Лимфатическая мальформация головы и шеи - лучевая диагностика
Добавил пользователь Евгений Кузнецов Обновлено: 17.11.2025
Категории МКБ: Гемангиома и лимфангиома любой локализации (D18), Другие уточненные врожденные аномалии системы периферических сосудов (Q27.8), Периферический артериовенозный порок развития (Q27.3), Синдромы врожденных аномалий, вовлекающих преимущественно конечности (Q87.2)
Общая информация
Краткое описание
Одобрен
Объединенной комиссией по качеству медицинских услуг
Министерства здравоохранения Республики Казахстан
от «25» июня 2020 года
Протокол №101
Артериовенозная мальформация (АВМ) – это нарушение в строении артерии, приводящее к образованию одного или нескольких прямых соединений между артериями и венами. Обычно артерии доставляют насыщенную кислородом кровь к органам и тканям. При аномальном скоплении артерий на одном участке туда поступает слишком много крови, что создает условия для артеризаций одноименных вен и перегрузке правых отделов сердца.
Венозная и Лимфатическая мальформации (ВМ/ЛМ) – это врожденный порок развития, характеризирующийся наличием патологических венозных/лимфатических коммуникаций с прогрессирующим застоем венозной крови/лимфы в полостях.
Младенческая гемангиома (инфантильная гемангиома) – это доброкачественная сосудистая опухоль, наиболее часто встречающаяся у детей первого года жизни, развивающаяся из эндотелиальной ткани в первые месяцы жизни и способная к спонтанной инволюции в течении последующих лет.
Название протокола: СОСУДИСТЫЕ АНОМАЛИИ РАЗЛИЧНОЙ ЛОКАЛИЗАЦИИ (артериовенозная мальформация, венозная мальформаци, лимфатическая мальформация и их комбинации, сосудистые опухоли)
Код(ы) МКБ-10:
| МКБ-10 | |
| Q27.3 | Периферический артериовенозный порок развития |
| Q27.8 | Другие уточненные врожденные аномалии системы периферических сосудов |
| Q87.2 | Синдромы врожденных аномалий, вовлекающих преимущественно конечности (синдром Клиппеля-Треноне) |
| D18.0 | Гемангиома любой локализации |
| D18.1 | Лимфангиома любой локализации |
Дата разработки протокола/пересмотра протокола: 2019 год.
Сокращения, используемые в протоколе:
АВМ – артерио-венозная мальформация
АВС – артерио-венозный свищ
ВМ – венозная мальформация
ЛМ – лимфатическая мальформация
ИГ – инфантильная гемангиома
КАД – капиллярная ангиодисплазия (мальформация), «винные пятна»
АЧТВ – активированное частичное тромбопластиновое время
КТ – компьютерная томография
КТА – компьютерно-томографическая ангиография
МНО – международное нормализованное отношение
МРА – магнитно-резонансная ангиография
МРТ – магнитно-резонансная томография
МСКТА – мультиспиральная компьютерно-томографическая ангиография
ОАМ – общий анализ мочи
ПВ – протромбиновое время
ПТИ – протромбиновый индекс
УД – уровень доказательности
УЗДГ – ультразвуковая допплерография
УЗИ – ультразвуковое исследование
Пользователи протокола: ангиохирургии, кардиологи, педиатры, врачи общей практики, дерматологи.
Лимфатическая мальформация головы и шеи - лучевая диагностика
а) Терминология:
1. Аббревиатура:
• Венозная мальформация (ВМ) = предпочтительный термин
2. Синонимы:
• Кавернозная мальформация, кавернозная гемангиома: термины, которые необходимо избегать
3. Определение:
• ВМ: врожденная аномалия венозных сосудов с медленным или низким посткапиллярным кровотоком: сосудистые синусоиды, выстланные эндотелием
б) Визуализация:
1. Общая характеристика:
• Лучший диагностический критерий:
о Мягкотканное «объемное образование» с флеболитами
• Локализация:
о Любое просгранство(а) головы и шеи
о Чаще всего в области щеки
о Также часто встречается в жевательном пространстве, подъязычном пространстве, языке, глазнице, задних отделах шеи
о Глубокая или поверхностная, диффузная или ограниченная
о Голова и шея (40%), конечности (40%), туловище (20%)
• Размер:
о Варьирует, может быть очень большого размера
• Морфология:
о Единичное (или множественное) многокамерное образование
о Отграниченное или распространенное (с вовлечением нескольких смежных анатомических зон)
о ± лимфатическая мальформация (ЛМ), с формированием смешанной венозно-лимфатической мальформации (ВЛМ)
2. Рентгенография:
• Используется ограниченно и позволяет обнаружить флеболиты или трофические изменения прилежащих костей

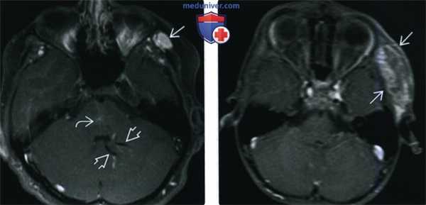
(Слева) При аксиальной МРТ Т1ВИ С+ FS в левой височной мышце визуализируется венозная мальформация, умеренно накапливающая контраст; в левой гемисфере мозжечка определяется врожденная венозная аномалия, в области моста мозга также визуализируется вероятная венозная аномалия меньшего размера или телеангиэктазия.
(Справа) При аксиальной МРТ Т1ВИ С+ FS в левой височной ямке визуализируется венозная мальформация, неравномерно накапливающая контраст.
3. КТ при венозной мальформации головы и шеи:
• КТ без КУ:
о Мягкотканное образование с фестончатыми краями, изоденсное мышцам
о С обызвествлениями округлой формы (флеболитами)
• КТ с КУ:
о Выраженность кровотока в образовании варьирует:
- Обусловливает индивидуальность симптоматики и контрастного усиления
о Вариабельное контрастное усиление отражает медленный ток крови по направлению к мальформации и внутри нее
о Характер контрастного усиления варьирует:
- Отсроченное «пятнистое» или равномерное интенсивное
о Лимфатический компонент ВЛМ не накапливает контраст
о Оссеозное ремоделирование прилежащих костей
о Гипертрофия жировой ткани возле мальформации
• КТ-ангиография:
о Отсутствуют расширенные питающие артерии
о Часто наблюдаются расширенные дренирующие вены
4. МРТ при венозной мальформации головы и шеи:
• Т1ВИ:
о Многокамерное образование с вариабельной интенсивностью сигнала:
- Изо-/гипоинтенсивный сигнал по сравнению с мышцами
о Регионарная гипертрофия жировой ткани
• Т2ВИ:
о Внешний вид зависит от размера каналов:
- Крупные каналы: напоминает кисту, разделенную перегородками, с гиперинтенсивным содержимым
- Каналы меньшего размера: выглядят как округлые или вытянутые участки выпадения сигнала
о Флеболиты: округлые или овальные участки выпадения сигнала
о Участки выпадения сигнала в кровеносных сосудах атипичны:
- При наличии = расширенные диспластические дренирующие вены
• Т1ВИ С+:
о Контрастное усиление варьирует: отсроченное, равномерное или неравномерное, минимальное или интенсивное
о Лимфатический компонент ВЛМ не накапливает контраст
• МР-венография:
о Расширенные вены, связанные с мальформацией
о Сопутствующие аномалии интракраниальных венозных сосудов
5. УЗИ при венозной мальформации головы и шеи:
• Губчатое, податливое образование
• Мальформации из небольших сосудистых каналов, более эхо-генны и не так подвержены сдавлению, как образования из сосудов с широким просветом
• При цветовой допплерографии артериальный кровоток отсутствует
• При надавливании УЗ-датчиком может наблюдаться усиление венозного кровотока
• Флеболиты = гиперэхогенные очаги с акустической тенью
6. Другие методы диагностики:
• Особенности строения и дренирующие вены лучше всего визуализируются после прямого введения в венозные синусоиды контраста
• Даже в этом случае может не обнаруживаться свободного перемещения контраста между компонентами мальформации
• Мальформация из крупных каналов, напоминает виноградную гроздь, образование из мелких каналов - хлопковую вату
7. Рекомендации по визуализации:
• Лучший метод диагностики:
о У взрослых КТ лучше всего позволяет обнаружить флеболиты о МРТ-наилучший метод оценки распространенности объемного образования и визуализации лимфатического компонента ВЛМ
о УЗИ при поверхностно расположенных мальформациях
• Выбор протокола:
о КТ следует избегать у детей:
- У детей нужно использовать УЗИ ± МРТ
о МРТ С+ и сатурацией жира:
- STIR или FS (Т2 ВИ) для оценки полной распространенности мальформации
- Последовательности градиентного эха -чтобы убедиться в отсутствии сосудов с высоким током

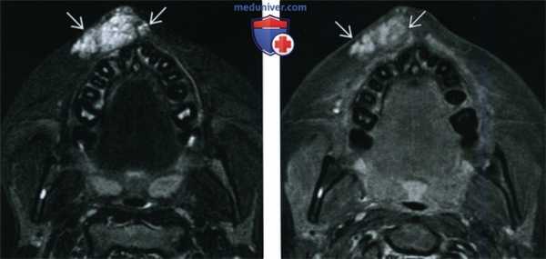
(Слева) При аксиальной МРТ STIR в подкожных тканях в области верхней губы определяется венозная мальформация в виде объемного образования с бугристыми краями, хорошо отграниченного от окружающих тканей. Патологические изменения со стороны костей и зубов отсутствуют.
(Справа) При аксиальной МРТ Т1ВИ С+ FS y этого же пациента визуализируются патологически расширенные венозные сосуды, умеренно и неравномерно накапливающие контраст.
в) Дифференциальная диагностика венозной мальформации головы и шеи:
1. Лимфатическая мальформация:
• Другое частое медленно- или низкопотоковое образование
• Податливое макрокистозное образование в мягких тканях, заполненное жидкостью:
о С тонкими перегородками, накапливающими контраст, включениями дебриса, уровнями «кровь-жидкость»
• Нет флеболитов, не накапливает контраст (за исключением смешанной ВЛМ)
• Единичная или множественная, располагается в одной или нескольких зонах
2. Младенческая гемангиома:
• Характерный жизненный цикл: небольшой размер после рождения, быстрый рост в младенчестве, постепенная инволюция с возрастом
• Доброкачественное сосудистое новообразование капилляров:
о Пролиферация эндотелия, маркер → LUT (+)
• Выпадение сигнала в кровеносных сосудах при допплерографии
• Быстрое, равномерное и интенсивное контрастное усиление
• Отсутствие флеболитов
3. Дермоид и эпидермоид:
• Возможны кальцинаты округлой формы (дермоид)
о Находятся в объемном образовании, содержащем жир
• Содержимое дермоидной кисты при УЗИ выглядит гиперэхогенным
4. Артериовенозная мальформация:
• «Клубок» высокопотоковых участков выпадения сигнала на УЗИ и МРТ
• Гиперинтенсивные (Т2) участки, выглядящие кистозными, нетипичны
• Флеболиты обнаруживаются редко

(Слева) Нa поперечной сонограмме верхних отделов шеи визуализируется кистозное объемное образование смешанной структуры с расширенными синусоидами и эхогенным флеболитом, наличие которого позволяет сделать вывод о венозной мальформации. Тем не менее, УЗИ не позволяет оценить распространенность больших мальформаций в глубокие отделы шеи или подтвердить множественность (из статьи на сайте «Лучевая диагностика: УЗИ»).
(Справа) На поперечной сонограмме у ребенка с безболезненным объемным образованием в нижних отделах шеи визуализируется кистозный очаг с ровными краями: расширенное синусоидальное пространство с небольшими включениями дебриса и перегородками внутри. Обратите внимание на заднее акустическое усиление - признак кистозной природы образования.
г) Патология:
1. Общая характеристика:
• Этиология:
о Врожденное нарушение формирования венозных сосудов
• Генетические нарушения:
о Большинство ВМ (50% спорадических ВМ) связаны с мутациями в гене ТЕК
• Сопутствующие патологические изменения:
о У 70% пациентов с периорбитальной ЛМ или ВЛМ имеются аномалии внутричерепных сосудов и вещества мозга:
- Врожденная венозная аномалия, церебральная кавернозная мальформация, артерио-венозная мальформация (АВМ) твердой (или мягкой) мозговой оболочки, перикраниальный синус
2. Стадирование, классификация венозной мальформации головы и шеи:
о Классификация ВМ Международного Сообщества по Изучению Сосудистых Аномалий пересмотра 2014 г.:
- Простая ВМ (94%)
- Семейная кожно-мышечная ВМ: мутации в гене ТЕК, кодирующем синтез эндотелиального рецептора тирозинкиназы:
Множественное поражение губ и языка
Расширение вен шеи и верхних конечностей
- Синдром голубого пузырчатого («резинового») невуса:
Множественные ВМ кожи, мышц, желудочно-кишечного тракта
- Гломувенозная мальформация: мутации гена в коротком плече 1 хромосомы:
Гломусные клетки в венозной мальформации
- Церебральная кавернозная мальформация
3. Макроскопические и хирургические особенности:
• Плохо отграниченная сосудистая мальформация, состоящая из неправильных венозных каналов
4. Микроскопия:
• Венозные каналы с различным просветом и толщиной стенки
• Каналы выстланы плоским эндотелием без митотической активности и содержат небольшое количество гладких мышц в стенке
• Внутренняя эластическая пластинка отсутствует
• Тромбы в просвете, флеболиты
д) Клинические особенности:
1. Проявления:
• Типичные признаки/симптомы:
о Объемное образование мягких тканей в виде «губки» без флюктуации:
- Голубые пятна на коже при поверхностной локализации
о Мальформация растет вместе с пациентом
о ↑↑ при выполнении пробы Вальсальвы, наклоне вперед, крике
о Быстрый рост после травмы или при инфицировании; в результате гормональных влияний во время полового созревания или беременности
2. Демография:
• Возраст:
о Присутствует при рождении
о Клинически может проявляться в любом возрасте, обычно у детей, подростков и молодых взрослых
• Эпидемиология:
о Самая распространенная сосудистая мальформация головы и шеи
3. Течение и прогноз:
• Прогноз зависит от размеров и локализации
• Распространенные ВМ большого размера могут приводить к нарушениям здоровья в течение всей жизни
4. Лечение:
• Консервативное лечение:
о Компрессионная одежда
о Противовоспалительные средства
о Гепарин с низкой молекулярной массой при ↑ риска тромбоза
• Чрескожные вмешательства:
о Прямое введение склерозирующего агента под контролем УЗИ/рентгеноскопии:
- Возможно, неоднократное
о Лазерная абляция поверхностно расположенных ВМ
о Эндоваскулярная абляция варикозно расширенных вен:
- Радиочастотная или лазерная
• Хирургическое лечение: резекция ограниченных мальформаций:
о Может использоваться в сочетании с чрескожной склеротерапией
е) Диагностическая памятка:
1. Следует учесть:
• Увеличение объемного образования в размерах при выполнении пробы Вальсальвы, крике, наклонах:
о Все эти клинические признаки подозрительны на ВМ
2. Советы по интерпретации изображений:
• Наличие флеболитов на КТ, или гиперинтенсивное (Т2) объемное образование лица - наиболее специфичный лучевой признак ВМ
ж) Список использованной литературы:
1. Wassef М et al: Vascular anomalies classification: recommendations from the International Society for the Study of Vascular Anomalies. Pediatrics. 136(1):e203-14, 2015
2. Kollipara R et al: Current classification and terminology of pediatric vascular anomalies. AJR Am J Roentgenol. 201 (5): 1124-35, 2013
3. Scolozzi P et al: Intraoral venous malformation presenting with multiple phlebo-liths. OralSurg Oral Med Oral Pathol Oral Radiol Endod. 96(2): 197-200, 2003
4. Boukobza M et al: Cerebral developmental venous anomalies associated with head and neck venous malformations. AJNR Am J Neuroradiol. 17(5): 987-94, 1996
5. Baker LL et al: Hemangiomas and vascular malformations of the head and neck: MR characterization. AJNR AmJ Neuroradiol. 14(2)307-14, 1993
1. Аббревиатура:
• Лимфатическая мальформация (ЛМ)
2. Синонимы:
• Типичная (кистозная) ЛМ, лимфатическая аномалия
• Не следует использовать неверные и неоднозначные термины:
о «Кистозная гигрома» используется для обозначения патологической задней срединной «затылочной прозрачности» при раннем УЗИ плода:
- Отличается от ЛМ переднебоковых отделов шеи, которая не обусловлена хромосомными аномалиями
о «Лимфангиома» означает новообразование:
- ЛМ имеет неопухолевую природу
3. Определение:
• Один из вариантов врожденной мальформации с малым/мед-ленным током, в результате нарушения формирования лимфатических сосудов:
о Хорошо отграниченное кистозоподобное образование (макрокистозная ЛМ) ±солидное инфильтративное (микрокистозная ЛМ) образование из патологических лимфатических каналов:
- Размер макрокисты > 1 см, микрокисты < 1 см
о Не сообщается с неизмененными лимфатическими сосудами
1. Общая характеристика:
• Локализация:
о Лицо, шея, грудная клетка, подмышечная область >> живот, таз, конечности
о Фокальная >> мультифокальная
о Мягкие ткани >> кости
о Часто пересекает тканевые пластинки/смежные анатомические зоны
• Размер:
о Существенно варьирует
о Быстро прогрессирует при кровоизлиянии, инфицировании или гормональной стимуляции (половое созревание, беременность)
• Морфология:
о Макрокистозный вариант: хорошо отграниченное кистозное образование с бугристыми краями и множественными тонкими перегородками внутри
о Микрокистозный вариант: хуже отграниченное образование инфильтративного характера, выглядящее солидным
о Могут наблюдаться оба варианта

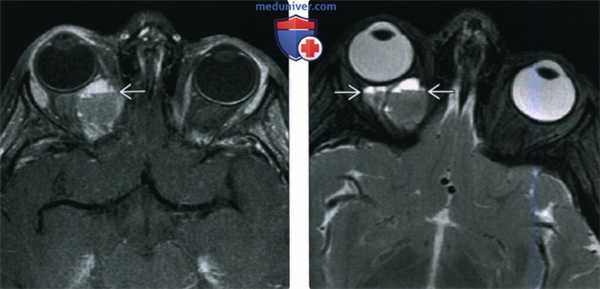
(Слева) При аксиальной Т1ВИ С+ FS у ребенка старшего возраста с обострением хронического правостороннего проптоза, обусловленного геморрагической лимфатической мальформацией глазницы, определяется жидкость белковою и геморрагического характера; видны уровни «жидкость-жидкость» на границе раздела сред.
(Справа) При аксиальной MPT Т2 FS у этого же пациента за глазным яблоком визуализируется крупное объемное образование с характерными уровнями «жидкость-жидкость». Различная высота уровней позволяет сделать заключение о многокамерном объемном образовании глазницы.
2. КТ при лимфатической мальформации головы и шеи:
• Многокамерное объемное образование с плотностью жидкости:
о Обычно гомогенное, но может содержать очаги ↑ плотности (кровоизлияния/белок) или ↓ плотности (жир/желчь):
- Нечеткие уровни «жидкость-жидкость» или продукты распада крови
• ± накопление контраста в перегородках
• Через ЛМ могут проходить венозные структуры
3. МРТ при лимфатической мальформации головы и шеи:
• Т2 (FS/STIR): образование с преимущественно гиперинтенсивным сигналом:
о Разделенное перегородками с гипоинтенсивным сигналом
о В некоторых кистах уровни «жидкость-жидкость» (кровоизлияние):
- Реже обнаруживаются на других последовательностях
• Т1 ВИ: кровоизлияния, включения белка, жир/желчь (гиперинтенсивный сигнал)
• Т1 ВИ С+ FS:
о Макрокистозная ЛМ:
- Контрастное усиление в виде тонкого «ободка» и перегородок
- Перегородки могут быть утолщенными вследствие перенесенного воспаления или кровоизлияния
о Микрокистозная ЛМ: ± сливное контрастное усиление инфильтрированной ткани
• МР-артерио (вено-) графия: отсутствие сосудов с высокой скоростью тока:
о Почти нормальные сосуды могут быть окружены инфильтративной ЛМ
4. УЗИ при лимфатической мальформации головы и шеи:
• Серошкальное УЗИ:
о Макрокистозная ЛМ: анэхогенное кистозное образование с тонкими перегородками внутри:
- ± ↑ эхогенности из-за кровоизлияний или включений белка
- Мягкое, податливое образование с «вихревыми» включениями дебриса
о Микрокистозная ЛМ: плохо отграниченная зона утолщения подкожных мягких тканей:
- Минимально гипо- или гиперэхогенная
• Цветовая допплерография:
о Признаки кровотока в кистах отсутствуют
о Возможно наличие кровотока в перегородках, обычно в случае, если мальформация окружает нормальные сосуды
5. Рекомендации по визуализации:
• Лучший метод диагностики:
о Ультрасонография часто позволяет обнаружить макрокистозную ЛМ, хотя глубокое распространение и отношение к жизненно важным структурам могут оставаться неясными
о МРТ обычно для подтверждения заключения и распространенности
• Выбор протокола:
о УЗИ для оценки любого объемного образования в мягких тканях, в том числе:
- С компрессией для оценки внутреннего содержимого
- С допплерографией для выявления кровотока и его оценки
о МРТ для оценки любого мягкотканного образования, в т.ч.:
- Т1 ВИ С+ FS с субтракцией (пре- из пост-):
Особенно уместен для ЛМ, поскольку укорочение Т1, обусловленное кровоизлиянием/белком, может затруднять интерпретацию постконтрастных изображений
о КТ с КУ (следует избегать у детей):
- КТ мягких тканей шеи с мультипланарным реформатированием

(Слева) При аксиальной КТ с КУ у мужчины 25 лет визуализируется баллотирующее объемное образование в надключичной области.
(Справа) При аксиальной МРТ Т2 FS у этого же пациента в задних отделах шеи визуализируется лимфатическая мальформация, принимающая форму окружающих ее структур, с сигнальными характеристиками, соответствующими жидкости. Обратите внимание на перегородки внутри образования, видимые на МРТ, но не визуализирующиеся на КТ с КУ.
в) Дифференциальная диагностика лимфатической мальформации головы и шеи:
1. Младенческая гемангиома:
• Истинное сосудистое доброкачественное новообразование
• Обладает типичным жизненный циклом: малая или отсутствует при рождении, быстро растет в раннем младенчестве, постепенно инволюционирует с годами
• Солидное мягкоктанное объемное образование овоидной или вытянутой формы, с фестончатыми краями, чаще всего в коже/подкожных тканях
• Различная эхогенность при сонографии, так как имеет смешанный характер и включает в себя пролиферативный/инволютивный компонент
• При допплерографии определяется выраженный кровоток
• На Т2ВИ определяется гиперинтенсивный (но не типичный для жидкости) сигнал, а также раннее диффузное контрастное усиление
2. Венозная мальформация:
• Ограниченное объемное образование или конгломерат патологических трубчатых каналов с низкой скоростью тока
• Гиперинтенсивный сигнал (жидкость) на Т2ВИ ± уровни «жидкость-жидкость»
• Выбухающие включения жира вдоль краев или перегородок
• Флеболиты в мягкотканном объемном образовании особенно патогномоничны
3. Артериовенозная мальформация:
• «Клубок» расширенных, извитых артерий и вен с солидным компонентом, выраженным в различной степени
• УЗИ, МРА/МРВ: высокая скорость кровотока, шунты
4. Саркома мягких тканей:
• Плотное, хорошо отграниченное солидное мягкотканное образование округлой или вытянутой формы, гиповаскулярное, вариабельно накапливающее контраст
• Может содержать и кистозный, и мягкотканный компонент
5. Инфекции мягких тканей:
• Целлюлит: плохо отграниченный участок утолщения мягких тканей с множественными «цепочками» скоплений жидкости неправильной формы
• Абсцесс: хорошо отграниченное скопление гипоэхогенной жидкости с мобильными включениями дебриса и толстой стенкой

(Слева) При аксиальной МРТ Т2 FS у ребенка с новообразованием бокового отдела живота визуализируется объемное образование с интенсивностью сигнала, соответствующей жидкости, вытянутой формы, разделенное перегородками, - типичная лимфатическая мальформация.
(Справа) При аксиальной MPT T2 FS у этого же пациента месяц спустя определяется выраженное перемежающееся накопление контраста в образовании. Визуализируются многочисленные уровни «жидкость-жидкость», типичные для продуктов лизиса крови, обусловленных внутренним кровоизлиянием.
1. Общая характеристика:
• Сопутствующие патологические изменения:
о Синдром Книппеля-Треноне:
- Капиллярно-лимфатико-венозная мальформация конечностей (обычно нижних) + избыточное разрастание жира и костей
- «Винные пятна» на наружной поверхности конечностей, лимфатические везикулы
- Варикозное расширение поверхностных вен:
Поверхностная венозная система может преобладать над глубокой, слабо выраженной или отсутствующей
о Врожденный избыток жировой ткани, сосудистые мальформации, эпидермальные невусы, аномалии скелета:
- Липоматозные объемные образования на теле ± ЛМ
о ЛМ не связана стрисомией 13, 18, 21 пары или синдромом Тернера:
- Анеуплоидия связана с патологической задней «затылочной прозрачностью» (кистозной гигромой) при раннем УЗИ плода
2. Стадирование, классификация лимфатической мальформации головы и шеи:
• Классификация Международного Сообщества по Изучению Сосудистых Аномалий пересмотра 2014 г.:
о Типичная (кистозная) ЛМ: макрокистозная, микрокистозная, смешанная
о Генерализованная лимфатическая аномалия (ГЛА):
- Множественные патологические очаги в плевре, селезенке, костях осевого и аппендикулярного скелета:
ГЛА: отсутствует прогрессирующая кортикальная деструкция
- Часто присутствуют макрокистозные ЛМ о Лимфатическая мальформация канального (или «центрального кондукторного типа»):
- Возможно расширение центральных лимфатических сосудов и/или вторичные проявления:
Интестинальная лимфангиэктазия; утолщение стенки кишечника, патологические изменения брыжейки; энтеропатия, приводящая к потере белка
Хилоторакс, хилезный асцит
Отек конечностей
о Первичная лимфедема
3. Микроскопия:
• Каналы различного размера, выстланные плоским эпителием
• В стенках больших каналов обнаруживается фиброзная ткань и гладкие мышцы в различных количествах
• Может наблюдаться смешанный венозный и/или капиллярный компонент
4. Иммуногистохимические особенности:
• Положительная окраска эндотелия на лимфатические маркеры
о Наиболее чувствительные и специфические: Prox-1 и VE → FR-3
о Менее чувствительные (в крупных каналах ЛМ): D2-40 и LYVE-1
1. Проявления:
• Характерные признаки/симптомы:
о Безболезненное мягкое и податливое объемное образование
• Другие признаки/симптомы:
о Боль и/или быстрый рост вследствие кровоизлияния, воспаления или гормональной стимуляции
о Везикулы на коже: ЛМ, но обычно кожа остается нормальной
о Возможно сдавливание дыхательных путей или других жизненно важных структур
2. Демография:
• Возраст:
о Обычно сразу после рождения или в пренатальном периоде
3. Течение и прогноз:
• ЛМ растет обычно вместе с пациентом:
о Может быстро увеличиваться в размерах вследствие кровоизлияния, воспаления или гормональной стимуляции
• Прогноз лучше при небольших ограниченных образованиях:
о Так как большие инфильтративные ЛМ трудно удалить целиком оперативно или при помощи склерозирования, часто возникает рецидив
4. Лечение:
• Хирургическое (резекция) перкутанная склеротерапия:
о Комбинированное лечение требуется для инфильтративных объемных образований большего размера
о Скперотерапия обычно применяется при макрокистозных ЛМ:
- Непосредственное введение склерозирующего агента в полость кисты под контролем УЗИ/рентгеноскопии:
Доксицикпин, блеомицин, ОК-432, этиловый спирт
Сообщается об использовании блеомицина в случаях микрокистозных ЛМ
- Редко приводит к серьезным осложнениям: некрозу кожи, повреждению нервов, отеку конечностей, атрофии мышц, диссеминированному внутрисосудистому свертыванию
- Окончательные результаты фиксируются спустя несколько месяцев:
Для устранения мальформации могут потребоваться несколько последовательных процедур
• Все популярнее медикаментозная терапия сиролимусом
• Компрессионный трикотаж
д) Диагностическая памятка. Советы по интерпретации изображений:
• Поликистозное образование в мягких тканях с уровнями «жидкость-жидкость» у ребенка крайне подозрительно на сосудистую мальформацию с медленным/низким током
Капиллярная мальформация - симптомы и лечение
Что такое капиллярная мальформация? Причины возникновения, диагностику и методы лечения разберем в статье доктора Сафина Динара Адхамовича, сосудистого хирурга со стажем в 14 лет.
Над статьей доктора Сафина Динара Адхамовича работали литературный редактор Маргарита Тихонова , научный редактор Сергей Федосов и шеф-редактор Лада Родчанина
Определение болезни. Причины заболевания
Капиллярная мальформация — это врождённый порок развития капилляров кожи, который возникает из-за случайной мутации, не связанной с наследственностью. Данный генетический дефект приводит к появлению избыточного количества сосудов в коже, иногда нарушает связь поражённой области с нервной системой . Причём диаметр избыточных сосудов больше, чем у нормальных капилляров.

Капиллярная мальформация встречается у 0,3-0,5 % новорождённых, т. е. у 3-5 детей на 1000 новорождённых [2] [3] [4] . Одинаково часто возникает у мальчиков и девочек.
Понятие "капиллярная мальформация" включает в себя комплекс различных заболеваний и состояний. Всем им характерен порок развития капилляров кожи и их изменения. К таким заболеваниям относят "винное пятно" , капиллярную ангиодисплазию , невус Унна и др. [1] . По сути, данные изменения являются вариациями капиллярной мальформации.
По такому же принципу, из-за сходства с цветом красного вина, получило своё название и "винное пятно" — "portwine stain", или сокращённо PWS. Данный термин до сих пор используется в западной медицинской литературе, в том числе и в научной.

Термин "капиллярная ангиодисплазия" наиболее распространён в отечественной медицинской литературе. В переводе с древнегреческого языка он означает неправильное формирование сосудов. По сути, такой термин включает более широкий круг заболеваний, сопровождающихся различными патологиями капилляров.

Невус Унна — это капиллярные пятна, возникающие на коже у новорождённых в области лба, между бровей, верхних век, носа, верхней губы и затылка. Данные пятна появляются из-за внутриутробного сдавления кожи между крестцом матери и костями черепа ребёнка. Капилляры за счёт длительного давления становятся более широкими и распластанными, но постепенно тонус капиллярной стенки нормализуется и цвет становится менее интенсивным.
Встречается невус Унна более чем у 50 % белокожих новорождённых детей [1] . Иначе его называют "поцелуем ангела", если пятна располагаются в области лба, век, носа, верхней губы, или "укусом аиста", если пятна располагаются в области затылка, а также лососевым и затухающим капиллярным пятном.

Пламенеющий невус — устаревшее название капиллярной мальформации. Данное название болезни появилось из-за ярко-красной окраски некоторых пятен, похожих на цвет пламени. Сейчас такой термин не используется.
При обнаружении схожих симптомов проконсультируйтесь у врача. Не занимайтесь самолечением - это опасно для вашего здоровья!
Симптомы капиллярной мальформации
Для капиллярной мальформации характерно наличие пятна от бледно розового до фиолетового цвета. Располагается пятно на уровне кожи, иногда возвышается над ней в виде "булыжной мостовой".
Интенсивность цвета может меняться в течение дня, к примеру утром светлее, вечером темнее. Яркость пятна повышается при подъёме температуры тела или окружающей среды, во время физической нагрузки или кормления ребёнка. Но эти изменения носят обратимый характер: когда воздействие раздражающего фактора прекращается, пятно приобретает свой обычный цвет.
По размеру мальформация бывает разной: от небольшого пятнышка до обширного пятна, которое занимает половину лица, шеи, туловища, распространяется на руки и ноги. Причём это может быть как сплошное пятно, так и мозаичное, с участками здоровой непоражённой кожи.

Наиболее частая локализация капиллярной мальформации — область лица и шеи [4] . Пятно может располагаться на любом участке лица и занимать различную площадь, переходя на волосистую часть головы, ушную раковину и слизистую оболочку рта.
Для пятна на лице характерен интенсивный цвет. Для пятна на лице характерен интенсивный цвет. При этом у 55-70 % пациентов отмечается разрастание мягких тканей (чаще вовлекаются губы), у 22-45 % — разрастание костной ткани (чаще верхней челюсти) и у 18 % — локализованные поражения кожи на пятне, например пиогенные гранулёмы — мясистые сосудистые узелки [5] .

В ряде случаев при определённом расположении пятна на лице можно заподозрить синдром Штурге — Вебера. В этом случае помимо винного пятна могут наблюдаться неврологические расстройства, например судороги, очаговый неврологический дефицит и умственная отсталость [13] .

При расположении капиллярной мальформации на туловище или конечностях пятно, как правило, имеет бледно розовый цвет. С течением времени такая мальформация светлеет или наоборот темнеет до фиолетового цвета. Чаще такое происходит с пятнами на коже ног.
По мере взросления цвет и размер капиллярной мальформации медленно меняются. Как правило, с возрастом пятно темнеет, становится розовым или красным.

Поскольку капиллярная мальформация расположена в дерме и не имеет тенденцию к разрастанию, основной жалобой пациента будет стойкий косметический дефект, который может спровоцировать развитие депрессии и навязчивых состояний.
Патогенез капиллярной мальформации
Капиллярная мальформация — это врождённый порок развития сосудов. Появление данной патологии связано с возникновением случайной мутации в определённых генах [5] .
Такие генетические изменения не связаны с передачей по наследству. Эти мутации возникают на ранних этапах образования и развития эмбриона.
Некоторые причинные мутации уже выявлены [6] , но для ряда капиллярных мальформаций такие генетические изменения не определены. Например, у пациентов с невусом Унна специфические мутации не установлены. А для простых капиллярных мальформаций, в том числе и при синдроме Штурге — Вебера, выявлена случайная мутация в гене GNAQ, также возможны изменения в гене GNA11.
При сочетании капиллярной мальформации с другими патологиями наблюдаются изменения в других генах:
- при сочетании с артериовенозной мальформацией (АВМ) характерны изменения в гене RASA1 или EPHB4;
- при сочетании с микроцефалией — изменения в гене STAMBP;
- при сочетании с увеличением головного мозга и дефектом коры в виде мелких неглубоких извилин — изменения в гене PIC3CA.

При врождённой геморрагической телеангиэктазии — синдроме множественных сосудистых мальформаций — в зависимости от типа определяются изменения в трёх генах:
- 1 тип — ENG;
- 2 тип — ACVRL1;
- 3 тип — SMAD4.
Нарушение закладки капилляров в дерме приводит к появлению расширенных сосудов. Выдвигались теории о том, что иннервация таких сосудов нарушается, особенно при расположении пятна на лице — в зоне иннервации тройничного нерва. Однако при расположении пятна на других участках тела признаки нарушения иннервации не наблюдаются.
Классификация и стадии развития капиллярной мальформации
Наиболее удобная классификация сосудистых аномалий создана Международным обществом по изучению сосудистых аномалий (ISSVA) [7] . Она постоянно дополняется новыми нозологиями и уточняется. Сейчас в этой классификации выделены следующие виды капиллярной мальформации:
- простая;
- сочетающаяся с другими видами сосудистых аномалий: капиллярно-венозная, капиллярно-лимфовенозная, капиллярно-артериовенозная;
- в составе синдромов, например синдрома Штурге — Вебера и синдрома Клиппеля — Треноне. Первый синдром сопровождается поражением кожи, глаз, нервной системы и внутренних органов. Характеризуется наличием капиллярной мальформации на коже лица, ангиомой сосудистой оболочки мозга и мягкой мозговой оболочки. Синдром Клиппеля — Треноне является редким врождённым заболеванием, при котором нарушается формирование кровеносных и лимфатических сосудов, кожи, мышц и костей. Сопровождается появлением винного пятна, пороками развития вен, разрастанием мягких тканей и костей.

Хотя классификация ISSVA удобна в использовании, она не отображает всю полиморфность капиллярных мальформаций. Её следует дальше структурировать и дополнять.
Осложнения капиллярной мальформации
С возрастом цвет капиллярной мальформации может перейти к красным или бордово-фиолетовым тонам. Часто такое изменение совпадает с утолщением кожи в области пятна [4] [8] . Данный феномен можно объяснить постепенным увеличением диаметра капилляров, которое увеличивает застой крови в зоне пятна. Возникает патологический круг: увеличение диаметра и количества сосудов приводит к усилению кровотока, в свою очередь активный кровоток стимулирует появление новых капилляров. Постепенно участок поражённой кожи утолщается и деформируется.

Активный кровоток в толще кожи приводит к появлению различных новообразований на поверхности капиллярной мальформации. Такие образования вынесены в отдельную группу — CEAN (cutaneous epithelioid angiomatous nodule), т. е. кожные эпителиоидные ангиоматозные узелки. Данная группа включает в себя редкие доброкачественные сосудистые новообразования, в состав которых входят гистиоциты — это эндотелиальные клетки, которые в основном находятся в дерме или под кожей. Такая группа опухолевидных образований впервые была описана итальяно-американским доктором J. Rosai в 1979 году [9] .
Кровотечение как осложнение не характерно для капиллярной мальформации из-за небольшого диаметра патологических сосудов. При порезе или другом повреждении кожи в области капиллярной мальформации не будет сильного кровотечения, оно остановится самостоятельно. Но следует помнить, что частое травмирование кожи, например при бритье, может спровоцировать появление кожных аденоматозных эпителиодных узелков на поверхности мальформации.
Диагностика капиллярной мальформации
Для постановки диагноза при простой капиллярной мальформации достаточно осмотра врача, который занимается лечением этой болезни. Проведения инструментальных или лабораторных исследований для такой формы патологии не требуется [5] . Но при сочетании мальформации с другими сосудистыми аномалиями или синдромами необходимо дополнительное обследование с участием команды врачей: педиатра, хирурга, ортопеда, генетика, онколога, специалиста лучевой диагностики, окулиста и дерматолога.
Одним из методов обследования, которые позволяют достоверно визуализировать капиллярную мальформацию, является дерматоскопия — визуальный осмотр кожи через прибор с большим увеличением.

МРТ позволяет определить наличие сосудистого компонента в мягких тканях. В случае простой капиллярной мальформации такие изменения незначительны, поэтому информативность такого исследования минимальная. Учитывая, что у детей младшего возраста это исследование проводится под наркозом или седацией, рутинно выполнять МРТ детям не рекомендуется. Показаниями к МРТ служат: сочетанные формы сосудистых мальформаций и синдромальные формы заболевания, например синдром Штурге — Вебера.
Проведение КТ или МСКТ (мультиспиральной КТ) обязательно при подозрении на распространение патологических процессов на костные структуры, которые сопровождаются их утолщением или деформацией. При сочетанных сосудистых аномалиях и подозрении на проникновение патологических сосудов в костные структуры следует проводить МСКТ с контрастированием. Без введения контраста КТ не информативна.
Чем отличается младенческая гемангиома от капиллярной мальформации?
Гемангиома — это доброкачественная сосудистая опухоль, которая развивается после рождения ребёнка, способна расти и постепенно исчезать. Тогда как капиллярная мальформация — это врождённая сосудистая аномалия, которая появляется уже при рождении. Для неё не характерен пролиферативный рост, отмечается постепенное изменение в цвете.
Иногда гемангиомы возникают при рождении, например врождённые или младенческие гемангиомы. Чтобы отличить их от капиллярной мальформации, ребёнка с сосудистой патологией нужно показать профильному специалисту.

Лечение капиллярной мальформации
Лазерная терапия — основной метод лечения капиллярной мальформации. Она проводится только на селективных лазерах, так как их волны воздействуют исключительно на гемоглобин крови [2] [3] [4] [10] .
Лазерное излучение затрагивает верхние слой капилляров, при котором происходит резкий нагрев эритроцитов. В результате капилляр либо разрывается, либо резко сужается.
Лазерную терапию можно начинать в любом возрасте, но оптимальнее — с 1-го месяца жизни. Если лечение проводится под наркозом, лазерную обработку выполняют в среднем три раза в год, но не больше четырёх. Считается, что для успешной социализации в обществе нужно достичь максимального результата лечения до начала обучения в школе.

Лазерное лечение имеет свои осложнения : временные (обратимые) и постоянные (необратимые). Все они возникают из-за теплового воздействия лазерного излучения на ткани.
Отёк, покраснение и "синячки" относятся к временным осложнениям. Они свидетельствуют об эффективности проведённой процедуры и проходят, как правило, через 7-10 дней после лечения.
Необратимые изменения возникают при чрезмерном воздействии излучения на кожу. Полученный ожог может приводить к появлению рубца . Избежать этих осложнений можно при выборе грамотного специалиста и правильного лазера.
Другим аппаратным методом лечения является IPL — intensivepulselight, т. е. интенсивный импульсный свет. В отличие от лазера, IPL представляет широкополосный свет. По сути, это мощная лампа, для отсечения ненужных диапазонов которой используют специальные фильтры. Такая технология часто используется в косметологии для лечения кожных заболеваний, в том числе для лечения капиллярной мальформации.

До появления лазерных технологий основным методом лечения винных пятен было хирургическое удаление изменённой кожи с пластической коррекцией образовавшегося дефекта. Проводились многочасовые травматичные операции, которые часто оставляли уродующие шрамы, причинявшие больший дискомфорт, чем само пятно.
Склерозирование — ведение лекарственного препарата (склерозанта) через укол — используется при лечении комбинированных мальформаций, например капиллярно-венозной. В лечении простых винных пятен этот метод не используется из-за отсутствия полости, в которую нужно ввести препарат.
Применение бета-адреноблокаторов в виде системной ( пропранолол , атенолол ) или местной терапии ( тимолол , арутимол ) в лечении капиллярной мальформации неэффективно, так как они не действуют на капиллярную ангиодисплазию.
Помимо прочего, сейчас проводятся экспериментальные работы по использованию препарата сиролимуса в качестве системной и местной терапии, но пока широкого применения этот метод не получил.
Прогноз. Профилактика
Как показывают исследования, лазер полностью осветляет только 10-15 % капиллярных мальформаций [11] . В остальных случаях или остаются заметные участки пятна, или лечение совсем не приносит результата. Причина кроется не только в особенностях капиллярной мальформации, но и в нюансах работы лазеров. Однако несмотря на такие цифры, проведённое лечение улучшает качество жизни пациентов [12] .
Специфической профилактики для предупреждения капиллярной мальформации нет. Это врождённый порок развития. У каждого такого пятна есть свои особенности: количество и распределение сосудов в толще кожи, диаметр просвета и преобладание одного типа сосудов над другим. Чтобы лечение было эффективным, врач должен учесть эти нюансы, так как вместе они создают особенности кровоснабжения внутри каждой мальформаций. Иногда доктору удаётся выявить "питающие" сосуды, которые стали причиной неэффективности лазерной коррекции.
Моноизлучение лазеров также имеет свои особенности — определённая длина волны лучше воздействует только на определённую цель. Оператор не может изменить длину волны, но может путём изменения мощности и ширины импульса обработать другие слои кожи. Как показывает опыт, сложнее устранить мелкие капилляры, расположенные у поверхности кожи.
Лимфатическая мальформация является пороком развития лимфатических сосудов, который начинает формироваться на втором месяце внутриутробного развития. В настоящее время доказано отсутствие признаков опухоли у данного образования. Термин «лимфангиома» рекомендовано оставить для истинных доброкачественных опухолей лимфатических сосудов. Лимфатическая мальформация составляет 6-18% от доброкачественных образований у детей [I] . Пороки развития лимфатических сосудов в области головы и шеи чаще всего определяются при рождении или в первые годы жизни ребёнка (в возрасте до одного года в 60-80% случаев) [2] -->.
В классификации Международного общества по изучению сосудистых мальформаций (ISSVA, 2014 год) лимфатические мальформации отнесены к простым порокам развития сосудов.
Оригинальная классификация лимфатических мальформаций ISSVA и её русский перевод, выполненный врачами нашего отделения.
В челюстно-лицевой области, на шее встречаются кистозные формы лимфатических мальформаций, которые подразделяются на мелкокистозные (при наличии полостей менее 1 см в диаметре), крупнокистозные (при наличии полостей более 1 см в диаметре) и смешанные (при наличии полостей разного диаметра).
Микрофотография и УЗИ мелкокистозной формы лимфатической мальформации (по классификации ISSVA 2014 года). МРТ и УЗИ крупнокистозной формы лимфатической мальформации (по классификации ISSVA 2014 года). МРТ и УЗИ смешанной формы лимфатической мальформации (по классификации ISSVA 2014 года).
Лимфатические мальформации могут быть как ограниченными, так и распространёнными, занимая две и более области. В области языка, верхней губы, лба чаще всего встречается мелкокистозная форма мальформации, в орбитальной, околоушно-жевательной — смешанная форма порока развития лимфатических сосудов, на шее — крупнокистозная лимфатическая мальформация. Обширная лимфатическая мальформация чаще всего локализуется в области дна полости рта, распространяясь на клетчаточные пространства глотки, гортани и средостения.
Лимфатическая мальформация является потенциально опасным образованием для человека. Пороки развития лимфатических сосудов в области головы и шеи, диагностируемые внутриутробно, обычно имеют огромные размеры, тем самым создают угрозу жизни как матери, так и ребёнка. Эти образования могут блокировать ход плода по родовым путям матери, сдавливать и смещать соседние органы и ткани, тем самым приводя к гипоксии и ишемии этих органов. Распространённые образования, локализующиеся в области дна полости рта, могут приводить к нарушению дыхания, в отдельных случаях до полной асфиксии, невозможности самостоятельного приёма пищи. Лимфатическая мальформация в орбитальной области способствует развитию нарушения зрения у пациента.
Наиболее частым осложнением у больных с данной патологией является воспаление лимфатической мальформации, спровоцированное любым воспалительным процессом (ОРВИ, тонзиллит, отит, аденоидит, стоматит, и т.д.). В результате воспаления патологические ткани увеличиваются в объёме, что приводит к увеличению асимметрии лица и шеи, перекрытию дыхательных путей, нарушению приёма пищи, речи. Мелкокистозные образования в полости рта и конъюнктивы глаз могут кровоточить. При локализации патологических тканей в области орбиты возможно развитие выраженного экзофтальма. Всё это приводит к косметическим, функциональным нарушениям, а также состояниям, угрожающим жизни ребёнка. Воспаление лимфатической мальформации требует неотложного лечения, включающего в себя антибактериальную (антибактериальные препараты широкого спектра действия), противовоспалительную (нестероидные противовоспалительные препараты в соответствии с возрастом ребёнка) терапии.
Диагностика
Фиброларингоскопия
(фото гортаноглотки).
Основными методами визуализации лимфатической мальформации являются ультразвуковое исследование (УЗИ) и магнитно-резонансная томография (МРТ). [II] Данные исследования позволяют определить площадь и объём патологических тканей, размеры кист, топографию образования. При лимфатической мальформации распространённого характера, кроме УЗИ и МРТ, необходимо проведение фиброларингоскопии, компьютерной томографии.
Лечение
Ведущим методом лечения лимфатических мальформаций является хирургический. [III] Помимо него применяется склерозирующая терапия растворами доксициклина, блеомицина, пицибанила (ОК-432), этоксисклерола и комбинированная методика, сочетающая хирургию и склерозирование. [IV] Операции проводятся по жизненным, функциональным и косметическим показаниям. К жизненным показаниям относятся нарушения дыхания и приёма пищи, что обычно бывает у детей с обширными формами лимфатических мальформаций. Стоит отметить, что дети данной группы нуждаются в многоэтапных сложных операциях, целью которых является максимально возможное удаление патологических тканей с сохранением функции и эстетики тканей. К функциональным относятся нарушения жевания, звукопроизношения, зрения. Часто к нарушению функции могут приводить рецидивирующие воспалительные процессы в патологических тканях. Косметические показания определяются при наличии асимметрии лица и шеи, увеличении объёма тканей в той или иной области.
Таким образом, лимфатические мальформации в области головы и шеи являются тяжёлым пороком развития лимфатических сосудов, при котором требуется лечение и динамическое наблюдение у специалистов: челюстно-лицевого хирурга, торакального хирурга, оториноларинголога, педиатра, ортодонта.
↑I. В связи с тем, что ранее данные образования относились к опухолям, статистические данные берутся из раздела «новообразования» (прим. авт.).
1. Исаков Ю. Ф. Детская хирургия. / Исаков Ю. Ф., Долецкий С. Я. // Москва, Медицина, 1978. — 502 с.
2. Coffin C. M. Vascular tumors in children and adolescents: a clinicopathologic study of 228 tumors in 222 patients. / Coffin C. M., Dehner L. P. // Pathol. ann. — 1993. — № 23. — Part. 1. — Р. 97-120
1. Возможности лечения детей с обширными лимфатическими и лимфовенозными мальформациями в области головы и шеи. // Материалы VI съезда детских онкологов с международным участием. 2015. — С. 283. (Комелягин Д.Ю., Дергаченко А.В., Дубин С.А., Петухов А.В., Иванов А.В., Владимиров Ф.И., Дергаченко А.В., Стрига Е.В., Вафина Х.Я., Пасечников А.В., Пачес О.А., Слипенко В.Г., Строганов И.А.)
2. Применение доксициклина в лечении детей с лимфатическими и лимфовенозными мальформациями головы и шеи. // Российская стоматология. 2015. — Т. 8, № 1. — С. 112 (Комелягин Д.Ю., Петухов А.В., Романов Д.В., Дубин С.А., Владимиров Ф.И., Дергаченко А.В., Пачес О.А., Топольницкий О.З., Иванов А.В., Вафина Х.Я., Пасечников А.В., Борзаева С.А., Солдатский Ю.Л., Воробьёв В.В.).
1. Комелягин Д.Ю. Возможности лечения детей с обширными лимфатическими и лимфовенозными мальформациями в области головы и шеи. / Комелягин Д.Ю., Петухов А.В., Дубин С.А, Дергаченко А.В., Владимиров Ф.И., Слипенко В.Г., Хаспеков Д.В., Дергаченко А.В., Пачес О.А., Фокин Е.И. // Онкопедиатрия. — 2015. — Том 2, № 3. — С. 285
2. Опыт лечения ребёнка с обширной лимфатической мальформацией в области головы и шеи. // Журнал Федерации специалистов по лечению заболеваний головы и шеи — Голова и шея. 2015. — С. 25 (Комелягин Д.Ю., Дергаченко А.В., Дубин С.А., Петухов А.В., Иванов А.В., Владимиров Ф.И., Дергаченко А.В., Стрига Е.В., Вафина Х.Я., Пасечников А.В., Пачес О.А., Слипенко В.Г., Строганов И.А., Топольницкий О.З., Романов Д.В., Щепин Н.В., Воробьев В.В., Шафранов В.В.)
3. Лечение детей с обширными лимфатическими и лимфовенозными мальформациями в области головы и шеи. // Сборник трудов по материалам VII Международной научно-практической конференции Стоматология славянских государств. 2015. — С. 144-147 (Комелягин Д.Ю., Дергаченко А.В., Петухов А.В., Дубин С.А., Владимиров Ф.И., Хаспеков Д.В., Дергаченко А.В., Пачес О.А., Фокин Е.И., Иванов А.В., Стрига Е.В., Слипенко В.Г., Вафина Х.Я., Строганов И.А.).
4. Treatment experience of child with extensive lymphatic malformations in head and neck. // XXV World Congress of Lymphology. San Francisco, California. — 2015. P. 136-204 (Komelyagin D., Dergachenko A.V., Dubin S., Petuchov A., Vladirov F.I., Dergachenko A.V., Topolniskiy O.Z.).
1. Комелягин Д.Ю. Малоинвазивный метод лечения детей с лимфатическими мальформациями головы и шеи. / Комелягин Д. Ю., Романов Д. В., Петухов А. В., Дубин С. А., Пачес О. А., Вафина Х. Я., Солдатский Ю. Л. // Росс. журнал детской онкологии и гематологии. — М. — 2014. — № 2. — С. 110
3. Komelyagin D.Ju. Indications for puncture method of treatment of children with lymphatic and lymphovenous malformations of head and neck area. / Komelyagin D.Ju., Petukhov A.V., Dubin S.A., Dergachenko A.V., Vladimirov F., Yamatina S.V., Khaspekov D.V., Topilin O.G., Slipenko V.G., Striga E.V., Dergachenko An.V., Topolnitsky O.Z., Ivanov A.V., Pasechnikov A.V., Vafina H.Ya., Strogonov I.A. // 21st International workshop on vascular anomalies. ISSVA 2016, Argentina, Buenos Aires. — 2016. — Р. 101
4. Оценка эффективности применения пропранолола у детей с младенческими гемангиомами в области головы и шеи. // Вестник Российского государственного медицинского университета. Материалы X Международной (XIX Всероссийской) Пироговской научной медицинской конференции студентов и молодых учёных. М. — 2015. С. 786 (Комелягин Д.Ю. в соавт. с Дергаченко А.В., Топольницким О.З., Владимировым Ф.И., Петуховым А.В., Гордеевым Д.Н., Дергаченко Ан.В.).
5. Склерозирующая терапия в лечении детей с лимфатическими мальформациями в области головы и шеи. // Вестник Российского государственного медицинского университета. Материалы X Международной (XIX Всероссийской) Пироговской научной медицинской конференции студентов и молодых учёных. М. — 2015. С. 788 (Комелягин Д.Ю. в соавт. с Дергаченко А.В., Топольницким О.З., Владимировым Ф.И., Петуховым А.В., Гордеевым Д.Н., Дергаченко Ан.В.).
6. Лечение детей с лимфатическими и лимфовенозными мальформациями в области головы, шеи, средостения. // IV междисциплинарный конгресс по заболеваниям органов головы и шеи. М. — 2016. — С. 132-134 (Комелягин Д.Ю., Петухов А.В., Хаспеков Д.В., Топилин О.Г., Дергаченко А.В., Владимиров Ф.И., Яматина С.В., Слипенко В.Г., Стрига Е.В., Дергаченко А.В., Фокин Е.И., Топольницкий О.З., Иванов А.В., Вафина Х.Я., Пасечников А.В., Строганов И.А.).
7. Склерозирующая терапия раствором доксициклина в лечении детей с лимфатическими мальформациями в области головы и шеи. // Материалы V Всероссийской научно-практической конференции с международным участием «Колесовские чтения». М. — 2016. — С. 143-154 (Комелягин Д.Ю., Петухов А.В., Топольницкий О.З., Дубин С.А., Дергаченко А.В., Владимиров Ф.И., Хаспеков Д.В., Топилин О.Г., Яматина С.В., Слипенко В.Г., Стрига Е.В., Дергаченко Ан.В., Иванов А.В., Пасечников А.В., Вафина Х.Я., Строганов И.А.).
8. Doxycycline use in lymphatic and lymphovenous treatment of children with malformations in the head and neck area. // XX International Workshop on Vascular Anomalies (ISSVA). Melbourne, Australia. — 2014. — P. 63 (Komelyagin D., Romanov D., Petuchov A., Dubin S., Dergachenko A., Vladimirov F., Ivanov A.).
9. Doxycycline use in lymphatic and lymphovenous treatment of children with malformations in the head and neck area. // XXV World Congress of Lymphology. San Francisco, California. — 2015. P. 135-198 (Komelyagin D., Dergachenko A.V., Dubin S., Petuchov A., Vladirov F.I., Dergachenko A.V., Topolniskiy O.Z.).
10. Indications for puncture method of treatment of children with lymphatic and lymphovenous malformations of head and neck area. // XXI International Workshop on Vascular Anomalies (ISSVA). Buenos Aires, Argentina. — 2016. — P. 72 (Komelyagin D., Petuchov A., Dubin S., Dergachenko A., Vladimirov F., Yamatina S., Khaspekov D., Topilin O., Slipenko V., Striga E., Dergachenko A., Topolnitsky O., Ivanov A., Pasechnikov A., Vafina K.).
Читайте также:
- Сосудистый тонус. Контроль тонуса сосудов
- Обзор сниженного эритропоэза
- Нервная анорексия - психиология, психический статус
- Деревянистый конъюнктивит (хронический псевдомембранозный конъюнктивит): признаки, гистология, лечение, прогноз
- Взаимодействия антителообразующих клеток. Влияние клеток на синтез антител
