах продолговатого мозга. Он состоит из чувствительных, двигательных и вегетативных парасимпатических волокон. Чувствительные волокна начинаются в одноименном ядре, общем для языкоглоточного и блуждающего нерва (n.vagus), иннервируют слизистую оболочку миндалин, мягкого неба, глотки, языка, евстахиевой трубы, барабанной полости. Волокна вкусовой чувствительности выходят из ядра одиночного пути, общего с промежуточным нервом, обеспечивающим ощущение вкуса передних 2/3 языка. Вкусовые волокна языкоглоточного нерва отвечают за восприятие вкуса задней 1/3 поверхности языка и надгортанником.
Двигательные волокна языкоглоточного нерва берут начало из двоякого ядра, общего с n.vagus, и иннервируют шилоглоточную мышцу, поднимающую глотку. Наряду с блуждающим нервом, двигательные и чувствительные волокна n. glossopharyngeus образуют рефлекторные дуги небного и глоточного рефлексов.
Общность ядер и проводящих путей языкоглоточного и блуждающего нервов приводит к крайне редкой встречаемости изолированной патологии n. glossopharyngeus. Более часто при неврите языкоглоточного нерва наблюдается симптоматика их сочетанного поражения.
Причины
В некоторых случаях невралгия языкоглоточного нерва носит идиопатический характер и точно установить ее этиологию не представляется возможным. Значимыми факторами в развитии заболевания считают атеросклероз, инфекции лор-органов (отит, тонзиллит, хронический фарингит, синусит), острые и хронические интоксикации, вирусные инфекции (например, грипп).
Вторичная невралгия языкоглоточного нерва может возникать при инфекционной патологии задней черепной ямки (энцефалите, арахноидите), черепно-мозговых травмах, обменных нарушениях (сахарный диабет, гипертиреоз) и сдавлении (раздражении) нерва на любом участке его прохождения. Последнее возможно при внутримозговых опухолях мосто-мозжечкового угла (глиоме, менингиоме, медуллобластоме, гемангиобластоме), внутримозговых гематомах, назофаренгиальных опухолях, гипертрофии шиловидного отростка, аневризме каротидной артерии, окостенении шилоподъязычной связки, разрастании остеофитов яремного отверстия. Ряд клиницистов говорит о том, что в отдельных случаях невралгия языкоглоточного нерва может являться первым симптомом рака гортани или рака глотки.
Симптомы
Невралгия языкоглоточного нерва клинически проявляется односторонними болевыми пароксизмами, длительность которых варьирует от нескольких секунд до 1-3 мин. Интенсивная боль начинается в корне языка и быстро распространяется на мягкое небо, миндалины, глотку и ухо. Возможна иррадиация в нижнюю челюсть, глаз и шею. Болевой пароксизм может провоцироваться жеванием, кашлем, глотанием, зевотой, приемом чрезмерно горячей или холодной пищи, обычным разговором. Во время приступа пациенты обычно ощущают сухость в горле, а после него — повышенное слюноотделение. Однако сухость в горле не является постоянным признаком заболевания, поскольку у многих больных секреторную недостаточность околоушной железы успешно компенсируют другие слюнные железы.
Расстройства глотания, связанные с парезом поднимающей глотку мышцы, клинически не выражены, поскольку роль этой мышцы в акте глотания малозначительна. Наряду с этим могут наблюдаться затруднения заглатывания и пережевывания пищи, связанные с нарушением различных видов чувствительности, в т. ч. и проприоцептивной — отвечающей за ощущение положения языка в ротовой полости.
Зачастую невралгия языкоглоточного нерва имеет волнообразное течение с обострениями в осенний и зимний периоды года.
Диагностика
Невралгия языкоглоточного нерва диагностируется неврологом, хотя для исключения заболеваний ротовой полости, уха и горла требуется консультация соответственно стоматолога и отоларинголога. При неврологическом обследовании определяется отсутствие болевой чувствительности (аналгезия) в области основания языка, мягкого неба, миндалин, верхних отделов глотки. Проводится исследование вкусовой чувствительности, в ходе которого на симметричные участки языка пипеткой наносится специальный вкусовой раствор. Важное значение имеет выявление изолированного одностороннего расстройства вкусовой чувствительности задней 1/3 языка, поскольку двустороннее нарушение вкуса может наблюдаться при патологии слизистой ротовой полости (например, при хроническом стоматите).
Проводится проверка глоточного рефлекса (возникновение глотательных, иногда кашлевых или рвотных движений, в ответ на прикосновение бумажной трубочкой к задней стенке зева) и небного рефлекса (прикосновение к мягкому небу сопровождается поднятием неба и его язычка). Одностороннее отсутствие этих рефлексов говорит в пользу поражения n. glossopharyngeus, однако оно может наблюдаться и при патологии блуждающего нерва. Выявление в ходе осмотра глотки и зева высыпаний, типичных для герпетической инфекции, позволяет предположить ганглионит узлов языкоглоточного нерва, имеющий практически идентичную невриту языкоглоточного нерва симптоматику.
С целью установления причины вторичного неврита прибегают к нейровизуальной диагностике — проведению КТ или МРТ головного мозга. При отсутствии такой возможности назначается Эхо-ЭГ, ЭЭГ и консультация офтальмолога для осмотра глазного дна (офтальмоскопии).
Дифференциальная диагностика проводится с другими заболеваниями, вызывающими болевые пароксизмы в области головы и лица, а именно с невралгией тройничного нерва, невралгией ушного узла, ганглионитом крылонебного узла, синдромом Оппенгейма; глоссалгиями другой этиологии; опухолями глотки, заглоточным абсцессом.
Лечение и прогноз
В отношении невралгии проводится преимущественно консервативная терапия. Исключение составляют случаи сдавления нерва, для устранения которых требуется оперативное вмешательство (например, резекция гипертрофированного шиловидного отростка).
С целью купирования болевого пароксизма применяют смазывания зева и корня языка 10% р-ром кокаина, что позволяет устранить боль на 6-7 ч. При упорном болевом синдроме показана блокада языкоглоточного нерва 1-2% р-ра новокаина. Наряду с этим для приема внутрь назначают ненаркотические анальгетики (фенилбутазон, метамизол натрия, напроксен, ибупрофен и др.) и противосудорожные средства (фенитоин, карбамазепин). При выраженном болевом синдроме дополнительно целесообразно применение снотворных, седативных, антидепрессантных и нейролептических препаратов.
Хороший эффект оказывают физиотерапевтические методики: диадинамотерапия или СМТ на область миндалин и гортани, гальванизация. Рекомендуются вит. В1, поливитаминные комплексы, АТФ, ФиБС и другие препараты общеукрепляющего действия.
При успешном устранении причинного заболевания, особенно при синдроме сдавления языкоглоточного нерва, прогноз выздоровления благоприятен. Однако для полного купирования невралгии необходима длительная терапия в течении нескольких лет.
Читайте также:
- Диагностика опоясывающего герпеса. Постановка диагноза опоясывающего герпеса
- Методика удаления катетера пупочной артерии. Показания для удаления пупочного катетера
- Лучевая диагностика внутрипротоковой папиллярной муцинозной опухоли поджелудочной железы
- Лучевая диагностика повреждения селезенки
- Синдром психической зависимости от алкоголя. Психический комфорт в опьянении
