Лимфогенный туберкулез. Клиника лимфогенного туберкулеза.
Добавил пользователь Владимир З. Обновлено: 29.01.2026
Милиарный туберкулез представляет собой опасную форму туберкулеза, протекающую без ярко выраженной лимфогенной стадии. Туберкулезные бугорки могут образовываться в различных органах. Распространение возбудителя – гематогенное.
Милиарный туберкулез – заболевание с потенциальным летальным исходом, однако при своевременном лечении поддается терапии. Главная опасность данной патологии состоит в том, что милиарный туберкулез сложно диагностировать, клиническая картина этого заболевания обычно размытая.
В МКБ-10 милиарный туберкулез включен под номером А19. Вследствие характерного патогенеза (распространения с кровью и лимфой) милиарный туберкулез считается одной из форм диссеминированного туберкулеза.
Формы милиарного туберкулеза
а) уточненной локализации;
б) неуточненной локализации;
в) множественной локализации.
- Острейший туберкулезный сепсис.
- Милиарный туберкулез неуточненной локализации.
- Обширный острый милиарный туберкулез с локализацией в легких.
- Генерализованный туберкулезный полисерозит.
Наиболее опасной формой милиарного туберкулеза считается острый туберкулезный сепсис. Летальный исход в этом случае возможет через две-три недели после появления первых симптомов.
Кроме того, выделяют хроническую форму милиарного туберкулеза, при которой периоды обострения сменяются ремиссиями.
Патогенез и причины заболевания
Возбудителем милиарного туберкулеза являются бактерии Mycobacterium. В общей сложности насчитывается 74 известных науке вида данных микроорганизмов, однако речь идет преимущественно о человеческом и бычьем видах (оба опасны для человека) – Mycobacterium tuberculosis и Mycobacterium bovis. Микроорганизмы, вызывающие туберкулез, кратко называют аббревиатурой МБТ (микобактерия туберкулеза).
У детей милиарный туберкулез в большинстве случаев является следствием первичного туберкулеза и развивается непосредственно после заражения. У взрослых заболевание может развиться из повторной активации гематогенных отсевов.
Проникновение МБТ в организм обычно происходит воздушно-капельным путем (другие способы заражения возможны, но встречаются реже). В норме дыхательная система имеет защитный механизм, заключающийся в образовании слизи, связывающей микобактерии, и последующем ее выведении. Однако если этот механизм не срабатывает (вследствие воспалительных процессов или воздействия токсичных вещест), бактерии попадают в легкие. Некоторое время МКБ размножаются очень медленно, не вызывая ответной реакции организма. Затем они распространяются по различным тканям и органам вместе с током лимфы и начинают более агрессивное размножение. В пораженных органах образуется множество мелких, размером с зерно проса, туберкулезных бугорков. Очаги со временем могут разрастаться и сливаться.
В случае алиментарного (с пищей), контактного или трансплацентарного заражения легкие могут избежать поражения, однако в таком случае усложняется процесс диагностики, поскольку рентгенография является наиболее простым способом обнаружения милиарного туберкулеза.
Симптомы милиарного туберкулеза
Субъективные симптомы данного заболевания неяркие, без специфических проявлений. Обычно больные жалуются на общее недомогание, слабость, повышение температуры, одышку и кашель. Частым симптомом является также сильное снижение веса без каких-либо видимых причин.
Диагностика милиарного туберкулеза
Выявить болезнь зачастую очень сложно. Из-за сниженной сопротивляемости организма реакция на пробу Манту нередко бывает отрицательной. Рентгенография и лабораторный анализ мокроты тоже не всегда помогают выявить болезнь. В случае подозрения на любую из форм милиарного туберкулеза необходимо тщательное обследование, включающее изучение анамнеза, клинические исследования крови, мочи и мокроты и рентгенографию.
Лечение и прогноз
Прогноз сильно зависит от формы и стадии заболевания. Главный метод лечения – комбинированная антибиотикотерапия (из 4-5 препаратов), которая сопровождается приемом иммуномодулирующих препаратов и специальным режимом (постельным или санаторным, в зависимости от состояния больного). Срок лечения составляет порядка 12 месяцев.
