Лечение аспергиллеза - препараты, дозировки
Добавил пользователь Владимир З. Обновлено: 07.01.2026
Диагностика аспергиллеза. Лечение аспергиллом легких
Реакция по Оухтерлони отрицательна, кровохаркания не наблюдаются, картина крови нормальная, эозинофилы в мокроте на обнаруживаются, лишь рентгенологические изменения позволяют заподозрить такого типа аспергиллому легкого.
Омертвевший грибковый мячик ведет себя как инородное тело. Он может сморщиваться и постепенно выделиться с макротой. Такой некротический очаг иногда инфицируется и тогда при высокой вирулентности инфекции развивается картина банального абсцесса. При менее вирулентной инфекции возможно медленное расплавление «грибкового мячика», постепенное выделение с мокротой с последующим опорожнением полости, в которой была аспергиллома.
В тех же случаях, когда постепенно увеличивается отложение солей извести в аспергилломе, может с течением времени наступить ее обызвествление, что, по мнению ряда авторов, отмечается очень редко (Виллар с соавт., 1967). Такая обызвествленная аспергиллома также относится к конечной (пятой) стадии процесса.
Деление аспергиллом на указанные стадии, конечно, является условным, но, по нашему мнению, его следует считать целесообразным, т. к. оно позволяет получить более законченное представление об этом заболевании. Оно важно и в терапевтическом отношении, так как результаты противогрибковой консервативной терапии, по-видимому, будут зависить от той или иной фазы развития аспергилломы. Очевидно, такая терапия может быть эффективной в первой и второй фазах и отчасти в третьей стадии процесса, т. е. в тот период, когда «грибковый мячик» целиком или большей частью состоит из живых грибов. Между тем при гибели грибов и частичном или полном обызвествлении аспергилломы, которая в сущности превратилась в инородное тело, ожидать эффекта от противофунгозных препаратов нет основания.
В этих, как и при более ранних формах болезни, целесообразно лишь оперативное вмешательство.

Заподозрить аспергиллез побуждает длительное хроническое течение болезни, отсутствие микобактерий туберкулеза, повторные легочные кровохарканья и кровотечения, отсутствие эффекта от специфической химиотерапии и некоторые рентгеновские данные.
Лечение аспергиллеза легких представляет известные трудности, так как до настоящго времени практически нет эффективных фармакологических средств, лишь в отдельных случаях удается получить лечебный эффект от препаратов йода, высоких доз нистатина (микостатина) и амфотерицина Б.
По мнению ряда авторов, лучшее терапевтическое действие препаратов отмечается при введении их в полость. Так, Краковка и другие сообщают об успешном местном применении нистатина в виде взвеси с амфотерицином Б в изотоническом растворе глюкозы.
При изолированных аспергилломах методом выбора при отсутствии противопоказаний является оперативное вмешательство типа резекции. На нашем материале мы получили полный клинический эффект у 22 из 24 оперированных больных.
В тех случаях, когда аспергиллома развивается в старых кавернах, при двусторонних распространенных фиброзно-склеротических изменениях с выраженной недостаточностью дыхания, резекция связана с большим риском. В этих случаях более целесообразно прибегать к кавернотомии, оздоровлению полости аспергилломы с последующей ограниченной торакопластикой. Такие вмешательства, судя по литературным данным, нередко практикуются в последнее время.
На основании этих материалов и собственных наблюдений следует придти к выводу, что вопрос об аспергиллезе легких должен привлечь внимание как терапевтов, так и легочных хирургов.
Информация на сайте подлежит консультации лечащим врачом и не заменяет очной консультации с ним.
См. подробнее в пользовательском соглашении.
Лечение аспергиллеза - препараты, дозировки
Успех в терапии инвазивного аспергиллеза определяется прежде всего быстротой его диагностики и незамедлительностью, даже агрессивностью лечения. Не следует стремиться доказать этиологию (биопсия легкого) во всех случаях инвазивного аспергиллеза. Рекомендуется назначать антимикотики в адекватных дозах при подозрении на аспергиллез.
До недавнего времени препаратом выбора являлся амфотерицин В. В настоящее время синтезированы и применяются в клинической практике новые противогрибковые препараты (вориконазол, каспофунгин), эффективность которых доказана в ряде исследований.
Амфотерицин В назначают внутривенно в дозе 1,0—1,5 мг/кг в сутки, но и при таком дозировании выживаемость не превышает 50 %. Неуспехи в терапии инвазивного аспергиллеза, если исключить факторы со стороны макроорганизма, обусловлены, как правило, недостаточной концентрацией амфотерицина В в ткани легких.
В процессе терапии суммарная доза амфотерицина В не должна превышать 4—5 г, в противном случае возникают повреждения в канальцевом аппарате почек. Однако токсическое действие на почки амфотерицина В, используемого в дозе 1,5 мг/кг, появляется намного раньше допустимой суммарной дозы препарата. При повышении уровня креатинина дозы амфотерицина В снижают или урежают его введение (через 1—2 дня).
Длительная инфузия амфотерицина В (в течение 24 ч) приводит к меньшей частоте возникновения таких токсических эффектов, как повышение уровня креатинина, ознобы, лихорадка (отличия достоверные), чем короткая (в течение 4 ч).
Снизить токсическое действие амфотерицина В можно заменой его липосомальной формой (амбизом, амфолип), которую назначают в дозе по 3— 5 мг/кг в сутки. Ввиду высокой стоимости применение липосомального амфотерицина В ограничивается следующими показаниями: почечная недостаточность (уровень креатинина в сыворотке крови взрослых 221 мкмоль/л или более, детей — 133 мкмоль/л и более либо клиренс креатинина менее 25 мл/мин), неэффективность терапии амфотерицином В после применения его в суммарной дозе 7 мг/кг и более, существенное повышение уровня креатинина на фоне лечения амфотерицином В, тяжелые токсические реакции при инфузии амфотерицина В.

При аспергиллезной инвазии может применяться итраконазол. Препарат представлен в форме только для перорального назначения, стабильная концентрация в крови достигается примерно через 2 нед его применения, поэтому его нельзя назначать больным в качестве стартового лекарственного средства. В то же время при стабилизации инфекционного процесса, когда проявления инвазивного аспергиллеза незначительны, при вторичной профилактике в период цитостатической терапии назначение итра-коназола вполне оправдано.
Высокую активность в отношении аспергилл проявляют препараты вориконазол, каспофунгин.
В многоцентровом рандомизированном сравнительном исследовании у 52,8 % (76 из 144) больных с инвазивным аспергиллезом получены положительные результаты при терапии вориконазолом и у 31,6 % (42 из 133) больных при лечении амфотерицином В. Выживаемость в течение 12 нед лечения вориконазолом составила 70,8 %, амфотерицином В — 57,9 % (р = 0,02). Токсические проявления возникали достоверно реже при лечении вориконазолом.
Таким образом, стартовая терапия инвазивного аспергиллеза вориконазолом была эффективнее и безопаснее, чем лечение амфотерицином В. В настоящее время вориконазол рассматривается как препарат первого этапа в терапии инвазивного аспергиллеза.
Эффективность каспофунгина при резистентном течении инвазивного аспергиллеза (n = 90), когда лечение стандартно применяемыми антимикотиками (амфотерицин В, липидные формы амфотерицина В, итраконазол) не было успешным, составила 56 %. Препарат хорошо переносился, и только у 2 (2,2 %) из 90 пациентов введение прекратили в связи с развитием нежелательных реакций.
Наряду с медикаментозным проводится хирургическое лечение инвазивного аспергиллеза. Оперативное вмешательство показано во всех случаях вовлечения в процесс придаточных пазух носа. Показаниями к хирургическому лечению являются наличие солитарного очага и легочное кровотечение. Более часто операции при инвазивном аспергиллезе стали проводить в последнее время. В исследовании Т. Yeghen и соавт. двухлетняя выживаемость в группе оперированных больных (n = 37) составила 36 %, среди неоперированных (n = 12) — 20 %. Хирургическое лечение включало частичную лобэктомию у 4 больных, удаление более одной доли или более одного сегмента легких у 11, лобэктомию у 18, пневмонэктомию у 2 больных.
Операции были проведены всем больным инвазивным аспергиллезом, которым впоследствии предполагалась трансплантация костного мозга (7 пациентам аллогенная, одному аутологичная). Двухлетняя выживаемость в этой группе больных составила 71 %, никто из больных не умер от аспергиллеза. Всем больным до и после оперативного вмешательства проводили лечение обычным или липосомальным амфотерицином В.
При аспергиллезе можно назначать факторы роста Г-КСФ или ГМ-КСФ в расчете на укорочение периода нейтропении и повышение активности нейтрофилов и макрофагов при системных микозах. В проведенных исследованиях это никоим образом не сказалось на выживаемости при системных микозах.
Видео фармакологические, побочные эффекты анидулафунгина, микафунгина, каспофунгина - эхинокандинов
Редактор: Искандер Милевски. Дата обновления публикации: 18.3.2021
Аспергиллез
Аспергиллез – микоз, вызываемый различными видами плесневых грибков рода Aspergillus и протекающий с хроническими токсико-аллергическими проявлениями. При аспергиллезе преимущественно поражается бронхолегочная система и придаточные пазухи; реже - кожа, зрительная система, ЦНС и др. У больных с низкой иммунной реактивностью может развиваться диссеминированный аспергиллез. Ведущую роль в диагностике аспергиллеза играют лабораторные методы: микроскопия, бакпосев, серологические реакции, ПЦР. Возможна постановка ингаляционных и кожно-аллергических проб. Лечение аспергиллеза проводится антифунгальными препаратами.
МКБ-10

Общие сведения
Аспергиллез – грибковое заболевание, возбудителем которого выступают плесневые грибы аспергиллы. Аспергиллы могут вызывать разнообразные поверхностные и глубокие микозы внутренних органов, кожи и слизистых оболочек, поэтому аспергиллез изучается в рамках целого ряда клинических дисциплин: микологии, пульмонологии, отоларингологии, дерматологии, офтальмологии и др. За последние два десятилетия частота заражения аспергиллезом в популяции выросла на 20%, что связано с увеличением числа пациентов с врожденным и приобретенным иммунодефицитом, распространением наркомании и ВИЧ-инфекции, нерациональным использованием антибиотиков, применением иммуносупрессивных препаратов в онкологии и трансплантологии. Все это еще раз подтверждает растущую актуальность аспергиллеза.
Причины аспергиллеза
Возбудителями аспергиллеза у человека могут выступать следующие виды плесневых грибков рода Aspergillus: A. flavus, A. Niger, A. Fumigatus, A. nidulans. A. terreus, A. clavatus. Аспергиллы являются аэробами и гетеротрофами; способны расти при температуре до 50°С, длительно сохраняться при высушивании и замораживании. В окружающей среде аспергиллы распространены повсеместно – в почве, воздухе, воде. Благоприятные условия для роста и размножения аспергилл имеются в вентиляционных и душевых системах, кондиционерах и увлажнителях воздуха, старых вещах и книгах, сырых стенах и потолках, длительно хранящихся пищевых продуктах, сельскохозяйственных и комнатных растениях и др.
Заражение аспергиллезом чаще всего происходит ингаляционным путем при вдыхании частиц пыли, содержащих мицелий гриба. Наибольшему риску возникновения заболевания подвержены сельскохозяйственные рабочие, работники бумагопрядильных и ткацких предприятий, мукомолы, а также заводчики голубей, поскольку голуби, чаще других птиц, болеют аспергиллезом. Возникновению грибковой инфекции способствует инфицирование при проведении инвазивных процедур: бронхоскопии, пункции околоносовых пазух, эндоскопической биопсии и др. Не исключен контактный путь передачи аспергиллеза через поврежденные кожные покровы и слизистые оболочки. Также возможно алиментарное инфицирование при употреблении контаминированных аспергиллами продуктов питания (например, куриного мяса).
Кроме экзогенного инфицирования аспергиллами, известны случаи аутозаражения (при активации грибков, обитающих на коже, слизистой зева и дыхательных путей) и трансплацентарного инфицирования. К факторам риска заболеваемости аспергиллезом относятся иммунодефициты любого генеза, хронические заболевания дыхательной системы (ХОБЛ, туберкулез, бронхоэктатическая болезнь, бронхиальная астма и др.), сахарный диабет, дисбактериоз, ожоговые травмы; прием антибиотиков, кортикостероидов и цитостатиков, проведение лучевой терапии. Нередки случаи развития микозов смешанной этиологии, вызываемых различными видами грибков – аспергиллами, кандида, актиномицетами.
Классификация аспергиллеза
Таким образом, в зависимости от путей распространения грибковой инфекции различают эндогенный (аутоинфекцию), экзогенный (с воздушно-капельным и алиментарным путем передачи) и трансплацентарный аспергиллез (с вертикальным путем заражения).
По локализации патологического процесса выделяют следующие формы аспергиллеза: бронхолегочную (в т. ч. аспергиллез легких), ЛОР-органов, кожную, глазную, костную, септическую (генерализованную) и пр. На первичное поражение респираторного тракта и легких приходится около 90% всех случаев аспергиллеза; придаточных пазух носа – 5%. Вовлечение остальных органов диагностируются менее чем у 5% больных; диссеминация аспергиллеза развивается примерно в 30% случаев, преимущественно, у ослабленных лиц с отягощенным преморбидным фоном.
Симптомы аспергиллеза
Наиболее изученной на сегодняшний день формой патологии является аспергиллез легких. Начальные стадии бронхолегочного аспергиллеза маскируются под клинику трахеобронхита или бронхита. Больных беспокоит кашель с мокротой сероватого цвета, кровохарканье, общая слабость, похудение. При распространении процесса на легкие развивается легочная форма микоза - аспергиллезная пневмония. В острой фазе отмечается лихорадка неправильного типа, ознобы, кашель с обильной слизисто-гнойной мокротой, одышка, боли в грудной клетке. При дыхании изо рта может ощущаться запах плесени. С помощью микроскопического исследования мокроты обнаруживаются колонии мицелия и споры аспергилл.
У больных с сопутствующими заболеваниями дыхательной системы (легочным фиброзом, эмфиземой, кистами, абсцессом легкого, саркоидозом, туберкулезом, гипоплазией, гистоплазмозом) нередко формируется аспергиллома легких – инкапсулированный очаг, содержащий гифы гриба, фибрин, слизь и клеточные элементы. Гибель пациентов с аспергилломой может наступить в результате легочного кровотечения или асфиксии.
Аспергиллез ЛОР-органов может протекать в виде наружного или среднего отита, ринита, синусита, тонзиллита, фарингита. При аспергиллезном отите вначале возникает гиперемия, шелушение и зуд кожи наружного слухового прохода. С течением времени слуховой проход заполняется рыхлой сероватой массой, содержащей нити и споры гриба. Возможно распространение аспергиллеза на барабанную перепонку, сопровождающееся резкими колющими болями в ухе. Описаны поражения верхнечелюстных и клиновидных пазух, решетчатой кости, переход грибковой инвазии на орбиты. Глазной аспергиллез может принимать форму конъюнктивита, язвенного блефарита, узелкового кератита, дакриоцистита, блефаромейбомита, панофтальмита. Нередки осложнения в виде глубоких язв роговицы, увеита, глаукомы, потери зрения.
Аспергиллез кожи характеризуется появлением эритемы, инфильтрации, коричневатых чешуек, умеренного зуда. В случае развития онихомикоза возникает деформация ногтевых пластин, изменение цвета на темно-желтый или коричневато-зеленоватый, крошение ногтей. Аспергиллез ЖКТ протекает под видом эрозивного гастрита или энтероколита: для него типичны запах плесени изо рта, тошнота, рвота, диарея.
Генерализованная форма аспергиллеза развивается при гематогенной диссеминации аспергилл из первичного очага в различные органы и ткани. При данной форме заболевания возникают аспергиллезный эндокардит, менингит, энцефалит; абсцессы головного мозга, почек, печени, миокарда; поражение костей, ЖКТ, ЛОР-органов; аспергиллезный сепсис. Летальность от септической формы аспергиллеза очень высока.
Диагностика аспергиллеза
В зависимости от формы микоза пациенты направляются на консультацию к специалисту соответствующего профиля: пульмонологу, отоларингологу, офтальмологу, микологу. В процессе диагностики аспергиллеза большое внимание уделяется анамнезу, в т. ч. профессиональному, наличию хронической легочной патологии и иммунодефицита. При подозрении на бронхолегочную форму аспергиллеза проводится рентгенография и КТ легких, бронхоскопия с забором мокроты, бронхоальвеолярный лаваж.
Основу диагностики аспергиллеза составляет комплекс лабораторных исследований, материалом для которых могут служить мокрота, промывные воды из бронхов, соскобы с гладкой кожи и ногтей, отделяемое из пазух носа и наружного слухового прохода, отпечатки с поверхности роговицы, кал и пр. Аспергиллы могут быть обнаружены с помощью микроскопии, культурального исследования, ПЦР, серологических реакций (ИФА, РСК, РИА). Возможно проведение кожно-аллергических проб с антигенами аспергилл.
Дифференциальная диагностика аспергиллеза легких проводится с воспалительными заболеваниями респираторного тракта вирусной или бактериальной этиологии, саркоидозом, кандидозом, туберкулезом легких, муковисцидозом, опухолями легких и др. Аспергиллез кожи и ногтей имеет сходство с эпидермофитией, рубромикозом, сифилисом, туберкулезом, актиномикозом.
Лечение аспергиллеза
В зависимости от тяжести состояния пациента и формы аспергиллеза лечение может осуществляться в амбулаторных условиях или в стационаре соответствующего профиля. Антифунгальная терапия проводится препаратами: амфотерицин В, вориконазол, итраконазол, флуцитозин, каспофунгин. Противогрибковые препараты могут назначаться внутрь, внутривенно, в виде ингаляций. При аспергиллезе кожи, ногтей и слизистых оболочек проводится местная обработка очагов противогрибковыми средствами, антисептиками, ферментами. Противогрибковая терапия продолжается от 4 до 8 недель, иногда - до 3-х месяцев и дольше.
При аспергилломе легких показана хирургическая тактика – экономная резекция легкого или лобэктомия. В процессе лечения любой формы аспергиллеза необходимо проведение стимулирующей и иммунокорригирующей терапии.
Прогноз и профилактика аспергиллеза
Наиболее благоприятное течение отмечается при аспергиллезе кожи и слизистых оболочек. Летальность от легочных форм микоза составляет 20-35%, а у лиц с иммунодефицитом – до 50%. Септическая форма аспергиллеза имеет неблагоприятный прогноз. К мерам, позволяющим предупредить заражение аспергиллезом, относятся мероприятия по улучшению санитарно-гигиенических условий: борьба с пылью на производстве, ношение работниками мельниц, зернохранилищ, овощехранилищ, ткацких предприятий индивидуальных средств защиты (респираторов), улучшение вентиляции цехов и складов, регулярное микологическое обследование лиц из групп риска.
Аллергический бронхолёгочный аспергиллёз
Аллергический бронхолёгочный аспергиллёз – это хроническое заболевание бронхолегочной системы, обусловленное поражением дыхательных путей грибами аспергиллами и характеризующееся развитием в бронхах аллергического воспалительного процесса. Аспергиллез, как правило, возникает у больных бронхиальной астмой, проявляется лихорадкой, кашлем со слизисто-гнойной мокротой, болями в грудной клетке, периодическими приступами удушья. Диагноз устанавливается с учетом данных клинического осмотра, анализов крови и мокроты, рентгенологического исследования легких, аллергологических проб. Лечение проводится с использованием глюкокортикоидов и противогрибковых препаратов.
Аллергический бронхолёгочный аспергиллез – это инфекционно-аллергический плесневый микоз, вызванный грибками аспергиллами (как правило, это Aspergillus fumigatus) и проявляющийся развитием дисбактериоза дыхательных путей, аллергического воспаления слизистой оболочки бронхов и последующего фиброза легких. Заболевание возникает преимущественно у больных атопической бронхиальной астмой (90% всех случаев аспергиллеза), а также при муковисцидозе и у лиц с ослабленным иммунитетом.
Впервые заболевание было выявлено и описано в Великобритании в 1952 году среди больных бронхиальной астмой, у которых отмечалось длительное повышение температуры тела. В настоящее время аллергический бронхолегочный аспергиллез встречается чаще у людей в возрасте от 20 до 40 лет и диагностируется у 1-2% больных бронхиальной астмой. Поражение дыхательных путей грибами аспергиллами представляет особую опасность для лиц с врожденным и приобретенным иммунодефицитом.
Причины
Возбудитель аллергического бронхолегочного аспергиллеза – дрожжеподобные грибы из рода аспергилл. Всего известно около 300 представителей этих микроорганизмов, 15 из которых могут вызывать развитие инфекционно-аллергического воспаления при попадании в дыхательные пути. В подавляющем большинстве случаев плесневый микоз в бронхах возникает при проникновении Aspergillus fumigatus.
Распространены аспергиллы повсеместно, споры грибов находятся в воздухе и летом, и зимой. Любимые места обитания этих микроорганизмов – влажная, заболоченная местность, почвы с богатым содержанием органических удобрений, скверы и парки с опавшими листьями, жилые и нежилые помещения с повышенной влажностью воздуха (санузлы, ванные комнаты, подвалы в старых домах), земля комнатных растений, клетки птиц, кондиционеры.
Основными факторами риска, облегчающими развитие аллергического бронхолегочного аспергиллеза, являются наследственная предрасположенность (наличие бронхиальной астмы и других аллергических заболеваний у родственников), длительный контакт с аспергиллами (работа на приусадебном участке, животноводческих фермах, мукомольных предприятиях), снижение защитных сил организма (первичный и вторичный иммунодефицит, хронические заболевания бронхолегочной системы, болезни крови, злокачественные новообразования и др.).
Патогенез
Споры грибов Aspergillus во время вдоха попадают в дыхательные пути, оседают на слизистой оболочке бронхов, прорастают и начинают свою жизнедеятельность. При этом происходит выброс протеолитических ферментов, повреждающих клетки эпителия бронхов. Реакция иммунной системы на антигены аспергилл вызывает образование медиаторов аллергии, синтез иммуноглобулинов E, A и G, развитие воспалительного процесса аллергической природы в бронхах.
Симптомы
При хроническом течении аллергического бронхолегочного аспергиллеза проявления болезни могут быть стертыми – без признаков интоксикации, с периодическим кашлем со слизистой мокротой, в которой могут быть коричневатые включения, небольшой одышкой при физических нагрузках, чувством нехватки воздуха. Если аспергиллез протекает на фоне иммунодефицита, в клинической картине будут присутствовать симптомы основного заболевания (острого лейкоза, туберкулеза легких, саркоидоза, обструктивной болезни легких, злокачественного новообразования конкретной локализации).
Диагностика
Диагноз аллергического бронхолегочного аспергиллеза устанавливает аллерголог-иммунолог и врач-пульмонолог на основании изучения анамнеза, клинической картины заболевания, данных лабораторных и инструментальных исследований, аллергологических проб:
- Беседа и осмотр. Анамнез заболевания может указывать на наследственную отягощенность по аллергическим заболеваниям, наличие атопической бронхиальной астмы у пациента, периодический или длительный контакт с аспергиллами в быту или в процессе профессиональной деятельности. При физикальном обследовании примерно у половины больных аллергическим бронхолегочным аспергиллезом определяется притупление перкуторного звука в верхних отделах легких и прослушивание при аускультации влажных мелкопузырчатых хрипов, а также признаки нарушения общего состояния – одышка, бледность кожных покровов, потливость, субфебрилитет или гипертермия.
- Тесты лабораторной диагностики. При лабораторном исследовании в периферической крови определяется эозинофилия (более 20%), иногда отмечается лейкоцитоз и повышение СОЭ. При цитологическом анализе мокроты выявляется преобладание эозинофилов, при микроскопии мокроты могут определяться элементы мицелия аспергилл. Бактериологическое исследование мокроты позволяет выявить культуру Aspergillus fumigatus при росте грибов на питательных средах.
- Аллергологическое обследование. Проводятся кожные аллергологические тесты с экстрактом из аспергилл (выявляется типичная реакция немедленного типа). Диагноз аллергического бронхолегочного аспергиллеза подтверждается при определении повышенного уровня общего иммуноглобулина E и специфических IgE и IgG к Aspergillus fumigatus в сыворотке крови.
- Рентгендиагностика. При проведении бронхографии и компьютерной томографии выявляются проксимальные бронхоэктазы, «летучие» инфильтраты в легких.
Дифференциальная диагностика аллергического бронхолегочного аспергиллеза проводится с туберкулезом легких, саркоидозом, хронической обструктивной болезнью легких, эозинофильными легочными поражениями другой этиологии.
Лечение бронхолегочного аспергиллеза
Основные направления лечения аспергиллеза с поражением бронхолегочной системы – противовоспалительная терапия, уменьшение сенсибилизации организма и снижение активности аспергилл.
В острый период заболевания назначаются системные глюкокортикостероидные гормоны на протяжении не менее шести месяцев (препарат выбора – преднизолон). Применение глюкокортикостероидов начинают в лечебных дозировках и продолжают до полного рассасывания инфильтратов и нормализации титров антител, после чего переходят на поддерживающий прием еще на протяжении 4-6 месяцев. После полного купирования воспалительного процесса, то есть в стадии ремиссии, начинают проводить противогрибковую терапию амфотерицином B или траконазолом в течение 4-8 недель.
Прогноз и профилактика
Прогноз зависит от частоты и тяжести обострений аспергиллеза, сопутствующего фона. При частых обострениях и наличии других заболеваний в анамнезе существенно страдает качество жизни. Предупредить первичную инвазию позволяет соблюдение правил предосторожности при проведении сельхозработ. В первую очередь это касается лиц с бронхиальной астмой и иммудефицитами. Для профилактики рецидивов аллергического бронхолегочного аспергиллеза необходимо обеспечить максимальное снижение контакта с аспергиллами, а при наличии такой возможности – переезд в высокогорную местность с сухим климатом.
1. Аллергический бронхолегочный аспергиллез/ Кулешов А.В., Чучалин А.Г.// Русский медицинский журнал. - 1997 - №17.
3. Клинические особенности аллергического бронхолегочного аспергиллеза у детей/ Миненкова Т.А. Котов В.С. Мизерницкий Ю.Л. Ружицкая Е.А. Окунева Т.С.// Земский врач.- 2011.
Аспергиллез легких
Аспергиллёз лёгких – это заболевание грибковой этиологии, которое поражает все отделы дыхательной системы, протекает в острой или хронической форме, характеризуется разнообразием клинических симптомов, наличием признаков аллергии. Клиническая картина болезни включает кашель, кровохарканье, лихорадку и одышку. Диагноз устанавливается на основании рентгенографии и КТ органов грудной клетки, бронхоскопии, серологической диагностики, лабораторного исследования патологического материала. Назначается консервативное лечение фунгицидами, при необходимости в сочетании с антибиотиками и глюкокортикостероидами. Аспергилломы удаляются хирургическим путём.

Аспергиллёз лёгких по распространенности занимает первое место среди лёгочных микозов. 75% всех случаев грибковых поражений респираторного тракта вызваны аспергиллами. Плесневые грибы, провоцирующие развитие болезни, распространены повсеместно. Самое высокое содержание спор аспергилл в окружающей среде отмечается в арабских странах. Их концентрация выше в закрытых помещениях.
Болеют лица, вынужденные контактировать с обсеменённым спорами грибов материалом в силу своей профессиональной деятельности, а также пациенты с иммуносупрессией любого генеза. 20% реципиентов органов и тканей заболевают аспергиллёзом в послеоперационном периоде. У половины из них болезнь приводит к летальному исходу.
Возбудителями болезни являются плесневые грибы рода Aspergillus. Их споры содержатся в воздухе, почве и воде, мицелий активно растет в условиях повышенной влажности. Споры аспергилл устойчивы к высушиванию и длительно сохраняются в частицах пыли. Распространению способствуют мухи, тараканы и другие насекомые. Люди регулярно сталкиваются с патогенами, многие ежедневно вдыхают споры грибов, однако аспергиллёз лёгких развивается у сравнительно небольшой части населения. Факторами риска возникновения патологии являются:
- Иммунодефицитное состояние. Заболеванию подвержены пациенты с нарушением функций иммунитета. Грибковое поражение часто выявляется у лиц с первичным иммунодефицитом, больных СПИДом, онкологическими болезнями, сахарным диабетом. Трансплантация лёгких осложняется микозом у каждого пятого пациента, несколько реже аспергиллёз развивается у реципиентов костного мозга, поджелудочной железы и почек. Возникновению патологического состояния способствует длительный приём антибактериальных препаратов, кортикостероидов и цитостатиков.
- Хроническая патология лёгких. Излюбленными местами локализации аспергиллом являются полостные образования лёгочной ткани, бронхоэктазы. Заболевание часто диагностируют у больных хроническими формами туберкулёза, онкопатологией дыхательной системы, пациентов с муковисцидозом, ХОБЛ.
- Массивная инвазия аспергилл. Заболевают лица с нормально функционирующей иммунной системой, но работающие в условиях массивного обсеменения внешней среды спорами плесневых грибов. В группу риска входят работники мельниц, птицефабрик, пивоварен, фермеры и представители некоторых других профессий. Споры аспергилл в большом количестве могут содержаться в прядильном сырье, системах вентиляции и кондиционирования воздуха, сантехническом оборудовании.
Экзогенный лёгочный аспергиллёз обычно развивается при вдыхании спор грибов. При выраженной имуносупрессии возможна активация сапрофитных аспергилл, обитающих на коже и слизистых оболочках. Происходит аутоинфицирование. Аспергиллы попадают в дыхательную систему. При полноценном клеточном иммунном ответе наблюдается уничтожение и фагоцитоз гифов грибов.
При массивном попадании грибных спор в организм и/или нарушении функций клеточного иммунитета преобладает гуморальный ответ. Образуются гранулёмы, содержащие гифы патогенных грибов – аспергилломы. Они выявляются в бронхоэктазах, туберкулёзных кавернах и других полостях лёгких, на слизистых оболочках трахеи и бронхов. Такая форма болезни является неинвазивной.
Инвазивный аспергиллёз возникает на фоне выраженного иммунодефицита, при значительном снижении уровня гранулоцитов крови. Грибковая инфекция распространяется гематогенным путём, поражает лёгочную паренхиму, плевру, лимфатические узлы. Образуются множественные гранулёмы в различных органах и тканях. Течение болезни приобретает септический характер. Кроме того, некоторые виды аспергилл продуцируют большое количество микотоксинов, другие – являются мощными аллергенами. Развиваются микотоксикозы и аллергические реакции.
Классификация
Существует несколько классификаций лёгочной формы заболевания. По механизму инфицирования различают экзогенный и эндогенный аспергиллёз бронхолёгочной системы. Процесс может протекать остро и хронически. Некоторые специалисты в сфере пульмонологии отдельно выделяют поражение лёгких и дыхательных путей. Рабочая классификация отражает степень инвазии патогенов, их токсические свойства, локализацию процесса, наличие сенсибилизации организма и особенности течения болезни. Она включает:
- Неинвазивный лёгочный аспергиллёз. Возникают единичные и множественные аспергилломы лёгких с относительно доброкачественным течением.
- Инвазивный аспергиллёз респираторного тракта.Инвазивными легочными формами являются изолированный некротический аспергиллёз бронхов, пневмония, плеврит и хроническая лёгочная диссеминация грибковой этиологии.
- Аллергический аспергиллёз бронхов и лёгких. Гиперчувствительность к грибковым аллергенам приводит к развитию аллергического бронхолегочного аспергиллеза - микогенной бронхиальной астмы и экзогенных аллергических альвеолитов.
Симптомы аспергиллёза лёгких
Неинвазивный аспергиллез
Клиническая картина при микотическом поражении респираторных органов зависит от формы патологического процесса. Для неинвазивных аспергиллом характерно бессимптомное течение. Определить длительность инкубационного периода не представляется возможным. Заболевание обнаруживается случайно при прохождении профилактического рентгенологического обследования лёгких. Появление крови в мокроте свидетельствует о прорастании сосудов мицелием грибов и начале инвазивного процесса.
Инвазивный аспергиллез
При вдыхании большого количества патогенов развивается аспергиллёзный трахеобронхит или интерстициальная пневмония. Клиническим проявлениям предшествует короткий – от 1-3 часов до 3 дней – инкубационный период. Появляется стойкое непрекращающееся ощущение горечи во рту, першение в горле. Отмечается повышение температуры до высоких цифр, сопровождающееся ломотой в костях, ознобом. Для аспергиллёзной пневмонии характерна лихорадка неправильного типа. Температура повышается в утренние часы, снижается до нормальных или субфебрильных значений к вечеру.
Заболевание протекает бурно. Кашель в начале болезни мучительный, носит приступообразный характер, позднее становится продуктивным. Отделяется серо-зелёное или кровянистое содержимое бронхов. Больного мучает одышка даже при небольшой нагрузке. Беспокоят интенсивные боли в грудной клетке, усиливающиеся при дыхании и перемене положения тела.
Выражены симптомы общей интоксикации: слабость, потливость, отсутствие аппетита, повышенная утомляемость, похудание. Определяется учащённое сердцебиение и перебои сердечного ритма. Острому инвазивному лёгочному аспергиллёзу часто сопутствует поражение придаточных пазух носа и макулопапулёзные кожные высыпания.
Хронический аспергиллез
При эндогенном инфицировании лёгочный аспергиллёз принимает первично-хроническое течение. Его клинические проявления отличаются от картины интерстициальной пневмонии вялой симптоматикой с длительным субфебрилитетом, незначительным болевым синдромом. Микоз развивается на фоне персистирующего туберкулёза, саркоидоза, ХОБЛ, другой лёгочной патологии и несколько меняет картину основного заболевания. Пациенты обычно отмечают усиление одышки и кашля, обнаруживают серо-зелёные комочки в мокроте.
Аллергический аспергиллез
Аллергический аспергилёз чаще всего протекает в форме тяжёлой гормональнозависимой бронхиальной астмы. Проявляется частыми дневными и ночными приступами удушья, свистящими хрипами и тяжестью в груди, приступами сухого кашля. Больные аллергическим альвеолитом предъявляют жалобы на нарастающую одышку и отхождение небольшого количества слизистой мокроты. Острая форма альвеолита сопровождается признаками общего недомогания, артралгиями.
Осложнения
Своевременная диагностика и правильно выбранная тактика лечения позволяют добиться выздоровления у 25-50% больных респираторным аспергиллёзом. Осложнения возникают при любой форме заболевания. Их частота и тяжесть напрямую зависят от состояния иммунной системы и наличия фоновых патологий. Аспергиллёз утяжеляет течение основного патологического процесса.
У больных с аспергилломами нередко развивается кровохарканье. 25% таких пациентов погибают от лёгочного кровотечения. Острый инвазивный бронхолёгочный аспергилёз при выраженном снижении иммунитета приводит к возникновению микогенного сепсиса с высокой (50%) летальностью. Хроническое течение осложняется сердечно-легочной недостаточностью и последующей инвалидизацией больного.
Пациенты с лёгочными проявлениями аспергилёза обследуются у пульмонолога. При сборе анамнеза уточняется профессия, наличие хронической бронхолёгочной патологии, первичного или вторичного иммунодефицита. При осмотре и физикальном исследовании выявляются разнообразные неспецифичные симптомы. При аспергиллёзной пневмонии выслушиваются распространённые сухие и влажные мелкопузырчатые хрипы. В остальных случаях аускультативные данные обычно бывают скудными или отражают течение фонового процесса. Основными методами диагностики являются:
- Лучевая диагностика.Рентгенологическая картина в легких отличается разнообразием. Определяются нестойкие эозинофильные инфильтраты, плотные округлые или шаровидные тени с полостями распада, расположенные преимущественно в верхних долях лёгких, мелкоочаговая диссеминация. Характерным признаком аспергилломы является наличие серповидного просветления в полости округлого или овального образования, которое смещается при изменении положения тела (симптом погремушки). При заполнении полости аспергилломы контрастом грибные массы всплывают (симптом поплавка).
- Лабораторные исследования. В общеклиническом анализе крови отмечается лейкоцитоз, эозинофилия, повышение СОЭ. При микроскопии мокроты, промывных вод бронхов обнаруживаются грибные гифы. Культуральный метод позволяет вырастить колонии аспергилл на питательных средах. С помощью серологических реакций (ИФА, РСК) выявляются антитела к плесневым грибкам. Для пациентов с аллергической формой болезни характерен подъём уровня общего IgЕ. При хроническом аспергилёзе повышается IgG.
- Бронхоскопия. При эндоскопии бронхов определяется деформация трахеобронхиального дерева, признаки катарального воспаления слизистой оболочки бронхов. При попадании бронхоскопа в аспергиллому обнаруживается пушистый налёт серо-жёлтого или зеленоватого цвета, с трудом отделяющийся от стенок полости. Выполняется микроскопия и культуральное исследование полученного патологического материала.
Лёгочный аспергилёз необходимо дифференцировать с заболеваниями опухолевой природы, туберкулёзом, саркоидозом, деструктивной пневмонией другой этиологии. В последнее время микоз часто утяжеляет течение вышеуказанной патологии, поэтому в диагностическом поиске нередко принимают участие фтизиатры и онкологи. Из-за частого поражения патогенами ЛОР-органов все пациенты с подозрением на аспергиллёз направляются на консультацию к оториноларингологу.

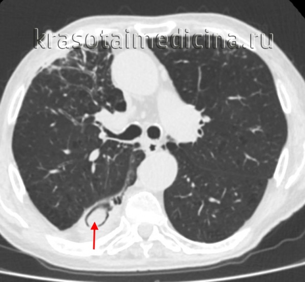
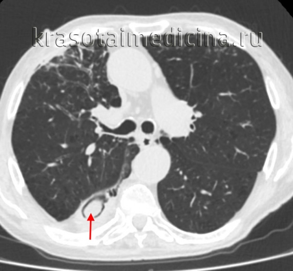
КТ ОГК. Полостное объемное образование в нижней доле правого легкого, частично заполненное грибковыми массами.
Лечение аспергиллёза лёгких
Длительность терапии и объём лечебных мероприятий зависят от формы заболевания и состояния иммунитета больного. Аспергиллёз бронхов, нетяжёлая микотическая пневмония у иммунокомпетентных лиц излечиваются за 7-10 дней в амбулаторных условиях. Показаниями к госпитализации являются кровохарканье, длительный эпизод фебрильной лихорадки, затяжной приступный период бронхиальной астмы. Основной группой препаратов, применяющихся для лечения данной патологии, являются с активные в отношении аспергилл антифунгальные средства.
Параллельно осуществляется медикаментозная терапия фонового процесса. Используются антибактериальные препараты и кортикостероидные гормоны. Питание больных аспергиллёзом должно быть полноценным, сбалансированным, высококалорийным. Аспергилломы, сопровождающиеся кровохарканьем, подлежат хирургическому удалению. Выполняется резекция лёгкого или лобэктомия. При выраженной дыхательной недостаточности для профилактики кровотечения в качестве временной меры применяется перевязка соответствующей бронхиальной артерии.
При лёгких формах аспергиллёза прогноз благоприятный, наступает полное выздоровление. Хронизация процесса приводит к формированию лёгочного сердца и инвалидности. Выраженный иммунодефицит может способствовать генерализации микоза и закончиться смертью больного. В качестве профилактики лица из групп профессионального риска должны использовать индивидуальные средства защиты и проходить регулярные профилактические осмотры. Пациенты с выраженными нарушениями функций иммунной системы подлежат рациональному трудоустройству и регулярному серологическому обследованию на аспергиллёз. Им запрещается употреблять в пищу продукты с плесенью, долго находиться в сырых и пыльных помещениях.
1. Аспергиллез легких: клинические формы, диагностика, лечение/ Гаврисюк В.К., Кривец В.А.//Украинский пульмонологический журнал – 2015 - №4.
2. Обзор рекомендаций американского общества по инфекционным болезням по лечению аспергиллеза/ Масчан А.А., Клясова Г.А., Веселов А.В.// Клиническая Микробиология и Антимикробная Химиотерапия. – 2008 – Т10, № 2.
3. Клинико-иммунологические особенности неинвазивного аспергиллеза легких: Автореферат диссертации/ Павленко Т.Г. – 2008.
Читайте также:
