КТ, МРТ, урография при уретероцеле
Добавил пользователь Дмитрий К. Обновлено: 03.12.2025
Лучевая диагностика уретероцеле
а) Определение:
• Кистозное расширение терминального отдела мочеточника
• Существуют несколько схем классификации, большинство из принятых схем (предложенные Американской Академией Педиатров [ААП]) разделяет уретероцеле на внутрипузырное и эктопическое:
о Внутрипузырное: уретероцеле находится полностью в мочевом пузыре
о Эктопическое: устье мочеточника находится в шейке мочевого пузыря или на задней стенке уретры:
- Наиболее часто возникает совместно с удвоением собирательной системы
о Другие классификации (предложенные в 1954 году) делят уретероцеле на простое (ортотопическое) и эктопическое; тем не менее, эта классификация повсеместно отклонена, вследствие путаницы с определением «простого» уретероцеле:
- «Простое» уретероцеле может наблюдаться как в случае простой, так и при удвоенной собирательной системе
• в 80% случаев уретероцеле (у детей) ассоциировано с удвоением собирательной системы:
о в 60% случаев таких уретероцеле имеется эктопия устья мочеточника
б) Визуализация:
1. Общая характеристика:
• Лучший диагностический критерий:
о Деформация дистального отдела мочеточника по типу «голова кобры» или «луковица» с окружающим рентгенонегативным ореолом
о Округлые дефекты наполнения внутри мочевого пузыря с гладкой поверхностью
• Локализация:
о Внутрипузырное: уретероцеле целиком находится в мочевом пузыре
о Эктопическое: устье мочеточника находится в шейке мочевого пузыря или на задней стенке уретры:
- У мужчин устье мочеточника располагается всегда выше наружного сфинктера, поэтому недержание мочи не наблюдается
о Схожая частота возникновения слева и справа о в 10% случаев носит двусторонний характер
• Размер:
о До нескольких сантиметров в диаметре
2. Рентгенологические признаки уретероцеле:
• Экскреторная урография:
о Деформация терминального отдела мочеточника по типу «головы кобры» или «луковицы»:
- Расширенный дистальный отдел мочеточника выпячивает в просвет мочевого пузыря с окружающим рентгенонегативным ореолом:
Стенка уретероцеле тонкая
- Данные характеристики не патогномоничны в отношении уретероцеле и могут встречаться при других обструктивных поражениях:
«Псевдоуретероцеле»: расширение терминального отдела мочеточника, ввиду обструкции объемным образованием, конкрементом или вследствие отека устья мочеточника (после недавнего прохождения камня)
Ореол «псевдоуретероцеле» толще и более расплывчатый
о Гладкое рентгенонегативное образование в мочевом пузыре
• Микционная цистоуретрография(МЦУГ):
о Гладкое рентгенонегативное образование в мочевом пузыре
о Уретероцеле может временно выворачиваться при мочеиспускании и имитировать дивертикул («выворот уретероцеле»)
3. КТ при уретероцеле:
• КТ с контрастированием:
о Объемное образование внутри мочевого пузыря в области мочеточниково-пузырного соустья (МПС) или в шейке мочевого пузыря/проксимальном отделе уретры
о «Образование» накапливает контраст на отсроченных изображениях
о Изредка в дивертикуле могут наблюдаться камни, преимущественно вследствие стеноза устья и застоя мочи
о Следует искать удвоение собирательной системы и его осложнения
4. МРТ при уретероцеле:
• МР-урография (МРУ):
о ТяжелыеТ2-взвешенные последовательности и постконтрастные последовательности в отсроченную урографическую фазу обладают высоким пространственным и контрастирующим разрешением для исследования мочевыделительных путей
о «Образование» внутри мочевого пузыря в месте МПС или в шейке мочевого пузыря/проксимальном отделе уретры
о «Образование» заметно гиперинтенсивно на Т2 и накаливает контраст в отсроченную урографическую фазу
о Следует искать удвоение собирательной системы и ее осложнения
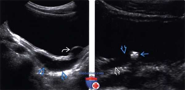
5. УЗИ при уретероцеле:
• В-режим:
о Тонкостенное кистозное образование внутри мочевого пузыря рядом с устьем мочеточника
6. Рекомендации по визуализации:
• Лучший метод диагностики:
о КТ- или МР-урография
• Совет по протоколу исследования:
о Необходимость получения изображения в отсроченную фазу для визуализации контрастирования просвета уретероцеле

(Слева) МЦУГ в прямой косой проекции: у младенца мужского пола с анамнезом инфекции мочевыделительных путей определяется округлый дефект наполнения мочевого пузыря с гладкой поверхностью. Эти признаки характерны для уретероцеле.
(Справа) После дальнейшего растяжения мочевого пузыря уретероцеле вывернулось наружу из просвета мочевого пузыря. Выворот уретероцеле можно ошибочно принять за дивертикул мочевого пузыря.
в) Дифференциальная диагностика уретероцеле:
1. Псевдоуретероцеле:
• Приобретенное расширение терминального отдела мочеточника, вследствие обструкции объемным образованием или камнем
• Приводит к появлению «головы кобры» на экскреторной урографии или МЦУГ; ореол вокруг«головы кобры» толще и более расплывчатый
2. Дефект наполнения в треугольнике мочевого пузыря:
• Рак мочевого пузыря или шейки матки
• Цистит
• Камень или отек дистального мочеточниково-пузырного соустья:
о Вследствие недавнего прохождения камня
• Камень или сгусток в просвете мочевого пузыря

(Слева) КТ мочевого пузыря без контрастирования, аксиальный срез: два плотных кальцинированных конкремента в области левого МПС.
(Справа) Аксиальная проекция того же среза, полученная в отсроченную урографическую фазу: конкременты находятся внутри уретероцеле. Иногда дифференциальная диагностика между врожденным уретероцеле, содержащим камни и приобретенным расширением терминального отдела мочеточника при обструкции конкрементом (так называемое «певдоуретероцеле») может представлять трудность.
г) Патология:
1. Общая характеристика:
• Этиология:
о Врожденная аномалия
о Точный патогенез неизвестен
о В качестве патогенетического звена наиболее принята теория, предполагающая стеноз устья мочеточника
2. Стадирование, степени и классификация уретероцеле:
• Первоначальная классификация (1954 года) разделяла уретероцеле на простой и эктопический:
о Термин «простое» вызвал путаницу ввиду того, что «простое» уретероцеле может возникнуть как при одиночной собирательной системе, так и при удвоенной
• Повсеместно используется классификация (предложенная ААП), которая делит уретероцеле на внутрипузырное и эктопическое
• Несколько других классификаций основываются на размере устья и наличии ассоциированного рефлюкса
• Классификация, основанная на размере и локализации устья:
о Стенотическое
о Сфинктерное
о Сфинктерно-стенотическое
о Цекоуретероцеле
3. Макроскопические и хирургические особенности:
• Внутрипузырные уретероцеле: точечные устья, но с отсутствием существенной обструкции
• Эктопические уретероцеле: зачастую закупорены, с дисплазией верхнего полюса почки
4. Микроскопия:
• Стенка: покрыта слизистой мочевого пузыря и выстлана слизистой мочеточника

(Слева) Экскреторная урография: полное удвоение левых мочеточников с эктопией уретероцеле в области шейки мочевого пузыря. Дефекты наполнения в расширенной части мочеточника представляет из себя кистозный уретерит.
(Справа) КТ с контрастированием, корональный срез: внутрипузырное уретероцеле с cony ствующим расширением мочеточника и чашечек. Гидронефроз встречается относительно редко и обычно не выражен у пациентов с внутрипузырными уретероцеле.
д) Клинические особенности:
1. Клиническая картина уретероцеле:
• Наиболее частые признаки/симптомы:
о Внутрипузырные: обычно без клинической картины, у взрослых выявляются случайно
о Эктопические уретероцеле: инфекция мочевыделительных путей (ИМП), недержание мочи
• Клинический профиль:
о Эктопическое: новорожденный или ребенок с ИМТ или сепсисом
2. Демография:
• Возраст:
о Эктопическое:
- Медиана возраста: три месяца на момент постановки диагноза:
Зачастую диагностируется во время пренатального УЗИ
• Пол:
о В 4-6 раз чаще возникает у женщин
• Расовая принадлежность:
о Наиболее часто возникает у европейцев
• Эпидемиология:
о Клиническая встречаемость составляет 1:12000-1:5000
о Встречаемость на аутопсии составляет по данным более 1:500
3. Течение и прогноз:
• Обструкция уретероцеле может привести к задержке мочи и образованию камня
• Тяжелая обструкция: первичная при эктопических уретероцеле
4. Лечение уретероцеле:
• Варианты, риски, осложнения:
о Ведение пациента зависит от типа уретероцеле, наличия или отсутствия удвоения собирательной системы, функционирования части верхнего полюса (в случае удвоения) и наличия или отсутствия рефлюкса
о В случаях с выраженной клинической картиной требуется оперативное вмешательство:
- Эндоскопическая декомпрессия: наиболее эффективный метод в отношении внутрипузырного типа
- Открытое хирургическое вмешательство с реимплантацией мочеточника
- Частичная нефрэктомия (при эктопическом уретероцеле, ассоциированном с нефункционирующей частью верхнего полюса)
о В случае сопутствующего пузырно-мочеточникового рефлюкса (ПМР) необходима профилактика антибиотиками
е) Диагностическая памятка. Следует учесть:
• Обратите внимание на то, что новая схема классификации, разделяющая уретероцеле на внутрипузырное и эктопическое подтипы, используется урологами и педиатрами
• Следует поискать удвоение собирательной системы и его осложнения
• Следует проверить наличие атипичной слизистой для исключения опухоли
КТ, МРТ, урография при уретероцеле
Методы обследования уретероцеле
а) Определения:
• Шаровидное кистозное расширение дистального интрамурального отдела мочеточника, выдающееся в мочевой пузырь
• Ортотопическое уретероцеле (распространено реже): нормальное прикрепление к треугольнику, неизмененный мочеточник в других отделах:
о Единственный мочеточник
о Удвоение системы приблизительно в 30% случаев
• Эктопическое уретероцеле (распространено чаще): прикрепление ниже треугольника
о Удвоенная чашечно-лоханочная система в 80%:
- Мочеточник верхней лоханки часто прикрепляется медиальнее и дистальнее мочеточника нижней лоханки
- Мужчины: прикрепление к шейке мочевого пузыря, простатическому отделу уретры, семявыносящему протоку или семенному пузырьку:
Отсутствие недержания мочи у мужчин, так как прикрепление всегда выше наружного сфинктера
- Женщины: прикрепление к дистальному отделу уретры, преддверию влагалища, влагалищу, шейке матки, матке или фаллопиевой трубе:
Недержание мочи у женщин только при прикреплении ниже наружного сфинктера
о Единая нераздвоенная система в 20% случаев:
- Мелкая/плохо функционирующая почка, может не визуализироваться
о Цекоуретероцеле или «слепое» уретероцеле: эктопическое подслизистое уретероцеле, доходящее до уретры, но открывающееся в мочевой пузырь
1. Общая характеристика:
• Важнейшие диагностические критерии:
о Ортотопическое: тонкостенное мешковидное кистозное образование, переходящее в дистальный отдел мочеточника
о Эктопическое: в удвоенной системе переходит в обтурированную лоханку (обычно верхнюю) с гидронефрозом и гидроуретером
• Локализация:
о Эктопическая: в 50% - мочевой пузырь, 50% - задний отдел уретры; 10% - двустороннее:
- Мужчины: прикрепление всегда выше наружного сфинктера
• Размер:
о > 1 см в диаметре
• Строение:
о С ровными контурами, округлое или овальное
2. УЗИ при уретероцеле:
• Серошкальное ультразвуковое исследование:
о Тонкостенное, кистозное внутрипузырное образование, переходящее в дистальный отдел мочеточника
о Расширенный мочеточник в эктопированной нижней лоханке, размер зависит от степени дилатации мочеточника
о Может визуализироваться цилиндрическое срединное внутрипузырное образование, приводящее к обструкции выходного отверстия (цекоуретероцеле)
о В некоторых случаях, при наполненном мочевом пузыре, уретероцеле может инвертировать и начинает напоминать дивертикул:
- Инвертированное уретероцеле возвращается в исходное состояние при частичном опорожнении мочевого пузыря
о Утолщение стенки вследствие отека при сдавливании конкрементом/инфекции
о Эктопические уретероцеле с внепузырным прикреплением имитируют кисту малого таза
• Цветовая допплерография:
о Визуализируется ток по мочеточнику от верхушки уретероцеле

(Левый) На продольном трансабдоминальном УЗ срезе визуализируется небольшое уретероцеле с восходящей дилатацией мочеточника.
(Правый) На косопоперечном трансабдоминальном УЗ срезе визуализируется гиперэхогенный конкремент, вдавленный в правый пузырно-мочеточниковый сегмент (ПМС) с восходящей дилатацией мочеточника. Локальное выпячивание в интрамуральном отделе мочеточника соответствует псевдоуретероцеле.
3. Рентгенография при уретероцеле:
• Экскреторная урография (ЭУГ)/цистография:
о Ортотопическое уретероцеле: деформация в виде «головы кобры»:
- Расширенный дистальный отдел мочеточника, выдающийся в просвет мочевого пузыря с окружающим рентгенонегативным ореолом
о Эктопическое уретероцеле: гладкостенное, рентгенонегативное внутрипузырное образование, преимущественно в области основания мочевого пузыря:
- Может выворачиваться в фазу опорожнения и имитировать дивертикул
- Контрастирование просвета зависит от функционирования верхней лоханки
- Симптом завянувшей лилии: смещение контрастирован-ной при рефлюксе нижней лоханки расширенной верхней лоханкой
- При микционной цистоуретрографии может также визуализироваться рефлюкс в нижней лоханке удвоенной системы
4. КТ при уретероцеле:
• КТ с контрастированием:
о Тонкостенное внутрипузырное кистозное образование в пузырно-мочеточниковом сегменте (ПМС)
5. МРТ при уретероцеле:
• Т2-ВИ:
о Внутрипузырное кистозное образование в ПМС:
- Эктопическое: можно визуализировать эктопическое прикрепление к шейке мочевого пузыря, уретре, влагалищу и т. д
о В проекции максимальной интенсивности (MIP) визуализируется относительное расположение мочеточников верхней и нижней лоханки в удвоенной системе:
- Лучше визуализируется эктопированный мочеточник, идущий от плохо функционирующей лоханки, невидимый при других методах исследования
- Уретероцеле может быть скрыто жидкостью в мочевом пузыре
• МР урография с контрастированием:
о Лучший метод визуализации уретероцеле в удвоенной системе
о Внутрипузырная киста, заполненная контрастом с окружающим ореолом в мочевом пузыре в раннюю фазу накопления
о Переходит в гидроуретер и верхнюю лоханку с гидронефрозом с сохранением функции верхней лоханки.
о Снижение или полное отсутствие функции верхней лоханки при дисплазии почки
6. Рекомендации по визуализации:
• Важнейшие методы визуализации:
о УЗИ и КТ/МРТ-урография
• Рекомендации по исследованию:
о УЗИ: проведение исследования при наполненном мочевом пузыре
о Цистография: визуализация в фазу раннего наполнения пузыря; при переполнении возможно спадение, затенение или инвертирование уретероцеле с низким давлением

(Левый) При микционной цистоуретрографии визуализируется округлый дефект наполнения в мочевом пузыре, указывающий на уретероцеле.
(Правый) На фронтальном Т2-взвешенном МР срезе визуализируется удвоенная система левой почки с расширенной верхней лоханкой и сдавливанием нижней лоханки/ Верхняя лоханка переходит в значительно расширенный и извитой мочеточник? оканчивающийся внутрипузырным уретероцеле.
1. Катетер Фолея:
• Характерная форма катетера Фолея с округлым дистальным баллоном в мочевом пузыре
2. Псевдоуретероцеле:
• Вследствие дистальной обструкции мочеточника (конкремент или опухоль); более широкий ореол с нечеткими контурами/ контрастирование вокруг дистального отдела мочеточника
3. Уретероцеле с пролабированием: новообразование влагалища у женщин:
• Дивертикул мочевого пузыря: неотличим от вывернутого уретероцеле:
о Мешок, образованный грыжевым выпячиванием слизистой мочевого пузыря, соединяется шейкой с полостью мочевого пузыря
о Не возвращается во внутрипузырное положение после мочеиспускания
• Киста канала Гартнера: киста в стенке влагалища:
о Трансвагинальное УЗИ позволяет определить локализацию

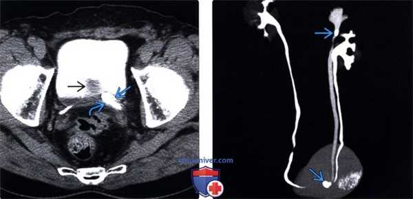
(Левый) На аксиальной КТ-урограмме через малый таз визуализируется удвоенная система левой почки, мочеточник верхней лоханки оканчивается уретероцеле? содержащим конкременты. Мочеточник нижней лоханки не расширен и прикрепляется рядом с уретероцеле. Обратите внимание на простатическое вдавление в основании мочевого пузыря.
(Правый) На 3D-peконструированном MIP изображении КТ урограммы (вид сзади) визуализируется удвоенная чашечно-лоханочная система левой почки с конкрементами в лоханочно-мочеточниковом сегменте и уретероцеле верхней лоханки.
1. Общая характеристика:
• Этиология:
о Аномалия развития
о Простой тип: вследствие обструкции или стриктуры (у взрослых) в конечном отделе мочеточника
• Сочетанные нарушения:
о Уретероцеле единственного мочеточника почки: мочеполовые и сердечные аномалии
о Полное удвоение системы: мочеточник верхней лоханки обычно сочетается с уретероцеле:
- Обструкция, приводящая к гидронефрозу и гидроуретеру
- Встречается диспластическая малая верхняя лоханка с гидроуретером
- Мочеточник нижней лоханки имеет ортотопическое прикрепление в сочетании с гидронефрозом, вызванным рефлюксом (закон Вейгерта-Мейера)
2. Стадирование, степени и классификация уретероцеле:
• Тип отверстия: стенотическое, сфинктерное, сфинктерно-стенотическое, цекоуретероцеле:
о Сфинктерное: отверстие дистальнее шейки мочевого пузыря
о Цекоуретероцеле: внутрипузырное отверстие; подслизистое распространение до уретры
3. Макроскопические и хирургические особенности:
• Простые уретероцеле: точечные отверстия, однако, без значительной обструкции
• Эктопические уретероцеле: часто с обструкцией и дисплазией верхнего полюса почки
• Суженное отверстие мочеточника обычно открывается на верхушке, редко - в основании
• Иногда сегмент мочеточника продолжается дистальнее уретероцеле и имеет эктопированное прикрепление к мочевому пузырю или к мочеиспускательному каналу
4. Микроскопия:
• Тонкая стенка: покрыта слизистой оболочкой мочевого пузыря и выстлана слизистой мочеточника
• Реже: образована только слизистой оболочкой или слизистой с тонким гладкомышечным слоем
1. Проявления
• Основные симптомы:
о Ортотопическое: обычно бессимптомное; случайная находка
о Эктопическое уретероцеле: ИМПТ, недержание мочи, новообразование во влагалище
• Другие симптомы:
о В редких случаях-пролабирование в шейку мочевого пузыря/уретру с развитием обструкции
• Клинический профиль:
о Эктопическое: младенец или ребенок с ИМПТ или сепсисом
2. Демография:
• Возраст:
о Эктопическое: медиана возраста на момент установки диагноза составляет три месяца:
- Часто выявляется при пренатальном УЗИ
• Пол:
о Эктопическое уретероцеле с удвоением системы: М:Ж = 1:4
• Эпидемиология:
о УЗИ: 1:12000-1:5000
3. Течение и прогноз:
• Тяжелая обструкция: преимущественно эктопическое уретероцеле:
о Дисплазия обтурированной верхней лоханки в полностью удвоенной системе
4. Лечение уретероцеле:
• Методы, риски, осложнения:
о Уретероцеле с обструкцией могут приводить к застою и образованию конкрементов
е) Диагностическая памятка:
1. Следует учесть:
• При выявлении удвоенной системы следует провести скрининг на предмет уретероцеле при наполненном мочевом пузыре
• Крупные уретероцеле могут занимать весь мочевой пузырь, имитируя сам мочевой пузырь, особенно, если он пуст
2. Советы по интерпретации изображений:
• Длинная ось эктопического уретероцеле указывает на место его начала
Лучевая диагностика кистозного уретерита
а) Терминология:
1. Синонимы:
• Кистозный пиелоуретерит (в случае поражения лоханки), пролиферативный уретерит, кистозный и железистый уретерит
2. Определение:
• Реактивные пролиферативные изменения уротелия с формированием множественных небольших кист в подслизистом слое
1. Общая характеристика:
• Локализация:
о Возникает наиболее часто в проксимальной трети мочеточника
о Может также возникать в лоханке (кистозный пиелит) и мочевом пузыре (кистозный цистит)
о Процесс может быть односторонним или двусторонним, симметричным или асимметричным:
— в 50% случаев процесс двусторонний
• Размер:
о Кисты < 5 мм; обычно 2-3 мм:
- Изредка достигают размера в 2см
2. Рентгенологические признаки кистозного уретерита:
• Пиелография (внутривенная, ретроградная/антеградная):
о Узловые пристеночные рентгеннегативные дефекты наполнения небольшого размера в просвете мочеточника
о Вдавление краев мочеточника (вид в профиль)
о Стенка мочеточника может иметь шероховатый вид, вследствие слияния групп небольших кист
3. МРТ при кистозном уретерите:
• МР-урография (МРУ):
о Сильновзвешенные Т2 последовательности и постконтрастные последовательности в отсроченную урографическую фазу обладают высоким пространственным и контрастирующим разрешением для исследования мочевыделительных путей
о Стенка мочеточника имеет ненормальный, четкообразный вид с бесчисленными узловыми дефектами, выпячивающимися в просвет
4. Рекомендации по визуализации:
• Лучший метод визуализации:
о КТ-урография или ретроградная пиелография
5. КТ при кистозном уретерите:
• КТ-урография:
о Такие же аномалии как и на экскреторной урографии или пиелографии
о Корональная или сагиттальная реконструкция является методом выбора для наилучшей визуализации образований при кистозном уретерите

(Слева) Внутривенная пиелография в экскреторную фазу, прямая проекция: несколько пристеночных дефектов наполнения небольших размеров в левом мочеточнике, в проксимальном его отделе и в середине. Эти признаки характерны для кистозного уретерита.
(Справа) КТ-урография, реконструкция в плоскости наибольшей интенсивности, корональный срез: у пожилого мужчины с дизурией и предшествующими эпизодами инфекции вдоль правого мочеточника определяются несколько дефектов наполнения с ровным контуром На эндоскопии выявлено, что данные образования находятся в подслизистом слое, а в образцах биопсии отсутствовали признаки переходноклеточного рака.
в) Дифференциальная диагностика кистозного уретерита:
1. Тромбы, рентгенонегативные камни:
• Меньшее количество, более крупный размер, подвижные
2. Пузырьки воздуха:
• Вследствие недавнего инструментального исследования или инфекции, при наличии микроорганизмов, продуцирующих газ
• Подвижные
3. Мультицентрический переходноклеточный рак или папиллярные опухоли:
• Обычно имеют более неровную поверхность
• Количество существенно меньше, чем при кистозном уретерите
4. Метастазы меланомы:
• Обычно более крупные, меньшее количество узлов
5. Сдавливание рядом проходящими сосудами:
• Обычно не сферической формы; значительно меньшее количество дефектов наполнения
6. Хронический инфекционный уретерит:
• Поражение мочеточника туберкулезом и шистозоматозом приводит к формированию стриктуры мочеточника на большом протяжении или многоочаговым стриктурам:
о В стенке мочеточника и мочевого пузыря чаще всего присутствуют кальцификаты
• Хроническая инфекция/раздражение предрасполагает к возникновению кистозного уретерита и эти два состояния могут сосуществовать вместе

(Слева) КТ с контрастированием, аксиальный срез: у пожилого мужчины с пиурией и лихорадкой определяется левосторонний гидронефроз и отсроченная нефрограмма. Стенки левого мочеточника и лоханки утолщены и накапливают контраст, что указывает на воспаление. На нефростомии был обнаружен пионефроз.
(Справа) Антеградная пиелография: у этого же пациента определяется неправильный контур левого мочеточника. Эти признаки характерны для уретерита. Спазм мочеточника может также играть роль у этого пациента, поскольку имеются признаки активной инфекции.
г) Патология. Общая характеристика:
• Этиология:
о Более вероятный механизм - ответ на хроническое воспаление или раздражение:
- Наблюдается при ИМП, уролитиазе, химиотерапии, облучении, шистозоматозе и инструментальном исследовании
о Теория патогенеза: эпителиальные гнезда фон Брунна:
- Воспалительная стимуляция → пролиферация уротелия → выпячивание клеток уротелия
- Клетки становятся изолированными внутри собственной пластинки слизистой — метаплазия железистых структур (железистый уретерит) — кистозное расширение гнезд фон Брунна (кистозный уретерит)
- Эти три модели (витиеватые гнезда фон Брунна, железистый уретерит и кистозный уретерит; данные состояния объединены термином пролиферативный уретерит) непрерывны и обычно проявляются в одно и то же время
• Не является предраковым состоянием или новообразованием
1. Клиническая картина:
• Наиболее частые признаки/симптомы:
о Обычно без клинической картины
о У пациентов могут появляться признаки/симптомы заболевания, вследствие наличия инфекции мочеполовых путей (ИМП) или камней
2. Демография:
• Возраст:
о ↑ заболеваемости с возрастом
3. Течение и прогноз:
• Протекает обычно без осложнений; следует исключить ИМП
• Отсутствие риска злокачественного перерождения:
о Предрасполагающие факторы кистозного уретерита (такие как хроническая инфекция) могут действовать в качестве факторов риска злокачественного перерождения уротелия
е) Список использованной литературы:
1. Rothschild JG et al: Ureteritis cystica: a radiologic pathologic correlation. J Clin Imaging Sci. 1:23, 2011
2. Menendez V et al: Cystic pyeloureteritis: review of 34 cases. Radiologic aspects and differential diagnosis. Urology. 50(1):31—7, 1997
Уретероцеле - симптомы и лечение
Что такое уретероцеле? Причины возникновения, диагностику и методы лечения разберем в статье доктора Преображенского Владимира Юрьевича, уролога со стажем в 8 лет.
Над статьей доктора Преображенского Владимира Юрьевича работали литературный редактор Вера Васина , научный редактор Вячеслав Подольский и шеф-редактор Маргарита Тихонова
Определение болезни. Причины заболевания
Уретероцеле (Ureterocele) — это чаще врождённое заболевание, при котором часть мочеточника выпячивается в мочевой пузырь. Может протекать без симптомов или проявляться болью в пояснице и/или животе, выделением мочи с неприятным запахом и примесью крови, лихорадкой, болезненным и частым мочеиспусканием или задержкой мочи.
Уретероцеле — это одна из самых распространённых аномалий развития, с которой встречаются урологи. Заболевание возникает примерно у одного из 5000–12000 человек, у девочек оно развивается в 4–7 раз чаще, чем у мальчиков [1] .
Причины развития уретероцеле
При обнаружении схожих симптомов проконсультируйтесь у врача. Не занимайтесь самолечением - это опасно для вашего здоровья!
Симптомы уретероцеле
Заболевание может протекать как с выраженными клиническими признаками, так и бессимптомно. Уретероцеле, расположенное внутри мочевого пузыря, часто никак не проявляется и его обнаруживают случайно при ультразвуковом исследовании мочевыделительной системы.
Симптомы уретероцеле многообразны и связаны с частичным или полным нарушением оттока мочи из почки или мочевого пузыря.
К таким симптомам относятся:
- Постоянная боль в поясничной области и/или животе на стороне поражения.
- Периодическая тупая боль на стороне поражения после мочеиспускания. Боль возникает в результате заброса мочи из мочевого пузыря обратно в мочеточники и далее в почки.
- Неприятный запах мочи и/или лихорадка из-за рецидивирующей инфекции мочевыводящих путей.
- Примесь крови в моче.
- Ощущение неполного опорожнения мочевого пузыря и частое болезненное мочеиспускание.
- Недержание мочи — наблюдается, когда внепузырное уретероцеле выходит за пределы мочевого пузыря и выпячивается в мочеиспускательный канал. В результате перестаёт смыкаться наружный сфинктер уретры, удерживающий мочу.
- Острая задержка мочи — уретероцеле выходит в просвет мочеиспускательного канала и полностью закупоривает его. Переполненный мочевой пузырь при этом можно легко прощупать над лоном через переднюю брюшную стенку. У пациентов болит низ живота, мочеиспускание отсутствует в течение нескольких часов. У детей такое состояние проявляется беспокойством и плачем [7][8] .
Перечисленные симптомы неспецифичны и встречаются при других врождённых заболеваниях мочеполовой системы: клапанах уретры, мегауретере, пузырно-мочеточниковом рефлюксе и эктопии мочеточника. Также они могут возникать при мочекаменной болезни, гломерулонефрите, остром и хроническом пиелонефрите.
Патогенез уретероцеле
Уретероцеле — это врождённое заболевание, связанное с нарушением эмбрионального развития мочевых путей.
Точная причина и механизм его возникновения до сих пор неизвестны. Предполагается, что к нему могут приводить следующие факторы:
- закупорка мочеточникового устья из-за неполного исчезновения эмбриональной мембраны Хвалла — тонкой перегородки, которая разделяет зачаток мочеточника и формирующийся урогенитальный синус;
- неполное развитие мышечного слоя в нижнем отделе мочеточника;
- избыточное расширение нижнего отдела мочеточника при развитии мочевого пузыря и треугольника Льето — участка в области дна мочевого пузыря.
Наиболее распространённая теория развития уретероцеле — это неполное исчезновение мембраны Хвалла в эмбриогенезе [12] .
Примерно в 80 % случаев уретероцеле сопровождается ещё одной патологией — полным удвоением мочевыводящих путей [7] [8] .
![Удвоение мочевыводящих путей [16]](/pimg3/kt-mrt-urografiya-91AB9.jpeg)
Классификация и стадии развития уретероцеле
Выделяют две формы уретероцеле: внутрипузырное (ортотопическое) и внепузырное (эктопическое).

Внутрипузырное уретероцеле не выходит за пределы мочевого пузыря. Такая форма встречается примерно в 15 % случаев и, как правило, не сопровождается удвоением верхних мочевыводящих путей. Чаще внутрипузырное уретероцеле выявляют у детей старше 11 лет и взрослых.
Внепузырное уретероцеле выходит за пределы мочевого пузыря или даже уретры. Эта форма встречается более чем в 80 % случаев [14] . Обычно такое уретероцеле крупного размера (от 5 см), может изменять анатомию мочевого пузыря, мочеиспускательного канала и выпадать наружу. Отверстие уретероцеле плотное, расположено в самом мочевом пузыре или уретре ниже уровня шейки мочевого пузыря. Оно приподнимает мочеточник и сдавливает его, что может нарушить отток мочи из нижней половины удвоенного мочеточника. В результате может развиться мегауретер (аномальное расширение мочеточника с нарушением его опорожнения) или пузырно-мочеточниковый рефлюкс (ПМР). У части пациентов внепузырное уретероцеле сопровождается удвоением мочевых путей, ПМР или нарушением оттока мочи с другой стороны [1] .
Внепузырное уретероцеле сопровождается множеством симптомов и осложнений, что связано с его крупными размерами и изменением анатомии мочевыводящих путей. По этой причине обычно уже в раннем детстве требуется операция.
Иногда внепузырное уретероцеле имеет небольшой размер и незначительно выпячивается в шейку мочевого пузыря. В таких случаях отличить его от внутрипузырной формы можно только инструментальными методами диагностики [13] .
Осложнения уретероцеле
Уретероцеле может привести к острой или хронической инфекции мочевыводящих путей, их расширению, повреждению почек, развитию мочекаменной болезни и хронической почечной недостаточности.
Острая или хроническая инфекция мочевыводящих путей возникает в результате заброса мочи из мочевого пузыря в мочеточники (пузырно-мочеточникового рефлюкса, ПМР) и застоя мочи в верхних мочевых путях. ПМР зачастую проявляется болью и ощущением распирания в поясничной области на стороне поражения. В отдельных случаях может развиться уросепсис — генерализованный воспалительный процесс, возникающий в результате попадания в кровь токсинов и микроорганизмов из мочевыводящих путей. Проявляется высокой температурой, ознобом, снижением артериального давления, судорогами, учащённым сердцебиением и нарушением сознания вплоть до оглушения и комы.
Гидронефротическая трансформация почки или части удвоенной почки — это расширение мочевыводящих путей на стороне поражения, которое вызвано полным или частичным нарушением оттока мочи. Проявляется постоянной тянущей и ноющей болью в поясничной области. При длительной непроходимости мочевыводящих путей могут развиться необратимые повреждения почки.
Мочекаменная болезнь возникает из-за длительной непроходимости мочевыводящих путей и застоя мочи. Образованию камней также способствует хроническая инфекция мочевыводящих путей. Конкременты могут формироваться как в верхних отделах мочевыводящих путей — почках и мочеточнике, так и в самом уретероцеле. При мочекаменной болезни постоянно или периодически болит поясница на стороне поражения, появляется кровь в моче, мочеиспускание становится учащённым и болезненным.
Хроническая почечная недостаточность развивается при длительном нарушении оттока мочи из одной или обеих почек [1] [2] [8] . Основные симптомы: апатия, постоянная слабость, утомляемость, ощущение жажды, тошнота и снижение количества мочи.
Диагностика уретероцеле
Уретероцеле сложно диагностировать из-за разнообразия симптомов. Кроме того, заболевание может долго никак не проявляться — первые признаки возникают с появлением осложнений. Часто уретероцеле выявляют при проведении рутинного ультразвукового исследования [15] .
Сбор анамнеза и осмотр
Диагностика уретероцеле начинается со сбора анамнеза и физикального осмотра. Жалобы пациента и результаты осмотра помогают заподозрить уретероцеле, но подтвердить его можно только с помощью инструментальной диагностики.
Инструментальная диагностика
Уретероцеле чаще всего диагностируют с помощью ультразвукового исследования, экскреторной урографии и мультиспиральной компьютерной томографии с контрастом. К дополнительным методам относятся нефросцинтиграфия, магнитно-резонансная урография, микционная цистоуретрография и цистоскопия.
Основные методы диагностики:
- Ультразвуковое исследование — позволяет выявить крупные уретероцеле, нарушающие отток мочи (т. е. приводящие к обструкции). Диагностика может быть затруднена при уретероцеле размером меньше 1 см и невыраженной обструкции.
- Экскреторная урография — это метод рентгеновской диагностики заболеваний мочевыделительной системы, который основан на способности почек быстро выводить рентгеноконтрастные вещества. На рентгеновском снимке уретероцеле с мочеточником имеют характерную форму в виде «головы кобры». Урография позволяет выявить обструкцию мочевыводящих путей, диагностировать небольшие уретероцеле, определить их точные размеры и исключить камни в мочевыводящих путях. Исследование может быть неинформативно при камнях небольшой плотности [2] .
- Компьютерная томография с контрастом — метод лучевой диагностики, основанный на послойном рентгеновском сканировании. Исследование более информативно, чем обычная экскреторная урография. Позволяет выявить уретероцеле, которое протекает без выраженной непроходимости мочевыводящих путей, а также обнаружить камни любой плотности (кроме конкрементов, образованных Индинавиром).
![Уретероцеле на УЗИ, экскреторной урографии и КТ с контрастом [17]](/pimg3/kt-mrt-urografiya-FD67E.jpeg)
Дополнительные методы диагностики:
- Магнитно-резонансная урография — позволяет оценить работу каждой почки по отдельности, в том числе верхней и нижней половины удвоенной почки. Применяется, когда другие методы исследования противопоказаны или неинформативны, например при обследовании беременных женщин, детей и непереносимости йодсодержащего контраста.
- Нефросцинтиграфия — обследование, при котором в организм вводят специальную радиоактивную метку и помещают пациента в гамма-камеру. С помощью этого метода можно оценить работу почек и определиться с тактикой лечения.
- Микционная цистоуретрография — это малоинвазивное рентгеновское исследование мочевого пузыря и мочевых путей, которое позволяет диагностировать пузырно-мочеточниковый рефлюкс. При процедуре через мочеиспускательный канал вводится катетер. Затем с помощью него мочевой пузырь заполняют рентгеноконтрастным веществом и просят пациента помочиться. Во время акта мочеиспускания лаборант проводит рентгеновское исследование. Рекомендуется сделать снимок и до мочеиспускания — сразу после заполнения мочевого пузыря рентгеноконтрастным веществом [2] . Если уретероцеле выявлено на УЗИ, то перед цистоуретрографией проводится антибактериальная профилактика [1] . Она необходима, что предотвратить проникновение инфекции в мочевыводящие пути: его риск повышается при введении катетера через уретру.
- Цистокопия — дополнительное малоинвазивное исследование, которое проводится при неоднозначных результатах основных методов исследования. Во время процедуры можно тщательно осмотреть уретру, полость мочевого пузыря и устья мочеточников. При проведении цистоскопии в области устья мочеточника заметно шаровидное выпячивание, покрытое неизменённой слизистой оболочкой, местами пронизанной мелкими сосудами. На вершине этого образования можно увидеть точечное, порой едва заметное отверстие. При наблюдении за уретероцеле видно, как оно постепенно увеличивается в размере, наполняясь мочой, а затем сокращается у основания. В этот момент точечное отверстие устья раскрывается, из него выделяется моча, и уретероцеле опадает, собираясь в продольные складки. При последующем извержении мочи из мочеточника повторяется та же картина. Нередко в мешке уретероцеле задерживаются конкременты, которые спустились из почки или образовывались в самом уретероцеле. В таком случае уретероцеле не спадается полностью, а уменьшается в размерах соответственно величине камня. При конкрементах можно увидеть примеси крови в выбросах мочи из устья мочеточника [11] .

Дифференциальная диагностика
Уретероцеле в отдельных случаях необходимо отличать от псевдоуретероцеле — непроходимости мочевыводящих путей, вызванной рубцовым сужением или длительным нахождением камня в нижнем отделе мочеточника. Уретероцеле отличают по характерной форме, которую хорошо видно при рентгеновском и цистоскопическом исследовании.
Лечение уретероцеле
Лечением уретероцеле занимается взрослый или детский врач-уролог.
На выбор метода лечения влияет множество факторов:
- возраст и состояние пациента, например наличие уросепсиса;
- состояния почки;
- наличие или отсутствие пузырно-мочеточникового рефлюкса;
- степень нарушения уродинамики в мочеточнике (т. е. нарушения о ттока мочи);
- наличие непроходимости шейки мочевого пузыря;
- расположение уретероцеле (внутри- или внепузырное);
- предпочтения пациента и врача.
В зависимости от симптомов и степени нарушения уродинамики есть два варианта ведения пациентов:
- Динамическое наблюдение — регулярное обследование (раз в полгода-год). Показано, если нет симптомов и не нарушена уродинамика.
- Сочетание хирургического и консервативного лечения.
Консервативное лечение уретероцеле
Медикаментозную терапию при уретероцеле назначают только в сочетании с хирургическими методами лечения. Её применяют, чтобы предотвратить или вылечить инфекционно-воспалительный процесс.
Хирургическое лечение уретероцеле
Эндоскопическое рассечение стенки уретероцеле. У большинства пациентов с уретероцеле, осложнённым уролитиазом (мочевыми камнями), основной метод оперативного лечения — это эндоскопическое рассечение стенки уретероцеле [6] . Основные цели операции: восстановить нормальный отток мочи из верхних мочевых путей, сохранить полноценную работу почки, удалить мочевые камни, а также предотвратить возможные осложнения, основное из которых — пузырно-мочеточниковый рефлюкс.
Необходимые условия для выполнения эндоскопического рассечения:
- размер уретероцеле не превышает 30 мм;
- сохранена сократительная способность нижнего отдела мочеточника;
- почка работает нормально, нет обострения пиелонефрита.
Наиболее предпочтительно проводить рассечение уретероцеле электрохирургическим инструментом — петлёй типа «Hook», а также тулиевым или гольмиевым лазером. Эти техники позволяют делать разрез более контролируемо, воспалительный отёк тканей при этом, как правило, менее выражен. Если уретероцеле сочетается с камнями в мочевыводящих путях, то использование лазеров позволяет легче раздробить камни и извлечь его фрагменты [3] [4] [5] [9] [10] .
В большинстве случаев эндоскопическая операция эффективна и безопасна, позволяет устранить симптомы уретероцеле и восстановить нормальный отток мочи, но в отдельных случаях может развиться пузырно-мочеточниковый рефлюкс [10] .
Резекция стенки мочевого пузыря. При крупных уретероцеле (больше 30 мм) или стойком пузырно-мочеточниковом рефлюксе после эндоскопического лечения может потребоваться более радикальная операция — резекция (иссечение) прилежащей стенки мочевого пузыря с пересадкой нижнего отдела мочеточника и формированием нового устья (уретероцистонеоанастомоза).
Установка мочеточникового стента. Иногда после эндоскопической операции и во всех случаях после пересадки мочеточника требуется установить мочеточниковый стент. Эта процедура позволяет ускорить восстановление мочевыводящих путей и сформировать новое устье. В большинстве случаев мочеточниковый стент удаляют под контролем цистоскопии через 3–4 недели после операции.

Полное или частичное удаление почки. Если уретероцеле не выявлено своевременно, то ухудшается отток мочи из почки и может развиться уретерогидронефроз. При этом состоянии полностью нарушается работа почки и развивается терминальный гидронефроз, при котором верхние мочевыводящие пути значительно расширены, функциональная ткань почки резко истончена, а сама почка напоминает «мешок с мочой». В этом случае придётся или удалить почку полностью, или провести частичное удаление — геминефрэктомию.
Прогноз. Профилактика
Прогноз благоприятнее при ранней диагностике и правильно подобранном лечении. Если уретероцеле выявлено поздно, то может сильно нарушиться отток мочи. Это приводит к формированию крупных камней, частым обострениям инфекции в мочевыводящих путях, а в дальнейшем — к гибели всей почки или её части с развитием хронической почечной недостаточности.
Профилактики уретероцеле не существует. Однако ранняя диагностика поможет избежать осложнений. Такие обследования успешно выполняются во время пренатального скрининга — комплекса диагностических исследований, который проводится во время беременности. Ключевую роль в пренатальной диагностике играет УЗИ плода. Если во время пренатального скрининга выявлено уретероцеле, то после рождения маленького пациента направляют к детскому урологу или хирургу.
Часто заболевание выявляют при обследовании взрослых с мочекаменной болезнью. У пациентов, не имеющих выраженных симптомов, уретероцеле может быть обнаружено при УЗИ органов мочевыделительной системы, например при диспансеризации [12] .
Уретероцеле
Уретероцеле – это дефект мочеточника, характеризующийся кистозным расширением его дистального отдела и выбуханием в полость мочевого пузыря. Патология сопровождается болью в пояснице, дизурическими расстройствами, гематурией. Диагностика включает проведение УЗИ мочевого пузыря и почек, экскреторной урографии, цистографии, цистоскопии. Лечение заключается в рассечении суженного устья мочеточника и удалении уретероцеле с последующим мочеточниковым реанастомозом; в некоторых случаях требуется выполнение частичной или тотальной нефрэктомии.
Общие сведения
Уретероцеле – это внутрипузырная (уретеровезикальная) киста дистального отдела мочеточника, при которой кистовидно расширенный внутрипузырный сегмент мочеточника пролабирует внутрь полости мочевого пузыря. В практической урологии уретероцеле встречается с частотой 2- 2,5%; при этом у девочек наблюдается в 2-4 раза чаще, чем у мальчиков. Обычно заболевание диагностируется уже в детском возрасте, реже – у взрослых. Патология часто сопровождается удвоением мочеточников.
Причины уретероцеле
В большинстве случаев уретероцеле вызывается врожденным сужением устья мочеточника и удлинением его интрамурального сегмента, обусловленным дефицитом мышечных волокон в дистальном отделе мочеточника. По мнению исследователей, данный порок связан с нарушением иннервации нижних отделов мочеточника и прилежащих тканей. Приобретенное уретероцеле чаще развивается вследствие ущемления мочевого камня в интрамуральном сегменте мочеточника.
Патология всегда сопровождается нарушением оттока мочи из мочеточника, повышением гидростатического давления, перерастяжением стенки мочеточника и ее выбуханием во внутрипузырный отдел мочевого пузяря. Полость уретероцеле ограничена стенками мочеточника и расслоившейся стенкой мочевого пузыря. Обычно в кисте содержится гнойная моча, конкременты; реже – водянистое или кровянистое содержимое.
Нарушение процесса мочевыделения приводит к застою мочи в почечной лоханке (гидронефрозу), микробному инфицированию, развитию цистита и пиелонефрита, образованию мочевых камней в уретероцеле, а в последующем – к нефросклерозу и утрате функции почки.
Классификация
Уретероцеле может быть односторонним или билатеральным (двусторонним), расположенным в обоих мочеточниках. Различают уретероцеле простое (в нормально расположенном мочеточнике), пролабирующее и эктопическое. Пролабирующее (выпадающее) уретероцеле у девочек может выходить через мочеиспускательный канал наружу в виде образования темно-багрового цвета, часто покрытого изъязвленной слизистой оболочкой.
Пролабирующая уретеровезикальная киста у мальчиков выпадает в простатический отдел уретры, вызывая острую задержку мочеиспускания. Эктопическое уретероцеле локализуется в атипично расположенном мочеточнике, открывающемся в уретру, преддверие влагалища, дивертикул мочевого пузыря и т. д. Иногда встречается слепо заканчивающееся уретероцеле.
По этиологии заболевание может быть первичным (врожденным) или вторичным (приобретенным). Выделяют 3 степени врожденной патологии. При 1 степени имеется незначительное расширение внутрипузырного отдела мочеточника, не приводящее функциональным изменениям верхних мочевых путей. Уретероцеле 2 степени имеет большие размеры и приводит к развитию уретерогидронефроза. При 3 степени, кроме уретерогидронефроза, возникают значительные нарушения функция мочевого пузыря.
Основными проявлениями болезни служат болевой синдром и нарушение характера мочеиспускания. Уретероцеле большого объема может занимать значительную часть мочевого пузыря и ограничивать его объем, сопровождаясь учащением мочеиспускания и выделением мочи малыми порциями. В случае перекрытия таким выпячиванием устья другого мочеточника, развивается тотальное нарушение оттока мочи из почек – острый гидронефроз, проявляющийся приступообразными болями по типу почечной колики. У женщин при опущении уретероцеле в уретру возможно развитие полной задержки мочи.
Осложнения
Осложнением уретероцеле у женщин может стать его пролабирование с выходом наружу при попытке мочеиспускания. Выпадение уретероцеле носит интермиттирующий характер и вправляется самостоятельно. В некоторых случаях выпавшая киста может ущемляться в уретре и некротизироваться. У пациентов наблюдаются постоянные рецидивирующие инфекции (хронический цистит и пиелонефрит), сопровождающиеся пиурией, лихорадкой, болезненным мочеиспусканием с дурно пахнущей мочой, иногда гематурией.
Диагностика
Уретероцеле обычно выявляется врачом-урологом в ходе расширенного урологического обследования по поводу рецидивирующих инфекций мочевых путей. В общих анализах мочи, как правило, обнаруживаются лейкоциты, гной, эритроциты. Бактериологическое исследование мочи выявляет характерную для мочевых инфекций микрофлору. УЗИ мочевого пузыря позволяет визуализировать уретероцеле в виде округлого тонкостенного жидкостного образования, выбухающего на стенке мочевого пузыря. При УЗИ почек обнаруживается одно- или двусторонняя гидронефротическая трансформация органа.
С помощью лучевых исследований (цистографии и экскреторной урографии) удается получить четкую рентгенологическую картину уретероцеле. По рентгенограммам определяется наличие пузырно-мочеточникового рефлюкса в смежный и противоположный мочеточник, дефект наполнения мочевого пузыря, булавовидное расширение (иногда эктопия) дистального сегмента мочеточника. Достоверное выявление уретероцеле и осмотр производится в ходе цистоскопии. При эндоскопическом осмотре образование имеет вид кистообразного выпячивания внутрипузырной части мочеточника с суженным устьем.
Лечение патологии может быть только хирургическим – реконструктивным или ораноудаляющим. Перед операцией проводится противомикробная терапия, направленная на купирование инфекции мочевых путей. При нефункционирующей почке или ее части показана нефрэктомия или частичная нефрэктомия с иссечением уретероцеле и реимплантацией верхнего сегмента мочеточника в лоханку, а нижнего - в мочевой пузырь (уретероцистоанастомоз).
При сохранных функциях почки производят эндоскопическое рассечение уретероцеле с формированием устья мочеточника по антирефлюксной методике. Трансуретральное эндоскопическое рассечение устья приводит только к ликвидации обструкции мочеточника, но не устраняет самого уретероцеле. Осложнения хирургического лечения, как правило, связаны с развитием пузырно-мочеточникового рефлюкса, кровотечения, обострения пиелонефрита, рубцового сужения анастомозов.
Читайте также:
- Показания для операции при несостоятельности тотального эндопротеза голеностопного сустава (операции спасения)
- Заболевания пищевода. Боли в грудной клетке при заболеваниях пищевода.
- Рефлексы эмбриона. Мозжечок и его функции у плода
- Рассекающий остеохондрит (РО): атлас фотографий
- Клиника алкогольной кардиомиопатии. Алкогольное поражение сердца на ЭКГ