В случае подозрения на тяжелые формы болезни (особенно – на острейший туберкулезный сепсис) целесообразно назначение пробной терапии даже до постановки точного диагноза.
Лимфогенный туберкулез. Клиника лимфогенного туберкулеза.
Лимфогенный туберкулез. Клиника лимфогенного туберкулеза.
В части случаев диссеминированные очаги в легких образуются в результате распространения микобактерий туберкулеза преимущественно лимфогенным путем. Источником их рассеивания чаще всего бывают внутригрудные лимфатические узлы, откуда микобактерий распространяются при ретроградном движении лимфы. Такой генез процесса обычно наблюдается в периоде первичной инфекции или вскоре после нее, а также при обострении процесса во внутригрудных лимфатических узлах при вторичном туберкулезе, например у больных пожилого возраста.
Лимфогенные формы диссеминированного туберкулеза возникают также при обострении очагов в легких, фиброзных и плевро-пульмональных рубцов и при небольших альтеративных кавернах. В таких случаях, как указывал В. Г. Штефко (1937), микобактерий проникают в прилежащие лимфатические сосуды и тогда образуются рассеянные преимущественно продуктивного типа очаги. Они локализуются сначала вокруг интерлобарных или интерлобулярных перегородок, а затем в окружающей легочной ткани. Такие бугорки обычно состоят из эпителиоидных и гигантских клеток, лимфоцитов без казеозного некроза (или со слабо выраженным некрозом). Иногда бугорки сливаются между собой. Одновременно развивается продуктивный лимфангит, имеющий сетчатый характер. Возможно образование и периангита, который иногда становится источником последующего возникновения гематогенного туберкулеза. В процесс часто вовлекается висцеральная плевра, и тогда образуется кортико-плевральная форма лимфогенного туберкулеза. При обострении и прогрессировании болезнь протекает хронически, но при этом сравнительно редко формируются деструкции. Если они и образуются, то обычно бывают небольшими.
Клинически лимфогенный туберкулез протекает большей частью торпидно, нередко инапперцептпо. Если у больных возникают симптомы, то они чаще всего проявляются в виде субфебрильной температуры, вегетативных расстройств, болей в груди, которые связаны с поражением плевры, особенно при кортико-плевральной форме процесса. Отмечаются, кроме того, кашель, большей частью сухой, изредка небольшие кровохарканья. При обострении процесса наблюдаются лейкоцитоз, моноцитоз, левый сдвиг нейтрофилов, ускоренная РОЭ, а в мокроте обнаруживают микобактерий. Туберкулиновые реакции чаще нормергические, реже гиперергические. У части больных в легких прослушиваются мелко- и среднепузырчатые влажные хрипы.

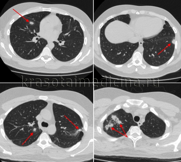
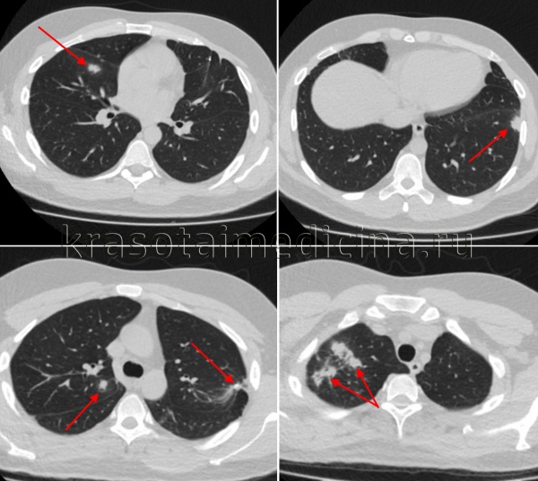
Рентгенологически преимущественно в прикорневых, верхних и средних, реже в нижних отделах одного или обоих легких определяются очаги разной величины, формы и интенсивности. При двустороннем процессе они расположены обычно асимметрично. Весьма характерна для диссеминированного лимфогенного туберкулеза рентгенологическая картина в виде петлистой деформации легочного рисунка, чаще всего в кортикальных, а также в прикорневых зонах, обусловленная лимфангитом и фиброзным утолщением стенок лимфатических сосудов в междольковых пространствах. Во внутригрудных лимфатических узлах часто обнаруживаются кальцинаты. Нередко одновременно наблюдается понижение прозрачности легкого, главным образом за счет лимфостаза или уплотнения костальной и междолевой плевры, реже из-за наличия небольшого количества жидкости в плевральных полостях.
Следует подчеркнуть, что лимфогенный туберкулез является часто не только ирепаренхиматозной, но и постпаренхиматозной фазой гематогенно-диссеминированного туберкулеза легких, особенно при хронической его форме. Это обстоятельство, естественно, затрудняет дифференциацию различных вариантов диссеминированного туберкулеза. Только при учете всех клинико-рентгенологических данных представляется возможным установить превалирование той или иной разновидности процесса.
При применении туберкулостатических препаратов наступают дезинтоксикация, рассасывание свежих лимфогенных очагов в легких и развитие более или менее выраженного ограниченного или диффузного интерстициального склероза, закрываются каверны. Однако в некоторых случаях, особенно у лиц молодого возраста, остаточные изменения (etals sequelles по терминологии Bernard) могут стать почвой для образования новых очагов и инфильтративных фокусов в легких.
Наблюдаются диссеминированные процессы и бронхогенного происхождения. Для них характерно наличие исходного очага в легком или во внутригрудных лимфатических узлах, но при отсутствии инфильтративного фокуса в фазе распада или кавернозного и фиброзно-кавернозного туберкулеза легких. При этой форме процесса, которая обычно протекает хронически, очаги в легких более крупные, они расположены асимметрично, а стенки видимых бронхов утолщены.
Клинико-рентгенологическая картина различных видов диссеминированного туберкулеза легких может напоминать ряд других заболеваний. G. А. Рейнберг (1962) насчитывает до 20 нозологических групп и около 150 нозологических форм процессов в легких различной этиологии, которые могут напоминать туберкулез. К ним относятся инфекционно-воспалительные, бактериальные, вирусные, грибковые и инвазионные заболевания; ретикулезы и коллагенозы; аллергические, обменно-токсические, радиационные, опухолевые, кардиоваскулярные, травматические и другого происхождения процессы. Так, среди 60 больных, которые были направлены в клинику туберкулеза ЦОЛИУ врачей с ошибочным диагнозом «диссеминированный туберкулез легких», у 11 оказались различного типа пневмонии, у 13 — рак и аденоматоз легких, у 9 — саркоидоз, у 6 — кол-лагеноз, у такого же числа больных — профессиональные запыления легких, главным образом силикоз, у 5 — болезнь Хаммена — Рича, у 2 — ксантоматоз, у остальных—гемосидероз, болезнь Айерсы, болезнь Вегенера, декоменсированный порок сердца с застойными явлениями в легких и т. д. Мы остановимся здесь на дифференциальной диагностике только некоторых из них, наиболее часто встречающихся.
Информация на сайте подлежит консультации лечащим врачом и не заменяет очной консультации с ним.
См. подробнее в пользовательском соглашении.
Клинико-рентгенологические особенности лимфогенной диссеминации при туберкулезе легких
В настоящее время на проблеме диссеминированного туберкулеза сфокусировано внимание многих исследователей в связи с ее актуальностью. В некоторых регионах России диссеминированный туберкулез является достаточно часто встречающейся формой туберкулеза. Туберкулез легких объединяет процессы различного генеза, развивающиеся в результате распространения микобактерий туберкулеза гематогенным, бронхогенным и лимфогенным путями, с чем связано многообразие клинических и рентгенологических проявлений. В частности, нетипичная локализация очагов в нижних и средних отделах легких, а также нетипичное их распределение в легочной дольке нередко представляют затруднения при интерпретации результатов исследований и приводят к диагностическим ошибкам. Данная работа посвящена вопросу различных вариантов лимфогенной диссеминации туберкулеза, при этом сделан акцент на современную лучевую диагностику.
Ключевые слова
Об авторах
ГБУЗ «Городская клиническая больница им. В.П. Демихова» Департамента здравоохранения г. Москвы; ФГАОУ ВО «Российский национальный исследовательский медицинский университет им. Н.И. Пирогова» Минздрава России
Россия
врач-рентгенолог отделения МРТ и КТ; ст. лаборант кафедры лучевой диагностики и терапии
ул. Шкулева, 4, Москва, 109263, Российская Федерация
ул. Островитянова, 1, Москва, 117997, Российская Федерация
ГБУЗ «Научно-практический клинический центр диагностики и телемедицинских технологий» Департамента здравоохранения г. Москвы
Россия
к. м. н., врач-рентгенолог, специалист консультативного отдела
ул. Средняя Калитниковская, 28, стр. 1, Москва, 109029, Российская Федерация
ФГАОУ ВО «Российский университет дружбы народов»
Россия
к. м. н., ассистент кафедры инфекционных болезней с курсами эпидемиологии и фтизиатрии
ул. Миклухо-Маклая, 6, 117198, Москва, Российская Федерация
Список литературы
1. Хоменко А.Г. Туберкулез. М.: Медицина; 1996.
2. Штефко В.Г. Вопросы патологической анатомии и клиники лимфогенных фаз туберкулезного процесса. Л.: Биомедгиз; 1937.
3. Смурова Т.Ф. Диссеминированный туберкулез легких. Медицинская помощь. 2005; 2: 15–8.
4. Кибрик Б.С., Мельников В.П., Маковей Ю.В. Особенности диагностики и течения прогрессирующего диссеминированного туберкулеза легких. Проблемы туберкулеза и болезней легких. 2008; 6: 3–6.
5. Шовкун Л.А., Романцева Н.Э., Константинова А.В., Кампос Е.Д., Володько Н.А., Тахтамышев С.Р. Рентгенологическая картина инфильтративного и диссеминированного туберкулеза легких у больных ВИЧ-инфекцией. Бюллетень сибирской медицины. 2012; 5: 148–50.
6. Пантелеев А.М., Никулина О.В., Христусев А.С., Драчева М.С., Соколова О.С., Зонова А.В. Дифференциальная диагностика туберкулеза и микобактериоза у больных ВИЧ-инфекцией. Туберкулез и болезни легких. 2017; 95(10): 47–52. doi: 10.21292/2075-1230-2017-95-10-47-52
7. Heo JN, Choi YW, Jeon SC, Park CK. Pulmonary tuberculosis: another disease showing cluster of small nodules. AJR Am J Roentgenol. 2005; 184(2): 639–42. doi: 10.2214/ajr.184.2.01840639
8. Ko JM, Park HJ, Kim CH. Clinicoradiologic evidence of pulmonary lymphatic spread in adult patients with tuberculosis. AJR Am J Roentgenol. 2015; 204(1): 38–43. doi: 10.2214/AJR.14.12908
9. Лазарева Я.В., Корякин В.А. Интерстициальный (лимфогенный) диссеминированный туберкулез легких: диагностические возможности компьютерной томографии. Проблемы туберкулеза и болезней легких. 2005; 3: 20–5.
10. Рабухин А.Е. Туберкулез органов дыхания у взрослых. М.: Медицина; 1976.
11. Прозоров А.Е. Рентгенодиагностика туберкулеза легких. М.: Медгиз; 1940.
12. Линденбратен Л.Д., Наумов Л.Б. Рентгенологические синдромы и диагностика болезней легких. М.: Медицина; 1972.
13. Тюрин И.Е. Компьютерная томография органов грудной полости. СПб.: ЭЛБИ; 2003.
14. Ратобыльский Г.В., Никитин М.М., Лазарева Я.В., Сигаев А.Т., Шутихина И.В., Цыбульская Ю.А. и др. Современные лучевые методы в выявлении и диагностике туберкулеза. Российский электронный журнал лучевой диагностики. 2014; 4(3): 7–34.
15. Помельцов К.В. Рентгенологическая диагностика туберкулеза легких. М.: Медицина; 1971.
16. Гольдштейн В.Д. Первичный туберкулез органов дыхания у взрослых. М.: БИНОМ; 2013.
17. Березин М.Ю., Кривонос П.С., Лантухов А.В. Значение спиральной рентгеновской компьютерной томографии в диагностике лимфогенной диссеминации в легких. Итоги реализации государственной программы «Туберкулез» и внедрения научных достижений в практическое здравоохранение: материалы респ. науч.-практ. конф., Минск, июнь 2010 г. Минск; 2010: 94–8.
18. Cardinale L, Saviolo C, Cortese G. A new variant of “Sarcoid cluster sign” … But in tuberculosis. J Belg Soc Radiol. 2015; 99(1): 89–90. doi: 10.5334/jbr-btr.827
19. Борисова Н.К., Щаринский С.Т. Рентгенодиагностика лимфогенно-диссеминированного туберкулеза легких. Вестник рентгенологии и радиологии. 1987; 4: 63–8.
20. Araya R, Pérez G, Castro D, Sánchez F, Díaz JC, Agar V. Radiology signs: the galaxy sign. Rev Chil Radiol. 2014; 20(3): 113–5.
21. Marchiori E, Zanetti G, Baretto MM, de Andrade FT, Rodrigues RS. Atypical distribution of small nodules on high resolution CT studies: patterns and differentials. Respir Med. 2011; 105(9): 1263–7. doi: 10.1016/j.rmed.2011.02.010
22. Ahuja C, Jain R, Tiwari T, Jain S, Chadha M. Pulmonary tuberculosis masquerading as bronchogenic carcinoma with lymphangitic spread of tumor. J Biom Graph Comp. 2012; 2(2): 115–8. doi: 10.5430/jbgc.v2n2p115
23. Ko JM, HJ Park, CH Kim. Pulmonary changes of pleural TB: up-to-date CT imaging. Chest. 2014; 146(6): 1604–11. doi: 10.1378/chest.14–0196
Диссеминированные поражения легких

Пульмонологическое отделение
Диссеминированное поражение легких является клинико-рентгенологическим симптомокомплексом, который включает все проявления легочной диссеминации, различные по этиологии и патогенезу.
Причины синдрома легочной диссеминации:
- инфекционно-воспалительные заболевания и поражения легких бактериальной (включая туберкулез и риккетсиозы), вирусной, грибковой и паразитарной этиологии;
- поражения легких вследствие воздействия профессиональных вредностей — при пневмокониозах, экзогенных аллергических альвеолитах ("легкое фермера", "легкое птицевода", сенная лихорадка);
- метастатические поражения легких при злокачественных опухолях, как правило, внелегочной этиологии;
- поражения легких при интерстициальных заболеваниях: диффузных заболеваниях соединительной ткани, саркоидозе, системных васкулитах, легочных геморрагических заболеваниях (синдром Гудпасчера, идиопатический гемосидероз легких) и некоторых редких заболеваниях (легочный альвеолярный протеиноз, гистиоцитоз X, лимфангиолейомиоматоз);
- радиационные и ятрогенные (медикаментозные) поражения легких.
Симптомы:
- одышка, возникающая или усиливающаяся при физической нагрузке (если она не вызвана другими заболеваниями);
- кашель сухой или со скудной мокротой слизистого характера (при бронхоальвеолярном раке – обильная пенистая мокрота);
- цианоз, возникающий и усиливающийся при физической нагрузке;
- повышение температуры тела до субфебрильной или фебрильной;
- сокращение фаз вдоха и выдоха;
- крепитирующие хрипы на вдохе;
- укорочение перкуторного тона над зоной поражения;
- интерстициальные и/или очаговые изменения, выявляемые рентгенологически; гипоксемия при физической нагрузке;
- рестриктивные нарушения вентиляционной способности легких, снижение их диффузионной способности.
Диагностика:
- клиническое исследование, рентгенография, микроскопия мокроты, посев мокроты на микобактерии туберкулеза и смешанную флору, клинические анализы крови, мочи, туберкулиновая проба; и другие методы рентгенодиагностики; бронхологическиеи другие инструментальные методы; иммунологические, цитологические и гистологические методы;
Лечение:
Проводится в зависимости от полученных результатов биопсии легкого, так как причин для диссеминации в легком более 100.
Современные методы диагностики в пульмонологии (компьютерная томография, бронхоскопия, радиологические исследования, большое число лабораторных методики др.) позволяют выявить болезни органов дыхания на ранних стадиях и проводить эффективную профилактику и лечение.
Почему пациенты обращаются именно в нашу клинику?

Всё в одном месте Можете получить консультация любого специалиста в одном месте, а значит экономите своё время.
Инновации Многие инновационные проекты без преувеличения можно причислить к технологиям будущего. Постоянно разрабатываются новейшие технологии диагностики и лечения, и прогресс не останавливается ни на минуту.
Современное оборудование Мы достигли высокого уровня развития, в том числе за счет хорошей технической оснащенности клиники. Без использования высоких технологий сейчас не обходится ни одна хирургическая операция.
Диссеминированный туберкулез легких ( Милиарный туберкулез )
Диссеминированный туберкулез легких – это клиническая форма туберкулезной инфекции, характеризующаяся формированием в легких многочисленных очагов специфического воспаления вследствие гематогенного или лимфогенного распространения микобактерий. Диссеминированный туберкулез легких протекает остро, подостро или хронически; с общим недомоганием, гипертермией, одышкой, влажным кашлем, кровохарканьем. Основными методами выявления диссеминированного туберкулеза легких служат рентгенодиагностика, туберкулинодиагностика, определение МБТ в мокроте и секрете бронхов. Лечение проводится специфическими противотуберкулезными препаратами по специальным схемам.
МКБ-10

Общие сведения
Причины
Диссеминированный туберкулез легких может представлять собой осложненный вариант первичного туберкулеза или носить вторичный характер и развиваться у пациентов, ранее перенесших первичную туберкулезную инфекцию. Возникновение диссеминированной формы связано с распространением микобактерий по кровеносным или лимфатическим путям из легочного очага или других органов (внутригрудных лимфатических узлов, костей, мочеполовой системы и т. д.). Для развития диссеминированного туберкулеза легких необходимо наличие следующих условий:
- туберкулезной бактериемии (или бактериолимфии),
- гиперсенсибилизации к туберкулезной инфекции,
- резкого снижения общей резистентности.
Факторы риска
Рассеиванию МБТ по организму способствуют другие инфекционные заболевания (грипп, корь, ВИЧ), аллергические реакции и иммунодефициты различного генеза, гиповитаминоз, алкоголизм и наркомания, гиперинсоляция или переохлаждение и пр. Довольно часто диссеминированный туберкулез легких развивается у пациентов с эндокринными нарушениями (сахарным диабетом) или физиологическими гормональными изменениями (в период беременности и после родов, в пожилом и старческом возрасте).
К группе высокого риска относятся лица, находящиеся в тесном контакте с больными открытой формой туберкулеза (выделяющими микобактерии). Также диссеминированный туберкулез легких может развиваться у детей, не получавших вакцину БЦЖ.
Патогенез
В условиях снижения напряженности общего и противотуберкулезного иммунитета может возникнуть реверсия туберкулезной инфекции в остаточных очагах с выходом микобактерий в кровяное или лимфатическое русло. Оседанию МБТ в легких способствует густая сеть легочных капилляров, артериол и венул, относительно медленный кровоток. При поступлении значительного количества микобактерий в кровь и выраженном снижении противотуберкулезного иммунитета может развиться генерализованный диссеминированный туберкулез с очагами в различных органах или туберкулезный сепсис.
Классификация
В зависимости от путей распространения микобактерий по организму различают гематогенный, лимфогенный и лимфобронхогенный диссеминированный туберкулез. Все три варианта могут носить острое, подострое или хроническое течение, ограниченный или распространенный характер.
- Острый диссеминированный туберкулез легких чаще всего имеет гематогенное распространение. По размеру туберкулезных очагов он делится на мелкоочаговый (милиарный, с очагами диаметром 1-2 мм) и крупноочаговый (очаги диаметром до 10 мм). При милиарном туберкулезе на рентгенограммах выявляется густая «просовидная» диссеминация, обычно расположенная симметрично в обоих легких. Может протекать по тифоидному (с лихорадкой и резкой интоксикацией), легочному (с выраженной дыхательной недостаточностью) или менингеальному варианту (с явлениями менингита, менингоэнцефалита). Острый крупноочаговый туберкулез легких протекает в виде долевой казеозной пневмонии; очаги крупные, симметричные, с преимущественной субплевральной локализацией в верхних долях. Прогрессирование крупноочаговых изменений может приводить к деструкции легочной ткани с формированием каверн.
- Подострый диссеминированный туберкулез легких может иметь гематогенный и лимфогенный генез. В первом случае очаги диссеминации чаще располагаются в верхних отделах легких; во втором – в нижних и прикорневых отделах, сочетаясь с выраженным лимфангитом. Очаги имеют средние или крупные размеры; характерно их сочетание с тонкостенными «штампованными» кавернами, пневмосклерозом.
- Хронический диссеминированный туберкулез легких возникает на фоне повторных эпизодов микобактериемии. Очаги диссеминации в легких полиморфны, имеют различную степень давности и величину (от мелких до крупных); их количество и размеры увеличиваются в периоды обострений. В легких формируется диффузный пневмосклероз, эмфизема, фиброзные и цирротические изменения верхних долей.
Симптомы
Различные клинические формы диссеминированного туберкулеза легких имеют свои специфические особенности течения. Примерно у трети больных поражение легких является случайно находкой и обнаруживается при прохождении массовой флюорографии. Остальные пациенты целенаправленно обращаются к врачу в связи с ухудшением самочувствия. Диссеминированный туберкулез легких может сочетаться с туберкулезом гортани, костей и суставов, почек, гениталий. В этом случае признакам поражения легких может предшествовать другая органная симптоматика (дисфония, боль в горле, суставах и позвоночнике, гематурия, бесплодие и т. д.).
Острая форма
Острый диссеминированный туберкулез легких в начальном периоде часто напоминает ОРВИ или внебольничную пневмонию. Он манифестирует внезапно, с резкого недомогания, повышения температуры до 38°С, диспепсических нарушений, головной боли. На фоне неспецифических симптомов возникают сухой кашель, одышка, цианоз. Симптоматика прогрессивно нарастает в течение 1-2 недель: температура может достигать 40°С; кашель становится продуктивным с выделением слизисто-гнойной мокроты; может возникать кровохарканье; выражены адинамия, тахикардия, ночная потливость.
При тифоидной форме преобладает интоксикационный синдром, могут иметь место нарушение сознания и бред. У больных с легочной формой, кроме токсикоза, тяжесть состояния усугубляется резко выраженной дыхательной недостаточностью. В случае перехода туберкулезного воспаления на мозговые оболочки развивается менингеальная форма с соответствующей симптоматикой (ригидностью мышц затылка, симптомами Брудзинского и Кернига).
Редко наблюдается острейшее течение диссеминированного туберкулеза легких - туберкулезный сепсис. Ему подвержены лица со сниженным иммунитетом (тяжелым сахарным диабетом, лейкемией и т. д.). Он протекает крайне тяжело с высокой лихорадкой, спутанностью сознания, гепатоспленомегаией, легочно-сердечной недостаточностью.
Подострая форма
Клиническая картина подострого диссеминированного туберкулеза легких маскируется под затяжной бронхит; отличается умеренно выраженными проявлениями: раздражительностью, снижением работоспособности, общей слабостью, потерей аппетита и похуданием, периодической гипертермией, несильным влажным кашлем, болью в боку. Нередко развитию симптоматики предшествует туберкулезный плеврит.
Хроническая форма
Хронический диссеминированный туберкулез легких вне обострения протекает бессимптомно. В период активизации специфического воспаления появляются умеренные симптомы интоксикации; при длительном течении туберкулезного процесса преобладают признаки дыхательной недостаточности. Вследствие редукции сосудистого русла и повышения давления в сосудах малого круга развивается легочное сердце.
Диагностика
Физикальное обследование выявляет ослабленное дыхание, влажные мелко- и среднепузырчатые хрипы. Подтвердить или опровергнуть диагноз помогают следующие диагностические данные:
- Гемограмма на фоне диссеминированного туберкулеза легких претерпевает существенные сдвиги: лейкоцитоз сменяется лейкопенией, развивается лимфопения, эозинопения, нейтрофилез, тромбоцитопения, резко увеличивается СОЭ. В мокроте или смывах с бронхов микобактерии туберкулеза выявляются только у половины больных диссеминированным туберкулезом. При менингеальной форме с целью дифференциальной диагностики прибегают к люмбальной пункции и исследованию спинномозговой жидкости.
- Рентгеносемиотика диссеминированного туберкулеза легких зависит от клинической формы заболевания. Признаками острого процесса служат наличие в обоих легочных полях множественных однотипных очагов, расположенных симметрично, в виде цепочки по ходу сосудов. При подострой диссеминации очаги имеют тенденцию к слиянию, возможно образование полостей распада. Для хронической диссеминации характерно асимметричное расположение очаговых теней, которые имеют разную форму, величину, очертания, интенсивность в зависимости от срока давности их возникновения. Рентгенография легких, как правило, дополняется линейной или компьютерной томографией.
- В начале острой формы диссеминированного туберкулеза легких реакция Манту у больных бывает умеренно положительной или гиперергической, однако в дальнейшем угасает. При подостром и хроническом процессе выявляется слабоположительная или умеренно выраженная реакция на туберкулин.
- При диагностической бронхоскопии на слизистой оболочке бронхов могут обнаруживаться туберкулезные бугорки. Эндоскопическое исследование позволяет произвести биопсию бронха, трансбронхиальную биопсию легкого или лимфатического узла, получить бронхоальвеолярный смыв для исследования на МБТ.
- ИФА-диагностика проводится для верификации диагноза у лиц из групп риска. Широкое применение квантиферонового теста и T-SPOT-диагностики сдерживается высокой стоимостью анализов.
Дифференциальная диагностика диссеминированного туберкулеза легких проводится с саркоидозом, лимфогранулематозом, пневмокониозом, пневмомикозом, коллагенозами, очаговой пневмонией, альвеолитом, карциноматозом легких.

КТ ОГК. Множественные очаговые поражения верхней и средней доли правого легкого, верхней и нижней доли левого легкого у пациента с диссеминированным туберкулезом.
Лечение диссеминированного туберкулеза легких
Больные с диссеминированным туберкулезом легких госпитализируются в стационар противотуберкулезного профиля. Специфическая химиотерапия назначается и контролируется фтизиатром. При впервые выявленном диссеминированном туберкулезе легких, независимо от формы, назначается рифампицин, изониазид и этамбутол (или стрептомицин); при массивном бактериовыделении или тяжелом течении добавляется четвертый препарат - пиразинамид.
Активная терапия продолжается до рассасывания очагов диссеминации, прекращения выделения микобактерий и закрытия каверн. После этого, еще 6-9 месяцев, лечение осуществляется двумя противотуберкулезными антибиотиками (изониазид+этамбутол, изониазид+пиразинамид или изониазид+рифампицин). В схему лечения острого диссеминированного туберкулеза легких включают кортикостероиды (преднизолон) и иммуномодуляторы (препараты тимуса, альфа интерферон). В некоторых случаях (при сохранении полостей распада) прибегают к оперативной коллапсотерапии.
Прогноз и профилактика
Исход острого диссеминированного туберкулеза легких может быть благоприятным при условии своевременного выявления и проведения полноценного курса этиотропной терапии. Осложнение в виде туберкулезного менингита может привести к гибели больного. Подострое течение может подвергаться обратному развитию или переходить в хроническую форму. Хронический диссеминированный туберкулез имеет длительное, многолетнее течение, может осложняться появлением внелегочных очагов и прогрессированием в фиброзно-кавернозный туберкулез.
Профилактика диссеминированного туберкулеза легких заключается в предупреждении и лечении первичного туберкулезного процесса, своевременной БЦЖ-вакцинации детей, проведении профилактического рентгенологического скрининга среди взрослых. Пациенты, перенесшие туберкулез, должны в течение 2-х лет находиться под наблюдением фтизиатра. Снятие с диспансерного учета может быть осуществлено только при отсутствии рецидивов, остаточных изменений (туберкулом, кальцинатов, цирроза легких и пр.) и отягощающих факторов (иммунодефицитных состояний, хронических заболеваний, вредных зависимостей).
1. Федеральные клинические рекомендации по диагностике и лечению диссеминированного (милиарного) туберкулёза легких у детей/ под ред. проф. Аксеновой В.А. – 2013.
2. Туберкулез. Особенности течения, возможности фармакотерапии: Учебное пособие для врачей/ под ред. проф. Иванова А.К. – 2009.
3. Диагностика диссеминированного туберкулеза и других гранулематозных заболеваний легких (клинико-лабораторное исследование): Автореферат диссертации/ Николаева Г. М. – 2004.
Читайте также:
