КТ, МРТ при шванноме яремного отверстия
Добавил пользователь Евгений Кузнецов Обновлено: 08.11.2025
Невринома — доброкачественная опухоль, развивающаяся из вспомогательных (шванновских) клеток нервной ткани, которые формируют миелиновую оболочку нервов. Женщины страдают данным заболеванием чаще мужчин. Хирургическое лечение приводит к рецидивам в трети случаев. Прогноз благоприятный, однако зачастую страдает качество жизни пациентов.
Внешне невринома выглядит как узел плотной консистенции округлой или неправильной формы с бугристой поверхностью. Обычно она имеет капсулу из соединительной ткани, что значительно облегчает удаление.
Причины и факторы риска невриномы
До настоящего времени этиология невриномы остается неизвестной. Новообразование появляется вследствие разрастания шванновских клеток. Из-за этого она имеет второе название — шваннома. Согласно исследованиям, она развивается в результате мутации генов 22-ой хромосомы. Они кодируют синтез белка, подавляющего рост клеток миелиновой оболочки. Поэтому нарушение синтеза этого белка приводит к избыточному разрастанию шванновских клеток.
Одним из заболеваний ассоциированных с развитием неврином слуховых нервов служит нейрофиброматоз. При этой патологии наблюдается развитие доброкачественных опухолей в различных органах и тканях человеческого тела. Заболевание имеет аутосомно-доминантный тип наследования и передается от родителей к детям.
Симптомы невриномы
Симптомы соответствуют локализации. Если опухоль поражает лицевой нерв, то пациент может жаловаться на слезотечение или сухость глаз, парез век, головокружение. По мере её роста возникают признаки повышения внутричерепного давления: головная боль, тошнота и нарушения зрительного восприятия.
При шванноме слухового нерва 95% пациентов отмечают на снижение слуха, 70% — звон в ушах, 65% — нарушение координации движений.
При невриноме спинного мозга у пациента выявляется нарушение функций в зоне иннервации поврежденного участка нервной ткани. Основные симптомы — это локальная боль, иррадиирующая боль с парезом или без, гипестезии (снижение чувствительности).
При невриноме кожи опухоль проступает в виде отчетливого болезненного бугорка.
Диагностика невриномы
Диагностика заболевания включает разнообразные клинические и параклинические обследования. Выбор того или иного обследования зависит от предполагаемой локализации.
- неврологическое обследование;
- аудиограмма;
- компьютерная томография (КТ);
- магнитно-резонансная томография (МРТ).
Симптомы поражения черепно-мозговых нервов, которые выявляются при неврологическом обследовании:
- нистагм;
- нарушение равновесия и походки;
- симптомы поражения слухового аппарата;
- нарушение чувствительности кожи лица;
- двоение в глазах;
- снижение либо отсутствие роговичного, глотательного рефлекса;
- симптомы пареза лицевого нерва.
Аудиограмма выявляет степень снижения слуха при поражении слухового нерва. Более чем в 90% случаев на аудиограмме выявляется односторонняя тугоухость. Этот метод заключается в проверке слуха звуками различной громкости (от 0 до 120 дБ) и различной частоты (Гц). Существует множество типов тугоухости, однако для невриномы характерна нейросенсорная тугоухость. С помощью аудиограммы также можно проследить динамику снижения слуха.
КТ обладает наименьшей информативностью, она позволяет выявить невриномы размером более 1 сантиметра. Косвенным признаком акустической невриномы является расширение внутреннего слухового прохода. МРТ является более информативным методом. Она выявляет даже самые мелкие размеры. При проведении МРТ с контрастом шваннома интенсивно накапливает контрастное вещество.
Виды невриномы
Невринома слухового нерва (второе название — вестибулярная шваннома) диагностируется у одного человека на 100 тысяч населения и составляет более чем 90% всех неврином черепных нервов. Опухоль растет медленно, со скоростью от 1 до 2 мм в год, но иногда скорость роста составляет до 30 мм/год, что приводит к сдавлению мозжечка, ствола мозга. Может быть односторонней (чаще проявляется в 40-50 лет) или двусторонней ассоциирована с нейрофиброматозом 2 типа (у молодых людей). Кроме вестибулярной выделяют также группу невестибулярных шванном, к которым относятся невриномы лицевого нерва, тройничного нерва и невринома яремного отверстия. Полное хирургическое удаление этой группы практически невозможно и, как правило, после операции можно ожидать рецидива опухоли.
Невринома спинного мозга формируется из шванновских клеток корешков спинных нервов. Данная патология составляет порядка 30% от всех первичных новообразований спинного мозга и периферических нервов. Болезнь более характерна для женщин среднего и старшего возраста.
Лечение невриномы
В зависимости от расположения, размера и типа невриномы, врач назначает оптимальный вид лечения. Наиболее часто пациента направляют на операцию. Однако, остановить рост опухоли неинвазивными методами, особенно при диагностике на ранних стадиях, стало возможным с развитием новых технологий лучевого лечения, таких как Кибер-Нож. При этом сохраняются функции рядом расположенных нервов, что крайне важно для сохранения качества жизни после лечения.
Лучевая терапия рекомендована, если операцию невозможно провести, или если пациент отказывается от неё. С внедрением в практику инновационной системы «КиберНож» появилась возможность неинвазивного, быстрого, сверхточного и комфортного лечения неврином любой локализации.
Наши консультанты ответят на все Ваши вопросы, а опытные онкологи определят
необходимость в лечении КиберНожом.
КТ, МРТ при шванноме яремного отверстия
КТ, МРТ при менингиоме яремного отверстия
а) Определение:
• Доброкачественное новообразование, развивающееся из верхушечных клеток паутинной оболочки ЧН в яремном отверстии (ЯО)
б) Визуализация:
1. Общая характеристика:
• Лучший диагностический критерий:
о При КТ выявляются инфильтративно-склеротические изменения костей вокруг ЯО
о При МРТ с КУ определяется контрастное объемное образование, распространяющееся центрифугально вдоль поверхности твердой мозговой оболочки
• Локализация:
о Центр опухоли лежит в ЯО
о Вектор распространения: центрифугальный характер роста (от центра к периферии):
- Разрастается во всех направлениях от ЯО вдоль поверхности твердой мозговой оболочки и сквозь окружающие кости:
Чаще всего наблюдается распространение по твердой мозговой оболочке в базальную цистерну
- Может проникать вниз в носоглоточную часть каротидного пространства
• Морфология: объемное образование с нечеткими контурами

(Слева) На рисунке коронального среза показана крупная менингиома яремного отверстия, прорастающая в среднее ухо, костный мозг основания черепа и внутренний слуховой проход. Обратите внимание, в яремном отверстии опухоль окружает черепные нервы (IX-XI пары).
(Справа) При МРТ Т1 ВИ FS с КУ в корональной проекции определяется крупная менингиома яремного отверстия, прорастающая в костный мозг основания черепа. Для менингиом яремного отверстия характерен центрифугальный вектор распространения, часто они разрастаются вдоль поверхности твердой мозговой оболочки и сквозь окружающие кости.
2. КТ при менингиоме яремного отверстия:
• КТ без контрастного усиления
о Объемное образование ЯО повышенной плотности
• КТ в костном окне:
о Инфильтративно-склеротические изменения краев ЯО
3. МРТ при менингиоме яремного отверстия:
• Т1 ВИ:
о Гипо- или изоинтенсивное по сравнению с паренхимой головного мозга образование ЯО
о Отсутствуют «пустоты потока», вызванные высокой скоростью кровотока
• Т2 ВИ:
о Относительная гипоинтенсивность при Т2 указывает на плотность ткани опухоли
• Т1 ВИ с КУ:
о Интенсивное однородное контрастное усиление
о Вдоль прилегающей твердой мозговой оболочки базальных цистерн могут определяться контрастные «дуральные хвосты»
• МР-венография:
о Может вызывать окклюзию синусов твердой мозговой оболочки и луковицы яремной вены:
- Перед операцией необходимо подтвердить проходимость соседних синусов твердой мозговой оболочки
4. Ангиография:
• Получает кровоснабжение в основном из менингеальных ветвей наружной сонной и позвоночной артерий
• Ангиография позволяет хирургу составить схему кровоснабжения, оценить коллатеральное артериальное и венозное кровоснабжение и выполнить предоперационную эмболизацию с целью гемостаза

(Слева) В этом случае менингиомы яремного отверстия при аксиальной КТ в костном окне определяются характерные инвазивные склеротические изменения краев яремного отверстия и латеральной части ската. Менингиома прорастает в среднее ухо и при отоскопии может выглядеть как сосудистое объемное образование позади барабанной перепонки.
(Справа) При МРТ Т1 ВИ FS с КУ в аксиальной проекции определяется менингиома яремного отверстия в форме бляшки с «дуральными хвостами». Обратите внимание на отсутствие «пустот потока», поражение яремного отверстия и обширную инфильтрацию структур основания черепа.
в) Дифференциальная диагностика менингиомы яремного отверстия:
1. Параганглиома яремного гломуса:
• При КТ определяются инфильтративно-деструктивные изменения костных краев ЯО
• При МРТ определяются характерные «пустоты потока» вследствие высокой скорости кровотока («перец»)
• Вектор распространения: в верхне-латеральном направлении в среднее ухо
2. Шваннома яремного отверстия:
• При КТ наблюдается расширенное ЯО с ровными краями
• При МРТ: трубчатое объемное образование ЯО ± интрамуральные кисты (при больших размерах опухоли)
• Распространение: в верхнемедиальном направлении по ходу ЧН IX-XI
3. Метастаз в яремное отверстие:
• КТ: деструкция костных краев ЯО
• МРТ: неравномерно контрастируемое инвазивное объемное образование ЯО
4. Псевдоопухоль яремного отверстия:
• Асимметричный МР-сигнал ЯО симулирует новообразование
• КТ: костные края ЯО интактны
• Неоднородный сигнал ЯО регистрируется не во всех режимах МРТ
5. Дегисценция луковицы яремной вены:
• Расширение луковицы яремной вены в верхнелатеральном направлении в среднее ухо
• При КТ определяется локальный дефект сигмовидной пластинки
г) Патология:
1. Общая характеристика:
• Этиология:
о Менингиома развивается в результате пролиферации верхушечных клеток паутинной оболочки
• Генетика:
о Спорадическая: изолированный дефект 22 хромосомы
о Наследственная: сопутствует нейрофиброматозу 2 типа и аномалиям 22 хромосомы
2. Стадии, классификация:
• Типичная менингиома (90%): I степень (злокачественности) по классификации ВОЗ
• Атипичная менингиома (7%): II степень (злокачественности) по классификации ВОЗ
• Анапластическая менингиома (3%): III степень (злокачественности) по классификации ВОЗ
д) Клинические особенности:
1. Проявления:
• Типичные признаки/симптомы:
о Нейропатия ЧН IX-XI
2. Демография:
• Возраст: как правило, 40-60 лет
• Пол: Ж>М = 2:1
е) Диагностическая памятка. Советы по интерпретации изображений:
• Крупная менингиома ЯО может симулировать параганглиому яремного гломуса
ж) Список использованной литературы:
1. Samii М et al: Endoscope-assisted retrosigmoid infralabyrinthine approach to jugular foramen tumors. J Neurosurg. 1-7, 2015
2. Guinto G et al: Nonglomic tumors of the jugular foramen: differential diagnosis and prognostic implications. World Neurosurg. 82(6): 1283-90, 2014
3. Fayad JN et al: Jugular foramen tumors: clinical characteristics and treatment outcomes. Otol Neurotol. 31 (2):299-305, 2010
4. Hamilton BE et al: Imaging and clinical characteristics of temporal bone meningioma. AJNR Am J Neuroradiol. 27(10):2204-9, 2006
5. Macdonald AJ et al: Primary jugular foramen meningioma: imaging appearance and differentiating features. AJR Am J Roentgenol. 182(2):373-7, 2004
а) Терминология:
1. Аббревиатура:
• Шваннома яремного отверстия (ШЯО)
2. Синонимы:
• Неврома, неврилеммома, невринома
3. Определение:
• Доброкачественная опухоль в просвете яремного отверстия (ЯО), состоящая из дифференцированных клеток Шванна, образующих оболочку ЧНIX, X или XI
1. Общая характеристика:
• Лучший диагностический критерий:
о При КТ в костном окне определяется расширенное ЯО с ровными краями
о При МРТ Т1 ВИ с КУ визуализируется веретеновидное контрастное объемное образование расширенного ЯО
• Локализация:
о ЯО:
- Повторяет общий ход ЧН IX-XI в краниокаудальном направлении
- Из ЯО растет в краниальном направлении через базальную цистерну к ретрооливарной борозде на боковой поверхности продолговатого мозга
- Книзу из ЯО растет в носоглоточный отдел каротидного пространства
• Размеры:
о Часто на момент постановки диагноза уже имеет крупные размеры (>3 см)
• Морфология:
о Веретеновидное или «гантелевидное» объемное образование, перетяжка лежит в просвете ЯО

(Слева) При КТ в костном окне в аксиальной проекции у пациента со шванномой яремного отверстия определяются классические изменения - ровные края расширенного яремного отверстия с тонким склеротическим ободком. Такая картина помогает дифференцировать это новообразование от других часто встречающихся новообразований яремного отверстия, в том числе от параганглиомы яремного гломуса и менингиомы.
(Справа) При МРТ Т2 FS в аксиальной проекции определяется гиперинтенсивное объемное образование правого каротидного пространства - разросшаяся шваннома яремного отверстия. Обратите внимание на характерные гиперинтенсивность и отсутствие «пустот потока».
2. КТ при шванноме яремного отверстия:
• КТ без контрастного усиления:
о Мягкотканное объемное образование с четкими контурами, одинаковой или, иногда, пониженной плотности в сравнении с веществом головного мозга
• КТ с КУ:
о В типичных случаях наблюдается интенсивное контрастирование
о В ткани крупных ШЯО часто определяются неконтрастируемые интрамуральные кисты
• КТ в костном окне:
о Расширенное ЯО с ровными тонкими склерозированными краями
о На корональных томограммах может наблюдаться резорбция латеральной части яремного бугорка («птичьего клюва»)
о Может определяться дольчатый внутрикостный компонент, распространяющийся в соседние зоны основания черепа
3. МРТ при шванноме яремного отверстия:
• Т1 ВИ:
о Трубчатое или гантелеобразное объемное образование ЯО
о Как правило, изоинтенсивно по сравнению с головным мозгом
о Характерно смещение внутренней сонной артерии в носоглоточной части каротидного пространства переднемедиальной поверхностью ШЯО
о В ткани даже крупных опухолей не возникает «пустот потока» («перец») или гиперинтенсивных очагов-скоплений продуктов распада крови («соль»)
• Т2ВИ:
о Интенсивный сигнал по сравнению с белым веществом о В ткани крупных ШЯО отмечается усиление сигнала кистозных зон:
- В 25% ШЯО выявляются интрамуральные кисты
• Диффузно-взвешенная МРТ:
о Отсутствует ограничение диффузии
о Может быть слегка гиперинтенсивной по сравнению с Т2-"просвечиванием"
• Т1 ВИ с КУ:
о Равномерно контрастируемое объемное образование ЯО
о В ткани крупных опухолей может определяться неконтрастируемый интрамуральный кистозный компонент
о При маленьких размерах опухоли бывает трудно дифференцировать контрастную нормальную луковицу яремной вены от мелкой ШЯО:
- Объемное образование тканевой интенсивности лучше визуализируется без контрастирования при Т1 ВИ и при Т2 ВИ
• МР-венография:
о Обычно наблюдается сдавливание, а не окклюзия синусов твердой мозговой оболочки:
- Окклюзию можно оценить при фазово-контрастной МР-венографии с низкоскоростными настройками кодировки
4. Ангиография:
• Отмечается умеренная васкуляризация опухоли
• Питающие сосуды извиты, но не расширены
• В венозную фазу характерно наличие отдельных контрастных «лужиц»
• Артериовенозные шунты отсутствуют; опухоль не окружает сосуды
5. Рекомендации по визуализации:
• Лучший метод визуализации:
о МРТ головного мозга/основания черепа с КУ позволяет лучше оценить внутреннее строение опухоли и выявить распространение ШЯО в мягкие ткани
о КТ в костном окне: наилучший метод оценки кортикального слоя краев ЯО; типичная картина - ровные склерозированные края

(Слева) При МРТ Т1 ВИ в аксиальной проекции определяется мелкая шваннома правого яремного отверстия. Обратите внимание на характерное отсутствие «пустот потока» вследствие высокой скорости кровотока, что помогает дифференцировать это новообразование от чаще встречающейся параганглиомы яремного гломуса. Мелкие новообразования бывает трудно дифференцировать от асимметричной луковицы яремной вены.
(Справа) При MPT Т1 FS с КУ в аксиальной проекции у этого же пациента наблюдается неоднородное контрастирование шванномы. В крупных опухолях может выявляться интрамуральный неконтрастируемый кистозный компонент.
в) Дифференциальная диагностика шванномы яремного отверстия:
1. Псевдоопухоль яремного отверстия:
• Феномен венозного кровотока симулирует шванному или другое новообразование
• Асимметричная крупная луковица яремной вены, дающая неоднородный МР-сигнал
• Асимметричное крупное ЯО с нормальными краями (по результатам КТ)
• Т1 МРТ с КУ: ЯО контрастируется за счет медленного кровотока
• МР-венография: отсутствие изменений синусов твердой мозговой оболочки и луковицы яремной вены
2. Параганглиома яремного гломуса:
• При КТ в костном окне определяются инфильтративно-деструктивные изменения костных краев ЯО
• В режимах МРТ без контрастирования наблюдаются «пустоты потока» вследствие высокой скорости кровотока («перец»)
• При ангиографии наблюдается быстрое пропитывание опухоли контрастным агентом и раннее контрастирование дренирующих вен
• Вектор роста: в верхне-латеральном направлении из ЯО в среднее ухо
3. Менингиома яремного отверстия:
• При КТ определяются инфильтративно-склеротические изменения костных краев ЯО
• Средняя или низкая интенсивность сигнала при МРТ Т2 ВИ
• Объемное образование, развившееся из твердой мозговой оболочки с контрастными дуральными «хвостами»
• При ангиографии в капиллярную фазу отмечается более длительное контрастирование опухоли
• Вектор роста: центрифугально вдоль поверхности твердой мозговой оболочки
4. Метастаз в основании черепа:
• При КТ наблюдается деструкция костных краев ЯО
• Неоднородно контрастируемое инвазивное новообразование ЯО
• Вектор роста: во всех направлениях из ЯО
• Часто выявляются множественные новообразования

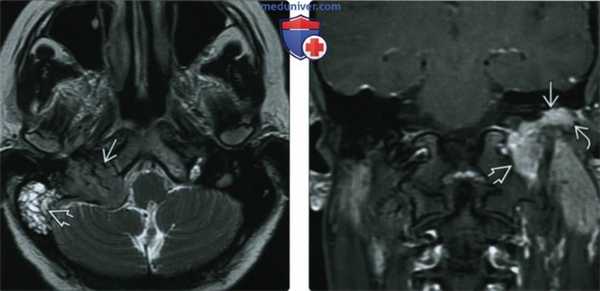
(Слева) При МРТ Т1 FS c КУ в аксиальной проекции определяется веретеновидная равномерно контрастируемая шваннома правого яремного отверстия, распространяющаяся в соседнюю цистерну. У большинства таких пациентов диагностируется сопутствующая сенсоневральная тугоухость.
(Справа) При корональной МРТ Т1 ВИ FS с КУ определяется неравномерно контрастируемое дольчатое объемное образование, развившееся из яремного отверстия. Обратите внимание на характерное верхне-медиальное направление роста опухоли к стволу головного мозга. В крупных опухолях могут определяться неконтрастируемые участки, представляющие собой интрамуральные кисты.
1. Общая характеристика:
• Этиология:
о Развивается из дифференцированных неопластических клеток Шванна, образующих оболочку ЧН IX, X или XI пары
• Генетика:
о В 90% случаев - солитарные и спорадические
о В 4% развиваются на фоне нейрофиброматоза 2 типа (НФ2)
о • Сопутствующие аномалии:
о Множественные шванномы связаны с НФ 2 типа или со шванноматозом
2. Стадии, классификация шванномы яремного отверстия:
• Хирургическая классификация Kaye—Pellet (на основании рентгенологической картины и изменений во время операции):
о Тип А: распространяется в мостомозжечковый угол (ММУ)
о Тип В: в пределах ЯО
о Тип С: носоглоточная часть каротидного пространства и/или ЯО
о Тип D: внутричерепной и экстракраниальный компонент (цистерны и каротидное пространство)
• По классификации ВОЗ - I степень
3. Макроскопические и хирургические особенности:
• Гладкое дольчатое объемное образование, развивающееся из оболочек нерва:
о Растет эксцентрично из оболочек нерва
• Округлое/овоидное инкапсулированное объемное образование светло-коричневого цвета
4. Микроскопия:
• Дифференцированные неопластические клетки Шванна
• Веретеновидные клетки с удлиненными ядрами:
о Тип А по Antoni: участки компактных удлиненных клеток
о Тип В по Antoni: участки низкой клеточной плотности, рыхлая ткань опухоли ± скопления нагруженных липидами клеток
• Иммуногистохимическое исследование: интенсивное диффузное окрашивание на протеин S100 = маркер антигена нервного гребня, присутствующего в глиальных клетках нервной системы
• Некроз отсутствует, могут выявляться интратуморальные кисты ± кровоизлияния
1. Проявления:
• Типичные признаки/симптомы:
о В 90% случаев на момент постановки диагноза уже имеется сенсоневральная тугоухость:
- Клинически может проявляться так же, как вестибулярная шваннома
• Другие признаки/симптомы:
о Нейропатия ЧН IX-XI пар развивается позже по мере прогрессирования заболевания
о Осиплость голоса, аспирация (поражение возвратного гортанного нерва, ветви ЧН Х)
о Сдавливание мозжечка вызывает головокружение
о Пульсирующий шум в ухе может быть связан с тромбозом синуса твердой мозговой оболочки и АВФ твердой мозговой оболочки
о Гемифациальный спазм (сдавливание ЧН VII в ММУ)
• Клинический профиль:
о Пациент среднего возраста (45 лет) с односторонней сенсоневральной тугоухостью
2. Демография:
• Возраст: средний возраст: 45 лет
• Эпидемиология:
о Шванномы составляют 8% внутричерепных опухолей:
- 85-90% опухолей ММУ составляют шванномы
о Вторая по частоте опухоль ЯО:
- Параганглиома яремного гломуса >> шваннома > менингиома
- Частота невестибулярных шванном: ЧН V >> ЧН IX > ЧН X > ЧН VII > ЧН XI > ЧН XII > ЧН III > ЧН IV > ЧН VI
о Языкоглоточный нерв (ЧН IX) - наиболеечастый источник шванном ЯО
3. Течение и прогноз:
• Доброкачественная медленно растущая опухоль
• При далеко зашедшем процессе или в результате лечения может развиться нейропатия ЧН VII—XII
4. Лечение:
• Целью лечения является одномоментное полное хирургическое удаление опухоли
• Хирургический доступ определяется наличием поражения цистерн или носоглоточной части каротидного пространства:
о Осложнения хирургического лечения включают в себя нейропатию ЧН, нередко IX и X пар
• Чаще в качестве первичного лечения или адъювантной терапии применяется стереотаксическая радиохирургия
е) Диагностическая памятка:
1. Следует учесть:
• Диагноз ШЯО наиболее вероятен при выявлении на КТ вокруг мягкотканного объемного образования ЯО ровных фестончатых костных краев
2. Советы по интерпретации изображений:
• Отсутствие «пустот потока» помогает дифференцировать шванному ЯО от параганглиомы яремного гломуса
3. Рекомендации по отчетности:
• Обязательно опишите распространение опухоли книзу от основания черепа в каротидное пространство
1. Аббревиатура:
• Параганглиома яремного гломуса (ПЯГ)
2. Синонимы:
• Параганглиома яремно-барабанного гломуса, параганглиома яремного отверстия (ЯО), хемодектома
3. Определение:
• Доброкачественная опухоль, развивающаяся из клеток-предшественников гломусных телец-производных нервного гребня, локализующихся в просвете и вокруг ЯО
1. Общая характеристика:
• Лучший диагностический критерий:
о Объемное образование в ЯО, вызывающее инфильтративно-деструктивные изменения окружающей кости (выявляются при КТ)
о При МРТ отмечаются множественные черные точки («перец») в ткани опухоли, являющиеся «пустотами потока» вследствие большой скорости кровотока по ветвям питающей артерии
• Локализация:
о Остатки параганглиев встречаются в трех различных структурах, окружающих ЯО:
- Луковица яремной вены, барабанная ветвь ЧН IX (нерв Якобсона) и ушная ветвь ЧНХ (нерв Арнольда)
о Распространение опухоли: верхнелатеральное направление через нижнюю стенку барабанной полости (чаще всего)
• Морфология:
о Нечетко отграниченная опухоль ЯО, прорастающая прилежащую кость

(Слева) На рисунке коронального среза показана крупная параганглиома яремного гломуса, возникшая в яремном отверстии; опухоль инфильтрирует соседние структуры основания черепа, она поглотила яремную вену и ЧН IX-XII.
(Справа) При МРТ Т1ВИ в корональной проекции определяется крупная параганглиома яремного гломуса, проросшая основание черепа и распространяющаяся вверх и латерально к наружному слуховому проходу. Обратите внимание на множественные «пустоты потока» из-за высокой скорости кровотока, характерные для параганглиомы. Параганглиома яремного гломуса - вторая по частоте опухоль височной кости.
2. КТ при параганглиоме яремного гломуса:
• КТ без КУ:
о Нечетко отграниченное мягкотканное объемное образование, центр опухоли лежит в ЯО
• КТ с КУ:
о Диффузное интенсивное контрастирование
• КТ в костном окне:
о Инфильтартивно-деструктивные изменения кости вдоль верхнелатерального края ЯО маркер распространения опухоли:
- Часто наблюдается эрозия яремной ости
- Часто определяется дефект задней стенки вертикального сегмента внутреннего слухового прохода
- Опухоль может поглощать сосцевидный сегмент лицевого нерва; симулирует злокачественный процесс
3. МРТ при параганглиоме яремного гломуса:
• Т1 ВИ:
о В ткани новообразований размерами >2 см наблюдается характерная картина «соли и перца»:
- «Соль»-гиперинтенсивные очаги в ткани опухоли, представляющие собой зоны кровоизлияний или участки медленного кровотока (относительно редкая находка при МРТ)
- «Перец» - многочисленные гипоинтенсивные очаги в ткани опухоли, представляющие собой «пустоты потока» в участках быстрого артериального кровотока: Гипоинтенсивные очаги при МРТ наблюдаются часто
• Т2 ВИ:
о Неоднородное гиперинтенсивное объемное образование с гипоинтенсивными очагами («перец»)
• Т1 ВИ с КУ:
о Характерно интенсивное контрастирование
о Позволяет определить границы опухоли в основании черепа и среднем ухе
о Опухоль может прорастать в просвет внутренней яремной вены или сигмовидного синуса
о В корональной проекции может определяться отросток опухоли, загибающийся кверху от ЯО через нижнюю стенку барабанной полости и оканчивающийся у мыса улитки
• МР-венография:
о Для оценки состояния сигмовидного синуса и яремной вены
4. Ангиография:
• Гиперваскулярное объемное образование с расширенными питающими артериями; наблюдается быстрая интенсивная перфузия ткани опухоли и раннее заполнение дренирующих вен:
о Артериальное кровоснабжение происходит в основном из восходящей глоточной артерии, она кровоснабжает нижне-медиальную часть
о Также в кровоснабжении опухоли могут принимать участие сонно-барабанные ветви внутренней сонной артерии и менингеальные ветви позвоночной артерии
о Передняя барабанная артерия из системы наружной сонной артерии кровоснабжает переднюю часть опухоли
о Шилососцевидная артерия из системы наружной сонной артерии кровоснабжает задне-латеральную часть опухоли
5. Сцинтиграфия:
• Позитронно-эмиссионная томография:
о Параганглиомы демонстрируют интенсивный захват F-18 флюородеоксиглюкозы
о Метод информативен при выявлении метастазов или для оценки эффекта лечения
6. Рекомендации по визуализации:
• Лучший метод визуализации:
о Сочетание КТ в костном окне и МРТ с контрастированием
• Перед оперативным вмешательством выполняются КТ в костном окне, МРТ и ангиография
• КТ в костном окне: определение границ деструкции кости:
о Позволяет выявить костные ориентиры, плохо различимые при МРТ
• МРТ позволяет точно оценить распространение опухоли в мягких тканях
• На основании результатов ангиографии определяется тактика вмешательства на сосудах:
о Для обеспечения гемостаза перед операцией выполняется эмболизация

(Слева) При MPT Т2 ВИ в аксиальной проекции определяется крупное новообразование, исходящее из яремного отверстия; в ткани образования определяются множественные «пустоты потока» вследствие высокой скорости кровотока. Такая картина помогает дифференцировать эту опухоль от других новообразований этой зоны. Также наблюдается экссудация в ячейки пирамиды височной кости, вызванная обструкцией евстахиевой трубы.
(Справа) Корональная МРТ Т1ВИ FS с КУ: контрастная параганглиома яремного гломуса, прорастающая основание черепа и распространяющаяся кверху и латерально к среднему уху и наружному слуховому проходу. Этот пациент 15 лет с мутацией SDHB находится в группе высокого риска развития агрессивной параганглиомы.
в) Дифференциальная диагностика параганглиомы яремного гломуса:
1. Параганглиома барабанного гломуса:
• КТ в костном окне: глобулярное новообразование мыса улитки:
о Нижняя стенка барабанной полости не изменена
• МРТ Т1 с КУ: контрастирование опухоли
о Позволяет дифференцировать по локализации параганглиому барабанного гломуса от скопления секрета
• Отоскопия: крупная параганглиома барабанного гломуса может симулировать ПЯГ
2. Шваннома яремного отверстия:
• КТ в костном окне: перестройка кости с ровными краями, расширение ЯО
• МРТ Т1 с КУ: веретеновидное контрастное объемное образование ± кисты
• Ангиография: ткань опухоли не заполняется контрастным агентом, отсутствуют расширенные питающие артерии; в венозную фазу формируются «лужицы»
• Вектор распространения: верхнемедиально по ходу IX-XI пар ЧН
3. Менингиома яремного отверстия:
• КТ в костном окне: инфильтративно-склеротические изменения костных краев ЯО
• МРТ Т1 с КУ: контрастное образование и «дуральные хвосты»
• Ангиография: длительная, но не интенсивная перфузия опухоли
• Вектор распространения: центрифугальное распространение вдоль твердой мозговой оболочки
4. Метастаз в области яремного отверстия:
• КТ в костном окне: деструктивные изменения костных краев яремного отверстия
• МРТ Т1 с КУ: неравномерно контрастируемое инвазивное объемное образование
• Распространение: неправильный центрифугальный характер
5. Дегисценция луковицы яремной вены:
• КТ в костном окне: локальный дефект сигмовидной пластинки
• Корональные КТ- или МР-томограммы: расширенная в верхнелатеральном направлении луковица яремной вены, пролабирующая в барабанную полость
• Отоскопия: за барабанной перепонкой в нижне-заднем квадранте определяется сине-черное объемное образование

(Слева) При КТ левой височной кости в аксиальной проекции определяется параганглиома яремного гломуса; видны типичные инфильтративнодеструктивные изменения окружающей кости. Вероятно, больной предъявляет жалобы на пульсирующий шум в ухе, а за барабанной перепонкой визуализируется объемное образование красного цвета.
(Справа) При селективной ангиографии восходящей глоточной артерии в передне-задней проекции определяется интенсивное заполнение параганглиомы яремного гломуса контрастным агентом. Обратите внимание на раннее заполнение дренирующей вены через артериовенозные шунты. Часто для контроля кровопотери перед хирургическим вмешательством выполняется эндоваскулярная эмболизация.
1. Общая характеристика:
• Этиология:
о Доброкачественная опухоль из параганглиев ЯО
о Параганглии (гломусныетельца): хеморецепторы, чувствительные к изменениям концентраций кислорода и углекислого газа в крови
• Генетика:
о Семейная предрасположенность - 10% случаев параганглиом
о Зародышевые мутации SDHB и SDHD
- Более высокий риск злокачественной параганглиомы
• Сопутствующие аномалии:
о Повышенный риск развития злокачественных новообразований щитовидной железы
о Повышенный риск развития параганглиом у пациентов с множественной эндокринной неоплазией 1 типа, неврофиброматозе 1 типа и множественными кожно-мышечными невромами
2. Стадии, классификация параганглиомы яремного гломуса:
• Классификация ПЯГ по Glasscock-Jackson: распространенность опухоли определяет оперативный доступ:
о I: мелкая опухоль, поражающая ЯО, среднее ухо, сосцевидный отросток
о II: опухоль распространяется до внутреннего слухового прохода; может наблюдаться интракраниальный рост
о III: опухоль распространяется до верхушки пирамиды височной кости; может распространяться и в полость черепа
о IV: опухоль распространяется дальше верхушки пирамиды височной кости в скат черепа или в нижневисочную ямку; ± распространение в полость черепа
• Анатомическая классификация Fisch:
о А: опухоль ограничена средним ухом
о В: опухоль ограничена барабанно-сосцевидной зоной, не распространяется ниже лабиринта
о С: опухоль прорастает ячейки под лабиринтом и верхушку пирамиды височной кости:
- С1: ограниченное поражение вертикальной части каротидного канала
- С2: прорастает в вертикальную часть каротидного канала
- СЗ: прорастает горизонтальный сегмент каротидного канала
о D1: прорастает в полость черепа менее чем на 2 см
о D2: прорастает в полость черепа более чем на 2 см
3. Макроскопические и хирургические особенности:
• Дольчатое солидное объемное образование с фиброзной псевдокапсулой
• На разрезе множественные расширенные питающие артерии
4. Микроскопия:
• Двухфазный клеточный состав: главные клетки и поддерживающие клетки, окруженные фибромышечной стромой:
о Главные клетки формируют характерные компактные гнезда или «шары» клеток
1. Проявления:
• Типичные признаки/симптомы:
о Объективный пульсирующий шум в ухе
о Отоскопия: за барабанной перепонкой красное пульсирующее объемное образование
о Нейропатия ЧНIX—XI ± XII; реже нейропатия ЧН VII или VIII
о На ранних стадиях преобладают отологические симптомы, параличи ЧН развиваются позже
• Клинический профиль:
о Женщина 50 лет с прогрессирующим пульсирующим шумом в ухе и наличием красного пульсирующего объемного образования за барабанной перепонкой
2. Демография:
• Возраст: 40-60 лет
• Пол: М:Ж = 1:4
• Эпидемиология:
о ПЯГ и параганглиома каротидного тельца - 80% случаев параганглиом головы и шеи
о ПЯГ наиболее часто встречающаяся опухоль ЯО:
- ПЯГ-вторая по частоте опухоль височной кости (первая-параганглиома барабанного гломуса)
о Мультицентрический росте 5-10% спорадических ПЯГ
о Мультицентрический рост в 25-50% семейных ПЯГ
3. Течение и прогноз:
• Медленно растущую опухоль у пожилого пациента - наблюдение
• В 60% случаев развивается постоперационная нейропатия ЧН
• Агрессивное поведение наблюдается в 2-13% случаев
о Этот показатель выше при семейных опухолевых синдромах
• Уровень смертности оценивается в 15%
4. Лечение:
• Крупные новообразования могут потребовать проведения хирургического вмешательства и лучевой терапии
• В качестве первичного лечения могут применяться лучевая терапия или радиохирургия
1. Следует учесть:
• При обследовании пациента с параганглиомой яремного гломуса необходимо исключить мультицентрический рост
• Как параганглиома яремного гломуса, так и метастазы в ЯО сопровождаются инфильтративной деструкцией кости
• При МРТ васкуляризованная шваннома может симулировать параганглиому яремного гломуса
2. Советы по интерпретации изображений:
• Диагноз параганглиомы яремного гломуса:
о КТ в костном окне: инфильтративно-деструктивная инвазия кости
о МРТ: объемное образование ЯО с выраженными очагами потери сигнала(«перец»)
о Распространение: в верхнелатеральном направлении, из ЯО в среднее ухо
Невринома ( Неврилеммома , Нейринома , Шванноглиома , Шваннома )
Невринома — это доброкачественное новообразование, возникающее из миелиновой оболочки нервного ствола. Становится причиной раздражения и дисфункции поражённого нерва, компрессии прилегающих тканей. Клинические проявления соответствуют расположению опухоли. Наиболее часто встречаются невриномы слухового нерва. Диагностика осуществляется комплексно по результатам неврологического осмотра, УЗИ, МРТ, КТ поражённой области, электронейромиографии, гистологического исследования. Лечение хирургическое, по показаниям проводится открытое или радиохирургическое удаление новообразования.
МКБ-10


Общие сведения
Причины невриномы
Шваннома образуется вследствие чрезмерного размножения шванновских клеток в неврилемме. Причины процесса усиленного деления остаются неизвестными. Значимыми факторами считаются:
- ионизирующая радиация
- плохая экологическая обстановка
- воздействие канцерогенов, поступающих в организм с пищевыми продуктами, вдыхаемым воздухом.
Предполагают наследственную детерминированность развития неврином. Склонность к их образованию отмечается у пациентов с нейрофиброматозом. Возникновение неврином глотки обусловлено хроническим вредоносным воздействием различных химических агентов, пыли, частых и длительных воспалительных процессов при хроническом тонзиллите, фарингите, назофарингите.
Патогенез
Макроскопически невринома является заключённым в капсулу, отграниченным округлым образованием с бугристой поверхностью. На разрезе опухоль имеет светло-серый или буро-коричневый цвет, определяются многочисленные фиброзированные участки, заполненные бурой жидкостью кисты. По мере роста неоплазия начинает сдавливать нервные волокна и окружающие нерв ткани, что вызывает возникновение основных клинических проявлений – нарушения функции нерва и прилегающих к нему структур. Выраженность симптоматики определяется локализацией шванномы. При расположении в узких рамках мосто-мозжечкового угла, костно-мышечного канала симптомы появляются рано, даже при небольших размерах образования.
Микроскопически невринома представляет собой параллельные ряды клеток с палочкообразными ядрами, перемежающиеся с волокнистыми структурами. Периферические участки опухоли окружены сосудистой сетью, центральные бедны сосудами. Вследствие недостаточного кровоснабжения в центральных отделах происходят дистрофические изменения. В результате последних невринома претерпевает различные морфологические трансформации, соответственно которым выделяют три основных гистологических типа неоплазии: эпителиоидный, ангиоматозный, ксантоматозный. Клинического значения указанная классификация не имеет.
Симптомы невриномы
Шваннома отличается медленным развитием симптоматики, может долго оставаться незамеченной. Признаки неоплазии зависят от ее месторасположения, включают две основные составляющие – симптомы расстройства функции поражённого нерва и проявления, обусловленные компрессией близлежащих тканей. При невриноме слухового нерва отмечается прогрессирующее снижение слуха. Поскольку опухоль односторонняя, пациент не сразу замечает развитие тугоухости. При вовлечении вестибулярной порции появляются головокружения с тошнотой и рвотой, вестибулярная атаксия.
Невринома тройничного нерва манифестирует прозопалгией, гипестезией половины лица, иногда – вкусовыми галлюцинациями. Поражение лицевого нерва характеризуется слабостью мимической мускулатуры. В ряде случаев тригеминальная и фациальная симптоматика провоцируются компрессией корешков соответствующих черепных нервов увеличивающейся вестибуло-кохлеарной шванномой.
Невринома спинального корешка протекает с классическим корешковым синдромом: болью, расстройством чувствительности, мышечной гипотонией, слабостью, атрофией в зоне иннервации поражённого корешка. Невринома периферического нерва проявляется аналогичными нарушениями в иннервируемой области. Со временем в денервированных тканях развиваются трофические расстройства. Невринома глотки вызывает чувство дискомфорта, обуславливает дисфагию, затруднение носового дыхания.
Осложнения
Неуклонно увеличивающаяся невринома мосто-мозжечкового угла может приводить к полной потере слуха, стойкому гемипарезу лица, внутричерепной гипертензии, сдавлению стволовых структур с развитием бульбарного синдрома, включающего нарушения глотания, речи, появление двоения в глазах. Компрессия мозжечка обуславливает возникновение мозжечковой атаксии: шаткость ходьбы, дискоординацию, крупноразмашистые движения, скандированную речь, нистагм. Спинальная невринома осложняется сдавлением спинного мозга с развитием компрессионной миелопатии, проявляющейся сенсомоторными нарушениями ниже очага поражения, расстройствами тазовых функций. Осложнением шванномы ветвей блуждающего нерва является нейропатический парез гортани.
Диагностика
Клиническая картина невриномы во многом сходна с поражением нервного ствола воспалительной, компрессионной, дисметаболической этиологии. Клиническая симптоматика, осмотр невролога позволяют определить уровень поражения. Последующая инструментальная диагностика направлена на уточнение морфологического субстрата, явившегося причиной поражения нервного ствола. Перечень необходимых обследований определяется расположением неоплазии, включает:
- Церебральную нейровизуализацию. Применяется при новообразованиях черепных нервов. Контрастная КТ головного мозга способна выявить невриномы размером более 1 см. Церебральная МРТ обладает большей информативностью, лучше визуализирует состояние окружающих опухоль тканей.
- МРТ. Проводится изолированная МРТ поражённого отдела позвоночника. Исследование позволяет обнаружить невриномы спинномозговых корешков, определить степень спинальной компрессии.
- Аудиометрия. Наряду с консультацией оториноларинголога и сурдолога, аудиометрия показана пациентам с понижением слуха. Обследование проводится для оценки степени тугоухости, исключения прочих возможных причин ухудшения слуха.
- КТ или МРТ гортани и глотки. Назначается при подозрении на невриному глотки. Выполняется после фарингоскопии для уточнения диагноза, локализации и размеров неоплазии.
- Сонография. УЗИ периферических нервов целесообразно при поражении нервных стволов конечностей. Дает возможность определить наличие локального утолщения неврилеммы. Более точно визуализировать образование помогает местная МРТ мягких тканей конечности.
- Электронейромиография. ЭНМГ необходима для анализа функционального состояния поражённого шванномой нервного ствола. В послеоперационном периоде применяется для контроля восстановления.
- Гистологическое исследование. Указанные выше обследования позволяют определить наличие опухолевого образования, предположить его доброкачественный характер. Точная верификация неоплазии возможна лишь по результатам исследования строения её тканей. Как правило, биопсия не назначается, проводится гистология операционного материала.
Дифференциальная диагностика шванном производится с другими опухолевыми образованиями. Невринома мосто-мозжечковой локализации требует дифференцировки от менингиомы, астроцитомы, опухоли мозжечка, спинальная шваннома — от иных экстрамедуллярных опухолей. Невриномы периферических нервов дифференцируют от компрессионно-ишемической, воспалительной невропатии.

Единственным эффективным способом лечения шванном является их удаление. Выбор лечебной тактики осуществляется нейрохирургом, зависит от локализации неоплазии, возраста и состояния здоровья пациента. Применяются две основные методики:
- Хирургическое иссечение. Требует высвобождения нервных волокон от опухолевых тканей, что сопряжено с высоким риском травмирования, вероятностью сохранения отдельных опухолевых частиц, которые в последующем могут стать причиной рецидива. Для снижения риска указанных осложнений используется микрохирургическая техника. При интракраниальной локализации операция проводится путём трепанации черепа, при спинальной — с ламинэктомией.
- Радиохирургическое удаление. Выполняется при внутричерепной и спинальной локализации шванномы. Направленное лучевое воздействие вызывает гибель части опухолевых клеток, оставшиеся клетки утрачивают способность к размножению. Радикальная радиохирургическая операция возможна при размере неоплазии менее 30 мм, в остальных случаях радиохирургический метод применяется в качестве паллиативного лечения с целью уменьшения размеров новообразования у больных, имеющих противопоказания к открытой операции.
Прогноз и профилактика
Исход заболевания зависит от расположения опухоли, своевременности диагностики и лечения. В большинстве случаев радикальное удаление обеспечивает благоприятный результат. В отдельных случаях наблюдается рецидив новообразования. Отсутствие лечения приводит к необратимой потере функции поражённого нервного ствола, возникновению осложнений. Специфическая профилактика не разработана, общие профилактические меры сводятся к предупреждению воздействия онкогенных факторов, повышению противоопухолевого иммунитета.
1. Магнитно-резонансная томография в нейрохирургии/ Коновалов А.Н., Корниенко В.Н., Пронин И.Н. – 1997.
3. Невриномы нервных стволов конечностей: клиника, диагностика и лечение/ Цымбалюк В.И., Третяк И.Б., Тончев М.Д.// Украинский нейрохирургический журнал. – 2008.
Читайте также:
- Влияние плутония на костный мозг. Подострое поражение плутонием
- Процесс проявления рентгеновского снимка. Освежение проявителя
- Признаки перелома костей голеностопного сустава по Салтеру-Харрису
- Признаки беременности. Симптомы беременности. Предположительные ( сомнительные ) признаки беременности.
- Объединенные корешки спинного мозга на МРТ, миелограмме
