КТ, МРТ при врожденной кисте валлекулы
Добавил пользователь Владимир З. Обновлено: 11.12.2025
МРТ головного мозга. Т2-взвешенная аксиальная томограмма. Арахноидальная киста. Цветовая обработка изображения.
Кисты головного мозга в большинстве своем относятся к аномалиям развития. Некоторые образования, возникшие на почве нарушения развития, имеют сходные с кистами черты.
Эпидермоидные кисты (эпидермоиды) – доброкачественные врождённые образования. Они происходят из эктопических эпидермальных клеток и развиваются в период закрытия, в 3-5 нед. эмбриогенеза, как следствие неполного разделения нейрональной и покровной эктодермы. Частота составляет около 1% от внутричерепных образований. Обычно диагностируются в возрасте 25 – 45 лет. Локализация эпидермоидов может быть любой, но типичная – мосто-мозжечковый угол (третье по частоте образование этой области), предмостовая цистерна, параселлярная область, четверохолмие и желудочковая система, очень редко в полушариях, спинном мозге и интрадиплоидно. Растут они интра- или экстрадурально, экспансивно, медленно, сдавливая ствол мозга, внутричерепные нервы, но не разрушая кость. Иногда захватывают сосуды и нервы. По характеру роста их можно отнести к опухолевидным образованиям. Вокруг эпидермоидов нередко развивается асептическое воспаление, а при разрыве содержимое (жир, кератин) прорывается в ликворные пространства. Клинические проявления зависят от локализации и масс-эффекта.
При МРТ головного мозга картина неспецифическая и зависит от содержимого кисты. Если она не содержит жира, то имеет ликворную интенсивность сигнала . В таком случае эпидермоидная киста трудно отличима от арахноидальной, хотя, как правило, не столь однородная. На МРТ типа FLAIR и диффузионно-взвешенных МРТ изображениях содержимое эпидермоидов светлее ликворного. Жировое содержимое, такие эпидермоиды еще называют холестеатомой, приводит к высокому сигналу на Т1-взвешенных МРТ головного мозга. Видимо, он обусловлен липидами, но не холестеролом. На Т2-взвешенных МРТ головного мозга он менее интенсивен чем ликвор. Контуры эпидермоидов всегда четкие. Холестеатомы составляют всего 3-5% от эпидермоидов. В 15-20% случаев встречается кальцификация по переферии кисты. Редко наблюдается контрастирование стенок.
МРТ головного мозга. Т1-взвешенные корональная и сагиттальная МРТ. Эпидермоидная киста левой височной доли.
Дермоидные кисты встречаются реже эпидермоидных, составляя около 0,3 % от внутричерепных образований. Обычно выявляются в возрасте между 10 и 20 годами. Морфологически от эпидермоидов их отличает наличие эктодермальных элементов – волосяных фолликулов, потовых желёз и т.д. Типично они расположены по средней линии (в отличие от эпидермоидов, которые чаще внеосевые): в супраселлярной цистерне, субфронтально, вокруг моста и, очень редко парапиниально, периорбитально, в IV желудочке, в области конского хвоста и интрадиплоидно. От эпидермоидных кист на МРТ головного мозга их отличает только выраженная неоднородность структуры, кроме того, они всегда яркие на Т1-взвешенных МРТ головного мозга за счёт большого содержания липидов. При разрыве и прорыве в субарахноидальное пространство в нём появляется уровень, на Т1-взвешенных МРТ головного мозга светлый жир плавает на ликворе.
Липома представляет собой скопление в субарахноидальном пространстве зачаточных жировых клеток с примесью коллагена. Происходят липомы из остатков примитивной эмбриональной оболочки. Эта мальформация оболочек мозга связана с нарушением дифференцировки мезенхимы на мягкую мозговую оболочку и субарахноидальное пространство. Частота липомы составляет менее 0.5% от внутричерепных образований. Обычно липомы локализуется в мозолистом теле, в межполушарной щели, воронке гипофиза и гипоталамусе, реже вокруг червя мозжечка и пластины четверохолмия и мосто-мозжечковом углу и Липомы мозолистого тела сочетаются с его агенезией и в 60% случаев с распространением на сосудистое сплетение. При МРТ головного мозга липома четко очерчена, без отека вокруг и масс-эффекта, кость не разрушает. Структура образования чаще однородная, жировой интенсивности сигнала – то есть выраженно гиперинтенсивная на Т1-взвешенных МРТ и немного менее интенсивная по отношению к ликвору на Т2-взвешенных МРТ. Иногда встречаются неоднородные липомы с участками низкого сигнала от кальцинатов и сосудов, проходящих ее насквозь. При сомнениях в диагнозе надо выполнить МРТ головного мозга с подавлением жира или можно сделать КТ. На КТ липома всегда резко гиподенсна и может содержать включения кальция.

МРТ головного мозга. Сагиттальная Т1-взвешенная МРТ. Липома мозолистого тела.
Эпендимальные кисты встречаются очень редко. Они представляют собой врождённую отшнуровку внутри желудочков или цистернах . На МРТ головного мозга контур кисты четкий, сигнал ликворной интенсивности или чуть светлее за счет отсутствия пульсации и примеси белка, структура однородная. В отличие от кист прозрачной перегородки она не расщеплена, а смещена.
Арахноидальные кисты представляют собой скопление ликвора между листками расщепленной паутинной оболочки. Арахноидальная киста обычно не сопровождается другими мальформациями. Незначительная часть арахноидальных кист имеет приобретенное происхождение – следствие лептоменингита, операции или кровоизлияния. Частота составляет около 1% от внутричерепных образований. Соотношение полов М:Ж, как 4:1. Типичная локализация – средняя черепная ямка (в области Сильвиевой борозды 50%), межполушарная щель, мосто-мозжечковый угол (11%), за скатом или на уровне четверохолмия (10%), в области червя мозжечка (9%), реже в области межножковой и предмостовой цистерн (3%), а также супраселлярной и хиазмальной цистерн. Ретроцеребеллярная арахноидальная киста довольно часто встречаются за мозжечком и отличима от mega cisterna только по неизменённой задней черепной ямке. Содержимое кисты чисто ликворное, стенки гладкие, чётко очерченные, внутри кисты могут быть перегородки. Мелкие арахноидальные кисты очень трудно увидеть. Меняя ширину окна и его уровень на Т1-взвешенных МРТ изображениях можно заметить, что киста чуть светлее ликвора. Дифференциальная диагностика с эпидермальными кистами лучше осуществляется с помощью МРТ последовательности FLAIR. Эпидермальные кисты становятся яркими, в отличие от гипоинтенсивных арахноидальных.
Нейроглиальные (нейроэпителиальные) кисты – врождённые кисты различной этиологии, локализующиеся в паренхиме мозга или в области сосудистого сплетения желудочков. Обычно округлые, с гладкими стенками. Очень часто такие кисты сочетаются с аномалиями развития: отсутствием прозрачной перегородки и полимикрогирией. При МРТ головного мозга содержимое кист ликворное, иногда с небольшой примесью белка.
Коллоидная киста – это врождённое нейроэпителиальное образование. Коллоидная киста выстлана эпителием и имеет фиброзную капсулу. Она составляют около 1-2% объемных внутричерепных образований. Обычно диагностируются в возрасте между 30 и 50 годами. При МРТ головного мозга видно, что киста всегда расположена в переднее-верхнем отрезке III желудочка между отверстиями Монро. Контур ее четкий, форма округлая, содержимое бывает неоднородное. Размер от 3 мм до 4 см, при больших размерах она закрывает отверстия Монро и вызывает окклюзионную гидроцефалию. Сигнал зависти от примеси белка к ликвору. При наличии белкового мукоидного содержимого киста гиперинтенсивна на Т1-взвешенных МРТ и гипоинтенсивна на Т2-взвешенных МРТ, но встречаются варианты гиперинтенсивные на томограммах обоих типов кольцевидные или смешанные . Контрастирования не наблюдается.
КТ и МРТ головного мозга. Коллоидная киста III желудочка.
Киста кармана Ратке представляет собой редко встречающееся образование из остатков эмбриональной эктодермы (щель Ратке), расположенное между долями гипофиза. Выявляется в любом возрасте, но чаще в 50-60 лет. Клинические проявления связаны с масс-эффектом. При головного мозга выявляется небольшая (3-5 мм) киста с четким контуром, без отека вокруг, однородная по структуре. Сигнал зависит от содержимого. При серозном содержимом сигнал типично жидкостный, при мукоидном киста светлая на Т1-взвешенных МРТ. В редких случаях киста достигает больших размеров и даже выходит за пределы седла. Стенка кисты иногда усиливается при контрастировании.
МРТ головного мозга. Т2-взвешенная корональная МРТ. Киста кармана Ратке.
Пинеальная киста расположена в проекции шишковидной железы. Встречается с частотой 4-11%. Размеры обычно не превышают 1 см, но изредка встречаются больших размеров. В таких случаях она вызывает окклюзионную гидроцефалию. При головного мозга она имеет все признаки кисты с примесью белка в жидкости, то есть немного светлая на Т1-взвешенных. Изредка встречается геморрагическое содержимое. Киста может контрастироваться по периферии.

МРТ головного мозга. Сагиттальная Т1-взвешенная МРТ. Пинеальная киста.
Кисты средней линии – киста прозрачной перегородки (cavum septi pellucidi), полость Верге (cavum Vergae) и киста промежуточного паруса (cavum veli interpositi) – являются нормальными структурами головного мозга плода. В течение 6 месяцев после рождения у большинства людей они запустевают, но могут и сохраниться, визуализируясь при этом на МРТ головного мозга. По-видимому, эти полости не имеют клинического значения и относятся к случайным находкам при томографии. Киста прозрачной перегородки (еще называют V желудочком) является медиальной стенкой боковых желудочков и ограничена спереди коленом мозолистого тела, сверху мозолистым телом и сзади столбами свода . Полость Верге представляет собой продолжение кисты прозрачной перегородки кзади и расположена между телами желудочков . Обычно обе кисты сочетаются. Киста промежуточного паруса расположена в крыше III желудочка (tela choroidea), между треугольниками боковых желудочков на уровне отверстий Монро. Она ограничена сверху мозолистым телом, cзади цистерной четверохолмия и снизу III желудочком.
При МРТ в СПб мы обращаем внимание на возможность не только врожденных, но и редких состояний, к которым относятся приобретенные кисты головного мозга, причиной которых могут быть:
- последствия ОНМК
- опухолевые кисты
- паразитарные кисты

МРТ головного мозга. Корональная Т1-взвешенная МРТ. Многокамерные эхинококковые кисты.
Кисты головного мозга одинаково хорошо видны в высоких полях и низкопольных открытых МРТ. МРТ СПб дает место выбора выполнения МРТ.
КТ, МРТ при врожденной кисте валлекулы
а) Терминология:
1. Синонимы:
• Киста надгортанника, киста корня языка, протоковая киста, саккулярная киста
2. Определение:
• Врожденная киста валлекулы:
о Предлагаемые теории возникновения:
- Обструкция желез, расположенных под слизистой оболочкой
- Врожденное кистозное расширение желудочка гортани
б) Визуализация:
1. Общая характеристика:
• Лучший диагностический критерий:
о Кистозное объемное образование валлекулы у ребенка со стридором
о Обнаруживается преимущественно при прямой ларингоскопии
• Локализация:
о Валлекула
о Язычная поверхность надгортанника
• Размер:
о Вариабелен
• Морфология:
о Округлое или с бугристыми краями

(Слева) На рентгенограмме в боковой проекции, выполненной ребенку со стридором, в проекции корня языка определяется тень с ровным краем, распространяющаяся в валлекулу, по интенсивности соответствующая мягким тканям.
(Справа) При аксиальной КТ с КУ в корне языка по средней линии визуализируется гиподенсная киста с ровными краями, не накапливающая контраст. На основании данных КТ образование нельзя достоверно дифференцировать с кистой щитоязычного протока, расположенной в области слепого отверстия.
2. КТ при врожденной кисте валлекулы:
• Хорошо отграниченное гиподенсное образование валлекулы, не накапливающее контраст
3. МРТ при врожденной кисте валлекулы:
• Объемное образование валлекулы с «жидкостной» интенсивностью сигнала и ровными краями
4. УЗИ при врожденной кисте валлекулы:
• Анэхогенная киста с ровными краями
в) Дифференциальная диагностика:
1. Киста щитоязычного протока:
• Располагаясь срединно в корне языка возле слепого отверстия, может быть неотличима от врожденной кисты валлекулы
2. Ретенционная киста пространства слизистой оболочки глотки:
• Доброкачественная ретенционная киста в носо- или ротоглотке
• Чаще встречается у детей старшего возраста и взрослых
3. Язычная щитовидная железа:
• Солидное объемное образование срединно возле слепого отверстия
• Гиперденсное на КТ
• С различной интенсивностью сигнала на МРТ
4. Гамартома языка:
• Объемное образование в задних отделах языка рядом со слепым отверстием
5. Лимфатическая мальформация:
• Врожденное кистозное образование, обычно распространяющееся на несколько анатомических зон
• Редко возникает в валлекуле

(Слева) На МР Т1ВИ в сагиттальной проекции в корне языка визуализируется врожденная киста валлекулы с ровными краями, содержимое которой имеет сигнал, характерный для жидкости.
(Справа) На МР Т2ВИ в корональной проекции у этого же пациента в передних отделах ротоглотки визуализируется валлекулярная киста с неровным контуром и сигналом, типичным для жидкости.
г) Патология. Общая характеристика:
• Стенка кисты содержит респираторный и/или плоский эпителий со слизистыми железами
д) Клинические особенности:
1. Проявления:
• Типичные признаки/симптомы:
о Стридор на вдохе
о Обструкция дыхательных путей
• Другие признаки/симптомы:
о Апноэ
о Размягчение гортани (редкое осложнение)
о Затруднения при приеме пищи
о Нарушение развития
2. Течение и прогноз:
• Может приводить к обструкции дыхательных путей, состоянию, угрожающему жизни, при отсутствии лечения
3. Лечение:
• Хирургическое (эксцизия)
• Резекция при помощи лазера
• Марсупиализация
• Радиочастотная абляция
е) Диагностическая памятка. Советы по интерпретации изображений:
• При обнаружении кистозного образования, расположенного срединно в валлекуле у ребенка со стридором, необходимо предполагать кисту валлекулы
• Врожденную кисту валлекулы может быть сложно отличить от кисты щитоязычного протока в слепом отверстии корня языка
1. Синонимы:
• Носоальвеолярная киста, киста Клестата
2. Определение:
• Редкая доброкачественная врожденная киста в крыле носа
1. Общая характеристика:
• Лучший диагностический критерий:
о Экстраоссальное кистозное образование, расположенное парамедианно по отношению к носовым ходам
• Локализация:
о В подслизистой оболочке, передних отделах дна полости носа
о В грушевидном отверстии между верхней губой и преддверием носа
• Размер:
о Обычно

(Слева) При аксиальной КТ без контрастного усиления спереди от предчелюстной кости (с обеих сторон) визуализируются гиперденсные объемные образования округлой формы с четкими контурами. Образования вызвали выраженное ремоделирование верхней челюсти (больше слева). Носогубные кисты являются двухсторонними менее чем в 10% случаев.
(Справа) При МРТ Т1ВИ в сагиттальной проекции визуализируется носогубная киста с диффузно гиперинтенсивным сигналом, хорошо отграниченная от окружающих тканей. Обратите внимание, что верхний край кисты расположен в непосредственной близости к нижней носовой раковине и дну преддверия носа. При исследовании этих образований обнаружено, что они имеют подслизистую локализацию.
2. КТ при носогубной кисте:
• КТ с контрастным усилением:
о Объемное образование в мягких тканях, не накапливающее контраст, изо- или гиперденсное
о В нижних отделах кисты могут обнаруживаться уровни плотных кристаллов оксалата кальция
• КТ в костном окне:
о Ремоделирование верхней челюсти при увеличении размеров кисты
3. МРТ при носогубной кисте:
• Т1ВИ:
о Включения белкового дебриса с минимально гиперинтенсивным сигналом
• Т2ВИ:
о Равномерно гиперинтенсивный сигнал
• Т1ВИ с контрастным усилением:
о Отсутствие накопления контраста
4. Рекомендации по визуализации:
• Лучший метод диагностики:
о КТ для адекватной визуализации кисты
• Выбор протокола:
о КТ с контрастным усилением для подтверждения отсутствия солидного компонента
о КТ в костном окне для оценки изменений костной ткани (ремоделирование)

(Слева) При MPT Т1 в аксиальной проекции в пределах грушевидною отверстия визуализируется хорошо отграниченное объемное образование, распространяющееся в преддверие носа. Сигнал от образования слегка интенсивнее, чем от мышц, определяются фокусы гиперинтенсивною сигнала (белковый дебрис). Обратите внимание, что объемное образование вплотную прилежит к верхней челюсти и вызывает ее умеренно выраженную эрозию по сравнению с противоположной стороной.
(Справа) При MPT Т2 ВИ FS в аксиальной проекции визуализируется носогубная киста округлой формы с сигналом равномерной интенсивности, содержащая белковый дебрис со слегка гипоинтенсивным сигналом.
в) Дифференциальная диагностика носогубной кисты:
1. Киста носонебного протока:
• Возникает в носонебном протоке/резцовом канале и приводит к появлению срединного внутрикостного дефекта верхней челюсти
• Вызывает равномерное расширение резцового отверстия и носонебного канала без нарушения кортикального слоя
• Обычно не распространяется экстраальвеолярно (в нос и губу) пока не достигает очень большого размера
2. Мукоцеле носослезного протока:
• Нарушение проходимости носослезного протока
• Возникает обычно у младенцев
• Обычно сочетается с дакриоциститом, слезотечением, или объемным образованием в полости носа
3. Периапикальная (радикулярная) киста:
• Располагается внутрикостно (в альвеолярном отростке)
• Возникает возле апикального отверстия корня зуба, пораженного кариесом; имеется также связь с заболеваниями периодонта
4. Дермоидная и эпидермоидная киста полости рта:
• Обычно возникает у младенцев и детей старшего возраста
• Очень редко в носогубной области
г) Патология:
1. Общая характеристика:
• Этиология:
о Киста является врожденной, предложено два теории ее возникновения:
- Персистенция зачатка носослезного протока:
Предпочитаемая теория возникновения
- Инкпюзионная киста, возникшая при формировании лицевого скелета:
После слияния внутреннего и наружного носовых отростков, и верхнечелюстных отростков
2. Макроскопические и хирургические особенности:
• Киста сизого цвета с толстой фиброзной капсулой
• Содержит слизь или серозную жидкость
3. Микроскопия:
• Псевдостратицифированный, стратицифированный или смешанный респираторный и плоский эпителий с бокаловидными слизистыми клетками
1. Проявления:
• Типичные признаки/симптомы:
о Отек носонебной складки, верхней губы
о ± Обструкция носа
2. Демография:
• Возраст:
о Встречается у взрослых людей, средний возраст: 40 лет
• Пол:
о М:Ж= 1:3
• Этническая принадлежность:
о Распространенность выше у афроамериканцев и латиноамериканцев
3. Течение и прогноз:
• Киста может расти по направлению к носонебной складке или преддверию рта (носа)
• В 30% случаев наблюдается инфицирование кисты
4. Лечение:
• Окончательное лечение - оперативное удаление кисты:
о Операция выполняется сублабиальным доступом; рецидив возникает редко
е) Диагностическая памятка. Советы по интерпретации изображений:
• Внекостная природа кисты отличает ее от одонтогенных образований:
о Позволяет избежать ненужных вмешательств на верхней челюсти и зубах
ж) Список использованной литературы:
1. Sumer АР et al: Nasolabial cyst: case report with CT and MRI findings. Oral Surg Oral Med Oral Pathol Oral Radiol Endod. 109(2):e92-4, 2010
2. lida S et al: Spheric mass beneath the alar base: MR images of nasolabial cyst and schwannoma. AJNR AmJ Neuroradiol. 27(9): 1826-9, 2006
3. CureJ K et al: MR of nasolabial cysts. AJNR AmJ Neuroradiol. 17(3):585-8, 1996
1. Аббревиатура:
• Венозная мальформация (ВМ) = предпочтительный термин
2. Синонимы:
• Кавернозная мальформация, кавернозная гемангиома: термины, которые необходимо избегать
3. Определение:
• ВМ: врожденная аномалия венозных сосудов с медленным или низким посткапиллярным кровотоком: сосудистые синусоиды, выстланные эндотелием
1. Общая характеристика:
• Лучший диагностический критерий:
о Мягкотканное «объемное образование» с флеболитами
• Локализация:
о Любое просгранство(а) головы и шеи
о Чаще всего в области щеки
о Также часто встречается в жевательном пространстве, подъязычном пространстве, языке, глазнице, задних отделах шеи
о Глубокая или поверхностная, диффузная или ограниченная
о Голова и шея (40%), конечности (40%), туловище (20%)
• Размер:
о Варьирует, может быть очень большого размера
• Морфология:
о Единичное (или множественное) многокамерное образование
о Отграниченное или распространенное (с вовлечением нескольких смежных анатомических зон)
о ± лимфатическая мальформация (ЛМ), с формированием смешанной венозно-лимфатической мальформации (ВЛМ)
2. Рентгенография:
• Используется ограниченно и позволяет обнаружить флеболиты или трофические изменения прилежащих костей

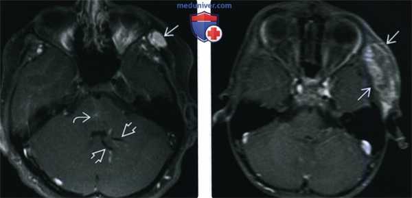
(Слева) При аксиальной МРТ Т1ВИ С+ FS в левой височной мышце визуализируется венозная мальформация, умеренно накапливающая контраст; в левой гемисфере мозжечка определяется врожденная венозная аномалия, в области моста мозга также визуализируется вероятная венозная аномалия меньшего размера или телеангиэктазия.
(Справа) При аксиальной МРТ Т1ВИ С+ FS в левой височной ямке визуализируется венозная мальформация, неравномерно накапливающая контраст.
3. КТ при венозной мальформации головы и шеи:
• КТ без КУ:
о Мягкотканное образование с фестончатыми краями, изоденсное мышцам
о С обызвествлениями округлой формы (флеболитами)
• КТ с КУ:
о Выраженность кровотока в образовании варьирует:
- Обусловливает индивидуальность симптоматики и контрастного усиления
о Вариабельное контрастное усиление отражает медленный ток крови по направлению к мальформации и внутри нее
о Характер контрастного усиления варьирует:
- Отсроченное «пятнистое» или равномерное интенсивное
о Лимфатический компонент ВЛМ не накапливает контраст
о Оссеозное ремоделирование прилежащих костей
о Гипертрофия жировой ткани возле мальформации
• КТ-ангиография:
о Отсутствуют расширенные питающие артерии
о Часто наблюдаются расширенные дренирующие вены
4. МРТ при венозной мальформации головы и шеи:
• Т1ВИ:
о Многокамерное образование с вариабельной интенсивностью сигнала:
- Изо-/гипоинтенсивный сигнал по сравнению с мышцами
о Регионарная гипертрофия жировой ткани
• Т2ВИ:
о Внешний вид зависит от размера каналов:
- Крупные каналы: напоминает кисту, разделенную перегородками, с гиперинтенсивным содержимым
- Каналы меньшего размера: выглядят как округлые или вытянутые участки выпадения сигнала
о Флеболиты: округлые или овальные участки выпадения сигнала
о Участки выпадения сигнала в кровеносных сосудах атипичны:
- При наличии = расширенные диспластические дренирующие вены
• Т1ВИ С+:
о Контрастное усиление варьирует: отсроченное, равномерное или неравномерное, минимальное или интенсивное
о Лимфатический компонент ВЛМ не накапливает контраст
• МР-венография:
о Расширенные вены, связанные с мальформацией
о Сопутствующие аномалии интракраниальных венозных сосудов
5. УЗИ при венозной мальформации головы и шеи:
• Губчатое, податливое образование
• Мальформации из небольших сосудистых каналов, более эхо-генны и не так подвержены сдавлению, как образования из сосудов с широким просветом
• При цветовой допплерографии артериальный кровоток отсутствует
• При надавливании УЗ-датчиком может наблюдаться усиление венозного кровотока
• Флеболиты = гиперэхогенные очаги с акустической тенью
6. Другие методы диагностики:
• Особенности строения и дренирующие вены лучше всего визуализируются после прямого введения в венозные синусоиды контраста
• Даже в этом случае может не обнаруживаться свободного перемещения контраста между компонентами мальформации
• Мальформация из крупных каналов, напоминает виноградную гроздь, образование из мелких каналов - хлопковую вату
7. Рекомендации по визуализации:
• Лучший метод диагностики:
о У взрослых КТ лучше всего позволяет обнаружить флеболиты о МРТ-наилучший метод оценки распространенности объемного образования и визуализации лимфатического компонента ВЛМ
о УЗИ при поверхностно расположенных мальформациях
• Выбор протокола:
о КТ следует избегать у детей:
- У детей нужно использовать УЗИ ± МРТ
о МРТ С+ и сатурацией жира:
- STIR или FS (Т2 ВИ) для оценки полной распространенности мальформации
- Последовательности градиентного эха -чтобы убедиться в отсутствии сосудов с высоким током

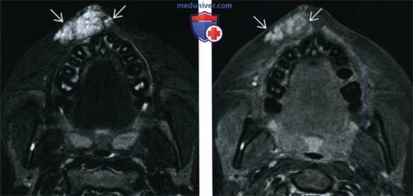
(Слева) При аксиальной МРТ STIR в подкожных тканях в области верхней губы определяется венозная мальформация в виде объемного образования с бугристыми краями, хорошо отграниченного от окружающих тканей. Патологические изменения со стороны костей и зубов отсутствуют.
(Справа) При аксиальной МРТ Т1ВИ С+ FS y этого же пациента визуализируются патологически расширенные венозные сосуды, умеренно и неравномерно накапливающие контраст.
в) Дифференциальная диагностика венозной мальформации головы и шеи:
1. Лимфатическая мальформация:
• Другое частое медленно- или низкопотоковое образование
• Податливое макрокистозное образование в мягких тканях, заполненное жидкостью:
о С тонкими перегородками, накапливающими контраст, включениями дебриса, уровнями «кровь-жидкость»
• Нет флеболитов, не накапливает контраст (за исключением смешанной ВЛМ)
• Единичная или множественная, располагается в одной или нескольких зонах
2. Младенческая гемангиома:
• Характерный жизненный цикл: небольшой размер после рождения, быстрый рост в младенчестве, постепенная инволюция с возрастом
• Доброкачественное сосудистое новообразование капилляров:
о Пролиферация эндотелия, маркер → LUT (+)
• Выпадение сигнала в кровеносных сосудах при допплерографии
• Быстрое, равномерное и интенсивное контрастное усиление
• Отсутствие флеболитов
3. Дермоид и эпидермоид:
• Возможны кальцинаты округлой формы (дермоид)
о Находятся в объемном образовании, содержащем жир
• Содержимое дермоидной кисты при УЗИ выглядит гиперэхогенным
4. Артериовенозная мальформация:
• «Клубок» высокопотоковых участков выпадения сигнала на УЗИ и МРТ
• Гиперинтенсивные (Т2) участки, выглядящие кистозными, нетипичны
• Флеболиты обнаруживаются редко

(Слева) Нa поперечной сонограмме верхних отделов шеи визуализируется кистозное объемное образование смешанной структуры с расширенными синусоидами и эхогенным флеболитом, наличие которого позволяет сделать вывод о венозной мальформации. Тем не менее, УЗИ не позволяет оценить распространенность больших мальформаций в глубокие отделы шеи или подтвердить множественность (из статьи на сайте «Лучевая диагностика: УЗИ»).
(Справа) На поперечной сонограмме у ребенка с безболезненным объемным образованием в нижних отделах шеи визуализируется кистозный очаг с ровными краями: расширенное синусоидальное пространство с небольшими включениями дебриса и перегородками внутри. Обратите внимание на заднее акустическое усиление - признак кистозной природы образования.
1. Общая характеристика:
• Этиология:
о Врожденное нарушение формирования венозных сосудов
• Генетические нарушения:
о Большинство ВМ (50% спорадических ВМ) связаны с мутациями в гене ТЕК
• Сопутствующие патологические изменения:
о У 70% пациентов с периорбитальной ЛМ или ВЛМ имеются аномалии внутричерепных сосудов и вещества мозга:
- Врожденная венозная аномалия, церебральная кавернозная мальформация, артерио-венозная мальформация (АВМ) твердой (или мягкой) мозговой оболочки, перикраниальный синус
2. Стадирование, классификация венозной мальформации головы и шеи:
о Классификация ВМ Международного Сообщества по Изучению Сосудистых Аномалий пересмотра 2014 г.:
- Простая ВМ (94%)
- Семейная кожно-мышечная ВМ: мутации в гене ТЕК, кодирующем синтез эндотелиального рецептора тирозинкиназы:
Множественное поражение губ и языка
Расширение вен шеи и верхних конечностей
- Синдром голубого пузырчатого («резинового») невуса:
Множественные ВМ кожи, мышц, желудочно-кишечного тракта
- Гломувенозная мальформация: мутации гена в коротком плече 1 хромосомы:
Гломусные клетки в венозной мальформации
- Церебральная кавернозная мальформация
3. Макроскопические и хирургические особенности:
• Плохо отграниченная сосудистая мальформация, состоящая из неправильных венозных каналов
4. Микроскопия:
• Венозные каналы с различным просветом и толщиной стенки
• Каналы выстланы плоским эндотелием без митотической активности и содержат небольшое количество гладких мышц в стенке
• Внутренняя эластическая пластинка отсутствует
• Тромбы в просвете, флеболиты
1. Проявления:
• Типичные признаки/симптомы:
о Объемное образование мягких тканей в виде «губки» без флюктуации:
- Голубые пятна на коже при поверхностной локализации
о Мальформация растет вместе с пациентом
о ↑↑ при выполнении пробы Вальсальвы, наклоне вперед, крике
о Быстрый рост после травмы или при инфицировании; в результате гормональных влияний во время полового созревания или беременности
2. Демография:
• Возраст:
о Присутствует при рождении
о Клинически может проявляться в любом возрасте, обычно у детей, подростков и молодых взрослых
• Эпидемиология:
о Самая распространенная сосудистая мальформация головы и шеи
3. Течение и прогноз:
• Прогноз зависит от размеров и локализации
• Распространенные ВМ большого размера могут приводить к нарушениям здоровья в течение всей жизни
4. Лечение:
• Консервативное лечение:
о Компрессионная одежда
о Противовоспалительные средства
о Гепарин с низкой молекулярной массой при ↑ риска тромбоза
• Чрескожные вмешательства:
о Прямое введение склерозирующего агента под контролем УЗИ/рентгеноскопии:
- Возможно, неоднократное
о Лазерная абляция поверхностно расположенных ВМ
о Эндоваскулярная абляция варикозно расширенных вен:
- Радиочастотная или лазерная
• Хирургическое лечение: резекция ограниченных мальформаций:
о Может использоваться в сочетании с чрескожной склеротерапией
е) Диагностическая памятка:
1. Следует учесть:
• Увеличение объемного образования в размерах при выполнении пробы Вальсальвы, крике, наклонах:
о Все эти клинические признаки подозрительны на ВМ
2. Советы по интерпретации изображений:
• Наличие флеболитов на КТ, или гиперинтенсивное (Т2) объемное образование лица - наиболее специфичный лучевой признак ВМ
ж) Список использованной литературы:
1. Wassef М et al: Vascular anomalies classification: recommendations from the International Society for the Study of Vascular Anomalies. Pediatrics. 136(1):e203-14, 2015
2. Kollipara R et al: Current classification and terminology of pediatric vascular anomalies. AJR Am J Roentgenol. 201 (5): 1124-35, 2013
3. Scolozzi P et al: Intraoral venous malformation presenting with multiple phlebo-liths. OralSurg Oral Med Oral Pathol Oral Radiol Endod. 96(2): 197-200, 2003
4. Boukobza M et al: Cerebral developmental venous anomalies associated with head and neck venous malformations. AJNR Am J Neuroradiol. 17(5): 987-94, 1996
5. Baker LL et al: Hemangiomas and vascular malformations of the head and neck: MR characterization. AJNR AmJ Neuroradiol. 14(2)307-14, 1993
МРТ при кисте головного мозга

Формирование подавляющего большинства кистозных образований проходит бессимптомно. Как правило, киста обнаруживается либо как случайная находка на МРТ головного мозга, либо ее прицельно ищут с помощью томографа, когда она уже достигла больших размеров. Магнитно-резонансная томография - один из лучших способов диагностировать кистозные формирования. Благодаря своей высокой тканевой и жидкостной контрастности МРТ очень хорошо визуализирует локализацию кисты, ее состав, связь с соседними тканями. По тому, как ведет себя сигнал от кисты, врачи с уверенностью могут дифференцировать ее от любого другого опухолевого образования. МРТ снимки в деталях покажут, каким образом это новообразование взаимосвязано с веществом головного мозга или железами, а также есть ли угроза развития гидроцефалии.
Время МРТ головного мозга при диагностике кисты составляет 15-20 минут. Это обследование не требует никакой особой подготовки. Оно проходит безболезненно для пациента. Направление от врача для этого исследования необязательно. Перед началом сканирования вас попросят избавиться от всех металлсодержащих предметов на теле и выложить все электронные устройства, чтобы не нарушить работу магнитного поля томографа. Затем вас пригласят занять горизонтальную позицию на томографическом столе и наденут специальную катушку на голову. Стол задвинут внутрь МРТ аппарата, и скрининг начнется. По завершении диагностики пациент сразу получает заключение МРТ, в котором будет указано, какая киста обнаружена, ее размеры и положение, степень деформации соседних головных структур, а также рекомендации к дальнейшим действиям. По итогу томографии пациенту выдадут серию снимков, где все кистозные образования наглядно показаны. Все эти данные позволят лечащему врачу принять решение о методе адекватного лечения.
Как выглядит киста головного мозга на МРТ снимке?
- Т2 последовательность позволяет оценить ликворную систему, кору головного мозга, белое вещество, базальные ядра, сосуды.
- Т1 последовательность визуализирует серое вещество.
- Т2 Flair помогает визуализировать воспалительные и рубцовые сигналы головного мозга.
Лечение кисты
Есть много факторов, которые влияют на выбор метода лечения кистозных образований. Если киста маленькая и не дает никаких неврологических симптомов, врачи могут принять решение просто наблюдать за ее поведением. В этом случае пациенту предлагают сделать МРТ головы через 6 месяцев и по ее результатам оценивают размеры кисты в динамике. Большие кистозные формирования, которые уже начинают сильно давить или деформировать соседние органы и структуры, подлежат удалению хирургическим методом, то есть пациенту будет сделана нейрохирургическая операция. Тип и уровень травматичности вмешательства будут зависеть от того, где располагается киста, и есть ли у врачей возможность подобраться к ней без проведения трепанации черепа. Некоторые виды кист могут лечиться медикаментозно с помощью тех или иных лекарств.
Читайте также:
