КТ при метастазе в тонкую кишку
Добавил пользователь Владимир З. Обновлено: 20.12.2025
Метастазы в брюшине могут развиться при всех злокачественных процессах, но при раке яичников и желудка — это типичная и самая частая локализация. В большинстве случаев метастазирование в брюшной полости отсекает возможность радикального хирургического лечения, только больные раком яичников находятся в выигрышном положении — их активно и результативно оперируют.
Механизм формирования метастазов
Механизм образования метастазов — одна из основополагающих характеристик злокачественного процесса. Метастатический узел образуется из одной злокачественной клетки, получившей способность жить без помощи материнской опухоли и выживать на удалении от неё. К путешествию по организму злокачественную клетку понуждают образующиеся в ней и в её окружении специфические белковые комплексы — факторы роста опухоли.
В кровеносном и лимфатическом русле больного раком циркулирует огромное число злокачественных клеток, 99.9% которых погибает. Мизерное число злокачественных клеток находит приют в небольших сосудах разных органов, образуя там фиксированный раковый эмбол. По какому-то сигналу начинается размножение раковых клеток, образующих микроскопическое злокачественное сообщество, разъедающее стенку сосуда своими ферментами. Дальше клеточная группа внедряется в здоровую ткань, чтобы сначала стать микрометастазом, а после и клинически определяемым метастатическим узлом.
Пути распространения метастазов
Серозные листки организма, к которым относятся брюшина, плевра и сердечная сумка — перикард восприимчивы к опухолевым клеткам, которые попадают на них несколькими путями:
- в разветвленную сеть кровеносных сосудов внутренних органов раковые эмболы приносятся с кровотоком — гематогенное метастазирование;
- лимфатическая сеть брюшины вырабатывает влагу для исключения трения внутренних органов при дыхательных движениях, создавая отличные условия для приживления заносимых лимфой злокачественные клеток — лимфогенное метастазирование;
- лимфогематогенный путь предполагает сочетанное действие двух описанных патогенетических механизмов;
- клетки отрываются от ракового конгломерата внутреннего органа и путешествуют вместе с внутрибрюшной жидкостью, контактно внедряясь в подходящий по условиям участок серозной оболочки — это имплантационный вид распространения.

Гематогенный и лимфогенный пути распространения метастазов

Распространение метастазов в брюшной полости
В большинстве случаев действуют все механизмы метастазирования.
Способы диагностики метастазов
Диагностика зависит от анатомической области:
- метастатические образования в коже и мягких тканях определяются на ощупь — при пальпации, их границы хорошо видны при УЗИ;
- в легких метастазы находят при рентгене, КТ и МРТ, также и в костях, но совсем крошечные очаги обнаруживают только при сцинтиграфии;
- в органах брюшной полости метастазы обнаружат УЗИ, КТ и МРТ, в желудочно-кишечном тракте большую пользу приносят эндоскопические методы обследования;
- очаговые метастатические образования в головном мозге выявляет МРТ и КТ;
- в любом месте опухолевый очаг найдет изотопное исследование — ПЭТ.

Какой рак может дать метастазы в брюшину?
Любой рак может осложниться метастазами в брюшину, но самый высокий процент отмечается при карциномах яичников, желудка, толстой кишки и поджелудочной железы.
Уже на 1-2 стадиях карциномы яичников в брюшной полости находят свободно циркулирующие раковые клетки, при 3 стадии на листках брюшины развиваются видимые метастазы разных размеров.
При карциномах всех других органов метастазы переводят процесс в неоперабельный и констатируется 4 стадия, радикальное лечение невозможно, но при случае и с пользой для пациента может выполнятся циторедукция — удаление всех видимых опухолевых образований.
Симптомы возникновения метастаз в брюшине
Клинические проявления внутрибрюшинного метастазирования часто протекают скрытно — где-то кольнуло, что-то потянуло, какая-то непонятная слабость. Симптомы появляются при значительном увеличении живота в размере за счёт образования в полости избыточного количества жидкости — асцита. Опухолевые узлы на листках брюшины находят только при УЗИ, КТ или МРТ.

Канцероматоз брюшины, компьютерная томография
Нередко прогрессирующее опухолевое поражение брюшины так и остается бессимптомным, на первый план выходят признаки накопления внутрибрюшной жидкости и вызываемые асцитом симптомы сердечно-легочной недостаточности: одышка, отеки нижней половины тела, застой в легких, кашель, нарушение сердечной деятельности, слабость. Болевой синдром, как правило, очень слабый.
Лечение метастаз в брюшине
Системная химиотерапия помогает при чувствительных к цитостатикам злокачественных процессах: раке молочной железы, лимфомах. Карциномы органов желудочно-кишечного тракта неактивно отзываются на лекарственное лечение, но нельзя не использовать возможность их уменьшения, особенно при агрессивных быстро прогрессирующих процессах.
При раке желудка предлагается 18 недель химиотерапии, при опухоли толстой кишки — не менее 4 месяцев, при панкреатической карциноме — до прогрессирования заболевания. Схема определяется состоянием пациента, тяжелым больным проводится симптоматическое лечение при необходимости с эвакуацией асцита.

Повысить противоопухолевый эффект химиотерапии удается при локальном введении цитостатика — внутрибрюшинно. При необходимости частых введений цитостатика внутрь полости устанавливается порт-система, исключающая тягостные симптомы классического лапароцентеза. Сложности неизбежны, поскольку постоянная выработка асцитической жидкости снижает концентрацию химиопрепарата, а тяжесть состояния ограничивает спектр цитостатиков.
Что делать, если пошли метастазы в брюшной полости?
При раке яичников с сохраненной подвижностью опухолевого конгломерата в малом тазу обязательно предложат циторедуктивную операцию, при которой убирается всё опухолевое, что можно удалить, и метастатические узелки буквально срезаются с брюшины. Цель циторедукции — удалить всю злокачественную ткань по максимуму, узелки меньше сантиметра эффективно уничтожаются лекарствами. Далее больной предстоит длительная химиотерапия с производными платины и таксанами.
При других нозологических формах рака метастазирование отрезает путь к радикальной операции, только паллиативные вмешательства по поводу осложнений и создания обходящих опухоль путей для беспрепятственного движения пищевых или каловых масс, больному предстоит системная и локальная — внутрь брюшной полости химиотерапия.

Особенно эффективна технология лечения метастазов HIPEC с локальной доставкой цитостатика непосредственно к опухоли на фоне такого же локального повышения температуры — гипертермии, поэтому второе название методики ХТ «гипертермическая интраперитонеальная». Раковые клетки убивает синергизм повышенной и не снижающейся концентрации химиопрепарата и высокой температуры на фоне совершенно уникального действия HIPEC — доставки противоракового лекарства внутрь метастатических узлов.

Гипертермическая интраперитонеальная химиотерапия (HIPEC)

Прогноз при метастазах в брюшине
Прогноз определяется чувствительностью злокачественных клеток к лекарствам, но в любом случае метастазирование по брюшине относится к самым неблагоприятным, исключая рак яичников. При карциномах кишки, когда удаётся провести паллиативную операцию и максимально удалить метастатические новообразования, трёхлетняя выживаемость приближается к 20%, 2 года переживает только каждый третий. Проведение химиотерапии улучшает выживаемость, но она хуже, чем при метастазах другой локализации.
В нашей клинике никогда не отступают перед раком, предлагая пациенту оптимальные и все известные онкологии методики противоопухолевого воздействия. Мы не ограничиваемся одним оружием, используя комбинацию лекарств, паллиативных вмешательств и неинвазивных методик. Наша цель — сохранить и улучшить жизнь наших пациентов, и нам это удается.
КТ при метастазе в тонкую кишку
Гематогенное метастазирование в тонкую кишку из очага первичного печеночно-клеточного рака у пациента 63 лет с анемией.
(а) При КТ в коронарной проекции в тонкой кишке визуализируется округлое гиперваскуляризованное полиповидное образование (стрелки). Отмечается кишечно-кишечная инвагинация, обусловленная метастатическим поражением тонкой кишки.
(б) Фотография макропрепарата: три полиповидных новообразования с центральным изъязвлением. Метастазы в тонкой кишке у мужчины 63 лет, которому год тому назад выполнена правосторонняя гемиколэктомия по поводу рака ободочной кишки.
При КТ в коронарной проекции визуализируется поражающая брюшину опухоль (стрелка), сдавливающая петлю тонкой кишки и вызывающая непроходимость.
Отмечаются наполненные жидкостью расширенные петли тонкой кишки и «симптом фекалий в тонкой кишке» (звездочка).
На пораженной брюшине выявляются множественные узелки (указатели).
Среди органов желудочно-кишечного тракта метастазы чаще всего встречаются в тонкой кишке. Первичные опухоли ободочной кишки, поджелудочной железы, желудка и яичников могут распространятся на тонкую кишку путем прямой инвазии или по брюшине. В тонкую кишку гематогенным путем могут метастазировать рак молочной железы, рак легких и меланома.
Метастазы в тонкой кишке могут приводить к непроходимости, перфорации, завороту и кишечному кровотечению. К типичным макроскопическим признакам можно отнести множественность поражения, доминирование экстрамурального компонента и подслизистое и субсерозное прорастание опухоли. При поражении тонкой кишки путем распространения по брюшине отмечается утолщение кишечной стенки, инфильтрация брыжеечной жировой клетчатки и патологическое утолщение большого сальника.
В случае гематогенного распространения метастатические опухоли представляют собой округлые или полиповидные образования с гладкой поверхностью, расположенные в области свободного края кишки. Гладкая или грибовидная интралюминальная опухоль с изъязвлением, как правило, определяется как «мишеневидное поражение». Визуализационные характеристики метастазов тонкой кишки могут не давать специфической информации о расположении первичной опухоли. Проведение КТ, МРТ или ПЭТ всего тела может быть информативным при поиске первичной опухоли.
1. Диагностика злокачественных опухолей тонкой кишки является сложной задачей лучевой диагностики.
2. Аденокарцинома — наиболее распространенный вид первичных злокачественных опухолей тонкой кишки. Важным фактором риска развития аденокарциномы тонкой кишки является болезнь Крона. Трудно провести дифференциальный диагноз между аденокарциномой, осложняющей болезнь Крона, и воспалительным поражением при болезни Крона.
3. Нейроэндокринные опухоли тонкой кишки чаще всего локализуются в дистальном отделе подвздошной кишки и в 25% случаев являются множественными. В большинстве случаев выявляются слизисто-подслизистые узелки и десмопластическая реакция.
4. Большинство ГИСО тонкой кишки представляет собой крупные опухоли с экзофитным типом роста. Крупные ГИСО часто имеют внутренние участи некроза и кровоизлияний. После лечения препаратами направленного действия в первичной опухоли и метастатических поражениях могут выявляться кистозные изменения.
5. При лимфомах тонкой кишки чаще поражается терминальный отдел подвздошной кишки. Лимфома тонкой кишки обычно представляет собой циркулярно инфильтрирующую опухоль, которая может сопровождаться аневризматической дилатацией пораженного просвета.
6. К механизмам метастатического поражения тонкой кишки относятся прямая инвазия, распространение по брюшине, а также гематогенный и лимфатический пути. Для гематогенных метастазов характерны иножественные округлые полиповидные образования с центральным изъязвлением — «мишеневидные поражения».
Рентгенограмма, КТ при раке тонкой кишки
а) Определение:
• Первичная аденокарцинома тонкой кишки (исключая двенадцатиперстную):
о Рак двенадцатиперстной кишки имеет больше общих черт с раком желудка
о Рак тонкой кишки больше напоминает карциному ободочной кишки
б) Визуализация:
1. Общая характеристика:
• Лучший диагностический критерий:
о Объемное образование, обусловливающее циркулярное или эксцентрическое сужение просвета, инвагинацию или обструкцию
• Локализация:
о В тощей кишке в пределах 30 см от связки Трейтца:
- В подвздошной кишке (меньше 15%)
о В двенадцатиперстной кишке (если относить ее к тонкой) рак возникает чаще всего (более 50%)
2. Рентгенография при раке тонкой кишки:
• Рентгеноскопия (энтероклизма):
о Инфильтративный тип опухоли характеризуется возникновением поражений по типу «огрызка яблока» или циркулярных:
- Четко отграниченное, циркулярное сужение просвета на коротком участке
- Неравномерное сужение просвета, подрытые края, возможно наличие язвы
- Узкая ригидная стриктура с престенотической дилатацией - Полиповидная опухоль на широком основании: растет в виде небольшой бляшки
о Полипоидная аденокарцинома на ножке (встречается редко)

(Слева) На аксиальной КТ с контрастным усилением у женщины 47 лет определяется опухолевидное утолщение стенки проксимальных отделов тощей кишки.
(Справа) На корональной КТ с контрастом у этой же пациентки определяется утолщение стенки тощей кишки на ограниченном участке. Обратите внимание, что просвет двенадцатиперстной кишки и желудка растянут и заполнен жидкостью из-за обструкции кишечника, обусловленной опухолью. При исследовании резектата, полученного во время операции, подтвердилась аденокарцинома.
3. КТ при раке тонкой кишки:
• Циркулярные, язвенные поражения или отдельно лежащее узловое образование
• Циркулярное утолщение стенки, возможно, с инвазией в брыжейку
• Мягкотканное объемное образование, возможно, в сочетании с сужением просвета и обструкцией
• Часто имеет место инвагинация
• Возможно увеличение брыжеечных лимфоузлов, периваскулярная инвазия
• Опухоль умеренно накапливает контрастное вещество на КТ
• Возможно наличие метастазов в печени, брюшине, яичниках
4. Рекомендации по визуализации:
• Лучший метод диагностики:
о Рентгеноскопия или КТ после введения контрастного вещества в тонкую кишку посредством клизмы, КТ с мультипланарным реформатированием

(Слева) На рентгенограмме, полученной во время исследования пассажа бариевой взвеси по тонкой кишке, определяется стриктура терминальных отделов подвздошной кишки в виде «огрызка яблока» с сужением просвета, деструкцией слизистой оболочки и подрытыми краями. Эти изменения являются классическими признаками первичного рака тонкой кишки.
(Справа) На рентгенограмме, выполненной во время исследования пассажа контраста по тонкой кишке, визуализируется объемное образование В тощей кишки с наличием характерных признаков первичного рака тонкой кишки: узловидно утолщенных складок, деструкции слизистой оболочки и сужения просвета. Определяется дилатация отделов кишечника, расположенных выше уровня опухоли.
в) Дифференциальная диагностика рака тонкой кишки:
1. Метастазы в стенке тонкой кишки и лимфома:
• Лимфома:
о Массивное объемное образование, сужение просвета или аневризматическая дилатация
о Обычно сочетается с массивной брыжеечной лимфаденопатией
• Метастазы:
о Обычно от меланомы, рака легкого, молочной железы или шейки матки
о У пациентов с выявленной ранее раковой опухолью обычно обнаруживаются множественные метастазы
2. ГИСО тонкой кишки:
• Крупное, более экзофитное образование с центральным некрозом
• Слизистая оболочка может быть изъязвлена или интактна
• Может обнаруживаться кавитация, а также аневризматическая дилатация просвета
3. Карциноидная опухоль:
• Гиперваскулярное подслизистое объемное образование с инвазией в брыжейку
• Первичную опухоль часто выявить сложнее, чем метастазы
• Новообразование брыжейки: кальцификация и десмопластическая реакция
• Чаще возникаете подвздошной кишке 4. Болезнь Крона:
• Поражает обычно дистальные отделы подвздошной кишки с утолщением стенки на протяженном участке
• Контрастное усиление слизистой оболочки, подслизистый отек
• Чередование пораженных и сохранных сегментов кишки, изменения со стороны всех слоев стенки, свищи, затеки, трещины
г) Патология. Общая характеристика:
• Этиология:
о Наиболее вероятно, развивается из аденомы, как и колоректальный рак
• Генные изменения:
о Мутации в ключевых генах-регуляторах (KRAS и ТР53)
• Ассоциированные патологические изменения:
о Целиакия взрослых, болезнь Крона, синдром Пейтца-Егерса, полипозы, врожденный неполипозный колоректальный рак:
- Все эти заболевания связаны с повышением частоты возникновения рака тонкой кишки
- Врожденные синдромы связаны с повышением риска возникновения приблизительно в 100 раз
д) Клинические особенности:
1. Проявления рака тонкой кишки:
• Наиболее частые признаки/симптомы:
о Боль в животе/признаки обструкции, или их сочетание (90%) о Признаки кровотечения, анемии
2. Демография:
• Возраст: преимущественно старшая возрастная группа (50-70 лет)
• Пол: М > Ж (1,4:1)
• Эпидемиология:
о Распространенность: 0,5-3 на 100 000 человек
о 2/3 всех опухолей тонкой кишки являются злокачественными
о Злокачественные опухоли тонкой кишки составляют - Рак (25-40%), карциноид (30-40%), ГИСО (10-15%), первичная лимфома тонкой кишки (10-15%)
о Рак ободочной кишки возникает в 50 раз чаще, чем рак тонкой
3. Течение и прогноз:
• Осложнения:
о Обструкция тонкой кишки, инвагинация, желудочно-кишечное кровотечение, перфорация (редко)
о Метастазы в печени, легких, костях, головном мозгу
• Прогноз:
о Пятилетняя выживаемость: при раке тощей кишки составляет 46%, при раке подвздошной кишки-20%
4. Лечение:
• Резекция (локализованный), химиотерапия (распространенный)
а) Определения:
• Метастазы в стенке тонкой кишки из первичной опухоли внекишечной локализации
• Лимфома: злокачественная опухоль из В-лимфоцитов:
о Первичная лимфома тонкой кишки ограничена кишкой и, возможно, брыжеечными лимфоузлами
о Вторичная или генерализованная лимфома характеризуется поражением селезенки, печени, либо грудных лимфоузлов
1. Рентгенография при метастазе в стенку тонкой кишки и лимфоме тонкой кишки:
• Метастазы в стенке тонкой кишки
• Рентгеноскопические исследования с бариевым контрастом (верхних отделов ЖКТ, исследование пассажа бариевой взвеси по тонкой кишке, бариевая клизма):
о Исследованием тонкой кишки, позволяющим выявить как можно больше деталей, является энтероклизма (осуществляемая путем введения трубки в тонкую кишку с последующим растяжением ее просвета)
о Позволяет получить наиболее детализированную информацию о поражении слизистой оболочки и интрамуральном распространении опухоли:
- Не столь применима в случае опухоли, растущей наружу, вне просвета
• Метастазы злокачественной меланомы в тонкой кишке:
о Единичное образование или множественные дискретные подслизистые образования
о Поражения в виде «бычьего глаза» или «мишени» с наличием центральной язвы
• Метастазы рака легкого и молочной железы:
о Являются скиррозными опухолями, имеют тенденцию к обструкции просвета
• Интраперитонеальное метастазирование, например, первичных опухолей яичника и ЖКТ:
о Метастазы в серозную оболочку обусловливают формирование конгломератов и фиксацию петель тонкой кишки с развитием функциональной обструкции
о Отсутствует перистальтика пораженных сегментов
• Лимфома тонкой кишки:
о Характеризуется наличием объемных образований в стенке кишечника и в брыжейке без обструкции тонкой кишки
о А также гепатоспленомегалией либо фокальными образованиями в печени и селезенке
о Инфильтративная форма лимфомы (самый частый вариант):
- Циркулярное утолщение и сглаживание складок
- Просвет кишки может быть сдавлен или растянут (по типу аневризматической дилатации):
Вследствие замещения мышечной оболочки субстратом лимфомы
Лимфома обычно не вызывает значительную обструкцию кишечника
о Полипоидная форма лимфомы:
- Единичное образование либо множественные образования в слизистой оболочке либо подслизистой основе
- Поражения в виде «мишени» либо «бычьего глаза» (в случае центральной язвы)
- Редкий лимфоматозный полипоз (из фолликулярных клеток мантии)
о Узловая форма лимфомы:
- Множественные мелкие подслизистые узловые дефекты о Трансмуральная (кавитирующая) форма: перфорация на ограниченном участке с выходом в ткани, расположенные вне просвета кишечника:
- С заполнением полости, расположенной вдоль брыжеечного края тонкой кишки, бариевым контрастом, газом, дебрисом
- ± язвы, свищи, аневризматическая дилатация

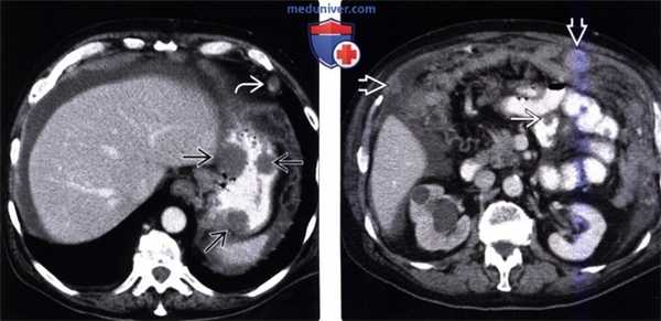
(Слева) На аксиальной КТ с контрастом у мужчины 69 лет, у которого ранее была обнаружена распространенная меланома, визуализируются типичные диссеминированные метастазы меланомы, вт. ч. в стенке желудка и лимфоузлах. Метастазы в стенке желудка могут изъязвляться, принимая вид «мишени» либо «бычьего глаза».
(Справа) На КТ у этого же пациента визуализируются распространенные метастазы, в т. ч. в тонкой кишке, лимфоузлах и сальнике в виде узлов и диффузного поражения этих органов. Определяется также обструкция правого мочеточника из-за его вторичного поражения.
2. КТ при метастазе в стенку тонкой кишки и лимфоме тонкой кишки:
• Изменения лучше визуализируются при растяжении тонкой кишки водой:
о КТ-энтерография (МПР) является наилучшим методом исследования
• Метастазы в стенке тонкой кишки:
о Метастазы злокачественной меланомы:
- Дискретные узлы в стенке кишки в виде «бычьего глаза» или «мишени»:
Накапливают контраст, выбухают в просвет, вызывают утолщение стенки тонкой кишки на ограниченном участке
- Объемные образования в брыжейке тонкой кишки, органах брюшной полости и т. д.
- Подслизистые образования с бугристыми краями или гигантские кавитирующие образования (аневризматическая дилатация)
- Большое объемное интрамуральное образование, не обусловливающее обструкцию, скорее всего, является меланомой или лимфомой, но не карциномой
- Может становиться причиной развития инвагинации
о Метастазы рака легкого и молочной железы:
- Плоские или полиповидные интрамуральные образования, вызывающие компрессию тонкой кишки или обструкцию ее просвета
- Имитируют первичный рак тонкой кишки
о Прямая инвазия:
- При раке головки поджелудочной железы: утолщение стенки или циркулярное сужение просвета двенадцатиперстной кишки
- При раке женских половых органов: поражение дистальных отделов подвздошной кишки
о Интраперитонеальные метастазы:
- Метастазы в серозную оболочку обусловливают появление конгломератов петель тонкой кишки, плотно прилежащих друг к другу
- Вызывают функциональную либо механическую обструкцию тонкой кишки
- Жировая клетчатка брыжейки принимает «лучистый» вид из-за инфильтрации
- Метастазы рака яичника: образования в брыжейке либо в сальнике, а также в стенке тонкой кишки в сочетании с солидным либо кистозным образованием в тазу (возможно, также с наличием обызвествлений)
• Лимфома тонкой кишки:
о Чаще всего встречается инфильтративная форма лимфомы:
- Циркулярный тип: образование в виде «сосиски» однородной плотности с минимальным контрастным усилением
- Аневризматическая дилатация просвета тонкой кишки
о Полиповидная форма: поражения в виде «бычьего глаза» или «мишени»
о Поражение брыжейки:
- Забрюшинная и брыжеечная лимфаденопатия свидетельствует в пользу лимфомы
- Симптом «сэндвича»: множественные образования, минимально накапливающие контраст, дискретного или сливного характера, охватывающие брыжеечные сосуды
3. Рекомендации по визуализации:
• Лучший метод диагностики:
о С целью выявления распространенности заболевания в целом: КТ-энтерография и мультипланарное реформатирование
о Рентгеноскопия (энтероклизма) для оценки опухоли, поражающей слизистую оболочку и (незначительно) стенку кишечника

(Слева) На корональном КТ срезе у пожилого мужчины с жалобами на лихорадку, потливость по ночам и снижение веса тела определяются мягкотканные метастазы, окружающие тонкую кишку и брыжеечные сосуды, но не вызывающие их обструкцию.
(Справа) На другом корональном срезе у этого же пациента визуализируется больший объем доминирующего образования наряду с распространенной брыжеечной лимфаденопатией. Образование было верифицировано как неходжкинская лимфома.
в) Дифференциальная диагностика метастаза в стенку тонкой кишки и лимфомы тонкой кишки:
1. Первичный рак тонкой кишки:
• Солитарное образование тонкой кишки с наличием признаков ее обструкции
2. Кровоизлияние:
• Вследствие приема варфарина (кумадина), повреждения
• Ограниченное скопление крови может выглядеть как интрамуральное образование
3. Васкулит тонкой кишки:
• Обусловливает контрастное усиление слизистой оболочки и подслизистый отек и не сочетается с утолщением стенки кишки неопластического характера
4. Болезнь Крона:
• Сегментарное накопление контраста слизистой оболочкой и подслизистый отек
• Брыжеечная лимфаденопатия, фиброзно-жировая пролиферация
5. Другие воспалительные состояния (болезнь Уиппла):
• Утолщение складок проксимальных отделов тонкой кишки, утолщение брыжейки, лимфаденопатия
• Мелкие узелки в тощей кишки при энтероклизме

(Слева) На аксиальной КТ с контрастным усилением у пациента с меланомой, у которого наблюдалось снижение веса и появилась диарея, визуализируются большие, изъязвленные образования в сочетании с аневризматическим расширением просвета тонкой кишки, в то же время, не определяется признаков тонкокишечной обструкции.
(Справа) На аксиальной КТ с контрастным усилением, выполненной женщине, у которой ранее был обнаружен рак молочной железы, определяется расширение желудка и двенадцатиперстной кишки с резким сужением просвета ее третьей части, обусловленное образованием в стенке. Во время операции был подтвержден метастаз рака молочной железы.
г) Патология. Общая характеристика:
• Этиология:
о Метастазы в стенке тонкой кишки:
- Злокачественная меланома чаще метастазирует в тонкую кишку, чем рак молочной железы, легкого, яичника
- Также метастазирует в тонкую кишку рак аппендикса, поджелудочной железы, ободочной кишки; редко сообщается о метастазах карциноидной опухоли
о Лимфома тонкой кишки:
- Первичная: неходжкинская (В-клеточная) лимфома встречается чаще всего:
Представлена крупноклеточным или иммунобластным типами высокой степени злокачественности, в 30-50% заболевание локализуется в лимфоузлах брыжейки
- Вторичная (генерализованная) лимфома:
Кишечник является одним из многих поражаемых лимфомой органов
- Лимфома, ассоциированная с энтеропатией (целиакией)
• Ассоциированные патологические изменения:
о Первичное опухолевое образование у пациентов с метастазами в тонкой кишке
о Генерализованная лимфаденопатия и спленомегалия у пациентов со вторичной лимфомой
1. Проявления метастаза в стенку тонкой кишки и лимфомы тонкой кишки:
• Наиболее частые признаки/симптомы:
о Обычно выявляется при стадировании первичного рака или лимфомы
о Боль, снижение веса, пальпируемое объемное образование; кроме того, заболевание может протекать бессимптомно
о Мальабсорбция, диарея
о Острый живот: обструкция, перфорация
2. Демография:
• Возраст:
о Чаще всего страдают пожилые люди
о У детей при лимфоме Беркитта вовлекается илеоцекальная область
• Эпидемиология:
о Чаще всего метастазы появляются у пациентов с меланомой
- Кроме того, метастазировать в тонкую кишку также может рак легкого, молочной железы, яичника и других органов
о Лимфома тонкой кишки:
- Наиболее частая злокачественная опухоль тонкой кишки, если учитывать и первичную, и вторичную формы:
Лимфома составляет 50% всех злокачественных опухолей тонкой кишки, но только 10-15% всех первичных злокачественных опухолей этой локализации
- Чаще встречается у пациентов со сниженным иммунитетом (например, у реципиентов трансплантатов, ВИЧ-инфицированных) или страдающих целиакией
- Тонкая кишка является вторым по частоте отделом ЖКТ, где обнаруживается первичная лимфома:
Желудок (51%), тонкая кишка (33%), ободочная кишка (16%), пищевод (менее 1%)
3. Течение и прогноз:
• Метастазы в стенке тонкой кишки:
о Метастатическое поражение тонкой кишки может происходить различными путями:
- Гематогенный путь:
Меланома, рак легкого и молочной железы
Меланома чаще всего дает метастазы в легкие и печень, затем в тонкую кишку и брыжейку
Рак молочной железы чаще метастазирует в желудок, двенадцатиперстную кишку и ободочную кишку, поражение тонкой кишки менее типично
Метастазы меланомы, рака молочной железы и легкого могут возникать спустя много лет после удаления первичной опухоли
- Лимфогенный путь метастазирования характерен для рака ободочной кишки, рака яичника, молочной железы и легкого, карциноидной опухоли и меланомы
- Прямая опухолевая инвазия:
При раке головки поджелудочной железы: во вторую или третью часть двенадцатиперстной кишки
При раке слепой кишки или органов женской половой системы: в дистальные отделы подвздошной кишки
- Интраперитонеальная диссеминация (канцероматоз):
Обусловлена первичными муцинозными опухолями яичника, червеобразного отростка, ободочной кишки
Диссеминация происходит путем естественного тока и накопления асцитической жидкости в карманах брюшины с формированием имплантов раковых клеток в серозной оболочке
Наиболее частые области возникновения вторичных очагов: илеоцекальная область, брыжейка тонкой кишки, дугласов карман
• Осложнения: кровотечение, перфорация, обструкция
• Прогноз: неблагоприятный
4. Лечение:
• Резекция пораженных участков, которые являются источниками кровотечения: резекция перфорированных или аневризматически расширенных участков кишечника
е) Диагностическая памятка:
1. Следует учесть:
• Наличие первичной опухоли в анамнезе либо прием иммуносупрессоров
2. Советы по интерпретации изображений:
• Рентгеновские признаки метастазов в тонкой кишке, лимфомы и первичного рака могут перекрываться
• Значение лучевых методов визуализации состоит в возможности заподозрить, а затем и стадировать злокачественное образование
ж) Список использованной литературы:
1. Baderca F et al: Mucosal melanomas in the elderly: challenging cases and review of the literature. Clin Interv Aging. 9:929-37, 2014
2. Hus T et al: Incidence of malignancies in diagnosed celiac patients: a population-based estimate. Am J Gastroenterol. 109(9): 1471-7, 2014
3. Masselli G et al: Small-bowel neoplasms: prospective evaluation of MR enteroclysis. Radiology. 251 (3):743-50, 2009
4. Buckley О et al: The imaging of coeliac disease and its complications. Eur J Radiol. 65(3):483-90, 2008
5. Sailer J et al: MDCT of small bowel tumours. Cancer Imaging. 7:224-33, 2007
6. Gore RM et al: Diagnosis and staging of small bowel tumours. Cancer Imaging. 6:209-12, 2006
Рак кишечника с метастазами
Метастазирование — это процесс распространения раковых клеток из первичного очага с током крови и лимфы в различные органы. При раке толстой кишки метастазы чаще всего обнаруживаются в печени и легких, реже — в брюшине, головном мозге, других органах. Если в ходе обследования выявлены вторичные очаги, у пациента диагностируют рак четвертой стадии. Прогноз при этом сильно ухудшается. Ремиссия, как правило, становится невозможна. Но существуют методы лечения, которые помогают увеличить продолжительность жизни, избавить от мучительных симптомов.
Рак кишечника может быть изначально диагностирован на четвертой стадии. В других случаях метастатические очаги могут быть обнаружены спустя некоторое время после того, как завершено лечение. Это говорит о том, что произошел рецидив.
Почему и как возникают метастазы при раке кишечника?

Метастазирование злокачественных опухолей — сложный, процесс, его причины и механизмы до конца не изучены. В нем выделяют несколько стадий:
- Раковая клетка отрывается от первичного очага и проникает через стенку кровеносного или лимфатического сосуда.
- Раковая клетка мигрирует с током лимфы или крови.
- Затем она «застревает» в сосудах небольшого диаметра. Некоторые исследования показали, что в этом процессе играет важную роль не только диаметр сосуда, но и скорость кровотока в нем.
- Опухолевая клетка проникает через стенку кровеносного сосуда в окружающие ткани — в будущем они станут ее новым «местом жительства».
- В течение некоторого времени раковая клетка может «спать». Когда наступает благоприятный момент, она начинает быстро размножаться и дает начало вторичному очагу.
Опухолевые клетки могут распространяться не только через кровеносные и лимфатические сосуды, но и «расползаясь» по брюшине.
Самая большая проблема в диагностике и лечении метастатического рака кишечника и других органов в том, что метастазов обычно много, многие из них имеют микроскопические размеры и не видны на снимках, их нельзя обнаружить и удалить во время хирургического вмешательства.

Какими симптомами проявляется рак кишечника с метастазами?
Проявления зависят от того, в каком органе находятся вторичные очаги, насколько сильно они нарушают их функцию. Но существуют и некоторые общие симптомы:
- Плохое самочувствие, постоянная слабость, недомогание, повышенная утомляемость.
- Потеря аппетита.
- Необъяснимая потеря массы, вплоть до сильного истощения, кахексии.
Симптомы могут отсутствовать вообще. При этом метастазы обнаруживаются лишь во время обследования.
Как диагностируют рак кишечника с метастазами?
Обычно первичную опухоль обнаруживают с помощью колоноскопии — эндоскопического исследования, во время которого в толстую кишку через задний проход вводят специальный инструмент — колоноскоп. Если во время колоноскопии выявлено патологическое образование, врач получает фрагмент ткани из него и отправляет в лабораторию для изучения под микроскопом, молекулярно-генетического анализа. Этот метод диагностики называется биопсией, он помогает окончательно подтвердить диагноз.
Когда рак кишки подтвержден, применяют разные исследования для поиска метастазов в брюшной полости и за ее пределами:
- КТ, МРТ
- УЗИ органов брюшной полости
- ПЭТ-сканирование
- Рентгенографию грудной клетки
- Бронхоскопию
- Рентгенографию костей
- Ангиографию печени
- При необходимости проводят диагностическую лапароскопию

Метастазы рака кишки в печени
Метастазы в печени при раке толстой кишки обнаруживаются в 20–25% случаев в ходе первичного обследования и в 40% случаев после хирургического лечения первичной опухоли. При этом могут возникать такие симптомы, как желтуха, кожный зуд, увеличение живота, боль под правым ребром, отеки из-за нарушения синтеза в печени белков-альбуминов, которые обеспечивают онкотическое давление плазмы крови.
Лечение метастазов в печени при раке кишечника
За последние десятилетия в лечении метастазов печени при раке толстой кишки достигнут немалый прогресс. Расширились показания к резекции печени: если опухоль относительно небольшая и не прорастает в сосуды, ее можно удалить. Если метастатические очаги невозможно удалить хирургически, либо они рецидивировали, в некоторых случаях прибегают к радиочастотной аблации — сокращенно РЧА. Под контролем УЗИ или КТ в узел вводят специальный электрод в виде иглы и уничтожают опухолевую ткань с помощью тока высокой частоты. Проведение РЧА возможно при соблюдении некоторых условий:
- Вторичный очаг должен иметь небольшой диаметр.
- Он должен быть хорошо виден во время УЗИ и КТ.
- Очаг должен располагаться так, чтобы во время введения иглы не было риска повредить кровеносный сосуд.
- Желательно, чтобы очагов было не более 4.
Прибегают к химиотерапии — ее назначают как дополнение к хирургическому вмешательству, либо, если последнее невозможно, в качестве самостоятельного метода лечения. Химиопрепараты можно вводить не только системно (внутривенно), но и непосредственно в сосуд, питающий опухоль, с помощью катетера, проведенного через бедренную артерию через прокол в верхней части бедра. Во время химиоэмболизации в питающий опухоль сосуд вводят не только химиопрепарат, но и эмболизирующий препарат — микросферы, которые перекрывают просвет сосуда и лишают опухолевую ткань притока крови.
В некоторых случаях для разрушения небольших очагов в печени может быть применена современная технология под названием Кибернож. Специальный аппарат генерирует множество пучков рентгеновских волн. Каждый из них по отдельности слаб и не может нанести вреда тканям, но вместе они сходятся в одной точке — там, где находится опухоль, и здесь создается очень высокая доза. Она уничтожает раковые клетки.
В сочетании с химиопрепаратами или самостоятельно применяют таргетные препараты — противоопухолевые средства, которые блокируют молекулы, активирующие размножение раковых клеток и рост новых сосудов, снабжающих опухоль необходимыми веществами, кислородом. При раке кишечника, метастазировавшем в печень, применяют таргетные препараты: цетуксимаб, панитумумаб, афлиберцепт, бевацизумаб, регорафениб.

Лечение метастазов в легких при раке толстой кишки
Метастазы в легких при раке кишечника могут проявляться в виде одышки, упорного кашля, мокроты с примесью крови.
При единичных опухолях, имеющих относительно небольшие размеры, возможно хирургическое лечение. Чаще всего выполняют клиновидную резекцию легкого. Как и при метастазах в печени, прибегают к радиочастотной аблации, химиотерапии, таргетной терапии. К лучевой терапии прибегают не очень часто, как правило, ее используют для борьбы с болью и некоторыми другими симптомами.
Канцероматоз брюшины при раке толстой кишки
Если раковые клетки распространяются в брюшину, прогноз сильно ухудшается. Возникает асцит — в брюшной полости скапливается жидкость. Для борьбы с этим состоянием прибегают к лапароцентезу — в брюшной стенке делают прокол и выводят жидкость. Для постоянного оттока жидкости устанавливают перитонеальный катетер. Проводят внутриполостную химиотерапию, по показаниям выполняют хирургические вмешательства, направленные на обеспечение оттока жидкости из брюшной полости.
Средняя продолжительность жизни таких пациентов при применении классических методов лечения составляет 2–6 месяцев. Но в последние 20 лет активно развивается новый метод лечения — гипертермическая интраперитонеальная химиотерапия (HIPEC). Процедура состоит из двух этапов:
- Выполняют хирургическое вмешательство, во время которого в брюшной полости удаляют все видимые очаги. Это долгая (в среднем 6–9 часов) и сложная операция.
- Затем брюшную полость промывают химиопрепаратом, нагретым до 42–43 °C.
Метод HIPEC помог сильно увеличить выживаемость пациентов с канцероматозом брюшины.

Химиотерапия при раке толстой кишки с метастазами
При нерезектабельном раке кишечника с метастазами в качестве лечения первой линии, как правило, применяют одну из трех схем химиотерапии:
- FOLFOX: лейковорин, 5-фторурацил и оксалиплатин;
- FOLFIRI: лейковорин, 5-фторурацил и иринотекан;
- CAPEOX или CAPOX: капецитабин (Кселода) и оксалиплатин.
Эти схемы можно применять в сочетании с таргетными препаратами.
Как долго продолжают лечение? До тех пор, пока оно не перестанет помогать (опухоль снова начинает прогрессировать), либо у пациента не возникнет серьезных побочных эффектов. Главная проблема схем, включающих оксалиплатин, состоит в том, что этот препарат часто приводит к побочному эффекту в виде нейропатии — состояния, при котором беспокоит жжение, онемение в руках и ногах. Некоторые эксперты рекомендуют для профилактики этого осложнения проводить лечение препаратами первой линии в течение некоторого времени, а затем переходить на поддерживающую химиотерапию другими схемами.
Пациенту стоит заранее поговорить со своим лечащим врачом, узнать, какие препараты планируется назначить, к каким побочным эффектам они могут привести, и каков будет план действий в случае их возникновения.
Иммунотерапия
У некоторых пациентов, страдающих раком кишечника с метастазами, эффективен иммунопрепарат под названием пембролизумаб (Кейтруда). Он относится к группе блокаторов контрольных точек и ингибирует молекулу, которая подавляет работу иммунных клеток. В результате последние активируются и атакуют опухолевую ткань.
Прогноз выживаемости
Пятилетняя выживаемость при раке толстого кишечника с метастазами составляет 12%. Но с развитием новых методов лечения ситуация улучшается. Никто не может заранее точно сказать, кто из пациентов попадет в эти 12%. Надежда есть у каждого, поэтому никогда не стоит сдаваться.
Читайте также:
- Слуховые волосатые клетки кортиева органа. Чувствительные клетки кортиева органа
- Заживление проникающих ранений глазного яблока. Особенности
- Регуляция секреции поджелудочной железы. Этапы панкреатической секреции
- Лечение заворота сигмовидной кишки. Консервативное и оперативное лечение заворота сигмовидной кишки.
- Методы активации эпилептических приступов. Фотостимуляция при эпилепсии
