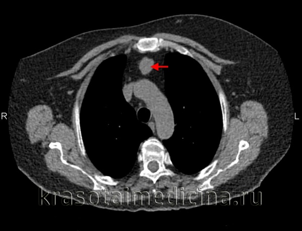
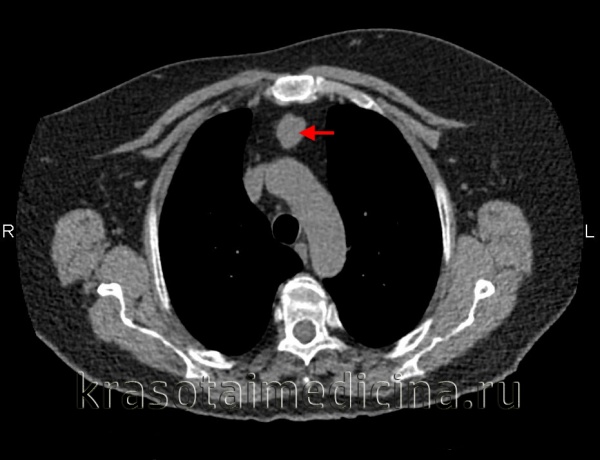
Лимфангиомы средостения. Пример лимфангиомы средостения
Добавил пользователь Владимир З. Обновлено: 09.01.2026
а) Терминология:
1. Синоним:
• Кистозная гигрома
2. Определение:
• Доброкачественное развивающееся образование, состоящее из расширенных лимфатических сосудов
б) Визуализация:
1. Общая характеристика:
• Локализация:
о Около 75% случаев выявляются в голове, шее и подмышечной впадине (в 20% случаев)
о Могут обнаруживаться по всему телу: под кожей, в мягких тканях, органах и костях:
- Кистозные лимфангиомы шеи являются самыми распространенными
- Кожная локализация, в целом, редкая
- Внутрибрюшная локализация также встречается редко
о Кистозная лимфангиома: шея, подмышечная впадина и пах
о Кавернозная лимфангиома: ротовая полость, верхняя часть туловища, конечности, кости, внутренние органы, брыжейка и забрюшинное пространство о Капиллярная лимфангиома: подкожные ткани
(Слева) КТ с контрастированием, аксиальный срез: определяется крупное поликистозное двустороннее образование шеи, почти полностью смещающее все нормальные ткани по окружности. У этого двухдневного новорожденного томограмма была получена для оценки распространения образования и планирования чрескожной склеротерапии.
(Справа) При ультрасонографии, выполненной для контроля чрескожной склеротерапии, у этого же пациента определяются множественные кисты, заполненные жидкостью и содержащие различное количество эхогенного вещества. (Слева) МРТ Т2ВИ, режим подавления сигнала от жира, аксиальный срез: определяется дольчатое образование, расположенное в пределах мышечной воронки глазницы, гиперинтенсивное по отношению к мышцам. Образование окружает зрительный нерв и привело к проптозу правого глазного яблока, а также к изгибу медиальной и латеральной прямых мышц.
(Справа) МРТ, постконтрастные Т1ВИ, аксиальный срез: определяется небольшое контрастирование контуров и перегородки образования. Гиперинтенсивный сигнал внутри кистозных областей образования визуализировался до введения гадолиния, вероятнее всего, вследствие повышенного накопления белков. (Слева) МРТ Т2ВИ, режим подавления сигнала от жира, коронарный срез: определяется очень крупное экзофитное образование, выпячивающееся из латеральной поверхности грудной стенки и стенки живота слева. Образование содержит множественные перегородки. Общая интенсивность сигнала высокая, но не такая как ожидалось при простом скоплении жидкости.
(Справа) МРТ Т2ВИ, режим подавления сигнала от жира, аксиальный срез: у этого же пациента определяется крупное образование с гетерогенным гиперинтенсивным сигналом. Отмечаются множественные жидкостно-жидкостные уровни. Это образование стремительно увеличилось в размере во время вирусной инфекции.
2. Рентгенография при лимфангиоме:
• Неспецифичное мягкотканное образование
• Гипертрофия соседней кости встречается редко
3. КТ при лимфангиоме:
• Образование с четкими или нечеткими контурами
• Дольчатое с гиподенсными кистозными областями:
о Кистозные области не накапливают контраст
• Могут прорастать или смещать соседние органы
• Кальцификаты встречаются редко
4. МРТ при лимфангиоме:
• Многокамерное образование с перегородками, имеющее гетерогенную интенсивность сигнала
• Большая часть образования имеет жидкостной сигнал:
о Гиперинтенсивный сигнал на Т1 ВИ может быть вызван кровоизлиянием или наличием белковой жидкости
о Жидкостно-жидкостные уровни, вследствие наличия детрита в кистозных областях
• Стенка образования и перегородка имеют умеренную или низкую интенсивность сигнала и немного накапливают контраст
5. УЗИ при лимфангиоме:
• Однокамерное или многокамерное кистозное образование с ретроградным акустическим усилением
• Анэхогенные или гипоэхогенные кистозные пространства, зависящие от детрита в жидкости
6. Ангиография:
• Незначительный кровоток позволяет отличить это образование от гемангиомы
(Слева) МРТ Т1ВИ, аксиальный срез: определяется крупное мягкотканное образование в бедре ребенка. Образование изо-интенсивное или немного гиперинтенсивное по отношению к мышцам. Признаки реактивных изменений в окружающих тканях отсутствуют.
(Справа) МРТ Т2ВИ, аксиальный срез: определяется образование с гетерогенным гиперинтенсивным сигналом. Визуализируется тонкая внутренняя перегородка. Это образование имеет в некоторой степени неспецифическую картину у детей. В дифференциальный диагноз следует включить гемангиому и лимфангиому. (Слева) МРТ Т2ВИ, режим подавления сигнала от жира, аксиальный срез: у новорожденного определяется крупное образование в области левой молочной железы. Большая часть образования имеет гиперинтенсивный сигнал, схожий с жидкостью. Образование имеет многокамерный вид с несколькими неполными перегородками, визуализируемые на этой томограмме.
(Справа) МРТ, постконтрастные Т1ВИ, режим подавления сигнала от жира, аксиальный срез, этот же пациент: контраст накапливают только стенки и перегородка образования. Области, имеющие жидкостную интенсивность сигнала на Т2ВИ не контрастируют. (Слева) МРТ Т1ВИ, коронарный срез: у новорожденною определяется крупное дольчатое образование, поражающее левую подмышечную впадину. Это образование имеет схожую интенсивность сигнала с мышцей. Дольчатые области имеют гиперинтенсивный сигнал на Т2ВИ в режиме подавления сигнала от жира, также отсутствует центральное контрастирование, характерное для жидкостно-жидкостных областей. Повышенный сигнал на Т1 обусловлен наличием белковою содержимою или кровоизлияния.
(Справа) При ультрасонографии во время чрескожной склеротерапии, определяются множественные кистозные образования разною размера.
в) Дифференциальная диагностика лимфангиомы:
1. Гемангиома и сосудистые мальформации:
• При контрастировании подтверждается сосудистая природа образований
2. Гематома:
• В анамнезе может быть травма
• Сложный внутренний детрит, вследствие кровоизлияния
• Контрастирование стенки гематомы; отсутствие центрального контрастирования
3. Абсцесс:
• Толстая стенка абсцесса с грубым контрастированием
• Окружающие воспалительные изменения
• Системные симптомы инфекции
г) Патология:
1. Общая характеристика:
• Этиология:
о Развивающаяся мальформация
о Генетические аномалии способствуют развитию
• Генетика:
о Синдром Тернера и хромосомные анэуплоидии ассоциированы с кистозной лимфангиомой (кистозной гигромой) шеи
• Ассоциированные состояния:
о Кистозная лимфангиома: синдром Нунан, алкогольный синдром плода, водянка плода, семейный синдром крыловидной шеи
о Чаще всего ассоциирован с другими сосудистыми мальформациями:
- При синдроме Маффуччи возникают гемангиомы
2. Макроскопические и хирургические особенности:
• Поликистозные или губчатые образования, содержащие беловато-коричневые или прозрачные пузырьки
3. Микроскопия:
• Расширенные лимфатические сосуды различного размера, выстланные плоским эндотелием
• Полости содержат серозную, хилезную или белковую жидкость
д) Клинические особенности:
1. Проявления:
• Типичные признаки/симптомы:
о Безболезненное образование, которое может то увеличиваться, то уменьшаться в размерах:
- Мягкое при пальпации и флюктуирующее (но в отличии от сосудистых мальформаций, не сжимаемое)
о Респираторный дистресс-синдром и проблемы с питанием
• Другие признаки/симптомы:
о Разрыв образования, вследствие инфицирования или кровоизлияния
2. Демография:
• Возраст:
о Обычно обнаруживается в первые два года жизни:
- Может быть выявлена в пренатальном периоде
о Кожная лимфангиома может возникать у взрослых после травмы, оперативного лечения или облучения
• Эпидемиология:
о Возникает реже чем гемангиомы
3. Течение и прогноз:
• Осложнения зависят от сдавливания жизненно важных структур:
о Высокий риск летального исхода при обнаружении в пренатальном периоде
• В редких случаях возможно спонтанное разрешение
4. Лечение:
• При хирургическом удалении риск рецидива 15%
• При склеротерапии устойчивый ответ в 76% случаев
е) Список использованной литературы:
1. Behr GG et al: Vascular anomalies: hemangiomas and beyond--part 2, Slowflow lesions. AJR Am J Roentgenol. 200(2):423-36, 2013
Лимфангиомы средостения. Пример лимфангиомы средостения
Кистозная - лимфангиома средостения — исключительно редкое заболевание. К 1945 г. в литературе опубликовано всего 8 подобных наблюдений [Сейнс, Джозеф, Скетчерд, Буффало (Sanes, Joseph, Scatchard, Buffalo)], а к 1956 г. — 17 [Чайлдрес, Бейкер, Самсон (Childress, Baker, Samson)].
Их происхождение связано с неправильностями развития и формирования лимфатических сосудов и вен (А. И. Абрикосов и А. И. Струков, 1953).
Гетч (Goetch) считает, что часть примитивного яремного мешка в эмбриональном периоде может отделиться от венозной системы, а затем этот участок превращается в кистозную опухоль. В зависимости от локализации такого мешка может появиться шейная или медиастинальная лимфангиома.
Эти кистевидные врожденные опухоли имеют тонкие стенки соединительнотканного характера, множество полостей, содержащих белковую массу, выстланных изнутри эндотелием. В ряде кист отсутствует эндотелиальная выстилка полостей (Сейнс, 1945), в других случаях в толще стенок встречаются скопления лимфоцитов и даже настоящие лимфатические фолликулы. Иногда можно видеть волокна гладкой мускулатуры, круглоклеточную периваскулярную инфильтрацию в оболочках, кровоизлияния с последующими некрозами. Лимфангиомы имеют округлую форму, размеры самые различные — от нескольких сантиметров в диаметре до огромных образований, занимающих почти всю половину грудной клетки [Гросс и Хоруайт (Gross, Hurwitt, 1943)].

При химическом исследовании жидкости, содержащейся в полостях кист, находят белки, глюкозу, хлориды, холестерин, липоиды в различных непостоянных соотношениях.
Чайлдрес, Бейкер и Самсон (1956) описали одно наблюдение лимфангиомы средостения и проанализировали 17 историй болезни, опубликованных в международной печати. Обзор этих 18 случаев показал, что возраст больных колебался от 2 лет до 61 года. Среди них было 11 мужчин, 5 женщин, 2 детей. Симптомы не были специфичными, но все же чаще имели место кашель, иногда с мокротой, боли в груди, одышка. Наблюдается выделение мокроты с кровью, парез голосовой связки. Ни разу до операции не был установлен точный диагноз.
Мы оперировали одну больную, у которой при гистологическом исследовании удаленной из средостения опухоли была обнаружена кистозная лимфангиома.
Больная П., 38 лет, поступила 31/VIII 1994 г. с диагнозом: опухоль средостения. Жалобы на тупые боли и чувство онемения в левой половине грудной клетки, одышку, слабость, повышенную потливость. Больна в течение года, симптомы болезни усиливаются.
При обследовании в клинике со стороны сердечно-сосудистой системы легких отклонений не найдено. На рентгенограммах видна овальной формы тень, расположенная справа в передневерхнем средостении. После искусственного пневмоторакса установлена интактность легкого. Заключение: киста передневерхнего средостения.
6/Х операция. Под местной анестезией передним доступом через третье межреберье справа вскрыта плевральная полость. В передневерхнем отделе средостения обнаружена опухоль размером 12 х 10 см, мягко-эластической консистенции, спаянная с верхней полой и непарной венами. При мобилизации опухоли вскрыта ее полость, из которой удалено около 100 мл жидкости, имевшей вид молока. Опухоль с капсулой удалена. Послеоперационное течение гладкое.
Гистологическое исследование показало налииче кистозной лимфангиомы. Видна стенка кисты, состоящая из волокнистой соединительной ткани, сосуды полнокровны. Определяются лимфатические фолликулы, мелкие лимфатические узелки, участки жировой ткани.
В литературе нам удалось найти описание 25 операций по поводу кистозных лимфангиом средостения. У 19 больных произведено полное удаление опухоли с оболочками, у 4 — неполное иссечение опухоли с оставлением части оболочек в местах интимного спаяния их с сосудами средостения [Санти (Santi, 1947) и др.]. У 2 больных было предпринято предварительное лучевое лечение с последующим удалением опухоли [Сейнс, Макманус и Скетчерд (Sanes, Macmanus, Scatchard, 1943)]. Под влиянием рентгеновых лучей опухоль несколько уменьшилась.
Все 25 больных перенесли операции. Рецидив наблюдался только у одного больного (Санти, 1947). Из послеоперационных осложнений у одного больного отмечена эмпиема плевры, у одного — паралич голосовых связок и у одного — пересечение диафрагмального нерва.
У нашей больной (26-й по общему счету) послеоперационных осложнений не наблюдалось. Она была осмотрена через 3 года после операции. Никакой патологии не обнаружено.
Информация на сайте подлежит консультации лечащим врачом и не заменяет очной консультации с ним.
См. подробнее в пользовательском соглашении.
Доброкачественные тимомы. Злокачественность тимом
Только при гистологическом исследовании опухолей улавливаются большая зрелость клеточных структур, отсутствие диффузного роста, прорастания капсулы и другие признаки доброкачественной природы новообразования.
Следует отметить, что доброкачественные тимомы ввиду их медленного роста, отсутствия тяжелых симптомов сдавления и прорастания органов средостения, а также метастазирования достигают больших размеров и иногда опускаются вниз, доходя до диафрагмы (Зейболд, Дивиш и др.).
Большинство авторов оценивают каждую тимому как потенциально-злокачественную опухоль (Зейболд, Бредфорд, Эндрас, Кей, Дивиш и др.). Однако все же следует признать, что у определенной части больных (примерно у 20—25%) тимомы длительное время остаются доброкачественными и растут очень медленно.
В нашей клинике было оперировано 3 больных, имевших доброкачественные тимомы.
Больная Е., 35 лет, поступила 23/III 1997 г. с диагнозом кисты средостения. Отмечает боли в правой половине груди, правой височной и затылочной областях, кашель с выделением слизистой мокроты. Эти явления появились в 1949 г. и постепенно усиливаются.
При перкуссии грудной клетки определяется притупление справа по сосковой линии от ключицы до III ребра, здесь же ослабленное дыхание, бронхофония. Ограны кровообращения без особенностей, анализы крови и мочи также.

На рентгенограмме в медиальных отделах верхушечной, верхней и средней зоны правого легкого видна интенсивная полуовальная тень, сливающаяся своим медиальным контуром с тенью средостения. На фоне тени имеется плотное включение неправильной формы. В боковой проекции образование это располагается в передневерхнем и задневерхнем отделах средостения.
После наложения искусственного пневмоторакса выяснено, что легкое отошло от тени опухоли, и тогда заподозрена тератома средостения.
10/IV операция. Под интубационным наркозом произведена торакотомия в третьем межреберье справа. Опухоль размером 10x6 см, располагающаяся в верхнем отделе переднего средостения, мобилизована и удалена в пределах здоровых тканей. Послеоперационный период без осложнений. Больная выписана из клиники через 3 недели.
При осмотре опухоль величиной 10 х 6 х 6 см, овальной формы, плотная, на разрезе мясистая, серо-красного цвета. В центре участки известковой плотности размером 3x2 см.
Гистологическое исследование: среди обширных гиалиновых полей располагаются скопления мелких клеток с округлыми ядрами, которые местами образуют концентрические завихрения. Среди гиалиновых полей имеются отложения извести. Диагноз: тимома. Больная осмотрена через 6 месяцев. Состояние ее вполне удовлетворительное.
Аналогичные наблюдения имели место и у других 2 наших больных, с успехом оперированных в 1997 и 1998 гг. В обоих случаях опухоль располагалась в передневерхнем средостении. Клинические симптомы миастении отсутствовали. Операции удаления тимомы закончились благополучно.
Таким образом, в отличие от литературных данных мы встречались чаще с доброкачественными тимомами. Однако нужно отметить, что, не имея длительных отдаленных наблюдений, даже при доброкачественном гистологическом строении опухоли нельзя судить о ее истинной природе.
Лимфангиома
Лимфангиома – это доброкачественная опухоль, в основе которой обычно лежит врожденная аномалия лимфатической системы. Очаги поражения могут возникать на любом участке тела, выглядят как мягкотканные образования с бугристой поверхностью красно-бурой или синюшной окраски. Мальформация часто протекает бессимптомно, являясь косметической проблемой, но, достигая больших размеров, дает начало опасным состояниям. Основу диагностики составляет клиническое обследование, подтвержденное инструментальными методами (УЗДГ, МРТ, лимфографией очагов). В лечении применяют склеротерапию, радикальную операцию, малоинвазивные техники.
МКБ-10

Общие сведения
Лимфангиома является достаточно редкой патологией. По различным данным, она составляет 1,3–10,6% случаев всех сосудистых опухолей (в детском возрасте - до 25%), встречается с частотой от 1 на 20-250 тыс. поступлений в хирургические стационары. Лимфатические мальформации занимают второе место среди мягкотканных образований челюстно-лицевой области. Обычно их выявляют у новорожденных и младенцев (90% случаев), реже в первые 2–3 года жизни ребенка, но могут диагностировать еще внутриутробно или гораздо позже во взрослом возрасте. Гендерная статистика противоречива: в то время как одни исследователи сообщают о преимущественном развитии поверхностных лимфангиом у женщин, другие наблюдают патологию в 3 раза чаще среди мужчин.

Причины лимфангиомы
Большая часть образований рассматривается как врожденные сосудистые мальформации, а не истинные опухоли. Обычно они возникают у плода в конце первого либо в начале второго триместра внутриутробного развития. Хотя происхождение патологии остается до конца не изученным, этиологическими факторами могут выступать:
- Аномалии эмбриогенеза. Возникновение патологии связывают с пороками эмбрионального развития лимфатической системы (дизонтогенезом). Указывают на роль сосудистого эндотелиального фактора роста (VEGF-C) и рецепторов к нему (VEGFR-3), влияющих на пролиферативную активность клеток.
- Геномные и генные мутации. Выявлено, что более половины случаев ангиом ассоциированы с хромосомными аберрациями у плода. Часто лимфангиомы наблюдают при синдромах Шерешевского-Тернера, Дауна, трисомии 13, 18. Аутосомно-доминантное наследование наблюдается при синдроме Нунан.
- Интоксикации. Нарушение развития лимфатических сосудов может опосредоваться внутриутробным токсическим повреждением. Описаны случаи опухолей у детей, родившихся от женщин, подвергшихся во время беременности воздействию свинца или его соединений.
Вторичный характер имеют опухоли, обусловленные нарушением лимфатического дренажа (поверхностные аномалии при лимфангите, лимфогранулеме, панникулите), связанные с мальротацией и заворотом кишечника (внутрибрюшные). Сосудистые мальформации могут развиваться после механической травмы, в частности, на фоне синдрома Горхэма-Стоута.
Патогенез
Механизмы развития лимфангиомы изучены недостаточно хорошо. Основным патологическим процессом многие исследователи называют объединение лимфатических цистерн в глубоком подкожном пространстве. Они отделены от нормальной сосудистой сети, но сообщаются с поверхностными капиллярами через вертикальные расширенные каналы. Предположительно, цистерны возникают из примитивного лимфатического мешка, неспособного объединиться с остальной частью лимфатической системы в эмбриогенезе.
Гипертрофированные мышечные волокна, выстилающие секвестрированные участки, поддерживают ритмические сокращения стенки, что приводит к увеличению давления с дилатацией восходящих к коже каналов. Вокруг измененных лимфатических сосудов поверхностных и глубоких отделов дермы происходят процессы фиброза, эпидермис подвергается акантозу, папилломатозу, гиперкератозу. Некоторые варианты лимфангиом сопровождаются выраженным инфильтративным ростом, но без разрушения тканей. Метастазов опухоли не дают.
Классификация
Исходя из локализации, различают поверхностные (кожи, подкожной клетчатки) и глубокие лимфангиомы. Первые могут поражать практически любую зону, особенно часто вовлекаются голова, шея, подмышечные впадины. Глубокие обнаруживаются во внутренних органах (печень, селезенка, почки) и полостях тела (абдоминальная, забрюшинное пространство, средостение). В клинической ангиологии распространена патоморфологическая классификация опухолей:
- Капиллярные (простые). Образуются при разрастании лимфатических капилляров кожи и подкожных тканей. Опухолевидные очаги имеют небольшие размеры, тонкостенные, охватывают ограниченные участки.
- Кавернозные. Характеризуются расширением довольно крупных протоков с образованием полостей и щелей, заполненных лимфатической жидкостью. Имеют петлистое строение из-за множества соединительнотканных перегородок, на разрезе напоминают губчатую ткань.
- Кистозные (гигромы). Представляют собой полости различного размера, изолированные от смежных лимфатических сосудов. Заполнены серозным, хилезным или геморрагическим содержимым. Бывают единичными или множественными, сообщающимися между собой.
Кроме того, встречаются смешанные опухоли (лимфангиофиброма, лимфгемангиома). По этиологии мальформации бывают первичными (врожденными) и вторичными (приобретенными). Критерий распространенности позволяет выделить локальные и диффузные формы, а с учетом влияния на близлежащие ткани и органы лимфангиомы могут протекать без видимых нарушений или сопровождаться явной дисфункцией и структурными деформациями.
Симптомы лимфангиомы
Клиническая картина определяется локализацией, гистологической структурой, распространением опухоли, анатомо-топографическими особенностями вовлеченных участков, эффективностью проводимого ранее лечения. Ангиоматозные очаги располагаются в любой области, где есть лимфоидная ткань. Часто поражаются лицо (губы, язык, околоушно-жевательная зона), туловище. Но в патологический процесс могут вовлекаться лимфатические узлы, внутренние органы, костная ткань. Развитие опухоли медленное, синхронное с ростом ребенка, в большинстве случаев бессимптомное.
Капиллярная лимфангиома начинается как небольшое постепенно уплотняющееся пятно. Образование имеет нечеткие границы и бугристую поверхность, покрытую мелкими (2–4 мм в диаметре) узелковыми элементами эластичной консистенции, окрашенными в розово-красный цвет. Площадь пораженной кожи со временем расширяется. Иного дискомфорта, кроме эстетического, аномалия обычно не приносит. Иногда из узелковых элементов просачивается лимфа, при травматизации они кровоточат. Увеличиваясь в объеме и приобретая диффузный характер, опухоль давит на подлежащие структуры, что может сопровождаться костными деформациями у детей.
При кистозной или кистозно-кавернозной лимфангиоме лица и шеи наблюдается ограниченная припухлость размером от 3 до 30 см в диаметре, обращенная наружу или в сторону ротовой полости. Кожа над ней обычной окраски или с цианотичным оттенком, растянута, свободна или спаяна с опухолевой массой. Поверхность очага гладкая или бугристая, консистенция мягкая, пальпация безболезненна. Характерен симптом флюктуации.
Особенностью обширных лимфангиом в полости рта, шеи, средостения является периодически возникающее воспаление. Это сопровождается лихорадкой, общей слабостью, появлением локальных симптомов – покраснения, отечности, резкой болезненности пораженной зоны. Воспалительный процесс длится 1–2 недели и постепенно стихает, делая опухоль более плотной.
Интраабдоминальная лимфангиома может давать картину объемного образования, сопровождаясь болью в животе, тошнотой и анорексией, признаками кишечной непроходимости. Симптомы «острого живота» нередко принимают за признак более распространенной хирургической патологии. У некоторых детей отмечают асимметричное увеличение живота с пальпируемой безболезненной опухолью, удовлетворительным общим состоянием. Лимфангиомы малых размеров протекают бессимптомно, выявляясь лишь дополнительными методами.
Осложнения
Несмотря на доброкачественный характер, лимфангиома считается потенциально опасным образованием. Сосудистые аномалии больших размеров в зоне шеи и головы плода блокируют его выход через родовые пути матери, сдавливают и смещают соседние структуры. Диффузное поражение дна ротовой полости может вызвать расстройства дыхания, вплоть до асфиксии, невозможность приема пищи. Мальформации орбитальной зоны приводят к зрительным нарушениям, а локализованные в брюшной полости сопровождаются кишечной непроходимостью, иногда разрываются.
Поверхностные лимфангиомы легко травмируются и кровоточат, воспаленные ангиодисплазии в шейно-лицевой зоне могут стать источником серьезных инфекционных осложнений. Сообщается о более высоком риске развития у пациентов эпителиоидной гемангиоэндотелиомы и лимфангиосаркомы. То есть лимфатическая аномалия является не просто косметическим дефектом – она может привести к выраженным функциональным расстройствам и стать причиной состояний, создающих реальную угрозу для жизни.
Диагностика
Предположить поверхностную лимфангиому несложно по характерной клинической картине, истечению лимфы при ее пунктировании. В диагностически сложных случаях, включая аномалии глубокой локализации, врачу-лимфологу необходимы данные методов инструментальной визуализации:
- Ультрасонография опухоли. УЗДГ поверхностных лимфангиом выявляет увеличение объема мягких тканей, повышение их акустической плотности с множественными гипо- и анэхогенными участками округлой или овальной формы, объединенными в единый конгломерат. Эхография определяет не только структуру и локализацию опухоли, но и состояние окружающих образований.
- Магнитно-резонансная томография. По результатам МРТ мягких тканей удается точно определить степень поражения и морфологические характеристики сосудистой мальформации. Результаты исследования помогают сформировать правильную лечебную тактику, избежав необоснованных хирургических вмешательств.
- Лимфография. Позволяет исследовать состояние лимфатических сосудов, определить размеры очага и его связь с соседними органами. Лимфография осуществляется путем введения непосредственно в опухоль водорастворимого контрастного вещества и выполнения серии прицельных рентген-снимков в двух проекциях.
В диагностике поверхностной ограниченной лимфангиомы помогает дерматоскопия, определяющая узелки с прозрачной жидкостью и выраженный лакунарный рисунок. При накоплении кровянистого содержимого отличия от гемангиомы помогает установить гистологическое исследование, дополненное иммуногистохимическими тестами (с антигеном фактора VIII, ламинином).
Лечение лимфангиомы
Ни одна из консервативных стратегий терапии не доказала своей эффективности при лимфатических мальформациях. Обеспечить уменьшение опухолевой массы или полное ее удаление могут лишь инвазивные методики. Способ коррекции выбирают, опираясь на локализацию лимфангиомы, размеры, глубину залегания, распространение, наличие осложнений. Допустимы следующие варианты:
- Склеротерапия. Введение в сосудистую аномалию склерозирующих веществ (блеомицина, пицибанила, этоксисклерола) ведет к сокращению ее размеров. Склеротерапия дает хороший косметический результат, а потому более предпочтительна при поражении шейно-лицевой зоны. Показана перед операцией или при невозможности выполнить полную резекцию.
- Радикальное иссечение. При удалении опухолевого очага наиболее целесообразно традиционное хирургическое вмешательство. Радикальную эксцизию считают методом выбора при крупных кавернозных образованиях и необходимости выполнения ургентной операции. Однако удаление глубоких мальформаций сопровождается высоким риском рецидива.
- Малоинвазивные методы. Лечение поверхностных лимфангиом может проводиться углекислотным лазером, криотерапией, электрокоагуляцией. Они менее травматичны по сравнению с традиционным иссечением, позволяют сократить сроки реабилитации. Иногда для получения значимого эффекта достаточно всего одной процедуры.
В послеоперационном периоде для оценки полученных результатов и риска рецидива выполняют контрольные исследования. Назначаются нестероидные противовоспалительные, антибактериальные средства, при локализации опухолей на нижних конечностях применяется компрессионная терапия.
Прогноз и профилактика
Лимфангиомы являются доброкачественными лимфатическими пороками развития, а не истинными опухолями. Но приобретая крупные размеры, они способны провоцировать функциональные расстройства и приводить к развитию жизнеугрожающих состояний. Своевременная коррекция делает прогноз благоприятным, хотя риск рецидива все же существует. Учитывая преимущественно врожденный характер аномалий, мероприятия первичной профилактики не разработаны. Вероятность рецидивирующего течения уменьшается оптимальным выбором лечебной тактики.
1. Лимфангиома в практике акушера-гинеколога/ Корбут И.А. и др.// Проблемы здоровья и экологии. – 2016. – № 4(50).
2. Лимфангиомы брыжейки тонкой кишки у детей (обзор литературы и собственные клинические наблюдения)/ Шароев Т. А., Бурков И. В. и др.// Российский вестник детской хирургии, анестезиологии и реаниматологии. - 2012 - №2.
3. Лечение лимфангиомы лазером на парах меди/ Ключарева С.В. и соавт.// Российский журнал кожных и венерических болезней. – 2016 - №9(6).
Опухоли средостения
Опухоли средостения – группа разнородных в морфологическом плане новообразований, расположенных в медиастинальном пространстве грудной полости. Клиническая картина складывается из симптомов компрессии или прорастания опухоли средостения в соседние органы (болей, синдрома верхней полой вены, кашля, одышки, дисфагии) и общих проявлений (слабости, повышение температуры, потливости, похудания). Диагностика опухолей средостения включает рентгенологическое, томографическое, эндоскопическое обследование, трансторакальную пункционную или аспирационную биопсию. Лечение опухолей средостения – оперативное; при злокачественных новообразованиях дополняется лучевой и химиотерапией.


Опухоли и кисты средостения составляют 3-7% в структуре всех опухолевых процессов. Из них в 60-80% случаев выявляются доброкачественные опухоли средостения, а в 20-40% - злокачественные (рак средостения). Опухоли средостения возникают с одинаковой частотой у мужчин и у женщин, преимущественно в возрасте 20-40 лет, т. е. у наиболее социально-активной части населения.
Опухоли медиастинальной локализации характеризуются морфологическим разнообразием, вероятностью первичной злокачественности или малигнизации, потенциальной угрозой инвазии или компрессии жизненно важных органов средостения (дыхательных путей, магистральных сосудов и нервных стволов, пищевода), техническими сложностями хирургического удаления. Все это делает опухоли средостения одной из актуальных и наиболее сложных проблем современной торакальной хирургии и пульмонологии.
Анатомия средостения
Анатомическое пространство средостения спереди ограничено грудиной, позадигрудинной фасцией и реберными хрящами; сзади - поверхностью грудного отдела позвоночника, предпозвоночной фасцией и шейками ребер; по бокам - листками медиастинальной плевры, снизу – диафрагмой, а сверху - условной плоскостью, проходящей по верхнему краю рукоятки грудины.
В границах средостения располагаются вилочковая железа, верхние отделы верхней полой вены, дуга аорты и ее ветви, плечеголовной ствол, сонные и подключичные артерии, грудной лимфатический проток, симпатические нервы и их сплетения, ветви блуждающего нерва, фасциальные и клетчаточные образования, лимфатические узлы, пищевод, перикард, бифуркация трахеи, легочные артерии и вены и др. В средостении выделяют 3 этажа (верхний, средний, нижний) и 3 отдела (передний, средний, задний). Этажам и отделам средостения соответствует локализация новообразований, исходящих из расположенных там структур.
Все опухоли средостения делятся на первичные (изначально возникающие в медиастинальном пространстве) и вторичные (метастазы новообразований, расположенных вне средостения).
Первичные опухоли средостения образуются из разных тканей. В соответствии с генезом среди опухолей средостения выделяют:
- неврогенные новообразования (невриномы, неврофибромы, ганглионевромы, злокачественные невриномы, параганглиомы и др.)
- мезенхимальные новообразования (липомы, фибромы, лейомиомы, гемангиомы, лимфангиомы, липосаркомы, фибросаркомы, лейомиосаркомы, ангиосаркомы)
- лимфоидные новообразования (лимфогранулематоз, ретикулосаркомы, лимфосаркомы)
- дисэмбриогенетические новообразования (тератомы, внутригрудной зоб, семиномы, хорионэпителиомы)
- опухоли вилочковой железы (доброкачественные и злокачественные тимомы).
Также в средостении встречаются так называемые псевдоопухоли (увеличенные конгломераты лимфоузлов при туберкулезе и саркоидозе Бека, аневризмы крупных сосудов и др.) и истинные кисты (целомические кисты перикарда, энтерогенные и бронхогенные кисты, эхинококковые кисты).
В верхнем средостении чаще всего обнаруживаются тимомы, лимфомы и загрудинный зоб; в переднем средостении - мезенхимальные опухоли, тимомы, лимфомы, тератомы; в среднем средостении - бронхогенные и перикардиальные кисты, лимфомы; в заднем средостении - энтерогенные кисты и неврогенные опухоли.

КТ ОГК. Массивное объемное образование верхнего средостения с объемным воздействием на трахею, исходящее из щитовидной железы.
Симптомы опухолей средостения
В клиническом течении опухолей средостения выделяют бессимптомный период и период выраженной симптоматики. Длительность бессимптомного течения определяется локализацией и размерами опухолей средостения, их характером (злокачественным, доброкачественным), скоростью роста, взаимоотношениями с другими органами. Бессимптомные опухоли средостения обычно становятся находкой при проведении профилактической флюорографии.
Общая симптоматика при опухолях средостения включает слабость, лихорадку, аритмии, бради- и тахикардию, похудание, артралгии, плеврит. Данные проявления в большей степени свойственны злокачественным опухолям средостения.
Болевой синдром
Наиболее ранними проявлениями как доброкачественных, так и злокачественных опухолей средостения, являются боли в грудной клетки, обусловленные сдавлением или прорастанием новообразования в нервные сплетения или нервные стволы. Боли обычно носят умеренно интенсивный характер, могут иррадиировать в шею, надплечье, межлопаточную область.
Опухоли средостения с левосторонней локализацией могут симулировать боли, напоминающие стенокардию. При сдавлении или инвазии опухолью средостения пограничного симпатического ствола нередко развивается симптом Горнера, включающий миоз, птоз верхнего века, энофтальм, ангидроз и гиперемию пораженной стороны лица. При болях в костях следует думать о наличии метастазов.
Компрессионный синдром
Компрессия венозных стволов, прежде всего, проявляется так называемым синдромом верхней полой вены (СВПВ), при котором нарушается отток венозной крови от головы и верхней половины туловища. Синдром ВПВ характеризуется тяжестью и шумом в голове, головной болью, болями в груди, одышкой, синюшностью и отечностью лица и грудной клетки, набуханием вен шеи, повышением центрального венозного давления. В случае сдавления трахеи и бронхов возникают кашель, одышка, стридорозное дыхание; возвратного гортанного нерва - дисфония; пищевода – дисфагия.
Специфические проявления
При некоторых опухолях средостения развиваются специфические симптомы. Так, при злокачественных лимфомах отмечаются ночная потливость и кожный зуд. Фибросаркомы средостения могут сопровождаться спонтанным снижением уровня глюкозы в крови (гипогликемией). Ганглионевромы и нейробластомы средостения могут продуцировать норадреналин и адреналин, что приводит к приступам артериальной гипертензии. Иногда они секретируют вазоинтестинальный полипептид, вызывающий диарею. При внутригрудном тиреотоксическом зобе развиваются симптомы тиреотоксикоза. У 50 % пациентов с тимомой выявляется миастения.
Многообразие клинических проявлений не всегда позволяет пульмонологам и торакальным хирургам диагностировать опухоли средостения по данным анамнеза и объективного исследования. Поэтому ведущую роль в выявлении опухолей средостения играют инструментальные методы.
- Рентгеновская диагностика. Комплексное рентгенологическое обследование в большинстве случаев позволяет четко определить локализацию, форму и размеры опухоли средостения и распространенность процесса. Обязательными исследованиями при подозрении на опухоль средостения являются рентгеноскопия грудной клетки, полипозиционная рентгенография, рентгенография пищевода. Данные рентгенологического исследования уточняются с помощью КТ грудной клетки, МРТ или МСКТ легких.

- Эндоскопическая диагностика. При опухолях средостения используются бронхоскопия, медиастиноскопия, видеоторакоскопия. При проведении бронхоскопии исключается бронхогенная локализация опухолей и прорастание опухолью средостения трахеи и крупных бронхов.
- Пункционная биопсия. Также в процессе исследований возможно выполнение транстрахеальной или трансбронхиальной биопсии опухоли средостения. В ряде случаев взятие образцов патологической ткани осуществляется посредством трансторакальной аспирационной или пункционной биопсии, проводимой под ультразвуковым или рентгенологическим контролем. При подозрении на лимфоидные опухоли средостения выполняется костномозговая пункция с исследованием миелограммы.
- Хирургическая биопсия. Предпочтительными способами получения материала для морфологического исследования являются медиастиноскопия и диагностическая торакоскопия, позволяющие осуществить биопсию под контролем зрения. В некоторых случаях возникает необходимость в проведении парастернальной торакотомии (медиастинотомии) для ревизии и биопсии средостения. При наличии увеличенных лимфоузлов в надключичной области проводят прескаленную биопсию.
Лечение опухолей средостения
В целях профилактики малигнизации и развития компрессионного синдрома все опухоли средостения должны быть удалены как можно в более ранние сроки. Для радикального удаления опухолей средостения используются торакоскопический или открытый способы. При загрудинном и двустороннем расположении опухоли в качестве оперативного доступа преимущественно используется продольная стернотомия. При односторонней локализации опухоли средостения применяется передне-боковая или боковая торакотомия.
Пациентам с тяжелым общесоматическим фоном может быть осуществлена трансторакальная ультразвуковая аспирация новообразования средостения. При злокачественном процессе в средостении производится радикальное расширенное удаление опухоли либо паллиативное удаление опухоли в целях декомпрессии органов средостения.
Вопрос о применении лучевой и химиотерапии при злокачественных опухолях средостения решается, исходя из характера, распространенности и морфологических особенностей опухолевого процесса. Лучевое и химиотерапевтическое лечение применяется как самостоятельно, так и в комбинации с оперативным лечением.
1. Новообразования средостения: принципы дифференциальной диагностики и хирургического лечения: Автореферат диссертации/ Пищик В.Г. – 2008.
Читайте также:
